Сочетанная травма как основное заболевание

  • Вид работы:
    Другое
  • Предмет:
    Медицина, физкультура, здравоохранение
  • Язык:
    Русский
    ,
    Формат файла:
    MS Word
    534,73 kb
  • Опубликовано:
    2011-11-27
Вы можете узнать стоимость помощи в написании студенческой работы.
Помощь в написании работы, которую точно примут!

Сочетанная травма как основное заболевание

Северный Государственный Медицинский университет

Кафедра травматологии и ортопедии







История болезни


Преподаватель: к. м. н., ассистент

кафедры Савельев М.Ю.

Основное заболевание: сочетанная травма. Перелом диафиза правого бедра в верхней трети со смещением. Перелом лобно-скулового шва, справа. Перелом верхней челюсти, справа. Перелом нижнеглазничного края правой орбиты. Перелом правой скуловой кости. ЗТГК. Ушиб правого легкого с формированием внутрилегочной гематомы. ДН1. ЗЧМТ. Сотрясение головного мозга. Множественные ушибы и ссадины мягких тканей лица.

Осложнения основного заболевания: нет.

Сопутствующие заболевания: нет.

Время курации с 17.10.2011по 19.10.2011г.

Куратор - студентка 5 курса 2группы

МПФ.

Зелянина Е. В.

Паспортные данные

1.       …

2.       Пол: мужской

.        37 лет

.        Женат

.        Работающий

6.       Дата поступления в стационар: 03.10.2011г., 19: 55 ч.

.        Диагноз при поступлении в стационар: закрытый перелом правого бедра. СЧМТ. Сотрясение головного мозга. Ушиб правого легкого. Перелом правой скуловой кости.

8. Клинический диагноз:

Основное заболевание: сочетанная травма. Перелом диафиза правого бедра в верхней трети со смещением. Перелом лобно-скулового шва, справа. Перелом верхней челюсти, справа. Перелом нижнеглазничного края правой орбиты. Перелом правой скуловой кости. ЗТГК. Ушиб правого легкого с формированием внутрилегочной гематомы. ДН1. ЗЧМТ. Сотрясение головного мозга. Множественные ушибы и ссадины мягких тканей лица.

Осложнения основного заболевания: нет.

Сопутствующие заболевания: нет.

Операция: 18.10.2011. Закрытая репозиция, интрамедуллярный МОС с блокированием перелома правого бедра с рассверливанием костномозгового канала.

Жалобы

Жалобы при поступлении: при поступлении больной предъявлял жалобы на боли в правом бедре, невозможность опоры на правую ногу, на боли в области верхней челюсти справа.

Жалобы в момент курации: на момент начала курации жалоб не предъявляет.

История настоящего заболевания

Травма автодорожная от 01.10.2011г., произошедшая около 19.00 часов. Больной был за рулем машины, ехавшей по трассе, не справившись с управлением, съехал с дороги и врезался в дерево на скорости около 100 км/ч. Была вызвана бригада скорой помощи, наложена транспортная иммобилизация на месте и выполнено обезболивание. Сознания больной не терял. Был доставлен в ЦРБ 01.10.11г., где был осмотрен хирургом-травматологом, произведено рентгенологическое обследование места предполагаемого повреждения. На основании анамнестических данных, данных локального обследования и полученных при рентгенологическом обследовании данных поставлен Диагноз: закрытый перелом правого бедра. Наложено скелетное вытяжение. По экстренным показаниям 03.10.11 г. был направлен, а затем госпитализирован в отделение травматологии и ортопедии АОКБ для дальнейшего лечения.

История жизни больного

Больной родился и проживает в г. Коноша. Женат. Имеет двоих детей. Профессия: ВИДР - 9. Перенесенные в детстве заболевания: корь, ветрянка. Простудными заболеваниями болеет редко. Наличие туберкулеза, гепатита, венерических заболеваний отрицает. Переливаний крови не производилось. Аллергия на препараты никотиновой кислоты. Наследственность: не отягощена. Операции: аппендэктомия. Травмы: перелом левой ключицы. Вредные привычки: курит - 1 пачку в день, не злоупотребляет алкоголем.

Настоящее состояние больного

Общее состояние больного удовлетворительное. Сознание ясное. Положение больного вынужденное. Телосложение нормостеническое. Питание удовлетворительное. Температура тела 36, 7С.

Кожный покров: бледно - розовый, чистый, умеренной влажности. Эластичность и тургор кожи не снижены. Слизистые розового цвета. Ногтевые пластинки бледно - розового цвета. Структура ногтей не изменена, деформаций нет. Степень развития подкожной клетчатки умеренная, наличие пастозности и отеков при осмотре не наблюдалось.

Лимфатическая система: лимфатические узлы не увеличены, безболезненные, не пальпируются.

Мышечная система: мышцы развиты умеренно, безболезненны, сила и тонус сохранены.

Дыхательная система: грудная клетка нормальной формы, число дыхательных движений: 17 в минуту. Дыхание ритмичное. Тип дыхания - грудной. При пальпации болезненность отсутствует. Голосовое дрожание в норме. При перкуссии: над всей поверхностью легких - ясный легочной звук. Верхние границы: верхушки легких выступают на 3см выше ключиц (спереди) и на 3см латеральнее остистого отростка (сзади). Поля Кренига равны 7см. Нижние границы:


Аускультация: везикулярное дыхание. Хрипы не выслушиваются. Шум трения плевры отсутствует. При бронхофонии голос хорошо и равномерно проводится по всем отделам легких.

Сердечно-сосудистая система: пульс на лучевой артерии - 78 удара в минуту, симметричный, умеренного наполнения, напряженный, ритмичный.

АД= 110/80 мм. рт. ст.

При пальпации и перкуссии изменений не выявлено. Аускультация: тоны ритмичны, звучные. Шумы не выслушиваются.

При перкуссии сердца:

Границы абсолютной и относительной тупости сердца

Границы Относительная тупость Абсолютная тупость

. Правая По правому краю грудины На 1см левее левому краю груд.

. Левая По левой среднеключичной На 2см кнутри от

линии левой среднеключичной линии.

. Верхняя На уровне III ребра На уровне IV межреберья.

Органы пищеварения: Слизистая бледно-розовая. Язык обложен, влажный. Состояние десен нормальное.

Живот. Форма живота не изменена, при осмотре живот симметричен, пупок втянут, равномерно участвует в акте дыхания.

Пальпация. Безболезненна, живот мягкий. Грыжевых выпячиваний не обнаружено. Симптом Щеткина-Блюмберга отрицательный. Печень у края реберной дуги, селезенка не увеличена.

Перкуссия. Границы печени не изменены:

Linea axillaris anterior

11 см

Linea mediaclavicularis

10 см

Linea paraumbilicalis

7 см


Эндокринная система: клинических симптомов поражения желез внутренней секреции (акромегалия, ожирение, патологические пигментации) не выявлено. Щитовидная железа пальпируется на передней поверхности шеи в виде мягко-эластичного образования, безболезненного при пальпации. Экзофтальм отсутствует.

Нервная система: в месте, времени и личности ориентирован. Память на события хорошая. Наличие парезов, параличей, расстройств чувствительности не выявлено.

Мочеполовая система:

При осмотре поясничной области припухлостей, выбуханий, гиперемии кожи нет. Почки не пальпируются. Точки мочеточников безболезненны. Симптом Пастернацкого отрицательный с обеих сторон.

Местный статус

Status localis при поступлении

Кожные покровы правого бедра незначительно гиперемированы, кожная температура повышена. Отмечается патологическая подвижность. Ось правой нижней конечности ломаная, укорочение-1 см. Осевая нагрузка и местная пальпация резко болезненны.

Status localis на момент осмотра

Кожные покровы правого бедра нормальной окраски, кожная температура не повышена. Деформации места перелома не выявлено. Отечности правого бедра и голени нет. Поверхностная и глубокая чувствительность сохранены. Пальпация в средней и нижней трети правого бедра безболезненна. Пульс на правой нижней конечности определяется на задней большеберцовой артерии и на артерии тыла стопы.

План обследования больного

Эритроциты - 4,0 х 10^12/ л

Нейтрофилы:

палочкоядерные - 1

сегментноядерные - 57

Лимфоциты - 37

Моноциты - 1

Клинический анализ крови от 03.10.2011

Эритроциты - 3,74 х 10^12/ л

Гемоглобин - 130

Лейкоциты - 9,5 х 10^9/л

Нейтрофилы:

палочкоядерные - 1

сегментноядерные - 68

Лимфоциты - 25

Моноциты - 5

СОЭ - 7 мм /ч

Клинический анализ крови от 03.10.2011

Нейтрофилы:

палочкоядерные - 2

сегментноядерные - 41

Лимфоциты - 55

Моноциты - 2

Анализ мочи от 03.10.2011

Цвет - желтый

Относительная плотность - 1021

Реакция - кислая

Белок-0

Глюкоза-0

Компьютерная томография от 03.10.2011.

На серии КТ головного мозга вне контрастного усиления:

В паренхиме мозга достоверно на момент исследования патологической плотности не определяется.

Срединные структуры не смещены, расположены обычно.

Желудочки мозга не расширены, не деформированы.

Субарахноидальное пространство не расширено.

При просмотре в костном режиме травматических изменений костей свода черепа не определяется. Определяется перелом в области правого лобно-скулового шва, распространяющийся на латеральную стенку орбиты. Перелом верхней челюсти без существенного смещения отломков справа, с нарушением целостности передней и задней стенки верхнечелюстной пазухи. Перелом в области нижнеглазничного края правой орбиты. Перелом правой скуловой кости. Тотально затемнена правая верхнечелюстная пазуха.

На серии органов грудной клетки, брюшной полости и забрюшинного пространства вне контрастного усиления:

Грудная клетка правильной формы. Мягкие ткани не изменены. Легкие расправлены. Плевральные полости свободные.

В задне - базальном отделе правого легкого определяется полость с участками уплотнения легочной ткани вокруг (гематома).

Бронхи 1 - 3 порядка проходимы. Купола диафрагмы на обычном уровне, с ровными, четкими контурами. Костно-травматических изменений не выявлено.

Свободной жидкости в брюшной полости достоверно не определяется. Разрыва и травматических изменений органов брюшной полости забрюшинного пространства не определяется.

На серии СКТ таза, шейного, грудного и пояснично-крестцового отделов позвоночника в аксиальной, коронарной и сагиттальной проекциях:

Костно-травматических изменений не выявлено.

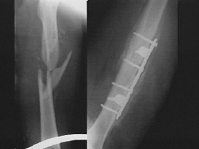
Рентгенограмма правого бедра в передней и боковой проекции от 04.10.2011.

На рентгенограмме правой бедренной кости в прямой проекции от 01.10.2011 (по месту жительства) определяется косой закрытый диафизарный перелом бедренной кости в верхней трети со смещением отломков. На контрольных снимках правой бедренной кости от 04.10.2011, в палате, после установки системы скелетного вытяжения с грузом по оси - 6 кг. Отломки расположены со смещением.

Рентгенограмма правого бедра в передней и боковой проекции от 06.10.2011

На обзорном снимке органов грудной клетки в прямой проекции, на месте "лежа" легочные поля прозрачные. Очаговых инфильтративных изменений не выявлено. Корни структурные. Диафрагма - с ровными контурами.

Заключение: патологических изменений не выявлено.

Рентгенограмма правого бедра в передней и боковой проекции от 19.10.2011

На рентгенограмме правого коленного сустава в двух проекциях дистальное блокирование перелома правой бедренной кости при интрамедуллярном металлоостеосинтезе осуществлена 2 винтами. Снимки выполнены с ротацией коленного сустава ЭЭД= 0,003. На ренгенограммах черепа и скуловых костей определяется оскольчатый перелом правой скуловой кости. Фиксация осуществлена 1 спицей Киршнера. Смещение отломков сохраняется. Стояние их удовлетворительное. ЭЭД=0,091.

Клинический диагноз и его обоснование

Клинический диагноз: сочетанная травма. Перелом диафиза правого бедра в верхней трети со смещением. Перелом лобно - скулового шва, справа. Перелом верхней челюсти, справа. Перелом нижнеглазничного края правой орбиты. Перелом правой скуловой кости. ЗТГК. Ушиб правого легкого с формированием внутрилегочной гематомы. ДН1. ЗЧМТ. Сотрясение головного мозга. Множественные ушибы и ссадины мягких тканей лица.

Основное заболевание: сочетанная травма. Перелом диафиза правого бедра в верхней трети со смещением. Перелом лобно - скулового шва, справа. Перелом верхней челюсти, справа. Перелом нижнеглазничного края правой орбиты. Перелом правой скуловой кости. ЗТГК. Ушиб правого легкого с формированием внутрилегочной гематомы. ДН1. ЗЧМТ. Сотрясение головного мозга. Множественные ушибы и ссадины мягких тканей лица.

Осложнения основного заболевания: нет.

Сопутствующие заболевания: нет.

На основании:

·   Данных анамнеза: Со слов больного травма автодорожная от 01.10.2011г., произошедшая около 19.00 часов. Больной был за рулем машины, ехавшей по трассе, не справившись с управлением, съехал с дороги и врезался в дерево на скорости около 100 км/ч. Жалоб больного: При поступлении больной предъявлял жалобы на боли в правом бедре, невозможность опоры на правую ногу.

·   Данных объективного исследования: Кожные покровы правого бедра незначительно гиперемированы, кожная температура повышена. Отмечается патологическая подвижность. Ось правой нижней конечности ломаная, укорочение-1 см. Осевая нагрузка и местная пальпация резко болезненны.

·   Данных рентгенологического обследования: на рентгенограмме правой бедренной кости в прямой проекции от 01.10.2011 (по месту жительства) определяется косой закрытый диафизарный перелом бедренной кости в верхней трети со смещением отломков. На контрольных снимках правой бедренной кости от 04.10.2011, в палате, после установки системы скелетного вытяжения с грузом по оси - 6 кг. Отломки расположены со смещением.

·   Данных компьютерной томографии от 03.10.2011: Определяется перелом в области правого лобно-скулового шва, распространяющийся на латеральную стенку орбиты. Перелом верхней челюсти без существенного смещения отломков справа, с нарушением целостности передней и задней стенки верхнечелюстной пазухи. Перелом в области нижнеглазничного края правой орбиты. Перелом правой скуловой кости. Тотально затемнена правая верхнечелюстная пазуха. В задне - базальном отделе правого легкого определяется полость с участками уплотнения легочной ткани вокруг (гематома).

Лечение и его обоснование

Общие принципы лечения

Переломы бедренной кости лечат вытяжением. Гипсовые повязки и шины не обеспечивают правильного положения отломков. Гипсовые повязки не гарантируют от вторичных угловых смещений с образованием варусных деформаций типа "галифе".

Консервативное лечение:

Целесообразно скелетное вытяжение на функциональной шине Белера. Спицу Киршнера проводят через проксимальный метафиз большеберцовой кости ниже ее бугристости, реже через дистальный метафиз бедренной кости. Для правильного выполнения вытяжения больного укладывают на матрац, под который подкладывают щит из досок. Поврежденную конечность фиксируют на функциональной шине в положении физиологического покоя, которую создают сгибанием в тазобедренном суставе под углом 140° и в коленном под тем же углом. Величина отведения ноги зависит от высоты перелома: чем выше перелом, тем отведение должно быть больше. Вытяжение осуществляют при помощи груза за бедро от 3 до 6 кг и голень (лейкопластырное вытяжение) от 1 до 2 кг. Для противотяги ножной конец кровати приподнимают на 20-30 см и ставят на подставки. Ребенка фиксируют специальными лямками через паховую область здоровой стороны, что также предупреждает сползание его к ножному концу кровати.

Оперативное лечение. Наиболее распространённым методом оперативного лечения перелома диафиза бедра является интрамедуллярный остеосинтез металлическим штифтом. При этом чаще пользуются ретроградным методом его введения. Другим методом является экстрамедуллярный остеосинтез массивными компрессирующими пластинами.

После стабильного остеосинтеза внешнюю иммобилизацию гипсовой повязкой можно не применять. Трудоспособность восстанавливается через 3,5 - 6 мес.

      

Показания к оперативному вмешательству при переломах бедренной кости ограничены и могут возникнуть при неэффективности консервативных методов лечения (если оставшееся смещение отломков угрожает возникновением стойких деформаций), интерпозиции мягких тканей между отломками, открытых переломах, сопровождающихся значительным повреждением мягких тканей бедра, а также при неправильно сросшихся переломах.

Лечение данного больного

При данном типе травмы изначально методом лечения использовалось скелетное вытяжение, затем было произведено оперативное лечение: закрытая репозиция, интрамедуллярный МОС с блокированием перелома правого бедра с рассверливанием костномозгового канала.

. Диета № 10

. Sol. Analgini 50% - 0.3 (в/м)

. Sol. Dimedroli 1% - 0.3 - 3 раза в день (в/м)

. Sol. Glucosae 40% - 400ml, в/в.

. Физиолечение: - Магнитотерапия

. Лечебная физкультура

Выписной эпикриз

Больной, …, возраст - 37 лет. Был доставлен в АОКБ 03.10.11 г. с жалобами на боли в правом бедре, невозможность опоры на правую ногу, на боли в области верхней челюсти справа. Со слов больного травма автодорожная от 01.10.2011г., произошедшая около 19.00 часов. Больной был за рулем машины, ехавшей по трассе, не справившись с управлением, съехал с дороги и врезался в дерево на скорости около 100 км/ч. Была вызвана бригада скорой помощи, наложена транспортная иммобилизация на месте и выполнено обезболивание. Сознания больной не терял. Был доставлен в ЦРБ 01.10.11г., затем направлен в АОКБ. Объективно при поступлении: кожные покровы правого бедра незначительно гиперемированы, кожная температура повышена. Отмечается патологическая подвижность. Ось правой нижней конечности ломаная, укорочение-1 см. Осевая нагрузка и местная пальпация резко болезненны.01.10.11 г. в ЦРБ произведено рентгенологическое обследование места предполагаемого повреждения.03.10.11 в АОКБ была произведена компьютерная томография.

На основании анамнестических данных, данных локального обследования и полученных при компьютерной томографии и рентгенологическом обследовании данных поставлен Диагноз: сочетанная травма. Перелом диафиза правого бедра в верхней трети со смещением. Перелом лобно-скулового шва, справа. Перелом верхней челюсти, справа. Перелом нижнеглазничного края правой орбиты. Перелом правой скуловой кости. ЗТГК. Ушиб правого легкого с формированием внутрилегочной гематомы. ДН1. ЗЧМТ. Сотрясение головного мозга. Множественные ушибы и ссадины мягких тканей лица.

За время пребывания в стационаре было назначено консервативное лечение (скелетное вытяжение, груз 6 кг.), проводилось оперативное лечение: закрытая репозиция, интрамедуллярный МОС с блокированием перелома правого бедра с рассверливанием костномозгового канала, симптоматическое лечение (обезболивающие препараты)

1. Постельный режим

2. Диета № 10

3. Sol. Analgini 50% - 0.3 (в/м)

4. Sol. Dimedroli 1% - 0.3 - 3 раза в день (в/м)

5. Физиолечение (Магнитотерапия)

6. Лечебная физкультура

7. Sol/ Glucosae 40% - 400ml, в/в.

Прогноз для жизни и восстановления функции конечности благоприятный.

сочетанная травма заболевание лечение

Список использованной литературы

1. Травматология и ортопедия: Учебник для студ. высш. учеб. заведений/Г.М. Кавалерский, Л.Л. Силин, А.В. Гаркави и др.; Под ред.Г.М. Кавалерского - М.: Издательский центр "Академия", 2005.

. Травматология и ортопедия. Руководство для врачей в 3 томах. Под редакцией Ю.Г. Шапошникова. - М., Медицина, 1997.

. Краснов А.Ф. "Травматология" М. "Медицина" 1995г.

. Корнилов Н.В. и соавт. Ортопедия. - Пособие для врачей. - С. - Пб., "Гиппократ", 2001

. Хирургические болезни у детей: Учебник/ Исаков Ю.Ф., Степанов Э.А., Михельсон В.А. и др.; Под ред. Исакова Ю.Ф. - 2-е изд., перераб. и доп. - М.: Медицина, 1998 г.


Не нашли материал для своей работы?
Поможем написать уникальную работу
Без плагиата!
Без нейросетей!