ВЫЖИВАЕМОСТЬ НОВОРОЖДЕННЫХ ПРИ МНОЖЕСТВЕННЫХ ПОРОКАХ РАЗВИТИЯ

  • Вид работы:
    Статья
  • Предмет:
    Медицина, физкультура, здравоохранение
  • Язык:
    Русский
    ,
    Формат файла:
    MS Word
    839,53 Кб
  • Опубликовано:
    2017-01-28
Вы можете узнать стоимость помощи в написании студенческой работы.
Помощь в написании работы, которую точно примут!

ВЫЖИВАЕМОСТЬ НОВОРОЖДЕННЫХ ПРИ МНОЖЕСТВЕННЫХ ПОРОКАХ РАЗВИТИЯ

ВЫЖИВАЕМОСТЬ НОВОРОЖДЕННЫХ ПРИ МНОЖЕСТВЕННЫХ

ПОРОКАХ РАЗВИТИЯ

Ю.С.Староконь

Научный руководитель и.о. профессор С.Т. Кизатова

КГМУ, кафедра детских болезней №2,

Караганда, Казахстан

SIRVIVAL OF NEWBORNS WITH MULTIPLE CONGENITAL ANOMALIES

Y.S. Starokon

Supervisor Professor S.T. Kizatova

KSMU, Department of Children Diseases №2

Karaganda, Kazakhstan

 

           В статье представлен клинический случай множественных  врожденных  пороков развития у новорожденного – сочетание  врожденных пороков пищеварительной системы с  врожденными пороками сердечно-сосудистой системы.

 Ключевые слова:  врожденные пороки развития пищеварительной системы, дефект межпредсердной перегородки, пороки развития у детей

            Врожденные пороки  развития (ВПР) занимают одно из первых мест как в структуре детской заболеваемости и инвалидности, так и в перинатальной и ранней детской смертности. По данным ВОЗ, популяционная частота врожденных пороков и аномалий развития среди населения составляет 1,5-5% (в отдельных странах - от 2,7 до 16,3%); средняя частота - 3%, или 30 случаев ВПР на 1000 рождений. Количество врожденных пороков развития в  последнее десятилетие заметно увеличилось, а удельный вес наследственной и врожденной патологии в структуре заболеваемости и смертности новорожденных и детей раннего возраста продолжает расти.

Атрезия пищевода относится к угрожающим жизни порокам развития, частота которого составляет от 1 2440 до 1 4500 новорожденных (Исаков Ю Ф , 1997, Баиров В Г, 1998, Красовская ТВ ,2003, Кожевников В А , 2005, Depaepe A et al, 1993, Montgomery М et al, 1995, Kovesi T, 2004, Forrester M В , 2005)

В последние 10-15 лет достигнуты значительные успехи в лечении атрезии пищевода в связи с совершенствованием медицинских технологий, достижениями в неонатологии, детской хирургии, интенсивной терапии и анестезиологии новорожденных. Отмечается отчетливая тенденция к увеличению выживаемости новорожденных с атрезией пищевода, которая достигает 70-90 % (Красовская ТВ исоавт, 2003, Немилова ТК , 2003, Баиров В Г, 2004,Кожевников В А , 2004, Spitz L , 2001,Touloukian R, 2004, Yang С , 2006)

          Сочетание множественных врожденных пороков развития пищеварительной системы, сердечно-сосудистой системы представляет клинический интерес с точки зрения сложности прижизненной диагностики у новорожденных. В связи с редкостью патологии мы  бы хотели представить в данной статье клинический случай из практики.

             Целью нашего исследования является изучение клинико-лабораторных особенностей  течения множественных пороков развития у новорожденных.

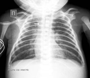
Материалы и методы. Описанный клинический случай сочетанных множественных пороков развития, ребенка Г., в возрасте 3 месяцев находящегося в ОРИТ КГП «ОДКБ».  Данному ребенку были проведены комплексное обследование, в том числе R-графия ОГК, НСГ. (Рис.1)











Рисунок №1

При поступлении жалобы на: пенистое отделяемое изо рта с первого дня жизни.

            Из анамнеза заболевания: ребенок болеет с рождения. Находился в ОРИТ с 25.09.16 по 24.11.16г. с д\з: МВПР. ВПР ЖКТ. Атрезия пищевода с нижним трахеопищеводным свищем. Состояние после лапаратомии, устранения трахеопищеводного свища, гастростомии (26.09.16г.). ВПС: ДМПП. Сепсис, вызванный Staphylococcus saprophyticus. Двусторонняя полисегментарная пневмония. БЛД. Аспирационная пневмония, ДН 2-3 степени. Гипоксически - ишемическое повреждение ЦНС, тяжелой степени, ПВК 2 степени с обеих сторон. Недоношенность в сроке 36 недель.

Из анамнеза жизни: Ребёнок от 1 беременности с многоводием, от 1-х преждевременных оперативных родов в сроке 36 недель. Пренатально ВПР  не выявлены . Безводный период 36 час. 33 мин. Вес при рождении 2379,0 гр., рост 45 см. По шкале Апгар 6-7 баллов.   После рождения отмечаются дыхательные нарушения, пенистое отделяемое изо рта. Положительная проба Элефанта. К груди не приложен.  Оксигенация через лицевую маску. Консультирован детским хирургом выставлен д\з: Врожденная атрезия пищевода. Нижний трахео - пищеводный свищ. Рекомендован перевод в «ОДКБ» в экстренном порядке для дальнейшего оперативного лечения. По тяжести состояния госпитализирован в ОРИТ. Не привит. Аллергоанамнез не отягощен. Наследственность не отягощена.

            Объективные данные при поступлении в ОРИТ:

Состояние ребенка очень тяжелое. Тяжесть обусловлена ДН, поражением ЦНС, интоксикацией, на фоне незрелости, врожденного порока развития ЖКТ. Доставлен на спонтанном дыхании. В сознании, на осмотр реагирует повышением двигательной активности, болезненная гримаса на лице, подстанывает. Установлен зонд в пищевод, около 10см, выделяется вязкий слизистый секрет. Признаки незрелости. Ребенок пониженного питания. Тепло удерживает плохо.

Отмечается акроцианоз, изо рта пенистое отделяемое. В отделении дан увлажненный О2. Одышка смешанная, с участием вспомогательной мускулатуры грудной клетки, выслушиваются дистанционные хрипы. Правая половина несколько отстает в акте дыхания. Перкуторно пестрота легочного тона, притупление справа. Аускультативно дыхание ослабленное, больше справа, выслушиваются влажные разнокалиберные хрипы, крепитирующие, больше слева. Из верхних дыхательных путей аспирировано умеренное количество слизистой мокроты. Тоны сердца приглушены, нечистота сердечных тонов. Подсоединен пульсоксиметр, сатурация снижена. Живот участвует в акте дыхания, несколько поддут в верхней половине, доступен пальпации во всех областях. Перистальтики не слышно. Пуповинный остаток лигирован. Анус сформирован правильно, вокруг ануса следы мекония. Поставлен мочевой катетер, заполнился светлой мочой. В условиях реанимационного зала ребенок интубирован оротрахеально трубкой 3,0мм, с манжетой.

26.09.16г. выполнено оперативное вмешательство: проведена верхнесрединная лапаратомия. Ревизия верхних отделов ЖКТ с мобилизацией дистального отдела пищевода через пищеводное отверстие диафрагмы до места сообщения с трахеей. Последний у выхода из трахеи прошит, перевязан, иссечен. Культя пищевода так же прошита, перевязана. Произведена гастростомия с выведением через отдельный разрез в левом подреберье катетера фолея №2. Диагноз после операции: МВПР, ВПР ЖКТ. Атрезия пищевода с нижним трахеопищеводным свищом.

Находился на ИВЛ в течение 1.5 месяца, учитывая эффективное самостоятельное дыхание ребенок переведен на спонтанное дыхание. 24.11.16 состояние ребенка стабилизировано, переведен в  х/о, выписан с улучшением.

Проведенное исследование за наблюдаемый период:

  

     Лабораторные показатели:

     Группа крови А(II) вторая Rh(+)положительный.

ОАК от 25.09.16: Нв 188 г/л, эрит. 6,2*1012/л, цп-0,9, тр-3,8,  лейк. -15,8*109/л, сегментоядерные-65%, п- 7%, Э-4%,  лимфоциты-18%, м-6%,СОЭ-2мм/ч.

ОАК от 07.12.16 : Нв 117 г/л, эрит. 4,1 *1012/л, лейк. -8,02*109/л, э-10,1%, м-19,8%, лимф. 42,4%., СОЭ-12 мм/ч, тромбоциты 368х 109/л. ЦП 0.84

ОАМ от 25.09.16: с/ж,проз., белок 0,05 г/л., лейкоциты 2-3, эритроциты Ед,эпителий 3-4.

ОАМ от 14.11. с\жёлтая, белок 0,058‰, эритроциты 1-2, ураты ++++, дрожжевые грибки +.

ОАМ от 08.12.16г.: кол.во 8,0 , цв. ссол.желт., мутн., отн.пл. м/м, белок нет, лейк. 1-0 в п.зр., окс. +, бакт. +++.

Биохимический анализ крови от 25.09.16: Общий белок 45г/л,  сахар-3,8ммоль/л, мочевина 6,2 ммоль/л,   АЛаТ-8,0ед\л, билирубин общ -61,3 мкмоль/л,

Сахар крови от 26.09.11 - 4,9 ммоль/л

Анализ ликвора (11.10.16): б/ц, прозр., цитоз – 1,0, белок – 1,0/л, сахар – 1,2ммоль/л.

Коагулограмма от 27.09.16г: ПТИ-82, АЧТВ-56, РФМК-отр

Коагулограмма от 14.11. МНО 1,56,Фибриноген 0,94, ПТИ 59%, АЧТВ 43.7, ПТВ 17.9, ТВ 13.3.

КЩС капил.крови от 25.09.16 в 13:09: pH - 7.325, pCO2 - 40.6, pO2 - 46.8, sO2 – 91,2%, глюкоза – 3,8, K – 5.9, Na – 134, BE - -4.4, HCO3 – 20.4.

Копроскопия от 24.09.16г:консистенция-каш, цвет-зел,слизь+,лейкоциты 4-6,бактерии+, нейт.жир++, дрож.грибки+.

Копроскопия от 06.12.16г.: неоф., желт., нейтр. жир++, бактерии ++++, слизь +, лейк. 1-0  в п/зр. Простейшие и я/гл. не обнаруж

Бак.посев кала от 26.09.16г: отр.

ИФА на ВУИ от 30.11.16г.: ЦМВ IgM отрицат., ЦМВ IgG положит. КП 5,6, ТОХ IgM отрицат., ТОХ IgG 20,0 МЕ/мл, Хламидии IgM отрицат., Хламидии IgG отрицат. - повторить через 3-4 недели для диф. диагностики с материнскими антителами.

Кровь на стерильность от 19.10.16 не стерильно. Staphylococcus saprophyticus 103/

Кровь на стерильность и чувствительность к антибиотикам от 29.11.16: стерильно

Кровь на ВИЧ от 05.12.16г.:  № 4210 отрицат.

ПЦР от 30.09.16г: гепатит В-отр, гепатит С-отр

    Инструментальные методы исследования:

Рентген грудной клетки от 25.09.16-  Атрезия пищевода с нижним трахеопищеводным свищом. (Рис.№2)

25.09.bmp

Рисунок№2

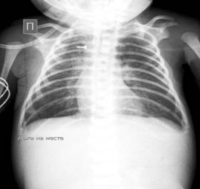
Рентген грудной клетки от 04.10.16 – R-приз. Аспирационной пневмонии.

(Рис.№3)

Гашимов Ю 2 мес 4.10.bmp

Рисунок№3

X-ray от 14.11.16  -Сохраняется усиленный легочной рисунок, слева в верхних отделах инфильтрация слабой интенсивности. Купол и синусы без особенностей.

ЭКГ  от 26.09.16: Синусовая тахикардия.Нагрузка на правое предсердие. Неполная блокада правый ножки пучка Гиса.Выраженные метаболические изменение.

НСГ от 25.09.16 –Перивентрикулярное  кровоизлияние 2 степени с обеих сторон. Гипоксическое повреждение. Множественные псевдокисты сосудистых сплетений. ВУИ?

НСГ от 28.09.16- Перивентрикулярное  кровоизлияние 2 степени с обеих сторон. Гипоксическое повреждение. Множественные псевдокисты сосудистых сплетений

НСГ от 22.11.16. Умеренная вентрикулодилятация. Псевдокиста правого сосудистого сплетения в стадии лизиса..

УЗИ от 15.11.16. УЗИ картина гепатомегалии. ССЖ.Реактивный панкеатит. УЗИ картина мочекислого диатеза.

ЭХО-КС от 26.09.16: Дефект межпредсердный перегородки. Расширение легочной артерии.

    Консультации специалистов:

Кардиолог от 26.09.16: ВПС(дефект межпредсердной перегородки).Открытый артериальный кровоток. Легочной гипертензия? НКI-IIА .

Невропатолог от 18.11.16 последствия энцефалопатии смешанного генеза

( гипоксически-геморрагически-инфекционного) тяжелой степени тяжести, синдром двигательных нарушений, синдром повышенной нейрорефлекторной возбудимости.

Консультирован сурдологом 02.12.16г.: периферический слух в норме. Повторить скрининг в 3,6,9,12 мес.

Осмотрен ЛОР врачом 06.12.16г.: Со стороны ЛОР органов без особенностей.

 Проведено  лечение в ОРИТ.   

- Выхаживание в кувезе;

 - Дробное энтеральное питание, под контролем усвоения.

- Обезболивание в послеоперационном периоде – анальгин+димедрол по 0,1мл;

- С целью седации – брюзепам  в послеоперационном периоде (17.02.16 – 19.02.16), фенобарбитал 7мг\кг\сут с 28.09.16;

- Антибактериальная терапия:Амоксиклав 120 мг*2 р/сут+Амикацин10мг*2 р/сут №10; Меропенем 55мг* 3 р/сут №14 , ванкомицин 40мг*4р №8; левомицетин 100мг/кг/сут+ Сумамед 10мг/кг/сут №20, Ципрофлоксацин 30 мг х 2 р №14 ,Цефтазидим 100 мг х 3 р.№10.

С противогрибковой целью Нофлук 16 мг  х 1 р №20

- ИТ в режиме парентерального питания  глюкозо-солевыми смесями + Аминоплазмаль+ Липофундин №15;

- с заместительной целью введен Ig G поливалентный человеческий –препарат «Октагам»  в дозе 2,5 гр.№2

- Сердечные гликозиды по 0,1мл*2р №3:

- С гемостатической целью – этамзилат 0,5мл*4р + амри К-0,2 мл*3 дня;;

-Сурфактантная терапия – «Куросурф» 240мг(по 120мг в каждый бронх) №1;

- С кардиотонической целью – дофамин 5мкг\кг\мин №7

- Трансфузионная терапия:

С целью возмещения дефицита факторов коагуляционного гемостаза – СЗП: л/ф, 100мл №1;

С целью возмещения анемии: эритровзвесь А(II) Rh(+), 50мл  №3

С целью возмещения тромбоцитов крови вводился  тромбоконцентрат №8

На фоне проведенной терапии состояние ребенка с положительной динамикой.  

По зонду из пищевода – слизистое отделяемое, по гастростоме отделяемого нет. Живот поддут, мягкий. Кормится по 60мл дробно через гастростому. Питание усваивает. в весе прибавляет. Стал кратковременно фиксировать взгляд, кратковременно следить. Стул регулярный, кашицеобразный. Мочится свободно. Мама обучена уходу за ребёнком: кормлению через гастростому, установке зонда в пищевод.

Результаты и обсуждение. Данный случай является вторым с благоприятным исходом за все время работы нашей клиники. В 95% случаев трахеопищеводный свищ сочетается с атрезией пищевода. Свищ обычно формируется между дистальным отделом пищевода и трахеей. В 30—40% случаев трахеопищеводный свищ и атрезия пищевода сочетаются с другими пороками развития, обычно синдромами VATER и VACTERL. Многие из них можно диагностировать заранее, еще во внутриутробном периоде, и подготовиться к их лечению. Пренатальная диагностика основана на косвенных признаках, таких как: многоводие, связанное со снижением оборота околоплодных вод вследствие неспособности плода заглатывать амниотическую жидкость, отсутствие эхографического изображения желудка или маленькие размеры желудка при динамическом УЗИ-наблюдении. Чувствительность этих признаков - 40-50%. Во II-III триместре возможна визуализация периодически наполняющегося и опустошающегося слепого проксимального конца пищевода с точностью 11-40%.

Основной задачей при данной патологии — предотвратить заброс содержимого пищевода в дыхательные пути. Прогнозирование исходов лечения атрезии пищевода должно основываться на степени недоношенности, наличии сопутствующих аномалий развития, в том числе, пороков сердца, необходимости перевода новорожденного после рождения на искусственную вентиляцию легких, протяженности диастаза между отрезками пищевода.

 При запоздалой диагностике атрезии пищевода дети умирают от тяжелой аспирационной пневмонии. Прогноз при ранней хирургической коррекции неосложненных форм атрезии пищевода – благоприятный. Выживаемость при изолированной атрезии пищевода составляет  по литературным данным 90-100%, при тяжёлых сочетанных аномалиях - 30-50%. При неосложненных формах атрезии пищевода прогноз благоприятный. В ближайшие годы после операции могут отмечаться дисфагия и нарушения питания, связанные с желудочно-пищеводным рефлюксом или развитием стеноза пищевода. Повышен риск развития респираторных инфекций, пневмонии, бронхиальной астмы в связи с микроаспирациями желудочного содержимого в трахею. В течение года после операции по поводу атрезии пищевода ребенок находится под диспансерным наблюдением детского хирурга и детского гастроэнтеролога.

 

В результате проведенного анализа был установлен клинический диагноз: МВПР. ВПР ЖКТ. Атрезия пищевода с нижним трахеопищеводным свищем. Состояние после лапаротомии устранения трахеопищеводного свища, гастростомии (26.09.16г.). ВПС. ДМПП. Недоношенность в сроке 36 недель. Реконвалесцент сепсиса, вызванный Staphylococcus saprophyticus. Реконвалесцент двусторонней полисегментарной пневмонии. БЛД. Белково-энергетическая недостаточность (истощение по ИВБДВ) Последствия энцефалопатии смешанного генеза, гипоксически - геморрагически - инфекционного, тяжелой степени тяжести. Синдром двигательных нарушений. ПВК 2 степени с обеих сторон. Высокий риск ДЦП.

Запланировано постепенное увеличение разового объема кормления до физиологической потребности. На фоне проводимого лечения состояние несколько стабилизировалось. В динамике запланирован второй этап оперативного лечения с целью удаления гастростомы.

Выводы. Несмотря на отсутствие пренатальной диагностики, своевременная постнатальная диагностика и проведение оперативного лечения у новорожденного с МВПР (ВПРЖКТ и ВПС) на фоне недоношенности и осложнений  был, достигнут благоприятный исход в нашем случае. В связи с этим представили данный клинический случай и алгоритм диагностики и лечения.

Литература

1. Детские болезни: Учебник для вузов. 7-ое издание. В двух томах. Т.1. – СПб.: Питер, 2013. – 928 с.: ил.

2. Кулаков В.И., Исаков Ю.Ф., Кучеров Ю.И. Пренатальная диагностика и лечение врожденных пороков развития на современном этапе. Рос. вестн. перинатоло- гии и педиатрии. 2006; 6: 18–23. / Kulakov V.I., Isakov Iu.F., Kucherov Iu.I. Prenatal'naia diagnostika i lechenie vrozhdennykh porokov razvitiia na sovremennom etape. Ros. vestn. perinatologii i pediatrii. 2006; 6: 18–23. [in Russian]

3. Баранов В.С. Научные и практические аспекты пренатальной диагностики// Вестн. РАМН. – 2003. – №10. – С. 8-13.

4. Барашнев, Ю.И. диагностика и лечение врожденных и наследственных заболеваний у детей / Ю.И.Барашнев, В.А.Бахарев, П.В.Новиков.— М.: Триада-х, 2004. — С.12-87.

5. Шабалов, Н.П. Неонатология / Н.П. Шабалов. — СПб.: Спец. лит, 2006. — С. 26-65.

6. Долецкий, С.Я. Хирургия новорожденных: Руководство для врачей / С.Я.Долецкий, В.В.Гаврюшов,В.Г. Акопян. — М.: Медицина, 1988. — 540 с.

  1. Бачина А.В. Гигиеническая диагностика и региональная модель мониторинга врожденных пороков развития. Дис.. канд. мед. наук. Кемерово, 2015. / Bachina A.V. Gigienicheskaia diagnostika i regional'naia model' monitoringa vrozhdennykh porokov razvitiia. Dis. ... kand. med. nauk. Kemerovo, 2015. [in Russian]

  1. Christianson А. - Medical genetics in developing countries// WHO Report. - 2005, 230- 232.




Похожие работы на - ВЫЖИВАЕМОСТЬ НОВОРОЖДЕННЫХ ПРИ МНОЖЕСТВЕННЫХ ПОРОКАХ РАЗВИТИЯ

 

Не нашли материал для своей работы?
Поможем написать уникальную работу
Без плагиата!
Без нейросетей!