В. И. Вернадский — ученый и организатор науки
МИНЗДРАВ РОССИИ
Государственное
бюджетное образовательное учреждение высшего профессионального образования
«Южно-Уральский
государственный медицинский университет»
Министерства здравоохранения
Российской Федерации
(ГБОУ ВПО ЮУГМУ
Минздрава России)
Кафедра Биологии
НАУЧНО-ИССЛЕДОВАТЕЛЬСКАЯ
РАБОТА СТУДЕНТА
ТЕМА: «Паразиты,
локализующиеся в нервной системе человека»
Выполнила:
Группа №
декабря 2015
г.
Проверила:
декабря 2015 г.
ОГЛАВЛЕНИЕ
ВВЕДЕНИЕ…..…………………………………………...…………...………….……......3
1. Гельминты, локализующиеся в нервной системе
человека…...……………...…....4
1.1.Токсокара……………………………………..……….….…………………....4
1.2.Мозговик овечий…………….……….…………………………….…….........6
2. Простейшие, локализующиеся в нервной системе
человека…..…………………..9
2.1.. НеглерияФоулера………………………...…………………………….…..…9
2.2. Акантамеба…………………………………..………………………….……..10
3. Грибы, локализующиеся в нервной системе человека…......................……….…..13
3.1. Криптококк…..……………………………………………………………..….13
.
3.2. Нокардия……..……………………………………………………………..….15
3.3. Аспергилл…..………………………………………………………………….18
ЗАКЛЮЧЕНИЕ….…..……………………………………………………………….…....22
СПИСОК ЛИТЕРАТУРЫ……….…………………………….…………….……….……..23
2
ВВЕДЕНИЕ
Впечатление о недостаточном
социально-экономическом значении паразитозов в современных условиях не
соответствует действительности.Паразиты (от греч. parasitos - нахлебник,) -
низшие животныеорганизмы, живущие снаружи или
внутри другого организма (хозяина) и питающиеся за его счет. Паразиты возникли
в процессе исторического развития организмов из свободно живущих форм. Приспособление
их к условиям жизни повлекло упрощение их организации, развитие органов
фиксации, усиленное развитие половых органов, аноксибиотическое дыхание, дающее
возможность существовать в бескислородной среде. К паразитам относятся многие возбудители
таких заболеваний, как –гельминты, грибы,
простейшие [3]. Паразиты проходят сложный цикл развития: иногда им
требуется смена 2-3 хозяев, организм которых является промежуточным (личиночные
стадии) или окончательным (паразит становится половозрелым, инвазионным).
В настоящее время
ухудшение экологической обстановки и падение санитарной культуры населения
приводит к углублению такой медицинской проблемы, как возрастающее количество
паразитарных заболеваний. Как известно, проклятием больших городов является загрязнение
уличного грунта экскрементами собак. Каждый день в Москве во дворах и парках
остается более 50 тонн собачьего кала, который в трети случаев содержит яйца
токсокар.В связи с нарастающими процессами миграции населения в России увеличивается
разнообразие паразитозов у людей.
Паразиты локализуютсяне только
в желудочно-кишечном тракте, но и в других жизненно важных органах:
головноммозге, сердце, легких, печени [1]. Они могут поражать центральную
нервную систему [7] с частым развитием неврологических осложнений.Возбудители
паразитозовв процессе жизнедеятельности выделяют токсины, являющиеся сильными
ядами и аллергенами.Паразитозы являются пусковым механизмомдля многих хронических
заболеваний, так как сопровождаются гиповитаминозом, истощением запасов микроэлементов,
способствуют гормональному сбою, нарушению проницаемости сосудов, кроветворения.В
то же время, по данным многих авторов, паразиты канцерогенны для человека
(возникновение раковых опухолей печени и мочевого пузыря, центральной нервной
системы на фоне эхинококкоза, токсокароза, тосоплазмоза).При длительном
пребывании паразитов в организме человекаего иммунная системаприходит к
развитию вторичного иммунодефицита.
1.
Гельминты, локализующиеся в нервной системе человека
Гельминтозы – группа болезней,
вызываемых паразитическими червями. У человека зарегистрировано свыше 250 видов
гельминтов, которые относятся преимущественно к двум типам червей: круглые
черви и плоские черви. В зависимости от особенностей биологии и путей их
распространения различают 3 группы гельминтов: геогельминты, биогельминты и
контактные гельминты. Наиболее распространенными являются нематодозы –
геогельминты. В последние годы наблюдается тенденция к увеличению пораженноститоксокарозом.
1.1. Токсокара (Рис.1).
Токсокароз является
заболеванием, о котором, несмотря на широкое распространение и важную роль в
патологии, особенно у детей, практические врачи знают весьма немного.
Симптоматика его очень разнообразна, поэтому с ним могут встретиться врачи разных
специальностей. Токсокароз – заболевание, вызываемое несвойственным человеку
паразитом. Токсокара - нематода размером до 18 см, очень схожая с аскаридой
человеческой. Диаметр ее личинки составляет 0.02 мм.
1
2
Рисунок 1. 1 - головка; 2 - яйцо
токсокары.
Известны два вида токсокар:
гельминт, поражающий представителей семейства псовых (собак, волков, лисиц,
песцов), а также – гельминт семейства кошачьих. Тем не менее, токсокарозом,
вызываемым гельминтом семейства псовых [5], заражаются люди. Средний показатель
пораженности собактоксокарозом составляет около 25%. Попадание личинок токсокар
в организм человека – ошибка адресом, для паразита это гибель. Заражение
человека происходит при проглатывании инвазионных яиц токсокар. Для людей основными
предпосылками передачи возбудителяявляется загрязненность яйцами почвыи контакт
с ней. Другими факторами передачи могут быть шерсть животных, загрязненные
продукты питания, вода. Сезон заражения людей продолжается в течение всего
года. Группы риска в отношении заражения токсокарозом: дети 3-5 лет, интенсивно
контактирующие с почвой, песком; ветеринары и работники питомников для собак;
продавцы овощных магазинов; владельцы приусадебных участков, огородов; лица,
занимающиеся охотой с собаками.Заражение человека (Рис.2)
происходит при попаданииинвазионных яиц токсокарв кишечник (1). В проксимальном
отделе тонкого кишечника из яиц (2) выходят личинки, которые через слизистую
оболочку проникают в кровоток, затем заносятся в печень и правую половину сердца
(3). Попав в легочную артерию, личинки продолжают миграцию и переходят из
капилляров в легочную вену, достигают левой половины сердца и затем разносятся
кровью по разным органам и тканям. Мигрируя, они достигают места, где диаметр
сосуда не пропускает их, и здесь личинки покидают кровяное русло, оседая в
печени, легких, сердце, почках, поджелудочной железе, головном мозге, глазах и в
других тканях (4). Они сохраняют жизнеспособность в течение длительного времени
(годы).Личинки токсокары, осевшие в тканях, пребывают в дремлющем состоянии, а
затем под влиянием благоприятных факторов активизируются и продолжают миграцию[10].
С течением времени часть личинок инкапсулируется и постепенно разрушается
внутри капсулы. Личинка в организме человека может выживать в течение 10 лет.
Взрослые паразиты локализуются в тонком кишечнике хозяев. Средняя
продолжительность жизни половозрелых особей составляет 4 месяца. Самка
токсокары откладывает более 200 тысяч яиц в сутки, которые выделяются в
окружающую среду незрелыми и неинвазионными. Поскольку интенсивность инвазии у
животных достигает сотен особей, они загрязняют окружающую среду ежедневно
миллионами яиц. Срок созревания яиц зависит от температуры окружающей среды и
влажности.
.
Рисунок 2. Цикл развития
токсокары.
Токсокарозхарактеризуется
тяжелым, длительным и рецидивирующим течением (от нескольких месяцев до
нескольких лет), что связано с периодическим возобновлением миграции личинок
токсокар. Клинические проявления зависят от интенсивности заражения, распространения
личинок в тех или иных органах, степени иммунного ответа хозяина.В зависимости
от преобладающих симптомов выделяют кожную, висцеральную, неврологическую и
глазную формы.
Кожная форма проявляется
разного рода аллергическими реакциями на коже виде покраснения и зуда,
крапивницы, отека, вплоть до экземы, особенно по ходу миграции личинок.Висцеральная
формаразвивается вследствие заражения большим числом личинок. Висцеральным
токсокарозом болеют чаще дети, чем взрослые.Оновными симптомами является
рецидивирующая лихорадка, легочный синдром (сухой кашель, тяжелая одышка с
астматическим дыханием и цианозом), увеличение размеров печени, боли и вздутие
живота, тошнота, рвота, диарея, в крови – эозинофилия, гипергаммаглобулинемия.Инвазированныедети
имеют существенные отклонения от здоровых детей по результатам многих
нейропсихологических тестов, по моторной и познавательной функции. Это
позволило выделитьневрологическую форму. При миграции личинок токсокар в
головной мозг выявляются признаки поражения центральной нервной системы виде
неврологических нарушений, проявляющихся в изменении поведения:
гиперактивность, затруднение при чтении, нарушение внимания.Глазной токсокарозсвязывают
с заражением минимальным количеством личинок. Клинически заболевание проявляется
в виде косоглазия, снижение зрения, абсцесса в стекловидном теле, неврита
зрительного нерва, кератита. Практически всегда токсокарозом поражается только
один глаз.
Мигрируя в организме человека,
личинки токсокарытравмируют ткани, оставляя геморрагии, некрозы, воспалительные
изменения. Паразит гибнет, успев нанести человеку вред:поражение зрительного
нерва личинкой токсокары может привести к односторонней слепоте,привисцеральном токсокарозеизвестны случаи
развития тяжелых пневмоний, которые заканчивались летальными исходами,притоксокарозечасто
образуются многочисленные гранулемы в любом органе и ткани, в центре которой
появляется зона некроза, разрушающая данный орган.
Прижизненный
паразитологический диагноз токсокароза практически невозможен. Обнаружить
мигрирующиеличинки токсокартрудно, а идентифицировать их в гистологических срезах
удается редко. Поэтому ведущими методами в диагностикетоксокарозаявляются
иммунологические тесты, ведь антитела к антигенам токсокар могут определяться и
при личиночной стадии их паразитирования [5]. На основании титра антител можно
судить о тяжести заболевания.Диагноз устанавливают также на основе клинических
проявлений заболевания. Указание на тесный контакт с собаками свидетельствует
об высоком риске заражения.
Лечение токсокароза. Применяют
антинематодозные препараты. Эти препараты эффективны в отношении мигрирующих
личинок и недостаточно эффективны в отношении тканевых форм, находящихся в
гранулемах внутренних органов.Профилактика токсокароза. Выявление
и лечение больных, плановая дегельментизация животных.Мытье рук после контакта
с почвой или животными; тщательная обработка огородной зелени, овощей, фруктов
и других пищевых продуктов, которые могут содержать частицы почвы. Необходима защита
игровых детских площадок, парков от посещений животных.
1.2.Мозговик овечий.
Ценуроз - гельминтоз из группы
цестодозов, вызываемый ценуром (личиночной стадией цестод рода Мulticeps), характеризующийся поражением головного, реже
спинного мозга или других органов и тканей[14]. Длинателамультицепса - до
метра, оно разделено на членики (Рис.3).
1 2
Рисунок 3. Мозговик овечий. 1
– гермафродитный членик; 2 – зрелый членик.
Яйца овальной формы, их
размер около 30-37 микрометров. Личиночная стадия (ценур) – крупный, диаметром
5 – 8 сантиметров пузырь (паразитарная киста), содержащий прозрачную жидкость.
Оболочка его тонкая, полупрозрачная. Внутренний слой усеян множеством сколексов
(головок), расположенных группами. Зрелые сколексы снабжены четырьмя присосками
и хоботком с двойным рядом крючьев. В организме человека, на основании мозга и
в четвертом желудочке обычно разветвленная (рацемозная) форма ценура, достигающая
в длину 10 см и состоящая из множества мелких пузырьков.
Рисунок 4. Цикл жизни
мультицепса.1-сколекс; 2-гермафродитный членик; 3-зрелый членик; 4-яйцо;
5-ценур; 6-схема ценура; 7-ценур головного мозга.
Промежуточными хозяевами
мультицепса являются: овца, коза, косуля.Окончательные хозяева гельминта:
собака, волк, лисица, кошка. Окончательные хозяева заражаются, поедая трупы
инвазированных животных, являющихся промежуточными хозяевами [14]. В тонкой
кишке этих животных гельминты развиваются до половозрелой стадии в течение 1-2,5
месяцев. Продолжительность их жизни достигает года. Источником инвазии являются
окончательные хозяева гельминтов. Эти животные выделяют с калом зрелые членики,
наполненные яйцами.
Заражение человека происходит
при употреблении пищи и воды, загрязненных фекалиями инвазированных половозрелой
стадией мультицепса (Рис.4). Особо опасен контакт людей с больными собаками, на
шерсти и языке которых могут быть яйца цепня. В пищеварительном тракте человека
онкосфера выходит из яйца, проникает в кровь и с ее током достигает мозга, где передвигается
далее для поселения. Следующая стадия начинается с момента остановки онкосферы
в головном мозгу и начала развития пузыря. Выросший ценур сдавливает нервные
клетки и появляются клинические признаки поражения центральной нервной системы.
Пузыри-ценуры вызывают воспалительные изменения в оболочках мозга в виде хроническоголептоменингита,
арахноидита, сопровождающихся нарушением всасывания и оттока цереброспинальной
жидкости, развитием окклюзионной водянки головного мозга. Независимо от
локализации ценура очаговые изменения аллергического характера развиваются в
разных органах и тканях. Они ярче выражены в первые месяцы инвазии.
Выраженность клинической
картины определяется локализацией и числом ценуров. Симптомы ценуроза в
основном те же, что отмечают при повышении давления из-за опухолей мозга. Ценуроз
головного мозга проявляется головной болью, сопровождающейся рвотой, болями в
области шеи, позвоночника. Постепенно слабость нарастает, появляются конвульсивные
движения, шаткая походка, дезориентация во времени и пространстве, возможны
кратковременные потери сознания, иногда эпилептиформные припадки. У больных
наблюдается астеническое состояние и апатия. Объективно отмечают очаговую потерю
чувствительности, ригидность мышц затылка. Отмечается повышение давления
цереброспинальной жидкости.У больных с локализацией ценура в желудочках
головного мозга развивается синдром Брунса - резкая головная боль,
головокружение, сосудистые нарушения в виде побледнения или покраснения кожи,
потливость, расстройства дыхания, брадикардия, на высоте приступа нередки
потеря сознания, судороги. При локализации паразита в спинном мозге возможны
расстройства функций тазовых органов.Описаны случаи паразитирования ценуров в
глазу человека. При этом отмечаются боли в глазу, выпячивание глазного яблока,
снижение или потеря зрения, повышение внутриглазного давления. До развития клинически
выраженных симптомов причина внезапной смерти - анафилактический шок. В более
поздние сроки смерть может наступить при локализации паразитарной кисты в
желудочках головного мозга из-за нарушения оттока ликвора- вследствие внезапной
остановки сердца и дыхания.
Диагноз устанавливают на
основании эпидемиологические анамнеза, клинические, картины и обследования
больного [14]. Вышеописанные симптомы у лиц, проживающих в районах овцеводства
и имеющих контакт с собаками, позволяют предположить ценуроз. Такие методы
исследования, как компьютерная томография, позволяют определить лишь локализацию
и размеры объёмного процесса. Истинный же характер патологического процесса устанавливают
при оперативном вмешательстве (удаляют пузырь-ценур и направляют его в
паразитологическую лабораторию). Лечение - удаление паразитарной кисты. При
церебральном ценурозе без оперативного вмешательства прогноз неблагоприятный:
болезнь длится от нескольких месяцев до 5 лет и более, постепенно прогрессируя.
2.
Простейшие, локализующиеся в нервной системе человека
В группу свободноживущих амеб,
имеющих патогенное значение для человека, входятакантамебы и неглерии [3].
2.1. НеглерияФоулера (Рис.5).
Рисунок 5. Морфологические формы амебы:1 - амебоидный трофозоит;
2 - жгутиковая стадия; 3 - циста.
Жизненный цикл неглерии включает 3 морфологические формы:
амебоидный трофозоит, жгутиковая стадия и циста. Энергичная пульсация
сократительной вакуоли отличает неглерию от клеток хозяина. Как и у всех амеб,
цитоплазма подразделяется на экто- и эндоплазму, но неглери имеют комплекс
Гольджи, выраженный эндоплазматический ретикулум и сократительную вакуоль.
Цисты округлые, с гладкой двойной стенкой.НеглерияФоулера - свободноживущая в пресной
воде амеба (Рис.6), на определенной стадии развития может становиться
факультативным тканевым эндопаразитом, вызывая неглериоз - протозойное
заболевание, проявляющееся поражением кожи, легких, глаз и центральной нервной
системы [12]. Заражаются неглериями чаще всего дети и молодые люди. Вспышки
заболевания обычно приходятся на жаркие периоды года при купании в открытых
водоемах. Кроме того, отмечаются случаи заражения в бассейнах. Инкубационный
период длится 2-3 дня, реже 7-15 дней. Болезнь начинается внезапно. Сначала во
многих случаях возникают нарушения вкусовых или обонятельных ощущений.
Появляются головные боли, лихорадка, тошнота, рвота, судороги. На слизистой
оболочке глотки часто образуются язвы. Наблюдаются симптомы менингита и
энцефалита. Развивается отек легких. Вскоре наступает кома. В большинстве
случаев в пределах одной недели после появления первых симптомов больные
погибают вследствие отека легких и остановки дыхания.Амебоидные трофозоиты, попадая
в нос при купании, по ходу обонятельного нерва проникают в богато васкуляризованное
субарахноидальное пространство, откуда распространяются во все отделы мозга,
где они локализуются вокруг кровеносных сосудов и интенсивно размножаются. В
результате в тканях мозга возникают кровоизлияния и некроз. Развивается
первичный амебный менингоэнцефалит. Неглерии распространены повсеместно.В
жизненном цикле (Рис.6) неглериивыделяют 3 стадии: амебоидный трофозоит (15 –
40 мкм), двужгутиковая вегетативная форма (17 – 20 мкм) и округлая циста (10 –
20 мкм) с гладкой двойной стенкой. Амебоидный трофозоит передвигается,
выбрасывая короткие, широкие и прозрачные псевдоподии. Неглерия обитает в
пресных водоемах. Обычно в воде встречается в небольших количествах, однако при
повышении температуры воды неглерии начинают активно размножаться.

Часть амеб при резких колебаниях температуры формируют два
жгутика и активно плавают в толще воды в течение суток, затем вновь переходят в
амебоидную форму. При наступлении неблагоприятных условийнеглерии легко инцистируются
[13]. Амеба не опасна, если через рот оказывается в желудке, так как соляная кислота
убивает ее, однако достаточно буквально одной в носу, чтобы болезнь стала
реальностью. Поставить точный диагноз в инкубационный период почти невозможно.
Проблема диагностики - одна из причин, по которой заражение амебой ведет к
смерти.Окончательный диагноз первичного амебного менингоэнцефалита
устанавливают микроскопически при обнаружении неглерий в осадке спинномозговой
жидкости или биоптатах мозга. Используется также культуральный метод.
2.2. Акантамеба.
Для человека патогенной является
свободноживущая акантамеба (Рис.7), являющаяся возбудителем протозооза,
проявляющегося поражением глаз, кожных покровов и центральной нервной системы.
Рисунок 7. Строение акантамебы. 1-
вегетативная форма; 2 – циста.
Жизненный цикл акантамеб включает
две стадии: трофозоит и циста. Трофозоит имеет овальную, треугольную или
неправильную форму размерами 10-45 мкм, одно ядро с крупной эндосомой, а также
имеется экстрануклеарная центросфера. Трофозоиты образуют узкие, нитевидные или
шиловидные псевдоподии. Размер цист от 7 до 25 мкм. Цисты - одноядерные, с
многослойной оболочкой. Акантамебы - аэробы, обитают в почве и теплых
пресноводных водоемах, преимущественно в придонном слое. Особенно много их в
водоемах, образованных сбросами электростанций и загрязненных сточными водами.
Наличие большого количества органических веществ и высокая температура воды
(+28 °С и выше) в этих водоемах способствуют резкому увеличению в них популяций
амеб. При понижении температуры воды, изменении рН или подсыхании субстрата
акантамебыинцистируются. Цисты устойчивы к высыханию, охлаждению и действию
многих антисептиков в стандартных концентрациях, благодаря небольшим размерам
они могут распространяться аэрогенно; выделяются из тканей и экскрементов
многих видов рыб, птиц и млекопитающих.Акантамебы - обычно свободноживущие
животные, которые, попадая в организм человека, способны переходить к
паразитизму[5] и заканчивать в организме хозяина свой цикл развития, образуя
цисты.Источник инвазии - внешняя среда (контаминированные амебами вода, почва).
Заражение акантамебами (Рис.8) происходит преимущественно при попадании амеб в
носоглотку и на конъюнктиву глаз (обычно наблюдается повышение заболеваемости
во время купального сезона).
Рисунок 8. Жизненный цикл
акантамеб: 1 – трофозоит; 2 – циста.
Реже инфицирование происходит
через грязные руки, а также воздушно пылевым путем. Заболеваемость
спорадическая, заражение возможно во все сезоны года. Возбудители распространены
повсеместно. Основу патогенеза акантамебиаза составляет гранулематозный
процесс, возникающий после попадания амеб в макроорганизм через слизистые
оболочки или кожу. Чаще всего развиваются акантамебный кератит и поражения
кожи. В случае заноса амеб в головной мозг гематогенным путем из первичных
поражений в роговице глаза или в респираторном тракте развивается
гранулематозный акантамебный энцефалит. Инкубационный период акантамебиаза
обычно продолжается от нескольких недель до нескольких месяцев. В начальном
периоде симптомы акантамебиаза проявляются в стертой форме. Для заболевания
характерно поражение центральной нервной системы и глаз. Менингоэнцефалическая
форма начинается внезапно, появляются и прогрессируют признаки воспаления
верхних дыхательных путей (фарингит). Повышается температура тела. Появляютсяголовные
боли, сонливость, судороги, тошнота, рвота, отмечаются нарушения психики,
ригидность затылка и другие менингеальные признаки.Акантамебиаз прогрессирует,
развивается коматозное состояние, которое приводит к летальному исходу. Смерть
наступает через 2-7 дней после появления первых симптомов болезни. При патологоанатомическом
исследовании отмечаются отек полушарий мозга и утолщение мягких оболочек. Патологический
процесс наиболее выражен в поверхностном кортикальном слое серого вещества
больших полушарий мозга. На разрезах в большинстве участков мозга находят
множественные очаги размягчения с геморрагическим некрозом. В некротических массах
обнаруживают трофозоиты и цисты акантамеб. Амебы обнаруживаются также в
мозжечке, менингеальном экссудате, спинномозговой жидкости. Гематогенно они
могут заноситься в различные органы (легкие, почки, печень, лимфатические
узлы). Акантамебные поражения глаз связаны с применением мягких контактных
линз, проявляются в виде кератоконъюнктивита. Весь процесс длится несколько
месяцев. Перехода на головной мозг и генерализации инфекции при этой форме не
наблюдается. При поражении глаз возможно развитие перфорации роговицы. Диагностикаакантамебного
кератита проводится на основании результатов микроскопического исследования на
наличие вегетативных и цистных форм амеб в слезной жидкости, смывах и соскобах
из язвенных поражений роговицы и склеры. В некоторых случаях для диагностики
применяют биологическую пробу путем заражения лабораторных животных.Диагностика
основывается на эпидемиологическом анамнезе, клинической картине болезни,
результатах паразитологических исследований [3,7]. Диагноз акантамебного
поражения устанавливают на основании обнаружения амеб и их цист в препаратах,
приготовленных из субстрата инфильтратов и биоптатов пораженных тканей.Акантамебыиногда
обнаруживаются в мазках из носоглотки и в фекалиях клинически здоровых людей
[10]. Наиболее эффективным методом диагностики амебного энцефалита является
исследование нативных препаратов спинномозговой жидкости, в которых определяются
подвижные трофозоиты. Также используется культуральная диагностика акантамебиаза
с посевом спинномозговой жидкости на специальную питательную среду. Лечение. При
акантамебных кератитах обязательным условием лечения является отказ от ношения
контактных линз. Местно назначают антибиотики в виде капель. В комбинации с каплями
используют глазную мазь. В редких случаях, несмотря на медикаментозное лечение
акантамебиаза, приходится прибегать к кератопластике.Лечение амебного
энцефалита эффективно лишь при ранней его диагностике, что удается далеко не
всегда. Известны лишь редкие случаи излечения от гранулематозного акантамебного
энцефалита.Акантамебиаз имеет благоприятный прогноз при поражении кожи и глаз,
при поражении центральной нервной системы, как правило, неблагоприятный.Акантамебиаз
можно предотвратить, если соблюдать правила гигиены пользования контактными
линзами. Нельзя хранить линзы в растворах домашнего приготовления. Они должны
храниться лишь в стерильных растворах, специально приготовленных в
офтальмологических учреждениях. Эти растворы необходимо менять согласно
инструкции по использованию контактных линз.Профилактика акантамебиаза
заключается в выявлении и лечении больных.Необходимо тщательное гигиеническое
содержание плавательных бассейнов, соблюдение правил личной гигиены, ограничение
контактов с местами обитания свободноживущих амеб. Санитарно-просветительная
работа.
3. Грибы,
локализующиеся в нервной системе человека
Различают системный микоз,
распространяющийся на весь организм, и дерматомикоз, при котором поражаются кожа,
волосы или ногти (Рис.9).
Рисунок 9. Распространение
системных микозов.
Микозы, вызываемые
дрожжеподобными и нитчатыми грибами, регистрируют не только при
иммунодефицитах, но и у иммунокомпетентных пациентов.
3.1. Криптококк.
Криптококкоз - подостро или
хронически протекающий глубокий микоз, характеризующийся тяжелым течением с
преимущественным поражением центральной нервной системы, реже легких, кожи и
слизистых оболочек. Среди этиологических факторов преобладает криптококк–
дрожжевой гриб, представленный в тканях (Рис.10) круглыми клетками, заключенными
вслизистую капсулу различной толщины, защищающую от действия фагоцитов и
гуморальных защитных факторов.
Рисунок 10. Криптококк.
Криптококк размножается
почкованием, дочерняя клетка связана с материнской узкой перемычкой. Мицелия не
образует. Устойчив во внешней среде. Криптококк широко распространен в природе
[4,8], его выделили из фруктовых соков, молока, обнаружили в фекалиях и гнездах
птиц (голубей, воробьев, волнистых попугайчиков, канареек), при этом сами птицы
не болеют. В высушенном состоянии криптококк может сохраняться в течение многих
месяцев. Криптококк обнаруживали на слизистых оболочках здоровых людей в качестве
сапрофита. Инфицирование человека происходит при вдыхании воздушно-пылевой
смеси. Инфекция гнездится главным образом в мозгу и мозговых оболочках, но может
проникать в любую часть тела, вызывая образование изъязвленных опухолей и
глубоких абсцессов или разрушая нервную ткань. К развитию заболевания
предрасполагают тяжелые нарушения иммунной системы. Патогенез: воротами
инфекции в большинстве случаев являются верхние дыхательные пути и легкие,
возможно эндогенное развитие инфекции у здоровых носителей при снижении у них иммунной
защиты [8].Заболевание чаще встречалось у лиц 40-60 лет, мужчины болели чаще. Первичный
криптококкоз часто протекает бессимптомно либо с незначительными проявлениями.
Соответственно случаи выявления первичных форм очень редки. Длительность инкубационного
периода не установлена (симптомы появляются через недели или месяцы после
начала). Клинически значимые формы криптококкоза представлены поражением
мозговых оболочек. Наиболее характерным проявлением криптококкоза является
менингоэнцефалит.Криптококкоз центральной нервной системы возникает вследствие
диссеминации гриба из очага инфекции в легкие.Из первичного очага возбудитель
проникает в мозг через кровеносные сосуды, преодолевая гематоэнцефалический
барьер [11]. По мере их размножения в мозге формируются очаги некроза (Рис.11).
Рисунок 11. Компьютерная
томография - криптококкоз головного мозга. В области базальных ядер обеих
полушарий – множественные округлые очаги.
Заболевание характеризуется
постепенным, малозаметным началом в виде приступов головной боли, чаще в лобной
области, которые постепенно усиливаются, становятся нестерпимыми, перемещаются
в затылочную область. Появляются менингеальные признаки, птоз, нистагм,
гемиплегия. Сознание нарушено (бред). Характерная особенность: при тяжелом состоянии
температура тела остается субфебрильной. Течение болезни медленно
прогрессирующее, ведущее к истощению, затем коматозному состоянию, смерть
наступает от паралича дыхания через 4-6 месяца от начала болезни. У трети больных,
кроме поражения центральной нервной системы, развивается криптококкоз
легких.Криптококкоз легких протекает в виде пневмонии, мало чем отличающейся от
пневмоний другой этиологии, температура тела чаще субфебрильная, мокрота
скудная, процесс чаще двухсторонний. При диссеминированной форме криптококкоза
могут поражаться самые различные органы (печень, почки, селезенка). Поражения
кожи и слизистых оболочек протекают относительно легко.У ВИЧ-инфицированных
криптококкоз протекает почти исключительно в виде тяжелого менингита и
менингоэнцефалита.Диагноз и дифференциальный диагноз: клинически приходится
дифференцировать от туберкулезного менингита, новообразований и абсцесса мозга.
Подтверждением служит обнаружение криптококка. Поскольку грибки легко
идентифицировать, лабораторный диагноз не представляет труда [11]. Материал для
исследований – спинномозговая жидкость, гнойное отделяемое и биоптаты из
пораженных органов. Микроскопия позволяет выявить окруженные капсулой дрожжевые
клетки. Для выявления культуры возбудителя материал засевают на микологические
питательные среды. Серологические исследования проводят либо при отрицательных
результатах посевов, либо для уточнения диагноза. Существуют средства,
замедляющие размножение грибков, но пока нет таких, которые бы полностью
уничтожали их. Прогноз: при менингеальной форме и диссеминированном
криптококкозе прогноз плохой. При поражении кожи и слизистых оболочек
благоприятный. Лечение амфотерициномВ улучшает прогноз. Профилактика не
разработана.
3.2 Нокардия.
Нокардиоз - микоз,
характеризующийся длительным прогрессирующим течением с частым поражением кожных
покровов (20%), легких (около 50% от всех заболеваний), мозга (30%). Нередки
летальные исходы. Возбудителями являются анаэробные грибы рода Nocardia,
близкие к актиномицетам, не образующие спор и капсул, без друз и зерен в тканях
(друзоподобные образования без колб по периферии).Природные сапрофиты. В
патологическом материале обнаруживаются в виде коротких ветвящихся
грамположительных нитей(Рис.12).
Рисунок 12.Нокардии.
Нокардии
не входят в состав нормальной микрофлоры человека, хотя иногда их выделяют от
здоровых людей.Нокардиоз является экзогенной инфекцией. Возбудитель обнаруживается
в почве и разлагающемся органическом материале. Заражение наступает через желудочно-кишечный
тракт, травмированную кожу и слизистые оболочки, аэрогенным (воздушно-пылевым)
путем, в результате чаше всего возникает легочная форма нокардиоза. Реже
человек инфицируется через поврежденную кожу (открытые раны).На месте внедрения
образуются инфильтраты. Заболевание встречается у лиц, страдающих болезнями крови,
получающих стероидные препараты, проживающих в субтропиках.У 50% больных нокардиозом,
обычно пожилых людей, не бывает никаких ранее диагностированных болезней.Нокардиоз
никогда не передается человеком или животными [5]. Больные животные могут
выделять (с гноем, мокротой, молоком) нокардии, которые попадают в почву и на
растительные остатки, где онимогут сохраняться до 127 дней. Так могут возникать
новые очаги. Нокардиозсравнительно редкая патология, в 2013 году в мире было
зарегистрировано лишь 1754 случая. Мужчины страдают в 2-3 раза чаще, чем
женщины. Встречается нокардиозпрактически по всему миру, зафиксирован и в нашей
стране.Характерна гематогенная диссеминация во внутренние органы, мозг,
подкожную клетчатку, с образованием множества микроабсцессов.
Предрасполагающими факторами являются длительное применение кортикостероидных
препаратов, рак легкого, другие заболевания легких [8]. В отличие от других
глубоких микозов для нокардиоза не характерна выраженная аллергическая
перестройка организма. Продолжительность инкубационного периода не установлена.
По клиническим проявлениям нокардиоз подразделяют на первичный и вторичный. Первичный
нокардиоз включает три клинические формы: легочную; генерализованную (септическую);
мицетому (хроническое поражение кожи, подкожной клетчатки, костей). Вторичный
нокардиоз подразделяется на легочный и генерализованный (септический).Основная
клиническая форма - легочная, реже встречается кожная форма. Заболевание
развивается постепенно; появляется слабость, недомогание, ночное потоотделение,
периодически повышается температура тела до субфебрильных цифр. Затем больных
начинает беспокоить кашель, вначале сухой, затем с мокротой. Мокрота гнойная с
прожилками крови. Температура тела повышается до 38°С. Повышение температуры
тела сопровождается ознобом, который сменяется чувством жара. Больной слабеет,
исчезает аппетит, развивается анемизация, усиливается головная боль. Кашель
усиливается, мокрота вначале слизисто-гнойная, затем становится гнойной,
нередко с примесью крови, что обычно наблюдается при распаде легочных
инфильтратов, образовании полостей. При опорожнении полостей может быть
одномоментное выделение большого количества мокроты.При лучевой диагностике
выявляются инфильтративные изменения в виде очагов различных размеров, иногда
они, сливаясь, захватывают целый сегмент или несколько сегментов легких. В
дальнейшем отмечается распад легочной ткани с образованием множественных
полостей. Патологический процесс из легких может переходить на плевру,
средостение, грудную стенку. При этом возможно образование фистульных ходов в
грудной и брюшной полостях, иногда они вскрываются свищами на поверхность кожи,
выделяя гной. Генерализованный (септический) нокардиоз является дальнейшим
развитием легочного нокардиоза, отличаясь от него тем, что наступает
гематогенная диссеминация инфекции с образованием многочисленных вторичных
гнойных очагов- абсцессов. Такой процесс возникает у лиц с различными
иммунодефицитами. Заболевание приобретает септическую форму. Очень часто вторичные
гнойные очаги возникают в головном мозге. Чаще всего это единичные или множественные
абсцессы мозга различной локализации (Рис.13). Реже отмечают гнойный менингит,
остеомиелит позвоночника с формированием эпидурального абсцесса и компрессией
спинного мозга.
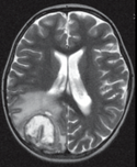
Рисунок13.
Абсцессы головного мозга при нокардиозе.
На септическую
форму приходится около 30% всех случаев нокардиоза. Клиническая симптоматика
складывается из проявлений описанной выше легочной формы, дополнительно к
которым присоединяются признаки очаговых поражений в самых различных органах
(головном мозге, почках, глазах, селезенке, поджелудочной железе), особенно
часто при прорыве абсцесса в желудочек вероятно развитие гнойного менингита, менингоэнцефалита.
Состояние больного быстро ухудшается, быстро нарастают и общемозговые явления
(сильнейшая головная боль, рвота, сонливость, оглушенность, гиперкинезы). Заболевание
заканчивается смертью.Первичный нокардиоз кожи локализуется обычно на коже
стопы, где постепенно развиваются глубокие инфильтраты, изъязвления кожи и незаживающие
свищи. Вторичный нокардиоз чаще протекает в легочной форме, так как заболевание
нередко наслаивается на различные хронические поражения органов дыхания, особенно
если при них формируются полости. Клинические проявления слагаются из симптоматики
основного заболевания и наслоившейся нокардиозной инфекции. В первое время
преобладают признаки основного заболевания, затем состояние больного начинает
неуклонно ухудшаться, нарастают интоксикация и истощение больного, появляются
характерные для нокардиоза инфильтраты в легких с последующим формированием
множественных полостей. Терапия, проводимая против основного заболевания,
оказывается совершенно неэффективной, болезнь быстро переходит в генерализованную
форму.Генерализованная (септическая) форма вторичного нокардиоза развивается
быстрее, чем при первичном нокардиозе, так как основное заболевание приводит к
угнетению защитных сил организма, что является необходимым условием для
развития септического состояния. В остальном эта форма протекает так же, как и
первичная генерализованная форма.
Легочную форму нокардиоза необходимо дифференцировать от туберкулеза и рака
легкого и других глубоких микозов.Характерны поражение нижних отделов легких
при нетронутости верхушек, поражение плевры без образования выпота, отсутствие
микобактерий туберкулеза в мокроте, тенденция к генерализации с образованием
абсцессов мозга и внутренних органов, прогрессирующее тяжелое течение.
Подтверждением диагноза служит обнаружение нокардий в мокроте,
цереброспинальной жидкости, гное из свищей и абсцессов, бронхиальных смывов и
соскобов, подтверждением экспериментов на животных.Необходима грамотная и
пролонгированная химиотерапия фактически всем пациентам. Хотя целесообразность
хирургического дренирования эмпиемы и абсцессов мозга, подкожной клетчатки не
вызывает сомнения, оно не приводит к полному выздоровлению больных. При
современных методах терапии удается спасти около 90% больных с. изолированными
поражениями легких. При абсцессе мозга лишь половину. Необходимо предупреждать
травмы слизистых оболочек и кожи, а также следить за чистотой быта и использовать
при работе в эндемическом районе защитную одежду. Специфической профилактики не
разработано.
3.3.
Аспергилл.
Аспергиллёз—
заболевание, вызываемое плесневыми грибками рода Aspergillus и характеризующееся
поражением различных органов, чаще бронхолегочной системы, встречается у
человека и животных. Их можно обнаружить в слюне и мокроте вполне здоровых
людей. Различают экзогенный и эндогенный аспергиллёз. Аспергиллы являются гетеротрофами, аэробами; растут при
температуре. Большая часть его штаммов безвредна для людей, но некоторые могут
вызвать серьезную инфекцию, особенно если их споры вдохнет человек с
ослабленным иммунитетом, болезнями легких. Факторы риска включают: низкий
уровень лейкоцитов (лейкопения), астма, каверны в легких, анкилозирующий спондилит,
длительное лечение кортикостероидами, пребывание в больнице, генетическая
предрасположенность. Культуры грибка длительно сохраняются при замораживании, высушивании[9].
Им принадлежит ведущая роль в порче зерна, сена, сырья для ткацких фабрик. Их
часто обнаруживают и на улице, и внутри помещений, в воздухе, в системах
кондиционирования, соскобах со стен, потолков, пола, в смывах с предметов обихода.Экзогенный
аспергиллёз развивается при аэрогенном (вдыхание спор грибка), алиментарном
(употребление зараженных грибками продуктов питания) и контактном (через
поврежденные кожу, слизистые оболочки) инфицировании. Возможность заражения
здорового человека от больного аспергиллезом. не установлена. Эндогенный
аспергиллез возникает по типу аутоинфекции при активации аспергилл, обитающих
на поверхности кожи и слизистых оболочек. Развитию аспергиллёза способствуют
снижение сопротивляемости организма, связанное с предшествующим заболеванием
(туберкулезом, сахарным диабетом, сильным дисбактериозом, абсцессом легкого),
применением иммунодепрессантов, цитостатиков, лучевой терапии; нерациональной
антибиотикотерапией; длительное пребывание в запыленном и сыром помещении [9].
Нередко аспергиллез развивается как профессиональное заболевание у работающих
на предприятиях, где применяют аспергиллы (производство лимонной кислоты,
этилового спирта); у лиц, соприкасающихся с обсемененным аспергиллами сырьем
(работников пивоваренных, хлопкоочистительных заводов, ткацких фабрик,
зернохранилищ). Чаще аспергиллёз возникает вторично на фоне какого-либо
заболевания (туберкулеза, опухоли, болезни крови, синдрома приобретенного
иммунного дефицита).При благоприятных условиях аспергиллы внедряются в ткани,
где, размножаясь, дают начало развитию микотического процесса. Чаще поражается
бронхолегочная система (бронхолегочный аспергиллёз). К редким поражениям
относят аспергиллёз центральной нервной системы.Иногда наблюдается гематогенное
распространение инфекции (в 10-20 % случаев поражается головной мозг), возможно
развитие генерализованного аспергиллеза (Рис.14).
Рисунок 14. Пути миграции аспергилл из легких.
Морфологические изменения при аспергиллёзе характеризуются некрозом тканей в
месте внедрения грибка. Среди некротических масс выявляют элементы грибка.
Возможно абсцедирование очага поражения. Вокруг зоны некроза при длительном
течении патологического процесса развивается грануляционная ткань — гранулема.Клиническая
картина определяется локализацией патологического
процесса. Первичный экзогенный бронхолегочный аспергиллёз характеризуется
развитием трахеобронхита, реже пневмонии [9]. Инкубационный период длится до
3 суток. Вначале наблюдаются непреходящее першение в горле, сухой кашель.
Затем возникают одышка, головная боль, «ломота в теле», лихорадка.В тяжелых
случаях появляется мокрота, определяются влажные хрипы в легких. При рациональной
терапии заболевание заканчивается выздоровлением через 7—10 дней. При отсутствии
лечения процесс принимает хроническое течение, сходное с течением эндогенного
бронхолегочного аспергиллеза. Вторичный экзогенный бронхолегочный аспергиллёз
протекает так же, как эндогенный бронхолегочный аспергиллез. Эндогенный
бронхолегочный аспергиллёз (первичный и вторичный) характеризуется развитием
бронхопневмонии с астматическим синдромом. Различают начальный и хронический
периоды болезни. Начальный период в большинстве случаев протекает менее остро,
чем первичный экзогенный бронхолегочный аспергиллез. Он проявляется болями в
груди, приступообразным кашлем со слизисто-гнойной мокротой, иногда с большим
количеством крови. Хронический период характеризуется сменой фаз обострения и
ремиссии, что обусловлено, в частности, чередованием фаз размножения грибка и
угнетения его роста. В фазе обострения отмечаются недомогание, кашель,
кровохарканье, одышка, ознобы, лейкоцитоз, повышение СОЭ. Возможно
абсцедирование очага с прорывом абсцесса в плевральную полость или в дренирующий
бронх, что ведет к диссеминации грибков. В фазе обострения могут возникать
кратковременные легочные кровотечения, приступы удушья. При прогрессировании процесса
болезнь переходит в деструктивную, необратимую стадию развития. Нарастаютбронхоэктазы,
в которых создается благоприятная среда для развития аспергилл. При рентгенологическом
исследовании легких обнаруживают мелкоочаговые затенения, отдельные крупные
плотные затенения без четких контуров. В области крупных затенений выявляют
признаки, абсцедирования, могут появляться полости с уровнем жидкости. Нередко
определяются деформация легочного рисунка, тяжистые и параллельные линейные
тени, признаки компенсаторной эмфиземы и фиброза легких.В фазе ремиссии
признаки заболевания менее выражены. Переход к фазе ремиссии при отсутствии
лечения характеризуется откашливанием крошковидного комочка с запахом плесени.Аспергиллез
других локализаций наблюдается редко [9]. Отмечено, что стали чаще встречаться
такие редкие формы инвазивного аспергиллеза, как поражение головного мозга. Аспергиллез
центральной нервной системы характеризуется очень высокой летальностью (до
90%), неспецифическими симптомами и поздней диагностикой. Поражение головного
мозга зависит от степени иммуносупрессии больных. Основными его вариантами
являются абсцесс и кровоизлияние в вещество головного мозга. Также возможно
развитие ишемических очагов в головном мозгу.Церебральный аспергиллез. чаще
развивается как метастатический процесс из первичного очага поражения (легких,
орбит, околоносовых пазух), протекает в видеменингоэнцефалита, с последующей
окклюзиейинтракраниальных сосудов вплоть до инфаркта и абсцесса головного мозга
(Рис.15.). Аспергиллез головного мозга чаще проявляется нарушением сознания,головокружением,
тошнотой и рвотой, очаговой неврологической симптоматикой и головными болями.
Рисунок 15. Компьютерная томография очагов аспергиллеза
головного мозга.
При
микроскопическом исследовании мазков, приготовленных из патологического материала,
выявляют короткие веточки мономорфного, септированного, тонкого мицелия и
одиночные или сгруппированные, округлые, шероховатые, бесцветные или пигментированные
конидии (зрелые наружные споры) на конидиеносцах (Рис.16)
Рисунок 16. Аспергилл.
Диагностически информативными признаками аспергиллёза являются
обнаружение элементов грибков в патологическом материале и в сочетании с
положительными серологическими реакциями. При гистологическом исследовании
пораженной ткани грибки выявляются в виде клубка, в случае доступа воздуха в
ткани образуются характерные «леечные» головки грибка с цепочками конидий. С
помощью серологической реакции определяют антитела к аспергиллезному антигену.Дифференциальная
диагностика сложна из-за сходства аспергиллёза со многими болезнями. В
начальном периоде бронхолегочный аспергиллёз напоминает острые респираторные
болезни. В хроническом периоде он может иметь сходство с туберкулезом, опухолью.
Неэффективность антибактериальной, десенсибилизирующей, гормональной терапии
указывает на возможность аспергиллеза. При лечении
назначают противогрибковые препараты. Больные аспергиллёзом подлежат
диспансерному наблюдению. Хирургическая резекция поражений может иметь решающее
значение в предупреждении серьезных неврологических последствий. В связи с
возможностью рецидива наблюдение должно продолжаться в течение 1—2 лет. Прогноз
при первичном экзогенном бронхолегочном
аспергиллёзе благоприятный, при вторичном — зависит от течения основного
заболевания. При аспергиллезе головного мозга. прогноз неблагоприятен, его
часто выявляют лишь посмертно. Трудность диагностики церебральных поражений
связана с тем, что симптомы при них отмечаются также при опухолях мозга,
менингитах. Профилактика включает герметизацию технологических процессов,
связанных с применением грибков и сырья, обсемененного грибками; микологический
контроль окружающей среды; регулярные микологические обследования лиц, соприкасающихся
со спорами грибков, получающихцитостатическуюи гормональную терапию, страдающих
хроническими неспецифическими заболеваниями легких).
ЗАКЛЮЧЕНИЕ
Паразитарные заболевания нервной системы представляют
для врачей большие сложности в плане диагностики и лечения больных.
- преимущественно поражается центральная нервная система.Паразитозыпротекают
по типу опухоли снеуклонным нарастанием симптомов или по типу энцефалита с
острым началом.
Присутствуя в человеческой популяции, паразиты угнетают
иммунную систему [6]. Микозы занимают важное место в структуре инфекционной
заболеваемости. Индустриализация может сопровождаться снижением резистентности
людей вообще. Это приводит к увеличению диссименированных форм микозов с
поражением центральной нервной системы. Увеличивается число заболевших
криптококковой инфекцией. Обладая выраженным нейротропизмом, криптококки
обуславливают развитие агрессивной инфекции, заканчивающейся без лечения
летальным исходом.
Многолетнее присутствие в организме больного делает проблему
онкогенности паразитов более важной. Хроническое раздражение приводит к пролиферации
клеток хозяина, появлению ростомодулирующего фактора в крови людей (токсокароз).
Помимо значимости для общественного здравоохранения, паразитозы
наносят экономический ущерб. Паразитарные организмы постоянно присутствуют в
водных и наземных биоценозах. Необходимо учитывать риск для здоровья людей,
связанный с обсеменением окружающей среды. Из-за загрязнения детских песочниц
происходит инвазирование детей токсокарами, приводящее к отклонениям в моторной
и познавательной функции.
Многочисленность видов возбудителей паразитарных болезней,
разнообразие факторов их передачи указывает на необходимость переосмысления
роли простейших, грибов и гельминтов в патологии человека. Глобальное значение проблемы паразитарных заболеваний
подчеркивается выбором в Стокгольме лауреатов Нобелевской премии в номинации «Медицина
и физиология» американца Кэмпбелла, японцаОмура и китаянки Юю Ту. Их наградили
за изобретение новых препаратов против паразитарных инфекций.
СПИСОК ЛИТЕРАТУРЫ
1.Астафьев Б.А.
Очерки по общей патологии гельминтозов человека. М., Медицина, 1975, 287 с.
2. Астафьев Б.А.
Иммунопатологические проявления и осложнения гельминтозов. М., Медицинское
издательство,2005, 124 с.
3. Бекиш О-Я.Л.
Медицинская паразитология. Учебное пособие. Л., 1ЛГМИ, 1989, 90с.
4. Васильева Н.В.
Криптококки и криптококкоз на современном этапе. Ж. Проблемы медицинской
микологии, 2002, Т 4, №2. с.45-46.
5. Возианова Ж.И.
Инфекционные и паразитарные болезни. Т.2. Киев, Здоровя, 2001, 690 с.
6. Делягин В.М.
Гельминтозы в практике педиатра. Методические рекомендации. М., 2008, 30 с.
7.Команденко Н.И.
Паразитарные заболевания центральной нервной системы. Дифференциальная диагностика
нервных болезней. Руководство для врачей под ред. Акимова Г.А., Одинака М.М.,
СПб, Гиппократ, 2000. с.474-485.
8. Лесовой В.С.,
Липницкий А.В. Микозы центральной нервной системы (обзор).Проблемы медицинской
микологии. 2008, Т.10, №1, с.3-7.
9. Под
ред. В.Б. Сбойчакова. Медицинская микология. Руководство для врачей. М,
ГЭОТАР-Медиа, 2008, 208 с.
10. Под ред.
Семенова В.М. Руководство по инфекционным болезням. М., МИА, 2008, 374 с.
11. Хмельницкий
О.К., Васильева Н.В., Насыров Р.А. Патоморфогенезкриптококкоза центральной
нервной системы. Ж. Проблемы медицинской микологии. 2002, Т 4, №2, с. 46.
12. Ходжоян А.Б.
Макаренко. Э.Н. Гевандова М.Г. Громова Н.Н. Протозойные заболевания человека.
Учебное пособие. Ставрополь, 2012, с. 5.
13. Ходжоян А.Б.
Медицинская паразитология и паразитарные болезни. М, ТАОТАР-Медиа, 2014, 448 с.
14. Под ред.
Шуваловой Е.П. Тропические болезни, СПб, ЭЛБИ, 2004, 704с.