Ультразвукові методи функціональної діагностики

  • Вид работы:
    Курсовая работа (т)
  • Предмет:
    Медицина, физкультура, здравоохранение
  • Язык:
    Украинский
    ,
    Формат файла:
    MS Word
    222,68 Кб
  • Опубликовано:
    2016-04-24
Вы можете узнать стоимость помощи в написании студенческой работы.
Помощь в написании работы, которую точно примут!

Ультразвукові методи функціональної діагностики

ДЕРЖАВНИЙ ВИЩИЙ НАВЧАЛЬНИЙ ЗАКЛАД

«ЗАПОРІЗЬКИЙ НАЦІОНАЛЬНИЙ УНІВЕРСИТЕТ»

МІНІСТЕРСТВА ОСВІТИ І НАУКИ УКРАЇНИ

Факультет фізичного виховання

Кафедра медико-фізіологічних наук






КУРСОВА РОБОТА

з функціональної діагностики

на тему: «Ультразвукові методи функціональної діагностики»

Студентки 4 курсу 1232-1 групи

напряму підготовки здоров’я людини

Олексюк К.Ю.

Керівник Бережна-Притула М.О.





Запоріжжя - 2016

ЗМІСТ

Вступ

. Теоретичні основи методу

.1 Поняття ультразвукового дослідження

.2. Біофізика методу

.3 Променева безпека

.4 Об’єкт ультразвукового дослідження

. Методи ультразвукового дослідження

.1 Одномірна ехографія

.2 Ультразвукове сканування

.3 Доплерографія

. Ультразвукове дослідження

.1 УЗД нирок

.2 УЗД серця

.3 УЗД органів малого тазу

. Терапевтичне застосування ультразвуку

.1 Поняття ультразвукової терапії

.2 Методика і техніка ультразвукової терапії

.3 Спеціальні методики ультразвукової терапії

. Поєднання дії ультразвукових хвиль з іншими фізичними факторами

. Джерело і приймач ультразвукового випромінювання

Висновки

Список посилань

Додатки

ВСТУП

Актуальність. Однією з найактуальніших проблем сучасної медицини є охорона здоров'я людини, для вирішення якої розроблені та затверджені відповідні програми. Метою цих програм є збереження здоров'я, скорочення термінів непрацездатності шляхом впровадження в практику сучасних методів діагностики та оздоровлення пацієнтів з використанням усього арсеналу не медикаментозних засобів. Розробка новітніх діагностичних і коригуючих технологій, спрямованих на збереження природних резервів людини, є основною стратегією сучасної відновної медицини, за своїм спрямуванням орієнтованої в першу чергу на охорону здоров'я, а також на відновлення резервних можливостей організму на етапі ремісії захворювання у пацієнтів працездатного віку. Іншим напрямком відновної медицини є реабілітація хворих та інвалідів, спрямована на збільшення функціональних резервів, компенсацію порушених функцій, вторинну профілактику захворювань та їх ускладнень, відновлення працездатності працюючих.

Пріоритетним і перспективним напрямком відновної медицини є розробка нових не медикаментозних технологій, що підвищують функціональні резерви здорової і хворої людини, що важливо і для медичної реабілітації. Для цієї мети в останні роки широко застосовуються методи фізіотерапії, спрямовані на посилення регенераційних і репаративних процесів, що сприяють більш активному відновлювальному процесу запалених тканин, особливо в ранній післяопераційний період. Одним з таких фізичних методів впливу на організм є низькочастотний ультразвук, який володіє протизапальними, антибактеріальними, регенераційними та імуномоделюючими властивостями. Фізіологічний ефект ультразвукової терапії, який застосовується традиційно в практичній фізіотерапії, заснований на досить добре вивчених біофізичних властивості, обумовлених механічною дією і акустичним тиском ультразвуку, викликаючи своєрідний клітинний мікромасаж запалених тканин [3]. При цьому здійснюється високочастотний стиск і розтяг різних клітин організму, і що особливо важливо клітинних мембран запалених тканин, в результаті чого змінюється функціональний стан, регенеративні та репаративні процеси в органах і тканинах, що зазнали озвучування.

Ендогенне тепло, що утворюється у тканинах, за рахунок механічного переходу однієї енергії в іншу, а також виділення біологічно активних речовин під впливом ультразвуку забезпечує активацію кровообігу і мікроциркуляції, регенерацією трофічних процесів, що супроводжується протизапальною і розсмоктуючою дією. Все це забезпечило широке застосування ультразвуку при різного роду запальних і дистрофічних процесах.

Коріння розвитку УЗД як діагностичного методу дослідження йдуть ще в ті часи, коли за допомогою ультразвукових (УЗ) хвиль вимірювали відстань під водою. Високочастотний сигнал, що не чутний людським вухом, був згенерований англійським вченим F. Galton в 1876 р. Проривом в розвитку УЗ технологій було відкриття братами P. і J. Curie п'єзоелектричного ефекту (Франція, 1880). Перша робоча гідролокаційна УЗ-система SОund Navigation Аnd Ranging (SONAR) була сконструйована в США в 1914 р.

Прабатьком медичного УЗД була система RAdio Detection And Ranging (RADAR), винайдена в 1935 р британським фізиком R. Watson-Watt. Такі радіолокаційні системи були прямими попередниками наступних двомірних гідролокаційних і медичних УЗ-систем, які з'явилися в кінці 40-х років XX століття. Ще одним напрямком, що передували розвитку УЗ у медицині, була розпочата в 30-і роки розробка імпульсних УЗ-дефектоскопів металу, які використовувалися для перевірки цілісності металевих корпусів суден, танків та іншої техніки. Концепція детекції металлодефектів була розроблена радянським ученим С.Я. Соколовим в 1928 р, а конструювання перших УЗ-детекторів і їх подальше вдосконалення почалося в 40-х роках в США, Великобританії, Німеччини, Франції, Японії та в ряді інших країн [19].

1. ТЕОРЕТИЧНІ ОСНОВИ МЕТОДУ

.1 Поняття ультразвукового дослідження

Звук - це механічна поздовжня хвиля, в якій коливання частинок знаходиться в тій же площині, що і напрямок поширення енергії. Хвиля переносить енергію, але не матерію. Верхня межа чутного звуку - 20000 Гц. Звук з частотою, що перевищує цю величину, називається ультразвуком. Частота - це число повних коливань (циклів) за період часу в 1 секунду. Одиницями виміру частоти є герц (Гц) і мегагерц (МГц). Один герц - це одне коливання в секунду. Один мегагерц = 1000000 герц. У сучасних ультразвукових приладах для отримання зображення використовується ультразвук частотою від 2 МГц і вище [5].

Для отримання ультразвуку використовуються спеціальні перетворювачі або трансдьюсера, які перетворюють електричну енергію в енергію ультразвуку. Отримання ультразвуку базується на зворотному п'єзоелектричному ефекті. Суть ефекту полягає в тому, що якщо до певних матеріалів (п'єзоелектрик) докласти електричну напругу, то відбудеться зміна їх форми. З цією метою в ультразвукових приладах найчастіше застосовуються штучні п'єзоелектрики, такі, як цирконат або титанат свинцю. При відсутності електричного струму п'єзоелемент повертається до вихідної форми, а при зміні полярності знову відбудеться зміна форми, але вже в зворотному напрямку. Якщо до п'єзоелементах докласти швидкозмінний струм, то елемент почне з високою частотою стискатися і розширюватися (тобто коливатися), генеруючи ультразвукове поле. Робоча частота трансдьюсера (резонансна частота) визначається відношенням швидкості поширення ультразвуку в п'єзоелементі до подвоєної товщини цього пьезоелемента. Детектування відбитих сигналів базується на прямому п'єзоелектричного ефекту. Повернені сигнали викликають коливання пьезоелемента і поява на його гранях змінного електричного струму. В цьому випадку п'єзоелемент функціонує як ультразвуковий датчик [1]. Зазвичай в ультразвукових приладах для випромінювання і прийому ультразвуку використовуються одні й ті ж елементи. Тому терміни "перетворювач", "трансдьюсер", "датчик" є синонімами.

Усереднена швидкість поширення ультразвуку в тканинах тіла людини становить 1540 м / с - на цю швидкість запрограмована більшість ультразвукових діагностичних приладів.

.2 Біофізика методу

ультразвуковий ехографія променевий терапевтичний

З точки зору фізики ультразвуку тканини людського тіла близькі за своїми властивостями рідкому середовищі, тому тиск на них ультразвукової хвилі може бути описано як сила, що діє на рідину.

Зміна тиску в середовищі може відбуватися перпендикулярно в площині вібрації джерела ультразвуку. В цьому випадку хвилю називають поздовжньою. У ультразвуковій діагностиці основну інформацію несуть переважно поздовжні хвилі. У твердих тілах, наприклад, в кістках або металах, виникають поперечні хвилі.

Звукові хвилі є механічними за своєю природою, так як в основі їх лежить зсув частинок пружного середовища від точки рівноваги. Саме за рахунок пружності і відбувається передача звукової енергії через тканину.

Пружність - це можливість об'єкта після стиснення або розтягування знову повертати свій розмір і форму. Швидкість поширення ультразвуку залежить насамперед від пружності і від щільності тканини. Чим більше щільність матеріалу, тим повільніше повинні поширюватися в ньому (при однаковій пружності) ультразвукові хвилі. Але до цього фізичному параметру слід підходити з обережністю. Швидкість звуку при проходженні його через різні середовища біологічного організму може бути різною.

Для різних типів ультразвукових досліджень застосовуються різні види ультразвукових хвиль. Найбільш важливими параметрами є частота випромінювання, діаметр поверхні трандьюсера і фокусування ультразвукового пучка. У системах медичної ультразвукової діагностики зазвичай використовуються частоти 1; 1,6; 2,25; 3,5; 5 і 10 МГц.

В апаратах є можливість регулювати випромінювання і прийняті сигнали, так само є можливість посилення зображення ехосигналів [4,3].

.3 Променева безпека

Поширення ультразвуку в біологічних середовищах супроводжується механічним, термічним, і фізико-хімічними ефектами. В результаті поглинання ультразвуку тканинами акустична енергія перетворюється в теплову. Іншим видом механічної дії є кавітація, яка призводить до розривів у місці проходження ультразвукової хвилі.

Всі ці явища відбуваються при впливі на біологічні тканини ультразвуку високої інтенсивності, і за певних умов вони бажані, наприклад, в фізіотерапевтичної практиці. При діагностиці ці ефекти не виникають в результаті використання ультразвуку невеликої інтенсивності - не більше 50 мВт. Конструктивно прилади для ультразвукової медичної діагностики надійно захищають пацієнта від можливого шкідливого впливу звукової енергії [10]. Однак останнім часом все частіше з'являються роботи щодо несприятливої дії ультразвукового дослідження на пацієнта. Безсумнівно вплив ультразвуку на самого лікаря, який тривалий час перебуває під впливом ультразвуку. Є повідомлення що з часом уражаються кисть руки якої лікар тримає датчик [15].

.4 Об’єкт ультразвукового дослідження

Завдяки своїй нешкідливості і простоті ультразвуковий метод може широко застосовуватися при обстеженні населення під час диспансеризації. Він незамінний при дослідженні дітей і вагітних. У клініці він використовується для виявлення патологічних змін у хворих людей. Для дослідження головного мозку, очей, щитовидної і слинних залоз, молочної залози, серця, нирок, вагітних з терміном понад 20 тижнів спеціальної підготовки не потрібно.

Хворого досліджують при різному положенні тіла і різному становищі ручного зонда (датчика). При цьому лікар зазвичай не обмежується стандартними позиціями. Змінюючи положення датчика, він прагне отримати можливо повну інформацію про стан органів. Шкіру над досліджуваної частиною тіла змащують, добре пропускаючи ультразвук, засобом для кращого контакту (вазеліном або спеціальним гелем) [6].

Ослаблення ультразвуку визначається ультразвуковим опором. Величина його залежить від щільності середовища і швидкості поширення в ній ультразвукової хвилі. Коефіцієнт відображення залежить від різниці імпедансу дотичних середовищ. Чим вище відмінність в імпедансі, тим більше відбивається хвиль. Крім того, ступінь відображення пов'язана з кутом падіння хвиль на що межує площину. Найбільше відображення виникає при прямому куті падіння. Через майже повного відображення ультразвукових хвиль на кордоні деяких середовищ, при ультразвуковому дослідженні доводиться стикатися зі «сліпими» зонами: це - наповнені повітрям легені, кишечник (при наявності в ньому газу), ділянки тканин, розташовані за кістками [1]. На кордоні м'язової тканини і кістки відбивається до 40% хвиль, а на кордоні м'яких тканин і газу - практично 100%, оскільки газ не проводить ультразвукових хвиль [9].

2. МЕТОДИ УЛЬТРАЗВУКОВОГО ДОСЛІДЖЕННЯ

Найбільшого поширення в клінічній практиці знайшли три методи ультразвукової діагностики: одномірне дослідження (ехографія), двомірне дослідження (сканування, сонографія) і доплерографія. Всі вони засновані на реєстрації відбитих від об'єкта ехосигналів [16].

.1 Одномірне дослідження

Свого часу терміном "ехографія" позначали будь-яке ультразвукове дослідження, але в останні роки їм називають головним чином спосіб одновимірного дослідження. Розрізняють два його варіанти: А-метод і М-метод.

При А-методі датчик знаходиться в фіксованому положенні для реєстрації ехосигнала в напрямку випромінювання. Ехосигнали представляються в одновимірному вигляді, як амплітудні позначки на осі часу.

Амплітуда відбитого на екрані сигналу характеризує величину відображення (залежить від імпедансу), а час затримки щодо початку розгортки - глибину залягання неоднорідності (відстань від поверхні тіла до відбили сигнал тканин). Отже, одновимірний метод дає інформацію про відстані між шарами тканин на шляху ультразвукового імпульсу [11].

При М-методі датчик теж знаходиться в фіксованому положенні. Амплітуда ехосигнала при реєстрації рухомого об'єкту (серця, судини) змінюється. Якщо зміщувати ехограму при кожному наступному зондуючому імпульсі на малу величину, то виходить зображення в вигляді кривої, зване М-Ехограма.


.2 Ультразвукове сканування

Ультразвукове сканування дозволяє отримувати тривимірне зображення органів. Цей метод відомий також під назвою В-метод (від англ. Bright -яскравість). Суть методу полягає в переміщенні ультразвукового пучка по поверхні тіла під час дослідження [2]. Цим забезпечується реєстрація сигналів одночасно або послідовно від багатьох точок об'єкта. Отримана серія сигналів служить для формування зображення. Воно виникає на екрані індикатора і може бути зафіксовано на полароїдному папері або плівці. Це зображення можна вивчати оком, а можна піддати математичній обробці, визначаючи розміри: площа, периметр, поверхня і об'єм досліджуваного органу.

При ультразвуковому скануванні яскравість кожної крапки, що світиться на екрані індикатора знаходиться в прямій залежності від інтенсивності ехосигнала. Сильний ехосигнал обумовлює на екрані яскрава світла пляма, а слабкі сигнали - різні сірі відтінки, аж до чорного кольору (система "сірої шкали"). На апаратах з таким індикатором камені виглядають яскраво-білими, а утворення, що містять рідину - чорними [13].

.3 Доплерографія

Доплерографія - метод ультразвукового діагностичного дослідження, заснований на ефекті Доплера. Ефект Доплера - це зміна частоти ультразвукових хвиль, які сприймаються датчиком, що відбувається внаслідок переміщення досліджуваного об'єкта щодо датчика [21].

Існує два види доплерографічних досліджень - безперервний і імпульсний. При першому генерація ультразвукових хвиль здійснюється безперервно одним пьезокрісталічним елементом, а реєстрація відбитих хвиль виконується іншим. В електронному блоці приладу проводиться порівняння двох частот ультразвукових коливань: спрямованих на хворого і відбитих від нього. За зрушенням частот цих коливань судять про швидкість руху анатомічних структур. Аналіз зсуву частот може проводитися акустичним способом або за допомогою самописців.

Імпульсна доплерографія дозволяє вимірювати швидкість в заданої лікарем ділянці контрольного обсягу. Розміри цього обсягу невеликі - усього кілька міліметрів у діаметрі, а його положення може довільно встановлюватися лікарем відповідно до конкретним завданням дослідження.

Доплерографію використовують в клініці для вивчення форми, контурів і присвятив кровоносних судин. Фіброзна стінка судини є хорошим відбивачем ультразвукових хвиль і тому чітко видно на сонограмі. Це дозволяє виявити звуження і тромбоз судин, окремі атеросклеротичні бляшки в них, порушення кровотоку, визначити стан колатерального кровообігу.

Особливе значення в останні роки набуває поєднання сонографії і доплерографії (так звана дуплексна сонографія). При ній отримують як зображення судин (анатомічна інформація), так і запис кривої кровотоку в них (фізіологічна інформація). Виникає можливість прямого неінвазивного дослідження для діагностики оклюзійних уражень різних ємностей із одночасною оцінкою кровотоку в них. Таким чином стежать за кровонаповненням плаценти, скороченнями серця у плоду, за напрямком кровотоку в камерах серця, визначають зворотний потік крові в системі ворітної вени, обчислюють ступінь стенозу судини і т. д.

3. УЛЬТРАЗВУКОВЕ ДОСЛІДЖЕННЯ

.1 УЗД нирок

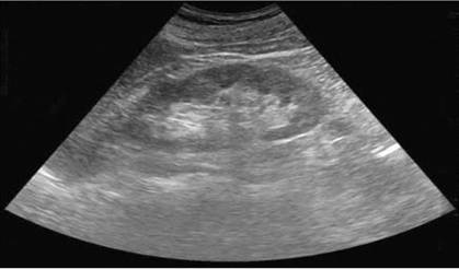
Основним доступом при локації нирок є бокове розташування датчика по середній пахвовій лінії. Дана проекція дає зображення нирки, порівнянне з зображенням при рентгенологічному дослідженні. При скануванні по довгій осі органу нирка має вигляд овального освіти з чіткими, рівними контурами (додаток 1).

Поліпозиційне сканування з послідовним переміщенням площині сканування дозволяє отримати інформацію про всі відділи органу, в якому диференціюються паренхіма і центрально розташований ехокомплекс. Кортікальний шар має рівномірну, кілька підвищену в порівнянні з мозковою речовиною ехогенність. Мозкова речовина, або піраміди, на анатомічному препараті нирки мають вигляд трикутних структур, звернених підставою до контуру нирки і вершиною до порожнинної системі. У нормі видима при УЗД частина піраміди складає близько третини від товщини паренхіми [19].

У формуванні зображення центрального синуса беруть участь такі анатомічні структури, як елементи порожнинної системи, судинні освіти, лімфатична дренажна система, жирова тканина. У здорових людей під час відсутності водного навантаження елементи порожнинної системи, як правило, не диференціюються, можлива візуалізація окремих чашок до 5 мм. В умовах водного навантаження іноді візуалізується балія, як правило, вона має форму трикутника розміром не більше 15 мм.

.2 УЗД серця

УЗД серця і судин проводять пацієнтам різної вікової категорії: новонародженим дітям, дітям молодшого і середнього віку, вагітним жінкам, молодим людям і людям похилого віку. На жаль, порушення в роботі серцево-судинної системи діагностуються у всіх групах.

Діагностика кардіальних структур і великих судин здійснюється двома способами:

.Стандартний,

.Через стравохід (додаток 2).

Найбільш поширений - стандартний, через передню поверхню грудної клітини. Через стравохід відносять до більш інформативного, так як з його допомогою можна оцінити стан серця і великих судин з усіх можливих ракурсів.

УЗД серця можна доповнити функціональними пробами. Пацієнт виконує запропоновані фізичні вправи, після або під час чого проходить розшифровка результату: лікар оцінює зміни структур серця і його функціональної активності [12].

Вивчення серця і великих судин доповнюють доплерографією. З її допомогою можна визначити швидкість кровотоку в судинах.

Крім цього, Допплер показує потік крові всередині порожнин, що важливо при наявності вад і для підтвердження діагнозу. Існують певні симптоми, які вказують на необхідність відвідування кардіолога і проведення ультразвукового дослідження:

.Млявість, поява або посилення задишки, швидка стомлюваність;

.Почуття серцебиття, яке може служити ознакою порушення серцевого ритму;

.Кінцівки стають холодні;

.Шкірні покриви часто бліднуть;

.Наявність вродженого серцевого пороку;

.Погано чи повільно дитина набирає вагу;

.Шкірні покриви синюшні (губи, кінчики пальців, вушні раковини і носогубний трикутник);

.Наявність шумів в серці при раніше проведеному обстеженні;

.Придбані або вроджені вади, наявність клапанного протеза;

.Над верхівкою серця чітко відчувається тремтіння [1, 17].

.3 УЗД органів малого таза

УЗД органів малого тазу дозволяє отримати зображення тканин і органів, розташованих в нижніх відділах черевної порожнини і малого таза. Виділяють три види ультразвукових досліджень органів малого таза:

.Абдомінальне (трансабдоминальное);

2.Вагінальне (трансвагінальне) УЗД жінок;

3.Ректальне (трансректальное) УЗД чоловіків [5].

Для профілактики раннього виявлення всіляких гінекологічних захворювань потрібно робити УЗД органів малого таза тільки один раз в 1 - 2 роки, а після 40 років - 1 раз в рік. УЗД органів тазу проводиться:

.При підозрі на міому матки, ендометріоз, запальний процес;

.Після і перед абортом, внутрішньоматкових втручань;

.При порушеннях менструального циклу;

.При підборі контрацепції;

.При захворюваннях молочних залоз;

.Підтвердження або виключення вагітності;

.При вагітності.

Залежно від статі пацієнта і цілі дослідження, як вже сказано, вибирають один з варіантів проведення процедури. В цілому істотних відмінностей між усіма різновидами УЗД немає - різниться тільки місце приміщення датчика. Процедура не супроводжується хворобливими відчуттями при правильному її проведенні. На спосіб проведення УЗД може вплинути також конкретна особливість будови організму пацієнта. Принципових ж відмінностей між видами УЗД немає. Хоча вважається, що для чоловіків більш інформативним буде все ж ректальне дослідження, яке дає можливість отримати більш достовірні результати (наприклад, при проблемах з передміхурової залозою). З іншого боку, при дотриманні всіх рекомендацій і правильній підготовці до процедури результати будуть досить точні.

4. ТЕРАПЕВТИЧНЕ ЗАСТОСУВАННЯ УЛЬТРАЗВУКУ

.1 Поняття ультразвукової терапії

Ультразвукова терапія - це метод терапії, який заснований на дії на тканини високочастотних звукових коливань з частотою, вище межі чутності вуха людини. У терапевтичній практиці використовують ультразвук в діапазоні частот 800-3000 кГц. Під впливом ультразвуку відбувається активізація клітинного обміну і лімфодренажу. Застосовують вплив ультразвукових коливань неперервно або ж в імпульсному режимі.

Даний вид терапії є одним з найбільш делікатних і приємних в естетичній медицині. Відчуття при її проведенні нагадують легкий масаж, під час якого лікар водить датчиком по тілу пацієнта. Водночас, ультразвукові хвилі можуть проникати глибоко в дерму, на глибину до 5 см всередину тканин, і там надавати свою лікувальну дію. І, хоча сам ультразвук не сприймається людиною ні на слух, ні візуально, результати від його впливу видно практично після першої ж процедури [10, 3].

Необхідно також розуміти, що ультразвукова терапія найбільш ефективна при корекції естетичних недоліків у їх початковій стадії, при неяскравій вираженості проблем. Так, наприклад, лікування яскраво вираженого целюліту, лікар вам, швидше за все, порадить поєднати з курсом озонотерапії, мезопроцедурамі, обгортаннями, вакуумним масажем і т.п. У кожному конкретному випадку лікар визначить необхідний саме вам перелік процедур, щоб ви могли досягти оптимального результату в найкоротші терміни.

Механічна дія ультразвуку, обумовлена змінним акустичним тиском, викликає мікровібрацію, своєрідний «мікромассаж» тканин, що призводить до зміни функціонального стану клітин: підвищується проникність клітинних мембран, посилюються процеси дифузії і осмосу, змінюється кислотно-лужна рівновага, просторове взаємовідношення субмікроскопічних структур в клітці.

Термічна дія ультразвуку пов'язана, з одного боку, з переходом механічної енергії в теплову, а з іншого - інтенсифікацією біохімічних процесів. Ендогенне тепло, що утворюється в тканинах, поширюється нерівномірно, воно більше проявляється в щільних тканинах і верхніх шарах. Підвищення температури в тканинах сприяє розширенню кровоносних і лімфатичних судин, зміни мікроциркуляції. У результаті цього активуються тканинні обмінні процеси, проявляється протизапальна і розсмоктуюча дія ультразвуку.

Фізико-хімічна дія ультразвуку пов'язана з просторовою перебудовою внутрішньоклітинних молекулярних комплексів [7, 20]. Підвищується інтенсивність тканинних окислювально-відновних процесів, активність ряду ферментів, збільшується мітотична активність клітин, в тканинах відбувається утворення біологічно активних речовин - гепарину, гістаміну, серотоніну та ін.

Механізм терапевтичної дії ультразвукових хвиль досить різноманітний та різносторонній. Він складається як з місцевих так і загальних реакцій. Ці реакції розвиваються пофазно і відрізняються тривалою післядією.

При правильному дозуванні ультразвук надає болезаспокійливу, розсмоктуючу, протизапальну, спазмолітичну, фібринолітичну дію. Під його впливом прискорюються регенеративні та репаративні процеси, підвищується збудливість нервово-м'язового апарату, посилюється провідність імпульсів по периферичному нервовому волокну, активується передача нервових імпульсів в симпатичних гангліях, поліпшується трофічна функція тканин.

Діапазон впливу ультразвуку на організм людини дуже широкий, що визначає можливості його використання в лікуванні різних захворювань.

Показаннями для ультразвукової терапії є захворювання:

.Опорно-рухового апарату ( артрити, артрози, ревматоїдний артрит);

.Травми і захворювання периферичної нервової системи;

.Органів травлення (виразкова хвороба шлунка та дванадцятипалої кишки);

.Очей (кон'юнктивіт, кератити);

.ЛОР-органів (тонзиліти, фарингіти);

.Урологічні (простатити);

.Гінекологічні (сальпінгоофорити);

.Стоматологічні (пародонтоз) і деякі хвороби шкіри [14].

Протипоказання до застосування ультразвукової терапії

До числа приватних протипоказань для ультразвукової терапії відносяться:

.Ішемічна хвороба серця з явищами стенокардії та аритмії;

.Тромбофлебіт;

.Не рекомендують призначення цієї процедури дітям до 3-5 років, а також вплив ультразвуком на чутливі росткові зони кісток у дітей.

Лікувальні ефекти: ультразвук прискорює процеси регенерації і репарації, відновлення провідності нервових волокон при травмах периферичних нервів, розсмоктування інфільтратів, травматичних набряків, ексудатів і крововиливів, має протизапальну (вторинний ефект), анальгетичну, гангліоблокуючу, спазмолітичну, метаболічну, гіпотензивну, десенсибілізуючу, фібринолітичну, дефіброзуючу і бактерицидну дію, підвищує адсорбційні властивості шкіри і підсилює адаптаційно-трофічні процеси в організмі і реґіонарний кровоток.

.2 Методика та техніка ультразвукової терапії

В основі генерації ультразвуку в терапевтичних апаратах лежить зворотньо п'єзоелектричний ефект, тобто здатність п'єзокристалом здійснювати механічні коливання під впливом високочастотного змінного електричного поля. Вплив ультразвуком проводять на обмежену частину тіла: або паравертебрально на відповідні рефлексогенні зони, або на область ураження (біля суглобу, по ходу нервових стовбурів, на больові точки і т.д.), або на нашкірну проекцію органу. Площа впливу не перевищує 250 см2 у дорослих и 100-150 см2 у дітей. При порівняно великій зоні впливу її ділять на окремі поля. Потім, при гарній переносимості процедури, можна збільшити обсяги озвучування [18, 11].

Не слід застосовувати ультразвук на область мозку, шийно-симпатичних вузлів, кісткові виступи, епіфізі зростаючої кістки, тканини з вираженими порушеннями кровообігу, зони з порушенням чутливості, живіт при вагітності, мошонку. З обережністю ультразвук застосовують на область серця, паренхіматозних та ендокринних органів. Перед призначення ультразвуку бажано провести санацію вогнища хронічної гнійної інфекції. Вплив ультразвуком проводять через контактну середу. В якості контактного середовища використовують вазелінове масло, гліцерин, ланолін, рослинні олії, гелі. При впливі на кисть, стопу, область ліктьового суглобу процедуру проводять у ванні з дегазованої водою або через гумовий мішечок з водою (субаквальної озвучування).

Методики: виділяють поверхневі и порожнинні, стабільні и лабільні (вібратор пересувають по шкірі зі швидкістю 1 см в 1 с). При підводному озвучуванні вібратор утримують на відстані 1-2 см від осередку ураження. При порожнинній методиці на голівку-випромінювач одягають гуму (гума пропускає УЗ-коливання), змащують стерильним вазеліном і вводять у пряму кишку випромінювачем у бік передміхурової залози. Вплив ультразвуком проводять на ділянках площею 150 см2.

Методика впливу частіше лабільна, коли випромінювач зі швидкістю 1-2 см / с пересувають по поверхні або на відстані 1-2 см над поверхнею (при озвучуванні через воду) тіла, здійснюючі одночасно поздовжні і кругові рухи. При стабільному озвучуванні випромінювач встановлюють нерухомо над вогнищем ураження.

.3 Спеціальні методики ультразвукової терапії

Дія на хворі суглоби. Процедуру назначають на уражений суглоб та на паравертебральні зони хребта. Хворий має перебувати в положенні сидячи. Опромінювач переміщують коловими рухами в ділянці суглобу, п’яткової кістки, підошовної поверхні стопи і т.д. Контактним середовищем може бути вазелінова олія, анальгін та гідрокортизована мазь. Режим безперервний. Тривалість процедури 3-5 хв на кожну зону, щоденно або через день. Курс лікування 10-15 процедур. На дрібні суглоби можна діяти безпосередньо через воду.

Дія на ділянку хребта. Хворий може лежати або сидіти. Дія ультразвуком на паравертебральні зони виконується вправо і уліво від остистих відростків хребта. Тривалість процедури 3-5 хв, якщо режим безперервний, і 6-8 хв, якщо імпульсний [6, 21].

Дія при виразковій хворобі шлунка і дванадцятипалої кишки. Перед процедурою хворий випиває 1-2 склянки рідини для витиснення газового міхура у верхні відділи шлунка. Діють ультразвуком на епігастральну ділянку і паравертебральну на рівні. Хворий лежить спочатку на спині, потім на животі. Режим роботи на епігастральну ділянку - безперервний, паравертебрально - імпульсний. Тривалість процедури 3-5 хв на поле, 4-5 процедур проводять через день, потім щоденно. Курс лікування 12-15 процедур.

Ультрафонофорез гідрокортизону при хворобах статевих органів. Шкіру проекції внутрішніх статевих органів змащують гідрокортизоновою маззю. Озвучування проводять коловими рухами голівки ультразвукового опромінювача. Тривалість поступово збільшується від 5 до 10 хв. Курс лікування 15-20 процедур.

Лікування псоріазу. Місце локалізації псоріатичних бляшок змащують гідрокортизоном і лабільно озвучують у безперервному режимі. Тривалість 6-10 хв. Потім проводять озвучування відповідних вогнищу уражених сегментів спинного мозку. Тривалість 3-5 хв. Курс лікування 10-15 процедур.

. ПОЄДНАННЯ ДІЇ УЛЬТРАЗВУКОВИХ ХВИЛЬ З ІНШИМИ ФІЗИЧНИМИ ФАКТОРАМИ

Лікування з використанням УЗ-хвиль поєднується практично з усіма видами електротерапії, вакуумним масажем, бальнеотерапією, магнітотерапіею. При цьому УЗ доцільно застосовувати першим. Слід пам'ятати, що в фізіотерапії умовно розрізняють дві методики впливу - комбіновану і одночасну. Комбінованою фізіотерапією прийнято вважати послідовне (різночасне) застосування фізичних методів лікування. При цьому комбіновані фізичні методи можуть застосовуватися в один день, в різні дні (за методом чергування) або в курсовому лікуванні, коли одні методи змінюються іншими [9,15]. Одночасний вплив являє собою поєднання двох і більше лікувальних процедур одночасно або послідовно (одна за одною) на одну і ту ж область. Підвищення ефекту застосування двох і більше лікувальних методів може бути результатом складання діючих в одному напрямку (на одні і ті ж фізіологічні системи) методів або потенціювання дії одного методу іншим.

Ефект комбінованої і одночасної фізіотерапії заснований на посиленні місцевої реакції, на принципі контрастної терапії та механізмі сенсибілізації. Правильно обраний фізіотерапевтичний комплекс значно підвищує ефективність лікування, впливає на основне і супутнє захворювання, на різні фізіологічні системи організму і патологічний процес, підсумовує позитивні ефекти синергічно діючих факторів або послаблює їх несприятливий вплив, а також подовжує період післядії курсу фізіотерапії.

В один день сумісні процедури:

.Загальної та місцевої дії з приводу основного захворювання (наприклад, УЗТ, потім загальна ванна або загальний електрофорез);

.Загальної дії з приводу основного захворювання і місцевого дії - для лікування супутнього захворювання (наприклад, УЗ на область мигдалин і газова ванна);

.Дві процедури місцевої дії з приводу одного захворювання (наприклад, УЗ і КВЧ-терапія);

.Дві процедури місцевої дії, з яких подальша підсилює дію попередньої (наприклад, ОФФ і ампліпульстерапія);

.Допустимо застосування в один день трьох місцевих процедур, які не викликають великого навантаження і втоми хворого (наприклад, мікрохвильова терапія, потім УЗ і електрофорез) [20].

. ДЖЕРЕЛО І ПРИЙМАЧ УЛЬТРАЗВУКОВОГО ВИПРОМІНЮВАННЯ

Ультразвукову діагностику здійснюють за допомогою ультразвукової установки. Вона являє собою складний і разом з тим досить портативний пристрій, виконується у вигляді стаціонарного або пересувного апарату. Для генерування УЗ використовують пристрої, які називаються УЗ-випромінювачами. Джерело і приймач (датчик) ультразвукових хвиль в такій установці - п'єзокерамічним пластинка (кристал), розміщена в антені (звуковому зонді). Ця платівка - ультразвуковий перетворювач. Змінний електричний струм змінює розміри пластинки, збуджуючи тим самим ультразвукові коливання. Застосовувані для діагностики коливання володіють малою довжиною хвилі, що дозволяє формувати з них вузький пучок, що направляється в досліджувану частина тіла. Відбиті хвилі сприймаються тією ж платівкою і перетворюються в електричні сигнали. Останні надходять на високочастотний підсилювач і далі обробляються і видаються користувачу у вигляді одновимірного (у формі кривої) або двомірного (у формі картинки) зображення.

Частоту ультразвукових хвиль підбирають в залежності від мети дослідження. Для глибоких структур застосовують більш низькі частоти і навпаки. Наприклад, для вивчення серця використовують хвилі з частотою 2,25-5 МГц, в гінекології - 3,5-5 МГц, для ехографії очей - 10-15 МГц. На сучасних установках луна і сонограми піддають комп'ютерному аналізу за стандартними програмами. Роздруківка інформації проводиться в буквеній і цифровій формі, можливий запис на відеозйомці, в тому числі в кольорі.

Всі ультразвукові установки, крім заснованих на ефекті Доплера, працюють в режимі імпульсної ехолокації: випромінюється короткий імпульс і сприймається відбитий сигнал [8]. Залежно від завдань дослідження вживають різні види датчиків. Частина з них призначена для сканування з поверхні тіла. Інші датчики з'єднані з ендоскопічним зондом, їх використовують при внутрішньо порожниннім дослідженні, в тому числі в комбінації з ендоскопією (ендосонографія). Ці датчики, а також зонди, створені для ультразвукової медицини.

За принципом дії всі ультразвукові прилади ділять на дві групи: ехоімпульсного і допплерівські. Прилади першої групи служать для визначення анатомічних структур, їх візуалізації і вимірювання. Прилади другої групи дозволяють отримувати кінематичну характеристику швидко протікаючи процесів - кровотоку в судинах, скорочень серця. Однак такий розподіл умовний. Існують установки, які дають можливість одночасно вивчати як анатомічні, так і функціональні параметри.

ВИСНОВКИ

На даному етапі розвитку сучасної медицини, існують заходи, щодо відновлення та покращення функціонального стану пацієнтів, не тільки з обмеженими фізичними можливостями, а саме інвалідів, а й з тимчасовою непрацездатністю. Застосовують фізіотерапевтичні прилади для реабілітації і відновлення резервних можливостей організму на етапі ремісії захворювання у пацієнтів працездатного віку.

Оскільки напрямком відновної медицини є реабілітація хворих та інвалідів, яка спрямована на збільшення функціональних резервів, компенсацію порушених функцій та відновлення працездатності працюючих. Пріоритетним та перспективним напрямком відновної медицини є розробка нових не медикаментозних технологій, що підвищують функціональні резерви здорової і хворої людини, що важливо і для реабілітації. Для цієї мети в останні роки були широко застосовані методи фізіотерапії, спрямовані на посилення регенераційних і репаративних процесів, що сприяють більш активному відновлювальному процесу.

За допомогою дії трьох факторів ультразвуку, а саме: механічного, теплового і фізико-хімічного, на організм людини відбувається вплив, в результаті чого змінюється функціональний стан, регенеративні та репаративні процеси в органах і тканинах, що зазнали озвучування.

Під впливом ультразвуку забезпечується активація кровообігу і мікроциркуляції, регенерація трофічних процесів, що супроводжуються протизапальною і розсмоктуючою дією. Одним з фізичних методів впливу ультразвуку на організм є низькочастотний ультразвук, який володіє протизапальними, антибактеріальними, регенераційними та імуномоделюючими властивостями, що неодмінно і суттєво покращує захисні і відновні сили організму пацієнта.

В наш час, було розроблено низку, спеціальних технологій, які впливають на організм за допомогою ультразвуку. В деяких з апаратах ультразвукової терапії було поєднано комбіновані механізми впливу, які знайшли широке застосування в медицині і апаратної косметології.

У цілому можна підкреслити, що під впливом ультразвуку, відбуваються різноманітні зміни, з боку різних органів і систем, які носять компенсаторно-адаптивний характер і зумовлюють підвищення неспецифічної резистентності організму і його стійкості до несприятливих факторів середовища.

СПИСОК ПОСИЛАНЬ

1.      Бутвiн Г.К. Рентгенiвська комп'ютерна томографiя, магнiтно-резонансна томографiя, ультразвукова дiагностика / Г.К. Бутвін. - Чернiвцi, 2002. - 77 с.

2.   Гурленя А. М. Фізіотерапія в неврології / А. М. Гурленя, Г. Е. Багель, В. Б. Смичек. - Москва: Медична література, 2008. - 296 с.

3.      Епіфанов В.А. Реабілітація хворих, які перенесли інсульт / В.А, Епіфанов. - Москва: Медпрес-інформ., 2006. - 246 с.

4.      Зубкова С.М. Теоретичні основи ультразвукової терапії / С.М. Зубкова. - 2005. - №3. - с.3-7.

5.      Зубарев А.В. Діагностичний ультразвук. Офтальмологія / А.В. Зубарєв. - Москва, 2002. - 67 с.

6.      Кадиків А.С. Реабілітація неврологічних хворих / А.С. Кадиків, Л.А. Чернікова, Н.В. Шахпаронова. - Москва: Медпресс-інформ., 2008. - 560 с.

7.      Мухарлямов Н.М. Клінічна ультразвукова діагностика / Н.М. Мухарлямов, Ю.Н. Беленко, О.Ю. Атьков. - Москва:Медицина, 2000. - 293 с.

8.      Обуховець Т.П. Основи сестринської справи / Т.П. Обуховец, Т.А. Склярова, О.В. Чернова. - Ростов-на-Дону: Фенікс, 2007. - 509с.

9.      Пальмер П.Є. Керівництво з ультразвукової діагностики / П.Є. Пальмер. - Штат Каліфорнія, Каліфорнійський університет Дейвіс: Всесвітня організація охорони здоров'я у співпраці з Всесвітньою федерацією по використанню ультразвуку в медицині та біології, 2000. - 342 с.

10.    Порчук Ю.Д. Можливості кольорової допплерографії в діагностиці раку підшлункової залози / Ю.Д. Порчук // Променева діагностика, променева терапія, 2001. - № 2.- с.131-132.

11.    Самосюк І.З. Терапія ультразвуковими хвилями / І.З. Самосюк, Г.Є. Шумков, Н.В. Чухраєв. - Київ: НМУ «Медінтех», 2003. - 173 с.

12.    Сокрута В.М. Фізичні чинники в медичній реабілітації / В.М. Сокрута, В.М. Козакова. - Донецьк: ДонНМУ, 2008. - 576 с.

13.    Сергєєв І.І. Променева діагностика / І.І. Сергєєв. - Мінськ: БГЕУ, 2007. - 311 с.

14.    Стрижаков А.І. Ультразвукова діагностика в акушерській клініці / А.І Стрижаков, А.Т. Бунін, М.В. Медведєв. - Москва: Медицина, 2001. - 312 с.

15.    Тихомирова Т.Ф. Технологія променевої діагностики / Т.Ф. Тихомирова. - Мінськ: БДМУ, 2008. - 142 с.

16.    Улащик В.С. Низькочастотний ультразвук: дія на організм, лікувальне застосування і перспективи дослідження / В.С. Улащик. - 2000. - №6. - с.3-8.

17.    Улащик В.С. Фізіотерапія. Універсальна медична енциклопедія / В.С. Улащик. - Мінськ: Книжковий будинок, 2008. - 640 с.

18.    Хостікоєва З.С. Фізичні фактори в реабілітації хворих після інсульту / З.С. Хостікоєва // Фізіотерапія, бальнеологія і реабілітація, 2006. - №4. - с. 43-54.

19.    Хачкурузов, С.Г. УЗД в гінекології. Симптоматика. Діагностичні труднощі і помилки / С.Г. Хачкурузов. - Петербург: Елбі-СПБ, 2002. - 625с.

20.    Чернікова Л.А. Реабілітація хворих після інсульту: роль фізіотерапії / Л.А. Чернікова // Фізіотерапія, бальнеологія і реабілітація, 2005. - №2. - с.3-10.

21.    Шотемор Ш.Ш. Путівник по діагностичним зображенням / Ш.Ш. Шотемор, І.І. Пружанскій, Т.В. Шевякова. - Москва: Радянський спорт, 2001. - 74 с.

ДОДАТКИ

Додаток А

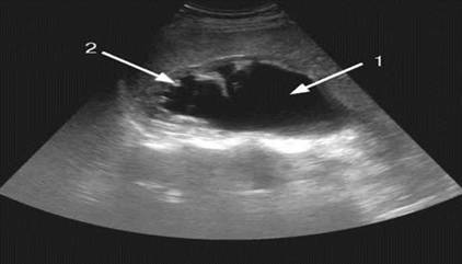
Сонограма. Нормальна будова нирки

Сонограма. Гідронефроз: 1 - виражене розширення балії і чашок із згладжуванням їх контурів; 2 - різке стоншення паренхіми нирки

Додаток Б

Похожие работы на - Ультразвукові методи функціональної діагностики

 

Не нашли материал для своей работы?
Поможем написать уникальную работу
Без плагиата!
Без нейросетей!