Магнитно-резонансная томография

  • Вид работы:
    Реферат
  • Предмет:
    Медицина, физкультура, здравоохранение
  • Язык:
    Русский
    ,
    Формат файла:
    MS Word
    738,44 Кб
  • Опубликовано:
    2014-08-09
Вы можете узнать стоимость помощи в написании студенческой работы.
Помощь в написании работы, которую точно примут!

Магнитно-резонансная томография

1.      Физические основы МРТ

Магнитно-резонансная томография (МРТ) - метод получения изображения внутренних структур тела человека при помощи магнитно-резонансного томографа. Метод позволяет оценивать как анатомические, так и функциональные особенности строения.

Для проведения ЯМР исследования необходимо поместить объект в мощное, статическое и однородное в пространстве (в идеальном случае) магнитное поле, создающее внутри тканей изображаемого объекта макроскопическую ядерную намагниченность.

В ЯМР томографии регистрация сигнала происходит от резонирующих ядер, имеющих как спин, так и магнитный момент. Такими ядрами являются водород 1Н, 2Н, углерод 13С, азот 14N, фтор 19F, натрий 23Na, фосфор 31Р. Чаще всего в МРТ используются протоны водорода 1Н по двум причинам: высокой чувствительности к МР сигналу и их высокому естественному содержанию в биологических тканях.

Под воздействием сильного магнитного поля спины протонов ядер водорода изменяют свое положение и располагаются вдоль оси магнитного поля (рисунок 1). Воздействие магнитного поля и радиочастотного излучения на протоны не постоянно, с заданными силой, частотой и временем, а протоны после воздействия на них радиочастотного сигнала вновь возвращаются в исходное положение - так называемое «время релаксации» (T1 и T2).

Рисунок 1 - Распределение ядер при отсутствии (а) и наличии (б) внешнего магнитного поля

Воздействие магнитного поля и радиочастотного импульса на протоны ядер водорода заставляет их вращаться относительно новых осей в течение очень короткого периода времени, что сопровождается выделением и поглощением энергии, формированием своего магнитного поля. Регистрация этих энергетических изменений и является основой МРТ-изображения. Способность подобного смещения зависит от гидрофильности тканей, их химического состава и структуры. Нормальные клетки органов и тканей, не пораженных болезненным процессом, имеют один уровень сигнала. «Больные» клетки - это всегда другой, измененный сигнал в той или иной степени. На изображении измененные патологическим процессом участки тканей и органов выглядят иначе, чем здоровые. Это и есть основа медицинского диагностического изображения. Главная задача данной аппаратуры заключается в получении максимально информативного изображения быстро и качественно, а также безопасно для пациента.

Чтобы добиться уменьшения времени реконструкции изображения нужно увеличивать индукцию главного магнита. Это объясняется возможностью применения при большой индукции «быстрых» последовательностей, например, последовательности «градиентное эхо» и малоугловых. Также при индукции свыше 1,5 Тл появляется возможность кроме ядер водорода (протонов) включить в сбор данных об организме тяжелые ядра натрия и фосфора, которые несут очень важную информацию о метаболизме. При более низкой индукции магнитный резонанс ядер этих атомов невозможен.

Установлено, что если индукция будет равна 0,12 Тл, то частота ЯМР для протонов составит 5 МГц. Эти частоты лежат в диапазоне коротких радиоволн, которые считаются безвредными. И только в очень сильных магнитных полях (до 3 Тл) частота ЯМР может быть достаточно большой - 120 МГц. Это нужно учитывать при разработке современных МРТ.

Для примера рассмотрим таблицу 1.1, по которой можно проследить какая нужна напряженность магнитного поля для построения изображения некоторых тканей головного и спинного мозга.

Таблица 1.1 - Значения индукции магнитного поля

Ткань мозга

Индукция магнитного поля В0, Тл

Серое вещество Белое вещество Ликвор Жир Кровь

0,5-1,0 1,0-1,5 1,0-1,5 0,5-1,0 1,5


Рассмотрим некоторые подострые опасности при проведении МРТ.

В экспериментах было установлено, что с порога напряженности в 4 Тл у лиц наблюдалась некоторая задержка нервной проводимости, теоретически было предсказано, что с уровня в 6 Тл растет кровяное давление. У людей, помещенных в однородное постоянное магнитное поле, был отмечен рост амплитуды ЭКГ в зависимости от величины поля. Этот рост становился заметным при 0.3 Тл; при 2.0 Тл амплитуда возрастала в среднем на 400%. Полагают, что изменения ЭКГ не могут быть ассоциированы с каким-либо биологическим риском. Основным результатом взаимодействия РЧ полей с тканями является нагрев последних. Но пока даже в сильных магнитных полях не было достигнуто локального увеличения температуры более, чем на 1 градус. Несмотря на то, что пока не было выявлено никаких чрезмерно опасных воздействий на живой объект МР исследования, необходимо и дальше проводить исследования в этой области, и предельно аккуратно подходить к повышению напряжённости поля в современных томографах.

.        МР-сигнал

Любое магнитное поле может индуцировать в катушке электрический ток, но предпосылкой для этого является изменение силы поля. При пропускании через тело пациента вдоль оси y коротких ЭМ радиочастотных импульсов М поле радиоволн заставляет М моменты всех протонов вращаться по часовой стрелке вокруг этой оси. Для того чтобы это произошло, необходимо, чтобы частота радиоволн была равна ларморовской частоте протонов. Это явление и называют ядерным магнитным резонансом. Под резонансом понимают синхронные колебания, и в данном контексте это означает, что для изменения ориентации магнитных моментов протонов М поля протонов и радиоволн должны резонировать, т.е. иметь одинаковую частоту.

После передачи 90-градусного импульса вектор намагниченности ткани (М) индуцирует электрический ток (МР-сигнал) в приемной катушке. Приемная катушка размещается снаружи исследуемой анатомической области, ориентированном в направлении пациента, перпендикулярно В0. Когда М вращается в плоскостях х-у, он индуцирует в катушке Э ток, и этот ток называют МР-сигналом. Эти сигналы используют для реконструкции изображений МР-срезов.

При этом ткани с большими магнитными векторами будут индуцировать сильные сигналы и выглядеть на изображении яркими, а ткани с малыми магнитными векторами - слабые сигналы и будут на изображении темными.

Контрастность изображения: протонная плотность, Т1- и Т2-взвешенность. Контраст на МР-изображениях определяется различиями в магнитных свойствах тканей или, точнее различиями в магнитных векторах, вращающихся в плоскости х-у и индуцирующих токи в приемной катушке. Величина магнитного вектора ткани прежде всего определяется плотностью протонов. Анатомические области с малым количеством протонов, например воздух всегда индуцируют очень слабый МР-сигнал, и таким образом, всегда представляются на изображении темными. Вода и другие жидкости, с другой стороны, должны быть яркими на МР-изображениях как имеющие очень высокую плотность протонов. Однако это не так. В зависимости от используемого для получения изображения метода жидкости могут давать как яркие, так и темные изображения. Причина этого состоит в том, что контрастность изображения определяется не только плотностью протонов. Определенную роль играют несколько других параметров; два наиболее важных из них - Т1 и Т2.

 

Рис. 2 - Периоды релаксации

Между MP-импульсами, поступающими, протоны проходят два релаксационных времени Т1 и Т2, в основе которых лежит потеря магнитного напряжения на плоскости х-у (Мху) и восстановления ее по оси z (Mz).

Максимальный тканевый магнетизм, ориентирован по оси z (Mz), зависит от плотности протонов, поэтому относительная сила MP сигналов, определенная непосредственно после подачи 90 ° импульса или после восстановления Mz, дает возможность построить изображение, взвешенное по протонной плотности. Т1 - релаксация отображает постепенное восстановление ядерного магнетизма и ориентации индивидуальных протонов водорода в направлении Во = > (оси z) в исходное положение, что было им присуще к предоставлению 90 ° импульса. Вследствие этого после выключения 90 ° импульса тканевый магнитный момент увеличивать ¬ ться вдоль оси z с нарастающим ускорением от 0 до максимального значения Mz, которое обусловлено протонной плотностью данной ткани. Т1 определяется как время, в течение которого М восстанавливает исходное значение на 63%. После того как пройдет 4-5 промежутков времени, равных Т1, Mz полностью восстанавливается. Что короче Т1, тем быстрее происходит восстановление. Физической основой Т1 - релаксации является обмен тепловой энергии между молекулами. Т1 - релаксационный время зависит от размеров молекул и их подвижности. В плотных тканях с большими неподвижными молекуламы протоны длительное время сохраняют свое положение, содержат энергию, возникает мало слабых импульсов, поэтому Т1 длинный. В жидкости происходит быстрее изменение положения протонов и быстрее отдача тепловой энергии, поэтому Т1 - релаксация в жидкости с малыми молекулами, быстро движется, короткая и сопровождается значительным количеством электромагнитных импульсов различной силы. В паренхиматозных тканях Т1 - релаксация составляет около 500 мс, широко варьируя в зависимости от особенностей их строения. В жировой ткани со средними по размерам и подвижностью молекулами Т1 короткий, а количество импульсов наибольшая. Изображение, контрастность которых построена с учетом разницы Т1 в смежных тканях, называются Т1 - взвешенных изображений.

Физической основой Т2 - релаксации является взаимодействие тканевого магнетизма с протонами. Т2 является показателем постепенного угасания тканевого магнетизма на плоскости х-у (мху) после исключения 90 ° импульса и определяется как время, в течение которого мху теряет 63% от своей максимальной напряжения. После того как проходит 4-5 промежутков времени, равных Т2, мху полностью исчезает. Промежуток времени Т2 варьирует в зависимости от физических и химических свойств тканей. Плотные ткани имеют стабильные внутренние магнитные поля, и поэтому прецессия протонов в них быстро затухает, а индукция энергии быстро снижается, посылая много электромагнитных волн различной частоты, поэтому Т2 является кратким. В жидкостях внутренние магнитные поля нестабильные и быстро становятся равными 0, в меньшей степени влияя на прецессию протонов. Поэтому частота протонов, находящихся в процессии в жидкости является большой, электромагнитные импульсы слабыми, а Т2 релаксация относительно длинной. В паренхиматозных тканях Т2 составляет около 50 мс, т.е. в 10 раз короче, чем ТЕ. Вариации времени Т2 сказываются на величине электромагнитных импульсов (MP). Поэтому изображение, построенное на их исчислении, называется Т2 - взвешенным изображением. Его выявлению мешают сигналы надходят от ТЕ, поэтому регистрация Т2 - взвешенного изображения достигается тем, что вводится интервал времени - эхо время (ТО) между 90 ° импульсом и измерением индуцированного им MP. Течение эхо времени мху постепенно снижается вследствие Т2 - релаксации. Путем регистрации амплитуды MP - сигнала в конце эхо времени определяется разница Т2 в различных тканях.

3.      Исследование МР томографии и устройство МР томографа

Рис. 3.1 - МР томограф

Прежде всего пациента помещают внутрь большого магнита, где имеется довольно сильное постоянное (статическое) магнитное поле, ориентированное в большинстве аппаратов вдоль тела пациента. Под воздействием этого поля ядра атомов водорода в теле пациента, которые представляют собой маленькие магнитики, каждый со своим слабым магнитным полем, ориентируются определенным образом относительно сильного поля магнита. Добавляя слабое переменное магнитное поле к статическому магнитному полю, выбирают область, изображение к. надо получить.

Затем пациента облучают радиоволнами, причем частоту радиоволн подстраивают таким образом, чтобы протоны в теле пациента могли поглотить часть энергии радиоволн и изменить ориентацию своих магнитных полей относительно направления статического магнитного поля. Сразу же после прекращения облучения пациента радиоволнами протоны станут возвращаться в свои первоначальные состояния, излучая полученную энергию, и это переизлучение будет вызывать появление электрического тока в приемных катушках томографа.

Зарегистрированные токи являются МР сигналами, к. преобразуются компьютером и используются для построения (реконструкции) МРТ.

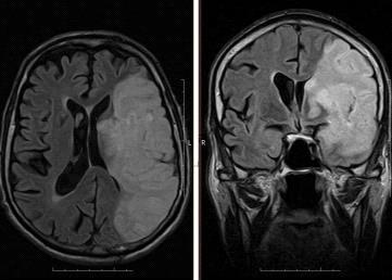
Примеры снимков представлены на рисунке 3.2 и 3.3.

Рис. 3.2 - ЛСМА (инсульт)

Рис. 3.3 - Тазобедренные суставы (норма)

Соответственно этапам исследования основными компонентами любого МР томографа являются:

)        магнит, создающий постоянное (статическое), так называемое внешнее, магнитное поле, в которое помещают пациента

)        градиентные катушки, создающие слабое переменное магнитное поле в центральной части основного магнита, называемое градиентным, которое позволяет выбрать область исследования тела пациента

)        радиочастотные катушки - передающие, используемые для создания возбуждения в теле пациента, и приемные - для регистрации ответа возбужденных участков

)        компьютер, который управляет работой градиентной и радиочастотной катушек, регистрирует измеренные сигналы, обрабатывает их, записывает в свою память и использует для реконструкции МРТ.

Всякое М поле характеризуется индукцией М поля, которую обозначают В. Единицей измерения является 1 Тл (тесла).

В МРТ в зависимости от величины постоянного магнитного поля различают несколько типов томографов:

со сверхслабым полем 0,01 Тл - 0,1 Тл

со слабым полем 0,1 - 0,5 Тл

с средним полем 0,5 - 1.0 Тл

с сильным полем 1.0 - 2,0 Тл

со сверхсильным полем >2,0 Тл

Таблица 3.1 - Технические характеристики МР-томографов

Технические характеристики

Постоянный магнит: «Hitachi AIRIS Mate»

Резистивный магнит: «ИМТТОМ»

Сверхпроводящий магнит: «MAGNETOM Harmony»

Напряженность поля, Тл

0,2

0,25

1,0

Частота, МГц

8

5 - 6

80

Максимальные градиенты, мТл/м

15

10

30

Минимальная толщина среза, мм

0,5

0,05

Матрица сканирования

512х512

от 126х64 до 512х512

256х256

Время реконструкции слоя, с

около 1

30

0,4

Потребляемая мощность, кВт

3

около 60

-


Проведем сравнительную характеристику рассмотренных видов магнитов. Она представлена в таблице 3.2.

Таблица 3.2 - Преимущества и недостатки магнитов МРТ

Тип магнита

Преимущества

Недостатки

1

2

3

Постоянный

Низкое энергопотребление

Ограниченная напряженность поля (< 0.2 Тл)


Низкие эксплуатационные расходы

Очень тяжелый


Маленькое поле неуверенного приема

Нет быстрого охлаждения


Без криогена

Нет аварийного снижения магнитного поля

Резистивный

Низкая стоимость

Высокое энергопотребление


Легкий вес

Ограниченная напряженность поля (< 0.3 Тл)


Может быть отключен

Требуется водяное охлаждение



Большое поле неуверенного приема

Сверхпроводящий

Высокая напряженность поля

Высокая стоимость


Высокая однородность поля

Высокие расходы на криогенное обеспечение


Низкое энергопотребление

Артефакты движения


Быстрое сканирование

Техническая сложность


В современных МРТ системах используются в основном постоянные и сверхпроводящие магниты. Это объясняется тем, что у них достаточно малое энергопотребление и они не требуют дорогостоящей, а также энергоемкой системы охлаждения.

Напряженность поля постоянного магнита ограничена, но с развитием новых технологий, таких как, например, Tim-технология (Total imaging matrix), которая представляет собой революционное развитие радиочастотного тракта, РЧ-катушек и алгоритмов реконструкции с использованием методов параллельной визуализации, получаемые изображения ни в чём не уступают изображениям со сверхпроводящего МРТ. Также неоспоримым плюсом является то, что постоянные магниты могут быть так называемой «открытой» конфигурации, что позволяет проводить исследования в движении, в положении стоя, а также осуществлять доступ врачей к пациенту во время исследования и проведение манипуляций (диагностических, лечебных) под контролем МРТ - так называемая интервенционная МРТ.

Выводы

МРТ проводят путем послойного изучения определенной анатомической области органа. Выделение исследуемого слоя на МРТ достигается в том случае, когда радиочастотные импульсы преобразователя совпадают с резонансной частотой протонов и индуцируют МР - сигнал. Для этого с помощью градиентных катушек создают дополнительное слабое магнитное поле, по направлению соответствующего изучаемого слоя.

Под действием градиентного поля сила основного магнитного поля на этом уровне возрастает линейно в двух взаимно перпендикулярных направлениях. В этом слое пропорционально усиления возрастает и резонансная частота протонов. Сужая диапазон частот градиентного поля, можно уменьшить толщину исследуемого слоя. Для получения визуального изображения требуется определить силу импульсов в каждой конкретной точке исследуемого слоя. Для этого его рассматривают как сумму отдельных объемов (вокселей). После предоставления 90о и градиентного импульсов каждый воксель имеет вектор намагничивания. Сила сигнала от каждого вокселя и его ориентация в пространстве определяются в цифровых величинах с помощью компьютера.

Проекция вокселя на плоскость получила название пикселя. Сила сигнала отображается на экране монитора в серой или цветной шкале видимого спектра. Чем меньше вычислительные объемы, тем точнее изображение объекта. Контрастность изображения зависит от разницы между силой импульсов с рядом расположенных участков исследуемого слоя.

На естественный контраст, кроме протонной плотности, релаксационного времени (Т1 и Т2) влияет также скорость циркуляции крови. Если кровь вытекла из сосудов имеет высокий яркий сигнал, то циркулирующая кровь не генерирует МР - сигналов и выглядит темной по сравнению со стенками сосудов.

В сложных для диагностики случаях используют искусственное контрастирование магнетиках, в состав которых входит парамагнитный ион из металла гадолиния. Эти контрастные вещества вводят внутривенно. Они накапливаются в очагах воспаления и опухолях. Эти вещества благодаря магнитным свойствам способствуют сокращению периода релаксации (Т1 или Т2) протонов и приводят к изменению контрастности.

Клиническое действие магнитного резонанса на пациентов и медперсонал минимальна, поэтому противопоказаний к этому исследованию нет. Но в случае наличия ферромагнитных объектов в организме (кардиостимуляторы, клипсы на сосудах мозга) это исследование опасно термическим эффектом и поэтому противопоказано.

Список источников

магнитный томограф поле резонансный

1. Верещагин Н.В., Борисенко В.В., Власенко А.Г. Мозговое кровообращение. Современные методы исследования в клинической неврологии М.: Интер-Весы. 1993. С. 87-143

. Галайдин П.А., Замятин А.И., Иванов В.А. Основы магниторезонансной томографии. Учебное пособие. - СПб: СпбГИТМО (ТУ), 1998. - 24 с.

. Коновалов А.Н., Корниенко В.Н., Пронин И.Н. Магнитно-резонансная томография в нейрохирургии. - М.: Видар, 1997. - 472 с.: ил.

. Марусина М.Я., Казначеева А.О. Современные виды томографии. Учебное пособие. - СПб: СПбГУ ИТМО, 2006. - 132 с.

Похожие работы на - Магнитно-резонансная томография

 

Не нашли материал для своей работы?
Поможем написать уникальную работу
Без плагиата!
Без нейросетей!