Инструментальная диагностика хронических субдуральных гематом
РЕФЕРАТ НА ТЕМУ:
ИНСТРУМЕНТАЛЬНАЯ
ДИАГНОСТИКА ХРОНИЧЕСКИХ СУБДУРАЛЬНЫХ ГЕМАТОМ
Содержание
Вступление
1. Краниография
2. Ангиография
3. Компьютерная томография
4. Компьютерно-томографическая характеристика воздействия ХСГ на
головной мозг
Резюме
Литература
Вступление
Компьютерная томография в большинстве
наблюдений является адекватным методом окончательного распознавания хронических
субдуральных гематом (в дальнейшем - ХСГ), позволяющим с исчерпывающей полнотой
судить о расположении и объеме гематомы, о ее структуре и консистенции
содержимого, о ее воздействии на вещество мозга и ликворные пути с регистрацией
степени смещения срединных структур, сдавления желудочковой системы, состояния
конвекситальных субарахноидальных щелей и базальных цистерн, о реакциях мозга в
ответ на ХСГ (в виде его отека, коллапса, дисгемии). При этом устанавливаются
также краниоцеребральные соотношения и преморбидные изменения мозга и ликворных
пространств.
При изоденсивных гематомах КТ выявляет
лишь признаки полушарного объемного процесса (кроме случаев, когда
визуализируется капсула ХСГ). В такой ситуации для уточнения диагноза
необходимо применение магнитно-резонансной томографии либо каротидной
ангиографии
1.
Краниография
При хронических субдуральных гематомах,
развившихся после черепно-мозговой травмы или сосудистых заболеваний, обзорные
рентгенограммы черепа чаще не обнаруживают каких либо изменений.
Гипертензионные признаки на краниограммах (порозность спинки турецкого седла,
усиление пальцевых вдавлений и сосудистого рисунка) встречаются менее, чем у
1/5 больных, при этом обычно они мягко выражены. Исключение составляют дети,
особенно раннего возраста, у которых внутричерепная гипертензия может
обусловливать увеличение размеров головы, незаращение родничков, расхождение
швов, истончение костей черепа.
В качестве симптома объемного характера
поражения мозга и его латерализации при ХСГ может выявляться смещение в
противоположную сторону обызвествленной шишковидной железы.
У детей могут встречаться четкие локальные
признаки ХСГ на краниограммах в виде выпячивания и истончения костей свода над
гематомой.
У ряда больных с ХСГ обнаруживаются
трещины костей черепа, свидетельствующие о перенесенной травме.
Прямая рентгенографическая диагностика ХСГ
возможна лишь в редких случаях их обызвествления. В зоне типичной
парасагиттально-конвекситальной локализации ХСГ (обычно в лобно-теменной
области) обнаруживаются петрификаты различной плотности и структуры, либо тесно
прилегающие к внутренней поверхности кости, либо очерчивающие капсулу ХСГ, либо
находящиеся в полости гематомы. Наиболее информативны краниограммы при полной
оссификации ХСГ (рис 1).
компьютерная томография субдуральная гематома

2.
Ангиография
КТ и МРТ серьезно потеснили КАГ как
ведущий метод диагностики ХСГ. В настоящее время КАГ при ХСГ применяется редко,
преимущественно в тех наблюдениях, где необходима дифференциальная диагностика
с другой очаговой патологией, либо предполагается возможность сосудистого генеза
гематомы (вследствие артериовенозной маль-формации, артериальной
аневризмы и т.д.). Однако, если в нейрохирургических учреждениях КТ и МРТ
отсутствуют, ангиография остается надежным методом диагностики ХСГ.
Ангиографический синдром ХСГ складывается
из характерной бессосудистой зоны между внутренней поверхностью костей свода
черепа и оттесненной корой мозга, а также дислокационных изменений в пробеге
магистральных сосудов соответственно топике ХСГ (при этом наиболее
демонстративны прямые ангиограммы, где бессосудистая зона имеет
линзообразную либо серповидную форму, особенно четко контурируясь в капиллярной
и венозной фазах - (рис.2).
Рис.2. Каротидная ангиграфия (прямая
проекция) - ХСГ лобно-теменно-височной области.
Высокая надежность КАГ в диагностике
ХСГ не вызывает сомнений. И хотя этот инвазивный метод закономерно
уступает свое лидерство неин-вазивным и более информативным способам прямой визуализации
внутричерепного содержимого, его не следует уподоблять исторически изжившей
себя пневмоэнцефаловентрикулографии. Ангиография остается в арсенале
современных методов диагностики ХСГ.
3.
Компьютерная томография
Представим следующее компьютерно-томографическое
определение ХСГ: хроническая субдуральная гематома представляет собой зону
измененной
плотности между костями черепа и веществом
мозга, обычно серповидной формы с многодолевым распространением и
преимущественно парасагитально-кон-векситальной локализацией; при этом наружная
граница повторяет очертания внутренней поверхности костей черепа, а внутренняя
граница - очертания полушария мозга (рис.3).
Рис.3 Типичная КТ картина ХСГ (1,2).
Трехмерная КТ реконструкция этой ХСГ (3,4).
Естественно, что приведенная формулировка
не распространяется на изоденсивные ХСГ, а также на ХСГ атипичной локализации
(базальные, медиальные и т.д.)
Семиотика. По плотности в единицах Haunsfild ХСГ делятся на
гиподенсивные (28 и менее Ед. Н), изоденсивные (29-45 Ед. Н), гиперденсивные
(более 45 Ед. Н) а также гетероденсивные (рис.4).
Гиподенсивные ХСГ встречаются наиболее
часто. Снижение плотности содержимого гематомы колеблется от выраженного до
незначительного (17-28 Ед. Н), однако всегда превышает плотность ликвора. Чаще
гиподенсивная зона гомогенна (рис.4 а), но порой улавливаются и разные по
интенсивности участки снижения плотности. На этом фоне могут выявляться
линейные повышения плотности за счет визулизации наружного или внутреннего
листка капсулы либо перегородок при многокамерной ХСГ (см. рис.3).
Сопоставление данных КТс операционными
находками показывают, что у большинства больных с гиподенсивными ХСГ в полости
гематомы содержится ксантохромная либо зеленовато-коричневатая мутная жидкость,
у некоторых - измененная разжиженная кровь, а также мелкие свертки крови.
Рис.4. КТ варианты плотностных
характеристик ХСГ: а) гиподеисивыая; б) гипердепсивная; в) изоденсивная; г)
гетеро-дснсивная;
При гиподенсивных ХСГ длительность
анамнеза колеблется в широких пределах - от 25 суток до 5 лет, иногда от 14
суток. Феномен снижения плотности содержимого ХСГ преимущественно связан с
деградацией фибрина в свертках крови.
Изоденсивные ХСГ встречаются редко.
Плотность содержимого гематомы практически не отличается от таковой вещества
мозга. Вместе с тем на КТ обычно выражены признаки объемного процесса (рис.4
б).
Сопоставление данных КТ с операционными
находками показывает, что у половины больных с изоденсивными ХСГ в полости
гематом содержится коричневато-зеленоватая жидкость, у других разжиженная кровь
и ее свертки.
Изоденсивные ХСГ отмечены при длительности
анамнеза от 18 суток до 1 года. Феномен изоп-лотности может появляться и
раньше: порой спустя 10-14 суток после ЧМТ. Он определяется главным образом
соотношением в полости ХСГ разжиженной крови и ее дериватов.
Гиперденсивные ХСГ встречаются еще более
реже. Повышение плотности содержимого гематом значительно либо нерезко
выраженно (рис.4 в). При сопоставлении данных КТ при высокоплотных ХСГ с
операционными находками в большинстве наблюдений в полости гематомы содержатся,
наряду с разжиженной кровью, ее свертки. Отметим, что чем больше в содержимом
гематомы преобладают свертки крови, тем выше была ее плотность. Феномен
повышения плотности связан с повторными кровоизлияниями в полость гематомы,
которые могут наблюдаться спустя любое время после формирования ХСГ.
Для гетерогенных ХСГ характерен феномен
седиментации в виде четкого разграничения содержимого гематомы на низкоплотную
верхнюю часть и высокоплотную нижную часть (при положении больного на спине)
(рис.5). При сопоставлении данных КТ с операционными находками установлено, что
у 2/3 больных полость гематомы содержит свертки крови в смеси с
зеленовато-коричневатой жидкостью, у остальных - темную жидкую кровь и мелкие
сгустки фибрина.
Рис.5. КТ варианты феномена
"седиментации" при ХСГ (а, б).
Длительность анамнеза при гетероденсивных
ХСГ колеблется от 16 суток до 5 лет. Неоднородная плотность связана как с
повторными микрокровоизлияниями в полость гематомы, так и с деградацией ранее
излившейся крови. Оседание высокоплотных ещё не распавшихся форменных элементов
крови обусловливает появление КТ феномена седиментации (рис.5).
В структуре ХСГ на КТ могут также
прослеживаться уплотненные листки и другие образования (см. рис.3, рис.5).
Капсула ХСГ выявляется при КТ, примерно в десятой части наблюдений, хотя на
операциях наружную и внутреннюю мембрану (выраженных в различной степени)
находят практически всегда. Эта диссоциация может быть объяснена малой
контрастируемостью капсулы, нередко ее тонкостью, прилежанием к костям черепа и
веществу мозга с повторением их очертаний. Возможно, также, что в ряде случаев
не выявление существующей капсулы ХСГ на КТ было обусловлено тем, что не всегда
используют контрастное усиление.
Рис.6. Кт визуализация внутренней капсулы
ХСГ.
4.
Компьютерно-томографическая характеристика воздействия ХСГ на головной мозг
Отдельного внимания заслуживают
компьютерно-томографические признаки "масс-эффекта", оказываемого ХСГ
на мозг. Надо сказать, что, с одной стороны, в них нет ничего специфического,
а, с другой, определенное сочетание в значительной мере свойственно именно ХСГ.
Имеется сравнительно высокая корреляция
между клинической фазой заболевания и дислокационным воздействием ХСГ на мозг и
ликворную систему. Смещение срединных структур мозга при ХСГ колеблется от 0 до
22 мм. При пофазном рассмотрении этого важнейшего показателя объемного
полушарного процесса на уровне прозрачной перегородки вырисовывается следующая
картина. В фазе клинической компенсации смещение срединных структур мозга либо
отсутствует, либо находится в пределах 3-4 мм. В фазе клинической
субкомпенсации смещение срединных структур обычно не превышает 6-7 мм, в фазе
умеренной клинической декомпенсации оно чаще составляет 7 - 9 мм, в фазе грубой
клинической декомпенсации это смешение достигает 10 и более мм (максимально до
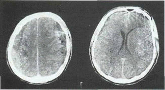
22 мм) (рис.7).
Рис.7. КТ. Выраженное смешение срединных
структур и желудочковой системы при ХСГ.
При общих закономерностях имеется, однако,
много исключений. Одни из них обусловлены наличием двухсторонней (хотя и при
этом может встречаться смещение срединных структур мозга со стороны большей по
объему гематомы), либо медиобазальной ХСГ. Другие - могут быть связаны с
возрастными факторами, когда наличие значительных резервных пространств
вследствие атрофии мозга влияет на степень смещения срединных структур.
Аналогичные инверсии могут быть и при изменении краниоцеребральных соотношений
как преморбидных, так и связанных с шунтирующими операциями. Наконец свой вклад
вносит характер реакций вещества мозга (отек, коллапс, нарушения мозгового
кровообращения и т.п.) на ХСГ.
Наряду со смещением срединных структур ХСГ
вызывает сдавление желудочков мозга, Обычно страдает гомолатеральный боковой
желудочек. Здесь также устанавливается определенная пофазная корреляция. В фазе
клинической компенсации и фазе клинической субкомпенсации при гомолатеральной
гематоме боковой желудочек чаще умеренно сдавлен по сравнению с
контралатеральным боковым желудочком. Ill и IV желудочки, как правило, не изменены. В фазах
умеренной и грубой клинической декомпенсации при ХСГ гомолатеральный боковой
желудочек обычно резко сдавлен, деформирован, вплоть до полного отсутствия его
на КТ (рис.7); противоположный боковой желудочек может быть резко смещен в
другую сторону, а также расширен в результате как преморбида, так и
гидроцефалии вследствие дислокационной окклюзии на уровне межжелудочкового
отверстия. При этом нередко оказывается компримированным и III желудочек, вплоть до
отсутствия его визуализации на КТ. IV желудочек при полушарных ХСГ, как правило, не
подвергается грубым изменениям.
Состояние базальных цистерн при ХСГ при
пофазном анализе нельзя оценить однозначно. Так, в детском, молодом и младшем
среднем возрастах степень их деформации в какой-то мере отражает клиническую
фазу заболевания и размеры гематомы. У лиц же пожилого и старческого возраста
часто наблюдается инверсия, когда при резком смещении срединных структур и
деформации боковых желудочков в фазе грубой клинической декомпенсации охватывающая
цистерна хорошо визуализируется или деформирована незначительно. Вероятно, эта
диссоциация связана с инволюционными изменениями реакций мозга на длительное
компримируюшее воздействие ХСГ.
Состояние конвекситалъных
субарахноидальных пространств совершенно иное. Практически во всех клинических
фазах они резко сдавлены на стороне гематомы и обычно не визуализируются на
компьютерных томограммах даже у лиц пожилого и старческого возраста. Это
объясняется особенностями анатомо-топографического расположения ХСГ,
"выжимающих" ликвор в первую очередь из конвекситальных
субарахноидальных пространств.
Что касается их визуализации на
противоположной стороне, то у детей, лиц молодого и младшего среднего возраста
по мере углубления клинической фазы заболевания они исчезают вплоть до полного
отсутствия в фазе грубой клинической декомпенсации. Вместе с тем в старшем
среднем и особенно пожилом и старческом возрасте даже в фазе грубой клинической
декомпенсации конвекситальные субарахноидальные щели на противоположной гематоме
стороне обычно хорошо визуализируются, при этом они могут быть даже расширены,
что объясняется возрастными атрофическими изменениями мозга (рис.3-13).
Аналогичная картина иногда может наблюдаться и у молодых пациентов при
выраженной атрофии мозга либо аномалии краниоцеребральных соотношений.
Реакция мозговой ткани на ХСГ
характеризуется, особенно при длительном существовании гематомы у пожилых и
стариков, коллапсом мозга в зоне ее расположения.
Рис.8. КТ больного с ХСГ 78 лет, в фазе
грубой клинической декомпенсации.
Вместе с тем у детей и молодых часто
отмечается отек мозга локальный, полушарный или даже диффузный. Однако в силу
именно длительности и сравнительной мягкости воздействия ХСГ он почти никогда
не достигает той степени выраженности, какая наблюдается при острых
субдуральных гематомах.
Описанные компьютерно-томографические
признаки односторонних ХСГ во многом характерны и для двухсторонних ХСГ. Однако
необходимо отметить некоторые особенности их воздействия, которые весьма
существенны для диагностики изоденсивных двухсторонних ХСГ, а также в тех
случаях, когда лишь одна из гематом имеет одинаковую с мозгом плотность. На
нашем материале подтверждается так называемый феномен "заячьих ушей",
который заключается в более или менее равномерном сдавлении обоих боковых
желудочков и сближении их передних рогов. При этом одновременно изменяется
контур талии боковых желудочков, а при ХСГ, занимающих оба полушария целиком,
одновременно может наблюдаться и сближение задних рогов (рис.9).
Важным и легко доступным признаком для
обнаружения именно билатеральных ХСГ является отсутствие субарахноидальных
щелей с обеих сторон (рис.9). Этот факт особенно значим улиц пожилого и
старческого возраста, у которых, как правило, субарахноидальные щели в
противоположном полушарии при односторонней ХСГ расширены.
Рис.9. Кт при двухсторонней ХСГ. Сближение
передних и задних рогов боковых желудочков, сужение их талии; отсутствие
конвекситальных субарахноидальных щелей с обоих сторон.
Резюме
Таким образом, КТ является методом выбора
при подозрении на ХСГ. Она позволяет определить оптимальную тактику лечения
ХСГ:
· ЗНД через 1 фрезевое
отверстие при односторонних и однокамерных ХСГ;
· ЗНД через 2 фрезевых
отверстия при многокамерных или двухсторонних ХСГ;
· костно-пластическая
трепанация при кальцифицированных ХСГ;
· консервативное лечение
при плоскостных ХСГ в фазах клинической компенсации и субкомпенсации.
В заключение представим выделенный
компьютерно-томографический синдром ХСГ. Наиболее часто он характеризуется:
зоной измененной плотности (гиподенсивной,
гиперденсивной, гетероденсивной) между костями черепа и веществом мозга, чаще
серповидной формы и обычно имеющей многодолевое или плащевое распространение
(одно - или двухстороннее) с преимущественно парасагитально-конвекситальной
локализацией;
· повторением очертаний
внутренней поверхности костей черепа наружной границей патологической зоны
измененной плотности и очертаний поверхности полушария головного мозга - ее
внутренней границей;
· значительным
преобладанием площади патологической зоны над ее толщиной;
· отсутствием
субарахноидальных щелей на стороне расположения гематомы;
При ХСГ редкой атипичной локализации
(базальная, межполушарная, заднечерепная и др.) КТ синдромы, наряду с общими
чертами, имеют много существенных различий от выделенного КТ-синдрома наиболее
распространенной типичной полушарной локализации ХСГ.
При двухсторонней ХСГ важными
дополнительными компьютерно-томографическими признаками являются отсутствие
изображения конвекситальных субарахноидальных щелей с обеих сторон и феномен
сближения передних и задних рогов боковых желудочков, а также изменение их
талии.
КТ-синдром ХСГ может дополняться и другими
прямыми их признаками: феноменом седиментации, визуализацией наружного или
внутреннего листков капсулы, многокамерного строения или интрагематомных
трабекул (их выявлению часто может способствовать контрастное усиление).
Литература
1. Арутюнов А.И. Субдуральные осумкованные гематомы, их
клиника и хирургическое лечение // Ж. Вопросы нейрохирургии - 1961, 1, с.16-21.
3. Бабчин И.С. Закрытые повреждения черепа и
головного мозга // Л., 1958, 40 с.
4. Балязин В.А. Хирургическое лечение хронических
субдуральных гематом с использованием закрытого клапанного дренирования // В
кн.: 1 съезд нейрохирургов Российской Федерации. Екатеринбург. - 1995, с.30.
5. Денисенко Л.В. Хирургическое лечение хронических
субдуральных гематом // В кн.: Труды объед. конф. нейрохирургов, Ереван, 1965,
с. 200-202.
6. Добровольский Г.Ф. Электронно-микроскопическое
исследование процесса удаления эритроцитов аутогенной крови за пределы
субдурального пространства // Бюллетень Эксперимент. Биологии медицины, 1979,7.
с.99-102.
7. Доброхотова Т.А. Прогноз восстановления
психической деятельности больных с черепно-мозговой травмой. // Глава 4 в
монографии Л.Б. Лихтермана с соавт.,"Черепно-мозговая травма: прогноз и
течение. М. Книга лтд. 1993, с.110-125.
8. Злотник Э.И. Клиника и лечение хронических
субдуральных гематом // В кн: Экспериментальная и клинич. Неврология. Минск.
1958, вып.2, с.229-241.