Визуализация внутренних органов (интроскопия)
Введение
Визуализация внутренних органов (интроскопия),
недоступных для прямой диагностики, позволяет врачам зрительно анализировать
изображения органов и ставить диагнозы. Не всегда только по двухмерным сечениям
возможно представить весь орган и его дефекты. Для этого двухмерные сечения
должны быть представлены в таком виде, как видит органы хирург или анатом. Это
также задача визуализации.
Кроме того, для анализа функционирования
организма, необходимо не только видеть отдельные органы, но и видеть, как они
работают, как движутся вещества.
Отсюда вытекают цели и задачи визуализации
внутренних органов:
Исследование работы органов
Диагностика организма
Контроль при лечении и операциях
Методы визуализации
Для визуализации, то есть получения изображений
внутренних органов, используются методы из арсенала лучевой диагностики или
эндоскопии. Все они характеризуются разными показателями информативности (%):
точность - способность метода давать правильные
заключения;
чувствительность - способность метода давать
положительный результат у лиц с конкретным заболеванием;
специфичность - способность метода давать
отрицательный ответ у лиц, не страдающих данным заболеванием.
Лучевая диагностика включает в себя методы,
основанные на получении изображений, связанных с использованием различного
излучения - проходящего через изучаемый объект, излучаемого им или отраженного
от него.
Регистрация изображений может осуществляться в
аналоговом режиме непосредственно (без компьютерной обработки) и в цифровом
режиме (с так называемой цифровой компьютерной обработкой) на дисковых,
бумажных и пленочных носителях.
К основным видам лучевой диагностики относятся:
Рентгенодиагностика:
базовая рентгенодиагностика;
компьютерная томография;
магнитно-резонансная томография;
Ультразвуковая диагностика;
Радионуклидная диагностика.
Базовая рентгендиагностика
Рентгеноскопия верхних отделов пищеварительного
тракта
Рентгенография верхних отделов ЖКТ представляет
собой рентгенологическое исследование глотки, пищевода, желудка и начальных
отделов тонкого кишечника (двенадцатиперстной кишки). Для получения изображений
используется особая разновидность исследования под названием флюороскопия и
вводимый перорально (через рот) контрастный материал в виде бария.

Рентгенография глотки Рентгенография пищевода

Рентгенография желудка Контрастная
рентгенография тонкого … кишечника
Рентгеноскопия верхних отделов пищеварительного
тракта (глотки, пищевода, желудка и двенадцатиперстной кишки) до настоящего
времени остается одним из основных методов диагностики злокачественных
новообразований этих органов. В современной рентгенодиагностике все четыре
перечисленных органа исследуются одновременно. Особое значение имеет
возможность обнаружения опухолей, обладающих интрамуральным (внутри стенки) или
экзоорганным (кнаружи от стенки органа) ростом, а также новообразований
соседних органов, которые не видны при эндоскопических исследованиях.
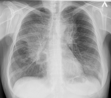
Рентгеноскопия органов грудной клетки
Рентгеноскопия органов грудной клетки в
онкологической практике применяется как дополнительный метод исследования в
дифференциальной диагностике центрального рака легкого: чем хуже пульсация
пораженного корня легкого, тем менее вероятна его сосудистая патология и более
вероятна опухолевая природа изменений.
Врачи-рентгенологи могут применять
рентгеноскопию грудной клетки при периферических образованиях в легких, если
таковые видны только на прямой рентгенограмме, но не определяются в других
проекциях - для выбора оптимального среза линейной томографии.
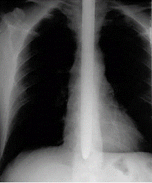
Рентгенография легких, норма
Рак легких
Специальные виды рентгенографии
Холецистография, маммография - рентгенография в
условиях искусственного пневмоторакса, пневмоперитонеума и
пневморет-роперитонеума, париетография, фистулография, некоторые
рентгеноэндоско-пические процедуры и другие являются прерогативой
специализированных учреждений онкологического и иного профиля. Самой
распространенной рент-геноэндоскопической процедурой является эндоскопическая
ретроградная пан-креатохолангиография (ЭРПХГ), при которой через большой
дуоденальный сосочек в холедох и в вирсунгов проток вводится водорастворимое
рентгено-контрастное вещество.Особым разделом специализированной
рентгенодиагностики являются различные виды ангиографии и лимфографии,
показывающие полный или частичный «блок» для прохождения контрастного вещества
в зоне злокачественной опухоли или метастатически пораженного лимфатического
узла.
Холицистография

Маммография ЭРПХГ

Почечная ангиография Лимфография
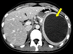
Компьютерная томография
Компьютерная томография (КТ), или рентгеновская
компьютерная томография (РКТ) - рентгеновский метод исследования, основанный на
компьютерной обработке данных о степени поглощения рентгеновского излучения в
разных точках изучаемого пространства.
Получаемые изображения близки по своей
анатомической сути пироговским топографическим срезам человеческого тела. В
отличие от базовой рентгенодиагностики, КТ позволяет видеть мягкие ткани и не
требует искусственного контрастирования для того, чтобы увидеть внутренние
органы. Но для дифференциальной диагностики контрастирование является
неотъемлемым техническим приемом.
Самым распространенным способом стандартного
контрастирования при КТ является пероральный прием 3% водного раствора
водорастворимого контрастного вещества для выделения изображений желудка и
петель кишечника. Если не использовать этот прием при исследованиях органов
брюшной полости и малого таза, то за опухоль можно принять обычное кишечное
содержимое.
Основное предназначение КТ - диагностика
онкологических заболеваний, характеризующихся образованием опухолей или
узловатых образований. Возможности КТ традиционно описываются по областям
исследования сверху вниз по телу человека.
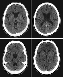
Головной мозг, орбиты, кости основания и свода
черепа
Для обнаружения первичных и метастатических
опухолей головного мозга КТ обладает широкими возможностями при их величине
свыше 7-8 мм. Критической зоной является стволовая часть головного мозга,
замкнутая в костное кольцо и неизменно перекрываемая артефактами. Опухоли
головного мозга характеризуются патологической зоной измененной плотности
определенной формы, с признаками объемного воздействия на окружающие структуры,
со сдавлением прилежащих полостей, с активным накоплением контрастного вещества
при внутривенном контрастировании. Некоторым первичным опухолям присуща
кистозная структура, с заполнением жидкостью (плотность не совпадает с
плотностью ликвора). Часто степень злокачественности выявленного
новообразования удается оценить только при гистологическом исследовании после
операции. Метастазы чаще всего окружены широкой зоной перифокального отека.
В области глазниц выявляются признаки невриномы
зрительного нерва, опухоли ретробульбарного пространства. К сожалению,
достоверным признаком злокачественности является только разрушение костных
стенок орбиты и распространение опухоли на окружающие анатомические структуры.
Небольшое новообразование не может быть идентифицировано по степени злокачественности.
В костях основания и свода черепа можно
обнаружить метастазы остеолити-ческого, остеобластического или смешанного
строения, имеющие те же признаки, что и в традиционной рентгенодиагностике.

КТ головного мозга КТ глазниц
Лицевой череп, придаточные пазухи носа, полость
носа, носоглотка.
КТ позволяет легко визуализировать
дополнительные новообразования в мягких тканях лица, в придаточных пазухах. К
сожалению, во всех этих областях нельзя с достаточной точностью отличить полип
или аденоид от злокачественной опухоли даже при внутривенном контрастировании
(особенно в носоглотке) до появления признаков прорастания в окружающие ткани.
Зато приобретаются точные сведения о местном распространении процесса.
КТ лицевого черепа, пазух
Шея, щитовидная железа
Хорошо визуализируются опухоли и кисты шеи,
пораженные лимфатические узлы. Щитовидная железа часто перекрывается
артефактами от костей верхнего плечевого пояса и редко демонстрирует свою
тонкую структуру. Однако опухолевые узлы, особенно при достаточно больших
размерах, видны без искажений. Легко можно проследить взаимоотношения опухоли с
окружающими тканями и анатомическими зонами, в том числе с верхним
средостением.
КТ, опухоль щитовидной железы
Гортаноглотка, гортань
Наиболее ценные сведения можно получить о
степени экзоорганного распространения опухоли. КТ не является методом первичной
диагностики новообразований этой области. Для этого достаточно использовать
линейную томографию и фиброларингоскопию с биопсией
КТ глотки и гортани
Органы грудной клетки (средостение, легкие,
плевра)
Рентгеносемиотика заболеваний этих органов
полностью совпадает с базовой рентгенодиагностикой при большей информативности
КТ (те же признаки улавливаются более детально). Более точные сведения можно
получить о прорастании новообразования из легкого в плевру или средостение, из
плевры - в мягкие ткани и костный каркас грудной стенки, в грудные позвонки, из
средостения - в обратном направлении. Кисты и опухоли данных органов
визуализируются четко. При КТ видны даже неизмененные медиастинальные
лимфатические узлы. Пораженные лимфатические узлы могут быть охарактеризованы
по форме, размерам, плотности, склонности к конгломерации и агрессии по
отношению к окружающим тканям. При этом затруднена дифференциальная диагностика
гиперпластической и метастатической лимфоаденопатии, отдельных видов
лимфопролиферативных заболеваний. Невозможна диагностика микрометастазов в
лимфатических узлах. Для оценки состояния лимфатических узлов корней легких
лучше использовать линейную томографию. При установленном диагнозе рака
пищевода КТ применяется для оценки степени распространения экзоорганного
компонента опухоли в средостение. Для диагностики опухолей диафрагмы требуется
применение дополнительных приемов (искусственный пневмоперитонеум). Кисты и
опухоли перикарда доступны для КТ-диагностики, новообразования миокарда могут
диагностироваться этим методом в условиях КТ-ангиографии (приоритет сохраняется
за УЗИ и МРТ)

Органы брюшной полости и забрюшинного
пространства
Условно данная область исследования продолжается
от куполов диафрагмы до нижних полюсов почек (шаг 10 мм). В ней может быть
выделена гепатопанкреатодуоденальная зона - ГПДЗ (шаг 5 мм) до нижнего края
печени. Исследование подвздошных областей является самостоятельным и требует
специальной подготовки больного (заблаговременный прием водорастворимого
контрастного вещества для контрастирования толстой кишки).
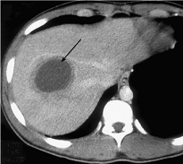
Первичные и метастатические опухоли печени имеют
вид округло-овальных узлов пониженной плотности, хорошо накапливают контрастное
вещество. Определенные трудности вызывают случаи дифференциальной диагностики с
гемангиомами печени, внутривенное контрастирование при этом является
обязательным техническим приемом. Липомы имеют отрицательные значения плотности
и не пересекаются с другими предположениями.
Менее очевидна диагностика рака поджелудочной
железы, так как этот вид опухоли имеет изоденсивную плотность и при
внутривенном контрастировании меняет свои свойства одинаково с непораженной
паренхимой органа. При раке головки поджелудочной железы обнаруживаются
признаки механической желтухи в виде расширения внутри- и внепеченочных желчных
протоков, застойного желчного пузыря, блока холедоха на уровне опухоли.
Дополнительными симптомами опухоли в любой части железы являются ее объемное
увеличение, отсутствие дифференциации с окружающими тканями, признаки
прорастания в соседние органы.
Селезенка может быть патологически изменена при
системных лимфопро-лиферативных заболеваниях, новообразованиях печени и
некоторых других процессах в виде спленомегалии. Очаговые изменения округлой
формы характерны для метастатического поражения. Первичные опухоли селезенки не
имеют правильной округлой формы, значения плотности - гиподенсивные, структура
- однородная.
Надпочечники в норме имеют треугольную форму.
Увеличение их размеров и округление формы при «мягкотканной» плотности от 15 до
35 ед. по шкале Хаунсфильда указывают на опухолевую природу изменений - от
аденомы до феохромоцитомы без полной уверенности в дифференциальном диагнозе.
Диагноз устанавливается после сопоставления данных УЗИ, КТ (структурные и
денситометрические характеристики) и клинико-лабораторных.
Опухоли паренхимы и полостной системы почек
диагностируются с высокой достоверностью, особенно при оптимальном применении
внутривенного «усиления». Как правило, они оцениваются как объемное образование
неправильной округлой формы с гиподенсивными значениями плотности, с признаками
инвазивного роста. При контрастном «усилении» плотность опухоли быстро
увеличивается из-за хорошей васкуляризации.

КТ печени КТ киста селезенки
КТ почек
Малый таз
визуализация орган
интроскопия томография
В диагностике новообразований малого таза КТ
способна дать информацию о распространенности злокачественного процесса при уже
установленном диагнозе, но в первичной и дифференциальной диагностике
возможности ее ограниченны, особенно при раке шейки, вульвы, тела матки,
яичников, простаты, прямой кишки в стадиях Т1-2 и в некоторых случаях в стадии
ТЗ. Хорошие результаты удается получить в оценке метастатического поражения
тазовых лимфатических узлов. Приоритет в дифференциальной диагностике
новообразований этих органов принадлежит базовому и специализированному УЗИ и
МРТ.
КТ малого таза
Костно-суставная система
КТ является эффективным методом оценки состояния
крупных плоских и длинных трубчатых костей, превосходящим по своим возможностям
базовую рентгенодиагностику. Оценка состояния суставов в целях онкологической
диагностики с помощью КТ также эффективна, а для других целей, как правило,
используется МРТ. Мелкие и тонкие кости исследуются с техническими трудностями
и с меньшей результативностью.
В диагностике первичных костных опухолей КТ
позволяет получить изображения не только эндооссального (внутрикостного)
компонента и периоста, но и экзооссального (внекостного) мягкотканного
компонента опухоли. В некоторых случаях обнаружение внешнего компонента имеет
решающее значение в дифференциальной диагностике опухолевой, диспластической и
воспалительной патологий. Проще, чем при базовой рентгенодиагностике,
происходит оценка остеолитических (результат деятельности клеток-остеокластов)
и остеобласти-ческих (последствия работы остеобластов) изменений, особенно при
их сочетании. В диагностике опухолей мягких тканей немаловажным преимуществом
КТ является возможность определения их взаимоотношений с костями и суставами. В
обоих случаях приобретается ценная информация о границах распространения
опухоли и ее контакте с другими анатомическими структурами. В диагностике
метастазов действуют те же принципы, что и в исследованиях первичных опухолей.
КТ костно-суставной системы
Магнитно-резонансная томография
МРТ традиционно входит в перечень методов
рентгенодиагностики, хотя и основана на других физических принципах. Это
связано с тем, что для работы на MP-томографе необходима подготовка по
программам обучения врача-рентгенолога и специалиста прежде всего по КТ, а
только уж потом по МРТ. Внешнее родство методов связано с особенностями
получаемых изображений, сходных с КТ. Устаревшее название данного метода -
ядерно-магнитная томография (ЯМР) - в современной научной литературе не
употребляется. Отдельный вид исследований - МРТ-спектроско-пия - используется
только в условиях крупных научно-исследовательских учреждений.
Физическая основа метода - регистрация
радиоволн, излучаемых намагниченными атомами водорода после воздействия на них
внешнего радиоволнового сигнала, и компьютерная обработка данных. Контрастность
тканей на МРТ отражает особенности ядерных структур вещества. Одна и та же
ткань может на одной МРТ получиться темной, на другой - светлой, что зависит от
выбора формы облучающего сигнала или импульсной последовательности.
Напряженность («мощность») магнитного поля, создаваемого тем или иным
аппаратом, определяет его основные технико-диагностические возможности: чем
напряженность выше, тем шире возможности. Наиболее распространены МР-томографы
с напряженностью 0,23-0,5-1,0 Тл. В высокоспециализированных научных центрах
встречаются установки с мощностью 1,5-2,0-3,0 Тл.
С помощью МРТ в медицинских целях можно получить
изображения органов и тканей, содержащих какое-либо количество воды
(возбуждение атомов водорода). Образования, не содержащие воды или углерода, на
МРТ не отображаются. Это следует иметь в виду при изучении изменений, которые
сопровождаются образованием кальцинатов. Технические препятствия могут
возникнуть при исследованиях больных с кардиостимуляторами и металличес кими
протезами (в том числе зубными). В мощном магнитном поле возможнс нагревание
металлических предметов до критических температур. В настояще< время созданы
специальные сплавы, не имеющие такого недостатка; качестве металлических
конструкций подтверждается специальным сертификатом. Всё время процедур также
могут возникать другие артефакты: физиологические (связанные с поведением
пациента или движением внутренних органов), системные (искажения по методам
построения изображений) и аппаратные (связанные с измерительной аппаратурой).
Технически МРТ не связана с жесткой
необходимостью выполнять исследование только в одной плоскости. Возможности
метода позволяют выстраивать диагностическую картину практически в любой
плоскости, в том числе и самой причудливой формы. Выработанный с годами
алгоритм исследования предусматривает построение поперечных (аксиальных)
срезов, как при КТ, с дополни тельными изображениями во фронтальной,
сагиттальной и косых плоскостях, В последние годы подобные возможности
появились и у КТ - специальные программы обработки изображений в режиме
мультипланарной (многоплоскостной) и трехмерной реконструкции. Однако
дифференциация тканей (контрастное отображение каждого тканевого слоя) гораздо
лучше видна при МРТ.
Точность, чувствительность и специфичность МРТ
превышает таковые показатели информативности КТ - в некоторых областях на 1-2
%, в других - дс 40 % и более. Известны успехи применения МРТ в диагностике
заболеваний центральной нервной системы, сердечно-сосудистой и костно-суставной
систем, органов малого таза. Почти равные возможности КТ и МРТ демонстрируют в
оценке состояния вещества головного мозга, трахеобронхиального дерева и
паренхимы легких, паренхиматозных органов брюшной полости и забрюшинногс
пространства, больших плоских костей, лимфатических узлов любых групп. В
исследованиях этих областей оба метода являются конкурентными. В то же время в
изучении стволовой части головного мозга и всего спинного мозга, сердца и
сосудистых структур (в том числе головного мозга), конечностей (особенно
суставов), органов малого таза преимущество принадлежит МРТ. Вполне объяснимо
стремление лечебно-профилактических учреждений иметь в своем арсенале оба
аппарата.
Наиболее часто в онкологической практике МРТ
необходима для дифференциальной диагностики первичных и вторичных опухолей
центральной нервной системы (ствол и спинной мозг), сердца и перикарда,
позвоночника.
МРТ центральной нервной системы

МРТ сердца МРТ желудка и кишечника
Ультразвуковая диагностика
Ультразвуковая диагностика (УЗД, сонотомография)
широко вошла в арсенал лучевой диагностики. Физической основой данного метода
является получение компьютерной картины от отраженного органами и тканями
ультразвукового сигнала. Излучателем и воспринимающей системой (одновременно)
служат специальные датчики, работающие на разной частоте ультразвукового
сигнала (в диапазоне 2-10 МГц). Ультразвуковой луч направленно пропускается
через пациента линейно или в виде сектора. Ультразвуковые методы условно
отнесены к потенциально безвредным процедурам, однако определенные аппараты с
высокой энергией излучения не рекомендованы к применению в отдельных областях
(чаще это касается наблюдения за беременными женщинами). Повреждающее действие
ультразвука связано с эффектом кавитации - чередующимся появлением и
исчезновением микрополостей в тканях в соответствии с частотой излучения.
С прохождением через ткани тела интенсивность
передаваемого ультразвука постепенно уменьшается (эффект ослабления мощности за
счет поглощения ультразвука в виде тепла). Обратно к датчику отражается часть
ультразвукового сигнала, оставшаяся непоглощенной и нерассеянной. Скорость
прохождения ультразвука определяется акустическим сопротивлением тканей
(импедансом), которое зависит от их плотности и эластичности. На границе мягких
тканей и газа или на границе мягких тканей и кортикальной костной ткани сигнал
отражается почти полностью. Поэтому препятствиями для УЗД служат раздутые газом
петли кишечника, заполненная воздухом легочная ткань, костные структуры.
Используемые ультразвуковые методы принято
делить на скрининговые, базовые и специализированные (экспертные). Скрининговые
процедуры рассчитаны на выделение патологических участков на фоне нормальной
картины (опознавание «свой-чужой»). Базовые исследования ограничиваются
изучением состояния органов брюшной полости, забрюшинного пространства, малого
таза, щитовидной и молочной желез, поверхностных лимфатических узлов.
Специализированные исследования выполняются с применением внутриполостных
датчиков (ректального, вагинального, пищеводного), высокочувствительных
кардиососудистых датчиков, с пункционнои биопсией. Современные аппараты
оснащены функцией соно-КТ (построение поперечного среза с получением картины,
подобной компьютерной томограмме).
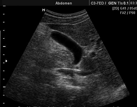
Диагностические возможности УЗД хорошо
реализуются в диагностике первичных и вторичных опухолей и сопутствующей
патологии печени, поджелудочной железы, селезенки, почек, простаты, матки,
внеорганных и брыжеечных новообразований брюшной полости, забрюшинного
пространства и малого таза. УЗД при опухолях желчного пузыря, яичников и
надпочечников имеет высокую чувствительность при малой специфичности (выявляет
соответствующие изменения, но не позволяет уверенно провести дифференциальную
диагностику). Основное предназначение УЗД - получение прямого непосредственного
изображения опухоли (гиперэхогенные и гипоэхогенные образования) и
сопутствующих изменений.

УЗИ печени УЗИ почек
УЗИ пожделудочной железы
УЗИ матки

УЗИ мочевого пузыря УЗИ желчного пузыря
Радионуклидная диагностика
Радионуклидная диагностика (РНД) - группа
методов, основанная на регистрации изображений от объектов, излучающих
гамма-лучи (хорошо проникающих через ткани). Для того, чтобы человеческий
организм стал источником излучения, в него вводятся радиофармацевтические
препараты (РФП), содержащие в своем составе радионуклиды. Идеальный РФП
распространяется только в пределах органов и структур, предназначенных для
визуализации (органотропные препараты). В онкологической практике особое место
занимают канцеротропные препараты, дающие накопление в злокачественных
новообразованиях. Многие из этих методов отличаются высокой чувствительностью
при низкой специфичности и при низком пространственном разрешении. Основное
предназначение РНД - оценка функционального компонента патологических
изменений.
Простая конструкция гамма-камеры позволяет
получать фронтальное или боковое изображение. Самая распространенная
конструкция - сканер, печатающий изображение на бумаге. При использовании
органотропных РФП на изображениях появляются «холодные» зоны или очаги в
проекции первичной или метастатических опухолей. Для функциональной оценки
почек применяются ренографы, которые дают графическое отображение процесса
накопления и выведения РФП из почек в виде кривой.
Эмиссионные компьютерные томографы оснащены
системой вращения встроенной в них гамма-камеры и позволяют реконструировать
секционное изображение. Помимо функциональных исследований различных органов
(щитовидная железа, гепатобилиарная система, молочная железа, легкие, система
кровообращения и др.) может быть получена ценная информация о структурных нарушениях.
Широко применяется сцинтиграфия скелета, позволяющая выявить на доклиническом
этапе метастазы в костно-суставной системе. Обязательным условием таких
результатов обследования является получение более достоверных данных другим
методом (рентгенологическим или при КТ, МРТ). Непрямая
радионуклиднаялимфография помогает обнаружить дополнительные признаки
злокачественности видоизмененных паховых лимфатических узлов, которые при этом
блокированы для прохождения РФП.
Позитронные эмиссионные томографы основаны на
использовании испускаемых радионуклидами позитронов (испускаемый протон сразу
же реагирует с ближайшим электроном в реакции аннигиляции; излучаемые при этом
два гамма-фотона регистрируются двумя детекторами). Для производства
радионуклидов на ПЭТ используются циклотроны. Данный вид томографии позволяет
подробно изучать скрытые метаболические процессы.
Радионуклеидная диагностика
Заключение
Как мы видим, визуализация внутренних органов
играет огромное значение в диагностике как ранних, так и поздних опухолей.
Благодаря методам визуализации современная медицина может зарегистрировать
начальные стадия развития злокачественных опухолей и, соответственно, принять
меры для предотвращения их дальнейшего развития. А это, в свою очередь,
позволяет спасать многие жизни людей.
Список использованной литературы
Синельников
Р.Д.,Синельников Я.Р.
Атлас
анатомии человека:Учеб.пособие в 4-х томах. T.I.-М.:Медицина,
1989.-344с.:ил.(Учеб.лит.Длястуд.мед.ин-тов)
Методическое
пособие «Функциональная и клиническая артросиндесмология»
Проф.
Т. Ташев, проф. Г. Маждраков, проф. А. Сиеонов, доц. ХР. Браилски «Болезни
желудка, кишечника и брюшины» Медицина и Физкультура, София 1964.
М.Г.
Привес, Н.К. Лысенков, В.И. Бушкович «Анатомия человека» Санкт-Петербург
Издательский дом СПбМАПО
Ш.
X. Ганцев «Онкология» 2006
И.
В. Гайворонский «Диагностика онкологических заболеваний», 2013