|
1.
Длительность.
|
Как долго
продолжаются боли, возникали ли подобные боли ранее.
|
|
2. Локализация.
|
Точная
локализация боли, иррадиация.
|
|
3. Характер.
|
Боль (острая,
ноющая, постоянная).
|
|
4. Периодичность.
|
Приступообразная,
ночная, боль во время еды, боль при накусывании, прекращение боли во время
приема пищи.
|
|
5. Факторы,
усиливающие или снимающие боли.
|
Что усиливает,
что снимает боль. Проводилосьли лечение и какое, какие обезболивающие
принимали и их эффективность.
|
Диагностика воспаления пульпы и верхушечного периодонтита в
подавляющем большинстве случаев не представляет каких-либо трудностей для
опытного стоматолога. Однако при наличии лицевых болей нередко возникают
значительные затруднения в диагностике, в результате чего принимаются ошибочные
решения. Итогом служит удаление одного или нескольких зубов при невралгии II и
III ветвей тройничного нерва, или длительное и безуспешное лечение лицевой
боли, тогда как причиной является зуб с воспаленной пульпой. Подтверждением
этому служит следующее клиническое наблюдение.
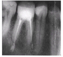
Больная Т., 17 лет в течение 4 мес жаловалась на периодически
возникающие болевые ощущения в области 16, 17 зубов. Незначительная
болезненность в области выхода II ветви тройничного нерва послужила основанием
для диагноза невралгии II ветви тройничного нерва. С указанным диагнозом
пациентка была направлена на лечение из Хабаровска в Москву. При обследовании
было установлено, что пациентка не санирована, а в 17-м зубе диагностирован
хронический пульпит. После лечения зуба боли прекратились. Данный случай
является яркой иллюстрацией необходимости тщательного обследования состояния
зубов при наличии лицевых болей.
Пульпиты, сопровождаемые болевыми симптомами, считаются
острыми, в то время как бессимптомные пульпиты классифицируются как
хронические.
Как показывает клинический опыт, иногда зуб пломбируется при
отсутствии болевых ощущений, а спустя некоторое время появляется боль. Поэтому
определение состояния пульпы перед реставрацией коронки, даже в отсутствие
каких-либо жалоб, служит важным условием лечения.
Визуальный осмотр пациента начинается с момента поступления
его в клинику. При осмотре лица обращают внимание на симметрию лица, носогубную
складку. Осмотр полости рта с помощью зеркала и зонда позволяет выявить наличие
кариозной полости, пародонтальных карманов, отечности и кровоточивости десен и
т.д. Необходимо дать оценку смыкания зубов, учитывая возможность дисфункции
височно-нижнечелюстного сустава.
Близость расположения верхнечелюстной пазухи к корням зубов
верхней челюсти иногда приводит к диагностическим ошибкам. Трудно отличить
зубную боль от синусита, пока не диагностирован зуб с воспаленной пульпой или
воспаление пазухи с отделяемым из носа.
Рис. 3-1. Портативные тестеры жизненности пульпы фирмы
"Паркелл": ручной (Centle Pulse) u автоматический (Digitest).
Кроме опроса и осмотра для клинической оценки состояния
пульпы используются:
. электродиагностика;
2. температурное раздражение (теплом, холодом);
. рентгенологическое обследование;
. препарирование полости зуба без анестезии.
Раздражение пульпы электрическим током. Вместо приборов с использованием
переменного тока (прибор ЭОМ-3 и ДД-2М) все более широкое применение получают
"электрические тестеры состояния пульпы", использующие постоянный ток
от батареи.
Тестер состояния пульпы "Digitest" (рис. 3-1)
обычно имеет однополярный электрод, который помещается на обследуемый зуб. Цепь
замыкается на пациента, который находится в контакте с заземляющим электродом
или с рукояткой пульпового тестера. Обследуемый зуб до приложения электрода
должен быть изолирован и высушен, а затем покрыт токопроводящим веществом,
например зубной пастой или гелем. Сила тока либо регулируется оператором, либо
возрастает автоматически через определенный промежуток времени. (Подробности в
инструкции изготовителя.) Когда у пациента возникает чувствительность в зубе в
ответ на прохождение тока, он с помощью прерывателя разрывает электрическую
цепь, автоматически фиксируя минимальное показание прибора.
Температурные раздражители. Холод в виде тампона,
погруженного в воду с кристаллами льда, прикладывают к поверхности высушенного
зуба. Приложение холода обычно вызывает быстро проходящую болевую реакцию при
нормальном состоянии пульпы. Длительные болевые ощущения в ответ на
раздражитель указывают на воспаление, а отсутствие реакции - на некроз пульпы.
Тепловое воздействие на зуб осуществляется с помощью
разогретого на пламени гуттаперчевого штифта, используемого для пломбирования
корневого канала. Быстро проходящая реакция на тепло указывает на нормальное
состояние пульпы, длительно не проходящая боль - на ее воспаление, а отсутствие
реакции говорит о некрозе пульпы.
Рентгенологическое исследование эффективно для выявления
кариозной полости, полости под искусственной коронкой, на контактной
поверхности.
Для оценки кровотока в пульпе зуба измеряют величину
лазерного потока. Метод заключается в направлении низкоэнергетического
лазерного луча по волоконно-оптическому кабелю на поверхность зуба, где луч
света проходит к пульпе и, частично отражаясь от эритроцитов, находящихся в
капиллярах, фиксируется в измерительном приборе [Odor Т. М., Watson N. F. et
al., 1996]. Следует отметить, что пока данная методика также не является
надежной, хотя проводятся исследования по ее совершенствованию.
Препарирование полости без анестезии проводится в случаях,
когда не удается поставить диагноз с помощью других методов. Если сверление
дентина сопровождается болевыми ощущениями, то это указывает на
жизнеспособность пульпы. Однако это не дает возможности определить ее состояние
(нормальное или воспаленное). Отсутствие реакции на препарирование
свидетельствует о некрозе пульпы.
Проведенное обследование позволяет поставить правильный
диагноз. Однако и после этого могут быть сомнения в отношении состояния пульпы.
Зуб когда-то беспокоил, а в настоящее время жалоб нет. Такое состояние следует
считать сомнительным. В большинстве случаев зуб пломбируют и оставляют под
наблюдением. Однако при необходимости восстановления зуба коронками или
мостовидным протезом целесообразнее сразу произвести удаление пульпы и
пломбирование корневых каналов.
Факторы и условия, вызывающие раздражение пульпы
Раздражение пульпы зуба может возникнуть вследствие кариеса
зубов, в результате препарирования зуба и кариозной полости, под воздействием
пломбировочного материала, вследствие проникновения микроорганизмов при
негерметичной пломбе, при обнажении дентина.
Кариес зуба служит основной причиной изменений в пульпе и ее
воспаления. Уже при начальном повреждении дентина одонтобласты реагируют
отложением вторичного и образованием слоя склерозированного дентина (отложением
солей кальция на стенках дентинных канальцев) вплоть до полного закупоривания
дентинных канальцев. Эти процессы следует рассматривать как проявление защитных
механизмов пульпы на действие раздражителя.
При профессировании кариозного процесса и разрушении эмали
бактерии проникают в дентин, однако воспаления пульпы не возникает.
Установлено, что первые признаки воспаления наступают, когда кариозная полость
отделена от пульпы слоем 1,1 мм [Reeves R., Stanley H. R., 1996], т.е. пульпа
практически не инфицирована до момента проникновения микроорганизмов во
вторичный дентин [Massler М., Pawlak J., 1977].
Препарирование полости без использования водяного распылителя
приводит к ее повреждению. При этом вероятность повреждения прямо
пропорциональна площади препарирования и глубине повреждения. Таким образом,
препарирование зуба под виниры или искусственную коронку без должного
охлаждения служит серьезным фактором риска для пульпы.
Пломбировочные материалы. Имеются многочисленные данные,
указывающие на раздражающее воздействие различных пломбировочных материалов. Из
цементов самое выраженное неблагоприятное действие оказывает силикатный, хотя
указывают, что оно проявляется при образовании зазора между краем эмали и
дентином, поскольку микроорганизмы приникают в дентин [Brannstrom, 1979].
Композиты также считаются раздражающими материалами. В первую
очередь, отмечалась токсичность композитов первого поколения (эвикрол,
консайз). Выпускаемые в настоящее время материалы, как указывают многочисленные
наблюдения, оказывают незначительное воздействие на пульпу.
На протяжении многих лет изучалось использование бондингов
при пломбировании. Доказано, что усовершенствование рецептуры бондингов
позволило добиться благоприятной реакции пульпы на используемые композиты.
Краевая проницаемость, как считает ряд исследователей,
является основной причиной раздражения пульпы после пломбирования. Ведущая роль
при этом принадлежит микроорганизмам. С целью предупреждения указанных
изменений в пульпе рекомендуется проводить протравливание тканей зуба и
использование бондинговой системы.
Обнажение дентина может происходить после выпадения пломбы, в
результате стирания тканей, при эрозии и т.д., что сопровождается
чувствительностью к действию раздражающих факторов. Чувствительность может
возникать также при обнажении пришеечного дентина, вследствие того что канальцы
дентина становятся открытыми.
Защитное покрытие (прямое) предусматривает:
) очищение поверхности пульпы и останов кровоточивости;
) высушивание полости;
) наложение на обнаженную пульпу лечебной пасты;
) пломбу из цинкоксидного эвгенольного цемента;
) наложение постоянной пломбы.
Все наиболее широко используемые материалы для защиты пульпы
содержат гидроксид кальция. В результате этого над участком обнажения
откладывается вторичный дентин, формируя дентинный мостик. Считают, что
формирование барьера происходит не за счет кальция, содержащегося в материале,
закрывающем пульпу.
Некоторые авторы, ссылаясь на то, что антибиотики оказывают
угнетающее действие на микроорганизмы, а стероиды уменьшают воспаление,
рекомендуют для покрытия пульпы пастой ледермикс.
Болезни пародонта и пульпы зуба
Пульпа и периодонт связаны между собой анатомически и
функционально посредством многочисленных сосудов и дентинных трубочек [Johnston
Н. В., Orban В., 1948]. Сосудистый путь отмечали многие авторы. Не требуется
богатого воображения, чтобы представить проникновение и распространение
инфекции по сосудам. Особенно хорошо это видно на удаленных зубах.
Дополнительные каналы, в большинстве случаев, обнаруживаются в верхушечной
части, в молярах - до 59-76 % [Burch J. G., Hullen S., 1974]. Часть
дополнительных каналов постепенно закрывается [Zangeland К. et al., 1974] в
результате отложения заместительного дентина.
Рис. 3-2. Классификация пародонтальных заболевании
Тубулярный путь осуществляется за счет дентинных канальцев
между пульпой и периодонтом [Seltzer S., Bender J. R., 1972]. Существует
мнение, что продукты некроза пульпы способны обусловить воспаление пародонта,
поступая через дентинные канальцы [Stallard R.E., 1972]. К открытию тубулярного
пути может также привести повреждение цемента корня при травме. В свою очередь,
длительное заболевание пародонта способствует внешней резорбции корня.
Микроорганизмы могут проникать в дентинные канальцы и пульпу
в результате неудачного пародонтального лечения.J H etal. (1972), A. L. Frank
(1947) в основу систематизации положил принцип первичной локализации процесса
(рис. 3-2).
. Первичное поражение эндодонта.
2. Первичное поражение эндодонта с вторичным
вовлечением пародонта.
. Первичное поражение пародонта.
. Первичное поражение пародонта с вторичным
вовлечением эндодонта.
. Комбинированные поражения.
Успех лечения во многом определяется правильным диагнозом.
Первичное поражение эндодонта. При обострении хронического
периодонтита (некроз пульпы) выход экссудата может произойти маргинальным
путем, что имитирует пародонтальное поражение. В этом случае проверяют глубину
пародонтального кармана, лучше всего гуттаперчевым штифтом. Экссудат может
выделяться в области бифуркации.
Первичное поражение эндодонта обычно хорошо излечивается
после эндодонтического лечения. Даже маргинальный процесс или изменения в
фуркации нередко проходят после эндодонтического лечения.
Первичное поражение эндодонта с вовлечением периодонта. Если
первичное поражение с образовавшимся экссудатом длительное время не лечить, в
воспалительный процесс может вовлекаться периодонт с последующим маргинальным
разрушением [Mandel E. et. al., 1993]. Образование налета с зубным камнем
обусловливает повреждение краевого периодонта. В таком случае кроме
эндодонтического требуется и пародонтологическое лечение, так как первое
приводит к ликвидации только части повреждения.
Первичное поражение эндодонта с вторичным вовлечением
периодонта может иметь место при перфорации корня, особенно после введения
штифта для реставрации коронки. Проявлением такого осложнения могут быть острые
боли и формирование периодонтального абсцесса с разрушением маргинального
периодонта и выходом экссудата.
Более хроническая реакция не сопровождается болью и внезапным
появлением пародонтального кармана. Если перфорация корня располагается ниже
альвеолярного гребня, то создают уступ и устраняют перфорацию с последующим
закрытием дефекта.
При перфорации в области бифуркации ее, как правило, успешно
закрывают. Ранее широко применявшаяся амальгама недавала хороших результатов.
Сейчас используют в основном препараты кальция и гидроксиапатита.
Первичное поражение пародонта. Хронический маргинальный
периодонтит прогрессирует вдоль поверхности корня, достигая верхушки. При этом
реакция пульпы сначала нормальная, затем становится неадекватной. Со стороны
маргинального края обнаруживаются V-образный карман и наслоения зубного камня.
Прогноз зависит от состояния костной ткани альвеолярного
отростка и успеха эндодонтического лечения.
Первичное поражение пародонта с вторичным вовлечением
эндодонта. Маргинальный периодонтит может достигать верхушки, и тогда через
дополнительные или апикальные отверстия в процесс вовлекается пульпа, и
наступает некроз.
В однокорневых зубах лечение невозможно, в многокорневых
зубах может быть рассмотрена возможность резекции одного из корней.
При этом важно успешно провести эндодонтическое лечение
оставшегося корня, а также противовоспалительную терапию при поражении
периодонта.
Комбинированные повреждения имеют место, когда длительно
существующие повреждения эндодонта сочетаются с процессом, обусловленным зубным
налетом, и последние достигают верхушки корня.
Прогноз при этом неблагоприятный, особенно в однокорневых
зубах. В многокорневых зубах после эндодонтического лечения могут быть
произведены разделение корней и удаление корня с выраженными изменениями
костной ткани.
Дифференциальный диагноз свищевого хода. Если свищевой ход
открывается в десневую бороздку или по передней складке, источник инфекции
определяется путем введения гуттаперчевого штифта. Его преимущество заключается
в гибкости и инертности.
Определение состояния пульпы необходимо для дифференциальной
диагностики острого периодонтита, абсцесса в бифуркации. ЭОД затрудняют большие
пломбы. Трудности возникают также, если в одном из каналов пульпа сохранена, а
в другом некротизирована. Иногда с целью выявления состояния пульпы
производится препарирование без анестезии.
Рентгенодиагностика. Диагностику осуществляют, производя
снимки с разных проекций, при этом необходима маркировка поверхностей, корней
(гуттаперчевый штифт) и др. При переломе корня тонколинейные дефекты выявить
сложно.
Эндодонтическое лечение
В своем классическом труде по эндодонтии J. J. Ingi с соавт.
указывает на то, что Эндодонтическое лечение приобретает все большую
популярность. По их данным, 62 % населения предпочитают пломбирование каналов
удалению зубов, хотя 58 % лиц до 25 лет предпочитают удаление пломбированию.
Предполагаю, что в настоящее время людей, желающих удалять зубы при появлении
первых болевых ощущений, стало меньше.
Сохранить зуб, а иногда и корень, означает избежать
необходимости препарирования одного, а иногда и двух зубов при изготовлении
протеза. В другом варианте сохраненный зуб или корень - это возможность
изготовления несъемного протеза.
В настоящее время предпринимаются поиски путей повышения
качества эндодонтического лечения [Боровский Е. В., 1999;
Николаев А. И. и др., 1999]. Одним из решающих факторов в
реализации этой задачи является стандартизация подхода при выборе и проведении
лечения.
При определении показаний к эндодонтическому лечению следует
учитывать наличие зуба-антагониста, возможность использования для опоры,
вероятность сохранения, косметическую ценность, отношение пациента к лечению
зуба. Важно правильно оценить эффективность планируемого лечения [Максимовский
Ю. М., 1997].
Важно отметить, что часто авторы значительно сужают
противопоказания к лечению. По мнению J. J. Ingi с соавт., возраст пациента не
является абсолютным противопоказанием к эндодонтическом лечению. Состояние
здоровья также не служит абсолютным противопоказанием к лечению, так как в ряде
случаев (радиационный некроз, инфаркт миокарда, пониженная свертываемость крови
и др.) травма при консервативном лечении значительно меньшая, чем при
хирургическом вмешательстве. По той же причине у беременных предпочтительнее
эндодонтическое лечение, но проводить его следует после 3 мес беременности.
С. J. R. Stook, С. F. Nehmer (1996) определяют
противопоказания к эндодонтическому лечению исходя из общих и местных условий.
· Общие
o Неадекватный доступ - ограниченное
открывание рта. Плохая гигиена полости рта.
o Неудовлетворительное
общемедицинское состояние - физическая слабость, умственное недоразвитие,
длительное хроническое заболевание.
· Местные
o Зуб не имеет значения для
жевания.
o Нет возможности реставрировать
коронку.
o Большая убыль костной
ткани альвеолярного отростка.
o Перелом корня
(продольный).
o Резорбция корня.
o Искривление корня.
o Повторное неэффективное
лечение.
Лечение в одно посещение
За последние годы постепенно увеличивается количество врачей,
проводящих Эндодонтическое лечение в одно посещение. Всегда в одно посещение
проводится лечение пульпита или удаление неповрежденной пульпы.
Противопоказаниями к лечению периодонтита в одно посещение служат наличие
болей, болезненность при перкуссии зуба, выделение экссудата, воспаление
слизистой оболочки и болезненность пальпации соответственно больному зубу.
Наличие свищевого хода или выделение экссудата после проведенного разреза не
являются противопоказанием к указанному методу.
В литературе имеются данные об эффективности проведения
лечения в одно посещение. Так Н. Nakawata, H. Nagasava (1983) указали, что
только 7,5 % из 106 человек, лечившихся в одно посещение, отметили болевые
ощущения, а R. В. Perkruhm (1981) не выявил заметных различий в частоте болевых
ощущений лечившихся в одно или два посещение. Более того, имеются указания на
более частые осложнения в виде болевых ощущений у лиц, проводивших
Эндодонтическое лечение в несколько посещений.
В литературе представлены многочисленные рекомендации по
проведению эндодонтического лечения. Одну из рекомендаций [Stook С. J. R.,
Nehmer С. F., 1996] в виде 10 заповедей, считаю необходимым представить для
ознакомления.
. Осторожность в выборе метода лечения. Предусмотрите
возможные осложнения.
2. Осторожность в осуществлении намеченного плана
лечения. Проверить наличие необходимого инструментария и его качество.
. Проведение адекватной обработки полости зуба и
корневого канала.
. Определение рабочей длины зуба.
. Специальная подготовка инструмента для обработки
искривленных каналов.
. Строгий контроль за качеством заполнения корневого
канала.
. Строгое соблюдение показаний к хирургическому
методу.
. Строгий контроль обтурации канала при хирургическом
методе.
. Правильное восстановление коронки депульпированного
зуба.
10. Совершенствование методов лечения на удаленных зубах
Строение полостей различных групп зубов,
препарирование полостей. Ошибки препарирования
Полость
зуба и ее препарирование
Знание анатомии зуба - необходимое условие для решения задач
по очищению, дезинфекции и обтурации корневого канала.
Дентин состоит из минерализованной ткани, пронизанной
дентинными трубочками, которые составляют примерно 20-30 % от общего объема
дентина, а это значит, что дентинные трубочки служат огромным резервуаром для
микроорганизмов при некрозе пульпы [Oguntebi В. R., 1994].
Полость зуба делится на коронковую и корневую. Величина этого
соотношения непостоянная, она изменяется в течение всей жизни. В многокорневых
зубах форма полости зуба и ее глубина зависят от положения бифуркации. С
возрастом полость зуба изменяется за счет отложения перитубулярного, вторичного
дентина и дентина раздражения. В самой пульпе также происходят изменения, что
выражается в уменьшении числа сосудов и нервов и увеличении количества фиброзных
волокон. Часто наблюдается минерализация пульпы, что на R-грамме может
проявиться снижением просвета канала. Особенно заметное сужение имеет место в
области верхушки корня. Корневой канал заканчивается отверстием на конце корня,
которое очень редко открывается на анатомической верхушке.
Полость зуба - это сложная система разветвлений, имеющая
разнообразную конфигурацию. Различают 8 конфигураций полости зуба [Burch J. С.,
Hullen S., 1974). Обычно корни имеют 1 канал и 1 апикальное отверстие (тип I).
Наряду с этим, нередко может быть 2 или 3 корневых канала (II и III тип). Эти
изменения обусловлены генетикой или влиянием окружающей среды (рис. 4-1).
Рис. 4-1. Типы корневых каналов зуба (схема).
Диаметр канала корня уменьшается в направлении апикального
отверстия, а максимальное сужение расположено на расстоянии 1-1,5 мм от
отверстия. Апикальное отверстие, имеющее вначале воронкообразную форму, по мере
созревания зуба сужается.
Полость зуба сообщается с периодонтом не только через
основной корневой канал, но и через дополнительные отверстия, которые могут
встречаться в любом месте и в значительном количестве. Это следует учитывать в
клинической практике, так как суммарный диаметр дополнительных отверстий может
быть больше диаметра основного отверстия. Считалось, что дополнительные каналы
и отверстия имеются, в основном, в области верхушки корня. В настоящее время
получены доказательства существования дополнительных каналов и в средней трети
корня, а у 79 % моляров и в области бифуркации [Vertucci F. J., Williams R. Y.,
1974].
Локализация апикального отверстия должна определяться по
положению апикального сужения, которое редко совпадает с анатомической и
ретгенологической верхушкой (рис. 4-2). Среднее расстояние между сужением корня
и его верхушкой достигает 2 мм, а между сужением корня и апикальным отверстием
- 0,5-1 мм.
В идеале, апикальное сужение должно служить естественным
"упором" штифта, вводимого в корневой канал при его обтурации. Важно
не нарушить целостность сужения корневого канала и его верхушечной части.
Рис. 4-2. Строение верхушки зуба (схема):
а - апикальное сужение (физиологическая верхушка);
б - анатомическое отверстие (анатомическая верхушка);
в - рентгенологическая верхушка корня;
г - вторичный цемент.
Центральные
резцы верхней челюсти
При описании анатомии зуоов использованы данные John J.
Ingle, ZeifK. Bakland (1994) и Т. Р. Ford (1997). Средняя длина центрального
резца 25 мм (22,5-27,5 мм). Он всегда имеет 1 прямой корень и 1 канал.
Наибольшее расширение полости наблюдается на уровне шейки (рис. 4-3). Ось зуба
проходит по режущему краю.
Рис. 4.3. Продольный разрез центрального резца верхней челюсти
(схема).
Латеральные
резцы верхней челюсти
Средняя длина латерального резца 23 мм (21-25 мм). Также
имеется всегда 1 корень и 1 канал. В большинстве случаев корень обладает
дистальным изгибом (рис. 4-4).
Рис. 4-4. Продольный разрез бокового резца верхней челюсти
(схема).
Клыки
верхней челюсти
Средняя длина клыка 27 мм (24-29,7 мм). Это самый длинный
зуб. Всегда имеет 1 корень и 1 канал. В большинстве случаев (89 %), корень
прямой, но с выраженным губным расширением, вследствие чего он имеет овальную
форму. Апикальное сужение выражено слабо, что затрудняет определение рабочей
длины зуба (рис. 4-5).
Рис. 4-5. Продольный разрез клыка верхней челюсти (схема)
Вскрытие полости зуба у резцов и клыков проводят в центре нёбной
поверхности с использованием скоростной машины. На первом этапе направление
бора перпендикулярно поверхности, а после прохождения эмали его направление
изменяется. После вскрытия полости, что определяется ощущением
"провала" инструмента, приступают к расширению полости путем снятия
навеса дентина. Контуры вскрытой полости на нёбной поверхности должны
соответствовать полости зуба корон ковой пульпы (рис. 4-6).
Рис. 4-6. Вскрытие полости зуба:
а - место вскрытия полости зуба резца или клыка;
б - первоначальное направление бора при трепанации полости зуба;
в - направление бора на втором этапе трепанации полости зуба;
г - расширение входа в полость зуба после ее вскрытия;
д - оптимальный доступ до корневого канала;
е - эндодонтический инструмент достиг апикального сужения.
Ошибки
при препарировании полости зуба (рис. 4-7):
· перфорация коронки на
уровне шейки зуба;
· создание уступа
вследствие неправильного направления бора;
· недостаточное раскрытие
полости зуба, что может привести к перфорации в процессе расширения канала;
· неполное раскрытие
полости, что может привести к изменению цвета коронки зуба;
· перфорация корня при
использовании большого размера внутриканального (не гибкого) инструмента при
искривленном корне.
Рис. 4-7. Возможные ошибки при вскрытии полости зуба:
а - перфорация коронки на уровне шейки зуба;
б - создание уступа вследствие неправильного направления
бора;
в - перфорация или ложное направление корневого канала
вследствие недостаточного раскрытия полости зуба;
г - изменение цвета зуба вследствие неполного удаления пульпы
или ее распада при неполном раскрытии полости зуба;
д - перфорация искривленного корня при использовании
негибкого (большого размера) внутриканального инструмента
Первые
премоляры верхней челюсти
Средняя длина первого премоляра 21 мм (19-23 мм). Имеются
различные вариации количества корней и каналов:
корня и 2 канала - 72 % 1 корень и 1 канал - 9 % 1 корень и 2
канала - 13 % 3 корня и 3 канала - 6 %
Дистальный изгиб корня наблюдается в 37 % случаев. Полость
зуба проходит в щечно-нёбном направлении и расположена глубоко на уровне шейки
зуба, т.е. покрыта толстым слоем дентина, и это следует учитывать при создании
доступа к корневым каналам. Устья каналов имеют воронкообразную форму, что
обеспечивает при правильном вскрытии полости зуба свободный вход в канал или
каналы (рис. 4-8).
Рис. 4-8. Первый премоляр верхней челюсти (схема):
а - продольный разрез;
б - проекция полости зуба и устьев канала на жевательную
поверхность.
Вторые
премоляры верхней челюсти
Рис. 4-9. Второй премоляр верхней челюсти (схема):
а - продольный разрез;
б - проекция полости зуба и устьев канала на жевательную
поверхность.
Средняя длина второго премоляра 22 мм (20-24 мм). По 1 корню и 1
каналу имеют 75 %, 2 корня и 2 канала - 24 %, 3 корня и 3 канала - 1 % зубов.
Принято считать, что этот зуб имеет 1 корень и 1 канал, хотя, как
правило, имеется два устья, а каналы соединяются и открываются одним
верхушечным отверстием.
Два отверстия, как следует из литературы, наблюдается у 25 % этих
зубов. Полость зуба расположена на уровне шейки, канал имеет щелевидную форму
(рис. 4-9).
Вскрытие полости зуба всегда, даже при наличии кариозной полости
II или I класса по Влеку, производят с жевательной поверхности. Слой эмали
проходят, используя сначала высокоскоростную, а затем низкоскоростную машины.
Движением бора от полости зуба кнаружи производят удаление нависающего над
полостью зуба дентина и эмали. Раскрытие полости произведено правильно, если
зонд или эндодонтический инструмент, скользя по стенке, свободно попадает в
корневой канал (рис. 4-10).
Ошибки
при препарировании полости зуба (рис. 4-11):
а) вскрытие полости зуба в области рога пульпы (в одной или
двух точках) из-за принятия его за устье канала;
б) ослабление прочности коронки вследствие широкого вскрытия
полости, что связано с удалением большого количества дентина;
в) перфорация (пришеечная или поддесневая) при расширении
полости в передне-заднем направлении;
г) перфорация или облом инструмента при отсутствии прямого
доступа к корневому каналу;


Рис. 4-10. Вскрытие полости зуба премоляров верхней челюсти
(схема):
а - трепанация полости зуба в центре жевательной поверхности;
б - снятие навесов;
в - полость с хорошим доступом к корневым каналам


Рис. 4-11. Возможные ошибки при вскрытии полости зуба премоляров
верхней челюсти (схема):
а - вскрытие полости зуба в области рога пульпы в случае принятия
его за устье канала;
б - перфорация (пришеечная или поддесневая) при расширении полости
зуба в передне-заднем направлении;
в - перфорация или облом инструмента при отсутствии прямого
доступа к корневому каналу.
Первые
моляры верхней челюсти
Средняя длина первого премоляра 22 мм (20-24), причем нёбный,
в большинстве случаев, несколько длиннее, а дистальный короче. Принято считать,
что зуб, как правило, имеет 3 канала и 3 корня. На самом деле, в 45-56 %
случаев у него 3 корня и 4 канала, а в 2,4 % случаев - 5 каналов. Чаще всего 2
канала - в щечном мезиальном корне.
Полость зуба напоминает формой закругленный четырехугольник и
имеет больший размер в щечно-нёбном направлении. Слегка выпуклое дно полости
зуба расположено на уровне шейки. Устья каналов в виде незначительных
расширений располагаются в середине соответствующих корней. Устье четвертого
дополнительного канала, если оно имеется, расположено по линии, соединяющей
устья переднещёчного и нёбного каналов. Устье нёбного канала определяется
легко, а остальные с трудом, особенно дополнительный. Переднещёчные каналы
обычно трудны для инструментальной обработки. Нёбный канал - наиболее
проходимый из всех (рис. 4-12).
С возрастом откладывается заместительный дентин, главным
образом на крыше полости, и, в меньшей степени, на дне и стенках. В этом
основная причина частой перфорации дна полости, особенно при использовании
скоростных наконечников.

Рис. 4-12. Первый моляр верхней челюсти (схема):
а - продольный разрез;
б - проекция полости зуба и устьев канала на жевательную
поверхность
Вторые
моляры верхней челюсти
Средняя длина вторых моляров верхней челюсти 21 мм (19- 23
мм). Зуб в 54 % случаев имеет 3, а в 46 % - 4 корня. В большинстве случаев,
корни с дистальным искривлением. Два канала, как правило, в переднем щечном
корне. Наряду с этим возможно слияние корней (рис. 4-13).

Рис. 4-13. Второй моляр верхней челюсти (схема):
а - продольный разрез;
б - проекция полости зуба и устьев канала на жевательную
поверхность.
Средняя длина вторых моляров верхней челюсти 21 мм (19- 23 мм).
Зуб в 54 % случаев имеет 3, а в 46 % - 4 корня. В большинстве случаев, корни с
дистальным искривлением. Два канала, как правило, в переднем щечном корне.
Наряду с этим возможно слияние корней (рис. 4-13).
Препарирование
моляров верхней челюсти
Полость зуба вскрывают на жевательной поверхности с помощью
скоростной машины, после чего навесы дентина и эмали снимают шаровидным или
фиссурным бором. Вскрытие полости зуба рекомендуется проводить по направлению к
хорошо проходимому корневому каналу, т.е. по направлению к нёбному. Ориентир на
известный канал позволяет в дальнейшем успешно раскрыть полость зуба. Вскрытие
полости является завершенным и правильным, когда зонд или эндодонтический
инструмент при движении по стенке полости попадает в канал. Важно, чтобы
вскрытая полость зуба была хорошо обозрима. Только при таком условии возможны
соответствующая обработка и обтурация корневого канала.
Ошибки
при препарировании полости зуба (рис. 4-14):
а) вскрытие полости зуба соответственно выступу (рогу
пульпы), который принимается за устье каналов;
б) ослабление коронки зуба за счет избыточного удаления дентина;
в) перфорация дна полости зуба;
г) частичное вскрытие полости зуба;
д) перфорация корневого канала: при недостаточном раскрытии
кариозной полости;
е) перфорация корневого канала при использовании инструмента
с большим диаметром и активной (острой) верхушкой.





Рис. 4-14. Ошибки при препарировании полости зуба:
а - вскрытие полости зуба соответственно выступу (рогу пульпы) при
недостаточном препарировании кариозной полости;
б - ослабление коронки зуба вследствие избыточного удаления
дентина;
в - перфорация дна полости зуба;
г - частичное вскрытие полости зуба, не обеспечивающее доступ к
устью канала;
д - перфорация корневого канала при недостаточном раскрытии
полости зуба;
е - перфорация корневого канала при использовании эндодонтического
инструмента большого диаметра с активной (острой) верхушкой
Центральные
резцы нижней челюсти
Рис.4-15. Продольный разрез центрального резца нижней челюсти
(схема).
Средняя длина центральных резцов 21 мм (19-23 мм). 1 корень и 1
канал присутствуют в 70 % случаев, 2 канала - в 30 %, но в большинстве случаев
они заканчиваются одним отверстием. Корень чаще всего прямой, однако в 20 %
случаев может иметь искривление в дисталь-ную или губную сторону. Канал узкий,
наибольший размер в губно-язычном направлении (рис. 4-15).
Боковые
резцы нижней челюсти
Средняя длина боковых резцов 22 мм (20-24 мм). В 57 % случаев
зуб имеет 1 корень и 1 канал. В 30 % случаев - 2 канала и 2 корня, в 13 %
случаев - 2 сходящихся канала, которые заканчиваются одним отверстием.
Особенностью резцов нижней челюсти является то, что при рентгенологическом
обследовании каналы накладываются друг на друга, а поэтому часто не выявляются
(рис. 4-16).
Рис. 4-16. Продольный разрез бокового резца нижней челюсти
(схема).
Клыки
нижней челюсти

Рис. 4-17. Продольный разрез клыка нижней челюсти (схема).
Средняя длина 26 мм (26,5-28,5 мм). Как правило, они имеют по 1
корню и 1 каналу, но в 6 % может быть 2 канала. Отклонение верхушки корня в
дистальную сторону отмечено в 20 %. Канал хорошо проходим, овальной формы (рис.
4-17).
Препарирование
полости зуба у резцов и клыков нижней челюсти
Вскрытие полости зуба (трепанацию) начинают в центре язычной
поверхности высокоскоростным наконечником. После снятия эмали бор направляют
под небольшим углом к оси зуба и попадают в полость зуба, что определяется по
ощущению "проваливающегося" бора, производят расширение отверстия,
полностью снимая навес дентина и эмали. При этом целесообразно работать
низкоскоростным наконечником (рис. 4-18).
Рис. 4-18. Вскрытие полости зуба (схема):
а - место вскрытия полости зуба резца или клыка;
б - первоначальное направление бора;
в - направление бора на втором этапе трепанации;
г - расширение полости после ее вскрытия;
д - создание выступа до апикального сужения.
Ошибки
при препарировании полости зуба (рис. 4-19):
а) перфорация на уровне шейки зуба (наддесневая или
под-десневая) вследствие неправильного направления бора;
б) придание неправильного направления каналу;
в) изменение цвета коронки при недостаточном раскрытии
полости зуба, не позволившем произвести удаление пульпы или ее распада;
г) перфорация корня или облом инструмента в канале при
создании неправильного подхода к корневому каналу.



Рис. 4-19. Ошибки при препарировании полости зуба (схема):
а - перфорация на уровне шейки (наддесневая или поддесневая);
б - придание неправильного направления каналу;
в - изменение цвета коронки при недостаточном раскрытии полости,
не позволяющее удалить остатки пульпы или ее распад;
г - перфорация корня или облом инструмента в канале при создании
неправильного подхода к корневому каналу.
Первые
премоляры нижей челюсти
Средняя длина первого премоляра 22 мм (20-24 мм). Имеет, как
правило, 1 корень и 1 канал (73,5 %), либо 2 сходящихся канала (6,5 %), либо 2
корня и 2 канала (19,5 %). ¦
Наибольший размер полости наблюдается ниже шейки зуба, корневой
канал овальный и заканчивается выраженным сужением (рис. 4-20). В большинстве
случаев, корень имеет дистальное отклонение.

Рис.4-20. Первый премоляр нижней челюсти (схема):
а - продольный разрез;
б - проекция полости зуба и устья канала на жевательную
поверхность коронки
Вторые
премоляры нижней челюсти
Средняя длина вторых пре-моляров 22 мм (20-24 мм). Имеют 1
корень и 1 канал (86,5 %), иногда 2 корня и 2 канала (13,5 %). Корень хорошо
проходим. В большинстве случаев, корень имеет дистальное отклонение (рис.
4-21).
Доступ к полости зуба в нижних премолярах должен
осуществляться через жевательную поверхность. На первом этапе, при снятии
эмали, используют высокоскоростную машину. Расширение полости и снятие навесов
производят низкоскоростной машиной. При раскрытии полости зуба в премолярах
нижней челюсти следует учитывать наклон коронки по отношению к корню. Если
препарируется полость II класса, то она может быть выведена на жевательную
поверхность. При наличии полости V класса доступ к ней создается через
жевательную поверхность.


Рис.4-21. Второй премоляр нижней челюсти (схема):
а - продольный разрез;
б - проекция полости зуба и устья канала на жевательную
поверхность коронки.
Ошибки
при препарировании (рис. 4-22):
а) перфорация над- или поддесневая в результате неправильного
направления бора или без учета наклона коронки зуба;
б) облом инструмента или перфорация корня при попытке его
обработки, если не создан надлежащий доступ к корневому каналу;
в) перфорация корня у верхушечной трети (в случае его
отклонения) при использовании файла большого размера (жесткого) с активной
верхушкой.
Рис. 4-22. Ошибки при препарировании (схема):
а - перфорация над- или поддесневая;
б - облом инструмента или перфорация корня при попытке его
обработки без должного доступа к корневому каналу;
в - перфорация корня у верхушечной трети (в случае его отклонения)
при использовании файла большого размера (жесткого) с активной верхушкой.
Первые
моляры нижней челюсти
Средняя длина первых моляров 22 мм (20-24 мм). Как правило,
они имеют 2 корня (97,8 %), иногда 3 корня (2,2 %) с изгибом у нижней трети
(рис. 4-23).
Одиночный дистальный канал овальной формы и хорошо проходим.
В 38 % случаев в нем встречается 2 канала. В мезиальном корне 2 канала, но в
40-45 % случаев они открываются одним отверстием.
Полость зуба больших размеров в мезиальном направлении и
смещена в мезиально-щечном направлении, вследствие чего устья медиального корня
часто не раскрываются (до 78 %). Дно полости слегка выпуклое и располагается на
уровне шейки зуба. Устья каналов образуют почти равнобедренный треугольник с
вершиной у дистального корня, хотя полость зуба имеет форму закругленного
четырехугольника. Мезиальные каналы более узкие, особенно переднещечный, что
создает трудности для обработки, особенно у лиц пожилого возраста. Иногда
разветвления корневых каналов образуют густую сеть.


Рис. 4-23. Первый моляр нижней челюсти (схема). Выраженное
смещение полости зуба в щечно-медиальном направлении :
а - продольный разрез;
б - проекция полости зуба и устья канала на жевательную
поверхность коронки.
Вторые
моляры нижней челюсти
Средняя длина этих зубов 21 мм (19-23 мм). Обычно имеют 2
корня и 3 канала. В мезиальном корне каналы имеют тенденцию к слиянию у
верхушки (49 %). В 28 % случаев в дистальном корне может быть 2 канала.
Мезиальный корень имеет выраженную искривленность в дистальном направлении (84
%), дистальный корень прямой (74 %). Встречаются сообщения о слиянии
мезиаль-ного и дистального корня в 8 % случаев.
Полость зуба имеет форму закругленного четырехугольника и
расположена в центре (рис. 4-24).


Рис. 4-24. Второй моляр нижней челюсти (схема):
а - продольный разрез;
б - проекция полости зуба и устьев канала на жевательную
поверхность коронки.
Третьи
моляры нижней челюсти
Средняя их длина 19 мм (16-20 мм). Форма коронки, также как и
анатомия корней, непредсказуема. Может быть много корней и каналов, коротких и
искривленных. Все это делает лечение малоэффективным, а иногда и невозможным.
Доступ к полости у моляров нижней челюсти. Чтобы создать
хороший доступ к корневым каналам необходимо снять навесы над устьями каналов,
особенно над переднещечным. Препарирование начинают со вскрытия полости по
направлению хорошо проходимого канала (дистального), что позволяет быстро
сориентироваться. С учетом смещения полости зуба в мезиально-щеч-ном
направлении не всегда раскрываются устья каналов, особенно мезиального щечного.
В соответствии с проведенными нами исследованиями [Боровский Е. В., Протасов М.
Ю., 1998], навесы над каналами в мезиальном корне обнаружены в 78 %. По нашему
мнению, именно недостаточное раскрытие полости моляров нижней челюсти служит
основной причиной некачественного пломбирования корневых каналов. Наши данные
совпадают с литературными сообщениями [Петракас А. Ж., 1997), что чаще всего
неполная обтурация корневых каналов обнаруживается в молярах нижней челюсти.
В некоторых случаях, особенно если зуб готовится под коронку,
для лучшего доступа допускается снятие части бугра или стенки.
Ошибки
препарирования полости зуба (рис. 4-25):
а) избыточное снятие дентина при глубоком расположении
полости зуба;
б) перфорация дна полости зуба вследствие дезориентации во
время препарирования;
в) перфорация над- или поддесневая в результате
препарирования без учета наклона зуба;
г) вскрытие рога пульпы при ошибочном принятии его за устье
канала;
д) перфорация корня на месте искривления при использовании
эндодонтического инструмента большого диаметра с активной (острой) верхушкой.
Рис. 4-25. Ошибки препарирования (схема):
а - избыточное снятие тканей зуба при глубоком расположении
полости зуба.
б - перфорация дна полости зуба;
в - перфорация над- или поддесневая при препарировании без
учета наклона зуба;
г - вскрытие рога полости зуба, приняв его за устье канала;
д - перфорация корня на месте его искривления.
Особенности
топографии полости временных (молочных) зубов
Рис. 4-26. Временные (молочные) зубы (схема).
Как указывает R. Т. Walker (1997), полость у молочных зубов
имеет общие особенности, отличающие их от постоянных (рис. 4-26).
. Больший размер по сравнению с постоянными зубами.
. Более тонкие эмаль и окружающий полость зуба дентин.
. Отсутствие четкой границы между коронковой и корневой
пульпой.
. Меньший диаметр корневых каналов при одновременном
увеличении соотношения длины корня с коронковой частью.
. Более разветвленная сеть корневых каналов в многоконевых
временных (молочных) зубах.
. Большая выраженность рогов пульпы молочных зубов. Полость
зуба у верхних, нижних резцов и клыков повторяет контуры зуба, а пульпа
расположена близко к поверхности. Корневые каналы широкие и сужаются только к
верхушке корня.
Длина молочных резцов верхней челюсти 16 мм, боковые резцы
несколько короче: центральные резцы - 14 мм, боковые - 15 мм. Длина клыков
верхней челюсти - 19 мм, нижних - 17 мм.
Моляры верхней челюсти имеют 3 корня, а нижней - 2. Полость
зуба большая по сравнению с размером зуба. При препарировании зуба следует
помнить, что в области рога пульпа зуба покрыта слоем дентина и эмали толщиной
2 мм. Биффуркация корней располагается близко к дну полости. Моляры нижней
челюсти обычно имеют по 2 канала в каждом корне. У моляров верхней челюсти 3
канала и 3 корня, но передний щечный канал иногда с 2 каналами.
Верхушка корня зубов формируется в сроки [Walker R. Т.,
1997], представленные в табл. 4-1.
Таблица 4-1.Формирование корней молочных зубов
|
Типовая
принадлежность зуба
|
Возраст, лет
|
|
Временный
(молочный) резец
|
2
|
|
Временный
(молочный) моляр
|
3
|
|
Постоянный
первый моляр
|
9
|
|
Постоянный
центральный резец
|
10
|
|
Постоянный
боковой резец
|
11
|
|
Постоянный
премоляр
|
15
|
|
Постоянный второй
моляр
|
17
|
|
Постоянный
третий моляр
|
21
|
Эндодонтический
инструментарий
Успех эндодонтического лечения зависит от тщательности
очистки корневого канала и надежности обтурации, что практически невозможно без
инструментальной обработки. К настоящему времени создано большое разнообразие
инструментов для внутриканальной обработки, причем каждый из них выполняет
специфическую функцию. Подробная характеристика всех инструментов не входит в
наши планы. Необходимо остановиться только на тех данных, которые важны при
обработке корневых каналов.
Существуют различные критерии, которые могут быть положены в
основу систематизации эндодонтического инструментария: способ применения, длина
и размер поперечного сечения, форма рабочей части и верхушки инструмента,
способ приведения в действие (ручной, машинный), состав сплава, из которого он
изготовлен.
Материалы изготовления. При изготовлении из нержавеющей стали
инструмент характеризует гибкость; из углеродистой стали - ломкость, из титана
- эластичность. Наибольшую пластичность имеют инструменты из никель-титанового
сплава. Следует отметить, что в последние годы появляется все больше
инструментов из этого сплава.
Форма заготовки. На свойствах инструмента сказывается также
форма заготовки (рис. 5-1). Так, К-файл при четырехугольной форме заготовки (в)
менее гибкий, чем К-ример при треугольной (^) и, особенно, ромбовидной (Т)-
К-флексофайл. Важное значение имеет способ изготовления. При скручивании
треугольного или четырехугольного стержня инструменты (ример, файл) более прочны,
чем инструменты, полученные фрезерованием (Н-файл, Хедстрем-файл)
цилиндрического стержня (•).
Рис. 5-1. Поперечные разрезы К-, Н- и U-образных инструментов
в корневом канале. К- и Н-образные способны внедряться в дентин (саморежущие) ;
U-образные не режут дентин в этих условиях (не саморежущие).
На качестве обработки стенок канала отражается угол резцового
края. Так называемые U-образные инструменты, имеющие на поперечном сечении 3
или 2 углубления, обеспечивают хорошую обработку канала при значительной
безопасности. Симметричность режущих кромок и канавок позволяет инструменту
сохранять центральное положение даже в искривленном канале.
Активность верхушки инструмента. Значительную роль в
повышении качества препарирования искривленного корневого канала сыграла
разработка инструмента с пассивной (тупой) верхушкой. Именно тупая верхушка
создает правильное направление на изгибе, не приводя к перфорации (рис. 5-2).
Рис. 5-2. Активная форма верхушки у Н-фаила (А). К-римера
(В), К-фаила (С). Тупая верхушка у профайла (D)
Если говорить о систематизации эндодонтического
инструментария, то наиболее целесообразно деление на группы в зависимости от их
назначения для:
. препарирования полости зуба;
2. расширения устья канала;
. прохождения корневого канала;
. расширения корневого канала;
. определения размера корневого канала;
. пломбирования корневого канала.
Инструменты
для препарирования полости зуба
Рис. 5-3. Карбидные (а) и алмазные (б) боры для
препарирования полости зуба.
Для препарирования полости зуба используются в основном
шаровидные и фиссурные боры. К специальным борам можно отнести шаровидные боры
с удлиненным стержнем, а также фиссурные, выпускаемые фирмой Maillefer, с тупой
верхушкой (рис. 5-3). Препарирование полости таким бором исключает возможность
перфорации дна.
Инструменты
для расширения устья корневого канала
Gates-Gliden дриль с укороченной рабочей частью каплеобразной
формы на длинном тонком стержне. Длина рабочей части со стержнем 15-19 мм.
Выпускается серия из 6 размеров (1-6) с сечением 050, 070; 090; 110; 130; 150.
Размер маркируется кольцами на держателе (1-6). Предназначен для работы угловым
наконечником на малых оборотах. Используется для расширения устья канала и
прохождения прямого отрезка коронковой части корневого канала, а также для
удаления гуттаперчи из канала.
Модифицированный вариант этого инструмента - флексагейтис
(Handy Gates) (рис. 5-4). Инструмент с безопасной верхушкой создан для
обработки апикальной части корневого канала. Указывают на хорошие качества
этого инструмента при обработке искривленных каналов.
Рис. 5-4. Гейтис глиден - для расширения устья канала (а),
флексогеитис - для обработки верхушечной части канала (б).
(Peeso-Reamer) - дриль с удлиненной рабочей частью,
переходящей в жесткий стержень. Выпускается серия из 6 размеров с сечением 070;
090; 110; 130; 150; 170. Размер маркируется кольцами на держателе (1-6). Может
использоваться для прохождения верхней части канала (до первого изгиба).
Инструменты
для прохождения корневого канала.
Эти инструменты получили название дриль Rimer (ример). Их
производят обычно из стальных треугольных заготовок путем скручивания. Они
характеризуются гибкостью и высокой способностью режущих кромок, что
обусловлено удлиненным шагом. Само название говорит о том, что римеры
используются для сверления. После плотного введения в канал производят поворот
по часовой стрелке на четверть или половину оборота, чтобы грани вошли в
дентин, а затем инструмент извлекают, т.е. производится пенетрация, ротация и
ретракция. При работе не следует производить сильный нажим, особенно при
пользовании малыми размерами. Никель-титановые инструменты более гибкие и
устойчивые к поломке.
К-ример (дриль Керра) выпускается 20 размеров (006-140), в
соответствии со стандартами ISO.
К-флексоример обладает большой гибкостью, что связано с
уменьшением шага, а главное, с изготовлением из никель-титанового сплава.Golden
medium - инструмент промежуточных размеров, с помощью которого осуществляется
плавный переход от одного размера к другому. Так, при трудностях введения
К-флексориме-ра 025 после К-флексоримера 020 следует применять промежуточный
инструмент К-флексоример 022. Инструмент выпускается в наборе с диаметром 012,
017, 022, 027, 032, 037. Его применение почти полностью исключает заклинивание
инструмента и образование уступов в канале.
К-ример Forside используют для прохождения очень тонких
каналов, особенно моляров при затрудненном открывании рта. В набор входит 18
инструментов с диаметром 006; 008; 010; 015 и длиной рабочей части 21, 25, 28,
31 мм.
Инструменты
для расширения корневого канала
File (файлы). Инструменты 006-040 готовятся путем скручивания
из треугольной, а 045-140 - из четырехугольной заготовки. Последние обладают за
счет этого большей жесткостью, и их применение в искривленных каналах может
привести к перфорации. У файлов большее скручивание, чем у римеров (рис. 5-5),
что затрудняет эвакуацию дентинных опилок из канала. Работают файлом,
поворачивая его по и против часовой стрелки, периодически извлекая его и очищая
от дентинных опилок, заполняющих углубление.
Имеется разнообразие файлов: К-файл (Кера), К-флексофайл Golden
medium.
Срезания добиваются либо за счет соскабливания при извлечении
файла из канала, либо рассверливания (наподобие римера) при пенетрации
(проникновении), ротации (на 90-180°) и ретракции (извлечении).
Рис. S-5. У файла (а) количество витков на единицу измерения
больше, чем у римера (б)
Римеры и файлы малых размеров легко ломаются при скручивании
стержня. При этом вначале происходит "раскручивание", что проявляется
в удлинении витков на определенном участке, а затем закручивание в обратную
сторону. Если при осмотре в процессе обработки канала обнаруживаются указанные
изменения на лезвии инструмента, необходимо заменить данный инструмент.
В соответствии с принятым стандартом, выпускается серия из 21
размера с длиной рабочей части 21, 25, 28 и 31 мм. Вульфорд (1996) указывает,
что основным инструментом для работы являются К-файлы размером 08-060, причем
размер 020 используется наиболее часто.
К-флексофайл - гибкий каналорасширитель - применяется для
расширения тонких и искривленных каналов. В наборе 6 размеров 015, 020, 025,
030, 035, 040 с длиной рабочей части 21, 25, 31 мм.
К-флексофайл Golden medium - гибкий каналорасширитель
промежуточного размера. Выпускается для плавного перехода от одного размера к
последующему. Выпускается серия из 6 размеров 012, 017, 022, 027, 030 длиной
21, 25 и 31 мм.
Для устранения проблем в связи с деформацией и поломкой
К-файла было предложено использовать никель-титановый сплав
"Nitinol". Оказалось, что нитиноловые файлы обладают значительно
большей гибкостью.
Наряду с этим была изменена и форма инструмента. Вместо
квадратного или треугольного поперечного сечения К-файлу придают ромбовидную
форму, что значительно повышает режущие свойства и безопасность работы.
Кроме того, модифицирована верхушка инструмента. В
первоначальном виде срезающее действие инструмента достигалось за счет остроты
граней. Позже появились сообщения, что острое окончание инструмента может
создавать новое направление и приводить к перфорации. В дальнейшем был создан
инструмент с модифицированной верхушкой, которая была лишена острых граней.
Такой инструмент, названный Flex-R-файлом, обеспечивает лучшее прохождение
искривленных каналов. Тупая верхушка инструмента обеспечивает правильное
направление инструмента в канале, а срезание стенок канала производится острыми
гранями. По аналогии с Flex-R-файлом были выпущены Flex-0-файл и
др.Хедстрем-файл (Н-файл) изготовляется путем высверливания спиралевидных
желобов в стержне из круглой, суживающейся к верхушке заготовки из нержавеющей
стали (рис. 5-6).
Рис. 5-6. Хедстрем-файл (Н-файл) - инструмент для
выравнивания стенок корневого канала
Н-файл производит срезание только в одном направлении - при
ретракции. Если канал обрабатывать этим инструментом, желобки при вращении
врезаются в дентин, и происходит облом. Наряду с этим Н-файл очень эффективно
срезает дентин при правильном пользовании - соскабливании.
Н-файл подвергся ряду модификаций. Была разработана модель в
виде двух спиралей на стержне Burss Unifile и Dynatrak. Вариант
"S-файл" с двухвитковой конфигурацией имеет более глубокие желобки и
другой скос к стержню, что обеспечивает большую безопасность.
Инструмент Canal Master-"U" (рис. 5-7). Это новый тип
инструментов. По мнению разработчиков, они хорошо подходят для работы в
искривленных каналах и характеризуются:
) нережущей (тупой) верхушкой;
) небольшими размерами режущей головки (не более 3 мм);
) большой гибкостью стержня.
Режущие края имеют выраженную "и"-образную форму,
что подчеркивается в названии инструмента. Ручные инструменты выпускаются
серией из 13 размеров: 020, 025, 030, 035, 040, 045, 050, 055, 060, 065, 070,
075, 080. Кроме того, имеются "половинные" размеры 022,5; 032,5 и
т.д. Для машинной обработки выпускаются инструменты размера 050-100, в
соответствии со стандартом ISO. Считают, что с помощью инструмента канал-мастер
"U" необходимо осуществлять непрерывные вращательные движения по
часовой стрелке.
Рис. 5-7. Canal Master - стандартный (а) ч И-образной формы
(б) инструмент из никель-титанового сплава
Конусность рабочей части инструмента служит важной
характеристикой, так как придание каналу формы конуса обеспечивает его
полноценную очистку и создает оптимальные условия для пломбирования.
Согласно стандарту ISO, конусность рабочей части - величина
постоянная и составляет 2 %. Это значит, что на каждый миллиметр длины
инструмента его диаметр увеличивается на 0,02 мм. В настоящее время фирма
Maillefer выпускает инструменты с конусностью 4 % и 6 %, что позволяет изменить
систему обработки корневых каналов.Orifice Shapers (профайл орифис шейпер) -
набор инструментов из никель-титанового сплава с тупой верхушкой и конусностью
5-8 %. Инструмент бывает 6 диаметров (1-6). Длина режущей поверхности 10 мм.
Предназначен для обработки коронковой части корневого канала. Преимущество
перед Gates Gliden, применяемых для расширения устья каналов, в том, что он,
расширяя коронковую часть до первого изгиба, создает переход в виде конуса в
более глубокие участки канала. Маркируется 3 цветными кольцами на хвостовике
(рис. 5-8). Profile Об выпускается 6 размеров 015, 020, 025, 030, 035, 040 с
длиной рабочей части 21 и 25 мм. Длина режущей поверхности 16 мм, рабочей части
- 21 и 25 мм. Маркируется 2 цветными кольцами на хвостовике. Profile 04
выпускается 9 размеров 015, 020. 025, 030, 035, 040, 045, 060, 090 с длиной
рабочей части 21, 25 и 31 мм. Предназначен для обработки апикальной части
канала. Маркируется 1 цветным кольцом. Кроме того, в наборе имеются профайлы 08
и 015 для ручной работы.
Рис. 5-8. Профайлы с увеличивающейся конусностью: орифис
шейпер, профайл 06, профайл 04, по сравнению с профаилом 02
Профайлы 04 и 06 предназначены для работы наконечником с
оптимальной скоростью до 300 об/мин. Профайлы имеют 4 особенности, которые
выгодно отличают их от других инструментов. Во-первых, они изготовлены из
никель-титанового сплава, что придает им суперпластичность, позволяющую
обрабатывать канал с изгибом до 90° (рис. 5-9). Во вторых, профайлы имеют
выраженное сужение к верхушке инструмента (рис. 5-10). Это позволяет
использовать инструмент эффективнее. Инструмент с конусностью 2 % при
проникновении в канал вступает в соприкосновение на всем протяжении со стенкой
(слева), а инструмент с конусностью 4 % или 6 %, проникая в канал, контактирует
на ограниченном участке (справа) (рис. 5-11).
Рис. 5-9. Суперпластичность профайла
Рис. 5-10. Форма корневого канала в зависимости от конусности
инструмента (схема). Рис 5-11. Границы контактов инструмента повышенной
конусности со стенками корневого канала (схема)
Рис. 5-12. Поперечное сечение профайла. V-образная форма
боковых желобков (в центре), в отличие от других инструментов. обеспечивает
выведение дентинных опилок из канала
Третья особенность профайлов - U-образная форма поперечного
сечения (рис. 5-12) без выраженных режущих граней, что позволяет удалять опилки
из корневого канала. Четвертой особенностью профайла является модифицированная
верхушка (тупая), что позволяет инструменту проникать в любой искривленный
канал.
Новым направлением в создании режущего эндодонтического
инструментария является увеличение конусности, по сравнению с первоначальным
стандартом ISO, в 2-6 раз, т.е. вместо 2% - 4, 6, 8, 10 и 12 %.
Greater Taper (GT) Rotary files (Джи Ти вращающиеся файлы) (рис. 5-13). Эти никель-титановые
эндодонтические инструменты нового поколения максимально адаптированы для
препарирования корневого канала по методике Crown Down. Подобно профай-лам,
Greater Taper сконструированы для работы во вращающемся режиме по часовой
стрелке со скоростью 150-350 об/мин с использованием любого соответствующего
машинного наконечника. Эти инструменты маркируются позолоченными хвостовиками.
Рис. 5-13. Набор Greater Taper (больших расширителей)
Набор вращающихся Джи Ти файлов состоит из 3 групп
инструментов.
Первая группа состоит из 4 инструментов конусностью 12, 10,
08 и 06 % с одинаковым диаметром кончика 020 и длиной 21 и 25 мм. Это основная
группа инструментов, с помощью которой осуществляется препарирование по
методике Crown Down. При препарировании канала сначала работают файлом с
большой конусностью и последовательно переходят к инструменту с наименьшей
конусностью (6 %).
Вторая группа, состоящая также из 4 инструментов конусностью
04 %, диаметром кончика 020, 025, 030 и 035 и длиной 21, 25 и 31 мм,
предназначена для препарирования верхушечной части канала. Ровные плоские
наружные края Джи Ти вращающихсяфайлов U-образной формы предотвращают
самонарезание инструмента и обеспечивают центрирование файла в канале. Третья
группа состоит из 3 инструментов с конусностью 12 %, диаметром кончика 035, 050
и 070 и длиной 21 и 25 мм, они предназначаются для раскрытия устьев канала.
Используя Джи Ти вращающиеся файлы с различной конусностью,
успешно препарируются почти все корневые каналы. Наибольший размер верхушки
инструмента (020 мм) и максимальный диаметр стержня 1 мм гарантируют
неагрессивное препарирование верхушечной части без нарушения анатомии. Как
видно на представленной схеме (рис. 5-14), каждый последующий инструмент
соприкасается со стенкой канала только на ограниченной части его длины, что
исключает возможность заклинивания, а следовательно, и облома инструмента.
Рис. 5-14. Препарирование корневого канала с использованием
инструментов с различной конусностью (схема)
После каждого использования инструменты должны очищаться, так
как режущая способность снижается при заполненных желобах стержня. Во время
препарирования необходимо обильное орошение корневого канала.
Эндодонтические
инструменты с изменяющейся длиной рабочей части.
Инструменты состоят из ручки с миллиметровой градуировкой,
зажимного устройства для установки рабочей длины и сменных инструментов
размерами 1-6, которые закрепляются в держателе (рис. 5-15). Длина рабочей
части (16-28 мм) устанавливается по отметке на ручке и фиксируется зажимным
кольцом, которое одновременно является ограничителем длины. Размер диаметра
инструмента маркируется окраской стержня, в соответствии то стандартом ISO.
Инструмент удобен при работе с молярами, когда длинная рабочая часть затрудняет
вход в канал.
Рис. 5- 15. Эндодонтические инструменты с изменяющейся длиной
рабочей части.
Машинное препарирование. Все ручные Эндодонтические
инструменты (за исключением Н-файла) при укреплении в обычном эндодонтическом
наконечнике способны эффективно обрабатывать корневой канал. Эндодонтический
наконечник отличается от обычного в 2 позициях:
) работает на относительно малых скоростях;
) не совершает полного вращательного движения.
Последнее очень важно, так как при полном вращательном
движении инструмент внедряется в канал, заклинивается, что почти всегда ведет
его к облому.
В эндодонтическом наконечнике файл совершает либо
вращательные возвратно-круговые (реципрокные) движения в секторе от 30 до 150°,
либо возвратно-круговые движения в сочетании с поступательным на 0,4-0,8 мм.
При препарировании канала совершают движения вверх-вниз без значительного
давления.Lider фирмы Sirona / Canal Lider 2000 фирмы SET - понижающий
многофункциональный угловой наконечник, который позволяет с успехом определять
устье канала, производить механическую обработку, промывание и пломбирование
каналов любой конфигурации. При расширении канала инструмент делает
вращательные (до 20°) и поступательные (0,4-0,8 мм) движения. В зависимости от
сложности канала и вида работы количество оборотов колеблется от 2000 до 6500
об/мин. При избыточном давлении на инструмент срабатывает автостоп, что снижает
риск облома инструмента.
Обязательным условием работы наконечника Canal Lider 2000
является использование инструментов фирмы Canal Lider 2000.
Автоматизация препарирования канала. Фирма Morita создала на
базе апекслокатора эндодонтический наконечник, с помощью которого канал
препарируется машинным способом до требуемой глубины. Наконечник рассчитан на
работу с профайлами, а вращение осуществляется с помощью аккумуляторной
батареи, расположенной в ручке наконечника вместе с апекслокатором.
Стандартизация
Таблица 5-1 Символы и коды эндодонтических инструментов
|
Инструмент
|
Номер ISO
|
Символ ISO
|
Кодирование
ручки (по VDW)
|
|
К-ример
|
451
|
|
|
|
Н-файл
|
452
|
|
|
|
1-1-файл
|
453
|
|
|
|
Рашпиль
|
454
|
|
|
|
П ул ьпоэкстра
ктор
|
455
|
|
|
|
В2-ример
|
459
|
|
хвостовик для
наконечника
|
|
Bi-дриль
|
336
|
|
хвостовик для
наконечника
|
|
Каналонаполнитель
|
458
|
|
хвостовик для
наконечника
|
|
Пальцевый
плагер
|
|
P
|
|
|
Пальцевый
спредер
|
|
S
|
|
Стандартизация эндодонтического инструментария имеет важное
значение для практики, так как в короткий срок позволяет произвести правильный
выбор необходимого инструмента, обеспечить совместимость по размерам различных
по своему действию инструментов. Стандарты обязывают производителей не
допускать отклонений от принятых норм, что гарантирует врачу безопасность
работы.
В ряде стран существуют национальные стандарты. Однако
большинство из них согласованы со стандартами ISO 3630. Стандарт ISO 3630
предусматривает основные параметры инструментов для обработки корневых каналов:
форму, профиль, длину, размер, максимальные производственные допуски и
требования к механической прочности, цветовое кодирование инструментов,
кодирование символами для идентификации типа инструментов, международную
систему нумерации для заказа инструментов.
В соответствии с принятыми стандартами ISO, предусмотрен 21
размер инструментов от 006 до 140, причем до размера 010 диаметр инструмента
увеличивается на 0,02 мм, от 010 до 060 - на 0,05 мм, от 060 до 120 - на 0,10
мм, а от 120 до 140 - на 0,2 мм. Рабочая длина инструмента по ISO имеет 4
варианта: 21, 25, 28 и 31 мм.
Стандарты
размера и длины по ISO следующие:
d1 - диаметр у вершины инструмента, d2 - диаметр у основания
рабочей части, l1- длина рабочей части не менее 16 мм, l2 - рабочая длина от
вершины инструмента до основания ручки 21, 25, 28, 31 мм.
На всех эндодонтических инструментах имеются силиконовые или
резиновые ограничители, которые используются для отметки рабочей длины зуба.
Кроме того, вырезка или выступ на ограничителе указывают на изгиб корня при
препарировании искривленного канала (рис. 5-16).
Для хранения инструментов фирмой Maillefer предложен ряд
боксов, в которых инструменты располагаются с учетом их диаметра и назначения
(рис. 5-17, 18).
Рис. 5-16. Силиконовые или резиновые ограничители для
фиксации рабочей длины зуба, а вырезка или выступ указывают на изгиб канала
Рис. 5-17. Устройство для очистки и фиксации эндодонтического
инструмента во время препарирования корневого канала
Рис. 5-18. Блок для хранения эндодонтического инструмента в
зависимости от его размера, позволяющий в комплекте производить стерилизацию
В обязательном порядке необходимо иметь измерительное
устройство для определения глубины прохождения эндодонтического инструмента в
корневой канал. Это может быть обычная миллиметровая линейка или более сложное
устройство (рис. 5-19).
Рис. 5-19. Блок, позволяющий точно определить длину
проникновения инструмента в канал или зафиксировать каждую длину силиконовым
ограничителем
Принципы
препарирования корневого канала
Успех эндодонтического лечения во многом зависит от качества
обработки корневого канала: очищения его от органических остатков и
микроорганизмов, а также придания ему формы, удобной для обтурации. Марк
Вульфорд (1996) очень метко заметил, что в эндодонтии существует три основных
слова: очистить, придать форму, запломбировать. С этим нельзя не согласиться.
Необходимость указанных мер обусловлена тем, что продукты
распада пульпы, даже не поступая в периодонтальные ткани, способны вызывать
острое или хроническое воспаление, что приводит к деструктивным изменениям в окружающей
корень костной ткани.
Система корневого канала, особенно в области верхушки, имеет
сеть разветвлений, что нередко исключает полное удаление некротических масс. В
этой связи герметизация корневого канала:
) препятствует проникновению тканевой жидкости в корневой
канал и, таким образом, предотвращает воздействие токсических продуктов распада
пульпы на околокорневые ткани;
) исключает возможность проникновения микроорганизмов в
периодонт.
Следует отметить, что существует два пути доступа к корневому
каналу: через полость зуба или хирургическим путем. Бесспорно, что наиболее
простой для врача и атравматичный для пациента - это доступ через полость зуба.
И, тем не менее, хирургический метод должен быть в арсенале врача, так как
только благодаря ему удается сохранить зуб при:
) выраженном изгибе верхушки корня (60° и более);
) невозможности пройти канал (облом инструмента, перфорация
корневого канала, наличие дентикля);
) неэффективности проведенного лечения (боль после лечения
при хорошей обтурации корневого канала);
) значительных деструктивных изменениях в костной ткани, хотя
в этом случае показано предварительное пломбирование корневого канала или
каналов, если их несколько. Так, в частности, при наличии кистозной полости
значительных размеров, требующей хирургического вмешательства, первым этапом
лечения должно быть пломбирование корневых каналов зубов, у верхушки которых
будет проводиться оперативное вмешательство.
Подготовка зуба к обработке корневого канала включает ряд
этапов: подготовка коронки, изоляция от слюны, создание доступа к полости зуба
и корневому каналу.
Подготовка коронки состоит в полном удалении измененных
тканей зуба (размягченного и пигментированного дентина). Особое внимание
уделяют придесневому краю зуба. Иногда препарированию тканей зуба предшествует
коррекция десневого края. С этой целью используется Sensimatic Electrosurge
500SE - электрохирургический стоматологический прибор для коагуляции
гипертрофированной ткани десны (рис. 6-1).
Рис. 6-1. Электроимпульсный прибор Паркел Сенсиматик
500SE(a), стандартный набор инструментов (б)
Изоляция коронки от ротовой жидкости. Это очень важное
условие, которое, к большому сожалению, у нас практически не соблюдается.
Идеальным является применение рабердама, благодаря которому:
) предотвращается проглатывание дентинных опилок,
инструментов, жидкости для промывания корневых каналов;
) не происходит попадания слюны, а следовательно, и
микроорганизмов в полость зуба, в том числе и в корневые каналы;
) улучшаются доступ к операционному полю и качество обработки
корневого канала.
Особое внимание следует обратить на возможность заглатывания
или аспирации эндодонтических инструментов. Если такой случай произошел, то
необходимо срочно сделать рентгенологический снимок с целью определения
локализации инструмента, если его невозможно удалить, то пациента следует
направить в хирургическую клинику.
Временная реставрация коронки - восстановление коронки зуба
на период эндодонтического лечения. При этом восстанавливают отсутствующие одну
или несколько стенок, чтобы исключить возможность попадания жидкости в полость
зуба и корневой канал. Такая процедура не предусматривается в нашей учебной и
методической литературе, однако без временной реставрации практически невозможно
качественно обработать корневые каналы. Для восстановления используют
иономерный цемент или композит, при этом важно, чтобы временная реставрация не
ухудшила доступ к корневым каналам.
Доступ к полости зуба и корневому каналу предусматривает
снятие крыши полости зуба. Попытка произвести обработку корневого канала через
полость, расположенную на апроксимальной поверхности и, тем более, через
полость по типу V класса, как правило, заканчивается неудачей, в том числе
обломом инструмента или перфорацией корневого канала.
Принципы
создания доступа к корневому каналу
1. Полное снятие крыши полости зуба, так как частичное снятие
не позволяет удалить остатки пульпы или некротические массы, что может привести
к изменению цвета коронки. В случае глубокого расположения полости зуба в
премолярах и молярах иногда вскрывают рог пульпы, принимая его за устье канала.
. Введение инструмента в корневой канал без изгиба (рис.
6-2).
. Соблюдение мер предосторожности, чтобы не повредить дно
полости зуба в многокорневых зубах. С этой целью используют специальные боры,
торцевая часть которых гладкая, что исключает возможность перфорации дна. При
препарировании полости необходимо следить за направлением бора, ось которого
должна совпадать с осью зуба.
. В правильно раскрытой полости зуба в многокорневых зубах
устья каналов должны находиться на границе дна и стенки полости. В таком случае
инструмент, скользя по стенке полости, попадает в корневой канал. Указывают,
что для лучшей видимости и удобства работы верхний размер вскрытой полости
должен быть слегка шире, чем у дна. В некоторых случаях у моляров, особенно
если зуб готовится под искусственную коронку, допускается снятие части
жевательной поверхности. Такая процедура допустима также у лиц с некоторым
ограничением открывания рта.
Рис. 6-2. Изгиб инструмента в корневом канале при
недостаточном вскрытии полости зуба. Рентгенограмма
Прежде чем создать доступ к полости зуба, необходимо сделать
рентгеновский снимок, который даст информацию о положении зуба в челюсти,
наклоне коронки зуба к корню, наклоне зуба, количестве каналов в корнях, их
проходимости, выраженности деструктивных изменений в периодонте.
После этого приступают к созданию доступа к полости зуба,
что, как считают некоторые авторы, должно проходить в два этапа. На первом
этапе препарирование коронки производят высокоскоростным наконечником и, кроме
удаления измененных тканей зуба, снимают крышу полости зуба. При этом важно
определить правильное направление бора. В случае наклона коронки, особенно при
использовании рабердама, скрывающего наклон, рекомендуется на коронке отметить
направление оси зуба. Если же коронка зуба значительно разрушена, то начальную
обработку целесообразно производить до наложения рабердама. Завершается этап
вскрытием полости зуба и частичным снятием ее крыши.
Второй этап подготовки полости рекомендуется проводить
машиной с низкоскоростным режимом. При этом используется специальный бор с
тупой торцевой частью, а при его отсутствии - шаровидный или фиссурный бор с
удлиненным хвостовиком, который позволяет исключить контакт головки наконечника
с коронкой зуба. Кроме того, использование боров с удлиненным хвостовиком
улучшает обзор.
Значительные затруднения возникают при препарировании
моляров. В этих зубах вскрытие полости должно производиться, в первую очередь,
по направлению к оси наиболее проходимого канала - нёбного на молярах верхней
челюсти и дистального - на нижней. Нахождение этих каналов помогает свободнее
ориентироваться в полости зуба.
Снятие навесов производят фиссурным или шаровидным бором
движением от полости зуба кнаружи, что позволяет сделать стенку кариозной
полости (при ее наличии) продолжением стенки полости зуба. Следует помнить, что
вскрытие полости зуба считается правильным в том случае, если свободен доступ к
каналам. С сожалением следует отметить, что наличие навеса над устьями каналов
- одна из самых распространенных ошибок, которая не позволяет обнаружить устье
канала. Кроме того, если инструмент входит в канал под углом, то это часто
приводит к облому инструмента или перфорации канала в коронковой части. По
нашим данным [Боровский Е. В., Протатов М. Ю., 1998], в молярах верхней челюсти
при эндодонтическом лечении навесы над устьями каналов встречаются в 70-75 %
случаев, а в молярах нижней челюсти в 80-82 %. Таким образом, мы сами создаем
"непроходимые" корневые каналы, что не позволяет проводить
полноценную механическую и медикаментозную обработку.
Чаще других "непроходимым" бывает щечный медиальный
канал в молярах нижней челюсти. Обусловлено это тем, что устье этого канала
смещено в щечном направлении, и поэтому над ним почти всегда остается навес,
мешающий его выявлению.
Второе место по частоте "невыявленности" занимает
медиальный щечный канал в молярах верхней челюсти. В этих зубах трудность прохождения
обусловлена не навесом над устьем канала, а его направлением. Чтобы раскрыть
устье и пройти корневой канал, эндодонтический инструмент должен принять
заднещечное направление. Что касается устья канала, то оно расположено рядом
(2-3 мм) с медиальным щечным. Наряду с этим в молярах верхней челюсти, как
говорилось выше, часто, до 50 % случаев, имеется четвертый канал, расположенный
в переднем щечном корне. Возможность наличия четвертого канала в молярах
верхней челюсти обязывает врача в каждом случае производить его поиск. Другого
способа обнаружения дополнительного корневого канала, кроме тщательного
обследования дна полости зуба, не существует. Иначе говоря, поиск
дополнительного канала в молярах находится на совести врача.
Для обследования дна полости зуба и обнаружения устья каналов
используется острый угловой зонд. Если поиск устьев канала затруднен, полость
зуба обрабатывают ЭДТА или препаратами, содержащими растворы кислот.
Прохождение
корневого канала
После обеспечения доступа к полости зуба в многокорневых
зубах и обнаружения устьев каналов на их месте создают воронкообразные
расширения при помощи Gates Glidden или Orifire Shapers, что позволит легко
попасть в корневой канал. После этого приступают к удалению содержимого
корневого канала.
В зубах с живой пульпой и хорошо проходимым каналом пульпу
удаляют пульпоэкстрактором или, чаще, файлами в процессе расширения корневого
канала.
В зубах с мертвой пульпой некротическую ткань удаляют файлами
в процессе расширения корневого канала и его промывания. Однако следует
помнить, что сложная анатомия системы! корневого канала, особенно верхушечного
отверстия, не создает условий для полного удаления некротических масс.
Затем приступают к прохождению корневого канала с
использованием примера, размер которого подбирается с учетом зуба, его
функциональной особенности, возраста пациента и т.д. При обработке клыка
молодого пациента, например, размер первоначального инструмента может быть
030-035, в то время как для резца нижней челюсти он будет 010-008, а то и 006.
Используя инструмент подходящего диаметра, устанавливают рабочую длину зуба. По
рабочей длине зуба определяют окончательный уровень пломбирования. Общепринято,
что ее граница находится на уровне физиологического сужения или на 1,5-2 мм не
доходя до анатомической верхушки. Необходимо точно определить ее параметры до
инструментальной обработки. В первую очередь, следует остановиться на глубине
прохождения корневого канала. Ранее существовало мнение о целесообразности
выведения пломбировочного материала за верхушечное отверстие, и, в соответствии
с этим, широкого раскрытия верхушечного отверстия. В настоящее время получены
убедительные данные, в том числе и клинические наблюдения в течение длительного
времени, что пломбирование корневого канала должно производиться до
физиологического сужения. Более того, раскрытие верхушечного отверстия ряд
авторов склон-ны считать перфорацией.
Рис. 6-3. Рабочая длина зуба (1) и длина корня (2) (схема).
Исходя из представленных данных, прохождение корневого канала и
его расширение должна производиться до физиологического сужения. Расстояние от
физиологического сужения, которое на 1,5-2 мм не доходит до верхушки зуба, до
устья канала получило название рабочей длины корня. Именно точная длина корня
очень нужна врачу в процессе прохождения, расширения и пломбирования (подборе
центрального штифта и др.) канала. Но так как в клинических условиях почти не
представляется возможности измерить рабочую длину корня, измеряют рабочую длину
зуба - от физиологического сужения до уровня по режущему краю или жевательной
поверхности (рис. 6-3).
Существует
три способа определения рабочей длины зуба
Расчетная длина зуба и корня. Многочисленные измерения
позволили установить среднее значения длины корня и зуба для каждой группы
зубов и их максимального и минимального отклонения (табл. 6-1).
Рабочую длину зуба определяют следующим образом. Силиконовый
(резиновый) ограничитель, обычно имеющийся на эндодонтическом инструменте,
устанавливают на отметку, соответствующую среднему размеру расчетной длины
обрабатываемого зуба. Если после введения примера или файла в канал до упора
ограничитель достигает режущего края или жевательной поверхности зуба, то
верхушка инструмента находится в пределах верхушечного отверстия.
При частичном прохождении корневого канала ограничитель не
достигает режущего края или жевательной поверхности зуба более чем на 2 мм, что
указывает на необходимость дальнейшего его прохождения. Следует помнить, что
отклонения до 2 мм в большую или меньшую сторону находятся в пределах
допустимого, так как это может быть связано с индивидуальными колебаниями
размера зуба данной группы. Клинические наблюдения в сочетании с
рентгенологическим контролем позволяют утверждать, что у женщин, как правило,
чаще встречается меньший размер, в то время как у мужчин - больший размер
зубов. Так, например, для верхнего резца средняя длина зуба составляет 25 мм,
при колебании от 22,5 до 27,5 мм. Это значит, что у женщин чаще всего
встречается размер зуба 22,5-23 мм, в то время как у мужчин - 27-27,5 мм.
Критерием достижения физиологической верхушки зуба служит упор инструмента в
канале при одновременном достижении ограничителем ориентира на коронковой части
зуба.
Таблица 6-1. Значения длины корня для различных зубов
|
Верхняя челюсть
|
Длина корня, мм
|
13,3
|
12,9
|
18,1
|
14
|
14.6
|
14,5
|
13,8
|
13,8
|
|
Верхняя
челюсть( длина в мм.)
|
максимальная
|
27,5
|
25
|
29,7
|
23
|
24
|
24
|
23
|
18
|
|
средняя
|
25
|
23
|
27
|
21
|
22
|
22
|
21
|
20
|
|
минимальная
|
22,5
|
21
|
24
|
19
|
20
|
20
|
19
|
16
|
|
Порядковый
номер зуба
|
1
|
2
|
3
|
4
|
5
|
6
|
7
|
8
|
|
Нижняя челюсть
( длина в мм.)
|
минимальная
|
19
|
20
|
23,5
|
20
|
20
|
20
|
16
|
|
максимальная
|
23
|
24
|
28,5
|
24
|
24
|
24
|
23
|
20
|
|
средняя
|
21
|
22
|
26
|
22
|
22
|
22
|
21
|
18
|
|
Нижняя челюсть
|
Длина корня, мм
|
12,0
|
13,9
|
14.9
|
14,7
|
15,6
|
14,8
|
14,3
|
14,0
|
Определение рабочей длины зуба с учетом расчетных данных
должно быть подтверждено объективно-рентгенологическим или электрометрическим
методами. И только при отсутствии указанного оборудования обработка и
пломбирование каналов может осуществляться на основании расчетных данных. Это
не призыв отказаться от объективных способов определения рабочей длины зуба, а
выход из трудного положения, поскольку без применения расчетных методов
определения длины зуба полностью исключается возможность надежной обтурации
канала на требуемом уровне.
Рентгенологический метод основан на получении рентгеновского
снимка с введенным к корневой канал эндодонтичес ким инструментом с резиновым
ограничителем.
Рис. 6-4. Введенные в корневые каналы 6-го зуба инструменты.
Рентгенограмма
Рентгенологический метод определения длины зуба и
проходимости корневых каналов является самым распространенным и надежным
методом в эндодонтической практике [Брезино Б., 1998], хотя в ряде
стоматологических кабинетов дентальные рентгеновские установки отсутствуют.
Рентгенологическое обследование зуба с введенным в канал
эндодонтическим инструментом позволяет определить не только длину зуба, но и
степень проходимости корневого канала, направление движения инструмента,
наличие перфорации, искривленность канала, состояние периодонтальных тканей
(рис. 6-4).
Однако следует отметить, что рентгенологический метод
противопоказан лицам, ранее подвергшимся облучению (например, после
рентгенотерапии), в период беременности и ограничен в детском возрасте.
Необходимо помнить, что многократное использование рентгенологического метода в
качестве контроля нежелательно. Недостатком указанного метода является также
необходимость частого посещения рентгеновского кабинета, что приводит к
значительной затрате времени.
Электрометрический метод позволяет определить степень
прохождения корневого канала и, таким образом, определить рабочую длину зуба
при помощи специальных приборов, получивших название апекслокаторов. Принцип
действия простейших из них строится на измерении разницы сопротивления
слизистой оболочки рта и тканей зуба. В силу того, что сопротивление тканей
зуба намного выше, чем слизистой оболочки рта, фиксация одного электрода на
губе, а второго - в канале зуба не вызывает замыкания цепи, и сигнал (звуковой
или световой) не возникает. Если же электрод, помещенный в канал, достигает
верхушки зуба, то цепь замыкается, и возникает звуковой или световой сигнал.
Рис 6-5 Апекслокатор "Foramatron IV"
Одним из представителей апекслокаторов является аппарат
"Foramatron IV" (рис. 6-5). Принцип работы "Foramatron IV"
основан на измерении сопротивления постоянного электрического тока между
слизистой оболочки рта и твердыми тканями зуба.
Апекслокатор состоит из корпуса с электронным табло, на
котором момент достижения апекса отражается в цифровом эквиваленте (мм). Корпус
соединен с зажимом, фиксируемым на введенном в канал эндодонтическом
инструменте (активный электрод), пассивный электрод с клеммой, помещается в
преддверии полости рта. Перед началом работы необходимо, прежде всего, надежно
обезболить и изолировать зуб от влаги полости рта. После раскрытия полости зуба
и удаления содержимого корневого канала в него вводят до упора эндодонтический
инструмент. Активный электрод (зажим) присоединяют к металлической части
инструмента (файла и др.), пассивный электрод замыкают на слизистой оболочке
преддверия полости рта. При работе с апекслокатором важно сначала включить
прибор, а затем присоединять электроды, а не наоборот. "Foramatron
IV" позволяет определить степень прохождения канала с указанием на
световом табло расстояния (в долях миллиметра) между верхушкой инструмента,
введенного в канал, и физиологической верхушкой зуба. Продвигать инструмент в
канале необходимо до появления на табло "Foramatron" цифры "О' и
прерывистого звукового сигнала. Если же инструмент выходи! за апекс в
периапикальные ткани, на табло "Foramatron" зажигается буква
"Е" (от английского слова "error - "ошибка"), и
раздается протяжный звуковой сигнал.
Апекслокатор "Foramatron IV" компактен, удобен и
прост в работе, относительно доступен в цене. Однако точность его показаний
значительно снижается при наличии в канале таких вы-сокопроводимых жидкостей,
как кровь, гнойный экссудат. гипохлорит натрия, ЭДТА.
В качестве других представителей апекслокаторов можно назвать
аппараты "Root ZX" фирмы "Morita Corp. ", "Justy
II" фирмы "Hayer Werken" и др.
На основании длительных клинических наблюдений можно сделать
следующие выводы по поводу определения рабочей длины зуба.
. Определение рабочей длины зуба является обязательным
условием гарантированного лечения.
. Проведение эндодонтического лечения требует многократного
проведения рентгеноконтроля. В этом случае использование электрометрического
метода позволяет сократить количество рентгеновских снимков, а при наличии
противопоказаний к проведению рентгенологического обследования и заменить его.
. Электрометрический метод может использоваться в случае
возникновения сложностей при определении положения апекса рентгенологическим
методом:
а) если верхушечное отверстие находится на боковой
поверхности корня, анатомическое, а, тем более, физиологическое отверстие не
будут соответствовать рентгенологическому. При этом на рентгеновском снимке
корень всегда будет выглядеть несколько длиннее корневого канала;
б) в случае наложения проекций корней друг на друга или
наложения проекции корня сверхкомплектного зуба;
в) при повышенном рвотном рефлексе, возникающем при попытке
ввести рентгеновскую пленку в полость рта;
г) при невозможности получения рентгеновского снимка зуба без
значительных искажений его длины. Как правило, это происходит при работе с
дистопированными зубами, невозможности, вследствие индивидуальных анатомических
особенностей полости рта, правильного расположения рентгеновской пленки по
отношению к зубу.
. Апекслокатор помогает контролировать изменения рабочей
длины (на 0,5-1,5 мм) в процессе инструментальной обработки искривленных каналов.
. В кабинетах, где отсутствует рентгенологическое
оборудование, электрометрический метод является важным тестом, дополняющим
расчетный метод определения длины зуба.
Наряду с этим не следует забывать о том, что
электрометрический метод определения длины зуба является дополнительным, и
полученные данные следует трактовать с учетом основных методов исследования.
Для получения наиболее точных результатов необходимо:
тщательно изолировать эндодонтический инструмент,
используемый для определения длины канала, и зуб от слюны. Для этого можно
использовать коффердам, ватные валики, слюноотсос;
перед проведением электрометрического измерения длины канала
следует тщательно удалить распад и размягченные ткани из полости зуба и, что
особенно важно, из корневых каналов;
исключить контакт инструмента с металлом в полости рта
(амальгамовые пломбы, коронки, брекеты и др.);
исключить соприкосновение инструмента с мокрыми руками;
систематически проводить замену элементов питания.
При работе с апекслокатором "Foramatron IV" не
рекомендуется присутствие в канале гипохлорита натрия и хлоргексидина;
также нежелательно присутствие анестетиков после проведения
внутрипульпарной анестезии; точность результатов, полученных с помощью
"Foramatron IV", не нарушается при применении в качестве антисептика
3 % раствора Н2О2.
В момент измерения рабочей длины необходимо обеспечить
плотный контакт инструмента со стенками апикальной части канала; при
использовании слишком тонких инструментов в широких каналах апекс может быть определен
неверно в связи с тем, что инструмент продвинут слишком далеко за верхушку.
При работе в облитерированных каналах следует исключить
сильное давление на инструмент, так как в этом случае достижение апекса может
быть показано преждевременно. При работе с облитерированными каналами
рекомендуется ввести инструмент до упора и сделать рентгеновский снимок.
При подозрении на наличие горизонтального или косого передо-,
ма корня определять рабочую длину зуба электрометрически не рекомендуется, так
как даже при незначительном расхождении отломков корня будет измерена длина
только коронкового фрагмента.
Иногда при определении рабочей длины канала возникает
значительное расхождение между данными таблиц средних длин зубов и показаниями
апекслокатора. Исходя из нашего опыта, такое расхождение может быть связано
либо с аномально коротким корнем зуба, либо с его перфорацией. Если в момент
введения инструмента в устье корневого канала на табло возникает сигнал ошибки,
следует заподозрить наличие перфорации дна полости зуба или устьевой части
канала. Для уточнения местонахождения инструмента необходимо сделать
контрольный рентгеновский снимок.
Закончить этот раздел мы хотим изречением хорошего
врача-эндодонта: "Измеряйте длину канала электрометрически, но качество
обтурации проверяйте рентгенологически". В этом залог успеха.
Расширение корневого канала
Корни, как правило, имеют некоторую искривленность, особенно
в верхушечной трети. Форма и диаметр канала также разнообразны. Возможны
значительные изменения корневого канала с возрастом.
В настоящее время существует ряд методов обработки корневого
канала, что обусловлено как появлением новых видов эндодонтического
инструментария, так и использованием современных аппаратов и приборов. Однако
цели и задачи биомеханической обработки всегда остаются постоянными:
) устранить ткани пульпы и ее распад;
) убрать инфицированный дентин;
) продезинфицировать канал;
) сформировать корневой канал для пломбирования. Корневой
канал после препарирования должен соответствовать следующим требованиям:
) сохранять свое направление;
) иметь форму конуса;
) завершаться апикальным сужением;
) не иметь выступов (неровностей) на стенках. Выбор метода
обработки корневого канала обусловлен его анатомическими особенностями. Широкие
и относительно прямые каналы просты для обработки, тогда как узкие и
искривленные каналы вызывают значительные трудности.
Стандартизованная
техника
Эта техника использовалась в течение многих лет. В
соответствии с ней, в канал на всю его рабочую длину вводились файлы последовательно
увеличивающихся размеров. Канал расширяли до тех пор, пока на кончике
инструмента не появлялись чистые белые стружки. Обработку со снятием стружки
продолжали файами 2-3 размеров, чтобы завершить обработку. Этот метод считается
удовлетворительным в прямых каналах, так как позволяет снять инфицированный
дентин и создать конус с наклоном стенок 2°, что соответствует стандарту конуса
эндодонтического инструмента (рис. 6-6). Однако в искривленных каналах
использование файлов больших размеров, не обладающих гибкостью, приводит к
созданию уступов на месте выраженного изгиба и, даже, перфорации, что делает
неприемлемым этот метод в подобных условиях.
Рис. 6-6. Расширение корневого канала на всю рабочую длину
инструментами увеличивающегося размера (схема):
а - овальная форма канала в апикальной части до препарирования;
б - цилиндрическая форма после препарирования;
в - гуттаперчивый штифт такого же размера, как и последний файл в
канале. Кончик штифта закрывает верхушечное отверстие.
Step-back - методика (от меньшего к большему)
Степбэкк-методика (от англ. step-back - шаг назад) предложена
для обработки искривленных каналов в 1979г. [Mandel E., 1993]. Расширение
начинают К-файлом того же размера, что и К-ри-мер, которым завершено
прохождение. Вначале резиновый ограничитель устанавливают на рабочую длину
зуба, предположим 20 мм, а толщина используемого римера была 015. Затем берут
файл следующего размера - 020 и обрабатывают канал на ту же длину - 20 мм.
После этого возвращаются к первоначальной толщине файла 015.
После промывания канала препаратом ЭДТА обрабатывают его
файлом 025 на первоначальную длину - 20 мм. После извлечения файла, а вместе с
ним и дентинных опилок, возвращаются к инструменту 020, что исключает блокировку
верхушечного отверстия дентинными опилками. Завершают обработку корневого
канала файлом 025 на всю рабочую длину, т.е. на 20 мм.
Рис. 6-7. Последовательность расширения корневого канала по
методике Step-Back (схема). Пунктиром показаны границы погружения инструмента
увеличивающегося диаметра
После этого методика несколько изменяется. На файл 030 ставят
резиновый ограничитель на 18 мм и обрабатывают канал с предварительным
введением препарата ЭДТА и промыванием канала. Затем, возвращаясь к размеру
025, обрабатывают канал на глубину 20 мм. Следующим файлом 035 с резиновым
ограничителем на 16 мм обрабатывают канал и вновь файлом 025 проходят на
глубину 20 мм. В дальнейшем обрабатывают канал файлом 040 и возвращаются к
размеру 025 (рис. 6-7). Так обрабатывают канал до требуемого размера
инструмента, обычно 040-050, сохраняя размер верхушечной части канала - 025.
Возможен и такой вариант, когда шаг отступа для последующего
инструмента увеличивается не на 1 мм, а на 1, 2, 3, 4 мм и т.д. с увеличением
диаметра на 0,05 мм (рис. 6-8).
После расширения корневого канала файлами увеличивающегося
диаметра до размера коронковой части дентинные стенки канала имеют ступеньки,
которые будут мешать введению гуттаперчевого штифта при пломбировании канала.
Для выравнивая стенок корневого канала производится его обработка файлом
Хедстрема. Обработка начинается с апикальной части Н-файлом с диаметром на один
размер меньше, чем у К-файла, которым обрабатывали канал. В нашем случае первый
отступ был произведен К-файлом 030. Поэтому обработку апикальной части канала
начинают Н-файлом размера 025. Затем размер Н-файла постепенно увеличивается.
Рис. 6-8. Расширение корневого канала по методике Step-Back с
увеличивающимся шагом отступа (схема)
Особо следует остановиться на работе с файлом Хедстрема. Это
очень эффективный и надежный инструмент при правильном его использовании.
Изготовляется он путем создания нарезки на конической заготовке круглого
сечения, поэтому его нельзя вращать в канале, так как при плотном
соприкосновении верхушки инструмента с дентином он легко ломается.
При движении вверх-вниз (пилящем) инструмент снимает все
неровности стенок канала, что создает предпосылки для надежной обтура-ции. Следует
помнить, что во время работы этим инструментом необходимо постоянно вымывать
дентинные опилки.
Crown Down-методика (от коронки вниз), от
большего к меньшему
Методика расширения канала от коронки вниз предложена в 1985
г. [Roane J. В. et al., 1985]. Основной принцип метода заключается в том, что
вначале обрабатывают коронковую часть корневого канала, постепенно достигая
апикальной части. Применяется для обработки искривленных каналов. Расширение
проводят с использованием эндодонтического наконечника с последовательной
сменой внутриканального инструментария. Разработке методики способствовало
появление более гибкого инструментария с неагрессивной верхушкой. Обычно
начинают с инструмента 025 или 030, который вводят в корневой канал примерно на
1/2 длины, что соответствует прямому участку канала.
Затем профайлами следующих размеров (035-045) завершают
обработку коронковой части. В процессе увеличения диаметра инструмента
содержимое каналов удаляют, промывая его из эндодонтического шприца раствором
натрия гипохлорита и др. Кроме того, при обработке в канал вводят препараты
ЭДТА. На прямом участке коронковой части канала можно использовать
соответствующего диаметра Gates Glidden или Orifice Shapers. После этого
профайлом 025 обрабатывают канал на 3/4. На этом этапе рекомендуется сделать
рентгеновский снимок для выяснения направления расширения корневого канала.
После этого, заменив размер профайла на меньший (020), доходят до
физиологической верхушки и измеряют длину зуба в миллиметрах, проверяя ее
апекслокатором. Затем, последовательно увеличивая диаметр инструмента,
расширяют канал до требуемого размера (рис. 6-9).
Выравнивают стенки канала Н-файлами, что позволяет сохранить
созданную во время расширения корневого канала форму с гладкими стенками. При
этом используются файлы различных размеров: в верхушечной части - 020-025, в
основной - в зависимости от диаметра корневого канала. В процессе работы
дентинные опилки удаляют из канала 3-3,5 % раствором натрия гипохлорита или 3 %
раствором перекиси водорода.
Рис. 6-9. Расширение корневого канала по методике Crown Down с
использованием 2 % К-файлов (схема)
Эта методика имеет следующие преимущества.
. Обеспечивается лучший доступ к апикальной части корневого
канала.
. Производится раннее удаление микроорганизмов, находящихся в
большом количестве в верхней трети канала, что уменьшает возможность
проталкивания микроорганизмов за верхушку.
. Устраняются помехи при обработке апикальной части канала
благодаря раннему расширению коронковои части.
. Обеспечивается лучшее промывание канала за счет расширения его
коронковои части и придания ему конусообразной формы.
Следует отметить, что данная методика более сложная, и применять
ее следует врачу, получившему определенный опыт эндодонтического лечения
[Брезино Б., 1999].
В настоящее время, в связи с появлением инструментов
Майлифер-профайл, методика Crown Down претерпела изменения. Она проводится по
следующей схеме.
. Препарирование коронковои части канала до первого изгиба Орифис
шейперс № 4 (07/40) и № 3 (06/40). (В зависимости от диаметра канала возможен
меньший размер.) Центральная часть канала обрабатывается профайлами 06/30,
06/25 и профайлами 04/30, 04/025.
. Точное определение рабочей длины с использованием К-файла 015,
020.
. Препарирование апикальной части профайлом 04/025, 04/ 030.
Возможна обработка ручным К-файлом размером соответственно диаметру канала.
а - препарирование коронковои и центральной части канала;
б - препарирование апикальной части канала.
4. Завершение препарирования профайлом
06/025 на всю рабочую длину (рис. 6-10).
Рис. 6-10. Расширение корневого канала по методике Crown Down
с использованием профайлов (схема)
Возможен и второй вариант, когда каналы расширяются Greater
Taper (большими расширителями).
. Прохождение корневого канала и определение рабочей длины.
. Обработка прямой (коронковои) части канала инструментами
12/020 и 10/020 примерно на 1/2 длины корня. Инструментом 08/020 расширяют
канал на 3/4 длины, а 06/020 - на всю рабочую длину. Если с первой попытки
апикальное сужение не достигнуто, то возможен возврат к 08/020 и вновь 06/020.
. Обработка апикальной части канала на рабочую длину 04/ 020,
04/025 (рис. 6-11).
Рис. 6-11. Расширение корневого канала с использованием GT
Rotory Files - Джи Ти вращающихся файлов (схема)
Данная технология Crown Down является новой. Она
предусматривает значительное уменьшение количества инструментов, необходимых
для препарирования при одновременном повышении безопасности. По нашему мнению,
эта технология имеет хорошую перспективу широкого применения.
Методика
сбалансированной силы
Эта методика предложена в 1985 г. [Roane J. В. et al., 1985]
для расширения искривленных каналов. Она предусматривает использование гибких
ручных инструментов с неактивной верхушкой.
Инструментальная обработка должна сопровождаться обильным
промыванием раствором натрия гипохлорита. Проводится она следующим образом.
. После определения рабочей длины зуба или корня подбирают
файл в соответствии с его диаметром, на котором устанавливают отметку рабочей
длины, и вводят его в канал до тех пор, пока не почувствуется слабое
сопротивление.
. Этот инструмент поворачивают по часовой стрелке на 60-90°
для внедрения в канал, что определяется по сопротивлению вращения файла. При
этом происходит частичное снятие дентина со стенок корня.
. Надавливая пальцем на файл в апикальном направлении, чтобы
зафиксировать его на данной глубине, файл поворачивают на 360° против часовой
стрелки (в обратном направлении). Важно, чтобы давление на файл было таким,
чтобы файл проворачивался на том же уровне. Затем файл вместе с дентином
извлекают из канала, очищают его, а канал промывают. Таким образом, постепенно
производят обработку канала на всю длину, не доходя на 1-1,5 мм до апикального
сужения.
. Указанная инструментальная обработка может быть повторена
файлами с последовательным увеличением их диаметра (030, 035, 040, 045) до
любого размера. После завершения препарирования создается ровная поверхность
канала с конусом, соответствующим конусу инструмента.
При помощи этого метода можно подготовить искривленные каналы
на всю рабочую длину зуба.
Препарирование корневого канала с созданием апикальной части
цилиндрической формы. Морфологическими исследованиями установлено, что в
апикальной части корня каналы могут иметь расширение, а поэтому не следует
расширять их больше. В таких случаях степбекк-методика мало приемлема, так как
апикальной части корневого канала следует придавать цилиндрическую форму длиной
2-5 мм, а не коническую. Такая форма препарирования обеспечивает систему
прочных стенок в важнейшей части корневого канала.
После определения рабочей длины К-ример вращают в канале до
тех пор, пока он не станет свободно двигаться на этом уровне. Затем берут
К-файл следующего размера и той же длины, вводят его в канал и ввинчивают до
тех пор, пока верхушка не окажется на апикальном уровне препарирования. На этом
уровне, не углубляясь, инструмент вращают, пока он не станет свободно
прокручиваться. Таким образом расширяют канал инструментами 3-4 размеров (если
первый инструмент был 025, то следующую обработку производят инструментами 030,
035, 040). После этого стенки канала выравнивают хедстрем-файлом, который на 1
размер меньше последнего К-файла.
Когда расширение канала закончено, обработку завершают
вращательным движением ручного К-файла. Важно в процессе расширения и,
особенно, на завершающем этапе вымыть опилки из корневого канала.
Таким образом, создается апикальный уступ, который, как
правило, имеет наклонную форму. Надо сказать, что уступ образует эффективный
апикальный ограничитель для основного гуттаперчевого штифта такого же размера,
как и последний файл, используемый для расширения апикальной части канала.
Создание цилиндрической апикальной части канала, в принципе,
возможно во всех зубах, однако в зубах с тонкими каналами это делать вряд ли
целесообразно.
Выше были рассмотрены основные методы расширение корневых
каналов. Следует отметить, что ими не исчерпывается весь перечень методов обработки.
Очень часто используются комбинации методов. Так, например, некоторые врачи
коронковую часть канала, примерно на 1/2 его длины, обрабатывают по методике от
большего к меньшему, используя эндодонтический наконечник и файл большого
размера, а верхушечный отдел препарируют по методике от меньшего к большему.
При такой методике в первую очередь обрабатывается наиболее инфицированный
участок канала, а апикальная часть обрабатывается вручную, осторожно. Есть и
другие варианты.
Рис. 6-12. Создание верхушечного упора для штифта (схема): а,
б, в последовательность действий
Могу смело утверждать, что многие врачи расширяют канал по
методике "сбалансированного давления", не зная ее истинного названия,
когда файл погружается в канале на какую-то глубину, затем производится его
вращение в обратную сторону с последующим извлечением файла из канала.
При препарировании корневого канала очень ответственным
моментом является создание верхушечного упора, соприкасаясь с которым верхушка
гуттаперчевого штифта обтурирует верхушечное отверстие.
Существуют схемы, когда после расширения корневого канала на
рабочую длину определенным размером бора (зависит от толщины корня), например
025 или 030, используется следующий файл с увеличением диаметра не на 0,05, а
на 0,1 или 0,15 (рис. 6-12). При этом создается выраженный уступ, служащий
хорошим упором для штифта.
Препарирование
искривленных корневых каналов
Значительное искривление корневого канала, по мнению ряда авторов,
является противопоказанием к их расширению. Однако имеются данные об успешном
расширении и пломбировании корневых каналов с изгибом до 75-90° [Buchmanan L.
S., 1989].
Выпущен ряд рекомендаций по препарированию искривленных
корневых каналов, однако основные правила, которые позволяют избежать ошибок
(облом инструмента в канале, перфорация канала, неполная обтурация),
заключаются в следующем.
. Инструменту необходимо придать изгиб, соответствующий
изгибу корневого канала.
. Коронковая часть канала должна быть препарирована таким
образом, чтобы она была, по возможности, без нарушения прочности, спрямленной,
что улучшает подход к апикальной части корневого канала.
. Препарирование искривленных каналов следует производить
гибкими инструментами никель-титанового сплава с неактивной верхушкой.
. Движение файлов должны быть возвратно-поступательными в
пределах, не превышающих 90-100°.
Ход методики следующий. По рентгенограмме определяют угол и
место изгиба корневого канала. Вначале подбирают и готовят комплект необходимых
эндодонтических инструментов. После прохождения канала и определения рабочей
длины выбирают метод расширения корневого канала. Предположим, это будет метод
"шаг назад". В соответствии с этим подбирают файл необходимого
размера и изгибают его по контуру корневого канала при помощи приспособления
Flexobend (Maillefer) (рис. 6-13) или вручную. Затем силиконовым ограничителем
отмечают рабочую длину, а вырезкой силиконового ограничителя указывают
направление изгиба и приступают к препарированию. Важным условием успеха в
работе, кроме применения ЭДТА, раствора натрия гипохлорита и др., являются
правильные движения файла. Они должны иметь размах в пределах 90-100° (не более
120°). При таких возвратно-поступательных движениях происходит равномерное снятие
дентина со всех стенок канала. Если же движения инструмента будут иметь большой
размах, то дентин будет сниматься больше с внутренней стенки, что приводит, как
указывается в ряде работ, к перфорации.
Рис. 6-13. Флексобенд - приспособление для изгибания
эндодонтического инструментария
Наиболее распространенная ошибка при препарировании искривленных
каналов заключается в спрямлении внутренней стороны кривой до тех пор, пока не
произойдет полного соскабливания твердой ткани и образования перфорации.
Необходимо снять внешнюю сторону искривленного канала, для чего инструмент
предварительно выгибают так, чтобы он воздействовал на внешнюю кривизну канала.
Установлено также, что если изгиб инструмента не находится в
полном соответствии с кривизной канала, при спрямлении апикальной части в ней
создается перфорация
Медикаментозная
обработка канала
В основе этиологии апикального периодонтита, включающего и
деструктивные изменения в периодонте, лежит, главным образом, бактериальная
инфекция в системе корневого канала. Из этого следует, что профилактическая
эндодонтия предусматривает лечение зубов без признаков верхушечного
периодонтита путем асептического удаления пульпы и пломбирования корневого
канала. При наличии рентгенологических или клинических признаков заболевания
необходимо биомеханическое удаление инфекции из системы корневого канала с
последующим пломбированием.
Эндодонтическое лечение всегда зависело от использования
различных антисептиков, воздействующих на внутриканальную инфекцию.
Подтверждением этому служит тот факт, что AdolfWitzel в 1872 г. впервые
произвел ампутацию пульпы, использовав карболовую кислоту и таннин для
воздействия на корневую пульпу.
В конце прошлого столетия широкое применение получили
препараты на основе фенола и формальдегида, которые оставались популярными в
течение длительного времени. Следует отметить, что производные фенола, йода и
хлора применяются и до настоящего времени.
Следующий этап развития медикаментозной эндодонтии - период
антисептиков. Однако было установлено, что они часто обладают выраженным
сенсибилизирующим действием. Появление и широкое применение антибиотиков
позволило использовать их для местного воздействия, но очень ограниченного и
исключительно для общего лечения. Связано это с рядом аспектов.
. Возможность широкой сенсибилизации организма при приеме
антибиотиков [Abbott Р. V. et al., 1990].
. Выработка бактериальной резистентности в результате
применения малых доз при эндодонтическом лечении.
. Наличие лимитирующего фактора, что связано с действием
антибиотиков на ограниченный круг микроорганизмов при наличии их огромного
спектра в корневом канале.
Исключение составляет тетрациклин - антибиотик широкого
спектра, действующего как на грамположительные, так и на грамотрицательные
бактерии, спирохеты и др. [Cohen M. L., 1994].
Тетрациклин образует труднодоступные комплексы с ионами
кальция и легко проникает через плацентарный барьер. Вследствие отложения этих
комплексов в костном скелете, дентине и эмали, препараты этой группы нельзя
назначать беременным и детям до 8 лет.
При периодонтитах тетрациклин используется местно с хорошими
клиническими результатами. Производные тетрациклина входят в состав пасты
Ledermix, которая используется для обработки корневого канала (вводится в канал
на 1-3 дня с последующим его пломбированием твердеющим материалом) [Abbott Р.
V. et al., 1989].
Метранидазол дает хороший эффект против грамотрицательных
микроорганизмов. Его используют для временного пломбирования корневых каналов и
для парэнтерального введения в комбинации с другими препаратами при обострении
процесса.
В числе препаратов, уменьшающих боль посредством
фармакологического воздействия на очаг воспаления в периодонте, нашли
применение и получили довольно широкое распространение эвгенол, а позднее и
кортикостероиды. На определенном этапе развития эндодонтии использовались
ферменты для обработки корневых каналов [Данилевский Н. Ф., ХоменкоЛ. А.,
1972], бесспорным достоинством которых было избирательное действие на
микроорганизмы и некротизированные ткани.
Потребность проведения медикаментозной обработки канала и
поиски препаратов, не обладающих неблагоприятным терапевтическим эффектом,
привели к их естественному отбору. В результате этого получили признание
препараты на основе фенола, перекись водорода, натрия гипохлорит, хлоргексидин,
гидроксид кальция. Последний применяется с 1930-го года, однако за последние
15-20 лет он получил широкое распространение, в том числе для купирования
обострения процесса, при необходимости сохранения жизнеспособности пульпы,
продолжения апексгенеза в случае удаления корневой пульпы зуба.
Следует, однако, помнить, что все виды лечения на основе
антисептических веществ, как указывает D. Bernard (1978), представляют собой
постоянную опасность токсического раздражения ткани, появления хронических
периапикальных реакций или, по меньшей мере, угнетения физиологических
процессов. Это означает, указывает автор, что угнетаются все естественные
биологические процессы, которые в противном случае способствовали бы самопроизвольному
заживлению. Костная регенерация, выявляемая в норме в пределах нескольких
недель, задерживается на месяцы, годы или даже на неопределенное время.
Рентгенологические признаки периапикальных процессов сохраняются длительное
время, до тех пор, пока остаются следы лекарственного препарата в
периапикальных тканях.
Препараты, применяемые для обработки корневых каналов
· Неактивные вещества.
o Вода, солевые растворы,
анестетики.
· Химически активные
вещества.
o Ферменты: папаин,
стрептокиназы, энзимол, трипсин, химопсин.
o Кислоты: лимонная,
хлороводородная.
o Щелочи: гидрооксид
кальция, натрия, мочевина, натрия гипохлорит, хелатные срества (ЭДТА).
o Окисляющие средства:
перекись водорода, мочевина, карбамиды.
o Антибактериальные
препараты: хлоргексидин, моющие средства.
Основное назначение лекарств, применяемых при эндодонтическом
лечении - обеспечение антимикробной активности. С позиций общепринятых в
медицине положений, эндодонтическое лечение может проводиться в асептических
условиях или с применением средств антисептики или дезинфекции.
Асептика гарантирует отсутствие бактерий в операционном поле.
Она предусматривает применение стерильных инструментов, оборудования,
материалов. Асептические условия работы способствуют предотвращению загрязнения
канала бактериями. Они возможны в некоторых случаях при лечении пульпита,
депульпировании зуба с интактной пульпой, однако в условиях полости рта достичь
этого очень трудно.
Антисептика предусматривает мероприятия по устранению
инфицирования или загрязнения в канале. Они проводятся, например, при
экстирпации пульпы.
Дезинфекция - это устранение микроорганизмов с помощью
физико-химических средств. Она применяется при лечении инфицированных зубов и
заключается в механическом удалении тканей и распада, содержащих микроорганизмы,
промывании каналов и их заполнении временным пломбировочным материалом
(пастами), обладающим антисептическим действием.
При эндодонтическом лечении лекарственные препараты могут
применяться не только с целью обработки корневого канала. В процессе лечения
или после его завершения могут возникать боль, гиперемия, явление экссудации,
припухлость. Каждый из этих симптомов или их сочетание служит поводом для
медикаментозной обработки.
Болевой симптом и экссудация в эндодонтии имеют прямое
отношение к инфицированию и обусловливают необходимость прямого воздействия на
микроорганизмы корневого канала.
Наличие воспалительного процесса в периодонте приводит к
деструктивным изменениям в костной ткани, а в некоторых случаях, указывает D.
Qrstavik (1997), может возникать воспалительная деструкция корня.
Дезинфицирующие средства. Это группа препаратов, которые
обладают более широким антибактериальным действием, чем антибиотики, и
оказывают непосредственное воздействие на микроорганизмы. Наряду с этим они,
при несоблюдении концентрации или продолжительности воздействия, что
указывается в инструкции, могут неблагоприятно воздействовать на окружающие
корень ткани.
Альдегиды. Формальдегид, параформальдегид и глютаральдегид до
недавнего времени широко использовались в эндодонтии. Они являются
водорастворимыми, протеинденатурирующими препаратами с сильно выраженным
дезинфицирующим действием. Альдегиды применялись для дезинфекции медицинского
оборудования, но они очень токсичны и являются сильными аллергенами, а некоторые
обладают канцерогенным действием. В настоящее время они не рекомендуются для
применения.
Формакрезол содержит формальдегид в качестве главного
компонента и до настоящего времени применяется для некротизации пульпы.
Параформальдегид является полимерной формой формальдегида и
входит в состав ряда паст, применяемых для обработки корневых каналов.
Эндометазон медленно разлагается на мономер и формальдегид,
токсическое, аллергическое и канцерогенное действие которых известно.
Галогены. Галогены содержат хлор и йод и в различных
соединениях широко применяется в эндодонтии. Обладая выраженными окисляющими
свойствами, эти препараты оказывают сильный бактерицидный эффект. Хлор
выделяется из гипохлорита натрия и хлорамина.
Натрия гипохлорит в концентрации 2,5-3,5 % широко применяется
для обработки корневых каналов. Под его воздействием происходит растворение
некротических тканей. Кроме того, он обладает выраженным влиянием на
микроорганизмы [Moorer W. R. Wesselink P. R., 1982].
Достоинством препарата является его малая токсичность. Однако
попадание значительного количества натрия гипохлорита за верхушку может вызвать
раздражение периодонта.
Хлоргексидин является сильнодействующим лекарственным
препаратом. Он обладает широким спектром действия и низкой токсичностью. Хлоргексидин
широко используется в виде 0,1-0,05 % растворов в пародонтологии для обработки
пародонтальных карманов. Имеются сообщения [Jeansonne M. J., White R. R., 1994]
об успешном его применении в эндодонтии в виде 0,2-1 % раствора для промывания
корневых каналов.
Йод применяется в виде 2-4 % йодида калия и йодоформа,
которые постоянно выделяют йод, оказывая обезвреживающее действие. Препараты
йода применяются в виде ирригирующего раствора, а также входят в состав
лечебных паст временного заполнения канала (в последующем канал пломбируется
постоянным материалом). Йодоформ входит в состав пасты для постоянного
заполнения канала.
Фонолы. Хотя фенол в чистом виде в настоящее время нечасто
используется в эндодонтии из-за выраженной его токсичности, но его производные
находят широкое применение. Однако имеются высказывания [Бауманн M., 1998] о
нецелесообразности их применения.
Парамонохлорфенол - часто используется в качестве компонента
в составе лечебной пасты для временного заполнения корневого канала. Он может
быть в виде водных растворов, а также в комбинации с камфорой (камфорный
монохлорфенол).
Тимол также обладает антисептическим действием. Используется
в пастах, в том числе в широко применяемой эвгенолтимо-ловой пасте для
постоянного пломбирования корневого канала.
Эвгенол широко применяется для приготовления паст как для
временного, так и для постоянного пломбирования корневых каналов. Наряду с
антисептическим он обладает выраженным обезболивающим действием [Hume W. R.,
1986].
Гидроксид кальция Са(ОН)2 слаборастворим в воде, рН 12,4,
сохраняется в перенасыщенном водном растворе (дистиллированной воде) в
герметичном сосуде. Высокий рН гидроксида кальция (щелочность) обусловливает
воздействие на микроорганизмы и разрушение некротизированных тканей. Обычно бактерии
погибают при рН 9,5 и только некоторые - свыше 11. При введении в корневой
канал гидроксида кальция рН в дентине достигает от 8 до 10.
Гидроксид кальция получил всеобщее признание клиницистов в
качестве временного заполнителя корневых каналов, особенно как
антибактериальный агент [Kirk Е. Е. et al., 1989]. Следует учитывать, что при
повторном посещении в срок 3 и более дней методом выбора является паста
гидроксида кальция.
Важным остается вопрос о сроке сохранения активности
гидроксида кальция. Установлено, что Са(ОН)2 поглощая СО2 из воздуха, способен
превращаться в СаСОз, однако происходит это в закрытых емкостях очень медленно.
Из этого следует, что при правильном использовании порошок Са(ОН)2 или пасты
имеют длительный срок годности.
На рынке стоматологической продукции имеется большой выбор
препаратов, содержащих гидроксид кальция. Это Dical (Dentsply) Life (Kerr),
Calcimol (Voco), Кальцидент (ВладНива), Sealapex Apexit, Hypokal, Endocal,
Biocalex (Spad) и многие другие. Не рассматривая подробно каждый из этих
препаратов, считаю необходимым отметить препарат Biocalex, который недавно
появился на нашем рынке. Эффективность его применения на различных этапах
эндодонтического лечения заставляет отдавать предпочтение этому препарату.
Исходя из положения, что апикальный периодонтит имеет
инфекционную природу, все усилия клиницистов направлены на удаление инфекции из
канала и ее обезвреживание.
Механическая (инструментальная) обработка корневого канала
значительно уменьшает количество бактерий, однако оставшиеся в канале сохраняют
жизненный потенциал и способность к размножению. Это указывает на необходимость
дезинфекционной обработки корневого канала.
Многочисленными клиническими наблюдениями установлена
значимость не столько концентрации, сколько обилия промывания. Использование
только солевого (физиологического) раствора в комбинации с хорошей механической
обработкой часто приводит к значительному уменьшению микроорганизмов в полости
зуба.
Представляет интерес то, что на важность обильного промывания
корневого канала указывалось в конце прошлого столетия. Так, проф. Р.Бауме
писал: "После того, как пульпа извлечена насколько возможно тщательнее, я
проспринцовываю хорошенько канал. Чаще всего я употребляю наш обыкновенный
шприц, которым мы пользуемся для вымывания частиц дентина перед пломбированием.
Я часто убеждался, что посредством спринцевания удалялись гораздо большие куски
пульпы, чем те, которые можно было извлечь нервоэкстрактором. Для промывания
употребляю воду или слабый раствор сулемы" [Бауме Р., 1897].
Соблюдая хронологическую последовательность применения
препаратов, следует указать на использование растворов серной и соляной кислот
для усиления механической очистки корневых каналов. Однако в дальнейшем кислоты
были заменены раствором этилендиаминтетрауксусной кислоты (ЭДТА гель HPU-15).
который в настоящее время получил широкое распространение [Bystrom A.,
Sundqvist G., 1985; Weinreb M. M., Meter E., 19651. Наряду с этим, широко
применяется препарат Verifix (Spad), растворы лимонной и пропионовой кислот
[Tidmarsh В. G., 1978] для обработки корневых каналов с целью их расширения.
В связи с изложенным заслуживают внимания слова С. J. Stock и
С. F. Nehammer (Stock, 1996), что имеет значение то, что Вы удаляете из канала,
а не то, что Вы в него помещаете. Возможно это и не совсем правильно, однако
тщательная механическая обработка и вымывание содержимого корневого канала
чрезвычайно важны для успешного лечения. Гипохлорит натрия считается наиболее
эффективным промывающим раствором, так как он обладает выраженными
бактерицидными свойствами, растворяет органические остатки при слабовыраженном
раздражающем действии.
Эффект дезинфекции корневого канала значительно усиливается,
если после механической и антисептической обработки, например 3,5 % раствором
натрия гипохлорита, производится временное пломбирование пастой с гидроксидом
кальция [Stuart К. G., 1991 J.
В. В. Хазанова с соавт. (1997) указывает, что наилучший
эффект при антисептической обработке корневых каналов достигнут при совместном
использовании 3 % раствора натрия гипохлорита и ЭДТА.
Промывающие растворы, применяющиеся при препарировании
корневого канала, выполняют ряд функций. В первую очередь, они вымывают из
канала распад и дентинные опилки. Благодаря этому исключается блокада корневого
канала. Во-вторых, в большинстве случаев они оказывают антисептическое
действие, удаляя смазанный слой, состоящий из органических и неорганических
компонентов, которые образуются в процессе препарирования канала. И наконец,
промывающие растворы являются, своего рода, смазкой между инструментом и
стенкой канала.
Важно, чтобы промывающие растворы попадали на всю глубину
канала в достаточном количестве. Поэтому вводятся они при помощи шприца с
использованием игл различного диаметра.
Лечение неинфицированных зубов
Витальная экстирпация пульпы при ее воспалении или с целью
протезирования с последующей инструментальной обработкой, ирригацией гидроксида
кальци л обеспечивает условия гарантированного лечения в стерильных условиях.
Если же пломбирование корневых каналов производится в одно посещение, то
временное пломбирование с использованием гидроксида кальция не требуется.
Постоянное пломбирование корневых каналов производится после механической
обработки и промывания канала 3,5 % раствором натрия гипохлорита.
Существуют и другие варианты лечения, однако указанный метод
принято считать эталоном.
Исследованиями установлено [Qrstavic D., 1997], что при
длительном (неоднократном) использовании гидроксида кальция на границе
периодонта с костью формируется плотный барьер, который способен противостоять
как механическому воздействию, так и другим раздражающим факторам. Указанный
принцип формирования плотного барьера может быть использован при витальной
ампутации пульпы и при некрозе пульпы. Франк Шопен (1997) различает апексогенез
- образование верхушки корня после обнажения пульпы не полностью
сформировавшегося зуба, в котором пульпа остается жизнеспособной, и
апексфиксацию - стимуляцию апикального развития (возобновление развития) за
счет образования костеподобной ткани неполностью сформировавшегося корня зуба,
пульпа которого некротизирована. Важно, чтобы при завершении лечения гидроксид
кальция, являющийся временным пломбировочным материалом, заменялся постоянным.
Причины
и устранение боли
В эндодонтии боль, в основном, связана с воспалением,
которое, в свою очередь, обусловлено инфекцией.
Боль во время и после эндодонтического лечения является
следствием влияния ряда факторов: травма (механическая, химическая),
бактериальная активность, ятрогенные факторы [Hahn С. L. et al., 1993].
Недостаточные знания о причине возникновения боли и ее
механизме не исключают необходимости оказания помощи. В этом плане важное
значение имеет внутриканальное введение препарата. В связи с этим возникает
вопрос о роли кортикостероидов в пастах. Применение стероидов в эндодонтии
вначале вызывало недоверие, так как считалось, что они могут помешать реакции
организма на микробную инвазию и, тем самым, стать помехой синтезу стероидов.
Е. Н. Ghrmann (1965) считает, что не существует данных о нанесении ущерба
организму, обусловленного применением кортикостероидов, так как дозировка их
при эндо-донтическом лечении слишком мала.
Гнойный экссудат - явный признак обострения, связаного с
активностью инфекции. Лечение предусматривает создание оттока экссудата и временное
пломбирование с использованием гидроксида кальция. Серозный экссудат и процесс,
связанный с его возникновением, выявляются труднее, однако временное
пломбирование гидроксидом кальция приводит к положительному результату. Не
исключается временное пломбирование с использованием материалов, содержащих
стероиды.
Кровоточивость из канала выявляется при помощи бумажного
штифта и устраняется использованием 3 % раствора перекиси водорода, введения
кровоостанавливающихей жидкости.
Апикальная наружная резорбция корня связана с хроническим и
верхушечным периодонтитом и может прекращаться после ликвидации воспалительного
процесса. Однако процесс может развиваться быстро и стать причиной удаления
зуба. При наличии резорбции корня проводится эндодонтическое лечение с
использованием гидроксида кальция, причем проводится оно в течение длительного
времени с частой заменой временных пломб. Может быть рекомендована паста
Ledermix, особенно в сочетании с гидроксидом кальция.
Бактериологические исследования как in vitro, так и in vivo
показали, что попадающие в канал лекарственные препараты более эффективно
действуют, если удален смазанный слой, что производится при помощи ЭДТА. Авторы
[Weinreb, 1965] обращают внимание, что пробка из дентинного смазанного слоя
часто формируется в верхушечной части при инструментальной обработке канала.
Это может ухудшить эффективность медикаментозной обработки.
Лекарственные препараты, применяемые при эндодонтическом
лечении, могут служить причиной повреждения тканей и, в свою очередь, обострения
процесса. Так, альдегиды, наряду с токсическим действием, оказывают
сенсибилизирующее и мутагенное [Levis В. В., Cbestners В., 1981; Qrstavic К.
D., HolgslyJ. К., 1985; Goldmaeber V. S., Tbilly W. D., 1983]. Фенолы также
оказывают цитотоксическое действие. И хотя их токсичность в сочетании с
камфорой снижается, все же отношение к ним должно быть сдержанным.
В этой связи предпочтение следует отдавать галогенам
(препараты с содержанием хлора и йода), которые высокую антибактериальную
активность сочетают с низкой токсичностью. Эти данные объясняют, почему
гипохлориту натрия отдается предпочтение при внутриканальной обработке, а
йодиды применяются для временного пломбирования корневых каналов.
Введение
лекарственных средств
Ирригация. Гипохлорит натрия, который имеет наилучшие
результаты клинического применения, используется в виде 1,5-3,5 % водного
раствора. Он вводится шприцом через специальную иглу. Наиболее подходят для
этого 10 мл шприцы. Необходимо избегать выведения раствора за верхушку корня.
Для обработки корневого канала может быть использована ультразвуковая
установка.
Пломбирование временное с введением пасты с дезинфицирующим
препаратом как один из методов обработки канала. Пасты вводят
каналонаполнителем. а также при помощи шприца с последующим наложением
временной пломбы.
Временная пломба должна защищать полость зуба от слюны. Для
этой цели используется цинкоксид-эвгенол или цинк-сульфат. При опасности
нарушения целостности временной пломбы применяются экстрамеры - двойное
пломбирование: внутреннее, уплотнение временного материала, и наружное - для
выполнения функции жевания.
Выпадение временной пломбы приводит к загрязнению корневого
канала, что требует повторения всей проделанной работы.
Пломбирование корневых каналов
Успех пломбирования корневого канала в значительной степени
определяется качеством выполнения предыдущих эндодонтических манипуляций
(обеспечение доступа к устью канала, его расширение, выравнивание стенок,
создание упора) и, в основном, обусловливает исход проводимого лечения.
Основным требованием данного этапа лечения является
надежность герметизации корневого канала, исключающая возможность его сообщения
с периодонтом и полостью зуба.
Прежде чем приступать к рассмотрению методики заполнения
каналов, завершающего этапа эндодонтического лечения, необходимо остановиться
на теоретическом вопросе - концепции активной "заверхушечной"
терапии, которая была выдвинута отечественными учеными в 50-е годы. Обусловлено
это тем, что до настоящего времени, как показало анкетирование, многие врачи
придерживаются указанного подхода [Боровский E. В., 1998].
В настоящее время общепризнанно, что пломбирование корневых
каналов при эндодонтическом лечении должно проводиться до физиологического
сужения канала, что на 1,0-1,5 мм не доходит до верхушки корня. Выведение
пломбировочного материала за верхушку - явление нежелательное, а, по мнению
некоторых авторов, считается даже осложнением.
За 100-летний период эндодонтического лечения предложено
большое количество материалов и методов для пломбирования корневых каналов: от
фольги, олова и золота, затем хлопка-сырца или ваты с цементом до материалов с
антибиотиками и кортикостероидами. За это время разработаны строгие требования,
которым должны соответствовать пломбировочные материалы.
Основное из них - отсутствие раздражающего действия на
периодонт. В то же время они должны оказывать антисептический и
противовоспалительный эффект, способствовать костеобразованию, легко вводиться,
медленно затвердевать, быть рентгеноконтрастными, а при необходимости извлекаться
из канала.
Как следует из клинических наблюдений, идеального материала
для пломбирования корневых каналов до настоящего времени нет. Однако наиболее
оптимальным является гуттаперча, которая инертна к окружающим тканям, почти не
изменяет объема, надежно обтурирует канал, легка в обращении.
Рассмотрение всех методов пломбирования не входит в наши
задачи. В данной главе будут рассмотрены те методы обтурации, которые в
настоящее время применяются в клиниках.
. Метод заполнения канала одной пастой.
2. Метод одного (центрального) штифта.
. Заполнение канала гуттаперчей.
1. Метод боковой конденсации.
2. Метод пломбирования химически размягченной
гуттаперчей.
. Вертикальное уплотнение теплой гуттаперчи.
. Термомеханическое уплотнение гуттаперчи.
. Обтурация канала гуттаперчей, вводимой с помощью
шприца.
. Метод введения гуттаперчи на носителе (-гермафил)
4. Депофорез медно-кальциевым гидроксидом.
Анализ литературы по обтурации корневых каналов указывает,
что наиболее распространен метод заполнения гуттаперчей. Более того, метод
пломбирования корневых каналов пастами не рекомендует к применению
Международная Ассоциация Стоматологов и Ассоциация Дантистов Америки, так как
он не обеспечивает гарантированной обтурации. При пломбировании одной пастой,
несмотря на кажущуюся простоту, выведение материала за верхушку является
правилом, а не исключением! Распределение материала в канале часто бывает
неоднородным. По нашим данным, прерывистое пломбирование каналов одной пастой
выявлено в 17-20 % случаев, хотя в действительности эта доля может быть и
большей, так как метод рентгенологического контроля не всегда позволяет выявить
все свободные пространства в канале. Таким образом, наряду с выведением пасты
за верхушечное отверстие в канале достаточной герметизации не создается.
Рис. 8- 1. Вывод пломбировочного материала за верхушечное
отверстие корневого канала при неплотном его заполнении. Рентгенограмма
Если к этому добавить, что ряд паст дает усадку, а некоторые
из них рассасываются при соприкосновении с тканевой жидкостью, то становится
понятной позиция FDJ и АДА.
Метод заполнения канала одной пастой. С сожалением следует
отметить, что метод обтурации корневого канала одной пастой является основным в
нашей стране. Хотелось бы надеяться, что данный труд, в котором подробно
описаны методики гарантированной обтурации корневого канала, заставит врачей
пересмотреть свои подходы и применять более надежные методы пломбирования.
Наряду с этим необходимо отметить, что низкое качество обтурации корневых
каналов или выведение материала за верхушку корня обусловлено в основном тем,
что пломбирование каналов производят без учета рабочей длины зуба. В результате
этого каналонаполнитель выводится за верхушечное отверстие или не доходит до
физиологической верхушки (рис. 8-1). Часто к этому приводит также неумелое
использование каналонаполнителя. Введение его до физиологической верхушки и
удержание длительное время в этом положении могут привести к выведению пасты в
большом количестве за верхушечное отверстие, в то время как канал может
оставаться не заполненным [Joffrey J. W., 1986]. Вторая ошибка, приводящая к
прерывистой обтурации канала, заключается в выведении каналонаполнителя при
неработающей машине. Вместо того, чтобы спираль наполнителя "выворачивалась"
из канала, что предусмотрено технологией, он извлекается из канала вместе с
пастой. К этому следует добавить, что глубокое проникновение каналонаполнителя
в узкий канал или отклонение его от оси корня могут привести к облому
инструмента.
Недостатком метода служит и то, что паста может значительно
сокращаться в объеме, а некоторые пасты - рассасываться при соприкосновении с
тканевой жидкостью. М. М. Ноеп с соавт. (1988)
указывают, что использование ультразвуковых инструментов
обеспечивает более высокое качество заполнениея корневого канала пастой. Этапы
пломбирования одной пастой следующие.
. Выбор и приготовление пасты.
2. Изоляция зуба от слюны.
. Подбор каналонаполнителя и установка силиконового
стопора на отметку рабочей длины зуба. Проверка правильности вращения
каналонаполнителя.
. Высушивание канала бумажными штифтами.
. Введение пасты в канал, временное пломбирование.
. Рентгеноконтроль.
. Пломбирование зуба.
Метод одного (центрального) основного штифта. Этот метод в
некоторых руководствах получил название "стандартизованный метод".
Указанный метод использует принцип совмещения пломбирования корневого канала
пастой с одиночным штифтом. Следует, однако, отметить, что при этом необходимо
производить препарирование корневого канала с созданием апикальной конической
формы.
Следующим этапом является подбор гуттаперчевого штифта. Это
необходимо производить каждый раз, несмотря на то, что гуттаперчевые штифты
соответствуют стандартам инструментов и имеют один и тот же цветовой код, так
как стандартизация гуттаперчевых штифтов является менее точной, чем
стандартизация металлических инструментов.
Подбор размера основного гуттаперчевого штифта осуществляется
визуально-тактильным способом с рентгенологическим контролем.
Последовательность действий при этом следующая. Берется гуттаперчевый штифт,
соответствующий размеру последнего инструмента (максимального диаметра),
которым производилась обработка канала. На нем делается отметка, возможно
изгиб, соответственно рабочей длине зуба. Затем приготовленный штифт вводится в
канал до произведенной отметки. При этом штифт должен достичь сужения и
прекратить продвижение. Если же штифт продвигается глубже отметки,
соответствующей рабочей длине зуба, и не встречает упора, то это указывает на
выход штифта за верхушечное отверстие. В таком случае берется следующий по
размеру штифт, и его подбор повторяется сначала. Возможен и второй вариант -
укорочение штифта на 1,5-2 мм (при отрезании верхушки штифта его диаметр
становится большим) с последующей примеркой. Таким образом, соответствие штифта
проверяется методом проб.
Рис. 8-2. Гуттаперчевый штифт, введенный в корневой канал
центрального резца верхней челюсти до верхушечного упора. Рентгенограмма
Рентгенологический метод контроля соответствия штифта
является самым надежным и производится после визуально-тактильной подгонки. На
снимке штифт должен располагаться на 1 мм не доходя до верхушки корня (рис.
8-2).
Если на рентгенограмме выявляется прохождение штифта за
верхушку корня, то это означает, что при препарировании была неправильно
определена длина. Такой штифт, как указывалось выше, следует заменить или
срезать его со стороны тонкого конца с последующей проверкой упора у
физиологического сужения. Недопустимо извлекать штифт до уровня верхушки корня,
так как он будет неплотно закрывать просвет апикальной части канала, в чем его
основное назначение. После коррекции длины штифта при необходимости проводится
повторно рентгенологический контроль.
Штифт должен плотно прилегать к стенкам канала, а его
продвижение вперед должно быть ограничено верхушечным упором.
Иногда основной штифт не становится на место, хотя он и того
же размера, что и последний инструмент, использованный для расширения канала.
Это возможно, если:
) инструмент, использованный для расширения корневого канала,
не был введен на всю рабочую длину;
) инструмент во время работы не проворачивался по часовой
стрелке на заключительном этапе (без продвижения вперед);
) в канале остались дентинные опилки и обломки дентина;
) в канале имеются выступы, мешающие продвижению штифта.
Успех может быть достигнут:
) повторной обработкой канала, причем файл должен свободно
вращаться в канале;
) использованием штифта на размер меньше. Некоторые авторы
предлагают уменьшить толщину штифта путем его прокатывания в холодном состоянии
шпателем на стеклянной пластинке.
После примерки штифт извлекают из корневого канала,
предварительно отметив уровень погружения его в канал. Иногда возможно отрезать
штифт на уровне глубины погружения.
Высушившие канала. Перед пломбированием канал высушивают
бумажными абсорбирующими штифтами. Повторное введение свежих штифтов
обеспечивает высушивание. После этого в канал вводят штифт и приступают к
подготовке следующего этапа.
Замешивание и внесение в канал пломбировочной пасты. На
пластинку капают 1-2 капли жидкости, берут порошок и замешивают пасту в
соответствии с инструкцией фирмы-изготовителя. Материал должен иметь
сметанообразную консистенцию и тянуться за штифтом при его отрыве на 2-2,5 см.
Внесение пасты можно производить вручную, вращая файлы или
ример против часовой стрелки. Однако чаще используют каналонаполнители, которые
вращают по часовой стрелке вручную или используют бормашину, работающую на
самых малых оборотах. При работе с использованием мощных вращательных
наконечников существует опасность проталкивания пломбировочной пасты за
верхушку корня зуба. Во избежание этого следует строго следить, чтобы: 1)
каналонаполнитель не выходил за верхушечное отверстие; 2) вращение
каналонаполнителя в канале, после введения его в нерабочем состоянии, было
кратковременным (не более 1 с), с легкой задержкой в прикорневой части канала.
Такой режим работы каналонаполнителя позволяет целиком заполнить канал пастой.
Введение гуттаперчевого штифта. После введения в канал пасты
подогнанный гуттаперчевый штифт погружают в ту же пасту и медленно вводят его в
канал до упора, что должно соответствовать отметке на штифте. Как правило,
штифт свободно занимает свое место. При этом не следует опасаться выталкивания
пасты за верхушку корня, так как штифт действует не как поршень. По мере
медленного продвижения штифт не проталкивает пасту вперед и не выталкивает ее
за верхушку, а равномерно распределяет ее в канале, вытесняя избыток в полость
зуба.
Это следует знать и потому, что расчет некоторых врачей на
заполнение верхушечной части канала в процессе введения штифта не
оправдывается. Паста в верхушечную часть канала должна быть
"доставлена" до введения штифта.
Многолетние клинические наблюдения показывают надежность
обтурации корневого канала при правильном выполнении данного метода. И хотя в
ряде стран метод одного штифта применяется редко, предпочтение отдается
пломбированию гуттаперчей. При правильном использовании этот метод гарантирует
надежную обтурацию канала.
Необходимо отметить, что такое подробное описание методики
дано с надеждой широкого ее применения вместо метода пломбирования одной
пастой, что позволит повысить качество пломбирования корневых каналов. По
данным литературы и собственному опыту, методам пломбирования каналов гуттаперчей
следует отдавать предпочтение. Однако на данном этапе, при значительных
материальных затруднениях, а также в силу большой привычки к методу
пломбирования одной пастой, метод одного штифта вполне доступен врачу любого
уровня стоматологического учреждения. Важно понять, что штифт: 1) обеспечивает
обтурацию верхушечной, а не коронковой части канала; 2) равномерно распределяет
пасту в корневом канале, чем достигается плотный контакт ее с дентином. Но если
штифт не доводится до упора, т.е. не закрывает канал у физиологического
сужения, то значимость штифта полностью обесценивается (рис. 8-3).
После заполнения корневого канала необходим рентгеноконтроль,
и только после этого накладывается пломба. Следует помнить, что постоянное
пломбирование полости производится только после затвердения пасты. Таким
образом, реставрация коронки проводится спустя несколько дней после
пломбирования корневого канала.
Рис. 8-3. Выведение серебряных штифтов в периодонтальные
ткани
Заполнение канала гуттаперчей. Метод боковой (латеральной)
конденсации холодной гуттаперчи. Боковая конденсация холодных гуттаперчевых
штифтов с заполнителем (герметиком) считается самым надежным методом
пломбирования корневых каналов. Наряду с этим имеются указания, что
эффективность бокового уплотнения определяется тщательностью очистки корневого
канала. Отмечается, что уже через 15 дней после пломбирования воспалительные
явления стихали, а через год происходило восстановление тканей периодонта.
При проведении метода боковой конденсации предусматриваются
следующие этапы.
. Припасовка центрального штифта.
2. Высушивание канала.
. Введение герметика.
. Введение в канал основного штифта.
. Оттеснение штифта к стенке канала.
. Введение дополнительного штифта, предварительно
смазанного герметиком, в образовавшееся пространство.
. Заполнение канала гуттаперчевыми штифтами с
повторением указанной процедуры.
. Срезание избытка гуттаперчи у устья канала.
. Вертикальная конденсация гуттаперчи в устье канала.
. Пломбирование полости.
Методика припасовки центрального штифта описана выше. Следует
только отметить, что это очень важный этап, так как от него зависит надежность
закрытия верхушечного отверстия.
Обтурацию канала начинают с изоляции зуба от слюны, что
достигается наложением рабердама или ватных валиков. Затем производится
медикаментозная обработка и высушивание корневого канала бумажными штифтами.
Введение в канал герметика или жидкой пасты производят бумажным штифтом, чтобы
покрыть тонким слоем стенки корневого канала, затем основной штифт смазывают
пастой или герметиком и вводят его до упора у физиологического сужения. Боковым
уплотнителем (спредером), введенным до упора, основной штифт прижимают к стенке
канала и удерживают его в этом положении 15-20 с, а затем в образовавшийся
промежуток между стенкой канала и штифтом вводятдополнительный гуттаперчевый
штифт, который на 1-2 мм короче основного штифта, и конденсируют его
уплотнителем, прижимая его к ранее введенному. Образовавшийся промежуток
замещают новым штифтом, который перед введением погружают в герметик. Важно,
что каждый вновь вводимый штифт погружают на меньшую глубину. Боковое
уплотнение продолжается до тех пор, пока уплотнитель не перестает погружаться в
канал (рис. 8-4). После этого избыток гуттаперчевых штифтов срезают или удаляют
разогретым инструментом и вертикальной конденсацией закрывают устье канала. В
заключение производится рентгеновский контроль (рис. 8-5).
Рис. 8-4. Пломбирование корневого канала гуттаперчевыми штифтами:
а - введение в канал центрального штифта (1); б - прижатие основного штифта
спредером (2) к стенке корневого канала; в - введение дополнительного штифта
(3) и прижатие его к стенке канала спредером (2); г - введение в канал второго
дополнительного штифта (схема)
Клинические наблюдения в течение многих десятилетий указывает
на высокую эффективность метода боковой конденсации. Данные литературы можно
обобщить словами S. Sakhal с соавт. (1991), что правильная боковая конденсация
обеспечивает оптимальную обтурацию всего канала.
Рис. 8-5. Заполнение корневого канала методом боковой
конденсации
Метод
пломбирования химически размягченной холодной гуттаперчи.
Этот метод является одним из вариантов метода боковой
конденсации и впервые описаны в 1914 г. Принцип метода основан на использовании
в качестве растворителя хлороформа или его заменителей - эвкалиптового масла и
др (Me. Donald, M. N, Vire D. Е„ 1992).
При данном методе основной гуттаперчевый штифт после его
припасовки извлекают из канала, а кончик погружают в растворитель на 1 с,
покрывают герметиком и снова помещают в канал. Размягченный кончик
гуттаперчевого штифта легко поддается обработке при конденсации, благодаря чему
создается плотно прилегающая к стенкам канала в апикальной части пломба,
способная заполнить боковые разветвления.
Методика обтурации следующая. После погружения штифта с
размягченным кончиком на всю рабочую длину его уплотняют зондом в течение одной
минуты. Затем зонд извлекают вращательным движением, а на его место вводят
дополнительный штифт (покрытый герметиком), который тщательно уплотняют.
Вертикальное уплотнение теплой гуттаперчи
Метод предложен около 30 лет назад Н. Schilder (1967). По его
мнению, в канале должно быть максимальное количество гуттаперчи при минимальном
содержании заполнителя. Первым этапом является припасовка основного штифта,
имеющего коническую форму. За^ тем штифт погружают в заполнитель и вводят в
канал до упора. При постепенном разогреве и уплотнении гуттаперча хорошо обтурирует
верхушечную часть канала и способна заполнять дополнительные отверстия
(ЦветковаЛ. А., 1999). При пломбировании каналов методом вертикальной
конденсации необходим набор штопферов, для разогрева гуттаперчи в канале
используют инструменты типа зонда, который после нагревания вводят в канал.
После извлечения инструмента производят уплотнение гуттаперчи. В настоящее
время выпускаются специальные приборы (США), которые обеспечивают постоянное
поддержание температуры вводимого в канал материала.
Термомеханические уплотнение гуттаперчи представляет
следующую методику теплового размягчения и уплотнения гуттаперчи. Инструмент,
подобный Н-файлу, но с обратным ходом резьбы фиксируется в наконечнике,
помещается в канал и вращается со скоростью 8-20 тыс. об/мин. При такой
скорости вращения инструмента происходит размягчение гуттаперчи, а конструкция
рабочей части инструмента обеспечивает уплотнение материала в корневом канале
(Saunders Е. M., 1989).
В настоящее время выпускается ряд инструментов: Condensor
(Maillefer), механический штопфер (Engine Plugger), которые обеспечивают
надежную обтурацию при относительной безопасности,
Обтурация канала гуттаперчей, вводимой с помощью шприца.
Методика предусматривает введение гуттаперчи в канал из шприца, разогреваемой
до 160 °С (Marlin J. et al., 1981). В настоящее время это устройство получило
название "система разогрева гуттаперчи Obtura II ". Эта методика не
исключает использования герметика, так как и разогретая гуттаперча после
охлаждения теряет свои адгезивные свойства. Первым этапом обтурации является
подбор диаметра иглы и штопфера, которые должны проникать в канал, не доходя на
3,5-5 мм до верхушечного отверстия (глубину введения фиксируют силиконовым
ограничителем). Затем после высушивания на бумажном штифте вводят сначала
герметик, которым покрывают стенки канала, а после этого разогретую гуттаперчу
с помощью системы Obtura. После введения гуттаперчи ее продвигают в апикальном
направлении и уплотняют ранее подготовленным штопфером.
Рентгеноконтроль указывает на качество заполнения и
необходимость проведения коррекции.
Имеются указания на возможность выхода материала за
верхушечное отверстие (Bradshaw С. В. et al.., 1989).
Метод введения гуттаперчи на носителе (термофил). Терма-фил
предложил Johnson W. В. в 1978 г. и представляет собой конусообразный стержень,
который покрыт слоем гуттаперчи. Стержни могут быть из нержавеющей стали, из
титана. Размер и форма стержня соответствуют международному стандарту
эндодонтичес-кого инструмента, выпускаются размеры от 020 до 140 (рис. 8-6,а).
Для удобства работы при введении в канал термафила на стержне указаны отметки
(мм) - 18,19,20,22,24, а на пластиковых ручках размер стержня.
Рис. 8-6. Виды термафилов с обозначением длины стержня (а) и
обтурация 4 корневых каналов моляра нижней челюсти с использованием термофила.
Рентгенограмма
Методика пломбирования, получившая название
"Термафил", позволяет получить надежную апикальную герметизацию,
обеспечивает простоту введения обтурируюшей массы в канал при минимальной
затрате времени. При этом обеспечивается эффективная обтурация не только
основного канала, но и, как показало рентгенологическое обследование,
дополнительных боковых ответвлений (рис. 8-6,6).
Используя термафил при создании конической формы корневого
канала, качественной объемной обтурации можно добиться за 20-30 с.
По данным лабораторных исследований, при использовании
термафила проникновение красителя в канал в 20 раз меньше, чем при
использовании одиночного гуттаперчевого штифта, и в 4 раза меньше, чем при
использовании метода введения гуттаперчи с помощью шприца. Это говорит о
хорошей герметизации канала при использовании термафила. Кроме того, высокая
надежность обтурации термафилом обусловлена особенностью его конструкции -
гибкий и прочный стержень в сочетании с равномерным покрытием из гуттаперчи а-
фазы.
Гуттаперча к -фазы, нагретая до рабочей температуры,
становится липкой и клейкой, благодаря чему надежно фиксируется на центральном
стержне. Это помогает вводить обтурирующий материал на всю глубину системы
корневых каналов. Стержень действует как центральный носитель, он конденсирует
гуттаперчу по всей рабочей длине канала, обеспечивая апикальную герметизацию и
уменьшая усадку обтурированной массы.
Термафилы рекомендуется использовать в сочетании с
герметиками безэвгенольного типа (Термасил, АН-26, АН+, Sealopex). Эти
пломбировочные материалы обладают оптимальной вязкостью, максимальной адгезией,
минимальной усадкой, а также длительным рабочим временем отверждения.
Для равномерного нагрева всех типов термафилов используется
печь, которая обеспечивает оптимальную температуру нагрева в течение нескольких
секунд.
Методика обтурации корневых каналов с использованием
термафила.
. Провести предварительно анестезию, так как апикальное давление,
возникающее при проникновении термафила, может вызвать чувство дискомфорта.
. После обработки канала установить окончательную рабочую
длину, используя подходящий верификатор со стопором.
. Выбрать термафил такого же размера и длины, как
верификатор, используемый для определения окончательной рабочей длины. Если
канал имеет крутой изгиб, то, начиная с размера 35 и выше, металлический
обтуратор предварительно сгибают. При этом могут возникать трещины в
гуттаперче, но это не страшно, так как они исчезают при нагревании. Стержни
размеров 20, 25 и 30 гибкие, и необходимость их сгибания возникает редко.
Термафил предварительно не сгибают, так как в процессе нагревания эластичность
увеличивается.
. Обработать обтуратор в 5 % растворе гипохлорита натрия в
течение 1 мин, промыть в 70 % спирте и высушить.
. Высушить канал, используя стерильные бумажные штифты.
. Нагреть обтуратор в печи.
. Ввести небольшое количество пасты или герметика в канал,
чтобы смазать его стенки на всю длину, используя бумажные штифты или каналонаполнитель.
. Обтурировать канал. Разогретый в печи термафил ввести в
канал на ранее определенную длину. Если канал был правильно откалиброван, а
гуттаперча разогрета до требуемого состояния, обтуратор входит на место без
особых усилий. После введения обтуратора в канал в его устье скапливаются
излишки гуттаперчи. Это естественно, так как на стержень нанесен слой
гуттаперчи, рассчитанный на заполнение наиболее широких каналов.
. Удалить ручку обтуратора термафила. Пластиковый штифт
отрезать шаровидным бором в устье канала. Штифт из нержавеющей стали отрезают
на 1-2 мм выше устья канала с помощью острого конусовидного бора. Для удаления
титанового носителя используют твердосплавный фиссурный бор. Если необходим
рентгеновский контроль, то его проводят до удаления ручки (для извлечения
обтуратора в случае необходимости).
. Произвести уплотнение гуттаперчи вокруг стержня с помощью
вертикального конденсатора (plager), что предохранит случайное удаление
гуттаперчи из устья.
. Удалить излишки гуттаперчи из полости зуба для обеспечения
доступа в другие каналы.
Все указанные выше этапы повторяют, если у зуба несколько
каналов. После пломбирования каналов удаляют избытки гуттаперчи из полости
зуба, а дно покрывают иономерным цементом, после чего накладывают постоянную
пломбу.
Заполнители
(герметики)
Как уже говорилось выше, гуттаперча в большей остепени, чем
другие материалы, соответствует требованиям, предъявляемым к материалам для
заполнения корневых каналов. Гуттаперчевые штифты удобны в работе,
рентгеноконтрастны, биосовместимы с тканями пародонта, однако гуттаперча не
обладает текучестью и адгезивностью, которая позволила бы гарантированно
запечатать систему корневых каналов даже в его доступных участках.
Для устранения таких недостатков гуттаперча для пломбирования
корневого канала применяется в сочетании с пастообразными материалами, которые
получили название заполнителей, или силеров (от английского слова seal -
запечатывать) [HataC.etal., 1992; Соловьева А. М.идр., 1998]. В отличие от
паст, они не предназначены для пломбирования корневых каналов. Они применяются
для заполнения промежутка между стенкой канала и гуттаперчевыми штифтами,
промежутков между штифтами при боковой и вертикальной конденсации, а также для
возможного заполнения дополнительных ответвлений корневых каналов.
Существуют несколько групп подобных материалов: на
цинкоксид-эвгенольной основе; на базе гуттаперчи, материалы с добавлением
медикаментов; материалы на основе синтетических полимеров; на базе дентинных
адгезивов.
Цинкоксид-эвгенольные (ЦОЭ) материалы. Эвгенол пасты образует
химическую связь с оксидом цинка, входящим в гуттаперчевые штифты, в результате
чего формируется стабильное соединение [Wesselink P. R., 1997]. Большинство
ЦОЭ-паст основано на формуле Grossman's. На рынке эти пасты представлены под
названием Procosol. Недостатки этих материалов связаны с частичной
растворимостью в тканевых жидкостях и некоторой токсичностью. Кроме того,
эвгенол является аллергеном, а также задерживает реакцию полимеризации
композитов.
Цементы и пасты на основе гуттаперчи. Они состоят из
гуттаперчи, растворенной в органическом наполнителе. Широко известны хлороперча
(растворитель хлороформ) и эвкаперча (эвкалиптовое масло). Недостаток материала
заключается в том, что растворители быстро испаряются, а пломба дает усадку.
Материалы на базе дентинных адгезивов. Материалы этой группы
обладают высокой адгезией, однако в качестве пломбировочного материала
стеклоиономерный цемент используется крайне редко вследствие
неудовлетворительного краевого прилегания. Недостатком их является в том числе
и материал Ketac-Endo.
Поликарбоксилатные цементы являются хорошими герметиками при
условии тесного контакта со стенками канала. Однако из-за трудного удаления и
быстрого отвердевания материала в клинической практике они применяются редко.
Материалы с терапевтическим действием (с добавлением медикаментов). Их можно
разделить на две группы, содержащие:
) сильнодействующие дезинфицирующие и противовоспалительные
средства; 2) гидроксид кальция.
Для достижения длительного антисептического действия до
настоящего времени применяется формальдегид, йод и др.
Поданным C.J. Stock (1990), активным ингредиентом
эндометазоновой пасты является парафольмальдегид (на упаковке указывается как
триоксиметилен). Многие авторы считают применение формальдегида в составе паст
неоправданным, и ряд стран не рекомендует использовать эндометазоновую пасту.
Предполагалось, что добавление в пасту гидроксида кальция
будет способствовать восстановлению костной ткани у верхушечного отверстия. Из
этой группы наибольшее признание получили Calciobiotic Root Canal Sealer
(CRCS), Sealapex и Apexit. Последние представляют собой соединение гидроксида
кальция с добавками пластмассы. Одним из недостатков этих паст является то, что
значение рН в этих материалах часто бывает ниже необходимого для достижения
терапевтического эффекта.
Значительное место на рынке, как указывает В. С. Новиков
(1998), занимают материалы для заполнения корневых каналов, основанные на
синтетических полимерах (Diaket, АН-26, АН Plus).- это смесь полимеризаторов
винила, обладающая высокой адгезивностью, но низкий усадкой и растворимостью.
Быстрое отверждение (7 мин) не ограничивает его применение.
АН-26 является эпоксидной смолой, легко замешивается и
вводится в канал. Обладает хорошей запечатывающей способностью и низким
водопоглошением. В процессе полимеризации выделяется небольшое количество
формальдегида, но затвердевший материал абсолютно инертный.
АН Plus представлен в виде системы паста-паста, что удобно в
работе. В материале используется наполнитель, улучшает его механические
свойства. Он рентгеноконтрастен, обладает высокой проницаемостью, что не
окрашивает ткани зуба. Время его отверждения до 8 ч при 37 °С, хранение при
комнатной температуре. Все это позволяет рекомендовать этот материал для
широкого клинического применения.
Заслуживают внимания новые разработки по этой проблеме. Так,
Ю. А. Виниченко с соавт. (1999) сообщили о клинической апробации метода
адгезивной техники как при лечении периодонтитов, так и пульпитов, в том числе
при неизменной ампутации в зубах с несформированной верхушкой корня, при
травме. Пока трудно давать однозначную оценку, однако поиск нового направления
заслуживает одобрения.
Депофорез медно-кальциевым гидроксидом
По сути дела, это методика медикаментозной обработки и
пломбирования корневых каналов, хотя рассматривается в разделе пломбирования
каналов.
В нашей стране широко применялся метод электрофореза. Л. Р.
Рубин (1951), Н. А. Пачкаева (1965) и другие авторы указывали на хорошие
результаты только при условии полной обтурации корневого канала. П. А. Леус и
Н. Д. Извекова (1970) сообщали, что вводимые ионы присутствуют в тканях
периодонта только в течение 24 ч, после чего их концентрация резко снижается.
С учетом указанных недостатков А. Кнаппвост разработал
принципиально новый метод, который получил название депофорез медно-кальциевым
гидроксидом (1998). Этот метод имеет три принципиальных отличия от ранее
применяемых:
) в канал вводятся не ионы, а молекулы медно-кальциевого
гидроксида, обладающие выраженным антисептическим действием, которые создают
депо в корневой части;
) вводимый в корневой канал препарат, попадая на поверхность
корня через разветвления, стимулирует физиологическое закрытие отверстий на
поверхности корня;
) нижняя треть канала пломбированию не подлежит.
Первое посещение. Подготовка корневого канала производится на
2/3 длины от его устья с использованием файла 030-040. В корневой части
желательно канал расширить больше, чтобы создать депо гидроксида меди-кальция.
Промывание канала допускается лишь взвесью кальция в дистиллированной воде.
Заполнение корневого канала производят гидроксидом
меди-кальция консистенции жидкой сметаны путем закапываеия или смешивания пасты
с дистиллированной водой в канале. В резцах, клыках и премолярах пасту разводят
в соотношении 1:10 во избежание окрашивания зуба.
Затем следует наложение электродов. Положительный электрод
(красный штекер) помещают в области переходной складки, отрицательный
игольчатый электрод (черный штекер) погружают в канал с гидроксидом
меди-кальция. Электроды фиксируются при выключенном аппарате.
Включение прибора производят медленно до момента ощущения
тепла в области верхушки корня. Обычно это наблюдается в интервале 0,5-1 мА.
При появлении неприятного ощущения силу тока уменьшают, а затем медленно с
интервалами увеличивают. Желательно довести силу тока до 1-1,7 мА. Оптимальная
суммарная величина тока 5 мА за сеанс на канал. Исходя из этого при силе тока 1
мА продолжительность сеанса 5 мин, а при 1,5 мА - примерно 3,3 мин.
Рис. 8-7. Приборы для депофо-реза: а - "Комфорт"
(Германия) с комплектом препаратов;б - многофункциональный отечественный прибор
EndoEST (ЭОД, рабочая длина, депофорез)
Приборы для депофореза (рис. 8-7) показывает не только
количество миллиампер, но и суммарное количество введенного тока.
После завершения процедуры прибор выключают, а в канал вводят
свежую порцию гидроксида меди-кальция.
Второе посещение. Через 8-14 дней проводят те же манипуляции,
что и в первое посещение. Обычно переносимость тока лучшая, а величина 5 мА
достигается быстрее. И после второго посещения канал можно оставлять открытым
или накладывать повязку без давления.
Третье посещение. Через 8-14 дней проводится электрофорез по
той же методике, после чего верхние 2/3 канала заполняют щелочным цементом-атацамит.
В это же посещение возможно восстановление коронки.
Показания к применению метода. Частичная проходимость
корневого канала, перелечивание зуба (в частности, после резорцин-формалинового
метода), облом инструмента, неудовлетворительная обтурация канала, ограниченное
открывание полости рта.
Противопоказания. Беременность, злокачественные
новообразования, непереносимость электрического тока, аллергическая реакция на
медь, тяжелые формы аутоимунных заболеваний, обострение хронического
периодонтита, нагноившаяся киста, наличие в канале серебряного штифта.
Рис. 8-8. Реструктивные изменения у верхушки первого моляра
до лечения (а) и тот же зуб (б) через Юмес после лечения (3 процедуры
депофореза гидроксидом меди-кальция)
В нашей клинике метод депофореза применяется в течение 2 лет.
За это время было принято более 130 пациентов с различного рода осложнениями:
перфорация корневого канала, облом инструмента, частичная обтурация канала при
искривлении корня, боли после проведения резорцин-формалинового метода,
радикулярная киста и др. Неудовлетворительные результаты получены в 7 случаях.
В сроки от 10 до 12 мес наблюдали восстановление костной ткани в периодонте при
не запломбированной нижней трети корневого канала (рис. 8-8).
Наш опыт работы позволяет рекомендовать депофорез
медно-кальциевым гидроксидом для применения в случае неуспешного лечения
традиционными методами.
Ошибки и осложнения при эндодонтическом лечении
Ошибки и осложнения эндодонтического лечения можно распределить
на две группы: диагностические ошибки и ошибки в процессе лечения [КодуковаА. и
др., 1989].
Диагностические ошибки. Часто возникают при наличии лицевых
болей, которые нередко иррадируют в тот или иной зуб. Многие врачи встречают в
своей практике случаи невралгии II, 111 ветвей тройничного нерва при удаленных
зубах. При стомалгии (глоссалгии) нередко пациент указывает на
"причинный" зуб, требуя его лечения или удаления. В таких случаях
основным критерием необходимости удаления пульпы или зуба является тщательное
клиническое обследование с использованием одонтометрии. С другой стороны,
наличие невыявленного зуба с воспаленной пульпой (как правило - моляра, реже -
премоляра) диагностируется как невралгия II или Ш ветвей тройничного нерва.
Должно стать правилом, что в случае подозрения неврита, невралгии, стомалгии
необходимо полностью исключить возможность воспаления пульпы или периодонта.
Вторая группа диагностических ошибок связана с интерпретациен
рентгенограмм в области верхней челюсти, когда происходит наложение контуров
верхнечелюстной пазухи (рис. 9-1), резцового отверстия на верхушку корня.
Сохранение непрерывности периодонтальной щели на фоне верхнечелюстной пазухи
указывает на то, что данный зуб не является причиной деструктивных изменений костной
ткани. На нижней челюсти ментальное отверстие иногда принимается за
деструктивные изменения костной ткани. В таких случаях требуется тщательно
оценить рентгенограмму (рис. 9-2, 9-3). Наличие непрерывности периодонтальной
щели у верхушки корня "подозреваемого" зуба указывает на его
непричастность к очагу данного изменения. Однако решающими являются определение
состояния пульпы - "электроодонтодиагностика", а также попытка
препарирования зуба, особенно при наличии кариозной полости или пломбы, без анестезии.
Наличие болевых ощущений при препарировании указывает на нормальное состояние
пульпы.
Рис. 9-1. Сохранение непрерывности периодонтальной щели
второго моляра и первого премоляра на фоне верхнечелюстнои пазухи. Рентгенограмма.
Рис. 9-2. Ментальное отверстие проецируется на верхушку корня
первого премоляра. Рентгенограмма.
Рис. 9-3. Проекция ментального отверстия на верхушку второго
премоляра нижней челюсти. Коронка зуба без кариозного повреждения.
Непрерывность периодонтальной щели не нарушена. Рентгенограмма
Особый подход требуется в первые дни после травмы зуба. Если
произошел отлом коронки с обнажением пульпы или горизонтальный перелом корня на
любом уровне, то под анестезией производится удаление пульпы. Удаление пульпы
также необходимо в случае разрыва сосудистого пучка, что определяется по
изменению цвета коронки, она становится розовой. Если же уверенности в разрыве
сосудистого пучка нет, хотя имеются болевые ощущения и перкуссия болезненна, то
следует выждать 3-4 дня. Затем необходимо определить состояние пульпы. После
чего решают вопрос о её сохранении или удалении. Если чувствительность пульпы
отсутствует, то производится трепанация с удалением некротизированной пульпы и
последующим эндодонтическим лечением. Важно произвести удаление в ближайшие
после травмы дни, чтобы исключить возможность окрашивания дентина. Следует
помнить, что в случае горизонтального перелома зуб можно сохранить. Для этого
необходимо удалить пульпу из корневого канала на всем протяжении и подготовить
штифт для иммобилизации фрагментов корня. В настоящее время с этой целью
используется термафил с носителем из титана или нержавеющей стали.
Медикаментозная обработка корневых каналов производится препаратами гидрооксида
кальция. Мы использовали для этого биокалекс. Его жидкая консистенция
обеспечивает проникновение в промежуток между фрагментами (рис. 9-4).
Рис. 9-4. Горизонтальный поддесневой перелом на уровне шейки
зуба. Рентгенограмма:
а - в корневой канал на всю рабочую длину введен верификатор;
б - пломбирование корневого канала термофилом
Рис. 9-5. Перфорация дна полости нижнего моляра и введение
пломбировочного материала на глубину длины корня. Рентгенограмма
Вывих зуба может быть с незначительным смещением. В таких
случаях важно определить состояние пульпы и с учетом этого принимать решение.
При травме, сопровождающейся выпадением зуба (как правило, это резцы), зуб
трепанируется через коронку, пульпа удаляется, канал обрабатывается и
пломбируется по общепринятой методике. Затем под анестезией обрабатывается
лунка зуба, промывается антисептическими растворами, и в неё вводится зуб с
обтурированным каналом. Заключительным этапом является шинирование зуба, что
при наличии композитов не представляет трудности. Как правило, клиническое
течение проходит спокойно, и зуб нормально функционирует. Рентгенологический
контроль проводится через 3, 6, 12 мес. С другой стороны, как правило,
наблюдается неблагоприятный исход, когда вывихнутые зубы хорошо фиксировались в
лунке, но пульпа зуба не удалялась. Во всех наблюдаемых случаях имело место
воспаление с разрушением костной ткани и отторжением зубов. Ошибки в процессе
лечения.
. Перфорация стенок и дна полости зуба.
.1. Перфорация дна полости зуба в результате плохой
ориентации и обозрения. Чаше всего это наблюдается при недостаточном снятии
навесов над полостью зуба (рис. 9-5).
.2. Перфорация на уровне шейки зуба ( под- или наддесне-вая),
что также наблюдается при плохом обозрении, а также в результате препарирования
без учета положения зуба (рис. 9-6, 9-7).
Рис. 9-6. Пришеечная перфорация коронки моляра нижней челюсти в
результате препарирования без учета наклона зуба. Рентгенограмма.
Рис. 9-7. Перфорация медиального корня моляра нижней челюсти и
введение пломбировочного материала в нижнечелюстной канал
Препарирование проводилось без учета наклона зуба. Рентгенограмма.
Следует отметить, что диагностика перфорации не представляет
большого затруднения. Появление обильной кровоточивости в сочетании с большей
или меньшей болезненностью однозначно указывает на создание перфорации. В таком
случае необходимо произвести рентгенологический контроль. При этом желательно в
предполагаемое перфорационное отверстие ввести рентгеноконтрастный материал.
Наиболее подходящим материалом является гуттаперчевый штифт. В большинстве
случаев, врач не считает нужным информировать об этом пациента и сделать
соответствующую запись в истории болезни, что является также ошибкой.
. Перфорация корневого канала. Встречается, по некоторым данным,
до 9 % случаев всех ошибок. Причины этого могут заключаться в следующем.
.1. Недостаточное раскрытие полости зуба или попытка
препарирования корневого канала без обеспечения прямого доступа
эндодонтического инструмента в канал.
.2. Неправильный выбор эндодонтического инструментария. При
расширении искривленных каналов целесообразно использовать инструменты с тупой
верхушкой из никель-титанового сплава (профайлы), которые обладают большой
гибкостью (рис. 9-8).
Рис. 9-8. Перфорация медиального корня в результате использования
негибкого файла с активной (острой) верхушкой. Рентгенограмма.
. Отлом эндодонтического инструмента в канале корня (рис. 9-9).
Рис. 9-9. Отлом каналонаполнителя в корневом канале (а) (файлом
удалось обойти отлом инструмента) и отлом инструмента во втором премоляре (б).
Рентгенограммы
.1. Отсутствие прямого доступа к корневому каналу.
.2. Нарушение последовательности применения эндодонтического
инструментария.
.3. Отсутствие или недостаточный контроль за состоянием
эндодонтического инструментария. При первых признаках изменения структуры
витков (раскручивание или закручивание) инструмент подлежит замене.
.4. Приложение значительного усилия на инструмент во время ручной
или машинной обработки.
.5. Нарушение технологии пользования инструментом. Внедрение
инструмента на значительную глубину при вращении инструмента на несколько
оборотов часто приводит к заклиниванию, а затем и облому инструмента.
Инструмент должен вращаться не более, чем на 120-180 градусов.
.6. Попытка расширения корневого канала не эндодонтическим
наконечником. При вращении только по часовой стрелке происходит глубокое
внедрение в канал корня и, как следствие, отлом.
.7. Работа в сухом канале.
.8. Поспешность в работе.
4. Применение неадекватных методов лечения и обработки
корневых каналов. Как следует из первой главы, научная эндодонтия берет начало
в конце прошлого столетия, а, следовательно, с полным основанием можно говорить
о столетии её развития. Это немалый срок. За это время получен огромный
клинический опыт, который в сочетании с научными достижениями позволяет дать
оценку некоторым существующим методам. До сих пор нередко продолжают применять
методы, которые, мягко говоря, применять не следует. Вот некоторые из них.
.1. Резорцин-формалиновый метод, компоненты которого
(формальдегид + резорцин) оказывают раздражающее действие на ткани и, вызывая
сенсибилизацию, не обеспечивают гарантированного лечения (рис.9-10). но более
80 % врачей продолжают его применять.
Рис. 9-10. Деструктивные изменения в периодонте моляра после
проведения резорцин-формалинового метода. Рентгенограмма
.2. Пломбирование одной пустой не гарантирует надежность
обтурации корневого канала, но применяется большинством врачей.
.3. Пломбирование корневых каналов фосфат цементом также
значительно распространено.
.4. Медикаментозная обработка каналов, в большинстве случаев,
проводится не струёй раствора, а турундами. Так же турундами, а не бумажными
штифтами, производится высушивание корневых каналов. Применение указанных
методов заранее обусловливает осложнения в процессе лечения или в отдаленные
сроки.
. Некачественное пломбирование корневых каналов. Как
указывалось выше, даже при идеальном пломбировании корневого канала на 1,5-2 мм
не доходя до верхушечного отверстия, в 5-7 % случаев возникают осложнения. При
нарушении качества заполнения корневого канала, процент осложнений возрастает.
Если учесть наши данные, что доля качественного пломбирования корневых каналов
составляет только 18 % от всех леченых зубов (а у моляров только 3 %), то
становится очевидной необходимость выяснения факторов, которые обусловливают
данную ситуацию. Пломбирование корневого канала, не доходя более 2 мм до
верхушечного отверстия, может быть обусловлено следующим. 5.1. Не пройден корневой
канал. Анатомические особенности корневого канала, искривление, низкое
разветвление канала, отложение петрификатов, наличие дополнительных каналов -
могут обусловить их непроходимость. Однако в подавляющем большинстве случаев
это вызвано:
а) отсутствием доступа к устью корневого канала (рис. 9-11,
9-12);
б) пренебрежением информацией о наличии дополнительных над
корневых каналов;
Рис. 9-11. Сохраненная крыша полости зуба (навес) не
позволила пройти медиальные корневые каналы. Рентгенограмма.
Рис. 9-12. Навес дентинаполостью зуба затруднил доступ и
обработку медиальных каналов. Рентгенограмма
в) отсутствием полного набора эндодонтического
инструментария;
г) не владением методом инструментальной обработки корневых
каналов.
.2. Отсутствует контроль прохождения корневого канала - не
проводится определение рабочей длины корневого канала (рис. 9-13).
Рис. 9-13. Контроль прохождения корневого канала с учетом (а)
и без учета (б) рабочей длины корня, следствием чего является проникновение
инструмента в окружающие зуб ткани. Рентгенограммы
Эти факторы подверглись достаточно полному обсуждению по ходу
изложения материала. Однако анализ ошибок указывает на то, что в процессе
работы часто пренебрегают рядом положений. Доля случаев правильного раскрытия
полости моляров нижней челюсти не превышает 20-25 %, а верхней - 30-33 %. Это
значит, что при препарировании большинства моляров по собственной вине возникают
затруднения с поиском и прохождением канала. При анализе качества заполнения
628 моляров ( по данным анализа ортопантомограмм) ни в одном случае не
наблюдали пломбирование 4 каналов, в то время как у верхнего первого моляра, по
данным литературы, 4 канала встречаются не менее чем в 40 % случаев. Ряд
врачей, как это следует из анкетирования, не имеют полного комплекта
эндодонтических инструментов. В таком случае каналы не могут быть обработаны
так, как этого требует современная технология. Однако беда в том, что
большинство врачей и при наличии полного комплекта эндодонтического
инструментария каналы полностью не препарируют. Это обусловлено не владением
технологией препарирования корневого канала.
Одной из причин низкого качества заполнения корневого канала
является отсутствие контроля его прохождения. Рабочая длина зуба - это тот
критерий, который необходимо знать при препарировании зуба, его медикаментозной
обработке, подготовке центрального штифта и пломбировании.
.3. Применен метод пломбирования корневого канала одной
пастой, который не гарантирует полноценной обтурации корневого канала до
верхушечного отверстия, так как отсутствует методика контроля количества
вводимой пасты, и часто нарушается технология пользования каналонаполнителем.
Длительное удерживание его в канале приводит к выведению пасты за верхушечное
отверстие, а плотность заполнения канала может быть недостаточной. При
выведении каналонаполнителя при выключенной машине паста извлекается из
корневого канала (рис. 9-14, 9-15, 9-16).
Рис. 9-14. Выведение пасты в очаг деструкции костной ткани.
Рентгенограмма
Рис. 9-15. Выведение пасты в ткани периодонта при неполной
обтуpauuu канала. Рентгенограмма
Рис. 9-16. Заполнение нижне-челюстного канала на всю длину при
пломбировании корневого канала первого моляра нижней челюсти. Рентгенограмма
.4. Использован метод одного (центрального) штифта. При этом часто
не создается упор у верхушечного сужения, что приводит к частичному заполнению
корневого канала штифтом или выходу его за верхушечное отверстие (рис. 9-17).
Рис. 9-17. Гуттаперчивый штифт: а - доведен до упора у
апиакального сужения; б - продвинут за апиакальное сужение; в-не доведен до
апиакального сужения. Рентгенограммы
Выведение за верхушечное отверстие заполнителя при пломбировании
канала термафилом обусловлено неточным определением размера длины канала или
избыточным введением в канал заполнителя.
.5. Неправильно фиксирован штифт для реставрации в корневом канале
(рис. 9-18, 9-19, 9-20).
Рис. 9-18. Фиксация штифта в не пломбирован ном канале.
Рентгенограмма
Рис. 9-19. Введение штифта в перфорационное отверстие привело к
резорбции корня (а) и межкорневой перегородки (б). Рентгенограммы
Рис. 9-20. Продольный перелом (раскол) 24 и 38 при попытке
фиксации в канале штифта юниметрик путем ввинчивания вследствие приложения
избыточного усилия. Рентгенограмма
Повторное лечение корневых каналов - процедура сложная и не всегда
завершается успешно. Поэтому каждый случай требует индивидуального подхода и
строгой оценки возможности проведения.
Прежде чем приступить к повторному лечению, необходимо сделать
рентгенограмму, с помощью которой следует определить количество каналов, их
структуру, степень проходимости, состояние пародонта, локализацию перфорации
или расположение обломков инструмента.
Повторное лечение показано при:
неэффективности проведенного лечения, что клинически проявляется
при полной обтурации канала;
деструктивных изменениях в костной ткани прогрессируют;
обломе инструмента в канале или наличии перфорации;
неполной обтурации корневого канала и наличии деструктивных
изменений в костной ткани.
Список литературы
эндодонтия лечение зуб пломбирование
1.Барер
Г. М., Воложина С. А. Применение гидроксиапатит содержащей цинк-эвгеноловой
пасты для пломбирования каналов зубов при лечении периодонтита // Стоматология.
- 2006, № 5. С. 26 - 27.
.Баулин
М. В. Новая эндодонтическая система // Новое в стоматологии. - 2009, № 10. С.
24
.Воложин
А. И., Дьякова С. В., Топольский О. З. и др. Клиническая апробация препаратов
на основе гидроксиапатита в стоматологии // Новое в стоматологии. - 2009, №3.
С. 29 - 31
.Баровский
Е.В. «Практическая Эндодонтия»- 2005г.
.А.Ж.Петрикас
«Пульпэктомия» -2006г.
.Николаев
А.И. Цепов Л.М. «Практическая терапевтическая стоматология» - 2007г.