Влияние низкочастотных акустических колебаний на остеорепарацию длинных трубчатых костей при комбинированных радиационно-механических поражениях

  • Вид работы:
    Курсовая работа (т)
  • Предмет:
    Медицина, физкультура, здравоохранение
  • Язык:
    Русский
    ,
    Формат файла:
    MS Word
    969,1 Кб
  • Опубликовано:
    2012-04-10
Вы можете узнать стоимость помощи в написании студенческой работы.
Помощь в написании работы, которую точно примут!

Влияние низкочастотных акустических колебаний на остеорепарацию длинных трубчатых костей при комбинированных радиационно-механических поражениях

Оглавление

Введение

Глава 1. Обзор литературы

1.1          Особенности репаративной регенерации костной ткани после изолированного перелома кости

1.2     Способы оптимизации остеорепарации

.3       Особенности репаративной регенерации костной ткани при комбинированных радиационно-механических поражениях

.4       Способы и особенности лечения переломов кости при комбинированных радиационно-механических поражениях

Глава 2. Методы и материалы

Глава 3. Результаты экспериментального исследования

Выводы

Практические рекомендации

Список литературы

Введение

Проблема стимуляции репаративного остеогистогенеза в травматологии мирного и военного времени является весьма актуальной вследствие массовой распространенности травматизма, протекающего с поражением опорно-двигательного аппарата. В случае вооруженного конфликта с применением ядерного оружия и авариях на предприятиях с атомными энергетическими установками медицинской службе придется оказывать помощь пораженным с комбинированными радиационно-механическими поражениями (КРМП). Изучение этих поражений, отличающихся сложным патогенезом, особой тяжестью клинического течения и исходов, представляется весьма актуальной задачей практической медицины. По данным отчетов о последствиях ядерных взрывов в Японии, в зоне несмертельных поражений механические травмы практически в 100% случаев наносились вторичными снарядами или были обусловлены отбрасыванием людей взрывной волной. Закрытые переломы встречались чаще, чем открытые [4], в связи с чем проблема полноценной консолидации переломов приобрела особое значение. Несмотря на тщательное выполнение всех основных требований современного хирургического и консервативного лечения, иногда переломы костей скелета не срастаются, и тогда причины неудач приходится искать в особенностях репаративных возможностей организма, изыскивать новые пути стимуляции этих сложных процессов [30]. Информация об эффективности применения различных видов стимуляции остеорепарации при лечении переломов костей весьма противоречива. В качестве возможных способов влияния на процессы остеорепарации рассматривают применение низкочастотных акустических колебаний (НАК). Это и послужило основанием для проведения данного экспериментального исследования.

Цель исследования. Оценить влияние низкочастотных акустических колебаний на процессы остеорепарации у лабораторных животных при комбинированных радиационно-механических поражениях.

Для достижения цели исследования были определены следующие задачи:

. Провести анализ информационных источников, посвященных остеорепарации при изолированных переломах и КРМП.

. Разработать адекватную экспериментальную модель повреждения длинной трубчатой кости у крысы и провести экспериментальную оценку влияния различных низкочастотных акустических колебаний на процессы остеорепарации при комбинированных радиационно-механических поражениях.

Глава 1. Обзор литературы

.1 Особенности репаративной регенерации костной ткани после изолированного перелома кости

Костная ткань, согласно классификации, в основу которой положена ее способность к физиологической регенерации, относится к растущим тканям, содержащим в своем составе так называемый рассредоточенный камбий - малодифференцированные остеогенные клетки. В случае необходимости эти клетки могут быть мобилизованы для пролиферации и дифференцировки в костеобразующие клетки - остеобласты. Следует отметить, что значительное влияние на представления исследователей о регенерации костной ткани оказало учение А.А. Максимова о мезенхимальном резерве полипотентных клеток во взрослом организме, за счет которых происходят восстановительные процессы в опорных, соединительных и других тканях [44].

Для костной ткани возможна регенерация с восстановлением изначальной гистоархитектоники. По выражению С.Т. Зацепина костная ткань обладает “памятью формы” [14], которая проявляется в морфогенезе при регенерации. Благодаря этому уникальному свойству возможна полная регенерация - реституция костного органа, что позволяет возвращать к полноценной жизни большую часть раненых и пострадавших с повреждениями костей скелета [9].

В ходе онтогенеза индивидуума в тканях происходит постоянное изнашивание и гибель клеток - физиологическая дегенерация и замена их новыми - физиологическая регенерация [9]. Этот динамический процесс биологически направлен на восстановление анатомической целостности и обеспечение функции кости [31].

Под репаративной регенерацией костной ткани (остеорепарацией) понимают сложный процесс, вызванный разрушением костных структур, количественно превосходящим допустимые пределы физиологической регенерации. Этот динамический процесс биологически направлен на восстановление анатомической целостности и обеспечение функции кости [31]. Механизмы физиологической и репаративной регенерации качественно едины, осуществляются на основе общих закономерностей. Репаративная регенерация есть в той или иной мере усиленная физиологическая [11, 16]. Репаративная регенерация каждого вида тканей имеет свои особенности, но всегда включает процессы распада поврежденных клеток и межклеточного вещества, пролиферацию сохранивших жизнеспособность клеток, их дифференцировку, установление межклеточных связей - интеграцию, адаптационную перестройку регенерата. Репаративная регенерация может быть полной и неполной. Полная регенерация (реституция) характеризуется возмещением дефекта тканью, полностью идентичной погибшей. Неполная репаративная регенерация (субституция) - дефект замещается плотной волокнистой соединительной тканью - рубцом [9].

Консолидация механического перелома может происходить двумя путями [9]. Cращение переломов костей по первичному типу наблюдается при наличии диастаза 50…100мкм и полном обездвиживании костных отломков. В регенерате преобладает оксибиотический обмен, и консолидация происходит в ранние сроки путем формирования костной ткани в интермедиарном пространстве [31].

В случае наличия диастаза между отломками более 100 мкм, многооскольчатых переломов консолидация происходит путем вторичного сращения с образованием массивного костного регенерата (костной мозоли). Динамика остеорепарации в этом случае проходит ряд последовательных фаз, характерных для регенерационного гистогенеза [11]: Фаза ранних посттравматических изменений, фаза регенерации, фаза функциональной адаптации.

Время протекания репаративного остеогистогенеза после травмы костного органа строго детерминировано и зависит от многих причин. Оптимальным по времени является первичное костное сращение, однако происходит оно только при благоприятных условиях. Обеспечение таких условий и есть элемент влияния на скорость остеорепарации. В случае переломов, консолидирующихся через образование мультитканевого регенерата, вступают в действие иные временные константы [9].

Костная ткань активно участвует в обменных процессах и живо реагирует на различные механические, химические и физические факторы. Ответная реакция костной ткани может проявляться как повышением, так и понижением регенераторных процессов [26]. Этим объясняются многочисленные поиски путей активного воздействия на репаративную регенерацию костной ткани для ее стимуляции.

.2 Способы оптимизации остеорепарации

По мнению С.С. Ткаченко и В.В. Руцкого (1989), остеорепарация как динамический биологический процесс определяется во времени и пространстве, имеет в конечном итоге однонаправленную многофазность и в то же время цикличность и обратимость реакций каждой из стадий. Начавшуюся в момент травмы репарацию можно считать завершенной, если активность метаболизма достигнет физиологического уровня, когда закончится тканевая и органная, анатомическая и функциональная реституция. Из этого следует, что:

. оценить остеорепарацию можно на основе анализа отдельных реакций, ее фаз и стадий, но лишь с использованием объективных критериев конечного результата целостного процесса;

. стимулировать, обусловленную филогенезом остеорепарацию в период онтогенетического развития принципиально возможно, но в соответствии с эволюционным учением о наследственности она носила бы аномальный патологический характер. Известные способы воздействия на репарацию правомочно расценивать как оптимизацию условий для остеорепарации;

. необходимо согласиться с ранним применением стимуляции. При переломах она должна быть направлена на профилактику замедленной консолидации, а при нарушениях остеорепарации - на их коррекцию;

. независимо от вида стимуляции, показания и ее применение должны учитывать особенности патологического процесса и фазность регенерации [31].

Методы лечения переломов разделяют на консервативные (неоперативные), оперативные и комбинированные [10]. К консервативным относят лечение переломов гипсовыми повязками, повязками на основе полимерных материалов - полиуретановых смол (целлакаст, скочкаст, софткаст) и скелетное вытяжение. К оперативным относят внутренний остеосинтез металлическими конструкциями и наружный остеосинтез аппаратами с чрескостной фиксацией отломков спицами и стержнями. К комбинированным методам лечения переломов костей относят одновременное или последовательное сочетание оперативных и консервативных методов.

На сегодняшний день в арсенале травматолога имеются способы оптимизации сращения костной ткани, которые можно разделить на местные и общие. К общим относят парентеральное введение анаболических препаратов, адаптогенов, витаминов и других средств, проявляющих активность в отношении костной ткани (остеогенон, кальциферол, кальцитонин лосося и т. п.). Местные мероприятия нацелены на улучшение состояния костной раны и оптимизацию местного кровотока. К ним следует отнести сберегательную первичную хирургическую обработку раны (по показаниям) [5], точную репозицию, стабильную фиксацию, применение различных способов костной пластики. С этой же целью парентерально применяют препараты, улучшающие реологические свойства крови, дезагреганты, активизирующие микроциркуляцию средства, а также корригирующие объем циркулирующей крови [1].

Особым способом местного влияния на репаративный остеогистогенез является дозированная дистракция и компрессия. Указанные способы механического управления репаративной регенерацией используются строго по показаниям и сопряжены с длительным периодом перестройки дистракционного регенерата [9].

Несмотря на значительный арсенал современных средств лечения больных с переломами костей, не всегда удается создать условия для благоприятного восстановления поврежденной кости во всех фазах репаративной регенерации.

Известны методы склеивания костей с помощью «остеопласта» [6, 21], этоксилиновых смол, циакрина [21], метод «ультразвуковой сварки» костей с помощью костной гомостружки и циакрина [3, 21]. Данные методы лечения переломов костей имеют скорее исторический интерес.

В настоящее время в литературе имеются публикации, посвященные интраоперационному применению различных остеоиндуцирующих веществ - в частности костных морфогенетических белков [53]. Так в процессе резорбции трансплантата (костно-надкостничного лоскута) в окружающие ткани выделяется ряд биологически активных веществ, среди которых ведущая роль в стимуляции остеогистогенеза принадлежит костному морфогенетическому белку (КМБ). Показано, что КМБ регулирует дифференцировку стволовых стромальных и остеогенных клеток в остеобласты путем экспрессии некоторых генов, отвечающих за синтез остеоспецифических белков. Кроме различных фракций КМБ из резорбируемой кости высвобождаются и другие неколлагеновые белки костного матрикса (трансформирующие факторы роста -, остеокальцин, остеопонтин, остеонектин, костный сиалопротеин) [12].

В последнее время проводится широкий спектр исследований в области клеточной и тканевой инженерии костной ткани [8, 13].

По современным представлениям, «идеальный» костно-замещающий материал характеризуется рядом свойств: остеогенностью - содержит клеточные источники для остеогенеза; остеоиндукцией - запускает остеогенез; остекондукцией - служит матрицей для образования новой кости в ходе репаративного остеогенеза, обладает способностью направлять ее рост; остеопротекцией - заменяет кость по механическим свойствам [20, 33, 38].

Целесообразно разделить предложенные исследователями имплантаты по принципу необходимой для их введения степени хирургической агрессии. Материалы, требующие открытых хирургических вмешательств - это композиции на основе гидроксиапатита, трикальцийфосфата, коралла и др. Доказано, что только пористая структура позволит избежать развития соединительнотканной капсулы на границе с имплантатом и обеспечит непосредственную остеоинтеграцию. Подобные имплантаты, по мнению ряда авторов, наиболее перспективны для сочетания их с культивированными клетками [37, 43].

В опытах на животных показано образование костной ткани при имплантации таких образцов вместе с культивированными клетками не только в скелетных органах, но и в мышцах, подкожной жировой клетчатке [37]. В качестве пористой матрицы может быть использован гидроксиапатит. Заселение его культивированными костномозговыми стромальными клетками с последующим имплантированием подкожно сингенным крысам приводило к новообразованию коллагеновых волокон и миниролизации матрикса в имплантате через 4 недели. Описано использование пористого имплантата из трикальцийфосфата, заселенного выращенными in vitro клетками остеогенного слоя надкостницы [33], причем часть клеток культивировали в присутствии трансформирующего фактора роста I. Полученные результаты оценивали с помощью гистологических, гистохимических и иммуноцитохимических методов, выявляя щелочную фосфатазу, коллаген I типа, остеокальцин. Было показано, что через 40 дней в отсутствии фактора роста дефект в основном был заполнен остеоидом, в то время как при добавлении фактора роста формировалась зрелая костная ткань. Перспективным представляется использование в качестве носителя пористых имплантатов из стеклокристаллических материалов, в том числе биоситалла [42]. Получены положительные результаты по основным биологическим свойствам имплантатов из этого материала [23].

Другая категория методов внесения культуры остеогенных клеток не требует «открытых» операций, а осуществляется через точечные проколы. Для этого можно использовать либо микрогранулированный полимерный материал, либо различные гели, например, коллагеновый или на основе желатина [12].

Применение оперативных (хирургических) способов воздействия на остеорепарацию сочетают с консервативными, что оправдано, если учесть, что консервативные методы воздействия при неблагоприятных условиях в месте перелома кости лишены смысла. Главной целью хирургического лечения раненых и пострадавших с повреждением костей скелета можно определить, как создание благоприятных условий для реализации закономерностей репаративной регенерации костной ткани, приблизив ее к биологической константе [12].

Первую систематизированную классификацию, охватывающую почти за 80 лет все рекомендуемые способы воздействия на процесс регенерации костной ткани, предложил в 1939 г. А.И. Эльяшев. Автор разделяет следующие виды стимулирующей терапии:

. Механические способы (поколачивание, трение отломков друг о друга, механическое вызывание застоя).

. Лучистая терапия (гелиотерапия, ультрафиолетовая терапия, рентгенотерапия).

. Электротерапия (гальванизация, ионтофорез, диатермия, ультракоротковолновая терапия).

. Грязелечение.

. Инъекция раздражающих химических веществ (йодная настойка, кальций, силиций, хинин, осмиевая кислота, молочная кислота).

. Инъекции веществ, имеющих нутритивное, гормональное и специфическое значение (глюкоза, инсулин, оссофит, кровь, эмульсин, экстракты, аутолизаты и лизаты тканей, продукты жизнедеятельности микробов, витамины) [6].

За последние годы проблема стимуляции остеорепарации обогатилась новыми достижениями.

Прогресс медицинской техники и использование в клинической практике физиотерапевтических (стимулирующих) способов лечения переломов костей связаны с введением в организм человека энергии. Изучение механизмов ее воздействия необходимо для совершенствования аппаратуры, развития оперативной техники и для создания эффективных способов активного управления регенерацией. Среди таких способов наиболее актуальными являются применение ультразвука (диапазон колебаний более 20000 Гц), электрического поля, излучения ОКГ (оптический квантовый генератор), гальваноэлектростимуляция, инфракрасное лазерное излучение, диатермия.

Электростимуляция остеорепарации. Костная ткань относится к гетерогенным или анизотропным системам и характеризуется поляризационными свойствами. Результаты изучения пассивных электрических свойств кости позволили отнести ее к полупроводникам. Имеются данные, что при напряжении меньше 1,0…1,2 В электрическое сопротивление в мозговом канале равнялось 200 кОм, кортикального слоя - 3…5 МОм, а после высушивания кости превышало 10¹º Ом. Под действием тока в костной ткани наблюдается поверхностная поляризация у электродов, увеличивается импенданс и соответственно снижается сила электрического тока, падение которого замедляется по мере возрастания объемной емкостной поляризации и достигает относительно установившегося уровня. Включаются механизмы электрофореза и электроосмоса, происходит перемещение зарядов в электрическом поле. Стимулирующий эффект проявляется в дифференцировке молодых костных клеток и минерализации регенерата. В экспериментах установлено стимулирующее остеогенез действие катодной поляризации постоянным током за счет повышения циркуляторно-метаболической активности тканей в зоне повреждения. Ставя в зависимость от качества репозиции и стабильности фиксации костных отломков, успех электростимуляции объясняют раздражением и реакцией остеогенных клеток, ориентацией новообразующихся структур в электрическом поле, изменением рН с оптимумом для дифференцировки остеогенных клеток и кальцификации, с изменением полярности в соответствии с фазами регенерации, нормализацией микроциркуляции и с повышением энергетического обеспечения. Стимуляция постоянным током была оптимальной в фазе перестройки и минерализации костного регенерата. Воздействие импульсным током активизировало остеорепарацию на всех ее этапах с преобладанием в ранние периоды. При стимуляции переменным током - в стадии формирования остеогенной ткани и первичной костной мозоли. Механизмы воздействия электростимуляцией можно условно разделить на локальные и опосредованные. Локальные проявляются непосредственно в околоэлектродном пространстве. Изменения в тканях при первичных локальных эффектах (поляризация, электролиз, электрофорез, электроосмос, электрохимия, изменение стереометрии потенциалов, сдвиг кислотно-основного состояния) и вызванные ими вторичные процессы (перераспределение зарядов, изменение активности ферментов, образование остеоиндукторов и ингибиторов, образование и утилизация макроэргов) индуцируют опосредованные механизмы электростимуляции остеорепарации, которые через вторичные специфические (индукция потенциалов, вегетотрофическая репекуссия) и неспецифические (гуморальные, нейрорефлекторные, иммунологические) реакции инициируют остеорепарацию не только у электродов, но и в других локализациях [31].

Ультразвук. В основе биологического действия ультразвуковых волн лежит их способность поглощаться тканями человека и животных. Энергия поглощенного ультразвука претерпевает в организме ряд превращений, главными из которых являются образование тепла, возникновение механических сил и связанных с ними физико-химических явлений- изменение ионной структуры клетки, проницаемости клеточных мембран, конфигурации и энергии биоколлоидов, усиление ферментативных процессов [27]. Также влияние ультразвука проявляется посредством рефлекторного действия через вегетативную нервную систему и систему гипофиз - кора надпочечников [27,29]. Таким образом, ультразвук можно рассматривать как мощный лечебный фактор, усиливающий крово- и лимфообращение [26], путем ускорения диффузии жидкостей, уменьшения вязкости крови, разрушения тромбов, повышения давления кислорода в тканях, очищения кровеносных сосудов от атероматозных наложений [24]; уменьшающий сосудистый и мышечный спазмы; повышающий клеточную проницаемость и тканевой обмен, оказывающий противовоспалительное и обезболивающее действие [26].

Вопрос о влиянии ультразвука на процессы регенерации костной ткани освещен в литературе крайне противоречиво, а выводы большинства экспериментальных работ зачастую несут эмпирический характер. Расхождение мнений о действии ультразвука на костную ткань можно объяснить применением различных методик экспериментальных исследований, разными условиями воздействия ультразвуковой энергии, ее режима и интенсивности, неодинаковой оценкой величины применяемых доз и т. д. Так, например, описано вредное влияние ультразвука на кости и костную мозоль [17, 29]. Авторы применяли преимущественно высокие дозы ультразвука и наблюдали целую шкалу поражения костей - от дегенерации до переломов. Напротив, Г. Кнох и К. Кнаут (1975), А.З. Амелин и Е.И. Лоцова (1980) в результате эмпирического подхода, применяя низкие дозы ультразвука, ускоряли образование костной мозоли.

В эксперименте К.Хилла в 1989 году было обнаружено, что ультразвуковое воздействие во время воспалительной и ранней пролиферативной фаз ускоряет и улучшает выздоровление. Костная мозоль содержала больше костной ткани и меньше хрящевой. Однако ультразвуковое воздействие в поздней пролиферативной фазе привело к негативным явлениям - усиливался рост хрящевой ткани и задерживалось образование костной массы [22].

Применение низкочастотных и импульсных колебаний для оптимизации процессов остерепарации.

Известен факт, что состояние косной ткани (её плотность, степень минерализации) связана со скоростью распространения акустической волны через неё [35]. Исследователями обнаружено на различных моделях, что акустические колебания диапозоном 35 - 40 Гц увеличивают прочность костной ткани [51].

Процессы остеорепарации зависят от множества условий, таких как характер перелома, особенности кровообращения (условие «лакунарности» Адамара), жесткости фиксации и нагрузки. На рис. 1 представлены возможные механизмы влияния различных факторов на процессы консолидации кости.

Еще в 1955 году Yasuda открыл феномен «электирической мозоли» (Electric Callus) и сформулировал постулат, что “динамическая энергия, оказываемая на кость, трансформируется в костную мозоль”.

Оптимальная механическая стимуляция выступает в качестве анаболического стимула для качественной остеорепарации кости [47]. На рис.2 графически отображена экспериментальная зависимость прочностных характеристик кости от количества энергии переданной в результате физической стимуляции костной ткани.

Давно известно, что механическая стимуляция может индуцировать процессы остерепарации или изменять их [46, 36]. Повторяющаяся нагрузка незначительной силы и высокой частоты или перегрузка избыточными упражнениями может быть причиной гипертрофии костной ткани [39, 47]. Большое влияние на процессы остеорепарации оказывает сила прилагаемой нагрузки, ее частотная характеристика, а также направление воздействия. На рис.3 приведены возможные пути репарации костной ткани в зависимости от характеристик, прилагаемых физических влияний.









Рис. 1. Пути регуляции остеорепарации под влиянием биологической и физической стимуляции.

Рис.2. Зависимость прочностных характеристик кости от количества энергии, переданной кости при физической стимуляции.








Рис.3. Предположительные пути трансформации кости под влиянием различных типов физических влияний.

Разными исследователями для стимуляции остеорепарации были использованы физические влияния различных амплитудно-частотных характеристик. Были использованы пульсовой ультразвук низкой интенсивности [41, 54], пульсовое электромагнитное поле [49], стимуляция ударной волной [52], низкоинтенсивная высокочастотная вибрация [51, 50], механическая низкочастотная стимуляция (диапазоном 1 Гц) [40, 45] - в аппарате внешней фиксации и др. В большинстве экспериментальных работ наблюдали процессы стимуляции остеорепарации. Пульсовой ультразвук низкой интенсивности ускорял заживление переломов путём стимуляции раннего синтеза внеклеточного матричного протеина [54]. Пульсовое электромагнитное поле индуцировало синтез могфогенетического протеина 2 и 4 в остеобластах [34]. Применение ударной волны вызывало микротравматизацию, и вследствие этого активировало процессы неоваскуляризации и трансформации гематомы, что в свою очередь увеличило активность остеобластов и фибробластов [52]. В случае использования низкочастотной механической стимуляции наблюдали уменьшение воспалительных реакций и активацию остеобластов.


В период роста кости и хрящи весьма радиочувствительны, во взрослом же состоянии они становятся значительно резистентнее. Их отнесение к «типичным радиорезистентным» тканям лишь условно. Лучевое повреждение в них реально возникает и легко обнаруживается при возбуждении регенерационного процесса дополнительной травмой, способность к излечению которой оказывается резко подавленной в абсолютном большинстве случаев уже при дозах порядка 10 Гр. В качестве примера лучевого поражения костей можно указать на образование остеонекроза, а также на возникновение спонтанных переломов в зоне облучения. Несмотря на отсутствие видимых радиационных повреждений кости, они отчетливо выявляются замедлением заживления переломов, вплоть до образования ложных суставов [32].

По данным И.Л. Крупко, С.С. Ткаченко и ряда других авторов можно с определенностью утверждать, что небольшие дозы ионизирующих излучений дают некоторое ускорение регенеративных процессов в костной ткани, большие же дозы, как правило, приводят к угнетению регенерации. Небольшие «стимулирующие дозы» вызывают ускорение процесса остеогенеза, протекающего по типу «абортивного костеобразования», а массивные дозы ионизирующих излучений приводят к возникновению ряда форм атипического, патологического мозолеобразования (цит. по П.В. Сиповскому, 1958).

Механизм нарушения посттравматической регенерации костной ткани при КРМП

остается недостаточно исследованным. Исследователи называют самые разнообразные причины, лежащие в основе патогенеза нарушения репаративных процессов костной ткани при воздействии ионизирующей радиации. В частности, показана определенная роль нервной и нейроэндокринной систем. Развивающаяся лейкопения и сопутствующие лучевому поражению кровоизлияния, в результате развития тромбоцитопении, отрицательно сказываются на процессах репаративной регенерации. Важным фактором, способствующим развитию нарушений репаративной регенерации, является непосредственное повреждение клеток ионизирующими излучениями, а также местное и общее изменение обмена веществ. Определенное место в развитии нарушений посттравматической регенерации костной ткани при лучевом поражении организма отводят сосудистому фактору. Также имеются экспериментальные работы, в результате которых было обнаружено, что в организме с закрытым переломом кости и его комбинации с однократным и повторным облучением появляются аутоантитела к надкостнице, коллагену кортикального слоя кости и костному мозгу [25].

Причинами замедления течения костной регенерации в первую очередь являются тяжелые повреждения и гибель камбиальных тканевых элементов кости, то есть клеток периоста и эндоста [28]. C.С. Ткаченко считает, что особенно нарушается жизнедеятельность эндостальных тканевых элементов, что вполне объяснимо, учитывая тяжелые изменения, наступающие в костном мозге. Повреждению остеопотентных тканевых элементов способствует не только весьма вероятное непосредственное на них воздействие лучевого фактора, но и вся сумма местных и общих нервно-трофических и гемодинамических расстройств, при этом возникающих. Существенное значение в участке перелома, несомненно, имеют и те тяжелые патофизиологические и структурные изменения, которые претерпевают залегающие здесь и в костной ткани сосуды, со всеми последующими исходами таких изменений. К таковым следует отнести, в частности, нарушения проницаемости сосудистых стенок, плазморрагии, кровоизлияния и т.д. (цит. по П.В. Сиповскому, 1958).

Так же в условиях воздействия лучевого фактора происходит извращение дифференцировки остеогенных клеточных элементов, в какой то мере поврежденны, но не полностью утративших свои жизненные потенции. По данным гистологических исследований П.В. Сиповского (1958) и ряда других авторов количество остеоидной ткани оставалось долгое время незначительным. Большая часть остеобластов претерпевала дистрофические изменения, при этом они уменьшались в количестве и размерах, сморщивались или вакуолизировались. Ядра их подвергались кариорексису или кариолизису. Необходимо заметить, что остеокласты претерпевают те же деструктивно-дистрофические изменения, как и остеобласты. В итоге этих повреждений вместо остеоидной и костной ткани в участке перелома возникают в избыточном количестве плотная фиброзная хондроидная и хрящевая ткани. В структурном отношении они не всегда являются полноценными. Фиброзные пучки нередко представляются гиалинизированными. В хондроидной и хрящевой ткани отмечаются дистрофические изменения.

Параллельно происходит неполноценное формирование остеоидной и костной ткани, обусловленное вышеуказанными причинами, приводящее к образованию тонких костных балочек (порой рассасывающихся по атрофическому типу). Одновременно отмечается нарушение синхронности между процессами образования остеогенных тканей и скоростью (и полноценностью) их оссификации. В отдельных случаях оссификация наступает преждевременно, что способствует формированию неполноценных «маленьких» по объему костных мозолей [28].

Регенерация костной ткани и исход восстановительного процесса поврежденной кости после комбинированного радиационно-механического поражения находятся в прямой зависимости от дозы ионизирующей радиации - чем выше доза, тем медленнее протекает процесс посттравматической остеорепарации.

1.4
 Способы и особенности лечения переломов кости при комбинированных радиационно-механических поражениях

Комбинированные радиационно-механические поражения характеризуются «синдромом взаимного отягощения» - например, лучевая болезнь ухудшает течение и исходы переломов, которые в свою очередь отягощают течение и прогноз лучевой болезни.

«Синдромом взаимного отягощения» проявляется в виде:

более тяжелого общего течения поражения и снижения числа благоприятных ближайших и отдаленных исходов лечения пораженных;

нарушений защитно-адаптационных реакций на травму;

ускорения развития и более выраженного проявления основных симптомов лучевого поражения;

замедленного и осложненного течения репаративной регенерации переломов [15].

Комбинация лучевых поражений с переломами отрицательно влияет на общее состояние пострадавших. В опытах на собаках показано, что при средней степени лучевого поражения и переломе кости с первых дней подопытные животные начинают худеть, становятся вялыми, отказываются от пищи. В последующие дни у них появляются поносы (иногда кровавые), слюнотечение, конъюнктивиты, параличи задних конечностей. Лейкопения (до 1000-1500 в 1 мкл) наиболее выражена в первые 3-12 суток после травмы, уменьшение числа лейкоцитов происходит за счет лимфоцитов и частично нейтрофилов, имеет место небольшая моноцитопения, резко снижается количество тромбоцитов и ретикулоцитов. Наибольшее снижение лимфоцитов (на 88% от нормы) наблюдается через 1-2 дня после травмы [4].

В течении КРМП выделяют четыре основных периода:

I-острый период (период первичных реакций на лучевые и нелучевые травмы);

II-период преобладания нелучевых компонентов;

III- период преобладания лучевого компонента;

IV- период восстановления [15].

Различия в динамике постлучевых и посттравматических нарушений создают своеобразную и изменяющуюся клинику комбинированных радиационных поражений.

В первые часы и сутки - это клиника травмы: болевой синдром, адинамия, тахипноэ, тахикардия, гипертензия и т.д.

Дальнейшая динамика процесса зависит от степени воздействия повреждающего фактора. Если перелом комбинируется с лучевым поражением в легкой степени, то далее следует «клиника выздоровления» с постепенной ликвидацией местных повреждений - заживлением костной раны. В эксперименте при тяжелом лучевом воздействии уже в период временного улучшения в крови отмечается смена лейкоцитоза лейкопенией, регистрируется абсолютная лимфопения. Быстрее, чем в сериях «чистого» лучевого контроля, наступает фаза полного проявления лучевого поражения. Если рана после нанесения перелома еще не зажила, она нагнаивается. На «пике» процесса отмечают: лейко-, лимфо- и тромбоцитопению, анемию с анизоцитозом и другие признаки панцитопении. Таким образом, развивается типичная клиника лучевого поражения.

Для лечения переломов трубчатых костей при КРМП используют как консервативные, так и оперативные способы репозиции и фиксации отломков, применяемые в обычной травматологической практике [18]. Основной принцип лечения комбинированных радиационных поражений заключается в комплексном применении методов и средств лечения лучевых и нелучевых травм [15].

При оказании специализированной помощи необходимо учитывать время, прошедшее после получения КРМП. Так, через 1-3 сут. при наличии шока проводят общепринятые противошоковые мероприятия, включая оперативные вмешательства по жизненным показаниям; закрытая ручная и аппаратная репозиция отломков кости. При неудаче консервативных мероприятий открытая репозиция или остеосинтез отломков; иммобилизация с помощью гипсовых повязок или фиксирующих отломки аппаратов. При открытых переломах первичная хирургическая обработка ран, репозиция отломков, фиксация отломков с помощью гипсовых повязок или других методов; при больших дефектах кожи - аутопластика. При необходимости проводят купирование первичной реакции на облучение. По прохождении 4 -14 суток проводят дезинтоксикационную терапию, профилактику и лечение раневой инфекции, проявлений орофарингеального синдрома, повышенной кровоточивости. Стимуляция восстановительных процессов в поврежденной кости. Усиленное белковое питание (по показаниям парентеральное или зондовое). Через 15-30 сут. проводятся все перечисленные мероприятия по поводу механических травм, исключая оперативное лечение (операции только по жизненным показаниям); лечение общих инфекционных осложнений и раневой инфекции, геморрагического синдрома, при поздних или повторных кровотечениях из ран прошивание их краев, перевязка сосудов на протяжении, введение поливитаминов; переливание крови, эритроцитарной, тромбоцитарной массы. При сроке более 30 сут. осуществляются терапевтические, хирургические и реабилитационные мероприятия по поводу последствий механических и лучевых повреждений [4].

Длительность гипсовой иммобилизации при КРМП должна быть увеличена на 1-2 месяца (при переломах длинных трубчатых костей). При множественных и сочетанных травмах показано преимущественно консервативное лечение переломов [15].

В полной мере сохраняет свое значение основной принцип оказания помощи с радиационно-механическими травмами - осуществление хирургического вмешательства до разгара лучевого поражения под «прикрытием» антибактериальной терапии. Замедленная консолидация переломов при КРМП диктует необходимость увеличения продолжительности применения гипсовой повязки. Предпочтительны щадящие методы репозиции и фиксации отломков (скелетное вытяжение, гипсовая повязка и др.), внеочаговая фиксация отломков костей с помощью компрессионно-дистракционных аппаратов [19].

Несмотря на то, что методы лечения переломов при КРМП имеют свою историю, необходимо изыскивать новые, наиболее оптимальные способы стимуляции остеорепарации к которым можно отнести применение акустических колебаний различной частоты.

остеорепарация регенерация кость радиационный перелом

Глава 2. Методы и материалы

Эксперимент выполнен на 36 белых беспородных крысах, массой 180 - 220 г. Всем животным производилась остеотомия бедренной кости в средней трети. Методика операции у всех животных была одинаковой и производилась с одновременным моделированием интрамедуллярного остеосинтеза по собственной методике: после предварительного введения 0,7 мл 1 % раствора пропофола и 0,4 мл 0,25 % раствора дроперидола под местной анестезией 0,5 % раствором новокаина продольным разрезом по передне- наружной поверхности бедра рассекали кожу и тупым способом разводили мышцы (по межмышечной перегородке передней и задней групп мышц бедра). С помощью офтальмологического пинцета и изогнутого желобоватого зонда выделялась и одновременно ограничивалась средняя треть бедренной кости. Следующим этапом было введение титанового стержня (титановая проволока 0,7 × 25 мм ВT - 10) на всю длину костномозгового канала бедренной кости через полость коленного сустава. Бором производили остеотомию бедренной кости по всей окружности, после чего отломки кости сопоставлялись. Рану послойно ушивали наглухо, для профилактики инфекционных осложнений внутримышечно однократно вводили 500000 ЕД бензилпенициллина натриевую соль.

Cразу после завершения операции все животные подвергались равномерному гамма-облучению в дозе 3,0 Гр. Тем самым создавалась модель комбинированного радиационно-механического поражения.

На второй день после операции на опытные группы животных осуществляли курсовое воздействие низкочастотными акустическими колебаниями с различными диапазонами частот (таблица 1).

Было сформировано 6 групп животных по 6 крыс в каждой группе с остеотомией бедренной кости и подверженных общему гамма-облучению в дозе 3,0 Гр. Начиная со второго дня после операции, ежедневно в течение 30 сут. на опытные группы животных воздействовали низкочастотными акустическими колебаниями: Группа 1 - частотой 5 Гц, Группа 2 - частотой 50 Гц, Группа 3 - частотой 1 Гц (рис.4), Группа 4 - модуированной частотой - несущая частота 5 Гц с частотой наложения 200 Гц, (рис.5).

Группа 5 (контрольная) - на животных не воздействовали низкочастотными акустическими колебаниями. Время наблюдения до выведения из опыта составило 30 сут.

Группа 6 (контрольная) - на животных не воздействовали низкочастотными акустическими колебаниями. Время наблюдения до выведения из опыта составило 45 сут.

Таблица 1

Воздействие низкочастотными акустическими колебаниями


Частота НАК, Гц

Время воздействия НАК, мин.

Время наблюдения за животными, сут.

Уровень шумового давления, Дб

Группа 1

5

25

30

95

Группа 2

50

25

30

95

Группа 3

1

25

30

95

Группа 4

5 Гц + 200 Гц

25

30

95

Группа 5 (контроль)

_

_

30

_

Группа 6 (контроль)

_

45

_


Рис.4. Схема воздействия НАК в 1, 2 и 3 группе животных с частотой колебаний 5, 50 и 1 Гц (соответственно).

Рис.5. Схема воздействия НАК. Модулированная частота - несущая частота 5 Гц с частотой наложения 200 Гц.

После выведения животных из опыта оценка динамики репаративного остеогенеза производилась путем изучения выделенного материала посредством рентгенографии. Далее осуществили морфологическую оценку регенерата.

На полученных рентгенограммах оценили оптическую плотность зоны регенерата методом цитоморфометрии с помощью программного обеспечения PhotoM версия 1.21 (freeware) A. Chernigovskii (2000 - 2001 г.).

Для гистологического исследования экспериментального материала костная ткань фиксировалась в 10 % нейтральном формалине и декальцинировалась в 25 % растворе трилона Б. По стандартной методике приготавливались парафиновые блоки с последующим изготовлением срезов толщиной 15-20 мкм. Обзорное морфологическое и морфометрическое исследование проводилось на препаратах, окрашенных гематокислином и эозином, пикрофусином по Ван Гизону.

Производился морфометрический подсчет площади тканевых структур (соединительная ткань, зрелые костные балки, незрелые костные балки, кроветворная мозговая ткань, сосуды кортикальной пластинки) в зоне межотломковой щели с помощью морфометрической окулярной стенки Автандилова. В 5 полях зрения при увеличении 200 по 100 точкам осуществлялось определение относительной площади, занимаемой изучаемыми структурами в единице поля зрения, при этом артифициальные изменения не учитывались.

Данные обрабатывали методами вариационной статистики с использованием t-критерия Стьюдента.

Глава 3. Результаты экспериментального исследования

В послеоперационном периоде отдельные группы животных содержались в индивидуальных клетках. Клиническое наблюдение за животными показало, что в течение первых трех суток животные были адинамичны, плохо поедали корм, щадили конечность, при этом определялся отек мягких тканей в месте операции. На пятые сутки отек спадал, кожная рана заживала; затем возникало полное восстановление функции конечности.

На рис. 6, 7, 9, 11 представлены типичные рентгенограммы бедренной кости крыс через 30 сут. после остеотомии, общего равномерного гамма-облучения 3,0 Гр и воздействия низкочастотными акустическими колебаниями разного диапазона. На рис. 13, 15 представлены рентгенограммы бедренной кости крысы через 30 и 45 сут., соответственно, после остеотомии, общего равномерного гамма - облучения 3,0 Гр, без стимуляции остеорепарации низкочастотными акустическими колебаниями.

Группа 1

Рентгенологически на 30 сут. эксперимента определяется относительно массивная периостальная фиброзная мозоль с выраженной резорбцией отломков кости. В трех случаях прослеживается кортикальный слой в области остеотомии с частичным восстановлением костномозговой полости (рис.6).

Рис.6. Типичная рентгенограмма бедренной кости крысы группы 1 через 30 сут. после остеотомии и общего равномерного гамма - облучения 3,0 Гр. Воздействие НАК - частота 5 Гц.

Оптическая плотность зоны регенерата-0,358 ± 0,024, р < 0,05.

Морфологически на 30 сут. эксперимента обнаруживается сформированная первичная мозоль с образованием рыхлой волокнистой соединительной ткани с частично минерализованными примитивными и зрелыми костными балками. Выраженная пролиферация остеогенных клеток, большое количество сосудов мелкого калибра как эндо- так и периостально.

Группа 2

Рентгенологически на 30 сут. эксперимента отчетливо прослеживается линия остеотомии. Со стороны периоста и эндоста новообразованная ткань костной плотности соединяла отломки. В 5 случаях отмечается неполное восстановление целостности кортикальной пластинки (рис.7).

Рис. 7. Типичная рентгенограмма бедренной кости крысы группы 2 через 30 сут. после остеотомии и общего равномерного гамма-облучения 3,0 Гр. Воздействие НАК - частота 50 Гц.

Оптическая плотность зоны регенерата- 0,131 ± 0,017, р<0,05.

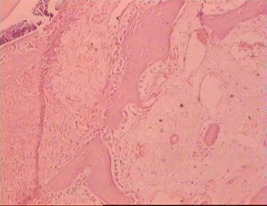
Морфологически на 30 сут. эксперимента в зоне дефекта обнаруживается первичное костное сращение с образованием соединительнотканной мозоли с участками хондроидного строения, очаговым отложением кальция, единичными зрелыми и большим количеством незрелых костных балок. Периостально слабо выраженное разрастание соединительной ткани с умеренной лимфо-плазмоцитарной инфильтрацией (рис. 8).

.

Рис.8. В межотломковой щели разрастание соединительной ткани с участками хондроидного строения, отложением кальция, новообразованием преимущественно незрелых костных балок. Окраска гематоксилином эозином. Увеличение х 200.

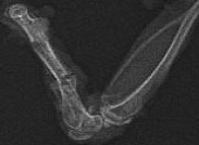
Группа 3

Рентгенологически на 30 сут. эксперимента в 4 случаях прослеживается кортикальный слой в области остеотомии и частичное восстановление костномозговой полости. Отмечается массивная периостальная фиброзная мозоль при выраженной резорбции концов отломков кости (рис.9).

Рис.9. Типичная рентгенограмма бедренной кости крысы группы 3 через 30 сут. после остеотомии и общего равномерного гамма-облучения 3,0 Гр. Воздействие НАК - частота 1 Гц

Оптическая плотность зоны регенерата- 0,461 ± 0,026, р < 0,05.

На 30 сут. межотломковая щель представлена рыхлой волокнистой соединительной тканью с кистами и сосудами синусоидного типа, фиброретикулярной тканью со значительным количеством зрелых и незрелых костных балок, не полностью заполняющих костно-мозговой канал. Контуры кортикальной пластинки в зоне краев нечеткие. Периостально определяется умеренно выраженная фиброзно-хрящевая мозоль со зрелыми костными балками, перекрывающая межотломковую щель (рис.10).

Рис.10. Новообразование остеоида и частично минерализованных костных трабекул. Окраска гематоксилином и эозином. Увеличение х 200.

Группа 4

Рентгенологически на 30 сут. эксперимента в 5 случаях отмечается активное формирование костных структур, ранняя перестройка костной мозоли, восстановление целостности кортикальной пластинки и частичное восстановление костномозгового канала. Линия остеотомии отчетливо прослеживается в одном случае (рис.11).

Рис.11. Типичная рентгенограмма бедренной кости крысы группы 4 через 30 суток после остеотомии и общего равномерного гамма-облучения 3,0 Гр. Воздействие НАК - модулированная частота - несущая частота 5 Гц с частотой наложения 200 Гц.

Оптическая плотность зоны регенерата - 0,501 ± 0,012, р < 0,05.

На 30 сут. эксперимента в межотломковой щели определяется зрелая фиброретикулярная ткань с меньшим количеством тканевых кист, небольшим количеством тонкостенных сосудов с единичными лимфоцитами и макрофагами, меньшим количеством по сравнению с 3 группой зрелых и незрелых костных балок. Контуры краев отломков не отчетливы. В кортикальной пластинке прослеживается увеличение по сравнению с 3 группой числа расширенных сосудистых каналов. Периостально - небольшая фиброзно-хрящевая мозоль с включением более зрелых костных балок (рис.12).

Рис.12. Образование соединительной ткани и костных трабекул в межотломковой щели. Окраска гематоксилином эозином. Увеличение х 200.

Группа 5

Рентгенологически на 30 сут. эксперимента во всех случаях отчетливо прослеживалась линия остеотомии. Периостально выражена фиброзная мозоль (рис.13).

Рис.13. Типичная рентгенограмма бедренной кости крысы группы 5 через 30 сут. после остеотомии и общего равномерного гамма - облучения 3,0 Гр.

Оптическая плотность зоны регенерата - 0,044 ± 0,0046, р < 0,05.

На 30 сут. эксперимента прослеживается новообразование волокнистой соединительной ткани на всем протяжении пространства между краями костного дефекта. Среди которой, преимущественно в глубине на уровне костного канала, располагаются, в основном, примитивные костные балки. В кортикальной пластинке - дезорганизация и нарушение минерализации костной ткани. Периостально - наиболее выраженное по сравнению с другими группами разрастание зрелой соединительной, а также грануляционной ткани с наибольшим количеством сосудов мелкого калибра, выраженной инфильтрацией лимфоцитами, макрофагами, плазмоцитами с примесью большого количества сегментоядерных лейкоцитов (рис.14).

Рис.14. Выраженное периостальное разрастание соединительной ткани с большим количеством тонкостенных сосудов и клеточной инфильтрацией. Окраска гематоксилином и эозином. Увеличение х 200.

Группа 6

Рентгенологически на 45 сут. эксперимента в 4 случаях отмечается активное формирование костных структур, восстановление костномозгового канала и частично кортикальной пластинки. В 2 случаях слабо прослеживается линия остеотомии. Со стороны периоста и эндоста новообразованная ткань костной плотности соединяла отломки (рис.15).

Рис.15. Типичная рентгенограмма бедренной кости крысы группы 6 через 45 сут. после остеотомии и общего равномерного гамма- облучения 3,0 Гр.

Оптическая плотность зоны регенерата- 0,503 ± 0,015, р < 0,05.

Через 45 сут. после начала эксперимента межотломковая щель заполнена фиброретикулярной тканью с тканевыми кистами, очагами гиалинового хряща, а также с небольшим количеством в основном примитивных и единичных зрелых костных балок, которые определяются также на всем протяжении представленного участка костномозгового канала. Периостально- костная мозоль, состоящая из грубоволокнистой соединительной и хрящевой ткани, и расположенных хаотично зрелых костных балок. Сохранились контуры краев консолидировавшихся отломков. Структура кортикального слоя не до конца соответствует нормальной- имеются расширенные сосудистые каналы (рис.16).

Рис.16. Новообразование соединительной ткани и костных балок. Окраска гематоксилином эозином. Увеличение х 200.

В табл. 2 представлены результаты оценки оптической плотности зоны регенерата.

Таблица 2

Результаты оценки оптической плотности зоны регенерата


Группа 1

Группа 2

Группа 3

Группа 4

Группа5

Группа6

Среднее значение оптической плотности на площади 10 мм2 в области регенерата и близлежащей костной ткани, условные единицы при р < 0,05

 0,131  ± 0,017

 0,461  ± 0,026

 0,501  ± 0,012

 0,044  ± 0,0046

 0,503  ± 0,015


Анализ полученных результатов оптической плотности зоны регенерата позволяет сделать выводы о том, что низкочастотные акустические колебания оказывают стимулирующее влияние на процессы остеорепарации. Так оптическая плотность регенерата во всех группах, в которых использовали НАК была выше, чем в контрольной группе (группа 5) тоже же срока (30сут.): группы 1, 2, 3, 4 - 0,358 ± 0,024; 0,131 ± 0,017; 0,461 ± 0,026; 0,501 ± 0,012, соответственно, и группа 5 (контроль) - 0,044 ± 0,0046. Наибольшая оптическая плотность зоны регенерата отмечена в группе 4, где использовали модулированные НАК. Оптическая плотность на рентгенограммах у животных 4 группы практически соответствовала результатам у животных группы 6 (контроль 45 сут), 0,501 ± 0,012 и 0,503 ± 0,015, соответственно. Таким образом, основываясь на данных оптической плотности регенерата, наибольшее стимулирующее влияние на процессы остеорепарации оказывают модулированные НАК.

В табл. 3 представлены средние значения площади тканевых структур (соединительная ткань, зрелые костные балки, незрелые костные балки, кроветворная мозговая ткань, сосуды кортикальной пластинки), полученные при исследовании 6 случаев в каждой группе.

Таблица 3

Средние значения площади тканевых структур


Соединительная ткань

Зрелые костные балки

Незрелые костные балки

Сосуды Кортикальной пластики

Мозговая ткань

Контроль, 45 сут.

74 ± 7

3 ± 1

7 ± 2

13 ± 3

3 ± 1

Контроль, 30 сут.

70 ± 7

2 ± 1

10 ± 3

17 ± 4

1 ± 1

1 группа

67 ± 6

17 ± 4* **

5 ± 1

9 ± 2

2 ± 1

2 группа

64 ± 6

9 ± 3* **

12 ± 2

13 ± 2

2 ± 1

3 группа

67 ± 6

12 ± 3* **

9 ± 3

7 ± 2

5 ± 2

 4 группа

59 ± 6* **

15 ± 4* **

11 ± 2

12 ± 2

3 ± 1

Примечание:

* - различия достоверны (р < 0,05) по сравнению с контролем 30 сут.

** - различия достоверны (р < 0,05) по сравнению с контролем 45 сут.

Анализ полученных результатов позволяет сделать выводы о том, что низкочастотные акустические колебания оказывают стимулирующее влияние на дифференцировку соединительной ткани, зрелых и незрелых костных балок, а также количество сосудов кортикальной зоны. Так, в группах 1, 2, 3, 4, где осуществляли стимуляцию остеорепарации НАК наблюдаются достоверные отличия по количеству зрелых костных балок: 17 ± 4, 9 ± 3, 12 ± 3, 15 ± 4, соответственно, по сравнению с контролем того же срока (группа 5 - 30 сут.) и контролем 45 сут. (группа 6): 2 ± 1, 3 ± 1, соответственно, при р < 0,05.

У животных 4 группы, где использовали модулированные акустические колебания, достоверные отличия наблюдались, также по критерию количества соединительной ткани. Так количество соединительной ткани в 4 группе - 59 ± 6 достоверно отличалось от значений в контрольной группе (группа 6) через 45 сут. - 74 ± 7 и в контрольной группе (группа 5) через 30 сут. - 70 ± 7, соответственно, р< 0,05. Показатели других критериев в экспериментальных группах имели устойчивую тенденцию по отношению к контрольным группам.

Таким образом, между группами выявлены различия в относительных площадях, занимаемых новообразованными в зоне регенерации тканевыми структурами, степени их зрелости. Выявлена тенденция к увеличению относительной доли костной ткани, увеличению зрелости костных балок и уменьшению доли соединительной в экспериментальных группах. В экспериментальных группах обнаружено уменьшение относительной площади, занимаемой микрососудами кортикальной пластинки, располагающихся периостально в новообразованной соединительной ткани, по сравнению с группами контроля.

Выводы

1.       Низкочастотные акустические колебания оказывают стимулирующее влияние на процессы остерепарации при комбинированных радиационно-механических поражениях, что выражается в усилении процессов остеогенеза и васкуляризации зон перелома.

2.       Наибольшее стимулирующее влияние на процессы остеорепарации при комбинированных радиационно-механических поражениях, оказывают модулированные низкочастотные акустические колебания.

Практические рекомендации

Полученные результаты позволяют рекомендовать использование низкочастотных акустических колебаний в клинической практике у пострадавших с комбинированными радиационно-механическими поражениями. Например, при лечении больных после курса лучевой терапии, которые подверглись хирургическому лечению на костных структурах организма по неотложным показаниям.

Целесообразно проведение клинической апробации низкочастотных акустических колебаний в качестве стимулирующего фактора остеорепарации при изолированных переломах костей.

Необходимо дальнейшее изучение особенностей использования низкочастотных акустических колебаний для стимуляции остеорепарации и репаративных процессов других тканей.

Список литературы

1.  Аверкиев В.А., Аверкиев Д.В., Вовченко В.И. и др. Военная травматология и ортопедия: учеб. / под ред. В.М. Шаповалова. - СПб.: ВМедА, 2004. - Гл. 4. - С. 89 - 120.

2.       Амелин А.З., Лоцова Е.И. Влияние ультразвука на репаративный остеогенез // Ортопедия, травматология и протезирование. - 1980. - № 11. - С. 24 - 27.

.        Антипина А.Н., Кулик В.И. Морфологические изменения при остеосинтезе с применением ультразвука в эксперименте // Ортопедия, травматология и протезирование. - 1976. - № 3. - С. 23 - 27.

.        Бритун А..И., Куренной Н.В., Фаршатов М.Н., Симонова Л.И. Переломы трубчатых костей // Комбинированные радиационные поражения: патогенез, клиника, лечение. - М.: Медицина, 1993. - С. 103 - 112.

.        Брюсов П.Г., Шаповалов В.М., Артемьев А.А. и др. Боевые повреждения конечностей.- М.: Гэотар, 1996. - 127 с.

.        Головин Г.В. Способы ускорения заживления переломов костей.- Л.: Медгиз, 1959.-246 с.

.        Гололобов В.Г., Деев Р.В. Стволовые стромальные клетки и остеобластический клеточный дифферон // Морфология. - 2003. - Т. 123, № 1. - С. 9 - 19.

.        Гололобов В.Г., Дулаев А.К., Деев Р.В., Цыган Е.Н. Морфофункциональная организация, реактивность и регенерация костной ткани. - СПб.: ВМедА, 2006. - 47 с.

.        Грязухин Э.Г., Ключевский В.В. Основные принципы и методы лечения переломов // Травматология и ортопедия: рук. для врачей: В 4 т.: Т.1: Общие вопросы травматологии и ортопедии. - СПб.: Гиппократ, 2004. - С. 286 - 436.

.        Данилов Р.К. Вклад ученых-гистологов Военно-медицинской академии в разработку учения о тканях. Актуальные вопросы гистогенеза и регенерации. Общие принципы организации тканей позвоночных // Труды Воен. - мед. акад.- 2004. Т. 257. - С. 11 - 47.

.        Деев Р.В. Регенерационный остеогистогенез и возможности оптимизации репаративной регенерации костной ткани // Труды Воен. - мед. акад. - 2004. Т. 257. - С. 110 - 120.

.        Дулаев А.К., Гололобов В.Г., Деев Р.В. и др. Остеогенные клетки и их использование в травматологии // Мед. акад. журн. - 2003. - Т. 3, № 3. - С. 59 - 66.

.        Зацепин С.Т. Костная патология взрослых: рук. для врачей.- М.: Медицина,2001.- 639 с.

.        Инструкция по диагностике, медицинской сортировке и лечению пострадавших с комбинированными радиационными поражениями на этапах медицинской эвакуации.- М.: Воениздат, 1980. - 40с.

.        Клишов А.А. Гистогенез и регенерация тканей. - Л.: Медицина, 1984. - 232 с.

.        Кнох Г., Кнаут К. Ультразвук при лечении переломов костей // Сов. медицина. - 1975. - № 6. - С. 115 - 118.

.        Крупко И.Л. Современные принципы лечения переломов длинных трубчатых костей на этапах медицинской эвакуации и в тылу страны // Вест. хирургии. - 1970. - № 2. - С. 19 - 26.

.        Легеза В.И., Цыбуляк Г.Н. Радиационные поражения // Общая хирургия повреждений: рук. для врачей. - СПб.: Гиппократ, 2005. - Гл. 17. - С. 382 - 427.

.        Лысенок Л.Н. Путь от открытия до теоретических концепций Колумба биокерамики - профессора Лари Хенча. Проблемы современного биоматериаловедения // Клиническая имплантология и стоматология. - 1997. - № 2. - С. 59 - 63.

.        Макаев З.А. О применении ультразвукового остеосинтеза при оскольчатых переломах // Ортопедия, травматология и протезирование. -1975. - № 1. - С. 39 - 40.

.        Миллер Э., Хилл К., Бэмбер Дж. Применение ультразвука в медицине. - М.: Мир, 1989. - 567 с.

.        Орлов В.П. Реконструктивно-восстановительные операции при травмах и заболеваниях позвоночника с использованием стеклокристаллических имплантатов (клинико-экспериментальное исследование): дис. … д-ра мед. наук. - СПб, 2002. - 231 с.

.        Поляков В.А. Применение ультразвуковых методов в хирургии // Актуальные вопросы лечения переломов длинных трубчатых костей: тез. и реф. докл. на науч. конф., посвящ. 75-летию каф. воен. травматологии и ортопедии ВМА им. С.М.Кирова. - Л.: ВМА, 1975. - С. 5.

.        Постолов А.М. Посттравматическая регенерация костной ткани в повторно облученном организме: автореф. дис. … канд. мед. наук.- М., 1980. - 23 с.

.        Савенко Н.Ф. Влияние импульсного ультразвука на реперативную регенерацию кости в эксперименте: автореф. дис. … канд. мед. наук. - Харьков, 1968. - 15 с.

.        Савенко Н.Ф., Панков Е.Я. Рентгеноморфологическая характеристика процесса регенерации дефекта кости под влиянием импульсного ультразвука // Ортопедия, травматология и протезирование. - 1969. - № 6. - С. 54 - 59.

.        Сиповский П.В. К вопросу о влиянии ионизирующей радиации на процесс остеогенеза // Лучевая болезнь и комбинированные поражения.- Л.: Медицина, 1958. - С. 181 - 193.

.        Сперанский А.П., Рокитянский В.И. Ультразвук и его лечебное применение. - М.: Медицина, 1970. - 287 с.

.        Ткаченко С.С., Руцкий В.В. Некоторые вопросы применения ультразвука, электрического поля и излучения ОКГ в лечении переломов длинных трубчатых костей // Актуальные вопросы лечения переломов длинных трубчатых костей: тез. и реф. докл. на науч. конф., посвящ. 75-летию каф. воен. травматологии и ортопедии ВМА им. С.М.Кирова. - Л.: ВМА, 1975. - С. 3 - 5.

.        Ткаченко С.С., Руцкий В.В. Электростимуляция остеорепарации.- Л.: Медицина, 1989. - 207 с.

.        Ярмоненко С.П. Радиобиология человека и животных: учебник для биол. и мед. спец. вузов. - М.: Высш. шк., 1988. - 424 с.

33.     Arnold U., Lyndenhayn K., Perka C. In vitro-cultivation of human periosteum derived cells in bioresorbable polymer-TCP-composites // Biomaterials. - 2002. - Vol. 23, № 11. - P. 2303 -2310.

34.     Bodamyali T., Bhatt B., Hughes F.J., Winrow V.R. et al. PEMF simultaneously induce osteogenesis and upregulate transcription of BMP - 2 and BMP - 4 in rat osteoblasts in vitro // Biochem. Biophys. Res. Commun. -1998. - Vol. 250. - P. 458 - 461.

.    Cardoso L., Teboul F., Sedel L. et al. In Vitro Acoustic Waves Propagation in Human and Bovine Cancellous Bone // J. Bone Mineral Res. - 2003. - Vol. 18, № 10. - P. 1803.

.    Claes L., Augat P., Suger G., Wilke H.J. Influence of size and stability of the osteotomy gap on the success of fracture healing // J. Orthop. Res. - 1997. - Vol. 15. - P. 577 - 584.

.    Dalkyz M., Ozcan A., Yapar M., et al. Evualation of the effects of different biomaterials on bone deffects // Implant. Dent. - 2000. - Vol. 9, № 3. - P. 226 - 235.

38.     Dong J., Kojima H., Uemura T. еt al. In Vivo evualation of a novel porous hydroxapatite to sustain osteogenesis of transplanted bone marrow derived osteoblastic cells // J. Biomed. Mater. Res. - 2001. - Vol. 57, № 2. - P. 208 - 216.

39.     Goodship A.E., Kenwright J. The influence of induced micromovement upon the healing of experimental tibial fractures // J. Bone Joint Surg. -1995. - № 67. - P.650 - 655.

.    Guldberg R.E., Cardwell N. J., Guo X.E. Mechanical Stimulation of Tissue Repair in the Hydraulic Bone Chamber // J. Appl. Physiol. - 1997. - Vol. 12, № 8. - P. 12 - 95.

.    Heckman J.D., Ryaby J.P., McCabe J., Frey JJ., Kilcoyne R.F. Acceleration of tibial fracture-healing by noninvasive, low-intensity pulsed ultrasound // J. Bone Joint Surg. - 1994. - № 76. - P. 26 - 34.

.    Livingston T., Ducheyne P., Garino J. In Vivo evualation of a bioactive scaffolds for bone tissue engineering // J. Biomed. Mater. Res. - 2002. - Vol. 62, № 1. - P. 1 - 13.

43.     Ma P.X., Zhang R., Xiao G., Franceschi R. Engineering new bone tissue in vitro on highly porous poly (alpha-hydroxyl) hydroxapatite composite scaffolds // J. Biomed. Mater. Res.- 2001. - Vol. 54, № 2. - P. 284 - 293.

.        Maximow A.A. Bindegewebe und blutbildene Gewebe // Handbuch der mikroskopishen Anatomie des Menschen. - Berlin: Springer, 1927. - Bd 2, T. 1. - S. 232 - 549.

.        Moalli M. R., Wang S., Cardwell N. J, Patil P. V. Mechanical stimulation induces pp125 FAK and pp 60 src activity in an in vivo model of trabecular bone formation // J. Appl. Physiol. - 2001. - Vol. 91. - P. 912 - 918.

46.     Rand J.A., An K.N., Chao E., Kelly P.J. A comparison of the effect of open intramedullary nailing and comrpession - plate fixation on fracture site blood flow and future union // J. Bone Joint Surg. - 1981. - № 63. - P. 427 - 442.

47.     Rubin C., Turner A.S., Bain S., Mallinckrodt C., McLeod K. Low mechanical signalsstrengthen long bones // Nature. - 2001. - Vol. 412. - P. 603 - 604.

.        Rubin C., Turner A.S., Muller R., Mittra E. et al. Quantity and quality of trabecular bone in the femur are enhanced by a strongly anabolic, noninvasive mechanical intervention // J. Bone Mineral Res. - 2002. - Vol.17. - P. 349 - 357.

.        Sharrard W. A double - blind trial of pulsed electromagnetic fields for delayed union of tibial fractures // J. Bone Joint Surg. - 1990. - № 72. - P. 347 - 355.

.        Tanaka S.M., Alam I.M., Turner C.H. Stochastic resonance in osteogenic response to mechanical loading // Faseb J. - 2003. - Vol. 17. - P. 313 - 314.

51.     Verschueren S., Roelants M., Delecluse C. et al. Effect of 6-Month Whole Body Vibration Training on Hip Density, Muscle Strength, and Postural Control in Postmenopausal Women: A Randomized Controlled Pilot Study // J. Bone Mineral Res. - 2004. - Vol. 19, № 3.- P. 352.

.    Wang C.J., Huang H.Y., Chen H.H., Pai C.H., Yang K.D. Effect of shock wave therapy on acute fractures of the tibia // Clin. Orthop. - 2001. - Vol. 387. - P.112 - 118.

.    Wozney J.M.Overview of bone morphogenetic proteins // Spine. - 2002. - Vol. 15, (16 Suppl.1) - P. 2 - 8.

.    Yang K.Y., Parvizi J., Wang S.J., Lewallen D.G. et al. Exposure to low intensity ultrasound increases aggregan gene expression in a rat femur fracture model // J. Orthop. Res. -1996. - Vol.14. - P. 802 - 809.

.    Yasuda I. Dynamic callus and electric callus // J. Bone Joint Surg. - 1955. - № 37. - P. 1292 - 1299.

Похожие работы на - Влияние низкочастотных акустических колебаний на остеорепарацию длинных трубчатых костей при комбинированных радиационно-механических поражениях

 

Не нашли материал для своей работы?
Поможем написать уникальную работу
Без плагиата!
Без нейросетей!