Эпителий и ткани организма
Для клеток многоклеточных организмов характерна
специализация и объединение, в результате которых они образуют структуры -
ткани, из которых формируются органы. В наше время под тканью понимают систему
объединенных клеток и их производных, выполняющих сходные специализированные
функции. Рассмотрим подробнее эпителий и ткани.
Ткань - система клеток и неклеточных структур,
обладающих общностью развития, строения и функции. Сложившиеся в процессе
эволюции взаимодействие организма с внешней средой и необходимость
приспосабливаться к условиям существования привели к возникновению четырёх
видов тканей с определенными функциональными свойствами: эпителиальной,
соединительной, мышечной и нервной.
Эпителиальная ткань, покрывает всю наружную
поверхность тела человека и животных, все полости тела, выстилает полые
внутренние органы, а также входит в состав желез организма. Эпителиальная ткань
участвует в обмене веществ между организмом и внешней средой., выполняет
защитную роль (эпителий кожи), функции секреции, всасывания (кишечный
эпителий), выделения (почечный эпителий), газообмена (эпителий легких). Эти
ткани обладают высокой способностью к восстановлению (регенерации).
Эпителиальная ткань отличается от других тканей
несколькими признаками: она располагается на границе внешней и внутренней сред
организма: состоит из эпителиальных клеток, образующих сплошные пласты; в
эпителиальных пластах отсутствуют кровеносные сосуды. Питание клеток
эпителиальной ткани осуществляется путем диффузии питательных веществ через
базальную мембрану, которая отделяет эпителиальную ткань от лежащей под ней
рыхлой соединительной ткани и служит опорой эпителия. Различают покровный и
железистый эпителий. В покровном эпителии в связи с особенностями строения и
расположения клеток выделяют однослойные и многослойный эпителий.
В однослойном эпителии все клетки располагаются
на базальной мембране, в многослойном - на базальной мембране располагается
лишь нижний слой клеток, верхние слои утрачивают связь с ней и образуют
несколько пластов. Однослойный эпителий может быть одно- или многорядным.
По форме клеток различают эпителий плоский,
кубический и призматический. Однослойный плоский эпителий-мезотелий - покрывает
серозные оболочки (плевру, брюшину, перикард), однослойный кубический эпителий
образует канальцы почек, однослойный призматический эпителий выстилает
слизистую оболочку желудка и кишечного тракта. Разновидностью многорядного
призматического эпителия является реснитчатый эпителий. Клетки этого эпителия
на верхнем, апикальном, конце имеют выросты цитоплазмы (реснички), которые
движутся в определенном направлении, создавая ток слизи. Многорядный
призматический реснитчатый эпителий покрывает дыхательные пути и маточные
трубы.
Многослойный эпителий по признаку ороговения
верхних слоев клеток делится на ороговевающий (эпителий кожи - эпидермис) и
неороговевающий (эпителий роговицы глаза). Особая форма многослойного эпителия
- переходный эпителий, который имеется в мочевыводящих путях (почечная лоханка,
мочевой пузырь) - органы, способны менять свой объем.
Организация эпителиев
Эпителий характеризуется следующими чертами
организации: пограничное расположение, характерная пространственная геометрия,
практическое отсутствие межклеточного вещества, полярная дифференцировка,
наличие базальной мембраны, отсутствие кровеносных сосудов, выраженная
способность к регенерации пограничных эпителиев, специфический тип
промежуточных нитей (цитокератины).
Пограничное расположение
Эпителии отделяют организм от внешней среды и от
вторичных полостей тела. Эту задачу выполняют пласты эпителия. Образуя
непрерывный слой, эпителий отделяет подлежащие ткани от внешней среды и от
вторичных полостей тела. Толщина пластов различна. Например, эпидермис кожи
имеет толщину до нескольких десятков мкм, тогда как эпителий на поверхности
альвеол легкого - около 0,2 мкм. Пласт - не единственный тип организации
эпителиев.
Незначительные межклеточные пространства
В эпителии практически нет межклеточного
вещества, клетки плотно примыкают одна к другой и связаны при помощи
специализированных межклеточных контактов. Эпителиоциты формируют адгезионные
(промежуточный, десмосома и полудесмосома), замыкающие (плотный) и
коммуникационные (щелевой) контакты.
Полярная дифференцировка эпителиальных клеток
Базальная и апикальная части клетки отличаются
как структурно, так и функционально. Этот признак обязателен для однослойных
эпителиев пограничного расположения (на границе внешней и внутренней сред, на
поверхности серозных оболочек), а также для эпителиальных клеток, находящихся в
тесной связи с кровеносными капиллярами (например, в эндокринных железах,
печени). Полярная дифференцировка эпителиальных клеток детерминирована
генетически. Так, липидный состав плазмолеммы апикальной и базальной частей
эпителиальных клеток существенно отличаются. В плазмолемме апикальной части
клетки преобладают фосфатидилэтаноламин и фосфатидилсерин. Плазмолемма
базальной части содержит преимущественно фосфатидилхолин, сфингомиелин и
фосфатидилинозитол. Оболочка проникшего в клетку вируса содержит липиды
плазмолеммы той части клетки, где вирус проник в клетку (апикальной или
базальной). Более того, идентифицированы гены, дефекты которых нарушают
полярную дифференцировку пласта эпителия.
Апикальная часть содержит микроворсинки,
стереоцилин, реснички, секреторный материал и участвует в образовании плотных и
промежуточных контактов.
Микроворсинки (рис.1) присутствуют в
эпителиальных клетках, осуществляющих транспорт из внешней среды (например,
всасывание в кишечнике, реабсорбция в канальцах почки). Основная функция
микроворсинок - увеличение площади контакта. Характерные черты микроворсинок -
наличие систем транспорта и некоторая их подвижность за счет актиновых
микрофиламентов. Актиновые микрофиламенты расположены на расстоянии 10нм друг
от друга и соединены в единую систему (стержень микроворсинки) при помощи
актинсвязывающих белков фимбрина и фасцина. Актин периферически расположенных
микрофиламентов может взаимодействовать с сократительным белком (минимизином),
расположенным под клеточной мембраной. Микрофиламенты микроворсинок соединены с
микрофиламентами, ориентированными параллельно апикальной поверхности клетки;
они также связанны с клеточной мембраной при помощи белка спектрина.
Микроворсинки эпителиальных клеток пищеварительной, мочевыделительной и половой
систем содержат актинсвязывающий белок виллин. Атрофия микроворсинок каемчатых
клеток кишечника возникает при дефекте гена виллина (болезнь Дэвидсона)
Транспортные белки. В эпителиоцитах,
транспортирующих глюкозу из апикальной в базальную часть, в плазматическую
мембрану апикальной части встроены переносчики глюкозы. В плазматической
мембране апикальной части каёмчатых клеток крипт тонкой кишки присутствуют
системы транспорта ионов Cl(-)
и Na(+) из клетки в
просвет органа. Нарушение транспорта ионов Cl(-)
и Na(+) в каёмчатых
клетках крипт тонкой кишки вызывает диарею.
Базальная часть содержит различные органеллы.
Локализация митохондрий преимущественно в базальной части связана с
необходимостью АТФ для встроенных в плазмолемму этой части клетки ионных
насосов (например, Na(+),
K(+)-АТФаза). В
базальной части клетки присутствуют рецепторы гормонов и факторов роста,
транспортные системы ионов и аминокислот. Переносчики глюкозы базальной части
(обеспечивающие выход глюкозы из клетки по концентрационному градиенту)
отличаются от встроенных в апикальную мембрану. Полярная дифференцировка
проявляется и в характере распределения белков, связанных с цитоскелетом. Так,
в базальной части преобладают анкирин и фодрин, локализующиеся совместно Na(+),K(+)-АТФазой.
Полудесмосомы связывают базальную часть клетки эпителия с базальной мембраной.

Около 30 параллельно идущих микрофиламентов
образуют стержень микроворсинки. (+)-Концы двух переплетенных нитей F-актина
микрофиламентов направлены к вершине микроворсинки Микрофиламенты заякорены
цитоплазматическими концами в терминальной сети. Терминальная сеть - густое
сплетение молекул спектрина, сшивающих примембранные микрофиламенты. Непосредственно
под терминальной сетью расположено сплетение промежуточных филаментов.
Микрофиламенты скреплены актинсвязывающими белками фимбрином и фасцином. К
внутренней поверхности плазматической мембраны микрофиламенты присоединены при
помощи минимиозина.
Базальная мембрана
Базальная мембрана (базальная пластинка) имеет
толщину 20-100 нм, отделяет эпителий от подлежащей соединительной ткани,
укрепляет эпителиальный пласт, образуется за счет эпителия и подлежащей
соединительной ткани, содержит коллаген типа 4, ламинин, энтактин и
протеогликаны. Эпителиальные клетки прикреплены к базальной мембране при помощи
полудесмосом. Через базальную мембрану осуществляется питание эпителия. У
эпителиальных клеток печени нет базальной мембраны.
Отсутствие кровеносных сосудов
Питание эпителия, транспорт газов, выведение
продуктов метаболизма из эпителия осуществляются путём диффузии веществ через
базальную мембрану между эпителием и подлежащими кровеносными сосудами. В
эпителиальных злокачественных опухолях (карциномы) целостность базальной
мембраны и межклеточных контактов нарушается, в кровеносные сосуды прорастают в
эпителиальную опухолевую ткань.
Пространственная организация
Эпителиальные клетки организованы в ассоциаты на
границе внутренней и внешней среды организма, а также во внутренней среде
следующим образом: пласт, тяж, островок, фолликул, трубочка, сеть.
Пласт. Эпителиальные клетки, формирующие пласты,
всегда имеют пограничное положение (например, эпидермис, см. рис.2; эпителии
слизистой оболочки кожного и кишечного типа, мезотелии). Для клеток
однослойного пласта характерна полярная дифференцировка, а многослойные пласты
имеют значительные морфологические отличия между эпителиальными клетками разных
слоёв.
Трубочка - вариант пласта, свёрнутого в трубочку
(например, потовые железы, канальцы, см. рис.3).
Островок. Эпителиальные островки всегда
погружены во внутреннюю среду организма и, как правило, выполняют эндокринную
функцию (например, островки Лангерханса поджелудочной железы).
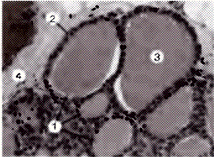
Фолликул - имеющий полость островок эпителия.
Типичный пример - фолликулы щитовидной железы (Рис 4).
Тяж. По принципу анастомозирующих тяжей из
эпителиальных гепатоцитов организованна паренхима печени.
Сеть. В вилочковой железе поддерживающий каркас
состоит из отростчатых и контактирующих друг с другом эпителиальных клеток.
Рис.2 Эпидермис представлен многослойным плоским
ороговевающим эпителием, расположенным на базальной мембране(1). В эпидерме
различают несколько слоев. В базальном слое находятся цилиндрические клетки.
Следующий слой - шиповатый(3) занимают клетки полигональной формы и
многочисленными остатками. Над шиповатым находится зернистый слой(4)
представленный уплощенными клетками. Далее располагается блестящий слой (5). В
клетках этого слоя содержится светопреломляющее вещество элеидин, поэтому слой
выглядит как блестящая гомогенная полоска. В самом поверхностном - роговом
слое(6) эпидермиса толстым пластом расположены роговые чешуйки, совокупность
которых образует в препарате широкую равномерно окрашенную полосу.
Рис 3. Корковое вещество почки. Почечное тельце
(1) образуют капиллярный клубочек (2) и эпителиальная капсула, состоящая из
внутреннего и наружного (4) листков. Между листками имеется полость (3), куда
поступает клубочковый фильтрат. Вокруг почечного тельца видны многочисленные
срезы извитых проксимальных и дистальных канальцев (5). Полутонкий срез.
Способность к регенерации
Регенерация выражена у покровных эпителиев и
вытекает из их пограничного расположения. Необходимые условия для регенерации -
доказанное или предполагаемое наличие стволовых клеток (например, в эпидермисе,
эпителии слизистой оболочки трубчатых и полостных органов, мезотелии),
возможность репликации ДНК с последующим цитокинезом или без него (например,
гепотоциты). У погруженных во внутреннюю среду эпителиальных клеток
регенераторные возможности существенно меньше, вплоть до полной невозможности
регенерации. Для ряда эпителиев (например, эпителиальные клетки канальцев
нефрона и эндокринные клетки передней доли гипофиза) способность к регенерации
как будто имеется, хотя её механизмы неясны.

Классификация эпителиальных пластов
Для эпителиальных пластов принята классификация,
учитывающая количество слоев клеток (одно- и многослойные). Рядность
однослойного эпителия (одно- и многослойные), форму клеток (для многослойных -
поверхностного слоя), характер полярной дифференцировки (рис.5)
Слойность
Контакт всех клеток пласта с базальной мембраной
определяет слойность эпителия. Если все клетки пласта связанны с базальной
мембраной, эпителий - однослойный. Если это условие не выполняется, эпителий -
многослойный. Эктодермальные эпителии - многослойные. Энтодермальные эпителии -
однослойные.
Рядность
Рядность однослойных эпителиев отражает наличие
(многорядный) или отсутствие (однорядный) в составе пласта клеток разной формы
(в т. ч. разных типов клеток). По сути дела, этот классифицирующий критерий
основан на одном из признаков, отличающих разные клетки - расположение их ядер
по отношению к базальной мембране.
Форма клеток
Однослойный эпителий: учитывают отношение высоты
к толщине клеток. Различают плоский, кубический и цилиндрический пласты
эпителия. Многослойный эпителий: учитывают форму клеток поверхностного слоя.
Однослойные пласты (плоский, кубический,
цилиндрический). Все клетки контактируют с базальной мембраной. Однорядный
эпителий - ядра клеток расположены в один ряд, т.е. на одинаковом расстоянии от
базальной мембраны. Представлен одинаковыми клетками. Многорядный - ядра клеток
расположены в несколько рядов, т.е. на различном расстоянии от базальной
мембраны. Представлен клетками различной величины и формы. Типичный пример
однослойного многорядного эпителия - мерцательный эпителий слизистой оболочки
воздухоносных путей. Многослойные эпителии
подразделяют на многослойный плоский ороговевающий, многослойный плоский
неороговевающий и многослойный переходный эпителий. Такие пласты складываются
из пролиферативных единиц. Многослойный
плоский ороговевающий эпителий (эпидермис) присутствует в коже и имеет роговой
слой, состоящий из плотно упакованных роговых чешуек, содержащих ковалентно
связанные с плазмолеммой нерастворимые белки. Многослойный
плоский неороговевающий эпителий не содержит рогового слоя.
Рис.5 Эпителиальные пласты. А. Однослойный
плоский; Б. Однослойный кубический; В. Однослойный цилиндрический каёмчатый; Г.
Однослойный цилиндрический многорядный мерцательный; Д. Многослойный плоский
неороговевающий; Е. Многослойный переходный в растянутом состоянии; Ж.
Многослойный переходный в обычном состоянии.
ткань клетка
микроворсинка эпителиальный
Многослойный переходный эпителий. Его
поверхностные клетки имеют особую организацию. При растяжении стенки органа
поверхностные клетки меняют форму таким образом, что целостность эпителиального
пласта не нарушается.
Морфология. Экзокринные железы состоят из
секреторных клеток, образующих секреторный (концевой) отдел, и выводного
протока. В состав секреторного отдела, кроме железистых (секреторных) клеток,
могут входить миоэпителиальные клетки. Они образуют длинные отростки,
охватывающие снаружи концевые отделы. Сокращаясь, миоэпителиальные клетки
облегчают продвижение секрета в выводной проток. Железистая клетка синтезирует,
накапливает, хранит и выделяет секрет. В клетках, вырабатывающих белковый
секрет, хорошо развита гранулярная эндоплазматическая сеть, активно
функционирует комплекс Гольджи. Гладкая эндоплазматическая сеть выражена в
клетках, вырабатывающих небелковые секреты (например, стероидные гормоны). Выводной
проток служит для оттока секрета из железы. В крупных железах различают
внутридольковые, междольковые и главный протоки.
Список литературы
1. Гистология. Под редакцией
проф. Э.Г.Улумбекова, проф. Ю.А.Челышева. 2001г.
2. Анатомия человека. Р.П.Самусев,
Ю.М.Селин. 2005г.
. Большая медицинская
энциклопедия. Главный редактор А.Н.Бакулев. 1961г.