Дивертикулез толстой кишки
Государственное учреждение «Крымский
государственный медицинский университет имени С. И. Георгиевского»
Кафедра хирургии №1
Дивертикулез
толстой кишки
Симферополь,
2013 год
Содержание
Этиология
и патогенез
Патологическая
анатомия
Классификация
Диагностика.
Клиническое обследование
Инструментальные
методы
Осложнения
Дифференциальная
диагностика
Отдельные
формы ДБТК
Лечение
Прогноз
Список
литературы
Этиология и патогенез
Дивертикулярная болезнь
(дивертикулёз) толстой кишки (К 57) - морфофункциональный патологический
процесс, отличительным признаком которого выступают мешковидные выпячивания
(дивертикулы) в стенке ободочной кишки.
Дивертикулы являются
проявлением различных патологических состояний, среди которых ведущее значение
имеют дистрофические изменения в мышечной стенке ободочной кишки,
дискоординация ее моторики, врожденная или приобретенная слабость
соединительной ткани, сосудистые изменения в стенке кишки. Дистрофия мышечного
аппарата кишки возникает, в частности, у лиц пожилого возраста как проявление
общих дегенеративных процессов, развития атеросклероза с ишемическими
нарушениями. Кроме того, часть больных имеют врожденную слабость соединительной
ткани, связанную с нарушением синтеза коллагена, что проявляется в образовании
грыжевых выпячиваний брюшной стенки, диафрагмы и т. д. В появлении дивертикулов
у лиц средней возрастной группы важную роль играет дискоординация моторики
ободочной кишки. На фоне спазма, особенно левых отделов ободочной кишки,
избыточное внутрикишечное давление приводит к расхождению мышечных волокон и
образованию дивертикулов даже при отсутствии исходной дистрофии мышечного слоя.
Современные представления о
развитии дивертикулярной болезни включают также сосудистый фактор: при спазме
мышечного слоя происходит сдавление внутристеночных сосудов с нарушением
микроциркуляции - ишемия и замедление венозного оттока. Все вышеуказанное
приводит к дистрофическим изменениям и расширению околососудистых пространств,
которые впоследствии становятся устьем дивертикулов. Таким образом, дивертикулы
- это конечное проявление болезни кишечной стенки, разволокнения циркулярного
мышечного слоя, атрофии и расширения его в «слабых» местах (в зоне перфорантных
сосудов).
Имеются определенные
анатомические предпосылки к развитию дивертикулов в ободочной кишке. К ним
относятся:
• формирование наружного
мышечного слоя в виде трех полос (тений), что, ослабляет кишку перед внутренним
и внешним воздействиями;
• характер сосудистой
архитектоники - наличие артерий и вен перфорантов мышечного каркаса, в
результате чего в стенке кишки образуются места наименьшего сопротивления;
• наличие гаустр, в которых
может генерироваться повышенное внутрикишечное давление.
Рис.1 Сегментация ободочной
кишки при дивертикулёзе.
В этиопатогенезе
дивертикулярной болезни важная роль принадлежит изменению характера питания и
образа жизни людей за последние 100 лет в индустриально развитых странах,
переход, в основном, от растительной к животной пище. Индустриализация питания,
уменьшение в рационе растительной клетчатки приводят к дискоординации
эвакуаторной функции толстой кишки, появлению зон с повышенным внутрикишечным
давлением, как правило, в левых отделах ободочной кишки.
Таким образом, дивертикулез ободочной кишки
является полиэтиологическим заболеванием, в развитии которого играют роль как
местные, так и системные факторы, в результате действия которых кишечная стенка
приобретает характерные изменения.
Патологическая анатомия
Морфологические проявления дивертикулярной
болезни - собственно дивертикулы и предшествующие их появлению структурные
изменения кишечной стенки на тканевом и клеточном уровнях. Дивертикулы
представляют собой мешковидные выбухания слизистого и подслизистого слоёв за
пределы стенки кишки, покрытые висцеральной серозной оболочкой. Субстратом
дивертикулярной болезни служат так называемые ложные дивертикулы, в стенку
которых не входит мышечная оболочка кишки, в отличие от истинных дивертикулов,
образованных из всех слоев кишечной стенки. Примерно половина всех дивертикулов
расположена в местах прохождения перфорантных сосудов. Предшествующие изменения
стенки кишки - разволокнение на отдельные пучки циркулярных мышц, гиперэластоз
продольного мышечного слоя, а также различные виды мио- и нейропатий стенки
кишки.
Дивертикулы локализуются в разных отделах
ободочной кишки с различной частотой. Изолированно в сигмовидной кишке
дивертикулы встречаются у 30 % больных, в нисходящей ободочной кишке - у 13%,
наиболее часто дивертикулы занимают оба эти отдела - 38 % случаев. В
проксимальных отделах ободочной кишки дивертикулез встречается реже: в
поперечной ободочной - у 5 % больных, в восходящей - у 6 %, в слепой кишке - у
3 % пациентов. Тотальное поражение ободочной также встречается достаточно редко
- в 5 % случаев.
Рис. 2 Иригоскопия:
неосложненный дивертикулез сигмовидной кишки.
Классификация
В нашей стране принята
клиническая классификация дивертикулярной болезни, которая позволяет оценить
состояние, прогноз, а главное - выбрать правильную индивидуальную лечебную
тактику.
. Бессимптомный дивертикулез.
. Дивертикулез с клиническими
проявлениями.
. Осложненный дивертикулез:
а) дивертикулит;
б) околокишечный инфильтрат;
в) перфорация дивертикула;
г) кишечный свищ;
д) кишечное кровотечение.
Диагностика. Клиническое обследование
В зависимости от клинической формы дивертикулёза
наблюдаются самые различные кишечные симптомы.
Бессимптомный дивертикулёз ободочной кишки не
имеет клинических проявлений, его обнаруживают случайно при диагностике
каких-либо других заболеваний. Клинически выраженный дивертикулёз часто
сопровождается спастическими болями (кишечной коликой) в левой подвздошной
области, затруднением дефекации (запорами). После дефекации болевой синдром
обычно уменьшается. Часть больных отмечают тупую ноющую боль в той же области в
периоды между спазмами. При пальпации живота можно не определить локализации
болезненного очага, что свидетельствует об отсутствии органической причины
болевого синдрома, который связан в этом случае с дискоординацией моторики
кишки. Продолжительность болевого синдрома варьирует от нескольких дней и
недель до постоянной боли в течение длительного времени. У части больных
наблюдается чередование запора и появления жидкого стула.
Пальпация живота позволяет выявить болезненные
зоны. Обычно это левая подвздошная область и левая мезогастральная область. В
случае развития дивертикулита можно найти болезненный инфильтрат с нечеткими
контурами, также занимающий указанные анатомические зоны. Симптомы раздражения
брюшины свидетельствуют о более опасных осложнениях: перфорации дивертикула,
прорыве паракишечного абсцесса в брюшную полость. При нарастании явлений
нарушения кишечной проходимости можно обнаружить вздутие, асимметрию живота,
перкуторно определяются увеличенные в объеме ободочная кишка и петли тонкой
кишки, перистальтика усилена. Важным клиническим симптомом нарушения
целостности полого органа является исчезновение при перкуссии печеночной
тупости.
Инструментальные методы
Наиболее информативным методом
выявления дивертикулеза толстой кишки является исследование толстой кишки с
помощью бариевой клизмы (ирригоскопия). При неосложненном дивертикулезе
кишечная стенка имеет неровный контур и образует мешковидные выпячивания по ее
контуру, имеющие суженное основание (устье). Размеры этих выпячиваний
колеблются от 0,2-0,3 до 1-2 см, чаще в сигмовидной и нисходящей ободочной
кишках. Для выявления дивертикулов иногда необходимы снимки в боковой проекции.
Обращают внимание на тонус кишки, глубину межгаустральных складок, а также
растяжимость и эластичность кишечной стенки. Ирригоскопия позволяет выявить
смещаемость отделов ободочной кишки или, напротив, их фиксацию вследствие
паракишечного воспалительного процесса.
Рис. 3 Рентгенологическая
картина дивертикулеза толстой кишки. Ирригоскопия в условиях двойного
контрастирования.
Кроме того, рентгенологический
метод позволяет выявить сужение просвета сигмовидной кишки в случае образования
инфильтрата, а также заполнить контрастом свищевые ходы (фистулография).
Различают три типа
морфофункциональных изменений, выявляемых рентгенологически при дивертикулярной
болезни.
Первый тип - просвет кишки
3,5-4,0 см, гипертонус не выражен, межгаустральные складки сглажены,
эластичность стенки сохранена.
Второй тип - просвет 2,5-3,5
см, гаустральный рисунок деформирован, высокие межгаустральные складки,
эластичность сохранена.
Третий тип - просвет менее 2,5
см, стойкий гипертонус, гаустрация хаотичная, пилообразный контур, эластичность
снижена, кишка фиксирована.
Третий тип морфофункциональных
изменений является наименее благоприятным в прогностическом отношении, при нем
следует ожидать таких осложнений заболевания, как дивертикулит, паракишечный
инфильтрат, абсцедирование или перфорация.
Не менее информативным методом
выявления дивертикулеза является колоноскопия, которая кроме определения
наличия дивертикулов позволяет уточнить протяженность воспалительных изменений
в просвете кишки, расположение дивертикулов и состояние их слизистой оболочки.
Необходимо помнить, что колоноскопия на фоне дивертикулита может привести к
перфорации ободочной кишки и должна применяться с учетом клиники и данных
ирригоскопии.
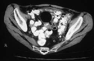
КТ с контрастным усилением -
это исследование выбора у больных с острым дивертикулитом. Часто при ее
проведении обнаруживается характерное утолщение стенок толстой кишки с
воспалением окружающей ее жировой клетчатки. В осложненных случаях при КТ
выявляются абсцессы, газ
и/или контрастное вещество вне петель кишки. Во многих отделениях практикуется
дренирование абсцессов в брюшной полости под контролем КТ, что помогает
обойтись без оперативных вмешательств в острую фазу заболевания.
Рис. 4 Компьютерная
томография с контрастированием: дивертикулярная болезнь сигмовидной кишки (S),
осложнившаяся с образованием абсцесса (А), содержащего большое количество газа
(стрелка).
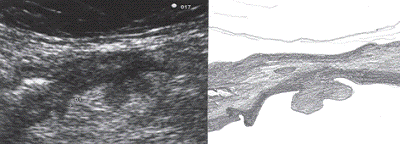
Весьма информативный метод выявления
дивертикулёза, дивертикулита и паракишечного инфильтрата - УЗИ брюшной полости.
При этом хорошо определяются сами дивертикулы, их локализация, наличие в них
воспалительных осложнений.

Рис.5 Эхографическая
картина дивертикулита. Трансабдоминальное исследование линейным датчиком 7,5 МГц.
а - продольный срез; б - поперечный срез.
В случаях перфорации дивертикула в ряде случаев
прибегают к лапароскопии, с помощью которой выявляют признаки местного
перитонита и воспалительный инфильтрат в зоне поражения.
Осложнения
Клиническая симптоматика
значительно изменяется при развитии осложнений дивертикулярной болезни.
Дивертикулит (воспаление
дивертикула) - наиболее часто встречающееся осложнение дивертикулярной болезни.
Воспаление дивертикула развивается вследствие застоя каловых масс в дивертикулах
на фоне дистрофии стенки кишки, потери барьерных свойств эпителия, действия
патогенной кишечной микрофлоры. За счет гиперемии и отека дивертикул с участком
прилегающей стенки увеличивается в размере, серозная оболочка кишки покрывается
фибрином, причем воспалительные изменения могут быть выражены настолько, что
уменьшается внутренний просвет пораженного сегмента толстой кишки, нарушается
пассаж кишечного содержимого.
Дивертикулит сопровождается
появлением постоянной боли в животе, повышением температуры тела вплоть до
субфебрильных значений. Присоединение к очагу воспаления брыжейки сигмовидной
кишки, большого сальника, окружающих органов формирует околокишечный
инфильтрат, который пальпируется в виде воспалительной опухоли левой половины
живота.
Развитие воспаления в брюшной
полости, нарушение целости стенки дивертикула ведут к образованию
околокишечного инфильтрата или абсцесса. Воспалительная опухоль может
располагаться в левой подвздошной области, над лобком, в проекции левого
латерального канала и имитировать злокачественный процесс. Формирование
абсцесса изменяет интенсивность и характер боли, отмечается усиление лихорадки,
нередко приобретающей гектические размахи в вечерние часы. На фоне инфильтрата
происходит сужение просвета кишки, что приводит к задержке стула, появляются
вздутие живота, тошнота, рвота.
Рис. 6 Иригоскопия:
дивертикулярная болезнь сигмовидной кишки. Свищ (стрелка) соединяет кишку с
мочевым пузырем (В).
Признаки выделения крови с калом присутствуют у
20-30 % больных дивертикулезом, однако кишечное кровотечение при дивертикулезе
редко носит профузный характер. При выраженной атрофии слизистой оболочки
травматизация ее твердыми каловыми массами может привести к повреждению сосуда
и потере значительного объема крови при дефекации и отдельно от каловых масс.
Стул у таких больных принято характеризовать как «малиновое желе» - кровь
свернулась, но процессы разложения еще не успели начаться.

Рис.7 Осложнения дивертикулёза.
Дифференциальная диагностика
Достоверно подтвердить наличие у больного именно
дивертикулярной болезни - часто нелегкая задача, особенно, если первая
манифестация заболевания сразу была обусловлена воспалительными осложнениями.
Дивертикулит и рак
дифференцируют по следующим критериям: при злокачественном процессе более
длительный анамнез, постепенное развитие заболевания, нередко присутствуют
малые симптомы рака, анемия. Бариевая клизма позволяет выявить наличие
протяженной стриктуры в зоне дивертикулов с довольно четкими границами, для
рака более характерно супрастенотическое расширение кишки, связанное с
длительно развивающимся нарушением кишечной проходимости. Эндоскопическое
исследование при подозрении на дивертикулит необходимо проводить с
осторожностью ввиду опасности перфорации, однако визуальный осмотр позволяет
установить воспалительные изменения слизистой оболочки дистальнее сужения, что
более характерно для дивертикулеза. Решающим является обнаружение в биоптате
кишки опухолевой ткани, хотя и ее отсутствие иногда не позволяет отвергнуть
наличие злокачественного поражения. В некоторых случаях может быть использована
ультразвуковая колоноскопия. Однако нередко окончательное установление диагноза
возможно только после морфологического изучения удаленного во время операции
пораженного участка ободочной кишки.
Болезнь Крона также может иметь
сходную с дивертикулитом клиническую картину. Для постановки правильного
диагноза помогает анамнез с характерной для болезни Крона диареей, примесью
слизи и крови в кале, а также ректальный осмотр и ректороманоскопия. При
исследовании прямой кишки обнаруживают воспалительные изменения, продольные
язвы-трещины, а также следы перианальных поражений, часто встречающихся при
болезни Крона толстой кишки.
Дифференцировать дивертикулез
от ишемического колита помогают характер болевого синдрома - длительный анамнез
боли и меньшая ее интенсивность, частые позывы на дефекацию, локализация
процесса в левом изгибе ободочной кишки.
Во всех случаях какого-либо местного
инфильтративного процесса на фоне дивертикулов в ободочной кишке следует
обязательно выполнять морфологическое исследование. При невозможности такого
исследования показано хирургическое лечение, так как ни один из
дифференциальных критериев не является абсолютным для исключения
злокачественного процесса. При этом необходимо помнить, что рак толстой кишки
на фоне дивертикулярной болезни встречается в 2-3 раза чаще, чем у лиц без
дивертикулов в ободочной кишке.
Отдельные формы ДБТК
Согласно рекомендациям Всемирной организации
гастроэнтерологов (2005) следует выделять особые формы ДБТК:
дивертикулез правых отделов толстой кишки;
ДБТК у лиц со сниженным иммунитетом;
подострый дивертикулит;
«тлеющий» дивертикулит;
дивертикулит, рецидивирующий после резекции
дивертикулов толстой кишки.
Дивертикулы правых отделов толстой кишки у
европейцев встречаются редко, они более характерны для жителей азиатских стран
и, как правило, обнаруживаются у пациентов в возрасте 25-50 лет. Эти
дивертикулы чаще бывают истинными, отличаются большей склонностью к
кровотечениям, хотя дивертикулы слепой кишки чаще осложняются дивертикулитом,
что может вызывать значительные дифференциально-диагностические сложности.
ДБТК у больных со сниженным иммунитетом (у лиц,
страдающих тяжелыми инфекционными заболеваниями, сахарных диабетом, почечной
недостаточностью, циррозом печени, злокачественными новообразованиями,
получающих химиотерапевтические препараты и иммуносупрессивную терапию, в том
числе кортикостероиды) характеризуется малой выраженностью клинических проявлений,
склонностью к осложненному течению заболевания (прежде всего перфорациям).
Возникающие у таких пациентов осложнения
определяют частую необходимость хирургического лечения и высокую
послеоперационную летальность. Следует отметить, что кортикостероидные гормоны
и НПВП могут вызывать обострения дивертикулита. Полагают, что эти препараты
маскируют обычные симптомы дивертикулита на ранних стадиях, поэтому правильный
диагноз устанавливают довольно поздно - уже при развитии осложнений.
Термином «подострый дивертикулит» рекомендуют
обозначать формы острого дивертикулита тяжелого и умеренно тяжелого течения,
когда проводимая антибактериальная терапия не приводит к полному разрешению
клинических симптомов. У больных сохраняются боли в левой подвздошной области,
нарушения функций кишечника, повышение температуры до субфебрильных цифр.
«Тлеющим» дивертикулитом предложено обозначать
такие формы заболевания, когда у больных с доказанным дивертикулезом толстой
кишки, протекающим без лихорадки и лейкоцитоза, на протяжении 6-12 мес
отмечаются боли в левой подвздошной области, расстройства функций кишечника.
Дивертикулит, рецидивирующий после резекции
толстой кишки по поводу ДБТК, встречается у 1-10% больных, перенесших данную
операцию.
Специалисты, занимающиеся проблемой ДБТК,
настаивают на необходимости динамического наблюдения за всеми больными,
перенесшими первый эпизод острого дивертикулита.
Сделана попытка разработать прогностически
значимые критерии для формирования группы пациентов с высоким риском
возникновения рецидива воспаления. Установлено, что риск рецидива дивертикулита
высокий, если:
первый эпизод острого дивертикулита возник в
возрасте до 60 лет;
имеются интенсивные боли в левой подвздошной
области при возникновении первого эпизода острого дивертикулита сигмовидной
кишки;
при первом осмотре пациента определяются
воспалительные изменения кишки;
температура тела выше 38,0 °С;
обнаруживаемые при ирригоскопии дивертикулы
ограничены левыми отделами ободочной кишки;
имеются рентгенологические признаки стойкого повышения
тонуса в левых отделах кишки, которые сохраняются даже в условиях
медикаментозной гипотонии;
обнаруживаются признаки ранее перенесенного
воспалительного процесса (фиксация дивертикулов между собой, а также
сигмовидной ободочной кишки в окружающих тканях в сочетании с деформацией ее
контура).
Лечение
В зависимости от особенностей
этиологии, патогенеза и стадии заболевания выбирают соответствующие подходы к
лечению дивертикулярной болезни.
Бессимптомный дивертикулез,
случайно обнаруженный при обследовании, не требует специальной терапии.
Необходимо указать пациенту на наличие у него риска возникновения осложнений
заболевания. Профилактикой в этом случае можно считать регуляцию стула во
избежание запора прежде всего с помощью диеты. При склонности к запору
назначают слабительные препараты, лучше масляные.
В подборе лечения клинически
выраженного и осложненного типов дивертикулеза необходимо установить этиологию
состояния у конкретного больного, а именно: произошло ли развитие дивертикулов
на фоне дистрофических изменений кишечной стенки, системной патологии
соединительной ткани либо дискоординации кишечной перистальтики.
При запоре, связанном с атонией
и дистрофией кишечной стенки у пожилых больных, необходимо также применение
масляных слабительных средств, сочетающихся с диетой, богатой растительной
клетчаткой, а также обильным питьем (1500 мл жидкости в сутки).
Если превалируют симптомы
дискоординации моторики толстой кишки у пациентов среднего возраста, то
назначается комплекс мероприятий, направленных на системное лечение этого
состояния. В него входят средства, нормализующие перистальтику и препятствующие
спастическим сокращениям кишечной стенки (ношпа, платифиллин), прокинетики
(мотилиум, дебридат). Нарушение процессов пищеварения корригируется назначением
ферментных препаратов (фестал, мезим форте).
Большое значение имеет
коррекция развивающегося дисбактериоза на фоне хронического нарушения
опорожнения толстой кишки, что выявляется анализом кишечной микрофлоры и
исправляется назначением эубиотиков (лактобактерин, хилак форте). Необходимо
также обратить внимание пациента на необходимость сбалансированного питания:
диета должна содержать достаточное количество балластных веществ, а прием пищи
проходить в установленное время и в достаточном объеме.
При воспалительных осложнениях
(дивертикулит, паракишечный инфильтрат) тактика лечения меняется. Больного
госпитализируют. При умеренно выраженных явлениях интоксикации назначают
масляные слабительные (вазелиновое масло) для смягчения каловых масс, бесшлаковую
диету с ограничением клетчатки. Показаны антибиотики широкого спектра
(метронидазол, цефалоспорины), спазмолитики (но-шпа). Для исключения перфорации
ободочной кишки проводят рентгенологическое исследование брюшной полости в
положении больного стоя, динамический ультразвуковой контроль инфильтрата.
Предпочтительно выполнять операцию при стихании воспалительных явлений.
Осложнения в этом случае составляют 3-6 % против 20 % при вмешательствах на
высоте воспаления. Если все же на фоне проводимой терапии состояние больного
ухудшается, нарастают симптомы интоксикации, появляются ультразвуковые признаки
абсцедирования или клинические проявления перитонита, применяется более
активная хирургическая тактика - вскрытие абсцесса с формированием
проксимальной колостомы, резекция пораженного сегмента также с наложением
временной стомы.
Кровотечение в 80 % случаев
удается остановить консервативными мероприятиями (гемостатики, инфузионная
терапия, постельный режим, ирригоскопия, которая в ряде случаев имеет лечебный
эффект). При неэффективности этих мероприятий проводится операция - удаление
сегмента ободочной кишки с кровоточащим сосудом (обычно левосторонняя
гемиколэктомия).
Перфорация дивертикула может
происходить в свободную брюшную полость с последующем развитием калового
перитонита, в сторону клетчатки брыжейки или в область формирующегося
инфильтрата (так называемая прикрытая перфорация по аналогии с перфорацией
гастродуоденальных язв). В том и в другом случае показана операция. При этом
тактика хирурга зависит от ряда обстоятельств, и в первую очередь - от
характера перфорации.
Рис. 8 Левосторонняя гемиколэктомия
а - схема операции; б - рассечение переходной
складки брюшины левого латерального канала; в - мобилизация дистальной части
поперечной ободочной кишки с пересечением желудочно-ободочной и диафраг-
мально-обод очной связок; г - рассечение внутреннего листка брюшины левой
половины толстой кишки; д - формирование задней полуокружности колоректального
анастомоза; е - формирование передней губы анастомоза.
Лучший метод хирургического
лечения перфорации дивертикула в экстренной ситуации с признаками перитонита
или без них - экстериоризация поражённого сегмента ободочной кишки с
последующим формированием двуствольной колостомы. При значительно выраженном
воспалительном процессе рекомендуют резекцию по типу операции Микулича или
Хартмана.
В целом, показания к операции
можно разделить на абсолютные и относительные. К абсолютным показаниям
относятся: перфорация, массивное кровотечение, неэффективность консервативной
терапии дивертикулита (нарастание интоксикации, абсцедирование инфильтрата),
кишечная непроходимость, невозможность исключить рак.
Относительные показания к
операции: периодически возникающие кишечные кровотечения, хронически
рецидивирующий дивертикулит, свищи ободочной кишки, инфильтрат, отсутствие
эффекта при консервативном лечении клинически выраженной дивертикулярной
болезни.
Объем операции при
дивертикулярной болезни определяется характером заболевания и его осложнений.
Чаще всего применяются резекции наиболее пораженного дивертикулами сегмента
ободочной кишки или зоны осложнений (перфорация, инфильтрат, свищ и т. п.).
Возможны различные типы резекции ободочной кишки или серозомиотомия. На выбор
конкретного оперативного вмешательства влияют следующие факторы:
распространенность дивертикулов, наличие воспалительных изменений
(хирургическое лечение в этом случае проводят в несколько этапов), возраст и
общее состояние больного. Наличие воспалительных осложнений, а также высокий
риск несостоятельности анастомоза вследствие трофических изменений в кишечной
стенке формируют большую группу больных, у которых приходится отказаться от
первичного анастомоза и разделить хирургическое лечение на несколько этапов. В
частности, это необходимо при нарушении кишечной проходимости, дивертикулите,
перифокальном воспалении, кишечных свищах, тяжелой соматической патологии.
Многоэтапное хирургическое
лечение при воспалении включает:
I
этап - отключение пораженного сегмента кишки из пассажа путём формирования
проксимальной колостомы;
II
этап - плановое хирургическое лечение дивертикулярной болезни после стихания
воспалительных явлений.
Формирование межкишечного
анастомоза при дивертикулярной болезни рекомендуют выполнять ручным способом,
избегая применения скрепочного аппаратного шва на лишенной эластичности стенке
ободочной кишки.
В настоящее время наряду с
резекцией ободочной кишки при клинически выраженном дивертикулёзе применяют
также операцию, которая была разработана с целью устранить патогенетические
механизмы, играющие роль в развитии дивертикулярной болезни. Это операция
получила название серозомиотомия и была предложена М. Reilly
в
1964 г., а затем модифицирована и усовершенствована в работах ГНЦК МЗ РФ.
Показанием к ней являются болевой синдром, стойкий гипертонус, пожилой возраст,
сопутствующая патология, повышающие риск резекции. Суть операции заключается в
рассечении или иссечении серозно-мышечного лоскута по тении сигмовидной кишки,
что способствует уменьшению тонуса кишечной стенки и нормализации
внутрипросветного давления. Интересно, что динамическое наблюдение за больными
после подобных операций свидетельствует не только об исчезновении клинической
симптоматики, но и об инволюции самих дивертикулов в течение нескольких лет.
дивертикулярный болезнь кишка воспалительный
Прогноз
Если послеоперационный период не сопровождают
осложнения (прежде всего, несостоятельность анастомоза), прогноз благоприятный.
Следует, однако, учитывать, что хирургическое лечение не избавляет больных от
дивертикулярной болезни, а лишь устраняет её осложнения. В связи с этим больным
необходимо диспансерное наблюдение у колопротолога.
Список литературы
1.Хирургические
болезни. Под ред. М.И. Кузина
.Клиническая
хирургия. Национальное руководство. Т.2 Под ред. В.С. Савельева, 2009
.Основы
копропроктологии. Под ред. Г.И.Воробьева, 2006
4.<http://health-ua.com/articles/2619.html>
.http://old.smed.ru/guides/43990/doctor#top_part_obshaya
<http://old.smed.ru/guides/43990/doctor>
.<http://medresept.ru/simptomy-i-lechenie-divertikuleza-kishechnika.html>
.<http://www.proctolog.ru/diseases_18_divert.htm>
. http://www.lvrach.ru/2000/09/4526316/
. http://www.medison.ru/si/art306.htm