Технология использования пробиотических микроорганизмов в производстве кисломолочных продуктов

  • Вид работы:
    Реферат
  • Предмет:
    Другое
  • Язык:
    Русский
    ,
    Формат файла:
    MS Word
    1,33 Мб
  • Опубликовано:
    2013-08-23
Вы можете узнать стоимость помощи в написании студенческой работы.
Помощь в написании работы, которую точно примут!

Технология использования пробиотических микроорганизмов в производстве кисломолочных продуктов















Реферат

Технология использования пробиотических микроорганизмов в производстве кисломолочных продуктов



Современный период развития человечества характеризуется увеличением числа заболеваний, связанных с нарушениями экологии, которые проявляются накоплением в продуктах питания разнообразных токсичных и мутагенных веществ. В связи с этим, альтернативным решением данной проблемы является введение в рацион питания продуктов, содержащих представителей полезной микрофлоры, способных снижать негативное влияние вредных пищевых факторов на здоровье человека и улучшать общее состояние макроорганизма. С этой позиции представляют интерес пропионовокислые бактерии. Они обладают уникальными иммуностимулирующими и антимутагенными свойствами, приживаются в кишечнике людей, стимулируют рост фекальных бифидобактерий и способны к снижению геннотоксического действия ряда химических соединений и УФ-лучей.

Известно, что рост пропионовокислых микроорганизмов  стимулируют молочнокислые бактерии. Одним из представителей облигатной микрофлоры кишечника является  L acidophilus, которая обладает способностью хорошо приживаться в кишечнике, в связи с чем, как один из наиболее важных микроорганизмов входит в ряд препаратов для коррекции эндоэкологии. Однако, данные о совместном культивировании ацидофильной палочки и пропионовокислых бактерий в литературных источниках отсутствуют.

В связи с этим, в настоящей работе были изучены свойства комбинированных заквасок, состоящих из культур Pr. shermanii и L. acidophilus в соотношении: 1:1; 2:1; 3:1; 1:2.

Внесение культур при составлении комбинаций осуществляем отдельно. Массовая доля вносимой комбинации культур составляла 5 %. Температурный режим ферментации - 30 °С. В процессе ферментации закваску исследовали по таким показателям как активность ферментации молока, способность образовывать углекислый газ, ароматические соединения и летучие жирные кислоты. Полученные результаты представлены в таблице 1 и на рисунках 1, 2.

Таблица 1 - Влияние соотношения заквасочных микроорганизмов на биохимическую активность комбинаций

Наименование показателей

Соотношения пропионовокислых бактерий  и ацидофильной палочки


1:1

1:2

2:1

3:1

Кислотность, оТ

78

84

74

71

ЛЖК, мл 0,1 Н NaOH

0,5

0,5

0,5

0,5

Углекислый газ, мм

5

5

5

5

Диацетил, ацетоин

+

+

+

+

Вязкость, с

37,2

37,2

37,2

37,2

Степень синерезиса, мл

38

38

38

38


Анализ экспериментальных данных показал, что все рассмотренные варианты комбинированных заквасок характеризуются выраженным вкусом, специфическим ароматом и вязкой консистенцией. Наиболее вязкая консистенция была в образце с соотношением культур 1:2, но при этом он имеет не столь высокие значения ЛЖК и более кислый вкус. Вариант соотношения культур 2:1 - содержит несколько большее количество ЛЖК (0,8 мл) и умеренное количество углекислого газа, что имеет большое значение для формирования вкуса и аромата продукта. Кислотность образцов через 6 часов ферментации составляет значения от 71оТ в варианте соотношения культур 3:1 и до 84оТ в варианте с преобладанием ацидофильной палочки 1:2.

Известно, что низкие значения рН подавляют деятельность ферментов пропионовокислых бактерий, поэтому соотношение культур 1:2 можно считать неблагоприятным. При соотношении культур 3:1 активность ферментации ниже, чем в других образцах, исходя из всего вышеперечисленного, оптимальным был принят образец с соотношением культур пропионовокислых бактерий и ацидофильной палочки 2:1. Данный образец обладает выраженным специфическим вкусом и ароматом,  достаточным содержанием ЛЖК, углекислого газа, ацетоина и диацетила, а также хорошими реологическими показателями.










Рисунок 1 - Активность кислотообразования различных соотношений
исследуемых культур









Рисунок 2 - Содержание жизнеспособной микрофлоры в различных соотношениях исследуемых культур

закваска пробиотический микроорганизм кисломолочный

Динамика кислотообразования во всех образцах достаточно равномерная (рисунок 1). Но при соотношении культур 1:1 и 1:2 сгусток формируется быстрее, чем при соотношении культур 2:1 и 3:1. Это объясняется тем, что в последних преобладает Pr. shermanii, которые характеризуются более длительной продолжительностью ферментации молока по сравнению с ацидофильной палочкой. В пробе № 4 преобладает ацидофильная палочка, однако процесс ферментации несколько замедлен поскольку культивирование проводится при 30 °С, а оптимальный режим ферментации для культуры ацидофильной палочки (40-42) °С. Наименьшим кислотообразованием характеризуется образец с соотношением культур 3:1, поскольку в нем преобладают пропионовокислые бактерии.

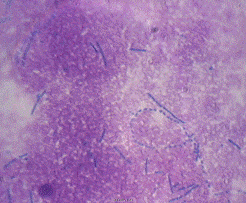
Анализ данных, представленных на рисунок 2 показал, что количество клеток ацидофильной палочки снижается при соотношении культур 3:1 до 108 КОЕ в 1 см3. При соотношении культур 1:2 доминируют ацидофильные лактобактерии, содержание пропионовокислых микроорганизмов понижается до 108 КОЕ в 1 см3. Наиболее оптимальным вариантом можно принять соотношение пропионовокислых бактерий и ацидофильной палочки 2:1, так количество микроорганизмов в этом случае практически равное и составляет- 6·109 КОЕ в 1 см3 ацидофильных бактерий и 7·109 КОЕ в 1 см3 пропионовокислых бактерий. В других вариантах большее преобладание получал тот или иной вид микроорганизмов. Морфология микроорганизмов в соотношении 2:1 представлена рисунок 3.

Рисунок 3 - Морфология микроорганизмов комбинированной закваски

Таким образом, при исследовании различных вариантов соотношений пропионовокислых бактерий и ацидофильной палочки, оптимальным было выбрано соотношение культур 2:1. Образец обладает умеренным кислотообразованием, высоким содержанием пропионовокислых бактерий и ацидофильных палочек, хорошими органолептическими и реологическими свойствами.

В результате жизнедеятельности пропионовокислых бактерий и ацидофильной палочки происходит глубокий распад молочного сахара, липидов и белков молока с образованием различных химических соединений.

Изучение биохимических свойств и активности микрофлоры, входящей в состав заквасок, позволяет лучше использовать лечебно-профилактические, реологические и органолептические свойства, интенсифицировать технологический процесс и повысить биологическую ценность молочных продуктов.

В этой связи, на следующем этапе работы была исследована протеолитическая активность полученной комбинации культур. В качестве контроля использовались чистые культуры пропионовокислых бактерий и ацидофильной палочки. Результаты представлены на рисунок 4.










Рисунок 4 - Исследование протеолитической активности комбинированной закваски

Данные, полученные в ходе исследований, показали, что в результате жизнедеятельности комбинированной микрофлоры происходит наиболее интенсивный гидролиз белков, что значительно повышает биологическую ценность продукта. Вероятно, стимулирование пропионовокислых бактерий молочнокислыми активизирует ферментативные процессы гидролиза белка, при этом идет высвобождение ранее скрытых функциональных групп, что приводит к увеличению атакуемости белков протеолитическими ферментами.

Одной из качественных характеристик пропионовосодержащей микрофлоры является способность синтезировать витамины группы В. В связи с чем, на следующем этапе исследований был изучен процесс накопления витамина В12. Результаты представлены на рисунок 5.











Рисунок 5 - Исследование витаминсинтезирующей способности микрофлоры

Как видно из данных рисунок 5, комбинированная закваска продуцирует витамина В12 несколько меньше по сравнению с чистыми культурами. Это может быть связано с тем, что витамин В12 является ростовым фактором ацидофильной палочки.

Таким образом, результаты исследований показали, что выбранная комбинация пропионовокислых бактерий и ацидофильной палочки − 2:1 является оптимальной, т.к. это способствует активному протеканию процессов протеолиза белков молока и синтезу витамина В12, что является результатом высокой биохимической активности как молочнокислой, так и пропионовокислой микрофлоры.

Анализ рынка кормов для молодняка крупного рогатого скота, которые изготовлены преимущественно из ингредиентов животного происхождения, показывает, что их производство с каждым годом уменьшается. При этом качество подобных препаратов практически не меняется, за исключением отдельных случаев.

С другой стороны технический прогресс в пищевых технологиях позволяет организовать практически безотходное производство и внедрить современные технологии переработки животного сырья.

В результате возникает проблема создания заменителей цельного молока для телят с повышенной биологической ценностью, оптимально сбалансированных по пищевой ценности с использованием традиционных ингредиентов. На сегодняшний день производители заменителей цельного молока вынуждены подбирать для рецептур резервные источники сырья, расширять ассортимент компонентов и применять современные технологии производства специальных кормов.

Современные заменители цельного молока - это питательные, гомогенные по гранулометрическому составу, гетерогенные по ингредиентам порошки, которые изготовлены на основе растительного, молочного и биотехнологического сырья, сбалансированные липо- и гидровитаминами, а также макро- и микроэлементами, которые содержат антиоксиданты сумму органических веществ, которые способствуют развитию и функционированию полезной микрофлоры гастроинтестинального тракта телят и которые изготовлены с использованием совмещенных технологий, обеспечивающих сверхгомогенизацию ингредиентов в соотношении 1:1000 - 1:10 000.  Заменители   цельного молока должны содержать оптимальное количество питательных веществ, при разбавлении водой образовывать стойкие эмульсии во времени, иметь повышенные вкусовые свойства и приятный запах, стимулировать аппетит у животных.

В Сумском национальном аграрном университете в Межфакультетской лаборатории зоотехнии и пищевых технологий были разработаны рецептуры заменителей цельного молока «Пролакты» с разной концентрацией лактозы. При изготовлении «Пролактов» была использована технология совмещенных процессов, реализованная с помощью набора оборудования, которое укомплектовано в единую технологическую линию.

Технология включает следующие технологические операции: очистка и классификация зернового и бобового сырья с помощью специального оборудования; снятие оболочек с соевых бобов; микронизация обдертых соевых бобов и кукурузного зерна; подготовка и гомогенизация эрготропиков; повторная гомогенизация эрготропиков на дисмембраторе ; тонкое измельчение ингредиентов «Пролактов», сверхгомогенизация, классификация частиц, охлаждение и выгрузка ингредиентов в тару.

Каждый из четырех рецептов «Пролактов» включает минимум двенадцать ингредиентов. Носителями питательных веществ были полножировая микронизированная соя, микронизированная кукуруза, препараты лизина и метионина, глюкоза, крахмал. Носителем биологически активных веществ является промилвит (биошрот биомассы Blakeslea trispora). В состав целевых продуктов вводили как минеральную добавку мел, как антиоксидантную - эндокс, также вкусоароматические добавки и эмульгатор - лисофорт.

Материалы и методы. Согласно плану исследований было изготовлено четыре опытные партии «Пролактов» с разной концентрацией лактозы - 5,0 %, 7,5 %, 10,0 %, 12,5 %.

Экстракцию липидов проводили смесью Фолча. Содержание фосфолипидов определяли по липидному фосфору по образованию фосфорномолибденовой сини фотоколориметрически [1]. Аскорбиновую кислоту определяли методом титрования с ДХФИФ (метод Мурри). Токоферолы по реакции Эммери-Энгеля после хроматографии в тонких слоях. Каротиноиды спектрофотометрически после экстракции навески ацетоном [2]. Стерины определяли по Заку фотоколориметрически (окраска с хлорным железом в присутствии ледяной уксусной кислоты [3].

Результаты исследований. В таблице 1 представлены некоторые показатели биохимического состава «Пролактов», которые могут дать характеристику составу биологически активных веществ смесей. А также охарактеризовать уровень колебаний изучаемых показателей.

Таблица 1 - Концентрация фосфолипидов, стеринов и неомыляемого остатка в Пролактах

Показатели

Данные стандарта

Пролакты, % лактозы



5,0 (№ 1)

7,5 (№2)

10,0 (№3)

12,5 (№ 4)

Фосфолипиды, мг %

335,7

153,1±0,8

237,6±0,8

478,1±2,8

474,0±2,0

в % к Мср

100,00

45,61

70,78

142,42

141,20

Стерины, мг %

22,63

22,09

21,22

20,30

26,90

в % к Мср

100,00

97,63

93,77

89,70

118,87

Неомыляемый остаток

347,18

113,40±6,87

457,10±8,16

722,20±9,76

96,00±5,16

в % к Мср

100,00

32,66

131,66

208,02

27,65


Данные таблицы 1 характеризуют концентрацию двух групп биологически активных веществ: суммы фосфолипидов и суммы стеринов. Что касается концентрации указанных веществ в отдельных продуктах - это достаточно равные количества, фосфолипиды в продуктах играют двойную роль: выступают в качестве эмульгаторов (технологическая роль) и выполняют функцию снижения уровня возбудителей болезней в продуктах - санитарная роль.

И фосфолипиды и стерины в продуктах появились за счет использования в качестве компонента промилвита.

В таблице 2 представлены данные каротиноидного состава продуктов, а также данные концентрации аскорбиновой кислоты (витамина С) и токоферолов (витаминов группы Е).

Таблица 2 - Концентрация каротиноидов, аскорбиновой кислоты и токоферолов в опытных партиях «Пролактов»

Показатели

Данные стандарта

Пролакты, % лактозы



5,0 (№ 1)

7,5 (№2)

10,0 (№3)

12,5 (№ 4)

Каротиноиды, мг%

3,09

3,40±0,10

2,46±0,16

2,58±0,04

3,92±0,10

в % к Мср

100,00

110,03

79,61

83,50

126,86

Неомыляемые каротиноиды, мг%

0,028±0,01

0,039±0,01

0,049±0,01

0,057±0,04

в % к Мср

100,00

65,12

90,70

113,95

132,56

Аскорбиновая кислота, мг%

30,36

24,11±0,53

28,16±0,50

29,57±0,56

39,60±4,41

в % к Мср

100,00

79,41

92,75

97,40

130,43

Токоферолы, мг%

1,91

2,04±0,02

1,31±0,01

2,19±0,01

2,10±0,02

в % к Мср

100,00

106,81

68,59

114,66

109,95


За суммарными каротиноидами разница между «Пролактами» есть, так от средней в «Пролактах» концентрации, самая низкая зафиксирована в «Пролакте» 7,5 % - 79,61 %, самая высокая - в «Пролакте» 12,5 % - 126,86 %. Разница в  концентрации может быть связана с разницей в ингредиентном составе самих продуктов, и с дозированием ингредиентов. Аналогичная картина наблюдается и по другим показателям:неомыляемые каротиноиды, аскорбиновая кислота, сумма токоферолов.

Выводы

На основании проведенных исследований химического состава созданных заменителей цельного молока «Пролакт» можно определенно сказать, что препараты серии «Пролакт» с разной концентрацией лактозы содержат биологически активные вещества такие, как фосфолипиды, стерины, каротиноиды, токоферолы, аскорбиновая кислота. Благодаря поликомпонентному ингредиентному составу «Пролакты» можно отнести не только к питательным смесям, но и к биологически активным добавкам в рацион молодняка крупного рогатого скота. Содержание отдельных групп биологически активных веществ колеблется в зависимости от препарата, что является следствием разного рецептурного состава и различными дозировками отдельных ингредиентов. В целом, полученные сведения могут служить основанием для корректировки рецептур заменителей цельного молока серии «Пролакт».

Литература

Практикум по агрохимии / под ред. Минеева В.Г. - М.: Из-во Московского университета, 2011. - 676 с.

Сурай, П.Ф., Ионов, И.А. Методы анализа кормов и продуктов птицеводства. Метод. рекомендации. - Харьков, 2009. - 95 с.

Кейтс, М. Техника липидологии. - 2005. - 324 с.

Похожие работы на - Технология использования пробиотических микроорганизмов в производстве кисломолочных продуктов

 

Не нашли материал для своей работы?
Поможем написать уникальную работу
Без плагиата!
Без нейросетей!