Исследование структуры, фазового состава и механических свойств керамики на основе ZrO2
Исследование
структуры, фазового состава
и
механических свойств ZrO2
Содержание
керамика фазовый состав свойство механическое
Введение
Глава
1.Литературный обзор
1.1
Керамика на основе ZrO2 . Структура и механические свойства
.2
Керамика на основе ультрадисперсных порошков
.3
Технология получения керамических материалов
.4
Метод акустической эмиссии
Глава
2. Постановка задачи. Материалы и методика исследования
2.1
Постановка задачи
2.2
Материал и методика эксперимента
Глава
3. Структура, фазовый состав и механические свойства керамики ZrO2
.1
Фазовый состав керамики ZrO2-Y2O3-Al2O3
3.2
Структура керамики ZrO2-Y2O3-Al2O3
.3
Механические свойства материалов
.4
Исследование деформационного поведения керамики ZrO2 методом
акустической эмиссии
Заключение
Список
литературы
Введение
В течение последних 25-30 лет керамика на основе
диоксида циркония находит все более широкое применение в качестве
конструкционного материала. Причина этому - распространенность циркония в
природе (он входит в число 12 наиболее распространенных элементов земной коры)
и возможность получать материалы, обладающие высокой огнеупорностью и
коррозионной стойкостью, повышенной прочностью и вязкостью разрушения, низким
коэффициентом термического расширения. Керамические материалы на основе
диоксида циркония, широко применяют при решении различных технологических и
технических задач. Сочетание достаточно высоких значений прочности и вязкости
разрушения керамики на основе диоксида циркония с добавками окиси алюминия
обусловлены совместным действием двух механизмов упрочнения -
трансформационного (фазовый переход тетрагональной фазы диоксида циркония в
моноклинную) и отклонения или ветвления трещин на включениях второй фазы (оксид
алюминия) [1,2]. Традиционными способами изготовления керамики являются
различные методы порошковой металлургии, включающие в себя три основных стадии:
подготовка порошка, его формование и последующее спекание. Перспективным
способом получения керамических порошков является метод плазмохимического
синтеза. В литературе [3] указывается на то, что ультрадисперсные порошки,
получаемые на СХК (Сибирском химическом комбинате) методом разложения водных
растворов солей металлов в плазме высокочастотного разряда (ПХС УДП), наряду с
такими достоинствами как высокая степень чистоты, равномерное распределение
компонентов в многокомпонентных системах, высокая активность к спеканию, имеют
сложное морфологическое строение частиц, что существенно снижает их
технологические свойства: порошки имеют практически нулевую текучесть, низкую
насыпную плотность, плохую прессуемость. Для его широкого использования
требуются дополнительные операции по подготовке порошка для последующего
формования. Поэтому очень важными являются вопросы регулирования и формирования
структуры и фазового состава в процессе изготовления керамических изделий с
заданными свойствами.
Характер разрушения керамики во многом
определяется не только структурой, но и наличием в материале дефектов. Реальные
керамические материалы всегда содержат дефекты, которые имеют важное значение
при процессах разрушения. Избежать возникновения в керамике в процессе ее
изготовления дефектов, таких как микротрещины, поры и других концентраторов
напряжений практически невозможно. В связи с этим в последнее время широкое
применение получил метод неразрушающего контроля - метод акустической эмиссии.
С помощью метода акустической эмиссии (АЭ) можно определить местоположение
дефектных участков, после чего для более точного определения природы дефектов
использовать другие методы неразрушающего контроля . Данный метод дает
возможность проведения неразрушающего контроля всего объекта целиком за один
цикл. Метод является дистанционным, он не требует сканирования поверхности
объекта для поиска локальных дефектов. Необходимо просто правильным образом
расположить нужное количество датчиков и использовать их для осуществления
локации источника волн напряжений. Возможности, связанные с дистанционным
использованием метода, дают большие преимущества по сравнению с другими
методами неразрушающего контроля, которые требуют, например, удаления
изоляционных оболочек, освобождения контейнеров контроля от внутреннего
содержания или сканирования больших поверхностей [4].
Глава 1. Литературный обзор
.1 Керамика на основе ZrO2 .
Структура и механические свойства
Повышенная хрупкость керамики ограничивает ее
применение в конструкционных изделиях, и на преодоление этого недостатка
направлены многочисленные разработки исследователей. В [1] рассмотрены вопросы
влияния температуры на структуру диоксида циркония. По мере изменения
температуры диоксид циркония претерпевает полиморфные превращения. От
температуры плавления (2700 °С) до 2350°С
существует фаза с кубической структурой. Ниже этой температуры, до 1170°С,
равновесной является тетрагональная фаза, а при более низкой температуре -
моноклинная. Превращение тетрагональной фазы в моноклинную имеет мартенситный
характер и сопровождается значительным объемным эффектом. Моноклинная фаза
менее плотная, чем тетрагональная, и объем материала при этом превращении увеличивается
на 3-5%, что приводит к его разрыхлению. Поэтому из чистого диоксида циркония
получить спеченные изделия невозможно.
Эти полиморфные превращения можно предотвратить.
Введением определенных добавок можно сохранить при комнатной и даже более низкой
температуре кубическую или тетрагональную фазу. В качестве таких добавок
применяют оксиды иттрия, магния, кальция или их комбинации. Подобное действие
оказывают некоторые другие оксиды редкоземельных металлов. Полностью
стабилизированный в кубической фазе диоксид циркония обладает низкой прочностью
и вязкостью и практически не пригоден для применения в конструкционных целях,
однако его используют в ряде областей техники, в основном как функциональный
материал (применяют для изготовления огнеупоров). Спеченные материалы из
частично стабилизированного диоксида циркония (PSZ), имеют, как правило,
двухфазную структуру: матрицу из кубической фазы (с повышенным содержанием
легирующих добавок), в которой находятся дисперсные выделения тетрагональной
фазы (с меньшим содержанием добавок). Характер структуры можно регулировать,
изменяя температуру спекания изделий и режим их охлаждения. Материал с
полностью тетрагональной структурой применяется в ограниченном количестве, так
как эта фаза при отсутствии сжимающих напряжений в матрице из кубической фазы
склонна к дестабилизации на свободных поверхностях, особенно в присутствии
водяных паров при повышенных температурах [2]. , как и другие керамические
материалы, отличает высокая износостойкость, коррозионная и эрозионная
стойкость, прочность (хотя последняя заметно понижается по мере роста
температуры), хорошая термостойкость. Достоинствами керамических материалов на
основе частично стабилизированного диоксида циркония помимо высокой прочности,
трещиностойкости, коррозионной и эрозионной стойкости, высокой износостойкости
являются значительная твердость, стойкость к износу, низкий коэффициент трения
в сочетании с металлами, возможность получения очень высокой чистоты
поверхности (Rz
до 0,01 мкм). Из этой керамики изготавливаются различные нитеводители и
фильеры, режущий и сверлильный инструменты для обработки металлов и древесины,
медицинский инструмент, подшипники, пары трения, детали автомобилей,
износостойкие изделия любого назначения, изделия с разнообразной пористостью и
высокой прочностью и др. Однако он обладает гораздо более высокой вязкостью
разрушения, ударной вязкостью, низкой теплопроводностью, а его коэффициент
термического расширения близок к таковому для железа и стали [1], что особенно
ценно при работе узлов керамика - металл и в покрытиях.
Недостатками керамики из частично
стабилизированного диоксида циркония считают возможное уменьшение ее прочности
в ходе длительных нагревов при температуре 250 - 350 0С, особенно в
условиях повышенной влажности из-за вымывания оксида иттрия, а также снижение
прочности при повышенных температурах (до 1000 0С) более чем на 60%.
Уникальные по своим свойствам керамические
материалы из частично стабилизированного диоксида циркония существенно повышают
качество изделий новой техники, в которых они используются. В качестве
стабилизатора, помимо оксида иттрия, широко применяются оксид магния и оксид
кальция.
На основе рассмотренных порошков частично
стабилизированного диоксида циркония может быть изготовлена прочная пористая
керамика, характеризующаяся размером пор от микрометров до миллиметров в
зависимости от метода получения, которую в настоящее время широко применяют для
фильтрации различных газов и жидкостей. При этом из частично стабилизированного
диоксида циркония получаются материалы с пористостью около 50%, размером пор
менее 1 мкм, прочностью до 200 МПа при спекании в воздушной среде при
температурах 1000 - 1200 0С.
Высокая прочность и вязкость разрушения керамики
на основе диоксида циркония с добавками окиси алюминия обусловлены совместным
действием двух механизмов упрочнения: создании ультрадисперсной структуры в
керамике с высоким содержанием тетрагональной фазы, способной претерпевать
превращение в моноклинную под действием механических напряжений на острие
трещины с увеличением объема последней, что приводит к ее закрытию и отклонения
или ветвления трещин на включениях второй фазы (оксид алюминия)
Алюмооксидные керамики, упрочненные диоксидом
циркония, получают совместным спеканием порошков Al2O3 и
ZrO2 . Эта операция приводит к образованию, по-существу,
изолированной тетрагональной фазы ZrO2 на стыках трех или четырех
зерен. Такие частицы, поэтому будут обладать высокой угловатостью. При добавке
к оксиду алюминия 16% PSZ критический коэффициент интенсивности напряжений материала
повышается почти вдвое. Легирование горячепрессованного оксида алюминия 16% (по
объему) ZrO2, стабилизированного в тетрагональной фазе, повышает
вязкость разрушения материала на 270, а предел прочности при изгибе - на 300%.
.2 Керамика на основе ультрадисперсных порошков
Ультрадисперсные порошки (УДП), из-за уникальных
свойств, которые невозможно получить традиционными способами, имеют широкий
спектр применения в различных областях науки, техники и технологии.
В работах Петрунина В.Ф., Рябева Л.Д указывается
на то, что компактные ультрадисперсные материалы могут быть основой, улучшающей
характеристики: суперпластичных изделий из керамики, высокотвёрдых
износостойких режущих и обрабатывающих материалов и др.
Порошковая металлургия является весьма эффективным
и экономичным методом производства из ультрадисперсного порошка массивных
компактов с размерами зерен (кристаллитов) в пределах нескольких десятков
нанометров, т.е. на уровне фрагментов субструктуры (блоков, субзерен).
Порошковая технология - наиболее универсальный метод, однако, в связи с
интенсивной рекристаллизацией, получение безпористых образцов (изделий) с
наноструктурой представляет известные трудности и может быть реализован в
большинстве случаев только при использовании высокоэнергетических методов
консолидации [5].
Термодинамическая метастабильность УДП позволяет
синтезировать уникальные соединения и фазы, активируя важнейшие этапы процесса
за счет химической, поверхностной активности УДП. Однако эти же факторы
обуславливают и их недостатки для порошковой технологии: агломерирование,
сорбирование примесей, пыление, плохую прессуемость и формуемость, вследствие
низкой насыпной плотности [6]. Особенности структуры УДП, полученных
различными методами синтеза, требуют модификации (регулирования) ее
первоначальной структуры в процессе изготовления керамических изделий с
заданными свойствами. Свойства материалов в значительной мере закладываются
технологией их получения.
Присутствие агломератов в синтезированном
порошке приводит к формированию крайне неоднородной упаковки частиц в
порошковых компактах, получаемых традиционными методами керамической
технологии. Это негативно сказывается на физико-механических характеристиках
спечённого материала, из чего следует, что изготовление высокопрочной керамики
из УДП требует тщательной технологической проработки, а в ряде случаев и
корректировки технологии подготовки порошков в условиях их получения [7].
Рассматривая строение порошков, необходимо, в первую очередь, обращать внимание
на степень агрегации частиц, размер, форму и строение агрегатов, пористость и
прочность этих агрегатов, размер частиц в агрегатах. Необходимость дезагрегации
порошков оксидов или их соединений обусловлена тем, что поры, присутствующие в
агрегатах, чаще всего после обжига остаются в керамике, что приводит к
образованию повышенной пористости в объеме кристаллов и на их границах. Для
достижения более высокой плотности обожженной керамики необходимо разрушить
агрегаты частиц порошка путем измельчения, которое дезагрегирует материал значительно
эффективнее, чем максимально применяемое на практике давление прессования.
Дезагрегированные порошки имеют большую активность к спеканию и позволяют
получать керамику с однородным кристаллическим строением [7].
В практике изготовления керамики из традиционных
материалов основными операциями технологической подготовки порошков перед
спеканием, независимо от метода изготовления изделия, являются отжиг порошков и
последующее измельчение. Предварительная обработка материала (термическая и
механическая) направлена на получение исходных частиц с низкой пористостью. В
работах [8,9,10,11] широко освящены вопросы предварительнаой обработки
материала (термической и механической), направленной на получение исходных
частиц с низкой пористостью для технологической подготовки УДП. Однако подобные
исследования проводились преимущественно для аэрозольных и соосажденных УДП. В
этой связи особое значение приобретают работы по изучению механизмов изменения
структуры плазмохимических УДП при термообработке и измельчении. Учитывая, что
плазмохимические УДП имеют сложную морфологию, высокую удельную поверхность,
актуальным является разработка технологии изготовления из таких порошков
изделий конструкционной керамики, ориентируемой на массовое производство с
использованием технологии шликерного литья с термопластичным связующим.
Изучение механизмов получения на базе УДП термопластичного шликера с требуемыми
реологическими свойствами позволят получать керамические изделия с высокими
эксплутационными свойствами и различной конфигурации. Поскольку на
микроструктуру материала можно влиять на всех стадиях технологической цепочки:
от получения порошков - до получения готового керамического изделия, то важным
являются исследования методов формирования структуры керамики, которая определяется
технологическими приемами ее получения, изучение превращений в материалах,
установление основных закономерностей влияния технологических факторов и
микроструктуры на формирование свойств материалов.
.3 Технология получения керамических материалов
Все важнейшие свойства керамики - механическая
прочность, теплопроводность, изоляционная способность, малые диэлектрические
потери, стойкость к высокотемпературным нагревам и износостойкость, высокая
чистота поверхности при шлифовке и полировке - определяются микроструктурой и
фазовым составом керамики. Для реализации технологии получения беспористых
изделий с мелкозернистой и равномерной структурой необходимы так называемые
«идеальные» порошки с оптимальными свойствами: размер агрегатов должен составлять
десятые доли микрометра; агрегаты должны иметь шарообразную форму и не должны
слипаться и увеличиваться в размере с течением времени; распределение
компонентов по объёму или поверхности частиц должно быть равномерным.
Применение таких порошков обусловливает при формовании равномерную укладку
частиц, что обеспечивает получение равномерной по плотности и размеру пор
заготовки и равномерную усадку по всему объему изделия при спекании.
Такие порошки могут быть получены как в процессе
синтеза, так и в процессе определенной технологической подготовки. Изготовления
изделий из таких порошков требует также тщательной технологической проработки
на последующих стадиях изготовления керамических изделий. Однако большинство
порошков не соответствует требованиям, предъявляемым к исходному сырью. Так в
частности, присутствие в мелкодисперсных порошках агломератов из индивидуальных
частиц приводит к образованию в отформованном компакте разноплотных областей с
неоднородным распределением пор по размерам. Для достижения необходимых свойств
спеченного изделия требуется применение дополнительных способов по улучшению
строения исходного порошка, либо специальных технологических приемов формования
и спекания.
Управление структурой керамических материалов
сводится к регулированию процессов их уплотнения, уменьшения пористости и роста
зерен с контролируемой дисперсией размеров.
Для консолидации УДП применяются как
традиционные методы порошковой технологии, так и принципиально новые методы
компактирования. При подготовке УДП к прессованию и формованию, как правило,
проводится их технологическая подготовка. Известны многочисленные операции
технологической подготовки направленные на повышение плотности заготовок перед
спеканием.
Шликерное литье с использованием термопластичной
связки - один из самых распространенных методов формования керамических
материалов, так как позволяет получать изделия сложной конфигурации [11].
Шликерное литье реализуется по следующей
технологической схеме, рис.1. [12].
Рис. 1.Общая схема приготовления литейных
шликеров
Технологическая связка является веществом (или
составом) временно объединяющим частицы порошка в систему и, в основном,
предопределяющим свойства этой системы. Связка должна при минимальном
содержании обеспечивать литейные свойства шликера с максимальным коэффициентом
упаковки.
В качестве связки применяются легкоплавкие
вещества с малой вязкостью в расплавленном состоянии, которые хорошо смачивают
поверхность твердой фазы и не образуют на ней толстых структурированных
оболочек с аномально высокой вязкостью. Кроме этого, она должна придавать
прочность отливкам, обладать малой объемной усадкой, быть нетоксичной. Всем
этим требованиям лучше всего удовлетворяет парафин. Для улучшения смешивания
частиц твердой фазы, уменьшения количества связки и вязкости литьевого шликера,
применяют поверхностно-активные вещества (ПАВ). Кроме этого ПАВ способствует
интенсификации процесса уплотнения. ПАВ можно вводит в порошок при его
измельчении, а также при приготовлении шликера. Содержание ПАВ в связке зависит
от природы дисперсной фазы, ее удельной поверхности.
Образование дисперсной системы (шликера)
осуществляется смешиванием его составляющих в смесительных аппаратах при
температуре, превышающую температуру плавления связки. На свойства шликера влияют
дисперсность и гранулометрический состав порошка.
Определяющими параметрами процесса шликерного
литья являются скорость заполнения литейной формы, регулируемая давлением
шликера, а также температура шликера. С увеличением температуры шликера
увеличивается коэффициент упаковки и объёмная масса отливки, снижается
пористость. Наиболее плотные заготовки получаются при литье из шликеров,
нагретых до температуры 80÷1000С.
Давление литья рекомендуется выбирать в интервале 1÷5
атм., исходя из дефектности отливок и вязкости шликера, плотности отливок по
сечению.
Удаление связки осуществляется нагревом отлитых
образцов или изделий в адсорбентах, активно поглощающих расплавленную связку.
Завершающий этап технологического процесса
производства керамических изделий это спекание изделий. После удаления связки
отливки спекают. При спекании отливок после полного удаления связки разогрев до
800-9000С производят форсированно, а затем подъем температуры
замедляют. Температура, скорость нагрева и охлаждения, время выдержки подбирается
индивидуально и экспериментально в зависимости от размеров, конфигурации
изделия, вида материала из которого изготовлены изделия. Скорость нагрева может
быть не менее 1000С в час и не более 5000С, температура
спекания 1500-17000С, время выдержки при температуре спекания от 1
до 7 часов, скорость охлаждения не выше 3000С.
.4 Метод акустической эмиссии
В последнее время в области испытаний материалов
широкое применение получил метод акустической эмиссии [4]. Термином
"акустическая эмиссия" (АЭ) принято обозначать явление возникновения
упругих волн в твердых телах в процессе их деформации. Классическим источниками
АЭ является процесс деформирования, связанный с ростом дефектов, например,
трещины или зоны пластической деформации. Источником акустико-эмиссионной
энергии служит поле упругих напряжений в материале. Без напряжений нет и
эмиссии, поэтому АЭ контроль обычно проводится путем нагружения контролируемого
объекта. Это может быть проверочный контроль перед запуском объекта, контроль
изменений нагрузки во время работы объекта, испытания на усталость, ползучесть
или комплексное нагружение [4]. Очень часто конструкция нагружается
произвольным образом. В этом случае использование АЭ контроля позволяет
получать ценную дополнительную информацию о поведении конструкции под действием
нагрузки. В других случаях эмиссия используется по причинам экономичности и
безопасности; для таких задач разрабатываются специальные процедуры нагружения
и тестирования.
Акустическая эмиссия отличается от большинства
методов неразрушающего контроля (МНК) в двух ключевых аспектах. Во-первых,
источником сигнала служит сам материал, а не внешний источник, т.е. является
пассивным. Во-вторых, в отличие от других методов, метод АЭ обнаруживает
движение дефекта, а не статические неоднородности, связанные с наличием
дефектов, т.е. АЭ обнаруживает развивающиеся, а потому наиболее опасные
дефекты.
При экспериментальном изучении АЭ
основной характеристикой ее интенсивности принято считать скорость эмиссии
- число
звуковых импульсов, выходящих на поверхность образца за единицу времени [13],
обычно измеряют зависимость этой величины от деформации вдоль кривой
напряжение - деформация:
,
- полная
деформация образца. Такая зависимость позволяет сделать определенные выводы о
связи интенсивности АЭ с особенностями поведения дислокационной структуры кристалла,
характерными для данного участка деформационной кривой. Типичный вид функции
-
немонотонная кривая с резко выраженным максимумом в области предела текучести.
Существование значительной корреляции между этими зависимостями (рисунок 2)
указывает, на наличие связи между АЭ и движением дислокаций. Агарвал, Фредерик
и Фелбек [13], экспериментируя с поликристаллами алюминия, предложили
использовать метод АЭ для изучения пластической микродеформации. Они считают,
что пьезодатчики регистрируют внезапные приращения деформации, возникающие при
отрыве дислокаций от центров закрепления или при активации источников. Заметим,
что при расшифровке показаний пьезодатчиков следует проявлять определенную
осторожность: для того чтобы была уверенность в однозначности интерпретации
сигналов, необходимо принимать специальные меры, позволяющие отличать
акустическую информацию от тензометрической.
В изучении АЭ в настоящее время наметились два
направления [13]. Первое из них - традиционное, делающее основной упор на
экспериментальном исследовании эмиссии в процессе механических испытаний
кристаллов и на феноменологической трактовке результатов. Второе направление,
возникшее сравнительно недавно, представлено пока что немногочисленными
теоретическими и экспериментальными исследованиями элементарных дислокационных
механизмов эмиссии.
Рис. 2.Акустическая эмиссия и деформация как
функции напряжения при растяжении алюминия 7075-76 [15] (пунктирная кривая
соответствует теоретическому выражению Гилмана [16] для плотности подвижных
дислокаций как функции деформации.
Глава 2. Постановка задачи. материалы и методика эксперимента
2.1 Постановка задачи
Как показано в литературном обзоре, циркониевая
керамика обладает высокой огнеупорностью и коррозионной стойкостью, повышенной
прочностью и вязкостью разрушения, низким коэффициентом термического
расширения. Но повышенная хрупкость керамики ограничивает ее применение в
конструкционных изделиях. Поэтому в области испытаний керамических материалов
необходимо применение метода, позволяющего наблюдать за поведением материала
при нагружении и изучать процессы деформации и разрушения. В связи с этим в
настоящее время очень актуальным является метод акустической эмиссии.
Следовательно, целью работы явилось исследование
структуры, фазового состава и механических свойств керамических материалов на
основе ультрадисперсных порошков ZrO2-AL2O3
до
и после деформации.
Для достижения поставленной цели необходимо
решить следующие задачи:
изучить литературный материал
- методом шликерного литья изготовить образцы в
виде пластин
провести отжиг технологической связки по
стандартной схеме и последующее спекание образцов на воздухе
- определить свойства и структуру исходной
керамики
.2 Материал и методика эксперимента
Для исследования были взяты керамические образцы
состава 20вес%Al2O3
-80вес.% (ZrO2-3мол.%
Y2O3),
ZrO2
- 3% вес. MgO. Образцы в
виде пластин размером 75´11´25
изготавливали методом шликерного литья. Исходный порошок предварительно
подвергали отжигу на воздухе при температуре 10000С 1 час, затем
отожженный порошок механически обрабатывали в шаровой мельнице с фарфоровыми
мелющими телами в течение 25 часов. Из обработанного порошка был приготовлен
термопластичный шликер, количество связующего составляло 16%. В качестве
поверхностно-активного вещества использовалась олеиновая кислота (С17Н33СООН)
в количестве 1%. При давлении литья 0.2 МПа и температуре шликера 750С
были отлиты пластины. Затем по стандартной методике проводили отжиг связующего
и последующее спекание на воздухе при температуре 16000 С 1 час.
Спеченные образцы шлифовались на алмазном круге,
а затем полировались алмазными пастами разной зернистости. Исследование
фазового состава исходных образцов и образцов после деформации проводили на
рентгеновском дифрактометре ДРОН-УМ1, с фильтрованным излучением CuKa
излучением. Структуру материалов исследовали на оптическом микроскопе «NEOPHOT-21».
Для изучения прочностных свойств образцы
испытывались на осевое сжатие на пресс - машине «INSTRON
- 1185» со скоростью нагружения 10т, в процессе чего делались снимки
поверхности с интервалом 10 с. В экспериментах использовался метод акустической
эмиссии. Метод АЭ имеет ряд достоинств [4]: источником сигнала служит сам
материал, а не внешний источник, т.е. является пассивным, в отличие от других
методов, метод АЭ обнаруживает движение дефекта, а не статические
неоднородности, связанные с наличием дефектов, т.е. АЭ обнаруживает
развивающиеся, а потому наиболее опасные дефекты, метод АЭ является дистанционным,
т.е. не требует сканирования поверхности, метод АЭ позволяет обнаружить
местоположение дефектного участка, метод АЭ дает возможность проведения
неразрушающего контроля всего объекта целиком за один цикл, возможность
получения наиболее низкой себестоимости работ и достижения технической
адекватности результатов контроля. На рисунке 3 изображен внешний вид керамики
до и после деформации в ходе испытаний на универсальной машине «INSTRON
- 1185». Датчики акустической эмиссии закреплены в верхней и нижней части
образца.
рис
3. Внешний вид керамики до (а) и после (б) деформации в ходе испытаний на
универсальной машине «INSTRON
- 1185».
Также определялась твердость образцов методом
индентирования. Индентирование проводили с помощью твердомера «СУПЕРВИККЕРС» на
полированной поверхности. При нагрузке 10 кг было сделано 5 отпечатков.
Измерения длин диагоналей отпечатков и образовавшихся после снятия нагрузки
трещин, диаметра зоны превращения вокруг отпечатка проводились с помощью
оптического микроскопа ‘NEOPHOT-21’.
Твердость при внедрении индентора определяли по
ГОСТ-2999-75 и рассчитывали по формуле:
V
=1.854 P/ d2
где
- среднее арифметическое значение длин обеих диагоналей отпечатка после снятия
нагрузки, м, P - усилие нагружения.
Критический
коэффициент интенсивности напряжений рассчитывали по формулам, выведенных в
предположении образования медианных трещин [17]:
1C = 0.16 (E / HV)0.5 (P
/ c3/2 )
где
- модуль упругости, Р - приложенная к индентору нагрузка, HV -
твердость
Глава
3. Структура, фазовый состав и механические свойства ZrO2
.1
Фазовый состав керамики ZrO2-Y2O3-Al2O3
В
соответствии с выбранной технологической схемой изготовления керамики, методом
шликерного литья, были исследованы образцы до, и после деформации, которые
представлены на рисунках. Анализ представленных рентгенограмм позволяет
заключить, что после деформации происходит изменение фазового состава, т. е
появляется моноклинная фаза, что свидетельствует о полиморфных превращениях в
материале.
а)
б)
рис.4.
Рентгенограммы керамики ZrO2-Y2O3-Al2O3
до деформации (а), после деформации (б).
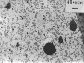
3.2 Структура керамики ZrO2-Y2O3-Al2O3.
На рисунке представлена структура. керамики ZrO2-Y2O3-Al2O3.
В матрице ZrO2
равномерно распределены округлые частицы Al2O3.(серые
включения на фото). Форма пор близкая к сферической. Пористость неравномерно
распределена по объему и составляет около 12%.
Рис.5. Структура спеченной при 1600 OС
на воздухе керамики ZrO2-Y2O3-Al2O3
из отожженных при 1100 OС , 1 ч., м/а в течение 25 часов порошков.
Условия литья шликера (Т =80-85 OС, Р=4 атм., Тформы=20
OС)
.3 Механические свойства материалов
В таблице 1. приводятся значения пористости,
твердости и вязкости разрушеня керамики ZrO2-Al2O3.
Как видно из таблицы благодаря включениям Al2O3 керамика
обладает большой вязкостью разрушения и твердостью, что обьясняется совместным
действием двух механизмов упрочнения - трансформационного (фазовый переход
тетрагональной фазы диоксида циркония в моноклинную) и отклонения или ветвления
трещин на включениях оксида алюминия [1,2].
Таблица 1. Механические свойства керамики ZrO2-AL2O3
|
Hv,
МПа
|
К1с
|
|
10600
± 50
|
6
± 0,5
|
.4 Исследование деформационного поведения
керамики ZrO2
методом акустической эмиссии
Деформированию подвергали образцы, отличающиеся
между собой наличием дефектов.
Деформационные кривые представлены на рисунке 6.
Из рисунка 6 (а) видно, что упругая область сохраняется до разрушения,
отклонения от линейности практически нет, пластической деформации не
наблюдается. Значения предела прочности при сжатии и предельной деформации
довольно низкие.
Анализ кривой σ-e
второго образца (рис.6(б)) свидетельствует о наличии в материале большого
количества дефектов. Предел прочности при сжатии очень низкий. Также следует
отметить наличие нескольких максимумов на деформационной кривой,
свидетельствующих о локальных разрушениях материала при деформации. На основании
полученных зависимостей установлено, что в материале наблюдается одновременно
несколько механизмов макро-деформации: упругая деформация, микро и
макро-растрескивание с накоплением микро- и макро-повреждений и.
Деформированию также подвергали керамику ZrO2
- MgO. Из деформационной
кривой (рис.6(в)), как и в первом случае, можно наблюдать упругую область
деформации до окончательного разрушения материала. Происходит зарождение и рост
магистральной трещины, которая и приводит к разрушению образца
На всех рисунках очевидна взаимосвязь деформации
и количества звуковых импульсов, выходящих на поверхность образца в единицу
времени, как функций напряжения. Лучше всего это заметно на рисунке 8: также
как и на деформационной кривой, на акустико-эмиссионной диаграмме можно увидеть
максимумы и минимумы, причем разница между ними видна отчетливее на диаграмме
акустической эмиссии.
(а)
(б)

(в)
рис. 6. Связь
между количеством импульсов акустической эмиссией и деформацией керамики ZrO2-AL2O3 (а, б),
керамики ZrO2-MgO(в).
На рисунке 7 представлены изображения
поверхности керамики ZrO2-MgO в процессе деформации. Уже на ранних
стадиях разрушения использование метода акустической эмиссии позволяет
прогнозировать местоположение дефектных участков
направление нагружения
Рис. 7. Изображение поверхности керамики ZrO2-MgO
в процессе деформации
Заключение
На основании проведенных исследований можно
сделать следующие выводы:
. Рентгено - фазовый анализ показал, что после
деформации происходит изменение фазового состава, что свидетельствует о
полиморфном превращении в материале .
. На основании полученных зависимостей
установлено, что в материале, отличающимся наличием дефектов, наблюдается
одновременно несколько механизмов макро-деформации: упругая деформация, микро и
макро-растрескивание с накоплением микро - и макроповреждений.
. Установлено существование связи между
количеством импульсов акустической эмиссией и деформацией, что согласуется с
литературными данными.
Список литературы
1.
Калинович Д.Ф., Кузнецова Л.И., Денисенко Э.Т. Диоксид циркония: свойства и
применение // Порошковая металлургия.-1987.-N1.-с.98-102.
.Беляков
А.В., Бакунов В.С. Создание прочных и трещиностойких структур в керамике // Стекло
и керамика.-1998.-N1.-с.12-17.
.
Дедов Н.В., Дорда Ф.А, Иванов Ю.Ф. и др. Структурные исследования порошков на
основе диоксида циркония, полученных методом ВЧ - плазмохимической денитрации.
Стекло и керамика. 1991.№10.с.17 - 19.
.
Адриан Поллок. Акустико - эмиссионный контроль.
.
Петрунин В.Ф., Рябев Л.Д. Состояние и перспективы развития проблемы
«Ультрадисперсные (нано-) системы» // Физикохимия ультрадисперсных систем.
Сборник научных трудов IV
Всероссийской конференции. М.: МИФИ, 1999. - С.18-22.
.
Хасанов О.Л., Похолков Ю.П.и др. Изготовление конструкционной циркониевой
нанокерамики с применением ультразвукового прессования ультрадисперсных
порошков // Физикохимия ультрадисперсных систем. Сборник научных трудов IV
Всероссийской конференции. М.: МИФИ, 1999. - С. 308-312.
.
Андриевский Р.А. Наноструктурные материалы - состояние разработок и перспективы
// Перспективные материалы. - 2001. - №6. - С.5-11.
.
Галахов А.В., Цибайло Е.В. Неоднородность упаковки в порошковых компактах и
прочность получаемой из них керамики // Огнеупоры и техническая керамика.
-1997. - №5. - С.22-26.
.ХодаковГ.С.Тонкое
измельчение строительных материалов. - М.:Стройиздат,1972. - 238с.
.
Порошковая металлургия и напыление покрытий: Учебник для вузов // В.Н.
Анциферов, Г.В. Бобров, Л.К. Дружинина и др. Б.С.-
.
Добровольский А.Г. Шликерное литьё. - М.: Металлургия, 1977. - 240с.
.
B.C.
Бойко, В.Д. Нацик.Развитие исследований акустической эмиссий.
14.
Dunegan H., Harris D, Acoustic emission - a new nondestructive testing tool. -
Ultrasonics 1969, 7, p. 160-166.
.
Gilman J.J. Progress in microdynamical theory of dislocations. - In: Proc. U.S.
Nat. Congr. Appl. Mech. 5-th (Amer. Soc Mechan. Eng.). New York, 1966, p.
385-394.
.
K.M.Liang, G. Oriange, G. Fantozzi. Evalution by indentation of fracture 7. Лукин
Е.С. О влиянии методов синтеза и условий подготовки порошков оксидов в
технологии высокоплотной и прозрачной керамики // Тр.Моск. хим.-технол. Ин-та
им. Д.И. Менделеева, 1974. - вып.123. - С.5-16.