Семинома у собак
Министерство
сельского хозяйства РФ
ФГОУ
ВПО Вологодская государственная молочно-хозяйственная академия Им. Н. В.
Верещагина
Курсовая
работа
по
дисциплине: акушерство, гинекология и биотехника размножения животных
На
тему: Семинома у собак
Выполнила: студентка
гр. 4го курса
Малкова Е. В.
Проверила: Бритвина И. В.
Вологда
- Молочное - 2013
Содержание
Введение
. Патоморфология
. Причины
. Симптомы
. Диагностика
. Диагностика метастазов
. Профилактика
. Лечение
Заключение
Введение
Опухоли семенников у собак
легко обнаружить при осмотре и ощупывании мошонки. В большинстве случаев
опухоли возникают в одном семеннике, причем около трети их поражают не
опустившийся семенник. В таком случае опухоль располагается в паховом канале
или в брюшной полости. Опухоли семенников по строению делят на семиномы,
сертолиомы и лейдигомы. Сертолиомы вырабатывают эстрогены - женские половые
гормоны. Длительное повышение их уровня в крови вызывает угнетение вторичных
половых признаков у самцов и изменение их поведения. Происходит облысение
груди, живота и боковых поверхностей задних лап. Шерсть становится сухой и
ломкой, кожа, особенно мошонки, утолщается. Молочные железы увеличиваются,
половая активность снижается. Такие изменения чаще происходят при опухоли
семенника, не опустившегося из брюшной полости. Всего-навсего через
четыре-шесть дней после операции уровень эстрогенов в моче собаки достигает
нормы. Сертолиомы не скоро дают метастазы. Лейдигомы обычно возникают в опустившемся
семеннике. Они вырабатывают андрогены - мужские половые гормоны. Повышенный
уровень их в крови способствует появлению опухолей околоанальных желез. Нередко
эти опухоли бывают одновременно с лейдигомами. Лейдигомы не дают метастазов.
Семиномы не вырабатывают никаких гормонов, образуются они тоже в опустившемся
семеннике. Метастазируют редко, в основном в паховые лимфатические узлы. Все
эти опухоли достаточно медленно растут, не проникают сквозь оболочки семенника,
удаление их несложное.
1. Патоморфология
Семинома - односторонняя, часто
доброкачественная (не рецидивная или прогрессивная) опухоль из семяродного
эпителия яичка. Это - вторая наиболее распространенная опухоль яичка у кобелей,
чаще встречающаяся у более старых. Около трети всех опухолей развивается в
неопустившемся семеннике и у молодых собак (средний возраст 6-7 лет). В
опустившемся семеннике опухоль возникает в старшем возрасте (9-10 лет).
Развивается из зародышевого
эпителия и обычно в виде одиночного образования. Связана с заболеваниями
простаты и простатомегалией, гиперплазией гепатоидных желез и опухолей
гепатоидных желез ± перинеальная грыжа. Частота метастазирования менее 10%.
Метастазирование обычно в подпоясничные лимфатические узлы, легкие, печень,
селезенка, надпочечники, поджелудочная железа, ЦНС, глаза и кожа.
У собак часто наблюдается
первичная множественность опухолей. Частота таких случаев различна в отношении
доброкачественных и злокачественных новообразований. Первичная множественность
чаще наблюдается при доброкачественных опухолях. Эти опухоли могут быть
различного гистологического строения и возникать одновременно в разных местах.
Злокачественные опухоли гораздо реже бывают первично множественными. Иногда
наблюдается сочетание доброкачественной и злокачественной опухолей. При наличии
нескольких опухолей необходимо выяснить, не метастаз ли это.
. Причины
В настоящее время большинство
онкологов, и прежде всего клиницистов, считают, что в возникновении опухолей
решающее значение имеют факторы окружающей среды. Клинические наблюдения и
многочисленные эксперименты на животных с использованием современной техники и
тонких методов биологических исследований позволили установить определенную
роль канцерогенеза химических веществ, физических факторов, ионизирующих
излучений. Таким образом, с клинической точки зрения можно говорить о
множественности причин, которые ведут к возникновению злокачественных опухолей.
Семиномы развиваются по причине
крипторхизма - патологии, при которой одно или оба яичка не опускаются в
мошонку из брюшной полости, в которой они формируются. При крипторхизме риск
возникновения опухоли значительно выше. В яичке, вследствие нарушения
температурного режима, затруднения венозного оттока, травмирования органа
стенками пахового канала возникает задержка роста семенных канальцев, нарушение
дифференцировки их клеточных элементов и дистрофические процессы в клетках
сперматогенного ряда, что является благоприятным фоном для возникновения
опухоли.
семинома опухоль
яичко заболевание
3. Симптомы
Хотя семиномы редко вызывают
какие-либо клинические симптомы у животных, некоторые собаки все же испытывают
боль от растущей опухоли. В редких случаях уплотнение в яичках может быть
определено на ощупь. В самом начале заболевания семинома никак не дает о себе
знать. Пораженное яичко быстро увеличивается в размерах, при напряжении
причиняет сильную боль. Сама семинома не является причиной болезненности, боль
проявляется после затрагивания опухолью семенного канатика. После этого яичко
сильно уплотняется и деформируется. На следующем этапе развития семиномы в
мошонке начинает собираться жидкость, еще сильнее деформируя половые органы.
Если семинома возникла при условии нахождения яичка в брюшной полости, то она
может достигать очень внушительных размеров и занимать более её половины.
4. Диагностика
Для начала необходим осмотр
собаки на предмет наличия в яичках уплотнения, которое можно определить при
пальпации. Собаки, страдающие семиномой могут испытывать боль либо иметь
увеличенные яички. Обычно лабораторные анализы, такие как общий и биохимический
анализы крови и анализ мочи, не отклоняются от нормы и не выявляют патологии.
Определить наличие уплотнения в яичках можно только при помощи ультразвукового
исследования. В случае если опухоль присутствует, потребуется биопсия для исследования
в лаборатории. Иногда, чтобы подтвердить диагноз, необходима кастрация.
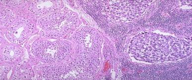
Результат
гистологического исследования
Макроскопически:
опухолевое образование яйцевидной формы размерами около 9*6*5см., с гладкой поверхностью,
на разрезах ткань железистой консистенции, пёстрая с оттенками серого и
коричневого цветов.
Микроскопически:
ткань на препаратах с на большом протяжении их с крупными участками деструкции,
на которых микроскопическое её строение стёрто полностью, либо видны полости с
неровными очертаниями. В ряде участков сохранена структура клеток, клетки в
преимуществе мономорфны, с гиперхромными округлыми ядрами, расположенными в
виде тонких плотно прилегающих друг к другу трабекул и тяжей, местами солидное
расположение клеток.

Очень проблематична, особенно
на ранних стадиях. Для их выявления необходимы следующие процедуры:
· Проводится сбор
анамнеза и общий осмотр.
· Рентгенография
грудной клетки - обязательно. Единичные узлы диаметром более 0,5 см можно выявить
только на снимках хорошего качества. При хромоте и болях в костях показана
рентгенография скелета. Снимки брюшной полости помогут оценить состояние
печени, селезенки и почек, хотя метастазы в этих органах видны не всегда.
· Ультросонография
позволяет выявить новообразование органов брюшной полости диаметром более 0,5
см.
· Лабораторный метод.
· Ядерная
сцинтиграфия, компьютерная томография, магнитный резонанс, позитронная
томография.
· Биопсия. При
лечении всех опухолей у кошек и собак нужна гистологическая диагностика. Она
позволяет выявить тип злокачественного новообразования и стадию его развития.
Это необходимо для прогноза и назначения соответствующего метода лечебного
воздействия.
6. Профилактика
Профилактическая хирургия:
Профилактическая онкологическая
хирургическая операция направлена на снижение:
) Ожидаемого распространения
опухолей определенного типа.
) Частоты рецидивов после
лечения опухолевого заболевания.
Считается, что орхидэктомия
(кастрация) или хирургическое перемещение семенников в мошонку служат
профилактикой развития этих новообразований. Из-за высокой наследуемости
крипторхизма у мелких животных приемлемо только первое.
7. Лечение
Лечение хирургическим путем.
Удаление не представляет сложностей, особенно если семенник, пораженный
опухолью, находиться в мошонке или паховом канале. Наиболее ответственный
момент в операции - это лигирование и пересечение питающей артерии. Удаление
опухоли семенника, находящегося в брюшной полости, проводится в соответствии с
общими правилами для полостных операций.
Заключение
Для своевременного обнаружения
и лечения семиномы необходимо соблюдать следующие правила:
· Плановое
профилактическое исследование самцов собак в возрасте старше 5 лет должно
включать обязательный осмотр семенников;
· Исследование
пациентов с опухолью семенника должно включать в себя полный набор диагностических
тестов (УЗИ, биопсия и т.д.);
Список
использованной литературы
1. Болезни собак: Справочник/А.Д. Белов,
Е.П. Данилов, И.И. Дукур и др. М.: Агропромиздат, 1990. 368 с: ил.
. Российский ветеринарный журнал №6/2012
3. <http://kotopes.ru/testikuljarnaja-opuhol-seminoma--u-sobak>
. <http://www.vetclinic-if.ru>
. http://vetdoctor.ru