Лечение сердечных заболеваний у собак
Введение
Большую часть болезней сердца составляют
приобретенные патологии. Врожденные пороки сердца встречаются у собак крайне
редко и составляют 0,46-0,85 % от общей популяции. Наиболее часто выявляемой
приобретенной сердечной патологией является хроническая недостаточность
атриовентрикулярных клапанов, которая составляет 75 процентов из всех болезней
сердца. Болезни клапанов сердца регистрируются у 5-10 процентов собак, среди
болезней сердечно сосудистой системы примерно 10-15 процентов приходится на пороки
клапанов сердца. По данным Шведской страховой компании процент смертности
крупных собак составляет 7,2 процента. Процент не большой, но даже такое
значение подталкивает разрабатывать новые подходы, методы лечения, диагностики,
изобретать новые препараты.
Клапанные пороки сердца у собаки обычно
протекают хронически, проходят с дегенеративными изменениями, известными под
различными наименованиями, в том числе « эндокардиоз » и « миксоматозное
поражение митрального клапана». В результате многочисленных исследований было
доказано, что поражение клапана быстро прогрессирует и собака умирает за
короткий срок (18, 37, 16). Немецкие и кавказские овчарки вследствие ряда
факторов, таких как породная принадлежность, наследственность, условия
кормления и содержания, сильно подвержены сердечнососудистым заболеваниям.
Массовое распространение и использование этих двух пород послужило причиной
развития наследственных заболеваний: дисплазия тазобедренного и локтевого
суставов, проблемы с ЖКТ (желудочно-кишечным трактом), новообразования. К
несчастью, этот список начал пополняться заболеваниями кардиологического
характера. Данные породы высоко оценены как в служебном собаководстве, так и в
пользовательском.
В настоящий момент продуктивность лечения
зависит от возраста собаки, пола , породы , момента обследования в ветеринарной
клинике . Грамотно подобранное лечение в большинстве случаев оказывает
положительный эффект и продлевает жизнь собаки на некоторое время . Основными
целями данной работы было установление наилучшей схемы лечения для собак с
недостаточностью митрального клапана , а так же возможность достоверно
утверждать о улучшении состояния собак после принятия экспериментального курса.
Данная тема актуальна в области ветеринарной
кардиологии - регулярно проводятся конференции, съезды кардиологических
сообществ, тестируются препараты, изобретаются новые схемы лечения [19, 21, 23,
24].
Описание пород используемых в проводимом
исследовании
Немецкая овчарка.
Немецкие овчарки -
потомки северных волков. Первый зарегистрированный представитель этой породы -
собака Грайф, имевшая грязно-белый окрас. Именно Грайф был первым внесен в
родословную книгу овчарок, он был представлен на выставке в Ганновере в 1882
году.
Данная порода обязана своим существованием
клубу
любителей немецкой овчарки, основателем которого стал Макс фон Штефаниц.
Согласно правилам этого клуба, немецкой овчаркой могла считаться любая
пастушья
собака, которая, благодаря тренировкам, достигла совершенства в рамках своей
утилитарной функции. Так было по началу, но в последние сто лет требования к
немецким овчаркам значительно ужесточились. За это время немецкая овчарка стала
значительно сильнее, умнее и красивее.
Физические характеристики и
особенности
немецкой овчарки. Собаки породы немецкая овчарка имеют сильные ноги, благодаря
которым они способны преодолевать большие расстояния. Тело у них мускулистое,
довольно больших размеров. В холке немецкие овчарки достигают 60 - 65 см,
(кабели) и 55 - 60 см. (суки), а вес их тела соответственно 30 - 40 кг. или 22
- 32 кг. Шерсть у немецкой овчарки плотная и жестковатая. Имеются «штанишки» на
задних лапах. На хвосте, бедрах, спине и шее шерсть имеет заметно большую
длину, чем на животе. Так же существуют и длинношерстные
немецкие овчарки.
Недостатки: Любое отклонение от вышеизложенных
статей стандарта считается недостатком. Оценка серьезности недостатка
производится на основании степени отклонения от соответствующей статьи
стандарта.
Недостатки ушей: слишком низко посаженные уши,
развешенные в стороны уши, висячие уши, уши, заваленные вовнутрь, не крепкие
уши.
Недостатки зубов: все отклонения от
ножницеобразного прикуса или зубной формулы, если речь не идет о дефектах,
являющихся основаниями для дисквалификации [31].
Пороки: любое отклонение от выше описанных
признаков породы, отрицательно влияющее на ее служебные качества. Существенный
недостаток пигмента. Существенная нехватка общей крепости (прочности).
Характер и поведение
немецкой овчарки. Немецкая овчарка может
быть как простым членом семьи, так и собакой-компаньоном, охранной, защитной,
сыскной, служебной и караульной собакой. Это собака с уравновешенным
характером, она имеет великолепные способности к дрессировке.
Немецкие
овчарки
очень
подвижны, в связи с этим им необходимо гулять по 2 - 3 раза в день.
Дрессировка немецкой овчарки. Немецкая овчарка
входит
в тройку собак, наиболее поддающихся дрессировке. Собаки данной породы
выполняют 80 процентов команд с первого раза [7]. Начинать
дрессировку
овчарки
надо
в 2 - 3 месяца.
Кавказская овчарка.
Предназначение : сторожевая собака.
Классификация FCI: 2 группа Стандарт
FCI 328 Классификация FCI: Группа 2 Пинчеры и
шнауцеры, молоссы, швейцарские горные скотогонные собаки. Кавказская овчарка
одна из самых давних и классических пород собак, которая известна более трех тысяч
лет. Важными и основными районами распространения кавказских овчарок являются
территории Кавказа и Астрахани. Кроме того, очень распространены такие породы
собак в государствах Грузии, Азербайджане, Армении. Кавказцы выше обычного
среднего роста. Рост данных собак примерно шестьдесят два сантиметра у сук и
шестьдесят пять сантиметров у кобелей.
Шерсть у кавказцев очень густая, за
счет чего эти собаки хорошо переносят морозные зимы. Согласно длине шерсти,
кавказских овчарок делят на короткошерстных, промежуточных и длинношерстных
собак. Короткошерстные кавказцы наименее распространены во всем мире и в
России, длинношерстных собак данной породы намного больше. Что касается окрасок
кавказской овчарки, то они очень разнообразны, среди них отмечаются бурые, тигровые,
серые и иные различные темные оттенки. Но, необходимо знать, что в данной
породе не допускается черный и коричневый цвет [9].
С самого раннего возраста уши собак
этой породы подлежат купированию, так как это было связано с изначальным родом
деятельности и призванием собак. Данная порода выводилась для того, чтобы
овчарки защищали стада овец от нападения таких страшных хищников, как волки.
Соответственно, в ближнем бою с хищником собака бережет свои уши, так как уши
являются самой болезненной для укусов частью тела собак. Именно поэтому уши
подвергались процедуре купирования. Следует отметить, что в прошлом мало кто
занимался разведением собак рассматриваемой породы, именно поэтому кавказцы
скрещивались с другими породами служебных собак. Поступь настоящей кавказской
овчарки неторопливая и мягкая, что создает довольно обманчивое впечатление.
Характерным для данной породы аллюром является рысь, которая переходит с
ускорением в бодрый галоп.
Кавказская овчарка имеет очень
непростой характер. Не доверяет посторонним и незнакомым людям. Кавказская
овчарка смела и настойчива, решительна, но иногда и имеет злобный характер. По
общему правилу, кавказская овчарка неприхотлива, а также самостоятельна. Бывает
упряма и бесстрашна. Кавказская овчарка является прекрасным охранником и
сторожем дома. Неприхотливость данной породы заключается в том, что она легко
приспосабливается к суровым условиям, не требует особых условий для содержания
и кормления. Как упоминалось, собаки данной породы решительны, могут быть и злобны.
Но за такой, казалось бы, суровой внешностью, скрывается удивительно тонкая и
ранимая душа. Эти собаки никогда не выпрашивают ласку у хозяина, ходя за ним по
пятам, преданно глядя в глаза. Но стоит ее погладить и приласкать самому
хозяину, как суровый и бесстрашный пес сразу завиляет перед вами хвостом. Они
хорошо понимают свою силу и никогда не обижают слабых, таким образом, редко
обижают маленьких собачек. Несмотря на столь властный характер, легко уживаются
с домашними животными, но будут требовать подчинения себе. Кроме этого, могут
легко уважать сильных собратьев и быть снисходительнее к капризным мелким
собратьям.
Данную породу нужно дрессировать,
проводя с ней курсы специальной караульной службы. Представители данной породы
прекрасно поддаются дрессировке, запоминают навыки надолго, но тренировать
собаку необходимо только владельцу, так как только ему собака будет
подчиняться. Чужаков кавказцы не любят и им подчиняться не будут.
Существует мнение, что далекими
предками кавказской овчарки являются волки. Данное мнение имеет право на
существование, ведь именно от своих предков кавказцы унаследовали
независимость, упорность, храбрость и злобность. С другой стороны, становится
вполне очевидным тот факт, что непосредственным предком кавказской овчарки
является порода тибетского дога, который был впервые описан в 1845 году Юаттом.
Многие кинологи и заводчики не согласны с этой версией, но нельзя не заметить
сходства, которое определяется между тибетским догом и кавказской овчаркой
[31].
Основы строения и работы сердца
Расположение сердца. Продольная ось
сердца у собаки образует с грудиной открытый краниально угол в 40°, у кошки -
угол в 25 - 30°, причем верхушка сердца направлена в сторону диафрагмы.
Основание сердца у собаки ориентировано кранио-дорсально и лежит примерно на
уровне IV ребра. Правый желудочковый край проходит вдоль грудины, от которой
отстоит на небольшое расстояние, левый (“каудальный”) желудочковый край следует
краниальной кромке VII ребра. Оба края встречаются на верхушке сердца, которая
обращена слегка влево и достигает примерно VII реберного хряща. Таким образом,
сердце расположено на 4/7 слева и на 3/7 справа от срединной линии и занимает в
этой плоскости пространство III -VI межреберных промежутков, а во фронтальной
плоскости пространство между грудиной и серединой полости грудной клетки.
Вплотную к грудной стенке сердце прилежит только своей левой поверхностью в
области сердечной вырезки левого легкого.
Топография боковой грудной стенки
имеет значение при таких способах клинического обследования сердца, как
пальпация, перкуссия, аускультация, и при рентгенографии. Грудная клетка в
краниальной своей части закрыта лопаткой и частью плечевой кости, а также
связанными с ними мышцами. Линия трехглавой мышцы, lineamusculi tricipitis, образована
каудальной границей трехглавой мышцы плеча и тянется от торакального угла
лопатки к локтевому бугру [7/10/14/15].
Рис 1. Топография сердца .
Перикард. Перикард или
околосердечная сумка, pericardium, образует полость, в которой расположены
сердце и начальные участки либо места впадения аорты, легочного ствола, полых и
легочных вен. Форма перикарда соответствует форме сердца, а ширина -
функциональным колебаниям объема сердца. При жизни и даже после смерти перикард
плотно прилегает к сердцу, хотя и отделяется от него тонким слоем серозной
жидкости. Только после перфорации перикард можно отделить от сердца благодаря
попаданию воздуха в перикардиальную полость.
Перикард состоит из трех слоев:
перикардиальной плевры, фиброзного перикарда, и париетального листка, серозного
перикарда.
Перикардиальная плевра связана
рыхлой соединительной тканью, которая может содержать и жировую ткань с
фиброзным слоем перикарда. Фиброзный перикард состоит из нескольких слоев
коллагеновых волокон с различной ориентацией. Волокна содержат эластические
компоненты и образуют косую решетку, что позволяет перикарду следовать
изменениям объема сердца. Благодаря этому слою предотвращается перерастяжение
сердечной мышцы
Рис.2 Околосердечная сумка.
-аорта, 1* - ствол легочных артерий,
2- миокард предсердий, 3 - эпикард , 4 - париетальный листок предсердий, 5 -
фиброзный листок перикарда, 6 - перикардиальная плевра, 7 - миокард желудочков,
8 - реберная плевра , 9 внутригрудная фасция, 10- грудная стенка, 11- полая
вена, 12 - переход париетального листка перикарда в эпикард.
Сердце. В сердце различают правую
венозную и левую артериальную части. Они состоят соответственно из правого и
левого предсердий, и правого и левого желудочков. Оба предсердия куполообразно
выступают над основанием сердца, и охватывают двумя слепыми выпячиваниями
ушками предсердий - начало аорты и легочного ствола. В правое предсердие через
обе полых вены, каудальную и краниальную, и через правую непарную вену
поступает венозная кровь из организма, а через устье большой сердечной вены, -
собственная венозная кровь сердца (Рис. 4). Левое предсердие через легочные
вены получает артериальную кровь из легких. Оба желудочка, из которых от левого
отходит аорта, а от правого легочный ствол, вместе образуют скругленный, слегка
уплощенный с обеих сторон конус [7/10/12].
На сердце различают ушковую
поверхность и предсердную поверхность, выпуклый правый желудочковый край и
слегка втянутый левый желудочковый край. Снаружи границу между предсердиями и
желудочками отмечает венечная борозда (венечный желоб), которая прерывается
легочным стволом. Плоскость, обозначенная венечным желобом, соответствует
основанию сердца, так как примерно на этом же уровне располагается клапан.
Строение стенки сердца. Стенка
сердца состоит из трех слоев: эпикарда, миокарда и эндокарда (рис3).
Рис. 3 Волокна миокарда. Рис.4 общая
система строения сердца .
Эпикард соответствует висцеральной
пластинке серозного перикарда. Он покрывает поверхность сердца гладкой
блестящей прозрачной оболочкой. Наружный слой эпикарда состоит из мезотелия,
клетки которого в зависимости от степени растяжения сердца имеют плоскую или
кубическую форму. Под ними находится собственная пластинка, в которой пучки
коллагеновых волокон расположены так, чтобы следовать изменениям формы сердца.
Далее следует субэпикардиальный слой из коллагеновых и эластических волокон,
связанный с соединительнотканным остовом сердечной мускулатуры. В этом слое
проходят крупные сосуды и нервы. В венечной борозде и в близких к основанию
сердца участках межжелудочковых борозд имеются отложения жировой ткани,
количество которых зависит от возраста и упитанности животного.
Красного цвета мышечный слой,
миокард, состоит из покрытых мембраной продольных мышечных клеток особого
строения с расположенным в центре ядром. Отдельные клетки связаны друг с другом
посредством отходящих под острым углами отростков и образуют своеобразную сеть.
Линии слипания, или вставочные пластинки, объединяют мышечные клетки в более
протяженные системы волокон, покрытых сарколеммой. Те, в свою очередь, образуют
пучки, объединенные в объемную сетку, ячейки которой заполнены нежной
соединительной тканью - эндомизием. Эта внутренняя соединительная ткань
миокарда в некоторых местах продолжается в коллагеновые волокна сухожилий
сосковых мышц, связывает мышечные волокна сосковых мышц с сухожильными струнами
створчатых клапанов. Количество кровеносных капилляров в миокарде примерно соответствует
количеству мышечных волокон [13, 14].
Эндокард представляет собой мембрану
из соединительнотканных и эластических волокон и слоя эндотелия, выстилающую
внутренние полости сердца и клапаны. Эндокард подвижно соединяется с основой,
что позволяет ему приспосабливаться к изменениям растяжения стенок в ходе
сердечной деятельности [14, 15, 1].
Скелет сердца. Под этим названием
понимаются структуры и элементы сердца, состоящие частично из соединительной,
частично из хрящевой ткани. Они встречаются на границе между сердцем и аортой и
легочным стволом, а также между мышцами предсердий и желудочков. Эти элементы
играют важную роль в нормальной работе сердца. К ним относятся фиброзные кольца
и собственно скелет сердца [7].
Артериальные фиброзные кольца
представляют собой упругие соединительнотканные образования, встроенные между
аортой и легочным стволом с одной стороны и обоими отверстиями желудочков с
другой стороны. Каждое кольцо состоит из трех дуг, ориентированных выпуклыми
сторонами в направлении верхушки сердца и связанных друг с другом ножками. Эти
дуги не совпадают с прикреплением трехчастных полулунных клапанов. Полукруглые
линии прикрепления клапанов пересекают дуги фиброзных колец, выходят за границы
сосудов и тянутся к мускулатуре желудочков, способствуя, таким образом
закреплению сосудов в стенках желудочков. Другим стабилизирующим элементом,
также связывающим стенки сосудов с мышцами желудочков, является выделяемый в
фиброзном кольце утолщенный промежуточный сухожильный тяж. Последний, так же
как и фиброзное кольцо, в области конуса аорты развит сильнее, чем в области
конуса легочного ствола, ввиду большей механической нагрузки аорты (Рис. 5).
Рис 5. MV -митральный клапан , TV-
трехстворчатый клапан ,PV- легочной клапан , LC, LAD, Cx и RC - коронарные
артерии.
С пространственной точки зрения
фиброзное кольцо представляет собой сужающееся в направлении желудочка кольцо,
которое, проходя наискось вниз и вовнутрь, проникает между стенкой сосуда и
мускулатурой желудочка. Расположенные рядом отверстия аорты и легочного ствола
соединены перекрещивающимися и переходящими друг в друга волокнами, образующими
восьмерку. Эти особые структуры, закрепляющие артерии в их мышечных отверстиях,
можно обозначить как перекрест фиброзных артериальных колец [4, 10, 14].
Предсердно-желудочковые фиброзные
кольца окружают предсердно-желудочковые отверстия. Они состоят из
соединительной ткани, образующей сетку; далее эта ткань переходит в
интерстициальную соединительную ткань мускулатуры предсердий и желудочков. Она
не контактирует непосредственно с мышечными волокнами. Оба
предсердно-желудочковых кольца не контактируют друг с другом. Проходя наискось,
они разделяют с каждой стороны мышечную складку края предсердия и мускулатуру
желудочка, что позволяет без помех координировать деятельность всех отделов
сердца.
Скелет сердца в узком значении у
плотоядных состоит из плотной соединительной ткани и из хрящевой ткани. Он
расположен в центре клапанного уровня сердца, в области отверстия аорты; предотвращает
деформацию отверстия аорты и одновременно является местом прикрепления большого
количества мышц желудочка.
Скелет сердца у собаки состоит из
правого хрящевого треугольника, с сухожильными ножками, и хряща перегородки
сердца. Соединительнотканные тяжи закрепляют его в окружающих тканях и
одновременно являются местом прикрепления субсинуозной части мышц перегородки.
С правым хрящевым треугольником
связан хрящ перегородки сердца, Это небольшой треугольной формы хрящ,
расположенный в междужелудочковой перегородке между местом прикрепления аорты и
стенкой правого желудочка. Функция скелета сердца у всех животных в принципе
заключается в том, чтобы во время систолического сокращения желудочков
обеспечивать оптимальное расположение отверстия аорты относительно полости
левого желудочка. Однако различия в строении конуса, в положении отверстия
аорты приводят к развитию специфических особенностей этих структур у разных
видов домашних животных.
Архитектоника сердечной мускулатуры.
Очень тонкая мышечная стенка предсердий в своей субэпикардиальной части
образована продольными пучками волокон, частично длинными, тянущимися через оба
предсердия, частично короткими, проходящими только в одном предсердии. Более
глубокие пучки, идущие от фиброзных колец, расположены дугообразно или
циркулярно вокруг сердечных ушек и мест впадения легочных вен.
Другие, субэндокардиальные пучки
образуют гребешковые мышцы сердечных ушек.
В мускулатуре обоих желудочков можно
выделить наружный, средний и внутренний слои, которые различаются направлением
прохождения волокон.
Наружный слой является общим для
обоих желудочков. Средний и внутренний слои уже разделяются для каждого из
желудочков.
Межжелудочковая перегородка,
образуется волокнами стенок обоих желудочков. Волокна могут проходить
вертикально, горизонтально и косо.
Конструктивный принцип сердца такой
же, как и в любой другой полой мышце. Связанное с выталкиванием крови из
желудочков понижение клапанного уровня приводит к новому насасыванию крови из
предсердий. Этой деятельности и соответствует особое расположение волокон.
Начинающиеся на скелете сердца
мышечные волокна наружного слоя проходят косо к верхушке сердца, где образуют
завиток, и изгибаясь под острым углом, переходят во внутренний (глубокий) слой
левого желудочка. Они проходят по его внешней стенке и его части
межжелудочковой перегородки и возвращаются к клапанному уровню. Таким образом,
возникают две петли, переходящие одна в другую так, что в завитке сердца можно
различать передний и задний рога. От волокон внутреннего слоя отходят пучки к
сосочковым мышцам в боковой стенке левого предсердия.
Средний слой стенки правого
желудочка образуется глубокой частью наружного слоя стенки левого желудочка.
Внутренний слой начинается на скелете сердца, проходит по межжелудочковой перегородке,
а затем переходит там на стенку правого желудочка и у собаки образует очень
развитые трабекулы.
Циркулярная мускулатура
артериального конуса образована проходящими перпендикулярно к оси конуса
волокнами наружного и среднего слоев стенки правого желудочка, которые в
паракональной межжелудочковой борозде переходят в перегородку и там в виде
вертикальных пучков располагаются также перпендикулярно к оси конуса. В
совокупности эти волокна образуют мышечное кольцо вокруг артериального конуса.
Левое и правое предсердие
предсердия. Левое и правое предсердия разделены почти не содержащей мышечные
волокна межпредсердной перегородкой. Оба предсердия, из которых правое более
объемное, расположены над венечной бороздой, и соответствующими желудочками, с
которыми они связаны атриовентрикулярными отверстиями. В обоих предсердиях
имеется по слепому выпячиванию - сердечному ушку, которые охватывают аорту и
легочный ствол.
Правое предсердие. В правом
предсердии имеется плоская в большинстве случаев пограничная борозда и
соответствующий ей внутренний мышечный пограничный гребень образуют границу
между эмбриональным синусом полых вен, и собственно предсердием. В синус
открываются полые вены: задняя через отверстие задней полой вены, снабженное
одним клапаном и передняя через отверстие передней полой вены. Кроме того, в
правое предсердие впадает венечный синус, который открывается под отверстием
задней полой вены. По нему кровь из собственных вен сердца поступает в синус
полых вен. На своде синуса полых вен между обоими их отверстиями находится
межвенозный бугорок, который направляет ток крови из обеих полых вен к
атриовентрикулярному отверстию и снижает таким образом турбулентность кровяных
потоков.
На межпредсердной перегородке между
отверстием задней полой вены и межвенозным бугорком видна овальная ямка,
представляющая собой остаток овального отверстия в сердце эмбриона. Другим
рудиментом очень важного в период эмбрионального развития артериального
протока, соединявшего легочный ствол и аорту, является артериальная (боталлова)
связка. Закрытие овального отверстия и облитерация артериального протока
происходят в первые дни жизни.
На пограничном гребне начинаются
гребешковые (гребенчатые) мышцы. Они входят в состав стенки предсердия и ушка,
образуя сеть, частично крупноячеистую, частично мелкоячеистую. В местах, где
мускулатура полностью отсутствует, стенка предсердия состоит только из
эндокарда и эпикарда.
Левое предсердие по объему меньше
правого. Его ушко, край которого у плотоядных гладкий (как и на правой
стороне), граничит с легочным стволом. В левое предсердие поступает
артериальная кровь из легочных вен через отверстия легочных вен,. Количество
легочных вен колеблется от 5 до 8, две из них заметно выделяются своим большим
диаметром отверстия, Внутренний рельеф левого предсердия практически такой же,
как и в правом предсердии.
Желудочки сердца. Правый желудочек
сердца, получает кровь через правое атриовентрикулярное отверстие, из правого
предсердия и через артериальный конус, и легочный ствол, направляет ее в легкие.
Стенка правого желудочка ввиду умеренной нагрузки почти вполовину тоньше, чем
стенка левого желудочка Она тянется от субсинуозной межжелудочковой борозды, до
паракональной межжелудочковой борозды, но верхушки сердца не достигает. Просвет
правого желудочка, в особенности в состоянии сокращения, имеет серповидную
форму и кажется больше, чем просвет левого желудочка. В полости правого
желудочка можно различить две функционально различных части. Собственно полость
желудочка начинается от атриовентрикулярного отверстия и тянется в направлении
верхушки сердца, сюда кровь вливается. Вторая часть начинается от верхушки
сердца и тянется в направлении воронкообразного артериального конуса и
легочного ствола, в этой части кровь изгоняется из желудочка В области поступления
крови на стенке желудочка имеются мясистые перекладины, которых нет в области
изгнания крови, особенно вокруг артериального конуса и перегородковой створки
правого атриовентрикулярного клапана . Помимо мясистых трабекул в правом
желудочке встречаются круглые тяжи - поперечные мышцы, соединяющие перегородку
со стенкой [7, 10].
Электрофизиология сердца.
Морфофункциональная характеристика кардиомиоцитов. В составе сердечной мышечной
ткани выделяют несколько морфофункциональных разновидностей кардиомиоцитов:
)Сократительные (типичные, рабочие)
кардиомиоциты составляют 99 процентов массы миокарда. Они обеспечивают
сократительную функцию сердца и содержат большое количество упорядоченных
миофибрилл и митохондрий, имеют развитый саркоплазматический ретикулум и
систему Т-трубочек;
)Проводящие (атипичные,
специализированные) кардиомиоциты имеют слабо развитый сократительный аппарат и
формируют проводящую систему сердца. Среди этого вида кардиомиоцитов различают
Р-клетки и клетки Пуркинье: Округлые Р-клетки (от англ, pale - бледный) со
светлой цитоплазмой, почти лишенной сократительных элементов, обладают
способностью периодически генерировать электрические импульсы, обеспечивая (в
норме) автоматию сердечной мышцы.
Клетки Пуркинье имеют протяженную
форму с большим диаметром и образуют волокна, осуществляя быстрое,
незатухающее, своевременное и синхронное проведение возбуждения к
сократительным кардиомиоцитам. Автоматия у клеток Пуркинье есть, но выражена в
меньшей степени, чем у Р-клеток. Переходные кардиомиоциты или Т-клетки (от
англ. transitional - переходный) располагаются между проводящими и
сократительными кардиомиоцитами и имеют промежуточные цитологические
характеристики. Эти клетки обеспечивают взаимодействие остальных типов
кардиомиоцитов.
Секреторные кардиомиоциты
располагаются, преимущественно, в предсердиях и выполняют эндокринную функцию.
В частности, эти клетки секретируют во внутреннюю среду предсердный
натрийуретический пептид - гормон, принимающий участие в регуляции
водно-электролитного баланса и артериального давления. Морфологически сердечная
мышечная ткань, в отличие от скелетной, не имеет симпластического строения,
однако отдельные кардиомиоциты и структурно, и функционально тесно связаны друг
с другом посредством вставочных дисков, особенно хорошо выраженных между
сократительными кардиомиоцитами. Механическую связь обеспечивают находящиеся в
области вставочного диска десмосомы и интердигитации, а функциональное
взаимодействие - щелевые контакты (gap junctions) или нексусы.
При повреждающих воздействиях
(гипотермия, некоторые яды и др.) проницаемость каналов в области щелевых
контактов резко снижается, что приводит к нарушениям проведения возбуждения в
миокарде.
Таблица 1. Основные типы
кардиомиоцитов и их свойства.
|
Продолжительность
рефрактерного периода
|
Примерно
равна длительности ПД
|
Превышает
длительность ПД на 100 мс и более
|
|
Фазы
потенциала действия
|
|
Фаза
0 -быстрая деполяризация
|
Na+ быстро входит Ca2+ медлено
входит (овершут) K+ медленно выходит
|
Ca2+ входит
|
|
Фаза
1 начальная быстрая реполяризация
|
Na+ прекращает входить Ca2+
медленно входит K+ выходит быстрее
|
Ca2+ вход замедляется K+ выходит
|
|
Фаза
2 - плато
|
Ca2+ входит K+ выходит, равновесие
|
|
|
Фаза
3 -конечная быстрая реполяризация
|
Ca2+ прекращает входить K+
продолжает выходить
|
|
Фаза
4
|
Покой
или МДД
|
МДД
|
Вставочные диски, расположенные на торцах
клеток, соединяют кардиомиоциты «конец в конец», что приводит к образованию
мышечных волокон, которые также связаны друг с другом посредством вставочных
дисков. Таким образом, кардиомиоциты объединены в непрерывную электрическую
сеть - функциональный синцитий. Вследствие такого строения миокарда
возбуждение, возникшее в любой точке сердца, охватывает его целиком
Возбудимость, проводимость и автоматия миокарда
обеспечивается электрохимическими процессами, происходящими на сарколемме
кардиомиоцитов. Мембранный потенциал и его изменение обеспечиваются током ионов
через ионные каналы. Градиенты ионных концентраций невозбужденной клетки
показаны в таблице 2.
Таблица 2. Ионный градиент потенциала покоя.
|
Снаружи
клетки
|
Сарколемма
|
Внутри клетки
|
|
20 Na+
|
|
Na+
|
|
K+
|
|
30 K+
|
|
Ca2+
|
|
25 Ca2+
|
|
13 Cl-
|
|
Cl-
|
Потенциал действия в кардиомиоцитах формируется
так же, как в других клетках возбудимых тканей, однако, имеются определенные
отличия: Клетки с «быстрым ответом». К этому типу относятся все сократительные
кардиомиоциты, проводящие кардиомиоциты предсердий и волокна Пуркинье. Кроме
высокой скорости деполяризации, указанные клетки характеризуются большой
амплитудой ПД, а также высокой скоростью и надежностью проведения возбуждения.
МДП в этих кардиомиоцитах составляет около -90 мВ, а процесс формирования
потенциала действия складывается из пяти фаз.
Экспериментальная часть.
Цели и задачи исследования.
Целью дипломной работы являлось изучение влияния
определенных видов лечения на пороки клапанов сердца, а именно недостаточности
митрального клапана у служебно-сторожевых пород собак. В опыте использовались
собаки породы немецкая и кавказская овчарка.
Для достижения целей исследования были
поставлены следующие задачи :
Проанализировать изменение состояния животных
при лечении по разным схемам,
найти оптимальный метод для выздоровления
животного или стабилизации его состояния,
проанализировать экономическую выгоду всех трех
типов лечения .
Научная новизна исследования
В данной работе в качестве материала для
исследования были подобраны служебные и сторожевые собаки в оптимально
однородные группы. Опыт проводился с использованием различных методик лечения,
включая новейшие схемы с использованием заграничного препарата «Ветмидин».
Контроль опыта производился на всем его протяжении, как вожатыми
служебно-сторожевых собак, так и обычными владельцами. Результаты исследования
были согласованы и подтверждены ветеринарными врачами - кардиологами что дает
основание полагать об объективности выводов.
Табл.3 Схема опыта.
|
Группы
животных
|
1нем.овч
|
2нем.овч.
|
3нем.овч.
|
4кавк.овч.
|
5кавк.овч.
|
6
кавк.овч
|
|
Результаты
на начало исследования
|
(схема n1)
|
(схема n2)
|
(схема n3
|
(схема n1)
|
(схема n2)
|
(схема n3
|
|
На
14 день
|
(схема n1)
|
схема
n2)
|
(схема n3
|
(схема n1)
|
(схема n2)
|
(схема n3
|
|
На
28 день
|
(схема n1)
|
схема
n2)
|
(схема n3
|
(схема n1)
|
(схема n2)
|
(схема n3
|
|
Выводы
|
|
|
|
|
|
|
Табл.4 Схема лечения животных.
|
Схема
лечения n1
|
СКК
2мл (2 раза в день) , Дигоксин 4 таблетки по 0.00075мг (2 раза в день , Предуктал
( 1табл в день )
|
|
Схема
лечения n2
|
(
ИАПФ) Дигоксин 4 табл.(2р/день ) , Эналоприл(0.0025мг на кг )2/день ,
Предуктал (1 табл. В день ) , Фуросемид 3мг / кг )
|
|
Схема
лечения n3
|
(ИАПФ)Дигоксин4табл.(2/день)
, Эналоприл , Предуктал1табл (1 /день , Фуросемид + Ветмидин ½ капсулы 2
раза в день
|
Материал и методика исследования
Исследование проводилось в 3х разных
ветеринарных клиниках, (« Вита» г. Дедовск МО , « Биоритм » г. Нахабино МО ,
«Станция по борьбе с болезнями животных » г. Истра Московская область) в каждой
из которых были назначены разные схемы лечения недостаточности митрального
клапана на фоне эндокардиоза. Использовалось 3 схемы:
) включающая поддерживающие препараты;
) лечение системой ингибиторов ангиотензин
превращающих ферментов;
) методика включающая ИАПФ + использование
Ветмидина.
Для эксперимента было отобрано 30 животных,
страдающих эндокардиозом митрального клапана ( 15 немецких овчарок, 15
кавказских овчарок). По каждой породе было сформировано 3 группы по 5 животных
в каждой. Для каждой группы была предложена своя схема лечения. Все животные во
время опыта находились в питомнике « Light
house» и содержались в
одинаковых условиях .
Для проведения исследования был задан срок в 28
дней, составлены 3 схемы лечения 6 групп собак (собаки возрастом 5-8 лет,
примерно содержавшиеся в одинаковых условиях, проходивших Общий Курс
Дрессировки (ОКД), и постоянные периодические тренировки на площадке). Все
собаки были распределены внутри своих породных групп случайным образом. В
испытании участвовали 15 кобелей и 15 сук.
Табл.5: схема опыта.
|
Номер
группы
|
Количество
животных
|
Длит.исследования
|
Схемы
лечения
|
|
N1(Нем.овчарки )
|
5
|
28дней
|
N1
|
|
N2(Нем.овчарки)
|
5
|
28дней
|
N2
|
|
N3(Нем.овчарки)
|
5
|
28дней
|
N3
|
|
N4(кав. овчарки )
|
5
|
28дней
|
N1
|
|
N5 (кав Овчарки )
|
5
|
28дней
|
N2
|
|
N6 (кав. Овчарки)
|
5
|
28дней
|
N3
|
Данные были получены в ходе сбора анамнеза
,диагностики а так же прохождения полосы препятствий - элемента обязательного
для тренировки собаки как для служебных, так и для охранных целей ( основываясь
на изначальных данных прохождения и нормативах в конце опыта стало возможным
наглядно убедиться в улучшении состоянии и повышении работоспособности
подопытных ).
С момента назначения определенной схемы каждые 2
недели в течение 6 недель происходил промежуточный осмотр: ЭКГ, Эхо КГ,
аускультация, тест на подъем по лестнице, испытание собак на полосе препятствий
.
Схемы лечения, используемые в опыте.
Схема лечения N1:
) СКК - сульфокамфокаин (кислота сульфокамфорная
- 49,6 мг, основание новокаина - 50,4 мг )тРаствор сульфокамфокаина 10%
содержит в 1 мл 0,1 г активного вещества.
Фармакологические свойства. Стимулирует
дыхательный и сосудодвигательный центры продолговатого мозга. Оказывает прямое
действие на миокард, усиливая в нем обменные процессы, улучшая функции и
повышая
его
чувствительность
к симпатической импульсации .
Повышает тонус периферических кровеносных
сосудов.
Улучшает лёгочную вентиляцию, легочный кровоток. Выделяясь из организма через
бронхиальные железы, увеличивает их секрецию. Облегчает отделение мокроты.
Показания к применению: Кардиогенный и
анафилактический шок. Острая и хроническая дыхательная и сердечная
недостаточность, угнетение дыхания при пневмонии и других инфекционных
заболеваниях.
Способ применения и дозы: Сульфокамфокаин
применяют подкожно, внутримышечно . В острых случаях препарат вводят
внутривенно по 2 мл 2-3 раза в день. При хронической дыхательной и сердечной
недостаточности вводится внутримышечно или подкожно по 2 мл 2-3 раза в день.
Курс лечения составляет 20-30 дней.
) Дигоксин - сердечный гликозид, содержащийся в
листьях
наперстянки
шерстистой (Digitalis
lanata Ehrh.).
Выпускают: таблетки по 0,00025
г (0,25 мг), по 30 таблеток в упаковке; 0,025% раствор в ампулах по 1 мл и 2 мл
(по 0,00025 г и 0,00050 г в ампуле соответственно) использовался в дозе
Лечебные свойства -
Кардиотоническое средство.
Дигоксин оказывает выраженное
действие на систолу и диастолу увеличивая силу сердечных сокращений и замедляя
сердечный ритм, снижает предсердно-желудочковую проводимость, оказывает умеренное
мочегонное действие.
Препарат хорошо всасывается при
сублингвальном и пероральном введении.
Показания к применению.
Декомпенсированные клапанные пороки сердца, сердечная декомпенсация на почве
гипертонической болезни, миокардит и другие поражения сердечной мышцы,
хроническая сердечная недостаточность, недостаточность кровообращения I-III
стадии (для восстановления нормального кровообращения и сохранения
компенсированного состояния), наджелудочковые аритмии (пароксизмальная
тахикардия и постоянная форма мерцательной аритмии, трепетание предсердий).
Правила применения: Дигоксин принимают внутрь в таблетках: в 1-й день в суточной дозе по
0,001-0,00125 г (1,0-1,25 мг, 4-5 таблеток), на 2-й день в той же дозе или её
уменьшают до 0,00075 г (0,75 мг, 3 таблетки), на 3-й день - 0,00075 г в сутки.
В дальнейшем, по получении
клинического эффекта, дозирование Дигоксина устанавливают соответственно
клиническим (пульс, дыхание, диурез) и ЭКГ-данным. По достижении необходимого
эффекта переходят на поддерживающие дозы (0,000125-0,0005 г (то есть 1/2-2
таблетки).
) Предуктал - Триметазидин
способствует стабилизации энергетического метаболизма в клетках при наличии
ишемии или гипоксии за счет предотвращения снижения уровня аденозинтрифосфата
внутри клеток. Благодаря этому наблюдается нормализация работы ионных помп и
натрий - калиевого трансмембранного потока при сохранении гомеостаза клеток.
Показания к применению: Кардиологическая
практика. Профилактика и лечение стенокардии в сочетании с другими препаратами
или в виде монотерапии в течение длительного времени.
Схема Лечения N2.
ИАПФ- Ингибиторы ангиотензин превращающих
ферментов. Появление в клинической практике ингибиторов
ангиотензин-превращающего фермента (АПФ) ознаменовало настоящий прорыв в
лечении больных с сердечно-сосудистой патологией. В 1975 г. был синтезирован
первый пероральный ингибитор АПФ каптоприл, а в 1980 г. целенаправленный поиск
молекулы со свойством более длительного блокирования АПФ и лучшими, чем у
каптоприла, параметрами безопасности увенчался открытием эналаприла. Новый
препарат быстро завоевал популярность у врачей и стал предметом научных
изысканий. На примере эналаприла в экспериментальных и клинических
исследованиях 1990-2000-х годов были подробно изучены органопротективные
эффекты ингибиторов АПФ и установлена их способность улучшать клинический
прогноз при широком спектре кардиологической патологии. Сегодня эналаприл
ассоциируется со всеми классовыми свойствами ингибиторов АПФ: оптимальным
суточным профилем снижения АД, защитой органов-мишеней от повреждающего
воздействия артериальной гипертензии, повышением продолжительности и качества
жизни пациентов с ишемической болезнью сердца и хронической сердечной
недостаточностью, способностью противостоять прогрессированию сахарного диабета
и его осложнений. В то же время богатая доказательная база ориентирует
клиницистов на определенные сферы применения препарата и клинические ситуации,
в которых пациенты могут получить максимальную пользу от назначения эналаприла.
Отличительная особенность лечения этой группы
препаратов состоит в том, что они сочетают в себе свойства мощного
нейрогуморального модулятора и периферического и коронарного вазодилататора.
Ингибиторы АПФ непосредственно влияют на активность ренин - ангиотензин -
альдостероновой системы (РААС) (прессорной системы) и калликреин - кининовой
(депрессорной) системы, которые играют ключевую роль в патогенезе
гипертонической болезни и ХСН. Ингибиторы АПФ реализуют свои
фармакодинамические эффекты, влияя на два ключевых механизма нейро-гуморальной
системы. Во-первых, подавляя активность АПФ (кининазы II), ингибиторы АПФ
тормозят превращение неактивного ангиотензина I в мощную вазопрессорную
субстанцию ангиотензин II, что непосредственно уменьшает вазоконстрикторную
активность циркулирующих и тканевых компонентов РААС и опосредованно активность
симпато - адреналовой системы (САС).
Препараты: Диуретики уменьшают преднагрузку и
постнагрузку на сердце, устраняют застойные явления во внутренних органах и
периферические отеки. Эффективность их действия зависит от того, на какой отдел
нефрона они воздействуют. Наиболее мощными диуретиками являются фуросемид и
урегит, так как действуют на всем протяжении петли Генле, где происходит
основная реабсорбция натрия. В данном исследовании применялся :
) Фуросемид.
Фармакологическое действие: Быстродействующий
диуретик - мочегонное средство, усиливающее выведение натрия и хлора.
Диуретический (мочегонный) эффект связан с угнетением реабсорбции (обратного
всасывания) ионов Na и С1 как в проксимальных (расположенных в центральной
части почки), так и в дистальных (расположенных на периферии почки) участках
извитых канальцев и в восходящих отделах петли Генле. Реабсорбция калия
угнетается в меньшей степени. Фуросемид не уменьшает клубочковую фильтрацию, в
связи с чем его можно применять при почечной недостаточности. Благодаря
расширению периферических сосудов и диуретическому эффекту препарат оказывает
гипотензивное (снижающее артериальное давление) действие.
При внутривенном введении диуретический эффект
отмечается через 15-20 мин и продолжается в течение 3 ч, при приеме внутрь -
через 30-50 мин. Применяется при застойных явлениях в малом и большом круге
кровообращения, связанных с сердечной недостаточностью; циррозах печени с
портальной гипертензией (повышением давления в системе воротной вены печени),
хроническая и острая почечная недостаточность, отек легких и мозга, отравления
барбитуратами, Фуросемид показан больным с тяжелыми формами гипертонии (стойким
повышением артериального давления), при которых другие мочегонные препараты не
эффективны, а также для купирования (снятия ) тяжелых гипертонических кризов
(быстрого и резкого подъема артериального, давления).
Способ применения: Назначают внутрь,
внутримышечно или внутривенно. Внутрь принимают обычно по 40 мг 1 раз в день
(утром). При необходимости суточную дозу можно увеличить до 80-160 мг; в этом
случае препарат принимают 1-2 раза в. день с интервалом 6 ч. При тяжелой
почечной недостаточности доза может быть увеличена до 240-320 мг/сут. После
уменьшения отеков дозу постепенно снижают до минимальной эффективной, а
интервалы между приемами увеличивают до 1-2 дней. При гипертонической болезни
фуросемид назначают по 20-40 мг 1 раз в сутки, при сочетании с сердечной
недостаточностью Дозу можно увеличить до 80 мг.
) Предуктал так же использовался в данной схеме
лечения, но акцент все же сделан не на его действие.
) Эналаприл - препарат из группы ингибиторов
АПФ. в результате его гидролиза образуется эналаприлат, который и ингибирует
АПФ. Механизм его действия связан с уменьшением образования из ангиотензина I
ангиотензина II, снижение содержания которого ведет к прямому уменьшению
выделения альдостерона. При этом понижается общее периферическое сосудистое
сопротивление, систолическое и диастолическое артериальное давление (АД), пост-
и преднагрузка на миокард.
Расширяет артерии в большей степени, чем вены,
при этом рефлекторного повышения частоты сердечных сокращений не отмечается.
Гипотензивный эффект более выражен при высоком уровне ренина плазмы, чем при
нормальном или сниженном его уровне. Снижение АД в терапевтических пределах не
оказывает влияния на мозговое кровообращение, кровоток в сосудах мозга
поддерживается на достаточном уровне и на фоне сниженного артериального
давления.
Усиливает коронарный и почечный кровоток. При
длительном применении уменьшается гипертрофия левого желудочка миокарда и
миоцитов стенок артерий резистивного типа, предотвращает прогрессирование
сердечной недостаточности и замедляет развитие дилатации левого желудочка.
Улучшает кровоснабжение ишемизированного миокарда. Снижает агрегацию
тромбоцитов. Обладает некоторым диуретическим эффектом. Время наступления
гипотензивного эффекта при приеме внутрь - 1 ч., достигает максимума через 4 -
6 ч. и сохраняется до 24 ч. У некоторых больных для достижения оптимального
уровня артериального давления необходима терапия на протяжении нескольких
недель. При сердечной недостаточности заметный клинический эффект наблюдается
при длительном применении - 6 месяцев и более.
Фармокологическое действие. После приема внутрь
абсорбируется 60 % препарата. Прием пищи не влияет на всасывание эналаприла.
Эналаприл до 50 % связывается с белками крови. Эналаприл быстро
метаболизируется в печени с образованием активного метаболита эналаприлата,
который является более активным ингибитором АПФ, чем эналаприл. Биодоступность
препарата - 40 %. Максимальная концентрация эналаприла в плазме крови
достигается через 1 час, эналаприлата - 3-4 часа.
Показания к применению
артериальная гипертензия,
хроническая сердечная недостаточность (в составе
комбинированной терапии).
Побочное действие: Эналаприл в целом хорошо
переносится и в большинстве случаев не вызывает побочных действий, требующих
отмены препарата. собака сердечный заболевание
лечение
Со стороны сердечнососудистой системы:
чрезмерное
снижение АД, ортостатический коллапс, редко - загрудинная боль, стенокардия,
инфаркт миокарда (обычно связаны с выраженным снижением АД), крайне редко -
аритмии (предсердная бради- или тахикардия, мерцание предсердий), сердцебиение,
тромбоэмболия ветвей легочной артерии.
Схема лечения N3
Данная схема лечения качественно отличается
использованием сильнодействующего АПФ блокатора Ветмидина .
Активное вещество ветмидина - Пимобендан ,
выпускается препарат в капсулах или таблетках . (1 капсула препарата Vetmedin®
содержит 1,25мг; 2.5мг; или 5мг действующего веществ Пимобендана).
Упаковка содержит 100 капсул. Ветмедин это
ветеринарный лекарственный препарат, действующий на сердечно - сосудистую
систему. Применяется при лечении сердечной недостаточности у собак, вызванной
дилатационной кардиомиопатией или недостаточностью клапанов (регургитация
митрального и/или трикуспидального клапанов) с характерными симптомами, такими
как, например, кашель, одышка, снижение толерантности к нагрузкам или асцит.
Меры предосторожности: у собак больных сахарным
диабетом во время лечения необходимо осуществлять регулярный контроль уровня
глюкозы в крови.
Дозировка составляет 0,5 мг действующего
вещества на 1 кг массы тела, суточную дозу распределяют на 2 приема. Это
соответствует 1 капсуле Vetmedin® 1,25 мг утром и 1 капсуле Vetmedin® 1,25 мг
вечером на 5 кг живой массы. Широта терапевтической дозировки колеблется от 0,2
мг до 0,6 мг на 1 кг массы тела, разделенные на 2 приема в сутки, ежедневно.
Vetmedin® необходимо давать через рот. Дача препарата Vetmedin® должна
происходить примерно за один час до кормления. Vetmedin® может назначаться
также в комбинации с мочегонным средством, например, фуросемидом. В случае
декомпенсированной сердечной недостаточности рекомендована пожизненная
продолжительная терапия препаратом Vetmedin®. Поддерживающая доза должна быть
подобрана индивидуально в зависимости от тяжести заболевания.
В случае передозировки производят симптоматичное
лечение. В редких случаях встречается повышение частоты сердечного сокращения,
а также рвота. Эти эффекты зависят от дозы и могут быть предотвращены
сокращением дозы.
По причине того что препарат не сертифицирован в
России его покупка невозможна, поэтому его часто заказывают из за границы.
Стоимость препарата довольно высока и далеко не каждый хозяин решится на столь
дорогостоящее лечение для своего питомца.
упаковка (100 капсул) 1,25 мг -
3600
рублей
1 упаковка (100 капсул) 2,5 мг - 3900
рублей
1 упаковка (100 капсул) 5 мг - 4300
рублей
Исходя из этого можно предположить что наиболее
часто употребляемым методом лечения является ИАПФ без использования Ветмидина
[24, 19].
Результаты Исследования
На начало проводимого исследования все
подопытные имели схожие симптомы заболевания: снижение выносливости, одышка в
спокойном состоянии, снижение качества работы (охранная служба, прохождение
площадки, отработка ОКД). Снижение качества работы выражалось в отказе от
работы: после прохождении стандартной полосы препятствий собака ложилась,
отмечалось недостаточное кровенаполнение слизистых, в отдельных случаях - отказ
от еды. Во всех трех ветеринарных клиниках для постановки диагноза применялись
методы диагностики:
) Пальпация. Было четко установлено усиленный
сердечный толчок (что указывает на повышение ритма сердечной деятельности ).
) При аускультации соблюдают определенный
порядок прослушивания частей сердца. Пункты наилучшей слышимости у собаки
расположены в следующем порядке: проекция двухстворчатого клапана - в пятом
межреберье слева; проекция аортального отверстия - в четвертом межреберье
слева, непосредственно под линией лопаточно-плечевого сочленения; проекция
легочной артерии - в третьем межреберье слева, по краю грудной кости; проекция
трехстворчатого клапана находится в четвертом межреберье справа, на высоте
прикрепления ребер к грудной кости. При проведении аускультации у всех собак
при первом ритме был отчетливо слышен систолические шум (в состав
систолического тона входят следующие компоненты: захлопывание двухстворчатого и
трехстворчатого клапанов, тонус сердечной мышцы и растягивание
соединительнотканных устий аорты и легочной артерии.). ( рис 6.) [18, 6, 4, 27,
30, 33].
Рис. 6. Точки аускультации сердца.
На основе полученных данных о состоянии животных
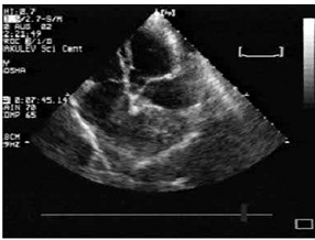
для уточнения диагноза было решено сделать : провести эхокардиографию.
) Эхокардиография. Испытуемой группе собак
сделали ЭКГ снимки на которых можно проследить : увеличение левых отделов
сердца , увеличение левого и правого желудочка , растяжение и деформация
створок митрального клапана ,в некоторых случаях застойные явления в легких . У
каждой собаки степень недостаточности митрального клапана на фоне эндокардиоза
была разная но симптомы у всех 30 овчарок были схожими : одышка , усталость ,
отказ от еды , кашель . На основе полученных снимков ЭКГ можно наблюдать
различные стадии развития болезни (рис 7,8).
Рис 7. недостаточность митрального клапана, Рис
8. увеличение левых увеличение размеров левого предсердия. левых отделов
сердца.
Рис 9 . незначительное изменение Рис 10
изменение формы формы митрального клапана , вдальнейшем митрального клапана
была заметна регургитация в левое предсердие
) ЭКГ результаты показали :
Рис 12. Наличие синусовой тахикардии, увеличении
левого предсердия
Рис 13. незначительные застойные явления в
легких, тахикардия, увеличенное левое предсердие .
Показатели и их обозначение в дальнейшем
исследовании представлены в таблице 4:
Таблица 4.
|
Показатели
|
Увеличение
левого предсердия
|
Увеличение
левого предсердия +желудочка
|
Застойные
явления в легких
|
Изменение
формы , структуры митрального клапана
|
Ярко
выраженная тахикардия
|
|
Обозначение
в таблице
|
ЛП
|
ЛП+ЛЖ
|
ОЛ
|
ЭМК
|
Т.
|
В таблицах 7, 8 указано состояние здоровья
животных в опытных группах на начало исследования.
Табл.7 Немецкие овчарки .
|
Группы
животных
|
1
группа
|
2
группа
|
3
группа
|
|
Симптомы
|
|
|
|
|
Одышка
в спокойном состоянии
|
3
|
3
|
3
|
|
Одышка
после отработки команд ОКД
|
5
|
5
|
5
|
|
Кашель
|
3
|
3
|
3
|
|
Непереносимость
нагрузок
|
3
|
5
|
4
|
Табл.8 Кавказские овчарки
|
Группы
животных
|
4 группа
|
5 группа
|
6 группа
|
|
Симптомы
|
|
|
|
|
Одышка
в спокойном состоянии
|
5
|
3
|
4
|
|
Одышка
после отработки команд ОКД
|
5
|
5
|
5
|
|
Кашель
|
3
|
3
|
4
|
|
Непереносимость
нагрузок
|
5
|
5
|
5
|
Распределение схем лечения по группам собак:
,4 группа - 1 схема лечения, -2,5 группа - 2
схема лечения, -3,6группа - 3 схема лечения.
Таблица 9 . Немецкие овчарки .
|
N животных в группе +
возраст
|
1
группа
|
2
группа
|
3
группа
|
|
1соб.
|
Лп+ЛЖ,
ОЛ, ЭМК, Т( 6лет )
|
Лп+ЛЖ,
ОЛ, ЭМК, Т (6лет )
|
Лп+ЛЖ,
ОЛ, ЭМК, Т (6 лет )
|
|
2 соб.
|
ЛП,
ЭМК, Т (5
лет
)
|
ЛП,
ЭМК, Т (
6 лет
)
|
ЛП,
ЭМК, Т (7
лет
)
|
|
3 соб.
|
Слабая
Т. (5лет)
|
Лп+ЛЖ,
ОЛ, ЭМК, Т( 8 лет )
|
ЛП,
ЭМК, Т (7
лет)
|
|
4 соб .
|
Т.
(5лет)
|
ЛП,
ЭМК, Т(
5лет
)
|
Лп+ЛЖ,
ОЛ, ЭМК, Т(7лет)
|
|
5соб.
|
Лп+ЛЖ,
ОЛ, ЭМК, Т( 8лет)
|
ЛП,
ЭМК, Т (8лет)
|
ЛП,
ЭМК, Т (5
лет
)
|
Таблица 10 .Кавказские овчарки.
|
N животных в группе +
возраст
|
4
группа
|
5
группа
|
6
группа
|
|
1соб.
|
ЛП,
ЭМК,Т ( 5лет)
|
Слабое
кровенаполнение капилляров +Тахикардия ( 7 лет)
|
ЛП,
ЭМК, Т (8
лет
)
|
|
2 соб.
|
Лп+ЛЖ,
ОЛ, ЭМК, Т ( 8лет )
|
ЛП,
ЭМК, Т (7
лет
)
|
|
3 соб.
|
ЛП,
ЭМК,Т (
5лет)
|
ЛП+ЛЖ,
Т,ЭМК ( 7 лет )
|
ЛП,
ЭМК, Т (7
лет)
|
|
4 соб .
|
ЛП,
ЭМК,Т (
7лет)
|
Лп+ЛЖ,
ОЛ, ЭМК, Т (6лет )
|
Лп+ЛЖ,
ОЛ, ЭМК, Т(7лет)
|
|
5соб.
|
ЛП,
ЭМК,Т (
8 лет)
|
ЛП,
ЭМК, Т (
5 лет
)
|
ЛП,
ЭМК, Т (5
лет
)
|
Результаты после 2х недель лечения ( 1,4 группы
).
После 14 дней лечения было проведено согласно
схеме опыта повторное обследование. При обследовании 1й и 3й группы на которой
была протестирована 1я схема лечения было обнаружено улучшение у 3х немецких
овчарок, при аускультации уменьшение тахикардии, улучшение аппетита, общего
состояния здоровья. Состояние остальных 7 собак (70 %) с более серьезными
клиническими признаками заболевания не улучшилось ни по одному показателю. Очевидно,
что работоспособность и нормальную жизнедеятельность собак можно поддерживать
даже элементарным лечением, не используя более сложные схемы, при условии
начала поддерживающего лечения на ранних стадиях заболевания ( Эндокардиоз
митрального клапана 1,2 стадии).
ЧСС у 7 собак из 10 незначительно снизились ( от
160 до 200 уд.м), что является стабильно отрицательным показателем при норме
120- 150 при прохождении площадки . Среднее число дыхательных движений в минуту
- 53 (20...90 дв/мин).
При анализе ЧСС после прохождения площадки
достоверно можно утверждать наличие результата: 70 процентов собак с
эндокардиозом митрального клапана 3 степени никак не отреагировали на лечение в
течении 14 дней. У некоторых собак наблюдается ухудшение состояния (С увеличением
Л П возрастает ЧСС, что говорит о повышении симпатического тонуса в ответ на
уменьшение сердечного выброса, обусловленное прогрессированием порока МК ) ( у
cобак n 3,4 ,10 наблюдаются изменения).
В таблицах 9,10,11,12.указаны изменения на 14
день и эффективность лечения.
Таблица 11. ЧСС у собак на 14 день лечения .
|
N собаки в группе 1 и 4
|
1
|
2
|
3
|
4
|
5
|
6
|
7
|
8
|
9
|
10
|
|
Стандарты
( уд/ мин)
|
140
|
140
|
140
|
140
|
140
|
140
|
140
|
140
|
140
|
140
|
|
Показатели
на начало исследования
|
170
|
185
|
160
|
155
|
198
|
175
|
184
|
163
|
166
|
158
|
|
На
14 день
|
173
|
156
|
132
|
129
|
180
|
169
|
174
|
170
|
173
|
142
|
Таблица 12 .ЧСС после 14 дней лечения ( средний
по группе).
|
на
начало исследования( уд/мин )
|
171.4
|
|
На
14й день ( уд/мин )
|
159.8
|
|
Разница
|
11.6
|
Таблица 13. Средняя скорость прохождения полосы
препятствий .
|
Собаки
в группе 1и4
|
1
|
2
|
3
|
4
|
5
|
6
|
7
|
8
|
9
|
10
|
|
Стандарт
времени (сек)
|
45
|
45
|
45
|
45
|
45
|
45
|
45
|
45
|
45
|
45
|
|
На
начало исследования
(сек)
|
Отказ
от теста
|
85
|
58
|
63
|
Отказ
от теста
|
91
|
184
|
76
|
93
|
74
|
|
На
14 день (
|
58
|
60
|
64
|
67
|
61
|
52
|
140
|
65
|
84
|
59
|
Таблица 14. Скорость прохождения полосы
препятствий после 14 дней лечения.
|
на
начало исследования ( не берутся результаты собак , отказавшихся в начале от
прохождения полосы препятствий )(сек )
|
81
|
|
На
14й день (сек)
|
82
|
|
Прогресс
уменьшения времени прохождения теста . (средний по
группе )
|
Лечение
не дало результата на данный момент
|
Рис.14 .площадка
Стандарт прохождения площадки для
служебно-сторожевых собак 45 сек. При снятии ЭКГ состояние заболевания можно
описать у некоторых собак как прогрессирующее, остается синусовая тахикардия у
8 из 10 собак. Отмечается кашель и застойные явления в легких у 3х собак,
наряду с этим отсутствие аппетита , ухудшение состояния .
Результаты после 2х недель лечения ( 2,5 группы
).
В данных группах проводилось качественно другое
лечение с использованием аАПФ препарата ( эналоприл ), он угнетает действие
ангиотензин-превращающего фермента, стабилизирует уровень брадикинина,
замедляют всасываемость натрия и воды. В результате воздействия на ренин-
ангиотензиновую систему ингибиторы АПФ обладают понижающим давление эффектом,
что положительно сказывается на работоспособность и «продолжительность жизни»
миокарда. «Фурасемид» уменьшает преднагрузку и постнагрузку на сердца,
устраняет застойные явления во внутренних органах и периферические отеки.
Результаты полученные на 14 день: во 2й и 5й
группах находилось 4 собаки с ЭМК 3й стадии (состояние отмечалось как очень
тяжелое), 4 собаки с поражением ССС средней тяжести - 2-3 стадия , и 2 собаки
ЭМК 1-2 стадии.
После 14 дней терапии владельцами отмечалось:
появление аппетита ( 100%), уменьшение отдышки у 3х собак с ЭМК 3 стадии , 3
собак с ЭМК 2-3 степени, у 2х собак со слабовыраженной ЭМК показатели
практически полностью вернулись в норму. У 80 % процентов собак в группе
показатели улучшились, у 20 % - наблюдалось прогрессирование болезни.
Тест на прохождение площадки: У 8 собак из 10
время прохождения улучшилось. Наглядным показателем является тот факт что все
собаки до конца прошли полосу препятствий.
В таблицах 13,14,15,16 представлены результаты:
частота дыхания, эффективность лечения, а так же скорость прохождения площадки
и прогресс улучшения показателя.
Таблица 15. Скорость прохождения площадки .
|
Собаки
в группе 2и5
|
1
|
2
|
3
|
4
|
5
|
6
|
7
|
8
|
9
|
10
|
|
Стандарт
времени (сек)
|
45
|
45
|
45
|
45
|
45
|
45
|
45
|
45
|
45
|
45
|
|
На
начало исследования (сек )
|
76
|
90
|
Отказалась
проходить тест
|
84
|
70
|
78
|
110
|
85
|
86
|
98
|
|
На
14 день (
|
58
|
60
|
64
|
67
|
61
|
52
|
140
|
73
|
84
|
59
|
Таблица 16. Средняя скорость прохождения полосы
препятствий после 14 дней лечения.
|
на
начало исследования ( не берутся результаты собак , отказавшихся в начале от
прохождения полосы препятствий )(сек ).
|
86.3
|
|
На
14й день (сек).
|
72.6
|
|
Разница
после 14 дней лечения
|
13.7
|
Таблица 17.Частота сердечных сокращений .
|
N собаки в группе
|
1
|
2
|
3
|
4
|
5
|
6
|
7
|
8
|
9
|
10
|
|
Стандарты
( уд/. мин)
|
140
|
140
|
140
|
140
|
140
|
140
|
140
|
140
|
140
|
140
|
|
Показатели
на начало исследования
|
196
|
174
|
202
|
162
|
185
|
166
|
196
|
177
|
194
|
159
|
|
На
14 день
|
158
|
156
|
175
|
137
|
159
|
141
|
164
|
154
|
173
|
145
|
Табл18. Средние ЧСС по группе 2и 5.
|
на
начало исследования( уд/мин. )
|
181.1
|
|
На
14й день ( уд/мин. )
|
156.2
|
|
Разница
( в среднем по группе)(уд/ мин )
|
60.57
|
У немецкой овчарки под третьим номером схема
лечения не вызвала существенного улучшения состояния.(скорее всего совокупность
индивидуальных факторов организма + 3я запущенная Стадия ЭМК .) было
установлено со слов владельцев что собака еще с рождения страдала тахикардией,
и с трудом выполняла нормативы .(рис.16)
Рис.16: Эхо КГ: увеличение
левого предсердия, увеличение левого желудочка, фракция выброса 45
%,
митральная регургитация 3 степени, начальная
лёгочная гипертензия.
Результаты после 2х недель лечения (3и 6
группы).
Собаки в группах 3и 6 принимали медикаментозное
лечение в соответствие со схемой 3: ИАПФ + использование препарата Ветмидин
(Пимобендан). В процессе данная схема наиболее современная и перспективная в
использовании ( что и доказывается по промежуточным результатам ). На момент
начала исследования в 3и 6 й группах находились собаки: 3 собаки с ЭМК 3й
степени , так же было 7 собак в удовлетворительном состоянии -ЭМК в начале 3й
стадии.
При повторном обследовании было достоверно
установлено улучшение общего состояния у всех собак в данных 2х группах. За 14
дней лечения у 80 % одышка стала появляться реже в 2 раза. Частота и
длительность приступов кашля у 8 собак снизилась. У 3х собак с ЭМК 3й степени
была установлена стабилизация состояния и остановка прогрессирования
заболевания. У 7 остальных собак наблюдалось снижение ЧСС , нормализация работы
сердца, снижение усталости. (( вследствие положительного инотропного действия
ИАПФ + в сочетании с пимобенданом ( сенситизация кальциевых каналов ) ,
диуретиками , сердечными гликозидами )). Проведение ЭхоКГ подтвердило
стабилизацию состояния 100% всех собак и заметное ее улучшение у 70% .
Таблица 19. Скорость прохождения полосы
препятствий .
|
N собаки в группе
|
1
|
2
|
3
|
4
|
5
|
6
|
7
|
8
|
9
|
10
|
|
Стандарты
( уд/ мин)
|
140
|
140
|
140
|
140
|
140
|
140
|
140
|
140
|
140
|
140
|
|
Показатели
на начало исследования
|
174
|
171
|
183
|
185
|
169
|
176
|
181
|
167
|
182
|
163
|
|
На
14 день
|
151
|
154
|
147
|
159
|
143
|
132
|
148
|
135
|
153
|
130
|
Таблица 20. ЧСС в среднем по группам ( 3,6)
после 14 дней лечения.
|
на
начало исследования( уд/мин )
|
175.1
|
|
На
14й день ( уд/мин )
|
145.2
|
|
Разница
в среднем .( уд.мин )
|
29.9
|
Таблица 19 .Скорость прохождения полосы
препятствий групп ( 3,6) на 14 день лечения .
|
Собаки
в группе 3и 6
|
1
|
2
|
3
|
4
|
5
|
6
|
7
|
8
|
9
|
10
|
|
Стандарт
времени (сек)
|
45
|
45
|
45
|
45
|
45
|
45
|
45
|
45
|
45
|
45
|
|
На
начало исследования (сек )
|
Отказ
от теста
|
97
|
85
|
Отказ
от теста
|
78
|
79
|
87
|
95
|
Отказ
от теста
|
64
|
|
На
14 день ( сек)
|
108
|
54
|
63
|
95
|
55
|
65
|
54
|
73
|
86
|
48
|
Таблица 21. Средняя скорость прохождения теста
|
на
начало исследования ( не берутся результаты собак , отказавшихся в начале от
прохождения полосы препятствий )(сек )
|
73
сек
|
|
На
14й день (сек)
|
51.5
|
|
Прогресс
улучшения состояния в связи с лечением . (средний по
группе )
|
21.5
|
Результаты после 4х недель лечения.
Результаты ЧСС на весь период и прогресс
улучшения по данному показателю в таблицах 21,22 .
Таблица 22. ЧСС по группам через 28 дней
лечения.
|
|
на
14 день
|
На
28 день
|
|
1,3
группы
|
|
|
|
|
1
|
170
|
173
|
178
|
|
2
|
185
|
156
|
151
|
|
3
|
160
|
132
|
128
|
|
4
|
155
|
128
|
125
|
|
5
|
198
|
180
|
174
|
|
6
|
175
|
169
|
164
|
|
7
|
184
|
174
|
175
|
|
8
|
163
|
170
|
178
|
|
9
|
166
|
173
|
170
|
|
10
|
158
|
142
|
137
|
|
2,4 группы
|
|
|
|
|
1
|
196
|
158
|
143
|
|
2
|
174
|
156
|
142
|
|
3
|
202
|
175
|
153
|
|
4
|
162
|
137
|
129
|
|
5
|
185
|
159
|
150
|
|
6
|
166
|
141
|
134
|
|
7
|
197
|
164
|
148
|
|
8
|
177
|
154
|
150
|
|
9
|
194
|
173
|
155
|
|
10
|
159
|
145
|
132
|
|
3,6 группы
|
|
|
|
|
1
|
174
|
151
|
142
|
|
2
|
171
|
154
|
139
|
|
3
|
183
|
147
|
133
|
|
4
|
185
|
159
|
138
|
|
5
|
169
|
143
|
132
|
|
6
|
176
|
132
|
127
|
|
7
|
181
|
148
|
136
|
|
8
|
167
|
135
|
124
|
|
9
|
182
|
153
|
141
|
|
10
|
163
|
130
|
130
|
На 28 день опыта по результатам измерений ЧСС
после прохождения площадки было достоверно известно о снижении ЧСС , что
говорит о улучшении снижении нагрузки на сердце , ее компенсации поддерживающим
действием препаратов 2и 3ей группы , по данному показателю схема n1показала
самые низкие результаты .
Таблица 22. Различие результатов на определенных
этапах лечения .
|
Группы
|
1,4
|
2, 5
|
3, 6
|
|
Результат
на начало исследования (сек )
|
171.4
|
181.1
|
175.1
|
|
14 день опыта
|
159.
|
156.2
|
145.2
|
|
28 день опыта
|
158
|
143.57
|
134.2
|
|
Разница
после 14 дней лечения.
|
12.4
|
24.9
|
29.1
|
|
Эффективность
на 28 день
|
13.4
|
37.4
|
40.1
|
Скорость прохождения площадки и увеличение
работоспособности собак опытных групп представлены в таблице 23,24 . По
результатам теста на 28 день можно увидеть заметные улучшения в группах ,
принимавших 2 и 3ю схему лечения. ( заметно сократился срок прохождения
площадки , что может говорить о регрессии или остановки изменений в клапане
сердца.
Таблица 24 .Скорость прохождения площадки .
|
Группы
|
1,4
|
2, 5
|
3, 6
|
|
Результат
на начало исследования (сек )
|
81
|
86.3
|
73 сек
|
|
14 день опыта
|
82
|
72.6
|
51.5
|
|
28 день опыта
|
65.8
|
61.3
|
53.1
|
|
Разница
на 14 день лечения
|
Разницы
не наблюдалось
|
13.7
|
21.5
|
|
Эффективность
на 28 день
|
15.2
|
18
, 7
|
19.9
|
Таблица 25. Скорость прохождения площадки после
28 дней лечения.
|
|
На
начало исследования
|
на
14 день
|
На
28 день
|
|
1,3 группы
|
|
|
|
|
1
|
-
|
58
|
50
|
|
2
|
85
|
60
|
55
|
|
3
|
58
|
64
|
62
|
|
4
|
63
|
67
|
56
|
|
5
|
-
|
61
|
53
|
|
6
|
91
|
52
|
47
|
|
7
|
184
|
140
|
156
|
|
8
|
76
|
65
|
47
|
|
9
|
93
|
84
|
75
|
|
10
|
74
|
59
|
57
|
|
2,4 группы
|
|
|
|
|
1
|
76
|
58
|
49
|
|
2
|
90
|
60
|
55
|
|
3
|
-
|
64
|
57
|
|
4
|
84
|
67
|
46
|
|
5
|
70
|
61
|
53
|
|
6
|
78
|
52
|
44
|
|
7
|
110
|
140
|
126
|
|
8
|
85
|
73
|
61
|
|
9
|
86
|
84
|
75
|
|
10
|
98
|
59
|
47
|
|
3,6 группы
|
|
|
|
|
1
|
-
|
108
|
62
|
|
2
|
97
|
54
|
43
|
|
3
|
85
|
63
|
47
|
|
4
|
-
|
95
|
53
|
|
5
|
78
|
55
|
41
|
|
6
|
79
|
65
|
54
|
|
7
|
87
|
54
|
45
|
|
8
|
95
|
73
|
46
|
|
9
|
-
|
86
|
56
|
|
10
|
64
|
48
|
40
|
В конце опыта можно наглядно убедиться в явном
преимуществе схемы N2 и N3 . Поставленные в ходе исследования2 цели из 3х были
достигнуты : состояние собак принимавших все 3 схемы улучшилось , однако
наиболее эффективной является методика лечения совмещающая ИАПФ + Пимобендан .
Данные подтверждаются не только измерениями в настоящем исследовании , но и
рядом других компетентных источников как подтверждается исследованиями : QUEST
проведенным компанией Беринджер :
Рис.17 Данные по выживаемости по Каплану -
Майэру . Конечная выживаемость при использовании пимобендана - 267 дней ( в
опыте сравнивалась выживаемость при терапии беназеприла )
Адриан Босвуд , Член королевской коллегии
ветеринарных наук так же подтверждает именно эту схему лечения ссылаясь на
многочисленные исследования VetSCOPE (выявлено что благоприятное действие
пимобендана может даже превосходить ИАПФ ) (34,33,20,22)
На IV Ветеринарной конференции посвященной
кардиологии по степени доказательности использование ИАПФ + Пимобендана
поставили в 1е ряды при лечении Хронической сердечной недостаточности и
Эндокардиозе Митрального клапана. Исследования Российских ученых , практикующих
ветеринарных врачей ( «исследование лечения ЭМК» В. К. Илларионова -
Первомайский ветеринарный центр (Москва) Т. В. Ипполитова, В. Н. Денисенко -
Московская государственная академия ветеринарной медицины и биотехнологии им.
К.И. Скрябина ,)
Экономическая Эффективность.
Пимобендан является дорогостоящим зарубежным
препаратом , вследствие чего не каждый владелец до конца жизни сможет
использовать его в качестве поддерживающей терапии .
Таблица 26. Цена на препараты , использованные в
курсе лечения.
|
N1
|
N2
|
N3
|
|
Стоимость
препарата (Руб)
|
|
|
|
|
Пимобендан
|
-
|
-
|
3600 руб
|
|
СКК
|
95руб
( раствор для инъекций 10 штук в упаковке )
|
-
|
-
|
|
Дигоксин
|
45руб
|
45руб
|
45
|
|
Предуктал
|
540 руб.
|
540 руб
|
|
|
Эналоприл
|
-
|
10 руб
|
10
|
|
Фуросемид
|
-
|
21.49
|
21.49
|
|
Общая
стоимость
|
680
|
616.49
|
3676
|
Самой дорогостоящей является схема n3, но все же
можно подсчитать во сколько обойдется приобретение породистого щенка ( по самым
скромным подсчетам 15 тысяч и более) +его обучении ОКД ( 1 занятие 1500 руб. требуется
как минимум 20 занятий для подготовки служебно сторожевой собаки ) : 45 тыс.
руб. Нельзя упускать из внимания факт морального ущерба- потеря собаки .
которая уже стала членом семьи и верным другом.
Схема лечения N2 идеально подойдет людям не
обладающим возможностью потратить значительные финансовые средства для лечения
питомца, результат остается ненамного хуже. ( продолжительность жизни при этом
уменьшается но достигается стабилизация состояния , обеспечение нормальной
жизнедеятельности собаки ) .
Стоит отметить печальный факт - большинство
собак с недостаточностью Митрального клапана 3 стадии и выше даже при
использования схемы N3 а так же вспомогательных препаратов ( калийсберегающих -
верошпирон , витаминов ) не возвращаются к нормальному состоянию , не говоря
уже о возобновлении службы . При 1, 2, начальной 3 фазе , лечение способно
восстановить нормальное функционирование ССС , защитить органы мишени ,
частично восстановить прежнее состояние здоровья собаки ( отмечались случаи
когда при умеренных нагрузках неслась служба ).
Выводы
) По результатам исследования на 28 схема
лечения N1 оказалась
полностью неэффективной , мало того что прогресс улучшения состояния животных
оказался крайне низким , цена за полный курс вышла дороже чем у схемы n2
. В связи с высоким соотношением цены и качества крайне не целесообразно
использовать данную схему в процессе лечения животных. Схема N2
является наиболее оптимальным методом лечения животных для владельцев не
обладающих финансовыми возможностями для покупки зарубежного препарата «
Ветмидин » . Цена всех компонентов схемы меньше чем у 1й (несостоятельной по
результатам ) , а улучшение состояния животных при их использовании куда как
выше . Так как основная масса людей часто не готова отдавать деньги за высококачественное
лечение своих питомцев ради продления жизни еще на полтора года , схема N2
является наиболее рациональной в использовании при желании потратить минимум
средств с максимальной пользой . Схема n3
самая дорогостоящая из всех предложенных , но с другой стороны самая
эффективная благодаря включению зарубежного препарата Ветмидин , заметно
улучшающего жизненные показатели . Данная методика лучше всех подходит для
лечения Эндокардиоза митрального клапана , но в силу своей высокой цены по
количеству использования находится на 2м месте после схемы лечения обычным
ИАТФ.
) К сожалению недостаточность митрального
клапана является хроническим заболеванием, поэтому собаки находятся на
постоянном поддерживающем лечении для стабилизации и приостановки прогрессирования
заболевания . В следствие этого практически все животные в опыте не смогли
вернуться к полно ценному несению службы . Тем не менее поддерживающая терапия
возвращает ЧСС в норму , а так же по результатам ЭКГ , Рентгена видны заметные
улучшения в состоянии сердца , легких. ( за исключением самых ранних форм сбоя
работы митрального клапана ). После 28 дневного эксперимента большинство собак
из 2,3,5,6 групп где использовались новейшие методы лечения смогли пройти
полосу препятствий.
Список литературы
. Анатомия собаки и кошки
(Колл.авторов ) /Пер. с Немецкого .Е.Болдырева , И Кравец .- М.: «АКВАРИУМ БУК
»2004г.
. Ультразвуковая диагностика собак и
кошек ( Френсис Барр)/Пер. с англ. З.Зарифова
. Мартин
М.,
Коркорэн
Б.
«Кардиореспираторные заболевания собак и кошек», Пер. с англ. С.
Л.
Черятникова.
- М.: «Аквариум Принт», 2010. - 496 с.
. Энциклопедия «Андиаг» - Цикл
кардиология [Электронный ресурс]: Эндокардиоз атриовентрикулярных клапанов.
. Генетика и наследование болезни
собак и кошек - М .: ООО « АКВАРИУМ ЛТД», 2000- 448с..с илл.
. Комплексная терапия и
терапевтическая техника в ветеринарной медицине :Учебное пособие / Под.
Общ.ед.А. А. Стекольникова - Спб.: Издательство Лань » ,2007год - 288с.:ил.
. Анатомия домашних животных/А. И.
Акаевский, Ю. Ф. Юдичев, Н. В. Михайлов, И. В. Хрусталева; Под ред. А. И.
Акаевского. - 4-е изд., испр. и доп. - М.: Колос, 1984. - 543 с., ил., 8 л.
ил.- (Учебники и учеб. пособия для высш. с.-х. учёб, заведений).
. Кинология. Учебное пособие для вузов
/ Г. И. Блохин, М. Ю. Гладких, А. А. Иванов, Б. Р. Овсищер, М. В. Сидорова -
М.: ООО «Издательство Скрипторий 2000», 2001. - 432 с. с ил.
. «Содержание и дрессировка
служебных собак»: Ф. М. Лужков Виктор Петрович, Назаров К. Е., Немцов Александр
Павлович ,Орлов И. С., Полтавец Ю. И. Шар . ДОСААФ; Москва; 1963
. Анатомия собаки. Соматические
системы: Учебник / Под ред. проф. Н. А. Слесаренко. - СПб.: Издательство
«Лань», 2003 - 96 с., ил. - (Учебники для вузов. Специальная литература).
. Генетика и наследственные болезни
собак и кошек. Московкина Н.Н., Сотская М.Н.- М.: ООО «АКВАРИУМ ЛТД», 2000 -
448 с. с илл.
. "Анатомия домашних
животных" / под ред. И. В. Хруста левой. - Москва: 1964.
. «Ветеринарный энциклопедический
словарь»/под ред. Шишкова В.П.
- Москва:
1981.
. «Анатомия
собаки»,
(Malcolm E. Miller, Anatomy of the dog), USA, Cornell University, 1964 г.,
950 стр.
15. «Анатомия
собаки и кошки», перевод с немецкого Фольмерхауз Бернд, Фревейн Йозеф,
2003
г., 580 стр., Аквариум,
. Болезни собак: Справочник/А.Д.
Белов, Е.П. Данилов, И.И. Дукур и др. - М.: Агропромиздат, 1990. - 368 с: ил.
. Краткий ветеринарный словарь
клинических терминов. - 2-е изд., перераб. и доп.- М.,
Россельхозиз-дат,
1979, 320 с.
. Borgarelli M ,et.al.
Comparison of primary mitral valve disease in Germany Shepard dogs and in small
breads .
. Smith PJ , French AT , Van
Israel , Efficiancy and safety of pimobendan in canine heart failure caused by
myxomatous mitral valve desease. J.small Anim Pract 2005 ,: 46 : 121-130
. Boswood A . , Murphy A. The
effect of heart desease , heart failure and diuresus on selected laboratory and
electrocardiographic parameters in dogs
. Kvart C , Haggstrom J,
Pederson HD , et al. Efficacy of enalapril for prevention of congestive heart
failure in dogs with myxomatous valve desease and asymptomatic mitral
regurgitation .J Vet Intern Med 2008 ,: J Vet Intern Med 2002 ,: 16:80-88 .
. Atkins CE , Keene BW, Brown
WA , et.al Results of veterinary Enalapril trial to prove reduction in onset of
heart failure in dogs chronically treated with enalapril alone for compensated
, naturally occurring mitral insufficiency J am Vet Med Assoc .2007
.231:1061-1069
. Ettinger SJ , Benitz AM ,
Ericcson GF , et al . Effects of enalapril maleate on survival of dogs with naturally
acquired heart failure .The long term investigation of Enalapril . 1998
,: 231 J
am Vet
Med Assoc
. 1998 ,: 1061- 1069
. Расчеты и методы Дозирования
ветеринарных препаратов { Автор Вики К.Макконел , Под редакцией Брансона В.Ричи
} / Перевод с англ. Е .Махиянова - М.: Аквариум ЛТД - 340 с.
. Руководство по поведенческой
мидицине собак и кошек Пер.с англ . / под редакцией Д. Хорвитц ,Д.Миллса ,С.
Хит- М .: Софион .2005 , 368 с.илл.
. Современный курс ветеринарной
медицины Кирка - Р Кирк - Практическое руководство .: изд. Аквариум .2007г,1376
стр
. Справочник ветеринара. Руководство
по оказанию неотложной помощи животным . /авт.Александр Талько -изд. Питер .:
2011г..: 256
. Словарь ветеринарных терминов по
клинической диагностике и внутренним незаразным болезням / авт.А. В. Коробов,
А. В. Савинков, А. В. Воробьев, М. В. Савинкова -
. Болезни кошек и собак / авт.Л.
Тилли, Ф. Смит мл. Изд/ ГЭОТАР-Медиа . 2010
г, 848 с.с илл.
. Скорая помощь и интенсивная
терапия мелких домашних животных авт. Д. Макинтайр, К. Дробац, С. Хаскинз, У.
Саксон .: Изд.: Аквариум-Принт
560с.
31.
Новая энциклопедия пород собак/ пер с нем. Нина Масленникова ,Автор:
Эва-Мария Кремер
,:Издательство:
Аквариум-Принт
.:2004г…: 400стр.
.
Малкова
Н.В.
Патология сердечно-сосудистой системы собак и возможности электрокардиографии в
её исследовании. Канд. Диссертация. М. - 2000. - 144 с.
.
Мишин
В.Н.
Болезни сердечно-сосудистой системы // Болезни собак. М.: Колос. - 1992. - с.
46 - 60.
.
Ван Прааг Р. Анатомия нормального сердца и сегментарный подход к диагностике //
Морфология и морфометрия сердца в норме и при врожденных пороках. Материалы
международного симпозиума. - М.- 1990.-С. 7-31.
.
Мартинез-Паломо А., Аланис И., Бенитез Д. Переходные сердечные клетки
проводящей системы сердца собаки // Общая физиология сердца. Сборник работ. М.:
Медицина. - 1972. - с. 121-141
.
Михайлов
С.С.
Клиническая анатомия сердца // М.: Медицина. - 1987.-с. 138- 163.
.
Техвер
Ю.Т.
Гистология сердечно-сосудистой системы и кроветворных органов домашних животных
// Тарту. - 1970. - с. 58 -73.
.
Шевченко
Н.М.,
Гросу A.A. Нарушения ритма сердца. Учебная монография // М.: Контимед. - 1992.
141 с.
.
Эрез
Б.М.
Сравнительная анатомия иннервации сердца // Сталинабад. - 1957. 207 с.