Нейроны. Общая характеристика. Строение. Функции. Нейросекреторные нейроны.

  • Вид работы:
    Реферат
  • Предмет:
    Биология
  • Язык:
    Русский
    ,
    Формат файла:
    MS Word
    3,27 Мб
  • Опубликовано:
    2014-12-24
Вы можете узнать стоимость помощи в написании студенческой работы.
Помощь в написании работы, которую точно примут!

Нейроны. Общая характеристика. Строение. Функции. Нейросекреторные нейроны.

Содержание

Введение

Глава 1. Общая характеристика нейронов

.1Развитие нейрона

.2 Классификация нейронов

Глава 2. Строение нейрона

.1 Тело клетки

.2 Аксон

.3 Дендрит

.4 Синапс

Глава 3. Функции нейрона

Глава 4. Секреторные нейроны - нейросекреторные клетки

Заключение

Список использованной литературы

Приложения

Введение

Значение нервной ткани в организме связано с основными свойствами нервных клеток (нейронов, нейроцитов) воспринимать действие раздражителя, переходить в возбужденное состояние, распространять потенциалы действия. Нервная система осуществляет регуляцию деятельности тканей и органов, их взаимосвязь и связь организма с окружающей средой. Нервная ткань состоит из нейронов, выполняющих специфическую функцию, и нейроглии, играющей вспомогательную роль, осуществляющей опорную, трофическую, секреторную, разграничительную и защитную функции.

Нервные клетки (нейроны, или нейроциты) - основные структурные компоненты нервной ткани, организуют сложные рефлекторные системы посредством разнообразных контактов друг с другом и осуществляют генерирование и распространение нервных импульсов. Эта клетка имеет сложное строение, высоко специализирована и по структуре содержит ядро, тело клетки и отростки.

В организме человека насчитывается более ста миллиардов нейронов.

Число нейронов мозга человека приближается к 1011. На одном нейроне может быть до 10 000 синапсов. Если только эти элементы считать ячейками хранения информации, то можно прийти к выводу, что нервная система может хранить 1019 ед. информации, т. е. способна вместить практически все знания, накопленные человечеством. Поэтому вполне обоснованным является представление, что человеческий мозг в течение жизни запоминает все происходящее в организме и при его общении со средой. Однако мозг не может извлекать из памяти всю информацию, которая в нем хранится.

Целью данной работы является изучение структурно-функциональной единицы нервной ткани - нейрон.

К числу основных задач относятся изучение общей характеристики, строения, функций нейронов, а также подробное рассмотрение одних из особых типов нервных клеток - нейросекркторных нейронов.

Глава 1. Общая характеристика нейронов

Нейроны - специализированные клетки, способные принимать, обрабатывать, кодировать, передавать и хранить информацию, организовывать реакции на раздражения, устанавливать контакты с другими нейронами, клетками органов. Уникальными особенностями нейрона являются способность генерировать электрические разряды и передавать информацию с помощью специализированных окончаний - синапсов.

Выполнению функций нейрона способствует синтез в его аксоплазме веществ-передатчиков - нейромедиаторов (нейротрансмиттеры): ацетилхолина, катехоламинов и др. Размеры нейронов колеблются от 6 до 120 мкм.

Для различных структур мозга характерны определенные типы нейронной организации. Нейроны, организующие единую функцию, образуют так называемые группы, популяции, ансамбли, колонки, ядра. В коре большого мозга, мозжечке нейроны формируют слои клеток. Каждый слой имеет свою специфическую функцию.

Сложность и многообразие функций нервной системы определяются взаимодействием между нейронами, которое, в свою очередь, представляют собой набор различных сигналов, передаваемых в рамках взаимодействия нейронов с другими нейронами или мышцами и железами. Сигналы испускаются и распространяются с помощью ионов, генерирующих электрический заряд, который движется вдоль нейрона.

Клеточные скопления образуют серое вещество мозга. Между ядрами, группами клеток и между отдельными клетками проходят миелинизированные или немиелинизированные волокна: аксоны и дендриты.

1.1 Развитие нейронов

Нервная ткань развивается из дорсальной эктодермы. У 18-дневного эмбриона человека эктодерма по средней линии спины дифференцируется и утолщается, формируя нервную пластинку, латеральные края которой приподнимаются, образуя нервные валики, а между валиками формируется нервный желобок.

Передний конец нервной пластинки расширяется, образуя позднее головной мозг. Латеральные края продолжают подниматься и растут медиально, пока не встретятся и не сольются по средней линии в нервную трубку, которая отделяется от лежащей над ней эпидермальной эктодермы. (см.Приложение №1).

Часть клеток нервной пластинки не входит в состав ни нервной трубки, ни эпидермальной эктодермы, а образует скопления по бокам от нервной трубки, которые сливаются в рыхлый тяж, располагающийся между нервной трубкой и эпидермальной эктодермой, - это нервный гребень (или ганглиозная пластинка).

Из нервной трубки в дальнейшем формируются нейроны и макроглия центральной нервной системы. Нервный гребень дает начало нейронам чувствительных и автономных ганглиев, клеткам мягкой мозговой и паутинной оболочек мозга и некоторым видам глии: нейролеммоцитам (шванновским клеткам), клеткам-сателлитам ганглиев.

Нервная трубка на ранних стадиях эмбриогенеза представляет собой многорядный нейроэпителий, состоящий из вентрикулярных, или нейроэпителиальных клеток. В дальнейшем в нервной трубке дифференцируется 4 концентрических зоны:

внутренняя-вентрикулярная(или эпендимная) зона,

вокруг нее - субвентрикулярная зона,

затем промежуточная (или плащевая, или же мантийная, зона) и, наконец,

наружная - краевая (или маргинальная) зона нервной трубки.(см. приложение №2).

Вентрикулярная (эпендимная), внутренняя, зона состоит из делящихся клеток цилиндрической формы. Вентрикулярные (или матричные) клетки являются предшественниками нейронов и клеток макроглии.

Субвентрикулярная зона состоит из клеток, сохраняющих высокую пролиферативную активность и являющихся потомками матричных клеток.

Промежуточная (плащевая, или мантийная) зона состоит из клеток, переместившихся из вентрикулярной и субвентрикулярной зон - нейробластов и глиобластов. Нейробласты утрачивают способность к делению и в дальнейшем дифференцируются в нейроны. Глиобласты продолжают делиться и дают начало астроцитам и олигодендроцитам. Способность к делению не утрачивают полностью и зрелые глиоциты. Новообразование нейронов прекращается в раннем постнатальном периоде.

Поскольку число нейронов в головном мозге составляет примерно 1 триллион, очевидно, в среднем в течение всего пренатального периода в 1 мин формируется 2,5 миллиона нейронов.

Из клеток плащевого слоя образуются серое вещество спинного и часть серого вещества головного мозга.

Маргинальная зона (или краевая вуаль) формируется из врастающих в нее аксонов нейробластов и макроглии и дает начало белому веществу. В некоторых областях головного мозга клетки плащевого слоя мигрируют дальше, образуя кортикальные пластинки - скопления клеток, из которых формируется кора большого мозга и мозжечка (т.е. серое вещество).

По мере дифференцировки нейробласта, изменяется субмикроскопическое строение его ядра и цитоплазмы.

Специфическим признаком начавшейся специализации нервных клеток следует считать появление в их цитоплазме тонких фибрилл - пучков нейрофиламентов и микротрубочек. Количество нейрофиламентов, содержащих белок - нейрофиламентный триплет, в процессе специализации увеличивается. Тело нейробласта постепенно приобретает грушевидную форму, а от его заостренного конца начинает развиваться отросток - аксон. Позднее дифференцируются другие отростки - дендриты. Нейробласты превращаются в зрелые нервные клетки - нейроны. Между нейронами устанавливаются контакты (синапсы).

В процессе дифференцировки нейронов из нейробластов различают до-медиаторный и медиаторный периоды. Для домедиаторного периода характерно постепенное развитие в теле нейробласта органелл синтеза - свободных рибосом, а затем эндоплазматической сети. В медиаторном периоде у юных нейронов появляются первые пузырьки, содержащие нейромедиатор, а в дифференцирующихся и зрелых нейронах отмечаются: значительное развитие органелл синтеза и секреции, накопление медиаторов и поступление их в аксон, образование синапсов.

Несмотря на то, что формирование нервной системы завершается только в первые годы после рождения, известная пластичность центральной нервной системы сохраняется до старости. Эта пластичность может выражаться в появлении новых терминалей и новых синаптических связей. Нейроны центральной нервной системы млекопитающих способны формировать новые ветви и новые синапсы. Пластичность проявляется в наибольшей степени в первые годы после рождения, но частично сохраняется и у взрослых - при изменении уровней гормонов, обучении новым навыкам, травме и других воздействиях. Хотя нейроны постоянны, их синаптические связи могут модифицироваться в течение всей жизни, что может выражаться, в частности, в увеличении или уменьшении их числа. Пластичность при малых повреждениях мозга проявляется в частичном восстановлении функций.

1.2 Классификация нейронов

В зависимости от главного признака различают следующие группы нейронов:

. По основному медиатору, выделяющемуся в окончаниях аксонов, - адренергические, холинергические, серотонинергические, и т.д. Кроме того, имеются и смешанные нейроны, содержащие два основных медиатора, например, глицин и γ-аминомасляную кислоту.

. В зависимости от отдела ЦНС - соматические и вегетативные.

. По назначению: а) афферентые, б) эфферентые, в) интернейроны (вставочные).

. По влиянию - возбуждающие и тормозящие.

. По активности - фоново-активные и молчащие. Фоново-активные нейроны могут генерировать импульсы как непрерывно, так и импульсно. Эти нейроны играют важную роль в поддержании тонуса ЦНС и особенно коры больших полушарий. Молчащие нейроны возбуждаются только в ответ на раздражение.

. По количеству модальностей воспринимаемой сенсорной информации - моно-, би и полимодальные нейроны. Например, мономодальными являются нейроны центра слуха в коре большого мозга, бимодальные - встречаются во вторичных зонах анализаторов в коре. Полимодальные нейроны - это нейроны ассоциативных зон мозга, моторной коры, они реагируют на раздражения рецепторов кожного, зрительного, слухового и других анализаторов.

Грубая классификация нейронов предусматривает разделение их на три основные группы (см. Приложение №3):

. воспринимающие (рецепторные, чувствительные).

. исполнительные (эффекторные, двигательные).

. контактные (ассоциативные или вставочные).

Воспринимающие нейроны осуществляют функцию восприятия и передачи в центральную нервную систему информации о внешнем мире или внутреннем состоянии организма Они расположены вне центральной нервной системы в нервных ганглиях или узлах. Отростки воспринимающих нейронов проводят возбуждение от воспринимающих раздражение нервных окончаний или клеток к центральной нервной системе. Эти отростки нервных клеток, несущие с периферии возбуждение в центральную нервную систему, называют афферентными, или центростремительными волокнами.

В рецепторах в ответ на раздражение возникают ритмические залпы нервных импульсов. Информация, которая передается от рецепторов, закодирована в частоте и в ритме импульсов.

Различные рецепторы отличаются по своей структуре и функциям. Часть из них расположена в органах, специально приспособленных к восприятию определенного вида раздражителей, например в глазу, оптическая система которого фокусирует световые лучи на сетчатке, где находятся зрительные рецепторы; в ухе, проводящем звуковые колебания к слуховым рецепторам. Различные рецепторы приспособлены к восприятию разных раздражителей, которые для них являются адекватными. Существуют:

. механорецепторы, воспринимающие:

а) прикосновение - тактильные рецепторы,

б) растяжение и давление - пресса- и барорецепторы,

в) звуковые колебания - фонорецепторы,

г) ускорение - акцеллерорецепторы, или вестибулорецепторы;

. хеморецепторы, воспринимающие раздражение, производимое определенными химическими соединениями;

. терморецепторы, раздражаемые изменениями температуры;

. осморецепторы, воспринимающие изменения осмотического давления.

Часть рецепторов: световые, звуковые, обонятельные, вкусовые, тактильные, температурные, воспринимающие раздражения от внешней среды, - расположена вблизи внешней поверхности тела. Их называют экстерорецепторами. Другие же рецепторы воспринимают раздражения, связанные с изменением состояния и деятельности органов я внутренней среды организма. Их называют интерорецепторами (к числу интерорецепторов относят рецепторы, находящиеся в скелетной мускулатуре, их называют проприорецепторами).

Эффекторные нейроны по своим идущим на периферию отросткам - афферентным, или центробежным, волокнам - передают импульсы, изменяющие состояние и деятельность различных органов. Часть эффекторных нейронов расположена в центральной нервной системе - в головном и спинном мозгу, и на периферию идет от каждого нейрона только один отросток. Таковы моторные нейроны, вызывающие сокращения скелетной мускулатуры. Часть же эффекторных нейронов целиком расположена на периферии: они получают импульсы из центральной нервной системы и передают их к органам. Таковы образующие нервные ганглии нейроны вегетативной нервной системы.

Контактные нейроны, расположенные в центральной нервной системе, выполняют функцию связи между различными нейронами. Они служат как бы релейными станциями, производящими переключение нервных импульсов с одних нейронов на другие.

Взаимосвязь нейронов составляет основу для осуществления рефлекторных реакций. При каждом рефлексе нервные импульсы, возникшие в рецепторе при его раздражении, передаются по нервным проводникам в центральную нервную систему. Здесь или непосредственно, или же через посредство контактных нейронов нервные импульсы переключаются с рецепторного нейрона на эффекторный, от которого они идут на периферию к клеткам. Под влиянием этих импульсов клетки изменяют свою деятельность. Импульсы, поступающие в центральную нервную систему с периферии или же передаваемые от одного нейрона другому, могут вызывать не только процесс возбуждения, но и противоположный ему процесс - торможение.

Классификация нейронов по числу отростков (см. приложение №4):

. Униполярные нейроны имеют 1 отросток. По мнению большинства исследователей, такие нейроны не встречаются в нервной системе млекопитающих и человека.

. Биполярные нейроны - имеют 2 отростка: аксон и дендрит. Разновидностью биполярных нейронов являются псевдоуниполярные нейроны спинномозговых ганглиев, где оба отростка (аксон и дендрит) отходят от единого выроста клеточного тела.

. Мультиполярные нейроны - имеют один аксон и несколько дендритов. Их можно выделить в любом отделе нервной системы.

Классификация нейронов по форме (см. приложение №5).

Биохимическая классификация:

. Холинергические (медиатор - АХ - ацетилхолин).

. Катехоламинергические (А, НА, дофамин).

. Аминокислотные (глицин, таурин).

По принципу положения их в сети нейронов:

Первичные, вторичные, третичные и т.д.

Исходя из такой классификации, выделяют и типы нервных сетей:

иерархические (восходящие и нисходящие);

локальные - передающие возбуждение на каком-либо одном уровне;

дивергентные с одним входом (находящиеся в основном только в среднем мозге и в стволе мозга) - осуществляющие связь сразу со всеми уровнями иерархической сети. Нейроны таких сетей называют «неспецифическими».

Глава 2. Строение нейронов

Нейрон является структурной единицей нервной системы. В нейроне различаются сома (тело), дендриты и аксон. (см. приложение №6).

Тело нейрона (сома) и дендриты - два главных участка нейрона, которые воспринимают входные импульсы от других нейронов. Согласно классической «нейронной доктрине», предложенной Рамоном-и-Кахалем, информация через большинство нейронов протекает в одном направлении (ортодромический импульс) - от дендритных ветвей и тела нейрона (которые являются рецептивными частями нейрона, к которым импульс входит) к единому аксону (который является эффекторной частью нейрона, с которой импульс начинается). Таким образом, большинство нейронов имеют два типа отростков (нейритов): один или более дендритов, реагирующих на входящие импульсы, и аксон, который проводит выходной импульс.(см.приложение №7).

.1 Тело клетки

Тело нервной клетки состоит из протоплазмы (цитоплазмы и ядра), снаружи ограничена мембраной из двойного слоя липидов (билипидный слой). Липиды состоят из гидрофильных головок и гидрофобных хвостов, расположены гидрофобными хвостами друг к другу, образуя гидрофобный слой, который пропускает только жирорастворимые вещества (например кислород и углекислый газ). На мембране находятся белки: на поверхности (в форме глобул), на которых можно наблюдать наросты полисахаридов (гликокаликс), благодаря которым клетка воспринимает внешнее раздражение, и интегральные белки, пронизывающие мембрану насквозь, в которых находятся ионные каналы.

Нейрон состоит из тела диаметром от 3 до 130 мкм, содержащего ядро (с большим количеством ядерных пор) и органеллы (в том числе сильно развитый шероховатый ЭПР с активными рибосомами, аппарат Гольджи), а также из отростков (см. приложение №8,9). Нейрон имеет развитый и сложный цитоскелет, проникающий в его отростки. Цитоскелет поддерживает форму клетки, его нити служат «рельсами» для транспорта органелл и упакованных в мембранные пузырьки веществ (например, нейромедиаторов). Цитоскелет нейрона состоит из фибрилл разного диаметра: Микротрубочки (Д = 20-30 нм) - состоят из белка тубулина и тянутся от нейрона по аксону, вплоть до нервных окончаний. Нейрофиламенты (Д = 10 нм) - вместе с микротрубочками обеспечивают внутриклеточный транспорт веществ. Микрофиламенты (Д = 5 нм) - состоят из белков актина и миозина, особенно выражены в растущих нервных отростках и в нейроглии. В теле нейрона выявляется развитый синтетический аппарат, гранулярная ЭПС нейрона окрашивается базофильно и известна под названием «тигроид». Тигроид проникает в начальные отделы дендритов, но располагается на заметном расстоянии от начала аксона, что служит гистологическим признаком аксона.

.2 Аксон - это нейрит

(длинный цилиндрический отросток нервной клетки), по которому нервные импульсы идут от тела клетки (сомы) к иннервируемым органам и другим нервным клеткам.

Передача нервного импульса происходит от дендритов (или от тела клетки) к аксону, а затем сгенерированный потенциал действия от начального сегмента аксона передается назад к дендритам. Если аксон в нервной ткани соединяется с телом следующей нервной клетки, такой контакт называется аксо-соматическим, с дендритами - аксо-дендритический, с другим аксоном - аксо-аксональный (редкий тип соединения, встречается в ЦНС).

Концевые участки аксона - терминали - ветвятся и контактируют с другими нервными, мышечными или железистыми клетками. На конце аксона находится синаптическое окончание - концевой участок терминали, контактирующий с клеткой-мишенью. Вместе с постсинаптической мембраной клетки-мишени синаптическое окончание образует синапс. Через синапсы передаётся возбуждение.

В протоплазме аксона - аксоплазме - имеются тончайшие волоконца - нейрофибриллы, а также микротрубочки, митохондрии и агранулярная (гладкая) эндоплазматическая сеть. В зависимости от того, покрыты ли аксоны миелиновой (мякотной) оболочкой или лишены её, они образуют мякотные или безмякотные нервные волокна.

Миелиновая оболочка аксонов имеется только у позвоночных. Её образуют «накручивающиеся» на аксон специальные шванновские клетки (в центральной нервной системе - олигодендроциты), между которыми остаются свободные от миелиновой оболочки участки - перехваты Ранвье. Только на перехватах присутствуют потенциал-зависимые натриевые каналы и заново возникает потенциал действия. При этом нервный импульс распространяется по миелинизированным волокнам ступенчато, что в несколько раз повышает скорость его распространения. Скорость передачи сигнала по покрытым миелиновой оболочкой аксонам достигает 100 метров в секунду. нейрон нервный рефлекторный

Безмякотные аксоны меньше размерами, чем аксоны, покрытые миелиновой оболочкой, что компенсирует потери в скорости распространения сигнала по сравнению с мякотными аксонами.

В месте соединения аксона с телом нейрона у наиболее крупных пирамидных клеток 5-ого слоя коры находится аксонный холмик. Ранее предполагалось, что здесь происходит преобразование постсинаптического потенциала нейрона в нервные импульсы, но экспериментальные данные это не подтвердили. Регистрация электрических потенциалов выявила, что нервный импульс генерируется в самом аксоне, а именно в начальном сегменте на расстоянии ~50 мкм от тела нейрона. Для генерации потенциала действия в начальном сегменте аксона требуется повышенная концентрация натриевых каналов (до ста раз по сравнению с телом нейрона).

.3 Дендрит

(от греч. dendron - дерево) - разветвлённый отросток нейрона, который получает информацию через химические (или электрические) синапсы от аксонов (или дендритов и сомы) других нейронов и передаёт её через электрический сигнал телу нейрона (перикариону), из которого вырастает. Термин «дендрит» ввёл в научный оборот швейцарский ученый William His в 1889 году.

От сложности и разветвлённости дендритного дерева зависит то, сколько входных импульсов может получить нейрон. Поэтому одно из главных назначений дендритов заключается в увеличении поверхности для синапсов (увеличении рецептивного поля), что позволяет им интегрировать большое количество информации, которая поступает к нейрону.

Огромное многообразие дендритных форм и разветвлений, как и открытые недавно различные виды дендритных нейромедиаторных рецепторов и потенциалзависимых ионных каналов (активных проводников), является свидетельством богатого разнообразия вычислительных и биологических функций, которые дендрит может выполнять в ходе обработки синаптической информации по всему мозгу.

Дендриты играют ключевую роль в интеграции и обработке информации, а также способны генерировать потенциалы действия и влиять на возникновение потенциалов действия в аксонах, представая как пластичные, активные механизмы со сложными вычислительными свойствами. Исследование того, как дендриты обрабатывают тысячи синаптических импульсов, которые к ним поступают, является необходимым как для того чтобы понять, насколько в действительности сложным является один нейрон, его роль в обработке информации в ЦНС, так и для выявления причин многих психоневрологических заболеваний.

 <https://ru.wikipedia.org/wiki/%D0%A4%D0%B0%D0%B9%D0%BB:The_nerve_cell.png>Дендриты играют ключевую роль в интеграции и обработке информации, а также способны генерировать потенциалы действия и влиять на возникновение потенциалов действия в аксонах, представая как пластичные, активные механизмы со сложными вычислительными свойствами. Исследование того, как дендриты обрабатывают тысячи синаптических импульсов, которые к ним поступают, является необходимым как для того чтобы понять, насколько в действительности сложным является один нейрон, его роль в обработке информации в ЦНС, так и для выявления причин многих психоневрологических заболеваний.

Основные характерные черты дендрита, которые выделяют его на электронно-микроскопических срезах:

) отсутствие миелиновой оболочки,

) наличие правильной системы микротрубочек,

) наличие на них активных зон синапсов с ясно выраженной электронной плотностью цитоплазмы дендрита,

) отхождение от общего ствола дендрита шипиков,

) специально организованные зоны узлов ветвлений,

) вкрапление рибосом,

) наличие в проксимальных участках гранулированного и не гранулированного эндоплазматического ретикулума.

К нейронным типам с наиболее характерными дендритными формами относятся:

Биполярные нейроны, в которых два дендрита отходят в противоположных направлениях от сомы;

Некоторые интернейроны, в которых дендриты расходятся во всех направлениях от сомы;

Пирамидальные нейроны - главные возбуждающие клетки в мозгу - которые имеют характерную пирамидальную форму клеточного тела и в которых дендриты распространяются в противоположные стороны от сомы, покрывая две перевёрнутые конические площади: вверх от сомы простирается большой апикальный дендрит, который поднимается сквозь слои, а вниз - множество базальных дендритов, которые простираются латерально.

Клетки Пуркинье в мозжечке, дендриты которых выходят из сомы в форме плоского веера.

Звёздчатые нейроны, дендриты которых выходят из разных сторон сомы, образуя форму звезды.

Своей функциональностью и высокой рецептивностью дендриты обязаны сложной геометрической разветвленности. Дендриты одного нейрона, взятые вместе, называются «дендритным деревом», каждая ветвь которого называется «дендритной ветвью». Хотя иногда площадь поверхности дендритной ветки может быть достаточно обширной, чаще всего дендриты находятся в относительной близости от тела нейрона (сомы), из которого выходят, достигая в длину не более 1-2 мкм (см.приложение №9,10). Количество входных импульсов, которые данный нейрон получает, зависит от его дендритного дерева: нейроны, которые не имеют дендритов, контактируют только с одним или несколькими нейронами, тогда как нейроны с большим количеством разветвлённых деревьев способны принимать информацию от множества других нейронов.

Рамон-и-Кахаль, изучая дендритные разветвления, пришел к выводу, что филогенетические различия в специфических нейрональных морфологиях поддерживают отношения между дендритной сложностью и количеством контактов. Сложность и разветвлённость многих типов нейронов позвоночных (например, пирамидальные нейроны коры, клетки Пуркинье мозжечка, митральные клетки обонятельных луковиц) растёт с увеличением сложности нервной системы. Эти изменения связаны как с необходимостью для нейронов формировать больше контактов, так и с необходимостью контактировать с дополнительными нейронными типами в конкретном месте нейронной системы.

Следовательно, способ связанности между нейронами является одним из наиболее фундаментальных свойств их разносторонних морфологий и именно поэтому дендриты, которые формируют одно из звеньев этих связей, определяют многообразие функций и сложность конкретного нейрона.

Решающий фактор для способности нейронной сети хранить информацию - количество различных нейронов, которые могут быть соединены синаптически. Одним из главных факторов увеличения разнообразия форм синаптических связей в биологических нейронах является существование дендритных шипиков, открытых в 1888 году Кахалем.

Дендритный шипик (см.приложение №11)- мембранный вырост на поверхности дендрита, способный образовать синаптическое соединение. Шипики обычно имеют тонкую дендритную шейку, оканчивающуюся шарообразной дендритной головкой. Дендритные шипики обнаруживаются на дендритах большинства основных типов нейронов мозга. В создании шипиков участвует белок калирин. <https://ru.wikipedia.org/wiki/%D0%94%D0%B5%D0%BD%D0%B4%D1%80%D0%B8%D1%82>

Дендритные шипики формируют биохимический и электрический сегмент, где поступающие сигналы вначале интегрируются и обрабатываются. Шея шипика разделяет его голову от остальной части дендрита, тем самым делая шипика отдельным биохимическим и вычислительным регионом нейрона. Подобная сегментация играет ключевую роль в выборочном изменении силы синаптических связей в течение обучения и запоминания.

В нейробиологии также принята классификация нейронов на основе существования шипиков на их дендритах. Те нейроны, которые имеют шипики, называются шипиковыми нейронами, а те, которые их лишены - безшипиковыми. Между ними существует не только морфологическое отличие, но и различие в передаче информации: шипиковые дендриты зачастую являются возбуждающими, а безшипиковые - ингибирующими.

.4 Синапс

Место контакта между двумя нейронами или между нейроном и получающей сигнал эффекторной клеткой. Служит для передачи нервного импульса между двумя клетками, причём в ходе синаптической передачи амплитуда и частота сигнала могут регулироваться. Передача импульсов осуществляется химическим путём с помощью медиаторов или электрическим путём посредством прохождения ионов из одной клетки в другую.

Классификации синапсов.

По механизму передачи нервного импульса.

химический - это место близкого прилегания двух нервных клеток, для передачи нервного импульса через которое клетка-источник выпускает в межклеточное пространство особое вещество, нейромедиатор, присутствие которого в синаптической щели возбуждает или затормаживает клетку-приёмник.

электрический (эфапс) - место более близкого прилегания пары клеток, где их мембраны соединяются с помощью особых белковых образований - коннексонов (каждый коннексон состоит из шести белковых субъединиц). Расстояние между мембранами клетки в электрическом синапсе - 3,5 нм (обычное межклеточное - 20 нм). Так как сопротивление внеклеточной жидкости мало(в данном случае), импульсы через синапс проходят не задерживаясь. Электрические синапсы обычно бывают возбуждающими.

смешанные синапсы - Пресинаптический потенциал действия создает ток, который деполяризует постсинаптическую мембрану типичного химического синапса, где пре- и постсинаптические мембраны не плотно прилегают друг к другу. Таким образом, в этих синапсах химическая передача служит необходимым усиливающим механизмом.

Наиболее распространены химические синапсы. Для нервной системы млекопитающих электрические синапсы менее характерны, чем химические.

По местоположению и принадлежности структурам.

нервно-мышечные

нейросекреторные (аксо-вазальные)

рецепторно-нейрональные

центральные

аксо-дендритические - с дендритами, в том числе

аксо-шипиковые - с дендритными шипиками, выростами на дендритах;

аксо-соматические - с телами нейронов;

аксо-аксональные - между аксонами;

дендро-дендритические - между дендритами;

По нейромедиатору.

аминергические, содержащие биогенные амины (например, серотонин, дофамин);

в том числе адренергические, содержащие адреналин или норадреналин;

холинергические, содержащие ацетилхолин;

пуринергические, содержащие пурины;

пептидергические, содержащие пептиды.

При этом в синапсе не всегда вырабатывается только один медиатор. Обычно основной медиатор выбрасывается вместе с другим, играющим роль модулятора.

По знаку действия.

возбуждающие

тормозные.

Если первые способствуют возникновению возбуждения в постсинаптической клетке (в них в результате поступления импульса происходит деполяризация мембраны, которая может вызвать потенциал действия при определённых условиях.), то вторые, напротив, прекращают или предотвращают его появление, препятствуют дальнейшему распространению импульса. Обычно тормозными являются глицинергические (медиатор - глицин) и ГАМК-ергические синапсы (медиатор - гамма-аминомасляная кислота).

Тормозные синапсы бывают двух видов:

) синапс, в пресинаптических окончаниях которого выделяется медиатор, гиперполяризующий постсинаптическую мембрану и вызывающий возникновение тормозного постсинаптического потенциала;

) аксо-аксональный синапс, обеспечивающий пресинаптическое торможение. Синапс холинергический- синапс, медиатором в котором является ацетилхолин.

К специальным формам синапсов относятся шипиковые аппараты, в которых с синаптическим расширением контактируют короткие одиночные или множественные выпячивания постсинаптической мембраны дендрита. Шипиковые аппараты значительно увеличивают количество синаптических контактов на нейроне и, следовательно, количество перерабатываемой информации. «Не-шипиковые» синапсы называются «сидячими». Например, сидячими являются все ГАМК-ергические синапсы.

Механизм функционирования химического синапса (см.приложение №12).

Типичный синапс - аксо-дендритический химический. Такой синапс состоит из двух частей: пресинаптической, образованной булавовидным расширением окончанием аксона передающей клетки и постсинаптической, представленной контактирующим участком плазматической мембраны воспринимающей клетки (в данном случае - участком дендрита).

Между обеими частями имеется синаптическая щель - промежуток шириной 10-50 нм между постсинаптической и пресинаптической мембранами, края которой укреплены межклеточными контактами.

Часть аксолеммы булавовидного расширения, прилежащая к синаптической щели, называется пресинаптической мембраной. Участок цитолеммы воспринимающей клетки, ограничивающий синаптическую щель с противоположной стороны, называется постсинаптической мембраной, в химических синапсах она рельефна и содержит многочисленные рецепторы.

В синаптическом расширении имеются мелкие везикулы, так называемые синаптические пузырьки, содержащие либо медиатор (вещество-посредник в передаче возбуждения), либо фермент, разрушающий этот медиатор. На постсинаптической, а часто и на пресинаптической мембранах присутствуют рецепторы к тому или иному медиатору.

При деполяризации пресинаптической терминали открываются потенциал-чувствительные кальциевые каналы, ионы кальция входят в пресинаптическую терминаль и запускают механизм слияния синаптических пузырьков с мембраной. В результате медиатор выходит в синаптическую щель и присоединяется к белкам-рецепторам постсинаптической мембраны, которые делятся на метаботропные и ионотропные. Первые связаны с G-белком и запускают каскад реакций внутриклеточной передачи сигнала. Вторые связаны с ионными каналами, которые открываются при связывании с ними нейромедиатора, что приводит к изменению мембранного потенциала. Медиатор действует в течение очень короткого времени, после чего разрушается специфическим ферментом. Например, в холинэргических синапсах фермент, разрушающий медиатор в синаптической щели - ацетилхолинэстераза. Одновременно часть медиатора может перемещаться с помощью белков-переносчиков через постсинаптическую мембрану (прямой захват) и в обратном направлении через пресинаптическую мембрану (обратный захват). В ряде случаев медиатор также поглощается соседними клетками нейроглии.

Открыты два механизма высвобождения: с полным слиянием везикулы с плазмалеммой и так называемый «поцеловал и убежал» (англ. kiss-and-run), когда везикула соединяется с мембраной, и из неё в синаптическую щель выходят небольшие молекулы, а крупные остаются в везикуле. Второй механизм, предположительно, быстрее первого, с помощью него происходит синаптическая передача при высоком содержании ионов кальция в синаптической бляшке.

Следствием такой структуры синапса является одностороннее проведение нервного импульса. Существует так называемая синаптическая задержка - время, нужное для передачи нервного импульса. Её длительность составляет около - 0,5 мс.

Так называемый «принцип Дейла» (один нейрон - один медиатор) признан ошибочным. Или, как иногда считают, он уточнён: из одного окончания клетки может выделяться не один, а несколько медиаторов, причём их набор постоянен для данной клетки.

Глава 3. Функции нейронов

Функция нейронов заключается в восприятии сигналов от рецепторов или других нервных клеток, хранении и переработке информации и передаче нервных импульсов к другим клеткам - нервным, мышечным или секреторным.

Нейроны посредством синапсов объединяются в нейронные цепи. Цепь нейронов, обеспечивающая проведение нервного импульса от рецептора чувствительного нейрона до двигательного нервного окончания, называется рефлекторной дугой. Существуют простые и сложные рефлекторные дуги.

Нейроны между собой и с исполнительным органом контактируют с помощью синапсов. Рецепторные нейроны расположены вне ЦНС, контактные и двигательные - в ЦНС. Рефлекторная дуга может быть образована разным числом нейронов всех трех видов. Простая рефлекторная дуга образована всего двумя нейронами: первый чувствительный и второй - двигательный. В сложных рефлекторных дугах между этими нейронами включены еще ассоциативные, вставочные нейроны. Различают также соматические и вегетативные рефлекторные дуги. Соматические рефлекторные дуги регулируют работу скелетной мускулатуры, а вегетативные - обеспечивают непроизвольное сокращение мускулатуры внутренних органов.

В свою очередь в рефлекторной дуге различают 5 звеньев: рецептор, афферентный путь, нервный центр, эфферентный путь и рабочий орган, или эффектор.

Рецептор - это образование, воспринимающее раздражение. Представляет собой или ветвящееся окончание дендрита рецепторного нейрона, или специализированные, высокочувствительные клетки, или клетки с вспомогательными структурами, образующими рецепторный орган.

Афферентное звено образовано рецепторным нейроном, проводит возбуждение от рецептора к нервному центру.

Нервный центр образован большим количеством интернейронов и двигательных нейронов.

Это сложное образование рефлекторной дуги, представляющее собой ансамбль нейронов, расположенных в различных отделах центральной нервной системы, включая кору больших полушарий и обеспечивающих конкретную приспособительную реакцию.

Нервному центру присущи четыре физиологические роли: восприятие импульсов от рецепторов через афферентный путь; анализ и синтез воспринятой информации; передача сформированной программы по центробежному пути; восприятие обратной информации с исполнительного органа о выполнении программы, о совершенном действии.

Эфферентное звено образовано аксоном двигательного нейрона, проводит возбуждение от нервного центра к рабочему органу.

Рабочий орган - тот или иной орган организма, осуществляющий свойственную ему деятельность.

Принцип осуществления рефлекса. (см.приложение №13).

Через рефлекторные дуги осуществляются ответные приспособительные реакции на действие раздражителей, т. е. рефлексы.

Рецепторы воспринимают действие раздражителей, возникает поток импульсов, который передается на афферентное звено и по нему поступает к нейронам нервного центра. Нервный центр воспринимает информацию с афферентного звена, осуществляет ее анализ и синтез, определяет биологическую значимость, осуществляет формирование программы действия и в виде потока эфферентных импульсов передает ее на эфферентное звено. Эфферентное звено обеспечивает проведение программы действия от нервного центра к рабочему органу. Рабочий орган осуществляет свойственную ему деятельность. Время от начала действия раздражителя до начала ответной реакции органа называется временем рефлекса.

Специальное звено обратной афферентации воспринимает параметры совершенного рабочим органом действия и передает эту информацию в нервный центр. Нервный центр воспринимает обратную информацию с рабочего органа о свершенном действии.

Нейроны выполняют еще и трофическую функцию, направленную на регуляцию обмена веществ и питания как в аксонах и дендритах, так и при диффузии через синапсы физиологически активных веществ в мышцах и железистых клетках.

Трофическая функция проявляется в регулирующем влиянии на метаболизм и питание клетки (нервной или эффекторных). Учение о трофической функции нервной системы было развито И. П. Павловым (1920) и другими учеными.

Основные данные о наличии этой функции получены в опытах с денервацией нервных или эффекторных клеток, т.е. перерезания тех нервных волокон, синапсы которых заканчиваются на исследуемой клетке. Оказалось, что клетки, лишенные значительной части синапсов, их укрывают, становятся гораздо более чувствительными к химическим факторам (например, к воздействию медиаторов). При этом существенно изменяются физико-химические свойства мембраны (сопротивление, ионная проводимость и др.), биохимические процессы в цитоплазме, возникают структурные изменения (хроматолиз), растет количество хеморецепторов мембран.

Значительным фактором является постоянное поступление (в том числе и спонтанное) медиатора в клетки, регулирует мембранные процессы в постсинаптической структуре, повышает чувствительность рецепторов к химическим раздражителям. Причиной изменений может быть выделение из синаптических окончаний веществ («трофических» факторов), которые проникают в постсинаптическую структуру и влияют на нее.

Есть данные о перемещении некоторых веществ аксоном (аксонного транспорт). Белки, которые синтезируются в теле клетки, продукты метаболизма нуклеиновых кислот, нейромедиаторы, нейросекрет и другие вещества перемещаются аксоном до нервного окончания вместе с клеточными органеллами, в частности митохондриями. Допускают, что транспортный механизм осуществляется с помощью микротрубочек и нейрофилов. Выявлено также ретроградный аксонного транспорт (от периферии к телу клетки). Вирусы и бактериальные токсины могут проникать в аксон на периферии и перемещаться по нему к телу клетки.

Глава 4. Секреторные нейроны - нейросекреторные клетки

В нервной системе существуют особые нервные клетки - нейросекреторные (см. приложение №14). Они имеют типичную структурную и функциональную (т.е. способность проводить нервный импульс) нейрональную организацию, а их специфической особенностью является нейросекреторная функция, связанная с секрецией биологически активных веществ. Функциональное значение этого механизма состоит в обеспечении регуляторной химической коммуникации между центральной нервной и эндокринной системами, осуществляемой с помощью нейросекретируемых продуктов.

Для млекопитающих характерны мультиполярные нейросекреторные клетки нейронного типа, имеющие до 5 отростков. Такого типа клетки имеются у всех позвоночных, причем они в основном составляют нейросекреторные центры. Между соседними нейросекреторными клетками обнаружены электротонические щелевые контакты, которые, вероятно, обеспечивают синхронизацию работы одинаковых групп клеток в пределах центра.

Аксоны нейросекреторных клеток характеризуются многочисленными расширениями, которые возникают в связи с временным накоплением нейросекрета. Крупные и гигантские расширения называются «телами Геринга». В пределах мозга аксоны нейросекреторных клеток, как правило, лишены миелиновой оболочки. Аксоны нейросекреторных клеток обеспечивают контакты в пределах нейросекреторных областей и связаны с различными отделами головного и спинного мозга.

Одна из основных функций нейросекреторных клеток - это синтез белков и полипептидов и их дальнейшая секреция. В связи с этим в клетках подобного типа чрезвычайно развит белоксинтезирующий аппарат - это гранулярный эндоплазматический ретикулум и аппарат Гольджи. Сильно развит в нейросекреторных клетках и лизосомальный аппарат, особенно в периоды их интенсивной деятельности. Но самым существенным признаком активной деятельности нейросекреторной клетки является количество элементарных нейросекреторных гранул, видимых в электронном микроскопе.

Наивысшего развития эти клетки достигают у млекопитающих и у человека в гипоталамической области мозга. Особенностью нейросекреторных клеток гипоталамуса является специализация для выполнения секреторной функции. В химическом отношении нейросекреторные клетки гипоталамической области делятся на две большие группы - пептидэргические и монаминэргические. Пептидэргические нейросекреторные клетки продуцируют пептидные гормоны - монаминовые (дофамин, норадреналин, серотонин).

Среди пептидэргических нейросекреторных клеток гипоталамуса выделяют клетки, гормоны которых действуют на висцеральные органы. Они выделяют вазопрессин (антидиуретический гормон), окситоцин и гомологи этих пептидов.

Другая группа нейросекреторных клеток выделяет аденогипофизотропные гормоны, т.е. гормоны, регулирующие деятельность железистых клеток аденогипофиза. Одни из этих биоактивных веществ либерины, стимулирующие функцию клеток аденогипофиза, или статины - угнетающие гормоны аденогипофиза.

Монаминэргические нейросекреторные клетки выделяют нейрогормоны, в основном, в портальную сосудистую систему задней доли гипофиза.

Гипоталамическая нейросекреторная система является частью общей интегрирующей нейроэндокринной системы организма и находится в тесной связи с нервной системой. Окончания нейросекреторных клеток в нейрогипофизе формируют нейрогемальный орган в котором депонируется нейросекрет и который при необходимости выводится в кровоток.

Помимо нейросекреторных клеток гипоталамуса у млекопитающих имеются клетки с выраженной секрецией и в других отделах головного мозга (пинеалоциты эпифиза, клетки эпендимы субкомиссурального и субфорникального органов и др.).

Заключение

Структурно-функциональной единицей нервной ткани являются нейроны или нейроциты. Под этим названием подразумевают нервные клетки (их тело - перикарион) с отростками, образуюшими нервные волокна и заканчивающимися нервными окончаниями.

Характерной структурной особенностью нервных клеток является наличие у них двух видов отростков - аксона и дендритов. Аксон - единственный отросток нейрона, обычно тонкий, мало ветвящийся, отводящий импульс от тела нервной клетки (перикариона). Дендриты, напротив, приводят импульс к перикариону, это обычно более толстые и более ветвящиеся отростки. Количество дендритов у нейрона колеблется от одного до нескольких в зависимости от типа нейронов.

Функция нейронов заключается в восприятии сигналов от рецепторов или других нервных клеток, хранении и переработке информации и передаче нервных импульсов к другим клеткам - нервным, мышечным или секреторным.

В некоторых отделах мозга имеются нейроны, которые вырабатывают гранулы секрета мукопротеидной или гликопротеидной природы. Они обладают одновременно физиологическими признаками нейронов и железистых клеток. Эти клетки называются нейросекреторными.


Строение и морфофункциональная классификация нейронов // Физиология человека / под редакцией В.М.Покровского, Г.Ф.Коротько.

Блум Ф., Лейзерсон А., Хофстедтер Л. Мозг, разум и поведение. М., 1988backpropagation and the state of the awake neocortex. [J Neurosci. 2007] - PubMed resultpotential generation requires a high sodium channel density in the axon initial segment. [Nat Neurosci. 2008] - PubMed result

Лекции по курсу «Гистология»., доц. Комачкова З.К., 2007-2008 г.

Fiala and Harris, 1999, p. 5-11D. (2 September 2004). «Synaptic Connectivity and Neuronal Morphology». Neuron: 609-617. DOI:10.1016/j.neuron.2004.08.012

Косицын Н. С. Микроструктура дендритов и аксодендритических связей в центральной нервной системе. М.: Наука, 1976, 197 с.

Мозг (сбоpник статей: Д. Хьюбел, Ч. Стивенс, Э. Кэндел и дp. - выпуск журнала Scientific American (сентябрь 1979)). М. :Миp, 1980

Николлс Джон Г. От нейрона к мозгу. - P. 671. - ISBN 9785397022163.

Экклз Д. К. Физиология синапсов. - М.: Мир, 1966. - 397 с.

Бойчук Н.В., Исламов Р.Р., Кузнецов С.Л., Улумбеков Э.Г. и др. Гистология: Учебник для вузов <#"791528.files/image001.gif">

Приложение №2

Дифференцировка стенок нервной трубки. А. Схематическое изображение среза нервной трубки пятинедельного зародыша человека. Видно, что трубка состоит из трех зон: эпендимной, плащевой и краевой. Б. Срез спинного и продолговатого мозга трехмесячного плода: сохраняется их первоначальная трехзонная структура. В. Г. Схематические изображения срезов мозжечка и головного мозга трехмесячного плода, иллюстрирующие изменение трехзонной структуры, вызванное миграцией нейробластов в специфические участки краевой зоны. (По Crelin, 1974.)


Приложение №3


Приложение №4

Классификация нейронов по числу отростков


Приложение №5

Классификация нейронов по форме


Приложение №6



Приложение №7

Распространение нервного импульса по отросткам нейрона


Приложение №8

Схема строения нейрона.


Приложение №9

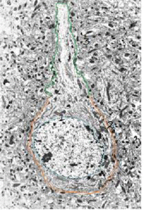
Ультраструктура нейрона неокортекса мыши: тело нервной клетки, которое содержит ядро (1), окружённое перикарионом (2) и дендритом (3). Поверхность перикариона и дендритов покрыта цитоплазматической мембраной (зелёный и оранжевый контуры). Середина клетки заполнена цитоплазмой и органеллами. Масштаб: 5 мкм.


Приложение №10


Пирамидальный нейрон гиппокампа. На изображении отчётливо заметна отличительная черта пирамидальных нейронов - один аксон, апикальный дендрит, который находится вертикально над сомой (внизу) и множество базальных дендритов (сверху), которые поперечно расходятся от основания перикариона.

Приложение №11

Цитоскелетное строение дендритного шипика.

Приложение №12

Механизм функционирования химического синапса



Приложение № 13


Приложение № 14

Секрет в клетках нейросекреторных ядер головного мозга

- секреторные нейроциты: клетки имеют овальную форму, светлое ядро и цитоплазму, заполненную нейросекреторными гранулами.


Похожие работы на - Нейроны. Общая характеристика. Строение. Функции. Нейросекреторные нейроны.

 

Не нашли материал для своей работы?
Поможем написать уникальную работу
Без плагиата!
Без нейросетей!