Дослідження динаміки вроджених вад у новонароджених за даними Івано-Франківського обласного перинатального центру
Дипломна
робота
Дослідження
динаміки вроджених вад у новонароджених за даними Івано-Франківського обласного
перинатального центру
ЗМІСТ
Вступ
Розділ
1. Загальний огляд
.1
Народжуваність як основний показник демографічної ситуації в регіоні
.2
Вроджені патології у немовлят
Розділ
2. Матеріали та методи
Висновки
Список
джерел
ВСТУП
За даними
Всесвітньої
організації
охорони
здоров’я
2,5% всіх
новонароджених
мають
різноманітні
вади
розвитку;
1,5% з
них
обумовлені
дією
шкідливих
екзогенних
факторів
під
час
вагітності,
решта
мають
переважно
генетичну
природу.
Близько
40-50% ранньої смертності новонароджених (перинатальної) та інвалідності з
дитинства також обумовлені спадковими факторами. Попередити частину ВВР а також
деякі генетичні хвороби можна завдяки розвитку перинатальної діагностики плоду
та різноманітних генетичних досліджень, які пропонують центри планування сім’ї.
У практичному плані перинатальна діагностика -
це комплекс методів, направлених на діагностику морфологічних, структурних,
функціональних чи молекулярних порушень розвитку, що проявляються у вигляді
ізольованих або множинних вроджених вад, дизрупцій, деформацій, недорозвинення,
хромосомних чи моногенних хвороб, у вадах чи дисфункціях життєво важливих
систем органів і тканин, які призводять до важких, нерідко смертельних хвороб у
постнатальному періоді.
Завдяки діагностуванню багатьох захворювань
внутріутробно у дітей підвищились шанси вижити, адже деякі вади можна усунути
ще до народження за допомогою медикаментозного лікування або хірургічного
втручання. Якщо лікарі проінформовані про внутріутробний стан дитини,
наприклад, що у дитини є вада серця і т.п., вони можуть усунути її одразу після
народження немовляти. Важливо також, що батьки завчасно попереджені про стан
їхньої ще ненародженої дитини, та можливі наслідки.
Тема діагностики та лікування ВВР у немовлят
дуже актуальна, адже це важливий фактор, який підвищує рівень народжуваності та
запобігає різкому погіршенню демографічної ситуації в Івано-Франківській
області та Україні загалом.
1. ЗАГАЛЬНИЙ ОГЛЯД
.1 Народжуваність як основний показник
демографічної ситуації
До 60-70х років ХІХ століття українські землі
характеризувалися традиційним типом народжуваності, яка була надзвичайно
високою. У 1859-1863 вона складала приблизно 5.0% (50 народжень на 1000 осіб).
В цей же час народжуваність у Європейський державах була значно меншою - 40 в
Австрії та Прусії, 35-36 в Італії та Великобританії, 32-33 в Швеції та Норвегії
і тільки 27 у Франції.

Економічне зростання та швидка
урбанізація наприкінці XIX ст призводили до поступового зменшення
народжуваності, хоча абсолютна кількість народжень постійно зростала. З 1860 по
1913 кількість народжень збільшилась більше ніж вдвічі. У 1906 році на
українських землях народилося приблизно 1.460 тис. дітей. А)
Кількість народжень
Таблиця 3 В)
|
Рік
|
1913
|
1925
|
|
1950
|
1960
|
1970
|
1980
|
1990
|
1995
|
2000
|
2005
|
2010
|
|
Народжених,
тис
|
~1500.0
|
~1400.0
|
|
841.4
|
870.6
|
716.3
|
740.6
|
657.2
|
492.9
|
385.1
|
428.3
|
512.5
|
З 2001 року народжуваність почала збільшуватися,
через збільшення кількості жінок дітородного віку. За 2001-2010 кількість
народжень збільшилась на 36% і перевищила рівень 1995 року. На 34% збільшився і
коефіцієнт фертильності, досягнувши у 2008 році майже 1.5 народжених дитини на
1 жінку дітородного віку. А)
Таблиця 4 В)
|
Кількість
дітей, народжених жінками у віці 15-49 років в залежності від рівня освіти
|
|
Населення
|
Середня
кількість народжених дітей
|
повна
вища
|
базова
вища
|
неповна
вища
|
повна
загальна середня
|
базова
загальна середня
|
початкова
загальна
|
без
початкової освіти
|
|
|
Міське
|
1,7
|
1,5
|
1,4
|
1,7
|
1,7
|
2,0
|
2,2
|
2,4
|
|
|
Сільське
|
2,3
|
1,9
|
1,7
|
2,0
|
2,2
|
2,5
|
2,7
|
2,8
|
|
|
Все
|
1,9
|
1,6
|
1,4
|
1,7
|
1,9
|
2,2
|
2,5
|
2,6
|
|
|
|
|
|
|
|
|
|
|
|
|
Найвища народжуваність спостерігається у
західних та південних областях, особливо у Волинській, Рівненській та
Закарпатській, чий рівень народжуваності - 1.8-1.9 дітей на 1 жінку у 2008 р.
близький до рівня відтворення населення. Найнижча народжуваність традиційно
характерно для областей Донбасу. А)
У 2008-2009 роках сумарний коефіцієнт
народжуваності в Україні склав 1,46 дітей на 1 жінку. Традиційно він є вищим у
сільського населення (1,8 дітей проти 1,3 у міського). Порівняно з 1988-1989
роками коефіцієнт фертильності скоротився більш ніж на 20% - з 1,9 дітей.
Найбільше скорочення (близько 30%) було характерне для міського населення. У
сільського населення сумарний коефіцієнт народжуваності скоротився приблизно на
20%. А)
Найвищий сумарний коефіцієнт народжуваності
спостерігається у сільського населення Рівненської (2.5 дітей), Волинської
(2.2), Одеської (2.0) областей. Найнижчий рівень народжуваності (1.2)
характерний для міського населення Луганської, Сумської, Харківської,
Полтавської, Черкаської, Чернівецької областей.
Середній коефіцієнт народжуваності
<#"816094.files/image004.gif">
Темпи зростання народжуваності у
2009 році суттєво скоротилися. У 2008 році народжуваність зросла на 8.0%
порівняно з 2007 роком, а за 2009 - тільки на 0.03%, що пов'язано переважно з
наслідками економічної кризи. За січень-лютий 2010 року кількість народжених
зменшилась ще на 5.4%, порівняно з аналогічним періодом 2009 року. Найбільше
вона скоротилась у східних областях - Луганській на 9%, Донецькій, Запорізькій
на 8%, Сумській, Дніпропетровській на 7%. А)
.2 Вроджені патології у немовлят
Комбінування таких слів, як
«вроджена вада» означає, що в дитини наявне порушення розвитку якого-небудь
органу, якесь відхилення від норми, що з’явилося ще під час розвитку, в лоні
своєї матері. Нажаль не усі процеси, що є складними та багатоступінчатими,
розвивались в нормальній послідовності, не усі нормально завершились, на
якомусь етапі розвитку відбувся злам програми розвитку. Як правило це
відбувається на ранніх термінах вагітності. Є більш правильним говорити про
вроджені захворювання чи порушення нормального розвитку, ніж про ваду. б)
За даними Всесвітньої організації
охорони здоров’я 2,5% всіх новонароджених мають різноманітні вади розвитку;
1,5% з них обумовлені дією шкідливих екзогенних факторів під час вагітності,
решта мають переважно генетичну природу. Близько 40-50% ранньої смертності
новонароджених (перинатальної) та інвалідності з дитинства також обумовлені
спадковими факторами.
Вроджені вади серця
Світова статистика показує, що
частота народження дітей з вродженими вадами серця становить 6-8 на 1000
пологів. Але, якщо додати сюди захворювання серця, які не проявляються в
дитинстві, а залишаються непоміченими протягом багатьох років життя, але при
цьому мають вроджене походження (наприклад, пролапс мітрального клапану,
двостулковий клапан аорти, різноманітні порушення ритму), то це число значне
зросте.б)
Вади серця з'являються на ранній
стадії вагітності матері, коли починає формуватися серце дитини. Вони можуть
зачіпати любі відділи чи частини серця і впливати на їх роботу. Серед усіх
вроджених вад розвитку найчастіше зустрічаються вади серця, вони є основною
причиною смертності немовлят. А). Вроджені вади серця (ВВС) належать до
найпоширеніших аномалій і трапляються приблизно у 0,8% живих новонароджених.
Вони можуть бути ізольованими чи входити у групу множинних аномалій. в) Дефект
може бути невеликий і дитина залишається здоровою на протязі багатьох років
життя, він може бути настільки сильним, що немовля знаходиться в небезпеці
одразу ж після народження. А) У більшості пацієнтів важкі аномалії проявляються
протягом першого року життя, але частіше відразу в перший місяць. В)
) Симптоми
Досить часто діти з вадами серця не
мають жодних симптомів хвороби. В цьому випадку вона може бути діагностовано
лікарем шляхом прослуховування, коли він чує незвичні звуки в серці (вони
називаються шумами серця). Треба пам'ятати, що і нормальне серце також може
мати шуми, які називаються "функціональними". Лікар запропонує тест
для визначення причини таких шумів. є)
Важке та часте дихання .
Покашлювання. Найчастіше ці ознаки помітні, коли дитина активна, наприклад, під
час кормління, плачу чи ігор можна помітити, що дитина починає дихати частіше
та важче ніж в стані спокою. Б)
Уповільнений приріст ваги та
розвиток дитини. Якщо більша частина енергії дитини витрачається на
перекачування крові ураженим серцем по організму, то на харчування і розвиток
інших систем залишається недостатньо енергетичних ресурсів. Дитина може мати
меншу вагу, зріст, повільніше ніж очікується починає стояти, ходити, вимовляти
слова тощо. В,є)
Збільшення ваги, одутлуватість,
набряки шкіри. Частіше спостерігається навколо очей, на руках, ногах і більш
помітно коли дитина прокидається. Збільшення ваги та набряклість є наслідком
затримки рідини в організмі внаслідок поганої циркуляції крові ослабленим
серцем дитини.
Надмірна пітливість. У дитини вологе
волосся та холодна і волога шкіра, особливо частіше це спостерігається після
фізичного навантаження. б)
Втомлюваність та неспокій. Дитина
швидко втомлюється і більшу частину свого часу бажає спати, втомлюється під час
кормління і цей процес триває довше ніж у інших дітей в цьому ж віці. Крім того
можна помітити, що дитина проявляє не зрозумілий неспокій, часто плаче.
Порушення харчування. Частою ознакою
є поганий апетит дитини, вона може погано брати «CensureBlock» в матері, не
активно сце молоко, швидко втомлюється, часто переривається при цьому, процес
годування затягується надовго, дитина може часто зригувати. А,в)
Зменшення сечовиділення. Уважні
батьки можуть бачити, що в дитини зменшилась кількість сечі. Що як правило
відмічається по зменшенні кількості мокрих пеленок. Сеча дитини може бути
занадто темна або мати сильно виражений запах. Б)
Зміна кольору шкірних покривів. В
залежності від виду вродженої вади серця шкіра немовляти може мати блідий або
синюшний відтінок. Особливо це чітко виражено при фізичних навантаженнях. Проте
синюшність може спостерігатись лише навколо очей, губ дитини чи на кінчиках
пальців, вух. А,б)
) Причини виникнення
Більшості вроджених вад серця
сьогодні запобігти неможливо, однак жінка може прийняти деякі міри, які повинні
знизити ризик народження дитини з цими вадами. До початку вагітності жінка
повинна перевірити, чи є в неї імунитет до корі, і провести вакцинацію, якщо
його немає. Вагітним треба уникати алкоголю і наркотиків. Жінки з такими
хронічними хворобами, як діабет, припадки і фенілкетонурія, повинні порадитися
з лікарем і провести курс лікування або дієтотерапії до моменту зачаття. А,в,є)
В більшості випадків вчені не
знають, що саме заставляє серце дитини розвиватися ненормально. Очевидно, тут
відіграють роль як генетичні, так і зовнішні фактори (навколишнє середовище).
Проте багато з них вже відомі. Жінки, що мали контакт з хворими на кір
(краснуху) під час перших трьох місяців вагітності, мають високий ризик
народити дитину з вродженою вадою серця. А,є) Деякі ліки теж підвищують такий
ризик, наприклад, акутан (використовується в лікуванні вугрів), літій
(використовується в лікуванні деяких психічних хвороб) і, можливо, протисудомні
препарати. Вживання алкоголю під час вагітності також може викликати вади
серця, діти з фетальним алкогольним синдромом (ФАС) часто їхмають. Аналогічно
діє на плід і вживання кокаїну вагітними жінками. А,б,є)
Лікар-генетик може вирахувати
приблизні шанси народження другої дитини з вадами серця у тих батьків, які вже
мали раніше таку дитину. Звичайно, такі шанси є невеликі. В деяких випадках,
якщо вада серця є частиною іншої вродженої вади, шанси повторення хвороби у
другої дитини зростають. Батьки, які самі мають вади серця, повинні знати, що
шанси народити хвору дитину значно підвищуються. В, є)
Певні хронічні хвороби матері також
можуть викликати вади серця у їх дітей. ВВС у новонароджених від матерів з
серцевими вадами зустрічається у 1,27 % (1,3-2,0 %), що у десять разів частіше,
ніж у середньому в популяції. Г, ж) Факторами ризику народження дитини з ВВС є:
вік матері, ендокринні порушення у батьків, токсикоз І половини та загроза
переривання вагітності, мертвонародження в анамнезі, існування інших дітей з
вродженими вадами розвитку, прийом жінкою ендокринних препаратів для зберігання
вагітності. Г,д,ж) У жінок з діабетом частіше народжуються діти з серцевими
проблемами, однак ризик можна знизити або й звести до нуля відповідним
контролем стану матері до настання вагітності. Жінки з фенілкетонурією
(вродженим станом, при якому змінюються біохімічні процеси в організмі) теж
можуть народити дитину з хвори мсерцем, але і цього можна уникнути,
застосувавши спеціальну дієту до початку вагітності. Доведено, що вроджені вади
серця частіше з'являються в тих сім'ях, де вже були такі випадки раніше. А,в)
Частота вроджених вад серця у п'ять разів вища у дітей, братів чи сестер тих
осіб, які самі мають цю патологію. Така сімейна схильність до захворювань
серця, ймовірно, буде зростати в міру того, як багато пацієнтів з ВВС
доживатимуть до дітородного віку завдяки досягненням інвазивних методик та
хірургії. В) Це означає,що і генетика грає певну роль в їх виникненні, в
крайньому випадку в цих сім'ях.Вади серця можуть бути частиною інших вроджених
вад. Так, більше третини дітей з синдромом Дауна мають і серцеві проблеми. А)
) Діагностика
Важливим фактором, який впливає на
виживаність дітей з вродженими вадами серця, є рання діагностика. Виділяють два
типи діагностики ВВС: неінвазивні та інвазивні.
До неінвазивних методів відносять
електрокардіографію, рентгенологічне обстеження, ультразвукове дослідження,
спіральна комп’ютерна томографія, магнітно-резонансне дослідження. Кожний з них
необхідний, і кожний - доповнює інші. Б)
Електрокардіографія (ЭКГ) - найбільш
традиційний і «старий» метод обстеження. Він дуже інформативний, але
недостатній для точного діагнозу: ЭКГ дає можливість сказати, які відділи серця
перевантажені й наскільки, точно визначає порушення ритму серця і їх
походження, але чому це відбувається - не скаже. А,б,є)
Рентгеноскопія й рентгенографія -
також традиційний метод дослідження. Інформація отримана від нього велика, але
й одночасно - непряма. Він дає можливість бачити й оцінити не тільки розміри
серця, його камер, положення серця, але й стан судин легенів (переповнені вони
або збіднені, збільшені чи ні). Широко існує думка, що дослідження небезпечне
через «опромінення». На сучасному устаткуванні дози радіації, які одержує
дитина, настільки малі, що ніколи й ніяк не можуть позначитися на розвитку
дитини. Г,е)
Эхокадіографія (УЗД) - сьогодні
найважливіший і інформативний метод дослідження, який дозволяє поставити точний
діагноз. Завдяки УЗД вперше в історії з'явилася пряма можливість побачити серце
дитини до пологів, а сучасні методи дозволяють діагностувати вроджену ваду
серця при вагітності усього в кілька тижнів. Насамперед помітні вади, при яких
будова серця різко порушена, тобто дуже важкі й складні для виправлення надалі.
Г,й)
У народженої дитини УЗД дозволяє
визначити наявність або відсутність структурних змін. Крім того, дає можливість
визначити тиск у порожнинах серця, різницю тиску між камерами, установити
величину й напрямок скидання крові, якщо він є, товщину стінок передсердь і
шлуночків. Й)
УЗД дає можливість спостерігати за
перебігом вади серця в динаміці - тобто бачити, що відбувається із серцем , як
воно реагує, у якому напрямку йдуть зміни - до поліпшення або, навпаки, до
погіршення. Іншими словами, воно може дати сигнал - чи треба активно
втручатися, щоб допомогти, і коли, щоб не було занадто пізно. І, якщо
врахувати, що метод цей - неінвазивний, абсолютно безпечний і може бути
повторений неодноразово й безболісно - то зрозуміло, що він став основою
сьогоднішньої діагностики. А, є,й)
Величезне значення при діагностиці
складних вроджених вад серця, а також різних поєднаних патологій в останні роки
стали такі методи як комп'ютерна томографія, ядерно-магнітний резонанс із
тривимірною реконструкцією зображення, радіонуклідні методи дослідження -
позитронно-емісійна томографія, сцинтіграфія міокарда й легень. Усі ці методи
дають лікарям можливість вже при неінвазивному дослідженні розглянути повністю
міжпередсердну або міжшлуночкову перетинки, папілярні м'язи шлуночків, як
виглядають стулки клапанів серця у ту або іншу фазу серцевого скорочення й
багато чого іншого. И, к)
Інвазивні методи дослідження це
зондування камер серця та ангіокардіографія
Суть цього дослідження полягає у
тому, що лікарю необхідно ввести тонку довгу трубочку-катетер у порожнини серця
дитини, щоб виміряти тиск у них «прямим» методом, а потім ввести в них
контрастну речовину.
Не так давно зондування й
ангіокардіографія були єдиним, останнім й вирішальним методами діагностики
вроджених вад серця. Сьогодні це не так. Єхокардіографія багато у чому вже
витиснула їх, хоча й повністю не замінила. З іншого боку, інвазивні методи в
багатьох ситуаціях стали із чисто діагностичних - лікувальними, і дозволяють
іноді уникнути значно більш травматичного хірургічного втручання. й)
Зондування відбуваються в спеціально
обладнаному окремому кабінеті, де міститься рентгенустановка. Заздалегідь
дитині вводять м'яке снодійне, щоб вона дрімала під час процедури. Сама
процедура - катетеризація серця - безболісна, але введення катетерів вимагає
пункції ( тобто проколу) шкірних покривів та судин. Через артерію й вену стегна
вводять у серце катетери, які виміряють тиск у порожнинах серця й беруть проби
крові з камер, щоб визначити її насичення киснем, а потім точно розрахувати
величину скидання крові. Після цього через установлені в серце катетери вводять
контрастну речовину й знімають цей момент на плівку. Перегляд і аналіз плівки
дозволяє встановити точний діагноз і скласти план подальших дій. Процедура
займає близько години. Й,л)
Нині фактично всі ВВС підлягають
паліативному та відновному втручанням із допустимими показниками летальності.
Ось чому правильне і своєчасне скерування хворої дитини є життєво важливим за
умови оптимальної тактики. В,к)
Сучасна медицина може виправити або,
в крайньому разі, допомогти хворим з вадами серця як ліками, так і хірургічним
втручанням.
Нижче наведені вади серця які
найчастіше діагностуються у немовлят:
. Вади зі скиданням ліворуч-праворуч
(«бліді вади»). Сюди відносять такі як відкрита артеріальна протока, дефекти
міжпередсерднї і міжшлуночкової перетинки, спільне передсердя, аномальний
дренаж легеневих вен, відкритий спільний атріовентрикулярний канал, дефекти
аорто- легеневої перетинки. Б)
. Вад з переважним скиданням
праворуч-ліворуч («сині вади»). Відносять тетраду Фалло, численні варіанти
транспозицій магістральних судин, аномалія Єбштейна, атрезія тристулкового
клапану, загальний артеріальний стовбур, варіанти єдиного шлуночка, синдром
гіпоплазії лівого серця, гіпоплазія правого шлуночка.
. Вади з перехресним скиданням
можуть включати всі три перераховані групи, якщо є ті або інші комбінації,
наприклад, атрівентрикулярний канал і тетрада Фалло, загальний артеріальний
стовбур. Б,в)
. Група вад з перешкодою кровотоку
включає коарктацію аорти, звуження або стеноз аортального клапана, стеноз
клапана легеневої артерії, стеноз мітрального клапану, стенози гілок легеневої
артерії.
. Вади клапанного апарата - це
окрема група, у яку включають тільки порушення розвитку атріовентрикулярних або
напівмісяцевих клапанів без комбінації з іншими внутрішнсерцевими порушеннями.
Сюди відносять пролапс (недостатність) мітрального та трикуспідального клапану
а також о стеноз і недостатність клапанів аорти й легеневої артерії. Ж,к,л)
. Вади вінцевих артерій включають
усі порушення їх нормального розвитку: їх аномальне відходження,
коронарно-серцеві сполучення.
. Кардіоміопатії або вроджені
порушення м'язового апарата шлуночків серця.
. Вроджені порушення ритму серця,
які не сполучаються ні з якими іншими вродженими вадами серця, а є єдиним
захворюванням. Б)
Структура ВВС дуже різноманітна, до
найбільш частих відносять дефект міжшлункової перетинки (40 %), дефект
міжпередсердної перетинки(14 %), транспозицію магістральних судин (5,7 %),
тетраду Фалло (6,2 %),відкриту аортальну протоку, гіпоплазію лівого шлуночка,
стеноз легеневої артерії. Ряд інших, таких як єдиний шлуночок, аномалія
Ебштейна та деякі інші зустрічаються досить рідко. Г,ж)
За винятком відкритої артеріальної
протоки у передчасно народжених дітей, частота випадків ВВС не змінилася за
останні п'ять десятиліть і є подібною в різних країнах. і,л,м)
Деякі ВВС можуть спонтанно зникати
(дефект міжшлункової перетинки), інші - легко коригуються, а великі структурні
дефекти або неоперабельні мають високий ризик при оперативному лікуванні,
наприклад,гіпопластичний синдром лівих відділів серця. Н)
ВВС складають 21-30 % від числа усіх
вроджених вад розвитку. При цьому ВВС можуть бути: основною причиною смерті;
фактором, що посилює перебіг основного захворювання; випадковою знахідкою на
аутопсії, яка не впливає на танатогенез. Й)
Лише 5-15 % хворих, яким не виконане
хірургічне втручання, доживають до старшого підліткового віку. О)
При природному перебігу вроджених
вад серцево-судинної системи 40 відсотків хворих помирає до року, причому
половина їх - на першому місяці життя. За своєчасної діагностики та
невідкладної хірургічної допомоги вони могли б жити і бути здоровими.
Досягнення сучасної дитячої кардіохірургії, за умови вчасно проведених
хірургічних корекцій, дають змогу врятувати 95% прооперованих. Вони можуть жити
повноцінним життям.
На сьогодні ВВС залишаються в
Україні однією з домінуючих причин дитячої смертності. За даними Міністерства
охорони здоров’я, всього на обліку перебуває близько 40 тисяч дітей з вродженою
серцево-судинною патологією віком до 14 років. В)
Вроджені вади органів сечостатевої
системи
Вади сечостатевої системи - одна з
найчисельніших груп вроджених аномалій, що включають: ураження нирок (органи,
що очищають кров та утворюють сечу), сечоводів (канали, що ведуть від нирок до
сечового міхура), сечового міхура (орган, в якому утримується сеча), уретри
(канал, через який сеча вивільняється з сечового міхура), а також жіночих та
чоловічих геніталій. П)
Згідно зі статистичними даними
протягом 2008 р. в Україні на обліку перебувало 13 022 дитини з ВВОСС (2,0 на 1
тис. дитячого населення) у віці до 14 років [2], щорічно виявляють 3600-3700
дітей з таким же діагнозом. Вроджені вади органів сечостатевої системи
зустрічаються у кожного десятого новонародженого і складають більшість
урологічних захворювань у дитячому віці. Вади верхніх сечових шляхів
спостерігають у 1/3 дітей, вади нижніх сечових шляхів - у 2/3 дітей. П) Деякі з
них є незначними (наприклад, подвоєння сечоводів, які виходять із однієї нирки
до сечового міхура). Діагностувати їх можна лише за допомогою
рентгенологічного, ультразвукового дослідження або при оперативному втручанні з
приводу пов'язаної, або непов’язаної із самою вадою проблемою. Інші ж можуть
спричинити такі ускладнення, як інфекції сечових шляхів, обструкцію, біль та
ниркову недостатність, тобто ВВОСС характеризуються розмаїттям клінічних форм і
відносною одноманітністю симптоматики. п, р)
) Симптоми
Вади органів сечостатевої системи
сприяють виникненню запалення нирок і сечового міхура, ознаки яких у більшості
випадків є першими симптомами вроджених вад і суттєвим фактором, що погіршує
загальний стан хворого. ВВОСШ нерідко супроводжуються різними видами розладів
сечовипускання і нетримання сечі, що викликає необхідність додаткового догляду
за дитиною, а в ряді випадків робить неможливим перебування хворої дитини в
колективі однолітків. П)
Симптоми, за наявності яких можна
запідозрити ВВОСС: періодичний біль у ділянці пупка, т.з. “безпричинна”
гіпертермія в межах 38-40 °С, що триває протягом 1-3 днів, лейкоцитурія,
розлади сечовипускання (енурез, імперативні позиви на сечовипускання).
Наявність хоча б одного з цих клінічних проявів є підставою для обов’язкового
застосування об’єктивних методів дослідження органів сечостатевої системи. Р,
с)
) Причини виникнення
Деякі вади та хвороби сечостатевої
системи успадковуються від батьків, які мають таку хворобу, або є носіями її
гену. Висока імовірність народження дитини з вадами органів сечостатевої
системи у сім’ях, де значній кількості осіб яким поставлено аналогічний
діагноз. Сім'я, в якій є дитина із такою вадою, обов’язково повинна
проконсультуватися у генетика. Фактори навколишнього середовища також
відіграють роль у формуванні органів сечостатевої системи. В групу ризику
потрапляють жінки, які працюють за несприятливих умов (наприклад підприємства
хімічної промисловості і т. п.), особливо якщо фактор діє на першому триместрі
вагітності. Значного впливу при формуванні органів сечостатевої системи можуть
завдати і шкідливі звички майбутньої матері. Однак, специфічні причини
більшості із аномалій невідомі. П,у, х)
Клінічні прояви ВВОСС зумовлені
різним ступенем і характером порушень уродинаміки. Визначення причин (органічна
чи функціональна обструкція) та рівнів локалізації цих патологічних змін на
шляху від нирки до зовнішнього отвору уретри стало основою сучасних принципів
діагностики та диференційованого патогенетичниго лікування різних клінічних
форм ВВОСС та їх ускладнень. [5]
) Діагностика
На противагу
органічно-обструктивному фактору, обррунтовано концепцію функціонального генезу
порушень уродинаміки на рівні сечовий міхур - уретра і введено клінічне поняття
детрузорно-сфінктерної дисенергії, що докорінно змінило підходи до лікування
[3, 8-10].
Скринінг-методом надранньої
діагностики ВВСШ є ультразвукове дослідження (УЗД) плода починаючи з 22-го
тижня вагітності. Зазначений метод в 4,3 % випадків виявляє різні вади розвитку
плода, серед яких 14,1 % становлять ВВОСС [4]. Пренатальна ехографія плода
дозволяє диференціювати два ступені тяжкості ВВОСС: а) несумісні з життям у
постнатальному періоді, б) ті, що підлягають корекції після народження дитини
[7]. УЗД вагітних, особливо з груп ризику (несприятливий триместр вагітності,
генетична схильність, шкідливі звички, професійна шкідливість), має стати
обов’язковою умовою спостереження за цим контингентом жінок.
Розпочинати слід з УЗД, під час
якого визначають цифрові параметри нирок і їх збиральної системи, сечоводів,
сечового міхура з визначенням кількості залишкової сечі. Аналізуючи зміни в
нирках, визначають наявність і ступінь розширення їх збиральної системи,
товщину шару паренхіми, наявність та ступінь розширення сечоводів, товщину
стінки сечового міхура. Ультразвукове дослідження проводиться двічі - до і
після сечовипускання. Метою УЗД є визначення структурних змін досліджуваних
органів. С, у)
Рентгенурологічні методи дослідження
дозволяють отримувати більш детальну інформацію про анатомо-функціональний стан
нирок і сечових шляхів та ідентифікувати клінічну форму вади. Рентгенологічні
дослідження включають проведення видільної урографії при наповненому та
спорожненому сечовому міхурі та мікційну цистоуретерографію. При виконанні
видільної урографії для визначення впливу сечового міхура на уродинаміку
верхніх сечових шляхів в сечівник вводять і затискають уретральний катетер і
через одну годину його відкривють. Якщо після спорожнення сечового міхура на
контрольній видільній урограмі спостерігається адекватне звільнення збиральної
системи нирки і сечовода від контрастної речовини, досліджування закінчують. У
випадках затримки контрастної речовини в збиральній системі нирок і нижній
третині сечовода до одної години при спорожненому сечовому міхурі, дитині
внутрішньовенно вводять лазикс з розрахунку 0,8 мг/кг маси тіла і виконують
контрольний знімок через 10 хвилин. Р,т, ф)
Найчастіше діагностуються наступні
вади органів сечостатевої системи:
Агенезія нирок або ренальна агенезія
- це вроджена відсутність однієї або обох нирок. Приблизно 1 на 4000 малюків
народжуються без жодної нирки (двобічна чи білатеральна агенезія нирок).
Оскільки нирки - життєво важливі органи, відсутність їх несумісна із життям.
Тому третина таких дітей народжуються мертвими, або ж помирають в перші дні
життя. Діти із двобічною агенезією нирок мають зазвичай й інші вади розвитку
серця та легень. Приблизно 1 із 550 немовлят народжуються із однобічною
агенезією нирок. Такі діти можуть жити здоровим життя, хоча для них існує ризик
мати ниркові інфекції, каміння у нирках, високий кров'яний тиск та ниркову
недостатність. С, х)
Гідронефроз - це розширення миски
однієї або обох нирок через накопичення в них сечі при перешкоді вільному її
відтоку. Виражений гідронефроз діагностується у 1 із 500 вагітностей під час
ультразвукового обстеження. Причиною порушеного відтоку можуть бути задні
уретральні клапани (вони знаходяться у місці переходу сечового міхура в
уретру). Із переповненого сечового міхура плоду сеча повертається у зворотньому
напрямку - до нирок, тисне на них, серйозно пошкоджуючи їх. Якщо гідронефроз
діагностується пренатально, лікар проводить кілька контрольних ультразвукових
досліджень, щоб перевірити чи ситуація погіршується. Іноді ж гідронефроз може
серйозно загрожувати життю плода. р,с,х)
Полікістоз нирок (ПН) - це спадкове
захворювання, що проявляється утворенням множинних кіст у нирках, порушенням
функції нирок. Існують дві форми цього захворювання: аутосомно-домінантна та
аутосомно-рецесивна. Крім ниркової недостатності ПН може ускладнюватись нирковими
інфекціями, болем, підвищеним кров'яним тиском та іншими ускладненнями.
Аутосомно-домінантна форма ПН - одна з найчастіших генетичних захворювань,
частота якого приблизно 1 на 200-1000. Здебільшого пацієнти мають сімейну
історію хвороби, тобто успадковану від одного з батьків, але у чверті пацієнтів
полікістоз нирок зустрічається вперше. Аутосомно-рецесивний полікістоз нирок
зустрічається порівняно рідко, але кісти на нирках з’являються ще до народження
дитини. Приблизно 1 із 10000-40000 малюків народжується з цією патологією.
П,р,т)
Екстрофія сечового міхура - найважча
вада сечової системи: відсутність передньої стінки живота, передньої та бокових
стінок сечового міхура, сфінктера уретри і самої уретри, викривлення статевого
члена. До того ж, шкіра нижньої частини живота не є повністю сформованою,
розширені проміжки між тазовими кістками. Візуально визначається сечоміхурова
пластинка розміром 3-4 см в надлобковій ділянці, з вічок сечоводів постійно
виділяється сеча, що призводить до виникнення дерматиту навколо зазначеної
пластинки. У, х) Майже завжди з екстрофією сечового міхура поєднуються аномалії
геніталій. Екстрофією сечового міхура, що зустрічається у 1 із 30000
новонароджених, хлопчики страждають у 5 разів частіше, ніж дівчатка. П, с, у)
Епіспадія поєднує в собі вади уретри
та геніталій. Часто вона діагностується разом із екстрофією сечового міхура,
але може розвинутись і самостійно. У хлопчиків уретра, як правило, коротка та
поділена навпіл із отвором на верхній поверхні пеніса. Пеніс в таких випадках
теж короткий та сплощений. У дівчаток клітор може бути роздвоєний, уретральний
отвір розміщений аномально. Приблизно половина дітей із епіспадією мають
проблеми із сечопуском (енурез). П,у)
Гіпоспадія - це досить поширена вада
пенісу, що вражає приблизно 1% із усіх новонароджених чоловічої статі. Уретра
(сечовивідний канал) не доходить до верхівки пенісу, а навпаки - уретральний
отвір знаходиться будь-де на поверхні статевого члена. Гіпоспадію, як правило,
діагностують при огляді новонародженого. Ураженим хлопчикам не слід проводити
обрізання крайньої плоті, оскільки вона може знадобитись при хірургічному
виправленні дефекту. У, х) За статистичними даними, гіпоспадія голівки складає
14,3 %, гіпоспадія статевого члена - 42,7 %, члено-калиткова - 18,5 %,
калиткова - 21,4 %, промежинна - 3,1 %. Найбільша деформація статевого члена
спостерігається при члено-калитковій, калитковій і промежинній гіпоспадії. п)
Мегауретер - термін, що узагальнює
різні за походженням варіанти вродженого розширення сечовода по всій довжині
або в його дистальному відділі. Морфологічною основою всіх варіантів вродженого
мегауретера у дітей є зменшення кількості гладком’язових елементів і водночас
збільшення кількості сполучнотканинних структур сечовода. Існують різні за
походженням клінічні варіанти обструктивного мегауретера у дітей:
) I тип мегауретера є наслідком
органічного стенозу дистального відділу сечовода, і в патогенезі обструкції
функціональний стан сечового міхура може мати другорядне значення.
) II тип мегауретера -
функціонально-обструктивний, є наслідком неповної адаптації сечовода до об’єму
сечі, що проходить через сечоміхурово-сечовідний сегмент за умови відсутності
його органічного стенозу. П,т)
Міхурово-сечовідний рефлюкс (МСР) -
патологічний стан міхурово-сечовідного сегмента, зумовлений порушенням
замикального механізму цього відділу сечових шляхів, внаслідок чого певна
кількість сечі, що транспортується по сечоводу в сечовий міхур, під впливом
внутрішньоміхурового тиску постійно або періодично повертається у верхні сечові
шляхи в напрямку нирки. Явища уростазу поступово поширюються на чашково-мискову
систему, викликають підвищення внутрішньониркового тиску, призводять до
розвитку гідронефротичної трансформації. п,с)
Критеріями розподілу МСР за
ступенями є висота заповнення рентгеноконтрастною речовиною сечовода і
чашково-мискової системи нирки та їх дилатація. Найбільшого розповсюдження
серед клініцистів набула класифікація P. Heikel, K. Parkkulainen (1959), згідно
з якою МСР поділяють на 5 ступенів:- контрастування тазового відділу сечовода
без його розширення;- сечовід контрастується по всій довжині, не розширений;-
контрастування сечовода і чашково-мискової системи без їх розширення;-
розширення сечовода і чашково-мискової системи;- значне розширення з коліноподібним
вигином сечовода і чашково-мискової системи. п,р,т)
Малюки, у яких діагностують
невизначені геніталії, мають зовнішні статеві органи, які не схожі ні на
чоловічі, ні на жіночі, або мають деякі ознаки і тих і інших. Наприклад, може
народитися дівчинка, клітор якої настільки великий, що нагадує пеніс, або
хлопчик може мати яєчка разом із зовнішніми геніталіями жіночого типу.
Уражається приблизно 1 із 1000-2000 новонароджених. Найчастіше, причиною цього
є спадкове захворювання, що називається вроджена гіперплазія наднирників (ВГН).
Іншою причиною інтерсексуалізму є синдром нечутливості до андрогенів. Уражені
немовлята мають чоловічий набір хромосом (XY), але, через генетичні порушення,
їхні клітини чутливі до андрогенів - чоловічих гормонів. Ряд хромосомних
аномалій теж є причиною невизначених геніталій. Так, для гонадального
дизгенезу, характерний чоловічий набір хромосом (XY), зовнішні та внутрішні
жіночі геніталії, або невизначені геніталії та деякі поєднання чоловічих та
жіночих внутрішніх статевих органів. Це є досить важко і для дитини і для сім’ї
в цілому, тому необхідні консультації психолога. П,с)
Гідроцефалія
Гідроцефалія - це стан, зумовлений
дисбалансом між секрецією та резорбцією спинномозкової рідини та порушенням
ліквородинаміки, що веде до аномального накопичення спинномозкової рідини у
лікворних просторах з наступним їх розширенням та розвитком патологічних змін у
самому головному мозку, підоболонкових просторах, кістках черепа. Ц,ч) Відома
як «водянка головного мозку», гідроцефалія іноді може бути вродженою, хоча може
виникнути і пізніше. Частота 3-4 випадки на1000 новонароджених. Перспективи для
хворих з гідроцефалію залежать від терміну виявлення і від наявності супутніх
захворювань. Ц,ш) Розрізняють наступні форми гідроцефалії: відкриту та закриту,
зовнішню та внутрішню; за перебігом - гостру, хронічну, компенсовану та
декомпенсовану. Ь)
) Симптоми
• Незвичайно велика голова.
Шви черепа у малюків ще не заросли, і розмір голови збільшується тому, що
кістки черепа зсередини розсовує зростаючий головний мозок.
• Значне зростання окружності
голови. Існує графік зростання окружності голови. Вимірювати її необхідно кожні
один-два місяці. Якщо голівка дитини росте швидше нормальних показників, то це
тривожний симптом, він найчастіше свідчить про розвиток гідроцефалії, коли
прискорене зростання голови відбувається за рахунок надлишку спинномозкової
рідини в шлуночках мозку. Часто це буває першим симптомом захворювання. Ш,ь)
• Випираюче тім’ячко у
верхній частині голови. У дітей збільшується в розмірах і набухає велике
тім’ячко, якє має закритися приблизно до 1 року, але при гідроцефалії воно може
бути відкритим до 2 і навіть до 3 років. Кістки черепа стоншуються, лоб стає
непропорційно збільшеним і виступаючим.
• Блювота
• Безсоння
• Дратівливість
• Конвульсії. Підвищується
тонус м'язів ніг. Можуть спостерігатися судомні напади. Можливо, малюк відчуває
головний біль: він може хапатися за голівку. Щ,ь,ю)
• Зміщення очних яблук до
низу. У більш запущених випадках можуть опускатися вниз очі. Це явище
називається симптомом Грефе.
• Затримка розвитку. Дитина
починає відставати в темпах психомоторного розвитку. Вона не тримає в термін
голівку, не сидить, не встає, не грається. Хвора дитина млява, апатична, часом
невмотивовано плаксива. Ц,ч,ш)
) Причини виникнення
Найчастіше причиною гідроцефалії є
сполучення генетичних факторів із впливом навколишнього середовища.
Гідроцефалія може розвиватися внутрішньоутробно, під час пологів, в
неонатальному або постнеонатальному періодах. Ь)
Гідроцефалія у плода. У більшості
випадків її причиною є різні вади розвитку центральної нервової системи (ЦНС).
У 20% водянка пов'язана з внутрішньоутробними інфекціями (цитомегаловірусна
інфекція, герпес, токсоплазмоз). Вони можуть призвести до порушення роботи
шлуночкової системи головного мозку плоду. Плануючи вагітність батьки повинні
пройти дослідження на ці інфекції, які часто протікають приховано, і
пролікувати їх. Це дозволить уникнути багатьох проблем зі здоров'ям малюка. У
рідкісних випадках гідроцефалія викликається генетичними порушеннями. Ю)
Гідроцефалія новонароджених.
Найчастіше (до 80%) водянка у новонароджених викликається вадами розвитку
головного і спинного мозку та наслідками внутрішньоутробних інфекцій. Приблизно
в 20% гідроцефалія є наслідком родової травми, особливо у недоношених немовлят,
яка супроводжується внутрішньомозковим або внутрішньошлуночковим крововиливом,
а також менінгітом (запаленням мозкових оболонок), що веде до порушення
всмоктування ліквору. Вкрай рідко в цьому віці виявляються пухлини і судинні
вади розвитку головного мозку, які також можуть стати причиною розвитку
водянки. Ь,ю)
) Діагностика
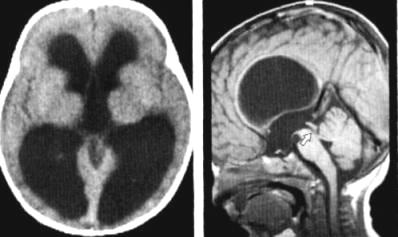
Рентгенографія черепа: зростання
розмірів черепу, розходження швів, посилення "пальцьових вдавлень",
поглиблення ямок основи черепу, витончення кісток черепу. Ь)
Ультразвукове дослідження головного
мозку (нейросонографія) - це звичайне, недороге обстеження, що допомагає
оцінити ступінь розширення шлуночків мозку. Звукові хвилі проходять через
незаросле тім'ячко, даючи чітку картину шлуночків, що значно полегшує
постановку діагнозу. У старших дітей УЗД не використовується, кістки черепа
перешкоджають проходженню ультразвуку. Виключення складають випадки, коли існує
дефект черепа - отвір, через який можуть проходити звукові хвилі. Метод УЗД
використовується також для внутрішньоутробної діагностики гідроцефалії. Ц,ь,ю)
Комп'ютерна томографія (КТ) - у наш
час КТ займає домінуюче положення серед методів діагностики гідроцефалії. Це
технічно складний, але безпечний, надійний і безболісний спосіб діагностики
гідроцефалії. Пучок рентгенівських променів проходить крізь тіло пацієнта, а
зображення внутрішніх органів (у даному випадку мозку) створюються комп’ютером.
Саме дослідження займає від 5 до 10 хвилин. Ш,ь)
АКТ позитивна вентрікулографія
(АКТВГ): дає змогу діагностувати місце обструкції лікворних просторів та форму
гідроцефалії. Ц,щ,ь)
Магнітно-резонансна томографія (МРТ)
- цей метод діагностики також дозволяє одержати зображення мозку, але без
використання рентгенівських променів. В МРТ застосовуються радіохвилі і дуже
потужний магніт. За даними МРТ визначаються форма і ступінь важкості
гідроцефалії. Ці дослідження незамінні для уточнення причин виникнення водянки
мозку. МРТ - безболісна процедура, що не має побічних ефектів. Стандартне
дослідження проводиться в межах 30-40 хв. Щ,ь,ю)
Нейропсихологічне обстеження полягає
в серії питань-відповідей, що дозволяють виявити наявність відхилень у роботі
головного мозку. Ь)
Жовтяниця
Жовтяницею називається забарвлення
шкірних покривів, видимих слизових і склер очей в жовтий колір. Це є наслідком
і видимим проявом підвищення в крові рівня білірубіну.
У більшості новонароджених і майже у
всіх недоношених дітей (понад 90%) на 2-йі 3-й день життя спостерігається
жовтяничне забарвлення шкіри різної інтенсивності. Це так звана звичайна або
фізіологічна жовтяниця. Забарвлюється звичайно вся шкіра новонародженої дитини,
не різко жовтіє слизова порожнини рота і в рідких випадках бувають забарвлені
склери. Жовтяниця наростає в перші 3-4 дні, а далі поступово зникає на
7-10-йдень, але іноді жовтяничне забарвлення шкіри при звичайній фізіологічній
жовтяниці триває на протязі цілого місяця. Підошви й долоні звичайно не
забарвлюються, в сечі жовчних пігментів не виявляється і кал не буває
знебарвленим; в крові ж відмічається підвищена кількість білірубіну. Жовтяниця
розвивається, коли рівень білірубіну в крові перевищує 35-50 мкмоль / л у
доношених і 85 мкмоль / л у недоношених.
Вміст некон’югованого білірубіну в
крові новонароджених в перші дні життя значно підвищується. Цьому сприяє ряд
факторів:
прискорений розпад еритроцитів, що
містять фетальний гемоглобін (HbF), тривалість життя еритроцитів у
новонароджених менша ніж у дорослих і становить 70-90 днів (у дорослих 120
днів);
висока активність гемоксигенази в
еритроцитах новонароджених;
дефіцит Х-протеїну (ліганди ну),
який забезпечує зв’язування білірубіну в мембранах гепатоцитів;
обмежений печінковий синтез
УДФ-глюкурованої кислоти та УДФ-глюкози, які приймають участь у зв’язуванні
білірубіну і утворенні водорозчинних сполук;
збільшена деградація гему з великої
кількості гемо поетичної тканини (припиняється невдовзі після народження);
знижена здатність плазми зв’язувати
білірубін через низьку концентрацію альбуміну та зниженої його адсорбційної
властивості;
можливий синтез білірубіну
безпосередньо в кістковому мозку із протопорфірину, стеркобіліногену (при
порушеннях на останніх етапах синтезу гему включення заліза в молекулу
протопорфірину);
підчас пологів значна плацентна
трансфузія (при пізній перев’язці пуповини надлишок крові з плаценти поступає до
дитини і є джерелом білірубіну;
підсилена абсорбція некон’югованого
білірубіну слизовою оболонкою тонкого кишечника.
) Причини
Існують різні причини появи
жовтяниці. Вони бувають як фізіологічні, так і патологічні. Однак хотілося б
згадати про найпоширеніших.
Відносна гіпоксія плода. Плід живе і
розвивається в умовах відносної гіпоксії. Немовлята народжуються з більш
високим рівнем гематокриту і гемоглобіну, з великим кількостям еритроцитів у
крові . Тривалість життя новостворених клітин скорочується. Результатом є те,
що через більшої кількості еритроцитів розширюється селезінка немовляти. У
селезінку поставляється більша кількість гемоглобіну.
Аномальна робота кишечника. До
народження дитина живиться від своєї матері. З перших годин життя після народження
у нього швидко починає відторгатися меконій - те, що накопичилося в кишечнику
дитини ще при внутрішньоутробного життя. Дитина, що народилася передчасно, або
якщо його мати погано харчувалася під час вагітності, має проблеми з
кишечником. Його функція порушується, в результаті чого відбувається збільшення
рівня білірубіну в крові.
Резус-конфлікт. Це конфлікт
резус-факторів матері і дитини - якщо дитина резус-позитивний і резус-негативна
мати. Завдяки профілактиці імуноглобулінів (після народження дитини мати
протягом 72 годин отримує імуноглобулін анти-Rh-D, який захищає імунну систему
від алергії на кров дитини) мати не виробляє антитіла, які можуть загрожувати
дитині при наступній вагітності. Також може бути конфлікт основних груп крові.
Наприклад, жінка з III групою крові має природні антитіла проти клітин IV
групи. В таких ситуаціях конфлікт найбільш виражений при першій вагітності. У
наступних вагітностях ризик подібних конфліктів зменшується.
Крововилив. Народження є травмою для
дитини. Йому доводиться протиснутися через вузькі родові шляхи. Іноді цей
процес не обходиться без ушкоджень. Родові шляхи жінки в цей момент наливаються
кров'ю, в якій дуже високий вміст білірубіну. При пошкодженні ця кров потрапляє
на немовля, білірубін в свою чергу потрапляє в його організм. Рівень його
підвищується і виникає жовтяниця.
Гіпоксія. Новонароджені можуть бути,
наприклад, обплутані пуповиною. Іноді в таких випадках відбувається жовтяниця
внаслідок гіпоксії печінки, що підвищує її відмову в неонатальному періоді.
Грудне вигодовування. Кількість їжі
в перші дні життя може бути трохи меншою, ніж ваша дитина хотіла би з'їсти.
Тому можуть виникнути затримки проходження їжі через травний тракт немовляти. В
результаті може виникнути жовтяниця. Може статися, що дитина здорова,
знаходиться на виключно грудному вигодовуванні, добре набирає вагу, але
жовтяниця при цьому зберігається протягом тривалого часу і може тривати до 2-3
місяців. Її причиною є ферменти, які присутні в грудному молоці і сприяють
об'єднанню білірубіну з глюкуроновою кислотою та її виходом з калом. Іноді такі
діти можуть досягати високих значень білірубіну. Однак, це не загрожує життю і
здоров'ю дітей.
Патологічний фактор. Найчастіше
жовтяницею страждають діти, які народилися хворими. Це може бути вроджена
бактеріальна або вірусна інфекція. В такому випадку поруч із симптомами хвороби
спостерігається і жовтяниця. Є також генетичні захворювання, при яких існує
дисфункція печінки і пошкоджена її здатність зв'язувати білірубін з
глюкуроновою кислотою.
2 .МАТЕРІАЛИ ТА МЕТОДИ
Екологічно-санітарний стан, як
фактор впливу на внутрішньоутробний розвиток плоду
Санітарно-екологічний стан
навколишнього середовища визначається як природними так і антропогенними
факторами - хімічними, біологічними, фізичними, соціально-економічними. За
даними показниками можна оцінити стан здоров'я людини та спрогнозувати
імовірність народження дітей із вродженими вадами розвитку. У дослідженні слід
врахувати залежність стану здоров’я від екологічного стану середовища, рівнів
забруднення, а також одночасного впливу на стан людини сукупності факторів.
До територій з найскладнішою
екологічною ситуацією належать: Галицький район, де функціонує Бурштинська ТЕС,
Калуський район - з хімічним гігантом ВАТ «Карпатнафтохім», Надвірнянський район
- з нафтопереробним заводом ВАТ «Нафтохімік Прикарпаття». Складною екологічною
ситуацією характеризується також Тисменицький район, де зосереджені промислові
вузли обласного центру. Місто Бурштин одне з самих забруднених міст України
завдяки електростанції. Калуш об’явлено зоною надзвичайної екологічної ситуації
через витік розсолів з Домбровського кар`єру калійних руд. Кризовою зоною можна
вважати територію радіоактивного забруднення внаслідок аварії на ЧАЕС у
Снятинському районі Найбільшими забруднювачами атмосферного повітря на
території області є Бурштинська ТЕС, ВАТ «Нафтохімік Прикарпаття», ВАТ
«Івано-Франківськцемент» та ін.
Найвища захворюваність серед
дорослого населення спостерігається в містах Івано-Франківську і Калуші, а
також в Тисменицькому, Галицькому, Городенківському і Снятинському районах, де
екологічна ситуація є надзвичайно складною. Така ж тенденція характерна і для
новонароджених дітей. Саме в даних містах та районах спостерігається найвища
частота вроджених вад розвитку немовлят.
Але така картина випливає тільки з
загального вигляду. Якщо продовжити аналіз з медико-географічної ситуації
всередині кожної фізико-географічних областей за ландшафтними районами, то
характеристика дещо зміниться.
Виділяються райони з більшою чи
меншою інтенсивністю захворювання та кількістю хворих. Найбільші показники
захворювання населення а також народження дітей з ВВР за 2006 - 2010 роки в
Калуському районі, де частота захворювань коливається від 232 до 269 хворих
дітей на 1000 новонароджених, Городенківському - від 194 до 241 дитини,
Снятинському - від 191 до 244 дітей.В м. Івано-Франківську ситуація по ВВР у
немовлят найвища 258 дітей. Підвищена захворюваність також у Рогатинському
районі, Богородчанському. Найменша захворюваність - це в таких районах як
Верховинський, Косівський, Надвірнянський.
Серед причин, що спричинили до такої
кількості захворювання в цих районах є різні. Але найпоширеніші з них це
екологічні, хімічні, це вміст і рухливість хімічних елементів в цих районах.
Найбільшим забруднювачем серед хімічних елементів, що впливають на
захворювання, є бензапірен, вуглеводневі сполуки та синтетичних сполук з АТ
"Нафтохімік Прикарпаття". А найбільше викидів в атмосферу в цілому по
областях залежить від викидів Калуської ДРЕС. Існує пряма залежність між
наднормативним забрудненням повітря і вродженими патологіями у немовлят.
Найбільш високий сумарний середній
показник захворюваності виявлений у фізико-географічній області Опісля у
комплексі заплав і терас. Для Передкарпаття це переважають комплекси межиріч.
Найменший показник захворюваності відмічений у Воододільній-Верховинській
області, де переважають комплекси низькогір'їв. Ми бачимо, що спостерігається
закономірність в зменшенні інтенсивних показників, починаючи від Опісля заплав
і терас і закінчуючи Рахівсько-Чивчинським комплексом середньогір'я. Крім
вказаної диференціації спостерігається і деяка диференціація всередині
фізико-географічних областей по адміністративним районам. В
Прутсько-Дністровській області найбільший середній показник спостерігається в
Коломийському районі у комплексі межиріч. Також високий показник
характеризується в Передкарпатті в комплексі заплав і терас, де поширені
широколистяні лісові деформації в поєднанні з дубово-грабовими лісами. Область
Прутсько-Дністровська: всередині фізико-географічної області можна виділити
район, де спостерігається найвищий показник захворюваності. Це Городенківський
район. Область Зовнішніх Карпат, сюди входять такі райони як: Косовський, м.
Яремча, Надвірнянський район. Область Вододільно-Верховинська, сюди входять
Рожнятівський район. Область Полонинсько-Чорногірська з районом Верховинськи. У
цьому районі найнижчий показник захворюваності, а пов'язано це з природним
навколишнім середовищем. Тут розташовані складчасто-покривні середньогір'я з
полонинами, зайняті смерековими й буково-смерековими лісами на крутосхилах та
бурих лісових ґрунтах.
В медико-географічному відношенні
виділяються такі особливості:
значна диференціація ВВР у немовлят
за ландшафтно-геогімінчими районами,
не спостерігається чітка кореляційна
залежність від ландшафтно-геохімічних умов,
встановлено, що рівень ВВР у
немовлят знаходиться у визначеній залежності від ландшафтно-геохімічних
особливостей території і типу геохімічного ландшафту, рівня вмісту макро- і
мікроелементів, лужно-кислотних та окислювально-відновних умов, від ступеня
техногенного забруднення навколишнього середовища (повітря, вод, ґрунтів),
інтенсивний показник коливається в
межах від 0 до 269дітей з ВВР,
підвищена захворюваність характерна
для районів із забруднення і викидів в навколишнє середовище хімічних
елементів,
найменшими показниками захворювання
характеризуються райони з гірсько-слабокислими ландшафтами,
має місце зменшення інтенсивного
показника захворюваності при переході від лісостепових до лісолучних і
гірсько-лісових ландшафтів. Це напевно пов'язано з більш сприятливими
антропоекологічними умовами в Вододільно-Верховинській області, де більш кисле
середовище сприяє активній міграції хімічних елементів,
серед профілактичних заходів по
зниженню рівня ВВР у немовлят в першу чергу потрібно назвати: покращення
(оптимізація) навколишнього середовища, боротьба за дотримання
санітарно-гігієнічних норм, врахування окислювально-відновних потенціалів
кожної жінки, з останнім пов'язане виведення надлишкових елементів з організму,
покращення і використання рекреаційних властивостей природних ландшафтів та ін.
Методи діагностики та лікування ВВР
у новонароджених дітей
Діагностика та лікування ВВС
Відкрита артеріальна протока. Поки
плід знаходиться в утробі матері, більша частина його крові тече в обхід
легень, які ще не працюють, з однієї судини в іншу через спеціальну протоку
(ductusar teriosus). Після народження протока повинна закритися і кров починає
йти по своєму нормальному маршруту крізь легені. Якщо вона залишається
відкритою, кров не може отримати достатньої кількості кисню (більша її частина
не потрапляє в легені) і, таким чином, виникає вроджена вада розвитку. Ця
проблема дуже часто присутня у недоношених дітей. Відповідна терапія може
допомогти закрити цю протоку, в противному випадку застосовується хірургічне
втручання.
вроджена вада новонароджений патологія
Вади серцевої перетинки. Якщо в
перегородці (septum), яка розділяє дві верхні або дві нижні камери серця
виникає отвір, кров не може циркулювати так, як це потрібно, серце в цьому
випадку працює з перевантаженням. Хірург може закрити такий отвір, дуже
маленькі отвори можуть закритися самі, або не потребують корекції взагалі, бо
не викликають погіршення самопочуття хворої дитини.
Коарктація аорти. Частина аорти,
велика артерія, крізь яку кров іде від серця до інших частин тіла, може бути
звужена настільки, що кров не може вільно рухатися. Хірург може видалити
звужену частину, зшити відкриті кінці або замінити звужену частину протезом або
судиною, взятою, наприклад, з ноги хворого. Іноді звужену судину можна
розширити, поступово надуваючи введений в неї за допомогою катетера шар.
Аномалії клапанів серця. Деякі діти
народжуються із звуженими, закритими або напівзакритими клапанами, які
перешкоджають нормальному току крові. Звичайно, ці клапани можуть бути
виправлені хірургічно або замінені штучними. Введення катетера з шаром теж
застосовується в лікуванні цих вад в якості альтернативи хірургічному
втручанню.
Тетрада Фалло. Комбінація з чотирьох
вроджених вад серця перешкоджає більшій частині крові потрапити до легень і
збагатитися киснем. Дитина стає синюватою і має дуже хворобливий вигляд.
Сучасні хірургічні методики дозволяють виправити цей комплекс вад настільки, що
діти можуть жити нормальним або майже нормальним життям.
Транспозиція великих артерій. При
цій ваді основні артерії, які виходять з серця, міняються місцями, тобто кожна
з них виходить не з тої камери, що потрібно для нормального функціонування.
Тільки недавно хірурги отримали можливість виправляти цю ваду, яка до цього
завжди приводила до смерті новонародженого.
Кількість народжених дітей
|
Рік
|
Народилося
|
Місто
|
Село
|
Хворі
|
|
2010
|
2905
|
871
|
2034
|
648
|
|
2009
|
3010
|
874
|
2136
|
608
|
|
2008
|
3223
|
974
|
2249
|
581
|
|
2007
|
3011
|
899
|
2112
|
602
|
|
2006
|
2815
|
814
|
2001
|
628
|
|
Райони
|
Народилося
за 2006 рік
|
|
|
Здорові
|
Хворі
|
|
|
|
ВВС
|
ВВОСС
|
Гідроцефалія
|
Жовтяниці
|
Синдром
Дауна
|
|
1
|
м.
Івано-Франківськ
|
814
|
10
|
48
|
5
|
147
|
|
|
2
|
Богоридчанський
|
142
|
1
|
8
|
1
|
20
|
|
|
3
|
Верховинський
|
149
|
|
6
|
|
17
|
|
|
4
|
Галицький
|
143
|
1
|
5
|
|
19
|
|
|
5
|
Городенківський
|
140
|
2
|
9
|
1
|
21
|
|
|
6
|
Долинський
|
145
|
|
6
|
|
19
|
|
|
7
|
Калуський
|
145
|
2
|
10
|
2
|
25
|
|
|
8
|
Коломийський
|
146
|
1
|
8
|
|
24
|
|
|
9
|
Косівський
|
139
|
|
7
|
|
22
|
1
|
|
10
|
Надвірнянський
|
144
|
|
19
|
|
|
11
|
Рогатинський
|
142
|
2
|
6
|
|
20
|
|
|
12
|
Рожнятівський
|
140
|
|
6
|
|
22
|
|
|
13
|
Снятинський
|
139
|
2
|
8
|
1
|
23
|
|
|
14
|
Тисменицький
|
142
|
|
8
|
|
21
|
|
|
15
|
Тлумацький
|
145
|
3
|
9
|
2
|
23
|
|
|
∑
|
2815
|
24
|
150
|
12
|
442
|
1
|
З таблиці можна побачити, що найбільше дітей
народилося у Верховинському, Коломийському,Долинському, Калуському та
Тлумацькому районах, найменше - у Косівському та Снятинському. Серед них з
вродженими вадами найбільше у Калуському районі. Дана картина може бути
зв’язана з несприятливою екологічною ситуацією в цьому районі.
|
Райони
|
Народилося
за 2007 рік
|
|
|
Здорові
|
Хворі
|
|
|
|
ВВС
|
ВВОСС
|
Гідроцефалія
|
Жовтяниці
|
Синдром
Дауна
|
|
1
|
м.
Івано-Франківськ
|
899
|
8
|
54
|
3
|
137
|
1
|
|
2
|
Богоридчанський
|
149
|
1
|
7
|
|
19
|
|
|
3
|
Верховинський
|
155
|
|
5
|
|
18
|
|
|
4
|
Галицький
|
152
|
|
6
|
|
18
|
|
|
5
|
Городенківський
|
152
|
2
|
9
|
1
|
22
|
|
|
6
|
Долинський
|
152
|
|
7
|
|
20
|
|
|
7
|
Калуський
|
153
|
3
|
9
|
2
|
23
|
|
|
8
|
Коломийський
|
148
|
1
|
8
|
2
|
21
|
|
|
9
|
Косівський
|
151
|
1
|
8
|
|
22
|
1
|
|
10
|
Надвірнянський
|
153
|
|
7
|
|
20
|
|
|
11
|
Рогатинський
|
151
|
|
7
|
|
19
|
|
|
12
|
Рожнятівський
|
147
|
|
8
|
|
18
|
|
|
13
|
Снятинський
|
149
|
2
|
9
|
1
|
19
|
|
|
14
|
Тисменицький
|
152
|
1
|
7
|
|
17
|
|
|
15
|
Тлумацький
|
148
|
2
|
8
|
|
19
|
|
|
∑
|
3011
|
21
|
159
|
9
|
412
|
2
|
У 2007-му році загальна картина народжуваності в
районах суттєво не змінилася. Знову ж найбільше немовлят народилося у
Верховинському районі, проте в Коломийському та Тлумацькому зменшилась. Також
найбільше патологій виявили у дітей з Калуського району, значний показник захворювань
і в Снятинському та Городенківському районах. Зросла кількість новонароджених
серед міського населення.
|
Райони
|
Народилося
за 2008 рік
|
|
|
Здорові
|
Хворі
|
|
|
|
ВВС
|
ВВОСС
|
Гідроцефалія
|
Жовтяниці
|
Синдром
Дауна
|
|
1
|
м.
Івано-Франківськ
|
974
|
6
|
49
|
5
|
133
|
|
|
2
|
Богоридчанський
|
169
|
1
|
7
|
|
18
|
|
|
3
|
Верховинський
|
163
|
|
5
|
1
|
16
|
|
|
4
|
Галицький
|
162
|
|
7
|
|
18
|
|
|
5
|
Городенківський
|
165
|
3
|
8
|
|
21
|
|
|
6
|
Долинський
|
160
|
|
7
|
1
|
19
|
|
|
7
|
Калуський
|
159
|
4
|
8
|
1
|
23
|
1
|
|
8
|
Коломийський
|
161
|
2
|
7
|
|
20
|
|
|
9
|
Косівський
|
159
|
2
|
8
|
2
|
19
|
1
|
|
10
|
Надвірнянський
|
157
|
|
9
|
|
17
|
|
|
11
|
Рогатинський
|
154
|
|
7
|
|
16
|
|
|
12
|
Рожнятівський
|
162
|
1
|
7
|
|
16
|
|
|
13
|
Снятинський
|
157
|
1
|
9
|
|
20
|
|
|
14
|
Тисменицький
|
161
|
|
7
|
1
|
19
|
|
|
15
|
Тлумацький
|
160
|
|
8
|
|
20
|
|
|
∑
|
3223
|
20
|
153
|
11
|
395
|
2
|
У 2008 році важливо відзначити різкий стрибок
кількості новонароджених, а також скорочення числа вроджених патологій у дітей.
Найвищий показник народжуваності у Верховинському районі, а найменше дітей
народилося у Рогатинському. Великою кількістю хворих відзначились Калуський та
Снятинський райони. Найменше патологій у дітей Верховинського та Рогатитнського
районів.
|
Райони
|
Народилося
за 2009 рік
|
|
|
Здорові
|
Хворі
|
|
|
|
ВВС
|
ВВОСС
|
Гідроцефалія
|
Жовтяниці
|
Синдром
Дауна
|
|
1
|
м.
Івано-Франківськ
|
874
|
10
|
56
|
6
|
138
|
|
|
2
|
Богородчанський
|
149
|
|
8
|
1
|
19
|
|
|
3
|
Верховинський
|
155
|
1
|
6
|
1
|
17
|
|
|
4
|
Галицький
|
156
|
2
|
7
|
|
18
|
|
|
5
|
Городенківський
|
154
|
2
|
9
|
2
|
20
|
|
|
6
|
Долинський
|
152
|
|
6
|
1
|
19
|
|
|
7
|
Калуський
|
153
|
3
|
10
|
2
|
21
|
|
|
8
|
Коломийський
|
151
|
1
|
8
|
1
|
20
|
|
|
9
|
Косівський
|
149
|
2
|
7
|
|
20
|
|
|
10
|
Надвірнянський
|
155
|
2
|
6
|
1
|
18
|
|
|
11
|
Рогатинський
|
154
|
|
8
|
|
17
|
|
|
12
|
Рожнятівський
|
153
|
|
7
|
|
18
|
1
|
|
13
|
Снятинський
|
150
|
1
|
9
|
1
|
20
|
|
|
14
|
Тисменицький
|
|
8
|
|
19
|
|
|
15
|
Тлумацький
|
154
|
1
|
9
|
|
18
|
|
|
∑
|
3010
|
25
|
164
|
16
|
402
|
1
|
Найбільше дітей у 2009 році народилось у
Галицькому районі, далі Верховинський та Надвірнянський райони. Найменше ж
новонароджених у Косівському та Богоридчанському районах. Можна простежити
закономірність, що у Калуському районі найчастіше діагностуються вроджені вади.
Отже дійсно значний вплив на пренатальний розвиток плоду має екологічна
ситуація в районі.
|
Райони
|
Народилося
за 2010 рік
|
|
|
Здорові
|
Хворі
|
|
|
|
ССВ
|
ВВОСС
|
Гідроцефалія
|
Жовтяниці
|
Синдром
Дауна
|
|
1
|
м.
Івано-Франківськ
|
871
|
12
|
60
|
4
|
149
|
|
|
2
|
Богородчанський
|
143
|
1
|
7
|
|
20
|
|
|
3
|
Верховинський
|
149
|
|
5
|
|
20
|
|
|
4
|
Галицький
|
143
|
1
|
7
|
1
|
21
|
|
|
5
|
Городенківський
|
145
|
2
|
9
|
1
|
23
|
|
|
6
|
Долинський
|
147
|
1
|
8
|
|
22
|
|
|
7
|
Калуський
|
145
|
3
|
9
|
2
|
24
|
|
|
8
|
Коломийський
|
146
|
2
|
7
|
2
|
20
|
|
|
9
|
Косівський
|
149
|
|
8
|
1
|
21
|
|
|
10
|
Надвірнянський
|
144
|
|
7
|
|
20
|
|
|
11
|
Рогатинський
|
142
|
1
|
6
|
|
19
|
|
|
12
|
Рожнятівський
|
143
|
1
|
8
|
1
|
22
|
1
|
|
13
|
Снятинський
|
149
|
2
|
8
|
1
|
23
|
|
|
14
|
Тисменицький
|
144
|
1
|
7
|
|
20
|
|
|
15
|
Тлумацький
|
145
|
1
|
5
|
|
21
|
1
|
|
∑
|
2905
|
28
|
161
|
13
|
445
|
2
|
Загальна кількість народжених в області відносно
попередніх двох років зменшилась, зросла кількість діагностованих патологій.
Найбільше дітей народилось у Верховинському, Косівському та Снятинському
районах, проте в останньому значний відсоток хворих дітей. Найменше народилось
у рогатинському районі, проте хворих в даному випадку відносно мало.
По м. Івано-Франківськ
|
Роки
|
Здорові
|
ВВС
|
ВВОСС
|
Гідроцефалія
|
Жовтяниця
|
Синдром
Дауна
|
|
2006
|
814
|
10
|
48
|
5
|
147
|
|
|
2007
|
899
|
8
|
54
|
3
|
137
|
1
|
|
2008
|
974
|
6
|
49
|
5
|
133
|
|
|
2009
|
874
|
10
|
56
|
6
|
138
|
|
|
2010
|
871
|
12
|
60
|
4
|
149
|
|
З даної таблиці можна простежити динаміку
народжуваності та зміну кількості виявлених ВВР. Так в 2008 році народилося
найбільше дітей, і показник ВВР найнижчий за досліджуваний період. Найбільше ж
хворих дітей народилося протягом 2010 року, що є досить високим показником, бо
кількість дітей порівняно з 2009 роком зменшилась.
|
Роки
|
Здорові
|
ВВС
|
ВВОСС
|
Гідроцефалія
|
Жовтяниця
|
Синдром
Дауна
|
|
2006
|
2001
|
14
|
102
|
7
|
295
|
1
|
|
2007
|
2112
|
13
|
105
|
6
|
275
|
1
|
|
2008
|
2249
|
14
|
104
|
6
|
262
|
2
|
|
2009
|
2136
|
15
|
108
|
10
|
264
|
1
|
|
2010
|
2034
|
16
|
101
|
9
|
296
|
2
|
ВИСНОВКИ
Здоров’я населення - це відображення
соціально-економічного та морального стану країни, показник демографічного,
економічного, трудового та культурного потенціалу суспільства. Я) В Україні за
останні роки здоров’я населеня значно погіршилося. Про це свідчить ситуація
гострої демографічної кризи, що склалася в країні. З 1991 року спостерігається
зростаюче природне скорочення населення, тобто кількість померлих перевищує
кількість народжених. Рівень народжуваності в Україні дуже низький,
забезпечення заміщення попереднього покоління прийдешнім становить лише 73
відсотки (в містах - 64 відсотки) і навіть в селах не спостерігається просте
відтворення населення. A) Зменшується демовідтворювальний потенціал населення,
погіршується його сімейна структура, знижується кількість шлюбів та
підвищується кількість розлучень. Несприятлива екологічна ситуація, ускладнена
наслідками Чорнобильської катастрофи, посилила генетичний тягар. Збільшується народжуваність
дітей з вродженими вадами розвитку. Я)
Важливим фактором збереження здоров'я жінок і
дітей, зниження материнської і дитячої смертності, поліпшення демографічної
ситуації в цілому є планування сім'ї. Відсутність комплексного підходу до
вирішення проблем планування сім'ї призвела до такої ситуації в країні, коли
штучне переривання вагітності стало досить важливим фактором регулювання
народжуваності. Я)
Таблиця 1 А)
|
Кількість
абортів (на 100 народжених)
|
|
1960
|
1970
|
1980
|
1990
|
1995
|
1997
|
2000
|
2002
|
2004
|
2006
|
2008
|
|
138
|
157
|
153
|
155
|
150
|
135
|
113
|
89
|
68
|
38
|
28
|
В Івано-Франківській області демографічна
ситуація за останні роки різко погіршилась. Якщо в 1995 році в області
проживали 1466,8тис. осіб то в 2010 цей показник зменшився до 1381,1 тис. осіб.
Населення області має тенденцію до старіння: кількість дітей до 14 років в
області зменшилась з 337,2 тис. осіб в 1995 р. до 233,6 тис. осіб в 2010р. А
кількість осіб, старших за 65 років навпаки, зростає: з 172,1тис. осіб 1995р.
до 196,4 в 2010р. А)
У таблиці показано статистичні дані зміни
кількості населення по області з 2006 по 2010 роки офіційного сайту
Івано-Франківської обласної ради.
Таблиця 2 В)
|
Роки
|
Кількість
народжених, осіб
|
Кількість
померлих, осіб
|
Природний
приріст населення, осіб
|
Кількість
зареєстрованих шлюбів, одиниць
|
Кількість
зареєстрованих розлучень, одиниць
|
|
2006
|
15813
|
18399
|
-2586
|
11006
|
4279
|
|
2007
|
16243
|
18811
|
-2568
|
12295
|
4195
|
|
2008
|
16983
|
18385
|
-1402
|
9986
|
4125
|
|
2009
|
17333
|
17565
|
-232
|
9948
|
3563
|
|
2010
|
16343
|
17521
|
-1178
|
9359
|
2910
|
СПИСОК ВИКОРИСТАНОЇ ЛІТЕРАТУРИ
а)
Вроджені вади серця
б)
http://serdechko.org.ua/simptom.php
в)
СУЧАСНІ ПРОБЛЕМИ ВРОДЖЕНИХ ВАД СЕРЦЯ У НОВОНАРОДЖЕНИХ ТА ЇХ КОРЕКЦІЇ Антипкін
Ю.Г., Книшов Г.В., Авраменко Т.В., Чернишов В.П.,
Гладких
Ю.В.
г)
Верновський Г., Рубенстайн С.Д. Дослідження в перинатології. Серцево-судинні
захворювання у новонароджених. - К.: Молодь, 2004. - 309 с.
д)
Marshak D.R., Gardner R.L. and Gottlieb D. Stem Cell Biology. - Gold Spring
Harbor: Laboratory Press, 2009. - 544 p.
е)
http://family-doctor.com.ua
є)
http://ibis-birthdefects.org/start/ukrainian/uheart2.htm
ж)
Белоконь Н.А., Подлозков В.П. Врожденные пороки сердца / М., 1991. - 360с.
з)
Запорожан В.Н., Бажора Ю.И. Стволовые клетки. - Одесса: Одес.гос.мед.ун-т,
2004. - 228 с.
и)
Запорожан В.Н., Напханюк В.К., Холодкова Е.А. Эмбриология,
тератология
и основы репродукции человека. - Одесса: Одес.гос.мед.ун-т,
.
- 378 с.
і)
Малышева З.В., Соколова И.И., Тютюнник И.Ф. Анатомия аномалий
развития
новорожденных в отдельных регионах московской области // Вестн. Рос. Ассоциации
акуш.-гинек. - 1998. - №3. - с.69-70.
й)
Особенности диагностики и хирургического лечения больных с первичными опухолями
сердца / Р.Витовский, В.Захарова, Е.Руденко, В.Бешляга // Doctor. - 2010.- N 2.
- C.54-57.
к)
Marshak D.R., Gardner R.L. and Gottlieb D. Stem Cell Biology. - Gold Spring
Harbor: Laboratory Press, 2002. - 544 p.
л)
Meyns B. Congenital heart surgery in Belgium. State of the art in 2003 // Acta
Cardiol. - 2004. - V59, Suppl 1. - P.31-34.
м)
Литасова Е.Е., Мешалкин Е.Н. Динамика пороков сердца как интракаузальная
адаптация. Проблема послеоперационной переадаптации // Бюллютень Сибирского
отделения РАМН. - 1995. - № 4. - С.28-33.
н)
Витовский Р. Особенности диагностики и хирургического лечения больных с
первичными опухолями сердца / Р.Витовский, В.Захарова, Е.Руденко, В.Бешляга //
Doctor. - 2003.- N 2. - C.54-57.
о)
Алекси-Месхишвили В.В., Шарыкин А.С. Вопросы оказания неотложной помощи
новорожденным с врожденными пороками сердца // Акуш.Гинекол. - 2008. - № 7. -
С.67-68.
п)
www.ibis-birthdefects.org/start/ukrainian/ugenibd2.htm
р)
Возіанов О.Ф., Сеймівський Д.А., Бліхар В.Є. // Вроджені вади сечових шляхів у
дітей. - Тернопіль: Укрмедкнига, 2000. - 218 с.
с)
Сайдакова А.О., Старцева Л.М., Кравчук Н.Г. // Основні показники урологічної
допомоги в Україні за 2007-2008 рр. - К., 2009. - С. 205.
т)
Сеймівський Д.А., Петербургський В.Ф., Пирогов В.О. та ін. Клінічні варіанти
порушень уродинаміки нижніх сечових шляхів при мегауретері у дітей // Урологія.
- 2007. - № 1. - С. 28-43.
у)
Сеймівський Д.А. Шляхи підвищення ефективності цистопластики з місцевих тканин
при екстрофії сечового міхура у дітей // Урологія. - 2002. - № 3. - С. 46-51.
ф)
Сеймівський Д.А. Використання фітопрепарату Канефрон Н в лікуванні хронічного
пієлонефриту у дітей // Урологія. - 2011. - № 2. - С. 30-34.
х)
http://immuno.health-ua.com/article/341.html
ц)
Орлов Ю.А. Критерии качества жизни детей после нейрохирургических операций
//Український нейрохірургічний журнал.- 2009.- № 2.- C. 87-88.
ч)
uk.wikipedia.org/wiki/Гідроцефалія
ш)
http://www.neurosurgery.com.ua/index.php?p=22
щ)
http://referat.repetitor.ua/Природжена_гідроцефалія_у_новонароджених
ь)
http://ibis-birthdefects.org/start/ukrainian/uhydroc3.htm
ю)
http://semya.com.ua/zdorovja-ditini-do-roku/342-gidrozefalia-ne-ypystit.html
я)
http://zakon.rada.gov.uacgi-binlawsmain.cginreg=736-95-%EF)
http://news.if.ua/tag/народжуваність) http://stat.if.ukrtel.net)
www.magnat.biz/jeltuha_ua.html) http://semya.com.ua/newborn/31-govtjanici.html)
Горленко О.М., Русанов-ська О.В., Янковська А.О., Мальованик Н.Г. Кон'югаційна
жовтяниця новонароджених: анте- і інтранатальні фактори ризику, шляхи корекції
// Современная педиатрия. - 2009. - № 4. - 148-151.) Володін Н.Н., Дегтярева
А.В., Дегтярев Д.Н. Основные причины желтух у новорожденных детей и принципы
дифференциальной диагностики // Рос. вестник перинатологии и педиатрии. - 2011.
-№ 49 (5). - 18-23.) Lawrence V. Gartner. Жовтяниці новонароджених: як зменшити
ризик ускладнень // Медицина світу. - 2008. - № 15 (5). - 295-303.) Смирнов
В.В. Желтухи у детей первых трех месяцев жизни // Медицинский научный и
учебно-методический журнал. - 2009. - № 25. - 3-20.) Gourley G.R. et al. A
Controlled, Randomized, Double-blind Trail of Prophylaxis Against Jaundice
Among Breastfed Newborns // Pediatrics. - 2005. - № 116. - 385-391.