Основи біології
Міністерство
освіти і науки України
Полтавський
національний технічний університет
імені
Юрія Кондратюка
Санітарно-технічний
факультет
Кафедра
екології
Методичні вказівки до виконання лабораторних робіт із дисципліни «Біологія»
Освітньо-кваліфікаційний
рівень - Бакалавр
для спеціальності 6.070800
Екологія та охорона
навколишнього середовища
Методичні вказівки до виконання лабораторних робіт із
дисципліни "Біологія" для студентів спеціальності 6.0708000
"Екологія та охорона навколишнього середовища". Частина І / Полтава:
ПолтНТУ, 2003. - 37с.
Укладачі: доктор біологічних наук, проф. В.Ф. Коваленко,
доктор біологічних наук, доц. О.І.Цебржинський, асист. Р.В.Аніскіна-Левчук.
Відповідальний за випуск: завідувач кафедри екології
В.Ф.Коваленко, професор, доктор біологічних наук, академік УААН.
Рецензенти: завідувач кафедри медичної біології,
паразитології, генетики Української медичної стоматологічної академії, проф.
С.І. Дубінін; кандидат біологічних наук, доц. В.О.Пілюгін
Редактор Н.В.Жигилій
Коректор Н.О.Янкевич
Вступ
Курс дисципліни "Біологія" охоплює великий науковий
матеріал. Мета лабораторних занять - закріпити, розширити і поглибити знання студентів із
теоретичного курсу. Лабораторні заняття містять у собі елементи дослідження,
підводять студентів до певних узагальнюючих висновків. Для активної роботи
студентів на лабораторних заняттях вони повинні засвоїти теоретичний матеріал
із відповідних тем курсу загальної біології, повторити матеріал із курсів
ботаніки, зоології, анатомії та фізіології людини, хімії, фізики, ознайомитися
з додатковою літературою і дати відповіді на тестові питання вихідного
контролю.
До деяких тем подаються задачі та методика їх розв'язування.
Вміщені рисунки допоможуть розібратися у матеріалі, що вивчається, осмислити
складні процеси, які відбуваються в живих організмах.
Кожна лабораторна робота включає декілька завдань, якщо
потрібно, невелику теоретичну частину, хід виконання самостійної роботи та
певних спостережень, тести підсумкового контролю для закріплення знань студентів.
Для виконання лабораторних завдань необхідно вести зошит, у
якому систематично робити рисунки, проводити записи. Рисунки повинні бути
досить великими, чіткими, з необхідними позначками. Після завершення роботи
необхідно дати відповіді на тести підсумкового контролю і заповнити пункти
рубрики «Висновки».
Нижче нагадуємо вам, як слід користуватися мікроскопом.
Правила роботи з мікроскопом (рис. 1)
. Установіть мікроскоп штативом до себе, предметним столиком
від себе.
. Поставте в робоче положення об'єктив малого збільшення. Для
цього повертайте револьвер з об'єктивами доти, доки один із них не опиниться
над отвором предметного столика. Коли об'єктив займе певне положення, у
револьвері спрацює защіпка й почується легке клацання.
. За допомогою макрогвинта підніміть об'єктив над столиком на
0,5 см, відкрийте діафрагму і трохи підніміть конденсор.
. Дивлячись в окуляр, обертайте дзеркало в різних напрямках,
поки поле зору мікроскопа не буде рівномірно яскраво освітлене.
. На предметний столик покладіть препарат накривним скельцем
угору так, щоб об'єкт містився навпроти отвору предметного столика. Закріпіть
препарат затискачами.
. Дивлячись збоку на окуляр, поступово опускайте його за
допомогою макрогвинта, поки відстань до препарату не дорівнюватиме 1-2 мм.
Рис.1. Мікроскоп біологічний робочий: 1 - основа; 2 - коробка з
механізмом мікрометричного фокусування; 3 - рукоятка мікрометричного фокусування; 4 - рукоятка макрометричного фокусування; 5 - стопорний гвинт; 6 - центрирувальний гвинт; 7 - тубусотримач; 8-головка; 9-монокулярна насадка; 10 - гвинт насадки; 11 - гвинт револьвера;12 - револьвер; 13 -
предметний столик; 14 - гвинт конденсора; 15-16
- корпус конденсора; 17 - відкидна лінза в оправі; 18 - рукоятка конденсора; 19 - дзеркало.
. Дивлячись в окуляр, повільно піднімайте макрогвинтом тубус доти, доки
в полі зору мікроскопа не з'явиться зображення об'єкта (відстань між об'єктом і
препаратом при цьому становить приблизно 0,5 см).
. Щоб розглянути об'єкт при великому збільшенні, необхідно його певну
зону розмістити у центрі поля зору мікроскопа, повільно пересуваючи препарат.
. Обертаючи револьвер, переведіть у робоче положення об'єктив великого
збільшення.
. Опустіть об'єктив, дивлячись на нього збоку, майже до стикання з
препаратом.
11. Дивлячись в окуляр, повільно піднімайте тубус за
допомогою макрогвинта, поки в полі зору не з'явиться зображення. Не кваптеся,
оскільки фокусна відстань становить усього 1 мм і зображення можна легко
пропустити. Якщо це трапилось, повторіть усе спочатку (пункти 10 і 11).
. Для тонкого наведення різкості користуйтесь мікрогвинтом.
Лабораторна робота №1
Тема: Визначення деяких органічних молекул та їх властивостей
Мета - ознайомлення із принципами
визначення деяких хімічних речовин, які входять до складу живих організмів.
Завдання
для самопідготовки - вивчити матеріал із теми “Вуглеводи, ліпіди”, дати правильну
відповідь на тести вихідного контролю.
Тести вихідного контролю
. Полісахарид крохмаль складається з мономерів: а) глюкоза; б)
галактоза; в) фруктоза; г) рибоза.
. Дисахарид сахароза складається з мономерів: а) глюкоза;
б)галактоза; в) фруктоза; г) рибоза.
. Опишіть властивості моносахаридів.
. Опишіть властивості полісахаридів.
. До складу нейтральних жирів можуть уходити залишки:
а)фосфорної кислоти; б) багатоатомних спиртів; в) гліцеролу; г) жирних кислот;
д) амінокислот; е) аміноспиртів.
. До складу фосфоліпідів можуть уходити залишки: а) фосфорної
кислоти; б) багатоатомних спиртів; в) гліцеролу; г) жирних кислот; д) амінокислот;
е) аміноспиртів.
. Опишіть властивості ліпідів.
. Охарактеризуйте поняття: “гідрофільність”, “гідрофобність”.
Зміст роботи
. Визначення полісахариду крохмалю за допомогою реакції з
йодом
При взаємодії крохмалю з йодом утворюються сполуки, які забарвлені
в синій колір. Якщо їх нагріти, забарвлення зникає, але з’являється знову при
охолодженні, що свідчить про утворення нестійких комплексів включення крохмалю
з йодом.
. Характерною властивістю ліпідів є їх розчинність у багатьох
розчинниках (ацетон, хлороформ, діетиловий ефір) і нерозчинність у воді. Якщо
до спиртового розчину ліпіду додати воду, утвориться емульсія. Найдрібніші
ліпідні крапельки, зважені у воді, відбивають світло, внаслідок чого емульсія
здається білою.
Обладнання та матеріали: водяна баня або спиртівка, пробірки
(штатив) або стакани, мірний посуд, лійки, піпетки, олія, спирт, ефір
(хлороформ, очищений гас, бензин), крохмаль, розчин Люголя.
Хід роботи
. У пробірку помістити 2 мл. 0,1% розчину крохмалю й додати
1-2 краплі розчину Люголя. Вміст пробірки перемішати і спостерігати утворення
синього забарвлення. Суміш нагрійте на водяній бані чи в посудині з гарячою
водою. Потім охолодіть.
Результати
. У три пробірки помістіть по 0,2-0,3 мл. олії, потім у першу
додайте 5 мл. води, в другу - 5 мл. спирту, у третю - 5 мл. ефіру (хлороформу,
очищеного гасу, бензину). Вміст усіх трьох пробірок енергійно перемішайте.
Висновки
Тести підсумкового контролю:
. Дайте характеристику полісахаридів.
. Назвіть відомі вам полісахариди.
. Ліпіди розчиняються у: а) воді; б) бензолі; в) неполярних
розчинниках; г) кислотах; д) лугах.
. До ліпідів належать: а) фосфоліпіди; б) нейтральні жири; в)
холестерол; г) глікоген; д) целюлоза; е) хітин.
. Природа нейтральних жирів: а) тригліцероли; б)
діацилгліцероли; в) фосфогліцероли; г) гліколіпіди.
Лабораторна робота №2
Тема: Вивчення властивостей ферментів
Мета - провести досліди щодо розщеплення пероксиду водню за
допомогою ферменту каталази рослинних та тваринних клітин. Сформулювати
уявлення про роль ферментів у клітинах.
Завдання для самопідготовки - вивчити матеріал за темою
“Білки. Ферменти. Нуклеїнові кислоти.”. Дати правильну відповідь на тести
вихідного контролю.
Тести вихідного контролю:
. Ферменти відрізняються від інших білків тим, що: а) є
каталізаторами хімічних реакцій; б) містять вітаміни; в) містять метали; г)
здатні до денатурації; д) мають третинну структуру.
. Яка хімічна природа біологічних каталізаторів?
. Що становить собою активний центр ферментів?
Зміст роботи
1. Ферментативне розщеплення пероксиду водню за допомогою
ферменту каталази, який міститься в клітинах рослин та тварин
Пероксид водню утворюється в деяких рослинних та тваринних
клітинах як побічний продукт обміну речовин. Ця сполука токсична для клітин,
тому в них міститься фермент каталаза, що розщеплює пероксид водню до
нешкідливих речовин - води і молекулярного кисню.
Н2О2 2Н2О + О2
Про активність каталази можна судити за інтенсивністю
виділення з тканин кисню.
2. Ферментативне розщеплення пероксиду водню каталазою, яка
міститься в клітинах насіння гороху, або бульб картоплі, або краплі крові
Обладнання та матеріали: свіжий 3% розчин пероксиду водню,
дистильована вода, пробірки, фільтрувальний папір, мікроскоп, листя елодеї,
пеларгонії та інших видів рослин, м’якоть яблука, печінка та нирки тварин,
жменя намоченого гороху, картопля сира і варена, пісок.
Хід роботи
. Для приготування препарату листя різних видів рослин, котрі
стояли на світлі, м’якоть яблука, печінку та нирки тварин помістіть у краплю
води на предметне скло і накрийте покривним скельцем.
Розгляньте препарати спочатку при малому, потім при великому
збільшенні мікроскопа. З одного боку покривного скельця нанесіть краплю
пероксиду водню, а з другого - покладіть фільтрувальний папір. Папір витягне з-під
скельця воду, а пероксид опиниться під ним. Слідкуйте під мікроскопом за тим,
що відбувається при цьому в клітинах рослин та тварин.
Тепер проробіть такий же дослід, узявши молоді та старі
частинки однієї і тієї ж рослини.
Результати
. В одну пробірку помістіть шматочок вареної картоплі, в
другу - сирої, в третю - пісок. До кожної пробірки додайте по 10 крапель
пероксиду водню. Що відбувається?
Висновки
Тести підсумкового контролю:
. Який газ виділяється з рослинних клітин, коли до них додати
пероксид водню?
. Що відбувається з каталазою при кип’ятінні клітин?
. Чому не відновлюється ферментативна активність каталази
після охолодження клітини?
. Чи однакова активність каталази у різних тканинах?
. Як залежить активність каталази від віку тканини?
Лабораторна робота № 3
Тема: Будова клітин прокаріот та еукаріот
Мета - переконатися в тому, що клітини прокаріот та еукаріот мають
спільний план будови.
Навчитися розпізнавати прокаріотичні та еукаріотичні клітини
за допомогою мікроскопа й на електронних мікрофотографіях, а також знаходити на
мікрофотографіях і препаратах компоненти клітин.
Завдання для самопідготовки - вивчити матеріал за темою
“Клітина як основна структурно-функціональна одиниця живого”. Дати відповіді на
тести вихідного контролю.
Тести вихідного контролю
.Визначте поняття “клітина”.
. Які загальні риси та відмінності в будові про- та
еукаріотичних клітин?
. Схарактеризуйте будову поверхневого апарату про- й
еукаріотичних клітин.
. У гіалоплазмі клітин відбуваються такі процеси: а)окислення
субстратів за участю рибосом; б) гліколіз; в) синтез білків; г)синтез РНК; д)
синтез ДНК.
. Із яких компонентів складається цитоскелет і яка його роль
у клітині?
. Фотосинтез відбувається в: а) мітохондріях; б) лізосомах;
в) хлоропластах; г) рибосомах; д) клітинному центрі.
. Ферменти, що розщеплюють макромолекули до мономерів,
містяться в: а) мітохондріях; б) лізосомах; в) хлоропластах; г) рибосомах; д)
клітинному центрі.
. Синтез білків відбувається в: а)мітохондріях; б) лізосомах;
в) хлоропластах; г) рибосомах; д) клітинному центрі.
. За формування мікротрубочок відповідають: а) мітохондрії;
б) лізосоми; в) хлоропласти; г) рибосоми; д) клітинний центр.
. Власна ДНК є в: а) мітохондріях; б) лізосомах; в) хлоропластах;
г) рибосомах; д) клітинному центрі.
. Які ви знаєте одномембранні органели клітини?
. Де в клітині міститься ДНК?
. Де в клітині міститься РНК?
Зміст роботи
Вивчити будову клітини: 1) рослини (епідерма цибулі, листок
елодеї, бульба картоплі); 2) гриба (мукор); 3) тварини (епітелій ротової
порожнини, клітини печінки); 4) бактеріальних клітин (бактерії зубного
нальоту).
Обладнання та матеріали: постійні мікропрепарати клітин
епідерми цибулі, епітелію ротової порожнини, клітин печінки, мукору, бактерій;
електронні мікрофотографії еу- та прокаріотичних клітин; предметні та покривні
скельця, піпетки, скляні палички, стакани з водою та 10% розчином хлориду
натрію, флакон із розчином йоду, метиленова синька, фільтрувальний папір,
препарувальні голки, пінцети, мікроскоп, цибуля, картопля, пліснява на хлібі,
овочах у вигляді пухнастого білого нальоту, свіжі дріжджі.
Хід роботи
. При малому збільшенні мікроскопа розгляньте постійний
мікропрепарат клітин епідерми цибулі. Переведіть мікроскоп на велике збільшення
і замалюйте одну-дві клітини. Порівняйте свій малюнок з рис.2.
Рис. 2. Клітини епідерми цибулі
На рисунку позначте клітинну стінку, цитоплазму, ядро. Якщо немає
постійного мікропрепарату, приготуйте тимчасовий. Для цього відокремте від
шматочка цибулі м’ясисту лусочку. Із зовнішньої блискучої сторони відокремити
пінцетом тонку плівочку розміром у декілька мм2. Помістіть її на предметне скло
в краплю слабого розчину йоду, розправте за допомогою препарувальної голки і
накрийте покривним скельцем. Розгляньте препарат при малому збільшенні
мікроскопа. На ньому видно клітини прямокутної форми. Ядра цих клітин
забарвлені у жовтий або жовто-коричневий колір. Розгляньте препарат при
великому збільшенні і замалюйте 1-2 клітини. Позначте на рисунку клітинну
стінку, цитоплазму, ядро, в якому можна побачити одне-два ядерця, вакуолі як
незабарвлені порожнини.
Рослинні клітини можна спостерігати і на препараті, приготованому з
бульби картоплі. Скальпелем пошкребіть поверхню бульби картоплі та помістіть
одержану кашку на предметне скло в краплю слабого розчину йоду. При великому
збільшенні на препараті видно великі багатокутні прозорі клітини, в яких можна
спостерігати крохмальні зерна різної величини, забарвлені йодом у синій колір.
У крохмальних зернах розрізняють шаруватість. Замалюйте препарат і позначте
побачені вами структури.
. На електронній мікрофотографії (рис. 3) розгляньте клітину рослини й
позначте клітинну стінку, плазмалему, цитоплазму, мітохондрії, хлоропласти,
ядро, ядерну оболонку, каріоплазму, ядерце, хроматин.
Рис.3. Електронна мікрофотографія рослинної клітини
. При малому збільшенні мікроскопа знайдіть клітини на постійному
мікропрепараті печінки. Переведіть мікроскоп на велике збільшення та розгляньте
одну клітину. Порівняйте побачене вами із зображенням на рисунку 4. Клітини
мають багатокутну форму, цитоплазма забарвлена в рожевий колір, ядро в синій.
Замалюйте препарати, позначте цитоплазму і ядро.
Якщо немає постійних препаратів, приготуйте препарати клітин порожнини
рота самі. Для цього стерильною скляною паличкою (спиртом) провести, легко
натискуючи на внутрішню поверхню щоки.
При цьому на кінчику палички в крапельці слини потраплять злущені
клітини епітелію ротової порожнини. Мазок помістіть на предметне скло і
накрийте покривним скельцем. Розгляньте клітини при малому та при великому
збільшенні й замалюйте їх. Клітини епітелію плоскі, неправильної форми, в них
видно ядра. Більшість клітин мертві, тому ядра в них досить щільні, процеси
синтезу в них згасають, тому ядерця непомітні або дуже дрібні. Якщо збільшення
мікроскопа х 40, у клітинах видно велику кількість дрібних гранул мітохондрій.
На цьому ж препараті на поверхні епітеліальних клітин або між ними можна знайти
бактеріальні клітини різної форми, частіше паличкоподібні. Порівняйте розміри
прокаріотичної (бактеріальної) та еукаріотичної клітини. Порівняйте розміри
прокаріотичної клітини та мітохондрій у цитоплазмі клітин епітелію. Замалюйте
препарат. На рисунку зробіть відповідні позначки.
Рис.4. Клітини печінки аксолотля
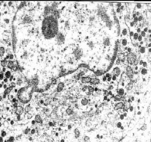
4. На електронній мікрофотографії (рис. 5) зображено клітину тварини.
Позначте плазмалему, цитоплазму, гіалоплазму, мітохондрії, ЕПС, апарат Гольджі,
ядро, ядерце, каріоплазму, хроматин.
Рис.5. Електронна мікрофотографія тваринної клітини
. При малому збільшенні мікроскопа на постійному
мікропрепараті гриба мукора знайдіть міцелій і розгляньте його при великому
збільшенні мікроскопа, порівняйте зображення з рисунком 6. Замалюйте препарат.
Позначте на рисунку клітинну стінку, ядра та численні “зернята” (мітохондрії,
пухирці, запасні гранули). Відрізнити їх один від одного при такому збільшенні
дуже важко.
Якщо немає постійного мікропрепарату мукора, можна виготовити
тимчасовий. Для цього треба взяти пліснявий шматочок хліба або якого-небудь
овоча. Пліснява має вигляд пухнастого білого нальоту. Частину грибниці
покладіть на предметне скло в краплю води і накрийте покривним скельцем. При
малому збільшенні знайдіть міцелій гриба подалі від спорангіїв, які у воді
руйнуються і з них виходить багато спор, що заважають розглядати препарат.
Міцелій розгляньте при великому збільшенні мікроскопа.
Уся грибниця - гігантська, розгалужена, багатоядерна клітина.
Замалюйте препарат. Позначте клітинну стінку, цитоплазму, ядра.
. На схемі ультраструктурної організації клітини гриба
(рис.7) розгляньте фрагмент міцелію мукора та позначте клітинну стінку,
плазмалему, ядро, гіалоплазму, ЕПС, апарат Гольджі, мітохондрії.

Рис.6. Клітина гриба: Рис.7. Схема ультраструктурної: 1 -
запасаюча гранула (жир, глікоген); організації клітини гриба; 2 - вакуоля; 3 -
мітохондрії; 4 -клітинна; стінка; 5 - мікропухирці; 6 - ядро
7. На предметне скло нанесіть краплю розчину йоду і скляною
паличкою помістіть у неї дріжджі; нарисуйте клітину на великому збільшенні.
Дріжджова клітина має потовщену оболонку, в якій відкладається хітиноподібна речовина,
а також вакуолі.
. При малому збільшенні мікроскопа на постійному
мікропрепараті бактеріальної клітини знайдіть їхнє скупчення. Розгляньте
мікропрепарат при великому збільшенні та нарисуйте побачене. Для того щоб
самостійно виготовити мікропрепарат бактеріальної клітини, скляною паличкою
(завдання 3) зішкребіть із поверхні ясен зубний наліт і помістіть його на
предметне скло в краплю води. Злегка розмажте по поверхні скла й накрийте
покривним скельцем. Знайдіть скупчення бактерій при малому збільшенні та
переведіть мікроскоп на велике. Розгляньте та замалюйте бактерії різної форми.
Іноді на цьому препараті можна спостерігати амеб, які рухаються.
. Розгляньте на електронних мікрофотографіях і схемах (рис.
8, 9, 10, 11) будову прокаріотичної клітини та позначте складові.
Рис. 8. Електронна мікрофотографія бактеріальної
клітини (кишкової палички)
Рис. 9. Електронна мікрофотографія ціанобактерії
Рис. 10. Схема ультраструктурної організації бактеріальної клітини: 1 -
рибосоми; 2 - мембрана цитоплазматична; 3 - клітинна стінка; 4 - мезосома; 5
ДНК; 6 - запасаючі речовини
Рис. 11. Схема ультраструктурної організації ціанобактерії: 1 -
тилакоїди; 2 - ДНК; 3- клітинна стінка; 4 - рибосоми; 5 - цитоплазматична
мембрана; 6 - запасаючі речовини
10. Заповніть таблицю.
|
Ознаки
|
Клітини
|
|
бактерій
|
грибів
|
рослин
|
тварин
|
|
Плазмалема Клітинна
стінка Цитоплазма Пластиди Вакуолі Мітохондрії Рибосоми Клітинний центр Ядро
ЕПС Апарат Гольджі Нуклеотид ДНК хромосомна ДНК цитоплазма - тична
|
|
|
|
|
Тести підсумкового контролю
1.Чим за будовою відрізняються шорстка та гладенька ЕПС?
.Де в клітині містяться рибосоми?
.Із яких структур складаються центріолі клітинного центру?
.Чому в нервових клітинах дуже розвинений апарат Гольджі?
.Із яких структур складається ядерце?
. Які причини подібності та відмінності клітин різних
організмів?
Лабораторна робота № 4
Тема: Будова клітин про- та еукаріот. Рух цитоплазми в
клітинах рослин і тварин. Мета - розширити й поглибити знання про подразливість; провести
спостереження за рухом цитоплазми в рослинних та тваринних клітинах. Завдання для самопідготовки - вивчити матеріал за темами
“Поверхневий апарат клітини”, “Цитоскелет”, “Подразливість та рух”. Дати
правильну відповідь на тести вихідного контролю.
Тести вихідного контролю
1. До складу плазмалеми входять такі органічні речовини: а)
ліпіди; б) білки; в) вуглеводи; г) альдегіди; д) нуклеїнові кислоти.
. До складу
клітинної стінки у рослин уходять: а) хітин; б) целюлоза; в) пектини; г)
крохмаль; д) ліпіди.
. Цитоскелет
складається з таких компонентів: а) целюлоза; б) мікронитки; в) ЕПС; г)
мікротрубочки; д) глікоген.
. В
організації рухів компонентів клітини беруть участь такі органели: а) ЕПС; б)
апарат Гольджі; в) мікронитки; г) мікротрубочки.
. Поясніть
таку властивість живої матерії, як подразливість.
Зміст роботи
Цитоплазмі властивий рух, що зумовлений подразливістю та
скоротливістю всіх живих клітин. Розрізняють струминний рух цитоплазми і
коловий, або обертальний. При першому цитоплазма рухається в клітині окремими
струмочками в різних напрямках, при другому - в пристінному шарі клітини в
одному напрямку. Рух цитоплазми дуже повільний і тому під мікроскопом
непомітний, лише в деяких рослин та тварин він доступний для спостереження.
1. Спостерігати рух цитоплазми в клітинах листка елодеї,
валіснерії або у волосках тичинок традесканції й у клітині інфузорії-туфельки
Дуже зручним об’єктом для спостереження руху цитоплазми є
листки елодеї.
Про рух цитоплазми можна судити по переміщенню зелених
хлоропластів, що підхоплюються течією. Можна брати і валіснерію.
Струминний рух цитоплазми зручно спостерігати у волосках
тичинок традесканції. Волоски складаються з одного ряду клітин із фіолетовим
соком. Рух дрібних безбарвних зерняток лейкопластів показує напрямок струмочків
цитоплазми.
Одні рослини для експерименту утримують на сонячному світлі,
а інші в темноті при низьких температурах. Рух цитоплазми забезпечують
компоненти цитоскелета - мікротрубочки та мікронитки. За низьких температур та
нестачі енергії структура цих компонентів може руйнуватися. Тоді рух цитоплазми
припиняється.
Для спостереження руху цитоплазми у тваринній клітині
найзручнішим об’єктом є інфузорія-туфелька. У її тілі добре видно переміщення
травних вакуоль.
2. Спостерігати плазмоліз і деплазмоліз у клітинах листка
елодеї, валіснерії або у волосках тичинок традесканції
Вода надходить до клітини та виходить з неї через плазмалему,
завдяки осмосу. Вона дифундує з ділянок із високою її концентрацією в ділянки з
меншою концентрацією. Якщо концентрація солей зовнішнього середовища вища, ніж
у клітині, то вода виходитиме з клітини у зовнішнє гіпертонічне середовище.
Об’єм цитоплазми при цьому зменшується, і вона починає відставати від клітинних
стінок. Поступово цитоплазма повністю відійде від стінок клітини й набере форму
кулі. Це явище називається плазмолізом. Якщо концентрація солей вища у
цитоплазмі клітини, ніж у зовнішньому середовищі, вода із навколишнього
гіпотонічного середовища дифундуватиме в клітину, що спричинить відновлення
попереднього об’єму. Це явище називається деплазмолізом.
Обладнання та матеріали: мікроскоп, предметні й покривні
скельця, пінцети, стакани з водою, 8% розчин хлориду натрію, фільтрувальний
папір, холодна і тепла вода, культура інфузорії-туфельки.
Хід роботи
1. Приготуйте
препарати з листка елодеї чи валіснерії, покладіть їх на предметне скло у
краплю води, накривши покривним скельцем. Розгляньте препарат при малому
збільшенні. Нарисуйте побачене й позначте клітинну стінку, цитоплазму,
хлоропласти як округлі тільця зеленого кольору. Для спостереження руху
цитоплазми треба зняти паренхімні клітини, помістити їх у центр поля зору
мікроскопа і перевести його на велике збільшення. Слід мати на увазі, що рух
цитоплазми можна побачити через деякий час після виготовлення препарату, тому
слід спостерігати 5-10 хвилин. Можна виявити рух цитоплазми та пластидів уздовж
стінок. Якщо рух непомітно, можна з одного боку покривного скельця крапнути
теплої води, а з другого - прикласти фільтрувальний папір, що витягнув холодну
воду. Нарисуйте 2-3 клітини, стрілками покажіть рух цитоплазми.
Результати
2. Щоб дослідити влив підвищеної температури на рух
цитоплазми в клітинах, слід за 3-4 години до початку заняття покласти пагін
елодеї чи листок валіснерії в посудину з температурою 37°С і освітлювати її
електричною лампою.
На предметне скло крапніть краплю теплої води та покладіть у
неї листок елодеї (валіснерії), витриманий при підвищеній температурі й
інтенсивному освітленні.
Препарати досліджують під мікроскопом одночасно, пересуваючи
предметне скло. На першому, контрольному препараті рух цитоплазми слабий, бо
рослини перебувають у стані спокою. А на другому рух цитоплазми добре помітний.
Результати
. Щоб легше було спостерігати рух травних вакуоль у клітинах
туфельок, перед заняттям мікропрепарат треба підфарбувати. Для цього у чашку з
культурою туфельок слід додати потертої туші або порошкоподібного карміну.
Краплю культури туфельок накрийте покривним скельцем.
Розгляньте препарат при малому збільшенні мікроскопа. У полі зору видно
туфельки, які швидко рухаються в усіх напрямках. Стежачи за окремою туфелькою,
можна помітити заглибину на боці її тіла, у якій міститься ротовий отвір.
Переведіть мікроскоп на велике збільшення. Перед цим треба витягнути
фільтрувальним папером воду з-під скельця, притиснути препарат туфельки й тим
самим сповільнити її рух.
У туфельки спостерігається диференціація цитоплазми на шари.
Основна її маса - зерниста ендоплазма, яка перебуває у стані постійного
колового руху. Травна вакуоля рухається разом з током ендоплазми, здійснюючи
велике коло. Коли поживи багато, слідом за першою травною вакуолею формується
друга. Часто можна бачити, як у тілі туфельки циркулює кілька травних вакуоль.
Результати
. На препараті з клітинами елодеї чи валіснерії можна
спостерігати явище плазмолізу та деплазмолізу. Для цього слід замінити воду на
8-10% розчин хлориду натрію. Прикласти з одного боку фільтрувальний папір, а з
другого - капнути хлорид натрію. Вода виходитиме з клітини в навколишнє
середовище. Об’єм цитоплазми при цьому зменшується, і вона починає відставати
від клітинної оболонки. Нарисуйте, який вигляд має клітина в результаті
плазмолізу. Тим самим способом замініть хлорид натрію на воду під покривним
скельцем. Гіпертонічний розчин перетвориться на гіпотонічний, і вода знову
почне надходити у цитоплазму клітини. Замалюйте явище деплазмолізу. Цей
експеримент можна провести на клітинах епідерми цибулі.
Тести підсумкового контролю
1. Чому рух цитоплазми спостерігається під оболонкою клітин?
. Як називається відокремлення пристінкового шару цитоплазми
від оболонки рослинної клітини?
. Чи відбувається плазмоліз у тваринних клітинах? Відповідь
обгрунтуйте.
. Що відбувається в клітинах, коли їх помістити в розчини
солей різної концентрації?
. Які види руху цитоплазми Ви знаєте?
. Чому при низьких температурах та поганому освітленні рух
цитоплазми сповільнюється або зовсім припиняється?
Лабораторна робота № 5
Тема: Форми розмноження організмів та їх цитологічні основи.
Мета - ознайомитися з особливостями нестатевого та статевого
розмноження. Вивчити будову статевих клітин ссавців.
Завдання для самопідготовки - вивчити матеріал за темами
"Форми розмноження організмів" і " Будова статевих клітин".
Дати правильну відповідь на тести вихідного контролю.
Тести вихідного контролю:
. Основні типи розмноження: а) статеве; б) нестатеве; в)
вегетативне; г) спороутворення.
. Утворення гамет притаманне такому способові розмноження: а)
вегетативному; б) нестатевому; в) статевому.
.Яка частина сперматозоїда та яйцеклітини є носієм генетичної
інформації: а) оболонка; б) рибосоми; в) ядро; г) гіалоплазма.
. Яка будова яйцеклітини?
. Яка будова сперматозоїда?
. Який набір хромосом мають яйцеклітини: а) 1n; б) 2n; в) 4n.
. Гамети утворюються внаслідок: а) мітозу; б) мейозу.
Вивчити брунькування у дріжджових клітин; спороутворення у
цвілевого гриба; будову статевих клітин самця і самки ссавців
Обладнання і матеріали: розчин пивних дріжджів, вода,
піпетка, предметні та накривні скельця, чашки з культурою цвілевого гриба
мукора, мікропрепарати сперматозоїдів морської свинки або щура, яєчники кішки,
мікроскоп.
Хід роботи
1. На предметне скло піпеткою нанесіть краплю розведених у
воді пивних дріжджів. Накрийте накривним скельцем і розгляньте препарат при
малому збільшенні мікроскопа.
Знайдіть ділянку, в якій клітини розміщуються розсипчастіше,
і переведіть мікроскоп на велике збільшення. Серед овально витягнутих
дріжджових клітин знайдіть ті, що брунькуються.
Вони мають на одному з полюсів невеликий грибок-бруньку, що
містить ядро. Якщо ядра не видно, опустіть конденсор мікроскопа так, щоб
зображення стало контрастнішим. Замалюйте кілька клітин, які брунькуються і не
брунькуються. На рисунку позначте відповідними цифрами: клітину, що
брунькується (1); клітину, що не брунькується (2); бруньку (3).
. Нанесіть на предметне скло піпеткою краплю води й умістіть
до неї кілька ниток міцелію мукора. Накрийте препарат накривним скельцем і
розгляньте його спочатку при малому, а потім і при великому збільшенні
мікроскопа. Серед гіфів мукора знайдіть спорангії - круглі коробочки на довгій
ніжці. Спорангії заповнені дрібними округлими спорами. Іноді видно спори, що
висипались із них. Нарисуйте спорангії мукора й позначте: 1- спорангій; 2 - спори.
. Розгляньте мікропрепарат сперматозоїдів морської свинки при
малому збільшенні мікроскопа. Знайдіть дрібні ниткоподібні клітини й переведіть
мікроскоп на значніше збільшення. Замалюйте один сперматозоїд і позначте на
рисунку відповідними цифрами: голівку (1); шийку (2); хвостик (3). Порівняйте
свій рисунок із мікрофотографією (рис.12) та схемою (рис. 13).
Рис. 12. Сперматозоїди морської свинки
Рис.13. Схема ультраструктурної організації сперматозоїда: 1
- хвостик; 2 - середня частина; 3 - шийка; 4 - акросома; 5 - ядро; 6 - голівка
. Розгляньте мікропрепарат яєчника кішки при малому
збільшенні мікроскопа. Знайдіть на ньому великі круглі клітини, оточені
оболонкою з дрібніших клітин. Зарисуйте дозріваючу яйцеклітину й відповідно
позначте: ядро (1); цитоплазму (2); оболонки (3). Порівняйте свій рисунок із
мікрофотографією (рис. 14).
Рис. 14. Яйцеклітина: 1 - ядро, 2 - цитоплазма; 3 - оболонка;
4 - клітини фолікулярного епітелію
Тести підсумкового контролю
1. Перерахуйте основні форми нестатевого розмноження.
. Скільки хромосом містять гамети?
. Чим відрізняються сперматозоїди від яйцеклітин у ссавців?
.Функцію передачі спадкової інформації забезпечують такі
структурні компоненти яйцеклітини: а) рибосоми; б) ядро; в) ядерце; г)
мітохондрії; д) апарат Гольджі .
. Які структурні компоненти яйцеклітини забезпечують зародок
поживними речовинами?
. Функцію передачі спадкової інформації забезпечують такі
структурні компоненти сперматозоїда: а) рибосоми; б) ядро; в) ядерце; г)
мітохондрії; д) апарат Гольджі.
. Які особливості будови сперматозоїда забезпечують його
активний рух?
. Чим відрізняється набір хромосом у яйцеклітині жінки від
набору хромосом у сперматозоїді чоловіка?
Лабораторна робота №6
Тема: Вивчення ембріогенезу хребетних.
Мета - знати загальні закономірності розвитку хребетних.
Завдання для самопідготовки - вивчити матеріал за темою
”Ембріогенез”. Дати правильну відповідь на тести вихідного контролю.
Тести вихідного контролю
. Як називається процес злиття чоловічих і жіночих статевих
клітин?
. Що утворюється внаслідок злиття сперматозоїда і
яйцеклітини?
. Як називається період розвитку організму від зиготи до
смерті?
. У процесі ембріогенезу з ектодерми утворюються: а)
шлунково-кишковий тракт; б) м'язи; в) епідерміс шкіри; г) нервова система; д)
сечостатева система.
. У процесі ембріогенезу з ентодерми утворюються: а)
шлунково-кишковий тракт; б) кісткова тканина; в) печінка; г) м'язи; д ) нервова тканина.
.У процесі ембріогенезу з мезодерми утворюються: а)
шлунково-кишковий тракт; б) кісткова тканина; в) м'язи; ) нервова система; д) епідерміс
шкіри.
Зміст роботи
Вивчити характер дробіння зародків хребетних, будову бластули
й гаструли на муляжах або постійних мікропрепаратах
Якщо не має таких муляжів і препаратів, можна скористатися
запропонованими в методичному посібнику малюнками або заздалегідь приготованим
матеріалом. Ембріогенез порівняно легко спостерігати на прикладі амфібій, у
яких досить великі яйцеклітини. Яйця амфібій (особливо жаб і ропух) на різних
стадіях розвитку збирають у період ікрометання (навесні) й уміщають до флаконів
із 5%-ним розчином формаліну, у яких вони можуть зберігатися як завгодно довго.
Однак, щоб не пропустити найраніші стадії дробіння, краще використовувати ікру,
відкладену в акваріумах. Для цього туди треба посадити спійманих під час
нересту жаб, які ще не віднерестились. Відкладену ікру слід умістити для розвитку
в плоскі акваріуми. Спостерігаючи під лупою процеси її розвитку, відбирають
невеличкі порції ікри, що перебувають на різних стадіях розвитку, і переносять
їх у флакони з 5%-ним формаліном. Перед роботою, щоб не дихати парами
формаліну, ікринки можна промити проточною водою.
Обладнання та матеріали: муляжі та мікропрепарати, що
демонструють етапи розвитку ланцетника, амфібій, риб або птахів, ікра амфібій
(жаб, ропух) на різних стадіях розвитку, предметні скельця, пінцети, стакани з
водою, лупи чи мікроскопи.
Хід роботи
1. Вивчіть
стадії ембріогенезу ланцетника, використовуючи муляжі чи рисунок 16. Спочатку
простежте етапи дробіння зиготи-стадії 1-5. Зверніть увагу на те, що внаслідок
дробіння розміри утворюваних клітин-бластомерів поступово зменшуються, оскільки
після кожного мітозу їхнього росту не відбувається. Дробиться у ланцетника вся
яйцеклітина, тому що в ній мало жовтка. У результаті дробіння утворюється
бластула. У ланцетника вона має вигляд порожнистої кулі, на вегетативному
полюсі якої клітини більші, ніж на анімальному (стадія IV). Двошаровий зародок - гаструла -
утворюється шляхом вгинання вегетативного полюса в анімальний (стадія VII). Верхній шар зародка називається
ектодермою, внутрішній - ентодермою. Далі починається утворення третього
зародкового шару (листка) - мезодерми - випинанням схожих на кишеньки виростів
від верхньої частини ентодерми (стадії VIII - X). Унаслідок цього процесу зародок
стає тришаровим. В ектодермі, водночас із проростанням мезодерми, вгинається
верхня ділянка й поступово згортається в трубку. Ектодерма над нею змикається,
й трубка опиняється під нею. Із цієї трубки потім утворюється центральна
нервова система. На цій стадії зародок називається нейрулою. Після стадії
нейрули починається органогенез, тобто закладання всіх органів із різних
зародкових листків.
. Розгляньте при малому збільшенні мікроскопа мікропрепарат
“Дробіння яйцеклітини жаби”. На препараті видно яйцеклітину. Її верхній
(анімальний) полюс забарвлений у коричневий колір, оскільки клітини містять пігмент.
У клітинах вегетативного полюса пігмент відсутній, і вони
забарвлені в жовтий колір, оскільки містять велику кількість запасної поживної
речовини жовтка. Перша борозна дробіння починається на анімальному полюсі і
поширюється до вегетативного полюса (рис. 15, 19). Її добре видно на препараті.
Внаслідок проходження цієї борозни утворюється двоклітинний зародок, який
складається з двох бластомерів.
Рис. 15. Дробіння яйцеклітини жаби. Стадія двох бластомерів
Кожен бластомер удвічі менший за зиготу, оскільки бластомери
тільки діляться й не ростуть. Наступна борозна дробіння теж проходить від
анімального полюса до вегетативного, тільки в іншій площині (рис. 17 і 19).
Унаслідок цього утворюються чотири бластомери. Потім борозни йдуть у різних
площинах, і дробіння завершується утворенням бластули (рис. 18 і 19). Її можна
побачити на препараті “Бластула жаби”. Бластула жаби має дещо інший вигляд, ніж
у ланцетника.

Рис.16. Розвиток ланцетника: I - зигота; II - IV - утворення бластомерів; V - бластула; VI - розріз бластули (майбутні 1 -
ектодерма; 2 - ентодерма; 3 - хорда; 4 - мезодерма); VII - розріз гаструли вздовж; VIII - розріз гаструли впоперек (1
- ектодерма; 2 -кишкова ентодерма; 3 - хорда; 4 мезодерма; 5 - нервова
пластинка); IX - розріз зародка впоперек на
початку утворення ембріональних зачатків; X - розріз зародка впоперек (1 -
ектодерма; 2 - ентодерма; 3 - хорда; 4 - мезодерма; 5 - нервова пластинка; 6
порожнина кишки).
Рис.17. Стадія чотирьох
Рис.18. Стадія гаструли бластомерів
Оскільки в яйцеклітині жаби багато жовтка, особливо на
вегетативному полюсі, бластомери тут утворюються повільніше й тому більші, ніж
на анімальному полюсі. У результаті цього порожнина бластули виявляється
зміщеною до анімального полюса. Гаструла утворитися так, як це відбувається у
ланцетника, не може. Анімальний полюс масивніший і не може вгинатися в середину
зародка. На препараті “Гаструла жаби” видно, що вгинається бокова частина
зародка над ентодермою, а клітини анімального полюса розмножуються, поступово
обростають зародок іззовні, утворюючи ектодерму (рис. 18).
. Якщо зазначених препаратів немає, можна ознайомитись із
ембріогенезом жаби, використовуючи заздалегідь підготовлені препарати ікринок.
Відмиті від формаліну ікринки помістіть у краплю води на
предметне скло й розгляньте їх за допомогою лупи. Яйцеклітини мають круглу
форму, їхній анімальний полюс забарвлений у коричневий колір, вегетативний - у
жовтий. Знайдіть ікринку, в якій видно початок дробіння. Це можна визначити з
появою на поверхні клітини вгинання - борозни дробіння. Потім можна знайти
ікринки, у яких борозен дробіння вже багато й вони складаються з кількох
бластомерів. Можна знайти і бластулу, вона буде нагадувати плоди малини або
шовковиці. Це пов’язано з тим, що поверхня бластули утворена багатьма
бластомерами.
Порожнини бластули на таких препаратах не видно. Щоб її побачити,
бластулу слід розрізати навпіл. У наших умовах це неможливо, тому уявити, який
вигляд має бластула на зрізі, можна, ознайомившись із рис. 19. Серед ікринок
можна відшукати й гаструлу. Вона відрізняється тим, що вся її стінка
пігментована, оскільки гаструла утворюється внаслідок обростання пігментованими
ектодермальними клітинами ентодерми. Тільки в одній частині зародка залишається
жовта пляма - ділянка ентодерми в тому місці, де вона занурюється під
ектодерму. Можливо, ви знайдете й пізніші стадії розвитку зародка. Для
орієнтування користуйтесь рис. 19.

Рис. 19. Розвиток жаби: I - 2 - бластомери; II - 4 - бластомери; III - 8 - бластомерів; IV -
бластула; V - рання гаструла; VI - середня гаструла; VII - пізня гаструла; VIII - поперечний зріз гаструли (1 - хорда; 2 -
ектодерма; 3 - ентодерма; 4 - мезодерма; 5 - нервова пластинка); IX - нейрула (1 - хорда;
2 ектодерма; 3 - ентодерма; 4 - мезодерма; 5 - нервова трубка)
Тест підсумкового контролю
1. Як називають полюс яйцеклітини, на якому міститься мало жовтка?
.Як називають полюс яйцеклітини, на якому міститься багато жовтка?
. З матеріалу анімального полюса в зародка утворюється:
а) мезодерма; б)
ектодерма; в) ентодерма.
. З матеріалу вегетативного полюса в зародка утворюється:
а) мезодерма; б)
ектодерма; в) ентодерма.
. Як ви думаєте, чому клітини анімального полюса зародка амфібій
містять пігменти?
. Чому в ланцетника дробіння рівномірне, а у жаби - нерівномірне
(клітини вегетативного полюса дробляться повільніше)?
Лабораторна робота № 7
Тема: Будова хромосом. Хромосомний набір людини.
Мета - навчитись розрізняти структурні компоненти
хромосом, аутосоми та статеві хромосоми.
Тести вихідного контролю
1. Опишіть будову хромосом на стадії метафази.
2. Чим аутосоми відрізняються від статевих хромосом? У
каріотипі жінки таке число хромосом: а) 23; б) 69; в) 46; г) 92.
. Зробіть позначення на рисунках 20 і 21.
Рис.20. Електронна мікрофотографія
Рис. 21. Схема будови ізольованої метафазної хромосоми хромосоми
4. Чим
відрізняються хромосомний набір жінки від хромосомного набору чоловіка?
. Інтерфазна хромосома має стільки хроматид: а) 1; б) 2; в)
3; г) 4.
. Метафазна хромосома має стільки хроматид: а) 1; б) 2; в) 3;
г) 4.
Зміст роботи
1. Вивчити будову інтерфазних гігантських політенних
хромосом комахи. У клітинах більшості організмів побачити хромосоми в період
між поділами (інтерфаза) практично неможливо, оскільки вони мають вигляд довгих
ниток (до кількох сантиметрів), що розміщуються в ядрі. На забарвлених
мікропрепаратах можна тільки спостерігати їхні дуже конденсовані ділянки у
вигляді грудочок хроматину. Деконденсовані ділянки не помітні. Однак природа
“подарувала” нам можливість побачити інтерфазні хромосоми в клітинах слинної
залози мотиля, в яких відбувається багаторазова реплікація хромосом. При цьому
хромосоми, які щойно утворилися, не розходяться, а залишаються поряд одна з
одною. Так утворюється політенна хромосома, що складається із сотень однакових
хромосом. Її ще називають гігантською. Хромосом у мотиля вісім, але в клітинах
слинної залози видно чотири, оскільки гомологічні хромосоми об’єднані попарно.
На хромосомах можна спостерігати “здуття” ( пуфи) в поперечну посмугованість.
Вважають, що ділянки “здуття” - це місця, де хромосоми менше конденсовані і де
може відбуватися транскрипція.
2. Вивчити нормальний каріотип людини й каріотип хворої
людини. Для вивчення каріотипу людини звичайно використовують клітини
кісткового мозку або лейкоцити периферійної крові, оскільки ці клітини найлегше
одержати для аналізу. Клітини культивують у поживному середовищі, в яке додають
колхіцин - препарат, що припиняє поділ клітини на стадії метафази. Потім
клітини обробляють гіпотонічним розчином, у якому вони набрякають, і хромосоми
віддаляються одна від одної. Препарат забарвлюють та фотографують. У зв’язку з
тим, що в метафазі хромосоми складаються з двох хроматид, кінці яких відходять
один від одного, вони мають Х - подібну форму. З отриманої фотокаріограми
вирізають хромосоми й розміщують їх попарно (пару утворюють гомологічні
хромосоми) в порядку зменшення розмірів. Виняток роблять для статевих хромосом,
які розташовані останніми. Ідентифікувати хромосоми тільки за розмірами і
формою досить важко, тому ви можете користуватися зображенням нормального
каріотипу. У медичній практиці для точного визначення місця хромосом
використовують додаткові методи, в тому числі автоматичні. Метод каріотипування
широко застосовують у медичній практиці для визначення змін у структурі
хромосом або їхньої кількості, з якими пов’язано багато спадкових захворювань.
Такий аналіз хромосом можна провести у клітин ембріона на ранніх стадіях
вагітності та передбачити можливі спадкові захворювання. Оскільки здійснити
каріотипування без спеціальних умов неможливо, вам пропонуються готові
фотокаріограми.
Обладнання та матеріали: постійний мікропрепарат гігантських
хромосом мотиля, предметні й накривні скельця, препарувальні голки, стакан із
водою, дерев’яні палички, ножиці, щіточки для клею, мікроскоп, мотиль (личинки
комара роду хірономус), фотокаріограми здорових і хворих людей.
Хід роботи
1. При малому збільшенні мікроскопа на постійному
мікропрепараті “Політенні хромосоми” знайдіть клітини слинної залози мотиля.
Розгляньте політенні хромосоми при великому збільшенні мікроскопа та нарисуйте
їх. Порівняйте ваш рисунок з рисунком 22. По довжині хромосом виразно видно
поперечні світлі й темні диски різної товщини, що чергуються. У темних дисках (
хромомерах ) нитка сильно конденсована, у світлих - більш розтягнута.
Якщо немає постійного препарату політенних хромосом у
клітинах слинних залоз мотиля, можна приготувати тимчасовий препарат. Для цього
личинку комара вміщують на предметне скло, притримують одним пінцетом, а другим
- відділяють перші два сегменти головного кінця. При цьому парні слинні залози
у вигляді дрібних прозорих білуватих тілець овальної форми виходять із тіла
личинки разом із гемолімфою. Розгляньте слинну залозу при малому збільшенні
мікроскопа. У ній видно великі бульбашкоподібні клітини із сіруватою
цитоплазмою і дуже великими ядрами.
У ядрах вирізняються великі хромосоми й прозора каріоплазма.
На четвертій, найкоротшій хромосомі розміщене ядерце - велике темне тільце
неправильної форми. Хромосоми мають вигляд ліній із “здуттям” і поперечною
посмугованістю. Препарат замалюйте й зробіть позначки.
Рис. 22. Мікрофотографія
Рис. 23. Фотокаріограма політенних хромосом
2. З фотокаріограми (рис. 23) ножицями виріжте хромосоми у
порядку зменшення розмірів. Підберіть гомологічні пари. Користуючись
зображенням нормального каріотипу людини (рис. 24) як шаблоном, спробуйте
розкласти хромосоми за номерами від 1-ї до 23-ї пари. На рис. 25 окремо
зображено 23-тю пару. Визначайте стать людини, хромосоми якої ви аналізували.
Спробуйте встановити, здорова ця людина чи хвора.
Рис. 24. Нормальний
Рис. 25 Статеві хромосоми людини каріотип людини
Тести підсумкового контролю
1. Чим відрізняються інтерфазні та метафазні хромосоми?
2. Каріотипування виконують для: а) виявлення статі особи;
б) діагностики хромосомних хвороб; в) виявлення вроджених каліцтв; г)
визначення групи крові.
. Які статеві хромосоми (рис. 25) містить каріотип
жінки? чоловіка?
. Які клітини використовують для каріотипування?
. Хромосоми класифікують за такими ознаками: а)
розмірами; б) розташуванням центромери; в) довжиною плечей; г) кількістю
хроматид.
Лабораторна робота № 8
Тема: Розв‘язування задач з генетики.
Мета - моделювати закономірності моногібридного та дигібридного
схрещування, визначати генотип і фенотип потомства за генотипом батьків, а
також генотип батьків за фенотипом потомства. Вміти прогнозувати прояви
фізіологічних і патологічних ознак у потомстві.
Завдання для самопідготовки - вивчити матеріал за темою.
Сформулювати перший, другий і третій закони Г.Менделя. Розкрити сутність закону
чистоти гамет; пояснити терміни гомо- й гетерозиготність. Навести приклади
ознак у людини, які успадковуються за законами Г. Менделя. Відповісти на тести
вихідного контролю.
Тести вихідного контролю
. Гомозиготними називають організми, які: а) мають однакові
алелі для даної ознаки; б) мають різні алелі для даної ознаки; в) гамети, що
утворюють зиготу ,несуть однакові алелі для даної ознаки; г) гамети, які
утворюють зиготу, несуть різні алелі.
. Фенотип - це: а) сукупність ознак організму; б) сукупність
генів; в) сукупність хромосом; г) сукупність хроматид.
.Організми при моногібридному схрещуванні відрізняються за
такою кількістю ознак: а) 1; б) 2; в) 3; г) 4.
. Скільки алельних генів для кожної ознаки містять гамети: а)
1; б) 2; в) 3; г) 4.
Зміст роботи
1. Розв’язання задач, у яких потрібно визначити типи гамет.
. Розв’язання задач, у яких потрібно визначити генотип і
фенотип нащадків за генотипом батьків.
. Розв’язання задач, із умов яких відомий фенотип нащадків, а
необхідно визначити генотипи батьків.
Пояснення до розв’язування задач: В умовах більшості задач символи не
вказані. Їх необхідно позначити самим будь-якими, довільно взятими, латинськими
літерами. Під час розв‘язування задач із генетики важливо визначити типи
продукованих особинами гамет. Тому починайте з розв’язування задач на
визначення типів гамет при моно- і дигібридному схрещуваннях. Для цього слід
пам‘ятати закон чистоти гамет ( із кожної пари алельних генів у гамету
потрапляє тільки один ). Загальне число типів гамет, які продукує особина,
дорівнює 2
, де n - число пар алельних генів, у яких алелі
неоднакові. Наприклад, особина, гетерозиготна за однією парою алельних генів
(Аа), продукує тільки два типи гамет А і а ( 2
=2).
Особина, гетерозиготна за двома парами алельних генів (АаВв), продукує чотири
типи гамет: АВ, Ав, аВ, ав ( 2
=4).
Генотип особини - АаВвСс. У цьому випадку кількість типів гамет дорівнює 2
=8 ( АВС, АвС, АВс, авС, аВс, авс, Авс,аВС).
Розв‘язування задач на визначення генотипу та фенотипу потомства за генотипом
батьків. Для прикладу розглянемо розв‘язок такої задачі. У пшениці ген
карликового зросту (А) домінує над геном нормального зросту (а). Визначте
генотип і фенотип потомства від схрещування: а) гомозиготної карликової пшениці
з нормальною пшеницею; б) двох гетерозиготних карликових рослин пшениці.
1 Записуємо ознаки та гени, які їх визначають у формі таблиці:
|
Ознака
|
Визначальний ген
|
|
Карликовий зріст
Нормальний зріст
|
А а
|
. Далі визначаємо генотипи та продуковані гамети батьківських
форм. Рослина з карликовим зростом гомозиготна, отже, її генотип - АА. Друга
батьківська форма має нормальний зріст.
Оскільки ген нормального зросту рецесивний, рослина може бути
тільки гомозиготною та мати генотип аа. Ці дані (перше і друге покоління)
записуємо у формі схеми для схрещування. Батьківські форми позначають літерою
Р, нащадків - F. Визначаємо типи гамет.
Оскільки двоє батьків гомозиготні, вони виробляють один тип гамет. Пшениця
карликового зросту дає гамети, які несуть ген А; пшениця нормального зросту -
гамети, котрі несуть ген а. Гамети записуємо у наступному рядку під генотипом
батьків.
. У третьому рядку записуємо генотип нащадків першого
покоління - Аа, оскільки вони отримують від одного з батьків ген А, а від
другого - гена. Отже, всі нащадки першого покоління гетерозиготні. Оскільки ген
А домінує, всі рослини мають карликовий зріст.
Схема схрещування
Р АА х аа
Гамети А а
F1 Аа
Фенотип Карликовий зріст
У варіанті задачі, де за умовою схрещуються два гетерозиготні
організми, потрібно визначити фенотип потомків. Спочатку визначаємо типи гамет:
половина гамет несе ген А, друга половина - ген а. Поєднання цих гамет дає три
генотипи: ¼ особин - АА, 2/4 - Аа, ¼ - аа. Особини з генотипом АА
й Аа фенотипно однакові, мають карликовий зріст, особини з генотипом аа -
нормального зросту.
Схема схрещування
Р Аа х Аа
Гамети А, а А, а
F1 АА Аа Аа аа
Для швидкого розв’язування задач на моногібридне схрещування
можна користуватись таблицею, в якій наведено кількісні співвідношення гено- та
фенотипів батьків у нащадків.
Співвідношення генотипів і фенотипів у потомстві за різних
варіантів моногібридного схрещування в умовах повного домінування
|
Генотип схрещуваних
особин
|
Можливі варіанти
генотипів потомства
|
|
АА х АА Аа х АА АА
х аа аа х аа Аа х Аа Аа х аа
|
АА 1АА:1Аа Аа аа
1АА:2Аа:1аа 1Аа:1аа
|
Усі нащадки
фенотипно однакові 1:3 1:1
|
Задача 1. У людини карий колір очей домінує над блакитним: а)
гомозиготний кароокий чоловік одружився з гомозиготною кароокою жінкою. Якого
кольору очі будуть у їх дітей? б) гетерозиготна кароока жінка вийшла заміж за
гетерозиготного кароокого чоловіка. Чи може дитина від цього шлюбу бути
блакитноокою?
Задача 2. У людини ген, який спричинює одну з форм спадкової
глухонімоти, рецесивний щодо гена нормального слуху: а) яка ймовірність
народження глухонімих дітей від шлюбу гетерозиготних за цією ознакою батьків;
б) від шлюбу глухонімої жінки з нормальним чоловіком народилася глухоніма
дитина. Визначте генотип батьків.
Задача 3. У людини ген полідактилії (шестипалість) домінує
над геном, який визначає нормальну будову кисті: а) у родині, де мати має
нормальну будову кисті, а батько шестипалий, одна дитина має 6 пальців на руці,
а друга - 5. Визначте генотип батьків; б) у родині, де мати шестипала, а батько
п’ятипалий, народилась дитина з нормальною будовою кисті. Яка ймовірність
народження наступної дитини також без аномалії?
Задача 4. У людини ген карих очей домінує над геном блакитних
очей, а вміння володіти переважно правою рукою - над ліворукістю. Обидві пари
генів розміщені у різних хромосомах. Якими можуть бути діти, якщо:
а) батьки гетерозиготні; б) батько лівша гетерозиготний за
кольором очей, а мати блакитноока й гетерозиготна відносно вміння володіти
правою рукою.
Задача 5. У людини клишоногість домінує над нормальною
будовою стопи, а нормальний обмін вуглеводів - над цукровим діабетом. Жінка з
нормальною будовою стопи й нормальним обміном вуглеводів вийшла заміж за
клишоногого чоловіка. Від цього шлюбу народилось двоє дітей. В однієї дитини розвинулась
клишоногість, а у другої - цукровий діабет: а) чи можна визначити генотип
батьків за фенотипом дітей? б) які генотипи та фенотипи дітей ще можливі у
даній сім’ї?
Тести підсумкового контролю:
1. Які гени називають неалельними?
. Які гени називають алельними?
. Як довести незалежне успадкування ознак?
. Які організми називають гетерозиготними?
. Із якою метою застосовують аналізуюче схрещування?
Контрольні питання
для самостійної підготовки до теми
Тема 1
. Предмет, структура, роль та історія розвитку біології.
. Рівні (клітинний, організмений, біосферний), етапи розвитку
(зародження життя, системна еволюція, антропогенез) та протиріччя (асиміляція й
дисиміляція, спадковість і мінливість, подразливість та авторегуляція,
гомеостаз і розмноження) живого. Комплементарність та основана на ній регуляція
(генна, рецепторна, есенціальна).
. Хімічний склад живого: неорганічні речовини,
низькомолекулярні органічні речовини. Пластичний і енергетичний обмін.
. Хімічна будова, властивості та біологічні функції
вуглеводів.
. Хімічна будова, властивості й біологічні функції ліпідів.
. Хімічна будова, властивості та біологічні функції
нуклеїнових кислот.
. Хімічна будова, властивості і біологічні функції білків.
Тема 2
. Ферменти, їх біологічна роль та хімічна природа.
. Ділянки контактна і каталітична в активному центрі
ферментів.
. Тип коферментів - активні форми вітамінів, мікроелементи, АТФ і
залізо-гем.
. Вплив на ферменти температури, рН, концентрації субстрату.
. Локалізація ферментів у клітині.
. Регуляція активності ферментів - рівнем генного синтезу, дією
гормонів через рецептори та вторинні месенжери.
. Інгібування ферментів чинниками зовнішнього середовища.
Тема 3
. Будова та функції мембран. Плазмалема і клітинна стінка,
міжклітинні контакти.
. Будова і функції мітохондрій.
. Будова , функції ЕПС.
. Будова та функції апарата Гольджі.
. Будова й функції лізосом, вакуолей, пероксисом.
. Будова та функції пластид, їх типи.
. Цитоплазма, будова і функції цитоскелета. Вплив
несприятливих факторів на органоїди клітини.
Тема 4
. Клітинна теорія Шванна та Шлейдена. Відмінності
бактеріальної, рослинної і тваринної клітин.
. Рух цитоплазми, тургор, плазмоліз і деплазмоліз.
. Міжклітинні контакти, джгутики та війки.
. Будова і функції ядра. Ядерце та хромосоми.
. Життєвий цикл клітини: поділ, інтерфаза та її складові,
загибель некрозом або апоптозом. Вплив несприятливих факторів зовнішнього
середовища на імпортилізацію, швидкість проходження життєвого циклу, форми
загибелі клітини.
. Поділ клітини мітозом. Профаза та метафаза. Клітинний
центр.
. Анафаза і телофаза. Значення мітозу.
Тема 5
. Хімічна та морфологічна будова хромосом.
. Типи розмноження організмів - вегетативне, нестатеве,
статеве.
. Гамети, хромосомний набір. Будова яйцеклітини та
сперматозоїда.
. Мейоз. Біологічне значення.
. Мейоз, 1-а та 2-а стадії.
. Дозрівання яйцеклітини - овогенез.
. Дозрівання сперматозоїдів - сперматогенез.
Тема 6
. Біологічне значення запліднення. Утворення диплоїдної
зиготи.
. Типи дробіння. Бластомери. Морула. Бластула. Закон Бера.
. Гаструла. Три зародкові листки.
. Органогенез та ембріогенез. Ембріональна індустрія. Закон
Бера.
. Тератогенність як порушення ембріогенезу несприятливими
екологічними факторами навколишнього середовища. Регенерація.
. Онтогенез із метаморфозом та без. Вік розмноження. Вплив
стресів і хімічних чинників на розмноження.
. Онтогенез. Гіпотези старіння як патології (генетична,
екологічна, онтогенетична, акумуляційна).
Тема 7
. Хроматин: еу- та гетерохроматин.
. Хімічна і морфологічна будова хромосом, їх типи.
. Каріотип, гомологічні хромосоми.
. Видова кількість хромосом соматичних клітин та гамет.
. Анеуплоідії та поліплоідії.
. Вплив несприятливих екологічних факторів зовнішнього
середовища на структуру та кількість хромосом.
Тема 8
. Ген. Алельні гени; домінантні та рецесивні гени. Генотип та
фенотип.
. Закон чистоти гамет та його цитологічні основи.
Схрещування.
. 1-ий та 2-ий закони Менделя для моногібридного схрещування.
Аналізуюче та оборотне схрещування. Розподіл за генотипом та фенотипом.
. Полігібридне схрещування, розподіл за генотипом та
фенотипом. Третій закон Менделя.
. Взаємодія генів (типи, приклади). Летальні комбінації генів
на прикладі серповидно-клітинної анемії.
. Зчеплення генів. Захворювання, викликані зчепленням генів
(гемофілія, дальтонізм).
. Генотипова та фенотипова мінливість. Мутації (типи,
мутагени як несприятливі екологічні фактори навколишнього середовища) та
трансплантації (віруси як транспортери генів ДНК). Діапазон норми реакції.
Закон гомологічної мінливості Вавілова.
цитоплазма ядро клітина тургор
Література
1.
Барна І.В., Барна М.М. Збірник задач і розв'язків з біології: Навчальний
посібник у 3-х частинах. - Тернопіль: Мандрівець. - 1996.
. Бердышев Г.Д., Криворучко И.Ф.
Медицинская генетика. -
К.:Вища школа,
1990.
.
Біологія: Навч.посібник./ А.Слюсарев та ін. Під ред.В.О.Мотузного. - К.:Вища школа, 1991.
.
Біологія: (загальна біологія, ботаніка, зоологія, людина та її здоров'я). - К.: Вища школа, 1997.
.
Биологический энциклопедический
словарь: - М.: Советская
энциклопедия, 1989.
. Богданов А.А., Медников Б.М.
Власть над геном. - М.:Просвещение, 1989.
. Бочков Н.П. Гены и судьбы. - М.:Молодая гвардия, 1990.
. Брэм М.Э.
Мир животных, в 3-х томах. - М.: Терра, 1992.
. Вилли К. Биология. - М.: Мир, 1974.
.
Воробьева Е. А., Губарь А.В., Сафьенникова Е.Б. Анатомия и физиология.
М.:Медицина, 1981.
.Дубинин
Н.П. Генетика человека. - М.:Просвещение, 1978.
. Елин Н.П. Основы биотехнологии. - СПБ:Наука, 1995.
. Кучеренко М.Е., Верес Ю.Г.,
Балан П.Т. та ін. Біологія. - К.: Генеза, 1998.
.Мамонтов
С.Г. Биология для
поступающих в вузы. Справ.изд. - М.:Высшая школа, 1992.
.
Медовар О.М., Медовар В.О. Наука о живом, 1983.
. Мусієнко М.М., Славний П.С.
Біологія. Основні поняття. - К.: Лібра, 1995.
.
Мотузной В.А. Биология:
Учебник для вузов. -
К.: Вища школа,
1990.
.
Сассон А. Биотехнология. - М.: Мир, 1997.