Вилочковая железа. История изучения генеза

  • Вид работы:
    Реферат
  • Предмет:
    Медицина, физкультура, здравоохранение
  • Язык:
    Русский
    ,
    Формат файла:
    MS Word
    691,89 Кб
  • Опубликовано:
    2016-07-05
Вы можете узнать стоимость помощи в написании студенческой работы.
Помощь в написании работы, которую точно примут!

Вилочковая железа. История изучения генеза

Государственное бюджетное образовательное учреждение высшего профессионального образования «Тюменский государственный медицинский университет

Министерства здравоохранения Российской Федерации» (ГБОУ ВПО Тюменский ГМУ Минздрава России)

Кафедра гистологии с эмбриологией имени ЗДН РФ проф. Дунаева П.В.






РЕФЕРАТ

по дисциплине: «Гистология, цитология, эмбриология»

Тема: «Вилочковая железа. История изучения генеза»

Выполнил: студентка 115 группы Соколова М. Н.

Проверил: ассистент кафедры Иванова Н. В.








Тюмень 2016

Оглавление

Введение

Анатомическое строение

Функции вилочковой железы       

Развитие вилочковой железы

Регуляция

Гистологическое строение

Заболевания вилочковой железы

Развитие вилочковой железы

Заключение

Список литературы



Введение

вилочковая железа иммунный гормон

Вилочковая железа, она же тимус, представляет собой важный орган, отвечающий за качество иммунной системы человека или животного. Она закладывается в организме эмбриона на 7 неделе, и является первым органом эндокринной и лимфоидной системы.

Свое название железа получила за внешний вид, напоминающий вилку с двумя зубцами. Состоит из двух частей, разделенных на доли. Части железы могут быть сращенными, но могут быть просто плотно прижатыми. Они не всегда симметричны, одна часть железы может быть больше. Железа покрыта соединительной тканью. Располагается она в грудной клетке, в верхней ее части, и разделяется на кору (внешний слой) и мозговой слой. Корковый слой состоит из эпителиальных и гематопоэтических клеток. В эпителиальных клетках вырабатывается ряд гормонов, опорные клетки, и клетки, благодаря которым происходит созревание лимфоцитов. Гематопоэтические клетки также отвечают за рост Т-лимфоцитов и макрофагов.

Анатомическое строение

Внешний вид

Вилочковая железа - небольшой орган розовато-серого цвета, мягкой консистенции, поверхность её дольчатая. У новорождённых его размеры составляют в среднем 5 см в длину, 4 см в ширину и 6 мм в толщину, масса - около 15 граммов. Рост органа продолжается до начала полового созревания (в это время его размеры максимальны - до 7,5-16 см в длину, а масса достигает 20-37 граммов). С возрастом тимус подвергается атрофии и в старческом возрасте едва отличим от окружающей его жировой ткани средостения; в 75 лет средняя масса тимуса составляет всего 6 граммов. По мере инволюции он утрачивает белый цвет и за счёт увеличения в нём доли стромы и жировых клеток становится более жёлтым.

Топография

Тимус расположен в верхней части грудной клетки, сразу за грудиной (верхнее средостение). Спереди к нему прилежит рукоятка и тело грудины до уровня IV реберного хряща; сзади - верхняя часть перикарда, покрывающего начальные отделы аорты и лёгочного ствола, дуга аорты, левая плечеголовная вена; с боков - медиастинальная плевра.

Строение

У человека тимус состоит из двух долей, которые могут быть сращены или же просто плотно прилегать друг к другу (см. прил. 1). Нижняя часть каждой доли широкая, а верхняя узкая; таким образом, верхний полюс может напоминать двузубую вилочку.

Обе части железы содержат большое количество Т - лимфоцитов. Клетки этой группы отвечают за распознавание посторонних организмов и их устранение. Также в тимус попадают незрелые костномозговые клетки, которые предшествуют образованию Т-лимфоцитов. При созревании некоторая часть Т-лимфоцитов способна побороть не только вирусные клетки, но и здоровые. Чтобы этого не случилось, в мозговом слое тимуса эта часть лимфоцитов погибает. Остальные Т-лимфоциты, способные распознавать вирус, по кровотоку отправляются к месту воспаления.

Железа имеет ярко-розовый цвет у новорожденного, но после наступления полового созревания желтеет. Уникальность этой железы заключается в том, что у младенца она весит 15 г в норме, потом начинается активный рост в периоде детства и отрочества. После 18 лет железа постепенно уменьшается в размерах, и к старости совершенно исчезает, оставив после себя только соединительную ткань.

Орган покрыт капсулой из плотной соединительной ткани, от которой в глубину отходят перемычки, делящие его на дольки.

У животных (зобная железа) развита у плодов и молодых животных. Она состоит из непарного грудного отдела, лежащего впереди сердца, и парного шейного отдела, проходящего в виде выростов по бокам трахеи. С возрастом железа начинает рассасываться, а затем исчезает.

Кровоснабжение, лимфоотток и иннервация

Кровоснабжение тимуса происходит из тимических, или тимусных ветвей внутренней грудной артерии, (rami thymici arteriae thoracicae internae), тимических ветвей дуги аорты и плечеголовного ствола и ветвей верхней и нижней щитовидных артерий. Венозный отток осуществляется по ветвям внутренних грудных и плечеголовных вен.

Лимфа от органа оттекает в трахеобронхиальные и парастернальные лимфатические узлы.

Иннервирована вилочковая железа ветвями правого и левого блуждающих нервов,[2] а также симпатическими нервами, происходящими из верхнего грудного и звездчатого узлов симпатического ствола, находящимися в составе нервных сплетений, которые окружают питающие орган сосуды.

Функции вилочковой железы

Вилочковая железа является центральным органом иммунной системы. Существует взаимосвязь между ней, щитовидной железой, гипофизом, надпочечниками и половыми железами. Для функционирования тимуса необходимы витамины группы В.

Вырабатывает гормоны: тимозин, тималин, тимопоэтин, инсулиноподобный фактор роста-1 (ИФР-1), тимусный гуморальный фактор - все они являются белками (полипептидами). При гипофункции тимуса - снижается иммунитет, так как снижается количество Т-лимфоцитов в крови.

До сих пор ведутся споры о том, к каким системам отнести вилочковую железу, и в чем именно состоит ее главная задача. На протяжении последний лет ее относят к эндокринной или лимфоидной системе. Чтобы отследить функции вилочковой железы, проводились эксперименты по ее удалению у животных. Результат всегда был одинаков - животные были подвержены инфекциям, отмечалась задержка развития костной ткани, деформация скелета.

Развитие вилочковой железы

У младенца вилочковая железа весит 15 г в норме, потом начинается активный рост в периоде детства и отрочества. После 18 лет железа постепенно уменьшается в размерах, и к старости совершенно исчезает, оставив после себя только соединительную ткань. Таким образом, Размеры тимуса максимальны в детском возрасте, но после начала полового созревания тимус подвергается значительной атрофии и инволюции. Дополнительное уменьшение размеров тимуса происходит при старении организма, с чем отчасти связывают понижение иммунитета у пожилых людей.

Регуляция

Секреция тимических гормонов и функция тимуса регулируется глюкокортикоидами - гормонами коры надпочечников, а также растворимыми иммунными факторами - интерферонов, лимфокинов, интерлейкинов, которые вырабатываются другими клетками иммунной системы. Глюкокортикоиды угнетают иммунитет, а также многие функции тимуса, и приводят к его атрофии, однако функция уничтожения аутоагрессивных клонов иммунокомпетентных клеток не только не страдает, но даже усиливается под их влиянием. Целый ряд исследований последних лет опровергают это предположение.

Пептиды шишковидной железы замедляют инволюцию тимуса. Аналогичным образом действует её гормон мелатонин, способный даже вызывать «омоложение» органа.

Гистологическое строение

Строма тимуса (см. прил. 2) имеет эпителиальное происхождение, происходит из эпителия передней части первичной кишки. Два тяжа берут начало из третьей жаберной дуги и прорастают в переднее средостение. Иногда строма тимуса формируется также добавочными тяжами из четвёртой пары жаберных дуг. Лимфоциты происходят из стволовых клеток крови, мигрирующих в тимус из печени на ранних стадиях внутриутробного развития. Первоначально в ткани тимуса происходит пролиферация различных клеток крови, но вскоре его функция сводится к образованию Т-лимфоцитов. Вилочковая железа имеет дольчатое строение, в ткани дольки различают корковое и мозговое вещество. Корковое вещество расположено на периферии дольки и в гистологическом микропрепарате выглядит тёмным (в нём много лимфоцитов - клеток с крупными ядрами). В корковом веществе расположены артериолы и кровеносные капилляры, имеющие гемато-тимусный барьер, препятствующий заносу антигенов из крови.

Корковое вещество содержит клетки:

эпителиального происхождения:

опорные клетки: формируют «каркас» ткани, образуют гемато-тимусный барьер;

звездчатые клетки: секретируют растворимые тимические (или тимусные) гормоны - тимопоэтин, тимозин и другие, регулирующие процессы роста, созревания и дифференцировки Т-клеток и функциональную активность зрелых клеток иммунной системы.

клетки-«няньки»: имеют инвагинации, в которых развиваются лимфоциты;

гематопоэтические клетки:

лимфоидного ряда: созревающие T-лимфоциты;

макрофагального ряда: типичные макрофаги, дендритные и интердигитирующие клетки.

Непосредственно под капсулой в клеточном составе преобладают делящиеся Т-лимфобласты. Глубже находятся созревающие Т-лимфоциты, постепенно мигрирующие к мозговому веществу. Процесс созревания занимает примерно 20 суток. В ходе созревания их происходит реаранжировка генов и формирование гена, кодирующего TCR (Т-клеточный рецептор).

Далее они претерпевают положительную селекцию: во взаимодействии с эпителиальными клетками отбираются «функционально пригодные» лимфоциты, которые способны взаимодействовать с HLA; в ходе развития лимфоцит дифференцируется в хелпер или киллер. Следующий этап - отрицательная селекция лимфоцитов - протекает на границе с мозговым веществом. Дендритные и интердигитирующие клетки - клетки моноцитарного происхождения - отбирают лимфоциты, способные к взаимодействию с антигенами собственного организма, и запускают их апоптоз.

Клеточный состав мозгового вещества представлен опорными эпителиальными клетками, звездчатыми клетками, макрофагами. Имеются также выносящие лимфатические сосуды и тельца Гассаля.

Заболевания вилочковой железы

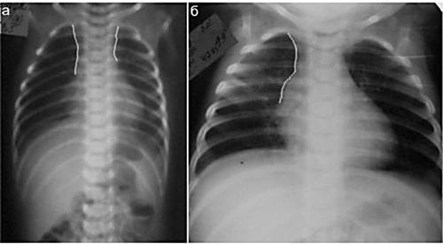
Нарушения в работе вилочковой железы в раннем возрасте ведут к потере сопротивляемости бактериям и вирусам. Такой ребенок постоянно болеет, подвержен вирусным инфекциям. Защитные функции организма снижаются при увеличении вилочковой железы. Поставить такой диагноз можно, сделав рентген грудной области. Увеличенная железа (см. прил. 3) выглядит темным пятном на фоне легких. При серьезных поражениях железы ее удаляют. Но чаще врачи советуют укреплять иммунитет медикаментозным способом.

Заболевания вилочковой железы встречаются редко и сопровождаются избыточной полнотой, резко выраженной слабостью, увеличением лимфатических желёз, снижением сопротивляемости организма инфекционным заболеваниям. Чаще отмечаются избыточное разрастание лимфоидной ткани и опухоли, которые могут сдавливать верхнюю полую вену и трахею. Это приводит к отеку и расширению вен лица, шеи и верхних конечностей, а также к затрудненному дыханию. К доброкачественным опухолям тимуса относятся ангиомы, липомы и др. Злокачественные опухоли встречаются преимущественно в пожилом возрасте. Лечение опухолей оперативное.

Вырождение вилочковой железы можно остановить и даже ее восстановить, и все это благодаря элементу цинк. Если восстановить запасы цинка, можно повернуть назад стрелки иммунной системы и поднять эффективность тимуса до уровня гораздо более молодого организма. Больше всего цинка содержится в следующих продуктах: маковое семя, говядина, тыквенные семечки, семечки подсолнуха, орехи, яичный желток.

Заболевания тимуса:

Синдром MEDAC (аутоиммунный полиэндокринный синдром тип 1) - характеризуется монилиазом слизистых оболочек и кожи, сахарным диабетом (редко), гипопаратиреозом и недостаточностью надпочечников. В 2/3 случаев синдром выявляется в неполной форме, включающей два из трёх основных компонентов

Синдром Ди Георга (синдром Ди Джорджа) - разновидность идиопатического изолированного гипопаратиреоза; редкое врождённое заболевание. Генетической причиной синдрома Ди Георга является делеция центрального участка длинного плеча хромосомы 22 размером 1.5-3 млн.п.н.

Миастения - аутоиммунное нервно-мышечное заболевание, характеризующееся патологически быстрой утомляемостью поперечно-полосатых мышц.

Развитие вилочковой железы

История относительно интенсивного изучения вилочковой железы насчитывает около 400 лет.

Начало его относится к 1614 г., когда профессор Базельского университета Феликс Платтер описал происшедшую у него на глазах внезапную смерть 5-месячного ребенка, при вскрытии трупа которого не было найдено никаких причин, способных объяснить смерть, кроме очень большого тимуса. Смерть этого ребенка тогда впервые связали с огромным тимусом, назвав данное состояние тимическим удушьем - asthma thymicum.

В середине XIX в. профессор Венского университета Карл Рокитанский высказал предположение об инкреторной функции вилочковой железы. Данная концепция была положена в основу представлений о тимико-лимфатическом статусе как врожденной особенности конституции, предрасполагающей к внезапной смерти от незначительных причин.

В симптомокомплекс тимико-лимфатического статуса включались первичная гиперфункция вилочковой железы, гипоплазия надпочечников, сердца и аорты. С этого времени причиной тимической смерти стали считать острую надпочечниковую недостаточность. Однако отсутствие характерных для тимико-лимфатического состояния признаков во многих случаях при такой смерти, в том числе и симптомов надпочечниковой недостаточности, позволило поставить под сомнение и данную концепцию.

В начале 1960-х гг. было доказано, что тимус является центральным органом иммунной системы. С этого времени вилочковая железа рассматривается в качестве железы внутренней секреции, действие гормонов которой направлено на дифференцировку тимических лимфоцитов. Открытие основной функции вилочковой железы - продукции Т-лимфоцитов и регуляции иммунитета, а также принадлежность ее к системе эндокринных желез позволяют рассматривать данный орган как коммутатор иммунной и эндокринной систем. В серии работ отечественных исследователей последних 20 лет доказывается, что дети с большой вилочковой железой относятся к числу иммунодефицитных лиц.

В 1970 г. проф. Т. Е. Ивановской для обозначения увеличенной вилочковой железы вместо вышеуказанных терминов был предложен термин «тимомегалия».

Под тимомегалией российские морфологи понимают увеличение объема и массы тимуса выше предельных возрастных значений с сохранением нормальной гистоархитектоники органа. Начиная с 1970 г., этот термин стал широко использоваться как морфологами, так и клиницистами.

Ориентировочная диагностика тимомегалии может быть проведена с помощью объективного исследования: осмотра, пальпации, перкуссии. Однако оценка результатов во многом субъективна и зависит от опыта исследователя.

Из инструментальных методов, позволяющих объективно выявить тимомегалию, используются рентгенодиагностика и ультразвуковое исследование (УЗИ).

Однако проведенные исследования показали, что тимомегалия является лишь одним из симптомов того состояния, которое существует у детей, имеющих увеличенную вилочковую железу. В связи с отсутствием другого термина, отражающего сущность состояния, которое имеет место у детей с увеличенной вилочковой железой (соответствующей тимомегалии в понимании патологоанатомов), предлагаем называть его синдромом Платтера.


Заключение

Таким образом, вилочковая железа или тимус является важным органом иммунной системы, который в детском возрасте отвечает за формирование первичного иммунитета. Он расположен сразу за грудиной в переднем отделе средостения (средостение - пространство в грудной полости, ограниченное легкими с двух сторон) и частично распространяется на шею. У взрослых в 20-25 лет функционирование вилочковой железы прекращается, и она постепенно превращается в жировую клетчатку.

Список литературы

1 #"882877.files/image001.jpg">

Анатомическое строение вилочковой железы

Микроскопическое строение вилочковой железы

Увеличение тимуса

Похожие работы на - Вилочковая железа. История изучения генеза

 

Не нашли материал для своей работы?
Поможем написать уникальную работу
Без плагиата!
Без нейросетей!