Полікистоз нирок
Полікистоз
нирок
Нирки це парний видільний орган, бобовидної
форми. У нирках розрізняють капсулу, корковий і мозковий шари і миску, з якої
виходять сечоводи в сечовий міхур. У собак і кішок ця особливість спільна.
Нирки виконують кілька функцій, але головна - видільна. В клубочках
фільтрується велика кількість первинної сечі, яка концентрується, проходячи по
канальцях. Також вони грають життєво важливу роль у підтримці гомеостазу.
Видільна функція забезпечує видалення з
організму продуктів обміну, токсичних речовин, що випадково потрапили в
організм або утворюються в ході біохімічних реакцій. Нирки активно виводять
іони водню, які утворюються в ході метаболічних реакцій. За рахунок збільшення
або зменшення виділення води зберігають водний баланс в організмі. Також в
нирках виробляється гормон еритропоетин, який стимулює ріст еритроцитів, тим
самим забезпечуючи кровотворення. Нирки регулюють тиск за рахунок підтримки
артеріального тиску за допомогою ренін-ангіотензин-альдостеронової системи (РААС).
Серед захворювань нирок у тварин
окреме місце займають патології, зумовлені порушенням онтогенезу, що
супроводжуються проліферативними кістозними змінами ниркової тканини
(аутосомно-домінантний та аутосомно-рецесивний полікистоз нирок людей,
полікистоз нирок домашніх котів та полікистоз нирок у собак) [1]. Це
захворювання, що характеризується
заміщенням паренхіми нирок кістозними утвореннями різної
форми та розміру Клінічно патологія проявляється симптомами
пієлонефриту
та хронічної ниркової недостатності [2].
Полікистоз нирок у котів є одним із
найбільш яскравих та водночас маловивчених захворювань, яке реєструють у 37 %
особин екзотичної короткошерстної породи, 26 % персидської, 12 % британської
короткошерстної та у 1 % породи американський мейн-кун, рідше у котів інших
порід [3,4]. За даними зарубіжних дослідників, полікистоз
нирок у
21
% котів є причиною розвитку хронічної ниркової недостатності [5].
Полікистоз
нирок - спадкове захворювання, яке може передаватися за домінантним або
рецесивним типом: за домінантним типом - від матері до дитини, а за рецесивним
- за батьківською лінією.
Мультикістоз нирок відрізняється від
полікистозу цілковитою відсутністю нефронів, частим поєднанням з аномаліями
сечоводів. Двобічний процес несумісний з життям. Однобічний
мультикістоз можна діагностувати під час ангіографії. На практиці діагноз
визначають за результатами гістологічного дослідження видаленого органа.
Захворювання може перебігати злоякісно і
латентно. При злоякісній формі кількість збережених нефронів невелика, і дитина
вмирає у віці 8-10 років, при латентній - кількість нефронів достатня для
нормальної роботи нирки. Недуга у цьому разі проявляється у віці 30-40 років,
коли в нирках розвивається хронічне інфекційне захворювання - пієлонефрит. Ця
аномалія виникає внаслідок дефекту з’єднання збірних канальців із
мезонефрогенною бластемою на 2-3-му місяці вагітності, що призводить до
порушень відтоку сечі й утворення кіст.
Під час макроскопічного дослідження
нирка має великі розміри, містить багато кіст різних діаметрів. При
ускладненнях у кістах скупчуються геморагічні або гнійні маси.
Клінічні прояви (симптоми
полікистозу нирок) Полікистоз - захворювання обох нирок. Клінічним
проявом полікистозу є біль у поперековій ділянці. Якщо розвивається
пієлонефрит, то з’являється така симптоматика: підвищення температури, зміни в
аналізах крові та сечі, прояви ХНН.
Діагноз полікистозу визначають на
підставі анамнезу, скарг хворого, даних об’єктивного, лабораторного
рентгеноурологічного, ультразвукового і радіоізотопного досліджень. Диференційну
діагностику полікистозу проводять із пухлинами нирок. Пухлина нирок - майже
завжди однобічне ураження. Частіше проявляєтьс моносимптомною макрогематурією.
Ангіографія і УЗД-надійні методи діагностики пухлини нирок.
УЗ - картина нирок в нормі
Ультразвукове зображення нирок
змінюється в залежності від частоти датчика, розміру та будови тварини, і
площини зображення (сагитальна, поперечна, дорзальна або коса площини). Кора
нирок є гіпоехогенною і тонкозернистою за структурою. ЇЇ краї повинні бути
гладкими і добре окресленими, за винятком краніального і каудального полюсів,
які, як правило, здаються менш чітко окресленими внаслідок рефракційних
артефактів.
Коли ультразвуковий пучок
наштовхується на поверхню нирки, то в правих та лівих кутах можна спостерігати
сильне капсулярне ехо. Мозкова речовина нирки є ехонегативною або гіпоехогенною
і поділяється на секції ехогенними перетинками, які являють собою ниркові
дивертикули і міждолькові судини. Дугоподібні судини нирки можна побачити в місці
поєднання коркової і мозкової речовин як дискретні ехогенні паралельні плями.
Ниркова миска є, очевидно,
гіперехогенною, внаслідок наявності жиру і сполучної тканини, і може відкидати
слабку акустичну тінь. Ниркова артерія і вена часто можуть бути виявлені і
простежені від ниркової миски до поєднання з аортою і задньою порожнистою
веною.
Рис.1. Ехотомограма нормальних нирок
у собаки (а - правої, б - лівої)
Як правило, легше виявити ліву
нирку, тому що вона розміщена більш каудально, і через це часто в якості
акустичного вікна можна використати селезінку.
Права нирка може бути ускладнена для
виявлення внаслідок її краніального положення і через те, що вона часто
затемнена газовмістними петлями кишечника. Ехогенність кори змінюється в
залежності від частоти датчика, від виду тварини та її розмірів.
У собак: ліва нирка є дещо
гіпоехогенною в порівнянні з селезінкою. Права нирка є ізо - або дещо
гіпоехогенною в порівнянні з паренхимою печінки при використанні датчика 5 МГц,
але може бути ізо - або гіпоехогенною при використанні датчика частотою 7,5
МГц.
Кисти нирок
Прості кисти нирок, як правило, є
випадковими знахідками. Вони виявляються при ультразвуковому обстеженні як
поодинокі, круглі, ехонегативні утворення з дистальним підсиленням, що
викликане підвищеною звуковою трансмісією. Складні кисти можуть мати ехогенні
перетинки або уламки.
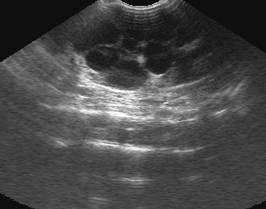
Рис. 2. Проста киста правої нирки
(стрілка) у кота 2 років
Полікистоз нирок
Назва - полікистоз нирок - дає уяву
про його сутність і дослівно перекладається як наявність множинних порожнин в
структурі нирки. Полікистоз нирок є аутосомально домінантним спадковим
захворюванням.

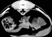
Рис.3. Полікистоз правої кирки кота
4 років, фрагменти сканограм
Розміри кист можуть коливатися від 1
мм до 1 см і більше. З віком їх розмір і кількість збільщуються аж до повного
заміщення нормальної структури нирки різнокаліберними порожнинами. Досить часто
аналогічні кисти можливо виявити в ураженої полікистозом тварини і в інших
органах - підшлунковій залозі, печінці, матці. По мірі прогресування
захворювання і порушення нормальної структури нирок не може не знизитися їх
функція. Зниження функції нирок характеризується хронічною нирковою
недостатністю, що, як правило, є першим тривожним симптомом цього захворювання.
УЗД є незамінним методом при
діагностиці так званого (FUS) - комплекса захворювань, що вражає сечовидільну
систему. До їх числа відносять цистит, пієлонефрит, полікистоз нирок,
сечокам’яна хвороба. Сучасна діагностика і лікування захворювань сечовидільної
системи особливо важлмві для кішок, через те, що вони надзвичайно схильні до
цих захворювань. Дикі предки кішок жили в спекотливому кліматі, через що і
домашні кішки успадкували від своїх пращурів здатність вживати дуже незначну
кількість води (деякі кішки можуть взагалі не пити, забезпечуючт себе вологою,
що знаходиться в їжі) і дуже сильно концентрувати сечу. Такі фізіологічні
властивості у сполученні з особливостями існування (малорухомість,
несбалансоване годування, ожиріння) збільшують ризик виникнення сечокам’яної
хвороби.
Окрім цього деякі породи кішок мають
вроджену схильність до таких захворювань. Наприклад, персидські кішки схильні
до полікистозу. Але самим розповсюдженим захворюванням сечовивідної системи у
кішок є сечокам’яна хвороба, симптомами якої може бути гостра затримка сечі
або, навпаки, дуже часте сечовиділення. Своєчасно діагностувати такі
захворювання можливо за допомогою комплексу досліджень, куди, окрім УЗД,
входить загальний аналіз сечі і біохімічний аналіз крові. Однак ультразвукове
дослідження займає в цьому переліку особливу роль, тому що з його допомогою
можливо швидко і достовірно відрізнити одну ниркову патологію, від іншої,
особливо коли їх симптоми східні і лікар має складності у встановленні точного
діагнозу. У ветеринарній практиці Були випадки, коли Канадського Сфінкса довго
і без успіху лікували, наприклад, від циститу, і тільки УЗД показало, що у
кішки насправді полікистоз нирок і їй вимагається зовсім інше лікування.
Рис.4. Фази розвитку полікистозу: а
- нормальна нирка; б - початкові прояви полікистозу; в - виражені прояви
полікистозу
Рис.5. Виражений полікистоз лівої
нирки у кота 5 років
В теперішній час завдяки можливостям
ультразвукового дослідження органів діагностика полікистозу нирок реальна на
самих ранніх етапах захворювання. Дослідження повинно проводитися
кваліфікованим спеціалістом, тому що кісти на раніх стадіях досить маленькі -
1-3 мм. У більш пізньому віці їх легше спостерігати за допомогою УЗД. На основі
проведених досліджень ветеринарні спеціалісти прийшли до висновку, що
найнадійнішим і високорезультативним буде проведення досліджень у віці 10
місяців. Розміри тварини і її органів практично відповідають дорослим нормам,
що дозволяє простіше виявити всі можливі відхилення. При полікистозі значна кількість
ехонегативних структур різних розмірів і форми спостерігається протягом всієї
ниркової паренхими.
Комп’ютерна томографія нирок у домашніх собак
і кішок,
хворих на полікистоз. Враховуючи той факт, що в
доступній спеціальній літературі не вдалося знайти повідомлень щодо
застосування методу комп’ютерної томографії для діагностики ренальних патологій
у кішок, ми у своїй роботі вважали актуальним вивчення цього питання.
Комп’ютерну томографію застосовували, попередньо
встановивши діагноз з використанням загальних методів, ультрасонографії та
лабораторних досліджень. Дослідження здійснювали за допомогою покрокового
комп’ютерного томографу фірми «Siemens»
Somaton CR-X.
Тварин розміщували на рухомому столі приладу у спинно-черевному положенні, так
щоб під час процедури напрямок руху був краніо-каудальним. Забезпечували
належну фіксацію пацієнта. Томографію проводили при параметрах приладу 120 кV,
80mА у аксіальній
проекції. Визначивши краніальний полюс правої нирки, розпочинали сканування з
інтервалом 3-5 мм, аж до каудального полюсу лівої нирки. Результати аналізували
за допомогою комп’ютера та графічно.
За отриманими даними, полікистозні ураження обох
органів візуалізувались на томограмі у вигляді округлих утворень різної
щільності за шкалою Хаунсфілда, що певною мірою залежить від характеру вмісту
кіст (мал). Так, відносна гіподенсність (10-20 HU)
порожнини кіст може свідчити про низький вміст органічних речовин, що в свою
чергу можна характеризувати як неускладнений перебіг полікистозу. Більш висока
інтенсивність сигналу (50-60 HU)
свідчить про крововилив у кісту. Зростання інтенсивності сигналу у цьому разі,
очевидно, спричинене високим вмістом заліза у гемоглобіні, що й зумовлює зміни
парамагнітних властивостей середовища.





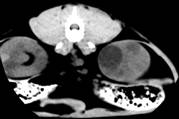
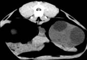
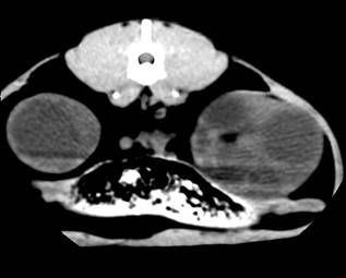
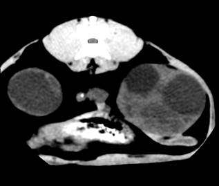
Рис.6. Серія КТ
сканів нирок кота. Кисти нирок, більше зліва
Даний факт знаходить підтримку у роботах
сучасних дослідників гуманної медицини в цій галузі. Досліджуючи цю тварину
через 14 днів, ми відзначили зниження інтенсивності сигналу вищевказаного
кістозного утворення (рис.).
Поясненням цього може бути поступовий розпад гемоглобіну, що зменшує
інтенсивність сигналу. Це припущення також висувається у гуманній медицині. В
той же час, інтенсивність деяких кістозних утворень залишалась постійно
високою, що може вказувати на інфікування вмісту кісти та зумовлене наявністю
великої кількості білка у кістозній рідині. Така тенденція знаходить
відображення у деяких публікаціях.
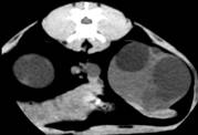
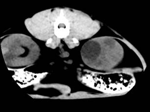
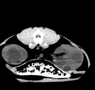
Рис.7. КТ
нирок кота. Полікистоз в стадії компенсації: а-неускладнена кіста; б -
геморагічна кіста
Рис. 8. КТ
кота. Полікистоз нирок у стадії субкомпенсації. Деформація
миски
правої
нирки.
Зменшення
інтенсивності
сигналу
геморагічної
кісти
(а)
Ниркова миска візуалізувалась у всіх
випадках у вигляді вузької гіподенсної щілини, контури якої залежали від
ступеня гідронефротичних та кістозних змін органа (рис.).
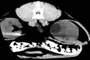
Рис. 9. КТ
кота. Полікистоз нирок у стадії субкомпенсації. Візуалізація миски лівої нирки
Рис. 10. КТ
кота.
Полікистоз
нирок у стадії субкомпенсації. Розширення миски правої нирки (а), кістозні
утворення різної інтенсивності (б, в)
Аналізуючи отримані дані, слід
зазначити, що застосування методу комп’ютерної томографії для діагностики полікистозу
нирок у кішок є можливим. При цьому, використовуючи різні
прийоми та режими сканування, можна отримати дані, що дозволяють
характеризувати контури органа, розмір та вміст кістозних утворень, зміни
ниркової миски. Дослідження в динаміці дозволяє скласти виразну картину
перебігу патології, визначити характер кістозної рідини та зробити висновки
щодо подальшого лікування тварини. Між тим слід зауважити, що застосування
магнітно-резонансної комп’ютерної томографії у ветеринарній медицині в цілому
супроводжується певними труднощами, пов’язаними передусім із відсутністю
відповідного обладнання, тоді як широке використання апаратури у закладах
гуманної медицини не видається можливим з певних міркувань. Таким чином, метод
комп’ютерної томографії є перспективним у діагностиці ниркових патологій у
кішок в цілому, і зокрема полікистозу.
Лікування. Лікування
хворих на полікистоз на початкових етапах консервативне. По-перше, потрібно
зменшити негативний вплив на ушкоджені нирки за допомогою щадної, але достатньо
калорійної дієти. Подруге, слід запобігти пієлонефриту, а за його наявності
протистояти прогресуючому перебігу запального процесу (санація осередків
інфекції, антибактеріальна терапія). У разі нападів болю, швидкого збільшення
розмірів нирок показана операція - декапсуляція (розтин) стінок великих кіст і
пункція малих. Така операція зменшує внутрішньонирковий тиск і покращує функцію
резервних нефронів. Якщо в родині виявлено хворого на полікистоз, обов’язково
обстежують усіх її членів. Ці заходи сприяють виявленню та диспансеризації
хворих, поліпшують профілактику пієлонефриту і хронічної ниркової
недостатності.
Висновоки
1. Причиною розвитку полікістозу нирок у котів є
наявність афективного гену, що успадковується за аутосомно-домінантним типом
. У пренатальному періоді розвитку ключовим
моментом патогенезу патології є
неправильне формування нефрону: при неповному злитті канальців утворюються
кісти незначного розміру, при повному незлитті утворюються великі кісти;
аномально розвинені нефрони залишаються частково функціонуючими і виробляють
первинну сечу.
. У постембріональному періоді значний вплив на
стан хворого організму здійснює розвиток пієлонефриту.
4. Полікистоз нирок у домашніх котів
при виразних клінічних ознаках хвороби супроводжується розростанням щільної
сполучної тканини навколо великих за розміром кіст у паренхімі нирок із
розтягенням стінок дрібних кіст, внутрішній шар яких представлений базальною
мембраною ниркових канальців, що розтягується за рахунок вмісту. Зміни
в печінці за полікистозу нирок
характеризуються зернистою дистрофією, розвитком паранекрозу та атрофії
гепатоцитів.
полікистоз нирки діагностика лікування
1. Кравченко С.О. Полікистоз нирок у
домашніх кішок (патогенез, діагностика і лікування): Автореф. дис. на здобуття
наук. ступеня канд. вет. наук : спец.
16.00.01 “Діагностика і терапія тварин” - Біла Церква, 2009. - 19 с.
. Кондрахин И.П., С.А.
Наследственные болезни и пороки развития животныж: Справочное пособие / И.П.
Кондрахин, С.А. Войналович. - М.: КолосС., 2008. - С. 216-217.
. Локес П.І. Поширеність та
диференційна діагностика захворювань сечовидільної системи в котів / П.І.
Локес, Н.І Дмитренко // Вісник Білоцерків.
держ.
аграр. ун-ту. - Вип.25, ч. 2. - Біла Церква, 2003. - С. 148-151.
4. Greco D.S. Congenital and
inherited renal disease of small animals / Greco D.S.
// Vet. Clin. North Am. Small Anim. Pract.
- 2001 Mar. - N 31 (2): 393-9.
. Колмыкова О.В. Морфологические
основы хронической почечной недостаточности у кошек / О.В. Колмыкова, Е.П.
Копенкин // Ветеринария. 2007. - № 9. - С.
58-59.
. Меркулов А.Б. Курс
патогистологической техники / А.Б. Меркулов. - Л.:
Медицина,
1969. - 237 с.
7. Камышников
В.С. Клинико-биохимическая лабораторная
диагностика / В.С. Камышников. - СПб.
: Интерпрессервис, 2003. - 495 с.
8.
Клиническая лабораторная диагностика в ветеринарии: Справочное издание / [И.П.
Кондрахин, Н.В. Курилов, А.Г. Малахов и др.]. - М.:
Агропромиздат,
1985. - 287 с.
9. Кондрахин
И.П., Войналович С.А. Наследственные болезни и пороки развития животных:
Справочное пособие / И.П. Кондрахин, С.А. Войналович. - М.: КолосС., 2008. - С.
216-217.
10.
Кравченко С.О. Полікистоз нирок у домашніх кішок
(патогенез, діагностика і лікування): Автореф. дис… канд. вет. наук : спец.
16.00.01 “Діагностика і терапія тварин” - Біла Церква, 2009. - 18 с.
11.
Лабораторные методы исследования в клинике: Справочник
/ [В.В. Меньшиков, Л.Н. Делекторская, Р.П. Золотницкая и др.]; Под ред. В.В.
Меньшикова. - М.: Медицина, 1987. - 368 с.
12.
Локес П.І. Зміни показників властивостей сечі та
ультрасонографічної картини при полікистозі нирок
у кішок на різних стадіях / П.І. Локес, С.О.
Кравченко // Вісник Сумського НАУ. - Суми, 2007. - № 2. - С. 81-86.
13.
Локес П.І. Біохімічні показники крові та функціонального стану нирок кішок за
полікистозу, ускладненого
пієлонефритом / П.І. Локес, С.О. Кравченко
// Вісник БДАУ, 2008. - Вип. 56. - С. 110-111.
14.
Рябов С.И. Нефрология: Руководство для врачей / С.И. Рябов. - СпецЛит, 2000. -
672 с.
15.
Чандлер Е.А. Болезни кошек / Е.А. Чандлер, К.Дж.
Гаскелл, Р.М. Гаскел; Пер. с англ. - М.: Аквариум,
2002. - 696 с.
16.
Northington J.W. Polycystic kidney disease in
the cat / J.W. Northington M.M. Juliana // J.
Small Anim.
Pract. - 1977. - № 18. - P. 663-666.
7.
O’leary C.A. Polycystic kidney disease in bull
terriers: an autosomal dominant inhersted
dicorder / C.A.
O’leary et all. // Aust. Vet. J. - 1999. - № 6. -
P. 361-366.
8.
Rendano V.T. Polycystic kidney in the cat: a
case report / V.T. Rendano, R.B. Parker //
J.Small Anim.
Pract. - 1976. - № 17. - P. 479-485.
9.
Wilkins L.C. Autosomal polycystic kidney disease
in an extended Newfoundland family / L.C.
Wilkins // Thesis
(M.Sc.) Simon Fraser University. - 2003. -
P.
151-157.