Дифференциальная диагностика интерстициального нефрита и гломерулонефрита

  • Вид работы:
    Курсовая работа (т)
  • Предмет:
    Сельское хозяйство
  • Язык:
    Русский
    ,
    Формат файла:
    MS Word
    190,75 Кб
  • Опубликовано:
    2015-09-22
Вы можете узнать стоимость помощи в написании студенческой работы.
Помощь в написании работы, которую точно примут!

Дифференциальная диагностика интерстициального нефрита и гломерулонефрита

 

 

 

 

 

 

 

 

 

 

 

 

 

Диференциальная диагностика интерстициального нефрита и гломерулонефрита


ОГЛАВЛЕНИЕ

 

ВВЕДЕНИЕ

. ХАРАКТЕРИСТИКА ИНТЕРСТИЦИАЛЬНОГО НЕФРИТА И ГЛОМЕРУЛОНЕФРИТА

1.1 Этиология и патогенез интерстициального нефрита и гломерулонефрита

.2 Клиническая картина интерстициального нефрита и гломерулонефрита

2. ДИФФЕРЕНЦИАЛЬНАЯ ДИАГНОСТИКА ИНТЕРСТИЦИАЛЬНОГО НЕФРИТА И ГЛОМЕРУЛОНЕФРИТА

. ЛЕЧЕНИЕ И ПРОФИЛАКТИКА ИНТЕРСТИЦИАЛЬНОГО НЕФРИТА И ГЛОМЕРУЛОНЕФРИТА

ВЫВОДЫ

СПИСОК ИСПОЛЬЗОВАННОЙ ЛИТЕРАТУРЫ

 

ВВЕДЕНИЕ

Актуальность работы. Основной орган, поддерживающий гомеостаз организма животного, - почки, вовлекаемые в любой патологический процесс. Канальцы и интерстиций почек поражаются при многих заболевания как, системных, так и местных поражениях. Почки накапливают и выводят мочу из организма, тем самым очищая его от вредных веществ, а так же поддерживают водно-солевой и кислотно-щелочный баланс в организме. Болезни почек представляют собой многочисленную и разнообразную как в клиническом, так и в морфологическом проявлении группу болезней, классификация которых вызывала, да и вызывает до настоящего времени, горячие споры у специалистов различного профиля, которым приходиться диагностировать и лечить эти болезни.

Проблема заболеваний почек сейчас очень актуальна. Эти заболевания очень распространены и серьёзны отдалёнными последствиями, большими затратами на лечение и серьёзным прогнозом.

Заболевания почек животных подразделяют на гломерулонефрит, интерстициальный нефрит и нефрито-нефроз. Заболевание регистрируется у всех видов животных. Чаще встречается интерстициальный нефрит. Нефриты и пиелонефриты наблюдаются у всех животных, но чаще у собак.

В обычных хозяйствах болезни почек составляют примерно 5%, в специализированных комплексах - 8% случаев от заболевания внутренними незаразными болезнями.

У собак заболевание почек регистрируется чаще, чем у других животных, и увеличивается с возрастом. Более чем у 50 % собак в возрасте старше 8 лет при клиническом обследовании можно обнаружить ярко выраженные патологические изменения в обеих почках, при гистологическом исследовании - у 80 % собак. Болезнь развивается незаметно на протяжении многих лет. Причинами, ее вызывающими, являются инфекции, аллергические, химические и физические факторы. болезни домашних животных

В настоящее время, благодаря современным методам клинического, иммунологического, биохимического и морфологического исследований, получены принципиально новые данные о сущности, патогенезе и морфологии многих заболеваний почек.

Исследования последних лет показали большую значимость ранней диагностики заболеваний почек у животных для возможной профилактики прогрессирования заболеваний. Частую непредсказуемость течения почечной патологии нередко связывают с нарушениями в иммунной системе. Именно потому изучение дифференциальной диагностики интерстициального нефрита и гломерулонефрита у животных являются очень актуальными.

Цель работы: проведение дифференциальной диагностики интерстициального нефрита и гломерулонефрита.

Задачи работы:

рассмотреть этиологию и патогенез интерстициального нефрита и гломерулонефрита;

дать клиническую характеристику течения интерстициального нефрита и гломерулонефрита;

провести дифференциальную диагностику интерстициального нефрита и гломерулонефрита;

- изучить лечение и профилактику интерстициального нефрита и гломерулонефрита.

1. ХАРАКТЕРИСТИКА ИНТЕРСТИЦИАЛЬНОГО НЕФРИТА И ГЛОМЕРУЛОНЕФРИТА

 

1.1 Этиология и патогенез интерстициального нефрита и гломерулонефрита


Острый интерстициальный нефрит - острое абактериальное, недеструктивное воспаление межуточной ткани почек с последующим вовлечением всего нефрона. Интерстициальный нефрит - самостоятельное заболевание, имеющее свою природу, чаще всего иммунную, свою клиническую картину, свои закономерности развития. Процесс может носить очаговый или диффузный характер. При диффузном интерстициальном нефрите в процесс вовлекаются обе почки, с развитием некроза канальцево-го эпителия и острой почечной недостаточности. Это заболевание до сих пор остается малоизученным. Этиология. Замечено, что медленно развившийся и долго тянувшийся нефрит чаще всего бывает интерстициальным. Его развитие обусловлено длительным приемом лекарств (антибиотиков, сульфаниламидов). Острое течение болезни у животных отмечается при передозировке антибиотиков широкого спектра действия (гентамицина, канамицина, поли-миксина, неомицина, неовитина, стрептомицина и других). Возможно его развитие в связи с перенесенной инфекцией, а также реакцией на введение вакцин и сывороток. Необходимо иметь в виду возможность развития интерстициального нефрита у больных животных, страдающих хроническим гломеруло- и пиелонефритом. Возникновению абактериального интерстициального нефрита способствуют лептоспиры, вирусы, грибы. Следует учитывать, что абактериальный недеструктивный интер-стициальный нефрит с внедрением гематогенной, или лимфогенной инфекции становится бактериальным и деструктивным пиелонефритом.

К интерстициальному нефриту относят разные по этиологии воспалительные (чаще иммуновоспалительные) заболевания почек, характеризующиеся преимущественным поражением канальцев и межуточной ткани почек. Различают острые и хронические интерстициальные нефриты.

Развитие острого интерстициального нефрита связывают с поступлением в кровь токсических продуктов или бактериальных токсинов, которые реабсорбируются канальцами. При этом в процесс вовлекается базальная мембрана канальцев и развивается иммунологическая реакция с фиксацией иммунных комплексов в интерстициальной ткани и стенке канальцев. Иммунный характер острого интерстициального нефрита подтверждается наличием в крови циркулирующих антител, реагирующих с базальной мембраной канальцев, а также иммуноглобулинов М, G и Е вдоль стенки канальцев. Развивается иммунное воспаление с отеком в интерстиции. Воспалительный процесс приводит к сдавлению канальцев и сосудов. Повышается внутриканальцевое давление и падает эффективное фильтрационное давление в клубочках с рефлекторным спазмом сосудов и ишемией почечной ткани, снижением почечного кровотока. В результате этого происходит снижение скорости клубочковой фильтрации, что вызывает повышение концентрации сывороточного креатинина и других продуктов азотистого обмена. Отек интерстиция и поражение канальцев сопровождаются уменьшением реабсорбции воды с развитием полиурии и гипостенурии. Дисфункции канальцев приводят к электролитным сдвигам, канальцевому ацидозу и протеинурии.

Гломерулонефрит (Glomerulonephritis) - воспалительный процесс почек инфекционно-аллергической этиологии с преимущественным поражением клубочкового аппарата нефрона.

В отличие от интерстициального нефрита гломерулонефрит характеризуется преимущественным поражением клубочкового аппарата почек, является частой причиной развития хронической почечной недостаточности.

Болезнь возникает как следствие инфекций, аллергической сенсибилизации, переохлаждений, отравлений. Основным же этиологическим фактором гломерулонефрита является инфекция, преимущественно стрептококковая, в особенности гемолитический стрептококк, в меньшей степени стафилококки и пневмококки.

Нефрит рассматривают и как аллергическое постинфекционное заболевание. Важное значение имеет также специфическая почечная аллергия, в основе которой лежат процессы аутосенсибилизации.

Важной причиной развития болезни является переохлаждение и сырость в помещениях. Они могут играть роль решающего фактора в сенсибилизированном организме, возможно, что оно переводит недеятельные антитела в деятельные, то есть активизирует их. Существует возможность возникновения сывороточного и вакцинного нефрита.

Сенсибилизирующими причинами могут быть и качество кормов, условия содержания и др.

Неполноценное кормление животных приводит к понижению неспецифической резистентности организма, к потере упитанности. Истощенные животные предрасположены к развитию у них нефрита. Отмечены случаи заболевания животных нефритом при даче им побегов хвойных деревьев, листьев березы, ольхи и испорченных кормов. В возникновении нефрита у животных играют роль микотоксикозы и кандидамикозы. Возможны случаи развития нефрита при отравлении животных различного рода химический веществами.

В патогенезе гломерулонефрита огромное значенне имеет сенсибилизация организма бактериальным или небактериальным антигеном с локализацией проявлений гиперчувствительности в сосудистых клубочках почек. Особого внимания заслуживает роль охлаждения в развитии диффузного нефрита, поскольку нередко нефрит развивается после повторного или сильного однократного охлаждения.

Патогенез гломерулонефрита сложен. Считается, что чужеродное вещество, поступающее в кровь (бактериальный токсин, химический агент, лекарственный препарат или его метаболит, патологические белки, образовавшиеся в результате лихорадки, введение сывороток, вакцин и т. д.), элиминируясь почками, попадает в первичную мочу, затем реабсорбируется канальцами повреждает туберкулярную базальную мембрану и соединяется с ее белкам превращается, таким образом, в почечный антиген и вызывает иммунологическую реакцию.

Нарушается также концентрационная функция почек за счет клеточной инфильтрации и воспалительных изменений основного вещества мозгового слоя. По мере увеличения очагов инфильтрации возможно постепенное развитие соединительной ткани. В дальнейшем острый процесс часто переходит в хронический.

В тех случаях, когда развитие гломерулонефрита связано с антигенной стимуляцией, образованием антител и иммунных комплексов, повреждающих почку, говорят об иммунологически обусловленном гломерулонефрите.

Иммунопатологический механизм развития характерных для гломерулонефрита изменений почек связан в подавляющем большинстве случаев с действием иммунных комплексов (иммунокомплексный гломерулонефрит), редко - с действием антител (антительный гломерулонефрит). Иммунные комплексы могут содержать гетерелогичный (бактериальный) антиген (гетерологичные иммунные комплексы). С такими комплексами связано развитие в клубочках почек иммунного воспаления, отражающего реакцию гиперчувствительности немедленного типа, что характерно для острого и подострого гломерулонефрита. В составе иммунных комплексов может содержаться антиген собственных органов и тканей (аутологичные иммунные комплексы). В таких случаях в почечных клубочках возникают морфологические проявления гиперчувствительности как немедленного, так и замедленного типа. Выражением реакции гиперчувствительности замедленного типа становятся мезангиальные формы гломерулонефрита.

Антительный механизм ведет к развитию аутоиммунизации, так как он связан с антипочечными аутоантителами. Гломерулонефрит в таких случаях чаще всего имеет морфологию экстракапиллярного пролиферативного, реже мезангиально-пролиферативного. Иммунные реакции, развивающиеся на базальной мембране капилляров клубочков и составляющие патогенетическую основу гломерулонефрита, зависят от нервных и гуморальных влияний.

Морфологические изменения в почках при гломерулонефрите представлены пролиферацией мезангиальных, эндотелиальных и эпителиоидных клеток клубочка, утолщением и расщеплением базальной мембраны клубочковых капилляров, склерозом сосудистых петель, дистрофией эпителия канальцев. У части больных обнаруживают некроз сосудистых петель клубочка, поражение сосудов и интерстиция. С помощью специальных методов в клубочке может быть выявлено отложение антител или иммунных комплексов.

Активированный иммунными комплексами комплемент, обладая хемотаксической активностью, привлекает в очаг поражения нейтрофилы. Освободившиеся из лизосом полинуклеоляров энзимы повреждают эндотелиальный покров базальной мембраны клубочка, что приводит к разрывам ее, появлению в мочевом пространстве белков плазмы, эритроцитов, фрагментов мембраны. Активированный комплемент способствует также активации факторов Хагемана, агрегации тромбоцитов. Наконец, в капиллярах клубочков происходит свертывание крови, отложение фибрина. Полинуклеоляры, обладая фибринолитической. активностью, разрушают фибрин, но все же при тяжелом течении острого гломерулонефрита депозиты фибрина закономерно находят в сосудах почек.

Патогенез интерстициального нефрита - в настоящее время не вызывает сомнения участие различных иммунных реакций в развитии интерстициального нефрита. Высказывая мнения о существовании комплемент - зависимых у независимых механизмов, обусловливающих развитие интерстициального нефрита. Свидиетельством аллергического компонента при остром развитии интерстициального нефрита являются полиморфные кожные высыпания, эозинофилия и наличие эозинофилов в клеточных инфильтрациях почечной ткани. Имеются данные о повышении IgE м в крови и присутствии IgE в интерстиции почек при интерстициальном нефрите.

У некоторых больных вдоль базальной мембране канальцев выявлены линейно-расположенные депозиты IgE, увеличение проницаемости базальной мембраны канальцев и в меньшей степени, базальной мембраны капилляров клубочков. Экспериментальные данные свидетельствует о повреждении интерстециальной ткани и почечных канальцев, в результате действие аутоантител против базальной мембраны канальцев, иммунные комплексы, а также клеточных медиаторов.

Морфологическая картина острого интерстициального нефрита характеризуется неспецифической лимфогистиоцитарной инфильтрацией межуточной ткани, дистрофией и атрофией эпителия проксимальных и дистальных канальцев, изменением сосудов стромы и умеренной мезангиальной пролиферацией в клубочках. Обратное развитие морфологических изменений, характерных для острого интерстициального нефрита, происходит в течение 3 - 4 мес.

Вследствие интерстициальный инфильтрации и циркуляторных расстройств часть наблюдается некрозы сосочков и проявления гипоксии в корковом веществе. На основании данных почечной биопсии установлено, что клеточная инфильтрация интерстиция может носить фокальный или диффузный характер. Изучение характера морфологических нарушений почечной ткани при интерстициальном нефрите различного генеза позволило установить что общим гистологическим признаком заболевания независимо от его природы является лимфоидная или макрофагальная инфильтрация промежуточной ткани почек, локализующаяся, чаще вокруг сосудов и перигломерулярно. Почти с такой же частотой обнаруживается выраженная дистрофия и атрофия эпителия проксимальных и дистальных канальцев, пролиферация эндотелия почечных сосудов и утолщения их стенки.

Патологоанатомические изменения. Почки увеличены. Капсула их снимается с трудом. Поверхность коркового слоя бугристая. На разрезе их могут быть различной величины серо-белые точки. При гистологическом исследовании обнаруживают значительную клеточную инфильтрацию соединительной ткани, скопление плазматических клеток, лимфобластов и фибробластов, дистрофические и атрофические изменения паренхимы.

В межуточной ткани почки отмечается полнокровие, отек стромы, серозный экссудат с единичными нейтрофильными лейкоцитами, ярко выраженными дистрофическими и некротическими изменениями эпителия канальцев. В мозговом веществе их инфильтраты выражены обычно сильнее, чем в корковом.

 

1.2 Клиническая картина интерстициального нефрита и гломерулонефрита


Острый интерстициальный нефрит сопровождается симптомами основной болезни, вызвавшей его. Возникает чаще на фоне острого инфекционного гастроэнтерита, острой неспецифической бронхопневмонии, колибактериоза, лептоспироза, сальмонеллеза, и других, при применении антибиотиков широкого спектра действия на 3-5-й день после их назначения в ударных дозах. У больных отмечается снижение аппетита, температура тела зависит в первые дни от основного заболевания, незначительно повышена, а затем в пределах физиологической нормы. Исследованиями крови выявляют незначительный лейкоцитоз, уменьшение числа эритроцитов и количества гемоглобина. Нарушение азотовыделительной функции почек сопровождается повышением содержания остаточного азота и мочевины в сыворотке крови в 1,5-2 раза по сравнению с нормой.

Расстройство водно-электролитного обмена проявляется гипохлоремией, гипокальциемией и гиперфосфатемией. Отеки в большинстве случаев отсутствуют. Отмечается полиурия. Характерным признаком является снижение относительной плотности мочи, которая сохраняется на низком уровне в течение нескольких месяцев. Изменения мочевого осадка нехарактерны, иногда обнаруживаются лейкоциты, редко эритроциты, цилиндры и почечный эпителий.

Острый интерстициальный нефрит сопровождается симптомами основной болезни вызвавшей его. Возникает чаще на фоне острого инфекционного гастроэнтерита, острой неспецифической бронхопневмонии, колибактериоза, лептоспироза, сальмонеллеза, кандидамикоза и др., при применении антибиотиков широкого спектра действия на 3-5-й день после их назначения в ударных дозах. У больных животных отмечаются снижение аппетита, температура тела зависит в первые дни от основного заболевания, сначала незначительно повышена, а затем возвращается в пределы физиологической нормы. Исследованиями крови выявляют незначительный лейкоцитоз, уменьшение числа эритроцитов и количества гемоглобина.

Нарушение азотовыделительной функции почек сопровождается повышением содержания остаточного азота и мочевины в сыворотке крови в 1,5-2 раза. Расстройство водно-электролитного обмена проявляется гипохлоремией, гипокальциемией и гиперфосфатемией. Отеки в большинстве случаев отсутствуют. Отмечается полиурия. Характерным признаком является снижение относительной плотности мочи до 1,010, которая сохраняется на низком уровне в течение нескольких месяцев. Изменения мочевого осадка нехарактерны, иногда обнаруживаются лейкоциты, редко эритроциты, цилиндры и почечный эпителий (рис. 1).

Рис. 1 Схема нефрона

В начальном периоде течения гломерулонефрита отмечается снижение концентрационной функции почек, а в последующем и фильтрующей, что прежде всего сказывается на выведении азотистых продуктов и других факторов межуточного обмена.

При развитии нефрита у животных возникает азотемическая уремия. Механизм ее развития не совсем ясен, несомненно, что сама уремия является проявлением резко выраженной почечной недостаточности. При ней диурез понижен. Все это приводит к задержке в организме животных азотистых продуктов обмена ( рис. 2)

Содержание остаточного азота и особенно мочевины в сыворотке кров повышается в 5-10 раз. Наряду с этим развивается и гипохлоремическая уремия. Потери хлора и натрия из организма сопровождаются обезвоживанием тканей (эксикозом). В условиях этого резко усиливаются процессы распада белков. Это сопровождается увеличением в крови не только содержания аминокислот и аммиака, но также и продуктов неполного гидролиза в форме полипептидов, являющихся весьма токсичными. Они обладают токсическим действием на сосудистую систему, вызывают увеличение проницаемости капилляров, рефлекторное падение кровяного давления и вазотропную брадикардию. Быстрое снижение концентрации хлора в крови и внеклеточный эксикоз приводят к гиповолемии, дальнейшему сокращению объема клубочковой фильтрации и повышению уровня остаточного азота, а также развитию ацидоза.

Рис. 2 Пиелограмма нормальной и пораженной почек: 1 - здоровая почка, 2 - линия, соединяющая вершины синусов лоханки, образует равномерный овально выпуклый контур параллельно поверхности почки, 3 - пиелит и гидронефроз почки, 4 - линия, соединяющая вершины синусов лоханки, образует неравномерный с западениями контур, 5 - пиелоэктазия, обусловленная скоплением жидкости, 6 - место обтурации просвета мочеточника

Наблюдается нарушение кислотно-основного равновесия в сторону резкого ацидотического сдвига, обусловленного задержкой в организме преимущественно летучих кислот и кетоновых тел ( рис. 3,4)

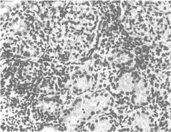
Рис. 3 Гистологическая картина при интерстициальном нефрите

Рис. 4 Гистологическая картина при гломерулонефрите

Следует также отметить, что в компенсации нарушения функций почек при нефрите участвует желудок и кишечник. Длительная интоксикация способствует белково-зернистой дегенерации клеток печени и возникновению печеночной недостаточности. Это приводит к изменениям белкового обмена. В частности, причиной гипоальбуминемии при гломерулонефрите является ускоренный распад альбумина, нарушение его синтеза печенью и повышенная проницаемость капилляров почек вследствие застойных явлений. Отмечается выход белка из сосудистого русла, он выделяется с мочой, и развивается протеинурия.

При возникающей частичной компенсаторной функции желудочно-кишечного тракта при азотонемии развивается уремический гастроэнтерит, выделение азотистых веществ кожей и слизистой оболочкой рта.

Длительная уремическая интоксикация костного мозга ведет к угнетению кроветворения и развитию гипохромной анемии.

Поражение сердечно-сосудистой системы проявляется гипертонией, сопровождающейся подъемом диастолического давления. Нарушение кровообращения и гипертрофия сердца находятся в прямой зависимости от гипертонии.

Наиболее сильное изменение кровообращения развивается при комбинации гиперволемии (увеличение массы крови) со спазмом артериол. Вследствие развития гиперволемии, гипертонии и спазмов мозговых сосудов у животных нередко развивается эклампсия.

Многочисленные и длительные воздействия, вызывающие нарушения деятельности почек, обусловливают развитие уремической полинейропатии. При этом у животных отмечается адинамия, апатия, сонливость, малоподвижность, нарушение координации движений, понижены рефлексы, выражена потливость, в последующем развивается коматозное состояние.

 

2. ДИФФЕРЕНЦИАЛЬНАЯ ДИАГНОСТИКА ИНТЕРСТИЦИАЛЬНОГО НЕФРИТА И ГЛОМЕРУЛОНЕФРИТА


Острый интерстициальный нефрит возникает чаще на фоне острого инфекционного гастроэнтерита, острой неспецифической бронхопневмонии, колибактериоза, лептоспироза, сальмонеллеза, кандидамикоза и др., при применении антибиотиков широкого спектра действия на 3-5-й день после их назначения в ударных дозах. У больных животных отмечаются снижение аппетита, температура тела зависит в первые дни от основного заболевания, сначала незначительно повышена, а затем возвращается в пределы физиологической нормы. Исследованиями крови выявляют незначительный лейкоцитоз, уменьшение числа эритроцитов и количества гемоглобина.

Нарушение азотовыделительной функции почек сопровождается повышением содержания остаточного азота и мочевины в сыворотке крови в 1,5-2 раза. Расстройство водно-электролитного обмена проявляется гипохлоремией, гипокальциемией и гиперфосфатемией. Отеки в большинстве случаев отсутствуют. Отмечается полиурия. Характерным признаком является снижение относительной плотности мочи до 1,010, которая сохраняется на низком уровне в течение нескольких месяцев. Изменения мочевого осадка нехарактерны, иногда обнаруживаются лейкоциты, редко эритроциты, цилиндры и почечный эпителий.

Диагностика острого интерстициального нефрита далеко не всегда проста. Учитывают, что острая почечная недостаточность развивается после приема лекарств в процессе лечения основного заболевания. Отмечается продолжительная полиурия, моча с низкой относительной плотностью.

Дифференцировать следует от гломерулонефрита, при котором ярко выражена триада симптомов: гипертония, гематурия, отеки. Частые позывы к мочеиспусканию на фоне олигурии и даже анурии. Моча имеет цвет мясного смыва, содержит эритроциты, лейкоциты, эпителий почечных канальцев. В период анурии развивается острая почечная недостаточность, приводящая к уремической коме и даже гибели животных.

Острый интерстициальный нефрит необходимо дифференцировать с острым постинфекционным гломерулонефритом, протекающим с нефритическим синдромом. Для острого гломерулонефрита характерен анамнез с наличием очага инфекции (чаще стрептококковой) и «светлым» промежутком между его активностью и клинической картиной нефрита. При остром интерстициальном нефрите нет отеков и артериальной гипертензии. Для него также характерна гипостенурия. При остром гломерулонефрите плотность мочи высокая или нормальная.

В отличие от пиелонефрита, при остром интерстициальном нефрите не наблюдается значительного повышения температуры тела и отсутствует бактериурия. Гематурия при пиелонефрите не превалирует над лейкоцитурией.

Клиническая картина гломерулонефрита складывается из сочетания почечных симптомов с симптомами поражения сердечно-сосудистой, легочной и центральной нервной системы. Острый гломелуронефрит развивается спустя 2-3 недели после перенесенного инфекционного заболевания, вакцинации, тонзиллита, фарингита. Клинически у таких животных отмечают повышенную температуру, бурную рвоту. Внезапное повышение АД сочетается с макрогематурией (моча в виде «мясных помоев»), отеками, олигурией. Гипертензия обычно сопровождается брадикардией и синусовой аритмией. Нередко отмечается болезненность мускулатуры спины при надавливании пальцами, преходящие парезы тазовых конечностей, желание лежать на холодном месте, выгибание дугой спины. Олигурия может быть выраженной вплоть до анурии с развитием преходящей острой почечной недостаточности. Остро развивающаяся гиперволемическая гипертензия, нередко ассоциированная с серозным миокардитом часто осложняется эклампсией, сердечной недостаточностью. К ранним признакам последней относятся появление тахикардии, ритма галопа, расширение полостей сердца. Нарушение кровообращения чаще развивается в малом круге (сердечная астма, интерстициальный отек легких). Острый гломерулонефрит длится не более двух недель и нередко заканчивается летально.

При гломерулонефрите развивается гипоальбуминемия из-за персистирующей протеинурии. При падении уровня альбумина ниже 15 г/л начинается развитие асцитов, гидроторакса и подкожных отеков. Эти симптомы также зависят от степени гипертензии. Из-за нее и сниженного осмотического давления из крови удаляется жидкость, что снижает общий объем крови и стимулирует механизм ренин-ангиотензин-альдостерон, который, наоборот, увеличивает задержку натрия и воды.

Диагноз острого гломерулонефрита должен быть заподозрен при внезапном развитии олигурии, отеков и артериальной гипертензии у молодых животных вскоре после перенесенного инфекционного заболевания, тонзилита, фарингита, вакцинации. Решающее значение имеет лабораторное исследование крови и мочи. У большинства больных отмечается умеренная нормохромная анемия, значительное увеличение СОЭ, нейтрофилез со сдигом влево, значительное увеличение показателей мочевины и креатинина в сыворотке крови. При исследовании мочи отмечают повышенное содержание эритроцитов (преимущественно выщелоченных), пиурию и бактериурию, наличие всех видов мочевых цилиндров. Протеинурия обычно невелика, однако при циклическом и затянувшемся остром гломерулонефрите она может достигать 10 г/л.

Симптомы острого гломерулонефрита не являются специфичными, в связи с чем при постановке диагноза необходимо дифференцировать острый гломерулонефрит от ряда сходно проявляющихся заболеваний. Острый гломерулонефрит необходимо отличать от хронического гломерулонефрита. Это не представляет сложностей при четком остром начале острого гломерулонефрита и последующем полном обратном развитии симптомов. Чаще всего диагностика осложняется при отсутствии острого начала, а также при длительном сохранении отдельных признаков болезни (прежде всего мочевого синдрома). Трудно дифференцировать острый гломерулонефрит от пиелонефрита вследствие наличия лейкоцитурии при обоих заболеваниях. Однако ОГН сопровождается более массивной протеинурией и в ряде случаев отеками. ОГН необходимо дифференцировать от хронических диффузных заболеваний соединительной ткани, при которых гломерулонефрит представляется как одно из проявлений болезни. Эта ситуация обычно возникает при выраженности мочевого, гипертензивного и отечного синдромов и недостаточной четкости других симптомов заболевания, чаще при системной красной волчанке. При подозрении на лептоспироз серологически исследуют сыворотку крови, но не ранее 7-12 дня заболевания.

Острую фазу гломерулонефрита характеризируют олигурия (при внешне учащенном мочеиспускании), гематурия и протеинурия. Клинически у таких животных отмечают повышенную температуру, бурную рвоту и кратковременные парезы тазовых конечностей. О поражениях клубочков почки свидетельствуют повышенное содержание эритроцитов в осадке мочи. О вовлечении межуточной ткани говорит большое число дейкоцитов и бактерий. Изменения в канальцевой системе почек характеризируется более частыми выделениями всех видов мочевых цилиндров. Гематурия может быть настолько сильной, что моча приобретает цвет мясных помоев. В очень тяжелых случаях острого диффузного гломерулонефрита у животного развиваются анурия с азотемией, тонико-клонические судороги. При этом значения мочевины и креатинина в сыворотке крови поднимаются до 25 ммоль/л и 265 мкмоль/л

интерстициальный гломерулонефрит лечение патогенез

3. ЛЕЧЕНИЕ И ПРОФИЛАКТИКА ИНТЕРСТИЦИАЛЬНОГО НЕФРИТА И ГЛОМЕРУЛОНЕФРИТА


Проблема лечения животных, больных интерстициальным нефритом, до настоящего времени еще не полностью разрешена. В начальный период болезни назначают антибиотики пенициллинового ряда (пенициллин, бициллин, ампиокс и другие). В период лечения антибиотиками для снижения их сенсибилизирующего влияния показано применение противогистаминных и десенсибилизирующих препаратов - димедрола, супрастина, тавегила и других. Эти препараты необходимо назначать в сочетании с аскорбиновой кислотой и препаратами кальция. Такое сочетание лечебных средств, помимо десенсибилизирующего эффекта, обладает способностью уменьшать проницаемость стенок капилляров и, следовательно, препятствует развитию отека тканей, резко снижает их токсичность. Гистамин оказывает не только десенсибилизирующее, но и противовоспалительное действие. Симптоматическое лечение включает применение диуретических средств. Мочегонным действием обладают пуриновые производные (эуфиллин, диуретин, кофеин и другие), улучшающие почечную гемодинамику и усиливающие клубочковую фильтрацию. Целесообразно применять средства фитотерапии - отвары бузины черной, листьев толокнянки, кукурузных рыльцев, зверобоя, ягод можжевельника и другие. С целью нормализации процессов обмена назначают витамины А, Д, Е, аскорбиновую кислоту, витамины В1, В12. При тяжелом течении нефрита с явлениями острой почечной недостаточности внутривенно вводят 5%-ный раствор глюкозы и 0,9%-ный раствор натрия хлорида.

Предупреждение интерстициального нефрита требует широкого комплекса профилактических мероприятий, прежде всего направленных на укрепление организма в целом. Для повышения защитных сил организма необходимо создание хороших санитарно-гигиенических условий содержания, а также проведение регулярных прогулок. Особого внимания заслуживает профилактика респираторных и желудочно-кишечных болезней, особенно вирусного происхождения. Профилактика поражений почек антибиотиками включает правильный подбор дозы препаратов, соблюдение сроков применения, кратности введения, учет синергизма, побочных действий, выяснение применялись ли ранее антибиотики соответствующей группы при лечении.

При своевременном лечении благоприятный. Если острый интерстициальный нефрит развивается на фоне другого заболевания - сомнительный. Лечение. В начальный период болезни назначают антибиотики пенициллинового ряда (пенициллин, бициллин, ампиокс и др.).

Для повышения защитных сил организм создание хороших санитарно-гигиенических условий в помещениях, а также проведение регулярного моциона.

Внимания заслуживает профилактика респираторных и желудочно-кишечных болезней, особенно вирусного происхождения.

Важными являются правильный подбор дозы препаратов, соблюдение сроков применения, кратности введения, учет синергизма, побочных действий.

При остром гломерулонефрите животному предоставляют полный покой. Назначают диету с ограничением соли, что помогает уменьшить накопление воды и гипертензию, а в случае почечной недостаточности - белка. Ограничивают потребление жидкости. Общее количество потребленной жидкости за сутки должно равняться объему выделенной за предыдущие сутки мочи плюс 7-10 мл/кг/сутки. Курс антибактериальной терапии следует проводить лишь в том случае, если связь ОГН с инфекцией достоверно установлена и с момента начала заболевания прошло не более 3 нед. Обычно назначают полусинтетические пенициллины в общепринятых дозировках. Мочегонные средства назначают лишь при задержке жидкости, повышении АД и появлении сердечной недостаточности. Наиболее эффективен фуросемид. Для стимуляции диуреза применяют верошпирон, эуфиллин 2-4% раствор 5- 10 мл в 10-20 мл 20-40% раствора глюкозы внутривенно 1-2 раза в сутки. Во избежание гипокалиемии применяют препараты калия. Показано назначение глюкокортикостероидов (преднизолон) в течение 1- 1,5 мес в виде монотерапии или в сочетании с гепарином. Гепарин обладает широким спектром действия: улучшает микроциркуляцию в почках, оказывает противовоспалительное и умеренное иммуносупрессивное влияние. В случаях выраженной олигоурии внутривенно капельно вводят маннит и реополиглюкин. При почечной колике применяют спазмолитики и анальгетики (баралгин, но-шпа, анальгин). При приступах эклампсии показано применение магния сульфата 25% раствора, реланиума, папаверина 2% раствора, эуфиллина 2,4 % раствора внутривенно.

Прогноз при остром гломерулонефрите благоприятен при условии своевременно начатого лечения. Большинство симптомов исчезает при лечении спустя 1-2 мес, и постепенно наступает выздоровление. В исключительных случаях возможен летальный исход в связи с кровоизлиянием в мозг или острой сердечной недостаточностью.

Важным звеном в комплексе мер борьбы с болезнями почек является профилактика. В целях профилактики острого нефрита следует, в первую очередь, устранить воздействие патогенного фактора, которым является инфекция.

Особо следует уделять внимание профилактике первичных - желудочно-кишечных и респираторных болезней инфекционного и неинфекционного происхождения.

В общей профилактике уделяют внимание приготовлению кормов, систематической проверке их качества. Недоброкачественные корма (пораженные грибами, загнившие, прокисшие) не должны включаться в рацион.

Кроме того, устраняются условия, вызывающие простуду, проводятся регулярные прогулки, чистка кожного покрова и уборка помещений - все это позволяет сохранить и вырастить здоровых животных.

Проводят активный моцион собак в целях ликвидации последствий адинамии, повышения устойчивости к болезням почек.

Эффективность частных мер в профилактике почечных осложнений во многом зависит от своевременного проведения общих неспецифических мероприятий при инфекционных и незаразных болезнях животных.

 

ВЫВОДЫ


В ходе работы была проведена дифференциальная диагностика интерстициального нефрита и гломерулонефрита.

Интерстициальный нефрит - это острое или хроническое абактериальное недеструктивное воспаление межуточной ткани с последующим вовлечением в патологический процесс всех тканей почек.

Гломерулонефрит - это инфекционно-аллергическое или неустановленной природы заболевание, в основе которого лежит двустороннее диффузное или очаговое негнойное воспаление клубочкового аппарата почек с наличием почечных и внепочечных проявлений.

Причинами возникновения гломерулонефрита как правило являются инфекции, преимущественно стрептококковая, в особенности гемолитический стрептококк, в меньшей степени стафилококки и пневмококки.

Причинами возникновения интерстициального нефрита являются применение лекарственных препаратов, введение сывороток, вакцин, влияние химических веществ.

Для типичной клинической картины острого интерстициального нефрита (ОИН) характерна:

сонливость, адинамия, снижение аппетита

отеков, как правило, не бывает

артериальное давление иногда незначительно повышается.

рано нарушается азотовыделительная функция почек - повышается концентрация креатинина, мочевины в плазме крови.

олигурия, как правило, отсутствует, чаще с самого начала заболевания на фоне гиперазотемии выделяется много мочи. Полиурия сохраняется длительно (до нескольких месяцев) и сочетается с гипостенурией.

острое повышение уровня креатинина плазмы, соотнесенное по времени с лекарственным воздействием

гипостенурия, полиурия, часто гематурией

уменьшение размеров почки и анемия

Для типичной клинической картины острого гломерулонефрита характерно:

высокая температура, снижение аппетита

в моче - гематурия, моча приобретает цвет «мясных помоев»

протеинурия (альбуминурия)

снижение фильтрационной способности почек

снижение диуреза, никтурия

высокая относительная плотность мочи

отеки

гипертония

Таким образом в отличие от острого гломерулонефрита при остром интерстициальном нефрите нет отеков, гипертензии, выраженной гематурии. Азотемия при остром интерстициальном нефрите нарастает до олигурии, а чаще на фоне полиурии. Для острого интерстициального нефрита характерна гипостенурия, тогда как при гломерулонефрите в начале заболевания удельная плотность мочи высокая.

СПИСОК ИСПОЛЬЗОВАННОЙ ЛИТЕРАТУРЫ


1.       Алексеева Е.А., Антонова Т.В. Поражение почек при безжелтушных и желтушных формах лептоспироза. Нефрология. 2007; 4: 74-8.

2.      Вскрытие животных и дифференциальная патоморфологическая диагностика болезней: Учебное пособие / М.С. Жаков, В.С. Прудников, И.А. Анисим и др. - Мн.: Ураджай, 2008.

.        Зайцев В.И., Синев А.В., Ионов П.С., Васильев А.В. Клиническая диагностика внутренних болезней сельскохозяйственных животных. - М: Колос, 2005.

.        Клиническая диагностика внутренних незаразных болезней животных /А.М. Смирнов, П.Я. Конопелько, Р.П. Пушкарев и др. - М.: Агропромиздат, 2008.

.        Козловская Д.В., Мартынова М.А. Учебное пособие по клиническим лабораторным методам исследования. - М.: Колос, 2005.

.        Кокуричев П.И., Домнин Б.Г., Кокуричева М.П. Патологическая анатомия с.-х. животных: Альбом. - СПб.; Агропромиздат, 2006.

.        Колесов А.М. Внутренние незаразные болезни животных, Л., 2008

.        Патологическая анатомия с.-х. животных / А.В. Жаров, В.П. Шишков, М.С. Жаков и др. - М.: Колос, 2009.

.        Патологическая физиология - Адо А.Д., Ишимова Л.М. М.: Медицина, 2008.

.        Патологическая физиология / А.Д. Адо, М.А. Адо и др. Томск, Издательство Томского университета, 2004.

.        Постников В.С, Комиссаров В.А. Исследование мочи у животных. - М, 2007.

.        Практикум по диагностике внутренних незаразных болезней сельскохозяйственных животных / А.М. Смирнов, И.М. беляков, Г.Л. Дугин и др. - М.: Агропромиздат, 2008.

.        Руководство по клинической лабораторной диагностике / Под ред. В.В. Меньшикова. - М: Медицина, 2006.

.        Шарабрин И.Г. Внутренние незаразные болезни с.-х. животных, 5 изд., М., 2006.

Похожие работы на - Дифференциальная диагностика интерстициального нефрита и гломерулонефрита

 

Не нашли материал для своей работы?
Поможем написать уникальную работу
Без плагиата!
Без нейросетей!