Патологическая анатомия заболеваний предстательной железы

  • Вид работы:
    Реферат
  • Предмет:
    Медицина, физкультура, здравоохранение
  • Язык:
    Русский
    ,
    Формат файла:
    MS Word
    5,22 Мб
  • Опубликовано:
    2013-05-29
Вы можете узнать стоимость помощи в написании студенческой работы.
Помощь в написании работы, которую точно примут!

Патологическая анатомия заболеваний предстательной железы















Патологическая анатомия заболеваний предстательной железы

1. Морфология хронического простатита

Гистопатологический термин простатит подразумевает наличие патологической инфильтрации предстательной железы клетками воспаления, но взаимосвязь этих данных с клиническим синдромом простатита и других заболеваний предстательной железы только начинает выясняться.

Стандартизированная система гистопатологической классификации хронического простатита

Характеристика

Детальное описание

Анатомическая локализация

Гистологическая модель

Железистое

Воспалительные инфильтраты поражают эпителий протоков / железы

Околожелезистое

Воспалительные инфильтраты поражают строму, сосредотачиваются вокруг протоков / желёз и приближаются к ним на расстояние 50 µm

Стромальное

Воспалительные инфильтраты поражают простатическую строму, но не сосредотачиваются вокруг желёз / протоков и располагаются на расстоянии 50 µm от них



Распространенность

Участок ткани, поражённый воспалительными инфильтратами

Фокальное

< 10%

Мультифокальное

10-50%

Стадия

Морфологическое описание (типичная плотность воспалительных клеток, клетки/мм2)

1/лёгкая

Отдельные воспалительные клетки, большинство из которых находятся на большом расстоянии друг от друга (< 100)

2/умеренная

Участки конфлюэнции воспалительных клеток без повреждения ткани или образования лимфоидного узла / фолликула (100-500)

3/тяжелая

Участки конфлюэнции воспалительных клеток с повреждением ткани или образованием лимфоидного узла / фолликула (> 500)


Эту систему классификации можно использовать при определении тяжести воспаления предстательной железы на основе биопсии предстательной железы, на основе исследования трансуретральных резецированных чипов предстательной железы или предстательной железы, удалённой при проведении простатэктомии.

Рис. 1

Околожелезистое хроническое воспаление легкой степени. Разрозненные лимфоциты инфильтрируют околожелезистую строму и имеются участки атрофии железистого эпителия. Отдельные воспалительные клетки располагаются в области железистой ткани.

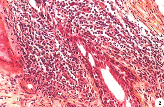
Рис. 2.

Околожелезистое хроническое воспаление. Плотные, сливающиеся лимфатические узлы окружают и инфильтрируют отдельные атрофированные участки железы.

Рис. 3

Нормальная предстательная железа: иммуногистохимическое окрашивание маркером Ki-67.

Рис. 4

Околожелезистое хроническое воспаление: иммунногистохимическое окрашивание Ki-67. Увеличение экспрессии маркера в околожелезистых воспалительных клетках и клетках железистого эпителия.

Рис. 5

Хроническое воспаление стромы средней степени. Разбросанные лимфоциты определяются в фибромускулярной строме с минимальной тканевой реакцией.

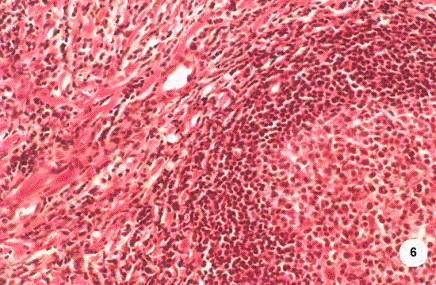
Рис. 6

Хроническое воспаление стромы предстательной железы тяжелой степени. Сливающиеся зоны лимфоцитарной инфильтрации с формированием фолликулов и отеком.

Рис. 7

Смешанное железистое и околожелезистое воспаление простаты. В просвете желез макрофаги и нейтрофилы, в то время как лимфоциты и макрофаги инфильтрируют эпителий и околожелезистую строму. Подобная смешанная форма воспалительной реакции характерна для пациентов с отсутствием симптоматики.

Рис. 8

Смешанное железистое и околожелезистое воспаление простаты, иммунная окраса CD68 - маркером макрофагов. Наиболее интенсивные участки окрашивания в просвете желез и железистом эпителии.

Рис. 9

Амилоидные тельца. Эти слоистые структуры часто расширяют протоки и как правило не являются симптомами воспаления.

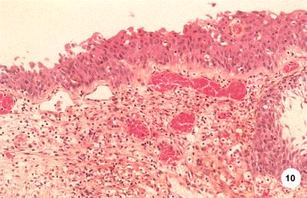
Рис. 10

Воспаление простатического отдела уретры. Легкая степень воспалительной инфильтрации стромального отека с сосудистым застоем в образце простаты, пациента с бессимптомным течение воспалительного процесса.

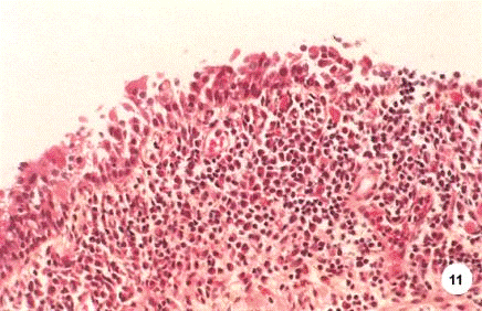
Рис. 11

Воспаление простатического отдела уретры у больного с асимптоматическим течением простатита. Плотный лимфацитарный инфильтрат проникает и деформирует уротелий.

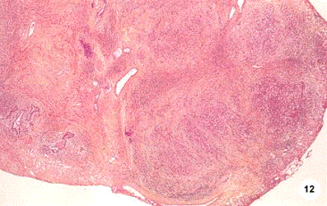
Рис. 12

Неспецифический гранулематозный простатит. Тканевая архитектура предстательной железы исчезает, дольчатые воспалительные инфильтраты.

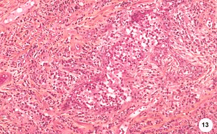
Рис. 13

Неспецифический гранулематозный простатит. Интенсивный смешанный воспалительный инфильтрат включающий гистиоциты, лимфоциты, плазматические клетки и эозинофилы.

Рис. 14

2. Морфология ДГПЖ

Согласно определению Gil-Vernet (1953) - доброкачественная гиперплазия предстательной железы представляет собой неопролиферацию стромальной и железистой ткани с формированием новых железистых структур. Важнейшими морфологическими признаками, описывающими патогенез этого состояния, являются представления о доброкачественной гиперплазии, как о региональной болезни, характеризующейся узлообразованием и разнообразной гистологической картиной.

Все клеточные элементы нормальной простаты могут принимать различное участие в развитии узловой гиперплазии. При этом эпителиальная составляющая представлена совокупностью различных по размеру желез, с преобладанием больших. В некоторых железах эпителий может иметь атрофичный вид, однако, наиболее часто эпителиальная гиперплазия встречается в виде папиллярной железистой складчатости, которая может соединять между собой различные железистые пространства. В случае преобладания эпителиальной гиперплазии железистые узлы имеют губчатый или мультикистозный вид.

Микроскопически фибромускулярные элементы могут присутствовать как в ассоциации с эпителиальной гиперплазией, так и без нее в случае чисто мезенхимальных узлов. Если превалирует фибромускулярный компонент, то предстательная железа может быть диффузно увеличена или состоять из плотных узлов.

По мнению Franks (1954, 1976) эпителий ацинусов и протоков, также как мышечные и фиброзные элементы стромы, могут образовывать узлы различного гистологического состава, которые он разделил на 5 типов:

стромальные (фиброзные или фиброваскулярные);

фибромускулярные;

мускулярные;

фиброаденоматозные;

фибромиоаденоматозные.

Чаще всего встречается фиброаденоматозная гиперплазия, при которой железистая ткань обычно представлена ацинарными структурами, окруженными фиброваскулярной стромой с примесью гладкомышечных клеток. Намного реже наблюдают папиллярную гиперплазию, внутриацинарную криброзную гиперплазию.


Узлы из фиброзных, фиброваскулярных, мышечно-фиброзных или мышечных элементов могут залегать как в самой ткани предстательной железы, так и в зоне аденоматозной гиперплазии. При этом узлы различных гистологических типов часто сосуществуют в одной предстательной железе.

В зависимости от клеточного состава и степени его дифференцировки выделяют несколько различных типов эпителиальной гиперплазии: светлоклеточную, базальноклеточную, мелкожелезистую, атипическую аденоматозную гиперплазию и интраэпителиальную неоплазию I-III.

Международная гистологическая классификация, предложенная экспертами ВОЗ под руководством Mastofi в 1980 г., представляется наиболее целесообразной, в плане практического применения. Все виды гиперплазии отнесены в ней к IV разделу

Опухолеподобные процессы и аномалии эпителия»:

Узловатая гиперплазия;

Другие формы гиперплазии;

Гиперплазия, связанная с атрофией (простатрофическая гиперплазия).

Очаговая внутриацинарная гиперплазия (вторичная гиперплазия).

Гиперплазия базальных клеток.

Обсуждая вопросы доброкачественной гиперплазии предстательной железы необходимо особо остановиться на так называемой атипической гиперплазии. В данном случае термин «атипическая» никоим образом не относится к опухолевой атипии, а отражает своеобразие формообразования гиперпластического процесса, по сути своей доброкачественного. Атипические формы гиперплазии предстательной железы могут формировать отдельные узлы, но могут, что чаще всего и происходит, затрагивать часть типичным образом сформированного пролиферативного центра.

Среди атипических форм гиперплазии прежде всего следует отметить крибриформную атипическую гиперплазию, когда ацинарный эпителий формирует решеткоподобные структуры. Этот процесс нельзя путать с криброзным раком, поскольку эпителиальные клетки не имеют признаков злокачественности. Данный вид атипической гиперплазии встречается наряду с базальноклеточной гиперплазией, формирующейся из базальных клеток. Несколько реже встречается аденоз. При этом патологический процесс характеризуется пролиферацией множества мелких желез, достаточно плотно прилежащих друг к другу (собственно аденоз). В случае, если эти железы разграничены достаточно мощными соединительно-тканными прослойками, речь идет о склерозирующем аденозе. Наиболее редкой формой атипической гиперплазии предстательной железы является филоидная. Несомненно, что именно к атипическим формам необходимо относить и варианты доброкачественной гиперплазии, сопровождающиеся плоскоклеточной или переходноклеточной метаплазией ацинарного эпителия.

Важно иметь в виду, что все виды атипической гиперплазии с полным основанием могут быть причислены к факультативному предраку, поскольку помимо гиперпластических процессов, характерных для доброкачественной гиперплазии, в случаях атипической гиперплазии возникают диспластические изменения, проявляющиеся нарушением структурообразования.

Представленные выше классификации доброкачественной гиперплазии отражают возможные варианты изменений, которые могут наблюдаться в предстательной железе при данном заболевании. Вместе с тем, с учетом вариабельности морфологической картины ДГПЖ существенным является субъективный фактор, связанный с личностью исследователя. От того, какое поле зрения выберет морфолог за точку отсчета, во многом зависит тот вариант гиперплазии предстательной железы, который и будет диагностирован в итоге. Другими словами, до настоящего времени адекватной гистологической классификации ДГПЖ не существует.

С учетом вышеизложенного и основываясь на факте обнаружения у больных всех возрастных групп в ткани предстательной железы морфологических структур, напоминающих по своему строению пролиферативные центры, описанные Сэмбом в молочной железе (1928), нами разработана классификация стадийности тканевых изменений при доброкачественной гиперплазии. Было установлено, что кажущаяся хаотичность расположения железистых структур поддается классификации с позиций оценки состояния пролиферативных центров. Эти образования четко очерчены, имеют достаточно характерный вид и представлены 5 видами:

Начальный пролиферативный центр - образован группой из 3-5 небольших ацинусов, разделенных тонкими прослойками соединительной ткани. Ацинусы выстланы кубическим эпителием со светлой цитоплазмой и центрально расположенными ядрами.

Формирующийся пролиферативный центр - отличается размерами и количеством образующих его компонентов. Его составляют большое количество ацинусов, плотно прилежащих друг к другу и образовывающих структуры округлой формы, которые могут располагаться в различных отделах предстательной железы. На этой стадии пролиферативный центр приобретает радиальность строения. В центре определяется участок стромы, от которого лучами отходят ацинусы. Размер и количество последних варьирует.

Развитый пролиферативный центр - характеризуется появлением в периферических отделах формирующегося пролиферативного центра дочерних участков пролиферации, которые по своему строению могут соответствовать 1 и 2 вариантам развития. Как правило, дочерние комплексы значительно меньше основных, но могут и приближаться к ним по размерам.

Развитый пролиферативный центр с признаками атрофических изменений - характеризуется появлением в структуре одного или нескольких расширенных ацинусов, выстланных уплощенным эпителием. Соединительнотканные перегородки между ацинусами истончены, атрофичны. Иногда в просвете ацинусов определяется наличие оксифильного или базофильного секрета. Как и развитый пролиферативный центр, данный тип содержит дочерние пролиферативные центры 1,2 и 3 вариантов.

Атрофический пролиферативный центр - характерной чертой является расширение практически всех ацинусов. Выстилающий их эпителий и мажацинарные перегородки атрофичны. В некоторых ацинусах встречается очаговая внутриацинарная гиперплазия эпителия, а в просвете определяется наличие оксифильного или базофильного секрета.

Воспалительная пролиферативная атрофия. (окраска гематоксилин - эозином x 200).Имеющиеся данные литературы указывают на наличие угнетения гена-ингибитора цитокина-1 в клетках на участках гиперплазированной ткани простаты обусловливающее развитие неспецифической воспалительной реакции. Учет данного морфологического критерия также способствует правильной постановке диагноза

Анализ состояния железистых образований при доброкачественной гиперплазии позволяет понять динамику развития клинической картины заболевания. Следует отметить, что к лечению пациентов приступают только тогда, когда патологические изменения достигают стадии клинических проявлений. Прогрессирование пролиферативного процесса приводит к резкому увеличению диаметра железистых структур, и как следствие этого - к появлению беспокоящих больного симптомов. На ранних стадиях развития ДГПЖ, когда пролиферативные центры еще не достигли величины, способной существенно повлиять на уродинамику, изучение патологического процесса возможно только на секционном материале.

В настоящее время в специальной литературе продолжается начатая в начале столетия оживленная дискуссия о месте и роли эпителиального и стромального компонентов в возникновении, формировании и развитии доброкачественной гиперплазии предстательной железы.

гистопатологический простатит предстательный иммуногистохимический

Список литературы.

1.     http://www.prostex.ru/morfogenez-dobrokachestvennoi-giperplazii-predstatelnoi-zhelezy

2.      http://medi.ru/doc/093102.htm

3.      http://www.rosoncoweb.ru/library/journals/practical_oncology/arh034/02.pdf

4.      http://www.med-practic.com/rus/890/16015/%D0% 9C % D0% BE % D1% 80% D1% 84% D0% BE % D0% BB % D0% BE % D0% B3% D0% B8% D1% 87% D0% B5% D1% 81% D0% BA % D0% B8% D0% B5% 20% D0% B0% D1% 81% D0% BF % D0% B5% D0% BA % D1% 82% D1% 8B % 20% D0% B4% D0% B8% D0% B0% D0% B3% D0% BD % D0% BE % D1% 81% D1% 82% D0% B8% D0% BA % D0% B8% 20% D1% 80% D0% B0% D0% B7% D0% BD % D1% 8B % D1% 85% 20% D1% 84% D0% BE % D1% 80% D0% BC % 20% D0% B4% D0% BE % D0% B1% D1% 80% D0% BE % D0% BA % D0% B0% D1% 87% D0% B5% D1% 81% D1% 82% D0% B2% D0% B5% D0% BD % D0% BD % D0% BE % D0% B9/article.more.html

5. http://medical-diss.com/medicina/klinicheskaya-i-morfologicheskaya-harakteristika-rakovyh-i-predrakovyh-zabolevaniy-prostaty

Похожие работы на - Патологическая анатомия заболеваний предстательной железы

 

Не нашли материал для своей работы?
Поможем написать уникальную работу
Без плагиата!
Без нейросетей!