Состав, структура, свойства цветных металлов и сплавов, полимерных материалов

  • Вид работы:
    Учебное пособие
  • Предмет:
    Другое
  • Язык:
    Русский
    ,
    Формат файла:
    MS Word
    3,63 Мб
  • Опубликовано:
    2013-11-13
Вы можете узнать стоимость помощи в написании студенческой работы.
Помощь в написании работы, которую точно примут!

Состав, структура, свойства цветных металлов и сплавов, полимерных материалов

Учреждение образования

«Белорусский государственный

технологический университет»

Лабораторный практикум по курсу «Материаловедение и технология конструкционных материалов»

для студентов химических и технологических специальностей

Состав - структура - свойства цветных металлов и сплавов, полимерных материалов








Минск 2010

УДК 669.2/8.017:691.175

ББК 34.23я73

С66

Рассмотрен и рекомендован к изданию редакционно-издательским советом университета

Авторы:

А.К. Вершина, Н.А. Свидунович, Д.В. Куис, О.Ю. Пискунова

Рецензенты:

заведующий кафедрой технологии металлов БГАТУ доктор технических наук, профессор В.М. Капцевич;

заведующий кафедрой металлургии литейных сплавов БНТУ

доктор технических наук, профессор Б.М. Неменёнок

С 66 Состав - структура - свойства цветных металлов и сплавов, полимерных материалов: лабораторный практикум по курсу «Материаловедение и технология конструкционных материалов» для студентов химических и технологических специальностей / А. К. Вершина [и др.]. - Минск: БГТУ, 2010. - 62 с.

В лабораторном практикуме приводится классификация, маркировка, состав, структура, свойства и применение алюминия, меди и их сплавов, устанавливается связь между структурой, свойствами и диаграммами состояния данных материалов. Рассматриваются виды, классификация, структура, физико-механические свойства и применение пластических масс, проводится сравнение свойств металлических и полимерных материалов.

УДК 669.2/8.017:691.175

ББК 34.23я73

© УО «Белорусский государственный технологический университет», 2010

© Вершина А. К., Свидунович Н. А.,

Куис Д. В., Пискунова О. Ю., 2010

Оглавление

Лабораторная работа № 1. Исследование зависимостей «состав - структура - свойства» для сплавов на основе алюминия

Лабораторная работа № 2. Исследование зависимостей «состав - структура - свойства» для сплавов на основе меди

Лабораторная работа № 3. Исследование зависимостей «состав - структура - свойства» для полимерных материалов

Лабораторная работа № 1. Исследование зависимостей «состав - структура - свойства» для сплавов на основе алюминия

Цель работы: изучение микроструктуры и свойств алюминия и его сплавов, установление связи между структурой, свойствами и диаграммой состояния, области применения алюминия и его сплавов.

Приборы и материалы: коллекция протравленных и не травленых микрошлифов алюминия и его сплавов и металлографический микроcкоп МИ-1.

Задания: 1. Ознакомиться с микроструктурой и свойствами алюминия и его сплавов. 2. Изучить основные операции термической обработки алюминиевых сплавов. 3. Изучить влияние естественного старения на свойства и структуру алюминиевых сплавов. 4. Составить отчет о проделанной работе.

1. Свойства алюминия

 

Наиболее характерные свойства чистого алюминия - небольшая плотность ( = 2,7) и низкая температура плавления (660°С). По сравнению с железом, у которого  = 7,8, а Tпл = 1535°С, алюминий имеет почти в три раза более низкую плотность, вследствие чего этот металл, а также его сплавы широко применяются там, где малая плотность и большая удельная прочность (в/) играют важную роль. Благодаря более низкой температуре плавления (по сравнению с железом) технология обработки алюминия и его сплавов резко отличается от технологии обработки стали.

Алюминий обладает высокой пластичностью и малой прочностью. Прокатанный и отожженный алюминий высокой чистоты имеет:

в = 58 МПа; 0,2 = 20 МПа; твердость НВ 25;

сужение  = 85%; удлинение  = 40%.

Алюминий кристаллизуется в гранецентрированной решетке. Параметр решетки при 20°С равен 0,404 нм, атомный радиус - 0,143 нм. Алюминий не имеет аллотропических модификаций, обладает высокой теплопроводностью, электропроводностью и очень высокой скрытой теплотой плавления.

Несмотря на большое сродство к кислороду, алюминий весьма слабо подвергается коррозии на воздухе и в некоторых других средах. Это объясняется образованием в начальный момент очень тонкой (толщиной приблизительно 10 нм), плотной окисной пленки Al2O3, изолирующей металл от окружающей среды и защищающей его от коррозии. Чем чище алюминий и чем он более свободен от различных примесей, тем выше его коррозионная устойчивость.

Применять алюминий как конструкционный материал из-за низкой прочности нецелесообразно, однако некоторые его свойства - высокая пластичность, коррозионная стойкость и электропроводность - позволяют эффективно использовать его для других целей.

Выделяют три направления применения технического алюминия:

) высокая пластичность позволяет производить из него глубокую штамповку, прокатку до малой толщины (например, алюминиевая фольга);

) высокая электропроводность (65% от меди) дает возможность применять алюминий для электротехнических целей (проводниковый металл). Провод из алюминия равной электропроводности легче, чем из меди;

) высокая коррозионная стойкость позволяет широко использовать его в быту, для транспортировки и хранения продуктов питания.

2. Сплавы алюминия

А1 - Сu

Для алюминиевых сплавов медь - основной легирующий элемент, введение других легирующих элементов, кроме или вместо меди, не вносит принципиальных изменений.

Диаграмма состояния Al - Сu приведена на рис. 1.1.

Диаграмма состояния двойного сплава, компоненты которого образуют между собой твердые растворы с ограниченной растворимостью эвтектического типа, эвтектика содержит 33% Сu и состоит из

-твердого раствора Cu в Al и упрочняющей фазы CuAl2.

Как видно из рис. 1.1, при комнатной температуре медь растворяется в алюминии в количестве около 0,2%, а максимальная растворимость при эвтектической температуре 548°С равна 5,7%. Любой сплав, содержащий до 5,7% Сu, можно перевести в однофазное

состояние соответствующим нагревом. Это состояние фиксируется быстрым охлаждением - закалкой.

На изменении растворимости соединения CuAl2 в -твердом алюминиевом растворе основана упрочняющая термическая обработка в А1 - Сu сплавах.

Рис. 1.1 Диаграмма состояния Al - Cu

Термическая обработка алюминиевых сплавов состоит из двух циклов - закалки и старения.

Теоретические вопросы, связанные с закалкой алюминиевых сплавов, относительно просты: в процессе закалки фиксируется пересыщенный твердый раствор. Важно, чтобы охлаждение было достаточно быстрым.

Необходимая скорость охлаждения при закалке определяется скоростью выпадения избыточных фаз из переохлажденного и пересыщенного твердого раствора. Для этой цели строят диаграммы изотермического превращения переохлажденного твердого раствора

(С-образные диаграммы для сплавов Al + 4% Сu; и Al + 4% Zn - рис. 1.2). Согласно диаграмме максимальная скорость превращения наблюдается вблизи температуры 300°С.

Рис. 1.2 Диаграмма изотермического распада переохлажденного твердого раствора в алюминиевых сплавах (указано начало распада):

 

 - А1 + 4% Сu + 1,5% Mg; 2 - Al + 4% Zn + % Mg

Полученный после закалки твердый раствор является пересыщенным при содержании в нем меди более 0,2%. В таком пересыщенном и неустойчивом твердом растворе происходят изменения, в конечном итоге приводящие к выделению фазы CuAl2 и сохранению в растворе лишь соответствующего равновесной системе количества меди (0,2%). Этот процесс называется старением.

Названный процесс может происходить при комнатной температуре - естественное старение, если при повышении температуры - искусственное старение.

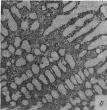
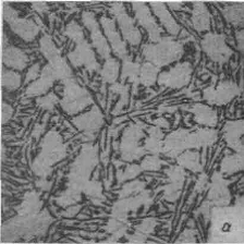
Микроструктура иллюстрирует и объясняет фазовые изменения, вызванные закалкой (рис. 1.3).

  

Рис. 1.3 Структура сплава А1 + 4% Сu:

а, б - структура отожженного сплава Al + 4% Сu - на фоне алюминиевого твердого раствора (почти чистого алюминия) видны включения CuAl2 (а - × 900; б - × 120); в - микроструктура того же сплава после закалки - гомогенный твердый раствор, нагрев до температуры закалки привел к полному растворению включений CuAl2, а быстрое охлаждение при закалке зафиксировало пересыщенный твердый раствор (× 100)

Старение существенно изменяет свойства сплава Al - Сu:

-       в отожженном состоянии сплав Al + 4% Сu имеет предел прочности в = 200 МПа;

-       в свежезакаленном состоянии (т. е. при испытании сразу после закалки) предел прочности несколько повышается в » 250 МПа;

-       после старения предел прочности возрастает значительно и достигает 400 МПа.

При естественном старении (20°С) прочность становится максимальной через 4-5 сут после закалки, причем скорость упрочнения в первые часы значительно меньше, чем в последующие, но затем интенсивность упрочнения убывает. Типичный ход кривой упрочнения при естественном старении показан на рис. 1.4.

Рис. 1.4 Изменение прочности при естественном старении алюминиевого сплава: 1 - закаленное состояние; 2 - отожженное

Начальный период, характеризующийся отсутствием или весьма слабым повышением прочности, называется инкубационным.

Инкубационный период имеет важное технологическое значение, так как в этот момент сплав обладает большой способностью к пластической деформации и закаленные детали можно подвергать разнообразным технологическим операциям, связанным с деформацией (расклепке заклепок, гибке, отбортовке и т. д.). Через 2-3 ч способность пластически деформироваться начинает резко уменьшаться и эти операции становятся неосуществимыми.

При искусственном старении его скорость сильно зависит от температуры (рис. 1.5):

повышение температуры ускоряет процесс,

получаемая максимальная прочность тем ниже, чем выше температура старения,

в результате старения при температуре выше 150°С явно отмечается разупрочнение сплава при выдержке более той, которая вызывает максимальное упрочнение, и тем скорее, чем выше температура.

при температурах, ниже комнатной, старение замедляется и при -50°С можно считать, что закаленное состояние практически устойчиво и старение не происходит.

Рис. 1.5 Кривые старения дюралюминия при различных температурах

 

Естественно состаренное состояние сплава является неустойчивым. Если недолго выдержать подвергнутый естественному старению алюминиевый сплав при 200-250°С, то он разупрочняется. Выделившиеся дисперсные частицы избыточной фазы растворятся и сплав получит свойства, характерные для свежезакаленного состояния, так как он вновь приобретет способность к естественному старению (рис. 1.6). Это явление (т. е. возвращение к свежезакаленному состоянию после кратковременного нагрева) называется возвратом.

При старении сплава А1 - Сu протекают следующие процессы.

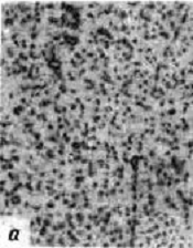
Вторая фаза (т. е. выделения из твердого раствора) отчетливо обнаруживается после искусственного старения при температуре выше 200°С (рис. 1.7), когда сплав не имеет максимальной прочности.

Рис. 1.6. Кривые старения после возврата к свежезакаленному состоянию (кратковременный нагрев при 230°С)

Рис. 1.7. Структура сплава А1 + 4% Сu, закаленного и искусственно состаренного при 250ºС, × 900

Рентгеноструктурный анализ показывает, что, когда сплав при естественном старении достигает максимальной прочности, избыточная фаза в обычном смысле отсутствует и упрочнение не связано с распадом твердого раствора.

Современные представления о механизме старения, подтверждаемые особым методом рентгеноструктурного анализа и просвечивающей электронной микроскопией, таковы:

в процессе естественного старения происходят подготовительные к выделению процессы, само же выделение может совершиться лишь при более высоких температурах, обеспечивающих достаточную скорость атомных перемещений (диффузии).

в начальный период старения (первая стадия старения) в пересыщенном твердом растворе атомы меди, расположенные в свежезакаленном сплаве в случайных местах, собираются в определенных местах кристаллической решетки, в результате внутри кристалла образуются зоны повышенной концентрации растворенного компонента - Cu, их называют зоны Гинье - Престона (зоны Г. - П.);

атомы меди на этой стадии старения из раствора не выделяются, поэтому среднее значение параметра решетки не изменяется;

однако в местах повышенной концентрации второго компонента - Cu параметр иной, чем в обедненны, это создает большие напряжения в кристалле и дробит блоки мозаики, что и приводит к повышению твердости;

содержание меди в зонах Г. - П. повышенное, но еще не отвечает формуле CuAl2;

зоны Г. - П. представляют собой тонкие пластинчатые, дискообразные образования толщиной в несколько атомных слоев и протяженностью в несколько десятков атомных слоев (рис. 1.8, а). Указываются такие размеры: толщина - 0,5-1 нм, диаметр 4-10 нм;

дальнейшее развитие процесса старения заключается в увеличении зон (толщина их достигает 1-4 нм, диаметр 20-30 нм) и повышении содержания в них меди до стехиометрического соотношения фазы CuAl2; принято первые маленькие зоны называть зонами Г. - П.-1, а вторые большие - зонами Г. - П.-2; процесс старения, связанный с образованием зон Г. - П., называют также зонным старением, отмечая тем самым отличие от следующей стадии старения - фазовое старение;

после образования зон Г. - П.-2 повышение температуры или увеличение выдержки при повышенных температурах, например 100°С, приводит к преобразованию зон Г. - П.-2 в фазу, обозначаемую через '. Это уже выделения, т. е. новая фаза, которая имеет отличную от твердого раствора и от стабильной -фазы (CuAl2) решетку, когерентно связанную с матричным твердым раствором (рис. 1.8, б);

при дальнейшем повышении температуры '-фаза превращается в стабильную -фазу (СuАl2) и происходит ее коагуляция (рис. 1.8, в).

  

а б  в

Рис. 1.8. Типы выделений из пересыщенного твердого раствора:

а - зона Г. - П.; 1 - атомы растворителя Al; 2 - растворенные атомы Cu; б - кристаллы метастабильной фазы ' (когерентное выделение); в - кристаллы стабильной фазы  (некогерентное выделение)

3. Влияние состава алюминиевых сплавов на процессы, происходящие при термической обработке

На рис. 1.9 приведены кривые, которые показывают, как изменяется твердость сплавов А1 - Сu в зависимости от содержания меди. Эффект старения, т. е. разница в твердости между свежезакаленным и состаренным состояниями (кривая 4 на диаграмме), постепенно возрастает с увеличением содержания меди; сплав с 2% Сu и менее практически не стареет, так как пересыщение еще недостаточно, чтобы вызвать при старении существенное изменение свойств.

Максимальное упрочнение при старении отмечается при содержании 6% Сu, что соответствует (примерно) пределу растворимости меди в алюминии при высокой температуре (см. рис. 1.1).

Не только в системе А1 - Сu, но и при сплавлении с другими элементами (Mn, Li, Cu, Mg и др.) (рис. 1.10) алюминий образует раствор переменной растворимости, что делает и эти сплавы способными к упрочнению путем закалки и старения.

В двойных сплавах А1 - Сu, Al - Si, Al - Mg, А1 - Zn эффект от термической обработки менее значителен, чем в тройных и более сложных, поэтому преимущественное применение получили не двойные, а более сложнолегированные алюминиевые сплавы.

Рис. 1.9. Влияние содержания меди на твердость алюминиевомедного сплава в трех состояниях: 1 - отожженное; 2 - сразу после закалки; 3 - после старения на максимальную прочность; 4 - разница в твердости между свежезакаленным и состаренным состояниями

Рис. 1.10. Кривые растворимости (в твердом состоянии) некоторых элементов (Mn, Li, Cu, Mg) в алюминии


Среди подобных сплавов на основе тройных и четверных систем наибольшее применение получили сплавы следующих систем:

. Сплавы системы А1 - Mg - Si, так называемые сплавы авиаль. В этих сплавах фазой, которая при нагреве под закалку растворяется, а при старении выделяется и вызывает упрочнение, является соединение Mg2Si.

. Сплавы системы А1 - Сu - Mg, так называемые дюралюмины. В них в зависимости от содержания меди и соотношения концентраций меди и магния могут образовываться или двойные соединения CuAl2, или Al3Mg2 (при малом содержании одного из элементов - магния либо меди), или тройные соединения CuMgAI2 (так называемая фаза S) и CuMg5Al5 (фаза Т). Данные соединения имеют переменную растворимость в алюминии.

Сплавы системы А1 - Сu - Li и А1 - Mg - Li

Щелочноземельный легкий металл литий (Li) лишь недавно стали применять для легирования алюминиевых сплавов. При изучении системы А1 - Li была отмечена большая растворимость соединения LiAl в алюминии и сильная ее зависимость от температуры, что предопределяет возможность использования упрочняющей термической обработки. Двойные сплавы А1 - Li оказались неэффективными (сравнительно небольшой эффект упрочнения при термической обработке, большая склонность к окислению при нагреве), а тройные А1 - Сu - Li и А1 - Mg - Li - очень ценными для практики.

Система А1 - Сu - Li - упрочнение тройных сплавов - может достигаться за счет одной из следующих фаз: Tв(Al15Cu8Li), T1(Al2CuLi) и T2 (AI6CuLi3).

Сплавы системы А1 - Mg - Li являются самыми легкими алюминиевыми сплавами, так как оба легирующих элемента (магний и литий) уменьшают плотность алюминиевого сплава и старение создается за счет выделения тройных фаз, содержащих литий.

Сплавы системы А1 - Zn - Mg

Как и магний, цинк обладает большой растворимостью при высокой температуре (400°С) и незначительной - при низкой (ниже 200°С). То же, но в еще более резкой форме характерно для соединения, именуемого фазой T (Al2Mg3Zn3), которая изоморфна фазе Т системы А1 - Сu - Mg.

Сплавы названной системы позволяют проводить глубокое легирование и получать большие пересыщения при закалке и наилучшие свойства после старения.

В табл. 1.1 указаны системы сплавов, фазы, растворимые при нагреве, т. е. вызывающие старение, и фазы (зоны), образование которых вызывает максимальный упрочняющий эффект старения.

Таблица 1.1

Фазы и зоны в алюминиевых сплавах

Система сплава

Фазы, вызывающие эффект термической обработки

Метастабильные зоны и фазы, возникающие в процессе старения

Al - Cu - Mg

 (CuAl2) S (AI2CuMg)

Г. - П.-1 Г. - П.-2, '

Al - Mg - Si

(Mg2Si)

Г. - П.,

Al - Zn - Mg - Cu

 (MgZn2) T (Al2Mg3Zn3)

Зоны, '

Al - Cu - Li

 (CuAl2) T (Al7,5Cu4Li) T1 (Al2CuLi)

', T1

Al - Li - Mg

S (Al2LiMg) (AlLi)

' (Al2Li)


Al - Si

Диаграмма состояния А1 - Si приведена на рис. 1.11.

Кремний не образует химических соединений с алюминием. Растворимость алюминия в кремнии очень мала, поэтому можно считать, что в системе А1 - Si присутствует чистый кремний.

Рис. 1.11 Диаграмма состояния Al - Si

 

Растворимость кремния в алюминии при эвтектической температуре достигает 1,65% и при комнатной температуре почти равна нулю (0,09% при 300°С). Эвтектика содержит 11,7% Si и состоит из чередующихся включений обеих фаз.

4. Классификация алюминиевых сплавов

Технические алюминиевые сплавы подразделяют на две группы - применяемые в деформированном виде (прессованном, катаном, кованом) и в литом.

Границу между сплавами этих двух групп определяет предел насыщения твердого раствора при эвтектической температуре (рис. 1.12).

Изменение технологических свойств в сопоставлении с диаграммой состояния (рис. 1.13) показывает, что сплавы с содержанием компонента меньше предела растворимости при высокой температуре обладают наибольшей пластичностью и наименьшей прочностью, следовательно, хорошо подвергаются горячей обработке давлением.

Рис. 1.12. Классификация алюминиевых сплавов по диаграмме состояния: а - двойная система; б - тройная система; 1 - сплавы, не упрочняемые термической обработкой; 2 - сплавы, упрочняемые термической обработкой

Рис. 1.13. Технологические свойства сплавов системы двух компонентов с ограниченной растворимостью: 1 - пластичность; 2 - прочность: I - рассеянные поры; II - сконцентрированные поры


Наличие эвтектической структуры резко уменьшает пластичность, способность прессоваться, прокатываться, коваться и при некотором содержании эвтектики (обычно небольшом) такая обработка становится неосуществимой.

Наилучшую жидкотекучесть имеют металлы, кристаллизующиеся при постоянной температуре (чистые металлы, эвтектические сплавы). Во время перехода за предел растворимости при высокой температуре жидкотекучесть резко повышается.

Общий объем литейных пор плавно изменяется, но их размеры и распределение зависят от температурного интервала кристаллизации. При большом интервале литейные поры, как правило, мелки и распределены по всему сечению отливки. Плотность отливки будет мала, но по этой же причине небольшой будет и литейная усадка. Если температурный интервал кристаллизации равен нулю (чистые компоненты, эвтектика), образуется концентрированная усадочная раковина. Соответствующим изготовлением литников ее можно вывести в прибыль и таким образом получить отливку высокой плотности.

Концентрация компонентов в литейных сплавах должна превышать предельную растворимость при высокой температуре по двум причинам:

во-первых, для создания прочности, достаточной для того, чтобы внутренние напряжения (естественные и неизбежные) у литой (неотожженной) детали не вызвали образования трещин;

во-вторых, для повышения жидкотекучести.

Таким образом, на основе диаграммы состояния алюминиевые сплавы можно классифицировать на:

литейные;

деформируемые.

Вместе с тем литейные сплавы не должны содержать много эвтектики (более 15-20% по объему) из-за ухудшения механических и некоторых технологических свойств.

Все литейные сплавы могут упрочняться в результате термической обработки, но степень упрочнения тем меньше, чем больше литейный сплав легирован, т. е. чем больше в структуре эвтектики.

5. Деформируемые алюминиевые сплавы

Деформируемые сплавы подразделяют на упрочняемые и не упрочняемые термической обработкой.

Теоретически границей между этими сплавами должен быть предел насыщения твердого раствора при комнатной температуре, но практически сплавы, содержащие легирующие элементы в количестве немного больше этого предела, не упрочняются при термической обработке из-за малого количества упрочняющей фазы.

Деление реальных сплавов на литейные и деформируемые по диаграмме равновесия все же несколько условно, так как в литом состоянии они не достигают равновесия и их структуры будут отличаться от равновесных.

Несколько худшие свойства данных сплавов, чем у дюралюминия, являются следствием более мелкозернистой структуры дюралюминия в листах, в трубах, профилях и тому подобных полуфабрикатах, чем в поковках. При термической обработке поведение этих сплавов почти как у дюралюминия, о чем отмечалось раньше.

Более грубая структура второй фазы у сплавов АК требует больших выдержек при температурах закалки. Лучшие свойства у них получаются обычно после искусственного старения.

5.1 Деформируемые алюминиевые сплавы, не упрочняемые термической обработкой

Названные сплавы характеризуются сравнительно невысокой прочностью (ненамного превышающей прочность алюминия), высокой пластичностью и коррозионной стойкостью. Их применяют в тех случаях, когда требуется высокая пластичность - для изделий, получаемых глубокой штамповкой.

К рассматриваемой группе сплавов относят сплавы систем А1 - Мn (сплавы АМц) и А1 - Mg (сплавы АМг). Они не упрочняются термической обработкой.

Хотя система А1 - Мn (см. рис. 1.10) показывает переменную растворимость соединения Al6Mn в алюминии, однако в присутствии железа (неизбежное загрязнение) образуется тройное соединение А16(Mn, Fe), а оно нерастворимо в алюминии.

Марганец, в отличие от остальных элементов, не только не ухудшает коррозионной стойкости алюминиевого сплава, но несколько улучшает ее. Поэтому сплавы А1 - Mn превосходят чистый алюминий более высокой прочностью и коррозионной стойкостью.

Марганец вводят в дюралюминий (до 1%), как и в другие алюминиевые сплавы, главным образом, для повышения коррозионной стойкости.

Сплавы А1 - Mg при содержании до 1,4% Mg не упрочняются при термической обработке, что следует из кривой растворимости в системе А1 - Mg (см. рис. 1.10). При большем содержании (Mg > 3%)

упрочнение возможно, но эффект его невелик.

Магний является полезным легирующим элементом. Не считая повышения коррозионного сопротивления (если магния не более 3%), магний уменьшает плотность алюминиевого сплава (так как он легче алюминия), повышает прочность, не снижая его пластичность. Поэтому сплавы А1 - Mg получили распространение как несколько более прочные и легкие, чем чистый алюминий.

Эти сплавы в виде листов, а также прокатанного или прессованного материала поставляются в отожженном (мягком) состоянии (в марочном обозначении тогда добавляется буква М) после небольшой степени наклепа, т. е. полунагартованные (обозначаются буквой П), и после сильного наклепа, т. е. нагартованные (обозначаются буквой Н).

Пределы прочности и относительное удлинение для сплава АМц в различном состоянии:

Состояние..... М П Н

в, МПа........ 130 160 220

, %................ 23 10 5

5.2 Дюралюминий и другие деформируемые сплавы, упрочняемые термической обработкой

Дюралюминий - наиболее распространенный представитель группы алюминиевых сплавов, применяемых в деформированном виде и упрочняемый термической обработкой.

Он содержит 4% Сu и 0,5% Mg, а также марганец и железо.

Дюралюминий - сплав, по крайней мере, шести компонентов: Al, Cu, Mg, Mn, Si и Fe, основными добавками являются медь и магний. Поэтому указанный сплав можно причислить к сплавам системы А1 - Cu -Mg. Кремний и железо являются постоянными примесями, попадающими в сплав вследствие применения недостаточно чистого алюминия.

Перечисленные компоненты образуют ряд растворимых соединений (следовательно, вызывающих старение), таких, как CuAl2, фаза S, Mg2Si, и нерастворимых, таких, как железистые и марганцовистые соединения.

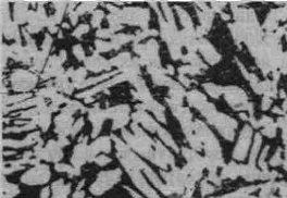
Структура дюралюминия в отожженном состоянии (рис. 1.14, а) состоит из твердого раствора и вторичных включений различных интерметаллических соединений.

После закалки с оптимальных температур (500°С) основное количество соединений CuAl2 и Mg2Si растворяется в алюминии, но соединения железа не растворяются. Поэтому в закаленном состоянии структура состоит из твердого раствора и нерастворимых включений соединений железа (на микроструктуре рис. 1.14, б включения черного цвета).

При нагреве выше 500-520°С происходит оплавление зерен по границам; при охлаждении участки жидкой фазы превращаются в эвтектику (рис. 1.14, в).

Механические свойства после окончательной термической обработки (после закалки и старения) сильно зависят от температуры закалки (рис. 1.15). В результате повышения температуры закалки происходит растворение интерметаллических соединений, после закалки получается пересыщенный твердый раствор, а после старения - более высокая прочность. Нагрев же выше определенной температуры вызывает перегрев (рост зерна, окисление и оплавление границ зерна), что приводит к катастрофическому падению прочности и пластичности. Поэтому ясно, что при термической обработке дюралюминия важно соблюдать температурный режим закалки.

При термической обработке дюралюминия колебания температур закалки не должны превышать ±3-4°С.

Кривые старения дюралюминия приведены на рис. 1.9. Дюралюминий принадлежит к алюминиевым сплавам, естественно стареющим; наиболее высокие механические свойства у нормального дюралюминия получаются после старения при комнатной температуре в течение 5-7 сут.

Термическая обработка названных сплавов заключается в закалке примерно с 500°С в воде с последующим естественным (зонным) старением, т. е. детали из этих сплавов могут быть «готовы» лишь через пять - семь дней после закалки.

Так как коррозионная стойкость дюралюминия незначительна, то изыскивали различные способы для защиты его от этого процесса. Наиболее распространенный - плакирование чистым алюминием. Плакированный дюралюминий обладает такой же коррозионной устойчивостью, как чистый алюминий.

  

Рис. 1.14. Микроструктура дюралюминия:

а - отожженное состояние, × 200; б - закаленное состояние, × 100;

в - перегретое при закалке состояние, × 200

 

Рис. 1.15. Механические свойства дюралюминия в закаленном и состаренном состояниях в зависимости от температуры закалки

По техническим условиям толщина плакированного слоя составляет 4-8% от толщины листа (или диаметра проволоки либо прутка). Естественно, что наличие на дюралюминии менее прочного слоя из чистого алюминия ухудшает прочностные свойства полуфабриката в целом, т. е. плакированный дюралюминий несколько менее прочен, чем неплакированный.

В настоящее время производят дюралюминий нескольких марок. Состав наиболее распространенных приведен в табл. 1.2.

Таблица 1.2

Состав дюралюминия

Марка

Сu

Mn

Mg

Si

Fe

Д1 Д16

3,8-4,8 3,8-4,5

0,4-0,8 0,3-0,9

0,4-0,8 1,2-1,8

< 0,7 < 0,5

< 0,7 < 0,5


Сплавы Д1 - так называемый нормальный дюралюминий. Основной, упрочняющей фазой в этом сплаве является соединение CuAl2.

Сплав Д16, так называемый супердюралюмин, содержит, по сравнению с нормальным дюралюминием, повышенное количество магния. В соответствии с этим основной упрочняющей фазой является фаза S (Al2CuMg), что и обеспечивает более высокую прочность сплава Д16 по сравнению с Д1.

В табл. 1.3 приведены механические свойства указанных сплавов в разных состояниях.

Таблица 1.3

Механические свойства дюралюминия

Марка

Состояние, полуфабрикат

в, МПа

0,2, МПа

%

Д1

Отжиг Закалка + старение: прутки лист

210 490 410

110 320 240

18 14 20

Д16

Отжиг Закалка + старение: прутки лист

220 540 440

110 400 330

18 11 18


Режимы термической обработки сплавов:

закалка с 495-505°С в воде для сплава Д1 и с 490-500°С в воде для сплава Д16;

старение в обоих случаях при 20°С в течение 4 сут;

cмягчающий отжиг проводят при 340-370°С.

Физические свойства этих сплавов в термически упрочненном состоянии практически одинаковы (различие в пределах точности измерения).

Заклепки из сплавов Д1, Д16 ставят не позднее, чем через 2 ч (Д1) или 20 мин (Д16) после закалки, когда сплав не начал еще заметно упрочняться в процессе старения; позднее ставить заклепки нельзя, так как в результате старения и снижения вследствие этого пластичности при расклепывании образуются трещины.

Разумеется, такая жесткая регламентация по времени создает технологические затруднения. Поэтому имеется сплав (Д18), специально предназначенный для заклепок, который можно расклепывать в состаренном состоянии. Этот сплав содержит пониженное количество упрочняющих элементов (меди, магния) и после закалки и старения имеет существенно более низкую прочность, но более высокую пластичность, чем, например, дюралюминий Д1.

Состав и механические свойства сплава Д18 следующие: 2,2-3% Сu; 0,2-0,5% Mg. После закалки с 495-505°С в воде и естественного старения в = 300 МПа,  = 24%,  = 50%: сопротивление срезу ср = 190 МПа.

Более высокую прочность можно получить у алюминиевых сплавов, содержащих в качестве основных присадок, кроме меди и магния, еще и цинк, т. е. у сплавов системы А1 - Mg - Cu - Zn.

В сплаве А1 + 10% Zn + 2% Mg (сплавы В95, B96) можно получить предел прочности до 600 МПа (табл. 1.4). Однако в условиях не очень активной коррозионной среды, даже такой, как дистиллированная вода, прочность резко падает. Недостаток этот устраняется добавкой ~ 2% Сu. Также влияет и малая присадка хрома или циркония.

Таким образом, применение получили сплавы не тройной Al - Zn - Mg, а четверной системы Al - Zn - Mg - Cu. Наиболее типичным представителем этой системы является сплав В95 (5-7% Zn; 1,8-2,8% Mg; 1,4-2% Сu; 0,1-0,25% Сr).

Основное упрочнение создается за счет растворения T-фазы (Al2Mg3Zn3).

Таблица 1.4

Механические свойства (типичные) высокопрочных алюминиевых сплавов системы А1 - Zn - Mg - Сu

Сплав

Полуфабрикат

Режим старения после закалки при 465°С

Meханические свойства




в, МПа

0,2, МПа

, %

В95

Листы Профили

120°С, 2 ч 140°С, 6 ч

500 600

450 550

12 8

B96

Профили

140°С, 6 ч

700

650

7


Высокое легирование снижает температуры начала плавления, поэтому используют более низкую температуру закалки по сравнению с такой для дюралюминия (460-470°С). Меньшая скорость распада пересыщенного твердого раствора сплава В95 (см. рис. 1.2) приводит к следующим изменениям в технологии термической обработки:

) скорость охлаждения при закалке может быть уменьшена, что целесообразно, так как при этом уменьшаются внутренние напряжения, наличие которых увеличивает склонность к коррозионному растрескиванию (снижает прочность при испытании в коррозионно-активных средах). Это является главным недостатком наиболее высокопрочных алюминиевых сплавов. При закалке сплава В95 применяют не холодную, а подогретую до 80-100°С воду.

Весьма хорошие результаты дает закалка названных сплавов в жидком азоте, при которой охлаждение происходит медленнее, чем в холодной воде (в связи с меньшей теплотой парообразования жидкого азота), но более равномерно, чем в горячей;

) естественное старение не дает максимальной прочности, как искусственное, даже при очень большой выдержке. Эта прочность достигается в результате старения при 120-140°С в течение 16-24 ч.

Если стремиться к максимальной прочности, то следует еще больше легировать сплав цинком, магнием и медью, чем сплав В95.

Наиболее прочный алюминиевый сплав - В96. Он содержит 8-9% Zn, 2,3-3% Mg; 2-2,6% Сu; 0,1-0,2% Zr. Прочность этого сплава достигает 700 МПа.

5.3 Алюминиевые сплавы для поковок и штамповок

Ряд деталей из алюминиевых сплавов изготавливают ковкой (например, лопасти винта).

Кроме высоких механических свойств, от сплава требуется и хорошая пластичность в горячем состоянии. В таких случаях применяют или дюралюминий обычного состава, или другие сплавы, по составу близкие к дюралюминию (АК6, АК8).

Состав этих сплавов и типичные для них механические свойства приведены в табл. 1.5, 1.6.

Таблица 1.5

Состав сплавов АК, %

Марка сплава

Сu

Mg

Mn

Si

Fe

АК1

3,8-4,8

0,4-0,8

0,4-0,8

< 0,7

< 0,7

АК6

1,8-2,6

0,4-0,8

0,4-0,8

0,7-1,2

< 0,6

АК8

3,9-4,8

0,4-1,0

0,4-1,0

0,6-1,2

< 1,0

АК4*

1,9-2,5

1,4-1,8

0,15-0,35

0,5-1,2

1,1-1,6

* Содержит 1,0-1,5 Ni.

Таблица 1.6

Механические свойства сплавов АК

Марка сплава

Термическая обработка

σА, МПа

%

АК1

Закалка + естественное старение

380

10

АК6

Закалка + искусственное старение

360

7

АК8

то же

460

10


Несколько худшие свойства этих сплавов, чем у дюралюминия, являются следствием более мелкозернистой структуры дюралюминия в листах, в трубах, профилях и тому подобных полуфабрикатах, чем в поковках. При термической обработке поведение этих сплавов почти как у дюралюминия, о чем отмечалось раньше.

Более грубая структура второй фазы у сплавов АК требует больших выдержек при температурах закалки. Лучшие свойства у них получаются обычно после искусственного старения.

6. Силумины и другие алюминиевые сплавы для фасонного литья

Под группой алюминиевых сплавов, называемых силуминами, подразумевают сплавы с большим содержанием кремния. Силумины - наиболее распространенные литейные алюминиевые сплавы, широко применяемые только в литом виде (например, в авто- и авиастроении). Реже, кроме силуминов, в качестве литейных алюминиевых сплавов используют сплавы алюминия с медью, магнием и цинком.

Для получения плотной отливки применяют сплавы с узким интервалом кристаллизации (см. рис. 1.11) и, естественно, для этого подходят сплавы эвтектической концентрации.

Эвтектика в системе Al - Si имеет сравнительно низкое содержание кремния, (11,7% Si, тогда как эвтектика в системе А1 - Сu -33% Сu), и механические свойства эвтектических сплавов (особенно после модифицирования) оказываются достаточно высокими. Силумин нашел широкое применение ввиду такого сочетания высоких литейных и механических свойств.

Термическая обработка литых деталей из алюминиевых сплавов существенно улучшает механические свойства этих сплавов. Предел прочности и относительное удлинение литейных алюминиевых сплавов после термической обработки (закалка с последующим искусственным старением) увеличиваются в два раза.

Термическая обработка алюминиевых литых сплавов, по сравнению с деформированными, имеет ряд особенностей, что объясняется различием в химическом составе, а также тем, что у литых сплавов структура более грубая и крупнозернистая, чем у деформированных.

Литые сплавы почти не подвержены естественному старению, и максимальную прочность получают после искусственного старения в течение 10-20 ч при 150-180°С или при более высокой температуре, но тогда продолжительность старения меньше.

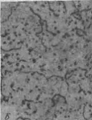
Двойные алюминиевокремнистые (и вообще высококремнистые) сплавы слабо упрочняются в результате закалки и старения, но механические свойства их можно существенно повысить с помощью особой обработки в жидком состоянии. Обычный силумин содержит 12-13% Si и по структуре является заэвтектическим сплавом. Структура его состоит из игольчатой грубой эвтектики А1 + Si и включений первичного кремния (рис. 1.16, а).

Если перед самой отливкой внести в сплав незначительное количество натрия или некоторых других веществ (например, 2/3 NaF + + 1/3 NaCl), то структура резко изменится. Сплав становится доэвтектическим, структура его состоит из светлых первичных выделений алюминия и мелкозернистой эвтектики (см. рис. 1.16, б). Такой процесс называется модифицированием.

Введение модификатора (т. е. указанных выше веществ в количестве до 1% от массы жидкого сплава) затрудняет кристаллизацию кремния. В результате температура выделения кремния и кристаллизации эвтектики понижается (рис. 1.17). Кристаллизация эвтектики происходит при более низких температурах и, следовательно, продукты кристаллизации становятся более мелкозернистыми. Заэвтектический сплав с 12-13% Si, как показано на рис. 1.17, в результате смещения линии начала кристаллизации кремния и кристаллизации эвтектики к более низкой температуре становится доэвтектическим.

Рис. 1.16. Микроструктура литейных сплавов алюминия, × 200: а - немодифицированный силумин; б - модифицированный силумин


Рис. 1.17. Влияние модифицирования на кристаллизацию в системе AI - Si: 1 - без модифицирования; 2 - после модифицирования

Двойные алюминиево-кремниевые сплавы, несмотря на их превосходные технологические (литейные) свойства, не могут удовлетворить требованиям во всех случаях, предъявляемым к литейным сплавам в отношении механических свойств. Алюминиево-кремниевые сплавы с 10-13% Si (сплав АЛ2) применяют для отливок сложной формы (не нужны высокие механические свойства). При более высоких требованиях к прочностным свойствам используют специальные силумины - доэвтектические силумины с 4-10% Si с добавкой меди, магния и марганца: сплавы АЛЗ, АЛ4, АЛ5, АЛ6, АЛ9 (табл. 1.7, 1.8).

Механические свойства специальных силуминов в результате термической обработки следующие: в = 200-250 МПа,  = 1-6% (ниже механических свойств деформированных сплавов). Это является следствием более грубой структуры, не раздробленной пластической деформацией.

Среди литейных сплавов наиболее высокими механическими и антикоррозионными свойствами обладает сплав алюминия с магнием (АЛ8), содержащий 9,5-11,5 Mg. После закалки прочность его достигает 300 МПа при удлинении 12%. Однако он сплав обладает худшими литейными свойствами, чем другие алюминиевые сплавы.

Таблица 1.7

Химический состав (%) литейных алюминиевых сплавов

Марка сплава

Mg

Основные компоненты

Примеси (не более)



Si

Mn

Сu

Fe

 примесей

АЛ2


10-13

-

-

0,8-1,5

2,2-2,8

АЛ4

0,17-0,30

8,0-10,5

0,25-0,50

-

0,6-1,2

1,1-1,7

АЛ9

0,2-0,4

6,0-8,0

-

-

0,3-1,0

1,0-1,9

АЛЗ

0,2-0,8

4,0-6,0

0,20-0,80

1,5-3,5

1,0-1,5

1,3-1,8

АЛ5

0,35-0,60

4,5-5,5

-

1,0-1,5

0,6-1,5

1,0-1,7

АЛ6


4,5-6,0

-

2,0-3,0

1,1-1,4

1,8-2,0

АЛ11

0,1-0,3

6,0-8,0

-


0,8-1,2

1,8-2,0

АЛ7

-

-

-

4-5

< 1,0

< 2,2

АЛ12

-

-

-

9-11

1,0-1,2

2,8-3,0

АЛ8

9,2-11,5

-

-

-

< 0,3

< 1,1

алюминий медь пластический полимерный

Таблица 1.8

Механические свойства алюминиевых литейных сплавов

Марка сплава

Вид литья

Термическая обработка

в, МПа

0,2, МПа

, %

Твердость НВ

Плотность, г/см3

АЛ2

В землю

-

180

80

7

50

2,66


В кокиль

-

220

90

5

55

-

АЛ4

В землю

Закалка + старение

260

200

4

60

2,65

АЛ9

В землю

Закалка + старение

200

110

6

75

2,68

АЛ6

В землю

Закалка + старение

240

240

4

80

2,76

АЛ7

В землю

Закалка + старение

280

210

2

95

2,81

АЛ12

В землю

Закалка + старение

200

120

1

-

2,91

АЛ8

В землю

Закалка

300

170

12

75

2,58


В кокиль

Закалка

330

180

15

80

-


Применение литых сплавов для нагруженных деталей целесообразно лишь в том случае, когда сложная форма литой детали дает преимущество в массе по сравнению с простой по форме кованой деталью или когда ковкой не удается получить заданную форму детали; в других случаях более целесообразно использование кованых, механически более прочных сплавов.

Имеющаяся номенклатура сплавов позволяет выбрать для каждого конкретного назначения оптимальную марку.

. Жаропрочные алюминиевые сплавы

Есть детали, изготавливаемые отливкой или штамповкой из алюминиевых сплавов, которые работают при температурах порядка 200-300°С и даже 350°С (например, поршень, головка цилиндра и т. п.)

Применяемые для этих целей алюминиевые сплавы легируют такими элементами, как медь, магний, никель, железо, титан.

Для получения необходимых свойств эти сплавы подвергают закалке (перевод избыточных фаз в твердый раствор) и затем искусственному старению (стабилизации структурного состояния).

Чем сложнее состав сплава и состав выделяющихся фаз, тем медленнее происходит разупрочнение сплава при высоких температурах. Поэтому жаропрочные сплавы обычно имеют сложный химический состав и содержат специально вводимые присадки железа и никеля, что отличает их от остальных алюминиевых сплавов.

Термическая обработка жаропрочных кованых сплавов (АК2, АК4) заключается в закалке с 510-520°С с последующим искусственным старением в течение 15-20 ч при 100-180°С. Во избежание деформации при работе сплава в условиях повышенных температур, обусловленных дополнительным выделением фаз, следует проводить так называемую стабилизацию, т. е. отпуск при более высокой температуре, чем указано, при этом вследствие перестаривания (коагуляции выделившихся фаз) прочность будет ниже, чем указана в табл. 1.9.

Таблица 1.9

Механические свойства алюминиевых жаропрочных сплавов при повышенных температурах

Марка сплава

в, МПа, при температуре, °С

 при температуре, °С


20

150

260

315

20

150

260

310

АЛ2

280

260

100

60

0

1

10

30

АК2

440

340

80

50

17

10

32

50

АК4

430

360

310

150

18

20

15

20


Для поршневых сплавов важно иметь максимальную теплопроводность, минимальные коэффициент трения и плотность. Сплавы АК2 и АК4 имеют плотность 2,80 г/см3, коэффициент линейного расширения при 20-400°С равен 22. Теплопроводность сплавов АК2 и АК4 - 1,55 и 1,68 Дж/(см-с-°С) соответственно.

Литейным алюминиевым жаропрочным сплавом является сплав АЛ1 следующего состава: 3,75-4,50% Сu; 1,25-1,75% Mg; 1,75-1,25 Ni; < 0,8% Fe; < 0,7% Si; < 0,3% Zn. Жаропрочность его обусловлена образованием при кристаллизации жесткого каркаса из соединений Mg2Si и AlxCuy(Fe, Ni)z.

Задания и методические указания

1. Ознакомиться с микроструктурой и свойствами алюминия и его сплавов.

. Изучить основные операции термической обработки алюминиевых сплавов.

. Изучить влияние естественного старения на свойства и структуру алюминиевых сплавов.

. Исследовать микроструктуру алюминия и его сплавов в металлографическом микроcкопе МИ-1, записать файлы изображения исследованных структур.

. Составить отчет о проделанной работе (при составлении необходимо описать основные операции термической обработки алюминиевых сплавов, механизм естественного старения; начертить часть диаграмм состояния Al - Cu, Al - Si; зарисовать все просмотренные структуры с указанием названия структурных составляющих и марки сплавов).

Контрольные вопросы

1.      Наиболее характерные свойства чистого алюминия.

.  Назовите отличительные механические свойства чистого алюминия. Какова их величина?

.  В какой решетке кристаллизуется алюминий?

.  Какова коррозионная стойкость алюминия, что ее обеспечивает?

.  Области применения чистого алюминия.

.  Назовите основной легирующий элемент, вводимый для

7.      упрочнения алюминиевых сплавов.

8.      Приведите диаграмму состояния Аl - Сu, назовите ее тип и фазовый состав.

9.      Назовите пределы растворимости меди в Аl по диаграмме состояния Аl - Сu.

.        На чем основана упрочняющая термическая обработка в А1 - Сu сплавах?

11.    Перечислите операции термической обработки алюминиевых сплавов. Какая операция особенно важна и почему?

12.    Как определяют необходимую скорость охлаждения при закалке сплава А1 - Сu?

13.    При какой температуре наблюдается максимальная скорость превращения при закалке алюминиевых сплавов?

.  Какой концентрации меди должен быть твердый раствор А1 - Сu сплава, чтобы он был пересыщенным и обеспечивал упрочнение при старении?

15.    Какие виды старения происходят в А1 - Сu сплавах?

.        Опишите структуру А1 - Сu сплава в отожженном состоянии.

.        Опишите структуру А1 - Сu сплава в свежезакаленном состоянии.

.        Опишите структуру А1 - Сu сплава в естественно состаренном состоянии.

.        Как изменяется предел прочности в А1 - Сu сплавах после операций термической обработки?

.        Что такое инкубационный период в А1 - Сu сплавах и как он используется?

.        Как изменяется прочность дюралюминия при искусственном старении в зависимости от температуры?

.        Опишите процесс возврата А1 - Сu сплава к свежезакаленному состоянию.

.        Опишите процессы, которые протекают в А1 - Сu сплавах при старении.

.        Опишите процессы, которые протекают в А1 - Сu сплавах на первой зонной стадии старения.

.        Что такое зоны Гинье - Престона (зоны Г. - П.), как они влияют на прочность сплава?

.        Опишите процессы, которые протекают в А1 - Сu сплавах на фазовой стадии старения.

.        Опишите процессы, которые протекают в А1 - Сu сплавах на третьей стадии старения.

.        Расскажите о процессе старения, включающем стадии:

свежезакаленный сплав ® зоны Г. - П. (Г. - П.-1 - Г. - П.-2) ® ' ® .

29.    Диаграмма состояния А1 - Si.

30.    Растворимость алюминия в кремнии, содержание Si в эвтектике.

31.    Влияние модифицирования на кристаллизацию в системе Al - Si.

32.    Микроструктура литейных сплавов алюминия - силуминов.

.        Классификация технических алюминиевых сплавов.

34.    Чем определяется граница между деформированными и литыми алюминиевыми сплавами?

35.    Как влияет термическая обработка на литейные алюминиевые сплавы?

.        Как изменяются технологические свойства сплавов системы двух компонентов с ограниченной растворимостью?

Лабораторная работа № 2. Исследование зависимостей «состав - структура - свойства» для сплавов на основе меди

Цель работы: изучение микроструктуры и свойств меди и ее сплавов, установление связи между структурой, свойствами и диаграммой состояния, области применения меди и ее сплавов, установление связи между структурой и диаграммой состояния.

Приборы и материалы: коллекция протравленных и не травленых микрошлифов меди и ее сплавов и металлографический микроcкоп МИ-1.

Задания: 1. Ознакомиться с микроструктурой и свойствами меди и ее сплавов. 2. Изучить особенности диаграмм состояния меди и ее сплавов. 3. Изучить операции термической обработки меди и ее сплавов, влияние легировния на свойства и структуру сплавов меди. 4. Составить отчет о проделанной работе.

1. Свойства меди

Медь - металл красновато-розового цвета, имеющий кристаллическую ГЦК решетку с периодом а = 0,3608 нм, без полиморфных превращений. Медь менее тугоплавка, чем железо, но имеет большую плотность.

Медь обладает хорошей технологичностью. Она прокатывается в тонкие листы и ленту, из нее получают тонкую проволоку, медь легко полируется, хорошо паяется и сваривается.

Медь характеризуется высокими теплопроводностью и электрической проводимостью, пластичностью и коррозионной стойкостью в атмосферных условиях, пресной и морской воде, едких щелочах, органических кислотах и других агрессивных средах.

Однако она взаимодействует с аммиаком, азотной, соляной, горячей концентрированной серной кислотами.

Примеси кислорода, водорода, свинца и висмута влияют на все свойства меди.

По ГОСТ в зависимости от содержания примесей различают следующие марки меди: М00 (99,99% Сu); М0 (99,97% Сu); M1 (99,9% Сu); М2 (99,7% Сu); М3 (99,5% Сu).

Наиболее часто встречающиеся в меди элементы подразделяют на три группы.

. Растворимые в меди элементы Al, Fe, Ni, Sn, Zn, Ag повышают ее прочность и твердость (рис. 2.1) и используются для легирования сплавов на медной основе.

Рис. 2.1. Влияние легирующих элементов на твердость меди

. Нерастворимые элементы Рb и Bi ухудшают механические свойства меди и однофазных сплавов на ее основе. Образуя легкоплавкие эвтектики (соответственно при 326 и 270°С), располагающиеся по границам зерен основной фазы, они вызывают красноломкость.

Вредное влияние висмута обнаруживается при его содержании в тысячных долях процента, поскольку его растворимость ограничивается 0,001%. Висмут, будучи хрупким металлом, охрупчивает медь и ее сплавы.

Вредное влияние свинца также проявляется при малых его концентрациях (<0,04%). Свинец, обладая низкой прочностью, снижает прочность медных сплавов, однако вследствие хорошей пластичности не вызывает их охрупчивания. Кроме того, свинец улучшает антифрикционные свойства и обрабатываемость резанием медных сплавов, поэтому его используют для легирования.

. Нерастворимые элементы О, S, Se, Те присутствуют в меди и ее сплавах в виде промежуточных фаз (например, Сu2О, Сu2S), которые образуют с медью эвтектики с высокой температурой плавления и не вызывают красноломкости.

Кислород при отжиге меди в водороде вызывает «водородную болезнь», которая может привести к разрушению металла при обработке давлением или эксплуатации готовых деталей.

Механические свойства меди в большей степени зависят от ее состояния (табл. 2.1) и в меньшей - от содержания примесей.

Холодная пластическая деформация (достигающая 90% и более) увеличивает прочность, твердость, предел упругости меди, но снижает пластичность и электрическую проводимость. При пластической деформации возникает текстура, вызывающая анизотропию механических свойств меди.

Таблица 2.1

Механические свойства технической меди M1

Состояние

в, МПа

0,2, МПа

, %

,%

НВ

KCU, МДж/м2

Литое

160

35

25

-

40

-

Деформированное*

450

400

3

35

125

-

Отожженное

220

75

50

75

55

1,2-1,8

*Свойства проволоки, продеформированной на 90%.

 

Отжиг для снятия наклепа проводят при 550-600°С в восстановительной атмосфере, так как медь легко окисляется при нагреве.

По электрической проводимости и теплопроводности медь занимает второе место после серебра. Она применяется для проводников электрического тока и различных теплообменников, водоохлаждаемых изложниц, поддонов, кристаллизаторов.

Недостатки меди: невысокая прочность, плохая обрабатываемость резанием и низкая жидкотекучесть.

Общая характеристика и классификация медных сплавов

Для легирования медных сплавов в основном используют элементы, растворимые в меди, - Zn, Sn, Al, Be, Si, Mn, Ni.

Повышая прочность медных сплавов, легирующие элементы практически не снижают, а некоторые из них (Zn, Sn, A1) увеличивают пластичность.

Высокая пластичность - отличительная особенность медных сплавов. Относительное удлинение некоторых однофазных сплавов достигает 65%.

По прочности медные сплавы уступают сталям. Временное сопротивление большинства сплавов меди лежит в интервале 300-500 МПа, что соответствует свойствам низкоуглеродистых нелегированных сталей в нормализованном состоянии. И только временное сопротивление наиболее прочных бериллиевых бронз после закалки и старения находится на уровне среднеуглеродистых легированных сталей (в = 1100-1200 МПа).

Медные сплавы подразделяют по:

технологическим свойствам (деформируемые (обрабатываемые давлением) и литейные);

способности упрочняться с помощью термической обработки (упрочняемые и не упрочняемые термической обработкой);

химическому составу (латуни и бронзы).

Медные сплавы маркируют по химическому составу, используя буквы для обозначения элементов и числа - для указания их массовых деталей.

В медных сплавах (так же как и в алюминиевых) буквенные обозначения отличаются от обозначений, принятых для сталей. Алюминий в них обозначают буквой А; бериллий - Б; железо - Ж; кремний - К; медь - М; магний - Мг; мышьяк - Мш; никель - Н; олово - О; свинец - С; серебро - Ср; сурьма - Су; фосфор - Ф; цинк - Ц; цирконий - Цр; хром - X; марганец - Мц.

Латуни (сплавы меди с цинком) маркируют буквой Л. В деформируемых латунях, не содержащих кроме меди и цинка других элементов, за буквой Л ставится число, показывающее среднее содержание меди. В многокомпонентных латунях после Л ставятся буквы - символы элементов, а затем числа, указывающие содержание меди и каждого легирующего элемента. Например, латунь Л68 содержит 68% Сu, латунь ЛАН59-3-2 содержит 59% Сu, 3% А1, 2% Ni (остальное Zn). В марках литейных латуней указывается содержание цинка, а количество каждого легирующего элемента ставится непосредственно за буквой, обозначающей его. Например, латунь ЛЦ40МцЗА содержит 40% Zn, 3% Мn и 1% Аl.

Бронзы (сплавы меди со всеми элементами, кроме цинка) обозначают буквами Бр, за которыми ставятся буквы и числа. В марках деформируемых бронз сначала помещают буквы - символы легирующих элементов, а затем числа, указывающие их содержание. Например, БрАЖ9-4 содержит 9% Аl, 4% Fe, остальное - Сu. В марках литейных бронз после каждой буквы указывается содержание этого легирующего элемента. Например, БрО6Ц6СЗ содержит 6% Sn, 6% Zn, 3% Pb, остальное - Сu.

 

. Латуни

 

Медь с цинком образует -твердый раствор с предельной концентрацией цинка 39% (рис. 2.2, а).

Практическое значение имеют латуни, содержащие до 45% Zn.

Двойные латуни по структуре подразделяют на две группы:

) однофазные со структурой -твердого раствора (рис. 2.3, а);

2) двухфазные со структурой  + -фаз (рис. 2.3, б).


 

а                                             б

Рис. 2.3. Микроструктуры латуней:

а - однофазной; б - двухфазной (темная - -фаза, светлая - -фаза)

В связи с высокой пластичностью однофазные латуни хорошо поддаются холодной пластической деформации, которая значительно повышает их прочность и твердость. Рекристаллизационный отжиг проводят при 600-700°С.

Сплавы с большим содержанием цинка отличаются высокой хрупкостью. Химический состав некоторых промышленных латуней и их механические свойства приведены в табл. 2.2, 2.3.

Таблица 2.2

Химический состав и механические свойства деформируемых латуней после отжига

Марка латуни

Сu

в

0,2


KCU, МДж/м2

НВ


% (мас.)

MПа

%



Л90

88-91


260

120

45

80

1,76

53

Л68

67-70


320

90

55

70

1,68

55

Л63

62-65


330

110

50

66

1,37

56

Л60

59-62


380

160

25

62

0,78

77

ЛА77-2

76-79

1,75-2,5 Аl

400

140

55

58


60

ЛАН59-3-2

57-60

2,5-3,5 Al

380

300

50


0,5

75



2-3 Ni







ЛН65-5

64-67

5-6,5 Ni

400

170

65



60

ЛЖМц59-1-1

57-60

0,1-0,4 A1

450

170

50

58

1,18

88



0,6-1,2 Fe





s




0,5-0,8 Mn









0,3-0,7 Sn







ЛМц58-2

57-60

1-2 Mn

400

160

40

52,5


85

Л070-1

69-71

1-1,5 Sn

350

100

60

70

0,6

60

ЛК80-3

79-81

2,5-4 Si

Si

200

58

55

0,4

100


Таблица 2.3

Механические свойства и область применения литейных латуней (ГОСТ 17711-93)

Марка латуни

в, МПа

, %

НВ

Область применения

ЛЦ40С

215

12-20

70-80

Арматура, втулки, сепараторы для подшипников качения

ЛЦ40МцЗЖ

390-490

10-18

90-100

Несложные детали ответственного назначения, гребные винты и лопасти, судовая арматура, работающая при температуре до 300°С

ЛЦ38Мц2С2

245-340

10-15

80-85

Антифрикционные втулки, вкладыши, ползуны, судовая арматура

ЛЦЗОАЗ

290-390

12-15

80-90

Коррозионно-стойкие детали

ЛЦ23А6ЖЗМц2

700

7

160-165

Детали ответственного назначения, нажимные винты и гайки прокатных станов, венцы червячных колес

ЛЦ16К4

290-340

15

100-110

Сложные по конфигурации детали, работающие при температуре до 250°С

ЛЦ14КЗСЗ

245-290

7-15

90-100

Подшипники, втулки

Примечание. Максимальные механические свойства обеспечивают литье в кокиль, центробежное литье; минимальные - литье в песчаную форму.

 

Повышение содержания цинка удешевляет латуни, улучшает их обрабатываемость резанием, способность прирабатываться и противостоять износу. Вместе с тем уменьшаются теплопроводность и электрическая проводимость, которые составляют 20-50% от характеристик меди.

Примеси повышают твердость и снижают пластичность латуней. Особенно неблагоприятно действуют свинец и висмут, которые в однофазных латунях вызывают красноломкость.

Поэтому однофазные латуни в основном выпускают в виде холоднокатаных полуфабрикатов: полос, лент, проволоки, листов, из которых изготовляют детали методом глубокой вытяжки (радиаторные трубки, снарядные гильзы, сильфоны, трубопроводы), а также детали, требующие по условиям эксплуатации низкую твердость (шайбы, втулки, уплотнительные кольца и др.).

В двухфазных латунях вследствие    превращения легкоплавкие эвтектики находятся не по границам, а внутри зерен твердого раствора и не влияют на их способность к горячей пластической деформации.

Иногда в двухфазные латуни добавляют свинец для улучшения обрабатываемости резанием и повышения антифрикционных свойств. Ввиду невысокой пластичности эти латуни выпускают в виде горячекатаного полуфабриката: листов, прутков, труб, штамповок. Из них изготовляют втулки, гайки, тройники, штуцеры, токопроводящие детали электрооборудования и др.

Легированные латуни применяют как для деформируемых полуфабрикатов, так и в виде фасонных отливок. Литейные латуни, как правило, содержат большее количество легирующих элементов.

Для легирования латуней используют Al, Fe, Ni, Sn, Si. Эти элементы повышают прочность и коррозионную стойкость латуней. Поэтому легированные латуни широко применяют в речном и морском судостроении (конденсаторные и манометрические трубки и другие детали).

Практическое применение находят высокомедистые латуни с добавлением алюминия до 4% (ЛА77-2), которые благодаря однофазной структуре хорошо обрабатываются давлением. Алюминиевые латуни дополнительно легируют никелем, железом, марганцем, кремнием, обладающими переменной растворимостью в -твердом растворе, что позволяет упрочнять эти латуни с помощью закалки и старения. Временное сопротивление после такой обработки достигает 700 МПа. Хорошая пластичность в закаленном состоянии позволяет дополнительно упрочнять сплавы с помощью пластического деформирования (перед старением). Обработка по схеме «закалка + пластическая деформация 4- старение» обеспечивает повышение временного сопротивления до 1000 МПа.

Кремнистые латуни характеризуются высокой прочностью, пластичностью, вязкостью не только при 20-25°С, но и при низких температурах (до - 183°С). При легировании латуней для получения однофазной структуры используют небольшие добавки кремния (ЛК80-3). Такие латуни применяют для изготовления арматуры, деталей приборов, в судо- и машиностроении.

Бронзы. Оловянные бронзы

Из диаграммы состояния Сu - Sn следует, что предельная растворимость олова в меди соответствует 15,8% (рис. 2.4, а).

практическое значение имеют бронзы, содержащие только до 10% Sn.

Двойные оловянные бронзы применяют редко, так как они дороги. Широкий температурный интервал кристаллизации обусловливает у них большую склонность к дендритной ликвации, низкую жидкотекучесть, рассеянную усадочную пористость и поэтому невысокую герметичность отливок.

Оловянные бронзы легируют Zn, Pb, Ni, P.

В бронзы добавляют от 2 до 15% Zn. В таком количестве цинк полностью растворяется в твердом растворе, что способствует повышению механических свойств. Уменьшая интервал кристаллизации оловянных бронз, цинк улучшает их жидкотекучесть, плотность отливок, способность к сварке и пайке.

Свинец повышает антифрикционные свойства и улучшает обрабатываемость резанием оловянных бронз.

              

а  б

Рис. 2.4. Диаграмма состояния системы Сu - Sn (а) и влияние олова на механические свойства бронз (б)

Фосфор, являясь раскислителем оловянных бронз, повышает их жидкотекучесть; износостойкость улучшается благодаря появлению твердых включений фосфида меди Сu3Р. Кроме того, он увеличивает временное сопротивление, предел упругости и выносливость бронз.

Бронзы хорошо обрабатываются резанием, паяются, хуже свариваются.

Среди медных сплавов оловянные бронзы имеют самую низшую линейную усадку (0,8% при литье в песчаную форму и 1,4% при литье в металлическую форму), поэтому их используют для получения сложных фасонных отливок. Двойные и низколегированные литейные бронзы содержат 10% Sn. Для удешевления оловянных бронз содержание олова в некоторых стандартизованных литейных бронзах снижено до 3-6%. Большое количество Zn и РЬ повышает их жидкотекучесть, улучшает плотность отливок, антифрикционные свойства и обрабатываемость резанием.

Структура оловянных бронз (БрОЗЦ12С5, Бр04Ц4С17, Бр010Ц2 и др.) полностью удовлетворяет требованиям, предъявляемым к структуре антифрикционных сплавов. Высокая коррозионная стойкость в атмосферных условиях, пресной и морской воде способствует широкому применению литейных бронз для пароводяной арматуры, работающей под давлением. Рассеянная пористость не мешает этому, поскольку у поверхности отливок имеется зона с мелкозернистой структурой, обладающая высокой плотностью. При усовершенствовании технологии получают отливки, выдерживающие давление до 30 МПа.

Деформируемые бронзы содержат до 6-8% Sn (табл. 2.4). В равновесном состоянии они имеют однофазную структуру (-твердого раствора (см. рис. 2.5, а). В условиях неравновесной кристаллизации наряду с твердым раствором может образоваться небольшое количество -фазы. Для устранения дендритной ликвации и выравнивания химического состава, а также улучшения обрабатываемости давлением применяют диффузионный отжиг, который проводят при 700-750°С. При холодной пластической деформации бронзы подвергают промежуточным отжигам при 550-700°С. Деформируемые бронзы характеризуются хорошей пластичностью и более высокой прочностью, чем литейные.

Деформируемые бронзы обладают высокими упругими свойствами и сопротивлением усталости. Их используют для изготовления круглых и плоских пружин в точной механике, электротехнике, химическом машиностроении и других областях промышленности.

 

а                                                               б

Рис. 2.5. Микроструктуры бронз:

а - деформированной однофазной с 5% Sn после рекристаллизации;

б - литой двухфазной с 10% Sn

Таблица 2.4

Химический состав и механические свойства оловянных бронз

Марка бронзы

Sn

Pb

Zn

Прочих элементов

Е, ГПа

в

0,2


KCU,МДж/м2

НВ


% (мас.)


МПа

%



Деформируемые бронзы (ГОСТ5017-74)

БрОФб, 5-0,15

6-7

-

-

0,1-0,25 Р

110

400

250

65

80

0,49*

70

БрОФ6,5-0,4

6-7

-

-

0,26-0,4 Р

112

400

250

65

80

0,59

80





0,10-0,2 Ni








БрОФ4-0,25

3,5-4

-

-

0,2-0,3 Р

100

340

-

50

85

-

63

БрОЦ4-3

3,5-4

-

2,7-3,3

-

85

350

65

40

-

0,39

60

БрОЦС4-4-2,5

3-5

1,5-3,5

3-5

-

75

350

130

40

34

0,36

60

Литейныебронзы (Г0СТ 613-79)

БрОЗЦ7С5Н1

2,5-4

3-6

6-9,5

0,5-2,0 Ni

90

210

170

5

-

-

60

БрОЗЦ12С5

2-3,5

3,6

8-15

-

-

210

-

5

-

-

60

Бр04Ц4С17

3,5-5,5

14-20

2-6

-

-

150

-

6

-

-

60

Бр05Ц5С5

4-6

4-6

4-6

-

92

180

100

4

-

2,05

60

Бр010Ц2

9-11

-

1-3

-

100

250

180

5

-

1,47

80

БрОЮФ!

9-11

-

-

0,4-1,1P

80

270

195

3-10

10

0,88

90

* В литом состоянии.

Алюминиевые бронзы

Алюминиевые бронзы отличаются высокими механическими, антикоррозионными и антифрикционными свойствами. Их преимущества перед оловянными бронзами - меньшая стоимость, более высокие механические и некоторые технологические свойства. Например, небольшой интервал кристаллизации обеспечивает алюминиевым бронзам высокую жидкотекучесть, концентрированную усадку и хорошую герметичность отливок, малую склонность к дендритной ликвации. Вместе с тем из-за большой усадки иногда трудно получить сложную фасонную отливку.

Медь с алюминием образует -твердый раствор, концентрация которого при понижении температуры с 1035 до 565°С увеличивается от 7,4 до 9,4% Аl. При 565°С -фаза претерпевает эвтектоидное превращение: (a + 2, где 2 - промежуточная фаза переменного состава со сложной кубической решеткой.

При реальных скоростях охлаждения, в отличие от равновесного состояния, эвтектоид появляется в структуре сплавов при содержании 6-8% А1. Наличие эвтектоида приводит к резкому снижению пластичности алюминиевых бронз. С увеличением содержания алюминия до 4-5% наряду с прочностью и твердостью повышается пластичность, которая затем резко падает, а прочность продолжает расти при увеличении содержания алюминия до 10-11%.

Однофазные бронзы (БрА5, БрА7), имеющие хорошую пластичность, относятся к деформируемым. Они обладают наилучшим сочетанием прочности (в = 400-450 МПа) и пластичности ( = 60%). Двухфазные бронзы выпускают в виде деформируемого полуфабриката, а также применяют для изготовления фасонных отливок. При наличии большого количества эвтектоида бронзы подвергают не холодной, а горячей обработке давлением. Двухфазные бронзы отличаются высокой прочностью (в = 600 МПа) и твердостью (> 100 НВ). Их можно подвергать упрочняющей термической обработке. При быстром охлаждении (закалке) -фаза претерпевает не эвтектоидное, а мартенситное превращение.

К недостаткам двойных алюминиевых бронз помимо большой усадки относятся: склонность к газонасыщению и окисляемости во время плавки, образование крупнокристаллической столбчатой структуры, трудность пайки. Эти недостатки уменьшаются при легировании алюминиевых бронз железом, никелем, марганцем.

В -фазе алюминиевой бронзы растворяется до 4% железа, при большем содержании образуются включения Al3Fe. Дополнительное легирование сплавов никелем и марганцем способствует появлению этих включений при меньшем содержании железа. Железо оказывает модифицирующее действие на структуру алюминиевых бронз, повышает их прочность, твердость и антифрикционные свойства, уменьшает склонность к охрупчиванию двухфазных бронз из-за замедления эвтектоидного распада -фазы и измельчения 2-фaзы, образующейся в результате этого распада. Наилучшей пластичностью алюминиево-железные бронзы (например, БрАЖ9-4) обладают после термической обработки, частично или полностью подавляющей эвтектоидное превращение -фазы (нормализация при 600-700°С или закалка от 950°С). Отпуск закаленной бронзы при 250-300°С приводит к распаду -фазы с образованием тонкодисперсного эвтектоида ( + 2) и повышению твердости до 175-180 НВ.

Никель улучшает технологичность и механические свойства алюминиево-железных бронз при обычных и повышенных температурах. Кроме того, он способствует резкому сужению области -твердого раствора при понижении температуры. Это вызывает у бронз, легированных железом и никелем (БрАЖН 10-4-4), способность к дополнительному упрочнению после закалки вследствие старения. Например, в отожженном (мягком) состоянии БрАЖН 10-4-4 имеет следующие механические свойства: в = 650 МПа;  = 35%; 140-160 НВ. После закалки от 980°С и старения при 400°С в течение 2 ч твердость увеличивается до 400 НВ.

Из алюминиево-железоникелевых бронз изготовляют детали, работающие в тяжелых условиях износа при повышенных температурах (400-500°С): седла клапанов, направляющие втулки выпускных клапанов, части насосов и турбин, шестерни и др. Высокими механическими, антикоррозионными и технологическими свойствами обладают алюминиево-железные бронзы, легированные вместо никеля более дешевым марганцем (БрАЖМцЮ-3-1,5).

Кремнистые бронзы. Кремнистые бронзы характеризуются хорошими механическими, упругими и антифрикционными свойствами.

Кремнистые бронзы содержат до 3% Si и имеют однофазную структуру -твердого раствора. При увеличении содержания кремния более 3% в структуре сплавов появляется твердая и хрупкая -фaзa. Однофазная структура твердого раствора обеспечивает кремнистым бронзам высокую пластичность и хорошую обрабатываемость давлением.

Они хорошо свариваются и паяются, удовлетворительно обрабатываются резанием.

Литейные свойства кремнистых бронз ниже, чем оловянных, алюминиевых бронз и латуней.

Легирование цинком способствует улучшению литейных свойств этих бронз. Добавки марганца и никеля повышают прочность, твердость кремнистых бронз. Никель, обладая переменной растворимостью в -фазе, позволяет упрочнять никель-кремнистые бронзы путем закалки и старения. После закалки от 800°С и старения при 500°С эти бронзы имеют в ³ 700 МПа,  » 8%.

Кремнистые бронзы выпускают в виде ленты, полос, прутков, проволоки. Для фасонных отливок они применяются редко. Их используют вместо более дорогих оловянных бронз при изготовлении антифрикционных деталей (БрКН1-3), (БрКМцЗ-1), а также для замены бериллиевых бронз при производстве пружин, мембран и других деталей приборов, работающих в пресной и морской воде.

Бериллиевые бронзы. Бериллиевые бронзы характеризуются чрезвычайно высокими пределами упругости, временным сопротивлением, твердостью и коррозионной стойкостью в сочетании с повышенными сопротивлениями усталости, ползучести и износу. Двойные бериллиевые бронзы содержат в среднем 2,0-2,5% Be (БрБ2, БрБ2,5).

Согласно диаграмме состояния системы Сu-Be, они имеют структуру, состоящую из -твердого раствора бериллия в меди и -фазы - электронного соединения СuВе с ОЦК решеткой. Концентрация -твердого раствора значительно уменьшается с понижением температуры (с 2,75% Be при 870°С до 0,2% при 300°С). Это дает возможность подвергать бериллиевые бронзы упрочняющей термической обработке - закалке и искусственному старению.

Изменение механических свойств сплавов меди с бериллием (рис. 2.5, б) показывает, что их временное сопротивление резко увеличивается в интервале 1,5-2,0% Be. При содержании бериллия более 2,0% временное сопротивление повышается незначительно, а пластичность из-за большого количества твердой и хрупкой -фазы становится очень низкой.

Наибольшей пластичностью ( = 30-40%) бериллиевые бронзы обладают после закалки с 770-780°С. В закаленном состоянии они хорошо деформируются. Пластическая деформация на 40% увеличивает временное сопротивление бронзы БрБ2 почти в два раза (с 450 до 850 МПа). Механические свойства бериллиевых бронз достигают очень высоких значений после закалки и старения. Так, БрБ2 после закалки с 780°С и старения при З00-350°С в течение 2 ч имеет следующие механические свойства: в = 1250 МПа, 0,2 = 1000 МПа,  = 2,5%, твердость 700 НВ, Е = 133 ГПа. Упрочнение происходит благодаря распаду пересыщенного -твердого раствора с образованием метастабильной '-фазы, близкой по составу к -фазе. Пластическая деформация закаленной бронзы и последующее старение позволяют увеличить временное сопротивление до 1400 МПа.

Бериллиевые бронзы являются теплостойкими материалами, устойчиво работающими при температурах до 310-340°С. При 500°С они имеют приблизительно такое же временное сопротивление, как оловянно-фосфористые и алюминиевые бронзы при комнатной температуре. Бериллиевые бронзы обладают высокой теплопроводностью и электрической проводимостью; при ударах не образуют искр. Они хорошо обрабатываются резанием, свариваются точечной и роликовой сваркой, однако широкий температурный интервал кристаллизации затрудняет их дуговую сварку.

Бериллиевые бронзы выпускают преимущественно в виде полос, лент, проволоки и других деформированных полуфабрикатов. Вместе с тем из них можно получить качественные фасонные отливки. Из бериллиевых бронз изготовляют детали ответственного назначения: упругие элементы точных приборов (плоские пружины, пружинные контакты, мембраны); детали, работающие на износ (кулачки, шестерни, червячные передачи); подшипники, работающие при высоких скоростях, больших давлениях и повышенных температурах.

Основным недостатком бериллиевых бронз является их высокая стоимость.


. Ознакомиться с микроструктурой и свойствами меди и ее сплавов.

. Изучить особенности диаграмм состояния меди и ее сплавов.

. Установить связь между структурой, свойствами и диаграммами состояния.

. Изучить операции термической обработки меди и ее сплавов.

. Изучить влияние легирования на свойства и структуру сплавов меди.

. Просмотреть представленные микрошлифы латуней и бронз.

. Определить области применения меди и ее сплавов.

. Составить отчет о проделанной работе.

При составлении отчета необходимо описать микроструктуру и свойства меди и ее сплавов, привести диаграммы состояния латуней и бронз, определить связь между структурой, свойствами и диаграммами состояния, описать влияние легирования на свойства и структуру сплавов меди. Указать на чем основано получение высоких свойств сплавов меди. Когда возможно проведение термической обработки, зарисовать все просмотренные структуры с указанием названия структурных составляющих и марки сплавов.

Контрольные вопросы

1.      Наиболее характерные свойства чистой меди. Механические свойства чистой меди, технической меди M1.

.        В какой решетке кристаллизуется медь.

.        Какова коррозионная стойкость меди?

.        Как различают марки меди в зависимости от содержания примесей?

.        В чем выражается вредное влияние висмута, свинца?

.        Как влияет холодная пластическая деформация на прочностные характеристики меди?

.        Как и почему вызывается «красноломкость» меди?

8.      Чем вызывается «водородная болезнь» в меди и к чему она приводит?

9.      Области применения чистой меди.

10.    Дайте характеристику электрической проводимости и теплопроводности меди.

11.    Назовите основные легирующие элементы медных сплавов.

12.    Приведите график влияния легирующих элементов на твердость меди.

13.    Как подразделяют медные сплавы по технологическим свойствам?

.        Как подразделяют медные сплавы по способности упрочняться с помощью термической обработки?

.        Как подразделяют медные сплавы по химическому составу?

.        Как маркируют медные сплавы, приведите примеры.

.        Приведите диаграмму состояния Сu - Zn (до 50% Zn), равновесный фазовый состав и пределы растворимости Zn в Сu.

18.    Влияние цинка на структуру и механические свойства латуней.

.  На чем основана упрочняющая термическая обработка в Сu - Zn и в Сu - Sn сплавах.

20.    Приведите диаграмму состояния Сu - Sn (до 15% Sn).

.        Назовите тип диаграммы состояния Сu - Sn (до 15% Sn), фазовый состав и пределы растворимости Sn в Сu.

.        Как упрочняются медные сплавы.

.        На какие две группы подразделяют двойные латуни по структуре?

.        Какие виды старения происходят в Сu сплавах?

.        Опишите структуру Сu - Zn сплава в отожженном состоянии

.        Опишите структуру Сu - Sn сплава в отожженном состоянии.

27.    Что такое латунь?

28.    Что такое бронза?

.        Как влияют примеси на твердость и пластичность латуней?

.        Какие примеси вызывают красноломкость в однофазных латунях?

31.    В каком виде выпускают однофазные латуни?

.  Какие примеси вызывают образование легкоплавких эвтектик и как они влияют на прочность медных сплавов?

33.    Как используется хорошая пластичность в закаленном состоянии в алюминиевых латунях?

.        К чему приводит склонность к неравновесной кристаллизации сплавов системы Сu - Sn?

.        Как используют оловянные бронзы, имеющие самую низшую линейную усадку среди медных сплавов?

.        Какими свойствами обладают деформируемые бронзы?

.        Дайте характеристику алюминиевым бронзам.

.        Дайте характеристику кремнистым бронзам.

39.    Дайте характеристику бериллиевым бронзам.

Лабораторная работа № 3. Исследование зависимостей «состав-структура-свойства» для полимерных материалов

Цель работы: пластмассы, виды, классификация, исследование некоторых физико-механических свойств пластмасс, приобретение практических навыков определения их твердости, прочности, ударной вязкости. Сравнение свойств металлов и пластмасс.

Материалы и оборудование: коллекция пластмассовых деталей и образцов; металлографический комплекс, включающий оптический микроскоп МИ-1, цифровую камеру Nikon Colorpix-4300 с фотоадаптером.

Задание. 1. Выполнить лабораторные испытания и определить физико-механические свойства полиэтилена (ПЭВД и ПЭНД) с разной степенью кристалличности, или оргстекла, винипласта, фторопласта, текстолита. 2. Сделать выводы и написать отчет по работе в соответствии с заданиями.

1. Общие сведения

Пластические массы (пластики, пластмассы) - важные конструкционные материалы, широко применяемые в машиностроении, электро- и радиотехнике, строительстве и других отраслях народного хозяйства.

Незначительная трудоемкость изготовления пластмассовых деталей (по сравнению с металлическими), их малая себестоимость, технологичность (легко формуются, склеиваются, свариваются, обрабатываются резанием), специфические физико-механические свойства обусловливают эффективность применения и зачастую незаменимость пластмасс в машиностроении.

Основными достоинствами пластмасс являются: малая плотность и возможность ее изменения, хорошие тепло-, электро- и звукоизоляционные характеристики, высокая химическая стойкость в ряде сред и неподверженность коррозии, высокие оптические свойства (бесцветность и прозрачность органических стекол), хорошие фрикционные и антифрикционные свойства, достаточно высокая прочность (прочность некоторых пластиков сопоставима с прочностью стали), хорошие декоративные свойства, бесшумность в работе (применительно к зубчатым передачам) и некоторые другие. Недостатки пластмасс - невысокая теплостойкость, низкие ударная вязкость и модуль упругости, склонность некоторых пластмасс к старению.

Пластмассы - это материалы на основе природных, а чаще всего искусственных (синтетических) полимеров, которые под действием нагревания и давления способны формоваться в изделия заданной формы и затем устойчиво сохранять ее. Кроме основного компонента - связующего вещества, в состав пластмасс могут входить наполнители, пластификаторы, отвердители, красители, стабилизаторы, порообразователи, ингибиторы и некоторые другие добавки. Соотношение названных компонентов в пластмассах может быть, например, таким (массовая доля): связующее вещество - 30-60%, наполнители - 40-65, пластификаторы - около 1, красители - 1-1,5 смазывающие вещества - 1-2%.

Связующие вещества, от которых в наибольшей степени зависят свойства пластмасс - это природные или синтетические полимеры. Под полимерами понимают высокомолекулярные вещества, молекулы которых (макромолекулы) состоят из многочисленных элементарных звеньев (мономеров). Молекулярная масса их может составлять от 5000 до 1 000 000.

Природные полимеры - белки и нуклеиновые кислоты, из которых построены клетки живых организмов, природные смолы (янтарь, копал, шеллак), натуральный каучук, целлюлоза, слюда, асбест, природный графит и др.

Синтетические полимеры - это полиэтилен, полипропилен, полистирол, поливинилхлорид, полиамиды, поликарбонаты, фторопласты, фенопласты, полиметилметакрилат, фенолоформальдегидные смолы, эпоксидные смолы и др.

В отдельных случаях пластмасса, например полиэтилен, может целиком состоять из связующего вещества - полимера. Полимеры, преимущественно синтетические, получаемые химическим синтезом простых органических веществ (мономеров) в макромолекулы методами полимеризации или поликонденсации, являются основой не только пластмасс, но и резины, химических волокон, лаков, красок, клеев и т. д. Так, полиэтилен синтезируют путем полимеризации газа - этилена, получаемого из природного газа или нефтепродуктов. Макромолекулы полимера представляют собой цепочки из звеньев мономера, атомы в которых связаны прочной химической (ковалентной) связью.

Различие структур макромолекул (линейные, разветвленные, сетчатые - рис. 3.1) обусловливает неодинаковость свойств полимеров. Так, линейные (полиэтилены, полиамиды и др.) и разветвленные (полиизобутилем и др.) полимеры характеризуются способностью образовывать анизотропные волокна и пленки и находиться в высокоэластичном состоянии; редкосетчатые полимеры (резины) обладают упругостью, густосетчатые (смолы) - хрупкие.

По фазовому состоянию полимеры могут быть аморфными или кристаллическими. В большинстве случаев реальные полимеры содержат аморфную и кристаллическую фазы. Содержание в полимере (в процентах) веществ в кристаллическом состоянии называют степенью кристалличности. На рис. 3.2 приведены примеры расположения макромолекул в линейных полимерах.

Кристаллическую структуру имеют полимеры с макромолекулами строго регулярной линейной или редкосетчатой формы. Кристаллические полимеры имеют более высокие теплостойкость и механические свойства.

По полярности различают неполярные (например, полиэтилен, полипропилен, фторопласт-4) и полярные (например, поливинилхлорид) полимеры.

Неполярные полимеры в отличие от полярных обладают более высокими морозостойкостью и диэлектрическими свойствами.

а                                    б                                    в

Рис. 3.1. Форма строения макромолекул полимеров:

а - линейная; б - разветвленная; в - сетчатая (схемы)

а                                    б                                    в

Рис. 3.2. Состояние макромолекул линейных полимеров:

а - аморфное беспорядочное; б - аморфное ориентированное; в - кристаллическое (схемы)

В зависимости от поведения при нагреве различают термопластичные (термопласты) и термореактивные (реактопласты) полимеры. Соответственно называют и пластмассы на основе этих связующих веществ.

Термопластичными называют полимеры или пластмассы, которые с повышением температуры размягчаются, плавятся, при формовании не претерпевают никаких химических изменений, по мере охлаждения затвердевают и сохраняют способность пластически деформироваться при повторном нагреве. Такие полимеры (полиэтилен, полистирол, капрон и др.) имеют линейную или разветвленную структуру макромолекул.

Термореактивные полимеры и пластмассы при нагреве и формовании претерпевают существенные химические изменения, затвердевают и, теряя способность пластически деформироваться, остаются твердыми. Линейная структура таких полимеров при нагреве преобразуется в пространственную.

Физико-механические свойства полимеров зависят как от их структуры, температуры, так и от физического состояния.

Из-за высокой молекулярной массы полимеры не способны образовывать низковязкие жидкости или переходить в газообразное состояние, они могут находиться в одном из трех физических состояний - стеклообразном, высокоэластическом и вязкотекучем.

Полимеры в стеклообразном состоянии характеризуются пространственной структурой макромолекул, отличаются твердостью и аморфностью. Атомы находятся в равновесном положении, и макромолекулы не перемещаются.

Высокоэластическое состояние макромолекул характерно для высокополимеров и выражается в их способности к большим обратимым изменениям формы при небольших нагрузках. Атомы колеблются, а макромолекулы способны изгибаться. Макромолекулы в целом не перемещаются, но их отдельные сегменты подвижны за счет вращения групп атомов вокруг связи:

 в мономерных звеньях цепи.

Полимеры в вязкотекучем состоянии (линейные или разветвленные) отличаются от жидких веществ большей вязкостью. При этом подвижной является вся макромолекула. На рис. 3.3 приведены зависимости степени деформации полимеров с различной структурой от температуры их нагрева (термомеханические кривые).

Рис. 3.3. Термомеханические кривые для полимеров:

а - аморфного; б - кристаллического;

в - редкосетчатого для различных состояний:- стеклообразного; II - высокоэластичного; III - вязкотекучего;- химического разложения

По этим кривым можно судить о характере изменения механических и технологических свойств полимеров при различных температурах. Так, полимеры или пластмассы на их основе эксплуатируются при температурах ниже температуры стеклования tc, когда они находятся в твердом состоянии. Формование изделий из полимеров или пластмасс ведут в области их вязкотекучего состояния. Температура tхр (ниже tc) соответствует переходу полимеров в хрупкое состояние (для полистирола tс=100°С и tхр = 90°С, для полиметил-метакрилата tс = 100оС и tхр = 10°С). В кристаллизующихся полимерах при температуре tк их кристаллическая часть плавится и далее, от tк до tт, полимер находится в высокоэластичном состоянии. Свыше температур tт аморфные кристаллизующиеся полимеры переходят в вязкотекучее состояние.

Для редкосетчатых полимеров температура tx - начало химического разложения полимера.

Зависимость степени деформации кристаллических полимеров (полиэтилен, полиамиды, полиэтилентерефталат и др.) от напряжения выражается линией, состоящей из трех участков (рис. 3.4). Первоначально (участок /) удлинение прямо пропорционально усилию. По достижении некоторого усилия (точка А) удлинение полимера увеличивается при неизменном усилии (участок //). Это вызвано резким местным сужением образца, образованием «шейки», распространяющейся на всю его длину. Затем наблюдается растяжение тонкого, но ориентированного образца вплоть до разрыва (участок ///). Деформация полимера зависит также от скорости и температуры нагружения.

На рис. 3.5 приведены диаграммы растяжения термопластов - вязких аморфных и кристаллических, хрупких с ориентированными молекулами.

Недостаток полимеров, а, следовательно, и пластмасс, - склонность к старению, т. е. самопроизвольному необратимому изменению важнейших характеристик при эксплуатации и хранении.

Рис. 3.4. Зависимость удлинения от усилия при деформации кристаллического полимера

Важным компонентом пластмасс являются наполнители. Они повышают механическую прочность пластмасс, уменьшают их усадку при формовании изделий, влияют на вязкость, водостойкость пластмасс, придают им специальные свойства, (фрикционные, антифрикционные и др.).

Наполнители могут быть органическими или минеральными в виде порошков, волокон, листов (сажа, древесная мука, сульфидная целлюлоза, асбест, тальк, очесы хлопка или льна, стекловолокно, бумага, ткани, древесный шпон и др.).

Органические наполнители повышают прочность, снижают хрупкость, но ухудшают термо- и водостойкость пластмасс.

Минеральные наполнители повышают прочность, водостойкость, химическую стойкость, тепло- и электроизоляционные свойства пластмасс, но часто повышают и их хрупкость и плотность.

В зависимости от вида наполнителя различают:

порошковые (карболиты),

волокнистые (волокниты),

слоистые (содержащие листовые наполнители) и некоторые другие пластмассы.

Пластификаторы способствуют повышению пластичности пластмасс или расширению температурного интервала их вязкотекучего состояния. В качестве пластификаторов широко используют органические вещества с высокой температурой кипения и низкой температурой замерзания (стеарин, дибутилфталат, олеиновую кислоту и др.).

Отвердители (различные амины), или катализаторы (перекисные соединения) вводят в термореактивные пластмассы для ускорения процессов отверждения пластмасс.

Красители органического или минерального происхождения придают пластмассам желаемый цвет.

Стабилизаторы, например сажа, препятствуют старению полимерных материалов.

Порообразователи, переходя при формовании в газообразное состояние, способствуют образованию пор в таких пластмассах, как пенополистирол, пенополивинил-хлорид, поролон, пенополиуретан и др.

Смазывающие вещества вводят для уменыпепия при-липаемости пластмассовых изделий к металлическим частям пресс-формы.

Кроме названных, в пластмассы вводятся с различными целями и другие добавки.

Краткая характеристика свойств и областей применения некоторых пластмасс

К термопластичным пластмассам, основой или связующим веществом в которых являются полимеры с макромолекулами линейной или разветвленной структуры, относятся:

неполярные: полиолефины (полиэтилен, полипропилен и полиизобутилен), полистирол, фторопласт-4;

полярные: полиметил-метакрилат, поливинилхлорид, полиамиды и др.

Полиэтилен - кристаллизующийся полимер, который производят полимеризацией этилена (СН2 = СН2). Различают полиэтилен низкой плотности, получаемый при высоком давлении (ПЭВД) и содержащий 35-65% кристаллической фазы, а также полиэтилен высокой плотности, получаемый при низком давлении (ПЭНД) и содержащий 60-95% кристаллической фазы. Полиэтилен химически стоек, нерастворим в воде, ацетоне, спирте, морозостоек до - 70°С (чем выше плотность, тем выше теплостойкость и механическая прочность), но склонен к старению. Из него изготавливают несиловые детали (контейнеры, емкости, вентили, детали химических насосов, трубы для транспортирования агрессивных жидкостей), защитные покрытия на металлах, пленку для различных целей (электроизоляционная, парниковая).

Полипропилен (-СН2-СНСН3-) получают полимеризацией из пропилена в присутствии металлоорганических катализаторов. Он более теплостоек (до 150°С), чем полиэтилен, но менее морозостоек (до -10- -20°С). Из полипропилена изготавливают некоторые конструкционные детали автомобилей, мотоциклов, корпуса насосов, трубы для транспортирования агрессивных сред, пленки, емкости.

Полистирол (-СН2 - СНС6Н5-) - прозрачный, аморфный полимер, диэлектрик, химически стоек, нерастворим в растворителях, но склонен к старению и имеет низкую (до 80°С) теплостойкость. Применяется он для изготовления деталей машин и приборов (ручки, корпуса и т. д.), емкостей и сосудов для химикатов, пленки и т. д.

Фторопласт-4, или политетрафторэтилен (-CF2- -CF2)n, - полимер, имеющий макромолекулы в виде спиралей, диэлектрик, химически стоек. Из него изготавливают уплотнительные прокладки, трубы для транспортирования агрессивных сред, сильфоны, антикоррозионные покрытия на металлах. По химической стойкости он превосходит все известные пластмассы.

Полиметилметакрилат (органическое стекло, или плексиглас) - полярный, прозрачный, аморфный полимер на основе сложных эфиров акриловой и метакриловой кислот. В отличие от минерального стекла органическое значительно легче (более чем в два раза), пропускает ультрафиолетовые лучи, технологично (хорошо обрабатывается резанием, склеивается, сваривается, полируется), но обладает меньшими твердостью, прочностью и теплостойкостью. Идет на остекление и изготовление оптики, светотехнических деталей, емкостей. На основе полиметилметакрилата изготавливают самоотверждающиеся пластмассы типа стиракрила, которые применяют в производстве штампов, литейных моделей, абразивного инструмента.

Полиамиды (капрон, нейлон и др.) - полярные пластмассы на основе кристаллизующегося полимера, содержащего группы СО, NH и СН2. Они характеризуются высокими прочностью, теплостойкостью, износостойкостью и низким коэффициентом трения (f < 0,05), способностью погашать вибрации. Недостатки полиамидов - склонность к старению и некоторая гигроскопичность. Введение наполнителей (графит, тальк, дисульфид молибдена) обеспечивает повышение антифрикционных и некоторых других их свойств. Полиамиды применяют в машиностроении, электротехнике, медицине.

Поливинилхлорид - полярный, аморфный полимер состава (-СН2 - СНС1-). Непластифицированный поливинилхлорид называют винипластом и применяют для изготовления различных деталей химического оборудования, труб, деталей вентиляционных и теплообменных установок, муфт, элементов насосов, вентиляторов, защитных покрытий на металлах, облицовочной плитки. Пластикат (полихлорвинилхлорид с пластификатором) используют для изготовления труб, конвейерных лент, печатных валиков, линолеума и т. д.

Наиболее крупнотоннажный по производству вид реактопластов - фенопласты, т. е. пластмассы, получаемые на основе фенолоформальдегидных смол.

Различают следующие виды фенопластов:

ненаполненные, порошковые (наполнители - древесная мука, тальк, графит и др.),

волокнистые (волокниты, асбо- и стекловолокниты),

слоистые (гетинакс, текстолит и др.).

Волокниты получают пропиткой очесов льна или хлопка фенолоформальдегидным связующим и применяют для изготовления деталей, работающих на изгиб и кручение и устойчивых к ударным нагрузкам (шкивы, фланцы, стойки, направляющие втулки, маховики и т. д.).

Асбоволокниты получают пропиткой асбеста феноло-формальдегидной смолой. Они обладают высокими ударопрочностью, химической стойкостью, фрикционными свойствами и применяются для изготовления элементов тормозов (накладки, колодки, диски подъемно-транспортных устройств, автомобилей и т. д.), кислотоупорных конструкций.

Из слоистых пластмасс значительный интерес представляет текстолит, получаемый из связующего (фенолоформальдегидная смола) и наполнителя (хлопчатобумажные ткани - шифон, миткаль, бязь и др.). Текстолит отличается прочностью, способностью поглощать шумы и гасить вибрации, однако он может работать только при невысоких температурах (до 90°С). Из текстолита изготовляют зубчатые колеса, вкладыши подшипников, шкивы, втулки, прокладки в машиностроении, распределительные щиты и монтажные панели в электротехнике и т. д.

В табл. 3.1 приведены основные физико-механические свойства некоторых названных пластмасс.

Механические свойства пластмасс определяют при проведении:

лабораторных статических испытаний на растяжение (ГОСТ 11262-80) или сжатие, изгиб,

динамических испытаний по определению ударной вязкости (ГОСТ 4647-80),

путем измерения твердости (по Бринеллю ГОСТ 4670-77 с помощью твердомера ТММ-2 или по Роквеллу, Виккерсу, Шору).

Таблица 3.1

Некоторые физико-механические свойства пластмасс

Характеристика

Полиэтилен

Полипропилен

Полистирол

Фторопласт

Полиметил метакрилат

Полиамиды

Поливинилхлорид

Текстолит


ПЭВД

ПЭНД








Плотность, кг/м3

918-930

949-955

500-910

1050-1080

2150-2350

1200

1100-1160

1400

1300-1400

Разрушающее напряжение при растяжении, МПа

10-17

22-30

25-40

37-45

14-35

65-70

50-100

40-60

65-100

Относительное удлинение при разрыве, %

500-600

300-800

200-800

1,5-3

250-350

2,5-4

50-150

10-50

1

Твердость по Бринеллю, НВ

1,4-2,5

4,5-5,8

6,0-6,5

14-15

3-4

20

-

10-16

-

Ударная вязкость, МДж/м2

не ломается

не ломается

3,3-8

1-2,2

10

1,2-1,3

8-13

до 15

3,5

Рабочая температура, °С










- максимальная

105-108

120-125

150

80

250

60

60-110

65-80

125

- минимальная

-40- -70 и ниже

-70 и ниже

-15

-20

-269

-60

-20- -60

-40

-50

Диэлектрическая проницаемость при частоте тока 106 Гц

2,2-2,3

2,1-2,4

2,2

2,5-2,7

1,9-2,2

3*

3-4

3-5-4*

7*

* При частоте тока 50 Гц.

 

Задание


1. Выполнить лабораторные испытания и определить следующие характеристики полиэтилена (ПЭВД и ПЭНД) с разной степенью кристалличности, или оргстекла, винипласта, фторопласта, текстолита:

а) провести испытание на растяжение и определить пц, т, в;

б) определить твердость по Бринеллю;

в) определить ударную вязкость;

г) оценить на примере полиэтилена влияние степени кристалличности на свойства термопластов;

д) сравнить изученные физико-механические свойства пластмасс со свойствами металлов, приведенными в справочнике.

2. Сделать выводы и написать отчет по работе в соответствии с заданиями.

Для определения названных свойств пластмасс необходимы специальные твердомеры с нагрузкой 250, 750 и 2550 Н, разрывная машина с усилием не более 50 кН, маятниковый копер.

 

Контрольные вопросы


1.      Положительные качества и области применения пластических масс.

2.      Основные достоинства и недостатки пластмасс.

.        Основные компоненты пластмасс, их соотношение.

.        Связующие вещества - природные и синтетические полимеры.

.        Форма строения структур макромолекул полимеров.

.        Аморфные и кристаллические полимеры, аморфность и кристалличность реальных полимеров.

.        Фазовое состояние полимеров. Что такое степень кристалличности полимеров?

.        Какие полимеры имеют более высокие теплостойкость и механические свойства?

.        Термопластичные полимеры или пластмассы.

10.    Термореактивные полимеры и пластмассы.

11.    От каких факторов зависят физико-механические свойства полимеров.

.        Стеклообразное состояние полимеров и свойства.

.        Высокоэластическое состояние полимеров и свойства.

.        Полимеры в вязкотекучем состоянии и свойства.

.        Термомеханические кривые для полимеров.

.        Зависимость степени деформации кристаллических полимеров от напряжения.

.        Главный недостаток полимеров - склонность к старению.

.        Важный компонент пластмасс - наполнители, виды наполнителей.

.        Диаграммы растяжения пластмасс.

.        Краткая характеристика свойств и областей применения некоторых пластмасс.

.        Виды испытаний физико-механических свойств пластмасс.

Учебное издание

Вершина Алексей Константинович,

Свидунович Николай Александрович,

Куис Дмитрий Валерьевич,

Пискунова Ольга Юрьевна

Состав-структура-свойства цветных металлов и сплавов, полимерных материалов

Лабораторный практикум

Подписано в печать 2010. Формат 60×84 1/16.

Бумага офсетная. Гарнитура Таймс. Печать офсетная.

Усл. печ. л. Уч.-изд. л..

Тираж экз. Заказ.

Учреждение образования

«Белорусский государственный технологический университет».

. Минск, Свердлова, 13а.

ЛИ № 02330/0549423 от 08.04.2009.

Отпечатано в лаборатории полиграфии учреждения образования

«Белорусский государственный технологический университет».

. Минск, Свердлова, 13.

ЛП № 02330/0150477 от 16.01.2009.

Похожие работы на - Состав, структура, свойства цветных металлов и сплавов, полимерных материалов

 

Не нашли материал для своей работы?
Поможем написать уникальную работу
Без плагиата!
Без нейросетей!