Современные аппараты позитронно-эмиссионной томографии
Министерство
образования и науки Украины
Открытый
международный университет развития человека «Украина»
Инженерно-технический
институт
Кафедра
«Электронная бытовая аппаратура»
Практическая
работа
по предмету:
“Основы строения и применения биотехнических и медаппаратов”
по теме: “Современные
аппараты позитронно-эмиссионной томографии”
Выполнил ст. гр.
ЕА-83Е
Смирнов С.В.
Проверил
преподаватель
Богомолов М.Ф.
Киев 2009
Позитро́нно-эмиссио́нная
томогра́фия
(позитронная эмиссионная томография, сокращ. ПЭТ), она же двухфотонная
эмиссионная томография - радионуклидный томографический метод исследования
внутренних органов человека или животного. Метод основан на регистрации пары
гамма-квантов, возникающих при аннигиляции позитронов. Позитроны возникают при
позитронном бета-распаде радионуклида, входящего в состав радиофармпрепарата,
который вводится в организм перед исследованием.
Позитронно-эмиссионная томография - это
развивающийся диагностический и исследовательский метод ядерной медицины. В основе
этого метода лежит возможность при помощи специального детектирующего
оборудования (ПЭТ-сканера) отслеживать распределение в организме биологически
активных соединений, меченных позитрон-излучающими радиоизотопами. Потенциал
ПЭТ в значительной степени определяется арсеналом доступных меченых соединений
- радиофармпрепаратов (РФП). Именно выбор подходящего РФП позволяет изучать с
помощью ПЭТ такие разные процессы, как метаболизм, транспорт веществ,
лиганд-рецепторные взаимодействия, экспрессию генов и т. д. Использование РФП,
относящихся к различным классам биологически активных соединений, делает ПЭТ
достаточно универсальным инструментом современной медицины. Поэтому разработка
новых РФП и эффективных методов синтеза уже зарекомендовавших себя препаратов в
настоящее время становится ключевым этапом в развитии метода ПЭТ.
углерод-11 (T½= 20,4 мин.)
азот-13 (T½=9,96 мин.)
кислород-15 (T½=2,03 мин.)
фтор-18 (T½=109,8 мин.)
Фтор-18 обладает оптимальными характеристиками
для использования в ПЭТ: наибольшим периодом полураспада и наименьшей энергией
излучения. С одной стороны, относительно небольшой период полураспада фтора-18
позволяет получать ПЭТ-изображения высокой контрастности при низкой дозовой
нагрузке на пациентов. Низкая энергия позитронного излучения обеспечивает
высокое пространственное разрешение ПЭТ-изображений. С другой стороны, период
полураспада фтора-18 достаточно велик, чтобы обеспечить возможность
транспортировки РФП на основе фтора-18 из централизованного места производства
в клиники и институты, имеющие ПЭТ-сканеры (т. н. концепция сателлитов), а
также расширить временные границы ПЭТ-исследований и синтеза РФП.
Компания Siemens AG в своих ПЭТ/КТ устройствах
применяет сцинтилляционные детекторы на основе монокристаллов оксиортосиликата
лютеция (Lu2SiO5, LSO).
Изобретатели: Майкл Тер-Погосян совместно с Дж.
Эуджен-Робинсон, К. Шарп Кук. [1]
Позитронно-эмиссионная томография (сокращенно
ПЭТ) является одним из самых информативных методов, применяемых в ядерной
медицине.
В основе принципа
позитронно-эмиссионной томографии лежит явление регистрация двух противоположно
направленных гамма-лучей одинаковых энергий, возникающих в результате
аннигиляции. Процесс аннигиляции происходит в тех случаях, когда излученный
ядром радионуклида (радиоизотопа) позитрон встречается с электроном в тканях
пациента.
Радиофармпрепараты, использующиеся при
проведении позитронно-эмиссионных исследований представляют собой вещества,
участвующие в различных метаболических процессах. При производстве
радиофармпрепаратов для ядерной медицины, некоторые атомы заменяются на их
изотопы. Особенностью радиофармпрепаратов, применяемых в позитронно-эмиссионной
томографии является то, что при их производстве используются короткоживущие
радиоизотопы, которые должны производиться в непосредственной близости от места
проведения исследования. В Европе существуют специальные службы скоростной
доставки радиофармпрепаратов для позитронно-эмиссионной томографии от мест их
производства. Для производства радиофармпрепаратов используются
специализированные медицинские циклотроны и радиофармлаборатории.
Первые клинические позитронно-эмиссионные
томографы появились в начале 70-х годов прошлого столетия, однако только к
концу 70-х появились первые коммерческие модели томографов. Первые аппараты
были оборудованы малым числом детекторов. Не было возможности одновременного
сбора информации для нескольких срезов, толщина срезов была большая. Но даже
отсутствие возможности детализации анатомических структур по данным ПЭТ, не
смогло задержать распространение методики в клиниках. Метод позволял получать
истинно функциональные изображения, основанные на избранных метаболических
цепях.
Исходно предполагалось, что основным применением
ПЭТ станет кардиология, однако в настоящее более 90% исследований составляет
онкология. Расширяются возможности позитронно-эмиссионной томографии для
диагностики в неврологии.
Бурное развитие позитронно-эмиссионной
томографии обусловлено тем, что с каждым годом появляется большое число новых
радиофармпрепаратов, использование которых открывает новые горизонты
использования данного метода лучевой диагностики. При этом
позитронно-эмиссионная томография позволяет количественно оценивать
распределение радиоактивности на мл или г ткани организма. Несмотря на
длительную историю позитронно-эмиссионной томографии, в настоящее время метод
непрерывно совершенствуется, появляются новые радиофармпрепараты, клинические
пакеты для исследований и сами томографы. Все крупные производители
медицинского диагностического оборудования разработали и выпускают
позитронно-эмиссионные томографы, комбинированные с компьютерными томографами.
Данные системы позволяют за одно исследование получать функциональные данные
(позитронно-эмиссионные томографические изображения) и анатомические данные
(рентгеновские компьютерные томографические изображения). Постоянное
совершенствование аппаратного и программного обеспечения позитронно-эмиссионных
томографов позволили существенно снизить лучевую нагрузку на пациента,
одновременно повышая информативность исследований.
Компьютерная томография
(КТ) прочно вошла в арсенал диагностических методов современной медицины.
Начиная с 1971 г. она прошла впечатляющий путь совершенствования технологии и
расширения диагностических возможностей. Еще 10-15 лет назад, в начале 90-х
годов прошлого века, большинство исследований проводилось на пошаговых
компьютерных томографах. Тогда время исследования одной анатомической области,
например груди или живота, составляло 25-30 мин., а при необходимости
внутривенного контрастирования увеличивалось вдвое. В середине 90-х годов
появилась технология спирального сканирования. Сегодня в клиническую практику
интенсивно внедряется новая технология многослойной компьютерной томографии
(МСКТ). В этом случае пучок рентгеновского излучения разделяется с помощью
специального многорядного детектора на 4, 6, 8 и более томографических слоев
(срезов). Для проведения рутинных исследований туловища и конечностей с успехом
применяют 16-срезовые аппараты. Наивысшим достижением этой технологии стали
приборы для 64-срезовой КТ, предназначенные как для общей диагностики, так и
для решения проблем кардиологии и кардиохирургии. До настоящего времени КТ
исследования сердца остаются наиболее сложными в технологическом плане и
требуют самых технически совершенных аппаратов.
За последние годы КТ исследования существенно
изменились и сегодня разительно отличаются от практики предшествующего
десятилетия. С появлением МСКТ время сканирования одной или двух анатомических
областей сократилось до 5-15 сек. Новые детекторы позволили уменьшить толщину
томографических срезов до 0,5-1,5 мм и выявлять патологические изменения
размером 1-2 мм. При этом количество получаемых томограмм увеличилось от
традиционных 15-25 до нескольких сотен и даже тысяч. Конечный результат
исследования может быть представлен не только как набор аксиальных томограмм,
но и в виде трехмерных интерактивных моделей изучаемой области, раскрывающих
мельчайшие детали нормальной и патологической анатомии. Интенсивное развитие
получили наиболее трудные для обычной КТ направления, такие как исследования
сердца и сосудов, желудочно-кишечного тракта, трехмерное моделирование и
виртуальная эндоскопия.
Тем не менее, сегодня уже очевидно, что
появление в клинической практике МСКТ не является конечным этапом развития
метода. Скорее наоборот, технологические преобразования последнего десятилетия
создали прочный фундамент для его дальнейшего развития. Процесс совершенствования
технологии стимулируется не только возрастающими потребностями клиники, но и
интенсивным развитием других, параллельных технологий диагностической
радиологии, таких как, например, магнитно-резонансная или
позитронно-эмиссионная томография.
Ведущие мировые компании, занимающиеся
разработкой и производством медицинской техники, предлагают различные варианты
технологий будущих аппаратов для КТ исследований. К ним можно отнести
увеличение числа томографических срезов до 128, 256 и даже более, использование
в качестве детектора рентгеновского излучения, так называемые, плоские панели
(flat panels), которые сегодня с успехом применяются в цифровых рентгеновских
аппаратах. В этом ряду одним из наиболее перспективных направлений является
технология КТ с двумя источниками излучения - dual source CT. Она разработана
компанией Сименс и представлена в виде полноценного диагностического прибора в
конце 2005 года. В течение последующих полутора лет сотни подобных аппаратов
были установлены в ведущих клиниках различных стран мира, идет подготовка к
монтажу двух приборов в нашей стране. Следует отметить, что аппарат SOMATOM
Definition компании Сименс, основанный на технологии двух источников излучения
- это единственный на сегодняшний день перспективный проект в области новых
технологий КТ, успешно реализованный в клинической практике.
В чем особенности технологии КТ с двумя
источниками излучения. Внешне аппарат имеет большое сходство с обычным
компьютерным томографом. Вертикально расположенная сканирующая система и
горизонтальный стол для пациента. Основное отличие заключается в том, такие
аппараты имеют две рентгеновские трубки и два блока детекторов. Каждая пара
«рентгеновская трубка/многорядный детектор» закреплены на внутренней
поверхности кольца гентри под углом 900 друг к другу и обеспечивают
одновременный сбор данных в 128 срезах (64 х 2 среза). Каждый детекторный блок
имеют величину коллимации 0,6 мм для центральных рядов и 1, 2 мм - для
наружных. При сканировании использована технология плавающего фокусного пятна,
разработанная компанией Сименс еще для 64-срезовых аппаратов, которая позволяет
визуализировать анатомические объекты с изотропным пространственным разрешением
0,33 мм.
Для чего создана столь сложная конструкция?
Основная задача - максимально сократить время сбора проекционных данных. Время
оборота рентгеновской трубки вокруг пациента - один из критических параметров в
компьютерной томографии. Сегодня своеобразным рекордом является 330 мс или 0.33
с. Это означает, что за одну секунду двухтонное кольцо гентри с закрепленными
на нем рентгеновской трубкой, многорядным детектором и другими приборами,
совершает три полных оборота вокруг пациента. Однако даже этой скорости
недостаточно, чтобы получить гарантированно четкое изображение анатомических структур
сердца. Периодические сокращения сердечной мышцы, особенно в условиях
тахикардии, приводят к появлению динамических артефактов и искажению
изображения. В результате сложная дорогостоящая процедура может оказаться не
информативной. Для преодоления именно этого недостатка и был предложен аппарат
с двумя источниками излучения. Однако потенциальные возможности созданного
прибора оказались гораздо более широкими, чем только сокращение времени
сканирования. Сегодня можно выделить несколько основных направлений
использования новой технологии КТ: кардиология и, прежде всего, изучение
коронарных сосудов, комплексное исследование отдельных анатомических областей
для решения самостоятельной клинической проблемы, например, острая боль в
груди, использование двухэнергетической томографии и ряд других.

излучения и двумя блоками детекторов,
закрепленных на внутренней
поверхности вращающегося кольца гентри
Кардиология
позитронный томография компьютерный
кардиология
Основным направлением в использовании новой
технологии, безусловно, является кардиология, или, если быть более точным,
исследование коронарных артерий сердца. Многочисленные исследования последнего
десятилетия показали, что МСКТ сердца с использованием полюсного внутривенного
контрастирования позволяет всесторонне изучить внутренний просвет и состояние
стенок коронарных артерий. Наибольшее клиническое значение имеет высокий
отрицательный предсказательный уровень в отношении стеноза коронарных артерий.
Это означает, что если по данным МСКТ с полюсным контрастированием просвет
коронарных артерий не изменен, обычно нет необходимости выполнять прямую
(катетеризационную) коронарографию. Это относится и к планированию более
сложных интервенционных лечебных процедур, таким как баллонная дилятация и
стентирование коронарных артерий, а также аортокоронарного шунтирования. Однако
такая тактика возможна при соблюдении трех условий: в лечебном учреждении есть
необходимое оборудование; у лечащего врача есть резерв времени для направления
пациента на МСКТ сердца вместо коронарографии; сама диагностическая процедура
позволяет стабильно получать достоверный результат, который не зависит от
поведенческих, физиологических или любых других особенностей пациента.
Небольшие размеры и особенно постоянные и
быстрые движения коронарных артерий создают значительные трудности в их
визуализации. Дополнительную проблему создает сложная конфигурация и различная
пространственная ориентация коронарных сосудов. На аксиальных срезах,
ориентированных перпендикулярно продольной оси тела пациента, просвет сосудов
сердца и изображение их стенок может значительно ухудшаться из-за двигательных
артефактов и избыточной толщины томографического слоя. Основным ограничением в
использовании механических КТ сканнеров в изучении коронарных сосудов является
время вращения системы «источник излучения/детекторная система» вокруг
пациента.
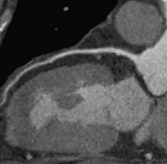
Рис. 2. - Изображение коронарных артерий (MPR
реформация) при
частоте пульса 95 ударов в минуту без
использования премедикации.
Отсутствие динамических артефактов
Возможность получения изображения коронарных
сосудов была показана уже на 4-срезовых аппаратах, при использовании
минимального времени вращения трубки 500 мс (0,50 с) и алгоритмов половинной
реконструкции, позволяющих восстанавливать изображения из проекционных данных,
собранных за 1800 вращения рентгеновской трубки. Однако, получаемые при таких исследованиях
данные, не позволяют оценить коронарные артерии более чем у 30% больных.
Последующее развитие технологии МСКТ и появление 16-срезовых, а затем и
64-срезовых аппаратов привело к существенному повышению качества изображения
коронарных артерий. В это же время было установлено, что возможность оценки
коронарных артерий при КТ существенно зависит от частоты сердечных сокращений.
Оптимальные результаты удавалось получить при частоте пульса не более 80 ударов
в минуту, когда выраженность динамических артефактов не мешает анализу
изображений.
На современных 64-срезовых приборах время
вращения детекторной системы сократилось до 330 мс (0,33 с). При использовании
алгоритмов половинной реконструкции временное разрешение таких систем может
быть уменьшено до 165 мс (0,165 с). Методы мультисегментной реконструкции,
которые используют проекционные данные из нескольких следующих друг за другом
циклов сердечных сокращений, теоретически позволяют еще более сократить
временное окно для реконструкции изображения. Тем не менее, временное
разрешение этих алгоритмов не имеет прямой связи с частотой сердечных
сокращений, что делает их весьма чувствительными к изменениям сердечного ритма
в процессе проведения исследования. Кроме того, сбор данных из нескольких
последовательных циклов сердечных сокращений приводит к эффекту усреднения
изображения, что может влиять и на информативность исследования. Поскольку
частота сердечных сокращений является важнейшим фактором, влияющим на качество
изображения коронарных артерий, общепринятой методикой их изучения при МСКТ
стало введение бета-блокаторов непосредственно перед исследованием для
ограничения пульса в интервале 60-65 ударов в минуту. Однако использование
бета-блокаторов не всегда эффективно и не всегда возможно из-за наличия медицинских
противопоказаний.
Очевидно, что для достижения оптимального
качества диагностических изображений коронарных сосудов у всех пациентов вне
зависимости от их состояния и частоты сердечных сокращений, необходимо
увеличить временное разрешения КТ без использования потенциально
неблагоприятных эффектов алгоритмов мультисегментной реконструкции. Технология
КТ с двумя источниками позволяет эффективно решить эту проблему. Действительно,
вращение двух рентгеновских трубок на 900 позволяет получить проекционные
данные из 1800, и таким образом сократить временной интервал для получения
изображения до величины ¼ от времени
вращения гентри в центре окна. Так, при времени одного вращения гентри равном
330 мс, временное разрешение составляет 83 мс. В зависимости от того, какое
количество сердечных циклов (RR интервалов) используется для построения
изображения, одно или два, временное разрешение может варьировать между 83 мс
или 42 мс. Последнее возможно, если используется специальный алгоритм
реконструкции, использующий проекционные данные из двух последовательных циклов
сердечных сокращений. Такая величина временного окна величина исключает
зависимость от частоты сердечных сокращений, т.е. адекватное изображение
коронарных артерий удается получить практически при любой частоте пульса.
Поскольку именно динамические артефакты при частых сердечных сокращениях
являются основным ограничением при КТ сердца, очевидно, что новая технология
позволит существенно повысить эффективность диагностики.
В целом КТ с двойным источником излучения
обеспечивает наиболее высокую точность оценки коронарной патологии.
Эффективность новой технологии не снижается при обследовании пациентов с
высокой степенью обызвествления коронарных сосудов, причем в отсутствии
премедикации с помощью бета-блокаторов. При этом лишь в единичных случаях
возникающие артефакты мешают анализу коронарных сосудов. Возникающие ошибки
интерпретации состояния коронарных сосудов обусловлены не столько динамическими
артефактами, сколько избыточным обызвествлением их стенок. Эти данные
безусловно внушают оптимизм в отношении перспектив развития КТ коронарографии.
Томографы с двойным источником излучения
отличаются высоким пространственным разрешением в сочетании с выдающимся для
аппаратов такого типа временным разрешением. Несмотря на то, что
пространственное разрешение сопоставимо с результатами обычной 64-срезовой
МСКТ, получаемые изображения отличаются меньшей выраженностью размытости
мельчайших анатомических структур, какими являются, в том числе, стенки
коронарных сосудов и обызвествленные атеросклеротические бляшки. Вне
зависимости от пространственной ориентации сосудов и частоты сердечного ритма,
они получают четкое отображение на томограммах. Отчетливо визуализируются все
компоненты бляшек, в том числе кальцификаты и липидные включения, что позволяет
существенно повысить точность выявления стеноза коронарной артерии и оценки его
степени.
Острая боль в груди
Острая боль в груди является частым
патологическим состоянием и одной из наиболее частых причин госпитализации
больных по экстренным показаниям. Типичными причинами возникновения болевых
ощущений в грудной клетки являются ишемическая болезнь сердца, в том числе
острый инфаркт миокарда, тромбоэмболия легочной артерии, аневризмы аорты или
расслоение стенки аорты. Сходную симптоматику могут вызывать перикардиты,
плевриты, пневмонии и ряд других заболеваний. Обычной тактикой в этих случаях
является первоочередное исключение острой ишемии миокарда на основании данных
ЭКГ и изучения ферментов крови. В случае подтверждения развивающегося
ишемического приступа выполняют коронарографию и, при наличии соответствующего
оборудования, радионуклидные исследования метаболизма миокарда. При отсутствии
признаков острой ишемии причина острой боли в груди устанавливается на основании
дополнительных исследований, в частности рентгенографии или КТ органов грудной
полости, ультразвукового исследования сердца, лабораторных и инструментальных
методов диагностики.
Такой рутинный подход имеет свои недостатки.
Лабораторные признаки ишемии миокарда при патологии коронарных сосудов могут
развиваться в течение шести и более часов от момента появления симптомов. В
результате, часть больных с острым коронарным синдромом не получают адекватного
лечения из-за неправильной интерпретации начальных проявлений болезни. Среди
пациентов с низким риском ишемического приступа, при отсутствии изменений на
ЭКГ и нормальными показателями ферментов крови в динамике, лишь единицы
действительно страдают коронарной патологий. Однако исключение данной патологии
и определение истинной причины болей в груди требует длительного времени.
Обычно необходима госпитализация больных и проведение большого количества
повторных исследований в стационарных условиях.
Для решения этой проблемы в конце прошлого
десятилетия был предложен новый алгоритм диагностики, основанный на
использовании МСКТ с полюсным усилением изображения в качестве первого и,
нередко, единственного метода диагностики. Проведенные исследования показали,
что современные аппараты МСКТ, 16-срезовые и более производительные
64-срезовые, позволяют достоверно диагностировать ряд патологических состояний,
вызывающих острую боль в груди. При этом пациенты с очевидными изменениями на
ЭКГ и типичными показателями ферментов крови по-прежнему направляются в
отделения ангиографии для проведения прямой коронарографии и, при
необходимости, интервенционных лечебных процедур. Пациентам же с низким уровнем
риска ишемического приступа, при нормальных или спорных показателях ЭКГ и
биохимии крови, выполняется экстренная МСКТ ангиография груди.
Среди патологических состояний, вызывающих
острую боль в груди, наибольшие трудности при КТ исследовании вызывает
распознавание триады сердечно-сосудистых заболеваний - ишемическая болезнь
сердца, аневризмы и расслоение стенок аорты, тромбоэмболия ветвей легочной
артерии. Проблема КТ диагностики аневризм грудной аорты и расслоение стенок
аорты была успешно решена еще в середине 90-х годов, с появлением спиральной
технологи сканирования и методики спиральной КТ ангиографии. В конце 90-х
годов, по мере совершенствования технологии сканирования, были разработаны
оптимальные протоколы для выявления острой тромбоэмболии ветвей легочной
артерии. Сегодня КТ ангиография является распространенным методом первичной
диагностики ТЭЛА, заменяющим обычную рентгенографию, перфузионную сцинтиграфию
легких и ангиопульмонографию.
Такой алгоритм диагностики имеет ряд
недостатков. Одним из них является невозможность МСКТ, в сравнении с
коронарографией, предоставить физиологическую информацию о коронарном
кровотоке, особенно в случаях средней степени сужений коронарных сосудов
неясной гемодинамической значимости. Другим негативным фактором является
облучение пациента и необходимость внутривенного введения йодсодержащих
контрастных препаратов. Однако оба этих фактора в полной мере присутствуют и
при обычной коронарографии. Тем не менее, наибольшие проблемы возникают из-за
недостатков существующей сегодня технологии МСКТ. Быстрый или нерегулярный ритм
сердца, выраженная кальцификация стенок артерий, ожирение приводит к появлению
значительных артефактов, мешающих правильной оценке коронарных артерий. Они
наблюдаются как минимум у 10 -15% подобных пациентов. Именно эта группа
технологических проблем с успехом решается с помощью новой модификации КТ с
двумя источниками излучения.
Использование двух рентгеновских трубок
позволяет увеличить количество эффективных квантов рентгеновского излучения,
достигающих детекторов, и таким образом преодолевать проблемы обследования
пациентов с избыточным весом. Отсутствует необходимость в замедлении ритма с
помощью бета-блокаторов, что сводит к минимуму нерезультативные исследования у
пациентов с нарушениями ритма или тахикардией. Исключение динамических
артефактов при высоком временном и пространственном разрешении позволяет
детально оценивать коронарные сосуды даже при выраженном обызвествлении их
стенок. В результате, применение КТ с двумя источниками для неотложного
обследования пациентов с острой болью в груди становится действительно
эффективной диагностической процедурой. Весьма вероятно, что потенциальные
возможности новой технологии позволят проводить аналогичные по смыслу
исследования и других анатомических областей, например живота или конечностей.
Двухэнергетическая КТ
Разграничение тканей при КТ основано на
различиях в ослаблении рентгеновского излучения после прохождение его через
изучаемый объект. Оно выражается в числах Хаунсфилда и отображается на
томограммах в виде различных градаций серого цвета. Ослабление рентгеновского
излучения связано с его поглощением или рассеиванием при прохождении через
ткани. Степень ослабления излучения в тканях зависит от энергии рентгеновских
фотонов. Известно, что величина чисел Хаунсфилда для мягких тканей мало зависит
от изменения энергии рентгеновского излучения. В то же время с увеличением
атомной массы элементов, составляющих данную ткань, колебание энергии
рентгеновских фотонов приводит к заметной вариабельности чисел Хаунсфилда. К
таким тканям относятся, например, костная. Кроме того, данный эффект можно
наблюдать при отложениях кальция в различных анатомических структурах, при
наличии высокоплотных инородных тел, искусственно вводимых в организм пациента
позитивных контрастных веществ и медицинских приспособлений. Таким образом,
различные структуры могут быть разграничены при КТ не только на основании
разницы в степени ослабления рентгеновского излучения, но и в зависимости от их
реакции на изменение энергии рентгеновского излучения.
Первые опыты с двухэнергетической КТ относятся
еще к концу 70-х годов прошлого века. Однако низкое пространственное разрешение
аппаратов, нестабильность регистрации КТ чисел, длительное время сканирования
препятствовали внедрению в практику этой методики. Другой проблемой была
недостаточная мощность рентгеновских трубок, не позволявшая достичь необходимых
значений экспозиции при снижении величины напряжения. В связи с этим, едва ли
не единственной областью применения двухэнергетических исследований в диагностической
радиологии оставалась рентгеновская денситометрия костей. Отдельные
исследования изучали возможности двухэнергетической КТ в выявлении
обызвествлений в очаговых образованиях в легочной ткани или в количественной
оценке жировой ткани в брюшной полости, однако широкого клинического применения
они не получили. Совершенно новый уровень возможностей открывается в связи с
появлением КТ с двойным источником излучения. Несмотря на то, что сама
технология была изначально предложена для повышения временного разрешения при
КТ коронарографии, использование двух источников для получения двух различных
по спектру пучков рентгеновского излучения является исключительно интересным
как в теоретическом, так и в практическом аспекте.
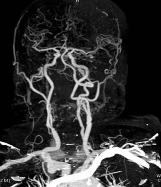
Рис. 3. - КТ ангиография сосудов головы и шеи с
использованием
двухэнергетической КТ на аппарат с двумя
источниками излучения.
Реформация во фронтальной проекции, MIP. Костные
структуры
черепа и верхней апертуры математически выделены
и удалены
Одним из возможных направлений развития этой
методики является быстрое, еще в процессе построения изображения, разделение
костных структур, мягких тканей и паренхиматозных органов, а также
контрастированных йодсодержащими веществами сосудов. Это позволят построить изображения,
как двухмерные, так и трехмерные, с исключением одной или двух из перечисленных
трех групп анатомических структур. В ряде случаев искусственное удаление
костных структур может иметь большое диагностическое значение. Например, при
исследовании головного мозга или области верхней апертуры грудной клетки
исключение из построенного изображения костных структур позволяет более точно
понять расположение сосудов и окружающих мягких тканей. Сегодня эту процедуру
можно выполнить с помощью специально программного обеспечения, однако она много
занимает времени и требует участия специалиста.
Другим направлением является оценка перфузии
тканей паренхиматозных органов. Для выявления такого рода изменений традиционно
используются методики радионуклидной диагностики, а в последние годы оценка
перфузии стала возможной и при МРТ исследованиях. При КТ оценка перфузии
основана на введении йодсодержащих контрастных веществ в сосудистое русло,
когда атомы йода распределяются в тканях пропорционально существующему кровотоку.
Снижение или полное прекращение кровотока, которое наблюдается при патологии
сосудов, имеет большое диагностическое и клиническое значение. Примерами могут
служить участки ишемии головного мозга при инсульте, легкого при тромбоэмболии
легочной артерии, почек при атеросклерозе почечных артерии и ряд других
патологических состояний. Принципиально важной является возможность изучения
различий в перфузии нормальных и опухолевых тканей при онкологических
заболеваниях. Изучение особенностей визуализации опухолей на фоне введения
контрастных веществ с помощью двухэнергетической КТ может дать новую группу
признаков для ранней диагностики злокачественных новообразований.
Более сложным и недостаточно ясным в настоящее
время является развитие методик искусственного разделения мягкотканых структур,
например раздельная визуализация сухожилий на фоне костных и мышечных структур
конечностей. До настоящего времени такие исследования были возможны с
использованием ультразвуковых аппаратов или магнитно-резонансных томографов.
Дозы облучения
Как и любое рентгеновское исследование, КТ с
двумя источниками излучения связано с облучением пациента в процессе
исследования. Проведенные исследования показали, что одновременное
использование двух источников рентгеновского излучения не приводит к увеличению
дозы облучения при ЭКГ синхронизированных исследованиях сердца. Более того, при
эквивалентном с обычными ЭКГ синхронизированными МСКТ исследованиями сердца
уровне шума (помех изображения) доза облучения в новой технологии снижается
вдвое. Важно, что использование двух рентгеновских трубок позволило применить
не только традиционные, но и совершенно новые способы ограничения дозовых
нагрузок на пациента. К последним следует отнести возможность увеличения
расстояния между отдельными витками спирального сканирования в сравнении с
обычной МСКТ, в результате чего рентгеновские трубки совершают меньше оборотов
вокруг пациента, а количество рентгеновского излучения пропорционально
уменьшается. При обычной МСКТ такое действие приведет к появлению выраженных
артефактов и искажению изображения. Помимо этого, в аппаратах с двумя
источниками излучения предусмотрены все существовавшие ранее способы
ограничения вредного воздействия ионизирующего излучения, в частности
автоматическое изменение экспозиции в зависимости от объема исследуемой области
и ряд других.
Таким образом, новая технология компьютерной
томографии, названная как КТ с двумя источниками излучения, реализованная в
аппарате SOMATOM Definition, представляет собой новую ступень развития
современных диагностических методов и открывает дополнительные возможности в
кардиологии, онкологи, неврологии и других областях клинической медицины.
Список литературы
1.
Лекции по биофизики. Учебное пособие / Рубин А.Б.
.
Математическая биофизика клетки / Иваницкий Г.Р., Кринский В.И., Сельков Е.Е.
.
Математические модели биологических тканей / Смолянинов В.В.
.
Медицинская и биологическая физика. Учебник для вузов / Ремизов А.Н., Максина
А.Г., Потапенко А.Я.
.
Медицинские приборы, аппараты, системы и комплексы. Технические методы и
аппараты для экспресс-диагностики / Бердников А.В., Семко М.В., Широкова Ю.А.
.
Медицинские приборы. Разработка и применение / Джон Г. Вебстер, Джон В. Кларк
мл., Майкл Р. Ньюман, Валтер Х. Олсон и др.
.
Методическое руководство к лабораторным работам по медицинской и биологической
физике / Г.А. Козлов, А.Е. Луньков.
.
Методическое руководство к лабораторным работам по электричеству / А.Е.
Луньков, В.С. Гангнус.
.
Механика кровообращения / Карло К., Педли Т., Шротер Р., Сид У.
.
Образование структур при необратимых процессах. Введение в теорию диссипативных
структур / Эбелинг В.
Приложение
Структура МРТ