Рак мочевого пузыря

  • Вид работы:
    Реферат
  • Предмет:
    Медицина, физкультура, здравоохранение
  • Язык:
    Русский
    ,
    Формат файла:
    MS Word
    608,6 Кб
  • Опубликовано:
    2015-01-28
Вы можете узнать стоимость помощи в написании студенческой работы.
Помощь в написании работы, которую точно примут!

Рак мочевого пузыря

ГБОУ ВПО Тверская ГМА Минздрав развития

Кафедра госпитальной хирургии с курсом урологии











Реферат

Рак мочевого пузыря


Выполнила студентка 401 группы

Лечебного факультета

Ошина Е.А.

Зав. кафедрой:

доцент, к.м.н., А.Г. Еремеев

Преподаватель: В.А. Дмитриев

 



Тверь, 2014

Содержание

1. Определение и эпидемиология

. Классификация

. Этиология и патогенез

. Клиническая картина

. Диагностика

. Лечение

Список используемой литературы

1. Определение и эпидемиология

Рак мочевого пузыря - это заболевание, которое представлено множеством разновидностей, обладающих различными биологическими свойствами, однако в клинической практике обычно встречаются высокодифференцированные поверхностные и низкодифференцированные инвазивные новообразования слизистой оболочки или стенки мочевого пузыря.

По данным ВОЗ за 2001 г. РМП составляет 70% новообразований органов мочевого тракта и около 3% от всех злокачественных новообразований, уступая по частоте только опухолям желудка, пищевода, легких и гортани.

Среди всех онкоурологических заболеваний новообразования мочевого пузыря занимают второе место по заболеваемости после РПЖ. Ежегодно в мире регистрируются более 150000 новых случаев этого заболевания. РМП занимает пятое место у мужчин и одиннадцатое у женщин по распространенности в Европе среди всех форм рака. Большинство исследователей отмечают преимущественное поражение раком мочевого пузыря мужчин, что может быть связано с генетическими, гормональными и анатомическими (предрасположенность к застою мочи в мочевом пузыре в пожилом возрасте) особенностями.

Заболеваемость раком мочевого пузыря в РФ в 2006 г. составила 12,4 (8-е место в структуре заболеваемости) у мужчин и 1,8 у женщин на 100 000 населения. Средний возраст заболевших 67 и 69 лет соответственно. В I-И стадиях выявлено 57,4%, в III стадии - 26,8%, в IV стадии - 11,4%, стадия не установлена у 4,5%, одногодичная летальность составила 23,1%. Только хирургическое лечение получили 45,2% больных, комбинированное или комплексное - 35,6%.

Несмотря на многообразие методов лечения РМП, до настоящего времени результаты остаются малоутешительными. По сводным данным, 5-летняя продолжительность жизни больных при Т1 стадии составляет 70-90%, при Т2 - 60-70%, при Т3 - 30-40%, а при Т4 стадии от 0 до 10%.

По количеству клинических проблем, разнообразию и сложности хирургических операций РМП занимает одно из первых мест в онкоурологии.

. Классификация

Новообразования мочевого пузыря в большинстве представлены переходноклеточным раком. Тем не менее, для предотвращения диагностических ошибок нельзя забывать о том, что переходноклеточный рак также является доминирующей формой опухоли для других отделов мочевыводящего тракта, выстланных уротелием - почечных лоханок, мочеточников и проксимальных двух третей уретры.

В свою очередь в мочевом пузыре, помимо переходноклеточной карциномы, могут наблюдаться опухоли иного, чрезвычайно разнообразного строения и гистогенеза - плоскоклеточный рак (7-9%), аденокарцинома (2%), недифференцированный рак (менее 1%), карциносаркома, меланома, лимфома.

Согласно гистологической классификации ВОЗ принято выделять следующие опухоли мочевого пузыря.

Классификация ВОЗ:

. Эпителиальные опухоли:

·              Переходно-клеточная папиллома;

·              Переходно-клеточная папиллома, инвертированный тип;

·              Плоскоклеточная папиллома;

·              Переходно-клеточный рак;

·              Варианты переходно-клеточного рака (с плоскоклеточной, с железистой, с плоскоклеточной и железистой метаплазией);

·              Плоскоклеточный рак;

·              Аденокарцинома;

·              Недифференцированный рак.

. Неэпителиальные опухоли:

·              Доброкачественные;

·              Злокачественные (рабдомиосаркома, другие новообразования).

. Смешанная группа опухолей:

·              Феохромоцитома;

·              Лимфомы;

·              Карциносаркомы;

·              Злокачественная меланома;

·              Другие новообразования.

Метастатические опухоли и вторичные распространения:

. Неклассифицируемые опухоли.

. Неопухолевые изменения эпителия.

·              Сосочковый (полипоидный) цистит;

·              Гнезда Брунна;

·              Железистая метаплазия;

·              Нефрогенная аденома;

·              Плоскоклеточная метаплазия.

. Опухолевые поражения:

·              Фолликулярный цистит;

·              Малакоплакия;

·              Амилоидоз;

·              Фиброзный (фиброэпителиальный) полип;

·              Эндометриоз;

·              Гамартомы;

·              Кисты.

Большинство опухолей мочевого пузыря имеют эпителиальное происхождение. Они возникают из переходного эпителия (уротелия), выстилающего внутреннюю поверхность мочевого пузыря. Опухоли неэпителиального происхождения, в том числе и злокачественные, встречаются значительно реже. Саркома мочевого пузыря, которая чаще всего развивается у людей более молодого возраста, дает ранние и распространенные метастазы, быстро инфильтрирует стенку мочевого пузыря.

Папиллома мочевого пузыря имеет ворсинчатое строение и тонкую ножку. Ворсины папилломы богаты кровеносными сосудами, свободно колышутся в полости мочевого пузыря. Слизистая оболочка мочевого пузыря вокруг ножки опухоли не изменена. Папилломы могут быть единичными или множественными (папилломатоз мочевого пузыря). Несмотря на морфологическую доброкачественность строения, папиллому мочевого пузыря все авторы считают предраковой опухолью, отмечая ее частое рецидивирование и озлокачествление.

Переходно-клеточная папиллома (инвертированный тип) встречается редко и макроскопически она отличается от типичной папилломы более широкой и плотной ножкой, ворсины утолщены и более короткие. Слизистая оболочка вокруг ножки может быть умеренно отечна, слегка гиперемирована, нередко с полипозными образованьями.

Переходно-клеточный рак мочевого пузыря развивается из переходного эпителия и является наиболее частой формой рака мочевого пузыря. Опухоль внешне может быть похожа на папиллому, но имеет более значительные размеры, расположена на широком основании, ворсины опухоли короткие и толстые, склонны к изъявлению и некрозу. Нередко такие опухоли имеют вид цветной капусты. Важным отличительным микроскопическим признаком переходно-клеточного рака мочевого пузыря является атипизм и полиморфизм клеток. Клетки крупные, часто встречаются гигантские, иногда веретенообразные. Ядра клеток разной величины и формы, возможны атипичные митозы.

Железистый рак (аденокарцинома) мочевого пузыря составляет около 1% всех злокачественных новообразований этого органа. Принято выделять три группы аденокарцином мочевого пузыря:

) Прорастающие из урахуса;

) Метастатические (при диссеменации опухолей прямой кишки, желудка, эндометрия, молочной железы, простаты и др.).

Большинство первичных аденокарцином являются низкодифференцированными и инвазивными новообразованиями. Опухоль часто локализуется у верхушки мочевого пузыря и в области мочепузырного треугольника. Новообразование развивается из метаплазированного железистого эпителия. Макроскопически аденокарцинома похожа на переходно-клеточный рак. Опухоль состоит из цилиндрических, кубических и бокаловидных клеток. Клетки образуют железистые, тубулярные и другие структуры неправильной формы.

Недифференцированный рак мочевого пузыря в последние годы выявлено у 3-5% больных. Эта опухоль имеет бугристый узловатый вид с участками изъявления и выраженный инфильтративный рост. Опухолевые клетки полиморфны, имеют различный размер, расположены беспорядочно, в них встречаются многочисленные митозы.


Для оценки степени прорастания опухолью стенки мочевого пузыря, поражения регионарных лимфатических узлов и наличия отдаленных метастазов наиболее совершенной является классификация рака мочевого пузыря по системе TNM, предложенная Международным агентством по изучению рака.

Опухоль должна быть подтверждена гистологическим или цистологическим исследованием. Описаны две классификации : клиническая, обозначаемая символом TNM, которая базируется на результатах обследования до начала лечения, и постхирургическая патогистологическая, обозначаемая как pTNM, которая опирается на совокупную оценку данных, получаемых до лечения, во время операции и при патологоанатомическом исследовании.

Категория Т устанавливается на основании физикального обследования, лучевых методов диагностики и эндоскопии, категория N - на основании физикального обследования и лучевых методов диагностики, категория М - на основании физикального обследования и лучевых методов диагностики.

Регионарными лимфатическими узлами являются лимфатические узлы собственного таза, располагающиеся главным образом ниже бифуркации общих подвздошных артерий.клиническая классификация

Т-Первичная опухоль

ТХ Недостаточно данных для оценки первичной опухоли Т0 Первичная опухоль не определяется Та Неинвазивная папиллярная карцинома Тis Преинвазивная карцинома (Carcinoma in situ) (\"плоская опухоль\") Т1 Опухоль распространяется на субэпителиальную соединительную ткань Т2 Опухоль распространяется на мышцы Т2а Опухоль распространяется на поверхностную мышцу (внутренняя половина) Т2b Опухоль распространяется на глубокую мышцу (наружная половина) Т3 Опухоль распространяется на околопузырные ткани Т3а Микроскопическая Т3b Макроскопическая (экстрапузырная масса) Т4 Опухоль распространяется на любую из следующих структур: предстательную железу, матку, влагалище, стенку таза, брюшную стенку Т4а Опухоль распространяется на предстательную железу или матку, или влагалище Т4b Опухоль распространяется на стенку таза или брюшную стенкуРегионарные лимфатические узлыНедостаточно данных для оценки состояния регионарных лимфатических узлов N0 Нет признаков поражения метастазами регионарных лимфатических узлов N1 Имеются метастазы в одном или нескольких лимфатических узлах до 2 см в наибольшем измерении N2 Имеются метастазы в одном или нескольких лимфатических узлах до 5 см в наибольшем измерении N3 Имеются метастазы в лимфатических узлах более 5 см в наибольшем измерении

М-Отдаленные метастазы

МХ Недостаточно данных для определения отдаленных метастазов М0 Нет признаков отдаленных метастазов М1 Имеются отдаленные метастазыпатологоанатомическая классификация  pT, pN и pM категории соответствуют Т, N и М категориямГистопатологическая дифференцировка GX Степень дифференцировки не может быть установлена G1 Высокая степень дифференцировки G2 Средняя степень дифференцировки G3 Низкая степень дифференцировки или недифференцированные опухоли

. Этиология и патогенез

Принято считать, что основной причиной возникновения рака мочевого пузыря является воздействие канцерогенных веществ, выделяемых с мочой на слизистую мочевого пузыря.

Доказанными факторами риска возникновения злокачественной опухоли мочевого пузыря являются:

o     работа в непосредственном контакте с ароматическими аминами (пластмассовые, красильные, алюминиевые, резиновые и др. производства) - повышает риск заболевания до 30 раз;

o     курение - повышает риск от 3 до 7-10 раз;

o     употребление хлорированной воды - 2 раза;

o     хронический застой мочи и цистит (например, при аденоме простаты) - до 2 раз;

o     радиационное воздействие - до 3 раз;

o     шистосоматоз мочевого пузыря - до 5 раз.

В настоящее время установлено, что в ряде случаев рак мочевого пузыря обусловлен воздействием канцерогенов, которые повреждают ДНК клеток уротелия и инициируют опухолевый рост.

Другой механизм злокачественной пролиферации уротелия - это инактивация или делеция генов-супрессоров, кодирующих образование белков-регуляторов клеточного роста, репарации ДНК апоптоза. Наибольшее количество современных публикаций посвящено мутациям гена р53, который способствует снижению митотической активности клетки и активизирует механизм апоптоза при повреждении структуры ДНК. Установлено также, что инактивация гена р53 является прогностически неблагоприятным фактором, связанным с высоким риском опухолевой прогрессии и низкой выживаемостью пациентов. Некоторые новообразования мочевого пузыря развиваются вследствие инактивации гена ретинобластомы и генов, кодирующих образование протеинов р15 и р16.

Третий генетический механизм опухолевой трансформации - это амплификация или гиперэкспрессия нормальных генов, кодирующих образование факторов роста или их рецепторов. Подобные изменения при раке мочевого пузыря описаны для рецепторов эпидермального фактора роста, избыточное образование которых соответствует более агрессивному течению опухолевого процесса.

Возникновению опухолей мочевого пузыря у пожилых можно объяснить не только более продолжительным воздействием канцерогенов на слизистую оболочку мочевого пузыря и ростом суммарной дозы их экспозиции, но и возрастными изменениями в организме пожилых (изменением гормонального баланса, снижением активности Т-системы иммунитета) и особенностями морфологического строения слизистой мочевого пузыря у пожилых.

Стадии:

В зависимости от степени распространенности (запущенности) рак мочевого пузыря можно разделить на 3 вида: поверхностный, инвазивный и генерализованный.

Предваряя рассмотрение клинических форм рака мочевого пузыря необходимо отметить, что стенка данного органа состоит из четырех слоев:

. Эпителий (слизистая) - слой, который непосредственно контактирует с мочой и в котором "начинается" опухолевый рост;

. Подслизистый соединительнотканный слой (lamina propria) - фиброзная пластинка, служащая "основанием" для эпителия и содержащая большое количество сосудов и нервных окончаний;

. Мышечный слой (детрузор), функция которого заключается в изгнании мочи из мочевого пузыря;

. Наружный слой стенки мочевого пузыря может быть представлен адвентицией (у забрюшинной части органа) или брюшиной (у внутрибрюшной части органа).

4. Клиническая картина

Симптоматика опухоли мочевого пузыря во многом зависит от стадии заболевания, вида опухоли, степени ее злокачественности по гистологической градации G, локализации опухоли, наличия осложнений, особенно хронического пиелонефрита с частыми обострениями и хронической почечной недостаточностью.

Симптомы опухолей мочевого пузыря различны, но преобладает гематурия и дизурия.

Гематурия является самым частым и наиболее ранним признаком опухоли мочевого пузыря. Интенсивность гематурии не зависит от величины опухоли. Даже маленькая опухоль может вызвать обильное кровотечение, сопровождающееся тампонадой мочевого пузыря сгустками крови, тогда как опухоль больших размеров иногда не дает гематурии. Гематурия может возникнуть вследствие травмы ворсин опухоли при сокращении мочевого пузыря во время мочеиспускания.

Как первый признак болезни макрогематурию отмечают в 60-80% больных раком мочевого пузыря. Гематурия при опухоли мочевого пузыря может быть терминальной и тотальной. При тотальной гематурии вся моча равномерно окрашена кровью, при этом новообразование при любой локализации в мочевом пузыре кровоточит постоянно. Терминальная гематурия чаще всего наблюдается при локализации опухоли в шейке мочевого пузыря: в конце акта мочеиспускания появляется моча, окрашенная кровью, что связано с травмой (ущемлением) опухоли при сокращении мочевого пузыря.

Частота кровотечения может колебаться в широких пределах. Иногда после однократной гематурии последняя не повторяется несколько месяцев или лет. Это затрудняет своевременное выявление заболевания. При запущенных и распадающихся опухолях мочевого пузыря гематурия обычно имеет постоянный характер, и может быть настолько интенсивной, что приводит к тампонаде мочевого пузыря сгустками крови и экстренному оперативному вмешательству.

При папиллярных опухолях мочевого пузыря гематурия обычно имеет безболевой характер. Появление болезненного и учащенного мочеиспускания чаще всего свидетельствует об инфильтрации стенки мочевого пузыря опухолью.

Гематурия может быть не только макроскопической, но и микроскопической (эритроцитурия).

Дизурия у больных опухолью мочевого пузыря связана со многими причинами: расположением опухоли в шейке мочевого пузыря, инфильтративным ростом опухоли, ее распадом и изъявлением, присоединением цистита, сопутствующей доброкачественной гиперплазией предстательной железы.

Мочеиспускание становится не только учащенным, но затрудненным и болезненным.

Дизурия у больных, страдающих раком мочевого пузыря, встречается достаточно часто, а у части больных пожилого возраста может появиться задержка мочеиспускания, при этом чаще всего она связана с наличием доброкачественной гиперплазии предстательной железы. Выраженность дизурии значительно возрастает при присоединении инфекции и распаде опухоли. При этом моча содержит гной, кусочки распадающейся ткани, фосфаты, приобретает щелочную реакцию и зловонный запах.

Боли в надлобковой области у больных раком мочевого пузыря чаще не связаны с актом мочеиспускания, но усиливаются при его осуществлении. Они зависят от прогрессирования раковой инфильтрации, связаны с переходом процесса на паравезикальную клетчатку и соседние органы. Иррадиация болей в промежность, половые органы, крестец, бедро зависит от поражения нервных узлов.

Боли в поясничной области у больных раком мочевого пузыря связаны со сдавлением опухолью устьев мочеточников, развитием уретерогидронефроза и присоединением пиелонефрита.

При обострении пиелонефрита больные отмечают повышение температуры тела, ознобы. Гидронефроз и пиелонефрит приводит к почечной недостаточности, что сопровождается жаждой, тошнотой, сухостью во рту, потерей аппетита и другими симптомами.

Хронический пиелонефрит часто осложняет рак мочевого пузыря и занимает первое место среди причин смерти при этом заболевании

5. Диагностика

Распознавание опухолей мочевого пузыря должно быть комплексным. В настоящее время диагностика опухолей мочевого пузыря включает выяснение жалоб больного, подробно собранный анамнез, пальпацию области мочевого пузыря, цитологическое исследование осадка мочи, рентгенологическое исследование, ультразвуковое трансабдоминальное и трансректальное исследование мочевого пузыря, цистоскопию с обязательной трансуретральной биопсией опухоли, ядерно-магнитный резонанс.

При диагностике опухолей мочевого важно не только поставить диагноз, но и определить стадию опухоли, ее локализацию и распространенность, отношение новообразования к устьям мочеточников, состояние слизистой оболочки мочевого пузыря вокруг опухоли, наличие или отсутствие ближайших и отдаленных метастазов. В задачи диагностики входит также определение функции почек и состояния уродинамики верхних и нижних мочевых путей. Необходимо определить степень операционного риска и решить вопрос об операбельности больного, выбрать метод лечения.

Алгоритм обследования больных с опухолью мочевого пузыря в последние годы претерпел изменения. Раньше цистоскопию выполняли на первом этапе диагностики, считая ее ведущим методом исследования при предположительном диагнозе опухоли мочевого пузыря. В настоящее время как первое и экстренное исследование применяют лишь при тотальной безболевой гематурии, а во всех других случаях ее переносят на заключительный этап диагностики. При этом выполняют цистоскопию под наркозом с использованием прямого тубуса с одновременным осуществлением резекции новообразования в пределах визуально здоровых тканей мочевого пузыря для гистологического исследования опухоли с целью не только подтвердить диагноз, но и определить вид новообразования и степень дифференцировки клеток опухоли.

Оценка клинических симптомов заболевания имеет определенное значение при распознавании опухолей мочевого пузыря. При опросе необходимо выяснить длительность заболевания, подробно расспросить о начальных симптомах. Детальной должна быть характеристика гематурии: длительность, частота и вид (тотальная или терминальная), постоянство и интенсивность, присутствие сгустков крови в моче. Наличие у пациента гематурии, дизурии, болей в надлобковой области, слабости, похудания, потери аппетита и других проявлений болезни может навести врача на мысль о возможном наличии опухоли мочевого пузыря, но это обязательно требует подтверждения специальными методами исследования.

Бимануальная пальпация области мочевого пузыря является обязательным методом исследования больного, страдающего опухолью мочевого пузыря, хотя его диагностические возможности и невелики. Этот метод исследования иногда помогает врачу определить величину опухоли и ее взаимоотношение с окружающими тканями.

Пальпацию выполняют под наркозом при опорожненном мочевом пузыре через прямую кишку у мужчин и влагалище у женщин, другая рука врача располагается над лоном. При выполнении бимануальной пальпации мочевого пузыря очень важно добиться полного расслабления мышц.

Опухоли небольших размеров, не инфильтрирующие стенку мочевого пузыря, а также опухоли с локализацией в области шейки мочевого пузыря и мочепузырного треугольника, при бимануальной пальпации не определяются.

При этом исследовании можно определить опухоли значительных размеров, особенно расположенные на боковых стенках мочевого пузыря. Метод позволяет выявить инфильтрат в области мочевого пузыря, его распространение на ткани малого таза, прямую кишку, предстательную железу, влагалище, матку.

Прощупываемое образование может быть как подвижным, так и неподвижным.

При выявлении плотного и неподвижного инфильтрата можно сделать заключение о прорастании опухоли в паравезикальную клетчатку и органы малого таза.


Цитологическое исследование осадка мочи для распознавания опухоли мочевого пузыря стали применять со второй половины 19 века. Метод чрезвычайно прост и неинвазивен, в чем и заключается его преимущество. Однако цитологическое исследование осадка мочи является только вспомогательным методом диагностики.

Чувствительность цитологического исследования повышается с уменьшением дифференцировки опухоли.

Тем не менее, ложноотрицательные результаты могут составлять до 20% случаев новообразований стадии G3. Возможны и ложноположительные результаты вследствие реактивных изменений слизистой оболочки мочевого пузыря при хроническом цистите и некоторых других заболеваниях этого органа, а также почек и мочеточников.

Признаками опухоли мочевого пузыря при цитологическом исследовании осадка мочи являются крупные одиночные опухолевые клетки или их комплексы, полиморфизм клеток, нарушение ядерно-цитоплазматического соотношения в сторону увеличения ядра, а также картины деления клеток.

Рентгенологическое исследование больного с подозрением на опухоль мочевого пузыря начинают с выполнения экскреторной урографии.

Данные, полученные при этом исследовании, позволяют не только поставить диагноз, но и оказывают существенное влияние на выбор метода лечения.


На нисходящей цистограмме при выполнении экскреторной урографии может быть виден дефект наполнения, обусловленный опухолью мочевого пузыря. Одновременно этот метод исследования дает представление об анатомических изменениях и функциональной способности почек и мочеточников, динамике опорожнения почечной лоханки и мочеточников и позволяет оценить уродинамику верхних мочевых путей. При сдавлении интрамурального отдела мочеточника опухолевым инфильтратом и нарушении оттока мочи из верхних мочевых путей с помощью экскреторной урографии можно выявить расширение мочеточника и чашечно-лоханочной системы почек (уретерогидронефроз), а иногда и отсутствие функции этого органа.

Кроме нисходящей цистограммы, получаемой при выполнении экскреторной урографии, иногда приходится прибегать и к восходящей (ретроградной) цистографии, для чего мочевой пузырь наполняют жидким рентгеноконтрастным веществом с помощью введенного в мочевой пузырь катетера. На ретроградной цистограмме более четко выявляется изображение опухоли мочевого пузыря, а также и внутрипузырно расположенная доброкачественная гиперплазия предстательной железы. На восходящей цистограмме при опухоли мочевого пузыря можно определить дефект наполнения. Однако при опухоли незначительных размеров контрастное вещество может прикрывать ее, и тога опухоль не видна. Иногда этот метод исследования позволяет выявить пузырно-мочеточниковый рефлюкс, возникающий вследствие нарушения замыкательного аппарата устья мочеточника из-за инфильтрации стенки мочевого пузыря или сдавления устьев аденоматозными узлами при сочетании опухоли мочевого пузыря с доброкачественной гиперплазией предстательной железы.

Для выявления небольших опухолей мочевого пузыря выполняют осадочную цистографию, которую осуществляют введением в мочевой пузырь через резиновый катетер сначала 50-100 мл 10-15% суспензии сульфата бария. Затем больному рекомендуют в течение 40-60 мин менять положение тела для лучшего контакта препарата с ворсинками опухоли и слизистой оболочки мочевого пузыря. После этого мочевой пузырь опорожняют от сульфата бария, промывают, и через катетер вводят 100-150 мл кислорода. Метод позволяет получить четкое изображение опухоли мочевого пузыря, так как на измененной поверхности опухоли барий задерживается, а с нормальной слизистой оболочки мочевого пузыря полностью смывается. Осадочная цистография особенно ценна при папиллярных опухолях с длинными ворсинками, тогда как при эндофитных опухолях она малоинформативна.

В последние годы некоторые урологи при обследовании больных опухолью мочевого пузыря сочетают полипозиционную нисходящую цистографию с микционной цистоуретрографией и урофлоуметрией. При этом исследовании можно выявить особенности сокращения детрузора в месте расположения опухоли и дополнить представление о глубине опухолевой инвазии. рак мочевой опухоль пузырь

В комплексном обследовании больных опухолью мочевого пузыря в последние годы стали использовать и компьютерную томографию, с помощью которой можно уточнить глубину инвазии новообразования и состояние регионарных лимфатических узлов, а также выявить отдаленные метастазы. Это исследование значительно повышает достоверность диагноза. Метод относительно безвреден, не связан с введением в организм пациента каких-либо веществ или инструментов, позволяет быстро получить изображение любого органа, в том числе и мочевого пузыря на любой глубине.

При плановом обследовании больных УЗИ является ведущим методом диагностики опухолей мочевого пузыря. Ультразвуковое сканирование следует проводить только при наполненном мочевом пузыре. Метод позволяет получить документальную информацию о локализации и размерах опухоли мочевого пузыря, одновременно выявить доброкачественную гиперплазию предстательной железы у мужчин пожилого и старческого возраста.

Диагноз опухоли мочевого пузыря только по данным УЗИ может быть установлен у 82% больных. Для более точной диагностики следует выполнять ультразвуковое сканирование при трансабдоминальном и трансректальном расположении датчика. Трансректальное сканирование улучшает визуализацию верхушки и шейки мочевого пузыря, позволяет оценить состояние соседних органов.


Внедрение в клиническую практику ультразвукового исследования не только значительно облегчило диагностику опухолей мочевого пузыря, но и позволило изучать состояние зон регионарного метастазирования. Ультразвуковой мониторинг забрюшинных и внутритазовых лимфатических узлов при раке мочевого пузыря необходим для выбора оптимального метода лечения.

Цистоскопия последний этап обследования, но этот метод считают ведущим при подозрении на опухоль мочевого пузыря. У больных, страдающих раком мочевого пузыря, цистоскопию рекомендуют выполнять под наркозом или с использованием прямого тубуса, или специальным гибким цистоскопом с волоконной оптикой. Если нет противопоказаний, то при цистоскопии для подтверждения диагноза и определения характера опухоли одновременно выполняют и трансуретральную резекцию новообразования в пределах визуально здоровых участков мочевого пузыря.

Цистоскопия дает возможность определить наличие опухоли, ее размер и локализацию, а по внешнему виду новообразования, характеру ворсинок и толщине ножки предварительно (до гистологического исследования) оценить ее характер, состояние слизистой оболочки мочевого пузыря вокруг опухоли и отношение новообразования к устьям мочеточников.


В последние время все активнее стали применять в клинической практике такие методы, как КТ и МРТ. Эти исследования показаны только после клинических, ультразвуковых и обычных рентгенологических и эндоскопических исследований, по данным которых формируется предварительный диагноз.

Точность КТ в определении прорастания опухоли за пределы стенки мочевого пузыря колеблется от 60 до 96% ,а специфичность 66-93%. Однако на компьютерных томограммах невозможно отличить участки мышечной гипертрофии стенки мочевого пузыря от инфильтративных опухолей небольшого размера. Основным показанием для РКТ является не диагностика РМП или определение степени инвазии стенки, а выявление перивезикального распространения и вовлеченности в процесс лимфатических узлов.


МРТ сочетает в себе лучшие свойства ультасонографии и РКТ. Чувствительность МРТ при распространении опухоли в клетчатку составляет 98%. Специфичность колеблется от 62 до 100% (Огнерубов Н.А. и соавт., 1999 г.). К недостаткам и ограничениям метода можно отнести относительную дороговизну исследования, продолжительность процедуры. МРТ имеет преимущество, по сравнению с РКТ в определении прорастания опухоли в клетчатку таза и окружающие органы. Несомненным преимуществами также являются: высокое контрастное разрешение (в 70 раз выше, чем при РКТ); возможность получения информационных данных по нескольким параметрам; отсутствие ионизирующего излучения. Производители МРТ-систем в настоящее время сделали основной упор на выпуск моделей с низкими (< 0,3 Т) и средними (от 0,3 до 0,5 Т) полями, которые отличаются от высокопольных (> 0,5 Т) МРТ-систем компактностью и экономичностью при удовлетворительном качестве изображений и значительно меньшей продажной и эксплуатационной стоимости.


Неинфильтрирующие папиллярные опухоли мочевого пузыря при цистоскопии обычно имеют вид ворсинчатых образований на тонкой ножке с длинными, прозрачными и нежными ворсинками, флотирующими в промывной жидкости и отбрасывающими тень. При цистоскопии в папилломе удается увидеть центрально расположенный артериальный сосуд. Слизистая оболочка не изменена. Цвет опухоли меняется от бледно-розового до красного. Папилломы могут быть одиночными или множественными (папилломатоз мочевого пузыря).

Начальным признаком инфильтрации подслизистого слоя может быть инъецированность кровеносных сосудов вокруг опухоли. Ворсинки плотные, а основание опухоли шире.

При папиллярном раке существенно меняется внешний вид опухоли, ее ворсины становятся короткими, широкими и ригидными, ножка опухоли укорачивается, а иногда становится и вовсе неразличимой. Поверхность опухоли очень часто бывает покрыта участками геморрагий и фиброзными наложениями, может быть инкрустирована солями. На поверхности опухоли появляются изъязвления и очаги некроза. Границы опухоли плохо различимы, а слизистая оболочка вокруг опухоли отечна. При гистологическом исследовании чаще всего определяется переходно-клеточный рак второй или третьей степени дифференцировки. Опухоль прорастает мышечный слой, имеет очаги некроза, кровоизлияний и обызвествлений. Если опухоль расположена вблизи устья мочеточника, то оно может быть или невидимым, или расположенным асимметрично из-за деформации мочевого пузыря.

При эндофитном росте (солидный, или первично инфильтрирующий рак мочевого пузыря) опухоль не имеет ворсин, а основание сливается с резко измененной слизистой оболочкой мочевого пузыря. Новообразование как бы выбухает в полость мочевого пузыря. Границы опухоли нечеткие. Очень часто опухоль изъязвляется, а язвы покрываются фиброзным налетом. Такие опухоли при цистоскопии диагностировать трудно, так как они симулируют туберкулез мочевого пузыря или интерстициальный язвенный цистит.

Следует помнить, что цистоскопия является субъективным методом исследования. Иногда даже опытные врачи принимают за опухоль мочевого пузыря туберкулезные изменения слизистой оболочки, простую язву мочевого пузыря, уретероцеле или интерстициальный цистит. Цистоскопия затруднена при малой емкости мочевого пузыря, мутной среде, интенсивной гематурии, тампонаде мочевого пузыря сгустками крови, больших и вдающихся в полость мочевого пузыря аденоматозных узлах предстательной железы. Расширяет диагностические возможности цистоскопии видеозапись изображения, применение жесткой системы линз с высокой разрешающей способностью. Окончательный диагноз возможен после биопсии опухоли.

Биопсия позволяет не только морфологически подтвердить диагноз, но и оценить особенности морфологического строения опухоли (переходно-клеточный или плоскоклеточный рак, аденокарцинома, недифференцированный рак, неэпителиальная опухоль), и, что особенно важно для прогноза и назначения в послеоперационном периоде комбинированной химио- и иммунотерапии, определить степень дифференцировки клеток. Кроме того, эндовезикальная биопсия позволяет отличить опухоль мочевого пузыря от опухолеподобных поражений: фолликулярного цистита, малакоплакии, эндометриоза, амилоидоза, железистой метаплазии, кистозного цистита и других.

. Лечение

Касаясь вопросов лечения больных РМП нужно сказать, что в настоящее время хирургические методы являются ведущими. В большинстве случаев они дополняются иммуно-химиотерапией, лучевой терапией.

Все виды хирургического лечения больных раком мочевого пузыря разделяют на четыре группы:

) ТУР мочевого пузыря, которая может сочетаться с лазерным воздействием;

) Открытую резекцию мочевого пузыря, в том числе резекцию "в ложках", плазменное или лазерное выпаривание опухоли;

) Цистэктомию с различными вариантами деривации мочи;

) Паллиативные операции.

Основным методом лечения в такой ситуации является трансуретральная электрорезекция стенки мочевого пузыря с новообразванием (ТУР). Эта методика имеет диагностическое и лечебное значение - она позволяет забрать материал для гистологического исследования (подтверждение диагноза) и удалить новообразование в пределах здоровых тканей. К сожалению, после ТУР стенки мочевого пузыря с новообразованием вероятность рецидива опухоли составляет в среднем 50%. Снизить этот процент позволяет использование фотодинамической диагностики и внутрипузырное введение вакцины БЦЖ или химиопрепаратов (митомицин, доксорубицин и др.). В фазе разработки находятся многообещающие методики внутрипузырного лекарственного электрофореза. После выполнения ТУР абсолютно ОБЯЗАТЕЛЬНО выполнять повторные контрольные осмотры мочевого пузыря для исключения рецидива. При многократных рецидивах после ТУР и обнаружении низкодифференцированного ("злого") рака нередко бывает целесообразно прибегнуть к радикальной операции - цистэктомии (удаление мочевого пузыря) с формированием нового мочевого пузыря из сегмента кишки.

Радикальная цистэктомия - метод выбора в лечении глубоко инфильтрирующих опухолей. Она включает удаление мочевого пузыря и простаты у мужчин; удаление мочевого пузыря, уретры, передней стенки влагалища и матки у женщин. В случае распространенного поражения (уретра, матка, простата, мочеиспускательный канал) возможность применения эндоскопических операций практически исключена. Иногда последний этап операции (создание кишечного мочевого пузыря) откладывается на некоторое время (это позволяет минимизировать объем операции у ослабленных больных на запущенных стадиях рака), и тогда используется методика выведения мочеточников на кожу.

Химиотерапия при инвазивном РМП применяют в неоадъювантном, адъювантном периоде, а также в качестве самостоятельного вида лечения при дессиминированном процессе. Следует отметить, что до недавнего времени спектр противоопухолевых препаратов, активных при РМП, был ограниченным. Традиционно применяемой схемой являлась М-VАС/ М-VЕС (метотрексат, винбластин, адриамицин и цисплатин). Эффективность схемы у больных с генерализованным РМП составляет около 40%, средняя выживаемость - 13 мес. Однако это достаточно жесткая схема, приводящая к развитию более чем у 85% больных побочных реакций и осложнений. Наиболее значимы из них - миелосупрессия, которая наблюдается у 38% больных, нефротоксичность, возникающая у 36% больных, высокая эметогенность - до 76%.

В настоящее время препаратом выбора при лечении инвазивного и метастатического РМП являются гемцитабин (гемзар). Гемзар - препарат из группы антиметаболитов антагонистов пиримидина. Действие препарата заключается в нарушении функции ДНК-полимеразы, что в конечном итоге блокирует клетку в фазах G1 и S и приводит к ее гибели.

Режимы химиотерапии при РПМ должны базироваться на платиносодержащих препаратах. С этих позиций особенно важными являются данные о синергизме действия гемцитабина и цисплатина. Так по данным литературы, эффективность комбинации гемцитабина и препаратов платины (GC) составляют 45-79%. При этом лечебный режим GC обладает меньшей токсичностью по сравнению со схемой М-VACи требует меньшего объема сопутствующей терапии.

В настоящее время режим GC считается лучшей альтернативой для больных распространенным и метастатическим РМП и является стандартом лечения этой категории больных.

Лучевая терапия рака мочевого пузыря.

В мировой практике, до настоящего времени, существует неоднозначное отношение к лучевой терапии при РМП. В США первичная лучевая терапия РМП практически не применяется. В Великобритании и Европе это основной метод лечения распространенного РМП, а цистэктомию выполняют лишь при опухолях мочевого пузыря, резистентных к лучевой терапии. В нашей стране лучевая терапия при РМП применяется как самостоятельно, так и в сочетании с хирургическим и/или химиотерапевтическим лечением. Облучение может осуществляться как на аппаратах для дистанционной, так и контактной лучевой терапии. Причем оптимальная методика лучевой терапии выбирается в зависимости от локализации опухолевого процесса в мочевом пузыре и степени его внепузырного распространения. Так, при прорастании опухолью мышечной стенки или наличии метастатического поражения зон регионарного лимфооттока, необходимо проведение послеоперационной лучевой терапии. При РМП можно применять и брахитерапию (внутриполостная и внутритканевая лучевая терапия). Однако из-за сложности проведения, и при этом необходимости вложения больших финансовых средств, для ее реализации, она применяется, в основном, в крупных специализированных центрах экономически развитых стран. При внутриполостном облучении разовая очаговая доза составляет, как правило, 3-5 Гр, а суммарная очаговая доза доводится до 45-50 Гр. При сочетаном облучении доза при внутриполостной лучевой терапии составляет, в среднем, 30-35 Гр.

До настоящего времени весьма сложной остается проблема лечения местно-распространенного РМП, при котором радикальным методом лечения является органоуносящая операция - цистэктомия. Вместе с тем, применение комбинированного лечения с использованием на 1-ом этапе лучевойтерапии в полной дозе, а затем, при частичной регрессии, выполнение органосохраняющих операций, позволяет решить задачу радикального лечения с сохранением "собственного" мочевого пузыря.

На основании собственного клинического опыта мы считаем, что при лечении опухолей мочевого пузыря можно ограничиться одной лишь ТУР органа только при наличии поверхностного (неинвазивного) высокодифференцированного рака. Во всех других случаях за ТУР должна следовать цистэктомия или лучевая терапия по радикальной программе. При этом, суммарная очаговая доза на слизистую оболочку мочевого пузыря и пути регионарного метастазирования при опухолях Т1-2 составляет при мелком фракционировании дозы 44-46 Гр, а при Т3 - доза на слизистую оболочку доводится до 65-70 Гр.

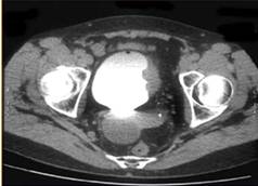
Мышечно-инвазивный рак мочевого пузыря (нормальная слизистая - желтая стрелка, опухоль - синяя стрелка)


Список используемой литературы

1. Урология (Н.А. Лопаткин, 2006 г. Стр. 313-335)

. http://medbe.ru/materials/urologicheskie-zabolevaniya/etiologiya-i-patogenez-opukholey-mochevogo-puzyrya/

3. http://www.diagnos-online.ru/zabol/zabol-323.html

. http://formen.narod.ru/opuholi_mochpuz.htm

. http://www.uroportal.ru/zabolevaniya/0/13

. http://www.bladdercancer.ru/klasifikacija/index.html


Не нашли материал для своей работы?
Поможем написать уникальную работу
Без плагиата!
Без нейросетей!