|
Ms, кА/м
|
tgδԐ∙10-4
|
tgδμ∙10-4
|
2ΔН, кА/м
|
Ԑ
|
ρ∙103,
кг/м3
|
Пористость материала, %
|
|
140
|
1,0
|
2,0
|
2,4
|
14,9
|
5,13
|
0,6
|
|
95
|
0,8
|
1,8
|
2,2
|
15,0
|
5,18
|
0,6
|
|
64
|
1,0
|
1,4
|
1,9
|
14,8
|
5,19
|
0,8
|
Рисунок 7 - Увеличение веса образцов ИЖГ синтезированных с
различным содержанием компонентов в исходной шихте
Из приведенной зависимости видно, что увеличение веса образца
тем больше, чем больше в ней оксида железа сверхстехиометрии и выше давление
кислорода при отжиге. Рентгеноструктурные исследования образцов до и после
отжига, изменений параметра решетки не обнаружили. Но было замечено увеличение
концентрации включений α-Fеz03 в образцах ИЖГ после
окислительного отжига. Таким образом, отжиг образцов феррогранатов в атмосфере
кислорода переводит оксида железа низшей валентности во включениях в гематит и
залечивает кислородные вакансии в структуре граната.
Доя определения параметров диффузии кислорода в ИЖГ были
сделаны определенные допущения;
- образцы изотропны, кислородные вакансии и вторая фаза
распределены равномерно по всему объему образца;
- коэффициент диффузии от концентрации кислорода не зависит;
- время диффузионного отжига выбрано таким образом, чтобы
концентрационные кривые с обеих сторон образца практически не перекрывались,
т.е. образцы можно рассматривать как полубесконечное тело;
- концентрация кислорода на поверхности образцов
постоянна во времени;
процесс проникновения ионов кислорода в твердое тело будет
сопровождаться химической реакцией окисления оксидов железа вшей валентности в
гематит и лимитирующим процессом при этом является скорость диффузии кислорода
в ИЖГ.
Распределение кислорода в образце при этих начальных и
граничных условиях описывается решением уравнением Фика для диффузии из
постоянного источника в полу ограниченное тело (когда через плоскость Х=0 проникает
из вне диффундирующее вещество - кислород):

C (x, t)=C0[1-erχx/(2
)]
(5)
При очень больших временах отжига t=∞ C(x,t)/ (x=∞) = C0
C0=mN0/(M0υ) [1/см3],
где N0 - число Авогадро m - изменение веса образу
при отжиге; M0 - атомный вес кислорода; υ - объем образца.
Для определения Со были взяты подложки размером
48∙30∙1 и проведено несколько последовательных циклов отжига.
Вес образцов контролировался после каждого цикла. Когда изменение веса
образцов не наблюдалось, принимали, что концентрация кислорода выровнялась
по всему образцу. Отжиг проводили при температуре 1200°С и
давлении кислорода 5,06∙105 Па в течение 127 ч.
Рисунок 8 - Концентрация кислородных дефектов в образцах ИЖГ,
содержащих избыток Fe2O3 по сравнению со стехиометрической формулой
В соответствии с рисунком 8 приводится график
зависимости С0 для ИЖГ от содержания исходных
компонентов в шихте. Концентрации кислородных вакансий в материале находятся в
пропорциональной зависимости от концентрации включений оксидов железа.
Для монокристалла выращенного в кристаллографиеском
направлении <III> на образце с избытком Fe2O3 2,34 моль С0
составляет величину 2,5∙1019 см-2
Для определения коэффициента диффузии D были использованы диски
феррогранатов диаметром d=56,7 мм, толщиной h=6,9 мм и плотностью (98-98,5)% от рентгеновской.
Толстые образцы позволяют использовать для расчетов модель диффузии вещества в
полубесконечное тело. Подтверждением является зависимость, приведенная в
соответствии с рисунком 9. Увеличение веса образцов при отжиге пропорционально
времени изотермической выдержки, т.е. концентрационные кривые с обеих сторон
образца не перекрываются.
Тогда, количество кислорода, продифундировавшего в тело за
время t
от момента начала диффузии равно
Q = -
x=0) dt = 
(6)
С другой стороны Q = Nx/ S
Где Nx = mNa/μ0; S - площадь поверхности
образца;
Рисунок 9 - Изменение веса образца ИЖГ (CY2O3 =
36,34%) в процессе изотермической выдержки (Тотж = 1050 оС;
РО2 = 5 ати)
Величины D для поликристаллических образцов с различным содержанием
концентрации оксида железа сверх стехиометрической формулы приведены в
соответствии с рисунком 10.
На приведенных данных следует, что при малых давлениях
кислорода диффузионные процессы в ЖИГ лимитируются массопередачей на границе
фаз газ-твердое тело. При давлениях кислорода выше 5,06∙105 Па
поверхностные явления не влияют на диффузию кислорода в феррогранате.
Величина коэффициента диффузии в монокристаллических
феррогранатах, выращенных на образцах с избытком Fe3O4 в исходной шихте 2,34
моль, составляет для кристаллографического направления <III> 1,6∙10-9
см2/с
Отсюда, зная величину D для двух температур,
определяем величину предэкспоненциального члена D и энергии активации ∆E.
Температурная зависимость коэффициента диффузии кислорода в
феррогранате, содержащего 1,34 моль оксидов железа сверх стехиометрии,
приведена в соответствии с рисунком 11. Получившаяся зависимость имеет вид:
Do2 = 4,01∙10-3∙ехр (-1,4
эв/КТ) см2/сек (10)
Рисунок 10 - Зависимость коэффициента диффузии кислорода в
ИЖГ от концентрации компонентов в исходной шихте
Рисунок 11 - Температурная зависимость коэффициента диффузии
кислорода в ИЖГ (избыток Fe2O3 1,34 моль%)
Одним из основных достоинств ферритов является высокое
удельное электрическое сопротивление в сочетании с достаточно высоким значением
магнитной проницаемости; индукция насыщения ферритов меньше, чем металлических
магнитных материалов. Особенно выгодно применение их на высоких частотах при
малых индукциях. По электрическим свойствам ферриты представляют собой полупроводники,
проводимость которых возрастает с повышением температуры. Эффективная удельная
электрическая проводимость ферритов увеличивается с возрастанием частоты. На
низких частотах ферриты обладают высокой относительной диэлектрической
проницаемостью примерно 105. Одновременно высокое значение
относительных магнитной μ и диэлектрической ε проницаемостей может приводить к нежелательному объемному
резонансу. При объемном резонансе потери резко возрастают, а магнитная
проницаемость уменьшается. Для сердечников из марганец-цинковых ферритов с
поперечным сечением 1 см² ε≈105
частота объемного резонанса приблизительно равна 1 МГц.
Магнитные свойства ферритов резко меняются при одновременном
наложении постоянных и переменных полей.
Механические и теплофизические характеристики
ферритов имеют следующие ориентировочные значения: модуль Юнга (0,45…2,15)·108
кПа; модуль сдвига (0,43…7,4)·107 кПа; коэффициент Пуассона
(0,22…0,40); удельная теплоемкость ферритов приблизительно равна (0,6…0,9)·10і
Дж/(кг·К), коэффициент теплопроводности приблизительно равен (2,8…5,7)
Вт/(м·К), коэффициент линейного расширения приблизительно равен (5…10)·10-6
1/град.
При кратковременном воздействии повышенной
и пониженной температур и при температурных циклах могут быть остаточные
изменения магнитной проницаемости.
Отжиг в кислородной атмосфере феррита со структурой
иттрий-железистого граната в большей степени влияет на такой электромагнитный
параметр, как тангенс диэлектрических потерь.
Диэлектрическими потерями называют энергию, рассеиваемую в
электроизоляционном материале под воздействием на него электрического поля.
Способность диэлектрика рассеивать энергию
в электрическом поле обычно характеризуют углом диэлектрических потерь, а также
тангенсом угла диэлектрических потерь.
Значение потерь пропорционально квадрату
приложенного к диэлектрику напряжения и частоте, что необходимо учитывать при
выборе электроизоляционных материалов для аппаратуры высокого напряжения и
высокочастотной.
С увеличением приложенного к диэлектрику
напряжения до некоторого значения Uо начинается ионизация имеющихся в
диэлектрике газовых и жидкостных включений, при этом δ начинает резко возрастать за счет дополнительных потерь,
вызванных ионизацией
Иттрий-железистый гранат, Y3Fe5O12, - ферримагнитный
диэлектрик, который при незначительном легировании проявляет свойства
полупроводника. Активация светом избыточного заряда в окрестностях дефектов
приводит к фотомагнитным превращениям - физические свойства кристалла после
освещения изменяются [1]. При этом электрическое сопротивление кристалла
остается очень высоким.
2. Методика экспериментальных исследований
2.1
Технология и основы производства ферритов
Основные этапы технологического процесса и их классификация.
Общие вопросы технологии ферритов.
Основная задача создания оптимальной технологии ферритов
состоит в получении материалов с воспроизводимыми, однородными, заданными
магнитными и электрическими свойствами при минимальных затратах на
оборудование, сырье, электроэнергию и рабочую силу при максимальном выходе
годных изделий. Технологический процесс является многооперационным и
длительным.
При производстве ферритов применяют три основные метода
приготовления шихты:
а) метод смещения метод смещения и помола порошкообразных
окислов (керамический метод);
б) метод термического разложения смеси солей соответствующих
металлов до окислов;
в) метод совместного осаждения углекислых солей или
гидроокисей с последующим термическим разложением их до окислов.
Преимуществами двух последних (химических) методов являются
получение высокогомогенной смеси без помола и смешения, а так же обеспечение
высокой воспроизводимости ее физико-химических и структурных характеристик.
Недостатком химических методов является необходимость
переработки большого количества сырых материалов; кроме того, отходы
производства при использовании этих методов загрязняют окружающую среду, при
совместном осаждении годроокисей осадок адсорбирует находящиеся в растворе
соли, трудно удаляемые последующей отмывкой и обжигом.
Наиболее распространен метод приготовления шихты из окислов.
К его достоинствам относятся: возможность точного соблюдения заданного состава;
отсутствие отходов и соответственно переработка меньших количеств сырья;
отсутствие вредных выделений, загрязняющих атмосферу; относительная простота
технологической схемы производства.
Недостатком этого метода является необходимость тщательного
измельчения и смещения окислов с целью получения смеси высокой однородности.
Последовательность операций при приготовлении ферритов указанным методом
показана на рисунке 12.
Любым из упомянутых способов можно получить ферриты с
близкими магнитными свойствами, компенсирую меньшую активность шихты,
полученной смешением порошкообразных окислов, более высокой температурой и
продолжительностью обжига.
Рисунок 12 - Схема технологического процесса изготовления
ферритов смещения окислов
2.2 Прессование ферритовых изделий
2.2.1
Изготовление изделий методом прессования
Изготовление изделий методом прессования должно
осуществляться на технически исправном, специально для этих операций
предназначенном оборудовании, обеспечивающим безопасность и
санитарно-гигиенические условия труда.
Для защиты работающих на прессах должны быть установлены
ограждения (из прозрачного оргстекла или металлической решетки), сблокированные
с пусковым устройством и исключающие доступ в опасные зоны. Любые изменения в
ограждении, управлении и блокировке оборудования должны быть согласованы с
отделом техники безопасности предприятия. Все оборудование, кроме устройства
пуска и остановки, должно иметь отключающее приспособление для полного снятия
напряжения во время ремонта. Все ремонтные и наладочные работы должны
выполняться специально обученным персоналом цеха. Перед пуском в работу после
ремонта, чистки, смазки и регулировки оборудования оно должно пройти
специальную проверку. Производить какой-либо ремонт, наладку, регулировку
оборудования и приспособлений рабочим, выполняющим технологические операции,
запрещается.
Изготовленные изделия должны укладываться в технологическую
тару на стеллажи высотой не более 1,5 м. На видном месте на стеллажах должна
быть указана допустимая нагрузка. Перегрузка стеллажей и тары не допускается.
Рисунок 13 - Пресс для ферритовых изделий
.2.2
Ферритизация, спекание и другие виды термической обработки ферритовых
материалов и изделий
Термические участки должны располагаться в специально
приспособленных для проведения термических операций помещениях. Высота
помещения термического участка должна быть не менее 6 м, полы - огнестойкими, с
ровной, нескользкой и легко очищаемой от загрязнения поверхностью.
Вентиляционные фонари и фрамуги окон должны легко открывать вручную или с
помощью механического стационарного устройства.
Для обеспечения быстрой эвакуации обслуживающего персонала из
помещения должно быть не менее двух эвакуационных выходов.
При расположении участка электропечей в многоэтажных зданиях
необходимо отделать его от других участков несгораемыми перегородками и
теплоизоляционными покрытиями.
Помещения участков термической обработки должны быть
оборудованы приточно-вытяжной вентиляцией. При этом для предотвращения
сквозняков воздух в рабочую зону поступает рассеянно и с небольшой скоростью. В
зимнее время воздух, подаваемый в помещение, должен подогреваться.
В нерабочее время в помещении участка газовых печей должна
действовать дежурная вентиляция (естественная или механическая). Рекомендуется
регулярно увлажнять воздух помещений.
Установлены следующие расстояния при размещении термического
оборудования: между печью и стеной - не менее 1 м; между установками в ряду -
не менее 1,5 м (допускается размещать две однотипные установки вплотную, если
это не препятствует их нормальной эксплуатации); между установками со стороны
загрузки и выгрузки изделий - не менее 2,5 м.
Не рекомендуется двухрядное и тем более многорядное
размещение оборудования, являющегося источником значительного избыточного тепла
и лучистой энергии.
Печи для обжига шихты и изделий, при термообработке которых
выделяются газообразные продукты разложения, а также туннельные печи для обжига
ферритной шихты должны находиться в отдельных, изолированных от других участках
или помещениях.
Печи для обжига должны быть герметичными, чтобы исключить
попадание продуктов сгорания, паров, газов и аэрозолей токсичных веществ в
воздух производственных помещений; они должны быть снабжены устройствами и
приспособлениями, предотвращающими или резко ограничивающими выделение тепла в
рабочее помещение (герметизация, теплоизоляция, экранирование, отведение тепла
и т.п.). При этом температура поверхности теплоизоляции или экранирующих
устройств не должна превышать 50-60єС. загрузку, выгрузку, подъем крышек,
перемещение изделий в печах, поддержание заданного теплового режима и т.п.
следует максимально механизировать и автоматизировать, чтобы исключить
вероятность ожогов и необходимость доступа (даже на короткий промежуток
времени) в зону высоких температур и выделения токсичных веществ.
Управление печами и их механизмами должно осуществляться с
мест, исключающих воздействие на работающих вредных веществ, высоких температур
как в нормальных, так и в аварийных условиях. при затруднении выполнения этого
требования управление печами и их механизмами должно быть дистанционным.
Нагретый и загрязненный воздух должен удаляться вытяжной вентиляцией
непосредственно из рабочих зон печей или из ближайшей к печи зоны, исключающей
распространение его по помещению. Места загрузки, выгрузки, входа, выхода
нагревательных стержней должны оборудоваться местными вентиляционными
устройствами.
Шахтные печи термического разложения солей для приготовления
ферритов по солевой технологии и печи для кристаллизации ферритовых порошков
должны иметь поворотные зоны вытяжной вентиляции.
Укладку изделий в тигли следует производить на специальном
рабочем месте, расположенном вблизи печи. Тигли не должны иметь трещин и острых
кромок.
Процессы засыпки капсюлей мелкодисперстным порошком окиси
алюминия и другими порошковыми материалами должны быть механизированы, а места
загрузки и выгрузки деталей должны быть оборудованы вытяжной вентиляцией.
Выгрузка изделий материалов из печей после термической
обработки может производиться при температуре изделий и материалов не выше
40єС. Закалка изделий должна вестись в специальных устройствах, отгороженных от
основных рабочих мест теплоизолирующими экранами или стенками и оборудованных
вытяжной вентиляцией. Перемещение горячих изделий, тиглей или самих печей при
охлаждении должно быть механизировано. После разгрузки изделий, прошедших
обжиг, засыпочные материалы от места разгрузки необходимо удалять.
участок зачистки и обдувки изделий после обжига должен быть
выделен в отдельное помещение и оборудован приточно-вытяжной вентиляцией.
Тигли с деталями массой более 20 кг после обжига должны
поставляться на участок зачистки и обдувки механизированным путем.
Зачистку изделий от засыпочных материалов следует проводить в
специальных местах (типа вытяжного шкафа или монтажного стола), оборудованных
местной вытяжной вентиляцией. Обдувать изделия сжатым воздухом запрещается.
Работники, производящие зачистку и обеспыливание изделий,
должны смазывать руки защитными мазями, а в случае обработки изделий,
содержащих токсичные вещества, работать в резиновых перчатках.
загрузка и выгрузка газовых печей должна быть механизирована
и производиться не менее чем двумя лицами;
подача газа должна прекращаться автоматически в случае
прекращения работы вытяжного вентилятора и уменьшения тяги.
Чистку и ремонт печей разрешается производить только после
прекращения ее работы и охлаждения воздуха внутри печи до температуры не выше
60єС. Вредные газы из печи должны быть полностью удалены с помощью
вентиляционных установок, а все газовые краны перекрыты.
К ремонту печей допускаются только работники, прошедшие
специальное обучение.
Весь персонал, обслуживающий печи, должен быть обучен по
программе, отражающей особенности эксплуатации печей конкретной конструкции; он
должен пройти стажировку на действующем оборудовании.
Рисунок 14 - Установка ИОТ-БГХ-051-0
Рисунок 15 - Блок-схема установки ИОТ-БГХ-051-06
2.3
Методика определения тангенса угла диэлектрических потерь и диэлектрической
проницаемости при частотах от 50 до 108 Гц
2.3.1
Образцы для испытаний
Электроды - фольговые (притертые с помощью тонкого слоя
смазки, припрессованные при нагревании в соответствии с ГОСТ 10405-63, прижатые
давлением 100 г./см2 через резину) из токопроводящей резины,
токопроводящих покрытий, нанесенных вакуумным напылением серебра, золота, меди
или алюминия. Сопротивление электродного слоя не должно превышать 100 Ом при
расстоянии между точками измерения 1 см. Вывод измерительного электрода и место
соединения с измерительным прибором должны быть экранированы - защищены
заземленной металлической оболочкой.
Диэлектрическую проницаемость Ԑ и тангенс угла
диэлектрических потерь tgδԐ измеряли резонансным
методом с использованием измерителя добротности на выбранных частотах.
Параметры образцов определяли по приращению емкости и потерь держателя образца
(конденсатора) при помещении между его электродами испытуемого образца при
сохранении расстояния между электродами. В качестве держателя образца
использовали микрометрическую ячейку.
Метод заключается в трехкратной настройке измерительного
контура на резонанс: при отключенной микрометрической ячейке, при подключенной
к зажимам «емкость» микрометрической ячейке с образцом и с подключенной
микрометрической ячейкой без образца при расстоянии между электродами, равным
толщине образца. При этом с помощью куметра измеряли емкости при резонансе С, С1
и С2 соответственно.
.3.2
Испытательная аппаратура
Резонансный метод с использованием измерителей добротности.
Испытания проводятся в соответствии с ГОСТ 6433.4-71.
Испытания проводятся при помощи цифрового автоматического
моста переменного тока Р-589 для частоты 103 Гц, измерителей
добротности Е-9-4 (для частот 104-106 Гц), Е-9-5 (для
частот 1,5∙107 - 2,5∙108 Гц).
Порядок работы приведен в инструкции к приборам.
2.3.3
Проведение эксперимента
Образцы подвергнуть кондиционированию при
заданных условиях в соответствии с ГОСТ 6433.1-71. При испытании при повышенных
температурах использовать электроды, напыленные в вакууме.
Поместить образец в термокамеру и
термостабилизировать при соответствующей температуре в течение 30 мин.
Приложить к электродам контакты и измерительное напряжение (по стандарту
рекомендуется 100 В). Тангенс угла диэлектрических потерь tgδԐ определять непосредственно по шкале прибора
(мост Р-589) или вычислять по формуле для измерительной добротности (с учетом
значений добротности измерительного контура при второй Q1 и третьей настойке Q2):
tgδ = 
(11)
В качестве характеристики диэлектрических
потерь (часть энергии внешнего электромагнитного поля, необратимо рассеиваемая
в диэлектрике) используется угол δ между вектором силы тока,
возникающего в диэлектрике и вектором напряженности приложенного поля.
Коэффициент В можно определить по
графику в координатах B-g/h (см. ГОСТ 6433.4-71).
2.3.4
Определение диэлектрической проницаемости Ԑ, тангенса угла диэлектрических
потерь tgδԐ и проводимости γ методом волноводных линий
В соответствии с рисунком 16 представлена схема волноводного
моста. Половина электромагнитной энергии проходит через плечо моста, в котором
находится исследуемый образец, заполняющий все сечение волновода, вентили, а
также развязывающий аттенюатор, необходимый для плавного снижения мощности
электромагнитной энергии и устранения взаимного влияния отдельных трактов волноводной
линии.
При прохождении электромагнитной энергии через образец
происходит ее частичное поглощение (переход в тепловую энергию), а также
изменение фазы электромагнитной волны. Для выравнивания фазы волны в другом
плече моста имеется калиброванный фазовращатель. Присоединение ко входу и
выходу мостовой схемы осуществляется через двойные тройники - гибридные
Т-образные схемы. Методика измерения электрофизических параметров
электропроводных полимерных композиций в этом случае заключается в основном
установлением нулевого баланса в системе сначала для образца толщиной b, а затем b + Δb с использованием детекторной секции и
нуль-индикатора.
По данной методике определяют затухание α
электромагнитной энергии и
сдвиг фаз φ вызванные
исследуемым образцом α = 
,
Непер/м; β = 
,
рад/м.
4 5 6
1 - генератор электромагнитной энергии; 2 - двойной тройник; 3 -
согласованная нагрузка; 4 - развязывающий аттенюатор; 5- измерительный
аттенюатор; 6 - калиброванный аттенюатор; 7 - вентиль; 8 - исследуемый образец;
9 - детекторная секция; 10 - нуль-индикатор; 11 - фланцевое соединение
волноводов
Рисунок 16 - Схема волноводного моста для измерения
электрофизических параметров электропроводных полимерных материалов и резин
Уравнения могут быть использованы для измерения
элекрофизических параметров полимерных композиций, в условиях, когда наличием
стоячей волны можно пренебречь: при перпендикулярности граничных поверхностей
образца и согласованной нагрузке, определенной по начальной толщине
исследуемого образца, если расстояние до образца при увеличении его толщины
остается постоянным.
Известно, что для электромагнитной волны, бегущей в
положительном направлении оси X, значения α и β определяются следующими уравнениями:
α2 = 4π2f2μo(
,
(Непер/м)2; (15)
β2 = 4π2f2μo(
,
(рад/м)2 (16)
Уравнение для расчета тангенса угла диэлектрических потерь
материала:
tgδ = 
.
(17)
При решении системы уравнений относительно диэлектрической
проницаемости и проводимости получим следующие формулы для их расчета:
γ = 
,
Ф/м; (18)
γ = 
,
Ом-1*м-1. (19)
Формулы могут быть использованы при расчете электрофизических
параметров материалов только для свободного пространства или коаксиальных линий
с волной типа ТЕМ (поперечное электромагнитное поле).
В случае же волноводных линий наблюдается электромагнитные
волны типа ТЕ (поперечное электрическое поле), то есть такое поле, в котором
проекция вектора магнитной составляющей, определяемой уравнением Максвелла, на
направление распространения волны не равна нулю, а вектор электрической
составляющей поля расположен в плоскости, перпендикулярной к направлению
распространения волны.
Е = Епад ∙ ехр (- jkx) exp(- jωτ); (20)
H = 
,
(21)
где (-k = β - jα) - комплексный фазовый множитель.
В данном случае tgδԐ рассчитывают по формуле:
tgδ = 
, (22)
λкр - критическая длина волны в свободном пространстве, м.
γ = λо2 γ о(
),
Ф/м, (23)
где λо - длина электромагнитной волны в свободном
пространстве, м; γ о - диэлектрическая проницаемость свободного
пространства, 8,85∙10-12 Ф/м.
Проводимость полимерных композиций рассчитывают по следующему
выражению:
γ = 2πf γ 'tgδ, Ом-1∙м-1.
(24)
Погрешность измерения электрофизических параметров
электропроводных полимерных материалов с помощью волноводного моста
определяется погрешностью измерительного аттенюатора, фазовращателя и
составляет не более 2,5%.
Недостатком метода волноводного моста является ограниченная возможность
его применения: только для материалов с γ > 0,5 Ом-1∙м-1.
Для материалов с меньшей проводимостью пригоден метод «тонкого
стержня» в соответствии с рисунком 17.
Метод «тонкого стержня» сводится к определению в прямоугольном
волноводе эквивалентной нормированной проводимости цилиндрического стержня из
исследуемого электропроводного полимерного материала или резины. Стержень
помещается в центре широкой стенки волновода параллельно вектору напряженности
электрического поля волны, распространяющейся в волноводе.
Поскольку исследуемый образец обладает комплексной диэлектрической
проницаемостью, значения γ' и γ», зависящие от параметров волноводной
линии, размеров образца и экспериментально измеренных активной G и реактивной В составляющих
проводимости, рассчитывают по формулам:
γ' = 1 + [2 (
2+0,5]
(25)
γ = [2 (
2+0,5]
(26)
U = 2
(27)
Σ = 
2 - 
),
(28)
где λВ - длина волны в волноводе, м; α
- размер широкой стенки
волновода, м;
d - диаметр стержня, м.
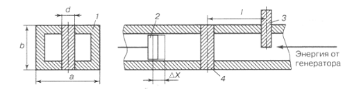
- волновод; 2 - поршень; 3 - зонд; 4 - исследуемый образец
Рисунок 17 - Схема для измерения электрофизических параметров
электропроводных полимерных материалов и резин методом «тонкого стержня»
Активную G и
реактивную В составляющие проводимости полимерной композиции измеряют с
помощью короткозамыкающего поршня при фиксированном положении индикаторного
зонда, установленного на расстоянии l = 0,25 λВ (2R + 1) от стержня.
Реактивную составляющую проводимости определяют по сдвигу поршня ΔХ (см. рис. 4) при измерении минимума
волноводной линии без образца и с образцом:
В = tg
-ΔX. (29)
Величину активной составляющей проводимости рассчитывают по
формуле
G = 
,
(30)
Где Jmax и Jmin - сила тока, измеренная соответственно в максимуме и минимуме
волноводной линии с образцом при квадратичной характеристике детектора.
2.3.6
Магнитная восприимчивость (метод магнитных весов)
Магнитную восприимчивость χ измеряют методом
маятниковых весов в соответствии с рисунком 18.
Метод основан на измерении механической силы, которая
действует на образец, помещенный в неоднородное магнитное поле. Эта сила в
направлении оси x равна:
Fx = M∙dH/dx, (31)
где М - магнитный момент образца; Н - напряженность
магнитного поля.
Магнитный момент образца прямо пропорционален его магнитной
восприимчивости х.
М= т∙χ∙Н, (32)
где m - масса образца.
Установка позволяет проводить исследования в интервале
температур от 77 до 1800 К. Чувствительность установки позволяет измерять
восприимчивость до 1∙10-7 при массе образца 30-50 мг.
Магнитную восприимчивость измеряют нулевым методом. Для этого используют метод
механической компенсации в гравитационном поле. При этом методе кварцевый
стержень 2 с образцом 1 возвращается в первоначальное положение
при помощи каретки с микрометрическим винтом 5 с точностью до 0,01 мм. Для
регистрации нулевого положения служит оптическая система, состоящая из
источника света 7, зеркала 3 и экрана 8.
- образец; 2 - легкий кварцевый
стержень; 3 - зеркало; 4 - тонкие шелковые нити; 5 - подвижная каретка с
микровинтом; 6 - электромагнит; 7 - источник света; 8 - экран
Рисунок 18 - Схема маятниковых весов с компенсацией в
гравитационном поле
Для градуировки установки в качестве эталона использовали
образец гольмия массой 1,8 мг и магнитной восприимчивостью (70-200)∙10-6.
Исследуемые и эталонный образцы помещали в одну и ту же область поля с заданным
значением HdH/dx с помощью каретки 5. Напряженность магнитного поля, создаваемая
электромагнитом 6 в этой области, была равна 596,8 кА/м (7,5кЭ).
Магнитную восприимчивость исследуемого образца χ
рассчитывали
по формуле:
χ=χ0 m0/m [(d - dt)/(d0 - dt)], (33)
где χ0 - магнитная
восприимчивость эталонного образца; т0 и т - массы эталонного и
исследуемого образцов; d0, d, dt - величины смещения точки подвеса эталонного, исследуемого
образцов, кварцевого стержня без образца.
3. Результаты экспериментальных исследований
3.1
Результаты влияния отжига на основные электромагнитные характеристики
Таблица 5 - Электромагнитные параметры ИЖГ (избыток Fe2O3 1,34%) до и после отжига
в атмосфере кислорода при давлении 5,0∙ 105 Па и температуре
900 оС
|
Контролируемый параметр
|
Параметры ИЖГ до отжига в атмосфере О2
|
Параметры ИЖГ после 48 ч. Отжига в атмосфере О2
|
Параметры ИЖГ после дополнительного 48 ч отжига
в О2
|
|
Тангенс угла диэлектрических потерь tgδԐ
|
1,9∙10-3 ± 3,0∙10-5
|
1,7∙10-4 ± 3,0∙10-5
|
8,0∙10-5 ± 3,0∙10-5
|
|
Тангенс угла магнитных потерь tgδμ
|
9,0∙10-3 ± 1,5∙10-4
|
5,0∙10-4 ± 1,5∙10-4
|
1,9∙10-4 ± 1,5∙10-4
|
|
Намагниченность насыщения Мs (кА/м)
|
141,7 ± 4
|
139,3 ± 4
|
139,3 ± 4
|
|
Диэлектрическая константа Ԑ
|
15,0 ± 1,5%
|
14,9 ± 1,5%
|
14,9 ± 1,5%
|
Различие в коэффициентах диффузии в моно- и поликристаллах
свидетельствует о том, что в поликристаллах диффузия атомов кислорода имеет по
дефектам второго рода (по границам зерен). Вслед за диффузией атомов по
границам зерен происходит и диффузия атомов в объемы примыкающие к поверхности
раздела кристаллитов.
В монокристаллах наблюдается анизотропия коэффициента
диффузии в зависимости от кристаллографического направления. Максимальное
изменение веса при отжиге наблюдается у подложек монокристаллов рабочая поверхность
которых перпендикулярна направлению <III>.
Как следует из уравнения, по данным, полученным из уравнения
можно определить только произведение DS δ и, задавшись величиной δ, определить величину DS.
Определим необходимое время отжига для подложек ИЖГ (избыток Fe2O3 1,34%). Размер подложек
составляет 48∙30∙1,0 мм, температура отжига 900 оС.
Кислород поступает в подложку, в основном, через грани 48∙30 мм.
Решение уравнения Фика при диффузии из постоянного источника
для тела ограниченных размеров (при t > 4,5*10-2) l2/D имеет вид:
C (x, t) = Co [1 -
sin(
x), (35)
где l - толщина подложки, равная 0,1 см.
Пусть в образце устанавливается соотношение
С (0,05; t)/ Co = 0,9. Тогда при l = 0,1 см, Д900оС = 7,5∙10-9
см-/сек
Из уравнения относительно t, находим время необходимого отжига, которое составляет 95 ч.
В табл. 5 приведены электромагнитные параметры образцов ИЖГ
(избыток Fe2O3 1,34%)
до и после отжига. Отсюда видно, что 48-часовой отжиг, проведенный в атмосфере
кислорода, привел к улучшению tgδԐ и tgδμ материала подложек почти на порядок.
Дополнительный 48-часовой позволил снизить потери СВЧ-энергии еще
почти в два раза. Суммарное время отжига составляет 96 часов. Полученные
экспериментальные результаты практически совпадают с предсказанными значениями
времени отжига.
Монокристаллы имеют коэффициент диффузии меньше чем поликристаллы,
поэтому необходимо увеличивать время отжига и температуру. В табл. 4 приведены
экспериментальные результаты по отжигу монокристаллических подложек МФ-140 при
температуре 1200 оС и времени отжига равной 20, 40, 80 ч. Как видно
из таблицы, для снижения tgδԐ и tgδμ до величины 2∙10-4 требуется
отжиг в кислороде более 40 ч.
Таблица 6 - Электромагнитные параметры монокристаллических
подложек марки МФ-140 после отжига в кислороде при температуре 1200 оС
и давлении кислорода 5∙105 Па в зависимости от
продолжительности отжига
|
Маркировка
|
Измеряемые параметры
|
Продолжительность отжига в кислороде, ч
|
|
|
Без отжига
|
20,0
|
40,0
|
80,0
|
|
К-1
|
Js, кА/м
|
138,0
|
138,0
|
138,0
|
138,0
|
|
tg δԐ
|
1,5∙10-3
|
1∙10-4
|
1,3∙10-4
|
1,1∙10-4
|
|
tgδμ
|
1,4∙10-2
|
6,3∙10-4
|
1,3∙10-4
|
1,5∙10-4
|
|
Ԑ
|
15,3
|
14,9
|
14,9
|
14,7
|
|
К-2
|
Js, кА/м
|
138,0
|
138,0
|
138,0
|
138,0
|
|
tg δ Ԑ
|
5,6∙10-3
|
4,8∙10-4
|
1,4∙10-4
|
1,2∙10-4
|
|
tgδμ
|
1,5∙10-2
|
1,4∙10-3
|
3,3∙10-4
|
2,8∙10-4
|
|
Ԑ
|
15,5
|
14,9
|
14,9
|
14,9
|
3.2
Влияние состава и температуры выращивания на образование пор в монокристалле
Основными дефектами при выращивании в твердой фазе
монокристаллов являются поры, которые образуются в исходном поликристаллическом
образце и захватываются растущим монокристаллом. Концентрация пор в
монокристаллах увеличивает ширину линии ферромагнитного резонанса (2ΔН).
Проведенные исследования выявили, что основными факторами,
влияющими на концентрацию пор, являются температура и концентрация избытка
оксида железа в исходном образце.
В соответствии с рисунком 19 показаны зависимости изменения
концентрации пор в монокристалле иттрий железистого граната от избытка оксида
железа в исходном образце при температурах выращивания 1460 оС и
1480 оС. Концентрация пор в монокристалле возрастает с увеличением
избытка оксида железа в исходном образце и температуры выращивания.
О - температура выращивания 1460 оС; Х -
температура выращивания 1480 оС
Рисунок 19 - Зависимость концентрации пор в монокристалле от
избытка Fe2O3 в исходном образце
3.3 Расчет концентрации пор в структуре ИЖГ

а…………………… …………………………б
а) структура ИЖГ с температурой спекания 1485оС;
б) структура с наложением сетки по методу Глаголева
Рисунок 20 - Структура ИЖГ №1
Количество пор: 14 шт., что составляет 6,334842%.

а…………………… …………………………б
а) структура ИЖГ с температурой спекания 1480 оС;
б) структура с наложением сетки по методу Глаголева
Рисунок 21 - Структура ИЖГ №2
Количество пор 15, что составляет 6,78733%.

а…………………… …………………………б
а) структура ИЖГ с температурой спекания 1460 оС;
б) структура с наложением сетки по методу Глаголева
Рисунок 22 - Структура ИЖГ №3
Количество пор: 28 шт., что составляет 12,66968%.

а…………………… …………………………б
а) структура ИЖГ с температурой спекания 1490 оС;
б) структура с наложением сетки по методу Глаголева
Рисунок 23 - Структура ИЖГ №4
Количество пор: 12 шт., что составляет 5,429864%.
а…………………… …………………………б
а) структура ИЖГ с температурой спекания 1475 оС;
б) структура с наложением сетки по методу Глаголева
Рисунок 24 - Структура ИЖГ №5
Количество пор: 19 шт., что составляет 8,597285%.
а…………………… …………………………б
а) структура ИЖГ с температурой спекания 1490 оС;
б) структура с наложением сетки по методу Глаголева
Рисунок 25 - Структура ИЖГ №6
Количество пор: 12 шт., что составляет 5,429864%.
а…………………… …………………………б
а) структура ИЖГ с температурой спекания 1500 оС;
б) структура с наложением сетки по методу Глаголева
Рисунок 26 - Структура ИЖГ №7
Количество пор: 8 шт., что составляет 3,61991%.
а…………………… …………………………б
а) структура ИЖГ с температурой спекания 1480 оС;
б) структура с наложением сетки по методу Глаголева
Рисунок 27 - Структура ИЖГ №8
Количество пор: 18 шт., что составляет 8,144796%.
Рисунок 28 - График зависимости концентрации пор от
температуры спекания
Вывод: выполняя расчет количества пор феррита со структурой
иттрий-железистого граната, убедилась в том, что концентрация пор уменьшается с
увеличением температуры отжига.
Выводы
В настоящей работе было изучено влияние высокотемпературного
отжига в атмосфере кислорода на электромагнитные параметры и пористость
иттрий-железистого граната. Полученные результаты найдут применение в
технологии производства СВЧ-изделий на основе монокристалла феррита.
Выполнение 48-часового отжига, проведенного в атмосфере
кислорода, привело к улучшению tg δԐ и tgδμ материала подложек почти на порядок.
Дополнительный 48-часовой отжиг позволил снизить потери СВЧ-энергии еще почти в
два раза.
Для снижения tg δԐ и tgδμ до величины 210-4 требуется
отжиг в кислороде более 40 ч. Наблюдая за изменением концентрации пор в
монокристалле ИЖГ в процессе высокотемпературного отжига 1460 оС-1480
оС., удалось выяснить, что количество пор увеличивается. При этом
увеличиваются избыток оксида железа в исходном образце. Однако, при дальнейшем
повышении температуры отжига, их концентрация уменьшается.
Список используемых источников
1. Geller S. Crystall chemistry of the garnet // Zeitchrift
fur Kristallographie. - 1967.-B.125.-S.1-47
2. Духовская
Е.А., Саксонов Ю.Г. О геометрии кислородных полиэдров в соединениях со
структурой граната / Е.А. Духовская, Ю.Г. Сакссонов // Изв. АН СССР, сер.
Физическая. - 1971. - т. 35, N6. - р. 971 - 978
. Любутин
И.С. Изучение магнитных свойств и кристаллохимии феррит-гранатов с помощью
мессбауэровской спектроскопии. - В сб.: Физика и химия ферритов. - М.: Изд.
МГУ, - 1973. - с68-97
. Бляссэ
Ж. Кристаллохимия феррошпинелей. - М.: Металлургия, - 1968. - 342 с.
5. Plaktii V.P., Golosovski J.V., Bedrisova M.N. et all.
Magnetic ordering and bond geometry in garnet with Fe3+ ionsin the
tetrahedral sublattice // Phys. Stat. Sol. (a). - 1977.v. 39, N2. - p. 683-695.
. Gilleo A.M. Ferromagnetic inculator: garnets -
ferromagnetic materials. V.2. Ed. By Wohlfarth, North - Holland Publishing
Company. - 1980. p. 1-53.
7. Рандошкин
В.В., Червоненкис А.Я. Прикладная магнитооптика. М.: Энергоатомиздат.1990, -
320 с.
8. Davies I.E., Giess T.F., Kuptsis J.D. CaGt substituted Fe
- garnet films for magnetic bubble applications // J. Mater. Sci. - 1975. - v.
10, N4.-p 589-592.
9. Левин
Б.Е., Третьяков Ю.Д., Летюк П.М. Физико-химические основы получения, свойства и
применения ферритов. 100-104 с.
. Рябкин
Л.И., Соскин С.А., Эпштейн Б.Ш. Ферриты.: 111-137 с.
. Урсуляк
Н.Д., Меньшиков А.В., Белицкий А.В. Установска для спекания ферритов в
регулируемой кислородной атмосфере // Электронная техника. Сер. Электроника
СВЧ, 1982. с49-51.
. Блинов
А.А., Дмитриенко О.А. Применение электроприводных ПМ для защиты от
электромагнитных излучений. Обзорная информация НИИТЭХим. - Серия «Производство
и переработка пластмасс и синтетических смол». - М., 1988.-25с
. Грохольский
А.Л. Измерители добротности - куметры. - Новосибирск: Наука 1966. - 159 с.;
Измерители параметров ферромагнитных материалов на высоких частотах при помощи
куметров. - Киев: Наука, 1972. - 24 с.
. Черников
В.И. Магнитные измерения. - М.:Изд-во МГУ, 1969.-387с
. Кусков
Г.С. и др. измерение намагничеснности насыщения СВЧ-материалов вибрационными
магнитометрами./ Обзоры по электронной технике. 1970. - Вып.4.-29 с.
. Воробьева
Н.В., Халилов Р.З. Физика и техника полупроводников, // Статические и
динамические фотоиндуцированные магнитные эффекты в иттрий-железистом гранате с
малой примесью ионов бария, 2011. - т. 46, -469 с.