Сестринский процесс при туберкулезе

  • Вид работы:
    Курсовая работа (т)
  • Предмет:
    Медицина, физкультура, здравоохранение
  • Язык:
    Русский
    ,
    Формат файла:
    MS Word
    716,06 Кб
  • Опубликовано:
    2012-10-02
Вы можете узнать стоимость помощи в написании студенческой работы.
Помощь в написании работы, которую точно примут!

Сестринский процесс при туберкулезе















сестринский процесс при туберкулезе

ВВЕДЕНИЕ

В настоящее время отмечается рост заболеваемости туберкулезом и смертности от него, особенно в странах Восточной Европы и Западной Европы. Рост заболеваемости обусловлен большим резервуаром инфекции, несвоевременным выявлением бациллярных больных, рассеивающих туберкулезную инфекцию. туберкулёз являлся социально значимым заболеванием всех времён и народов. В настоящее время в мире ежегодно регистрируется только бациллярного туберкулеза до 10 млн. чел. и 4-5 млн. чел. ежегодно умирают от этой инфекции. По прогнозам экспертов ВОЗ к 2020 году в Мире появится еще 200 млн. чел. - новых случаев туберкулеза и 70 млн. чел. умрет от этой инфекции. А быстрое распространение лекарственно-устойчивых штаммов возбудителя туберкулеза, нарастание полирезистентности грозит превратить туберкулез в неизлечимое заболевание.

Большое значение имеет так же эндогенная реактивация, особенно в группах риска. Позднее выявление запущенных форм, остро прогрессирующие процессы, особенно вызванные лекарственно-устойчивыми микобактериями, являются причиной высокой смертности. Программа современной контролируемой химиотерапии укороченной длительности имеет первостепенное значение для прекращения рассеивания туберкулезной инфекции и снижения смертности от туберкулеза.

Список сокращений

ВИЧ - вирус иммунодефицита человека

ИВЛ - искусственная вентиляция лёгких

ВОЗ -всемирная организация здравоохранения

ПЦР - полимеразная цепная реакция

ЛС - лекарственные средства

ЭМП-экстренная медицинская помощь

Предмет изучения сестринский процесс.

Объект исследования сестринский процесс при туберкулезе

Цель исследования изучение сестринского процесса при туберкулезе

Для достижения данной цели исследования необходимо

изучить:

·   этиологию и предрасполагающие факторы туберкулеза;

·   клиническую картину и особенности диагностики туберкулеза;

·   принципы оказания первичной медицинской помощи при туберкулезе;

·   методы обследований и подготовку к ним;

·   принципы лечения и профилактики туберкулеза;

Для достижения данной цели исследования необходимо

проанализировать:

·   два случая, иллюстрирующие тактику медицинской сестры при осуществлении сестринского процесса у пациентов с данной патологией;

● основные результаты обследования и лечения описываемых больных в стационаре.

В соответствии с намеченной целью и задачами использованы следующие методы исследования:

● научно-теоретический анализ медицинской литературы по туберкулезу;

● эмпирический - наблюдение, дополнительные методы исследования:

организационный (сравнительный, комплексный) метод;

субъективный метод клинического обследования пациента (сбор анамнеза);

объективные методы обследования пациента (физикальные, инструментальные, лабораторные);

● биографические (анализ анамнестических сведений, изучение медицинской документации);

● психодиагностический (беседа).

Практическая значимость:

Подробное раскрытие материала по теме курсовой работы «Сестринский процесс при туберкулезе» позволит повысить качество сестринской помощи.

1. Туберкулез

Туберкулёз (от лат. tuberculum- бугорок)- широко распространённое в мире инфекционное заболевание человека и животных, вызываемое различными видами микобактерий, как правило, палочка Коха. обычно поражает легкие, реже затрагивая другие органы и системы, передаётся воздушно-капельным путём при разговоре, кашле и чиханий больного. Чаще всего после инфицирования микобактериями заболевание протекает в бессимптомной, скрытой форме, но примерно один из десяти случаев скрытой инфекции в конце концов переходит в активную форму.

1.1 этиология и предрасполагающие факторы туберкулеза

Возбудитель туберкулеза - микобактерии туберкулеза (МБТ) Различают несколько типов МБТ:

·   человечий,

·   бычий,

·   птичий,

·   мышиный

·   холоднокровных животных.

Для человека патогенны человечий и бычий типы. Источник туберкулезной инфекции - человек, выделяющий МБТ, или животное, больное туберкулезом: крупный и мелкий рогатый скот, дикие, реже домашние животные (кошки, собаки).Пути передачи инфекции:

·   аэрогенный (воздушно-капельный и пылевой)

·   алиментарный (через продукты и посуду больного человека или через молочные продукты от больной коровы).Ворота инфекции:

·   носоглотка,

·   миндалины,

·   слизистая бронхов,

Реже поврежденная:

·   кожа,

·   глаза,

·   плацента.

При формировании заболевания туберкулезом МБТ находятся в оптимальных для их жизнедеятельности условиях, они активно размножаются вегетативным путем, что приводит к быстрому накоплению популяции.

При лечении больных противотуберкулезными препаратами МБТ теряют способность к вегетативному размножению и превращаются в различные измененные формы. В этом неактивном состоянии они надолго остаются в организме, активизируясь при преждевременном прекращении лечения больного.В неактивном состоянии МБТ в течение многих месяцев сохраняются и в окружающей среде (на посуде и белье больного, в пыли помещения, т. д.), проявляя чрезвычайную устойчивость к неблагоприятным внешним воздействиям и активизируясь при попадании в организм человека или животного.

.2 Клиническая картина

Туберкулёз лёгких может длительное время протекать бессимптомно или симптомами выступают неспецифические проявления интоксикации: слабость, бледность мало симптомно и обнаружиться случайно при проведении флюорографии или на рентгеновском снимке грудной клетки. Факт обсеменения организма туберкулёзными микобактериями и формирования специфической иммунологической гиперреактивности может быть также обнаружен при постановке туберкулиновых проб.

В случаях, когда туберкулёз проявляется клинически, обычно самыми первыми симптомами, повышенная утомляемость, вялость, апатия, субфебрильная температура (около 37 °C, редко выше 38°), потливость, особенно беспокоящая больного по ночам, похудение. Часто выявляется генерализованная или ограниченная какой-либо группой лимфатических узлов лимфаденопатия - увеличение размеров лимфатических узлов. Иногда при этом удаётся выявить специфическое поражение лимфатических узлов - «холодное» воспаление.

В крови больных туберкулёзом или обсеменённых туберкулёзной микобактерией при лабораторном исследовании часто обнаруживается анемия (снижение числа эритроцитов и содержания гемоглобина), умеренная лейкопения (снижение числа лейкоцитов). Некоторыми специалистами предполагается, что анемия и лейкопения при туберкулёзной инфекции - последствие воздействия токсинов микобактерий на костный мозг. Согласно другой точке зрения, всё обстоит строго наоборот - туберкулёзная микобактерия преимущественно «нападает» в основном на ослабленных лиц - не обязательно страдающих клинически выраженными иммунодефицитными состояниями, но, как правило, имеющих слегка пониженный иммунитет; не обязательно страдающих клинически выраженной анемией или лейкопенией, но имеющих эти параметры около нижней границы нормы и т. д. В такой трактовке анемия или лейкопения - не прямое следствие туберкулёзной инфекции, а, наоборот, предусловие её возникновения и предсуществовавший до болезни фактор.

Далее по ходу развития заболевания присоединяются более или менее явные симптомы со стороны пораженного органа. При туберкулёзе лёгких это кашель, отхождение мокроты, хрипы в лёгких, насморк, иногда затруднение дыхания или боли в грудной клетке (указывающие обычно на присоединение туберкулёзного плеврита), кровохарканье. При туберкулёзе кишечника - те или иные нарушения функции кишечника, запоры, поносы, кровь в кале и т. д. Как правило (но не всегда), поражение лёгких бывает первичным, а другие органы поражаются вторично путём гематогенного обсеменения. Но встречаются случаи развития туберкулёза внутренних органов или туберкулёзного менингита без каких-либо текущих клинических или рентгенологических признаков поражения лёгких и без такового поражения в анамнезе.

.3 Методы диагностики и подготовка к ним

Основной профилактикой туберкулёза на сегодняшний день является вакцина БЦЖ. В соответствии с «Национальным календарём профилактических прививок» прививку делают в роддоме при отсутствии противопоказаний

в первые 3-7 дней жизни ребенка. В 7 и 14 лет при отрицательной реакции Манту и отсутствии противопоказаний проводят ревакцинацию.

Самая простая проверка на туберкулез - реакция Манту. Через 72 часа после пробы Манту можно определить, есть ли в организме туберкулезная инфекция. Однако этот метод обладает очень низкой точностью. Исследование мазков под микроскопом тоже не может быть эталоном: микобактерию туберкулеза легко перепутать с другими видами бактерий и вынести неверный диагноз.Посев мокроты часто помогает диагностировать туберкулез, однако бактерии туберкулеза «вырастают» не всегда, поэтому и здесь существует риск ложно отрицательного анализа. Наиболее часто, за неимением лучшего, для обследования на туберкулез используют обычный рентген легких и осмотр больного. В специализированной клинике можно сделать определение титра антител к туберкулезу. Этот метод позволяет выявить наличие иммунитета к туберкулезу и выяснить, была ли эффективна проведенная вакцинация. Достоверность - около 75%. Самый современный метод - ПЦР (полимеразная цепная реакция). Это ДНК-диагностика, когда на анализ берется мокрота больного. Результат можно узнать через 3 дня, достоверность - 95-100%.

1.4 Лечение

·   Лечить туберкулез самостоятельно невозможно - при неконтролируемом приеме лекарств у палочки Коха (микобактерия туберкулеза) развивается устойчивость к лекарствам и вылечить туберкулез становится намного сложнее. Лечение обычного (чувствительного к лекарствам) туберкулеза занимает не менее 6 месяцев, а иногда затягивается до 2 лет. Для угнетения инфекции терапия должна проводиться систематично, без пауз, тогда туберкулез не сможет прогрессировать. Когда туберкулез выявлен, больного помещают в стационар, где он проводит около двух месяцев - за это время прекращается активное выделение бактерий туберкулеза. Когда больной перестает представлять собой угрозу для здоровья окружающих, лечение продолжается амбулаторно. Лечение обычного туберкулеза проводится по определенной схеме, в нее входят такие препараты, как:

·   Изониазид

·   рифампицин

·   пиразинамид

·   этамбутол.

·   Врач подбирает индивидуальную комбинацию препаратов, которую больной должен будет принимать в течение 2-3 месяцев, лечение проходит в стационаре. Если по прошествии этого времени лечение не принесло должного эффекта либо эффект очень слабый, что обусловлено устойчивостью инфекции к тому или иному препарату, то в химиотерапию вносятся соответствующие изменения. В таких случаях заменяется один или несколько препаратов либо же меняется способ их введения (внутривенно, ингаляционно). Если же, наоборот, после 2-3 месяцев приема препаратов наблюдается положительный эффект, в течение последующих 4 месяцев назначают только изониазид и рифампицин. По окончании курса лечения больной снова сдает анализы и, если палочка Коха будет выявлена, значит, туберкулез перешел в лекарственно-устойчивую_форму. Лечение устойчивой к лекарствам формы туберкулеза затягивается на годы. В зависимости от того, к каким препаратам устойчива бактерия туберкулеза, к основным препаратам (изониазид, рифампицин) добавляют так называемые препараты второго ряда -

·   офлоксацин,

·   каприомицин,

·   этионамид,

·   циклосерин,

·   паск.

Препараты второго ряда намного дороже, чем обычные лекарства от туберкулеза. Принимать эти препараты можно только в комплексе. Хирургическое вмешательство для лечения туберкулеза применяют крайне редко, потому что эффективность этого метода весьма низка. Раньше неотъемлемым элементом лечения туберкулеза являлось санаторно-курортное лечение. В наши дни лечение в санаториях является лишь дополнительный средством борьбы с болезнью. Но если больной отказывается от госпитализации, когда это действительно необходимо, медицинское учреждение имеет право через суд направить больного на обязательное лечение в противотуберкулезную клинику. Эта практика применяется повсеместно для лечения безответственных больных и обеспечения здоровья нации.Большое значение в излечении болезни имеет правильное питание. В рацион больного должны входить мясные, рыбные блюда, овощи и фрукты. Алкоголь и курение категорически противопоказаны. Так как больной часто теряет аппетит при туберкулезе, рекомендуется употреблять в пищу продукты богатые витаминами, которые имеют свойство возбуждать аппетит: настой шиповника, рыбий жир, простокваша, кефир.

      Диета №11 при туберкулезе легких

Диета №11 назначается при туберкулезе легких без поражения желудочно-кишечного тракта, при малокровии, а также при общем истощении.

Диета №11 при туберкулезе легких характеризуется повышенным содержанием белков, жиров, витаминов (особенно С) и солей кальция. Цель ее укрепить общее состояние и повысить сопротивляемость организма хронической инфекции.

В диете №11 при туберкулезе легких рекомендуются продукты и блюда, содержащие животный белок, соли кальция, витамины; мясо, рыба, птица; колб изделия; сухой гематоген; яйца, у сыр, творог; овощи и зелень; фрукты.

Витамины в диету №11 при туберкулезе легких вводятся в составе овощей, настоя шиповника, отвара из пшеничных отрубей.

Поваренная соль - по норме. Весовой состав суточного рациона: белки - 130-160 г, жиры - 100-120 г, углеводы - 450-500 г. Калорийность - 3500 - 4000 килокалорий.

      Примерное меню диеты №11 при туберкулезе легких

8-9 часов. Творог со сметаной, ветчина, сливочное масло, молочная каша, чай.

-13 часов. Яичница, жареное мясо с картофелем, салат, фруктово-ягодные соки, бисквит из сухого гематогена.

-17 часов. Рубленая сельдь, борщ на мясном бульоне со сметаной, жареное мясо, гречневая каша, пирожное, фрукты, сок.

-20 часов. Сырники, рисовый пудинг со сметаной, ягодное желе, молоко.

часа. Простокваша, пирожное.

1.5 Осложнения

В генезе осложнений главная роль принадлежит лимфогематогенному и бронхогенному распространению инфекции. Осложнения могут развиться при любой форме первичного туберкулеза, в том числе и при малой форме туберкулеза внутригрудных лимфатических узлов. Надо отметить, что осложненное течение может встречаться не только в фазе инфильтрации основного процесса, но и в фазе кальцинации.Первичным формам туберкулеза могут сопутствовать следующие осложнения:

·    туберкулез бронхов;

·    ателектаз;

·    бронхолегочные поражения (долевые, сегментарные процессы);

·    гематогенная, лимфогенная, бронхогенная диссеминации;

·    туберкулезный менингит;

·    плеврит;

·    первичная каверна;

·    казеозная пневмония;

·    хронически текущий первичный туберкулез.

туберкулез заболевание возбудитель

1.6 Профилактика

Социальная направленность профилактики туберкулеза

Профилактика туберкулеза имеет социальную направленность, что заключается в проведении в масштабах государства мероприятий экономического и санитарного характера. К таким мероприятиям относятся:

·        улучшение жилищно-бытовых условий жизни населения;

·        оптимизация условий труда, предупреждение профессиональных заболеваний легких;

·        оздоровление окружающей среды, включая борьбу с загрязнением атмосферного воздуха, водоемов, почвы, озеленение, соблюдение санитарных требований промышленной гигиены;

·        улучшение качества питания;

·        борьба с алкоголизмом, наркоманией, токсикоманией, курением;

·        развитие физической культуры и спорта, культивирование здорового образа жизни;

·        расширение сети детских оздоровительных и санаторно-курортных учреждений;

·        проведение социальных и санитарно-ветеринарных мероприятий в местах промышленного производства животных и птиц.

Специфическая профилактика туберкулеза

Главная цель специфической профилактики туберкулеза (прививок против туберкулеза) - выработка у детей и взрослого населения до 30-летнего возраста специфического индивидуального и коллективного иммунитета.

Вакцинацию проводят новорожденным на 4-7-й день жизни. Через несколько лет, в целях профилактики туберкулеза, осуществляется ревакцинация. В России она проводится клинически здоровым детям 7 лет (учащиеся 1-го класса), 12 лет (5-й класс), подросткам 16-17 лет (10-й класс), а затем через каждые 5-7 лет до 30-летнего возраста при наличии соответствующих показаний (контакт с больным туберкулезом или отсутствие инфицированности по результатам туберкулиновой пробы).

Профилактика туберкулеза предполагает отбор кандидатов для ревакцинации с помощью пробы Манту. Ревакцинируют только тех лиц, у которых реакция Манту оказалась отрицательной. Ревакцинация противопоказана: инфицированным туберкулезом лицам любого возраста, переболевшим, туберкулезом в прошлом, больным всеми острыми инфекционными заболеваниями, кожными, аллергическими болезнями, включая ревматизм, экссудативный диатез, а также эпилепсию.

·   Химиопрофилактика

Химиопрофилактика - эффективный метод предупреждения заболевания туберкулезом у лиц с повышенным риском развития инфекции. Профилактика туберкулеза путем химиопрофилактики может быть первичной, когда проводится у здоровых лиц, не инфицированных МБТ, но находящихся в контакте с больными туберкулезом, и вторичной - у людей, инфицированных МБТ или переболевших в прошлом.

Профилактика туберкулеза путем первичной химиопрофилактики снижает на только заболеваемость, но и инфицированность, подавляя туберкулезную инфекцию в инкубационном периоде, вторичная - предупреждает экзогенную с

уперинфекцию и активизацию эндогенной туберкулезной инфекции.

Химиопрофилактика необходима:

·        всем здоровым лицам (дети, подростки, взрослые), находящимся в семейном, бытовом и профессиональном контакте с бактериовыделителями;

·        детям и подросткам с виражом туберкулиновой пробы;

·        детям и подросткам, инфицированным туберкулезом;

·        лицам с посттуберкулезными изменениями в легких, получающим стероидные гормоны по поводу другого заболевания;

·        больным силикозом, сахарным диабетом, психическими заболеваниями, наркоманиями, алкоголизмом, язвенной болезнью желудка двенадцатиперстной кишки, хроническими воспалительными заболеваниями органов дыхания при наличии посттуберкулезных изменений в легких, ВИЧ-инфицированным;

·        взрослым лицам с посттуберкулезными изменениями в легких и при наличии гиперергических реакций.

Всем указанным категориям лиц профилактика туберкулеза путем химиопрофилактики проводится в весенне-осенний период (март-апрель и сентябрь-октябрь) или в другое время года в зависимости от "сезонности" проявлений инфекции и ее рецидивов.

·   Флюорографические обследования

Большую эффективность для профилактики туберкулеза имеют массовые флюорографические обследования взрослого населения. Ежегодное обследование помогает своевременно выявлять больных туберкулезом людей. Флюорография в системе профилактики туберкулеза позволяет начать лечение на ранних этапах заболевания, что является важным условием его успешности. В зависимости от конкретных условий, материально-технической оснащенности органов здравоохранения в разных странах с целью профилактики туберкулеза проводится или сплошное, или выборочное обследование населения. При выборочном обследовании под наблюдением должны находиться группы лиц с высоким риском заражения и развития вторичного туберкулеза.

·   Профилактика туберкулеза в очагах включает: 

·        госпитализацию больных туберкулезом и особенно явных выделителей МБТ сразу после установления-диагноза;

·   проведение заключительной, а впоследствии - текущей дезинфекции;

·        систематическое, длительное обследование лиц, находящихся в контакте с больными;

·        вакцинацию, ревакцинацию и изоляцию контактных лиц на период выработки иммунитета;

·        химиопрофилактику в отношении контактных лиц;

·        обучение санитарно-гигиеническим навыкам больного и окружающих лиц;

·        улучшение жилищно-бытовых условий семьи больного.

·   Профилактика туберкулеза в условиях производства

Перечень профессий, на которые распространяются запретительные меры, можно разделить на три категории:

Первая категория - работники детских учреждений дошкольного, школьного и санаторно-курортного профиля.

Вторая категория - это работники общественного питания и пищевой промышленности, которые непосредственно соприкасаются с сырьем, полуфабрикатами и готовой продукцией, а также осуществляют ремонт, очистку и дезинфекцию производственного оборудования. К данной группе относятся также работники аптек, фармацевтических заводов, занятых изготовлением и расфасовкой лекарственных средств, работники водопроводных сооружений, слесари-сантехники, работники предприятий, изготавливающих детские игрушки. Третья категория - это работники сферы коммунальных услуг, в которой также необходима постоянная профилактика туберкулеза: банщики, парикмахеры, косметологи, лица, обеспечивающие стирку и выдачу белья в прачечных, проводники и кондукторы общественного транспорта, стюардессы и водители такси, работники спортивных сооружений, библиотек. На предприятиях и в учреждениях, где работают больные туберкулезом, не относящиеся к вышеперечисленным категориям, и есть своя медсанчасть, также осуществляется профилактика туберкулеза: учет больных, контролируемое лечение на амбулаторном этапе, наблюдение за состоянием здоровья пациентов, учет и обследование производственных контактов, рациональное трудоустройство и др.

.7 Манипуляции, выполняемые медицинской сестрой

Внутрикожная инъекция на реакцию манту:

Цель: диагностическая, применяется для проведения аллергических проб, профилактических прививок.

Оснащение:

шприц туберкулиновый емкостью 1мл, игла длиной 15мм, сечением 0,4 мм.

стерильная игла в упаковке для набора лекарственного средства.

лекарственное средство

спирт этиловый 70%

3 стерильных марлевых шарика

емкости для дезинфекции используемых шприцев, игл и ватных шариков

латексные перчатки

маска

Подготовка к процедуре

. Установить доброжелательные отношения с пациентом.

. Объяснить пациенту цель и ход процедуры.

. Надеть маску, подготовить руки к работе, надеть перчатки

. Проверить пригодность лекарственного средства (прочитать наименование, дозу, срок годности на упаковке, определить по внешнему виду).

. Сверить назначения врача.

. Обработать шейку ампулы (крышку флакона) тампоном, смоченным спиртом).

. Вскрыть пакеты, собрать шприц.

. Набрать в шприц необходимое количество лекарственного средства.

. Сменить иглу, надеть иглу для в/к инъекции, выпустить воздух из шприца так, чтобы в шприце осталась заданная доза. Надеть колпачок.

. Положить шприц на стерильный лоток или в стерильную упаковку

Выполнение процедуры

. Усадить пациента, положить руку передней поверхностью предплечья вверх.

. Взять шприц в правую руку срезом иглы вверх, снять колпачок.

. Обработать дважды разными тампонами кожу в области средней трети передней поверхности предплечья пальцами левой руки, сбросить шарики в дез. раствор.

. Натянуть кожу в месте инъекции

пальцами левой руки. Ввести в кожу только

срез иглы под углом 50 к поверхности

тела пациента.

. Зафиксировать вторым пальцем иглу, прижав ее к коже.

. Перевести левую руку на поршень и ввести лекарственное вещество.

. Извлечь иглу быстрым движением, придерживая ее за канюлю.

. Не прижимать к месту инъекции вату, смоченную спиртом.

. Проверить, нет ли крови из места прокола, если есть, приложить сухой стерильный шарик

Окончание процедуры

. Объяснить пациенту, что на место инъекции не должна попадать вода до определенной реакции.

. Провести дезинфекцию шприца, игл, ватных шариков.

. Снять перчатки, поместить в дез. раствор.

. Вымыть и высушить руки.

. Сделать запись о выполнении процедуры в листе назначений.

      Сбор мокроты на микобактерии туберкулез <#"577062.files/image001.gif">

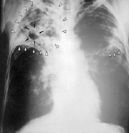
Рис.1 Туберкулез легких

Рис.2 Легочные проявления туберкулёза

Рис.3 микобактерии туберкулеза

Похожие работы на - Сестринский процесс при туберкулезе

 

Не нашли материал для своей работы?
Поможем написать уникальную работу
Без плагиата!
Без нейросетей!