Рентгеноанатомия глазницы
ФГБОУ ВПО
«Пензенский Государственный Университет»
Медицинский
институт
Кафедра
анатомии человека
Курсовая
работа
по
топографической анатомии человека
на тему:
«Рентгеноанатомия глазницы»
Выполнил:
студент группы 14лл12 2 курса
Косарев
С.С.
Проверила:
к.м.н., доцент Калмина О.А.
Пенза 2016
г.
Цель работы - получение навыков
описания органов глазницы.
ТЕОРЕТИЧЕСКАЯ ЧАСТЬ
В глазнице располагаются орган зрения, который
является частью зрительного анализатора и состоит из глаза (глазное яблоко) и
его вспомогательных органов (мышцы, связки, фасции, надкостница глазницы,
влагалище глазного яблока, жировое тело глазницы, веки, конъюнктива и слезный
аппарат).
методы лучевого
исследования
Рентгенологический метод имеет важное значение в
первичной диагностике. Однако основными методами лучевой диагностики в
офтальмологии стали КТ, МРТ и УЗИ. Эти методы позволяют оценить состояние не
только глазного яблока, но и всех вспомогательных органов глаза.
РЕНТГЕНОЛОГИЧЕСКИЙ МЕТОД
Целью рентгенологического исследования является
выявление патологических изменений глазницы, локализация рентгеноконтрастных
инородных тел и оценка состояния слезного аппарата.
Рентгенологическое исследование при диагностике
заболеваний и повреждений глаза и глазницы включает в себя выполнение обзорных
и специальных снимков.
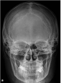
ОБЗОРНЫЕ РЕНТГЕНОГРАММЫ ГЛАЗНИЦ
На рентгенограммах глазницы в носоподбородочной,
носолобной и боковой проекциях визуализируются вход в глазницу, ее стенки,
иногда малое и большое крылья клиновидной кости, верхняя глазничная щель (см.
рис. 1).

Рис. 1. Рентгенограммы глазниц в носолобной (а),
носоподбородочной (б) и боковой (в) проекциях
специальные методики
рентгенологического исследования глазниц
Рентгенография глазницы в передней косой
проекции (снимок зрительного канала по Резе)
Основное назначение снимка - получение
изображения зрительного канала. Снимки для сравнения производятся обязательно с
обеих сторон.
На снимках отображаются зрительный канал, вход в
глазницу, решетчатые ячейки (рис.2).
Рис. 2. Рентгенограмма глазниц в косой плоскости
по Резе. Норма
Рентгенологическое исследование глаза с протезом
Комберга-Балтина
Выполняется для определения локализации
инородных тел. Протез Комберга-Балтина представляет собой контактную линзу со
свинцовыми метками по краям протеза. Снимок производят в носоподбородочной и
боковой проекциях при фиксации взора на точке, находящейся прямо перед глазами.
Локализацию инородных тел по снимкам осуществляют с помощью схем-измерителей
(рис. 3).

Рис. 3. Рентгенограммы глазного яблока с
протезом Комберга-Балтина (тонкая стрелка) в боковой (а), аксиальной (б)
проекциях. Инородное тело глазницы (толстая стрелка)
Контрастное
исследование слезных путей (дакриоцистография)
Исследование выполняется с введением РКС в
слезные пути для оценки состояния слезного мешка и проходимости слезного
протока. При непроходимости носослезного протока четко выявляются уровень
окклюзии и расширенный атоничный слезный мешок (см. рис. 4).
Рис. 4. Дакриоцистограмма. Норма (стрелками
указаны слезные ходы)
рентгеновская
компьютерная томография
рентгенологический повреждение глаз
томография
КТ проводится для диагностики заболеваний и
повреждений глаза и глазницы, зрительного нерва, экстраокулярных мышц.
При оценке состояния различных анатомических
структур глаза и глазницы необходимо знать их плотностные характеристики. В норме
средние значения денситометрических: хрусталика составляет 110-120 HU,
стекловидного тела - 10-16 HU, оболочек глаза - 50-60 HU, зрительного нерва -
42-48 HU, экстраокулярных мышц - 68-74 HU.
КТ позволяет выявить опухолевые поражения всех
отделов зрительного нерва. Отчетливо визуализируются опухоли глазницы,
заболевания рет-робульбарной клетчатки, инородные тела глазного яблока и
глазницы, в том числе и рентгеноконтрастные, а также повреждения стенок
глазницы. КТ позволяет не только выявлять инородные тела в любом отделе
глазницы, но и определять их размеры, локализацию, внедрение в веки, мышцы
глазного яблока и зрительный нерв.
МАГНИТНО-РЕЗОНАНСНАЯ ТОМОГРАФИЯ
НОРМАЛЬНАЯ МАГНИТНО-РЕЗОНАНСНАЯ АНАТОМИЯ ГЛАЗА И
ГЛАЗНИЦЫ
Костные стенки глазниц дают выраженный
гипоинтенсивный сигнал на Т1-ВИ и на Т2-ВИ. Глазное яблоко состоит из оболочек
и оптической системы. Оболочки глазного яблока (склера, сосудистая оболочка и
сетчатка) визуализируются в виде четкой темной полоски на Т1-ВИ на Т2-ВИ,
окаймляющей глазное яблоко как единое целое. Из элементов оптической системы на
МР-томограммах видны передняя камера, хрусталик и стекловидное тело (см. рис.
5).
Рис. 5. МР-томограмма глаза в норме: 1 -
хрусталик; 2 - стекловидное тело глазного яблока; 3 - слезная железа; 4 -
зрительный нерв; 5 - ретробульбарное пространство; 6 - верхняя прямая мышца; 7
- внутренняя прямая мышца; 8 - наружная прямая мышца;9 - нижняя прямая мышца
Передняя камера содержит водянистую влагу,
вследствие чего дает выраженный гиперинтенсивный сигнал на Т2-ВИ. Хрусталику
свойствен выраженный гипоинтенсивный сигнал и на Т1-ВИ, и на Т2-ВИ, так как он
представляет собой полутвердое бессосудистое тело. Стекловидное тело дает
повышенный МР-сигнал на Т2-ВИ и пониженный - на Т1-ВИ. МР-сигнал рыхлой
ретробульбарной клетчатки имеет высокую интенсивность на Т2-ВИ и низкую - на
Т1-ВИ.
МРТ позволяет проследить зрительный нерв на всем
протяжении. Он начинается от диска, имеет S-образный изгиб и заканчивается в
хиазме. Особенно эффективны для его визуализации аксиальная и сагиттальная
плоскости.
Экстраокулярные мышцы на МР-томограммах по
интенсивности МР-сигнала значительно отличаются от ретробульбарной клетчатки,
вследствие чего четко визуализируются на всем протяжении. Четыре прямые мышцы с
однородным изоинтенсивным сигналом начинаются от сухожильного кольца и
направляются по бокам от глазного яблока к склере.
Между внутренними стенками глазниц расположены
решетчатые пазухи, содержащие воздух и дающие в связи с этим выраженный
гипоинтенсивный сигнал с четкой дифференциацией ячеек. Латеральнее от
решетчатого лабиринта располагаются верхнечелюстные пазухи, также дающие
гипоинтенсивный сигнал и на Т1-ВИ, и на Т2-ВИ.
Одним из основных преимуществ МРТ является
возможность получения изображения внутриглазничных структур в трех взаимно
перпендикулярных плоскостях: аксиальной, сагиттальной и фронтальной
(корональной).
УЛЬТРАЗВУКОВОЙ МЕТОД
Эхографическое изображение глазного яблока в
норме имеет вид округлого эхо-негативного образования. В передних его отделах
лоцируются 2 эхогенные линии как отображение капсулы хрусталика. Задняя
поверхность хрусталика выпуклая. При попадании в плоскость сканирования
зрительный нерв виден как эхонегатив-ная, вертикально идущая полоска сразу за
глазным яблоком. Вследствие широкой эхотени от глазного яблока ретробульбарное
пространство не дифференцируется.
РАДИОНУКЛИДНЫЙ МЕТОД
Позитронно-эмиссионная томография позволяет
проводить дифференциальную диагностику злокачественных и доброкачественных
опухолей органа зрения по уровню метаболизма глюкозы.
Используется как для первичной диагностики, так
и после лечения - для определения рецидива опухолей. Имеет большое значение для
поиска отдаленных метастазов при злокачественных опухолях глаза и для
определения первичного очага при метастазировании в глазные ткани. Например,
первичным очагом в 65% случаев метастазирования в орган зрения является рак
молочной железы.
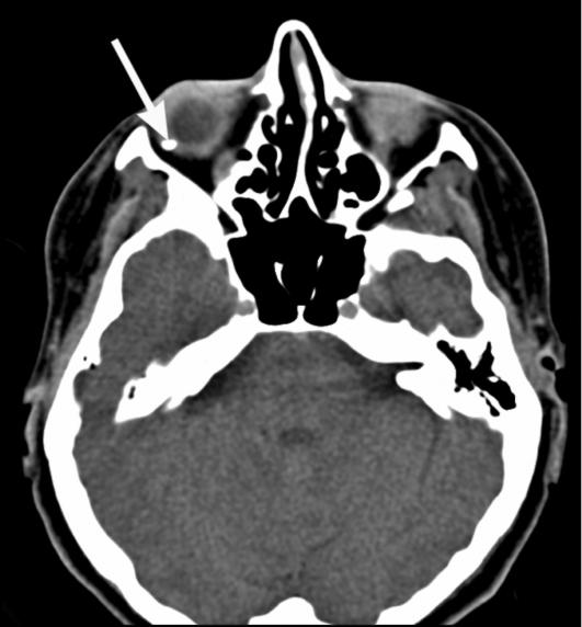
ЛУЧЕВАЯ ДИАГНОСТИКА ПОВРЕЖДЕНИЙ ГЛАЗА И ГЛАЗНИЦЫ
Переломы стенок глазницы
Рентгенография: линия перелома стенки глазницы с
костными отломками (см. рис. 6).
Рис. 6. Компьютерная томограмма. Ос-кольчатый
перелом нижней стенки глазницы (стрелка)
КТ: дефект костной стенки глазницы, смещение
костных отломков (симптом «ступени»). Косвенные признаки: кровь в околоносовых
пазухах, ретробульбарная гематома и воздух в ретробульбарной клетчатке (см.
рис. 6).
МРТ: переломы определяются неотчетливо. Можно
выявить косвенные признаки переломов: скопления жидкости в околоносовых пазухах
и воздуха - в структурах поврежденного глаза. При повреждении излившаяся кровь,
как правило, полностью заполняет околоносовую пазуху, и интенсивность
МР-сигнала зависит от сроков кровоизлияния. При ос-кольчатых переломах нижней
стенки глазницы со смещением содержимого в верхнечелюстную пазуху появляется
гипофтальм.
Скопление воздуха в поврежденных структурах
глаза при МРТ отчетливо выявляется в виде очагов выраженного гипоинтенсивного
сигнала на Т1-ВИ и на Т2-ВИ на фоне обычного изображения тканей глазницы.
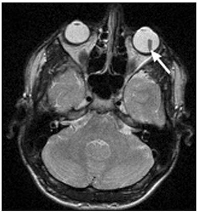
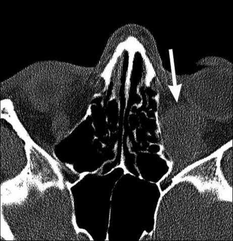
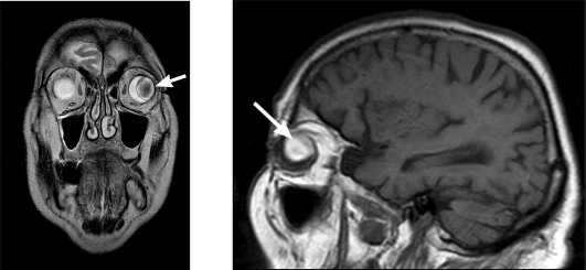
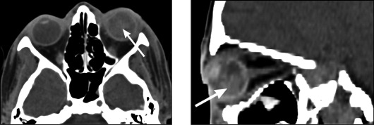
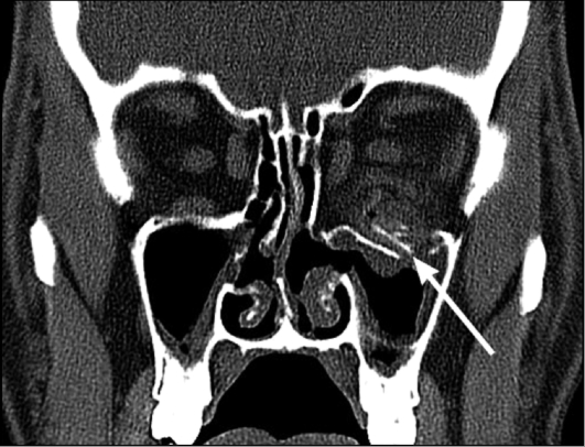
Инородные тела
Рентгенография по методике Комберга-Балтина: для
определения их внутри-или внеглазного расположения проводят
рентгенофункциональные исследования с выполнением снимков при взгляде вверх и
вниз (см. рис. 3).
КТ: метод выбора для выявления
рентгеноконтрастных инородных тел (рис. 7).
Рис. 7. Компьютерные томограммы. Инородное тело
правого глазного яблока (стрелка)
МРТ: возможна визуализация рентгенонеконтрастных
инородных тел (см. рис. 8).
Рис. 8. МР-томограмма. Пластмассовое инородное
тело левого глазного яблока (стрелка)
Рис. 9. Эхограмма глазного яблока. Инородное
тело глазного яблока (искусственный хрусталик)
Внутриглазные кровоизлияния
УЗИ: свежие кровоизлияния отображаются при
эхографии в виде небольших гиперэхогенных включений. Иногда удается выявить их
свободное перемещение внутри глаза при смещениях глазных яблок, в более поздние
сроки гемофтальма формируются плотные внутриглазные тяжи и образуются шварты
(см. рис. 10).
Рис. 10. Эхограммы глазного яблока: а) свежее
кровоизлияние в полости стекловидного тела, б) формирование
соединительнотканных тяжей, фиброз стекловидного тела
КТ: гематомы дают зоны повышенной плотности
(+40...+ 75 HU) (рис. 11).
Рис. 11. Компьютерные томограммы. Кровоизлияние
в полости стекловидного тела (стрелки)
МРТ: по информативности уступает КТ, особенно в
острой стадии кровоизлияния (рис. 12).
Рис. 12. МР-томограммы. Кровоизлияние в полости
стекловидного тела (подострая стадия) (стрелки)
Распознавание гемофтальма при МРТ основывается
на выявлении очагов и участков изменения интенсивности МР-сигнала на фоне
однородного сигнала от стекловидного тела. Визуализация кровоизлияний зависит
от давности их возникновения.
Травматическая отслойка сетчатки
УЗИ: отслойка сетчатки может быть неполной
(частичной) и полной (тотальной). Частично отслоенная сетчатка имеет вид четкой
эхоген-ной полоски, располагающейся у заднего полюса глаза и параллельно его
оболочкам.
Субтотальная отслойка сетчатки может быть в виде
плоской линии или в форме воронки; тотальная, как правило, воронкообразная или
Т-образная. Она расположена не у заднего полюса глаза, а ближе к его экватору
(отслойка может достигать 18 мм и более), поперек глазного яблока (рис. 13).
Воронкообразная отслойка сетчатки имеет типичную
форму в виде латинской буквы V с местом прикрепления у диска зрительного нерва
(см. рис. 13).
Рис. 13. Эхограммы глазного яблока: а)
субтотальная отслойка сетчатки; б) тотальная (воронкообразная) отслойка
сетчатки
ЛУЧЕВАЯ СЕМИОТИКА ЗАБОЛЕВАНИЙ ГЛАЗА И ГЛАЗНИЦЫ
Опухоль сосудистой оболочки глаза
(меланобластома)
УЗИ: гипоэхогенное образование неправильной
формы с нечеткими контурами на фоне выраженной отслойки сетчатки (см. рис. 14).
Рис. 14. Эхограмма глазного яблока.
Меланобластома
МРТ: меланобластома дает выраженный гипоинтенсивный
МР-сигнал на Т2-ВИ, который связан с сокращением релаксационных времен,
свойственных меланину. Опухоль располагается, как правило, на одной из стенок
глазного яблока с проминенцией в стекловидное тело. На Т1-ВИ меланобластома
проявляется гиперинтенсивным сигналом на фоне гипоинтенсивного сигнала от
глазного яблока.
ПЭТ-КТ: образование стенки глазного яблока
неоднородной мягкоткан-ной плотности с повышенным уровнем метаболизма глюкозы.
Опухоли глазницы
Опухоли зрительных нервов
КТ, МРТ: определяется утолщение пораженного
нерва различной формы и величины. Чаще встречается веретенообразное,
цилиндрическое или округлое расширение зрительного нерва. При одностороннем
поражении зрительного нерва четко определяется экзофтальм на стороне поражения.
Глиома зрительного нерва может занимать практически всю полость глазницы (рис.
15). Более четкие данные о структуре и распространенности опухоли дают Т2-ВИ,
на которых опухоль проявляется гиперинтенсивным МР-сигналом.
Рис. 15. Компьютерная томограмма. Невринома
зрительного нерва
КТ и МРТ контрастные: после внутривенного
усиления отмечается умеренное накопление КВ опухолевым узлом.
Сосудистые опухоли глазницы (гемангиома,
лимфангиома)
КТ, МРТ: опухолям свойственна отчетливая васкуляризация,
вследствие чего они интенсивно накапливают контрастное вещество.
Опухоли слезной железы
КТ, МРТ: опухоль локализуется в верхненаружном
отделе глазницы и дает гиперинтенсивный МР-сигнал на Т2-ВИ и изогипоинтенсивный
- на Т1-ВИ. Злокачественные формы опухоли слезной железы вовлекают в
патологический процесс прилежащие кости. При этом отмечаются деструктивные
изменения костей, которые визуализируются на КТ.
Дакриоцистит
Рентгенография, КТ, МРТ: в верхненаружном отделе
глазницы визуализируется увеличенный слезный мешок с жидким содержимым,
утолщенными и неровными стенками (рис. 16).
Рис. 16. Дакриоцистит: а) дакриоцистограмма; б,
в) компьютерные томограммы
Эндокринная офтальмопатия
КТ, МРТ: различают 3 варианта эндокринной
офтальмопатии:
с преимущественным поражением экстраокулярных
мышц;
с преимущественным поражением ретробульбарной
клетчатки;
по смешанному типу (поражение экстраокулярных
мышц и ретро-бульбарной клетчатки).
Патогномоничными КТ- и МРТ-признаками
эндокринной офтальмопатии являются утолщение и уплотнение экстраокулярных мышц.
Чаще поражаются внутренняя и наружная прямые, нижняя прямая мышцы. К числу
основных признаков эндокринной офтальмопатии относится и изменение
ретробульбарной клетчатки в виде отека, сосудистого полнокровия, увеличения
объема глазницы.
Практическая
часть
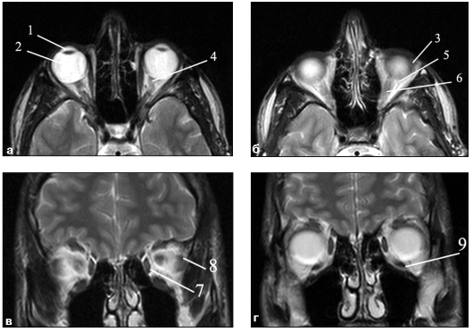
Проекция
Мт №1
На Проекции Мт №1
визуализируются следующие
анатомические образования:
.Слезная железа - Glandula
lacrimalis
.Ретробульбарное пространство -
Spatium retrobulbar
3.Верхняя
прямая
мышца
- M. Rectus superior
.Глазное
яблоко
- Bulbus occuli
Проекция Мт №2
На Проекции Мт №2
визуализируются следующие
анатомические образования:
.Мышца поднимающая веко - M.Levator
palpebrae
.Наружняя прямая мышца - M.
Rectus externus
3.Нижняя
прямая
мышца
- M. Rectus inferior
.Общее
сухожильное
кольцо
- Annulus tendineus communis
.Глазное
яблоко
- Bulbus occuli
.Верхняя
косая
мышца
- M.obliquus superior
Проекция
Мт №3
На Проекции Мт №3
.Склера - Sclera
.Роговица - Cornea
.Глазничная поверхность верхней челюсти - Facies
orbitalis
maxillae
.Угловая артерия - A.
Angularis
. Аплазия правой лобной пазухи
Проекция МТ №4
На Проекции Мт №4
визуализируются следующие анатомические
образования:
1.Верхняя
прямая
мышца
- M. Rectus superior
.Верхняя
косая
мышца
- M.obliquus superior
3.Латеральная прямая мышца - M.
Rectus lateralis
4.Нижняя
прямая
мышца
- M. Rectus inferior
5.Медиальная прямая мышца - M.
Rectus medialis
.Слезоносовой канал Canalis
nasolacrimalis
. Твердая оболочка зрительного нерва
.Зрительный нерв - N.opticus
. Ретробульбарное пространство - Spatium
retrobulbar
.Блок - Trochlea
Проекция Мт №5
На Проекции Мт №5
визуализируются следующие анатомические
образования:
.Зрительный нерв - N.
Opticus
.Радужковая часть сетчатки - Pars
iridica retinae
.Передняя камера - Camera
anterior
.Стекловидное тело - Corpus
vitreum
.Слезная железа - Gl.
Lacrimalis
.Угловая артерия -A.
Angularis
.Надглазничная артерия - A.
Supraorbitalis
. Ретробульбарное пространство - Spatium
retrobulbar
.Слезная артерия - A.Lacrimalis
Проекция МРТ №6
На Проекции МРТ №6
визуализируются следующие анатомические
образования:
1.Глазное яблоко - Bulbus
occuli
.Верхнее веко - Palpebra
superior
.Блок - Trochlea
. Верхняя косая мышца - M.obliquus
superior
. Твердая оболочка зрительного нерва
.Зрительный нерв - N.
opticus
. Латеральная прямая мышца - M.
Rectus lateralis
. Ретробульбарное пространство - Spatium
retrobulbar
Заключение
В данной работе была описана
анатомия глазницы: различные проекции МРТ черепа.
Список литературы
.
Анатомия человека. В 2 томах /Том 1 Под ред. М.Р. Сапина. - М.: Медицина 1997,
545 стр.
.
Синельников Р.Д. Синельников Я.Р. Атлас анатомии человека. В 4 томах. Том 1.
Медицина 1996, 344 стр.
.
Гайворонский И.В. Нормальная анатомия человека. В 2 томах.- СПБ: Спец Лит.
2000, 424 стр.
.
Воробьев В.П. В 75. Атлас анатомии человека.-Мн.: Харвест, 2000, 1472 стр.
.
Беленький В.Я., Язовских В.М. «Электронно-лучевая, лазерная и ионно-лучевая
обработка материалов». Пермь, 1995, 75 стр.
.
Лучевая терапия с помощью излучений высокой энергии / под ред. И. Беккера, Г.
Шуберта. - М.: Медицина, 1964. - 624 с.
.
Сапин М.Р. Анатомия человека. - М.: Медицина, 2001-2002 в 2-х томах.
.
Гайворонский И.В. Норм. Анатомия человека: В 2т: Учеб. - СПб.: Спец. литр.,
2003-2004, 984 стр.
9.
Рентгенологическое исследование позвоночника в норме.//
<http://formen.narod.ru/osteo_rentgen.htm//> (9.12.2005).
.
Лучевая диагностика заболеваний и повреждений органа зрения <http://vmede.org/sait/?id=Onkilogiya_trufanov_t1_2010&menu=Onkilogiya_trufanov_t1_2010&page=16>