Методи дослідження слизової оболонки травного тракту
ВСТУП
В організмі людини травний комплекс органів відіграє
виняткову роль, оскільки забезпечує підтримку трофіки і життєдіяльності всіх
клітин і тканин. Органи травного комплексу здійснюють механічну переробку та
хімічне розщеплення компонентів їжі до більш простих сполук, здатних
всмоктуватися в кров і лімфу і засвоюватися всіма клітинами організму для
підтримання їхньої життєдіяльності і виконання спеціальних функцій. У
будь-якому відділі травну трубку вистилає слизова оболонка, яка, як правило,
складається з трьох шарів: епітелію, власної пластинки слизової оболонки і
м’язової пластинки слизової оболонки.
Дана тема є актуальною в наш час, оскільки слизова оболонка
надзвичайно важлива складова травної системи, яка виконує такі важливі функції,
як захисну, секреторну, ферментативну, всмоктувальну. Вона захищає травний
тракт від пошкоджень частинками їжі та дії соляної кислоти у шлунку, від
проникнення хвороботворних мікробів, сприяє кращому проходженню харчової
грудочки по травній трубці, продукує ферменти для перетравлення поживних
речовин та забезпечує їх всмоктування у кров.
Захворювання травного тракту є досить поширеними у наш час,
тому варто знати основні методи дослідження тканин даної системи і виявляти
різницю між нормальною будовою і патологічними змінами в тканинах
шлунково-кишкового тракту.
Мета даної роботи:
) описати гістологічну будову слизової оболонки травного
тракту;
) вивчити методи дослідження слизової оболонки травного
тракту;
) порівняти будову тканин слизової оболонки у різних відділах
травної трубки.
Завдання курсової роботи:
) виявити тканинний склад та функції слизової оболонки
травної системи;
) встановити та порівняти особливості будови та функції
слизової оболонки у передньому, середньому та задньому відділах травної трубки;
) описати головні методи дослідження та правила приготування
гістологічних препаратів тканин травної системи;
) порівняти будову тканин слизової оболонки
шлунково-кишкового тракту.
Об’єктом курсової роботи є травна система, її відділи.
Предметом курсової роботи є гістологічна будова слизової
тканини відділів шлунково-кишкового тракту та методи її дослідження.
РОЗДІЛ 1. ГІСТОЛОГІЧНА БУДОВА СЛИЗОВОЇ ОБОЛОНКИ ТРАВНОГО
ТРАКТУ
1.1 Гістогенез травної трубки.
Загальна будова та функції слизової оболонки травного тракту
Травна система людини складається із травної трубки і
розміщених поза нею залоз (слинні залози, печінка і підшлункова залоза), секрет
яких бере участь у процесі травлення. У травній системі умовно виділяють три
основних відділи: передній, середній і задній..
Для розуміння гістологічної будови і гістофізіології різних
відділів травної системи спочатку необхідно ознайомитися з особливостями
гістогенезу і загальними принципами будови травної трубки. [2]
Гістогенез. Епітеліальне вистилання травної трубки і залози
розвиваються з ентодерми та ектодерми. З ентодерми формуються одношаровий
призматичний епітелій слизової оболонки шлунку, тонкого і більшої частини
товстого кишечника, а також залозиста паренхіма печінки та підшлункової залози.
З ектодерми ротової і анальної бухт ембріона утворюється багатошаровий плоский
епітелій ротової порожнини, слинних залоз і каудального відділу прямої кишки.
Мезенхіма є джерелом розвитку сполучної тканини і судин, а також гладенької
м’язової тканини травних органів. З вісцерального листка спланхнотома
розвивається одношаровий плоский епітелій (мезотелій) серозної оболонки -
вісцерального листка очеревини. [1]
Травна трубка в будь-якому її відділі складається з
внутрішньої слизової оболонки, підслизової основи, м’язової оболонки і
зовнішньої оболонки, яка представлена або серозною оболонкою, або
адвентиціальною оболонкою. [4]
Слизова оболонка. Свою назву вона отримала в зв’язку з тим,
що поверхня її постійно зволожується слизом, що виділяється залозами. Ця
оболонка складається, як правило, з трьох пластинок: епітелію, власної
пластинки слизової оболонки і м’язової пластинки слизової оболонки.
Епітелій в передньому і задньому відділах травної трубки -
багатошаровий плоский, а в середньому відділі - одношаровий призматичний.
Залози розташовані або ендоепітеліально (наприклад, бокаловидні клітини в
кишечнику), або екзоепітеліально у власній пластинці слизової оболонки
(стравохід, шлунок) і в підслизовій основі (стравохід, дванадцятипала кишка)
або за межами травного каналу (печінка, підшлункова заліза). В епітелії
слизової оболонки і залозах всіх відділів травної системи, але особливо в її
середньому відділі, є поодинокі ендокринні клітини. Виділяються ними біологічно
активні речовини - нейротрансміттери і гормони надають як місцеву дію,
регулюючи функцію залоз і гладких м’язів судин, так і загальний вплив на
організм. [1]
1.2 Передній відділ травного тракту.
Ротова порожнина. Глотка. Стравохід
Передній відділ включає в себе ротову порожнину з усіма її
структурними утвореннями, глотку і стравохід. До похідних ротової порожнини
відносять губи, щоки, ясна, тверде і м’яке піднебіння, язик, мигдалини, слинні
залози, зуби. Тут знаходиться також орган смаку.
Для переднього відділу характерна наявність у слизовій
оболонці багатошарового плоского епітелію, який захищає від пошкоджень сполучну
тканину. Крім того, у передньому відділі травної системи може відбуватися
початкова хімічна обробка вуглеводів їжі амілазою і мальтазою слини. [4]
Ротова порожнина. Слизова оболонка ротової порожнини відрізняється
наступними особливостями:
наявністю багатошарового плоского епітелію (товщина 180 - 600
мкм);
відсутністю або слабким розвитком м’язової пластинки слизової
оболонки
відсутністю в деяких ділянках підслизової основи. [2]
Слизова оболонка ротової порожнини складається з
багатошарового плоского епітелію шкірного типу і власної сполучнотканинної
пластинки. Ступінь розвитку цих тканинних структур неоднакова в різних ділянках
слизової оболонки. Поверхня епітелію постійно зволожується за рахунок слини, яка
виділяється численними дрібними і великими слинними залозами ротової порожнини.
Поверхневий шар епітелію утворений плоскими клітинами, а в
окремих місцях - роговими лусочками. Ці епітеліальні клітини і рогові лусочки
злущуються у ротову порожнину. Оновлення клітинного складу епітелію
відбувається досить інтенсивно (за 4- 6 доби).
Наявність безлічі поверхневих дрібних кровоносних судин, які
просвічуються через епітелій, надає слизовій оболонці характерного рожевого
кольору. Добре зволожений епітелій здатний пропускати багато речовин у ці
судини, що часто використовується у лікарській практиці для введення таких
ліків, як нітрогліцерин, валідол та інші, через слизову оболонку рота.[1]
Губи. У губі розрізняють три відділи: шкірний, проміжний і
слизовий. У товщі губи знаходяться поперечно- посмуговані м’язи.
Шкірний відділ губи має будову шкіри. Він покритий
багатошаровим плоским ороговіваючим епітелієм і забезпечений сальними, потовими
залозами і волоссям. Епітелій цієї частини розташований на базальній мембрані;
під мембраною лежить пухка волокниста сполучна тканина, яка утворює високі
сосочки, що вдаються в епітелій.
Проміжний відділ губи складається з двох зон: зовнішньої
(гладкої) і внутрішньої (ворсинчастої). У зовнішній зоні роговий шар епітелію
зберігається, але стає тоншим і прозорішим. У цій області немає волосся,
поступово зникають потові залози, а зберігаються тільки сальні залози, що
відкривають свої протоки на поверхню епітелію. Власна пластинка слизової
оболонки є продовженням сполучнотканинної частини шкіри; її сосочки в цій зоні
невисокі. Внутрішня зона у новонароджених покрита епітеліальними сосочками, які
іноді називають ворсинками. Ці епітеліальні сосочки у міру росту організму
поступово згладжуються і стають малопомітними. Епітелій внутрішньої зони
перехідного відділу губи дорослої людини в 3- 4 рази товще, ніж у зовнішній
зоні, позбавлений рогового шару. Сальні залози тут, як правило, відсутні. Пухка
волокниста сполучна тканина, що лежить під епітелієм, утворює дуже високі
сосочки, в яких знаходяться численні капіляри. Циркулююча в них кров
просвічується через епітелій та обумовлює червоний колір губ. Сосочки містять
величезну кількість нервових закінчень, тому червоний край губи дуже чутливий.
Слизовий відділ губи покритий багатошаровим плоским неороговіваючим
епітелієм. Епітеліальний пласт у слизовому відділі губи значно товщий, ніж у
шкірному. Власна пластинка слизової оболонки тут утворює сосочки, однак вони
менш високі, ніж в лежачому поруч перехідному відділі. М’язова пластинка
слизової оболонки відсутня, і тому власна пластинка без різкої межі переходить
у підслизову основу, що примикає безпосередньо до поперечно- посмугованих
м’язів. [1]
Щоки. Щоки - це м’язові утворення, покриті зовні шкірою, а
зсередини - слизовою оболонкою. У слизовій оболонці щоки розрізняють три зони:
верхню, або максилярну, нижню, або мандибулярну, і середню, або проміжну. У
слизовій оболонці відсутня м’язова пластинка.
Максилярна і мандибулярна зони щоки мають будову, схожу з
будовою слизової частини губи. Епітелій тут багатошаровий плоский незроговілий,
сосочки власної пластинки слизової оболонки невеликих розмірів.
Середня, або проміжна, зона в ембріональному періоді і
протягом першого року життя дитини має епітеліальні ворсинки, такі ж, як на
перехідній частині губи. [1]
Ясна. Тверде піднебіння. Ясна утворені слизовою оболонкою,
щільно зрощеної з окістям верхньої та нижньої щелеп. Слизова оболонка вистелена
багатошаровим плоским епітелієм, який іноді ороговіває. Власна пластинка
слизової оболонки утворює довгі сосочки. Сосочки стають нижчими в тій частині
ясен, яка безпосередньо прилягає до зубів. М’язова пластинка слизової оболонки
відсутня. Ясна дуже іннервовані. В епітелії знаходяться вільні нервові
закінчення, а у власній пластинці слизової оболонки - інкапсульовані і
неінкапсульовані нервові закінчення.
Тверде піднебіння складається з кісткової основи, покритої
слизової оболонкою. Підслизова основа відсутня, тому слизова оболонка щільно
зрощена з окістям. Слизова оболонка вистелена багатошаровим плоским неороговіваючим
епітелієм. В області шва твердого піднебіння епітелій слизової оболонки іноді
утворює потовщення, що має вигляд характерних тяжів. Власна пластинка слизової
оболонки утворює сосочки, які вдаються в епітелій. [1]
М’яке піднебіння. Язичок. М’яке піднебіння та язичок
складаються з сухожильно-м’язової основи, вкритої слизовою оболонкою. Слизова
оболонка ротової поверхні м’якого піднебіння і язичка покрита багатошаровим
плоским неороговіваючим епітелієм. Власна пластинка слизової оболонки утворює
високі вузькі сосочки, що глибоко вдаються в епітелій. За нею розташовується
сильно розвинений шар еластичних волокон. М’язова пластинка слизової оболонки
відсутня.
Слизова оболонка носової поверхні м’якого піднебіння покрита
псевдо багатошаровим війчастим епітелієм, що містить бокаловидні клітини.
Власна пластинка слизової оболонки тут позбавлена сосочків і
відділена від епітелію добре вираженою базальної мембраною. На поверхні
епітелію відкриваються дрібні слинні залози слизистого типу. За власною
пластинкою слідує шар еластичних волокон. М’язова пластинка слизової оболонки і
підслизова основа відсутні. У місці переходу слизової оболонки ротової поверхні
піднебіння у носовий епітелій стає спочатку багатошаровим призматичним, а потім
багаторядним миготливим. [1]
Язик. Язик людини, крім участі у смаковому сприйнятті,
механічної обробки їжі та акті ковтання, є органом мови. Основу язика становить
поперечно-посмугована м’язова тканина соматичного типу. Язик покритий слизовою
оболонкою. Рельєф його різний на нижній, бічній і верхній поверхні язика.
Найбільш просту будову має слизова оболонка на його нижній поверхні. Епітелій
тут багатошаровий плоский незроговілий. Власна пластинка слизової оболонки
вдається в епітелій, утворюючи короткі сосочки. За власною пластинкою слідує
підслизова основа, яка прилягає безпосередньо до м’язів. Завдяки наявності
підслизової основи слизова оболонка нижньої поверхні язика легко зміщується.
Слизова оболонка верхньої і бічних поверхонь язика нерухомо
зрощена з його м’язовим тілом і забезпечена особливими утвореннями - сосочками.
Підслизова основа відсутня.
Слизова оболонка кореня язика характеризується відсутністю
сосочків. Однак поверхня епітелію тут не рівна, а має ряд підвищень і
заглиблень. [1]
Глотка. У глотці перехрещуються дихальний і травний шляхи. У
ній розрізняють три відділи, які мають різну будову: носовий, ротовий і
гортанний. Кожен з цих відділів відрізняється від іншого будовою слизової
оболонки. [2]
Слизова оболонка носового відділу глотки покрита багаторядним
війчастим епітелієм, містить змішані залози (респіраторний тип слизової
оболонки).
Слизова оболонка ротового і гортанного відділів вислана
багатошаровим (плоским) епітелієм, розташованим на власній пластинці слизової
оболонки, в якій є добре виражений шар еластичних волокон. У підслизовій основі
лежать кінцеві відділи складних слизових залоз. Вивідні протоки їх
відкриваються на поверхні епітелію. Слизова оболонка і підслизова основа глотки
примикають до м’язової стінки. [4]
Стравохід. Стравохід побудований зі слизової оболонки,
підслизової основи, м’язової та адвентиційної оболонок. Слизова оболонка і
підслизова основа утворюють у стравоході 7-10 поздовжньо розташованих складок,
які вдаються в його просвіт.
Слизова оболонка стравоходу побудована з епітелію, власної
сполучнотканинної і м’язової пластинок. Епітелій слизової оболонки -
багатошаровий плоский незроговілий, але в літньому віці його поверхневі клітини
можуть піддаватися зроговінню. У складі епітеліального пласту є 20-25 клітинних
шарів. У стравоході людини плоскі клітини поверхневого шару епітелію містять
невелику кількість зерен кератогіаліну. Власна пластинка слизової оболонки
утворює сполучнотканинні сосочки, які вдаються в епітелій. У ній знаходяться
великі скупчення лімфоцитів навколо проток слизових залоз, утворюючи навіть
окремі лімфатичні вузли.
М’язова пластинка слизової оболонки стравоходу складається з
поздовжньо розташованих пучків гладеньких м’язових клітин, оточених сіткою
еластичних волокон. [1]
.3 Середній та задній
відділи травного тракту
Середній, або гастроентеральний, відділ травної трубки
включає шлунок, тонку й товсту кишку, печінку, жовчний міхур, підшлункову
залозу. У цьому відділі проходить хімічна обробка їжі під дією ферментів
шлункового й кишкового соків та всмоктування необхідних для організму поживних
речовин. [2]
Шлунок. Шлунок виконує в організмі ряд важливих функцій,
головною з яких є секреторна. Залози шлунку продукують шлунковий сік, до складу
якого входять ферменти пепсин, ренін, ліпаза, а також соляна кислота і слиз.
Для нормальної діяльності слизової оболонки шлунку необхідний
захист від пошкоджуючої дії соляної кислоти. Цю функцію виконує слиз, до складу
якого входить нейтралізуюча кислоту речовина (бікарбонат). У шлунку
відбувається всмоктування деяких речовин (води, спирту, солей, цукру та ін.).
Всмоктуюча функція слизової оболонки, однак, має границі. Слід відмітити
захисну (бар’єрну) функцію епітелію шлунку, яка протидіє проникненню мікробів у
кров, попереджає самоперетравлення.
Стінка шлунку складається зі слизової оболонки, підслизової
основи, м’язової та серозної оболонок.
Для рельєфу внутрішньої поверхні шлунку характерна наявність
трьох видів утворень - поздовжніх шлункових складок, шлункових полів та
шлункових ямок.
Шлункові складки утворені слизовою оболонкою і підслизовою
основою. Шлункові поля являють собою відмежовані одна від одної борознами
ділянки слизової оболонки. Вони мають багатокутну форму. Наявність полів
пояснюється тим, що залози шлунку розташовуються групами, відмежованими одне
від одного прошарками сполучної тканини. Поверхневі вени у цих прошарках
просвічують у вигляді червоних ліній, виділяючи межі між полями. Шлункові ямки
- поглиблення епітелію у власній пластинці слизової оболонки. На дні шлункових
ямок відкриваються залози, які лежать у власній пластинці слизової оболонки.
Слизова оболонка найтонша у кардіальному відділі.
Слизова оболонка шлунку складається з трьох шарів - епітелію,
власної та м’язової пластинки. Епітелій, що вистилає поверхню слизової оболонки
шлунку і ямок, одношаровий призматичний залозистий. Усі поверхневі епітеліоцити
шлунку постійно виділяють мукоїдний (слизоподібний) секрет. Вуглеводний
компонент відіграє важливу роль у захисній реакції слизової оболонки шлунку на
пошкоджуючу дію шлункового соку. Роль поверхневих епітеліоцитів шлунку полягає
у продукуванні слизу, який слугує захистом як від механічних пошкоджень грубими
часточками їжі, так і від хімічної дії шлункового соку. Кількість слизу у
шлунку дуже збільшується при потраплянні в нього подразнюючих речовин
(алкоголь, кислота, гірчиця тощо). [1]
Тонка кишка. У тонкій кишці піддаються хімічній обробці
білки, жири і вуглеводи. У перетравленні білків беруть участь ферменти
панкреатичного соку і кишкового соку.
Стінка тонкої кишки побудована зі слизової оболонки,
підслизової основи, м’язової і серозної оболонок. [2]
Внутрішня поверхня тонкої кишки має характерний рельєф
завдяки наявності ряду утворень - циркулярних складок, ворсинок і крипт
(кишкові залози). Кишкові ворсинки і крипти є основними
структурно-функціональними одиницями слизової оболонки тонкого кишечника.
Циркулярні складки утворені слизовою оболонкою і підслизовою основою. Кишкові
ворсинки представлені вип’ячуваннями слизової оболонки пальцевидної або
листоподібний форми. Число ворсинок в тонкій кишці дуже велике. В утворенні
кожної ворсинки беруть участь структурні елементи всіх шарів слизової оболонки.
Кишкові крипти (залози) є поглибленнями епітелію у вигляді численних трубочок,
що лежать у власній пластинці слизової оболонки. Їх отвори відкриваються в
просвіт між ворсинками.
Слизова оболонка тонкої кишки складається з одношарового
призматичного епітелію, власного шару слизової оболонки і м’язового шару
слизової оболонки.
Епітеліальний пласт тонкої кишки містить чотири основні
популяції клітин - стовпчасті епітеліоцити, келихоподібні екзокриноцити,
екзокриноцити з ацидофільними гранулами, ендокриноцити, а також М-клітини
(модифікація стовпчастих епітеліоцитів). Джерелом розвитку цих популяцій є
стовбурові клітини, які знаходяться на дні крипт, з яких спочатку утворюються
клітини-попередники, які діляться мітозом і диференціюються на конкретний вид
епітеліоцитів. Таким чином, епітелій крипт і ворсинок представляє єдину
систему, в якій можна виділити кілька компартментів клітин на різних стадіях
диференціювання.
Власна пластинка слизової оболонки тонкої кишки складається з
пухкої волокнистої сполучної тканини, в якій визначаються макрофаги,
плазматичні клітини і лімфоцити. Є також як поодинокі (солітарні) лімфатичні
вузлики, так і більші скупчення лімфоїдної тканини - агрегати, або групові
лімфатичні вузлики (Пейєрові бляшки).
М’язова пластинка слизової оболонки представлена гладкою
м’язовою тканиною.
У підслизовій основі дванадцятипалої кишки знаходяться
дуоденальні (бруннерові) залози. Це складні розгалужені трубчасті слизові
залози. Основний вид клітин в епітелії цих залоз - слизові гландулоцити.
Вивідні протоки цих залоз вистелені клітинами з облямівкою. Крім того, в
епітелії дуоденальних залоз зустрічаються клітини Панета, екзокриноцити і
ендокриноцити. Секрет цих залоз бере участь у розщепленні вуглеводів і
нейтралізації соляної кислоти, що надходить із шлунку, механічної захисту
епітелію.
М’язова оболонка тонкої кишки складається з внутрішнього
(циркулярного) і зовнішнього (поздовжнього) шарів гладкої м’язової тканини. У
дванадцятипалій кишці м’язова оболонка тонка і зважаючи на вертикальне
розташування кишки практично не бере участі у перистальтиці та просуванні
хімусу. Зовні тонка кишка вкрита серозною оболонкою. [1]
Ободова кишка. Стінка ободової кишки утворена слизовою
оболонкою, підслизовою основою, м’язовою і серозною оболонками. Для рельєфу
поверхні ободової кишки характерна наявність великої кількості циркулярних
складок і кишкових крипт (залоз), які значно збільшують її площу. На відміну
від тонкої кишки тут відсутні ворсинки.
Слизова оболонка ободової кишки, як і тонкої, має три шари -
епітелій, власну пластинку і м’язову пластинку. Епітелій слизової оболонки
одношаровий призматичний. Він складається з трьох основних видів клітин:
стовпчастих епітеліоцитів, бокаловидних, екзокриноцитів і шлунково-кишкових
ендокриноцитів. Крім того, є недиференційовані епітеліоцити. Стовпчасті
епітеліоцити розташовуються на поверхні слизової оболонки і в її криптах. Келихоподібні
екзокриноцити, що виділяють слиз, є у великій кількості в криптах. При основі
кишкових крипт лежать недиференційовані епітеліоцити. За рахунок цих клітин
відбувається регенерація стовпчастих епітеліоцитів і келихоподібних
екзокриноцитів. Зрідка зустрічаються ендокринні клітини і клітини з
ацидофільними гранулами. [1]
Червоподібний відросток. Червоподібний відросток є
дивертикулом сліпої кишки. Слизова оболонка його включає ободовий призматичний
епітелій з добре розвиненими криптами. Крім ободових і безободових стовпчастих
епітеліоцитів, в епітелії зустрічаються келихоподібні екзокриноцити, клітини
Панета та ендокриноцити. Власна пластинка слизової оболонки утворена пухкою
волокнистою сполучною тканиною. У ній, а також у підслизовій основі, розташовуються
великі скупчення лімфоїдної тканини. Іноді лімфатичні вузлики, зливаючись один
з одним, повністю оточують просвіт відростка і навіть перекривають його. При
попаданні в просвіт і тканини червоподібного відростка мікробів може статися
запалення, що потребує хірургічного його видалення (апендектомії). Лімфоїдна
тканина апендикса бере участь у захисній функції організму разом з іншими
лімфоїдними утвореннями у складі стінки кишкової трубки. [1]
Пряма кишка. Стінка прямої кишки складається з тих же оболонок,
що і стінка ободової кишки. У тазовій частині прямої кишки її слизова оболонка
має три поперечні складки. В утворенні цих складок беруть участь підслизова
основа і кільцевий шар м’язової оболонки. Нижче цих складок розташовується 8-10
поздовжніх складок, між якими видно заглиблення. [4]
Каудальна частина прямої кишки становить задній відділ
травної трубки. У її анальній частині розрізняють стовпчасту, проміжну та
шкірну зони. У стовпчастій зоні поздовжні складки утворюють задньопрохідні
стовпи. У проміжній зоні ці утворення з’єднуються, утворюючи зону слизової
оболонки з гладкою поверхнею у вигляді кільця шириною близько 1 см.
Слизова оболонка прямої кишки складається з епітелію, власної
та м’язової пластинок. Епітелій у верхньому відділі прямої кишки одношаровий
призматичний, у стовпчастій зоні нижнього відділу - багатошаровий, кубічний, у
проміжній - багатошаровий плоский незроговілий, у шкірній - багатошаровий
плоский зроговілий. Перехід від багатошарового кубічного епітелію до
багатошарового плоского здійснюється різко у вигляді зигзагоподібної -
аноректальної лінії. [2]
Перехід в епітелій шкірного типу поступовий. В епітелії
прямої кишки зустрічаються стовпчасті епітеліоцити з покресленою облямівкою,
бокаловидні екзокриноцити та ендокринні клітини. Останніх особливо багато у
стовпчастій зоні. Епітелій у верхній частині прямої кишки утворює кишкові
крипти. Вони трохи довші, ніж в ободовій кишці, але менш численні. У нижніх
відділах кишки крипти поступово зникають.
Власна пластинка бере участь у формуванні складок прямої
кишки. Тут розташовуються поодинокі лімфоїдні вузлики і судини. В області
стовпчастої зони у цій пластинці залягає мережа тонкостінних кровоносних лакун,
кров з яких відтікає в гемороїдальні вени. У власній пластинці цієї області проходять
протоки залоз, розташовані у підслизовій основі.
У проміжній зоні власна пластинка містить велику кількість
еластичних волокон, а також лімфоцитів і тканинних базофілів (тучні клітини).
Тут знаходяться і поодинокі сальні залози. У шкірній зоні, оточуючій анальний
отвір, до сальних залоз приєднується волосся. Потові залози у власній пластинці
слизової оболонки з’являються на відстані 1 - 1,5 см від ануса, представляють
собою трубчасті залози, кінцеві відділи яких згорнуті кільцем . Це залози
апокринного типу. [1]
РОЗДІЛ 2. МЕТОДИ ДОСЛІДЖЕННЯ СЛИЗОВОЇ ОБОЛОНКИ ТРАВНОГО
ТРАКТУ
.1. Способи забору
біоматеріалу для дослідження
Біопсія - це діагностична процедура, при якій з «підозрілого»
місця, наприклад, пухлини, поліпа, тривало не заживаючої виразки, беруться
крихітні частинки тканини (біоптат). У залежності від того, звідки береться
біоптат, користуються різними інструментами. Це може бути товста голка,
ендоскоп (коли досліджують стравохід або шлунок), звичайний скальпель (під час
хірургічної операції). Отримані за допомогою біопсії шматочки тканин
відправляють у спеціальну лабораторію, де проводиться їх гістологічний аналіз.
Є такі види біопсії: ексцизійна біопсія - у результаті
хірургічного втручання відбувається вилучення всього досліджуваного утворення
або органу; інцизійна біопсія - у результаті хірургічного втручання
відбувається вилучення частини утворення або органу; пункційна біопсія - у
результаті проколу порожнистою голкою досліджуваного утворення відбувається
забір фрагментів або стовпчика тканини.
Для гістологічного дослідження використовуються щипцевий і
петльовий спосіб взяття біопсійного матеріалу, з метою розширеної гастробіопсії
використовується ендоскопічна резекція (хірургічна операція, яка полягає у
частковому, а іноді й повному відсіканні будь-якого органа при ураженні його
хворобливим процесом) або дисекція слизової оболонки.
Гастробіопсія - це метод прижиттєвого вилучення шматочка
слизової оболонки шлунку за допомогою біопсійного зонда. В даний час прицільна
біопсія, що проводиться під контролем зору під час ФГДС
(фіброгастродуоденоскопія), витіснила аспіраційну (очисну) біопсію шлунку.
Велике значення біопсії для з’ясування характеру виразки, виду пухлини,
діагностики хронічного гастриту.
Дослідження порожнини рота. Дослідження порожнини рота
проводять з метою визначення стану слизової оболонки, язика, зубів, слинних
залоз, зміни яких можуть свідчити як про місцеву патології, так і про
захворювання інших органів і систем. Для виявлення захворювань слизової
оболонки, особливо тих, які супроводжуються підвищеним зроговінням, огляд
ротової порожнини проводять у променях лампи Вуда (люмінесцентна діагностика).
Усім хворим з патологією слизової оболонки рота проводять клінічний аналіз
крові.
Дослідження верхніх відділів ШКТ. Ендоскопія верхніх відділів
шлунково-кишкового тракту (ШКТ) - стравоходу, шлунку, дванадцятипалої кишки є
методом вибору при необхідності дослідження цих органів. Сучасні можливості
методу дозволяють провести макроскопічне та мікроскопічне вивчення органів,
здійснити забір секрету і тканин, за необхідності виконати селективні,
невідкладні лікувальні маніпуляції.
Езофагогастродуоденоскопія забезпечує швидкий і надійний
доступ до ШКТ, процедура не є обтяжливою для пацієнта, не потребує тривалої
підготовки. Останнім часом спостерігається розвиток ендоскопічних методів
діагностики та лікування. Еволюція від традиційних оптоволоконних до
відеоскопічних досліджень дозволяє значно підвищити рівень і якість
діагностики. Широко застосовуються методи біопсії, хромоендоскопія, відеоендосопія
з високою розподільною здатністю (HRE), ендоскопія зі збільшенням,
вузькосмугова візуалізація (NBI), трансназальна гастроскопія, ендоскопічна
флуоресцентна мікроскопія, оптична когерентна томографія, ендоцитоскопія,
ендоскопічна лазерна конфокальна мікроскопія, методи ендосонграфії. Отже,
використання методів ендоскопічного дослідження забезпечує високу ефективність
у діагностиці РРШ і передракових станів.
Дослідження кишечника. Великі можливості для діагностики
захворювань товстої кишки відкрилися після впровадження у клінічну практику
колоноскопії та ілеоскопіі з біопсією. Завдяки цим методам стала можливою
прицільна біопсія слизової оболонки прямої і всіх відділів ободової кишки.
Біопсію можна виконувати одним із двох методів. Перший
полягає в опусканні трубки з оптичного волокна через рот у шлунок і тонкий
кишечник. Таким чином береться маленький зразок слизової кишечника для
дослідження. Цей метод зазвичай використовується для дорослих. Другий спосіб
схожий на перший із тією різницею, що у кишечник вводиться невелика капсула
(капсула Кросбі), яка з’єднана з тонкою порожнистою трубкою. За допомогою
рентгена встановлюють капсулу в потрібному положенні, автоматично відбирають
зразок слизової і витягують трубку. Цей метод зазвичай використовують для дітей.
Хворим часто дають заспокійливі засоби, щоб вони розслабилися при проходженні
трубки в шлунок і тонкий кишечник.
Колоскопія (колоноскопія) - ендоскопічне дослідження товстого
кишечника (від заднього проходу до місця переходу товстої кишки в тонку). Проводиться
за допомогою спеціального апарата - колоскопа (колоноскопа), що представляє
собою гнучкий керований зонд товщиною приблизно 1 см і довжиною 1,2 метра, на
кінці якого розміщується відео чіп, що передає зображення на монітор. По
спеціальному каналу апарату в кишечник можуть бути введені також різні тонкі
гнучкі інструменти, за допомогою яких проводиться забір тканини для
мікроскопічних досліджень і різні терапевтичні маніпуляції (видалення невеликих
утворень, поліпів, зупинка кровотеч, видалення сторонніх тіл).
Ректоскопія (від лат. Rectum - "пряма кишка", від
грец. Skopeo - "дивлюся") - це методика візуального дослідження
слизової оболонки прямої кишки за допомогою спеціального приладу - ректоскопа,
що представляє собою вигнуту трубку з окуляром та електролампочки на кінці.
Даний метод дозволяє проводити обстеження прямої кишки на глибину 30-35
сантиметрів від анального отвору. Крім того, що дана методика дозволяє
візуально виявити різні патології, вона здатна також виконати забір тканини
слизової оболонки для подальшого гістологічного дослідження (біопсію) або
здійснити електрокоагуляцію різних новоутворень - тобто послужити певним
способом ендоскопічного лікування.
При біопсії товстої кишки через колоноскоп беруть менші
шматочки тканини, ніж через ректоскоп. Тому тлумачення їх більш складне, але
небезпека самої процедури мінімальна. Крім того, досліджується відразу багато
шматочків слизової, отриманих з різних відділів товстої кишки.
Біопсія товстої кишки через ректоскоп здійснюється щипцями,
що мають на кінці гострі ложечки діаметром 2 - 3 мм. Шматочок тканини беруть
під контролем ока. Біопсію нижче аноректальної лінії виробляють тільки під
анестезією.
.2 Правила
приготування мікроскопічних препаратів
слизовий оболонка травний тракт
Основним об’єктом дослідження є гістологічні препарати,
виготовлені з фіксованих структур. Препарат може являти собою мазок, відбиток,
плівку з тканини, тонкий зріз. Найчастіше для вивчення використовується зріз
тканини або органу. Гістологічні препарати можуть вивчатися без спеціальної
обробки. Наприклад, приготований мазок, відбиток, плівка або зріз органу можуть
відразу розглядатися під мікроскопом. Але внаслідок того, що структури мають
слабкий контраст, вони погано виявляються у звичайному світловому мікроскопі і
потрібне використання спеціальних мікроскопів (фазово-контрастні та ін.) Тому
частіше застосовують спеціально оброблені препарати.
Процес виготовлення гістологічного препарату для світлової та
електронної мікроскопії включає такі основні етапи:
) взяття матеріалу та його фіксація;
) ущільнення матеріалу;
) приготування зрізів;
) фарбування або контрастування зрізів.
Для світлової мікроскопії необхідний ще один етап - укладання
зрізів у бальзам або інші прозорі середовища (5). Фіксація забезпечує
запобіганню процесів розкладання, що сприяє збереженню цілісності структур. Це
досягається тим, що взятий з органу маленький зразок або занурюють у фіксатор
(спирт, формалін, розчини солей важких металів, спеціальні фіксуючі суміші),
або піддають термічній обробці. Під дією фіксатора у тканинах та органах
відбуваються складні фізико-хімічні зміни. Найбільш істотним з них є процес
незворотної коагуляції білків, внаслідок якого життєдіяльність припиняється, а
структури стають мертвими, фіксованими. Фіксація призводить до ущільнення та
зменшення обсягу шматочків, а також до поліпшення наступного фарбування клітин
і тканин.
Ущільнення шматочків, необхідне для приготування зрізів,
проводиться шляхом просочування попередньо зневодненого матеріалу парафіном,
целоїдином, органічними смолами. Більш швидке ущільнення досягається
застосуванням методу заморожування шматочків, наприклад у рідкій вуглекислоті.
Приготування зрізів проводиться на спеціальних приладах -
мікротомах (для світлової мікроскопії) та ультрамікротомах (для електронної
мікроскопії).
Фарбування зрізів (у світловій мікроскопії) або напилення їх
солями металів (в електронній мікроскопії) застосовують для збільшення
контрастності зображення окремих структур при розгляданні їх у мікроскоп.
Методи забарвлення гістологічних структур дуже різноманітні та обираються в
залежності від завдань дослідження. Гістологічні фарби підрозділяють на кислі,
основні та нейтральні. Як приклад можна привести найбільш відомий основний
барвник азур ІІ, який забарвлює ядра у фіолетовий колір, і кислий барвник -
еозин, що забарвлює цитоплазму в рожево-оранжевий колір. Вибір спорідненості
структур до певних барвників обумовлено їх хімічним складом і фізичними
властивостями. Структури, які добре фарбуються кислими барвниками, називаються
оксифільними (ацидофільними, еозинофільними), а які забарвлюються основними -
базофільними. Структури, що сприймають як кислі, так і основні барвники,
являються нейтрофільними (гетерофільними). Пофарбовані препарати зазвичай
зневоднюють у спиртах зростаючої сили та освітлюють у ксилолі, бензолі, толуолі
або деяких маслах. Для тривалого збереження зневоднений гістологічний зріз
укладають між предметним і покривним склом у канадський бальзам або інші
речовини. Готовий гістологічний препарат може бути використаний для вивчення
під мікроскопом протягом багатьох років. Для електронної мікроскопії зрізи,
отримані на ультрамікротомі, поміщають на спеціальні сітки, контрастують солями
марганцю, кобальту та іншими, після чого дивляться у мікроскоп і фотографують.
Отримані мікрофотографії служать об’єктом вивчення поряд із гістологічними
препаратами.
2.3 Методи мікроскопії
Основними методами вивчення біологічних мікрооб’єктів є
світлова та електронна мікроскопія, які широко використовуються в
експериментальній та клінічній практиці. Мікроскопування - основний метод
вивчення мікрооб’єктів, який використовується у біології понад 300 років. З
моменту створення і застосування перших мікроскопів вони постійно
вдосконалювалися. Сучасні мікроскопи являють собою різноманітні складні оптичні
системи, що володіють високою роздільною здатністю. Для вивчення гістологічних
препаратів застосовують різноманітні види світлових та електронних мікроскопів.
Світлова мікроскопія. Для вивчення гістологічних
мікрооб’єктів застосовують звичайні світлові мікроскопи та їх різновиди, в яких
використовуються джерела світла з різними довжинами хвиль. У звичайних
світлових мікроскопах джерелом освітлення служить природне або штучне світло.
Мінімальна довжина хвилі видимої частини спектра дорівнює приблизно 0,4 мкм.
Отже, для звичайного світлового мікроскопа найменша роздільна здатність
дорівнює приблизно 0,2 мкм (d = ½ * 0,4 мкм =0,2 мкм), а
загальне збільшення може бути 1500-2500. Таким чином, у світловому мікроскопі
можна побачити не тільки окремі клітини розміром від 4 до 150 мкм, а й їхні
внутрішньоклітинні структури - органели, включення. Для посилення контрастності
мікрооб’єктів застосовують їх фарбування.
Ультрафіолетова мікроскопія. Це різновид світлової
мікроскопії. В ультрафіолетовому мікроскопі використовують більш короткі
ультрафіолетові промені з довжиною хвилі близько 0,2 мкм. Роздільна здатність
тут у 2 рази менше, ніж у звичайних світлових мікроскопах, і становить
приблизно 0,1 мкм (d = ½ * 0,2 мкм = 0,1 мкм). Отримане в
ультрафіолетових променях невидиме оком зображення перетвориться у видиме з
допомогою реєстрації на фотопластинці або шляхом застосування спеціальних
пристроїв (люмінесцентний екран, електронно-оптичний перетворювач).
Флюоресцентна (люмінесцентна) мікроскопія. Явища флюоресценції
полягають у тому, що атоми і молекули ряду речовин, поглинаючи короткохвильові
промені, переходять у збуджений стан. Зворотний перехід зі збудженого стану у
нормальний відбувається з випусканням світла, але з більшою довжиною хвилі. У
флюоресцентному мікроскопі в якості джерела світла для збудження флюоресценції
застосовують ртутні або ксенонові лампи надвисокого тиску, що володіють високою
яскравістю в області спектра 0,25-0,4 мкм (ближні ультрафіолетові промені) і
0,4-0,5 мкм (синьо-фіолетові промені). Довжина світлової хвилі флюоресценції
завжди більше довжини хвилі збуджуючого світла, тому їх поділяють за допомогою
світлофільтрів і вивчають зображення об’єкта тільки у світлі флюоресценції.
Розрізняють власну, або первинну, і наведену, або вторинну, флюоресценцію.
Первинною флюоресценцією володіють серотонін, катехоламіни (адреналін,
норадреналін), що містяться в нервових, тучних та інших клітинах, після
фіксації тканин у парах формальдегіду при 60-80 ° С (метод Фалька). Вторинна
флюоресценція виникає при обробці препаратів спеціальними барвниками -
флюорохромами.
Будь-яка клітина живого організму володіє власною
флюоресценцією, проте вона часто буває надзвичайно слабкою.
Фазово-контрастна мікроскопія. Цей метод служить для
отримання контрастних зображень прозорих і безбарвних живих об’єктів, невидимих
за звичайних методів мікроскопування. Як уже зазначалося, у
звичайному світловому мікроскопі необхідна контрастність структур досягається
за допомогою фарбування. Метод фазового контрасту забезпечує контрастність
досліджуваних нефарбованих структур за рахунок спеціальної кільцевої діафрагми,
що поміщається у конденсорі, і так званої фазової пластинки, що знаходиться в
об’єктиві. Така конструкція оптики мікроскопа дасть можливість перетворити не
сприймаючі оком фазові зміни пройдені через незабарвлений препарат світла у
зміну його амплітуди, тобто яскравості одержуваного зображення. Підвищення
контрасту дозволяє бачити всі структури, що розрізняються за показником
заломлення. Різновидом методу фазового контрасту є метод фазово-темнопольового
контрасту, що дає негативний порівняно з позитивним фазовим контрастом
зображення.
Інтерференційна мікроскопія. Різновидами фазово-контрастного
мікроскопа є інтерференційний мікроскоп, який призначений для кількісного визначення
маси тканини, і диференціальний інтерференційний мікроскоп (з оптикою
Номарського), який спеціально використовуєть для вивчення рельєфу поверхні
клітин та інших біологічних об’єктів.
В інтерференційному мікроскопі пучок світла від освітлювача
розділяється на два потоки: один проходить через об’єкт і змінює по фазі
коливання, другий іде, минаючи об’єкт. У призмах об’єктива обидва пучки
з’єднуються та інтерферують між собою. У результаті будується зображення, в
якому ділянки мікрооб’єкта різної товщини і щільності розрізняються за ступенем
контрастності. Провівши кількісну оцінку змін, визначають концентрацію і масу
сухої речовини.
Фазово-контрастний і інтерференційний мікроскопи дозволяють
вивчати живі клітини. У них використовується ефект інтерференції, що виникає
при комбінації двох наборів хвиль, який створить зображення мікроструктур.
Перевагою фазово-контрастної, інтерференційної і темнопольової мікроскопії є
можливість спостерігати клітини у процесі руху і мітозу. При цьому реєстрація
руху клітин може проводитися за допомогою покадрової мікрокінозйомки.
Поляризаційна мікроскопія. Поляризаційний мікроскоп є
модифікацією світлового мікроскопа, у якому встановлені два поляризаційних
фільтра - перший (поляризатор) між пучком світла, й об’єктом, а другий
(аналізатор) між лінзою об’єктива й оком. Через перший фільтр світло проходить
тільки в одному напрямку, другий фільтр має головну вісь, яка розташовується
перпендикулярно першому фільтру, і він не пропускає світло. Виходить ефект
темного поля. Обидва фільтра можуть обертатися, змінюючи напрямок пучка світла.
Електронна мікроскопія. Великим кроком вперед у розвитку
техніки мікроскопії були створення і застосування електронного мікроскопа. В
електронному мікроскопі використовується потік електронів з більш короткими,
ніж у світловому мікроскопі, довжинами хвиль. При напрузі 50 000В довжина хвилі
електромагнітних коливань, що виникають при русі потоку електронів у вакуумі,
дорівнює 0,0056 нм. Теоретично розраховано, що роздільна здатність у цих умовах
може бути близько 0,002 нм, або 0,000002 мкм, тобто в 100 000 разів менше, ніж
у світловому мікроскопі. Практично в сучасних електронних мікроскопах роздільна
здатність складає близько 0,1-0,7 нм.
У даний час широко використовуються трансмісійні
(просвічуючі) електронні мікроскопи (ТЕМ) і скануючі (растрові) електронні
мікроскопи (СЕМ). За допомогою ТЕМ можна отримати лише площинне зображення
досліджуваного мікрооб’єкта. Для отримання просторового уявлення про структури
застосовують СЕМ, здатні створювати тривимірне зображення. Растровий
електронний мікроскоп працює за принципом сканування електронним мікрозондом
досліджуваного об’єкта, тобто послідовно «обмацує» гостро сфокусованим
електронним пучком окремі точки поверхні. Для дослідження вибраної ділянки
мікрозонд рухається по його поверхні під дією відхиляючих котушок (принцип
телевізійної розгортки). Таке дослідження об’єкта називається скануванням
(зчитуванням), а малюнок, по якому рухається мікрозонд, - растром. Отримане
зображення виводиться на телевізійний екран, електронний промінь якого
рухається синхронно з мікрозондом.
Головними достоїнствами растрової електронної мікроскопії є
велика глибина різкості, широкий діапазон безперервної зміни збільшення (від
десятків до десятків тисяч разів) і висока роздільна здатність.
РОЗДІЛ 3. ПОРІВНЯЛЬНА ХАРАКТЕРИСТИКА ТКАНИН СЛИЗОВОЇ ОБОЛОНКИ
ШЛУНКОВО-КИШКОВОГО ТРАКТУ
Схема системи травлення
Для подальшого вивчення будови слизової оболонки відділів
травної трубки слід ознайомитися із загальною будовою та місце розташуванням
відділів шлунково-кишкового тракту. Отже, на даному малюнку зображені: ротова
порожнина (1), глотка (2), стравохід (3), шлунок (4), тонка кишка(5-7),
дванадцятипала кишка (5), порожня кишка (6), клубова кишка (7), товста кишка
(8-14), сліпа кишка (8), червоподібний відросток (9), висхідна ободова кишка
(10), поперечна ободова кишка (11), низхідна ободова кишка (12), сигмовидна
кишка(13), пряма кишка (14).
БУДОВА СТІНКИ ТРАВНОЇ ТРУБКИ
На зображенні представлений загальний вигляд слизової
оболонки у відділах травної трубки: стравоході (А), шлунку (Б), тонкій кишці
(В) та у товстій кишці (Г). На будь-якому рівні травна трубка має у своїй
стінці слизову оболонку (І), підслизову основу (ІІ), м’язову оболонку (ІІІ) та
зовнішню серозну (ІV). Слизова оболонка може утворювати такі структури, як
складки, ямки (1), крипти (2) і ворсинки (1). Отже, дамо характеристику окремих
шарів травної трубки.
РОТОВА ПОРОЖНИНА
Препарат - язик. Сагітальний зріз кінчика язика
(гематоксилін-эозин)
На даному знімку зображено верхню поверхню язика і в ній -
сосочки двох типів: ниткоподібні (1) та грибоподібні (2) сосочки. Вони вкриті
багатошаровим плоским частково ороговіваючим епітелієм (3). Під цим епітелієм
розташована власна пластинка (4) слизової оболонки, яка утворена пухкою
волокнистою сполучною тканиною. У полі зору також один із м’язів язика,
утворений поперечно посмугованою м’язовою тканиною (5).
Препарат - язик. Нижня поверхня (гематоксилін-эозин)
На зображенні представлені: багатошаровий плоский неороговіваючий епітелій (1), власна
пластинка слизової оболонки (2), підслизова основа (3) та поперечно посмугована
м’язова тканина м’язів язика (4).
З вище сказаних структур язика можна зробити висновок, що
будова нижньої поверхні язика аналогічна будові м’яких стінок ротової
порожнини.
СТРАВОХІД
Препарат - стравохід, поперечний зріз верхньої третини
(гематоксилін-эозин)
Дане зображення демонструє склад оболонок верхньої третини
стравоходу. Стравохід утворюють, як і інші відділи кишкової трубки, слизова
оболонка (І), підслизова основа (ІІ), м’язова (ІІ) та адвентаційна (ІV)
оболонки .
Препарат - стравохід, поперечний зріз верхньої третини
(гематоксилін-эозин)
На зображенні видно багатошаровий плоский неороговіваючий
епітелій (1), який у похилому віці частково роговіє. Власна пластинка слизової
оболонки (2) представлена пухкою волокнистою сполучною тканиною (еозинофільна
на препараті через наявність колагенових волокон). У двох відділах стравоходу
лежать залози (4) з вивідними протоками (5) - на рівні персневидного хряща
гортані та при вході у шлунок. У верхній третині - окремі поздовжні пучки
гладких міозитів, у нижніх відділах вони зливаються в єдину пластинку (3).
Препарат - перехід стравоходу у шлунок; поздовжній розріз;
мале збільшення (гематоксилін-эозин)
Старавохід (А) на знімку зліва, кардіальна область шлунку (Б)
- справа. Різниця у будові їх слизової оболонки зведена у таблицю.
|
Стравохід
|
Кардіальна область
шлунку
|
|
1. Внутрішня
поверхня
|
Відносно рівна
|
Наявні ямки (1.Б)
|
|
2. Эпітелій
|
Багатошаровий
плоский неороговіваючий (2.А)
|
Одношаровий
циліндричний залозистий (2.Б)
|
|
3. Власна пластинка
слизової оболонки (3)
|
Можуть
розташовуватися кардіальні залази стравоходу (подібні шлунковим); але на
препараті їх нема
|
Містяться
кардіальні залози (3.Б) - із
сильно галузистими кінцевими вітділами і зі
слизистим секретом
|
|
4. М’язова
пластинка (4)
|
У шлунку дана
пластинка має бути виражена сильніше (включати 3 шари); але на знімку це не
видно
|
|
5. Підслизова
основа (5)
|
Містяться власні
залози стравоходу (5.А) (складні альвеолярно-трубчаті)
|
Залози стравоходу
дещо заходять у кардіальну область шлунку, але швидко зникають
|
ШЛУНОК
Шлунок. Рельєф слизової оболонки
У шлунку розрізняють наступні частини: Кардіальна частина
(І), яка прилягає до входу у шлунок, дно (ІІ), тіло (ІІІ) та пілорична частина
(ІV), яка закінчується виходом із шлунку.
Рельєф слизової оболонки складний через утворення складок
(1), полів і ямок. Складки розташовуються головним чином на задній стінці
шлунку. Біля внутрішньої кривизни (2)шлунка мають поздовжній напрямок, а в
інших місцях ідуть у різні напрямки, утворюючи сітку. На поля, діаметром 1-10
мм, розділена вся слизова оболонка. Шлункові ямки численні та малі (0,2 мм),
представлені поглибленнями у кожному полі. В області дна ямок відкривається до
10 шлункових залоз.
Препарат - дно шлунка (конго-рот и гематоксилін). Слизова
оболонка
Як згадувалося раніше, особливістю поверхні слизової оболонки
є наявніст шлункових ямок (1.А). Епітелій (1.Б), що вкриває поверхню слизової
оболонки, одношаровий призматичний залозистий. Усі клітини епітелію -
секреторні (екзокриноцити), які утворюють слизоподібний секрет. У власній
пластинці (2.А) лежать прості трубчасті залози шлунка (2.Б). У м’язовій
пластинці (3) - три шари гладкої м’язової тканини.
Препарат - пілоричний відділ шлунку (гематоксилін-эозин)
На знімку ми бачимо дві основні особливості пілоричного
відділу. Шлункові ямки (1) глибше, ніж в інших областях шлунку - доходять до
половини товщини слизової оболонки. Залози (2) у власній пластинці слизової
оболонки розгалужені (між сусідніми сполучнотканинними перегородками (3) по
декілька кінцевих відділів), слизові (кінцеві відділи складаються зі світлих
клітин).
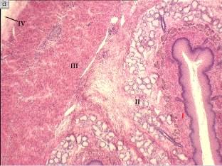
Препарат - перехід пілоричної частини шлунку у дванадцятипалу
кишку (гематоксилін-эозин); мале та велике збільшення
Цей препарат ілюструє одразу особливості пілоричної частини
шлунку (А) та дванадцятипалої кишки (Б), різницю у будові шлунка та тонкого
кишечника.
Загалом, на знімку видно наступні структури:
|
у шлунку
|
у дванадцятипалій
кишці
|
|
слизова оболонка
(I.А), утворює складки (1.А), підслизова основа (II.A) не дуже великої
товщини, м’язова оболонка (III.A), складається з 3-х шарів
|
слизова оболонка
(I.Б), утворює кишечні ворсинки (2.Б), підслизова основа (II.Б), містить
дуоденальні залози, м’язова оболочка (III.Б), складається з 2-х шарів
|
|
серозна оболонка
(IV.А; IV.Б).
|
Отже, можна зробити висновок щодо будови обох відділів у
вигляді порівняльної таблиці:
|
у шлунку
|
у дванадцятипалій
кишці
|
|
шлункові ямки (2.А)
- глибокі (до 50% глибини слизової оболонки), пілоричні залози (3.А) - у
власній пластинці слизової оболонки, м’язова пластинка (5.А) слизової
оболонки - з 3 шарів; підслизова основа (II.А) містить лише пухку сполучну
тканину
|
кишкові ворсинки
(2.Б) - широкі і короткі, кишечні крипти (3.Б) - у власній пластинці
слизової оболонки, лімфатичні фолікули (4.Б), м’язова пластинка (5.Б)
слизової оболонки - з 2 шарів; підслизова основа (II.Б) з дуоденальними
залозами
|
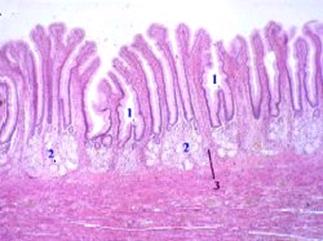
ТОНКИЙ КИШЕЧНИК
Малюнок з препарату - тонка кишка (гематоксилін-эозин)
І - слизова оболонка; ІІ - підслизова оболонка; ІІІ - м’язова
оболонка; IV - серозна оболонка.
Крім складок і ворсинок (1.А), слизова оболонка утворює ще й
крипти (1.Б) - трубчасті поглиблення у власній пластинці. Поверхня ворсинок і
крипт вкрита одношаровим циліндричним епітелієм (1.В). У власній пластинці (2)
слизової оболонки розташовані крипти. М’язова пластинка має не 3 (як у шлунку),
а 2 шари гладенької м’язової тканини.
Препарат - тонка кишка (гематоксилін-эозин)
Кишкові ворсинки (1.А) - це вип’ячування слизової оболонки.
Під одношаровим епітелієм (1.В) знаходиться строма - пухка волокниста тканина
власної пластинки (2), а в ній окремі гладенькі міоцити. Зазначимо, що основна
частина м’язової пластинки розташована під криптами (1.Б).
Препарат - тонка кишка (окраска - ШИК-реакція и гематоксилін)
Серед секреторних клітин достатньо легко виявити
келихоподібні клітини (1). Також на знімку видно в епітелії стовпчасті
епітеліоцити (2), а у стромі ворсинки - клітини сполучної тканини (3) і
гладенькі міоцити (4).
Слизова оболонка тонкої кишки (гематоксилін-эозин)
У верхній частині поля зору - нижні ділянки кишкових крипт
(1.А). Під ними м’язова пластинка слизової оболонки, у якій можна помітити
внутрішній циркулярний шар (3.А) та зовнішній поздовжній шар (3.Б).
ТОВСТИЙ КИШЕЧНИК
Препарат - товста кишка (гематоксилін-эозин)

На знімках ми бачимо стінку ободової кишки і в ній
знаходяться слизова оболонка (I), підслизова основа (II) з судинами (5),
м’язова оболонка - внутрішній циркулярний шар (ІІІ.В), зовнішній поздовжній шар
(ІІІ.Г) і серозна оболонка (IV). У складі слизової оболонки на знімку 1а видно
наступні структури: крипти (1.А), власну пластинку (2) - прошарки пухкої
сполучної тканини між криптами та м’язову пластинку (3).
Препарат - товста кишка, слизова оболонка
(гематоксилін-эозин)
При великому збільшенні можна побачити крипти (1.А). У
вистилаю чому епітелії переважають слизоутворюючі келихоподібні клітини (1.Б) -
світлі й округлі.
Серед інших клітин епітелію (з темною цитоплазмою) основну
масу становлять стовпчасті клітини (1.В).
Вузькі прошарки сполучної тканини між криптами утворюють
власну пластинку (2) слизової оболонки.
Препарат - червоподібний відтросток; поперечний зріз
(гематоксилін-эозин)
На знімку зображена ділянка апендиксу, на якій видно
фрагменти крипт (1), Одношаровий циліндричний епітелій (2), підслизову основу
(3), лімфоїдні фолікули (4) з великим реактивним центром (5) та поза
фолікулярні лімфоцити (6).
ПРЯМА КИШКА
Малюнок - слизова оболонка прямої кишки
У прямій кишці розрізняють три частини: надампулярний відділ
(І), ампулу (ІІ) та анальний відділ (ІІІ). У цих відділах є складки двох типів.
Постійні поперечні складки з винтовим ходом (1), яких 3 і більше. В їх
утворенні беруть участь слизова оболонка, підслизова основа і циркулярний шар
м’язової оболонки. Непостійні поздовжні складки (2), яких багато й утворені
лише слизовою оболонкою, легко розрівнюються при розтягненні стінок кишки.
Анальний відділ
У стовпчастій зоні 8-10 постійних прокольних складок -
анальних стовпів (3). Поглиблення між ними - анальні синуси (4), або анальні
крипти. У проміжній, або гемороїдальній, зоні (5) слизова оболонка має
гладеньку поверхню. Шкірна зона (6) вкрита шкірою зі звичайними її похідними -
волосся, сальні залози й апокрифові потові залози.
Отже, можна зробити висновок, що слизова оболонка
шлунково-кишкового тракту складається зазвичай з трьох пластинок: епітелію,
власної пластинки слизової оболонки і м’язової пластинки слизової оболонки. Але
у деяких відділах травної трубки присутні деякі відмінності.
ВИСНОВКИ
Слизова оболонка шлунково-кишкового тракту складається
зазвичай з трьох пластинок: епітелію, власної пластинки слизової оболонки і
м’язової пластинки слизової оболонки. У ротовій порожнині відсутня або слабко
розвинена м’язова пластинка слизової оболонки та в деяких ділянках відсутня
підслизова пластинка. Усі інші відділи травної трубки мають типову будову
слизової оболонки.
Епітеліальні покриви слизової оболонки кожного відділу
різняться за будовою. У кожному відділі шлунково-кишкового тракту різна будова
епітелію слизової оболонки пояснюється особливостями виконуваних ним функцій.
Перш ніж приступати до дослідження слизової оболонки, треба
підготувати біоматеріал за такими етапами:
1) забір біоматеріалу для дослідження;
2) приготування препарату;
) дослідження з використанням методу мікроскопії.
Метод забору біоматеріалу в живої людини називається
біопсією, у трупа - автопсією.
Приготування препарату виконується послідовно за етапами:
) взяття матеріалу та його фіксація;
) ущільнення матеріалу;
) приготування зрізів;
) фарбування або контрастування зрізів.
Метод мікроскопії здійснюється за допомогою світлового або
електронного мікроскопів.
ВИКОРИСТАНА ЛІТЕРАТУРА
1. Гистология,
цитология и эмбриология / под ред. Афанасьева Ю.И., Юриной Н.А. - М.: Медицина,
2002. - 737 с.
2. Гістологія з
основами гістологічної техніки / під ред. Пішака В.П. - К.: Кондор, 2006. - 399
с.
3. Практикум по
гистологии, цитологии и эмбриологии / под ред. Юриной Н.А., Радостиной А.И. -
М.: Издательство университета дружбы народов, 1989. - 252 с.
. Мяделец О.Д.
Гистология, цитология и эмбриология человека - Часть 2. Частная гистология. -
Минск: Витебск, 2001. - 438 с.
5. Синельников
Р.Д. Атлас анатомии человека - Том 2 - М.: Медицина, 1968. - 227 с.
6. В.Г.Елисеев,
Ю.И.Афанасьев, Е.Ф.Котовский. Атлас микроскопического и ультрамикроскопического
строения клеток тканей и органов. - М.: Медицина, 1970. - 448 с.
7. Луцик
О. Д., Іванова А. Й., Кабак К. С., Чайковський Ю. Б. Гістологія людини. - К.:
Книга плюс, 2003. - с. 493-507
8. Быков
В. Л. Цитология и общая гистология: Учеб. Пособие для медицинских ин-тов. - С.-Петербург:
СОТИС, 2002. - с. 12-26
. Кузнецов
С.Л. Атлас по гистологии, цитологии и эмбриологии /
С.Л.Кузнецов,
Н.Н.Мушкамбаров, В.Л.Горячкина - М.: Медицинское информационное агентство,
2002. - 374 с.
10. Гистология:
Учебник для вузов / Под ред. Улумбекова Э. Г.,
Челышева
Ю. А. - М.: ГЭОТАР-МЕД, 2001. - с. 244-253
11. Заварзин
А. А. Сравнительная гистология: Учебник. - С.-Петербург: Изд-во
С.-Петербургского университета, 2000. - с. 1626
12. http://www.healthportal.com.ua
13. http://meduniver.com