Эхокардиография и ее применение

  • Вид работы:
    Курсовая работа (т)
  • Предмет:
    Медицина, физкультура, здравоохранение
  • Язык:
    Русский
    ,
    Формат файла:
    MS Word
    4,97 Мб
  • Опубликовано:
    2014-01-28
Вы можете узнать стоимость помощи в написании студенческой работы.
Помощь в написании работы, которую точно примут!

Эхокардиография и ее применение

АО «Медицинский университет Астана»












Тема: «Эхокардиография и ее применение»












Астана 2013

Введение

Эхокардиография (греч. ēchō отголосок, эхо + kardia сердце + graphō писать, изображать: синоним ультразвуковая кардиография) метод исследования и диагностики нарушений морфологии и механической деятельности сердца, основанный на регистрации отраженных от движущихся структур сердца ультразвуковых сигналов.

Для Э. применяют специальные приборы - эхокардиографы, обязательными элементами конструкции которых являются генератор ультразвука (частотой от 1 до 10 МГц), направляемого в виде луча через грудную стенку на различные отделы сердца (рис. 1); датчик, воспринимающий отраженные ультразвуковые сигналы; преобразователь воспринимаемых ультразвуковых волн в электромагнитные и их усилитель, а также регистрирующее устройство, позволяющее получать изображение изучаемых структур сердца - эхокардиограмму (на экране осциллоскопа, специальной фотобумаге) и фиксировать его на магнитном носителе информации. Современные эхокардиографы оснащены также электрокардиографическим каналом для синхронной регистрации с эхокардиограммой ЭКГ и компьютером, использование которых значительно повышает качество обработки и анализа данных исследования.

Предложено несколько режимов (способов) воспроизведения эхосигнала, обозначаемых по начальным буквам слов amplitude (амплитуда), motion (движение) и brightness (яркость) как А-, М- и В-режимы одномерного изображения, а также двухмерная Э. с изображением среза движущихся структур сердца в реальном масштабе времени. Кроме того, в Э. используют ультразвуковой метод определения скорости и направления (по отношению к датчику) потока крови, основанный на эффекте Допплера - допплер-эхокардиографию. В А-режиме (рис. 2, А) эхо-сигналы регистрируются в виде пиков, амплитуда которых пропорциональна интенсивности сигнала, а расстояние между пиками соответствует расстоянию между отражающими объектами и датчиком в масштабе прибора.

Чем выше частота ультразвуковых колебаний (соответственно, чем меньше длина волны), тем большей разрешающей способностью обладает прибор, т. е. тем меньше размер частиц, от которых отражается ультразвук.

При отражении от движущихся структур ультразвук меняет свою частоту (эффект Допплера): при удалении от датчика частота колебаний уменьшается, при приближении - увеличивается. Чем больше скорость движения объекта, тем больше изменяется частота ультразвукового сигнала. Отраженный сигнал ультразвука («эхо») улавливается эхокардиографическим датчиком и передается в компьютерную систему обработки информации, и в зависимости от интенсивности сигнала отображается на экране дисплея в виде ярких точек, сливающихся в изображение исследуемого объекта.

При исследовании сердца и сосудов используются обычно три режима работы прибора:

М-режим(одномерная эхокардиография), при котором на экране дисплея изображается временная развертка положения по отношению к эхокардиографическому датчику всех движущихся структур сердца и сосудов, которые пересекает ультразвуковой луч. В этом режиме по вертикальной оси откладывается расстояние от той или иной структуры сердца до эхокардиографического датчика, а по горизонтальной оси - время.

В-режим(двухмерная эхокардиография), при которой на экране получают плоскостное двухмерное изображение сердца или сосудов, что чаще достигают путем быстрого изменения направления ультразвукового луча в пределах определенного сектора (от 60° до 90°). При использовании линейных эхокардиографических датчиков пьезоэлектрические элементы, выстроенные в один ряд, посылают параллельно направленные ультразвуковые лучи, что также позволяет получить двухмерное изображение объекта.

Доплеровский режим (допплер-эхокардиография) позволяет по величине так называемого допплеровского сдвига частот зарегистрировать изменение во времени скорости движения исследуемого объекта

Показания к эхокардиографии

Подозрение на наличие приобретенных или врожденных пороков сердца.

Выслушивание любых сердечных шумов.

Обнаружение изменений на ЭКГ.

Перенесенный инфаркт миокарда.

Повышение артериального давления.

Регулярные спортивные тренировки.

Подозрение на наличие опухоли сердца.

Подозрение на расширение (аневризму) грудного отдела аорты.

Противопоказания к эхокардиографии:

Абсолютных противопоказаний к проведению ЭхоКГ не существует. Проведение исследования может быть затруднено у следующих категорий пациентов:

Хронические курильщики, лица страдающие бронхиальной астмой/хроническим бронхитом и некоторыми другими заболеваниями дыхательной системы

Женщины со значительным размером молочных желез и мужчины с выраженным оволосением передней грудной стенки

Лица со значительными деформациями грудной клетки (реберный горб и т.д.)

Лица с воспалительными заболеваниями кожи передней грудной клетки

Лица, страдающие психическими заболеваниями, повышенным рвотным рефлексом и/или заболеваниями пищевода (только для проведения чрезпищеводной ЭхоКГ).

Как подготовиться к ЭхоКГ

Специальной подготовки пациента к проведению эхокардиографического исследования не требуется.

Как проходит процедура эхокардиографии:

Для кардиологического исследования у взрослых применяются ультразвуковые датчики с частотой 2,25-3,4 МГц. При таких частотах обеспечивается хорошая фокусировка ультразвукового луча и оптимальное отражение от исследуемых структур.

Исследование может быть осуществлено в любом положении больного, при котором обеспечивается наиболее четкое изображение исследуемых структур. Чаще всего пациент находится в горизонтальном положении на спине с приподнятым изголовьем или на левом боку. Для лучшей визуализации сосудистого пучка из супрастернального доступа под плечи пациента подкладывается валик, а голова запрокидывается назад. Исследование выполняется при свободном дыхании пациента либо при неглубоком выдохе.

Методика ЭхоКГ

Положения датчика:

Поскольку сердце окружено ребрами и воздушной легочной тканью, затрудняющими передачу ультразвуковых волн, лучше всего выполнять исследование при полном выдохе из нескольких положений. Для наибольшего расширения акустических окон исследование проводят в положении пациента на левом боку, при этом верхняя часть тела несколько приподнята. В этом положении сердце находится напротив переднебоковой грудной стенки и менее всего прикрыто тканью легких, особенно при полном выдохе. Из-за относительно небольшого акустического окна лучше всего использовать секторный датчик, с помощью которого можно получить срез сердца в виде «куска пирога». Стандартные акустические окна для эхокардиографии следующие: парастернальное во 2-4-м межреберье, верхушечное в 5-6-м межреберье, надгрудинное в надгрудинной вырезке и подреберное - ниже мечевидного отростка.

Плоскости сканирования

Вращая и наклоняя датчик врач может использовать все акустические окна и сканировать сердце в нескольких плоскостях. Согласно руководству Американского Эхокардиографического Общества установлены три взаимоперпендикулярных плоскости сканирования: длинная ось сердца, короткая ось и четырехкамерная плоскость. Положение датчиков во всех этих плоскостях основано на осях самого сердца, а не тела пациента.

Плоскость относительно длинной оси располагается параллельно основной оси сердца, определяемой по линии, идущей от аортального клапана к верхушке сердца. Датчик устанавливается в парастернальной, супрастернальной или апикальной позиции. Короткая ось перпендикулярна длинной, и ее плоскость представляет собой поперечное изображение. Сканирование из апикального или подреберного положения дает изображение в четырехкамерной позиции, отображающей все четыре камеры сердца на одном срезе.

Датчик можно наклонять в обоих направлениях, чтобы получить дополнительные веерообразные изображения сердца. Такие плоскости используются в частности для оценки аномалий сердца. Для точного анализа анатомии и функции сердце всегда должно исследоваться в нескольких плоскостях при различных положениях датчика. Таким образом, патологические структуры видны под разными углами, их можно оценить и отличить от артефактов.

Парастернальная плоскость подлинной оси

Для получения изображений в парастернальной плоскости по длинной оси датчик устанавливается в 3-м или 4-м межреберье спереди от сердца. Плоскость сканирования располагается вдоль линии от правого плеча к левому подвздошному гребню. В передне-заднем направлении визуализируются следующие структуры: передняя стенка правого желудочка, правый желудочек (выносящий тракт), межжелудочковая перегородка, левый желудочек и задняя стенка левого желудочка. Краниальнее левого желудочка располагаются аортальный клапан, восходящая аорта, митральный клапан, левое предсердие и, позади, нисходящая аорта. О корректном изображении можно говорить, когда все эти структуры видны одновременно, а межжелудочковая перегородка расположена практически горизонтально. Структуры вблизи от датчика (правый желудочек) отображаются в верхней части изображения, а краниальные структуры (аорта) - в правой. Таким образом, картина выглядит, как если бы наблюдатель смотрел на сердце слева.

Парастернальная плоскость по короткой оси

Для получения изображения в парастернальной плоскости по короткой оси датчик снова устанавливается в 3-е или 4-е межреберье кпереди от сердца. Плоскость сканирования перпендикулярна длинной оси и отображается, как показано ниже. Датчик следует наклонять для получения различных анатомических плоскостей.

В сосудистой плоскости в центре изображения визуализируется аортальный клапан, где его три створки образуют звездчатую картину. Искривленная область кпереди от клапана является выносящим трактом правого желудочка, связывающим путь притока и трикуспидальный клапан с клапаном легочной артерии и основным стволом легочной артерии. Ниже аорты расположено левое предсердие.

В плоскости митрального клапана определяются передняя и задняя створки митрального клапана и выносящий тракт левого желудочка. Во время сердечного цикла створки митрального клапана движутся наподобие «рыбьего рта».

В плоскости сосочковых мышц правый желудочек образует слева вверху кпереди от почти круглого левого желудочка внизу справа область в виде скорлупы. Сзади с обеих сторон визуализируются две сосочковые мышцы.

В этой плоскости можно наблюдать концентрическое сокращение левого желудочка во время сердечного цикла. На изображении в диастолу виден округлый левый желудочек с межжелудочковой перегородкой и задней стенкой. Во время систолы полость левого желудочка уменьшается, что сопровождается утолщением перегородки и задней стенки.

Апикальная четырехкамерная плоскость

Изображения в четырехкамерной плоскости при нахождении датчика в 5-м или 6-м межреберье в положении пациента на левом боку можно получить даже у тучных больных с плохим акустическим окном. Луч направляется на левое плечо, пересекая сердце от верхушки к основанию. Задержка дыхания на полном выдохе позволяет расширить акустическое окно. Четырехкамерная плоскость перпендикулярна плоскостям и по длинной, и по короткой оси. Врач видит сердце снизу, поэтому правая и левая стороны на изображении видны в обратном расположении.

Верхушка сердца на изображении располагается сверху (вблизи от датчика). Правые предсердие и желудочек находятся слева. Эта плоскость позволяет отобразить и предсердия, и желудочки в дополнение к межпредсердной и межжелудочковой перегородкам и обоим предсердно-желудочковым клапанам. Датчик должен быть точно установлен над верхушкой, а затем повернут и наклонен, чтобы получить подходящее сечение, на котором будут видны все четыре камеры.

Пятикамерная плоскость

Изображения в этой плоскости получаются при наклоне датчика кпереди и вращении его по часовой стрелке из апикальной четырехкамерной плоскости. Этим достигается визуализация выносящего тракта левого желудочка и аортального клапана. Плоскость сканирования располагается параллельно кровотоку к аорте, создавая оптимальные условия для допплерографического обследования выносящего тракта левого желудочка (аортального клапана и восходящей аорты). Определить все структуры правых отделов сердца и получить их изображения в этой плоскости не всегда бывает просто.

Чреспищеводная эхокардиография

Плохое акустическое окно вследствие тучности или эмфиземы пациента может при трансторакальной эхокардиографии не обеспечить адекватной визуализации всех структур сердца. В таких случаях проводится чреспищеводная эхокардиография, обеспечивающее превосходное изображение предсердий, желудочков и предсердно-желудочковых клапанов. Она особенно полезна в операционной и в палате интенсивной терапии в раннем послеоперационном периоде после вмешательств на сердце. Через глотку в пищевод вводится специальный эндоскоп с двухплоскостным или многоплоскостным датчиком и продвигается до достижения вузуализации сердца. Хорошее качество изображения левого предсердия, расположенного рядом с датчиком, позволяет визуализировать тромбы в нем или на митральном клапане и определять любые дефекты межпредсердной перегородки.

Эхокардиограммы здорового человека в а-режиме и в м-режиме с синхронно регистрируемой электрокардиограммой

Рис.1. Эхокардиограммы здорового человека в А-режиме (А, слева) и в М-режиме (М, справа) с синхронно регистрируемой электрокардиограммой (ЭКГ)

Наибольшая амплитуда осцилляций в А-режиме соответствует наибольшей оптической плотности рисунка в М-режиме. На эхокардиограмме в М-режиме чередование темных и светлых волнистых полос соответствует полостям сердца и их стенкам (см. схему на рис. 3). Обозначение полостей сердца такое же, как на рис. 1 (на фоне темного поля полости правого желудочка зарегистрирована ЭКГ) Дополнительное обозначение на этом и других рисунках к статье имеют следующие структуры: ПСПЖ - передняя стенка правого желудочка (светлые полосы); МЖП - межжелудочковая перегородка (светлые полосы); МК-эхосигнал от передней створки митрального клапана определяется на фоне полости левого желудочка как светлая структура в виде флажка); ЗСЛЖ - задняя стенка левого желудочка. Волнистость изображения стенок сердца связана с его сокращениями в систолу, межжелудочковая перегородка и задняя стенка левого желудочка движутся навстречу друг другу. Через определенные промежутки времени (в данном случае - каждые 0,5 с) на эхокардиограмме пунктирными делениями по вертикали (указаны стрелками) изображается масштаб линейных измерений (в данном случае расстояние между делениями соответствует 1 см).

Какие преимущества и недостатки эхокардиографии

Какие преимущества ЭхоКГ:

возможность визуализации мягких рентгенонегативных тканей при исследовании сердца, печени, почек, поджелудочной железы и т. д.;

отсутствие ионизирующего облучения, оказывающего биологическое воздействие на организм;

неинвазивность, безболезненность и, в связи с этим, возможность проведения многократных повторных исследований;

возможность наблюдать движение внутренних органов в реальном масштабе времени;

сравнительно невысокая стоимость исследования.

Какие недостатки ЭхоКГ

ограниченная разрешающая способность метода, обусловленная большей, чем при рентгеновском облучении, длиной ультразвуковой волны;

ультразвуковые приборы калибруются по среднему значению скорости распространения в тканях (1540 м с-1), хотя в реальной среде эта скорость варьирует, что вносит определенные искажения в изображение;

ограниченные возможности исследования газосодержащих органов и полостей (легких, кишечника) в связи с тем, что они практически не проводят ультразвуковые волны.

Расшифровка результатов

Какие нормальные показатели эхокардиографии:

Одномерная эхокардиограмма в М-режиме (М-ЭхоКГ) характеризуется рядом признаков нормы, из которых основными являются правильная последовательность изображаемых структур сердца, нормальные их размеры и соответствие движений стенок сердечных камер и створок клапанов физиологии сердечного сокращения.

Двухмерная эхокардиограмма характеризуется теми же признаками нормы, что и одномерная, но совокупность этих признаков действительна для изображения структур сердца в двух измерениях. На двухмерной ЭхоКГ в норме хорошо определяются взаиморасположение сердечных камер, особенности анатомии клапанов сердца, площадь клапанных отверстий. В проекции длинной оси сердца отображаются практически все его структуры от основания до верхушки, а также устье аорты и аортальный клапан. При верхушечном доступе получают изображение поперечного среза всех четырех камер сердца и атриовентрикулярных клапанов. Измерение полостей и толщины стенок сердечных камер на двухмерной ЭхоКГ производят так же, как на М-ЭхоКГ.

Доплер-эхокардиограмма в форме спектрограммы обычно регистрируется вместе с ЭхоКГ в М-режиме. В большинстве случаев исследуют потоки крови вблизи клапанов сердца. Основными признаками нормального потока крови являются его ламинарность (отсутствие завихрений) и естественное для данной фазы сердечного цикла направление. Ламинарный поток характеризуется на спектрограмме четкостью эхосигналов и наличием в спектральной полосы светлого «окна». Направление потока определяется на спектрограмме по ее расположению выше изолинии (поток направлен к датчику) либо ниже изолинии (поток направлен от датчика). При индикации со стороны левого желудочка нормальным направлением потока в диастолу когда желудочек заполняется кровью из предсердия, является направление к датчику, которое хорошо определяется при локализации вблизи митрального клапана; в систолу естественным является направление потока от датчика (изгнание крови из желудочка в аорту), четко определяемое при локализации вблизи устья аорты. При появлении в потоке вихрей, направленных как к датчику, так и от датчика (турбулентный поток), спектрограмма утрачивает признак светлого «окна», эхосигналы становятся менее четкими и располагаются как ниже, так и выше изолинии.

Эхокардиография применяется для

оценки функционального состояния левого и правого желудочка;

оценки региональной сократимости левого желудочка (например у больных ИБС);

оценки массы миокарда левого желудочка и выявления ультразвуковых признаков симметричной и асимметричной гипертрофии и дилатации желудочков и предсердий;

оценки состояния клапанного аппарата (стеноз, недостаточность, пролапс клапана, наличие вегетации на створках клапана и т. д.);

оценки уровня давления в ЛА и выявления признаков легочной гипертензии;

выявления морфологических изменений перикарда и наличия жидкости в полости перикарда;

выявления внутрисердечных образований (тромбы, опухоли, дополнительные хорды и т. д.);

оценки морфологических и функциональных изменений магистральных и периферических артерий и вен.

Конечно, эхокардиография не может точно установить:

кардиомиопатии, пороки сердца или ишемическую болезнь сердца, но применяется для диагностики:

ревматической недостаточности митрального клапана;

стеноза и недостаточности клапана аорты;

дефектов перегородок.

Рис. 21. Двухмерная цвентая допплер-эхокардиограмма больного с первичным дефектом межпредсердной перегородки: в области дефекта виден представленный красным цветом поток крови слева направо (шунт)


Рис. 11а). Двухмерная эхокардиограмма больного с обструктивной гипертрофической кардиомиопатией (на эхокардиограммах в М-режиме полости сердца - светлые поля, плотные структуры - темные): а - резко утолщенная межжелудочковая перегородка (VS) суживает выходной тракт левого желудочка LV - субаортальный стеноз; видны просветы аорты (АО) и левого предсердия (LA).

Рис. 9а). М-эхокардиограммы (вверху) и допплер-эхокардиограммы в форме спектрограмм (внизу) потока крови на уровне аортального клапана

В норме; отраженные сигналы от потока крови через аорту (указаны на спектрограмме стрелкой) возникают в систолу (следуют за желудочковым комплексом ЭКГ), направлены от изолинии х вниз (направление потока от датчика), имеют четкую очерченность и светлое «окно» в середине, что свидетельствует о ламинарном (нормальном) потоке.

Рис. 10. Эхокардиограмма больного с постинфарктным кардиосклерозом (эхопозитивное пространство отображено светлыми полями): видна зона дискинезии задней стенки левого желудочка в виде противонаправленного движения (указано стрелками) в систолу

Цвет указывает направление потока крови от датчика, поток соответствует изгнанию крови из левого желудочка. Справа от эхокардиограммы видна цветовая шкала потоков и шкала акустической плотности">

Рис. 6б). Двухмерная цветная допплер-эхокардиограмма с изображением сердца в проекции длинной оси: в период систолы, синий цвет указывает направление потока крови от датчика, поток соответствует изгнанию крови из левого желудочка. Справа от эхокардиограммы видна цветовая шкала потоков и шкала акустической плотности

Рис. 19. Допплер-эхокардиограмма (спектрограмма) потоков крови в выходном тракте левого желудочка сердца у больного с недостаточностью портального клапана: в систолу (сразу за желудочковым комплексом зарегистрированной под спектрограммой ЭКГ)

Эхосигналы располагаются ниже изолинии х (поток направлен от датчика), имеют четкую очерченность и светлое «окно», свидетельствующие о ламинарном (нормальном) потоке; в диастолу (за рубцом Т ЭКГ) регистрируются эхосигналы (указаны стрелками) в виде сплошной полосы без светлого «окна» как ниже, так и выше изолинии, соответствующие турбулентному потоку аортальной регургитации.

Рис. 23б). Одномерная эхокардиограмма больного с тромбом в левом желудочке сердца: на двухмерной эхокардиограмме в полости левого желудочка (темное поле) определяется интимно связанное со стенкой и выбухающее в полость плотное эхопозитивное образование (указано стрелкой), которое в одномерном изображении представляется слоистым, заполняющим почти всю полость левого желудочка


Рис. 14. Двухмерная эхокардиограмма с изображением поперечного сечения левого желудочка на уровне митрального клапана: створки клапана утолщены, деформированы, спаяны по комиссурам, их расхождение в диастолу и площадь клапанного отверстия (указано стрелкой) резко уменьшены.

Рис. 9б). М-эхокардиограммы (вверху) и допплер-эхокардиограммы в форме спектрограмм (внизу) потока крови на уровне аортального клапана: при стенозе устья аорты; отраженные сигналы от патологического потока крови через аорту (указаны стрелкой) регистрируются в виде сплошной заштрихованной полосы без «окна», что свидетельствует о турбулентном потоке, не имеют четкой очерченности и направлены как вниз, так и вверх от изолинии из-за направления части вихревых потоков к датчику

Рис. 11б). В М-режиме эхокардиограмма больного с обструктивной гипертрофической кардиомиопатией (на эхокардиограммах в М-режиме полости сердца - светлые поля, плотные структуры - темные): б - толщина межжелудочковой перегородки на уровне проекции митрального клапана резко увеличена (а = 2,5 см)

Эхосигналы от створок митрального клапана (видны в полости левого желудочка) в диастолу примыкают к межжелудочковой перегородке (отсутствует митрально-аортальная сепарация), а в систолу определяется патологическое переднее движение передней створки (указано стрелкой).

Рис. 11в). Эхокардиограмма в М-режиме больного с обструктивной гипертрофической кардиомиопатией (полости сердца - светлые поля, плотные структуры - темные): в просвете аорты эхосигналы от заслонок аортального клапана указывают на систолическое схождение заслонок (прикрытие), которое обусловлено высоким градиентом давления между выходным трактом левого желудочка и аортой

Рис. 15. Этапы измерений спектрограммы потока крови через левое атриовентрикулярное отверстие для расчета его площади при митральном стенозе (на спектрограммах по оси ординат - скорость потока V м/с, по оси абсцисс - время t мс:


А- определяется начальная скорость кровотока (Vн) по положению на оси ординат пика начальных эхосигналов (в данном случае Vн = 1,8 м/с); Б - вычисляется скорость кровотока Vm по формуле [s]*231261044[/s] (она соответствует скорости при половине начального градиента давления) и на уровне ее величины по оси ординат (в данном случае Vm = 1,3 м/с) проводится горизонтальная линия через спектрограмму; В - определяется точка (К) пересечения линии Vm с линией диастолического наклона спектрограммы; Г - из точки К опускается перпендикуляр, который отсекает на оси абсцисс время, равное так называемому полупериоду давления Т (в данном случае Т = 280 мс). Площадь отверстия митрального клапана (Sомк) определяют по формуле Sомк = 220 мс: Т; в данном примере она составляет 0,78 см2, что соответствует тяжелой степени митрального стеноза. полость перикарда, заполненная выпотом">

Рис. 24а). Эхокардиограмма больного с экссудативным перикардитом: двухмерная эхокардиограмма в проекции длинной оси (эхонегативные полости представлены темными, а эхопозитивные структуры - светлыми полями); хорошо определяется эхонегативное пространство (указано стрелками), за задней стенкой левого желудочка - полость перикарда, заполненная выпотом

Рис. 16. Допплер-эхокардиограмма потоков крови в полости левого предсердия (проекция локации показана вверху на двухмерной эхокардиограмме) вблизи створок митрального клапана при его недостаточности: на спектрограмме в диастолу (периоды систолы и диастолы легко определяются по зарегистрированной над спектрограммой ЗКГ) эхосигналы соответствуют ламинарному, т.е. нормальному, потоку крови через атриовентрикулярное отверстие (границы незаштрихованного "окна" на спектрограмме четко очерчены), имеют М-образную форму, расположены выше изолинии х (поток направлен к датчику); в систолу регистрируются эхосигналы в виде сплошной заштрихованной полосы выше и ниже изолинии, отображая турбулентный поток митральной регургитации.


Рис. 17. Двухмерная цветная допплер-эхокардиограмма при митральной недостаточности (LV - левый желудочек сердца, LA - левое предсердие, АО - аорта): в систолу зафиксирован мозаичный турбулентный поток митральной регургитации 3 степени (MR+++) через не полностью сомкнутые створки митрального клапана

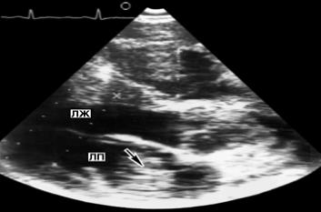
Рис. 22. Двухмерная эхокардиограмма (в проекции длинной оси сердца) больного с миксомой левого предсердия: стрелкой указано овальной формы эхопозитивное образование, расположенное в левом предсердии


Рис. 20. Двухмерная цветная допплер-эхокардиограмма больного с недостаточностью митрального клапана: АО - аорта, LV и RV - соответственно левый и правый желудочки сердца, LA - левое предсердие; в диастолу определяется мозаичный турбулентный поток аортальной регургитации через не полностью сомкнутые створки портального клапана


Рис. 23а). Двухмерная эхокардиограмма больного с тромбом в левом желудочке сердца: на двухмерной эхокардиограмме в полости левого желудочка (темное поле) определяется интимно связанное со стенкой и выбухающее в полость плотное эхопозитивное образование (указано стрелкой), которое в одномерном изображении представляется слоистым, заполняющим почти всю полость левого желудочка

Рис. 1. Схема основных доступов для ультразвукового исследования сердца в сечении длинной оси (а), короткой оси (б) и с обозрением четырех камер сердца (в): 1 - парастернальная позиция датчика, место локации в III-IV межреберьях слева от грудины; 2 - верхушечная позиция, место локации в IV-V межреберьях по левой среднеключичной линии; 3 - супрастернальная позиция, локация со стороны яремной ямки; 4 - субкостальная позиция, локация со стороны эпигастральной области. Исследуемые структуры сердца на этом и других рисунках к статье имеют обозначения: АО - аорта, ЛЖ - полость левого желудочка, ЛП - полость левого предсердия, ПЖ - полость правого желудочка, ПП - полость правого предсердия


Рис. 8. Двухмерная эхокардиограмма из верхушечного доступа: видны полости всех четырех камер сердца (темные поля) в поперечном сечении, разделенные перегородками и створками атриовентрикулярных клапанов (светлые структуры)

Рис. 3. Схема основных позиций одномерной эхографии структур сердца, расположенных вблизи его основания (позиция 1), в средней трети длины (позиции 2 и 3) и в области верхушки (позиция 4)

Во всех позициях отображаются передняя стенка правого желудочка и его полость, а в позициях 3 и 4 - межжелудочковая перегородка, полость левого желудочка и его задняя стенка, в позиции 1 визуализируются аорта, аортальный клапан (АК), полость левого предсердия и его задняя стенка (ЗСЛП), в позиции 2 - левое предсердие и митральный клапан. Дополнительные обозначения: I - генератор УЗ и приемник отраженных сигналов; II - передняя грудная стенка; III - сердце; IV - задняя грудная стенка.

Рис. 24в). Эхокардиограмма больного с экссудативным перикардитом: изображение эхонегативного пространства за счет выпота в полость перикарда (толщина выпота отмечена двухполюсными стрелками) на одномерных эхокардиограммах, зарегистрированных на уровне нижней трети левого желудочка (эхопозитивные структуры представлены темными, а эхонегативные полости - светлыми полями)

Рис. 13а). Одномерная эхокардиограмма при митральном стенозе: эхосигналы от створок митрального клапана (указаны стрелкой) повышенной интенсивности, слоистые; створки движутся однонаправленно, снижены амплитуда открытия и скорость диастолического прикрытия передней створки

Рис. 13б). Двухмерная в проекции продольной оси эхокардиограмма при митральном стенозе: усиление эхо-сигналов от уплотненных и утолщенных створок митрального клапана; максимальное раскрытие створок в диастолу l = 7,4 мм

Миксома левого предсердия: за передней створкой митрального клапана в диастолу регистрируется облако различной плотности эхо-сигналов (обозначено пунктиром и указано стрелкой) от пролабирующей опухоли, д - аортальная регургитация; видно диастолическое (на отрезке EF) порхание передней створки митрального клапана (указано стрелкой); в - гипертрофическая обструктивная кардиомиопатия; выявляется патологическое переднее движение в систолу (указано стрелкой) и снижение скорости диастолического прикрытия передней створки митрального клапана; ж - сердечная недостаточность; на отрезке АС движения передней створки митрального клапана появляется дополнительная волна (указана стрелкой); з - вегетации; от створок клапана регистрируется эхосигнал повышенной интенсивности (указан стрелкой)">


Рис. 12. Схема изображения на М-эхокардиограмме движения створок митрального клапана

В норме (а) и при различных формах патологии (б-з): а - в норме во время диастолы отмечается расхождение створок митрального клапана, изображение передней створки (ПС) имеет М-образную, а задней (ЗС) - W-образную форму; фазы движения передней створки характеризуют точки О - начало открытия створок в диастолу; Е - максимальная амплитуда открытия передней створки: Р - прикрытие створки в фазе редуцированного наполнения; А - вершина колебания (открытия) створки во время систолы предсердий: С - закрытие створок клапана в начале систолы желудочков; б - митральный стеноз, амплитуда открытия передней створки в точках Е, А снижена, уменьшена скорость диастолического прикрытия (спада отрезка EF), обе створки движутся в одном направлении, в - пролапс передней створки; на систолическом отрезке АС появляется дополнительное движение в виде прогиба (указан стрелкой), г - миксома левого предсердия: за передней створкой митрального клапана в диастолу регистрируется облако различной плотности эхо-сигналов (обозначено пунктиром и указано стрелкой) от пролабирующей опухоли, д - аортальная регургитация; видно диастолическое (на отрезке EF) порхание передней створки митрального клапана (указано стрелкой); в - гипертрофическая обструктивная кардиомиопатия; выявляется патологическое переднее движение в систолу (указано стрелкой) и снижение скорости диастолического прикрытия передней створки митрального клапана; ж - сердечная недостаточность; на отрезке АС движения передней створки митрального клапана появляется дополнительная волна (указана стрелкой); з - вегетации; от створок клапана регистрируется эхосигнал повышенной интенсивности (указан стрелкой).

Аортальная недостаточность; за фигурой параллелограмма следуют две несоприкасающиеся линии - неполное смыкание створок в диастолу; г - вегетации на створках: эхосигналы от вегетаций отличаются большой интенсивностью, формируют картину утолщенных и неровных образований на створках; д - гипертрофическая обструктивная кардиомиопатия; наблюдается среднесистолическое схождение створок; е - подклапанный аортальный стеноз; изображение аортального клапана имеет М-образную форму">

Рис. 18. Схема изображения на М-эхокардиограмме аортального клапана в норме (а) и при разных формах патологии (б-е): а - во время диастолы створки клапана

В норме сомкнуты и регистрируются одной линией, в диастолу они расходятся и изображают фигуру параллелограмма; б - аортальный стеноз; усиленные эхосигналы от утолщенных и уплотненных створок, уменьшение расстояния между створками в систолу; в - аортальная недостаточность; за фигурой параллелограмма следуют две несоприкасающиеся линии - неполное смыкание створок в диастолу; г - вегетации на створках: эхосигналы от вегетаций отличаются большой интенсивностью, формируют картину утолщенных и неровных образований на створках; д - гипертрофическая обструктивная кардиомиопатия; наблюдается среднесистолическое схождение створок; е - подклапанный аортальный стеноз; изображение аортального клапана имеет М-образную форму.

Рис. 5. Нормальная эхокардиограмма в М-режиме и допплер-эхокардиограмма - спектрограмма потока крови (внизу) в полости левого предсердия вблизи створок митрального клапана (локация со стороны левого желудочка). На спектрограмме представлен ламинарный (нормальный) поток через митральный клапан в диастолу. Сигналы имеют светлое "окно" в середине (указано стрелками), что свидетельствует о ламинарном потоке, и располагаются выше изолинии (х), что указывает направление потока в сторону датчика

Цикл, в котором зарегистрирована эхокардиограмма. Справа вверху - шкала акустической плотности в оптическом выражении">


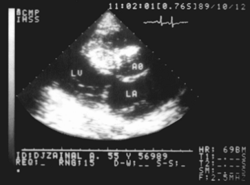
Рис. 4. Двухмерная эхокардиограмма с отображением сечения сердца в проекции длинной оси (справа - основание, слева - верхушка): видны полости обоих желудочков и левого предсердия, просвет продольного сечения аорты. На синхронно регистрируемой электрокардиограмме специальная отметка (в данном случае светлый прямоугольник) указывает на сердечный цикл, в котором зарегистрирована эхокардиограмма. Справа вверху - шкала акустической плотности в оптическом выражении

Рис. 7. Схема основных измерений на одномерной М-эхокардиограмме

а - толщина межжелудочковой перегородки (МЖП) в диастолу; б - толщина задней стенки левого желудочка (ЭСЛЖ) в диастолу, измеряемая от эндокарда (Эн) до наружной поверхности миокарда без учета эхосигнапов от сухожильных хорд (Сх) и эпикарда (Эп); ЛЖд и ЛЖс - соответственно максимальный (в конце диастолы) и минимальный (в систолу) поперечные размеры полости левого желудочка; Ао' - диаметр аорты на уровне заслонок аортального клапана (АК), измеряемый в конце диастолы между передней (ПСА) и задней (ЭСА) стенками аорты; ЛП' - размер полости левого предсердия между его задней стенкой (ЗСЛП) и задней стенкой аорты.

Рис. 6а). Двухмерная цветная допплер-эхокардиограмма с изображением сердца в проекции длинной оси: в период диастолы, красный цвет указывает направление потока крови в сторону датчика, поток соответствует фазе быстрого наполнения левого желудочка. Справа от эхокардиограммы видна цветовая шкала потоков и шкала акустической плотности

эхокардиография диагностика сердце

Рис. 24б). Эхокардиограмма больного с экссудативным перикардитом: изображение эхонегативного пространства за счет выпота в полость перикарда (толщина выпота отмечена двухполюсными стрелками) на одномерных эхокардиограммах, зарегистрированных на уровне средней трети левого желудочка (эхопозитивные структуры представлены темными, а эхонегативные полости - светлыми полями).


Использованная литература

1. Коломиец С.Н. Азбука эхокардиографии. - Одесса: ОГМУ, 2010 г. - 48 с.

. Шиллер Н., Осипов М. А. Клиническая эхокардиография. М.: Практика-М, 2005 г. - 344

. Медицинская справочная. Эхокардиография.

. http://www.google.com.ua

. http://uk.wikipedia.org/

Похожие работы на - Эхокардиография и ее применение

 

Не нашли материал для своей работы?
Поможем написать уникальную работу
Без плагиата!
Без нейросетей!