Клітина. Реакція клітини на зовнішні подразнення
Дніпропетровський
національній університет ім.О.Гончара
Факультет
біології, екології та медицини
Кафедра
біології та гідробіології
Курсова
робота на тему
«Клітина.
Реакція клітини на зовнішні подразнення»
Керівник
курсової роботи
Доктор
біологічних наук
Федоненко
Олена Вікторівна
Виконав
студент гр.ББ-10-1(а)
Безхутра
Д.В
Дніпропетровськ
2012р.
ВСТУП
Величезною проблемою 21 століття став вплив
антропогенних чинників на довкілля.
АНТРОПОГЕННІ ЧИННИКИ, результат дії людини на
довкілля в процесі господарської і іншій діяльності. Антропогенні чинники можна
розділити на 3 групи: що чинять пряму дію на довкілля в результаті діяльності,
що несподівано починається, інтенсивній і нетривалій, напр. прокладення
автомобільної або залізниці через тайгу, сезонне промислове полювання в певному
районі і т. д. ; непряма дія - через господарську діяльність довготривалого
характеру і малої інтенсивності, напр.забруднення довкілля газоподібними і
рідкими викидами заводу, побудованого у прокладеної залізниці без необхідних
очисних споруд, що призводить до поступового усихання дерев і повільного
отруєння важкими металами тварин, що населяють навколишню тайгу; комплексна дія
вищеперелічених чинників, що призводить до повільної, але істотної зміни
довкілля (зростання населення, збільшення чисельності домашніх тварин і тварин,
супроводжуючих людські поселення - ворон, щурів, мишей і т. д.
Перетворення земельних угідь, поява домішок у
воді і т. п.). В результаті в зміненому ландшафті залишаються лише рослини і
тварини, що зуміли пристосуватися до нового стану життя. Напр., хвойні дерева
замінюються в тайзі дрібнолистими породами; місце великих копитних і хижаків
займають тайгові гризуни і що полюють на них дрібні куньи і т. п.
У 21 ст. антропогенні чинники стали грати значну
роль в змінах клімату, складу атмосфери і грунту, прісних і морських водойм, в
скороченні площі лісів, зникненні багатьох видів рослин і тварин.[1]
Моя тема охоплює не такі глобальні проблеми
нашого часу, але не менш важливі. Адже все розпочинається з малого: з не
переробленого сміття, з пролитого пального на воду, з першого автомобіля, з
першого маленького заводу. Так і наше з вами життя розпочинається з єдиної
клітинки, яка потім, в слідстві, множинних ділень, стане організмом чи то
людським, чи то твариною, чи то рослинним.
Актуальність моєї теми полягає в тому, що
завдаючи шкоди одній клітинці, ми починаємо ланцюг не повернених порушень
усього організму.
Клітина є відособленою, найменшою по розмірах
структурою, якій властива уся сукупність властивостей життя і яка може у
відповідних умовах довкілля підтримувати ці властивості в самій собі, а також
передавати їх у ряді поколінь. Клітина, таким чином, несе повну характеристику
життя. Поза клітиною не існує справжньої життєдіяльності. Тому в природі
планети їй належить роль елементарної структурної, функціональної і генетичної
одиниці.
Це означає, що клітина складає основу будови,
життєдіяльності і розвитку усіх живих форм - одноклітинних, багатоклітинних і
навіть неклітинних. Завдяки закладеним в ній механізмам клітина забезпечує
обмін речовин, використання біологічної інформації, розмноження, властивості
спадковості і мінливості, обумовлюючи тим самим властиві органічному світу
якості єдності і різноманітності.
Займаючи у світі живих істот положення
елементарної одиниці, клітина відрізняється складною будовою. При цьому певні
риси виявляються в усіх без виключення клітинах, характеризуючи найбільш
важливі сторони клітинної організації як такої.[2]
Першою людиною, що побачила клітини, був
англійський вчений Роберт Гук(відомий нам завдяки закону Гуку). У 1665 році,
намагаючись зрозуміти, чому пробкове дерево так добре плаває, Гук став
розглядати тонкі зрізи пробки за допомогою вдосконаленого їм мікроскопа. Він
виявив, що пробка розділена на безліч крихітних осередків, що нагадали йому
монастирські келії, і він назвав ці осередки клітинами(по-англійськи cell
означає "келія, осередок, клітина"). У 1675 році італійський лікар М.
Мальпиги, а в 1682 році - англійський ботанік Н.Грю підтвердили клітинну будову
рослин. Про клітину стали говорити як про "бульбашку, наповнену поживним
соком". У 1674 році голландський майстер Антоній ван Левенгук(Anton van
Leeuwenhoek, 1632-1723) за допомогою мікроскопа уперше побачив в краплі води
" звіряток" - живі організми(інфузорії, амеби, бактерії), що
рухаються. Також Левенгук уперше спостерігав тваринні клітини - еритроцити і
сперматозоїдів.Таким чином, вже до початку XVIII століття учені знали, що під
великим збільшенням рослини мають комірчасту будову, і бачили деякі організми,
які пізніше дістали назву одноклітинних. У 1802-1808 роках французький
дослідник Шарль-Франсуа Мирбель встановив, що усі рослини складаються з тканин,
утворених клітинами. Ж. Б. Ламарк в 1809 році розповсюдив ідею Мирбеля про
клітинну будову і на тваринні організми. У 1825 році чеський учений Я. Пуркине
відкрив ядро яйцеклітини птахів, а в 1839 ввів термін "
протоплазма".У 1831 році англійський ботанік Р. Броун уперше описав ядро
рослинної клітини, а в 1833 році встановив, що ядро є обов'язковим органоїдом
клітини рослини. Відтоді головною в організації клітин вважається не мембрана,
а вміст.
Клітинна теорія будови організмів була
сформована в 1839 році німецьким зоологом Т. Шванном і М. Шлейденом і включала
три положення. У 1858 році Рудольф Вирхов доповнив її ще одним положенням,
проте в його ідеях були присутніми ряд помилок : так, він припускав, що клітини
слабо пов'язані один з одним і існують кожна "сама по собі". Лише
пізніше вдалося довести цілісність клітинної системи. Клітинна теорія в сучасному
вигляді включає три головні положення. [3]
Перше положення співвідносить клітину з живою
природою планети в цілому. Воно стверджує, що життя, які б складні або
прості(наприклад, віруси) форми вона не приймала, в її структурному,
функціональному і генетичному відношенні забезпечується зрештою тільки
клітиною. Видатна роль клітини як першоджерела життя обумовлюється тим, що саме
вона є біологічною одиницею, за допомогою якої відбувається витягання із
зовнішнього середовища, перетворення і використання організмами енергії і
речовин. Безпосередньо у клітині зберігається і використовується біологічна
інформація.
Друге положення вказує, що в справжніх умовах
єдиним способом виникнення нових клітин є ділення передіснуючих клітин. У
обгрунтуванні клітинної природи життя на Землі тезі про одноманітність шляхів
виникнення клітин належить особлива роль. Саме ця теза була використана М.
Шлейденом і Т. Шванном для обгрунтування уявлення про гомологію різних типів
клеток1. Сучасна біологія розширила круг доказів цьому. Незалежно від
індивідуальних структурно-функціональних особливостей усі клітини однаковим
чином: а) зберігають біологічну інформацію, б) редуплицируют генетичний
матеріал з метою його передачі у ряді поколінь, в) використовують інформацію
для здійснення своїх функцій на основі синтезу білку, г) зберігають і
переносять енергію, д) перетворюють енергію на роботу, е) регулюють обмін
речовин.
Третє положення клітинної теорії співвідносить
клітину з багатоклітинними організмами, для яких характерний принцип цілісності
і системної організації. Для системи властива наявність нових якостей завдяки
взаємному впливу і взаємодії одиниць, що становлять цю систему.
Структурно-функціональними одиницями багатоклітинних істот є клітини. В той же
час багатоклітинний організм характеризується рядом особливих властивостей, які
не можна звести до властивостей і якостей окремих клітин.У третьому положенні
клітинної теорії ми зустрічаємося з проблемою співвідношення частини і цілого.
Системний підхід як науковий напрям використовується
у біологічних дослідженнях з початку минулого століття. Системний характер
організації і функціонування властивий не лише організму, але і іншим головним
біологічним утворенням - геному, клітині, популяції, біогеоценозу, біосфері.
1. ТИПИ КЛІТИННОЇ ОРГАНІЗАЦІЇ
У природі існує значна різноманітність клітин,
що розрізняються за розмірами, формою, хімічним особливостям. Число ж головних
типів клітинної організації обмежена двома. Виділяють прокаріоти і еукарiоти з
підрозділом другого на підтип, характерний для найпростіших організмів, і
підтип, характерний для багатоклітинних.
Клітинам прокаріотичного типу (рис. 2.1)
властиві малі розміри (не більше 0,5-3,0 мкм в діаметрі або по довжині),
відсутність відокремленого ядра, так що генетичний матеріал у вигляді ДНК не
відмежований від цитоплазми оболонкою. У клітині відсутня розвинена система
мембран. Генетичний апарат представлений ДНК єдиною кільцевою хромосомою, яка
позбавлена основних білків - гістонів (гістони є білками
клітинних ядер). Завдяки значній кількості діамінокіслот аргініну і лізину
гістони мають лужний характер.
Відмінності прокаріотів і еукаріотів за
наявністю гістонів вказують на різні механізми регуляції функції генетичного
матеріалу. У прокаріотичних клітинах відсутній клітинний центр. Не типові
внутрішньоклітинні переміщення цитоплазми і амебоідний рух. Час, необхідний для
утворення двох дочірніх клітин з материнської (час генерації), порівняно малий
і обчислюється десятками хвилин. До прокаріотичних клітин відносяться бактерії
і синьозелені водорості.
Рис. 1.1 Типові риси структурної організації
клітин. А-Б - еукаріотичних рослинна; В - тваринна
2. СТРУКТУРНО-ФУНКЦІОНАЛЬНА ОРГАНІЗАЦІЯ
ЕУКАРІОТИЧНОЇ КЛІТИНИ
Еукаріотичний тип клітинної організації
представлений двома підтипами. Особливістю організмів найпростіших (рис. 2.2) є
те, що вони (включають колоніальні форми) відповідають в структурному
відношенні рівню однієї клітини, а в фізіологічному - повноцінної особи. У
зв'язку з цим однією з рис клітин частини найпростіших є наявність в цитоплазмі
мініатюрних утворень, що виконують на клітинному рівні функції життєво важливих
органів багатоклітинного організму. Такі (наприклад, у інфузорій) цитостом,
цітофарінгс і порошицю, аналогічні травній системі, і скоротливі вакуолі,
аналогічні видільної системи.
У традиційному вигляді клітину рослинного або
тваринного організму описують як об'єкт, відокремлений оболонкою, в якому
виділяють ядро і цитоплазму. В ядрі поряд з оболонкою і ядерним соком виявляють
ядерце і хроматин. Цитоплазма представлена її основною речовиною
(матриксом, гіалоплазмою), в якому розподілені включення і органели.
Рис. 2.1 Структурна організація одноклітинного
організму (інфузорія): 1-генеративний ядро, 2-цігостом з цітофарінгсом,
3-порошицю, 4-скоротливі вакуолі, 5-травні вакуолі, 6-вегетативне ядро,
7-гіалоплазма, 8 - війки
.1 ПРИНЦИП КОПАРМЕНТАЦІІ
Висока впорядкованість внутрішнього вмісту
еукаріотичної клітини досягається шляхом компартментаціі її обсягу - підрозділи
на «комірки», що відрізняються деталями хімічного (ферментного) складу.
Компартментація (рис. 2.3) сприяє просторовому розділенню речовин і процесів у
клітині. Окремий компартмент представлений органелою (лизосома) або її частиною
(простір, відмежовує внутрішню мембрану мітохондрії).
Завдяки компартментаціі клітинного об'єму в
еукаріотичній клітині спостерігається поділ функцій між різними структурами.
Одночасно різні структури закономірно взаємодіють один з одним.
Рис. 2.2 Компартментація об'єму клітини за
допомогою мембран: 1 ядро, 2-шорстка цитоплазматична є, 3-мітохондрія,
4-транспортний цитоплазматичний бульбашка, 5-лизосома, 6-пластинчастий
комплекс, 7 - гранула секрету
Рис. 2.3 Молекулярна організація біологічної
мембрани: 1 - бімолекулярний шар ліпідів, 2 - білки
Запропоновано декілька схем взаємин в мембрані
основних хімічних компонентів - білків і ліпідів, а також речовин, що розміщуються
на мембранній поверхні. В даний час прийнята точка зору, згідно з якою мембрана
складена з бімолекулярного шару ліпідів. Гідрофобні ділянки їх молекул
повернені один до одного, а гідрофільні - знаходяться на поверхні шару.
Різноманітні білкові молекули вбудовані в цей шар або розміщені на його
поверхнях (рис. 2.4).
Завдяки компартментаціі клітинного об'єму в
еукаріотичній клітині спостерігається поділ функцій між різними структурами.
Одночасно різні структури закономірно взаємодіють один з одним.
.2 БУДОВА ТИПОВИХ КЛІТИН БАГАТОКЛІТИННИХ
ОРГАНІЗМІВ
Клітини багатоклітинних організмів,як рослинних
так і твариних відокремлені від свого оточення оболонкою. Клітинна оболонка,
або плазмалемма, твариних клітин утворена мембраною, покритої зовні шаром
глікокаліксу товщиною 10-20 нм. Основними складовими глікокаліксу служать
комплекси полісахаридів з білками (глікопротеїни) і жирами (гліколіпіди).
Зсередини до мембрани примикає кортикальний (корковий) шар цитоплазми товщиною
0,1-0,5 мкм, в якому не зустрічаються рибосоми і бульбашки, але в значній
кількості знаходяться мікротрубочки і мікрофіламенти, що мають у своєму складі
скоротні білки.
Плазмалемма виконує відмежовуючу, бар'єрну,
транспортну і рецепторну функції. Завдяки властивості виборчої проникності вона
регулює хімічний склад внутрішнього середовища клітини. В плазмалеммі розміщені
молекули рецепторів, які вибірково розпізнають певні біологічно активні
речовини (гормони). В утриманні цих речовин на клітинній поверхні, беруть
участь білки кортикального шару. Наявність в оболонці рецепторів дає клітинам
можливість сприймати сигнали ззовні, щоб доцільно реагувати на зміни в
навколишньому середовищі або стані організму. У пластах і прошарках сусідні
клітини утримуються завдяки наявності різного виду контактів, які представлені
ділянками плазмалемми, що мають особливу будову.
У клітині виділяють ядро і
цитоплазму. Клітинне ядро складається з оболонки, ядерного соку,
ядерця і хроматину. Функціональна роль ядерної оболонки полягає у відокремленні
генетичного матеріалу (хромосом) еукаріотичної клітини від цитоплазми з
притаманними їй численними метаболічними реакціями, а також регулювання
двосторонніх взаємодій ядра і цитоплазми. Ядерна оболонка складається з двох
мембран, розділених навколоядерним (перінуклеарним) простором. Останнє може
сполучатися з канальцями цитоплазматичної мережі.
Ядерна оболонка пронизана порами діаметром 80-90
нм. Область пори або поровий комплекс з діаметром близько 120 нм має певну
будову, що вказує на складний механізм регуляції ядерно-цитоплазматичних
переміщень речовин і структур. Кількість пір залежить від функціонального стану
клітини. Чим вище синтетична активність в клітині, тим більше їх число.
Підраховано, що в нижчих хребетних тварин в еритробластах, де інтенсивно
утворюється і накопичується гемоглобін, на 1 мкм ядерної оболонки доводиться
близько 30 пор. У зрілих еритроцитах названих тварин, що зберігають ядра, на 1
мк∙г оболонки залишається до п'яти пір, тобто в 6 разів менше. В області
перового комплексу починається так звана щільна пластинка - білковий шар,
підстильний на всьому протязі внутрішньої мембраної ядерної оболонки.
Ця структура виконує насамперед опорну функцію,
так як при її наявності форма ядра зберігається навіть у випадку руйнування
обох мембран ядерної оболонки. Припускають також, що закономірний зв'язок з
речовиною щільної пластинки сприяє впорядкованого розташування хромосом в
інтерфазному ядрі.
Основу ядерного соку, або матриксу, складають
білки. Ядерний сік утворює внутрішнє середовище ядра, у зв'язку з чим він грає
важливу роль в забезпеченні нормального функціонування генетичного матеріалу. У
складі ядерного соку присутні нитчасті, або фібрилярні, білки, з якими
пов'язане виконання опорної функції: в матриксі знаходяться також первинні
продукти транскрипції генетичної інформації - гетероядерних РНК (гя-РНК), які
тут же піддаються процесингу, перетворюючись в м-РНК.
Ядерце являє собою структуру, в якій
відбувається утворення і дозрівання рибосомальних РНК (рРНК). Гени рРНК
займають певні ділянки (в залежності від виду тварини) однієї або декількох
хромосом (у людини 13-15 і 21-22 пари) - ядерцеві організатори, в області яких
і утворюються ядерця. Такі ділянки в метафазних хромосомах виглядають як
звуження і називаються вторинними перетяжками. За допомогою електронного
мікроскопа в полісом виявляють нитчастий і зернистий компоненти. Нитчастий
(фібрилярний) компонент представлений комплексами білка і гігантських молекул
РНК-попередниць, з яких потім утворюються дрібніші молекули зрілих рРНК. У
процесі дозрівання фібрили перетворюються в рібонуклеопротеїнові зерна
(гранули), якими представлений зернистий компонент.
Хроматинові структури у вигляді грудочок,
розсіяних в нуклеоплазмі, є інтерфазною формою існування хромосом клітини. В
цитоплазмі розрізняють основну речовину (матрикс, гіалоплазма), включення і
органели. Основна речовина цитоплазми заповнює простір між плазмалеммой,
ядерною оболонкою та іншими внутрішньоклітинними структурами. Звичайний
електронний мікроскоп не виявляє в ньому будь-якої внутрішньої організації.
Білковий склад гіалоплазми різноманітний. Найважливіші з білків представлені
ферментами галіколіза, обміну цукрів, азотистих основ, амінокислот і ліпідів.
Ряд білків гіалоплазми служить субодиницями, з яких відбувається складання
таких структур, як мікротрубочки.
Основна речовина цитоплазми утворює справжню
внутрішню середу клітини, яка об'єднує всі внутрішньоклітинні структури та
забезпечує взаємодію їх один з одним. Виконання матриксом об'єднує, а також
каркасною функції може бути пов'язано з виявляється за допомогою надпотужного
електронного мікроскопа мікротрабекулярной мережі, утвореної тонкими фибриллами
товщиною 2-3 нм і пронизує всю цитоплазму. Через гіалоплазму здійснюється
значний обсяг внутрішньоклітинних переміщень речовин і структур. Основну
речовину цитоплазми слід розглядати так само, як складну колоїдну систему,
здатну переходити з золеобразного (рідкого) стану в гелевидний. В процесі таких
переходів відбувається робота.
Включеннями (рис.2.4) називають непостійні
компоненти цитоплазми, які служать запасними поживними речовинами (жир,
глікоген), продуктами, що підлягають виведенню з клітки (гранули секрету),
баластними речовинами (деякі пігменти).
Органели - це постійні структури цитоплазми, що
виконують в клітині життєво важливі функції.
Виділяють органели загального значення і
спеціальні. Останні в значній кількості присутні в клітинах, спеціалізованих до
виконання певної функції, але в незначній кількості можуть зустрічатися і в
інших типах клітин. До них відносять, наприклад, мікроворсинки всмоктуючої
поверхні епітеліальної клітини кишечника, війки епітелію трахеї і бронхів,
синаптичні пухирці, що транспортують речовини - переносники нервового збудження
з однієї нервової клітини на іншу або клітину робочого органу, міофібрили, від
яких залежить скорочення м'яза.
До органел загального значення відносять
елементи канальцевої і вакуолярної системи у вигляді шорсткою і гладкого
цитоплазматичної мамбрани, пластинчастий комплекс, мітохондрії, рибосоми і
полісоми, лізосоми, Пероксисома, мікрофібрил і мікротрубочки, центріолі
клітинного центру. У рослинних клітинах виділяють також хлоропласти, в яких
відбувається фотосинтез.
Канальцева і вакуолярна системи утворені
сполученими або окремими трубчастими або сплощеними (цистерна) порожнинами, обмеженими
мембранами і поширюються по всій цитоплазмі клітини. Нерідко цистерни мають
бульбашковидні розширення. У названій системі виділяють шорстку і гладку
цитоплазматичну мембарну (див. рис. 2.4). Особливість будови шорсткою мережі
полягає в прикріпленні до її мембранам полісом. В силу цього вона виконує
функцію синтезу певної категорії білків, переважно видаляються з клітки,
наприклад секретується клітинами залоз. В області шорсткою мережі відбувається
утворення білків і ліпідів цитоплазматичних мембран, а також їх складання.
Щільно упаковані в шарувату структуру цистерни шорсткою мережі є ділянками
найбільш активного білкового синтезу і називаються ергастоплазма.
Мембрани гладкої цитоплазматичної мережі
позбавлені полісом. Функціонально ця мережа пов'язана з обміном вуглеводів,
жирів та інших речовин небілкової природи, наприклад стероїдних гормонів (в
статевих залозах, кірковому шарі надниркових залоз). За канальцям і цистерн
відбувається переміщення речовин, зокрема секретованого заліозистого клітиною матеріалу,
від місця синтезу в зону упаковки в гранули. У ділянках печінкових клітин,
багатих структурами гладкою мережі, руйнуються і знешкоджуються шкідливі
токсичні речовини, деякі ліки (барбітурати). У бульбашках і канальцях гладкою
мережі поперечно-смугастої мускулатури зберігаються (депонуються) іони кальцію,
які відіграють важливу роль в процесі скорочення.
Рис. 2.4 Цітопдазматіческіе включення
еукаріотичної клітини: А - ліпофусцин; Б - ліпідна крапля; В - гранули секрету
Рибосома - це округла рибонуклеопротеїнова
частка діаметром 20-30 нм. Вона складається з малої і великої субодиниць,
об'єднання яких відбувається в присутності матричної (інформаційної) РНК
(мРНК). Одна молекула мРНК зазвичай об'єднує кілька рибосом зразок нитки бус.
Таку структуру називають полісомой. Полісоми вільно розташовуються в основному
речовині цитоплазми або прикріплені до мембран шорсткою цитоплазматичної
мережі. В обох випадках вони служать місцем активного синтезу білка. Порівняння
співвідношення кількості вільних і прикріплених до мембран полісом в
ембріональних недиференційованих і пухлинних клітинах, з одного боку, і в
спеціалізованих клітинах дорослого організму-з іншого, призвело до висновку, що
на полісомах гіалоплазми утворюються білки для власних потреб (для «домашнього»
користування) даної клітини, тоді як на полісомах гранулярной мережі
синтезуються білки, що виводяться з клітини і використовуються на потреби
організму (наприклад, травні ферменти, білки грудного молока).
Пластинчастий комплекс Гольджі утворений
сукупністю діктіосом числом від кількох десятків (зазвичай близько 20) до
кількох сотень і навіть тисяч на клітину.
Діктіосома (рис.2.4, А) представлена стопкою
з 3-12 сплощені дископодібних цистерн, від країв яких відшнуровуються бульбашки
(везикули). Обмежені певною ділянкою (локальні) розширення цистерн дають більші
бульбашки (вакуолі). У диференційованих клітинах хребетних тварин і людини
діктіосоми зазвичай зібрані в навколо’ядерній зоні цитоплазми. У пластинчастому
комплексі утворюються секреторні пухирці або вакуолі, вміст яких складають
білки та інші сполуки, що підлягають виведенню з клітини. При цьому попередник
секрету (просекрет), потрапляючий в діктіосоми із зони синтезу, піддається в
ній деяким хімічним перетвореням. Він також відокремлюється (сегрегуює) у
вигляді «порцій», які тут же одягаються мембранної оболонкою. У пластинчастому
комплексі утворюються лізосоми. В діктіосомі синтезуються полісахариди, а також
їх комплекси з білками (глікопротеїни) і жирами (гліколіпіди), які потім можна
виявити в глікокаліксі клітинної оболонки.
Мітохондрії (рис. 2.4, Б) - це структури
округлої або паличко-видною, нерідко розгілкованої форми товщиною 0,5 мкм і
довжиною зазвичай до 5-10 мкм. У більшості тварин клітин кількість мітохондрій
коливається від 150 до 1500, однак у жіночих статевих клітинах їх число досягає
декількох сотень тисяч. У сперматозоїдах нерідко присутня одна гігантська
мітохондрія, спірально закручена навколо осьової частини джгутика. Одна
розгалужена мітохондрія виявлена в клітці такого паразита людини,
як трипаносома.
Оболонка мітохондрій складається з двох мембран, що розрізняються за хімічним
складом, набору ферментів і функцій. Внутрішня мембрана утворює опуклість
листоподібної (кристи) або трубчастої (тубули) форми. Простір, обмежений
внутрішній мембраною, становить матрикс органели. У ньому за допомогою
електронного мікроскопа виявляються зерна діаметром 20-40 нм. Вони накопичують
іони кальцію і магнію, а також полісахариди, наприклад глікоген.

У матриксі розміщений власний апарат біосинтезу
білка органели. Він представлений 2-6 копіями кільцевої і позбавленою гістонів
(як у прокаріотів) молекули ДНК, рибосомами, набором транспортних РНК (тРНК),
ферментами редуплікації ДНК, транскрипції і трансляції спадкової інформації. За
основними властивостями: розмірами і структурою рибосом, організації власного
спадкового матеріалу - цей апарат схожий з таким у прокаріотів і відрізняється
від апарату біосинтезу білка цитоплазми еукаріотичної клітини. Гени власної ДНК
кодують нуклеотидні послідовності мітохондріальних рРНК і тРНК, а також
послідовності амінонокіслот деяких білків органели, головним чином її внутрішньої
мембрани. Амінокислотні послідовності (первинна структура) більшості білків
мітохондрій закодовані в ДНК клітинного ядра і утворюються поза органели в
цитоплазмі.
Головна функція мітохондрій полягає в ферментативному витягу з певних хімічних
речовин енергії (шляхом їх окислення) і накопиченні енергії в біологічно
використовуваної формі (шляхом синтезу молекул аденозинтрифосфату-АТФ). В
цілому цей процес називається окислювальним розформуванням. В енергетичній
функції мітохондрій активно беруть участь компоненти матриксу і внутрішня
мембрана. Саме з цією мембраною пов'язані ланцюг перенесення електронів
(окислення) і АТФ-синтетаза, що каталізує поєднане з окисленням фосфорилювання
АДФ в АТФ. Серед побічних функцій мітохондрій можна назвати участь в синтезі
стероїдних гормонів та деяких амінокислот (глутамінова).
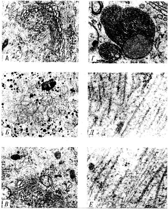
Лізосоми (рис. 2.5, В) являють собою бульбашки
діаметром зазвичай 0,2-0,4 мкм, які містять набір ферментів кислих гідролаз, що
каталізують при низьких значеннях рН гидролитичне (у водному середовищі)
розщеплення нуклеїнових кислот, білків, жирів, полісахаридів. Їх оболонка
утворена одинарною мембраною, покритої іноді зовні волокнистим білковим шаром
(на електронограммах «облямовані» бульбашки). Функція лізосом -
внутрішньоклітинний перетравлення різних хімічних сполук і структур.
Первинними лізосомами (діаметр 100 нм) називають
неактивні органели, вторинними - органели, в яких відбувається процес
перетравлення. Вторинні лізосоми утворюються з первинних. Вони підрозділяються
на гетеролізосоми (фаголізосоми) і аутолізосоми (цитолізосоми). У перших (рис.
2.5, Г) перетравлюється матеріал, що надходить у клітину ззовні шляхом
піноцитозу і фагоцитозу, у других руйнуються власні структури клітини, що
завершили свою функцію. Вторинні лізосоми, в яких процес перетравлення
завершений, називають залишковими тільцями (телолізосоми). У них відсутні
гідролази і міститься неперетравлений матеріал.
Мікротільця складають збірну групу органел. Які
обмежені однією мембраною бульбашки діаметром 0,1-1,5 мкм з дрібнозернистим
матриксом і нерідко кристалоїдними або аморфними білковими включеннями. До цієї
групи відносять, зокрема, пероксисоми. Вони містять ферменти оксидази, що
каталізують утворення пероксиду водню, який, будучи токсичним, руйнується потім
під дією ферменту пероксидази. Ці реакції включені в різні метаболічні цикли,
наприклад в обмін сечової кислоти в клітинах печінки і нирок. В печінковій
клітині число пероксисом досягає 70-100.
До органел загального значення відносять також деякі постійні структури цитоплазми,
позбавлені мембран.
Мікротрубочки (рис. 2.5, Д) - трубчасті
утворення різної довжини із зовнішнім діаметром 24 нм, шириною просвіту 15 нм і
товщиною стінки близько 5 нм. Зустрічаються у вільному стані в цитоплазмі
клітин або як структурні елементи джгутиків, вій, мітотичного веретена,
центріолей. Вільні мікротрубочки і мікротрубочки війок, джгутиків і центріолей
мають різну стійкість до руйнівних дій, наприклад хімічним (колхіцин).
Микротрубочки будуються з стереотипних субьедініц білкової природи шляхом їх
полімеризації. У живій клітині процеси полімеризації протікають одночасно з
процесами деполімеризації. Співвідношенням цих процесів визначається кількість
мікротрубочок. У вільному стані мікротрубочки виконують опорну функцію,
визначаючи форму клітин, а також є факторами спрямованого переміщення
внутрішньоклітинних компонентів.
Мікрофіламенти (рис.2.5, Е) - довгі, тонкі
утворення, іноді утворюють пучки і виявляються по всій цитоплазмі. Існує кілька
різних типів микрофиламентоів. Актинові мікрофіламенти завдяки присутності в
них скоротних білків (актин) розглядають як структури, що забезпечують клітинні
форми руху, наприклад амебоїдні. Їм приписують також каркасну роль та участь в
організації внутрішньоклітинних переміщень органел і ділянок гіалоплазми.
По периферії клітин під плазмалеммою, а також в
навколо’ядерній зоні виявляються пучки мікрофіламентів товщиною 10 нм -
проміжні філстенти. В епітеліальних, нервових, гліальних, м'язових клітинах,
фібробластах вони побудовані з різних білків. Проміжні філаменти виконують,
механічну, каркасну функцію.
Актинові мікрофібрили і проміжні філаменти, як і
мікротрубочки, побудовані з субодиниць. В силу цього їх кількість залежить від
співвідношення процесів полімеризації і деполімеризації.
Для твариних клітин, частини клітин рослин,
грибів та водоростей характерний клітинний центр, до складу якого входять
центріолі. Центріолі (під електронним мікроскопом) мають вигляд «полого»
циліндра діаметром близько 150 нм і довжиною 300-500 нм. Її стінка утворена 27
мікротрубочками, згрупованими з 9 триплетів. У функцію центріолей входить
освіта ниток мітотичного веретена, які також утворені мікротрубочками.
Центриолі поляризують процес поділу клітини, забезпечуючи розбіжність
сестринських хроматид (хромосом) в анафазе мітозу.
3. РЕАКЦІЯ КЛІТИН НА ЗОВНІШНІ ВПЛИВИ
Організм і його клітини постійно піддаються
впливу найрізноманітніших хімічних, фізичних чи біогенних факторів. Ці фактори
можуть викликати первинне порушення однієї або декількох клітинних структур, що
в свою чергу призводить до функціональних порушень. В залежності від
інтенсивності ураження, його тривалості та характеру доля клітини може бути
різна. Змінені внаслідок пошкодження клітини можуть адаптуватися,
пристосуватися до впливу фактору, відновлюватися, реактивувати після зняття
пошкоджуючого впливу або змінитися необоротно і загинути. Виходячи з цього
функціональні та морфологічні картини клітин в цих станах дуже різноманітні. На
різні фактори при оборотному пошкодженні клітини відповідають низкою змін. Одним
з проявів загальноклітинної реакції на пошкодження є зміна здатності клітини
пов'язувати різні фарбники. Так, нормальні клітини, поглинаючи з позаклітинного
середовища розчинені в ній барвники, відкладають їх у вигляді гранул. Таке
гранулоутворення відбувається в цитоплазмі, ядро при цьому
залишається безбарвним. При пошкодженні клітин багатьма фізичними (нагрівання,
тиск) або хімічними чинниками (зміна рН середовища, додавання спирту або
будь-якого іншого денатуруючого агента) гранулоутворення припиняється,
цитоплазма і ядро дифузно фарбуються проникаючим в клітку
барвником. Якщо дія фактора оборотноя і при усуненні його клітина повертається
до норми, то знову відновлюється її здатність до гранулоутворення. При різних
пошкодженнях клітин значно падає окисне фосфорилювання: припиняється синтез АТФ
і росте споживання кисню. Для пошкоджених клітин характерні посилення
гликолитичних процесів, падіння кількості АТФ, активація протеолізу. Сукупність
неспецифічних оборотних змін цитоплазми, що виникають під впливом різних
агентів, була позначена терміном «Паранекроз».
При різних впливах на клітину найбільш частою
зміною структури ядра є конденсація хроматину, що може відображати падіння
ядерних синтетичних процесів. При загибелі клітини відбуваються агрегація хроматину,
збирання його в грубі згустки всередині ядра (пікноз), що часто завершується
розпадом на частини (каріорексис) або розчиненням ядра (каріолізис). Ядерця при
придушенні синтезу рРНК зменшуються в розмірах, втрачають гранули,
фрагментуються.
До найбільш часто зустрічаючихся змін ядерної
оболонки відносяться розширення (набряклість) перінуклеарного простору,
звивистість контуру ядерної оболонки, що нерідко поєднується з пікнозом ядра.
На ранніх етапах пошкодження клітини часто набувають кулясту форму і втрачають
численні клітинні вирости і мікроворсинки. Надалі, навпаки, зміни плазмолеми
зводяться до появи на поверхні клітин різних виростів або дрібних бульбашок. На
початкових стадіях порушення окисного фосфорилювання відбуваються стиснення
мітохондріального матриксу і деяке розширення міжмембранного простору. Надалі
цей тип реакції мітохондрій може змінитися їх набуханням, що особливо часто
зустрічається при самих різних патологічних змінах клітин. Мітохондрії при
цьому набувають сферичну форму і збільшуються в розмірах, відбувається
обводнення матриксу, він стає світлим. Набухання мітохондрій, як правило,
супроводжується редукцією числа і розміру крист. При необоротному пошкодженні
мітохондрій відбувається розрив їх мембран, матрикс змішується з гиалоплазмой.
Система ендоплазматичного ретикулума найчастіше
піддається вакуолізації і розпаду на дрібні бульбашки. При цьому на мембранах
гранулярного ретикулуму зменшується число рибосом, що однозначно вказує на
падіння білкового синтезу. Цистерни апарату Гольджі також можуть збільшуватися
в обсязі або розпадатися на дрібні вакуолі. У пошкоджених клітинах відбувається
активація їх лізосом, збільшується число аутофагосом. При важких клітинних
пошкодженнях мембрани лізосом розриваються і лізосомні гідролази починають
руйнувати самі клітини - відбувається лізис клітин.
Пошкоджені клітини різко знижують мітотичну
активність, часто затримуються на різних стадіях мітозу, головним чином через
порушення мітотичного апарату, дуже чутливого до змін внутрішньоклітинного середовища.
Якщо зміни в клітині не зайшли надто далеко,
відбуваються репарація клітинних пошкоджень, повернення клітини до нормального
функціонального рівня. Процеси відновлення внутрішньоклітинних структур
називають внутрішньоклітинної регенерацією.
Репарація клітин буває повною, коли
відновлюються всі властивості даних клітин, або неповною. В останньому випадку
після зняття дії пошкоджуючого фактора нормалізується ряд функцій клітин, але
через деякий час вони вже без всякого впливу гинуть. Особливо часто це
спостерігається при ураженнях клітинного ядра.
Пошкодження клітин зовнішніми і
внутріорганізменними факторами може призвести до порушень регуляції їх
метаболізму. При цьому відбувається інтенсивне відкладення або ж, навпаки,
резорбція ряду клітинних включень. Крім того, спостерігається порушення
регуляції проникності клітинних мембран, що призводить до вакуолізації
мембранних органел. У патологічній анатомії такі зміни в структурі клітин
називають дистрофія.
Так, наприклад, при жировій дистрофії в клітинах
накопичуються жирові включення. Часто в цитоплазмі змінених клітин виявляються
скупчення ліпопротеїдних комплексів, що мають вид багатошарових мембранних
пластів. Порушення регуляторних процесів метаболізму цукрів призводить до
патологічного відкладенню та накопиченню глікогену (вуглеводна дистрофія), що,
ймовірно, пов'язано з недостатністю ферменту, що розщеплює глікоген
(глюкозо-6-фосфатази). Часто в змінених клітинах тварин відбувається
відкладення різних пігментів, білкових гранул (білкова дистрофія) та ін.
Рис.3.1 Шляхи клітинної загибелі. А - некроз; Б
- апоптоз. Пояснення в тексті
Особливою формою патологічного порушення
регуляторних процесів можуть бути порушення спеціалізації, одним з яких є ріст
злоякісних пухлин. Пухлинні клітини характеризуються нестримністю,
необмеженістю розмноження, порушенням рівня диференціювання, змінами будови
клітин, відносною автономністю від регуляторних впливів з боку організму,
здатністю до метастазування. Всі ці властивості пухлинні клітини зберігають від
покоління до покоління, тобто властивості злоякісності є спадковою особливістю
таких клітин. Тому вважають ракові клітини мутантами, що володіють зміненої
генетичної структурою; саме зміною генотипу клітини можна пояснити безперервну
передачу дочірнім клітинам дефектної (щодо регулювання) інформації. При
необоротному пошкодженні клітини гинуть. Дати визначення моменту клітинної
смерті дуже важко (так само, як і при смерті цілого організму), так як
помирання - це не одномоментне явище, а процес.
4. ПОДРАЗЛИВІСТЬ ТА ЗБУДЛИВІСТЬ КЛІТИНИ
За своїм біологічним значенням для кожної
клітини всі подразники поділяються на адекватні і неадекватні. Адекватними
називаються ті подразники, які при мінімальній силі роздратування викликають збудження
в даному виді клітин, що виробили в процесі еволюції спеціальну здатність
реагувати на ці подразники. Чутливість клітини до адекватних подразників дуже
велика. Всі інші подразники називають неадекватними.
В тій чи іншій мірі здатні відповідати на
подразнення всі живі клітини і тканини. Однак нервова, м'язова і залозиста
тканина на відміну від інших здатні здійснювати швидкі реакції на подразнення.
Ці тканини отримали назву збудливих тканин. До збудливих клітин відносять і
спеціалізовані рецепторні клітини, наприклад, палички і колбочки сітківки ока.
Здібність нервових, м'язових і залозистих клітин
і тканин, а також рецепторних клітин швидко відповідати на подразнення змінами
своїх фізіологічних властивостей і виникненням збудження називається збудливістю.
Порушення - це хвилеподібний процес, який проявляється у специфічній
відповідної реакції тканини (м'язова - скорочується, залозиста - виділяє
секрет, нервова - генерує електричний імпульс) і неспецифічної (зміна t °,
обміну речовин та ін.) Обов'язковою ознакою порушення є зміна електричного
заряду мембрани клітини.
Мінімальна сила подразника, необхідна для
виникнення мінімальної відповідної реакції клітини і тканини, називається
порогом подразнення. Він вимірюється в різних фізичних величинах, якими
характеризується величина подразника (в градусах, кілограмах, децибеллах і
т.д.). Мінімальна сила подразнення, необхідна для виникнення збудження клітини
та генерації потенціалу дії, називається порогом збудження. Поріг порушення
вимірюється в мілівольтах. Будь-яка жива клітина вкрита напівпроникною
мембраною, через яку здійснюється пасивний та активний виборчий перенос
позитивно і негативно заряджених іонів. Завдяки цьому переносу між зовнішньою і
внутрішньою поверхнею мембрани клітини існує електрична різниця потенціалів -
мембранний потенціал. Існує три відрізняються один від одного прояву
мембранного потенціалу - мембранний потенціал спокою, місцевий потенціал і
потенціал дії.
Якщо на клітину не діють зовнішні подразники, то
мембранний потенціал довго зберігається постійним. Мембранний потенціал такої
спочиває клітини називається мембранним потенціалом спокою.
Для внутрішнього середовища клітини потенціал
спокою завжди негативний і дорівнює для нервової та поперечно-смугастої
м'язової тканини від -50 до -100 мВ, для епітеліальної і гладком'язових тканини
від -20 до -30 мВ.
Причиною виникнення потенціалу спокою є різна
концентрація катіонів та аніонів зовні і всередині клітини і виборча
проникність для них клітинної мембрани. Цитоплазма нервової та м'язової клітини
містить приблизно в 20-100 разів більше катіонів калію, в 5-15 разів менше
катіонів натрію і в 20-100 разів менше аніонів хлору, ніж позаклітинна рідина.
У мембрані клітини є специфічні натрієві,
калієві, хлорні та кальцієві канали, які вибірково пропускають, відповідно,
тільки Nа +, К +, С1-та Са2 +. Ці канали мають воротні механізми і можуть бути
відкритими або закритими. У стані спокою практично всі натрієві канали мембрани
клітини закриті, а більшість калієвих - відкрито. Всякий раз, коли іони калію
наштовхуються на відкритий канал, вони дифундують через мембрану. Оскільки
всередині клітини концентрація іонів К + значно вище, то їх виходить з клітки
набагато більше, ніж входить, що збільшує позитивний заряд зовнішньої поверхні
мембрани. Цей виходить потік іонів К + мав би невдовзі вирівняти осмотичний
тиск (або концентрацію) цього іона, але цьому перешкоджає електрична сила
відштовхування позитивних іонів К + від позитивно зарядженої зовнішньої
поверхні мембрани. Іони К + виходитимуть з клітки до тих пір, поки сила
електричного відштовхування не стане рівною силі осмотичного тиску К +. При
такому рівні потенціалу мембрани урівноважиться вихід і вхід іонів К + через
мембрану клітини.
Оскільки в стані спокою майже всі натрієві
канали мембрани закриті, то іони Nа + надходять в клітину в незначній кількості
і тому не можуть відшкодувати втрату позитивного заряду внутрішнього середовища
клітини, викликану виходом іонів К +. Надлишок іонів Nа + на зовнішній поверхні
мембрани спільно з виходять з клітини іонами К + створюють позитивний потенціал
зовні мембрани спочиває клітини.
У стані спокою мембрана нервових клітин проникна
дещо гірше, а м'язових клітин проникність дещо краще для аніонів Cl-, ніж для
катіонів К +. Аніони Cl-, яких більше поза клітини, дифундують всередину
клітини і несуть із собою негативний заряд.
Зрівнювання концентрацій іонів Cl-перешкоджає
сила електричного відштовхування однойменних зарядів.
Мембрана клітини практично непроникна для
великих органічних аніонів, зокрема молекул білків, аніонів органічних кислот.
Тому вони залишаються всередині клітини і спільно з вступниками всередину
клітини іонами Cl-забезпечують негативний потенціал на внутрішній поверхні
мембрани спочиває клітини.
При дії на клітину різних подразників за силою
приблизно в 1,5-2 рази менше порога роздратування мембранний потенціал спокою
починає зменшуватися, тобто відбувається деполяризація мембрани клітини. Зі
збільшенням сили роздратування деполяризація мембрани наростає. Однак якщо сила
роздратування не досягла порогу, то припинення роздратування призводить до
швидкого відновлення потенціалу спокою. В м'язової і нервової тканинах при
підпорогове роздратуванні зменшення потенціалу мембрани обмежена невеликою
ділянкою в місці нанесення подразнення і отримало назву місцевого потенціалу
або локального відповіді.
При досягненні роздратування порогової сили
виникає швидке короткочасне зміна величини і полярності заряду мембрани
клітини, яке отримало назву потенціалу дії (застосовуються також терміни «хвиля
збудження», для нервових клітин - «нервовий імпульс»). Потенціали дії завжди
виникають при деполяризації мембрани нервової і поперечно-смугастої м'язової
клітини приблизно до - 50 мВ.
Причиною виникнення місцевого потенціалу, а
потім і потенціалу дії є розкриття натрієвих каналів і надходження іонів Nа +
всередину клітини. При наростанні сили роздратування до порогової цей процес
йде повільно і виникає місцевий потенціал. При досягненні критичного рівня
деполяризації мембрани (приблизно -50 мВ) проникність натрієвих каналів
мембрани лавиноподібно зростає. Іони Nа + надходять всередину клітини, що
призводить не тільки до швидкої нейтралізації негативного заряду у внутрішній
поверхні мембрани, а й до виникнення позитивного заряду (інверсія потенціалу).
Як тільки кількість іонів Nа + зовні і всередині
клітини зрівняється, спрямований струм в клітку Nа + припиняється і інверсія
закінчується при величині приблизно від +30 до +40 мВ.
До цього моменту різко збільшується проникність
мембрани для іонів К +, які у великій кількості виходять з клітини. В
результаті у внутрішній поверхні мембрани знову створюється негативний заряд, а
на зовнішній поверхні - позитивний, тобто відбувається реполяризації мембрани.
Швидкі зміни величини і полярності заряду мембрани отримали назву піку потенціалу
дії. Слідом за піком потенціалу дії спостерігаються деполярізаціонний і
гіперполярізаціонний слідові потенціали, обумовлені інерційністю процесів руху
іонів Nа + і К + через клітинну мембрану.
Тривалість потенціалу дії становить близько 1 мс
в нервах, 10 мс в скелетному м'язі і більше 200 мс в міокарді серця.
Підтримання різниці концентрацій іонів Nа + і К
+ між цитоплазмою клітини і позаклітинної рідиною в стані спокою і відновлення
цієї різниці після роздратування клітини забезпечується роботою так званого
натрій-калієвого насоса мембрани. Натрій-калієвий насос здійснює активний
перенесення іонів проти градієнтів їх концентрацій, безперервно відкачуючи Nа +
з клітини в обмін на К +. Насос працює за рахунок енергії АТФ. Для роботи
насоса необхідна наявність в клітці іонів Nа +, а в позаклітинній рідині -
іонів К +.
Поширення потенціалу дії по тканині, особливо
нервового імпульсу по нервах, є найшвидшим і точно адресованим способом
передачі інформації в організмі. Швидкість передачі нервового імпульсу в
бистропроводящіх волокнах рухових нервів (тип Аα) досягає
120 м / с. Інші способи передачі інформації набагато повільніше: гуморальний не
перевищує 0,5 м / с (швидкість течії крові в аорті), аксони транспорт речовин
від тіла нейрона до закінчень аксона не перевищує 40 см на добу.
Передача інформації в організмі шляхом
проведення потенціалів дії здійснюється по мембрані нервового волокна. При
нанесенні подразнення достатньої сили на нервове волокно в точці роздратування
виникає зона збудження (малюнок 2). Ця зона має на внутрішній поверхні мембрани
позитивний заряд, а на зовнішній - негативний. Сусідні незбуджені ділянки
мембрани нервового волокна мають зворотне співвідношення полярності зарядів.
Тим порушеними і незбудженими ділянками мембрани виникають електричні струми.
Вони отримали назву місцевих струмів.
Ці струми дратують сусідні незбуджені ділянки
мембрани. В результаті в них змінюється проникність іонних каналів,
розвивається деполяризація і виникає потенціал дії. Ці ділянки стають
збудженими. Процес повторюється і таким чином відбувається поширення нервового
імпульсу по нерву в обидві сторони від початкового місця нанесення подразнення.
Такий механізм проведення збудження по безмякотного нервового волокна, в якому
воно проводиться з невеликою швидкістю, поступово слабшаючи.
ВИСНОВОК
В ході роботи було визначено що клітина -
складна цiлiсна фiзiологiчна система, у якій вiдбуваються всi процеси
життєдiяльностi: обмiн речовин i енергiї, подразливiсть, рiст, самовiдтворення.
Схематична будова клітини: 1 - клітинна
мембрана; 2 - цитоплазма; 3 - ендоплазматична сітка; 4 - війки; 5 - ядро; 6 -
ядерце; 7 - лізосома; 8 - мітохондрія; 9 - центросома; 10 - апарат Гольджі
Основнi її елементи - клітинна мембрана, цитоплазма,
органели та ядро. Клiтина може жити й нормально функцiонувати тiльки за
наявностi цих компонентiв, які тiсно взаємодiють один з одним та з навколишнiм
середовищем. Засновником учення про клiтину як цiлiсну систему був вiдомий
нiмецький учений Рудольф Вiрхов.
Змінені внаслідок пошкодження клітини можуть
адаптуватися, пристосуватися до впливу фактору, відновлюватися, реактивувати
після зняття пошкоджуючого впливу або змінитися необоротно і загинути. Виходячи
з цього функціональні та морфологічні картини клітин в цих станах дуже
різноманітні. На різні фактори при оборотному пошкодженні клітини відповідають
низкою змін.
При різних пошкодженнях клітин значно падає
окисне фосфорилювання: припиняється синтез АТФ і росте споживання кисню. Для
пошкоджених клітин характерні посилення гликолитичних процесів, падіння
кількості АТФ, активація протеолізу.
При різних впливах на клітину найбільш частою
зміною структури ядра є конденсація хроматину, до найбільш часто зустрічаючихся
змін ядерної оболонки відносяться розширення (набряклість) перінуклеарного
простору, звивистість контуру ядерної оболонки, що нерідко поєднується з
пікнозом ядра.
На ранніх етапах пошкодження клітини часто
набувають кулясту форму і втрачають численні клітинні вирости і мікроворсинки.
Надалі, навпаки, зміни плазмолеми зводяться до появи на поверхні клітин різних
виростів або дрібних бульбашок.
На початкових стадіях порушення окисного
фосфорилювання відбуваються стиснення мітохондріального матриксу і деяке
розширення міжмембранного простору. Система ендоплазматичного ретикулума
найчастіше піддається вакуолізації і розпаду на дрібні бульбашки. Репарація
клітин буває повною, коли відновлюються всі властивості даних клітин, або
неповною.
ВИКОРИСТАННА ЛІТЕРАТУРА
1. БИОЛОГИЯ
Под редакцией академика РАМН профессора В.Н. Ярыгина В двух книгах • Книга 1 •
2. Гистология:
Учебник/Ю. И. Афанасьев, Н. А. Юри-Г51 на, Е. Ф. Котовский и др.; Под ред. Ю.
И. Афанасьева, Н. А. Юриной. - 5-е изд., перераб. и доп. - М.: Медицина, 2002.-
744 с: ил. (Учеб. лит. Для студ. мед. вузов). ISBN 5-225-04523-5
. Цитология
и общая гистология - Быков В.Л. - Учебник
. Автор
И.П.Ашмарин, А.Е.Антипенко, В.В.Ашапкин, Г.Г.Вольский, С.А. Дамбинова
НЕЙРОХИМИЯ: Учебник для биологических и медицинских вузов проф.
П.В.Стукалова.И.П.Ашмарнн, А.Е.Антипенко, В.В.Ашапкин, Г.Г. Вольский,
САДамбинова, Н.Д.Ешенко, М.А.Каменская, Е.П.Каразеева, Л.М. Осадчая,
П.В.Сгукалов, С АТотов, СЮ.Туманова, МАФлеров;Москва: Изд. Института
биомедацинской химии РАМН, 1996, 470 с ISBN 5-900760-02-2
. Гистология
(2-е издание) Улумбеков Э. Г., под ред.Издательство: ЭОТАР-Медиа ISBN:
5-9231-0228-5 672 стр., 2002 г.,
. Гистология
человекаДанилов Р. К., Клишов А. А., Боровая Т. Г. Издательство: Элби ISBN:
5-93979-061-5 362 стр., 2004 г.,
7. Азімов
А. Коротка історія <http://ua-referat.com/%D0%86%D1%81%D1%82%D0%BE%D1%80%D1%96%D1%8F>
біології. М., 1997.
. Кемп
П., Армс К. Введення в біологію. М., 2000.
. Лібберт
Е. Загальна біологія
<http://ua-referat.com/%D0%97%D0%B0%D0%B3%D0%B0%D0%BB%D1%8C%D0%BD%D0%B0_%D0%B1%D1%96%D0%BE%D0%BB%D0%BE%D0%B3%D1%96%D1%8F>.
М., 1978 Льоцці М. Історія фізики
<http://ua-referat.com/%D0%86%D1%81%D1%82%D0%BE%D1%80%D1%96%D1%8F_%D1%84%D1%96%D0%B7%D0%B8%D0%BA%D0%B8>.
М., 2001.
. Найдиш
В.М. Концепції сучасного природознавства. Навчальний посібник. М., 1999.
. Небел
Б. Наука <http://ua-referat.com/%D0%9D%D0%B0%D1%83%D0%BA%D0%B0> про
навколишнє середовище
<http://ua-referat.com/%D0%9D%D0%B0%D0%B2%D0%BA%D0%BE%D0%BB%D0%B8%D1%88%D0%BD%D1%94_%D1%81%D0%B5%D1%80%D0%B5%D0%B4%D0%BE%D0%B2%D0%B8%D1%89%D0%B5>.
Як влаштований світ. М., 1993.