Клинико-эпидемиологическая и цитологическая характеристика рака молочной железы у женщин в городе Гомеле и Гомельской области
МИНИСТЕРСТВО
ЗДРАВООХРАНЕНИЯ РЕСПУБЛИКИ БЕЛАРУСЬ
Учреждение
образования
«Гомельский
государственный медицинский университет»
Медико-диагностический
факультет
Кафедра
патологической анатомии с курсом судебной медицины
ДИПЛОМНАЯ
РАБОТА
Клинико-эпидемиологическая
и цитологическая характеристика рака молочной железы у женщин в городе Гомеле и
Гомельской области
Исполнитель:
студентка 6 курса Д-4 группы
А.И. Венгер
Первый руководитель:
Заместитель директора по научной
работе ГУ «РНПЦ РМ и ЭЧ, к.м.н.,
доцент
Э.А. Надыров
Второй руководитель:
Ассистент кафедры патологической
анатомии
с курсом судебно-медицинской
экспертизы
С.Ю. Турченко
Рецензент:
Заведующий кафедрой онкологии с
курсом
лучевой диагностики, д.м.н.,
профессор
В.Н. Беляковский
Гомель 2012
Реферат
Дипломная работа состоит из введения, основной части, состоящей из трех
глав: обзора литературы, общая характеристика материала и методов исследований,
результаты собственных исследований, и выводов. Полный объем работы составляет
36 страниц, включающий 14 рисунков, 3 таблицы и списка использованной
литературы.
Ключевые слова: рак молочной железы, заболеваемость, патологические митозы,
микроядра.
Актуальность темы.
В структуре онкологических заболеваний женского населения планеты в
настоящее время рак молочной железы - одна из наиболее страшных и часто
встречающихся форм злокачественных новообразований. Ежегодно в мире выявляют до
1 млн. новых случаев. В среднем риск заболеть раком молочной железы имеет
каждая десятая женщина. Смертность среди заболевших РМЖ женщин составляет
приблизительно 23 случая на каждые 100000 женского населения.
Цель и задачи:
Цель работы - изучить морфологические и эпидемиологические особенности
РМЖ. Цель исследования достигается путем решения следующих задач:
. Определить особенности первичной заболеваемости РМЖ у женщин в
Гомельской области в сравнении с Республикой Беларусь;
. Определить особенности первично-множественной заболеваемости РМЖ
у женщин в Гомельской области в сравнении с Республикой Беларусь;
. Изучить цитологические и цитогенетические особенности РМЖ в
Гомельской области и Республике Беларусь.
Содержание
Перечень условных обозначений
Введение
Глава 1. Обзор литературы
1.1 Эпидемиология РМЖ
1.2 Факторы риска развития РМЖ
.3 Патогенез РМЖ
.4 Классификация РМЖ
.5 Цитологические особенности отдельных форм РМЖ
.5.1 Особенности, присущие протоковому раку (протоковой
карциноме in situ)
.5.2 Внутридольковый рак (in situ
.5.3 Инфильтративный протоковый рак
.5.4 Инфильтрирующий дольковый рак
.5.5 Слизистый рак (муцинозный, коллоидный)
.5.6 Медуллярный рак молочной железы
.5.7 Папиллярный рак
.5.8 Тубулярный рак
.5.9 Апокриновый рак
.5.10 Рак Педжета
.5.11 Плоскоклеточный рак
Глава 2. Общая характеристика материала и методов
исследований
Глава 3 Результаты собственных исследований
3.1 Заболеваемость раком молочной железы в Гомельской области
и Республике Беларусь
.2 Результаты цитологического и цитогенетического
исследований
Выводы
Список литературы
Перечень
условных обозначений
РМЖ - рак молочной железы
Мя - микроядро
ПМЗН - первично-множественные злокачественные новообразования
Введение
Современные тенденции нарастания показателей заболеваемости выдвигают рак
молочной железы (РМЖ) на 1-е место в структуре онкологической заболеваемости
женщин, а частота его неуклонно растет особенно в пожилом возрасте.
Статистические данные последних лет свидетельствуют о неуклонном, интенсивном
росте заболеваемости и смертности от рака молочной железы в различных странах
[1, 2].
Заболевание возникает в любом возрасте, но чаще в возрасте от 45 до 65
лет, у женщин моложе 40 лет встречается редко. Особенно нагляден рост
заболеваемости РМЖ в промышленно развитых странах, в регионах с неблагоприятной
экологической обстановкой, в том числе и в Беларуси.
Тенденция к увеличению заболеваемости наблюдается как среди городского,
так и среди сельского населения, причем как в Гомельской области, так и по всей
республике в целом. При этом заболеваемость городского населения остается
стабильно выше, чем сельского.
По данным Белорусского канцер - регистра, заболеваемость РМЖ в целом по
Беларуси за последнее десятилетие возросла в 1,5 раза. Так, если в 1994 году
она составляла 43,8 на 100 000 женского населения, то в 1998 г. - 55,0, а в
2009 г. - 72,4. Также увеличилась доля заболеваемости РМЖ в общей структуре
заболеваемости онкологическими заболеваниями среди женщин в целом по Беларуси:
в 1994 г. она составляла 16,7%, в 1998 г. - 18,3%, в 2004 г. - 18,4%. Показатели заболеваемости в Гомельской области также
отражают общую тенденцию к возрастанию: в 1994 г. - 40,0 на 100 000 женщин, в
1998 г. - 51,9, в 2010г. - 77,1 [3].
Глава 1.
Обзор литературы
.1
Эпидемиология РМЖ
РМЖ в течение последних десятилетий является самым распространенным
онкологическим заболеванием среди женщин практически всех стран мира, и
заболеваемость этой патологией постоянно возрастает [4].
РМЖ составляет 23% от всех новообразований у женщин. Эпидемиологические
исследования демонстрируют неоднородное распространение заболеваемости РМЖ в
различных регионах планеты. В 2002г. на планете зарегистрировано 1 150 000
новых случаев рака молочной железы, из которых 360 000 - в Европе, 260 000 - в
Северной Америке, 46 000 случаев - в России. Самый низкий уровень РМЖ -12-15
случаев на 100 000 женщин зарегистрирован в Японии. Ежегодно в США у 18 000
женщин впервые обнаруживают РМЖ. При условии сохранения такой
эпидемиологической ситуации, риск возникновения рака молочной железы будет
реальным для каждой десятой женщины.
Заболевание возникает в любом возрасте, но чаще в возрасте от 45 до 65
лет, у женщин моложе 40 лет встречается редко. Заболеваемость увеличивается с
возрастом и достигает максимума в 65-75 лет. Однако частота РМЖ имеет два пика:
первый пик приходится на возрастную группу 40-45 лет (предменопаузальный РМЖ),
а второй после 50-55 лет (постменопаузальный РМЖ). Онкопатология молочной
железы у женщин до 50 лет развивается на фоне менструальной функции и
отличается реакцией на эстрогены (отдельным патогенетическим вариантом выделяют
тиреоидную форму эстрогенонезависимого рака у женщин до 35 лет). В группе старше
50 лет патогенетические моменты развития онкопатологии молочной железы имеют
другие особенности. Тревожным фактом является то, что количество больных в
возрасте 30-40 лет постоянно растет [5].
Изучение географической вариабельности и тенденций заболеваемости РМЖ на
планете с учетом миграции групп женщин из стран с низким уровнем РМЖ в страны с
высоким уровнем заболеваемости позволяет выделить некоторые внешние факторы,
влияющие на патогенез этого заболевания. Установлено, что низкая рождаемость,
поздний возраст первых родов, раннее наступление менструальной функции и
поздняя менопауза - это важные факторы, которые ассоциируются с увеличением
риска развития РМЖ. Но самым значимым и общим фактором риска возникновения РМЖ
в популяции женского населения планеты является увеличение возраста женщин.
В целом, для женщин в возрасте 20-24 лет заболеваемость РМЖ составляет
1,3 случая на 100 000 женщин, а для женщин в возрасте 75-79 лет - 483,3 случая
на 100 000 женщин.
Для женщин 70 лет ежегодный риск заболевания РМЖ в 3 раза выше, чем для
женщин в возрасте 40 лет, а ежегодный риск смерти от РМЖ в 5 раз выше, чем для
женщин 40 лет.
Одной из важнейших особенностей РМЖ является его биологическая
неоднородность (гетерогенность), которая обусловлена поликлональностью клеточного
состава первичной опухоли [1].
Рак молочной железы является одной из наиболее частых причин смерти
женщин во многих странах. В Республике Беларусь в 2009 г. От злокачественных
новообразований умерли 16777 человек, из них 1163 женщины больные РМЖ.
В структуре смертности женщин от злокачественных новообразований РМЖ в РБ
занимает первое место, как и в большинстве стран Западной Европе, и составляет
16,7%. Вместе с тем, на протяжении последних десяти лет смертность от РМЖ
стабилизировалась и наблюдается тенденция к снижению ее показателей. Высокий
уровень смертности от РМЖ на протяжении последних десяти лет наблюдался в
г.Минске, Гродненской и Витебской областях по сравнению с другими регионами
республики.
Ежегодно увеличивается число больных, у которых опухоль была выявлена при
профилактических обследованиях. В 2000г. из общего числа всех впервые
выявленных случаев заболевания РМЖ 27,4% были диагностированы при профосмотрах,
в 2005 этот показатель составил 43,7%, в 2009г. - 64,0%.
Таким образом, за последние годы наблюдается рост показателей
заболеваемости женщин злокачественными новообразованиями молочной железы, в том
числе в репродуктивном возрасте, в тоже время отмечается снижение показателей
запущенности и смертности и улучшение эффективности проводимых профилактических
осмотров[6].
1.2
Факторы риска развития РМЖ
Несмотря на многочисленные исследования факторов риска возникновения рака
молочной железы, до сих пор причины его возникновения окончательно не
установлены.
К факторам повышенного риска возникновения РМЖ относят:
- факторы, характеризующие функционирование репродуктивной системы
организма (менструальная, половая, детородная, лактационная функции;
гиперпластические и воспалительные заболевания яичников и матки);
эндокринно-метаболические факторы, обусловленные сопутствующими и
предшествующими заболеваниями (ожирение, гипертоническая болезнь, сахарный
диабет пожилых, атеросклероз, заболевания печени, заболевания щитовидной железы
(гипотиреоз), дисгормональные гиперплазии молочных желез);
генетические факторы (носители BRCA-1 или BRCA-2 генов): РМЖ у кровных
родственников (наследственные и «семейные» РМЖ), молочно-яичниковый «синдром»
(РМЖ и рак яичников в семье) и другие;
экзогенные факторы (ионизирующая радиация, курение, химические
канцерогены, общие для всех локализаций опухолей, избыточное потребление
животных жиров, высококалорийная диета).
Еще в 1961 г. было показано, что не рожавшие женщины имеют более высокий
риск заболеть РМЖ, тогда как рожавшие и имевшие беременность до 20 лет защищены
от этого заболевания. Удаление же яичников до 40 лет уменьшает риск развития
РМЖ. Эти данные убедительно показывают связь между репродуктивной функцией
женщин и РМЖ. Однако это не доказывает, какой же из гормонов оказывает решающее
влияние на процесс развития РМЖ [7].
Современные данные свидетельствуют о том, что использование новейших
комбинированных оральных контрацептивов снижает риск развития рака яичников и
рака эндометрия. В то же время до сих пор отсутствует однозначная информация о
наличии связи между риском возникновения РМЖ и оральной контрацепцией.
В ряде работ отмечается, что прием оральных контрацептивов лишь усиливает
влияние факторов риска, в частности курения [8].
1.3
Патогенез РМЖ
Согласно современным представлениям о канцерогенезе, в основе
злокачественной трансформации клеток лежит активация единичных или
множественных клеточных онкогенов или генов-супрессоров [1].
Первым
был выявлен ген-супрессор опухолевого роста ТР53
<#"585397.files/image001.gif">
Рисунок.
1.1. б - клетки средних размеров, ядра крупные, несколько отличаются по
размерам и форме, Окрашивание по Паппенгейму. х1000
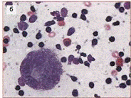
1.5.6 Медуллярный рак
молочной железы
Цитологическая
картина медуллярного рака характеризуется следующими признаками:
-
лимфоидные элементы разной степени зрелости;
клетки
рака иногда присутствуют в небольшом количестве;
опухолевые
клетки крупные;
клетки
не образуют каких-либо структур;
резко
выражен клеточный и ядерный полиморфизм, четко определяются ядрышки (рисунок
1.2.).

Рисунок. 1.2. Крупные одноядерные и многоядерные опухолевые
клетки, выражен ядерный полиморфизм. Фон - лимфоидные элементы разной степени
зрелости, Окрашивание по Паппенгейму, х1000
1.5.7
Папиллярный рак
Встречается в 1-2% инвазивного рака молочной железы и отличается
благоприятным клиническим течением.
Цитологическая картина папиллярного рака может напоминать
внутрипротоковую папиллому - эритроциты, макрофаги с гемосидерином,
сосочкоподобные структуры. Однако в отличие от внутрипротоковой папилломы фон
препарата более «грязный» (разрушенные клетки, детрит), отмечается клеточный и
ядерный полиморфизм, особенно характерен грубый неравномерно распределенный
хроматин; сосочкоподобные структуры рыхлые, встречаются разрозненно лежащие
клетки с атипией ядер и сохранившейся цитоплазмой. При невозможности провести
морфологическую дифференциальную диагностику между папиллярным раком и
внутрипротоковой папилломой лучше склоняться в сторону внутрипротоковой
папилломы из-за благоприятного клинического течения папиллярного рака, при
котором секторальная резекция молочной железы может быть адекватным по объему
оперативным вмешательством (рисунок 1.3).
Рисунок. 1.3. Выделения из соска: сосочкоподобные структуры
из клеток рака с полиморфными гиперхромными ядрами. Фон - эритроциты, макрофаги
с гемосидерином. Окрашивание по Паппенгейму, х-600;
1.5.8
Тубулярный рак
Клетки располагаются в плотных структурах, отсутствует клеточный
полиморфизм, клетки небольшого размера, хроматин нежный. Все это нередко бывает
причиной ложноотрицательного диагноза, так как сходная цитологическая картина может
быть при склерозирующем аденозе, радиальном рубце.
• Опухоль маленьких размеров, но клинически и при маммографии имеется
подозрение на рак.
• При проведении пункции возникает ощущение плотной фиброзной ткани.
• Аспират малоклеточный, реже умеренно-клеточный.
• Клетки располагаются в плотных структурах и пластах, напоминающих
ацинарные. Клетки кубической или даже цилиндрической формы, иногда в
цитологических мазках видны микроворсинки.
• Могут встречаться пальцевидные структуры и клеточные балочки.
• Анизокариоз незначительный.
• Гиперхромия ядер выражена слабо.
• Хроматин зернистый с несколькими выраженными хромоцентрами при влажной
фиксации.
• Ядрышки единичные, мелкие.
• Разрозненно лежащие клетки с типией и «голые» ядра встречаются редко
(рисунок.1.4).
Рисунок. 1.4. Тубулярный рак. Структуры вытянутой формы
(тубулярные). Клетки нагромождаются друг на друга, ядра расположены тесно,
признаки злокачественности выражены нерезко, х400. Окрашивание по Паппенгейму
1.5.9
Апокриновый рак
Относится к редкой форме рака. В молочной железе апокринизация нередко
встречается как при доброкачественных процессах (кисты, склерозиру-ющий аденоз,
фиброаденома, внутрипротоковая папиллома), так и при раке, но апокриновый рак
можно диагностировать, если апокриновые клетки составляют не менее 75% объема
опухоли.
- выраженный клеточный и ядерный полиморфизм;
клетки очень крупных размеров;
ядра крупные, полиморфные, располагаются в большинстве клеток
эксцентрически (если апокринные клетки незначительно отличаются по размерам и
форме, это не рак, для рака характерен резко выраженный полиморфизм);
цитоплазма обильная, гомогенная или слегка зернистая (рисунок 1.5).
Рисунок. 1.5. Апокриновый рак. Клетки крупные и гигантские.
Ядра крупные, различаются по размерам и форме, расположены эксцентрически.
Окрашивание по Паппенгейму, а - х400;
1.5.10 Рак
Педжета
Характеризуется экземоподобным поражением кожи соска и околососковой
зоны. Составляет около 1-4,5% злокачественных опухолей молочной железы.
• опухолевые клетки крупные, относительно однотипные, несколько
напоминают клетки плоского эпителия;
• форма клеток округлая или неправильно овальная;
• контуры клеток волнистые, неясно обрисованные - «кружевные»;
• ядра крупные, округлые или овальные, гиперхромные, расположены
эксцентрически, контуры ядер сравнительно ровные;
• хроматин мелкоточечный или мелкозернистый;
• 2-3 крупных полиморфных ядрышка;
• цитоплазма светлая или слабо базофильная, негомогенная, мелкозернистая
или слегка вакуолизированная.
Если имеется прорастание опухолью околососковой зоны, клетки рака
располагаются на фоне элементов клеточного распада («голых» ядер разрушенных
клеток, в том числе полиморфных, детрита, фибрина) и воспаления (нейтрофильных
лейкоцитов, лимфоидных элементов, макрофагов; могут присутствовать гигантские
многоядерные гистиоциты) (рис.10).
1.5.11
Плоскоклеточный рак
Плоскоклеточный рак встречается редко, обычно в пожилом возрасте.
При плоскоклеточном раке обнаруживают клетки плоского типа,
располагающиеся разрозненно или в небольших группах, цитоплазма обильная с
признаками ороговения (плотная, блестящая, ясно-голубого, серого, синего
цвета). Особенно хорошо видны признаки ороговения цитоплазмы при окрашивании
мазков по Папаниколау (ярко-оранжевая плотная цитоплазма). Ядра гиперхромные, с
угловатыми границами, структура хроматина просматривается с трудом. Фон
препарата составляют некротические массы, обломки ороговевшей цитоплазмы,
встречаются безъядерные клетки (чешуйки). Иногда обнаруживают гигантские
многоядерные клетки, появление которых считают реакцией на кератин [11]
Глава
2. Общая характеристика материала и методов исследований
Исходным материалом для проведения исследования явились данные
республиканского Канцер-регистра. Для проведения сравнительного анализа были
использованы случаи РМЖ на территории Гомельской области, наиболее пострадавшей
от последствий аварии на Чернобыльской АЭС. Группу сравнения была представлена
случаями РМЖ на территории Беларуси (за исключением Гомельской и Могилевской
областей и г. Минска). Проанализирована заболеваемость РМЖ за период с 1993 по
2008 гг. Рассчитывались следующие показатели.
Грубый интенсивный показатель заболеваемости на 100 000 (в 0/0000)
населения (P) рассчитывался
по формуле:
Где
R - общее число новых случаев заболевания;
N -общее
число человеко-лет наблюдения.
Повозрастные
показатели заболеваемости (pi )
рассчитывались по формуле:

где:
pi -повозрастной
показатель заболеваемости в i-й
возрастной группе;
ri - число новых случаев
заболевания в i-й
возрастной группе;i - численность в i-й
возрастной группы соответствующего населения.
Для
сравнения заболеваемости в различных регионах с учетом их динамики по времени,
разницы в возрастной структуре населения рассчитывались стандартизованные
показатели заболеваемости «прямым методом» с использованием мирового стандарта
населения «World» в усеченном варианте по формуле:
,
где:
ASR - стандартизованный
показатель заболеваемости;
pi - повозрастной показатель заболеваемости в i-й возрастной группе;
wi - численность в i-й возрастной группы мирового стандарта населения;
N - количество возрастных групп [12].
Объектом для цитогенетических исследований служили мазки-отпечатки
опухолевой ткани женщин с инвазивным раком молочной железы, проживающих на
территориях Гомельской и Минской областей.
Препараты готовили по стандартной методике: во время операции к месту
поражения прикладывается обезжиренное, стерильное предметное стекло, на котором
оставалось некоторое количество клеточных элементов; препараты высушивали,
фиксировали с помощью фиксатора Карнуа (ледяная уксусная кислота: спирт = 1:3)
в течение 10 мин. и окрашивали 10% раствором красителя Романовского-Гимзы в
течение 20 минут. Затем препараты высушивали и заключали под покровное стекло с
помощью оптически прозрачного клея.
Схема окрашивания мазков по методу Романовского-Гимзы [11]:
. Высушить мазок на воздухе
. Опустить в фиксатор-краситель Мая-Грюнвальда на 3 минуты.
. Промыть водопроводной водой.
. Стряхнуть избыток воды.
. Докрашивание азур-эозином: 2 части 0,1% раствора азура, 1 часть 0,1%
раствора водно-растворимого эозина и 3 части дистиллированной воды pH 6,8 -
7,2, окрашивание 20 минут. Смесь красителей готовят перед работой (ex tempore). Мазки окрашиваются от 20 до 30 минут. (Время
устанавливалось опытным путем в зависимости от свойств красителей, температуры
воздуха, характера материала и других факторов.).
. Промыть водопроводной водой.
. Высушить на воздухе.
Для контроля проводилась гистологическая верификация диагноза с
определением гистологической формы рака и степени злокачественности. Анализ
проводили с помощью микроскопа «Axioplan» (увеличение 10×100).
От каждого пациента анализировали не менее 1000 клеток мазков-отпечатков
опухолевой ткани, отдельно подсчитывались клетки с нормальными и
патологическими митозами, а также микроядрами, результаты выражали в процентах
и обрабатывали с помощью программ: статистических пакетов Exel 2003 и «Statistica 6.0» с использованием
параметрической и непараметрической статистики.
Также был проведен морфометрический анализ мазков-отпечатков, женщин
пораженных раком молочной железы.
Морфометрический анализ мазков отпечатков проводили с помощью микроскопа
«Axioplan» (увеличение 10×100). Для проведения анализа от каждого
пациента анализировали не менее 150-200 клеток. Обрабатывали при помощи
программы Scion Image.
Измеряли следующие параметры:
. Площадь ядра
. Площадь цитоплазмы
. Цитоплазматический индекс
Полученные, в ходе исследований, данные подсчитывались и обрабатывались
при помощи пакета прикладных программ «Statistica 6.0» с использованием непараметрической статистики.
Глава
3. Результаты собственных исследований
3.1
Заболеваемость раком молочной железы в Гомельской области и Республике Беларусь
Всего в анализ вошли 7969 случаев РМЖ (из них 1224
первично-множественные) на территории Гомельской области, группу сравнения
составил 27981 случай (из них 7969 первично-множественные). Динамика роста
стандартизованных показателей первичной заболеваемости РМЖ представлена на
рисунке 3.1.
Рисунок 3.1 - Динамика стандартизованных показателей
заболеваемости РМЖ
Как видно из графика за период с 1991 по 2008 гг. прослеживалась
отчетливая тенденция монотонного роста заболеваемости РМЖ. Среднегодовые темпы
прироста определялись как примерно одинаковые и составили в Гомельской области
2,2 %/год, в группе сравнения -1,918 %/год. В то же время
в отдельные годы отмечалось превышение показателей заболеваемости в Гомельской
области в сравнении с показателями группы сравнения (в 2001 г. - 39,668 0/0000
и 32,383 0/0000; в 2004 г. - 44,462 0/0000
и 39,16 0/0000 и 2005 - 45,275 0/0000
и 37,339 0/0000 соответственно).
Особый интерес представляло изучение динамики и возрастной структуры
первично-множественных злокачественных новообразований (ПМЗН) молочной железы.
Считается, что в случаях с ПМЗН, имеет место нестабильность генной структуры
[12]. Известно, что нестабильность генома, может индуцироваться воздействием
ионизирующей радиации. Уровни облучения, полученные населением вследствие
аварии на Чернобыльской АЭС относятся к диапазону малых доз, и развитие
злокачественных новообразований, в том числе и ПМЗН относится к стохастическим
(случайным эффектам). На рисунке 3.2 представлена динамика выявления случаев
ПМЗН, где РМЖ являлся одним из компонентов полинеоплазий.
Рисунок 3.2 - Динамика стандартизованных показателей
заболеваемости первично-множественными РМЖ
Как видно из графика за период с 1991 по 2008 гг. в группе сравнения
выраженного роста ПМЗН не прослеживалось. Среднегодовые темпы прироста
составили 0,442%/год. В то же время в Гомельской области темпы
прироста составили 3,979%/год. При этом наиболее выраженный рост
заболеваемости ПМЗН, где РМЖ был одним их компонентов полинеоплазий определялся
в Гомельской области начиная с 2005 г., темпы прироста составили 20,698%/год,
в то же время в группе сравнения прирост имел отрицательную тенденцию и
составил -6,259%/год. При этом значительные превышения показателей
заболеваемости определялось в 2007 и 2008 г. (в 2007 г.- 11,1520/0000
и 7,974 0/0000, 2008 г. - 21,698 0/0000
и 6,948 0/0000 в Гомельской области и группе сравнения
соответственно).
3.2
Результаты цитологического и цитогенетического исследований
В результате исследования был проанализирован 141 препарат-отпечаток
опухолевой ткани женщин проживающих в Гомельской и Минской областях (78 и 63 препарата
соответственно). При цитологическом анализе учитывались клетки с микроядрами
(одним, двумя, тремя и более), а также клетки с патологическими и нормальными
митозами.
Нарушение нормального течения митоза - патологический митоз - ведет к
различным нарушениям хромосомного аппарата клеток и неравномерному
распределению генетического материала между дочерними ядрами. Это один из
основных механизмов возникновения анеуплоидии и нарастания генетической
гетерогенности клеточных популяций. Клеточный полиморфизм, который можно
наблюдать при микроскопическом изучении клеток злокачественных опухолей
представляет собой прямое следствие патологии митоза. Это в первую очередь
образование гигантских ядер и микроядер, многоядерных клеток, гипер- или
гипохромия вследствие разного количества в них ДНК и изменения структуры
хроматина.
Патологические митозы по механизмам их возникновения можно разделить на
три большие группы, связанные с аномалиями хромосом, аномалиями митотического
аппарата и нарушениями цитотомии (таблица3.1.).
Таблица 3.1. Классификация патологических митозов по И.А. Орлову.
|
№
|
Источник патологии митоза
|
Наблюдаемый феномен
|
|
1
|
Патология митоза, связанная
с повреждением хромосом
|
1) задержка митоза в
профазе, 2) нарушение спирализации и деспирализации хромосом, 3) раннее
разделение хроматид, 4) фрагментация и пульверизация хромосом, 5) хромосомные
и хроматидные мосты, 6) отставание хромосом в метакинезе и при расхождении к
полюсам, 7) образование микроядер, 8) нерасхождение хромосом, 9) набухание и
слипание хромосом.
|
|
2
|
Патология митоза, связанная
с повреждением митотического аппарата
|
1) задержка митоза в
метафазе, 2)К-митоз, 3) рассеивание хромосом в метафазе, 4) многополюсный
митоз, 5) моноцентрический митоз, 6) ассиметричный митоз, 7) трехгрупповая
метафаза и метафаза с полярными хромосомами, 8) полая метафаза.
|
|
3
|
Нарушение цитотомии
|
1) запаздывание или
отсутствие цитотомии (диссоциация между ядерными и цитоплазматическими
изменениями), 2) преждевременная цитотомия
|
Не останавливаясь детально на каждой из перечисленных форм патологии
митоза, приведем лишь те из них, которые наблюдались в ходе нашего
исследования. Хромосомные мосты (рисунок 3.1.) являются следствием фрагментации
хромосом, они образуются при воссоединении, содержащих центромер, в результате чего
образуется дицентрическая хромосома. Последняя, растягиваясь между разными
полюсами делящихся клеток, образует мост, задерживая наступление полного
цитокинеза. Эта форма патологии характеризуется достаточно большой
устойчивостью. Однажды возникнув, хромосомные и хроматидные мосты обладают
способностью длительно (12-15 митотических циклов) сохраняться в ряду клеточных
поколений [13, 14].
Рисунок 3.1. Хромосомный мост. Увеличение: 900. Окраска: по
Романовскому-Гимза
Отставание хромосом в метакинезе имеет место при повреждении хромосом в
области кинетохора: в этом случае судьба «отставших» хромосом такая же, как и
ацентрических фрагментов.
Для всех случаев патологи митоза, связанных с повреждением митотического
аппарата, характерна задержка течения митоза на стадии метафазы.
Рисунок. 3.2. Отставание хромосом в метафазе. Увеличение:
900. Окраска: по Романовскому-Гимза
Типичный представитель этой группы аномалий - так называемый колхициновый
митоз (К-митоз) (рисунок 3.2.), для которого характерна полная блокада деления
клетки в метафазе в результате повреждения митотического аппарата ядами,
например, колхицином. К-митоз характеризуется нерасхождением центриолей,
дезорганизацией микротрубочек веретена деления и задержкой разделения и
последующего расхождения кинетохоров. Кроме того, характерным признаком
К-митоза является гиперспирализация хромосом.
Рисунок. 3.3. а), б) - К-митоз. Увеличение: 900. Окраска: по
Романовскому-Гимза
Исход К-митоза может быть различным в зависимости от глубины повреждения
клеточных структур: гибель клетки, завершение митоза с образованием одного
полиплоидного ядра или нескольких микроядер с различным числом хромосом и даже
восстановление митотического аппарата с последующим нормальным завершением
митоза.
Пульверизация хромосом в метафазе связана с повреждением или полной
дезорганизацией митотического аппарата. В отличие от К-метафазы
гиперспирализации хромосом не наблюдается.
Моноцентрический митоз обусловлен нарушением процесса деления и
расхождения центриолей, при этом образуется только один полюс с веретеном
деления и большой чашеобразной метафазной пластинкой. Заканчивается
моноцентрический митоз тем, что разделенные на сестринские хроматиды хромосомы
не расходятся и формируют одно полиплоидное ядро, при этом каждый последующий
митоз ведет к нарастанию полиплоидии делящихся таким путем клеток.
Возникновение многополюсного митоза связано с аномалией деления и
расхождения центриолей, приводящее к образованию трех и более полюсов и веретен
деления. Как правило, многополюсные митозы заканчиваются образованием анеуплоидных
клеток. Есть данные, что многополюсные митозы возникают не только в результате
дополнительного деления центриолей, но и при слиянии ядер и клеток, которое
также отмечается в популяциях раковых клеток [14, 15, 16].
Ассиметричный митоз возникает в результате неравномерного развития
митотических центров и связанных с ними в митотических веретен, что приводит в
конечном итоге к неравномерному распределению хромосом в анафазе и формированию
анеуплоидных дочерних клеток.
Трехгрупповая метафаза (рисунок 3.3.) характеризуется наличием помимо
основной экваториальной пластинки дополнительных групп хромосом (или единичных
хромосом) у полюсов. Эта форма патологии митоза возникает в результате
отставания хромосом во время метакинеза, связанного либо с повреждением
кинетохора, либо с дезорганизацией отдельных хромосомальных нитей веретена.
Исходом трехгрупповой метафазы является образование анеуплоидных клеток [15].
Рис. 3.4. а) клетки с микроядром, б) клетка с 2 микроядрами,
в) клетка с 4 микроядрами. Увеличение: 900. Окраска: по Романовскому-Гимза
В настоящее время выделяют два основных механизма образования микроядер:
а) микроядро в ядерной клетке может быть образовано фрагментом хромосомы
в результате повреждения ДНК. Оно не содержит центромерного участка и
характеризует общий кластогенный эффект на клеточную популяцию. Увеличение
частоты встречаемости клеток с микроядрами этого типа свидетельствует об
индукции хромосомных и, вероятно генных мутаций;
б) микроядро может быть результатом повреждения веретена деления
(нарушения белкового аппарата клетки) и образовано одной или более целыми
хромосомами, отставшими в анафазе митоза и не вошедшими в основное ядро. В этом
случае микроядро включает число центромер, соответствующее количеству вошедших
в него хромосом. Появление таких микроядер характеризует анеугенный эффект
(изменение числа хромосом в основном ядре) и указывает на присутствие геномных
мутаций.
Определение относительного диаметра микроядер (соотношения диаметра
микроядра и ядра) может косвенно указывать на механизм их образования.
Микроядра, образованные в результате разрыва ДНК (радиационный фактор), имеют
значительно меньший размер по сравнению с микроядрами, образованными одной или
несколькими целыми хромосомами (преимущественный индуктор - химический фактор).
В настоящее время накапливаются данные о значимости микроядер как
биомаркеров канцерогенного эффекта. Показано, что повышение частоты клеток с
микроядрами в ротовой полости является самым ранним проявлением риска рака
ротовой полости, отмечается до развития лейкоплакии и усиливается на каждой
последующей стадии предраковых изменений. И очень интересным является тот факт,
что повышение частоты буккальных эпителиоцитов с микроядрами выявлено при раке
другой локализации: лимфатических узлов, грудной клетки, шейки матки. Этот ряд
фактов позволяет предположить, что при онкопатологии происходят определенные
интегральные процессы, приводящие к нестабильности генома, в том числе - к
повышению частоты генетически измененных клеток в органе, удаленном от места
карциномы [17]. Полученные нами результаты цитологического исследования
суммированы в таблице 3.2.
Таблица 3.2 - Цитологический и цитогенетический статус рака молочной
железы
|
Параметр
|
Гомель
|
Минск
|
Р
|
|
Клеток в анализе
|
78000
|
63000
|
|
|
Распределение по фазам
клеточного цикла (норма), %
|
Клетки в стадии профазы
|
0,124±0,013
|
0,06±0,001
|
0,01
|
|
Клетки в стадии метафазы
|
0,004±0,002
|
0,002±0,002
|
|
|
Клетки в стадии анафазы
|
0,001±0,001
|
0,000±0,000
|
|
|
Клетки в стадии телофазы
|
0,001±0,001
|
0,003±0,002
|
|
|
Всего клеток в стадии
митоза
|
0,131±0,013
|
0,065±0,010
|
0,01
|
|
Патологические митозы %
|
Анафазные мосты
|
0,171±0,015
|
0,011±0,004
|
0,005
|
|
Отставание в метафазе
|
0,000±0,000
|
0,002±0,002
|
|
|
Пульверизация хромосом
|
0,001±0,001
|
0,002±0,002
|
|
|
3-х групповые митозы
|
0,001±0,001
|
0,003м0,002
|
|
|
Многополюсные митозы
|
0,000±0,000
|
0,002±0,002
|
|
|
Моноцентрические митозы
|
0,000±0,000
|
0,003±0,002
|
|
|
Асимметричные митозы
|
0,006±0,003
|
0,002±0,002
|
|
|
К-митоз
|
0,023±0,005
|
0,011±0,004
|
0,025
|
|
Прочие митозы
|
0,019±0,005
|
0,035±0,008
|
0,025
|
|
Всего патологических
митозов
|
0,222±0,017
|
0,071±0,011
|
0,005
|
|
Клетки с микроядрами, %
|
Клетки с 1 мя
|
0,450±0,027
|
0,005
|
|
Клетки с 2 мя
|
0,124±0,013
|
0,065±0,010
|
0,01
|
|
Клетки с 3 и > мя
|
0,022±0,005
|
0,008±0,003
|
0,005
|
|
Всего мя
|
1,783±0,047
|
0,594±0,031
|
0,005
|
|
Всего клеток с мя
|
1,615±0,045
|
0,519±0,029
|
0,005
|
Данные представленные в таблице 3.2. свидетельствуют о том, что во всех
обследованных группах наблюдается достаточно высокий уровень мутационных
событий.
Не смотря на то, что по отдельным классам патологических митозов различия не всегда достоверны, общий уровень
патологических митозов в образцах ткани Гомельской области значительно
(0,222±0,017%) и статистически достоверно значимо (Р < 0,005) превышает
таковой у женщин Минской области (0,071±0,011 %).
Что же касается количества микроядер, то здесь увеличение сохраняется как в отдельных классах клеток с микроядрами
(клетки с 1 (1,469±0,043%), 2 (0,124±0,013%), 3 и более микроядрами (0,022±0,005%) и в Минской области (0,450±0,027%), (0,065±0,010 %) и (0,008±0,003
%)соответственно), так и в общем уровне микроядер (1,783±0,047%) Гомельская и (0,594±0,031%)
Минская область.
Из всех клеток находящихся на стадиях клеточного цикла, большая часть
клеток из образцов групп находится на стадии профазы (0,124±0,013% от общего
количества 0,131±0,013% в Гомельской и 0,060±0,001% от общего количества
0,065±0,010%) При этом частота встречаемости этих клеток достоверно (р<0,01)
выше в препаратах из Гомеля (0,124±0,01% против 0,060±0,001%). Снижение частоты
встречаемости клеток на других стадиях клеточного цикла, возможно, имеет место
из-за задержки опухолевых клеток в первой контрольной точке митоза и их гибелью.
Анализируя клетки с патологическими митозами можно выделить две группы:
клетки с «минорными» и клетки с наиболее часто встречающимися формами
патологических митозов.
Среди «минорных» форм патологических митозов в образцах Минской области
наблюдается достаточно широкий спектр нарушений, включающий в частности
отставание в метафазе, пульверизацию (рассеивание) хромосом, а также 3-х
групповые, многополюсные, моноцентрические и ассиметричные митозы. В образцах
Гомельской области спектр патологий митозов уже и представлен только
пульверизацией хромосом, трехгрупповыми и ассиметричными митозами.
Частота встречаемости микроядер является весьма чувствительным и
неспецифическим показателем, реагирующим на любые факторы, обладающие
мутагенным эффектом и отражающим степень общей дестабилизации генома
соматических клеток.
Частота встречаемости микроядер в образцах опухолевой ткани
женщин из Гомельской области увеличен как в отдельных классах клеток с
микроядрами, так и по общему уровню микроядер по сравнению с Минской областью.
Основываясь на представленных выше данных можно сделать заключение о том, что
повышенный уровень частоты микроядер возможно свидетельствует о более
выраженном мутационном
давлении в образцах РМЖ из Гомельской области.
Особенности течения патологического процесса отражается не только на
генетическом уровне в нормальной и опухолевой ткани, но и на морфологических
особенностях этих тканей. Последнее свидетельствует о возможности использования
параметров для оценки риска возникновения заболевания, но и прогноза течения
самого заболевания.
В таблице 3.3. приведены результатах морфометрического анализа
мазков-отпечатков опухолевой ткани пациентов с РМЖ, проживающих в Гомельской и
Минской областях.
При проведении цитологических исследований анализировались
следующие показатели: площадь ядра, площадь цитоплазмы, рассчитывался
цитоплазматический индекс.
Таблица 3.3 - Морфометрические показатели опухолевой тканей РМЖ женщин проживающих в
Гомеле и Гомельской области и Минске и Минской области.
|
Параметр
|
Гомель
|
Минск
|
Р
|
|
Количество клеток в анализе
|
2029
|
2436
|
|
|
Площадь ядра
|
106,896±2,538
|
122,513±2,094
|
0,025
|
|
Площадь цитоплазмы
|
197,658±5,843
|
178,450±3,730
|
0,025
|
|
Цитоплазматический индекс
|
0,629±0,005
|
0,638±0,004
|
|
При анализе суммированных в таблице 3.3. данных очевидно, что несмотря на
отсутствие различий по величине цитоплазматического индекса (0,629±0,005 для
образцов из Гомельской области и 0,638±0,004 для образцов из Минской области)
существенно (197,658±5,843 Гомельская область против 178,450±3,730Минская область)
и достоверно различается (Р<0,025) площадь цитоплазмы и ядра (106,896±2,538
Гомельская область против 122,513±2,094 Минская область) клеток образцов из
Гомельской области.
Если принять во внимание тот факт, что площадь ядра пропорциональной
количеству ДНК, можно предположить, что среди клеток образцов из Гомеля и
Гомельской области преобладают клетки со сниженной плоидностью (скорее всего
анеуплоиды с утратой небольшого количества хромосом так как в противном случае
жизнеспособность резко падает).
Выводы
. За период с 1991 по 2008 гг. прослеживается тенденция монотонного роста
заболеваемости РМЖ. Среднегодовые темпы прироста определялись как примерно
одинаковые и составили в Гомельской области 2,2 %/год, в Республике
Беларусь -1,918 %/год.
. За период с 1991 по 2008 гг. в Республике Беларусь выраженного роста
ПМЗН не прослеживалось. Среднегодовые темпы прироста составили 0,442%/год.
В то же время в Гомельской области темпы прироста составили 3,979%/год.
При этом наиболее выраженный рост заболеваемости ПМЗН, где РМЖ был одним их
компонентов полинеоплазий определялся в Гомельской области начиная с 2005 г.,
темпы прироста составили 20,698%/год, в то же время в группе
сравнения прирост имел отрицательную тенденцию и составил 6,259%/год.
3. Не смотря на то, что по отдельным классам патологических митозов различия не всегда значимы, общий уровень
патологических митозов в образцах ткани Гомельской области значительно
(0,222±0,017%) и статистически значимо (р < 0,005) превышает таковой у
женщин Минской области (0,071±0,011 %).
. Частота встречаемости микроядер в образцах
опухолевой ткани женщин из Гомельской области увеличен как в отдельных классах
клеток с микроядрами, так и по общему уровню микроядер по сравнению с Минской
областью ((р < 0,005). Клетки с 1-м (1,469±0,043%), 2-мя (0,124±0,013%),
3-мя и более микроядрами (0,022±0,005%) в
Гомельской и (0,450±0,027%), (0,065±0,010
%) и (0,008±0,003 %)
соответственно в Минской области.
. Основываясь на представленных выше данных можно сделать
заключение о том, что повышенный уровень частоты микроядер возможно
свидетельствует о более выраженной нестабильности генома клеток РМЖ в образцах тканей из
Гомельской области. Данные изменения в какой-то мере
могут объяснить более высокие показатели заболеваемости ПМЗО.
Список литературы
1. Онкология: уч. пособие /Н.Н. Антоненкова [ и др.]; под
общ. ред. И.В.Залуцкого. - Минск: Выш. Шк., 2007. - 703 с: ил.
. Трапезников, Н.Н. Статистика злокачественных
новообразований в России и странах СНГ / Н.Н. Трапезников, Е.М. Аксель. - М.,
2001. - 72 с.
. Канцер - регистр
. Национальный интернет-портал республики Беларусь
[электронный ресурс]/ Медицинская газета, электронная версия.- № 68 - 8
сентября 2006 г. - Режим доступа: http:// medgazeta.rusmedserv.com/.../article_1696.html.-Дата доступа:
.03.2012.
. Дильман, В.М. Эндокринологическая онкология: Руководство
для врачей / В.М. Дильман. - Л.: Медицина. - 1983. - 408с.
.Эпидемические особенности рака молочной железы у женщин
репродуктивного возраста и пути совершенствования диагностики фоновых и
предраковых заболеваний гениталий у пациенток, перенесших специальное лечение /
Нат. Н. Антоненкова [ и др.] // Онкологический журнал.- T. 4, № 4 (16), 2010; Т. 5, № 1 (17),
2011. - С.- 19-20.
7. Национальный
интернет-портал республики Беларусь [электронный ресурс]/ Липпман M. 2002,
Берштейн Л.М., 2000.Режим доступа: http://medbiol.ru/medbiol/har/004fad64.htm :-Дата доступа: 25.03.2011.
. Поляков, С.М. Злокачественные новообразования в
Беларуси 1995 - 2005 гг. / С.М. Поляков, Л.Ф. Левин, Н.Г. Шебеко; под ред. А.А.
Граковича, И.В. Залуцкого. - Мн.: БЕЛЦМТ, 2006. - 194 с.
.Национальный
интернет-портал республики Беларусь [электронный ресурс]/Союз противораковых
организаций России.- Летягин В.П. - д.м.н., профессор, Высоцкая И.В. - д.м.н.,
профессор, Зикиряходжаев А.Д. - д.м.н., Ким Е.А. к.м.н. Режим доступа: http://netonkology.ru/expert/recommendation/breast/1365/1360/:-Дата доступа: 25.03.11.
. Национальный
интернет-портал республики Беларусь [электронный ресурс]/Энциклопедии молодой
мамы: Санкт-Петербургская государственная медицинская академия им.
И.И.Мечникова. Автор: Заведующий кафедрой д.м.н., профессор Топузов Эльдар
Эскендерович. Режим доступа: http://
oncologyclinic.ru › index.php?part=209: -Дата доступа: 27.03.11.
. Цитологический атлас: Диагностика заболеваний
молочной железы / И. П. Шабалова [и др.] - М.-Тверь: «Триада», 2005. - 119 с,
383 ил.
12. Казубская Т.П. Генетика человека / Т.П. Казубская, Р.Ф
Гарькавцева. - 1995 - №31(3). - С. 410-414.
14. Алов, И.А. Цитофизиология и патология митоза. / И.А.
Алов.- М.: Медицина, 1972. - 264 с.
. Мэзия, Д., Митоз и физиология клеточного деления, пер. с
англ. / Д. Мэзия. - М., 1963.
. Нерсесян, А.К. Микроядерный тест в эксфолиативных клетках
человека как метод изучения действия мутагенов/канцерогенов. / А.К. Нерсесян //
Цитология и генетика. - 1996. - Т. 30, №5. - С. 91-96.
. Цитогенетические нарушения в эксфолиативных клетках
онкологических больных / Нерсесян, А.К., Аругюнян, P.M., Вартазарян, Н.С. и др.
// Сборник тезисов докладов II Съезда Вавиловского общества генетиков и
селекционеров. Т. 2. - СПб., 2000. - С. 202.