Современные достижения в диагностике злокачественных новообразований
Государственное
бюджетное образовательное учреждение
высшего
профессионального образования "Оренбургский государственный
медицинский
университет" Министерства здравоохранения Российской Федерации.
Кафедра
лучевой диагностики, лучевой терапии, онкологии
РЕФЕРАТ
СОВРЕМЕННЫЕ
ДОСТИЖЕНИЯ В ДИАГНОСТИКЕ ЗЛОКАЧЕСТВЕННЫХ НОВООБРАЗОВАНИЙ
Выполнил:
студент лечебного факультета
группы
Дон С.С.
Проверил:
доцент,д.м.н. Сеньчукова М.А.
Оренбург
2016
СОДЕРЖАНИЕ
злокачественный опухоль
рентгенологический томография
Введение
Консультация
врача
Рентгенологические
методы
Ультразвуковая
томография (УЗИ, сонография)
Эндоскопический
метод
Лабораторные
исследования
Цито-
гистологические методы
Новейшие
методы диагностики с использованием современных достижений науки в области
лучевой, магнитной и ядерной физики
Заключение
Используемая
литература
ВВЕДЕНИЕ
В целях борьбы с глобальной эпидемией рака и
неинфекционных заболеваний, необходимо создать основу для мониторинга тенденций
и оценки прогресса, достигнутого странами в борьбе с эпидемией.
Цель глобальных национальных данных ВОЗ по раку
заключается в синтезе глобального статуса профилактики, ранней диагностике и
контроля рака.
Каждый год только в России выявляется около 500
тысяч онко больных. Данная цифра показывает только точно установленный диагноз.
Судя по большинству источников, ежегодно такие
диагнозы ставятся около 10 милионам людей со всего мира.
Т.е. около 27.000 людей за 1 сутки получают
диагноз - рак. Из них около 1500 только в России…
Применение разнообразных методов диагностики
необходимо для выявления опухолевого процесса, определении его стадии и выбора
тактики лечения больных, страдающих онкологическими заболеваниями. Во многих
случаях для дифференциальной диагностики необходимо провести несколько исследований,
используя различные методы. При планировании исследования прежде всего
необходимо учитывать индивидуальные особенности пациента и особенности течения
заболевания, а также знать принципы, возможности и ограничения каждого из
методов, чтобы обеспечить максимально эффективную диагностику и лечение.
Поэтому выбор метода диагностики и тактики исследования является одним из
основных компонентов лечения онкологических пациентов, а анализ результатов
кроме ответа на вопрос о наличии опухоли должен способствовать получению
информации о типе опухоли, стадии опухолевого процесса и о вовлечении в
патологический процесс смежных с пораженным органом анатомических структур. Для
квалифицированного и эффективного исследования с применением методов
диагностики, а значит и успешного лечения онкологических больных, необходимо
тесное взаимодействие онкологов, врачей-рентгенологов, радиологов, лаборантов,
гистологов, иммунологов, врачей функциональной диагностики и др.
1. КОНСУЛЬТАЦИЯ ВРАЧА
Первым существенным этапом в распознавании
злокачественной опухоли является консультация врача, который проводит осмотр
больного, выясняет историю развития заболевания, изменение его проявлений в
течение времени (анамнез).
При опросе выявляется давность заболевания
(появление первичных симптомов опухоли), динамика роста опухоли. Эти данные
помогают распознавать визуальные формы рака: нижней губы, кожи, слизистой
оболочки полости рта, опухоли мягких тканей, молочной железы. Опухоли же
внутренних органов четких симптомов начала патологического роста обычно не
имеют. Злокачественный рост в них чаще начинается на фоне хронического
воспалительного процесса, без ярких симптомов. Уже образовавшаяся
злокачественная опухоль в I и II стадии роста чаще всего безболезненна, без
ярко выраженной симптоматики. Но тщательно собранный анамнез позволяет и в этих
случаях заподозрить начало злокачественного новообразования. Академик А. И.
Савицкий описал ряд малых неспецифических симптомов - "синдром малых
признаков", одновременное наличие которых у больного является
специфическим для злокачественной опухоли. Это:
) немотивированная слабость, быстрая
утомляемость,
) похудание,
) анемизация (малокровие, проявляющееся
бледностью),
) психическая депрессия.
В зависимости от локализации процесса в
дополнение к перечисленным признакам появляются другие характерные признаки.
Например, при раке бронхов - сухой надсадный кашель, повторные атипичные
пневмонии; при раке прямой кишки - чувство неполного ее опорожнения, ложные
позывы и т. д.
Онкологи, принимающие первичного больного,
придают большое значение тщательности сбора анамнеза. Многие из них разъясняют
больным знамение анамнеза в постановке диагноза и вспомнить все изменения в
состоянии функций организма в последнее время. Однако, как и при других
заболеваниях, анамнез дает только ориентировочные данные и может направить
внимание на какой-то орган, где подозревается опухолевый процесс.
При осмотре больного врач исследует опухоль или
область предполагаемой локализации ее; состояние регионарных и отдаленных лимфатических
узлов (шейные, подмышечные, паховые). При опухоли кожи, губы, языка осмотр
пораженного участка производится с помощью лупы. При подозрении на опухоль
органов брюшной полости обследуются лимфатические узлы малого таза. У женщин
обязательно необходимо проводить обследование per vaginum (через влагалище) и
per rectum (через прямую кишку), у мужчин - per rectum. Эти исследования
врач-онколог может провести самостоятельно или направить больного к специалисту
гинекологу или урологу.
2. РЕНТГЕНОЛОГИЧЕСКИЕ МЕТОДЫ
Рентгенографические обследование -
является основным методом распознавания при опухолях легких, желудка, толстой
кишки. Поэтому этот метод применяется при обследовании онкологических больных.
Современная рентгенология широко применяет томографическое (послойное)
исследование и с контрастированием органа. За последние годы значительно
расширилось применение специальных методов исследования, таких как ангиография,
бронхография, повышающих эффективность диагностических исследований,
выполняемых в основном в стационаре. Флюорография, в особенности
крупнокадровая, играет большую роль в профилактических осмотрах населения.
Рентгенологическое обследование является одним
из основных, проводимых с профилактической целью. Каждый взрослый человек
должен проходить профилактические осмотры и рентгенографию легких не реже
одного раза в год.
Маммография -
это специальное рентгеновское обследование молочной железы с использованием
небольшой дозы рентгеновских лучей. Маммография помогает обнаружить в ткани
железы уплотнения, которые трудно определить ощупыванием, а также другие
изменения, которые могут указывать на возможное развитие опухоли ещё до того,
как что-либо вообще можно прощупать. Снимки выполняются при некотором сдавлении
молочной железы. Это делается для того, чтобы уменьшить дозу облучения и
получить снимки более высокого качества. Обычно проводится по два снимка каждой
железы. В ряде случаев проводятся дополнительные снимки.
Обследование лучше проводить на 7й - 10й день от
первого дня менструального цикла, когда грудь менее болезненна. Женщинам в
менопаузе маммография выполняется в любое удобное время. Как правило,
рекомендуется, чтобы каждая женщина после 45 лет маммографию проходила
ежегодно.
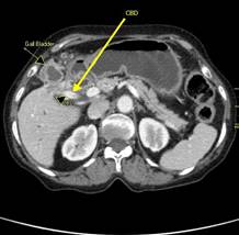
Компьютерная томография.
Среди методов, позволяющих получать изображения различных участков
человеческого тела, компьютерной томографии (КТ) отводится особая роль, а
именно роль стандарта.
Качество КТ-изображения, а значит и его
информативность, зависят от физических характеристик и особенностей строения
органа (плотности, концентрации электронов на единицу массы и других свойств
биологических тканей), а также от энергии используемого рентгеновского
излучения. Преимуществами КТ являются более высокое по сравнению с другими
методами визуализации разрешение по контрасту, возможность получить за короткое
время большое число поперечных проекций, что особенно ценно для локализации
области, из которой в дальнейшем берется проба ткани для биопсии, а также для
планирования хирургического вмешательства и последующей радиотерапии.
Ограничением метода КТ при исследованиях внутренних органов является отсутствие
возможности получать изображения от больших участков в продольных и фронтальных
проекциях. Этот недостаток можно преодолеть, используя в ходе исследования
специальные контрастные вещества.
УЛЬТРАЗВУКОВАЯ ТОМОГРАФИЯ (УЗИ,
СОНОГРАФИЯ)
Ультразвуковая томография - высокоинформативный
метод исследования; применяется для диагностики опухолей органов брюшной
полости (особенно печени, желчного пузыря, головки поджелудочной железы) и
забрюшинного пространства (почек, надпочечников), малого таза (мочевого пузыря,
матки и ее придатков: предстательной железы), щитовидной железы, мягких тканей
туловища и т.д. Во время исследования также может быть выполнена прицельная
пункция опухоли.
В последнее время с развитием современной
аппаратуры широкое распространение получила допплеросонография -
УЗИ-исследование с использованием эффекта Допплера. При этом стало возможным
наблюдать направление и скорость кровотока в сосудах органа или патологического
образования, что дает дополнительную ценную информацию о его строении.
Поскольку ультразвуковая томография сочетает в
себе высокую информативность с простотой и безопасностью исследования, она
широко используется как обязательный метод исследования при подозрении на рак
любых локализаций для исключения наличия метастазов во внутренние органы и в
первую очередь печень.
ЭНДОСКОПИЧЕСКИЙ МЕТОД

Эндоскопический метод исследования благодаря
достижениям современной электроники и оптики приобрел решающее значение для
ранней диагностики рака внутренних локализаций: желудка, пищевода, толстой и
прямой кишок, бронхов. Эндоскопические аппараты с волоконной оптикой
(гастроскопы, интестиноскопы, колоноскопы, бронхоскопы и др.) дают возможность
тщательно осмотреть всю слизистую оболочку внутренних органов, произвести
цитологическое исследование, а при подозрении - взять кусочек ткани для
гистологического исследования.
Эндоскопически можно осмотреть не только
полостные органы, но и естественные полости нашего тела - грудную (плевральную)
полость, брюшную, полости суставов, средостение и др. Осмотр плевральной
полости (торакосткопия) и брюшной (лапароскопия) применяются для внешнего
осмотра внешней поверхности внутренних органов.
ЛАБОРАТОРНЫЕ ИССЛЕДОВАНИЯ
Биохимические методы исследования дают полезную
информацию при обследовании онкологических больных. Хотя специфических
биохимических изменений в организме онкологических больных не установлено, при
некоторых опухолях выявляются некоторые характерные изменения. При
диссеминированном раке предстательный железы высокий уровень кислой фосфатазы
установлен у 75% больных (однако при локализованном раке - ниже 20%); при раке
поджелудочной железы - увеличение амилазы (25%), при раке печени - увеличение
печеночной фракции щелочной фосфатазы.
Большое практическое значение имеет обнаружение
высокого уровня к-фетопротеина при раке печени, яичка, различных
тератокарциномах; карциноэмбрионального антигена - при раке толстой кишки;
хорионического гонадотропина - при хорионэпителиоме матки и яичка.
Биохимические тесты могут обнаружить эндокринную
секрецию опухоли и объяснить многие клинические синдромы, обусловленные
тканеспецифической или паранеопластической эндокринной активностью. Выявляется
высокий уровень АКТГ, антидиуретического, паратиреоидного, тиреостимулирующего,
фолликулостимулирующего, лютеотропного, меланостимулирующего гормона,
эритропоэтина; кортизола, адреналина, норадреналина, инсулина, гастрина,
серотонина и т. д.
Биохимические методы позволяют выяснить
содержание рецепторов некоторых гормонов в опухолевой ткани (эстрадиол,
прогестерон, тестостврон, кортикостероиды). Такой анализ производят при биопсии
или удалении опухоли с быстрым замораживанием ткани; результат исследования полезен
при выработке лечебной тактики (например, при раке молочной железы и др.).
Достижения генетики и молекулярной биологии
последних десятилетий открывают в перспективе принципиально новые возможности в
диагностике и лечении злокачественных новообразований. Влияние конкретных
генетических нарушений, лежащих в основе опухолевого роста, позволило
обнаружить специфические молекулярные маркеры. На их основе разрабатываются
тесты ранней диагностики опухолей. В настоящее время сформировалось несколько
направлений использования молекулярных тестов в онкологии. Сами методы
диагностики еще должны пройти клинические испытания.
ЦИТО- ГИСТОЛОГИЧЕСКИЕ МЕТОДЫ
Цитологический метод
исследования получил заслуженное признание и распространение. Простота и
доступность его использования в поликлинических учреждениях, а главное -
достоверность позволяют во многих случаях распознавать ранние формы
злокачественного процесса. Впервые он был применен при диагностике рака шейки
матки. В мазках со стенок влагалища были обнаружены раковые клетки. В настоящее
время цитологический метод широко применяется при исследовании мокроты больных
с подозрением на рак бронхов, легких, выделений из соска молочной железы и
пунктата из опухоли, которые дают возможность более рано поставить диагноз рака
молочной железы. Исследование промывных вод желудка, мочи помогает в
установлении более точного диагноза. При подозрении на рак языка, нижней губы,
кожи диагноз может быть поставлен в самой ранней стадии при использовании
цитологического исследования отпечатков изъязвленного места.
Биопсия
- иссечение или скусывание кусочка опухоли или подозрительной на опухоль ткани
для гистологического исследования. Она бывает тотальной, когда весь опухолевый
узел или подозрительный на метастаз лимфатический узел удаляется целиком. Если
для исследования, иссекается лишь участок опухоли или подозрительной на опухоль
ткани - это инцизионная биопсия. Биопсию впервые в мире произвел в 1875 г.
основоположник патологической анатомии в России М. М. Руднев. Широкое
применение биопсия нашла в онкологических учреждениях, как один из достоверных
диагностических методов. Биопсия широко используется в поликлинических
учреждениях при эндоскопических исследованиях прямой и толстой кишок, шейки матки
и других органов. Полученный при этом материал передается в
патологоанатомическое отделение или используется (для срочного гистологического
исследования), или погружается в фиксирующую жидкость, если биопсийный материал
направляется через некоторое время. Если материал для гистологического
исследования получают с помощью специальной или обычной инъекционной иглы,
биопсия называется пункционной. В онкологических кабинетах и отделениях
поликлиник пункционная биопсия производится обычно тонкой инъекционной иглой.
Одновременно из полученного путем аспирации материала приготовляются 1-2 и
более цитологических мазков, которые направляются в клиническую лабораторию к
цитологу.
При подозрении на меланому, на озлокачествление
пигментного пятна или пигментной бородавки биопсия, как правило,
противопоказана.
НОВЕЙШИЕ МЕТОДЫ ДИАГНОСТИКИ С
ИСПОЛЬЗОВАНИЕМ СОВРЕМЕННЫХ ДОСТИЖЕНИЙ НАУКИ В ОБЛАСТИ ЛУЧЕВОЙ, МАГНИТНОЙ И
ЯДЕРНОЙ ФИЗИКИ
Радиоизотопная диагностика.
В онкологической практике применяется метод сканирования органов при подозрении
их на опухолевое поражение (первичное или метастатическое). Метод контактной
бета-радиометрии используется в диагностике меланом кожи, при поверхностно
расположенных опухолях молочной железы, при болезни Педжета.
Радионуклидные методы.
Радионуклидные методы весьма перспективны (имеется в виду создание
опухолеспецифических меченых антител). В настоящее время для диагностики
применяют сцинтиграфию костей скелета, мозга, легких; для характеристики функционального
состояния - сцинтиграфию почек, печени.
Радиоиммунологическое исследование
основано на анализе содержания моноклональных антител в исследуемых тканях,
позволяет выявлять многие виды опухолей на ранних этапах развития процесса,
когда размеры опухолей малы. Тесты на обнаружение антител, специфичных для
определенного вида опухолей, позволяют наиболее эффективно решать проблему
низкого разрешения по контрасту между тканями сходной плотности, характерного
для обычных рентген-исследований.
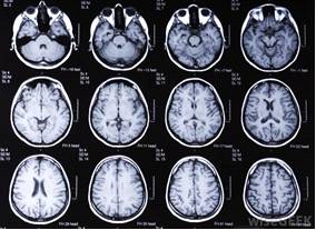
Магнитно-резонансная томография
(МРТ) - это метод получения изображений,
индуцированных сигналом ядерного магнитного резонанса. Принципиальным отличием
МРТ от КТ является то, что при МРТ измеряемой величиной является
намагниченность ядер определенного типа, находящихся в выделенном элементе
объема, в то время как при КТ - коэффициент поглощения рентгеновского излучения
различными биологическими тканями. Клиническое применение метода МРТ
заключается в изучении пространственного распределения ядер водорода, фосфора и
некоторых других элементов в теле человека. Основной величиной, регистрируемой
в МР-исследовании, является отклик магнитных ядер на воздействие переменного
магнитного поля, который зависит от плотности ядер и других параметров,
специфичных для каждого участка тела.
Преимущества МРТ: метод позволяет достигать
исключительно высокого контрастирования тканей, получать в ходе одного
исследования изображение во всех анатомических проекциях, изучать динамические
процессы, связанные с движением биологических жидкостей (крови, ликвора, мочи,
желчи), а также, благодаря применению контрастных веществ, с высокой точностью
различать перитуморальный отек и собственно опухоль. К недостаткам МРТ следует
отнести довольно высокую (не только в Украине, но и во всем мире) стоимость
исследования, а также невозможность его проведения при наличии у пациента
ферромагнитных имплантатов.
ЯМР-спектроскопия in vivo.
История ядерного магнитного резонанса (ЯМР) началась с открытия в начале 40-х
годов прошлого века фундаментального физического явления - магнитного
резонанса. На протяжении десятилетий многие аспекты его развития были связаны с
исследованием свойств и структуры различных химических веществ.
Совершенствование техники исследования расширяло круг решаемых с применением
ЯМР задач и позволяло исследовать все более сложные объекты, в частности
структуру биомолекул и их функции в организме на уровне клеток.
Получаемая in vivo биохимическая информация,
которая характеризует уровень энергообеспечения клеток и особенности
метаболизма в выделенном участке любой биологической ткани, позволяет онкологу
получить весьма ценные сведения (дополняющие данные МРТ-исследования) о наличии
и типе опухоли, степени ее злокачественности и сохранности органов и систем.
Особенно значима метаболическая информация, получаемая при динамическом
исследовании пациентов с онкопатологией: она дает возможность поэтапно
оценивать эффективность лечения, подбирая дозу препарата или лучевого
воздействия, фиксируя мгновенные либо отдаленные реакции на проводимую терапию.
Среди множества клинических приложений метода
МРС наибольшее число относится к исследованию пациентов с опухолями головного
мозга.
Позитронная эмиссионная томография
(ПЭТ) является исключительно эффективным методом клинических
исследований пациентов с онкопатологией; его широкое распространение в
последнее десятилетие связано прежде всего с разработкой и техническим
усовершенствованием приборов, предназначенных для исследования всего тела. ПЭТ
позволяет получать уникальную информацию о метаболической активности опухолей и
изменениях метаболизма, связанных с проводимой терапией. По скорости и
интенсивности накопления изотопомеченных метаболитов или специальных
лекарственных препаратов можно судить о биологических особенностях опухолевой
ткани по сравнению с тканью интактной, а также - что особенно ценно для
онкологии - оценивать эффективность лечения и составлять прогноз дальнейшего
течения процесса.
Термография
Это создание с помощью специального аппарата,
чувствительного к инфракрасному (тепловому) излучению, изображения тела
человека, где разными цветами отображаются участки с разной температурой кожи.
Термографическое исследование молочных желез позволяет диагностировать раковое
поражение у 80-87 % исследуемых. Сочетание термографического исследования с
рентгенологическим повышает точность диагностики этой локализации до 99 %.
Термографическое исследование эффективно при диагностике рака щитовидной
железы, при меланоме кожи.
ЗАКЛЮЧЕНИЕ
Разработка быстрых методов лабораторной
диагностики, в том числе иммунологических, создание новых контрастных веществ
для КТ и МРТ и новых препаратов и методик для ПЭТ, однофотонной эмиссионной
томографии и in vivo, МРС - это новый этап развития методов диагностики и
лечения онкозаболеваний. Благодаря совершенствованию методов диагностики,
направленных на выявление опухоли и изучение изменений метаболических процессов
в организме под влиянием опухоли, сокращается время исследования и упрощаются
диагностические процедуры, которые удается проводить амбулаторно. Применение
современных методов диагностики не уменьшает ценности гистологических
исследований. Только анализ всей совокупности данных, полученных с
использованием разнообразных методов диагностики, способствует правильной
интерпретации результатов исследований и эффективному лечению.
Ранняя качественная диагностика - залог
предотвращения и эффективного лечения всех онкологических заболеваний.
ИСПОЛЬЗУЕМАЯ ЛИТЕРАТУРА
1. ОНКОЛОГИЯ.
НАЦИОНАЛЬНОЕ РУКОВОДСТВО. од ред. М.И. Давыдова, В.И. Чиссова, 2013 [Издательская
группа "ГЭОТАР-Медиа"]
. КЛИНИЧЕСКИЕ
РЕКОМЕНДАЦИИ. ОНКОЛОГИЯ. Под редакцией В.И. Чиссова. 2010
. КЛИНИЧЕСКАЯ
ОНКОЛОГИЯ - Блохин Н.Н. - Выдержки 2008
. АКТИВНОЕ
ВЫЯВЛЕНИЕ ЗЛОКАЧЕСТВЕННЫХ НОВООБРАЗОВАНИЙ КОЖИ Денисов Л.Е., Курдина М.И.,
Потекаев Н.С., Володин В.Д