Оптимизация метода выделения днк из срезов фиксированной ткани колоректальных опухолей
Список используемых сокращений
колоректальный рак мутация

Введение
Рак толстой и прямой кишки - одна из наиболее распространенных
злокачественных опухолей, заболеваемость которой с каждым годом растет все
больше. В 2007 году в России умерло 37 111 человек от рака толстой и прямой
кишки. В структуре смертности от злокачественных новообразований колоректальный
рак занимает III место (11%) по данным Российского
Онкологического Научного Центра имени Н.Н. Блохина.
При наличии у пациента отдаленных метастазов в другие органы (4 стадия)
основным методом лечения является лекарственная терапия, которая включает в
себя классическую химиотерапию и таргетную терапию. Для терапии колоректального
рака применяются два таргетных препарата - цетуксимаб и панитумумаб, являющиеся
анти- EGFR антителами. Лишь недавно было
продемонстрировано значение мутации KRAS в определении резистентности к
анти-EGFR терапии. Ген КRAS занимает промежуточное положение в цепи сигналов от
EGFR к ядру клетки. В случае мутации KRAS, имеющей место у ∼40% больных колоректальным раком
(КРР), этот ген способен самостоятельно продуцировать активирующие ростовые
сигналы. Блокада EGFR в этой ситуации неэффективна. Поэтому анти-EGFR антитела
показаны лишь тем больным, у кого нет мутации KRAS. Таким образом, в настоящее
время ген KRAS является единственным общепризнанным фактором, предсказывающим
резистентность к терапии анти-EGFR антителами.
Целью данной работы является оптимизация метода выделения ДНК из срезов
опухолевой ткани колоректального рака, фиксированной формалином и заключенной в
парафин. При фиксации формалином между цепями ДНК и белками образуются
поперечные сшивки, также в препарате присутствуют различные ингибиторы. Это
мешает корректной работе ПЦР-теста. Некоторые морфологические особенности
опухолевой ткани могут приводить к снижению количества ДНК в получаемом
препарате.
Глава 1. Обзор литературы
Новое направление в лечении - таргетная терапия
Переход исследований в медицине на молекулярный уровень привел к
накоплению в последние десятилетия многочисленных данных, позволивших детально
описать патогенез целого ряда заболеваний. Принципиальное изменение ситуации
произошло в связи с завершением интенсивных исследований в иммунологии,
биотехнологии и молекулярной биологии. В результате развития этих областей науки
сформировалась унифицированная идеология таргетной (или мишень-направленной)
терапии. Таргетная (целевая) терапия (target therapy) в онкологии - новое
направление в лечении злокачественных опухолей, основным принципом которой
является селективное воздействие на критичные для опухоли мишени (ферменты,
рецепторы).
Мишенями для воздействия таргетных препаратов выступают рецепторы к
эпидермальным факторам роста и факторам роста сосудов (рецепторы ангиогенеза);
белки, осуществляющие проведение митогенных сигналов от рецепторных молекул;
апоптоз-контролирующие молекулы. Таким образом мишени таргетных препаратов -
это собственные белки организма, участвующие в процессах канцерогенеза и
определяющие способность опухоли к прогрессии и метастазированию.
Классы таргетных препаратов
Сегодня разрешенными к использованию в клинике являются следующие группы
препаратов:
1. химерные или гуманизированные моноклональные антитела к
рецепторам факторов роста, экспрессируеммых на поверхности злокачественных
клеток или эндотелия кровеносных сосудов;
2. препараты из малых синтетических молекул, в отличие от
моноклональных антител проникающие внутрь клетки и блокирующие внутриклеточный
тирозинкиназный домен рецептора фактора роста.
Первый противоопухолевый препарат ритуксимаб (мабтера) на основе
моноклональных антител был выпущен в 1997 году. Препарат представляет собой
химерные антитела против антигена CD20, который экспрессируется на поверхности В-клеток, начиная со стадии
пре-В-клеток, и до стадии дифференцированных плазматических клеток. Этот
антиген экспрессируется более чем на 95%опухолевых клеток В-клеточных лимфом, и
отсутствует в моноцитах,Т-лимфоцитах и клетках нелимфоидного ряда [1]. Препарат
разрешен в РФ для лечения B-клеточной неходжкинской лимфомы (рецидивирующей или
химио-устойчивой, низкой степени злокачественности или фолликулярной) у
взрослых больных. На сегодняшний день примерами таргетных препаратов реально
вошедших в клиническую практику, являются моноклональные антитела (МКА) к
рецепторам эпидермального фактора роста (трастузумаб или Герцептин - МКА к
HER-2/neu и цетуксимаб или Эрбитукс - МКА к EGFR), малые молекулы-блокаторы
тирозинкиназ EGFR - гефитиниб (Иресса) и эрлотиниб (Тарцева), ингибитор
тирозинкиназы с-KIT, всех ABL киназ и рецептора тромбоцитарного фактора роста -
иматиниб мезилат (гливек), принципиально изменивший возможности терапии
миелолейкоза и гастроинтестинальных стромальных опухолей, а также МКА к
рецепторам сосудистого эндотелиального фактора роста препарат бевацизумаб
(Авастин), обладающий противоопухолевой активностью при колоректальном раке,
немелкоклеточном раке легкого (НМРЛ) и некоторых других опухолях. Краткие
сведения о таргетных препаратах, применяемых в настоящее время, представлены в
таблице 1.
Недавно для лечения колоректального рака были разработаны препараты на
основе антител к рецептору эпидермального фактора роста (EGFR), который гиперэкспрессируется в
50-80% опухолей. Эти препараты повышают показатели общей выживаемости только у
части пациентов.[2]
Стало ясно, что пациенты с метастатическим колоректальным раком, у
которых в опухолевых клетках немутировавший( “дикий”) тип гена KRAS (Kirsten rat sarcoma), дают гораздо более выраженный ответ на анти- EGFR терапию нежели пациенты с мутанитным
типом гена KRAS.
Мутация в гене KRAS
приводит к активации внутриклеточного сигнального каскада, результатом чего
является: клеточная пролиферация, защита от апоптоза клеток, увеличение инвазии
и метастазирование, ангиогенез. Статус гена KRAS коррелирует с резистентностью опухоли к анти- EGFR терапии. В связи с этим Американское
Общество Клинических Онкологов и Европейское Медицинское Агентство рекомендует
применение данных препаратов только для лечения опухолей, содержащих ген KRAS
дикого типа.
Таблица 1. Таргетные препараты и их мишени.
Молекулярные основы анти-EGFR терапии
EGFR и рак
Рецептор эпидермального фактора роста (EGFR, HER1, ErbB1) является
клинически подтвержденной молекулярной «мишенью». Опухолевые клетки
гиперэкспрессируют ЕGFR в 75-89%
случаев колоректального рака[4]. -
трансмембранный гликопротеин молекулярной массой 170 kD, обладающий
тирозинкиназной активностью. EGFR (или HER1) относится к семейству рецепторов
эпидермального фактора роста, которое также представлено другими его видами:
erbB2/HER2-neu; erbB3/HER3 и erbB4/HER4. EGFR экспрессируется на поверхности
как нормальных, так и трансформированных эпителиальных клеток и участвует в
регуляции клеточного роста и дифференцировки. Как и все рецепторные
тирозинкиназы, EGFR состоит из трех участков: внеклеточный лиганд-связывающий
домен, трансмембранный гидрофобный участок и внутриклеточный тирозинкиназный
домен (Рис.1).
Рис.1. Строение EGFR.
В роли лигандов выступают экскретируемые нормальными и/или опухолевыми
клетками ростовые факторы EGF, TGF-a и амфирегулин, которые аутокринным и/или
паракринным путем регулируют активность рецептора эпидермального фактора роста.
Активация EGFR происходит после связывания одного из специфичных лигандов с
внеклеточным доменом, последовательных конформационных изменений в виде
димеризации рецептора и реакции фосфорилирования тирозиновых остатков
внутриклеточного домена. На этапе взаимодействия с факторами роста существует
возможность не только гомодимеризации EGFR, т.е. образования двух идентичных
рецепторов EGFR связанных с общим лигандом, но может произойти и
гетеродимеризация EGFR с другими представителями семейства erbB, в частности с
рецептором Her2/neu и erb3.[5].
Образование гетеродимера приводит к значительному усилению внутриклеточных
сигнальных импульсов. В результате всех этих взаимодействий активированная
тирозинкиназа перелает импульс через специальные сигнальние пути Raf-MEK-MAPK
(регулирует пролиферацию клетки, инвазию и метастазирование) и PI-3K-Akt (блокирует
апоптоз опухолевой клетки).[6,7,8]
Рис. 2. Два подхода блокирования EGFR. Связывание внеклеточного домена рецептора с лигандом
активирует три сигнальных каскада: RAS-MAPK, PI3K-Akt и STAT. Вместе эти сигнальные пути контролируют
транскрипцию, клеточную пролиферацию, адгезию, ангиогенез. Одна группа
препаратов - это моноклональные антитела, которые конкурентно связываются с
внеклеточным доменом рецептора, блокируя лиганд-индуцированную активацию EGFR.
Вторая группа - это малые молекулы, которые ингибируют тирозин-киназу,
препятствуя присоединению АТФ к внутриклеточному домену рецептора[21].
Важнейшей системой, регулируемой с участием активированного EGFR,
является система гена K-ras. Продукт гена K-ras, белок р21ras (белок
ras), представляет собой регуляторный трансмембранный G белок. Активированный
EGFR запускает реакцию, в результате которой образуется активированная форма
белка ras - GTP (гуанозин-5'-трифосфат). После «передачи сигнала»
активированная форма гидролизируется до неактивной формы ras - GDP
(гуанозин-5'-дифосфат). Активированный р21ras запускает каскад
ферментативных реакций, передающий сигнал в ядро клетки, известный как
Raf-MEK-MAPK путь.ras ген локализуется в локусе р12 XII хромосомы и кодирует
белок, ответственный за передачу сигналов от мембраных рецепторов тирозинкиназ
(TGFR, VGFR, EGFR, HER-2) к цитоплазматическим киназам. «Диким» принято
называть немутировавший тип гена. При мутации гена K-ras теряется способность к
самостоятельной дезактивации белка ras, т.е. нарушается его переход из активной
ras-GTP в неактивную ras-GDP форму. Белок ras блокируется в постоянно
«включенном» состоянии. Эти приводит к постоянной стимуляции передачи сигнала в
ядро клетки по Raf-MEK-MAPK - пути и, следовательно, к нарастанию клеточной
пролиферации.
Анти- EGFR терапия
В настоящее время существует 2 группы антагонистов EGFR. К первой группе
относятся моноклональные антитела (цетуксимаб и панитумумаб), которые
конкурентно связываются с внеклеточным доменом рецептора, блокируя
лиганд-индуцированную активацию EGFR. Вторая группа - это малые молекулы,
которые ингибируют тирозин-киназу, препятствуя присоединению АТФ к
внутриклеточному домену рецептора (гефитиниб и эрлотиниб) (Рис. 2). Эти
препараты используются в лечении немелкоклеточного рака легкого, рака головы и
шеи, прямой и ободочной кишки, поджелудочной железы.[9]. Гиперэкспрессия EGFR
опухолевыми клетками, как правило, ассоциируется с поздними стадиями и
метастатическим фенотипом заболевания и, соответственно, коррелирует с плохим
прогнозом [10].
Таблица 2. Экспрессия EGFR различными видами опухолей.
|
Тип опухоли
|
Частота экспрессии EGFR
|
|
Немелкоклеточный рак легкого
|
40%-80%
|
|
Рак толстой кишки
|
25%-77%
|
|
Рак желудка
|
33%
|
|
Рак яичников
|
35%-70%
|
|
Рак молочной железы
|
15%-30%
|
|
Рак предстательной железы
|
40%
|
Противоопухолевые препараты и колоректальный рак
Колоректальный рак (КРР) в настоящее время занимает 3-е место в мире в
структуре заболеваемости злокачественными опухолями, уступая лишь раку легкого
и раку молочной железы. Примерно у половины пациентов на момент постановки
диагноза или позже развивается диссеминация процесса. Еще 30 лет назад
единственным доступным для лечения метастатического КРР (МКРР) препа- ратом был
5-фторурацил (5-ФУ), а средняя продолжительность жизни больных МКРР составляла
около 12 мес. Новые химиотерапевтические препараты, такие как иринотекан и
оксалиплатин, в сочетании с инфузиями 5-ФУ (режимы FOLFIRI и FOLFOX) позволили
увеличить этот показатель до 20 мес. С 1990-х годов арсенал химиотерапевта пополняется
новым классом противоопухолевых средств - таргетными препаратами.
Среди анти-EGFR-антител в настоящее время доступны два препарата:
цетуксимаб и панитумумаб (Вектибикс). Основное их отличие заложено в структуре.
Так, цетуксимаб представляет собой химерное моноклональное антитело к EGFR и на
34% состоит из мышиных антител, что может вызывать нежелательную
иммунологическую реакцию. Панитумумаб является на 100% человеческим
иммуноглобулином G2 (IgG2) и обладает большей аффинностью к EGFR, чем его натуральные
лиганды. Меньшая иммуногенность препарата позволила в 3 раза снизить частоту
выраженных инфузионных реакций по сравнению с цетуксимабом, а также отказаться
от премедикации.
Цетуксимаб
Цетуксимаб представляет собой химерные моноклональные антитела IgG1, которые связываются с внеклеточным
доменом EGFR. Цетуксимаб обладает высокой
специфичностью и примерно в 10 раз большей аффинностью к рецепторам
эпидермального фактора роста, чем его естественные лиганды - EGF и TGF-б. Молекулярная масса
цетуксимаба составляет около 154 кДa.
Конкурентное ингибирование EGFR
цетуксимабом предотвращает индуцированное лигандами фосфорилирование
внутриклеточного домена тирозинкиназы, подавляя последующую активацию
сигнального каскада.
Связывание цетуксимаба с EGFR
приводит к димеризации рецепторов с последующим эндоцитозом и внутриклеточной
деградацией комплекса антитело-рецептор. В результате плотность EGFR на поверхности клеток снижается.
Кроме того, цетуксимаб может индуцировать противоопухолевый эффект посредством
антителозависимой клеточно-опосредованной цитотоксичности.
Образование новых кровеносных сосудов (неоангиогенез) - ключевой фактор,
определяющий процессы роста опухоли и ее метастазирования. При этом главным
регулятором процесса ангиогенеза является VEGF. Сигнальный каскад EGFR тесно
связан с VEGF и процессами ангиогенеза посредством фосфатидилинозитол-3-киназы,
протеин-серин/треонин киназы Akt и имеющейся у млекопитающих молекулярной
мишенью рапамицина (mTOR). Таким образом, одиним из возможных противоопухолевых
эффектов цетуксимаба заключается в подавлении продукции VEGF опухолевыми
клетками, а значит, и последующего неоангиогенеза.
При использовании цетуксимаба наиболее выражены побочные кожные реакции.
Точная роль EGFR кожи еще не полностью ясна, известно, что они вовлечены во
многие процессы, происходящие в эпидермисе. EGFR экспрессируются
кератиноцитами, фибробластами кожи и внешней оболочкой корней волосяных
фолликулов. Нарушения экспрессии и активности EGFR тесно взаимосвязаны с
аномалиями роста и дифференциации эпидермиса. Ингибирование EGFR
моноклональными антителами или ингибиторами тирозинкиназы приводит к
возникновению на коже характерной папуло- пустулезной угреподобной сыпи,
которая на фоне применения цетуксимаба возникает примерно у 80% пациентов.
Обычно повреждения кожи представлены эритематозными фолликулярными папулами,
которые могут превращаться в пустулы и затем вскрываться с образованием желтых
корочек. Могут развиваться следующие побочные реакции со стороны кожи и ее
придатков: изменения структуры волос на голове (они становятся более ломкими,
тонкими, вьющимися) и андрогеноподобная алопеция в лобной части. Иногда,
напротив, наблюдается ускоренный рост волос на голове и ресниц.
Данные клинических исследований цетуксимаба
Сегодняшние представления об эффективности цетуксимаба в 1 линии терапии
метастатического колоректального рака основываются на данных двух крупных
рандомизированных исследований III фазы - CRYSTAL и OPUS. В исследование
CRYSTAL включены 1217 пациентов метастатическим КРР с гиперэкспрессией
EGFR[11,12,13,14].
В качестве терапии 1 линии пациенты получали либо FOLFIRI (группа А),
либо FOLFIRI+Цетуксимаб (группа В). Оценка эффективности была проведена у 1198
пациентов. В группе В (FOLFIRI+Цетуксимаб) объективный ответ был достоверно
выше по сравнению с группой А (FOLFIRI) и составил 46,9% против 38,7%
(p=0,0038). Частота характерных для Цетуксимаба кожных реакций в виде сыпи
составила 18,7% в группе В (FOLFIRI+Цетуксимаб) против 0,2% в группе А
(FOLFIRI).
Наиболее интересные данные были получены при анализе результатов лечения
в зависимости от KRAS- статуса
(Таблица 2). KRAS -анализ был выполнен у 540 пациентов
(45% от включенных в исследование). У 348 (64,4% от числа обследованных
пациентов) был выявлен «дикий» тип KRAS , из них 172 (49,4%) пациента группы А и 176 (50,6%) пациента группы В.
У 192 (35,6%) пациентов был выявлен мутировавший тип KRAS, из них 105 (54,7%) пациента группы А и 87 (45,3%)
пациента группы В.
Таблица 3. Эффективность режимов, включающих Цетуксимаб, в первой линии
терапии метастатического КРР в зависимости от мутационного статуса гена KRAS.
|
Исследование
|
Терапия
|
K-ras
|
Общий ответ
|
Медиана выживаемости без прогрессированиия
|
Медиана общей выживаемости
|
|
CRYSTAL
|
Цетуксимаб + FOLFIRI
|
«дикий» тип
|
59,3%
|
9,9 мес.
|
24,9 мес.
|
|
|
Мутировавший тип
|
36,2%
|
7,6 мес.
|
17,5 мес.
|
|
FOLFIRI
|
43,2%
|
8,7 мес.
|
21,0 мес.
|
|
OPUS
|
Цетуксимаб + FOLFOX
|
«дикий» тип
|
60,7%
|
7,7 мес.
|
|
|
|
Мутировавший тип
|
32,7%
|
5,5 мес.
|
|
|
FOLFOX
|
«дикий» тип
|
37%
|
7,2 мес.
|
|
У пациентов с «диким» типом KRAS (n=348) медиана выживаемости без прогрессирования заболевания была выше
у больных, получавших Цетуксимаб+FOLFIRI (9,9 месяца против 8,7месяца, HR=0,68
p=0,017). 1-годичная выживаемость без прогрессирования составила 43% у больных,
получавших Цетуксимаб+FOLFIRI, против 25%, получавших только FOLFIRI. Из
пациентов, получивших Цетуксимаб+FOLFIRI (n=277) медиана выживаемости без
прогрессирования составила 9,9 месяца (n=172) у пациентов с «диким» типом KRAS против 7,6 месяца у пациентов с
мутировавшим типом K-ras (n=105), данное различие является значимым (HR=0,63
p=0,007). (Рис.4).
Рис.
4. CRYSTAL: Выживаемость без прогрессирования у больных с «диким» тип K-ras.
У
пациентов с «диким» типом KRAS (n=348) оказался выше и уровень ответа на
Цетуксимаб+FOLFIRI (n=172) по сравнению с FOLFIRI (n=176) - 59,3% против 43,2%
(p=0,0025). Наиболее впечатляющий уровень ответа был получен у больных с
«диким» типом KRAS при изолированных метастазах в печень: 77,1% (n=35)
при Цетуксимаб+FOLFIRI против 50,0% (n=32) при FOLFIRI (p=0,025) [15].При
оценке общей выживаемости у пациентов с «диким» типом KRAS (n=348)
медиана общей выживаемости была выше у больных получивших Цетуксимаб+FOLFIRI -
24,9 месяца против 21,0 месяца (HR=0,84 p=0,22).
Второе
крупное исследование, результаты которого в настоящее время широко обсуждаются,
- рандомизированное исследование II фазы OPUS, изучающее эффективности режима
Цетуксимаб+FOLFOX4 (группа A) по сравнению с FOLFOX4 (группа В) в первой линии
лечения метастатического рака толстой кишки с эксперссией EGFR [16].В
исследование было включено 337 пациентов. Объективный ответ был несколько выше
в группе больных, получавших Цетуксимаб+FOLFOX4 - 45,6% против 35,7% в группе
получавшей FOLFOX4 (p=0,064), не было получено также достоверного различия
между медианами выживаемости без прогрессирования болезни в обеих группах.
Кожные реакции в виде сыпи были зарегистрированы только в группе А
(FOLFOX4+Цетуксимаб) частота этого осложнений III-IV составила 14,1% .
У
233 пациентов (69% от 337 включенных в исследование) был определен тип KRAS.
У 134 (58% от числа обследованных пациентов) был выявлен «дикий» тип K-ras, из
них 61 (48%) пациента группы А и 73 (54%) пациента группы В. У 99 (42%)
пациентов был выявлен мутировавший тип KRAS, из них 52
(53%) пациента группы А и 47 (47%) пациента группы В. У пациентов с «диким»
типом KRAS (n=134) оказался достоверно выше уровень ответа на
Цетуксимаб+FOLFOX4 по сравнению с FOLFOX4 - 60,7% против 37% (p=0,011).
У
пациентов с «диким» типом KRAS (n=134) медиана выживаемости без прогрессирования
заболевания оказалась выше у больных, получавших Цетуксимаб+FOLFOX4 (7,7 месяца
против 7,2 месяца, HR=0,56 p=0,016).( Рис.5).
Рис.
5. OPUS: Выживаемость без прогрессирования у больных с «диким» тип K-ras.
Из
больных, получивших Цетуксимаб+FOLFOX4 (n=113) медиана выживаемости без
прогрессирования заболевания составила 7,7 месяца (n=61) у пациентов с «диким»
типом K-ras против 5,5 месяца у пациентов с мутировавшим типом KRAS
(n=52), данное различие является значимым (HR=0,45 p=0,0009).
Таким
образом, пациенты с «диким» типом KRAS получили некоторое
преимущество от добавления цетуксимаба к стандартной химиотерапии. На основании
исследований CRYSTAL и OPUS цетуксимаб был одобрен в Европе для лечения
пациентов с метастатическим колоректальным раком с немутировавшим типом гена KRAS,
экспрессирующим рецепторы эпидермального фактора роста (EGFR).
Также
цетуксимаб показал свою эффективность и удовлетворительную переносимость,
рекомендован в разных странах мира для лечения местнораспространенного и
метастатического плоскоклеточного рака головы и шеи.
Панитумумаб
Панитумумаб представляет собой человеческое моноклональное антитело
класса IgG2, полученное из клеточной линии млекопитающих (яичники китайского
хомячка) путем рекомбинантной ДНК-технологии. Панитумумаб связывается с
лиганд-связывающим доменом рецептора EGFR и ингибирует процесс аутофосфорилирования, который индуцируется всеми
известными лигандами рецептора EGFR.
Связывание панитумумаба с рецептором EGFR приводит к интернализации рецептора, ингибированию процессов клеточного
роста, индукции апоптоза и уменьшению продукции интерлейкина-8 и фактора роста
эндотелия сосудов.
Наиболее частыми нежелательными реакциями при применении панитумумаба в
режиме монотерапии были дерматологические реакции, наблюдавшиеся приблизительно
в 93% случаев. Также побочными реакциями, возникавшими у > 20% пациентов
были расстройства желудочно-кишечного тракта (тошнота, рвота, диарея).
В этом году были представлены результаты другого рандомизированного
исследования - PRIME, в котором срав- нивали комбинацию FOLFOX + панитумумаб c
режимом FOFLOX в качестве 1-й линии терапии больных метастатическим
колоректальным раком. В исследовании участвовали 1183 пациента, из которых 656
(55%) не имели мутации KRAS [17]. Основной задачей исследования было улучшение
выживаемости до прогрессирования в зависимости от статуса KRAS. У больных без
мутации KRAS добавление панитумумаба позволило достоверно увеличить медиану
выживаемости до прогрессирования с 8,0 мес до 9,6 мес . Также отмечена
тенденция и к улучшению продолжительности жизни , однако окончательный анализ
продолжительности жизни еще преждевременен. Частота объективных ответов
увеличилась незначительно - с 48% до 55%.
Таблица 4. Панитумумаб при лечении МКРР: результаты рандомизированных
исследований (анализ пациентов без мутации K-RAS).
|
Исследование
|
Режим
|
Количество больных
|
%
|
Медиана PFS, мес
|
Медиана продолжительности жизни, мес
|
|
1-я линия
|
|
PRIME, Douillard, 2009
|
FOLFOX + панитумумаб
|
325
|
55
|
9,6
|
Не достигнута
|
|
FOLFOX
|
331
|
48
|
8,0
|
18,8
|
|
2-я линия
|
|
AMG-181, Peeters, 2009
|
FOLFIRI + панитумумаб
|
303
|
35
|
5,9
|
14,5
|
|
FOLFIRI
|
294
|
10
|
3,9
|
12,5
|
|
3-я линия
|
|
Amado, 2008
|
Панитумумаб
|
124
|
17
|
2,87
|
8,1
|
|
симптоматическая терапия
|
0
|
1,7
|
7,6
|
Совместное применение бевацизумаба и анти-EGFR-антител
Бевацизумаб - противоопухолевое лекарственное средство. Представляет
собой рекомбинантные гиперхимерные (гуманизированные, приближенные к
человеческим) моноклональные антитела класса IgG1, которые селективно
связываются и ингибируют биологическую активность фактора роста эндотелия
сосудов (VEGF).
Бевацизумаб и анти-EGFR-антитела в комбинации с химиотерапией улучшают
результаты лечения по сравнению с одной химиотерапией. Обладая разными
механизмами действия и отличающимся токсическим профилем, их совместное
применение выглядело перспективным. Многоцентровое исследование III фазы PACCE
предполагало рандомизацию больных в группы химиотерапия + бевацизумаб или
химиотерапия + бевацизумаб + панитумумаб. В качестве химиотерапии применяли как
режимы на основе оксалиплатина (823 пациента), так и иринотекана (230).
Основной задачей исследования было улучшение выживаемости до прогрессирования в
группе с оксалиплатином. Исследование было досрочно приостановлено после
планового промежуточного анализа, который показал ухудшение выживаемости до
прогрессирования с 11,4 мес до 10,0 мес и продолжительности жизни с 24,5 мес до
19,4 мес в группе панитумумаб + бевацизумаб по сравнению с одним бевацизумабом
[18].Первоначально негативные результаты исследования объясняли большей
токсичностью в экспериментальной группе: частота кожной сыпи III-IV степени
увеличилась с 1% до 36%, диареи III-IV степени - с 13% до 24%, инфекции III-IV
степени - с 10% до 19%. Однако в сходном исследовании CAIRO-2, в котором
сравнивали режимы XELOX + бевацизумаб или XELOX + бевацизумаб + цетуксимаб,
выживаемость до прогрессирования в группе с цетуксимабом также оказалась ниже
[19]. При этом токсичность в обеих группах была сравнимой. По-видимому,
существует определенный антагонизм между двумя классами таргетных препаратов,
механизм которого еще следует установить. Имеющиеся данные двух исследований
свидетельствуют о недопустимости одновременного применения бевацизумаба и
анти-EGFR антител (панитумумаба и цетуксимаба).
В настоящее время панитумумаб для монотерапии зарегистрирован в Евросоюзе
и Российской Федерации у больных МКРР без мутации KRAS, получавших ранее
оксалиплатин, иринотекан и фторпиримидины. Однако, основываясь на результатах
успешного применения препарата в 1-й и 2-й линиях, в ближайшее время следует
ожидать расширение показаний к его применению.
Диагностика мутаций в гене KRAS
Достоверным маркером чувствительности опухоли к терапии цетуксимабом и
панитумумабом является ген KRAS.
При тестировании мутаций в генах KRAS, BRAF, PIK3CA и экспрессии PTEN
среди пациентов с отсутствием какой-либо из исследуемых мутаций вероятность
ответа на лечения была 51%, в то время как у пациентов с 1 из исследуемых
мутаций - только 4%, у пациентов с 2 и более мутациями - 0%. Прогноз пациентов
с наличием каких-либо из исследованных мутаций также был значительно хуже по
сравнению с остальной группой больных. [20]. Определение мутации KRAS позволяет
не только выделить группу больных, у которых ответ на лечение ингибиторами
эпидермального фактора роста (EGFR)будет более вероятен, но и предупредить
потенциально опасные эффекты от применения этих препаратов у других пациентов.
Рис.5. Мутировавший тип K-ras. Нарушается переход белка ras из активной
ras-GTP в неактивную ras-GDP форму. Белок ras блокируется в постоянно
«включенном» состоянии. Происходит постоянная независимая от EGFR стимуляции
передачи сигнала в ядро клетки по Raf-MEK-MAPK - пути.
Наиболее часто встречающимися являются мутации в 12 и 13 кодонах:
1. Gly12Cys(GGT>TGT);
2. Gly12Ser(GGT>AGT);
3. Gly12Arg(GGT>CGT);
4. Gly12Val(GGT>GTT);
5. Gly12Asp(GGT>GAT);
6. Gly12Ala(GGT>GCT);
7. Gly13Asp(GGC>GAC).
Существует несколько методов определения мутации KRAS, имеющие различную
чувствительность. Так, сиквенирование позволяет выявлять наличие 60% мутантной
ДНК, HRM - 5-10%.
Чувствительность теста на основе аллель-специфичной ПЦР в режиме
реального времени позволяет выявлять наличие 5% мутантной ДНК в опухоли, что
значительно выше чувствительности прямого секвенирования ДНК. Для исследования
можно использовать свежезамороженную ткань опухоли; блоки опухолевой ткани,
фиксированной формалином, заключенной в парафин; срезы опухолевой ткани в
парафине.
Целью работы является оптимизация метода выделения ДНК из образцов ткани.
В соответствии с данной целью были поставлены следующие задачи:
) провести сравнительный анализ различных методов выделения ДНК,
) определение мутаций KRAS в ДНК из срезов опухолей, фиксированных
формалином, заключенных в парафин.
Глава 2. Материалы и методы
Клинические образцы
Для работы использовались парафиновые блоки опухолевой ткани с
установленным диагнозом рака прямой или ободочной кишки.
Для выделения ДНК из блоков ткани в парафине излишки парафина обрезали
скальпелем и готовили серийные срезы толщиной 10 мкм с площадью ткани на срезе
25-80мм2. Если поверхность образца была длительное время
экспонирована на воздухе, то первые 2-3 среза отбрасывали, а последующие 6-8
использовали в тесте. Первый и последний рабочие срезы серии окрашивали
гемотоксилин-эозином , и патоморфолог оценивал процент опухолевых клеток.
Выделение геномной ДНК производили тремя способами: 1) с помощью набора DNA Mini Kit ( Qiagen,
кат. №51304), щелочным методом, с помощью набора MagneSil Genomic, Fixed System (Promega, product MD 1490).
Реактивы
· ацетат натрия рН=5;
· геномная ДНК плаценты человека («Биолинк»);
· изопропанол;
· краситель Sybr Green;
· праймеры (последовательность праймеров для ПЦР в режиме
реального времени является интеллектуальной собственностью компании «Биолинк»);
· референс- краситель флуорисцеин;
· хлороформ;
· этанол 95%;
· Smart Taq ДНК-полимераза;
· SDS;
· 0,2 мМ dATP, dGTP, dTTP, dCTP;
· 25mM MgCl2;
· 0,2N NaOH.
Методы
Для работы использовались парафиновые блоки опухолевой ткани с
установленным диагнозом рака прямой или ободочной кишки.
Для выделения ДНК из блоков ткани в парафине излишки парафина обрезали
скальпелем и готовили серийные срезы толщиной 10 мкм с площадью ткани на срезе
25-80мм2. Если поверхность образца была длительное время
экспонирована на воздухе, то первые 2-3 среза отбрасывали, а последующие 6-8
использовали в тесте. Первый и последний рабочие срезы серии окрашивали
гемотоксилин-эозином , и патоморфолог оценивал процент опухолевых клеток.
Остальные 4-6 рабочих среза помещали по 2 среза в пробирку на 1,5мл. ДНК.
Выделение ДНК на колонках с сорбентом при помощи набора
“QIAamp DNA MINI KIT”
Принцип работы набора основан на специфическом связывании ДНК с
силикатной мембраной колонки QIAamp MinElute. При этом ингибиторы ПЦР, такие
как двухвалентные катионы и белки, удаляются с мембраны промыванием буферными
растворами.
ДНК выделяли согласно инструкции к набору QIAamp DNA MINI KIT.
Выделение ДНК щелочным методом
Выделение ДНК проводилось по методу Shi et al (2004) с модификациями [22].
Температура экстракции была изменена с 120ºС на 95ºС с последующей экстракцией
хлороформом. Осаждение ДНК производилось полиакриламидом и изопропанолом.
Выделение ДНК с использованием набора MagneSil Genomic, Fixed System (Promega)
Процесс фиксации ткани приводит к образованию поперечных сшивок между
белками и ДНК, между цепями ДНК. Это уменьшает эффективность ПЦР. В качестве
сорбента ДНК в данном наборе используется парамагнитная смола, ДНК-связывающая
способность которой ограничена несколькими нанограммами.
Анализ препарата ДНК с помощью ПЦР в режиме реального времени
В первую очередь было необходимо оценить качество и количество ДНК в
препарате. Для этого проводилась контрольная ПЦР с праймерами на константный
район гена KRAS и подбиралось оптимальное для
дельнейшего тестирования разведение. Затем проводилась ПЦР с праймерами на 7
мутаций гена KRAS.
Полимеразную цепную реакцию проводили в 25 мкл реакционной смеси,
содержащей 1 мкл 0,2 мМ dATP, dGTP, dTTP, dCTP,
2 мкл 25 мМ MgCl2, по 1,25 мкл каждого праймера, 1/500 V (V- общий объем смеси) красителя Sybr Green, 1/100 V референс- красителя флуорисцеина), 1× буфер для Taq ДНК-полимеразы, 0,2
мкл. SmartTaq ДНК-полимеразы, 5 мкл ДНК,
выделенной из образцов. Условия амплификации: первый цикл: 95оС - 2
мин.; затем 10 циклов без регистрации оптических данных: 94 оС - 20
с., 60оС - 30 с, 72оС - 20c; 35 циклов с регистрацией оптических данных: 94 оС
- 20 с., 60оС - 30 с, 72оС - 20 c, 72оС -15с - сбор оптических данных.
Таким образом с каждым препаратом ДНК проводилися 8 реакций: одна
контрольная реакция и семь реакций соответствующих разным мутациям 12 и 13
кодонов.
Глава 3. Результаты и обсуждение
При тестировании ДНК методом ПЦР в режиме реального времени, полученной
из парафиновых срезов, в ряде случаев наблюдается низкий уровень амплификации,
причиной которого может быть наличие ингибиторов в растворе ДНК или малое
количество ДНК. При фиксировании ДНК формалином образуются перекрестные сшивки
между ДНК и белками, между разными цепями ДНК. Малое количество ДНК связано с
недостаточным количеством опухолевых клеток в образце.
Причины недостаточного количества опухолевых клеток в образце:
) Технические причины: не берется первичный очаг (см. приложение
1); пограничная зона, где много нормальной ткани (см. приложение 2); участок с
низким процентным содержанием опухолевой ткани в биопсии (см. приложение 3);
остатки биопсии, где мало опухолевой ткани (см. приложение 4);
) Морфологическое строение опухоли: много слизи, мало раковых
клеток (см. приложение 5); прорастание соседних тканей и метастазы (островки
раковых клеток среди других тканей - соединительной, мышечной или брюшине) (см.
приложения 6,7);
) Ответная реакция организма: резкая воспалительная реакция;
выраженный иммунный ответ (см. приложение 8).
Разные методы выделения ДНК позволяют очистить ее от ингибиторов.
Сравнительный анализ результатов тестирования ДНК, выделенной
из парафиновых срезов по протоколу к набору QIAamp DNA Mini Kit (Qiagen)
и щелочным методом
Сравнительный анализ проводился на 12 образцах опухолевой ткани
парафиновых срезов и включал в себя:
) выделение ДНК из срезов каждого образца двумя способами: по
протоколу к набору Qiagen, щелочным методом;
) тестирование препаратов ДНК в контрольной ПЦР в режиме реального
времени;
) анализ результатов ПЦР.
По 2 среза одного парафинового блока помещали в две 1.5 мл пробирки.
Срезы из одной пробирки обрабатывались согласно протоколу к набору Qiagen, из
другой - протоколу №1 щелочного метода выделения. В результате чего были
получены растворы ДНК каждого образца. Готовили разведения ДНК 1:5 и 1:20,
которые затем тестировались в контрольной ПЦР к константному участку гена KRAS. Для сравнения тестировались
контрольная ДНК плаценты человека без мутаций с концентрацией 1нг/мкл.
Количество циклов ПЦР, необходимых, чтобы флуоресценция превысила уровень фона,
называется Ct. Для каждого препарата ДНК определяли разведение, которое дает
величину Ct, наиболее близкую к контрольной ДНК. По величине Ct в контрольной
ПЦР определяли пригодность индивидуальных образцов для теста на мутации в гене KRAS . Образец ДНК считался пригодным для
дальнейшей работы, если Ctобразца=Ctплаценты±3. Таким образом оценивалось количество ДНК в препарате (чем
больше Ctобразца относительно Ctплаценты , тем меньше содержится ДНК в
препарате). Качество ДНК препарата оценивалось по наклону кривой флуоресценции
относительно кривой, соответствующей ДНК плаценты.
На рис. 6 приведены результаты ПЦР в реальном времени с детекцией флуоресценции
SybrGreen. ДНК образца имеет Ctобразца =15,45, Ctплаценты=12,94. Таким образом Ctобразца-Ctплаценты=2,51, следовательно количество ДНК в
препарате приемлемое для дальнейшего тестирования.
Рис. 6. Контрольная ПЦР на константный район гена KRAS. Зеленая линия - уровень фона, синяя
линия - ДНК плаценты, красная линия - ДНК образца опухоли МКРР .
Для корректности результата все образцы тестировали в дублях.
После тестирования препаратов ДНК в контрольной ПЦР для каждого образца
было выбрано подходящее для дальнейшего тестирования разведение. Полученные
величины Ct по двум методам выделения ДНК
приведены на рис.7.
Рис. 7. Гистограмма результатов ПЦР ДНК образцов, выделенных по протоколу
Qiagen и щелочным методом.
Средняя величина Ct для
ДНК, выделенных по протоколу Qiagen
составила 17,2 , Ct для ДНК,
выделенных щелочным методом - 15,6. Разница между Ctqiagen и Ctщел. метод равна 1,6, значит при выделении ДНК щелочным методом
количество ДНК в препарате в среднем в3 раза больше, чем при выделении по
протоколу Qiagen.
Преимущества и недостатки выделения ДНК по протоколу Qiagen и щелочным методом сведены в таблице
5.
Таблица 5. Сравнение двух методов выделения ДНК из парафиновых срезов по
разным параметрам.
|
Параметр
|
Выделение ДНК по протоколу Qiagen
|
Выделение ДНК щелочным методом
|
|
Выход ДНК
|
|
В 3 раза больше, чем по протоколу Qiagen
|
|
Время теста
|
24-48 часов
|
2-3 часа
|
|
Стоимость
|
200-360 руб./тест
|
около 10-15 руб./тест
|
Таким образом, можно сделать вывод, что щелочной метод выделения ДНК из
парафиновых срезов имеет больше преимуществ: количество полученной ДНК пригодно
для тестирования на мутации в гене KRAS, имеет низкую стоимость и занимает меньше времени.
Сравнительный анализ результатов тестирования ДНК «сложных»
образцов, выделенной различными способами
В работе использовалось 12 образцов. Из них были приготовлены срезы, ДНК
из которых была выделена по протоколу №1 щелочного метода. Из каждого препарата
ДНК были приготовлены разведения 1:5 и 1:20, которые затем тестировались в
контрольной ПЦР. По результатам ПЦР оценивалось количество и качество ДНК,
выбиралось наилучшее для дальнейшего тестирования разведение ДНК. Результаты
приведены в таблице 6.
Таблица 6. Результаты контрольной ПЦР ДНК, выделенной щелочным методом.
|
номер образца
|
dCt= Ctобразца-Ctплаценты ( щелочной метод)
|
|
1
|
не определяется, dCt>20
|
|
2
|
-1,1
|
|
3
|
2,8
|
|
4
|
1
|
|
5
|
Не определяется, dCt>20
|
|
6
|
-0,1
|
|
7
|
1,6
|
|
8
|
Не определяется, dCt>20
|
|
9
|
1,7
|
|
10
|
Не определяется, dCt>20
|
|
11
|
5,2
|
|
12
|
Не определяется, dCt>20
|
Из таблицы 6 видно, что у 5 из 12 препаратов ДНК величина Ct не определяется, что может быть
связано с низким содержанием ДНК в реакционной смеси или присутствием большого
количества ингибиторов. В связи с этим препараты ДНК были очищены на колонках с
сорбентом Qiagen и вновь протестированы в контрольной
ПЦР.
Параллельно были приготовлены еще по 2 среза каждого парафинового блока
образца ткани. Из этих срезов ДНК выделялась по протоколу к набору MagneSil Genomic, Fixed System (Promega, product MD 1490). Были получены препараты ДНК, из которых были
приготовлены разведения 1:5 и 1:20 и протестированы в контрольной ПЦР.
Сравнительные величины dCt= Ctобразца-Ctплаценты ДНК, выделенной различными методами, показаны на рисунке 8.
Рис. 8. Гистограмма величин dCt ДНК, выделенной различными методами.
Щелочной метод позволил получить ДНК с dCt в интервале -3≤dCt≤3
у образцов № 2, 3, 4, 6, 7, 9 опухолевой ткани из 12. После очистки препаратов
ДНК на колонках Qiagen только один
образец №2 имел dCt в интервале -3≤dCt≤3, но dCt2 Qiagen > dCt2 щелочной метод
. Препараты ДНК, полученные с помощью набора Promega, из образцов №1, 2, 3 имели dCt в интервале -3≤dCt≤3.
Таким образом, щелочной метод помог получить препараты ДНК с оптимальным
количеством ДНК у 5 из 12 образцов ткани. Дальнейшая очистка ДНК на колонках Qiagen не улучшила результаты ПЦР ни у
одного из образцов.
Детекция мутаций в гене KRAS в парафиновых срезах
фиксированной ткани колоректального рака
На наличие мутаций в гене KRAS
было протестировано 10 образцов. ДНК образцов была выделена из соответствующих
парафиновых срезов щелочным методом. Для нормировки теста была проведена
контрольная ПЦР на константный район гена KRAS с каждым препаратом ДНК. Далее ДНК тестировалась в
ПЦР с аллель-специфичными праймерами на мутации 12 и 13 кодонов. Параллельно
тестировался положительный стандарт, содержащий 5% ДНК, в которой ген KRAS содержит мутацию. Подсчитывали dCt
по формуле dCt=Ctмут - Ctконтр . Образец считался положительным (содержащим мутацию),если
dCt образца равно или меньше dCt
положительного стандарта. Образец является отрицательным (без мутации или
содержание мутации менее 5 %), если dCt образца больше dCt стандарта.
Результаты анализа образцов на 7 мутаций а гене KRAS представлены в таблице 7.
Таблица 7. Результаты анализа на мутации в гене KRAS.
|
Образец №
|
KRAS-7М (БиоЛинк)
|
|
1
|
Gly12Val
|
|
2
|
Нет мутаций
|
|
3
|
Gly12Ser
|
|
4
|
Нет мутаций
|
|
5
|
Gly12Cys
|
|
6
|
Нет мутаций
|
|
7
|
G12D
|
|
8
|
Нет мутаций
|
Нет мутаций
|
|
10
|
G12D
|
Таким образом 5 образцов из 10 не содержат мутаций в гене KRAS, 2 образца содержат мутацию G12D, 1
- G12V, 1 - G12S, 1 - G12C.
Заключение
В работе были опробованы различные методы выделения ДНК из фиксированных
срезов ткани, проведен сравнительный анализ результатов тестирования ДНК в ПЦР
в режиме реального времени.
Было протестировано 10 образцов ДНК пациентов с колоректальным раком на
мутации в гене KRAS: Gly12Cys(GGT>TGT), Gly12Ser(GGT>AGT), Gly12Arg(GGT>CGT),Gly12Val(GGT>GTT), Gly12Asp(GGT>GAT), Gly12Ala(GGT>GCT), Gly13Asp(GGC>GAC). Обнаружено, что 5 образцов из 10
не содержат мутаций в гене KRAS,
2 образца содержат мутацию G12D, 1 - G12V, 1 - G12S, 1 - G12C.
Выводы
колоректальный рак мутация
1. В работе проведен сравнительный анализ различных методов выделения ДНК
из образцов ткани, фиксированной формалином и заключенной в парафин.
. Были протестированы препараты ДНК, полученные из 10 образцов опухолевой
ткани колоректального рака на мутации в гене KRAS .
Список
литературы
1. McLaughlin P., Grillo-Lopez J., White C. et
al. IDEC-C2B8 rituximab chimeric anti-CD20 monoclonal anti-body therapy for
relapsed indolent lymphoma: half of patients respond to a four-dose treatment
program // J Clinical Oncology. 1998. Vol.16. P. 2825-2833.
. Pao W., Wang T. Y., Riely G. J., Miller V.
A., Pan Q., Ladanyi M., Zakowski M. S., Heelan R. T., Kris M. G.,Varmus H. V.
KRAS Mutations and Primary Resistance of Lung Adenocarcinomas to Gefitinib or
Erlotinib // PloS Medicine. 2005. V. 2(1). P. 57-61.
. Han S. W., Kim T. Y., Jeon Y. K., Hwang P.
G., Im S. A., Lee K. H., Kim J. H., Kim D. W., Heo D. S., Kim N. K., Chung D.
H., Bang Y.J. Optimization of patient selection for gefitinib in non-small cell
lung cancer by combined analysis of epidermal growth factor receptor
mutation,K-ras mutation, and Akt phosphorylation // Clinical Cancer Researsh.
2006. V. 12(8). P. 2538-2544.
. Goldstein N.S., Armin M. Epidermal growth
factor receptor immunohistochemical reactivity in patients with American Joint
Committee on Cancer Stage IV colon adenocarcinoma: Implcations for a
standardized scoring system // Cancer. 2001. N 92. P. 1331-1346.
. Woodburn J. R. The epidermal growth factor
receptor and its inhibition in cancer therapy// Pharmacol. Ther. 1999. N 82. P.
241-250.
. Larsson O et al. Role of insulin-like growth
factor receptor signaling in cancer // British Journal of Cancer. 2005. N 92. P2097-2100.
. Samani A. et al. The role of the IGF system
in cancer growth and metastasis: overview and recent insights // Endocrine
Reviews. 2007. N 28 (1). P. 20-47.
. Moosmann N., Heinemann V. Cetuximab in the
treatment of metastatic colorectal cancer// Expert Opinion on Biological
Therapy. 2007. N 7 (2). P. 243-256.
. Ciardiello F, Tortora G. EGFR antagonists in
cancer treatment // The New England Journal of Medicine. 2008. N 358.
P.1160-1174.
. Salomon D.S., Brandt R. et al. Epidermal
growth factor related peptides and their receptors in human malignancies //
Critical Reviews in Oncology/Hematology. 1995. N 19, P. 183-232.
. Van Cutsem E., Land I., Haens G., et al. KRAS
status and efficacy in the CRISTAL study: 1st-line treatment of patients with
metastatic colorectal cancer (mCRC) receiving FOLFIRI with or without Cetuximab
// ESMO. 2008. Abstract 710.
. Van Cutsem E., Lang I., D'haens G. KRAS
status and efficacy in the first-line treatment of patients with metastatic
colorectal cancer (mCRC) treated with FOLFIRI with or without cetuximab: The
CRYSTAL experience // Journal of Clinical Oncology. 2008. Vol. 26: 15 (May 20
Supplement)/ Abstract 2.
. Van Cutsem E., Lang I., D'Haens G., et al.
The CRYSTAL study: Assessment of the predictive value of KRAS status on
clinical outcome in patients with mCRC receiving first-line treatment with
cetuximab or cetuximab plus FOLFIRI // World Congress on Gastrointestinal
Cancer.2008, Abstract 471.
. Van Cutsem E. et al. CRYSTAL, a randomized
phase III trial of cetuximab plus FOLFIRI vs. FOLFIRI in first -line metastatic
colorectal cancer (mCRC) // European Journal of Cancer Prevention. 2007. N 5,
abstract 3001.
. Schuch G., Staroslawska E., Nowacki M., et
al. Cetuximab plus 5-Fu/FA/Oxaliplatin (FOLFOX-4) In the first-line treatment
of MCRC: Opus, a Phase II study. Proceedings from the Ninth World Congress on
Gastrointestinal Cancer. Barcelona, Spain. 2007. Abstract
022.
. Bokemeyer C., Bondarenko I, Makhson A., et
al. Cetuximab plus 5-FU/FA/oxaliplatin (FOLFOX-4) versus FOLFOX-4 in the
first-line treatment of metastatic colorectal cancer (mCRC): OPUS, a randomized
phase II study// ASCO 2007. Abstract 4000.
. Douillard J., Siena S., Cassidy J. et al.
Randomized Phase 3 Study of Panitumumab with FOLFOX4 vs FOLFOX4 Alone as First-line
Treatment in Patients with Metastatic Colorectal Cancer: the PRIME Trial. //
European Journal of Cancer Prevention. 2009. N7(3 suppl): P10.
. Hecht J, Mitchell E, Chidiac T et al. A
randomized phase IIIB trial of chemotherapy, bevacizumab, and panitumumab
compared with chemotherapy and bevacizumab alone for metastatic colorectal
cancer // Journal of Clinical Oncology. 2008. N 27. P.672-680.
. Punt C., Tol J., Rodenburg C.J. et al.
Randomized phase III study of capecitabine, oxaliplatin, and bevacizumab with
or without cetuximab in advanced colorectal cancer (ACC), the CAIRO2 study of
the Dutch Colorectal Cancer Group (DCCG) // Journal of Clinical Oncology. 2008.
N 26 (Suppl); abstract LBA 4011.
20. Sartore-Bianchi
A <#"705716.files/image011.gif">
Гистологический срез. В печени имеются небольшие участки разрастания
железистого эпителия. Он образует небольшие железы, которые располагаются в
междольковой соединительной ткани. Эпителиальные клетки имеют выраженный полиморфизм
и занимают на срезе не более 5 % площади. Вероятно, это метастаз рака кишечника
в печень.
Приложение 2
Гистологический срез. На срезе имеется опухоль, которая прорастает
мышечный слой. Она состоит из расширенных деформированных желез, в просвете
которых слизь и раковые клетки. Железистого эпителия много, он занимает 45-50%
площади среза. В мышечном слое - густая клеточная инфильтрация из лимфоцитов и
нейтрофилов.
Приложение 3
Гистологический срез. На срезе, вероятно, участок биопсийного материала.
В срез попала практически только гладкомышечная ткань. У одного края среза
имеется скопление из 10-15 клеток, похожих на эпителиальные.
Приложение 4
Гистологический срез. Небольшой участок опухолевой ткани представлен
мелкими железами и скоплениями раковых клеток в мышечном слое. Эпителий мало
дифференцирован, клетки имеют выраженный полиморфизм. Общая площадь эпителия
40-45% площади среза.
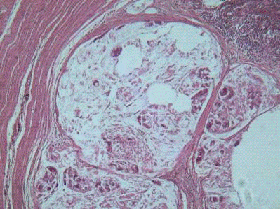
Приложение 5
На гистологическом срезе имеется опухоль, состоящая из железистого
эпителия с выраженным полиморфизмом клеток (малодифференцированная форма рака).
Опухоль прорастает мышечный слой и представлена отдельными узлами и мелкими
железами. На срезе раковые клетки занимают 15-20% среза.
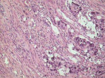
Приложение 6
Гистологический срез. На срезе имеется участок кишечника, в мышечном слое
которого расположены небольшие скопления раковых клеток. Они образуют тяжи и
очень мелкие железы. Эпителий имеет резко выраженный полиморфизм, и занимает
всего около 5% площади среза.
Приложение 7
Гистологический срез. Опухоль представлена крупными железами, в которых
располагаются сосочки и слизь. Эпителий довольно хорошо дифференцирован и
занимает примерно 55% площади среза.
Приложение 8
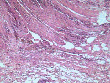
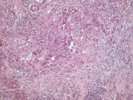
Гистологический срез. В ткани печени имеется участок опухоли. Она
построена из разных по размеру желез, в просветах которых располагается большое
количество раковых клеток и лейкоцитов. Опухоль отделена от ткани печени
прослойкой соединительной ткани, густо пропитанной лимфоцитами. Общая площадь
эпителия на срезе около 45%.