Morphological changes of pseudoerosion

  • Вид работы:
    Реферат
  • Предмет:
    Медицина, физкультура, здравоохранение
  • Язык:
    Английский
    ,
    Формат файла:
    MS Word
    2,35 Мб
  • Опубликовано:
    2013-10-13
Вы можете узнать стоимость помощи в написании студенческой работы.
Помощь в написании работы, которую точно примут!

Morphological changes of pseudoerosion













Morphological changes of pseudoerosion- Patological anatomy

Supervisor of studies - candidate of medical science Darjanova K.B., Yermenova K.K.Kazakhstan Marat Ospanov State Medical University.K.Bekova








Aktobe city, Republic of Kazakhstan

pseudoerosion of neck of uterus is one of frequent a disease among diseases of neck of uterus [1]. It happens owing to independent recovery congenital or the real erosion. Sometimes the pseudoerosion happens recurrent, after the carried - out treatment. The long pseudoerosion of neck of uterus leads to a hyperactivity of bazal cells, to complicitions of proliferative activity, and it leads to development of atypical cells, that leads to a dysplasia of necks of uterus [2]. As a result of heavy form of a dysplasia the pseudoerosion develops in precancer .

Objective:

. Identification frequency of distribution of a pseudoerosion of neck of uterus for the last 3 years (2010-2012 years) according to bureau of the Aktobe regional patological anatomy.

. Stydying of clinico - morphological types of pseudoerosion of neck of uterus.

. Stydying of a age features.

Method of research and materials: Research was conducted with registry magazines of bureau of the Aktobe regional patological anatomy for the last 3 years (2010-2012 years) and biopsy materials of it. After fixation histological section with 10% formalin, is run out paraffin, hematoxylin and eosine is painted standartly. The description of micropreparations was carried - out by means of Leica DM - 1000 microscope.and analysis: The pseudoerosion of neck of uterus among disease of neck of uterus - 2010-2012 years - 1355, 2010 year - 572 (42,3%); 2011year - 401 (29,5%); 2012 year - 382 (28,2%) . Page 1 .

1. Frequency of incidence of a neck of uterus for 2010-2012 years

By the types of clinico - morphological: gland cystous pseudoerosion - 30,4%; gland papillary pseudoerosion - 30,4%; gland pseudoerosion - 39,1%. Page 2 .

2 . Frequency of incidence of neck of uterus on a clinico - morphological types for 2010 - 2012 years.

By the age features of pseudoerosion of neck of uterus in reproductive stage - 1170 (86,3%), premenapause - 135 (9,9%), menapause- 17 (1,2%), postmenapause - 33 (2,6%). Page 3.

3. Frequency of incidence of neck of uterus on a age features for 2010 - 2012 years.

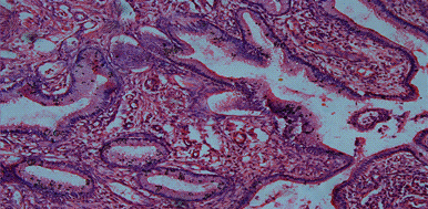
: glandulous cystous hyperplasia is characterized by focal thickness of mucous membrane of cervical canal, glands are covered with prismatic epithelial which produced mucus. Page 4.

4. Glands are covered with prismatic epithelial which produced mucus.

cystic widened glands with dense epithelium and partly swollen dense stroma may be observed.papillary pseudoerosion of uterine neck the formation of papillary outgrowths of cylindrical epithelium with eosinophili are observed. Page 5.

5. Papillary outgrowths.

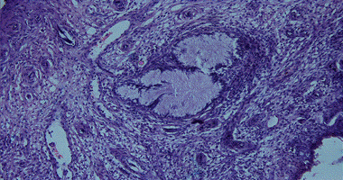
glandulous hyperplasia a plenty of differently - shaped structures covered by flatly or cubed epithelium with eosinophil cytoplasm are seen. Page 6.

6. Differently - shaped structures.


6. Flatly celled metaplasia.

stroma is party swollen with a lot of vessels and infiltration of leucocytes, lymphocytes and plasmacytes. Page 6.

6. The stroma is party swollen with a lot of vessels.

pseudoerosion neck uterus

The pseudoerosion of neck of uterus meets in reproductive ages, between 16-46 age ( 1966 - 1996 years) more often and gland pseudoerosion meets more often. The reasaons of develop the disease: early sexual life, damages at abortion or at the time of delivery, infections transmittable sexual ways - clamidioses, trichomoniasis, mycoplasmosis, a virus of human papilloma, and even to development from hormonal imbalances [3]. Uncomplicated ectopia of uterine neck is a variant of for female teenagers and young women aged 20 - 25. For this age period ectopia of uterine neck correlates to unstable hormonal status and as a rule doesn’t lead to malignization and needn’t any treatment. But ectopia at the later age demands careful examination and compulsory treatment. The risk of cancer is endangered by combination of ectopia of uterine neck with inflammation processes of vagina and uterine neck, leikoplakia of uterine neck, flat condyloma and pre - cancer changes and dysplasia of uterine neck.

 used literature

1. Аксель Е.М. Статистика злокачественных новообразований женских половых органов. В кн.: Клиническая онкогинекология . Руководство для врачей // Под ред. В.П. Козаченко. - М.: Медицина, 2005. - С. 9-17.

. Кондриков Н.И. Патология матки. - Москва: Практическая медицина, 2008. - С. 28-72.

. Хмельницкая Н.М., Нейштадт Э.Л., Халимджанов З.К. Трудности и ошибки диагностики атипической гиперплазии эндометрия // Арх. патол. - 2006. - №6. - С.39-42.

Похожие работы на - Morphological changes of pseudoerosion

 

Не нашли материал для своей работы?
Поможем написать уникальную работу
Без плагиата!
Без нейросетей!