Строение кожи
Содержание
Введение
Кожа
и ее производные
Микроскопическое
и гистологическое строение волосяного покрова
Рост
и регенерация волос
Патологии
волосяного покрова у лошади
Акупунктура
Список
литературы
Введение
Патологическая анатомия (патологическая морфология)
- наука о морфологических изменениях в органах и тканях животных и человека при
разных болезнях. Вместе с патологической физиологией, изучающей функциональные
изменения в больном организме, она является частью более обширной науки -
патологии (греч. pathos - страдание, logos - учение), которая объединяет весь
комплекс проблем, касающихся больного организма как целостной биологической
системы. Следует указать, что в ряде стран нет строгого деления патологической
анатомии и патологической физиологии, а патология изучается как единая наука.
Исключительно важная интегрирующая роль
принадлежит патологической анатомии животных в комплексе ветеринарных наук, в
научной и практической деятельности ветеринарного врача. В самом деле, трудно
назвать другую науку, предметом исследования которой были бы и
общепатологические процессы (дистрофии, воспаления, расстройства
кровообращения, процессы регенерации, развитие опухолей, пороки и уродства,
включая обусловленные генетической патологией), и болезни самой разной
этиологии, изучение которых - предмет ряда дисциплин: это и незаразные болезни,
бактериальные и вирусные инфекции, лейкозы, микотоксикозы, кровепаразитарные
болезни и гельминтозы, отравления и радиационная патология и т. д. Таким
образом, патологическая анатомия, опираясь на фундамент общебиологических
теоретических дисциплин, объединяет все этажи сложного комплекса ветеринарной
науки.
Патологическая морфология как теоретическая
дисциплина формирует фундамент материалистического представления о сущности болезней.
Вооружал практического врача глубокими знаниями о характере патологических
изменений в органах и тканях, о динамике их на разных стадиях развития
патологического процесса, их особенностях при болезнях самой различной
этиологии, эта наука дает ключ к правильной диагностике болезней, без чего
невозможна ни профилактика, ни научно обоснованная терапия при этих болезнях.
Высока роль патологоанатомической диагностики
болезней при первых случаях падежа, вынужденного убоя или убоя животных с
диагностической целью, а также при изучении болезней при той или иной
технологии промышленного животноводства с целью внесения в нее необходимых
изменений. Глубокий анализ характера и сущности патологических изменений у
животных в этих хозяйствах может оказать неоценимую услугу по совершенствованию
технологии, улучшению условий кормления и содержания, разработке научно
обоснованной профилактики наиболее часто встречающихся болезней и, несомненно,
будет содействовать созданию здоровых высокопродуктивных стад животных.
Велика роль патологической анатомии в
совершенствовании клинической диагностики болезней, оценке эффективности
различных методов лечения животных, проведение судебно-ветеринарной экспертизы.
Основной источник изучения морфологических изменений в органах и тканях при
болезнях - трупы павших или вынужденно убитых животных, а также умерщвленных с
научной или диагностической целью. Широко используется и метод биопсии, т. е.
прижизненного взятия кусочков органов и тканей, который дает возможность
провести раннюю диагностику, изучить динамику патологических изменений, следить
за их характером под воздействием лекарственных средств (патоморфоз).
Кожа и ее производные
Кожа - наружный покров организма позвоночных
<#"650393.files/image001.gif">
Кожа в разрезе
<#"650393.files/image003.gif">
Схема послойного строения кожи.
Обозначена волосяная луковица.

Каждый волос состоит из трех слоев.
Наружный слой или кутикула
<#"650393.files/image006.gif">
Существует три фазы роста волос: анаген, катаген
и телоген. В фазе анагена происходит интенсивный рост волоса. Клетки волосяного
фолликула при этом интенсивно делятся. После этой фаза наступает фаза -
катаген, во время которой происходит созревание клеток, укорочение волосяного
фолликула и его сморщивание. Основание фолликула перемещается ближе к
поверхности кожи. После этой фазы наступает фаза отдыха - телоген. Во время
телогена волос может спонтанно выпасть или удален легким усилием. Выпадение
волоса происходит тогда, когда под ним начинает расти новый волос. Вновь
образующийся волос вырастает из того же фолликула, что и старый. Когда человек
здоров, примерно 85-90% волос находятся в фазе роста, около 1% - в переходном
возрасте, 9-14% - отмирают. Исследования показывают, что обильному выпадению
волос соответствует изменение вышеприведенного соотношения: уменьшение процента
волос, находящихся в анагене и катагене, и увеличение процента волос,
находящихся в стадии телогена. Если вы заметили, что количество выпадающих в
течение дня волос резко увеличилось, это следует расценивать, как тревожный
сигнал.
Патологии волосяного покрова у лошади
Кожный грибок
Грибки являются причиной кожных заболеваний
лошадей в каждом десятом - пятнадцатом случае. В первую очередь грибок
разрастается на голове, шее или лопатках, в области седла и подпруги, в тех
местах, где лошадь сильнее всего потеет. Здесь создаются оптимальные условия
для размножения грибка.
Макрокартина:
Вначале образуются небольшие припухлости на коже
размером от булавочной головки до горошины, которые вскоре превращаются в
небольшие, шелушащиеся безволосые участки, имеющие четкие границы. Часто эти припухлости
вызывают зуд, животные сильно чешутся об окружающие предметы, в итоге
припухлости лопаются и мокнут. Но и без чесания на запущенной стадии болезни
струпья отпадают, и на поверхности оказывается влажная блестящая открытая кожа.
В конце концов, эти отдельные очаги могут объединяться и вести к изменениям на
большой поверхности. Поэтому все тело некоторых пациентов на запущенной стадии
покрыто такими зараженными участками.
Микрокартина:
Поражает отмершие волосы и чешуйки кожи, в то
время как здоровые ткани не подвергаются заражению. Грибки выделяют ядовитые
продукты обмена, повреждающие здоровые ткани и верхние поверхности кожи и
внедряются в них. Могут быть покраснения, шелушение и отмирание клеток кожи.
Входными воротами при этом становятся небольшие ранки и ссадины.
Алопеция.
Алопеция наблюдается в любой сезон. Наиболее
частая форма аллопеции - общая или генерализованная, при которой шерсть
выпадает по всему телу лошади. Чаще выпадение волос начинается незаметно, так
что это едва ли бросается в глаза. При редко встречающейся врожденной аллопеции
жеребята рождаются на свет без шерсти. Иногда у плода шерсть не растет вовсе.
Причинами общей аллопеции чаще всего являются инфекции, сопровождаемые
повышенной температурой: грипп, мыт, сальмонеллез, а также хронические
заболевания органов пищеварительной и дыхательной системы или нарушения обмена
веществ.
Макрокартина:

Образуются голые - полностью лишенные волос -
участки кожи. Постепенно области облысения увеличиваются. У некоторых животных
выпадают даже грива и хвост.
Со временем такие безволосые участки могут
соединяться и образовывать на теле животного своеобразный узор. Часто в таких
случаях шерсть выпадает в утробе матери и остается в плодовых водах. Вызывает
чесание. В таких случаях безволосые участки покрасневшие и припухшие, зачастую
мокнущие или даже кровоточащие. Нередко лошади вычесывают и гриву или хвост.
Микрокартина:
Повреждается воздействие на волосяные
фолликулы
<#"650393.files/image010.gif">
Возбудитель фавуса Trichophyton schoenleinii под
микроскопом
Микроспория -это грибковая болезнь,
характеризующаяся поражением кожи и ее производных. Микроспорию вызывают грибы
рода Microsporum: у лошадей M. Equinum. Микроспории размножаются в тканях,
содержащих роговоевещество - керотин, который имеется в роговом слое эпидермиса
кожи и в волосе. Возбудитель выделяет токсины и кератолитические ферменты,
вызывающие поверхностное воспаление и разрыхление рогового слоя кожи.
Появляется зуд и жжение.
Нарушение питания волоса и его выпадение. Идет
воспалительный процесс, образование микроабцессов. Волосы в этих участках
тусклые, легко обламываются и выдергиваются. Стержень волоса обычно утолщен и
одет серо-белой «муфтой» из спор возбудителя. При глубокой форме обнаруживаются
корки различной толщины. У лошадей поражения обнаруживают на спине, лопатках,
крупе, шее, голове, конечностях в виде пятен с шелушащейся поверхностью.
Микрокартина:
Разрыхление рогового слоя кожи, накапливание
спор гриба, из-за чего появляются абсцессы. Возбудитель проникает к устью
волосяных фолликулов и в шейку волоса, разрушает кутикулу, внутреннее волосяное
влагалище, корковое вещество.
Микроскопия в области шеи
Себорея - болезненное состояние
кожи, обусловленное усиленным салоотделением вследствие нарушения
нейроэндокринной регуляции функций сальных желёз
<http://ru.wikipedia.org/wiki/%D0%A1%D0%B0%D0%BB%D1%8C%D0%BD%D1%8B%D0%B5_%D0%B6%D0%B5%D0%BB%D0%B5%D0%B7%D1%8B>
кожи <http://ru.wikipedia.org/wiki/%D0%9A%D0%BE%D0%B6%D0%B0>.
Различают 3 вида себореи: жирная, сухая и смешанная.
Макрокартина:
Жирная себорея: Снижается
эластичность кожи, наблюдаются расширенные поры, что приводит к образованию комедонов
<http://ru.wikipedia.org/wiki/%D0%9A%D0%BE%D0%BC%D0%B5%D0%B4%D0%BE%D0%BD>
и угревых высыпаний. Также наблюдается повышенная жирность волос и желтоватые
чешуйки.
Сухая себорея: представляет собой
пониженное салоотделение, при этом на коже головы и в волосах обильно
присутствуют чешуйки перхоти. Цикл естественного отшелушивания клеток кожи
сокращается, возникает перхоть, нарушается структура волоса (волосы становятся
тонкими, сухими, ломкими, с секущимися кончиками), может наблюдаться выпадение
волос.
Микрокартина:
Жирная себорея: проявляется в
расширении устья сальных желез. Под кожей образуются небольшие наросты из сала.
Может происходить закупорка сально-волосяных фолликулов роговыми массами. Идет
утолщение рогового слоя эпидермиса.
Сухая себорея: разрушение волосяных
луковиц, воспалительных очагов не наблюдается. Уменьшает ся количество
подкожного сала.
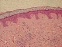
Гистологическая картина себорейного
дерматита
Трихофития - это инфекционная болезнь,
характеризующаяся появлением на коже резко ограниченных, шелушащихся участков с
обломанными у основания волосами или развитием выраженного воспаления кожи, с
выделением серозно-гнойного экссудата и образованием толстой корки. Болезнь
регистрируется в любое время года, но чаще в осенне-зимний период. Этому
способствуют снижение резистентности организма животных, изменения
метеорологических условий, различные нарушения в содержании и кормлении.
Макрокартина:
В волосистой части тела проявляется очагами
округлой или неправильной формы с нечеткими, расплывчатыми границами, слабо
выраженным шелушением в виде серебристых чешуек и поредевшими волосами,
частично обломанными на высоте 1-2 мм над поверхностью кожи, иногда и на уровне
кожи. Бывает кровянное накопление на поверхности кожи. Вызывает зуд и жжение.
Микрокартина:
В эпидермисе отмечаются межклеточный отек и
микроабсцессы с элементами грибка в роговом слое эпидермиса, иногда в дерме.
Грибки расположены также внутри волос - поражение по типу эндотрикс. В коже
формируются внутрифолликулярные абсцессы и перифолликулярные гранулемы,
состоящие из нейтрофилов, эозинофилов и единичных гигантских клеток. Полости
абсцессов заполнены грануляционной тканью с эпителиоидными и гигантскими
клетками.
Волос, пораженный трихофитией. Споры внутри
волоса(красные стрелочки показывают на споры)
кожа волос болезнь
патология
Акупунктура является безмедикаментозным,
экологически чистым методом лечения незаразных болезней. Суть метода
заключается в воздействии различными факторами: иглой, токами малой силы,
лучами лазера, химическими средствами. Биологические активные точки
располагаются под кожей на различной глубине. Для проведения процедуры удобнее
всего использовать тонкие инъекционные иглы. Место введения иглы
дезинфицируется после предварительного выстригания шерстного покрова. Иглу
вводят одним из способов: толчковым движением, мягким погружением, вращением.
Глубина введения иглы указана индивидуально для каждой точки. Продолжительность
процедуры 15-20мин. В этот период рекомендуется выполнить 1-2 раза
непродолжительных манипуляции с иглами. Появление крови в месте укола не
является показанием неэффективности иглоукалывания.
с внутренней стороны верхней губы при переходе
губы в верхнюю челюсть в центре сосочка верхней губы. Укалывание: 5-7мм, до
появления капли крови.
билатерально, на пересечении двух линий от
середины угла верхней губы. Укалывание: 8-9мм, косой прокол в сторону рога.
на средней линии на уровне трех поперечников
пальцев от верхнего края ноздрей.
на уровне вены внутреннего угла глаза, на
пересечении дорсомедиальной линии и линии, образуемой внутренним углом глаза.
на дорсомедиальной линии между 3-м и 4-м
остистыми отростками грудных позвонков. Укалывание: 20-30мм.
на дорсомедиальной линии тела в углублении между
последним поясничным позвонком и 1-м неподвижным хвостовым позвонком.
Укалывание: 15-20мм вертикально.
на дорсомедиальной линии тела на расстоянии
одного цуня от кончика хвоста, дорсально. Укалывание: 15-20мм косой укол
дорсально.
на медиальной линии тела на 2 ладони и 2
поперечника пальцев ниже ануса у овец. Укалывание: 25-30мм.
билатерально, у верхнего краниального края
лопатки во впадине, образуемой хрящевым краем лопатки и костной тканью.
Укалывание: 20-25мм, косой угол, подкожно.
в 4-м межреберье. Укалывание: 15-20мм косой укол
подкожно.
билатерально, над 3-м верхним крестцовым
(сакральным) отверстием. Укалывание: 15-20мм вертикально.
Список литературы
1.
Акаевский А.И. «Анатомия домашних животных»; М, 1978г
.
В.М. Жуков, В.Д. Ушаков, О.М. Федух, Л.В. Ткаченко. Учебное
пособие
по курсу << Патологическая анатомия>>; - 2006г.
.
А.А. Авроров, А.В. Акулов, Л.Г. Бурба; Под ред. Шикова и др.-М.: колос.
Патологическая диагностика болезней лошадей.-1984г
4.
Патологическая анатомия сельско-хозяйственных животных. Под ред. В.П. Шишкова,
А.В. Жаров. - М.: Колос, 1995
5.
Данилевский В.М. Справочник по ветеринарной терапии. - М.: Колос, 1983.-С. 15.
6.
Данилевский В.М. Профилактическая и лечебная работа в животноводстве. - М.:
Колос, 1971.