Ультразвуковая диагностика пролапса митрального клапана

  • Вид работы:
    Курсовая работа (т)
  • Предмет:
    Медицина, физкультура, здравоохранение
  • Язык:
    Русский
    ,
    Формат файла:
    MS Word
    2,7 Мб
  • Опубликовано:
    2012-03-29
Вы можете узнать стоимость помощи в написании студенческой работы.
Помощь в написании работы, которую точно примут!

Ультразвуковая диагностика пролапса митрального клапана

Введение

и Borbillon в 1887 году первыми описали аускультативный феномен среднесистолических щелчков (кликов), не связанных с изгнанием крови. В 1892 году Griffith отметил, что апикальный позднесистолический шум означает митральную регургитацию. В 1961 году была опубликована работа J. Reid, в которой автор впервые убедительно показал, что среднесистолические щелчки связаны с тугим натяжением предварительно расслабленных хорд. Непосредственная причина систолических щелчков и позднего шума стала известной только после работ J. Barlow с коллегами. Авторы, проводившие в 1963- 1968 гг. ангиографическое обследование больных с указанной звуковой симптоматикой, впервые обнаружили, что створки митрального клапана своеобразно провисают в полость левого предсердия во время систолы левого желудочка. Такое сочетание систолического шума и щелчков с баллоновидной деформацией створок митрального клапана и характерными электрокардиографическими проявлениями авторы обозначили аускультативно-кардиографическим синдромом. В последующих исследованиях его стали обозначать различными терминами: "синдром щелчка","синдром хлопающего клапана","синдром щелчка и шума","синдром аневризматического прогибания митрального клапана","синдром Barlow", синдром Энгла и др. Термин "пролапс митрального клапана" (ПМК), получивший в настоящее время наибольшее распространение, впервые предложен J. Criley.

Диагностика ПМК в последние годы стала более результативной в связи с внедрением новых методов исследования, особенно - эхокардиографии. Множество работ посвящено этой проблеме, показано, что ПМК является довольно распространенным и обычно доброкачественным синдромом. Но согласия в вопросе о том, что считать ПМК, пока не достигнуто. И в повседневной медицинской практике остается немало вопросов, связанных с диагностикой заболевания, тактикой ведения и экспертизой выявленных больных, которые и послужили стимулом при выборе данной темы для написания реферата.

Основной признак ПМК - провисание одной или обеих створок митрального клапана в полость левого предсердия в момент систолы левого желудочка. Подобные изменения в сочетании с митральной регургитацией или без таковой обнаруживаются по разным данным у 2 - 16 % лиц при проведении популяционных исследований. ПМК диагностируется в условиях стационара у 10 - 30 % кардиологических больных. Повсеместное внедрение в диагностический алгоритм эхокардиографии способствует выявлению ПМК даже в случаях отсутствия характерных аускультативных изменений. Чаще ПМК диагностируется в детском и подростковом возрасте, в несколько раз более часто у девочек, чем у лиц мужского пола. Однотипная тактика в отношении ведения детей с ПМК, независимо от его особенностей, содержит две потенциальные опасности. С одной стороны имеется опасность роста ятрогенных заболеваний, проведения непоказанного лечения, ограничения в физическом и социальном плане без достаточного обоснования. С другой стороны - недооценка опасных осложнений при данном синдроме (инфекционный эндокардит, митральная недостаточность, жизнеугрожаемые аритмии и др.), "списание" на ПМК другой нераспознанной патологии.

1. Нормальная морфология и ультразвуковая анатомия митрального клапана

Аппарат митрального клапана является сложной комплексной структурой, морфологическими элементами которого являются соединительнотканное атриовентрикулярное кольцо, створки, папиллярные мышцы и сухожильные хорды. В функциональном отношении в аппарат митрального клапана помимо указанных структур включают левое предсердие и левый желудочек. Нормальная функция клапана зависит как от анатомической, так и функциональной полноценности всех его элементов.

Границы и размеры левого предсердно-желудочкового отверстия определяются фиброзным кольцом, которое у детей младшего возраста имеет округлую форму, а в старшем возрасте - овальную. У детей первых лет жизни фиброзное кольцо содержит помимо пучков коллагеновых и эластических волокон большое количество фиброцитов, что объясняет относительную легкость расширения кольца при дилатации левого желудочка и предсердия. У детей старших возрастов пучки коллагеновых волокон становятся толще, эластических волокон мало, они находятся главным образом в области основания створок.

У детей до 3-х лет длина окружности равна 3,5-4,3 см (в 50% случаев), 4,4-5,2 см (в 25%) и 5,3-6 см (в 25%). К 7 годам жизни окружность левого предсердно-желудочкового отверстия возрастает до 6,1-7,5 см и к 18 годам принимает параметры сердца взрослого.

Митральный клапан в 62% случаев представлен двумя главными створками, дополнительные створки определяются в 38 % случаев за счет расщепления задней главной створки (вполне вероятно, что с этим феноменом связана так называемая "физиологическая регургитация" в левое предсердие - А.Ж.). Переднемедиальная (аортальная) створка клапана формируется из аорто-митрального фиброзного продолжения. Она имеет большой свободный край и большую площадь, однако занимает меньшее место по окружности. Задняя створка крепится на большом протяжении по окружности, имеет отношение к задней стенке левого желудочка и нижней стенке межжелудочковой перегородки, формируя одну из стенок левопредсердного выходного отверстия.

У детей до 3-х лет передняя створка имеет в ширину 0,5-1,5 см и в высоту 0,3-1 см, задняя соответственно 0,6-2,5 см и 0,2-0,6 см. У детей 4-10 лет передняя створка составляет в ширину 1,6-2 см, в высоту - 1,1-1,6 см, задняя соответственно 2,6-4 см и 0,7-1 см. К 18 годам передняя створка достигает в ширину до 3 см, в высоту до 2,8 см, а задняя - в ширину до 5,7 см, в высоту до 2 см.

Сухожильные хорды отходят от сосочковых мышц, в основном прикрепляются по свободному краю створок и в меньшей степени по всей их желудочковой поверхности вплоть до фиброзного кольца. Многие хорды перед прикреплением к створке разделяются на ряд нитей. Количество прикрепляющихся сухожильных хорд к створкам варьирует от 20 до 70. К свободному краю передней створки прикрепляются от 11 до 25 хорд, к желудочковой поверхности от 8 до 15 хорд. На задней створке фиксируется по свободному краю 20-45 хорд и к желудочковой поверхности - 10-20 хорд. К основанию обоих створок прикрепляется от 5 до 15 хорд. Сухожильные хорды от каждой сосочковой мышцы прикрепляются преимущественно к соответствующей створке и в меньшем числе к соседней. Длина передних хорд в возрасте до 3-х лет составляет 0,3-1 см, у 4-10-летних - 0,7-1,5 см, к 18 годам они достигают 1,2-1,8 см. Задние сухожильные хорды у детей в возрасте до 3 лет имеют в длину 0,3-1,2 см, у 4-10-летних - 0,8-1,6 см, к 18 годам они достигают 1,2-1,8 см.

Папиллярные мышцы являются непосредственным продолжением миокарда, чаще всего встречается две сосочковых мышцы, отходящих от передней и задней стенки желудочка. Форма сосочковых мышц разнообразна, они могут иметь общее основание и несколько верхушек, одно основание и одну верхушку, одну верхушку и несколько оснований. Длина сосочковых мышц у детей до 3 лет составляет 0,5-1,2 см, у 4-6-летних - 0,7-1,8 см, к 18 годам их длина достигает 2,3-3,5 см.

Указанные морфологические особенности строения аппарата митрального клапана находят свое отражение при эхокардиографическом исследовании.

Полноценное эхокардиографическое исследование должно включать М-модальное, двумерное и допплеровское (в импульсном и постоянно-волновом режимах, плюс цветное допплеровское сканирование) исследования митрального клапана. Допплеровские методы весьма информативны для диагностики патологии митрального клапана и количественной оценки митрального кровотока. Митральный клапан исследуется из нескольких доступов: парастернального, апикального и, реже, субкостального. Ряд исследователей считают, что поскольку митральное кольцо имеет седловидную форму и верхние точки его расположены спереди и сзади, то смещение створок выше уровня митрального кольца должно регистрироваться только из тех позиций, которые пересекают клапан в передне-заднем направлении. Такими позициями являются парастернальная длинная ось левого желудочка и апикальная двухкамерная позиция.

Добавление допплеровского исследования к М-модальному и двухмерному повышает чувствительность и специфичность диагностики ПМК. Представляется, однако, что диагностику ПМК нельзя основывать только на допплеркардиографии. Учитывая распространенность незначительной митральной регургитации, это может вести к гипердиагностике ПМК. Диагностически важным результатом следует считать только обнаружение поздней систолической митральной регургитации.

Рис. 1. Схема нормального движения створок митрального клапана в М-режиме.

При М-модальном сканировании видно, что движение нормального митрального клапана отражает все фазы диастолического наполнения левого желудочка (рис. 1). Во время систолы желудочков (интервал С-Д) весь клапан смещается вперед из-за движения в этом направлении митрального кольца. В фазу быстрого наполнения передняя створка открывается с достаточно большой скоростью и движется вверх к датчику (интервал Д-Е). В середине диастолы, во время медленного наполнения левого желудочка и повышения в нем давления, створка клапана прикрывается, удаляясь от датчика (интервал Е-F). В систолу предсердий она снова быстро открывается (F-А) и с началом его систолы вновь закрывается (А-С). Таким образом, форма движения передней створки митрального клапана во время диастолы напоминает букву М. Задняя митральная створка совершает подобное движение в противоположном направлении, но с меньшей амплитудой, и по своей форме напоминает букву W. Нередко при открытом клапане она сливается с нижележащими структурами и не всегда четко лоцируется.

Рис. 2. М-эхограмма нормального митрального клапана (собственное наблюдение).

Секторальное сканирование митрального клапана обычно начинается по продольной оси из парастернального доступа и позволяет визуализировать обе его створки и сухожильные нити (рис. 3 - 4).

Рис. 3. В-эхограмма нормального митрального клапана в проекции длинной оси левого желудочка из парастернального доступа, диастола (собственное наблюдение).

Рис. 4. В-эхограмма нормального митрального клапана в проекции длинной оси левого желудочка из парастернального доступа, систола (собственное наблюдение).

В этом сечении можно оценить их структуру, подвижность и геометрию движения. У здоровых лиц эти образования выглядят относительно тонкими с ровными контурами и равномерными эхоструктурами. Эхоструктура створок митрального и трикуспидального клапанов в норме сопоставима. Во время диастолы митральные створки движутся в противоположном направлении, образуя две почти параллельные линии. Задняя створка при этом часто сливается с одноименной стенкой левого желудочка. В целом, процесс их открытия напоминает движение "утиного клюва". В систолу они образуют структуру, напоминающую вместе с хордами букву Y, где створки - ветви, а хорды - "нога".

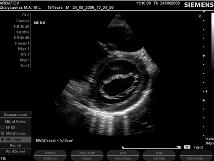
В поперечном парастернальном сечении на уровне митрального клапана (рис. 5) дополнительно оценивают взаимное движение створок, их состояние, форму и размеры митрального отверстия (площадь у взрослых лиц в норме 4 - 6 см2), состояние комиссур.

Рис. 5. В-эхограмма -митральный клапан, поперечное парастернальное сечение, диастола (собственное наблюдение).

Как уже упоминалось, створки митрального клапана, особенно передняя, достаточно хорошо визуализируются из верхушечного двух- и четырехкамерного сечения и субкостальной четырехкамерной проекции.

Нормальный митральный кровоток на допплерэхокардиограмме в норме преимущественно ламинарный. По форме кривая допплерэхокардиограммы митрального потока напоминает движение передней створки митрального клапана в М-режиме и имеет близкую к М-образной форму. Такая конфигурация спектрограммы отражает нормальный, свободный митральный поток крови, когда имеются два периода ускорения - в фазу быстрого наполнения левого желудочка и в фазу систолы левого предсердия. В норме второй (предсердный) пик меньше первого, максимальная скорость трансмитрального кровотока чуть меньше 1 м/с.

2. Классификация, генез и клинико-инструментальная характеристика ПМК

Клинико-анатомически ПМК является крайне разнородной группой синдромов, разнящихся как по происхождению, так и по клиническим проявлениям, течению и исходам. Выделение в клиническом диагнозе предполагаемого этиологического фактора и четкая характеристика степени гемодинамических и прочих нарушений, имеющихся у конкретного больного, особенно важно, так как это определяет прогноз и тактику ведения пациента.

Все варианты ПМК можно подразделить на врожденные и приобретенные, первичные (изолированные, идиопатические) и вторичные.

Происхождение первичного ПМК связывается с врожденным дефектом соединительной ткани (СТ), приводящим к нарушению структуры митральных створок, что и обусловливает их повышенную податливость. Указанный дефект обозначается термином "дисплазия СТ" и морфологически проявляется так называемой миксоматозной дегенерацией - разрушением и утратой нормальной архитектоники коллагеновых фибрилл с их замещением кислыми гликозамингликанами. При этом макроскопически створки выглядят значительно утолщенными, а при гистологическом исследовании выявляются исчезновение коллагеновых фибрилл, хаотичное расположение волокон эластина. В процесс миксоматозной дегенерации могут вовлекаться и сухожильные хорды, что приводит к снижению их механической прочности, а также проводящая система сердца.

Вторичный ПМК развивается на фоне поражения сердца при коронарной патологии, ревматизме, гипертрофической кардиомиопатии, миокардите, миокардиодистрофии, травме грудной клетки. В его основе лежат нарушение сократимости миокарда левого желудочка, дисфункция папиллярных мышц.

Эхокардиографически можно диагностировать прогиб одной или обеих створок митрального клапана, ранне-, средне-, поздне- и голосистолический пролапс, сочетание ПМК и пролапса створок трикуспидального и/или других клапанов, сочетание ПМК с другими аномалиями развития сердца.

Н. Шиллер и М.А. Осипов приводят следующую классификацию ПМК:

Первичный ПМК

Семейный

Спорадический

Синдром Марфана и др. наследственные заболевания соединительной ткани

Вторичный ПМК

ИБС

Ревматические пороки сердца

Уменьшение объема левого желудочка

Гипертрофическая кардиомиопатия

Перегрузка правого желудочка объемом или давлением

Нервная анорексия

Гиповолемия

Воронкообразная грудная клетка и иные виды ее деформации

Молотящая створка митрального клапана

Среди лиц с изолированным ПМК необходимо выделять две формы: аускультативную и "немую", выявляемую только на эхокардиографии. Первичный ПМК может носить семейный (наследование по аутосомно-доминантному типу) и несемейный характер.

Пролабирование створок митрального клапана могут вызывать следующие причины:

нарушенная структура митрального клапана в виде миксоматозного поражения (при синдромах Марфана, Элерса-Данло, Нольта-Орама и т.д.);

аномалии клапанного и подклапанного аппарата ("избыточность" створок, неправильное прикрепление и удлинение хордальных нитей, отклонения в строении папиллярных мышц), наличие клапано-желудочковой диспропорции;

регионарные нарушения сократимости и релаксации миокарда левого желудочка (нижне-базальная гипокинезия, аномальное сокращение по типу "нога балерины", преждевременная релаксация передней стенки и др.), связанные как с его повреждением (воспаление, ишемия, дегенерация, гипертрофия), так и нарушенной вегететивной иннервацией и проведением импульса по проводящей системе сердца (в том числе на фоне вегетососудистой дистонии и психоэмоциональных отклонений).

Зачастую в возникновении ПМК имеют значение одновременно несколько причин, например, неполноценность соединительнотканных структур и малые аномалии клапанного аппарата.

Известно, что врожденные микроаномалии сердца достоверно чаще возникают у детей, матери которых во время беременности работали на химических производствах (сероводород, сероуглерод). ПМК встречается значительно чаще у детей, родившихся и проживающих в экологически неблагоприятных зонах (Аральский регион, Усть-Каменогорск). В эру экологического неблагополучия данный факт имеет огромное значение в понимании и происхождении дизэмбриогенеза сердца и его соединительнотканных элементов.

При осмотре лиц, имеющих ПМК, обращают на себя внимание признаки диспластического физического развития: астеническое телосложение с плоской, иногда деформированной грудной клеткой, высокорослость, слабое развитие мускулатуры, повышенная подвижность в мелких суставах. Определяются также готическое небо, нарушения прикуса, плоскостопие, миопия и т.п.

Более 2/3 детей с изолированным ПМК предъявляют многочисленные жалобы на боли в грудной клетке (разнообразной характеристики), сердцебиение и ощущения перебоев в работе сердца, одышку, чувство неудовлетворенности вдохом, слабость и снижение толерантности к физическим нагрузкам, головокружение, головные боли, обмороки. Возможно наличие метеочувствительности относительно самочувствия. У 1/3 детей ПМК протекает бессимптомно.

При объективном исследовании решающее значение в диагностике ПМК имеет аускультация сердца. Необходимо выслушать больного в положении лежа на спине и левом боку, стоя, сидя, а также сразу после небольшой физической нагрузки. Характерными диагностическими признаками при изолированном ПМК являются щелчки (клики) в средней или поздней систоле в сочетании с позднесистолическим шумом или без такового; изолированный позднесистолический шум, реже изолированный голосистолический шум; звуковой феномен "писка хорд". Интенсивность аускультативных признаков нарастает при вертикальном положении тела и при физической нагрузке, выслушиваются они чаще в V точке и над верхушкой сердца. С возрастом возможно прогрессирование симптоматики.

У большинства детей с ПМК отмечаются психовегетативные нарушения, субдепрессивные состояния с ипохондрическим компонентом, тревогой, сенестопатиями.

На ЭКГ у большинства детей имеется вертикальное положение электрической оси сердца и склонность к тахисистолии, в трети случаев фиксируются нарушения проведения по правой ножке пучка Гиса. Характерны нарушения реполяризации в виде снижения амплитуды или инверсии зубцов Т в I, II, III, aVF и V5-6 отведениях. При регистрации ЭКГ в ортостазе частота таких нарушений у детей с аускультативной формой ПМК увеличивается почти вдвое, усиливается их выраженность, иногда возникает инверсия зубцов Т в левых грудных отведениях. ЭКГ-изменения при ПМК могут носить транзиторный характер, появляться и исчезать в короткие сроки. Иногда ПМК сопровождается признаками ранней реполяризации желудочкой. Удлинение интервала Q-T предрасполагает к возникновению желудочковых аритмий, поэтому такие пациенты требуют более частого осмотра кардиологом или педиатром.

На ЭКГ в состоянии покоя иногда определяются суправентрикулярные экстрасистолы, связанные с вегетативной дизрегуляцией. Число лиц с выявленной аритмией увеличивается при использовании суточного ЭКГ-мониторирования. Особо показано это исследование при наличие обмороков, удлиненном интервале Q-T или значимой регургитации в предсердия.

ФКГ не утратила полностью своего значения и может использоваться для объективной регистрации аускультативных феноменов. Регистрируются средне- или позднесистолические щелчки в акустическом и высокочастотном диапазонах в виде небольшого количества осцилляций, не превышающих по амплитуде II тон. Систолический щелчок при ПМК не следует путать с расщеплением I тона, систолическим тоном изгнания аорты (при аортальных пороках) или легочной артерии (при ее расширении и легочной гипертензии). Позднесистолический шум определяется после щелчков, имеет различную форму, чаще - типа крещендо.

По данным рентгенографии грудной клетки у 2/3 детей с аускультативной формой ПМК выявляется уменьшение размеров сердца в поперечнике и выбухание дуги легочной артерии. Последний признак является подтверждением неполноценности соединительной ткани в структуре сосудистой стенки.

Хотя ПМК и утвердился как патология молодых, не исключается его клинический дебют в среднем и даже пожилом возрасте. Так, А.В. Клеменов описывает семерых пациентов, у которых ПМК проявился в возрасте 47 - 77 лет клиникой сердечной недостаточности и мерцательной аритмией, что послужило причиной диагностической ошибки - выставлен диагноз ИБС. "Примечательно, что во всех случаях этот диагноз был выставлен, несмотря на отсутствие стенокардии или перенесенного инфаркта миокарда и отчетливый систолический шум. Характерные ультразвуковые признаки ПМК и миксоматозной дегенерации лечащими врачами не были приняты во внимание. По-видимому, сработал стереотип восприятия, в соответствии с которым мерцательная аритмия и недостаточность кровообращения у пациентов второй половины жизни традиционно связываются с распространенной, а потому наиболее привычной коронарной патологией".

. Эхокардиографическая семиотика пролапса митрального клапана

Эхокардиография играет основную роль в диагностике ПМК. Главным критерием является непосредственная визуализация пролабирования створок митрального клапана в полость левого предсердия. Размер левого предсердия в отсутствии выраженной регургитации не изменяется, а полость левого желудочка может быть даже уменьшена. С присоединением митральной недостаточности увеличиваются обе камеры сердца.

Истинное пролабирование следует отличать от ложного, возникающего при чрезмерном отклонении плоскости сечения кзади при локации из апикального доступа, а также у больных с экссудативным перикардитом из-за гиперкинезии сердца.

Рис. 6. ПМК, М-режим (схема)

ЭхоКГ-критерии ПМК в М-режиме

1.       Позднесистолическое или голосистолическое выгибание одной или обеих створок по направлению к задней стенке левого предсердия более 3 мм.

2.       Диастолическое трепетание створок митрального клапана.

.        Увеличение диастолической экскурсии передней митральной створки.

.        Увеличение скорости раннего диастолического прикрытия передней митральной створки.

.        Увеличение систолической экскурсии межжелудочковой перегородки.

.        Увеличение систолической экскурсии задней стенки левого желудочка.

.        Дилатация аорты и увеличение ее систолической экскурсии.

Двухмерная ЭхоКГ

1.       Выгибание одной или обоих створок за линию коаптации (проекцию митрального отверстия) в парастернальной проекции длинной оси левого желудочка или апикальной проекции.

2.       Утолщенность и избыточность створок.

.        Избыточная экскурсия левого атриовентрикулярного кольца.

.        Увеличение площади митрального отверстия.

.        Эктопическое крепление или нарушенное распределение сухожильных нитей к створкам (преимущественное их крепление у основания или в центре).

.        Изменение конфигурации и положения сосочковых мышц.

Рис. 7. ПМК, М- и В-режим, длинная ось левого желудочка, парастернальный доступ.

. Допплерэхокардиография

Допплерэхокардиография позволяет количественно оценить трансмитральный кровоток, функцию клапана и площадь митрального отверстия.

Митральная регургитация диагностируют по наличию турбулентного систолического потока за створками митрального клапана в левом предсердии. Градации величины регургитации следующие:

степень (+) - систолический регургитантный поток в области подлежащей митральному клапану; до ¼ "глубины" левого предсердия;

степень (++) - систолический регургитантный поток распространяется до ½ полости левого предсердия;

степень (+++) - систолический регургитантный поток распространяется от половины полости левого предсердия до 3/4;

степень (++++) - систолический регургитантный поток распространяется на все левое предсердие и может заходить в устья легочных вен.

Обычно митральная регургитация при пролапсе митрального клапана наблюдается при изолированном позднесистолическом и голосистолическом шуме. Величина регургитации не превышает 1-2 степени и достигает больших значений при глубине прогибания створок более 10 мм, отрыве хорд или выраженной дилатации атрио-вентрикулярного кольца.

При оценке получаемых в ходе ЭхоКГ данных важно учитывать следующее:

нельзя судить о наличии ПМК по одной эхопозиции, надо проводить полипозиционную оценку состояния митрального клапана;

выпячивание передней створки МК еще не обязательно пролапс, лишь смещение створки (створок) в левое предсердие более чем на 2 мм дает основание заподозрить ПМК;

для "классического" ПМК надо, чтобы максимальная толщина хотя бы одной из створок достигала 5 мм.

Дополнительными свидетельствами в пользу ПМК служит избыточная длина передней створки МК, изогнутость задней, продолжающееся систолическое движение передней створки в сторону левого предсердия, поздняя систолическая или эксцентрическая митральная регургитация, пролапс трикуспидального клапана, расширение синусов Вальсальвы и пролапс аортального клапана. Утолщение и деформация створок в наибольшей степени проявляется на кончиках створок, те становятся похожи на булавочные головки. Иногда утолщение распространяется и на хорды. В предельных случаях трудно различить миксоматозную дегенерацию и массивные вегетации на МК (рис. 8).

Рис. 8. Последовательная серия эхограмм митрального клапана с признаками миксоматозной дегенерации, пролапсом передней створки и систолическим расхождением створок (собственное наблюдение).


Чем сильнее деформирован клапан, тем выше шансы выявить локальное утолщение эндокарда межжелудочковой перегородки в месте их соприкосновения. В клиническом плане увеличивается вероятность жалоб и осложнений (боли в грудной клетке, аритмии, инфекционный эндокардит, эмболии, разрыв хорд).

При использовании рекомендуемых "жестких" критериев ПМК истинная его распространенность среди населения в целом составляет 2 - 3 % популяции.

Диагностику ПМК нельзя основывать только на данных допплеркардиографии - следует учитывать распространенность незначительной митральной регургитации (рис. 9)

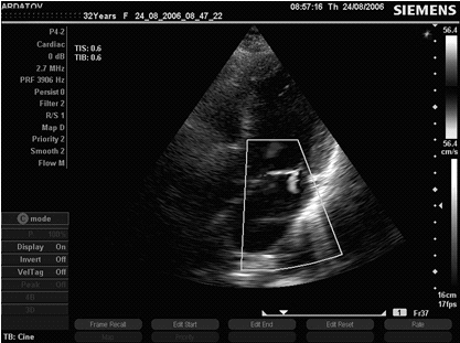
Рис. 9. Митральная регургитация I ст. в начале систолы при отсутствии видимых изменений створок клапана, режим ЦДК в апикальной проекции (собственное наблюдение).

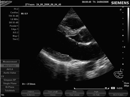
В заключение данного раздела привожу серию эхокардиограмм молодой женщины (27 лет), у которой выявлен комплекс МАРС, включающий косо-поперечную трабекулу в левом желудочке ближе к верхушке, увеличенную Евстахиеву заслонку, пролапс септальной створки трикуспидального клапана с регургитацией в правое предсердие I - II ст., незначимый пролапс передней створки (до 2-х мм) без регургитации, обусловленный, вероятно, увеличением ее длины (рис. 10, А - З ). Клинически имеют место жалобы на редкие колющие боли в области верхушки сердца в состоянии физического покоя, повышенная утомляемость (непостоянно), склонность к гипотонии, лабильность пульса со склонностью к тахикардии, повышенная "нервная возбудимость", астеническое телосложение, маловыраженная воронкообразная деформация грудной клетки, повышение подвижности в мелких суставах. Аускультативно тоны ясные, "нечистота систолы" слева по краю грудины в положении стоя, явные шумы не выслушиваются. ЭКГ - регулярный синусовый ритм 88 в мин., маловыраженные признаки синдрома ранней реполяризаци в грудных отведениях, вертикальное положение ЭОС.

Рис. 10. Незначимый пролапс передней створки МК в сочетании с другими МАРС (собственное наблюдение).


5. Осложнения первичного пролапса митрального клапана

В большинстве случаев пролапс митрального клапана протекает благоприятно и лишь в 2-4% приводит к серьезным осложнениям (Hradec J,1992).

Основными осложнениями течения первичного пролапса митрального клапана являются: острая или хроническая митральная недостаточность, бактериальный эндокардит, тромбоэмболия, жизнеугрожаемые аритмии, внезапная смерть.

Митральная недостаточность

Острая митральная недостаточность возникает из-за отрыва сухожильных нитей от створок митрального клапана (синдром "болтающегося" клапана - "floppy mitral valve"), в детском возрасте наблюдается казуистически редко и в основном связана с травмой грудной клетки у больных на фоне миксоматозной дегенерации хорд. Основным патогенетическим механизмом острой митральной недостаточности является легочная венозная гипертензия возникающая из-за большого объема регургитации в недостаточно растяжимое левое предсердие. Клиническая симптоматика проявляется внезапным развитием отека легких. Типичные аускультативные проявления пролапса исчезают, появляется дующий пансистолический шум, выраженный III тон, нередко мерцательная аритмия. Развиваются ортопноэ, застойные мелкопузырчатые хрипы в легких, клокочущее дыхание. Рентгенологически определяются кардиомегалия, дилатация левого предсердия и левого желудочка, венозный застой в легких, картина пред- и отека легких. Подтвердить отрыв сухожильных нитей позволяет эхокардиография. "Болтающаяся" створка или ее часть не имеет связи с подклапанными структурами, имеет хаотическое движение, проникает во время систолы в полость левого предсердия, определяется большой регургитантный поток (++++) по допплеру.

Хроническая митральная недостаточность у больных с синдромом ПМК является возрастно зависимым феноменом и развивается после 40-летнего возраста (Murakami H. с соавт.,1991). Показано, что у взрослых больных в основе митральной недостаточности в 60% случаев лежит пролапс митрального клапана (Luxereau P. с соавт.,1991). Митральная недостаточность чаще развивается при преимущественном пролапсе задней створки клапана и носит более выраженный характер (Kim S., с соавт.,1994).

У детей митральная недостаточность при ПМК протекает чаще всего бессимптомно и диагностируется при доплерэхокардиографическом исследовании. В последующем при прогрессировании регургитации появляются жалобы на одышку при физической нагрузке, снижение физической работоспособности, слабость, отставание в физическом развитии. При клиническом обследовании определяется ослабление I тона, голосистолический дующий шум, проводящийся в левую подмышечную область, III и IV тоны сердца, акцент II тона над легочной артерией. На ЭКГ регистрируется перегрузка левого предсердия, гипертрофия левого желудочка, отклонение электрической оси сердца влево, при тяжелой недостаточности - мерцательная аритмия, бивентрикулярная гипертрофия. Рентгенологически определяется увеличение тени сердца преимущественно левых отделов, признаки венозного застоя. Достоверно оценить величину митральной регургитации позволяет допплерэхокардиография. Для определения тяжести митральной недостаточности используют комплекс клинико-инструментальных показателей.

Для легкой митральной недостаточности характерно:

·              одышка только при физической нагрузке;

·              отсутствует III тон;

·              короткий ранне-, позднесистолический шум;

·              синусовый ритм;

·              умеренная дилатация левого предсердия;

·              регургитация по допплер + или ++.

Для тяжелой митральной недостаточности характерно:

·              ортопноэ;

·              выраженный III тон;

·              голосистолический дующий шум;

·              мерцательная аритмия;

·              выраженная дилатация левого предсердия и левого желудочка, появление дилатации правых отделов;

·              венозный застой в легких;

·              регургитация по допплер +++ или ++++.

Характерными осложнениями митральной недостаточности при пролапсе митрального клапана являются застойная сердечная недостаточность, легочная гипертензия, артериальная тромбоэмболия.

Факторами риска развития "чистой" (не воспалительной) митральной недостаточности при синдроме пролабирования по данным двухмерной эхокардиографии являются (Weissman N.J. с соавт.,1994):

·              пролапс преимущественно задней митральной створки;

·              утолщенность задней митральной створки.

Инфекционный эндокардит

Не до конца определено значение пролапса митрального клапана в возникновении инфекционного эндокардита. В серии наблюдений, проведенных у взрослых, показано, что пролапс митрального клапана является высоким фактором риска возникновения инфекционного эндокардита. Абсолютный риск возникновения заболевания выше, чем в популяции в 4,4 раза. Однако, в случаях пролапса митрального клапана без систолического шума риск инфекционного эндокардита почти такой же, как и в общей популяции - 0,0046%. Риск инфекционного эндокардита в 13 раз выше, чем в популяции в случаях пролапса митрального клапана с изолированным поздне- или голосистолическим шумом - 0,052 %. Частота инфекционного эндокардита у больных с пролапсом митрального клапана увеличивается с возрастом, поэтому у детей данный синдром редко является причиной инфекционного эндокардита и встречается с частотой 1 случай на 500 больных.

Неповрежденные структуры сердца обладают высокой устойчивостью к воздействию инфекционного возбудителя. По этой причине, структурные особенности створок и подклапанного аппарата при пролапсе митрального клапана предрасполагают к возникновению инфекционного эндокардита. При наличии бактериемии возбудитель оседает на измененных створках с последующим развитием классического воспаления с образованием бактериальных вегетаций.

Инфекционный эндокардит обуславливает тяжелую митральную недостаточность, высока вероятность возникновения тромбоэмболии в мозговые сосуды, часто в патологический процесс вовлекается миокард с развитием левожелудочковой дисфункции.

Диагностика инфекционного эндокардита при пролапсе митрального клапана представляет значительные трудности. Поскольку створки при пролапсе избыточно фестончатые, это не позволяет выявить начало формирования бактериальных вегетаций по данным эхокардиографии. Поэтому основное значение в диагностике эндокардита играет клиническая симптоматика инфекционного процесса (лихорадка, ознобы, сыпь, спленомегалия и др.), появление шума митральной регургитации и факт обнаружения возбудителя при повторных высевах крови.

Внезапная смерть

Частота внезапной смерти при синдроме ПМК зависит от многих факторов, основными из которых являются электрическая нестабильность миокарда при наличии синдрома удлиненного интервала QT, желудочковых аритмий, сопутствующая митральная недостаточность, нейрогуморальный дисбаланс и др. факторы.

По данным Bourdarias J. (1991) риск внезапной смерти при отсутствии митральной регургитации низкий и не превышает 2:10000 в год, в то время как при сопутствующей митральной регургитации увеличивается в 50-100 раз.A. с соавт. (1992) провели сопоставление морфологических данных в двух группах больных с пролапсом митрального клапана: 1-ая группа - больные, умершие внезапно, 2-ая - больные, умершие от застойной сердечной недостаточности вследствие митральной регургитации. Оказалось, что у больных с ПМК, умерших внезапно, имеются существенные морфологические отличия строения клапанного аппарата по сравнению со 2 группой. У этих больных отмечается более выраженные дилатация митрального отверстия, увеличение площади передней и задней митральных створок, утолщение задней створки, фиброз эндокарда. Больные, умершие внезапно, были моложе, чем умершие от сердечной недостаточности.

В большинстве случаев внезапная смерть у больных с ПМК носит аритмогенный генез, и обусловлена внезапным возникновением идиопатической желудочковой тахикардии (фибрилляции) или на фоне синдрома удлиненного интервала QT.

В редких случаях в основе внезапной сердечной смерти у больных с ПМК может лежать врожденная аномалия коронарных артерий (аномальное отхождение правой или левой коронарной артерии), приводящая к острой ишемии миокарда и его некрозу (Nelson-Piercy C., с соавт.,1990).

Таким образом основными факторами риска внезапной смерти у детей с синдромом ПМК являются:

·              желудочковые аритмии III-V градации по Lown;

·              удлинение корригированного интервала QT более 440 мс;

·              появление ишемических изменений на ЭКГ во время физической нагрузки;

·              кардиогенные обморочные состояния в анамнезе.

Дифференциальная диагностика первичного пролапса митрального клапана

Изолированная аневризма межпредсердной перегородки

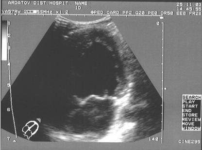
Аневризма межпредсердной перегородки обычно располагается в области овального окна и связана с несостоятельность соединительнотканных элементов. Она возникает при наследственных дисплазиях соединительной ткани, после спонтанного закрытия дефекта межпредсердной перегородки или является врожденной аномалией развития. Обычно аневризматическое выпячивание небольшое, не сопровождается гемодинамическими нарушениями и не требует хирургического вмешательства. Клинически аневризма может быть заподозрена по наличию щелчков в сердце, аналогичных таковым при пролапсе митрального клапана. Возможно также сочетание аневризмы и пролапса. Уточнить характер звуковых изменений в сердце позволяет эхокардиография. Аневризма подтверждается по наличию выпячивания межпредсердной перегородки в сторону правого предсердия в области овального окна (рис. 11). Дети с аневризмой межпредсердной перегородки предрасположены к развитию наджелудочковых тахиаритмий, синдрома слабости синусового узла (D'Urbano M. с соавт.,1994).

митральный клапан допплерэхокардиография ультразвуковой

Рис.11. Аневризма межпредсердной перегородки, апикальная четырехкамерная позиция (собственное наблюдение).

Синдром Эванса-Ллоид-Томаса (Evans-Lloyd-Thomas, син. "подвешенное сердце")

Диагностическими критериями синдрома являются: упорные кардиалгии по типу стенокардитических, обусловленные конституциональной аномалией положения сердца.

Клиническая симптоматика включает: боли в области сердца, усиление прекардиальной пульсации, функциональный систолический шум. ЭКГ: отрицательные зубцы Т в отведениях II,III,avF. Рентгенологически: в прямой проекции тень сердца не изменена, в косых - при глубоком вдохе тень сердца значительно отдаляется от диафрагмы ("подвешенное" сердце), визуализируется тень нижней полой вены. Отличить синдром "подвешенного сердца" от ПМК позволяет эхокардиографическое исследование.

Изолированный пролапс трикуспидального клапана

Изолированный пролапс трикуспидального клапана у детей наблюдается казуистически редко, его происхождение не изучено, однако, вероятно носит аналогичный характер, что и синдром ПМК. Клинически определяется аускультативная картина, как и при пролапсе митрального клапана. Однако при пролапсе трикуспидального клапана щелчки и поздний систолический шум слышны над мечевидным отростком и справа от грудины, щелчки становятся позднесистолическими при вдохе и раннесистолическими при выдохе. Отличить эти состояния позволяет эхокардиография.

Ведение больных с пролапсом митрального клапана

Поскольку не исключена возможность прогрессирования изменений со стороны митрального клапана с возрастом, а также вероятность возникновения тяжелых осложнений диктуют необходимость диспансерного наблюдения за больными с ПМК. В условиях поликлиники при диспансеризации проводят сбор анамнеза (течение беременности и родов, наличие психосоматических заболеваний в семье), устанавливают наличие признаков диспластического развития в первые годы жизни (врожденный вывих и подвывих тазобедренных суставов, грыжи), выясняют причины наблюдения у психоневролога, возраст начала и частоту ангин. Выявляют жалобы, в том числе астеноневротического характера: головные боли, кардиалгии, сердцебиение и др. Проводится осмотр больного с оценкой конституциональных особенностей и малых аномалий развития, аускультация в положении лежа на спине, левом боку, сидя, стоя, после прыжков и при натуживании, записывается электрокардиограмма в положении лежа и стоя, выполняют эхокардиографию. При необходимости проводится консультация отоларинголога, психоневролога, генетика.

Большое внимание необходимо уделять профилактике инфекционного эндокардита, особенно при выполнении у таких пациентов экстракции зубов, тонзилэктомии, вскрытия абсцессов и других парантеральных вмешательств.

Таблица 1. Рекомендации по антибиотикопрофилактике инфекционного эндокардита у детей

Режим

Условия

Дозы

Манипуляции в полости рта и респираторном тракте

Процедуры в полости рта, сопровождающиеся кровотеченим Пенициллин V (1.0-2.0 г. per os 1 ч до процедуры, затем 0.5-1.0 -6 ч спустя;кто не может принять per os Пенициллин G в/в или в/м 1-2 млн 30-60 мин до процедуры и 0.5-1.0 -6 часов спустя Хирургические вмешательства в полости рта или респираторном тракте Пенициллин V (1.0-2.0 г per os 1 ч до процедуры, затем 0.5-1.0 - 6 ч спустя), кто не может принять per os Пенициллин G в/в или в/м 1-2 млн 30-60 мин до процедуры и 0.5-1.0 - 6 часов спустя Вмешательства у пациентов с протезным клапаном Ампициллин (50 мг/кг в/м или в/в + гентамицин (2.0 мг/кг в/м или в/в) 1 ч до процедуры; 0.5-1.0 г пенициллина V 6 ч спустя per os. При аллергии к пенициллину и получающие профилактику ревматизма Эритромицин (20 мг/кг per os до процедуры, затем 10 мг/кг 6 ч спустя) или Ванкомицин (15-20 мг/кг в/в 1 ч до и половину дозы после Манипуляции на желудочно-кишечном тракте и мочевыводящей системе. У пациентов с низким риском заболевания Ампициллин (50мг/кг в/м или в/в + гентамицин (2.0 мг/кг в/м или в/в) 1 ч до процедуры, такая же доза 8 ч спустя; или амоксилин (50 мг/кг per os за 1 ч до и 50 мг/кг 6 ч спустя При аллергии к пенициллину Ванкомицин (15-20 мг/кг в/в) + Гентамицин (2 мг/кг в/м или в/в) 1 ч до и если необходимо 8 ч спустя


Таблица 2. Краткие рекомендации по ведению больных с ПМК (по Н. Шиллер и М.А. Осипов, 2005)

Группы риска

 Характеристика

 Тактика ведения

Низкий риск

Нет систолического шума и митральной регургитации; чаще - женщины до 45 лет

Успокоить больного. Профилактика инфекционного эндокардита не показана. ЭхоКГ-контроль каждые 5 лет.

Средний риск

Систолический шум (иногда - преходящий); легкая митральная регургитация; иногда утолщение створок

Профилактика инфекционного эндокардита. Лечить даже легкую артериальную гипертензию. ЭхоКГ-контроль каждые 2 -3 года.

Высокий риск

Умеренная или тяжелая митральная недостаточность

Профилактика инфекционного эндокардита. Гипотензивная терапия максимальными переносимыми дозами препаратов. ЭхоКГ-контроль ежегодно. Возможно оперативное лечение.


Вопрос о занятиях физкультурой и спортом решается индивидуально после оценки врачом показателей физической работоспособности и адаптивности к физической нагрузке. Большинство пациентов при отсутствии митральной регургитации, выраженных нарушений процесса реполяризации и желудочковых аритмий удовлетворительно переносят физическую нагрузку. При наличии врачебного контроля им можно вести активный образ жизни без каких-либо ограничений физической активности. Можно рекомендовать плавание, лыжи, коньки, катание на велосипеде. Не рекомендуются спортивные занятия, связанные с толчкообразным характером движений (прыжки, борьба каратэ и др.). Обнаружение у больного митральной регургитации, желудочковых аритмий, изменений обменных процессов в миокарде, удлинения интервала QT на электрокардиограмме диктует необходимость ограничения физической активности и занятий спортом. Этим лицам разрешается занятие лечебной физкультурой под контролем врача.

Заключение

Анализируя данные доступной литературы и соотнося их с имеющимся опытом практической работы можно сделать ряд выводов по проблеме ПМК. Этот симптомокомплекс нередко встречается в ежедневной практике врача ультразвуковой диагностике и требует к себе особого внимания в силу определенных своих особенностей. ПМК крайне разнороден по своему происхождению, может быть первичным, самостоятельным патологическим состоянием или явиться одним из проявлений другой серьезной патологии. Степень выраженности обусловленных ПМК гемодинамических нарушений широко варьируется - от полного отсутствия таковых до выраженной митральной недостаточности. Многолетнее течение ПМК может носить совершенно благоприятный характер или иметь прогрессирующий характер с усилением митральной регургитации с возрастом и трансформацией бессимптомного ПМК в гемодинамически и клинически значимый. Появление недостаточности кровообращения и аритмий у пожилых больных с ПМК нередко становится причиной диагностических ошибок. При ПМК возможно развитие ряда тяжелых осложнений и даже летальные исходы. Следует помнить, что гемодинамически значимый ПМК - порок сердца, требующий хирургической коррекции. Такие больные должны быть своевременно направлены к кардиохирургу для решения вопроса о протезировании митрального клапана.

Соответственно, подходы к диагностике, врачебной экспертизе и лечению ПМК не могут быть шаблонными. От врача ультразвуковой диагностики при выявлении феномена провисания створок МК или клиническом подозрении на таковое требуется всесторонняя оценка и подробное описание состояния как самого митрального клапана, так и всех других структур сердца. Особое внимание следует уделять наличию дисплатических структурных изменений и исключению патологи другого генеза. Необходимо четко оценить и функциональное состояние клапанного аппарата, объективно зафиксировать (или исключить) наличие и степень митральной регургитации. Все полученые в ходе эхокардиографического исследования данные необходимо подробно документировать для последующего динамического контроля и конкретизации экспертных решений, принимаемых врачами-клиницистами.

При первичном выявлении ПМК от врача УЗД требуется объяснить больному суть его страдания, необходимость дальнейшего дообследования и наблюдения у кардиолога (педиатра или терапевта), последующего ЭхоКГ-контроля. Для лечащего врача также могут быть сделаны рекомендации относительно дальнейшего инструментального контроля, при гемодинамически значимой митральной регургитации - о наличии показаний к консультации больного кардиохирургом.

Динамический ЭхоКГ-контроль должно проводить с обязательным сопоставлением вновь получаемых и предшествующих данных как в качественном, так и в количественном отношении.

Литература

. Белозеров Ю.М. Детская кардиология.- М.: МЕДпресс-информ, 2004. - 182-201 с.

. Белоконь Н.А., Подзолков В.П. Врожденные пороки сердца.- М.: Медицина, 1991.- 271-276 с.

. Затикян Е.П. Пролапс митрального клапана (диагностика, клинические и функциональные проявления, характер изменений данных функциональных методов исследования во время беременности)// SonoAce International.- 1999.- № 5.- интернет-версия.

4. Клеменов А.В. Пролапс митрального клапана (клиника, осложнения, лечение)// НМЖ.- 2002.- № 2.- интернет-версия.

Моисеев В.С., Сумароков А.В. Болезни сердца: Руководство для врачей.- М.: Универсум Паблишинг, 2001.- 157-161 с.

. Коледенок В.И., Захаров В.П. Ультразвуковая диагностика в кардиологии / Под ред. А.П. Козловского, М.: Международный центр авторских медицинских технологий, 1992.- 72-75 с.

. Мухарлямов Н.М., Беленков Ю.Н., Атьков О.Ю. и др. Клиническая ультразвуковая диагностика: Руководство для врачей: В 2 т. / Под ред. Н.М. Мухарлямова. - М.: Медицина, 1987.- Т.1.- 119-125 с.

. Шиллер Н., Осипов М.А. Клиническая эхокардиография: 2-е издание.- М.: Практика, 2005.- 138-140 с.

. Пролапс митрального клапана. - MedBookAide.- Интернет-публикация.

. Ультразвуковая семиотика и диагностика в кардиологии детского возраста.- Интернет-публикация.

Похожие работы на - Ультразвуковая диагностика пролапса митрального клапана

 

Не нашли материал для своей работы?
Поможем написать уникальную работу
Без плагиата!
Без нейросетей!