Сестринский процесс при ревматизме

  • Вид работы:
    Курсовая работа (т)
  • Предмет:
    Медицина, физкультура, здравоохранение
  • Язык:
    Русский
    ,
    Формат файла:
    MS Word
    675,25 Кб
  • Опубликовано:
    2012-11-13
Вы можете узнать стоимость помощи в написании студенческой работы.
Помощь в написании работы, которую точно примут!

Сестринский процесс при ревматизме

Содержание

 

Введение

Список сокращений

1. Ревматизм

1.1 Этиология

1.2 Классификация

1.3 Клиническая картина

1.4 Методы диагностики

1.5 Принципы лечения

1.6 Ревматологическая служба

2. Сестринский процесс при ревматизме

3. Практическая часть

3.1 Наблюдение из практики 1

3.2 Наблюдение из практики 2

3.3 Выводы

4. Заключение

5. Литература

Приложения

Введение

На данный момент по данным статистики ВОЗ ревматизм остается одной из главных причин инвалидизации трудоспособного населения во многих развивающихся странах, тогда как в развитых странах частота встречаемости заболевания постепенно снижается. По данным статистики: за 2008 год на территории РФ было зарегистрировано 1.929 чел. с острой ревматической лихорадкой, 12.291 чел. с хроническими ревматическими заболеваниями сердца, 8.831 чел. с ревматическими пороками клапанов. В 2009 году эти цифры возросли и составили: 1.938 чел. с острой ревматической лихорадкой, 15.144 чел. с хроническими ревматическими болезнями сердца и 10.295 чел. с ревматическими пороками клапанов. Однако в 2010 году эти показатели снижаются и составляют: 2.533 чел. с острой ревматической лихорадкой, 13.165 чел. с хроническими ревматическими болезнями сердца, 9.254 чел. с ревматическими пороками клапанов. Приведенные данные свидетельствуют о том, что число людей, заболевших ревматизмом, колеблется в разные годы, и зависит от различных факторов, приводящих к заболеванию.

Ревматизм - болезнь преимущественно молодого возраста. В группе риска чаще всего оказываются молодые люди 7-15 лет, однако повторные атаки ревматизма отмечаются и у лиц среднего и пожилого возраста, ранее перенесших атаки ревматизма с последующим формирование порока сердца. Причем у женщин это заболевание отмечается в 2 раза чаще, чем у мужчин.

Распространенность ревматической лихорадки и ревматических пороков сердца и обусловленная ими высокая временная и стойкая нетрудоспособность взрослого контингента больных свидетельствуют о социальной значимости данной проблемы.

Предмет изучения.

Сестринский процесс при ревматизме.

Объект.

Сестринский процесс.

Цель исследования - изучение сестринского процесса при ревматизме.

Задачи.

Для достижения данной цели исследования необходимо изучить:

·        этиологию и предрасполагающие факторы ревматизма;

·        клиническую картину ревматизма;

·        методы диагностики и подготовку к ним;

·        принципы лечения и профилактики ревматизма;

·        манипуляции, выполняемые медицинской сестрой;

·        особенности сестринского процесса при данной патологии.

Для достижения данной цели исследования необходимо проанализировать:

·        два случая, иллюстрирующие тактику медицинской сестры при осуществлении сестринского процесса у пациентов с данной патологией;

·        основные результаты обследования и лечения описываемых больных в стационаре.

Для достижения данной цели необходимо использовать все возможные методы исследования, такие как:

·        научно-теоретический анализ медицинской литературы по данной теме;

·        эмпирический - наблюдение, дополнительные методы исследования:

-       организационный (сравнительный, комплексный) метод;

-       субъективный метод клинического обследования пациента (сбор анамнеза);

-       объективные методы обследования пациента (физикальные, инструментальные, лабораторные);

·        биографические (анализ анамнестических сведений, изучение медицинской документации);

·        психодиагностический (беседа).

Практическое значение курсовой работы.

Подробно раскрыть и изучить проблемы пациента, а также этиологию, клинику, методы диагностики, лечение и элементы сестринского ухода в целях повышения качества оказания сестринской помощи при ревматизме.

сестринский процесс ревматизм медицинский

Список сокращений


АД - артериальное давление

ВОЗ - всемирная организация здравоохранения

ЛС - лекарственное средство

ЛФК - лечебная физкультура

НПВС - нестероидное противовоспалительное средство

ОРВИ - острая респираторная вирусная инфекция

СОЭ - скорость оседания эритроцитов

СРБ - С-реактивный белок

УЗИ - ультразвуковое исследование

ЦНС - центральная нервная система

ЧДД - частота дыхательных движений

ЧСС - частота сердечных сокращений

ФКГ - фонокардиография

ЭКГ - электрокардио (грамма) графия

1. Ревматизм


Французский ученый Ласег говорил о ревматизме следующее: "Ревматизм лижет суставы, плевру и даже мозговые оболочки, но больно кусает сердце". Данное заболевание развивается, как правило, незаметно. Это и делает его достаточно коварным.

Ревматизм был известен уже в V столетии до нашей эры. Гиппократ в труде "Четыре книги болезней” писал: "При артрите появляется лихорадка, острая боль захватывает все суставы тела, и эти боли то более резкие, то более слабые, поражают то один, то другой сустав”. В древности врачи считали, что воспаление в суставах вызывается тем, что какая-то ядовитая жидкость растекается по организму. Отсюда и произошло название болезни - "ревматизм" (от греч. "ревма" - течение). Поражение сердечно-сосудистой системы рассматривали как осложнение суставного синдрома. Лишь после опубликования выдающихся работ французского врача Буйо (1836 г.) и русского врача И.Г. Сокольского (1838 г.) ревматизм был выделен в самостоятельное заболевание, предусматривающее поражение сердца.

Ревматизм (болезнь Сокольского-Буйо) - инфекционно-аллергическое заболевание, поражающее соединительную ткань сердечно-сосудистой системы (эндокард, миокард, реже перикард) и крупных суставов. В результате развиваются деформации клапанного аппарата сердца и формируется порок сердца. Поражение суставов (преимущественно крупных) в настоящее время наблюдается редко, только в активной фазе болезни, а при ее ликвидации деформации суставов не остается.

Ревматизм является хроническим заболеванием, протекает с периодами обострения (активная фаза) и ремиссии (неактивная фаза). Активная фаза называется также ревматической атакой.

1.1 Этиология


Предполагают, что в возникновении ревматизма имеет значение инфекция (чаще всего гемолитический стрептококк группы А). Ревматизм развивается главным образом после перенесенного заболевания, спровоцированного стрептококковой инфекцией (скарлатина, ангина, фарингит). Однако инфекция имеет значение пускового механизма, и в дальнейшем при обострениях ее роль снижается.

Способствующие факторы

Развитию ревматизма способствуют переохлаждение, неблагоприятные социальные условия, микроклиматические факторы (работа в сыром холодном помещении). Имеет значение также и наследственный фактор.

Ревматизмом болеют преимущественно дети и лица молодого возраста. Однако повторные атаки ревматизма отмечаются у лиц среднего и пожилого возраста.

1.2 Классификация


В России общепринятой является классификация ревматизма, принятая в 1951 г. и дополненная в 1956 г.А.И. Нестеров предложил (1964) несколько изменить эту классификацию с тем, чтобы учитывалась степень активности процесса.

Классификация ревматизма (А.И. Нестеров, 1964)

Фаза болезни

Клинико-анатомическая характеристика поражения

Характер течения

Состояние кровооб-ращения


Сердца

Других органов и систем



Актив-ная

Ревмокардит первичный без порока клапанов

Полиартрит, серозиты (плеврит, перитонит), абдоминальный синдром

Острое Подострое

H0

Актив-ность I, II, III степени

Ревмокардит возвратный с пороком клапанов

Хорея, энцефалит, менингоэнцефалит, церебральный васкулит, нервно-психические расстройства

Затяжное Непрерывно-рецидиви-рующее

HI


Ревматизм без явных сердечных изменений

Васкулиты, нефриты, гепатиты, пневмонии, поражение кожи, ирит, иридоциклит, тиреоидит


HIIA HIIБ

Неактив-ная

Миокардиосклероз ревматический порок сердца

Последствия и остаточные явления перенесенных внесердечных поражений

Латентное

HIII


1.3 Клиническая картина


Заболевание начинается чаще всего спустя 2-3 недели после после первоначальной стрептококковой инфекции (ангина, скарлатина, фарингит, обострения хронического тонзиллита, острой респираторной инфекции). Эти же болезни в дальнейшем могут иметь значение при обострениях (рецидивах) ревматизма. На фоне общего недомогания повышается температура тела (чаще до субфебрильных цифр), возможны боли в крупных суставах при движении.

Существуют несколько форм ревматизма.

v  Поражение сердечно-сосудистой системы.

Поражение сердечно-сосудистой системы проявляется неприятными ощущениями в области сердца, перебоями, сердцебиениями, небольшой одышкой. Наблюдаются приглушенность тонов сердца, небольшой систолический шум на верхушке; иногда нарушения ритма - экстрасистолия, тахи- или брадикардия. Все эти признаки являются проявлением поражения мышцы сердца (ревматический миокардит, или ревмокардит). Если миокард поражен значительно, то могут появиться признаки сердечной недостаточности в виде отчетливой одышки, увеличения печени, нерезко выраженных отеков; границы сердца отчетливо расширены.

v  Ревматический полиартрит.

Первым симптомом ревматического полиартрита является нарастающая острая боль в суставах, усиливающаяся при малейших пассивных и активных движениях. К боли быстро присоединяется отечность мягких тканей в области суставов. Суставы припухшие, в них может накапливаться экссудат. Кожа над пораженными суставами горячая, пальпация их резко болезненна, объем движений из-за боли крайне ограничен. Характерно симметричное поражение крупных суставов - обычно коленных, лучезапястных, голеностопных, локтевых. Типична "летучесть" воспалительных изменений, проявляющаяся в быстром (в течение нескольких дней) обратном развитии артритических явлений в одних суставах и столь же быстром их нарастании в других. Все суставные проявления исчезают бесследно; даже без лечения они длятся не более 2 - 4 нед. При современной терапии клинические симптомы ревматического полиартрита могут быть устранены в течение первых суток

v  Ревматические васкулиты.

Ревматические васкулиты (артерииты, флебиты, капилляриты) относятся к проявлениям ревматических висцеритов воспаление внутренних органов) и выявляются очень редко.

v  Ревматические поражения кожи.

К ним относятся ревматические узелки (плотные, малоподвижные, безболезненные образования, расположенные в подкожной клетчатке, суставных сумках, фасциях, апоневрозах), кольцевидная и узловая эритемы (бледно-розовые, едва заметные высыпания в виде тонкого кольцевидного ободка). Могут быть крапивница и другие кожные аллергические проявления.

v  Ревматические поражения других органов.

Ревматические поражения легких, плевры, почек, пищеварительного аппарата в настоящее время встречаются редко, быстро подвергаются обратному развитию при соответствующем лечении.

v  Малая хорея.

Малая хорея - наиболее типичная форма нейроревматизма, наблюдаемая преимущественно у детей.

v  Ревматические поражения центральной нервной системы.

Острые ревматические поражения центральной нервной системы редки и протекают по типу менингоэнцефалита, хорошо поддаются противоревматической терапии.

Осложнения

После атаки ревматизма в большинстве случаев формируются пороки сердца: недостаточность митрального клапана - через 0,5 года, стеноз левого атриовентрикулярного отверстия - через 1,5-2 года. Однако формирование порока сердца не является фатальной неизбежностью. У части больных при своевременном начале лечения и достаточной его длительности порок сердца не возникает. Чаще всего порок формируется после второй и даже третьей атаки ревматизма.

Развитие осложнений ревматизма предопределяется тяжестью, затяжным и непрерывно рецидивирующим характером течения. В активной фазе ревматизма могут развиваться недостаточность кровообращения и мерцательная аритмия.

Исходом ревматического миокардита может являться миокардиосклероз, эндокардит - пороки сердца (митральная недостаточность, митральный стеноз и аортальная недостаточность). При эндокардите также возможны тромбоэмболические осложнения (инфаркт почек, селезенки, сетчатки, ишемия головного мозга и др.). При ревматическом поражении могут развиваться спаечные процессы плевральной, перикардиальной полостей. Смертельно опасными осложнениями ревматизма служат тромбоэмболии магистральных сосудов и декомпенсированные пороки сердца.

 

.4 Методы диагностики


Для распознавания ревматической атаки большое значение имеют установление связи начала заболевания с перенесенной стрептококковой инфекцией, выявление поражения сердца и суставов, изменение показателей лабораторно-инструментальных исследований.

Опрос больного

Дает возможность определить связь ревматизма с перенесенной инфекцией (ангина, тонзиллит, гайморит, фарингит и др.). Выяснить, болеют ли родственники ревматизмом либо другими заболеваниями соединительной ткани, для установления генетической предрасположенности к ревматизму.

Осмотр больного

При осмотре больного обращает на себя внимание бледность кожи, акроцианоз (синюшность губ, кончика носа, ушей), одышка и отеки на ногах. При (аускультации) выслушивании сердца определяется специфический шум в сердце, ослабление сердечных тонов, расширение границ сердца и аритмия.

Лабораторные исследования:

Ø  общий анализ крови. Увеличение СОЭ, нейтрофилез со сдвигом влево (лейкоцитоз лишь при отчетливом поражении суставов);

Ø  биохимический анализ крови. Отмечаются признаки воспаления в виде увеличения содержания в крови фибриногена, грубодисперсных фракций белков крови (повышение уровня a2-глобулинов);

Ø  Исследование крови на ревмопробы. Возрастает содержание антител к антигенам стрептококка: анти-О-стрептолизина и антигиалуронидазы. В крови появляется С-реактивный белок.

Инструментальные исследования:

Ø  рентгенологическое исследование. При рентгенологическом исследовании в сердце и легких не выявляется никаких характерных изменений, однако при тяжелом течении ревмокардита и наличии признаков сердечной недостаточности размеры сердца могут быть увеличены;

Ø  ЭКГ (электрокардиограмма). На ЭКГ у части больных выявляются признаки нарушения проводимости (удлинение интервала P-Q), появляются аритмии, а также снижение амплитуды зубца Т (так называемые неспецифические изменения зубца Т);

Подготовка к ЭКГ.

ЭКГ проводится после 15-20 минутного отдыха, не ранее, чем через 1 час после еды. Перед исследованием не рекомендуется плотный прием пищи. Исключается употребление кофе, крепкого чая и других тонизирующих напитков в течение 4-6 часов перед исследованием.

На исследование иметь простынь (пеленку).

Ø  ФКГ (фонокардиография) - это метод определения шумов в сердце. При проведении ФКГ прослушиваются шумы в сердце, присущие порокам сердца;

Подготовка к ФКГ.

ФКГ проводится после 15-20 минутного отдыха, не ранее, чем через 1 час после еды. Желательно проводить исследование утром. Рекомендуется легкий завтрак без использования тонизирующих продуктов (крепкого чая, кофе и т.п.). ФКГ записывают в положении больного лежа на спине, микрофон помещают на грудную клетку в точке наилучшего выслушивания клапанов сердца.

Ø  УЗИ сердца - определяется снижение сократительной способности сердца, изменения структуры сердца при формировании пороков.

1.5 Принципы лечения


Применяется трехэтапная система лечения:

Первый этап - длительное (4-6 недель) стационарное лечение в активной фазе; второй этап - послебольничное, санаторное или курортно-санаторное лечение; третий этап - диспансерное наблюдение, активное бициллино-медикаментозное лечение. В комплекс лечения должны входить: лечебно-охранительный и двигательный режим, рациональное питание, медикаментозные и физиотерапевтические средства, ЛФК (лечебная физкультура).

Больные с активным ревматическим процессом (на фоне порока сердца или без порока сердца) подлежат госпитализации.

Медикаментозное лечение.

Медикаментозное лечение направлено на ликвидацию воспалительного процесса в сердце (а также в суставах и других органах) и на борьбу с очаговой инфекцией.

При ревматизме этиотропная терапия направлена на бета-гемолитический стрептококк. Для борьбы с инфекцией назначают двухнедельный курс антибиотиков (чаще всего из группы пенициллина): например, внутримышечно пенициллин 2000000-4000000 ЕД/сут, ампициллина 2,0 г, оксациллина 2,0-3,0 г.

Второе направление в лечении ревматизма занимает терапия, направленная на патогенез заболевания, так называемая патогенетическая терапия. Это прежде всего воздействие на различные фазы воспалительного процесса. При воспалении соединительной ткани в течение длительного времени назначают неспецифические противовоспалительные средства (НПВС), которые оказывают противовоспалительное, жаропонижающее и анальгезирующее действие: ацетилсалициловая кислота (100 мг/кг/сут в 5-6 приемов), индометацин (60 мг в/м, 1-2 раза в сутки), вольтарен (75 мг в/м 1 раз в день), ортофен (25-50 мг внутрь 2-3 раза в сутки). Следует помнить, что при приеме НПВС могут наблюдаться диспепсические расстройства в виде снижения аппетита, тошноты. Медицинская сестра должна предупредить об этом больного. Эти симптомы в значительной мере снижаются, если лекарственные средства принимать после еды. В редких случаях в желудке могут появиться изъязвления, что проявляется болями в подложечной области; возможны кровотечения из образовавшихся язв. Следствием кровотечений являются рвота кофейной гущей, черный жидкий стул, резкая слабость и падение содержания в крови эритроцитов и гемоглобина. Медицинская сестра первой может заметить эти симптомы. Она должна сообщить о них врачу, чтобы своевременно провести необходимые лечебные мероприятия.

При выраженной активности ревматизма назначают кортикостероидные гормоны: преднизолон до 30мг в сутки, затем, по мере уменьшения проявлений болезни, доза уменьшается. Также используют дексаметазон (2-4,5 мг в сутки), триамцинолон (4-40 мг в сутки, внутрь).

При прогрессировании сердечной недостаточности назначают сердечные гликозиды: дигоксин (1 таблетка по 0,25 мг 1-4 раза в сутки, внутрь), строфантин (0,025% раствора обычно 0,25 мг (1 мл), в/в), коргликон (0,5-1 мл 1-2 раза в сутки, в/в). Раствор строфантина и коргликона разводят предварительно в 10-20 мл 5%, 20% или 40% раствора глюкозы или изотонического раствора натрия хлорида.

Мочегонные средства: фуросемид (20-60 мг 1-2 раза в сутки, в/м) верошпирон (внутрь по 0,05-0,3 г в сутки).

При ревматизме с низкой степенью активности процесса большой эффект дает многомесячный прием аминохинолиновых препаратов делагила (0.5 г/ сутки за 2 приёма на протяжении 6-8 дней, внутрь после еды). Эти средства, как правило, переносятся хорошо. Однако у отдельных больных могут развиваться изменения глазного дна, что проявляется нарушением зрения. Кроме того, возможно развитие лейкопении, в связи с чем необходимо регулярно исследовать содержание лейкоцитов в крови.

Кроме того, в острой фазе ревматизма нам нужно восполнить потерю витаминов, вызванную повышенной при этом заболевании проницаемостью сосудов. Необходимые витамины: С - аскорбиновая кислота (0,05-0,1 г 3-5 раз в день, внутрь), В1 - тиамина хлорид (по 0,05 г (1 мл 5 % раствора), 1 раз в день, в/м), В2 - рибофлавина мононуклеотид (1 мл 1% раствора (0,01 г) раз в день, в/м), В6 - пиридоксина гидрохлорид (0,05-0,1 г в сутки, в/м), В12 цианокобаламин (1мг 1раз в сутки, в, м). Р, - аскорутин (1 таблетка 2-3 раза в сутки, внутрь). Витамины повышают защитные свойства организма. Витамин С оказывает нормализующее действие на обмен веществ, противовоспалительное, стимулирующее выработку глюкокортикоидных гормонов. Витамины группы В повышают работоспособность сердечной мышцы, улучшают коронарное кровообращение, способствуют урежению сердечного ритма.

Диетотерапия.

Назначается диета №10 с ограничением жидкости до 1,5 л. Диета включает все основные компоненты (белки, жиры, углеводы, а также витамины), ограничивается прием поваренной соли (до 5-6г в сутки), прием жидкости, особенно при наличии признаков сердечной недостаточности, а также углеводов.

Белковая пища (не менее 1 г на 1 кг массы) обладает десенсибилизирующими свойствами, повышает иммунобиологическую защиту организма, улучшает сократительную способность миокарда и функцию печени.

Важное значение придается овощам и фруктам, которые содержат большое количество витаминов, а также калия и кальция.

Важно соблюдать питьевой режим: жидкости не более 1,5 л в сутки, а при выраженной сердечной недостаточности прием жидкости следует ограничить до 1 л.

После выписки из стационара все больные должны находиться на диспансерном учете у кардиолога и ревматолога, в поликлинике по месту жительства и продолжать амбулаторное лечение. С этой целью назначают бициллин - 3 в течение 2 месяцев, а затем бициллин - 5 ежегодно на протяжении 5 лет.

При переходе ревматизма в неактивную стадию, больных рекомендуется направлять в лечебные санатории. В фазе ремиссии (стойкое отсутствие симптомов) используют грязелечение и лечебные ванны (углекислые, радоновые, кислородные и сероводородные).

Прогноз

Своевременное лечение ревматизма практически исключает непосредственную угрозу для жизни. Тяжесть прогноза при ревматизме определяется поражением сердца (наличием и тяжестью порока, степенью миокардиосклероза). Наиболее неблагоприятно с прогностической точки зрения непрерывно прогрессирующее течение ревмокардитов.

Опасность формирования пороков сердца повышается при раннем возникновении ревматизма у детей, поздно начатом лечении. При первичной ревматической атаке у лиц старше 25 лет течение более благоприятно, клапанные изменения обычно не развиваются.

Профилактика

Основой профилактики является укрепление сопротивляемости организма в отношении инфекции, а также борьба с ней.

Различают:

·        первичную профилактику - систему мероприятий по предупреждению заболеваний ревматизмом здоровых людей;

·        вторичную профилактику - систему мероприятий у лиц, ранее перенесших атаки ревматизма.

Первичная профилактика заключается в возможной ликвидации факторов, способствующих развитию заболевания: улучшение социальных условий (питание, жилищно-бытовые условия, нормализация режима труда и отдыха) и условий труда. К числу мер первичной профилактики относятся закаливание, санация очагов хронической инфекции (хронический тонзиллит, гайморит и пр.) и правильное лечение заболеваний, вызванных стрептококком (ангина, обострение хронического тонзиллита).

Вторичная профилактика заключается в проведении сезонной или круглогодичной бициллинопрофилактики. Для этого больных, перенесших ревматизм, ставят на диспансерный учет в кардиоревматологических кабинетах районной поликлиники.

Вторичная профилактика также направлена на предупреждение осложнений, после перенесенного ревматизма.

·        для профилактики рецидивов (повторов) ревматизма необходимо своевременно посещать врача и принимать бициллин (антибиотик из группы пенициллинов), который вводят внутримышечно раз в неделю (бициллин-3) или раз в месяц (бицилллин-5); это делается с целью борьбы с очаговой инфекцией. Бициллин - 5 ежемесячно, в течение 3 лет после перенесенного ревматизма, затем бициллин - 5 назначают только в осеннее - весенний период в сочетании с аспирином;

·        после протезирования митрального клапана назначают прием нитроглицерина и бета - блокаторов (лекарственных средств регулирующих артериальное давление, нормализующих частоту сердечных сокращений, обладающих противоишемическим и противоаритмическим эффектом). Назначают препараты для снижения артериального давления (нитраты, мочегонные, ингибиторы АПФ и антагонисты кальция);

·        рекомендовано санаторно-курортное лечение в Сочи и Цхалтубо (с применением сероводородных и радоновых ванн).

1.6 Ревматологическая служба


Оказание специализированной медицинской помощи больным ревматизмом возложено на ревматологическую службу.

В задачи службы входит оказание лечебно-диагностической и консультативной помощи. Представлена данная служба республиканскими, краевыми, областными центрами, кабинетами поликлиник, специализированными отделениями в больницах.

Ревматологический центр принимает активное участие в проведении мероприятий по повышению квалификации медицинских работников в области ревматологии, осуществляет медицинскую реабилитацию больных с ревматическими заболеваниями.

Важное место в системе службы занимают ревматологические кабинеты поликлиник. Основными задачами специалистов, работающих в них, являются выявление, профилактика и оказание помощи заболевшим ревматизмом. Персонал кабинета осуществляет профилактические мероприятия, диспансерное наблюдение и лечение больных, оказывает консультативную помощь.

Ревматологические отделения входят в структурные подразделения многопрофильных больниц, где оказывается высококвалифицированная диагностическая и лечебная помощь.

2. Сестринский процесс при ревматизме


Непосредственно сестринскому уходу за больным предшествуют расспрос, объективное исследование, позволяющее медицинской сестре оценить физическое и психическое состояние пациента, выявить его проблемы, заподозрить заболевание ревматизма, наметить план ухода.

Анализ полученных данных помогает выявить проблемы пациента - сестринский диагноз. Наиболее значимыми являются:

·              боли в сердце;

·              боль в суставах;

·              одышка;

·              сыпь или узелки под кожей;

·              деформация суставов;

·              повышенное или пониженное АД;

·              субфебрильная температура.

Палата, где находится больной, должна быть достаточно теплой, проветривание, влажная уборка обязательны. Физиологические отправления разрешаются вне постели, однако при наличии высокой активности патологического процесса (повышенная температура тела, боли в суставах, одышка) следует соблюдать постельный режим, чтобы снизить нагрузку на сердечно-сосудистую систему. Строгий постельный режим соблюдается больным в активной фазе не менее 2 недель. Двигательный режим расширяется по мере стихания активности ревматического процесса или уменьшения недостаточности кровообращения.

Медицинская сестра информирует пациента и членов его семьи о сути заболевания, принципах лечения и профилактики, разъясняет ход определённых инструментальных и лабораторных исследованиях и подготовку к ним.

Сестринский уход за больным ревматизмом включает в себя:

Ø  Проведение беседы о:

·        значении соблюдения режима труда, быта, отдыха, питания;

·        правилах двигательного режима в активную фазу ревматизма;

·        правилах приема лекарственных препаратов;

·        значении систематической бициллино-медикаментозной профилактики;

·        значении периодического обследования в кардиоревматологическом кабинете.

Ø  Осуществление контроля за переносимостью противоревматической терапии и своевременное выявление симптомов, говорящих об осложнениях медикаментозной терапии (диспептические расстройства, желудочно-кишечное кровотечение).

Ø  Осуществление контроля за регулярностью приема медикаментов.

Ø  Осуществление контроля за соблюдением диеты № 10. Контроль за передачами родственников

Ø  Контроль АД, ЧДД, пульса, температуры тела, массой тела, суточным диурезом.

Ø  Осуществление ухода за полостью рта, кожей, слизистыми, своевременная смена нательного и постельного белья.

Ø  Обучение пациентов и их родственников уходу (самоуходу) при ревматизме.

Ø  Четкое выполнение назначений врача.

Алгоритм постановки согревающего компресса.

Оснащение: марлевая салфетка, сложенная в 6-8 слоев, 45% раствор спирта, клеенка или компрессная бумага, вата, бинт, ножницы.

Действие

Обоснование

Подготовка к процедуре

1. Установить доброжелательные конфиденциальные отношения.

Мотивация пациента к сотрудничеству

2. Объяснить смысл и правила поведения во время процедуры

Компресс чаще применяется на ночь.

3. Осмотреть кожные покровы пациента на месте постановки компресса.

Убедиться, что нет противопоказаний к постановке согревающего компресса: гнойных заболеваний кожи, гипертермии

Выполнение процедуры

1. Наложить на кожу марлевую, хорошо отжатую салфетку, сложенную в 6-8 слоев, смоченную одним из растворов.

Марлевая салфетка должна быть на 2 см больше очага поражения.

2. Покрыть ткань куском компрессной бумаги (клеенки), которая на 1,5 - 2 см шире влажной салфетки.

Каждый последующий спой компресса увеличивается на 2 см.

3. Положить слой ваты

Толщина слоя ваты 1,5-2 см.

4. Зафиксировать компресс бинтом.

Необходимо закрепить компресс бинтом так, чтобы он плотно прилегал к телу.

Окончание процедуры

1. Спросить пациента о его ощущениях через 5-30 минут.

Пациент ощущает тепло, компресс не стесняет движения пациента.

2. Зафиксировать время.

Держать компресс от 6 до 12 часов, а спиртовой - 4-6 часов

З. Проверить правильность наложения компресса, подсунув палец под приле¬гающий к коже слой.

При правильном наложении согревающего компресса салфетка должна оставаться влажной.

4. Снять компресс, просушить кожу.

Салфетка, сложенная в 6-8 слоев, должна оставаться влажной и после постановки компресса.

5. Наложить сухую теплую повязку на место постановки компресса.

Используется вата, бинт.


Алгоритм взятия биохимического анализа крови.

Оснащение: шприц для однократного применения, лоток стерильный с тампонами и пинцетом, жгут резиновый, салфетка (подложить под жгут), 70% этиловый спирт, спецодежда (стерильный халат, маска, перчатки), чистые пробирки в штативе.

Действие

Обоснование

Подготовка к процедуре

1. Объяснить пациенту цель и ход исследования и получить его согласие. При необходимости дать инструктаж и составить памятку по подготовке пациента к процедуре.

Соблюдение прав пациента. Забор крови из вены проводится утром, натощак, до приема лекарственных средств. Рекомендуется накануне исследования не принимать жирной пищи.

2. Подготовить оснащение, пронумеровать пробирку и направление.

Достижение эффективного проведения процедуры.

3. Помочь пациенту занять удобное положение для венепункции лежа или сидя.

Зависит от тяжести состояния пациента. Обеспечение доступа к месту инъекции

4. Вымыть и осушить руки, надеть спецодежду, перчатки.

Соблюдается безопасность сестры на рабочем месте

5. Подложить под локоть пациенту клеенчатый валик

Для максимального разгибания локтевого сустава

6. Наложить резиновый жгут в области средней трети плеча и завязать так, чтобы петля жгута была направлена вниз, а свободные концы вверх (под жгут подложить салфетку или расправить рукав рубашки).

Жгут не должен при завязывании ущемить кожу руки, а при венепункции его концы не должны попасть на обработанное спиртом поле.

7. Попросить пациента несколько раз сжать и разжать кулак. Пропальпировать вену, определяя ее направление, подвижность, наличие уплотнений.

Лучше пунктировать наполненную и фиксированную вену.

8. Обработать вену в области локтевого сгиба ватными шариками или салфетками, смоченными 70% спиртом не менее двух раз, меняя их и соблюдая правила асептики.

Обеспечение инфекционной безопасности.

Выполнение процедуры

1. Выполнить венепункцию

Возникает ощущение "попадания в пустоту".

2. Убедиться, что игла в вене: потянуть поршень на себя.

В шприце должна появиться кровь. Профилактика осложнений

3. Продолжать тянуть поршень на себя, набирая нужное количество крови и не снимая жгута.

Количество крови зависит от вида и количества анализов.

4. Развязать жгут, прежде чем извлечь иглу из вены.

Для предотвращения образования гематомы в месте пункции.

5. Прижать место пункции стерильным ватным шариком (салфеткой), смоченным 70% спиртом, извлечь иглу. Фиксировать шарик в течение 1 - 2 минут, затем сбросить в дезинфицирующий раствор.

Профилактика осложнений.

6. Попросить пациента согнуть руку в локтевом суставе, удерживая ватный шарик на месте пункции

Ватный шарик на месте пункции сдавливает вену и способствует остановке кровотечения после инъекции.

7. Снять иглу со шприца, сбросить в дезраствор.

Это можно не делать, но необходимо знать, что эритроциты крови могут быть повреждены при выпуске крови из шприца через иглу и это вызовет их гемолиз.

8. Выпустить медленно кровь по стенке пробирки, находящейся в штативе

Следить, чтобы кровь не пенилась при быстром наполнении пробирки. Это приведет к гемолизу крови в пробирке.

9. Положить шприц в лоток для дезинфекции.

Обеспечение инфекционной безопасности.

Окончание процедуры

Помочь пациенту встать или лечь удобно.

Зависит от тяжести состояния пациента

2. Установить штатив в контейнер, затем в бикс, уплотнив ватой или поролоном.

Для доставки в лабораторию.

3. Доставить бикс с кровью и направлением в лабораторию.

Обеспечение своевременной доставки в лабораторию.



3. Практическая часть


3.1 Наблюдение из практики 1


Пациент 17 лет поступил на стационарное лечение в кардиологическое отделение с диагнозом: ревматизм, активная фаза, ревмокардит HI степени, артрит правого коленного сустава. Осуществляя I этап сестринского процесса - сестринское обследование, была заполнена медицинская документация - лист первичной оценки. (Приложение 1)

При обследовании установлены жалобы на: повышение температуры тела до 38, 20С, боль в области сердца, боль в области правого коленного суставе, слабость, снижение аппетита. Две недели назад перенес ангину. Пациент плохо спит, тревожен, выражает беспокойство за исход болезни.

Объективно: состояние средней тяжести, кожные покровы чистые. Температура тела 37,10С, в легких дыхание везикулярное. ЧДД 18 в минуту. Тоны сердца глухие, ритмичные. Прослушивается систолический шум у верхушки. Пульс 102 ударов в минуту. АД 110/70 мм рт. ст. Правый коленный сустав отечен, горячий на ощупь, болезненный; движения в суставе ограничены из-за боли.

На основе полученных результатов переходим к осуществлению II этапа сестринского процесса - выявление нарушенных потребностей определение проблем - настоящие, потенциальные, приоритетные.

Нарушенные потребности: быть здоровым, есть, пить, поддерживать нормальную температуру тела, двигаться.

После определения проблем приступаем к осуществлению III этапа сестринского процесса - планирование сестринских вмешательств.

На IV этапе сестринского процесса происходит реализация сестринского ухода. (Приложение 2)

На V этапе происходит оценка результатов сестринских вмешательств: пациент отмечает уменьшение болей в области сердца.

3.2 Наблюдение из практики 2


Пациентка, 35 лет, находящаяся на лечении в стационаре с диагнозом: ревматизм, активная фаза; сочетанный митральный порок сердца с преобладанием стеноза HIIA степени, пожаловалась медсестре на то, что у нее появилась одышка, чувство "нехватки воздуха”, кашель с выделением розовой пенистой мокроты.

При осмотре: состояние тяжелое. Кожные покровы бледные, цианотичные. Дыхание шумное, клокочущее, изо рта выделяется розовая пенистая мокрота, ЧДД 35 в мин. Тоны сердца глухие, пульс 120 в мин., АД 145/95 мм рт. ст.

На фоне митрального порока сердца у больной развилась острая левожелудочковая недостаточность (отёк легкого), о чём свидетельствуют одышка, шумное клокочущее дыхание, кашель с розовой пенистой мокротой.

Алгоритм действий м/с:

1.       Вызвать врача для оказания квалифицированной медицинской помощи;

2.       Обеспечить положение сидя с опущенными ногами для уменьшения притока венозной крови к сердцу, создать абсолютный покой, освободить от стесняющей одежды для улучшения условий дыхания;

.        Очистить ротовую полость от пены и слизи, с целью удаления механических препятствий прохождению воздуха;

.        Обеспечить ингаляцию увлажненного кислорода через пары этилового спирта с целью улучшения условий оксигенации и профилактики пенообразования,

.        Поставить грелки и горчичники к ногам на область голени с отвлекающей целью;

.        Обеспечить контроль за состоянием пациента (АД, пульс, ЧДД);

.        Наложение венозных жгутов на конечности с целью депонирования крови; (по назначению врача)

.        Приготовить к приходу врача: гипотензивные препараты, мочегонные средства, сердечные гликозиды;

9.       Выполнить назначения врача.

3.3 Выводы


Несмотря на то, что медицинская сестра самостоятельно не производит лечение больного, а лишь выполняет назначения врача, она все время присутствует рядом с пациентом и первая замечает изменения, происходящие в состоянии пациента.

Медицинская сестра, в обязанности которой входит уход за больными, должна не только знать все правила ухода и умело выполнять лечебные процедуры, но и ясно представлять какое действие лекарства или процедуры оказывают на организм больного. Лечение ревматизма главным образом зависит от тщательного правильного ухода, соблюдения режима и диеты. В связи с этим возрастает роль медицинской сестры в эффективности проводимого лечения. Очень важной является и профилактика заболевания: медицинская сестра обучает членов семьи организации режима, питания и рассказывает о профилактическом лечении пациента.

4. Заключение


Изучив необходимую литературу и проанализировав два случая, можно сделать выводы: знание этиологии и способствующих факторов возникновения ревматизма, клинической картины и осложнений, особенностей диагностики данного заболевания и подготовки к ним, принципов лечения и профилактики, манипуляций поможет медицинской сестре осуществить все этапы сестринского процесса.

В ходе работе показано, что использование всех этапов сестринского процесса, а именно:

-       1 этап: оценка состояния (обследование) пациента;

-       2 этап: интерпретация полученных данных (определение проблем пациента);

-       3 этап: планирование предстоящей работы;

-       4 этап: реализация составленного плана (сестринских вмешательств);

-       5 этап: оценка результатов перечисленных этапов, позволяет повысить качество сестринской помощи.

5. Литература


1.       Федеральный закон №323-ФЗ от 01.01.2012 года "Об основах охраны здоровья граждан в Российской Федерации".

2.       Приказ №88 от 30.03.2007 "О добровольном информированном согласии на медицинское вмешательство".

.        Давлицарова К.Е., Миронова С.Н. "Манипуляционная техника". Издательство // Форум-Инфра-м, 2005.

.        Лычев В.Г., Карманов В.К. "Руководство по проведению практических занятий по предмету сестринское дело в терапии с куросм первичной медицинской помощи". Издательство // Форум, 2008.

5.       Лычев В.Г., Карманов В.К. "Основы сестринского дела в терапии". Издательство // Феникс, 2008.

6.       Маколкин В.И., Овчаренко С.И. "Сестринское дело в терапии". Издательство // Медицинское информационное агенство, 2008.

7.       Маколкин В. И, Овчаренко С. И." Внутренние болезни". Издательство // ГЭОТАР-Медиа, 2011.

8.       Мухина С.А., Тарновская И.И. "Практическое руководство к предмету Основы сестринского дела". Издательство // Родник, 2009.

9.       Мухина С.А., Тарновская И.И. "Теоретические основы сестринского дела". Издательство // ГЭОТАР-Медиа, 2010.

10.     Смолева Э.В. "Сестринское дело в терапии с курсом первичной медицинской помощи". Издательство // Феникс, 2010.

Приложения


Приложение 1

 

Таблица 1. Лист первичной сестринской оценки к карте стационарного больного.

ФИО пациента Степанов А.В. ____________ Адрес проживания______________________ Телефон_______________________________ Лечащий врач__________________________ Диагноз: ревматизм, активная фаза, ревмокардит HI степени, артрит правого коленного сустава. Дата поступления ________ время________  первичное  повторное

Поступил

по скорой помощи самостоятельно

направление поликлиники  перевод

Способ транспортировки в отделение

на каталке  на кресле  пешком

Сознание

ясное  контактен  ориентирован

дезориентирован  спутанное

сопор  ступор  кома

Потребность в дыхании

Дыхание

свободное  затруднено

Частота дыхательных движений 18 в мин

Частота пульса 102 в минуту

ритмичный  аритмичный

АД 110/70 мм рт. ст.

Является курильщиком

да  нет

Количество выкуриваемых сигарет _____

Кашель

да  сухой  с мокротой  нет

Потребность в адекватном питании и питье

Масса тела 57 кг рост 160 см

Принимает пищу и питье

самостоятельно нуждается в помощи

Аппетит

нормальный  пониженный

повышенный  отсутствует

Болеет ли сахарным диабетом

Если "да", то как регулирует заболевание

инсулин  сахароснижающие таблетки

диета

Диета

соблюдает

аллергия ___________________________

Диспепсические расстройства

тошнота  рвота

тяжесть, дискомфорт в области живота

Зубы  сохранены  отсутствуют

частично сохранены

Имеются ли съемные зубные протезы

да  сверху  снизу  нет

Принимает жидкость

ограниченно  достаточно  много

Способность одеться, раздеться, выбрать одежду, личная гигиена

независим  зависим полностью  частично

Одевается, раздевается

самостоятельно с посторонней помощью

Имеет ли выбор одежды  да  нет

Заботится ли о своей внешности

опрятен  неряшлив

не проявляет интереса

Может ли самостоятельно

самостоятельно частично не может

мыть руки  

умываться  

чистить зубы  

ухаживать за

протезами  

бриться  

провести гигиену

промежности  

причесываться  

принять ванну, душ  

мыть голову  

стричь ногти  

Состояние полости рта

санирована  несанирована

Состояние кожи

сухая  нормальная  жирная

отечность  расчесы

язвы  высыпания

Способность поддерживать нормальную температуру тела

Температура тела в момент обследования 37,1°С

понижена  нормальная  повышена

Имеется

потливость  озноб  чувство жараФизиологические отправления

Мочеиспускание

обычное по частоте  учащенное

редкое  болезненное

ночное (сколько раз) _______________

недержание  наличие катетера

Функционирование кишечника

Частота _____________________________

Характер стула

обычно консистенции

жидкий  твердый

недержание

стома

Потребность в движении

независим

зависим

полностью

частично

Ходьба пешком

самостоятельно

с посторонней помощью

использование дополнительных приспособлений_____________________

Может ли самостоятельно

самостоятельно частично не может

ходить по лестнице  

сидеть на стуле  

дойти до туалета  

перемещаться в  

постели

контрактуры

парез ____________________________

паралич __________________________

Риск падения  да  нет

Риск развития пролежней  да  нет

Количество баллов по шкале Ватерлоу _____

нет риска - 1 - 9 баллов

есть риск - 10 баллов

высокая степень риска - 15 баллов

очень высокая степень риска-20 баллов

Потребность во сне

использует снотворные

храпит

спит хорошо

Привычки сна _______________________

Факторы, нарушающие сон ___________

Потребность трудится и отдыхать

работает__________________________

не работает

пенсионер

учащийся

инвалидность

увлечения _____________________________________

Есть ли возможность реализовать свои увлечения

да  нет

Возможность общения

Разговорный язык русский

Трудности в общении

Слух

нормальный

тугоухость  справа  слева

глухой

слуховой аппарат

Зрение

нормальное

контактные линзы  справа  слева

очки

слепота справа  слева  полная

глазной протез  справа  слева

Способность поддерживать безопасную окружающую среду

Поддержание безопасности

самостоятельно

с посторонней помощью

не может

Двигательные и сенсорные отклонения

да  нет

головокружение

шаткость походки

снижение чувствительности

Пациент______________

(подпись)

Медсестра____________

(подпись)




Таблица 2. План ухода

Проблемы пациента

Цели сестринские вмешательств

Сестринские вмешательства

Настоящие проблемы: лихорадка, боль в области сердца, боль в правом коленном суставе, снижение аппетита, слабость, плохой сон. Потенциальные проблемы: формирование порока сердца, сердечная недостаточность. Приоритетная проблема: боль в области сердца.

Краткосрочная цель: пациент отметит уменьшение боли в области сердца к концу 3-го дня лечения. Долгосрочная цель: пациент отметит отсутствие боли в области сердца к моменту выписки.

Обеспечить лечебно-охранительный режим, диету №10. (Для создания психоэмоционального комфорта). Обеспечить регулярное проветривание палаты. (Для доступа свежего воздуха). Укрыть теплым одеялом, обеспечить покой. (Для снятия болей, создания комфортного состояния). Осуществление контроля за гемодинамикой пациента (ЧДД, АД, пульс). (Для ранней диагностики возможных осложнений). Контроль суточного диуреза. (Для контроля водно-электролитного баланса). Наблюдение за внешним видом и состоянием пациента. (Для ранней диагностики и своевременного оказания неотложной помощи в случае возникновения осложнений). Провести беседу с родственниками по обеспечению пациента питанием в соответствии с диетой №10. Провести беседы: о значении соблюдения режима двигательной активности, труда, отдыха, питания; о необходимости систематического приема лекарств; о значении профилактического обследования и лечения. (Для эффективного лечения и профилактики ревматизма). Осуществление контроля за переносимостью лекарственных средств. (Для своевременного выявления побочных эффектов лекарственной терапии). Своевременное выполнение назначений врача. (Для эффективного лечения). Обеспечение подготовки к дополнительным исследованиям. (Для правильного выполнения исследований). Обеспечение личной гигиены пациента. (Для создания комфорта пациенту и профилактика вторичной инфекции).

Таблица 3. Особенности диетического питания при ревматизме

Стол №10.

Диета №

Рекомендуемые продукты

Не рекомендуемые продукты

10

Хлеб и мучные изделия. Хлеб пшеничный из муки 1-го и 2-го сорта вчерашней выпечки или слегка подсушенный

Свежий хлеб; изделия из сдобного и слоеного теста, блины, оладьи


Супы.250-400 мл на прием, вегетарианские с разными крупами, картофелем, овощами (лучше с измельченными), молочные, фруктовые. Холодный свекольник.

Супы из бобовых, мясные, рыбные, грибные бульоны


Мясо и птица. Разрешаются нежирные сорта говядины, телятины, мясной и обрезной свинины, кролика, курицы, индейки. После зачистки от сухожилий и фасций мясо отваривают, а потом запекают или обжаривают. Готовят блюда из рубленого или кускового отварного мяса, заливное из отварного мяса.

Жирные сорта мяса, гуся, утку, печень, почки, мозги, копчености, колбасные изделия, мясные консервы.


Рыба. Можно употреблять нежирные сорта рыб в отварном виде или с последующим обжариванием, куском и рубленые. Блюда из отварных продуктов моря.

Жирные виды рыб, соленую, копченую, икру, консервы.


Молочные продукты. Молоко употреблять по переносимости, можно кисломолочные напитки, творог и блюда из него с крупами, морковью, фруктами. Ограниченно применяются сметана и сливки (только в блюда), сыр.

Соленые и жирные сыры


Крупы. Блюда из различных круп, приготовленные на воде или молоке (каши, запеченные пудинги и др.). Отварные макаронные изделия.

 Бобовые.


Овощи. В отварном, запеченном, реже в сыром виде. Можно картофель, цветную капусту, морковь, свеклу, кабачки, тыкву, томаты, салат, огурцы. Белокочанную капусту и зеленый горошек следует ограничивать. Зеленый лук, укроп, петрушку можно только в блюда.

Соленые, маринованные, квашеные овощи, шпинат, щавель, редьку, редис, чеснок, репчатый лук, грибы.


Мягкие спелые фрукты и ягоды в свежем виде. Сухофрукты, компоты, кисели, муссы, самбуки, желе, молочные кисели и кремы, мед, варенье, нешоколадные конфеты.

Плоды с грубой клетчаткой, шоколад, пирожные


Напитки. Некрепкий чай, кофейные напитки с молоком, фруктовые и овощные соки, отвар шиповника, ограниченно можно виноградный сок.

Натуральный кофе, какао.



Приложение 2

 

Рис.1. Число зарегистрированных больных с ревматизмом на территории РФ

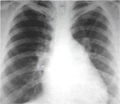
Рис.2. Рентгенограмма сердца в переднезадней проекции больного с митральным стенозом. Митральная конфигурация сердца

Рис.3. Фонокардиограмма (с верхушки сердца) больного с недостаточностью митрального клапана: амплитуда I тона снижена, убывающий систолический шум, отчетливый III тон (указан стрелкой).

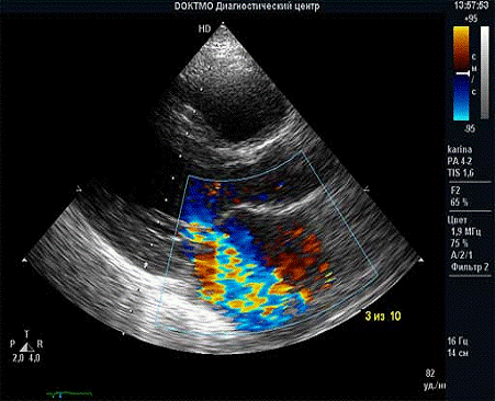
Рис.4. Фрагмент эхокардиографического исследования пациента с выраженной недостаточностью митрального клапана на фоне ревматизма.

В режиме цветного допплеровского картирования определяется значительный по объему возврат крови в левое предсердие в результате неполного смыкания пораженных митральных створок.

Похожие работы на - Сестринский процесс при ревматизме

 

Не нашли материал для своей работы?
Поможем написать уникальную работу
Без плагиата!
Без нейросетей!