Клетка

  • Вид работы:
    Реферат
  • Предмет:
    Биология
  • Язык:
    Русский
    ,
    Формат файла:
    MS Word
    2,57 Мб
  • Опубликовано:
    2012-05-22
Вы можете узнать стоимость помощи в написании студенческой работы.
Помощь в написании работы, которую точно примут!

Клетка













Реферат по Общей биологии

На тему: "Клетка"



Ученицы 11 "В" класса

Физико-математической школы №







Москва 2001 год

План реферата

 

Введение

1. Атомный состав клетки

2. Молекулярный состав клетки

Обмен веществ и превращение энергии в клетке

Воспроизведение клеток

Животная и растительная клетки. Сравнение

Растительная и животная клетки

Список источников информации

Введение

Наука о клетке называется цитологией (греч. "цитос" клетка, "логос" - наука). Клетка является единицей живого: она обладает способностью размножаться, видоизменяться и реагировать на раздражения. Цитология изучает строение и химический состав клеток, функции внутриклеточных структур и клеток внутри организма, размножение и развитие клеток, приспособление клеток к условиям окружающей среды. Впервые название "клетка" применил Роберт Гук в середине XVII в. при рассмотрении под микроскопом, им сконструированным, тонкого среза пробки. Он увидел, что пробка состоит из ячеек - клеток (англ. "cell" - камера, келья). К началу XIX в., после того как появились хорошие микроскопы, были разработаны методы фиксации и окраски клетки, представления о клеточном строении организмов получили общее признание.

В 1838 - 1939 гг. двое немецких ученых - ботаник М. Шлейден и зоодог Т. Шванн, собрали все доступные им сведения и наблюдения в единую теорию, утверждавшую, что клетки, содержащие ядра, представляют собой структурную и функциональную основу всех живых существ. Спустя примерно 20 лет после провозглашения Шлейдоном и Шванном клеточной другой немецкий ученый - врач Р. Вирхов сделал очень важное обобщение: клетка может возникнуть из предшествующей клетки. Академик Российской Академии наук Карл Бэр открыл яйцеклетку млекопитающих и установил, что все многоклеточные организмы начинают свое развитие с клетки и этой клеткой является зигота.

Современная клеточная теория включает следующие основные положения:

. Клетка - основная единица строения и развития всех живых организмов, наименьшая единица живого.

клетка растительная животная воспроизведение

2. Клетки всех одноклеточных и многоклеточных организмов сходны (гомологичны) по своему строению, химическому составу, основным проявлениям жизнедеятельности и обмену веществ.

. Размножение клеток происходит путем их деления, т.е. каждая новая клетка образуется в результате деления исходной (материнской) клетки. Положения о генетической непрерывности относиться не только к клетке в целом, но и некоторым из её более мелких компонентов - к генам и хромосомам, а также к генетическому механизму, обеспечивающему передачу вещества наследственности следующему поколению.

. В сложных многоклеточных организмах клетки специализированы по выполняемой ими функции и образуют ткани; из тканей состоят органы, которые тесно связаны между собой и подчинены нервным и гуморальным системам регуляции.

Клетка - это элементарная живая система, способная к самообновлению, саморегуляции и самопроизведению.

Химический состав клетки.

1. Атомный состав клетки


Из 110 элементов Периодической системы Менделеева в состав организмов входит более половины, причем 24 из них являются обязательными и обнаруживаются почти во всех типах клеток. По процентному содержанию в клетке химические элементы делятся на три группы: макро-, микро - и ультрамикроэлементы.

Макроэлементы составляют в сумме порядка 98% всех элементов клетки и входят в состав жизненно важных биологических веществ. К ним относят водород (>60%), кислород (~ 25%), углерод (~10%), азот (~3%).

К микроэлементам принадлежит 8 элементов, содержание которых в клетке составляет менее 2-3 %. Это магний (Mg), натрий (Na), кальций (Ca), железо (Fe), калий (K), сера (S), фосфор (P), хлор (Cl).

К группе ультрамикроэлементов относят цинк, медь, йод, фтор, марганец, кобальт, кремний и другие элементы, содержащиеся в клетке в исключительно малых количествах (суммарное содержание порядка 0,1%).

Несмотря на низкое содержание в живых организмах, микро - и ультрамикроэлементы играют чрезвычайно важную роль: они входят в состав различных ферментов, гормонов, витаминов и обуславливают тем самым нормальное развитие и функционирование клетки и всего организма в целом. Так, например, медь является составной частью ферментов, занятых в процессах тканевого дыхания. Цинк - необходимый компонент почти ста ферментов, например, он содержится в гормоне поджелудочной железы - инсулине. Кобальт входит в состав витамина B12, регулирующего кроветворную функцию. Железо является компонентом гемоглобина, а йод - гормона щитовидной железы - тироксина.

Роль ряда ультрамикроэлементов в организме еще не уточнена или даже неизвестна (мышьяк).

2. Молекулярный состав клетки


Химический элементы входят в состав клеток в виде ионов или компонентов молекул неорганических и органических веществ.

Неорганические вещества.

Вода - одно из самых распространенных веществ на Земле и преобладающий компонент всех живых организмов. Среднее количество воды в клетках большинства живых организмов составляет порядка 70% (в клетках медузы - 95%).

Вода в клетке находится в двух формах: свободной и связанной. Свободная вода составляет 95 % всей воды клетки; на долю связанной воды, входящей в состав фибриллярных структур и соединенной с некоторыми белками, приходится около 4-5 %%.

Вода обладает рядом свойств, имеющих исключительно важное значение для живых организмом. Исключительные свойства воды определяются структурой ее молекул. Молекула воды является диполем. Атом кислорода в ней ковалентно связан с двумя атомами водорода. Положительные заряды сосредоточены у атомов водорода, т.к. кислород электроотрицательнее водорода.

Из-за высокой полярности молекул вода является лучшим из известных растворителей. Вещества, хорошо растворимые в воде называют гидрофильными. К ним относят многие кристаллические соли, ряд органических веществ - спирты, сахара, некоторые белки (например, альбумины, гистоны). Вещества, плохо или совсем нерастворимые в воде, называют гидрофобными. К ним относятся жиры, нуклеиновые кислоты, некоторые белки (глобулины, фибриллярные белки).

Высокая теплоемкость воды делает ее идеальной жидкостью для поддержания теплового равновесия клетки и в целом организма. Так как на испарение воды расходуется много теплоты, то, испаряя воду, организмы могут защищать себя от перегрева (например, при потоотделении).

Вода обладает высокой теплопроводностью, обеспечивая возможность равномерного распределения тепла между тканями организма.

Вода является дисперсионной средой, играющей важную роль в коллоидной системе цитоплазмы, определяет структуру и функциональную активность многих макромолекул, служит основной средой для протекания химических реакций и непосредственным участником реакций синтеза и расщепления органических веществ, обеспечивает транспортировку веществ в клетке и организме (диффузия, кровообращение, восходящий и нисходящий ток растворов по телу растения и др.).

Вода практически не сжимается, создавая тургорное давление и определяя объем и упругость клеток и тканей.

Неорганические ионы имеют немаловажное значение для обеспечения жизнедеятельности клетки - это катионы (K+, Na+, Ca 2+, Mg 2+, NH3+) и анионы (Cl-, HPO4 2-, H2PO4-, HCO3-, NO3-) минеральных солей. Концентрация катионов и анионов в клетке и в окружающей её среде резко различна. Внутри клетки превалируют ионы К+ и крупные органические ионы, в околоклеточных жидкостях всегда больше ионов Na+ и Cl-. Вследствие этого образуется разность зарядов внешней и внутренней поверхностей мембраны клетки, между ними возникает разность потенциалов, обуславливающая такие важные процессы как передача возбуждения по нерву или мышце.

Соединения азота, фосфора, кальция и другие неорганические вещества служат источником строительного материала для синтеза органических молекул (аминокислот, белков, нуклеиновых кислот и др.) и входят в состав ряда опорных структур клетки и организма.

Некоторые неорганические ионы (например, ионы кальция и магния) являются активаторами и компонентами многих ферментов, гормонов и витаминов. При недостатке этих ионов нарушаются жизненно важные процессы в клетке.

Немаловажные функций в живых организмах выполняют неорганические кислоты и их соли. Соляная кислота входит в состав желудочного сока человека и животных, ускоряя процесс переваривания белков пищи. Остатки серной кислоты, присоединяясь к нерастворимым в воде чужеродным веществам, придают им растворимость, способствуя к выведению из организма. Неорганические натриевые и калиевые соли азотистой и фосфорной кислот, кальциевая соль серной кислоты служат важными элементами минерального питания растений, их вносят в почву в качестве удобрений. Соли кальция и фосфора входят в состав костной ткани животных.

Содержащиеся в организме ионы имеют важное значение для поддержания постоянства реакций среды в клетки и в окружающих её растворах, т.е. являются компонентами буферных систем. Наиболее значимые буферные системы млекопитающих - фосфатная и бикарбонатная.

Органические вещества.

Клетки содержат множество разнообразных органических соединений: углеводы, липиды, белки, нуклеиновые кислоты и др.

В зависимости от молекулярной массы и структур различают малые низкомолекулярные органические молекулы - мономеры - и более крупные, высокомолекулярные макромолекулы - полимеры. Мономеры служат строительным материалом для полимеров.

Углеводы.

Содержание углеводов в животных клетках составляет 1-5%, а в некоторых клетках растении достигает 70%.

Различают три основных класса углеводов: моносахариды, олигосахариды и полисахариды, различающиеся числом мономерных звеньев.

Моносахариды - бесцветные, твердые кристаллические вещества, легко растворимые в воде, но нерастворимые в неполярных растворителях, имеющие, как правило, сладковатый вкус. В зависимости от числа атомов различают триозы, тетрозы, пентозы, гексозы и гептозы. Наиболее распространены в природе гексозы (глюкоза, фруктоза) - основные источники энергии в клетках (при полном расщеплении 1г глюкозы высвобождается 17,6 кДж энергии) и пентозы (рибоза, дезоксирибоза), входящие в состав нуклеиновых кислот.

Два или несколько ковалентно связанных друг с другом с помощью гликозидной связи моносахарида образуют ди- или олигосахариды. Дисахариды также широко распространены в природе: наиболее часто встречается мальтоза, или солодовый сахар, состоящий из двух молекул глюкозы.

Биологическое значение углеводов состоит в том, что они являются мощным и богатым источником энергии, необходимой клетке для осуществления различных форм активности. Полисахариды - удобная форма накопления энергоемких моносахаридов, а также незаменимый защитный и структурный компонент клеток и тканей животных, растений и микроорганизмов. Некоторые полисахариды входят в состав клеточных мембран и служат рецепторами, обеспечивая узнавание клеток друг другом и их взаимодействие.

Липиды.

Липиды представляют собой органические вещества, не растворимые в воде, но растворимые в неполярных растворителях - эфире, хлороформе, бензоле. Они обнаруживаются во всех без исключения клетках и разделены на несколько классов, выполняющих специфические биологические функции. Наиболее распространенными в составе живой природы являются нейтральные жиры, или триацилглицерины, воска, фосфоролипиды, стеролы.

Содержание липидов в разных клетках сильно варьирует: от 2 - 3 до 50 - 90 % в клетках семян растении и жировой ткани животных.

Структурными компонентами большинства липидов являются жирные кислоты. Жирные кислоты являются ценным источником энергии. При окислении 1г жирных кислот высвобождается 38 кДж энергии и синтезируется в два раза большее количество АТФ, чем при расщеплении такого же количества глюкозы.

Жиры - наиболее простые и широко распространенные липиды. Жиры являются основной формой запасания липидов в клетке. Жиры используются также в качестве источника воды (при сгорании 1г жира образуется 1,1г воды). У многих млекопитающих под кожей откладывается толстый слой подкожного жира, который защищает организм от переохлаждения.

Воска - это сложные эфиры, образуемые жирными кислотами и много атомными спиртами. У позвоночных животных секретируются кожными железами. Покрывая кожу и её производные (волосы, мех, шерсть, перья), воска смягчают их и предохраняют от действия воды.

Фосфолипиды в состав молекул, которых входит остаток фосфорной кислоты, являются основой всех клеточных мембран.

Стероиды составляют группу липидов, не содержащих жирных кислот и имеющих особую структуру. К ним относится ряд гормонов, в частности кортизон, вырабатываемый корой надпочечников, различные половые гормоны, а также холестерин - важный компонент клеточных мембран у животных.

Белки.

Белки представляют собой самый многочисленный и наиболее разнообразный класс органических соединений клетки. Белки - это биологические гетерополимеры, мономерами которых являются аминокислоты.

Среди белков организма выделяют простые белки, состоящие только из аминокислот, и сложные, включающие помимо аминокислот, так называемые простатические группы различной химической природы. Липопротеины имеют в своем составе липидный компонент, гликопротеины - углеводный. В состав фосфопротеинов входит одна или несколько фосфатных групп. Металлопротеины содержат различные металлы; нуклеопротеины - нуклеиновые кислоты. Простетические группы обычно играют важную роль при выполнении белком его биологической функции.

Белки выполняют в организме чрезвычайно важные и многообразные функции, перечисленные в нижеследующей таблице, но несомненно наиболее значительной является каталитическая, или ферментативная, функция.

Таблица. Некоторые функции, выполняемые белками.

Класс

Выполняемая функция

Примеры белков

Ферменты

Амилаза расщепляет крахмал до глюкозы; липаза расщепляет жиры до глицерина и жирных кислот.

Структурные белки

Являются структурными компонентами биологических мембран и многих внутриклеточных органелл, главным компонентом опорных структур организма.

Коллаген хрящей и сухожилий, эластин соединительной ткани, кератин волос и ногтей.

Сократительные белки

Обеспечивают движение клеток, внутриклеточных структур.

Актин и миозин мышечного волокна, тубулин микротрубочек.

Транспортные белки

Связывают и переносят специфические молекулы и ионы из одного органа в другой.

Гемоглобин переносит кислород, сывороточный альбумин - жирные кислоты.

Пищевые белки

Питают зародыш на ранних стадиях развития и запасают биологически ценные вещества и ионы.

Казеин молока; ферритин, запасающий железо в селезенке.

Защитные белки

Предохраняют организм от вторжения других организмов и повреждений.

Антитела, вырабатываемые лимфоцитами, блокируют чужеродные антигены; фибриноген и тромбин, предохраняющие организм от кропотери.

Регуляторные белки

Участвуют в регуляции активности клетки и организма.

Инсулин регулирует обмен глюкозы; гистоны - генную активность.


Нуклеиновые кислоты.

Нуклеиновые кислоты составляют 1 - 5 % сухой массы клетки и представлены моно - и полинуклеотидами. Мононуклеотид состоит из одного пуринового (аденин - А, гуанин - Г) или пиримидиного (цитозин - Ц, тимин - Т, урацил - У), азотистого основания, пятиуглеродного сахара (рибоза или дизоксорибоза) и 1 - 3 остатков фосфорной кислоты.

Мононуклеотиды выполняют в клетке исключительно важные функций. Они выступают в качестве источников энергии, причем АТФ является универсальным соединением, энергия которого используется почти во всех внутриклеточных реакциях, энергия ГТФ необходима в белоксинтезирующей деятельности рибосом. Производные нуклеотидов служат также переносчиками некоторых химических групп, например НАД (никотинамиддинуклеотид) - переносчик атомов водорода.

Однако наиболее важная роль нуклеотидов состоит в том, что они служат строительными блоками для сборки полинуклеотидов РНК и ДНК (рибонуклеиновых и дезоксирибонуклеиновых кислот).

РНК и ДНК - это линейные полимеры, содержащие от 70 - 80 до 10 в 9 степени мононуклеидов.

Нуклеотид РНК - содержит пятиугольный сахар - рибозу, одно из четырех азотистых оснований (гуанин, урацил, аденин или цитозин) и остаток фосфорной кислоты. Нуклеотиды, входящие в состав ДНК, содержат пятиугольный сахар - дезоксирибозу, одно из четырех основании (гуанин, тимин, аденин или цитозин) и остаток фосфорной кислоты.

Данные рентгеноструктурного анализа показали, что молекулы ДНК большинства живых организмов, за исключением некоторых фагов, состоят из двух полинуклеотидных цепей, антипараллельно направленных. Молекула ДНК имеет форму двойной спирали, в которой полинуклеотидные цепи закручены вокруг воображаемой центральной оси. Спираль ДНК характеризуется рядом параметров. Ширина спирали около 2 нм. Шаг или полный оборот спирали составляет 3,4 нм и содержит 10 пар комплементарных нуклеотидов.

ДНК обладает уникальными свойствами: способностью к самоудвоению (репликации) и способностью к самовосстановлению (репарации).

Репликация осуществляется под контролем ряда ферментов и протекает в несколько этапов. Она начинается в определенных точках молекулы ДНК. Специальные ферменты разрывают водородные связи между комплементарными азотистыми основаниями, и спираль раскручивается. Полинуклеотидные цепи материнской молекулы удерживаются в раскрученном состоянии и служат матрицами для синтеза новых цепей.

С помощью фермента ДНК-полимеразы из имеющихся в среде трифосфатов дезоксиринуклеотидов (дАТФ, дГТФ, дЦТФ, дТТФ) комплементарно материнским цепям собираются дочерние цепи. Репликация осуществляется одновременно на обеих материнских цепях, но с разной скоростью и некоторыми отличиями. На одной из цепей (лидирующей) сборка дочерней цепи идет непрерывно, на другой (отстающей) - фрагментарно. В последующем синтезируемые фрагменты сшиваются с помощью фермента ДНКлигазы. В результате из одной молекулы ДНК образуется две, каждая из которых имеет материнскую и дочернюю цепи. Синтезируемые молекулы являются точными копиями друг друга и исходной молекулы ДНК. Такой способ репликации называется полуконсервативным и обеспечивает точное воспроизведение в дочерних молекулах той информации, которая была в материнской молекуле.

Репарацией называют способность молекулы ДНК "исправлять" возникающие в её цепях изменения. В восстановлении исходной структуры участвуют не менее 20 белков: узнающих измененные участки ДНК и удаляющих их из цепи, восстанавливающих правильную последовательность нуклеотидов и сшивающих восстановленный фрагмент с остальной молекулой ДНК.

Перечисленные особенности химической структуры и свойств ДНК обусловливают выполняемые ей функции. ДНК записывает, хранит, воспроизводит генетическую информацию, участвует в процессах ее реализации между новыми поколениями клеток и организмов.

Рибонуклеиновые кислоты - РНК - представлены разнообразными по размерам, структуре и выполняемым функциям молекулами. Все молекулы РНК являются копиями определенных участков молекулы ДНК и, помимо уже указанных отличий, оказываются короче ее и состоят из одной цепи. Между отдельными комплементарными друг другу участками одной цепи РНК возможно спаривание основании (А с У, Г с Ц) и образование спиральных участков. В результате молекулы приобретают специфическую конформацию.

Матричная, или информационная, РНК (мРНК, иРНК) синтезируются в ядре под контролем фермента РНК-полимеразы комплементарно информационным последовательностям ДНК, переносит эту информацию на рибосомы, где становится матрицей для синтеза белковой молекулы. В зависимости от объема копируемой информации молекула мРНК может иметь различную длину и составляет около 5% всей клеточной РНК.

Рибособная РНК (рРНК) синтезируется в основном в ядрышке, в области генов рРНК и представлена разнообразными по молекулярной массе молекулами, входящими в состав большой и малой субчастиц рибосом. На долю рРНК приходится 85% всей РНК клетки.

Транспортная РНК (тРНК) составляет около 10% клеточной РНК. Существует более 40 видов тРНК. При реализации генетической информации каждая тРНК присоединяет определенную аминокислоту и траспортирует ее к месту сборки полипентида. У эукариот тРНК состоят из 70-90 нуклеотидов.

Строение клетки

. Типы клеточной организации.

Среди всего многообразия ныне существующих на Земле организмов выделяют две группы: вирусы и фаги, не имеющие клеточного строения; все остальные организмы представлены разнообразными клеточными формами жизни. Различают два типа клеточной организации: прокариотический и эукариотический (см рис.1).

Клетки прокариотического типа устроены сравнительно просто. В них нет морфологически обособленного ядра, единственная хромосома образована кольцевидной ДНК и находится в цитоплазме; мембранные органеллы отсутствуют (их функцию выполняют различные впячивания плазматической мембраны); в цитоплазме имеются многочисленные мелкие рибосомы; микротрубочки отсутствуют, поэтому цитоплазма неподвижна, а реснички и жгутики имеют особую структуру. К прокариотам относят бактерии.

Большинство современных живых организмов относится к одному из трех царств - растений, грибов или животных, объединяемых в надцарство эукариот.

В зависимости от количества, из которых состоят организмы, последние делят на одноклеточные и многоклеточные. Одноклеточные организмы состоят из одной единственной клетки, выполняющей все функции. Многие из этих клеток устроены гораздо сложнее, чем клетке многоклеточного организма. Одноклеточными являются все прокариоты, а также простейшие, некоторые зеленые водоросли и грибы.

Основу структурной организации клетки составляют биологические мембраны. Мембраны состоят из белков и липидов. В состав мембран входят также углеводы в виде гликолипидов и гликопротеинов, располагающихся на внешней поверхности мембраны. Набор белков и углеводов на поверхности мембраны каждой клетки специфичен и определяет её "паспортные" данные. Мембраны обладают свойством избирательной проницаемости, также свойством самопроизвольного восстановления целостности структуры. Они составляют основу клеточной оболочки, формируют ряд клеточных структур.

2.Сроение эукариотической клетки.

Типичная эукариотическая клетка состоит из трех компонентов: оболочки, цитоплазмы и ядра.

Клеточная оболочка.

Снаружи клетка окружена оболочкой, основу которой составляет плазматическая мембрана, или плазмалемма (см. рис.2), имеющая типичное строение и толщину 7,5 нм.

Клеточная оболочка выполняет важные и весьма разнообразные функции: определяет и поддерживает форму клетки; защищает клетку от механических воздействий проникновения повреждающих биологических агентов; осуществляет рецепцию многих молекулярных сигналов (например, гормонов); ограничивает внутреннее содержимое клетки; регулирует обмен веществ между клеткой и окружающей средой, обеспечивая постоянство внутриклеточного состава; участвует в формировании межклеточных контактов и различного рода специфических выпячивании цитоплазмы (микроворсинок, ресничек, жгутиков).

Углеродный компонент в мембране животных клеток называется гликокаликсом.

Обмен веществ между клеткой и окружающей ее средой происходит постоянно. Механизмы транспорта веществ в клетку и из нее зависят от размеров транспортируемых частиц. Малые молекулы и ионы транспортируются клеткой непосредственно через мембрану в форме активного и пассивного транспорта.

В зависимости от вида и направления различают эндоцитоз и экзоцитоз.

Поглощение и выделение твердых и крупных частиц получило соответственно названия фагоцитоз и обратный фагоцитоз, жидких или растворенных частичек - пиноцитоз и обратный пиноцитоз.

Цитоплазма. Органоиды и включения.

Цитоплазма представляет собой внутреннее содержимое клетки и состоит из гиалоплазмы и находящихся в нем разнообразных внутриклеточных структур.

Гиалоплазма (матрикс) - это водный раствор неорганических и органических веществ, способный изменять свою вязкость и находящиеся в постоянном движении. Способность к движению или, течению цитоплазмы, называют циклозом.

Матрикс - это активная среда, в которой протекают многие физические и химические процессы и которая объединяет все элементы клетки в единую систему.

Цитоплазматические структуры клетки представлены включениями и органоидами. Включения - относительно непостоянные, встречающиеся в клетках некоторых типов в определенные моменты жизнедеятельности, например, в качестве запаса питательных веществ (зерна крахмала, белков, капли гликогена) или продуктов подлежащих выделению из клетки. Органоиды - постоянные и обязательные компоненты большинства клеток, имеющим специфическую структуру и выполняющим жизненно важную функцию.

К мембранным органоидам эукариотической клетки относят эндоплазматическую сеть, аппарат Гольджи, митохондрии, лизосомы, пластиды.

Эндоплазматическая сеть. Вся внутренняя зона цитоплазмы заполнена многочисленными мелкими каналами и полостями, стенки которых представляют собой мембраны, сходные по своей структуре с плазматической мембраной. Эти каналы ветвятся, соединяются друг с другом и образуют сеть, получившую название эндоплазматической сети.

Эндоплазматическая сеть неоднородна по своему строению. Известны два ее типа - гранулярная и гладкая. На мембранах каналов и полостей гранулярной сети располагается множество мелких округлых телец - рибосом, которые придают мембранам шероховатый вид. Мембраны гладкой эндоплазматической сети не несут рибосом на своей поверхности.

Эндоплазматическая сеть выполняет много разнообразных функций. Основная функция гранулярной эндоплазматической сети - участие в синтезе белка, который осуществляется в рибосомах.

На мембранах гладкой эндоплазматической сети происходит синтез липидов и углеводов. Все эти продукты синтеза накапливаются н каналах и полостях, а затем транспортируются к различным органоидам клетки, где потребляются или накапливаются в цитоплазме в качестве клеточных включений. Эндоплазматическая сеть связывает между собой основные органоиды клетки.

Аппарат Гольджи (см. рис.4). Во многих клетках животных, например в нервных, он имеет форму сложной сети, расположенной вокруг ядра. В клетках растений и простейших аппарат Гольджи представлен отдельными тельцами серповидной или палочковидной формы. Строение этого органоида сходно в клетках растительных и животных организмов, несмотря на разнообразие его формы.

В состав аппарата Гольджи входят: полости, ограниченные мембранами и расположенные группами (по 5-10); крупные и мелкие пузырьки, расположенные на концах полостей. Все эти элементы составляют единый комплекс.

Аппарат Гольджи выполняет много важных функций. По каналам эндоплазматической сети к нему транспортируются продукты синтетической деятельности клетки - белки, углеводы и жиры. Все эти вещества сначала накапливаются, а затем в виде крупных и мелких пузырьков поступают в цитоплазму и либо используются в самой клетке в процессе ее жизнедеятельности, либо выводятся из нее и используются в организме. Например, в клетках поджелудочной железы млекопитающих синтезируются пищеварительные ферменты, которые накапливаются в полостях органоида. Затем образуются пузырьки, наполненные ферментами. Они выводятся из клеток в проток поджелудочной железы, откуда перетекают в полость кишечника. Еще одна важная функция этого органоида заключается в том, что на его мембранах происходит синтез жиров и углеводов (полисахаридов), которые используются в клетке и которые входят в состав мембран. Благодаря деятельности аппарата Гольджи происходят обновление и рост плазматической мембраны.

Митохондрии. В цитоплазме большинства клеток животных и растений содержатся мелкие тельца (0,2-7 мкм) - митохондрии (греч. "митос" - нить, "хондрион" - зерно, гранула).

Митохондрии хорошо видны в световой микроскоп, с помощью которого можно рассмотреть их форму, расположение, сосчитать количество. Внутреннее строение митохондрий изучено с помощью электронного микроскопа. Оболочка митохондрии состоит из двух мембран - наружной и внутренней. Наружная мембрана гладкая, она не образует никаких складок и выростов. Внутренняя мембрана, напротив, образует многочисленные складки, которые направлены в полость митохондрии. Складки внутренней мембраны называют кристами (лат. "криста" - гребень, вырост) Число крист неодинаково в митохондриях разных клеток. Их может быть от нескольких десятков до нескольких сотен, причем особенно много крист в митохондриях активно функционирующих клеток, например мышечных.

Митохондрии называют "силовыми станциями" клеток" так как их основная функция - синтез аденозинтрифосфорной кислоты (АТФ). Эта кислота синтезируется в митохондриях клеток всех организмов и представляет собой универсальный источник энергии, необходимый для осуществления процессов жизнедеятельности клетки и целого организма.

Новые митохондрии образуются делением уже существующих в клетке митохондрий.

Лизосомы. Представляют собой небольшие округлые тельца. От Цитоплазмы каждая лизосома отграничена мембраной. Внутри лизосомы находятся ферменты, расщепляющие белки, жиры, углеводы, нуклеиновые кислоты.

К пищевой частице, поступившей в цитоплазму, подходят лизосомы, сливаются с ней, и образуется одна пищеварительная вакуоль, внутри которой находится пищевая частица, окруженная ферментами лизосом. Вещества, образовавшиеся в результате переваривания пищевой частицы, поступают в цитоплазму и используются клеткой.

Обладая способностью к активному перевариванию пищевых веществ, лизосомы участвуют в удалении отмирающих в процессе жизнедеятельности частей клеток, целых клеток и органов. Образование новых лизосом происходит в клетке постоянно. Ферменты, содержащиеся в лизосомах, как и всякие другие белки синтезируются на рибосомах цитоплазмы. Затем эти ферменты поступают по каналам эндоплазматической сети к аппарату Гольджи, в полостях которого формируются лизосомы. В таком виде лизосомы поступают в цитоплазму.

Пластиды. В цитоплазме клеток всех растений находятся пластиды. В клетках животных пластиды отсутствуют. Различают три основных типа пластид: зеленые - хлоропласты; красные, оранжевые и желтые - хромопласты; бесцветные - лейкопласты.

Рибосомы. Рибосомы обнаружены в клетках всех организмов. Это микроскопические тельца округлой формы диаметром 15-20 нм. Каждая рибосома состоит из двух неодинаковых по размерам частиц, малой и большой.

В одной клетке содержится много тысяч рибосом, они располагаются либо на мембранах гранулярной эндоплазматической сети, либо свободно лежат в цитоплазме. В состав рибосом входят белки и РНК. Функция рибосом - это синтез белка. Синтез белка - сложный процесс, который осуществляется не одной рибосомой, а целой группой, включающей до нескольких десятков объединенных рибосом. Такую группу рибосом называют полисомой. Синтезированные белки сначала накапливаются в каналах и полостях эндоплазматической сети, а затем транспортируются к органоидам и участкам клетки, где они потребляются. Эндоплазматическая сеть и рибосомы, расположенные на ее мембранах, представляют собой единый аппарат биосинтеза и транспортировки белков.

Микротрубочки и микрофиламенты - нитевидные структуры, состоящие из различных сократительных белков и обуславливающие двигательные функции клетки. Микротрубочки имеют вид полых цилиндров, стенки которых состоят из белков - тубулинов. Микрофиламенты представляют собой очень тонкие, длинные, нитевидные структуры, состоящие из актина и миозина.

Микротрубочки и микрофиламенты пронизывают всю цитоплазму клетки, формируя её цитоскелет, обуславливают циклоз, внутриклеточные перемещения органелл, расхождение хромосом при делении ядерного материала и т.д.

Клеточный центр (центросома) (см. рис.3). В клетках животных вблизи ядра находится органоид, который называют клеточным центром. Основную часть клеточного центра составляют два маленьких тельца - центриоли, расположенные в небольшом участке уплотненной цитоплазмы. Каждая центриоль имеет форму цилиндра длиной до 1 мкм. Центриоли играют важную роль при делении клетки; они участвуют в образовании веретена деления.

В процессе эволюций разные клетки приспосабливались к обитанию в различных условиях и выполнению специфических функции. Это требовало наличия в них особых органоидах, которые называют специализированными в отличие от рассмотренных выше органоидов общего назначения. К их числу относят сократительные вакуоли простейших, миофибриллы мышечного волокна, нейрофибриллы и синаптические пузырьки нервных клеток, микроворсинки эпителиальных клеток, реснички и жгутики некоторых простейших.

Клеточное ядро.

Ядро - наиболее важный компонент эукариотических клеток. Большинство клеток имеют одно ядро, но встречаются и многоядерные клетки (у ряда простейших, в скелетных мышцах позвоночных). Некоторые высоко специализированные клетки утрачивают ядра (эритроциты млекопитающих, например).

Ядро, как правило, имеет шаровидную или овальную форму, реже может быть сегментированным или веретеновидном. В состав ядра входят ядерная оболочка и кариоплазма, содержащая хроматин (хромосомы) и ядрышки.

Ядерная оболочка образована двумя мембранами (наружной и внутренней) и содержит многочисленные поры, через которые между ядром и цитоплазмой происходит обмен различными веществами.

Кариоплазма (нуклеоплазма) представляет собой желеобразный раствор, в котором находятся разнообразные белки, нуклеотиды, ионы, а также хромосомы и ядрышко.

Ядрышко - небольшое округлое тельце, интенсивно окрашивающееся и обнаруживающееся в ядрах неделящихся клеток. Функция ядрышка - синтез рРНК и соединение их с белками, т.е. сборка субчастиц рибосом.

Хроматин - специфически окрашивающиеся некоторыми красителями глыбки, гранулы и нитчатые структуры, образованные молекулами ДНК в комплексе с белками. Различные участки молекул ДНК в составе хроматина обладает разной степенью спирализации, а потому различаются интенсивностью окраски и характером генетической активности. Хроматин представляет собой форму существования генетического материала в неделящихся клетках и обеспечивает возможность удвоение и реализации заключенной в нем информации. В процессе деления клеток происходит спирализация ДНК и хроматиновые структуры образуют хромосомы.

Хромосомы - плотные, интенсивно окрашивающиеся структуры, которые являются единицами морфологической организации генетического материала и обеспечивают его точное распределение при делении клетки.

Число хромосом в клетках каждого биологического вида постоянно. Обычно в ядрах клеток тела (соматических) хромосомы представлены парами, в половых клетках они не парны. Одинарный набор хромосом в половых клетках называют гаплоидным (n), набор хромосом в соматических клетках диплоидным (2n). Хромосомы разных организмов различаются размерами и формой.

Диплоидный набор хромосом клеток конкретного вида живых организмов, характеризующийся числом, величиной и формой хромосом, называют кариотипом. В хромосомном наборе соматических клеток парные хромосомы называют гомологичными, хромосомы из разных пар - негомологичными. Гомологичные хромосомы одинаковы по размерам, форме, составу (одна унаследована от материнского, другая - от отцовского организма). Хромосомы в составе кариотипа делят также на аутосомы, или неполовые хромосомы, одинаковые у особей мужского и женского, и гетерохромосомы, или половые хромосомы, участвующие в определении пола и различающиеся у самцов и самок. Кариотип человека представлен 46 хромосомами (23 пары): 44 аутосомы и 2 половые хромосомы (у женского пола две одинаковые X-хромосомы, у мужского - X - и Y - хромосомы).

Ядро осуществляет хранение и реализацию генетической информации, управление процессом биосинтеза белка, а через белки - всеми другими процессами жизнедеятельности. Ядро участвует в репликации и распределении наследственной информации между дочерними клетками, а следовательно, и в регуляции клеточного деления и процессов развития организма.

Обмен веществ и превращение энергии в клетке


Все живые организмы на Земле представляют собой открытые системы, способные активно организовывать поступление энергии и вещества извне. Энергия необходима для осуществления жизненно важных процессов, но прежде всего для химического синтеза веществ, используемых для построения и восстановления структур клетки и организма. Живые существа способны использовать только два вида энергии: световую (энергию солнечного излучения) и химическую (энергию связей химических соединении) - по этому признаку организмы делятся на две группы - фототрофы и хемотрофы.

Главным источником структурных молекул является углерод. В зависимости от источников углерода живые организмы делят на две группы: автотрофы, использующие не органический источник углерода (диоксид углерода), и гетеротрофы, использующие органические источники углерода.

Процесс потребления энергии и вещества называется питанием. Известны два способа питания: голозойный - посредством захвата частиц пищи внутрь тела и голофитный - без захвата, посредством всасывания растворенных пищевых веществ через поверхностные структуры организма. Пищевые вещества, попавшие в организм, вовлекаются в процессы метаболизма.

Метаболизм представляет собой совокупность взаимосвязанных и сбалансированных процессов, включающих разнообразные химические превращения в организме. Реакции синтеза, осуществляющиеся с потреблением энергии, составляют основу анаболизма (пластического обмена или ассимиляции).

Реакции расщепления, сопровождающиеся высвобождением энергии, составляют основу катаболизма (энергического обмена или диссимиляции).

1. Значение АТФ в обмене веществ.

Энергия, высвобождающая при распаде органических веществ, не сразу используется клеткой, а запасается в форме высокоэнергетических соединений, как правило, в форме аденозинтрифосфата (АТФ). По своей химической природе АТФ относится к мононуклеотидам и состоит из азотистого основания аденина, углевода рибозы и трех остатков фосфорной кислоты.

Энергия, высвобождающаяся при гидролизе АТФ, используется клеткой для совершения всех видов работы. Значительные количества энергии расходуются на биологические синтезы. АТФ является универсальным источником энергообеспечения клетки. Запас АТФ в клетке ограничен и пополняется благодаря процессу фосфорилирования, происходящему с разной интенсивностью при дыхании, брожении и фотосинтезе. АТФ обновляется чрезвычайно быстро (у человека продолжительность жизни одной молекулы АТФ менее 1 минуты).

2. Энергетический обмен в клетке. Синтез АТФ.

Синтез АТФ происходит в клетках всех организмов в процессе фосфорилирования, т.е. присоединения неорганического фосфата к АДФ. Энергия для фосфорилирования АДФ образуется в ходе энергетического обмена. Энергетический обмен, или диссимиляция, представляет собой совокупность реакции расщепления органических веществ, сопровождающихся выделением энергии. В зависимости от среды обитания диссимиляция может протекать в два или три этапа.

У большинства живых организмов - аэробов, живущих в кислородной среде, - в ходе диссимиляции осуществляется три этапа: подготовительный, бескислородный, кислородный. У анаэробов, обитающих в среде лишенной кислорода, или у аэробов при его недостатке, диссимиляция протекает лишь в два первых этапа с образованием промежуточных органических соединений, еще богатых энергией.

Первый этап - подготовительный - заключается в ферментативном расщеплении сложных органических соединении на более простые (белков на аминокислоты; полисахаридов на моносахариды; нуклеиновых кислот на нуклеотиды). Внутриклеточное расщепление органических веществ происходит под действием гидролитических ферментов лизосом. Высвобождающаяся при этом энергия рассеивается в виде теплоты, а образующиеся малые органические молекулы могут подвергнутся дальнейшему расщеплению и использоваться клеткой как "строительный материал" для синтеза собственных органических соединений.

Второй этап - неполное окисление - осуществляется непосредственно в цитоплазме клетки, в присутствии кислорода не нуждается и заключается в дальнейшем расщеплении органических субстратов. Главным источником энергии в клетке является глюкоза. Бескислородное, неполное расщепление глюкозы, называют гликолизом.

Третий этап - полное окисление - протекает при обязательном участие кислорода. В его результате молекула глюкозы расщепляется до неорганического диоксида углерода, а высвободившаяся при этом энергия частично расходуется на синтез АТФ.

3. Пластический обмен.

Пластический обмен, или ассимиляция, представляют собой совокупность реакций, обеспечивающих синтез сложных органических соединений в клетке. Гетеротрофные организмы строят собственные органические вещества из органических компонентов пищи. Гетеротрофная ассимиляция сводится, по существу, к перестройке молекул.

Органические вещества пищи (белки, жиры, углеводы) - ---пищеварение- - > Простые органические молекулы (аминокислоты, жирные кислоты, моносахара) - ----биологические синтезы----> Макромолекулы тела (белки, жиры, углеводы)

Автотрофные организмы способны полностью самостоятельно синтезировать органические вещества из неорганических молекул, потребляемых из внешней среды. В процессе автотрофной ассимиляции реакции фото - и хемосинтеза, обеспечивающие образование простых органических соединений, предшествует биологическим синтезам молекул макромолекул:

Неорганические вещества (углекислый газ, вода) - ----фотосинтез, хемосинтез---->Простые органические молекулы (аминокислоты, жирные кислоты, моносахара) - ----биологические синтезы----> Макромолекулы тела (белки, жиры, углеводы)

4. Фотосинтез.

Фотосинтез - синтез органических соединении из неорганических, идущий за счет энергии клетки. Ведущую роль в процессах фотосинтеза играют фотосинтезирующие пигменты, обладающие уникальным свойством - улавливать свет и превращать его энергию в химическую энергию. Фотосинтезирующие пигменты представляют собой довольно многочисленную группу белково-подобных веществ. Главным и наиболее важным в энергетическом плане является пигмент хлорофилл а, встречающиеся у всех фототрофов, кроме бактерии-фотосинтетиков. Фотосинтезирующие пигменты встроены во внутреннюю мембрану пластид у эукариот или во впячивания цитоплазматической мембраны у прокариот.

В процессе фотосинтеза кроме моносахаридов (глюкоза и др.), которые превращаются в крахмал и запасаются растением, синтезируются мономеры других органических соединении - аминокислоты, глицерин и жирные кислоты. Таким образом, благодаря фотосинтезу растительные, а точнее - хлорофиллосодержащие, клетки обеспечивают себя и все живое на Земле необходимыми органическими веществами и кислородом.

5. Хемосинтез.

Хемосинтез также представляет собой процесс синтеза органических соединении из неорганических, но осуществляется он не за счет энергии света, а за счет химической энергии, получаемой при окислении неорганических веществ (серы, сероводорода, железа, аммиака, нитрита и др.). Наибольшее значение имеют нитрифицирующие, железо - и серобактерии.

Высвобождающаяся в ходе реакций окисления энергия запасается бактериями в виде АТФ и используется для синтеза органических соединений. Хемосинтезирующие бактерии играют очень важную роль в биосфере. Они участвуют в очистке сточных вод, способствуют накоплению в почве минеральных веществ, повышают плодородие почвы.

 

Воспроизведение клеток


Все живые организмы состоят из клеток. Развитие, рост, становление типичной структуры организма осуществляется благодаря одной или группы исходных клеток. В процессе жизнедеятельности часть клеток изнашивается, стареет и погибает. Для поддержания структуры и нормального функционирования организм должен производить новые клетки на смену старым. Единственным способом образования клеток является деление предыдущих. Деление клеток - жизненно важный процесс для всех организмов.

1. Жизненный (клеточный) цикл.

Жизнь клетки от момента её возникновения в результате деления материнской клетки до ее собственного деления или смерти называется жизненным (или клеточным) циклом.

Обязательным компонентом клеточного цикла является митотический цикл, включающий подготовку к делению и само деление. В жизненном цикле есть также периоды покоя, когда клетка только исполняет свой функций и избирает свою дальнейшую судьбу (погибнуть либо возвратится в митотический цикл. Подготовка клетки к делению, или интерфаза, составляет значительную часть митотического цикла. Она состоит из трех подпериодов: постмитотический, или пресинтетический - G1, синтетический - S и постсинтетический, или премитотический - G2.

Период G1 - самый вариабельный по продолжительности. Во время его в клетке активизируются процессы биологического синтеза, в первую очередь структурных и функциональных белков. Клетка растет и готовится к следующему периоду.

Период S - главный в митотическом цикле. В делящихся клетках млекопитающих он длится около 6 - 10 ч. В это время клетка продолжает синтезировать РНК, белки, но самое важное осуществляет синтез ДНК. Редупликация ДНК происходит асинхронно. Но к концу S - периода вся ядерная ДНК удваивается, каждая хромосома становится двунитчатой, то есть состоит из двух хроматид - идентичных молекул ДНК.

Период G2 относительно короток, в клетках млекопитатающих он составляет около 2 - 5 ч. В это время количество центриолей, митохондрей и пластид удваивается, идут активные метаболические процессы, накапливаются белки и энергия для предстоящего деления. Клетка приступает к делению.

2. Деление клетки.

Описано три способа деления эукариотических клеток: амитоз (прямое деление), митоз (непрямое деление) и мейоз (редукционное деление).

Амитоз.

Амитоз - относительно редкий и малоизученный способ деления клетки. Описан он для стареющих и патологически измененных клеток. При амитозе интерфазное ядро делится путем перетяжки, равномерное распределение наследственного материала не обеспечивается. Нередко ядро делится без последующего разделения цитоплазмы и образуются двухъядерные клетки. Клетка, претерпевшая амитоз, в дальнейшим не способна вступать в нормальный митотический цикл. Поэтому амитоз встречается, как правило, в клетках и тканях, обреченных на гибель, например, в клетках зародышевых оболочек млекопитающих, в клетках опухолей.

Митоз.

Митоз (от греч. mitos - нить), кариокинез, непрямое деление клетки, наиболее распространённый способ воспроизведения (репродукции) клеток, обеспечивающий тождественное распределение генетического материала между дочерними клетками и преемственность хромосом в ряду клеточных поколений. Биологическое значение М. определяется сочетанием в нём удвоения хромосом путём продольного расщепления их и равномерного распределения между дочерними клетками. Началу М. предшествует период подготовки, включающий накопление энергии, синтез дезоксирибонуклеиновой кислоты (ДНК) и репродукцию центриолей. Источником энергии служат богатые энергией, или так называемые макроэргические соединения. М. не сопровождается усилением дыхания, т.к. окислительные процессы происходят в интерфазе (наполнение "энергетического резервуара"). Периодическое наполнение и опустошение энергетического резервуара - основа энергетики М.

Стадии митоза. Единый процесс М. обычно подразделяют на 4 стадии: профазу, метафазу, анафазу и телофазу. Препрофаза - синтетическая стадия М., соответствующая концу интерфазы (S - G2 периоды), включает удвоение ДНК и синтез материала митотического аппарата.

В профазе происходят реорганизация ядра с конденсацией и спирализацией хромосом, разрушение ядерной оболочки и формирование митотического аппарата путём синтеза белков и "сборки" их в ориентированную систему веретена деления клетки.

Метафаза заключается в движении хромосом к экваториальной плоскости (метакинез, или прометафаза), формировании экваториальной пластинки ("материнской звезды") и в разъединении хроматид, или сестринских хромосом.

Анафаза - стадия расхождения хромосом к полюсам. Анафазное движение связано с удлинением центральных нитей веретена, раздвигающего митотические полюсы, и с укорочением хромосомальных микротрубочек митотического аппарата. Удлинение центральных нитей веретена происходит либо за счёт поляризации "запасных" макромолекул, достраивающих микротрубочки веретена, либо за счёт дегидратации этой структуры. Укорочение хромосомальных микротрубочек обеспечивается свойствами сократительных белков митотического аппарата, способных к сокращению без утолщения.

Телофаза заключается в реконструкции дочерних ядер из хромосом, собравшихся у полюсов, разделении клеточного тела (цитотомия, цитокинез) и окончательном разрушении митотического аппарата с образованием промежуточного тельца. Реконструкция дочерних ядер связана с деспирализацией хромосом, восстановлением ядрышка и ядерной оболочки. Цитотомия осуществляется путём образования клеточной пластинки (в растительной клетке) или путём образования борозды деления (в животной клетке). Механизм цитотомии связывают либо с сокращением желатинизированного кольца цитоплазмы, опоясывающего экватор (гипотеза "сократимого кольца"), либо с расширением поверхности клетки вследствие распрямления петлеобразных белковых цепей (гипотеза "расширения мембран").

Продолжительность митоза зависит от размеров клеток, их плоидности, числа ядер, а также от условий окружающей среды, в частности от температуры. В животных клетках М. длится 30-60 мин, в растительных - 2-3 часа. Более длительны стадии М., связанные с процессами синтеза (препрофаза, профаза, телофаза); самодвижение хромосом (метакинез, анафаза) осуществляется быстро.

Мейоз.

Мейоз (от греч. meiosis - уменьшение), редукционное деление, деления созревания, способ деления клеток, в результате которого происходит уменьшение (редукция) числа хромосом в два раза и одна диплоидная клетка (содержащая два набора хромосом) после двух быстро следующих друг за другом делении даёт начало 4 гаплоидным (содержащим по одному набору хромосом). Восстановление диплоидного числа хромосом происходит в результате оплодотворения. М. - обязательное звено полового процесса и условие формирования половых клеток (гамет). Биологическое значение М. заключается в поддержании постоянства кариотипа в ряду поколений организмов данного вида и обеспечении возможности рекомбинации хромосом и генов при половом процессе. М. - один из ключевых механизмов наследственности и наследственной изменчивости. Поведение хромосом при М. обеспечивает выполнение основных законов наследственности.

Первая фаза М. - профаза I, наиболее сложная и длительная (у человека 22,5, у лилии 8-10 суток), подразделяется на 5 стадий. Лептотена - стадия тонких нитей, когда хромосомы слабо спирализованы и наиболее длинны, видны утолщения - хромомеры. Зиготена - стадия начала попарного, бок о бок соединения (синапсиса, конъюгации) гомологичных хромосом; при этом гомологичные хромомеры взаимно притягиваются и выстраиваются строго друг против друга. Пахитена - стадия толстых нитей; гомологичные хромосомы стабильно соединены в пары - биваленты, число которых равно гаплоидному числу хромосом; под электронным микроскопом видна сложная ультраструктура в месте контакта двух гомологичных хромосом внутри бивалента: т. н. синаптонемальный комплекс, который начинает формироваться ещё в зиготене; в каждой хромосоме бивалента обнаруживаются 2 хроматиды; Т.о., бивалент (тетрада, по старой терминологии) состоит из 4 гомологичных хроматид; на этой стадии происходит кроссинговер, осуществляющийся на молекулярном уровне; цитологические последствия его обнаруживаются на следующей стадии. Диплотена - стадия раздвоившихся нитей; гомологичные хромосомы начинают отталкиваться друг от друга, но оказываются связанными, обычно в 2-3 точках на бивалент, где видны хиазмы (перекресты хроматид) - цитологическое проявление кроссинговера. Диакинез - стадия отталкивания гомологичных хромосом, которые по-прежнему соединены в биваленты хиазмами, перемещающимися на концы хромосом (терминализация); хромосомы максимально коротки и толсты (за счёт спирализации) и образуют характерные фигуры: кресты, кольца и др. Следующая фаза М. - метафаза I, во время которой хиазмы ещё сохраняются; биваленты выстраиваются в средней части веретена деления клетки, ориентируясь центромерами гомологичных хромосом к противоположным полюсам веретена. В анафазе I гомологичные хромосомы с помощью нитей веретена расходятся к полюсам; при этом каждая хромосома пары может отойти к любому из двух полюсов, независимо от расхождения хромосом др. пар. Поэтому число возможных сочетаний при расхождении хромосом равно 2n, где n - число пар хромосом. В отличие от анафазы митоза, центромеры хромосом не расщепляются и продолжают скреплять 2 хроматиды в хромосоме, отходящей к полюсу. В телофазе I у каждого полюса начинается деспирализация хромосом и формирование дочерних ядер и клеток. Далее следует короткая интерфаза без редупликации ДНК - интеркинез, и начинается второе деление М. Профаза II, метафаза II, анафаза II и телофаза II проходят быстро; при этом в конце метафазы II расщепляются центромеры, и в анафазе II расходятся к полюсам хроматиды каждой хромосомы. Эта классическая схема М. имеет исключения. Например, у растений рода ожика (Luzula) и насекомых семейства кокцид (Coccidae) в первом делении М. расходятся хроматиды, а во втором - гомологичные хромосомы, однако и в этих случаях в результате М. происходит редукция числа хромосом. Различия между сперматогенезом и оогенезом у животных и образованием микроспор и мегаспор у растений не отражаются на поведении хромосом в ходе М., хотя размеры и судьбы сестринских клеток оказываются разными.

Известны аномалии М. У межвидовых гибридов все хромосомы, а у анеуплоидов непарные хромосомы не способны конъюгировать и остаются в виде унивалентов; у автополиплоидов образуются объединения более чем из 2 хромосом - т. н. мультиваленты. В каждом из этих случаев невозможна правильная редукция числа хромосом в анафазе I; образующиеся гаметы (с несбалансированными наборами хромосом) либо сами нежизнеспособны, либо дают нежизнеспособное или уродливое потомство. Отсутствие хиазм (ахизматия) обычно приводит к тем же результатам, однако у самцов некоторых видов мух, в том числе у дрозофилы, хиазмы всегда отсутствуют, хотя гаметы образуются нормальные. Причины перехода клеток от деления путём митоза к М. в жизненном цикле каждого организма, а также молекулярные механизмы конъюгации гомологичных хромосом и кроссинговера исследуются.

 

Животная и растительная клетки. Сравнение


Перед тем как начать сравнение надо еще раз упомянуть (хотя об этом уже не раз говорилось), что и растительные и животные клетки объединяются (вместе с грибами) в надцарство эукариот, а для клеток данного надцарства типично наличие мембранной оболочки, морфологически обособленного ядра и цитоплазмы (матрикс) содержащей различные органоиды и включения.

Итак, сравнение животной и растительной клеток:

Общие признаки:

. Единство структурных систем - цитоплазмы и ядра.

. Сходство процессов обмена веществ и энергии.

. Единство принципа наследственного кода.

. Универсальное мембранное строение.

. Единство химического состава.

. Сходство процесса деления клеток.


Растительная клетка

Животная клетка

Размер (ширина)

10 - 100 мкм

10 - 30 мкм

Форма

Однообразная - кубическая или плазматическая.

Клеточная стенка

Характерно наличие толстой целлюлозной клеточной стенки, углеводный компонент клеточной оболочки сильно выражен и представлен целлюлозной клеточной оболочной.

Имеют, как правило тонкую клеточную стенку, углеводный компонент относительно тонок (толщина 10 - 20 нм), представлен олигосахаридными группами гликопротеинов и гликолипидов и называется гликокаликсом.

Клеточный центр

У низших растений.

Во всех клетках

Центриоли

нет

есть

Положение ядра

Ядра у высокодифференцированных растительных клеток, как правило, оттеснены клеточным соком к периферии и лежат пристеночно.

У животных клеток они чаще всего занимают центральное положение.

Пластиды

Характерны для клеток фотосинтезирующих организмов (растения фотосинтезирующие - организмы). В зависимости от окраски различают три основных типа: хлоропласты, хромопласты и лейкопласты.

нет

Вакуоли

Крупные полости, заполненные клеточным соком - водным раствором различных веществ, являющихся запасными или конечными продуктами. Осмотические резервуары клетки

Сократительные, пищеварительные, выделительные вакуоли. Обычно мелкие

Включения

Запасные питательные вещества в виде зерен крахмала, белка, капель масла; вакуоли с клеточным соком; кристаллы солей

Запасные питательные вещества в виде зерен и капель (белки, жиры, углевод гликоген); конечные продукты обмена, кристаллы солей; пигменты

Способ деления

Цитокинез путем образования посередине клетки фрагмопласта.

Деление путем образования перетяжки.

Главный резервный питательный углевод

Крахмал

Гликоген

Способ питания

Автотрофный (фототрофный, хемотрофный)

Гетеротрофный

Способность к фотосинтезу

есть

нет

Синтез АТФ

В хлоропластах, митохондриях

В митохондриях


Эукариотическая клетка

Рис.1. Схема строения эукариотической клетки:

- ядро;

- ядрышко;

- поры ядерной оболочки;

- митохондрия;

- эндоцитозное впячивание;

- лизосома;

- агранулярный эндоплазматический ретикулум;

- гранулярный эндоплазматический ретикулум с полисомами;

- рибосомы;

- комплекс Гольджи;

- плазматическая мембрана.

Стрелки указывают направление потоков при эндо - и экзоцитозе.

Схема строения плазматической мембраны:

Рис.2. Схема строения плазматической мембраны:

- фосфолипиды;

- холестерин;

- интегральный белок;

- олигосахаридная боковая цепь.

 

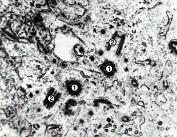
Электронограмма клеточного центра (две центриоли в конце G1-периода клеточного цикла):

Рис.5. Электронограмма клеточного центра (две центриоли в конце G1-периода клеточного цикла):

- центриоли в поперечном сечении;

- центриоли в продольном сечении.

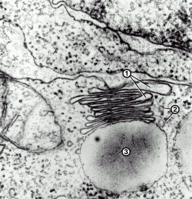
Комплекс Гольджи:

Рис.3. Комплекс Гольджи:

- цистерны;

- везикулы (пузырьки);

- крупная вакуоль.

 

Растительная и животная клетки


(см. рис.1 для более подробного ознакомления со структурой эукариотической клетки)


Список источников информации


1.       Биология для поступающих в ВУЗы. Москва "Высшая школа" 1998 год.

2.       Большая Советская Энциклопедия (Электронный вариант).

.        Малая Медицинская Энциклопедия (Электронный вариант).

.        Биология "Человек" 9 класс, Москва, "Дрофа", 2001 год.

Похожие работы на - Клетка

 

Не нашли материал для своей работы?
Поможем написать уникальную работу
Без плагиата!
Без нейросетей!