Костный травматизм у мелких животных

  • Вид работы:
    Реферат
  • Предмет:
    Сельское хозяйство
  • Язык:
    Русский
    ,
    Формат файла:
    MS Word
    50,61 Кб
  • Опубликовано:
    2015-05-27
Вы можете узнать стоимость помощи в написании студенческой работы.
Помощь в написании работы, которую точно примут!

Костный травматизм у мелких животных

ВВЕДЕНИЕ

Костный травматизм у мелких животных регистрируется в 20 и более процентов случаев от общего числа незаразной хирургической патологии.

Большое разнообразие видов переломов и их локализации на всех уровнях длинных трубчатых костей, а также увеличение с каждым годом количества множественных переломов и сочетанных повреждений, вызывают необходимость детального изучения существующих методов и разработки новых приемов оперативного лечения повреждений длинных трубчатых костей с целью определения показаний для каждого вида остеосинтеза в зависимости от характера и локализации перелома. И, естественно, любая хирургическая коррекция при переломах длинных трубчатых костей у животных должна происходить по строго определённой схеме, имеющей четкое морфологическое обоснование.

ОСТЕОСИНТЕЗ

Понятие «остеосинтез» происходит от греческих слов osteon (кость) и synthesis (соединение) и предполагает соединение костных отломков и устранение их подвижности с помощью фиксирующих приспособлений.

Истоки развития внеочагового остеосинтеза аппаратами и устройствами внешней фиксации, основанными на применении стержней, уходят в далекое прошлое. В 1840 г. Nalgaigne применил металлический гвоздь, который фиксировал отломки с помощью кожаного обруча.В конце XIX столетия Stheinmann разработал и стал применять стержни, которые вводились в пяточную кость с целью вправления отломков. Эти разработки стали предпосылкой для создания в 1912 г. Lambott первого аппарата внешней фиксации, основанного на применении стержней. Он впервые отметил преимущества внешней фиксации и описал методику фиксации отломков своим аппаратом.

Аппарат Lambott стал родоначальником всех в последующем созданных аппаратов. Необходимость создания компрессии и дистракции, репозиции отломков, привели к дальнейшему усовершенствованию конструкции фиксаторов.

На сегодняшний день современный ветеринарный специалист практически забыл о гипсовой повязке. Использование методов остеосинтеза в клинической практике обеспечивают условия оптимального существования кошек и собак с переломами костей и позволяют адекватно и быстро реабилитироваться.

Много лет при лечении переломов костей используются классические методики, которые включают в себя погружной и наружный остеосинтез.

Погружной остеосинтез представляет собой метод, который предполагает использование стабилизирующих систем внутри тканей организма и располагаются конструкции в зоне перелома.

Погружной остеосинтез в зависимости от расположения фиксатора по отношению к кости бывает внутрикостным (интрамедуллярным), накостным и чрескостным.

Наружный остеосинтез предполагает использование стабилизирующих систем вне зоны перелома кости (аппараты внешней фиксации).

Существуют комбинированные методы, которые включают сочетание двух и более методов (внутрикостно-накостный, чрезкостно-накостный или внутрикостно-чрезкостный).

ЦЕЛЬ ОПЕРАЦИИ, ЕЕ ЭКОНОМИЧЕСКАЯ ЭФФЕКТИВНОСТЬ

Цели и задачи остеосинтеза вытекают из следующих основных принципов лечения переломов: точной репозиции костных отломков с хорошим контактом поверхностей, их стабильной фиксации до сращения, обеспечение хорошей трофики области перелома, минимальная травматичность метода хирургической фиксации и возможности функционального лечения.

Реконструктивно-восстановительные операции на опорно-двигательном аппарате сопряжены со значительными трудностями и требуют от хирурга особого подхода. Решение актуальных вопросов современной травматологии невозможно без знания анатомических взаимоотношений тканей, детального изучения прочностных характеристик биомеханических соединений имплантируемых металлических или полимерных конструкций и поврежденной кости. Операции остеосинтеза требуют соблюдения особой асептики, поскольку кости и суставы очень чувствительны к инфекции, а

послеоперационная инфицированная гематома является питательной средой для развития патогенной микрофлоры. Это положение еще больше усугубляется при использовании во время операции искусственных имплантируемых материалов (лавсановые ленты, металлические фиксаторы). Строжайшее соблюдение правил асептики, знание топографической анатомии поврежденной области, бережное отношение к тканям, тщательный гемостаз, изыскание и обеспечение наиболее выгодных условий для репаративных процессов при нарушении целости кости являются теми отправными точками, без которых невозможно нормальное протекание процессов репаративной регенерации перелома.

Экономическая эффективность заключается в том, что данное оперативное вмешательство при его не высокой стоимости (на сегодняшний день в городе Брянске данная операция стоит около двух тысяч рублей) позволяет животному почти полностью восстановиться после травмы. Если своевременно не провести данную операцию, то животное не сможет с той же активностью «работать» на хозяина, так как неправильное сращение костей приводит к укорочению и снижению подвижности лапы и в этом случае хозяин будет вынужден нести более значительные финансовые потери.

Процесс скорейшего и качественного выздоровления затрагивает не только профессиональные интересы врача, но и в первую очередь интересы владельцев.

ПРЕДВАРИТЕЛЬНЫЕ СВЕДЕНИЯ О ЖИВОТНОМ

Вид, пол: собака, сука.

Кличка, №: Гайка.

Масть, отметины: черно-коричневая.

Порода: метис.

Возраст: 10 мес.

Вес: 20 кг.

Поступило: 1.12.2014 года.

Выбыло: 8.12.2014года.

Пробыло дней: 8 дней.

Диагноз предварительный: закрытый перелом костей предплечья левой грудной конечности.

Диагноз при последующем наблюдении: диафизарный перелом локтевой и лучевой костей левой грудной конечности.

Владелец животного и его адрес: Самойленко Е.Н. Адрес: г. Брянск ул. Гагарина д.56 кв.138.

Куратор: Островерхова А. Е.

АНАМНЕЗ (Anamnesis)

Собака содержится в городской квартире, условия проживания и микроклимат соответствуют норме и обеспечивают комфортные условия существования в данной среде.

Режим дня: 07:00 прогулка, 7:30 кормление, бодрствование, сон, вторая прогулка в 19:00,второе кормление 23:ºº сон. Доступ к воде свободный.

АНАМНЕЗ ЖИЗНИ (Anamnesis vitae)

Дата рождения 01.02.2014 г, происхождение животного: питомник. Профилактические прививки: первая прививка была сделана в возрасте 9 недель против чумы плотоядных, вторую проводили через 2 недели. Прививается животное раз в год. Каждые полгода собака принимает препараты против гельминтов.

Условия кормления: утром собаке дается сухой корм Pedigree 300 г. Вечером геркулесовая каша с мясом. Рацион: каша геркулесовая, гречневая, мясо, овощи, сухой корм, яйцо сырое куриное, доступ к воде свободный. Вода дается кипяченая.

Содержание животного: домашнее.

АНАМНЕЗ БОЛЕЗНИ (Anamnesis morbi)

.12.2014 г, во время утренней прогулки, собака попала под машину. После ДТП сердобольный хозяин сразу же заметил хромоту у собаки на левую грудную конечность. Спустя 2 часа собака была доставлена в клинику. При пальпации патологического очага были выявлены деформация кости, костная крепитация, болезненность, припухлость с незначительным повышением местной температуры.

ОБЩЕЕ ИССЛЕДОВАНИЕ ЖИВОТНОГО

Состояние животного при исследовании больное, угнетенное. Температура тела (ректально) - 38.7°С, пульс - 70 уд/мин, дыхание - 18 дых.дв./мин

ОПРЕДЕЛЕНИЕ ГАБИТУСА ЖИВОТНОГО:

Вынужденное лежачее положение тела в пространстве.

Телосложение - среднее.

.1.3.Упитанность - удовлетворительная.

.1.4. Конституция - нежная.

.2. ИССЛЕДОВАНИЕ КОЖИ.

.2.1. Кожа и кожный покров: цвет кожи серый, в месте патологического очага гиперемирована. Эластичность сохранена. Умеренно теплая, температура неодинаково выражена на симметричных участках. В месте патологического очага незначительно повышена местная температура. Влажность обычная. Запах специфический. Волос расположен правильно, блестящий, длинный, густой.

.2.2. Сыпь, нарушение целостности не отмечаются. На левом предплечье грудной конечности отмечается припухлость.

.3. ИССЛЕДОВАНИЕ ВИДИМЫХ СЛИЗИСТЫХ ОБОЛОЧЕК.

.3.1. Слизистые оболочки глаз

цвет - бледно-розовый;

влажность - умеренная;

целостность - не нарушена;

припухание - отсутствует.

.3.2. Слизистая оболочка носовой полости

цвет - бледно-розовый;

влажность - умеренная;

целостность - не нарушена;

припухание - отсутствует.

.3.3. Слизистая оболочка ротовой полости

цвет - красно-розовый;

влажность - умеренная;

целостность - не нарушена;

припухание - отсутствует.

ИССЛЕДОВАНИЕ ЛИМФАТИЧЕСКИХ УЗЛОВ

Лимфоузлы (паховые) - не увеличены, бобовидной формы, гладкие, подвижные, упругие, плотные, безболезненные. Повышения местной температуры нет.

При ректальной термометрии показания в пределах нормы - 38,7°С.

ИССЛЕДОВАНИЕ ОТДЕЛЬНЫХ СИСТЕМ И ОРГАНОВ

.1. ИССЛЕДОВАНИЕ СЕРДЕЧНО-СОСУДИСТОЙ СИСТЕМЫ.

.1.1. Осмотр и пальпация области сердечного толчка.

Сердечный толчок: Локализуется в 5 межреберье, ниже середины нижней трети грудной клетки (лучше выражен слева) ритмичный, умеренный. Сердечная область при пальпации безболезненна.

.1.2. Перкуссия сердечной области.

Перкуссия сердца: 3 - 6 ребро. Нижняя граница - грудная кость, верхняя граница лапаточно-плечевой сустав; абсолютная тупость в 4 - 6 межреберье, передняя граница ее начинается от средины грудной кости параллельно каудальному краю 4 ребра. Идет отвесно до реберных симфизов, а дорсальная граница идет в 5 межреберье горизонтально и достигает 6-го межреберного промежутка, образуя кривую, изогнутую назад; каудально она без резкой границы переходит в зону печеночного притупления, а со средней линии грудной кости в правостороннее сердечное притупление в 4-м межреберье дорсального верхнего края грудной кости при этом образуется одна сливающаяся зона притупления на вентральном участке грудной клетки, хорошо определяемая в сидячем положении.

.1.3. Аускультация сердца.

Сердечные тоны громкие, четкие, ясные без изменений.

.1.4. Артериальный пульс.

Артериальный пульс 70 уд/мин, ритмичный, средний, твердый, полный, равномерный, сильный.

.2. ИССЛЕДОВАНИЕ ДЫХАТЕЛЬНОЙ СИСТЕМЫ

.2.1. Исследование верхнего отдела дыхательных путей.

Носовых истечений нет. Выдыхаемый воздух умеренно теплый, без запаха. Кашля нет.

Слизистая носовой полости имеет розовый цвет, влажная, без трещин и сыпи.

Придаточные полости носа при перкуссии, дают звук коробочный, что говорит об отсутствии экссудата.

При аускультации гортани и трахеи улавливается шум гортанного стука, без патологических шумов, хрипов не обнаружено; при наружном осмотре положения головы и шеи физиологическое непринужденное; при пальпации деформации, болезненности и повышении температуры в данной области не обнаружено; при внутреннем осмотре отеков ткани, увеличения в объеме нет.

.3. ИССЛЕДОВАНИЕ ПИЩЕВАРИТЕЛЬНОЙ СИСТЕМЫ.

.3.1. Аппетит.

Аппетит удовлетворительный, неохотно поедает корм; проглатывает мало пережеванным; прием воды - свободный; отрыжка - отсутствует; глотание - свободное (не нарушено);

.3.2. Ротовая полость, глотка, пищевод, слюнные железы.

Ротовая полость закрыта. Губы сжатые, наложения, сыпь, опухание, царапины, ссадины, раны, язвы - отсутствуют. Болезненности нет.

Запах изо рта - специфический;

Слизистая оболочка ротовой полости имеет розовый цвет, влажность умеренная. Слюнотечение, отеки, налеты, сыпи, инородные тела - отсутствуют.

Десны - без нарушений.

Язык - влажный, чистый, розовый. Движение свободное.

Зубы - отклонение в числе зубов нет, наблюдаются отклонения в размере и в форме (неровные, неодинаковые), стерты обыкновенно, заболевание зубов (кариес, выпадение) не выявлено.

Проведен внутренний и наружный осмотр и наружная пальпация глотки: голова и шея располагаются в физиологическом непринужденном положении. Припухлостей в области глотки не обнаружено, пальпация болезненности не вызывает. Температура в данной области не отличается от температуры окружающих тканей. При внутреннем осмотре слизистая глотки и миндалины розового цвета без припухлостей и покраснений.

Слюнные железы: при пальпации припухлости и болезненности не выявлено.

Пищевод: проходимость пищевого кома и воды - свободное. Размер пищевода не увеличен; Болезненности, припуханий, инородных тел нет.

.3.3. Осмотр брюшных стенок.

При осмотре области живота изменений в объеме и форме не обнаружено при пальпации скопления жидкости и болезненности не выявлено. При перкуссии звук в области кишечника тимпонический. При аускультации в этой области слышны характерные перистальтические шумы.

.3.4. Исследование кишечника, желудка.

Желудок при пальпации: пустой, болезненности не выявлено, инородных тел нет, перкуторный звук - притуплено - тимпанический.

Кишечник пальпацией отклонений не выявлено.

Печень расположена справа и слева прилегает к реберной стенке и расположена почти в центре переднего отдела брюшной полости. Печень недоступна пальпации. Не увеличена. Область печеночной тупости занимает справа полосу от 10 до 13 ребра, а слева доходит до 12 ребра.

Селезенка не увеличена, поверхность - гладкая, консистенция - плотная.

Дефекация: поза - естественная, акт дефекации - свободный, отхождение газов - редкое,

Количество кала - умеренное, форма - колбаски, цвет - коричневый, запах - специфический, перевариваемость корма хорошая.

3.3.5. Ректальное исследование.

Тонус анального сфинктера умеренный, болезненность отсутствует, наполнение прямой кишки умеренное. Слизистая оболочка - теплая, умеренно влажная, не болезненная. Нарушение целостности не выявлено.

ИССЛЕДОВАНИЕ МОЧЕПОЛОВОЙ СИСТЕМЫ.

.4.1. Почки. Область почек безболезненная, положение - нормальное, не увеличены, форма - округлая, консистенция - упругая, камни - нет.

.4.2. Мочевой пузырь. Расположен в тазовой полости. Форма - грушевидная, наполнение - умеренно наполнен, консистенция - эластичная, содержимое - моча, болезненность отсутствует.

.4.3. Уретра. Покраснений нет. Консистенция - твердая. Новообразований, камней - нет. Температура - умеренно - теплая, проходимость - свободная.

.4.4. Мочеиспускание. Частота - нормальная, поза - естественная, процесс мочеиспускания - свободный, безболезненный.

.5. ИССЛЕДОВАНИЕ НЕРВНОЙ СИСТЕМЫ.

Общее состояние животного - удовлетворительное, угнетенное.

Глубокая чувствительность - сохранена.

Поверхностные рефлексы: кожный, ушной, брюшной, хвостовой, анальный, подошвенный - сохранены;

Слизистых оболочек: корнеальный, кашлевой, чихательный - сохранены.

Глубокие рефлексы: коленный, ахиллова сухожилия, локтевой - мало выражен.

.6. ИССЛЕДОВАНИЕ ОРГАНОВ ДВИЖЕНИЯ.

В целом: форма костей - без отклонений, симметричные, искривление позвоночного столба - отсутствует, болевая чувствительность - не изменена. Перкуторный звук - тупой. Мускулатура развита хорошо, симметрично. Тонус - нормальный. Болезненность мышц при пальпации отсутствует. В Движения координированы. Суставы - без патологии. Но отмечается хромота на левую грудную конечность.

При пальпации предплечья левой грудной конечности в патологическом очаге отмечается деформация кости, костная крепитация, болезненность, припухлость со слегка повышенной температурой. Конечность слегка укорочена. Собака лишена возможности опираться на конечность.

ДОПОЛНИТЕЛЬНЫЕТ (ЛАБОРАТОРНЫЕ) ИССЛЕДОВАНИЯ

Исследование крови.

У собаки кровь была получена из подкожной вены предплечья. В кровь, чтобы она не свернулась, был добавлен антикоагулянт цитрат натрия.

Показатель

Единица

Норма

Результаты

Гемоглобин

г/л

74-180

90

Эритроциты

млн/мкл

3.3-7.4

6.5

об%

22-52

37

СОЭ

мм/ч

 

0,3

Лейкоциты

тыс/мкл

7.2-18.6

17,7

Нейтрофилы палочкоядерные

%

 



ед/мкл

0-400

0

Нейтрофилы сегментоядерные

%

 



ед/мкл

1300-11000

3000

Эозинофилы

%

 



ед/мкл

0-2200

800

Базофилы

%

 



ед/мкл

0-100

0

Лимфоциты

%

 



ед/мкл

1600-6400

1600

Моноциты

%

 



ед/мкл

0-400

20

Миелоциты

 

нет

2

Ретикулоциты

%

0-7.1

5.5

Диаметр эритроцитов

мкм

 


Тромбоциты

тыс/мкл




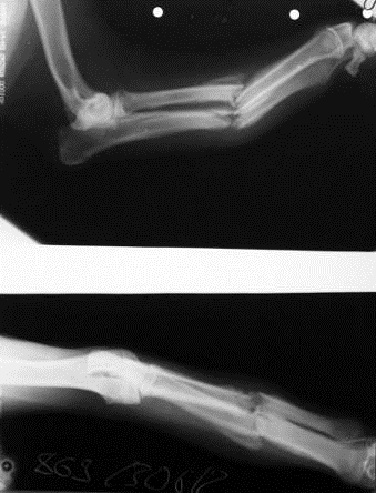
Рентгеновское исследование.

Проведённая рентген-диагностика выявила диафизарный перелом локтевой и лучевой костей левой грудной конечности.

ОПИСАНИЕ КЛИНИЧЕСКИХ ПРИЗНАКОВ ПАТОЛОГИЧЕСКОГО ОЧАГА

остеосинтез собака операция травматизм

На момент поступления больного животного в клинику на основании анамнеза и клинических признаков при первичном осмотре был поставлен предварительный диагноз: перелом костей предплечья левой грудной конечности.

Позже, уже при детальном, более углубленном обследовании животного на основании сложившейся клинической картины предварительный диагноз был подтвержден.

При визуальном осмотре: животное лишено возможности опираться на левую грудную конечность. А если и передвигается, то с ярко выраженной хромотой на вышеуказанную конечность.

При пальпации отмечалось следующее: ярко выраженная болезненность в области патологического очага, деформация кости в диафизе предплечья, костная крепитация, легкое укорочение конечности. Также при визуальном осмотре припухлость в месте предполагаемого перелома с незначительным повышением температуры относительно общей температуры тела, измерение которой (ректально) показало нормативный показатель - 38,7°С. Рентген-диагностика подтвердила предполагаемый диагноз.

Животное угнетено. Избегает лишних передвижений. Прием корма производится вяло, неохотно. Отмечается слабая жажда.


ОБЗОР ЛИТЕРАТУРЫ

Этиология.

Причины разных переломов делят на: производящие и предрасполагающие. К первым относятся различные механические воздействия (ушибы, удары, толчки, падение на твердую почву, поскальзывания, резкие мышечные сокращения, огнестрельные ранения, насильственное освобождение ущемленной конечности и др.), ко вторым-патологические и физиологические изменения костной ткани (авитаминоз, рахит, остеомаляция, остеосаркомы, остеомиелит, старческий возраст, беременность и т. п.).

Патогенез.

Патогенез переломов связан с повреждением окружающих костей мягких тканей, сухожилий, фасций, сосудов и нервов.

Любое повреждение сопровождается кровоплазмопотерей вследствие разрушения кровеносных сосудов, увеличение проницаемости капиллярного русла, развитие местного отёка и воспаления. Потеря крови при открытых переломах сопровождается характерными сдвигами гемодинамики снижением артериального давления и т. д. В целом компенсаторная симпатико-тоническая реакция на кровопотерю характеризуется рефлекторным и гуморальным спазмом периферических сосудов, увеличением притока тканевой жидкости. Повреждение нервов сначала вызывает острую боль, а затем анестезию конечности.

Детальное изучение метаболических реакций в органах и тканях показало, что в процессе перелома в организме происходит выраженное истощение энергетических и пластических запасов в органных и тканевых депо, расположенных как вблизи, так и на расстоянии от травмированного участка. Обменная реакция при переломе костей может быть выражена в некоторых случаях в значительной степени, а расход белковых, углеродных, минеральных и липидных веществ, воды, витаминов и других компонентов органов и тканей может достигать за сутки больших величин. Расходование энергетических и пластических ресурсов в организме возникает в результате распада тканей. Развивается фаза общей защитной реакции организма.

Кроме того, как известно, с белковым обменом тесно связан обмен витаминов, электролитов, микроэлементов и других минеральных веществ, играющих важную роль в организме.

Изучение фермент-субстратных систем белкового и углеродного обмена в костной ткани, показало, что, принимая участие в регенеративных процессах, они обеспечивают синтез белков и необходимую для этого энергию. Изменение активности ферментов идет вместе с изменением субстратов костной ткани.

Клинические признаки.

Основными клиническими признаками, которыми руководствуются при диагностике переломов являются: нарушение функций, деформация, подвижность кости на протяжении, костная крепитация, боль, припухлость.

Все эти признаки могут быть выражены в различной степени. Некоторые из них могут отсутствовать, несмотря на наличие перелома.

Нарушение функции - наиболее постоянный и яркий симптом перелома. По данным Белова А. Д. (1990) это зависит от локализации и характера перелома. Оно возникает в результате острых болей, вызванных раздражением нервов костными осколками, концами отломков костей и активным сокращением мышц; нарушением статического аппарата; повреждением нервов или суставов. Обычно потеря функции наступает внезапно. Её клинические проявления различны. Переломы костей конечностей сопровождаются хромотой. Животное не может опираться на больную конечность при движении и во время покоя. При проводке оно прыгает на трех лапах и совершенно не дает поднять здоровую конечность противоположенной стороны.

Деформация выражена наиболее ярко в случаях смещения концов излома, рефлекторного сокращения мускулов, значительного кровоизлияния в ткани в области перелома. Клинически деформация характеризуется резким изменением контуров, анатомического рельефа, положения и размеров пораженного участка или всего органа в целом. Например, при переломе костей конечностей обращает на себя внимание ненормальная постановка, искривление и укорочение больной конечности.

Подвижность кости на её протяжении является самым характерным признаком полного перелома. Она легко определяется при диафизарных переломах трубчатых костей.

Костная крепитация является наиболее достоверным признаком перелома. Она вызывается трением одного конца отломка о другой и воспринимается как своеобразный хруст при сжимании песка рукой. Её можно обнаружить при активных и пассивных движениях, а так же при давлении на кость в области перелома. Костная крепитация отсутствует, если имеется: неполный, вколоченный или компрессионный перелом; мышечная интерпозиция между концами излома, или большое смещение их по длине; значительное кровоизлияние или воспалительный отек в области перелома. Костная крепитация исчезает по мере развитая костной мозоли.

Боль. Защитная болевая реакция животного при переломе бывает выражена в различной степени, в зависимости от вида животного, индивидуальных особенностей, локализации перелома, степени повреждения тканей и сопутствующих осложнений. В подавляющем большинстве случаев переломы костей конечностей и шейных позвонков сопровождаются сильными болями. Боль, возникающая на месте перелома, обычно кратковременна. Она очень сильна в момент возникновения и тотчас после перелома и быстро уменьшается или исчезает после представления животному покоя. Всякое смещение концов излома обостряет боли. Боли отсутствуют при шоке и переломах, сопровождающихся повреждением спинного мозга.

Припухлость. Почти всякий перелом сопровождается повреждением мягкой ткани и сосудов.

Сильно сократившиеся разорванные мышцы, смещение концов излома кости, и значительное внутритканевое кровотечение вызывают большую припухлость. Она может постепенно исчезнуть или достигнуть огромных размеров, если перелом осложняется гнойным процессом.

При неполных переломах можно обнаружить кожную рану, разрыв мышц, фасций и апоневрозов; разорванные мышцы, сокращаясь на различном уровне, создают раневые карманы, в которых содержатся сгустки крови, мелкие костные осколки.

Прогнозы при переломах.

Прогноз зависит от возраста, вида животного, локализации перелома и степени повреждения тканей, времени и характера оказанной лечебной помощи, раневых осложнений и других моментов.

У молодых животных переломы заживают обычно лучше, чем у старых. Переломы костей грудных конечностей срастаются быстро и лучше переломов костей тазовых конечностей. Открытые переломы легко осложняются раневой инфекцией, и поэтому предсказание бывает от сомнительного до плохого.

Полные переломы больших трубчатых костей у лошадей неизлечимы, тогда как у собак и кошек в 90% случаев заканчиваются выздоровлением.

Заживление переломов пястной, плюсневой, путовой и венечной костей с восстановлением работоспособности лошади наблюдается в 61,6% случаев.

Опыт показал, что своевременная хирургическая обработка переломов, правильная репозиция отломков, хорошо положенная гипсовая повязка, штифтование и применение средств общего и местного действия дают возможность сократить сроки лечения и восстановить утраченные функции поврежденной конечности. Эпифизарные переломы больших трубчатых костей заканчиваются, как правило, артритом и анкилозом.

Диагноз и дифференциальный диагноз.

Д, А, Новожилов (1967) отмечает, что широко распространенное мнение об относительной легкости распознавания переломов на основании клинического опыта не может быть принято безоговорочно: наряду с весьма отчетливыми проявлениями перелома, доступными для распознавания лицам без соответствующей подготовки, нередко встречаются повреждения, при которых диагностика перелома представляет значительные трудности даже для специалиста.

Дифференцировать различные виды переломов можно пальпацией, а уточнять диагноз при помощи рентгенологического исследования.

Открытый перелом отличается от закрытого тем, что при осмотре заметен дефект кожи со следами кровотечения.

Смещение обнаруживается иногда визуально, а чаще - при помощи пальпации, когда обнаруживается ненормальное положение отломков кости.

Полный перелом от неполного отличается подвижностью кости на её протяжении.

Необходимо исключить невриты, миозиты - при которых может быть резкая болезненность, выключение функции конечности, отёчность, но не будет безусловных признаков перелома - крепитация.

Отёк не имеет специфического значения для диагностики перелома, но помогает установить локализацию его. Он характерен для переломов костей конечностей и может не быть выражен при переломах костей других локализаций (позвоночник, таз, грудная клетка).

Лечение.

При переломах следует незамедлительно доставить собаку в ветеринарную лечебницу, предварительно остановив кровотечение и зафиксировав конечность в том положении, в котором она находится. Ни в коем случае не следует самостоятельно пытаться исправить конфигурацию тела (конечностей). Во-первых, собаке будет больно, во-вторых, можно повредить окружающие ткани еще больше.

Лечение переломов у собак (остеосинтез) проводится для того, чтобы поврежденная кость срослась анатомически правильно и в максимально короткие сроки. В настоящее время существует несколько видов остеосинтеза, которые зависят от характера и места повреждения костной ткани. В ранние сроки после перелома проводят консервативное лечение с помощью иммобилизующих повязок, предварительно точно составив все фрагменты костей. Проводится эта процедура под наркозом или местной анестезией, чтобы мышцы в поврежденных местах полностью расслабились. При открытых переломах в обязательном порядке осуществляют туалет раневой поверхности с промыванием антисептиками и удалением поврежденных, омертвевших тканей и осколков кости. Далее открытый перелом переводят в закрытый путем наложения на рану швов. Восстановив целостность кости, необходимо наложить обездвиживающую повязку и предоставить собаке полный покой. Чтобы собака не сорвала повязку, необходимо постоянно следить за ней или надеть плотный воротник, который не позволит ей добраться до повязки. Прописывают курсом антибиотики. При хорошем заживлении иммобилизирующую повязку можно снимать через месяц.

При сложных переломах не обойтись без методов остеосинтеза. Аппараты Илизарова или Киршнера позволяют скрепить кости с анатомической точностью, а в случае сильного загрязнения раны аппарат Илизарова просто незаменим. Снятие креплений после полного заживления может проходить без повторных операций и наркоза или с применением седации. С помощью спиц и полимера (быстротвердеющей массы) можно восстановить целостность костей у мелких животных. Такой метод легок в применении, а удаление фиксатора проходит без применения специальных препаратов.

Методы внутренней фиксации, когда специальные устройства помещают внутрь кости, зачастую потребуют повторной операции по удалению пластин и винтов. Но в некоторых случаях, когда пластины не нарушают целостность сросшихся костей, их оставляют на всю жизнь.

Профилактика.

Профилактика возникновения переломов у собак (лап и других частей тела) заключается в постоянном наблюдении за поведением животного. Не стоит выгуливать собаку вблизи дорог и без поводка, заставлять спрыгивать с большой высоты. Сбалансированный рацион поможет предупредить возникновение рахита, остеомаляции и авитаминоза.

ЭПИКРИЗ

Определение заболевания.

Перелом, fraktura (лат. fragere - разбивать) - частичное или полное нарушение целостности кости, сопровождающееся большим или меньшим повреждением мягких тканей.

Приобретенный перелом вследствие сильной травмы - Fracturae traumaticae .

Травматизм животных - наиболее распространенная группа заболеваний из всех незаразных болезней животных. На его долю приходится до 50 % общей заболеваемости незаразными болезнями. Особенно большого внимания заслуживает перелом, так как при них нарушается опорная и двигательная функция животного и часто (особенно при открытых переломах) возникают различные осложнения.

Своевременное обнаружение переломов и своевременное применение правильного лечения имеет немаловажное значение.

Основная цель лечения переломов даже тысячу лет назад заключалась в получении хороших функциональных результатов.

Лечение переломов на протяжении последних столетий было направлено на разрешение того противоречия, что с одной стороны целью лечения является восстановление нормальной функции и движения конечности и, с другой стороны, средство, с помощью которых это достигалось, приводили к обездвиживанию конечности. Однако до сих пор проблема переломов полностью не разрешена, поэтому внимание исследователей и клиницистов устремлено на вопросы, касающиеся длительного изучения костеобразования и лечения переломов. Это способствует развитию методов лечения переломов, каждый из которых пытается разрушить то противоречие, что обеспечение бездеятельности ткани, необходимо для восстановления костной структуры, иногда нарушает работу тканей, обеспечивающих функции, в такой степени, что нормальная функция конечности может быть не восстановлена.

Этиология (рассматриваемого случая).

Причиной послужило ДТП. Сила механического воздействия колеса машины превышает прочность и эластичность кости.

По данным Оливкова Б. М.(1949) производящими причинами переломов являются различные механические насилия, превосходящие по степени своего действия эластичность и прочность кости: удары копытом, камнем, падение больших тяжестей, ранение пулей, осколками снарядов, и, наконец, резкие мышечные сокращения, а также насильственное высвобождение застрявшей конечности, падения, подскальзывание.

Патогенез (рассматриваемого случая).

При данном переломе была сохранена целостность мышечных волокон и сухожилий. В тоже время было нарушение близлежащей фасции, сосудов и нервов, вследствие чего отмечалась сильная боль. При вскрытии области перелома обнаружили множественные мелкие осколки кости, которые способствовали повреждению близлежащих тканей.

Клинические признаки (рассматриваемого случая).

В первый день поступления животного в клинику отмечались такие клинические признаки:

.        Боль.

.        Отмечена подвижность костей в диафизе.

.        Хорошо выражена костная крепитация.

.        Отмечено нарушение функции левой грудной конечности.

В средней трети костей предплечья: припухлость 5см. Отмечалось повышение местной температуры, общее состояние животного - угнетенное. Дыхание и пульс не учащены, слизистые оболочки бледно-розового цвета.

Нарушение функции - наиболее постоянный и яркий симптом перелома. Зависит от локализации характера перелома.

Диагноз и дифференциальный диагноз (рассматриваемого случая).

Диагноз на переломы ставится на основании данных анамнеза (со слов хозяев), а также характерных, клинических признаков, выявляемых при помощи визуального осмотра и бимануальной пальпации.

Правильная диагностика вида, характера перелома дает предпосылки для проведения квалифицированного его лечения. Диагноз курируемому животному был поставлен на основании анамнестических данных (anamnesis morbi), визуального осмотра, бимануального исследования, рентгенографии.

Обоснования назначенного лечения.

Лечение животных с переломами обеих костей предплечья остается актуальной проблемой современной ветеринарной травматологии. При данном виде травмы исключается опорно-двигательная функция грудной конечности в целом. И без оказания квалифицированной ветеринарной помощи животное может остаться «инвалидом». По нашим данным, переломы костей предплечья составляют 15%, от общего числа переломов длинных трубчатых костей. Для лечения переломов предплечья, мы применяем метод чрескостного остеосинтеза, разработанный Г.А. Илизаровым в середине прошлого столетия. Данный метод позволяет обеспечить одинаково благоприятные условия для сращения отломков лучевой и локтевой костей. Одним из основных условий успешного применения чрескостного остеосинтеза является знание топографической анатомии сегмента. Это необходимо для того, чтобы при проведении спиц, исключить повреждения сосудов и нервов, избежать травматизации основных мышечных массивов и не допустить фиксацию сухожильно-апоневротических образований.

Предлагаемая безопасная методика остеосинтеза предплечья основана на литературных данных по анатомии, топографической анатомии (Б.М. Хромов и др., 1972, Coy Альфа, 1996, J.S.Boyd.,1998, H.A Слесаренко, 2000), а также на результатах собственных исследований ангиограмм, анатомических препаратов и пироговских срезов.

Прием животного начинался со сбора анамнеза, общего осмотра, оценки локального статуса и рентгенографического исследования поврежденного сегмента. Противопоказаниями к остеосинтезу служат повреждения внутренних органов, сопутствующие инфекционные и кожные заболевания. Оперативное вмешательство осуществлялось в первые сутки после травмы при обязательном письменном согласии владельца.

На основании рентгенологической картины поврежденного сегмента, в двух стандартных проекциях, до операции, в зависимости от уровня перелома, собирается модуль аппарата. При повреждении средней трети предплечья аппарат состоит из четырех опор (дуга, 3 кольца); при переломах верхней и нижней трети - из трех опор (дуга, 2 кольца). В зависимости от длины предплечья, у мелких собак, используют две опоры (дуга, кольцо) и кронштейны.

Премедикация: внутримышечно вводится комбинация препаратов: атропин - 0,3мл + димедрол - 2мл + аминазин - 1 мл. Через 15 минут собака становится вялой, сонливой, исчезают негативные реакции, отмечается сухость мочки носа и слизистых оболочек ротовой полости. Дыхание становится ровным, глубоким. Животное фиксировали в боковом положении со стороны здоровой конечности. В этом периоде проводят обработку операционного поля, а именно выстригание или выбривание шерсти в области операционного поля с последующей обработкой 5% спиртовым раствором йода.

После фиксации собаки на столе внутривенно вводят тиопентал натрия - 2 мл 2,5% раствора до наступления сна. Тиопентал необходимо вводить медленно, осторожно до появления глубокого вдоха, затем темп введения необходимо еще замедлить до тех пор, пока у животного проявится сходящееся косоглазие, а глазные яблоки на 1/3-1/2 не закроются третьим веком. В это время интубируем животное (предварительно вводим 2 мл листенона в качестве миорелаксанта). Интубационную трубку подсоединяют к аппарату и начинают ингаляцию фторотана 0,5 об.%, затем дозу подачи фторотана постепенно увеличивают до 2,5 об.% и, как только животное достигает стадии наркоза, концентрацию фторотана снижают до 1 об.%. Поддержание наркоза осуществляют фторотаном в дозе 0,5 об.% вместе с кислородом и закисью азота (в соотношении 1 : 2).

Ориентируясь на данные рентгенологической картины, проводили предварительную ручную репозицию отломков, что позволяло устранить грубое смещение. Наложение аппарата начинали с проведения по одной спице, через локтевую кость на проксимальном уровне, и через обе кости на дистальном. Аппарат центрировали относительно оси предплечья и осуществляли дистракцию по стержням для устранения смещения по длине. Затем проводили на проксимальном уровне спицу через обе кости, а на дистальном - две спицы отдельно через лучевую и локтевую кости. При повреждении эпифизов костей предплечья, проводили спицу через пястные кости для стабильной фиксации дистальных отломков. Качество репозиции контролировали пальпаторно и с помощью инъекционных игл. На 1-1,5 см в обе стороны от линии перелома, вкалывали по одной игле перпендикулярно оси каждого отломка. Расположение канюль игл на одном уровне указывало на отсутствие смещения отломков.

Такой прием исключал рентгенологический контроль во время операции. Дальнейшее проведение репозиционно-фиксационных спиц в средней трети зависело от смещения отломков. В каждой опоре спицы натягивались с помощью тарированного спиценатягивателя. Нагрузка на спицу зависела от вида (дуга, кольцо), диаметра, толщины и материала из которого сделана опора. Так, например, при диаметре 100 мм, толщине 5 мм в стальной дуге натяжение первой спицы производили с усилием в 90 кг, второй - 80 кг, в кольце - первую - 100 кг, вторую - 110 кг. Операция завершалась контрольной рентгенографией сегмента.

Дальнейшее лечение животных проводили амбулаторно. Владельцы получали рекомендации по уходу за собакой:

в первые два дня обезболивающие препараты (анальгин, баралгин);

туалет мягких тканей возле спиц;

контроль за состоянием аппарата и его изоляция матерчатым чехлом;

проводка на поводке и пассивная работа с суставами грудной конечности;

Врачебный контроль по возможности проводили еженедельно, рентгенологический - через одну неделю после операции и через каждые две - три недели последующей фиксации. Консолидацию перелома определяли по совокупности рентгенологических и клинических признаков сращения. Продолжительность фиксации конечности в аппарате до наступления сращения колеблется от 14 до 65 дней, что зависело от возраста животного и тяжести травмы. Приблизительный срок сращения составил 32,8±1,7 дней.

Таким образом, применение чрескостного остеосинтеза при переломах костей предплечья у собак, обеспечивает репозицию, стабильную фиксацию отломков и сохранение кровоснабжения сегмента. Метод позволяет в короткие сроки восстановить функцию поврежденной конечности и добиться положительных анатомо-функциональных результатов лечения.

Профилактика.

Переломы костей могут возникнуть вследствие сильного ушиба, падения, защемления или застревания конечности собаки, причиной может послужить неудачный прыжок через барьер, наезд автомобиля, драка животных.

Нужно постараться избежать переломов - не выпускать собаку одну на улицу. На прогулке, особенно там, где есть автомобильное движение, использовать поводок. Не допускать возникновения конфликтных ситуаций между животными, т.е. всячески избегать драк. Наконец, следует правильно кормить собаку, соблюдая рекомендации ветеринарного врача. При необходимости включать в рацион собаки рекомендованные доктором пищевые и витаминно-минеральные добавки, чтобы предотвратить чрезмерную хрупкость костей - особенно если животное пожилое.

ЗАКЛЮЧЕНИЕ

Собака по кличке Гайка поступила в клинику 01.12.2014г с подозрением на перелом костей предплечья левой грудной конечности. Животное сразу было подвергнуто клиническому обследованию.

Клиническое обследование животного проводили методами наблюдения, осмотра, пальпации области предплечья, аускультации, гематологическим и рентгенологическим методом.

После постановки окончательного диагноза, на его основании и с согласия хозяина бала проведена операция, по репозиции костей предплечья путем внутрикостного остеосинтеза с использованием аппарата Илизарова, конструкция которого включала в себя четыре опоры (дуга, 3 кольца).

Собака прибывала в течение восьми дней в приюте при клинике, где за ней был регулярный присмотр и уход, необходимый в послеоперационный период. Затем, по истечении восьми дней, была выписана и отправлена домой, с условием ежемесячного посещения клиники для контроля консолидации костей.

В целом операция прошла успешно. Примерные сроки сращения костей составили 32,8±1,7 дней.

ИСПОЛЬЗУЕМАЯ ЛИТЕРАТУРА

. Оливков Б. М.; "Переломы костей" /"Общая хирургия" -1949, с. 383-406.

. И.И. Магда. Оперативная хирургия. М.: Агропромиздат, 1990.

. И.В. Хрусталева. Анатомия домашних животных. - М: Колос, 1994.

. К.И. Шакалов. Частная ветеринарная хирургия. Л.: Колос, 1981.

ПРИЛОЖЕНИЕ 1

остеосинтез собака операция перелом

Дневник

Дата

Течение болезни

Назначение

01.12.14

Собака поступила в клинику с подозрением на перелом костей предплечья левой грудной конечности. При проведении общих и дополнительных исследований, а именно при рентген-диагностике, был установлен диагноз: диафизарный перелом лучевой и локтевой костей левой грудной конечности.  T=38.7°С P=70уд./мин. R=18дых.дв./мин.

В качестве лечения был проведен черескостный остеосинтез с использованием аппарата Илизарова. 1. Подготовка операционного поля: выбривание с последующей антисептической обработкой 5% спиртовым раствором йода Rp: Sol. Iodi spirituosae 5% - 2ml D. S. Наружно. 2. Премедикация: Rp: Sol. Aminazini 2,5% - 1 ml Atropini sulfatis 0,1% - 0.3 ml Dimedroli 1% - 2 ml D. S. Внутримышечно 3. Введение в наркоз: Rp: Sol Thiopentali sodium 2,5% - 2 ml D. S. Внутривенно. 4. Перед введением в наркоз: Rp: Lysthenoni - 2ml D. S. Внутривенно. 5. Наркоз: Ингаляционный наркоз проводился интубационным способом с помощью интубационного аппарата с применением фторотана.  Остеосинтез проводился с использованием аппарата Илизарова.

02.12.14

Т =38°С Р=69уд./мин. R=16дых.дв./мин. Общее состояние удовлетворительное. Ткани в области операционной ткани малоотечны.

Обезболивающее: Rp: Tab Analgini - 0.5 D.t.d. N10 S. внутрь по одной таблетке два раза в день. Покой. Наблюдение. Питье не ограничивать. Щадящая диета.

03.12.14

T=37°С P=70уд./мин. R=18дых.дв./мин. Общее состояние удовлетворительное. Аппетит сохранен. Умеренная жажда.

Обезболивающее: Rp: Tab Analgini - 0.5 D.t.d. N10 S. внутрь по одной таблетке два раза в день. Туалет послеоперационной раны с использованием ватных тампонов, пропитанных 3% раствором перекиси водорода по прописи: Rp: Sol. Hydrogenii peroxydidilutae 3% - 200,0 D. S. Наружно. Покой. Наблюдение. В питье не ограничивать. Щадящая диета.

04.12.14

T=37°С P=70уд./мин. R=18дых.дв./мин. Общее состояние удовлетворительное. Аппетит сохранен.

Покой. Наблюдение.

05.12.14

T=38°С P=71уд./мин. R=19дых.дв./мин. Общее состояние удовлетворительное. Аппетит сохранен.

Рентген-диагностика. Покой. Наблюдение.

06.12.14

T=37.5°С P=70уд./мин. R=19дых.дв./мин. Общее состояние хорошее. Аппетит сохранен.

Покой.  Наблюдение.

07.12.14

T=38.5°С P=70уд./мин. R=19дых.дв./мин.

Покой. Наблюдение.

08.12.14

T=38.5°С P=70уд./мин. R=19дых.дв./мин. Общее состояние удовлетворительное. Собака охотно поедает корм.

Выписка.


Похожие работы на - Костный травматизм у мелких животных

 

Не нашли материал для своей работы?
Поможем написать уникальную работу
Без плагиата!
Без нейросетей!