Пульпа зуба. Её гистологическое строение и морфофункциональное значение

  • Вид работы:
    Реферат
  • Предмет:
    Медицина, физкультура, здравоохранение
  • Язык:
    Русский
    ,
    Формат файла:
    MS Word
    3,71 Mb
  • Опубликовано:
    2011-12-27
Вы можете узнать стоимость помощи в написании студенческой работы.
Помощь в написании работы, которую точно примут!

Пульпа зуба. Её гистологическое строение и морфофункциональное значение

Волгоградский государственный медицинский университет

Кафедра гистология, эмбриологии и цитологии









Пульпа зуба. Её гистологическое строение и морфофункциональное значение


Выполнил: студент

стоматологического факультета,

курса, 5 группы,

Попов Даниил Сергеевич

Проверил:

Агрыцков А. М.




Волгоград 2011

План

.        Пульпа зуба, определение, функции

.        Развитие пульпы зуба

.        Строение пульпы зуба

.1 Гистологические зоны пульпы

3.2 Структурные элементы пульпы

3.3 Обызвествленные структуры в пульпе

.        Кровоснабжение пульпы зуба

.        Лимфатические сосуды пульпы зуба

.        Иннервация пульпы зуба

Источники литературы

.       

1. Пульпа зуба, определение, функции

Пульпа, или мякоть зуба (pulpa dentis), представляет собой сложный соединительнотканный орган с разнообразными клеточными структурами, кровеносными сосудами, богата нервными волокнами и рецепторным аппаратом, которые в комплексе выполняют ее функции, обеспечивают жизнедеятельность зуба. Пульпа полностью заполняет полость зуба, постепенно переходя в участке верхушечного отверстия в ткань периодонта. Общие очертания пульпы определенной мерой повторяют форму и внешний рельеф зуба. Пульпа, которая содержится в полости коронки зуба, называется коронковой, в корневых каналах - корневой. Названия "коронковая пульпа" и "корневая пульпа" отражают не только анатомически распределительный характер, они имеют определенные отличия в зависимости от размещения, формы, структуры и функции этих анатомических образований. Особенно эти отличия между коронковой и корневой пульпой существенны в многокорневых зубах, где анатомически выраженная граница в виде устьев корневых каналов проявляется довольно четко, особенно при развитии в ней патологических процессов. Пульпа выполняет ряд важных функций:

пластическую - участвует в образовании дентина (благодаря деятельности расположенных в них одонтобластов);

трофическую - обеспечивает трофику дентина (за счет находящихся в ней сосудов);

сенсорную (вследствие присутствия в ней большого количества нервных окончаний);

защитную и репаративную (путем выработки третичного дентина, развития гуморальных и клеточных реакций, воспаления).

Живая неповрежденная пульпа зуба необходима для осуществления его нормальной функции. Хотя депульпированный зуб может в течение некоторого времени нести жевательную нагрузку, он становится хрупким и недолговечен.

Рыхлая волокнистая соединительная ткань, составляющая основу пульпы, образована клетками и межклеточным веществом. Клетки пульпы включают одонтобласты и фибробласты, в меньшем числе - макрофаги, дендритные клетки, лимфоциты, плазматические и тучные клетки, эозинофильные гранулоциты.

2. Развитие пульпы зуба

Зубы закладываются из 2 источников:

. Эпителий ротовой полости - эмаль зуба.

. Мезенхима - все остальные ткани зуба (дентин, цемент, пульпа, периодонт и параодонт).

На 6-й недели эмбриогенеза многослойный плоский неороговевающий эпителий на верхней и нижней челюстях утолщается в виде подковообразного тяжа - зубная пластинка. Эта зубная пластинка в дальнейшем погружается в подлежащую мезенхиму. На передней (губной) поверхности зубной пластинки появляются эпителиальные выпячивания - так называемые зубные почки. С стороны нижней поверхности в зубную почку начинает вдавливаться уплотненная мезенхима в виде зубного сосочка. В результате этого эпителиальная зубная почка превращается в перевернутый 2-х стенный бокал или чащу, который называется эпителиальным эмалевым органом. Эмалевый орган и зубной сосочек вместе окружаются уплотненной мезенхимой - зубным мешочком.

Эпителиальный эмалевый орган вначале соединен тонким стебельком с зубной пластинкой. Клетки эпителиального эмалевого органа дифференцируются в 3-х направлениях:

. Внутренние клетки (на границе с зубным сосочком) - превращаются в эмальобразующие клетки - амелобласты.

. Промежуточные клетки - становятся отросчатыми, образуют петлистую сеть - пульпу эмалевого органа. Эти клетки участвуют в питании амелобластов, играют определенную роль при прорезывании зубов, в последующем уплощаются и образуют кутикулу.

. Наружные клетки - уплощаются, после прорезывания дегенерируют.

Из мезенхимы зубного сосочка начинается дифференцировка и формирование пульпы: мезенхимные клетки превращаются в фибробласты и начинают выработку коллагеновых волокон и основного вещества пульпы.

Разрастание дентина и пульпы в области корня зуба обуславливает прорезывание зуба, так как зачаток зуба в области корня окружен формирующейся костной альвеолой, поэтому дентин и пульпа не могут разрастаться в этом направлении, в области корня поднимается тканевое давление и зуб вынужден выталкиваться, подниматься к поверхности эпителия ротовой полости, т.е. прорезываться.

3. Строение пульпы зуба

3.1 Гистологические зоны пульпы

Гистологически пульпа может быть разделена на 3 зоны:

периферический слой - образован компактным слоем одонтобластов толщиной в 1-8 клеток, прилежащих к предентину.

Одонтобласты связаны межклеточными соединениями; между ними проникают петли капилляров (частично фенестированных) и нервные волокна, вместе с отростками одонтобластов направляющиеся в дентинные трубочки. Одонтобласты в течение всей жизни вырабатывают предентин, сужая пульпарную камеру;

промежуточный (субодонтобластический) слой развит только в коронковой пульпе; его организация отличается значительной вариабельностью. В состав промежуточного слоя входят наружная и внутренняя зоны:

а) наружная зона (слой Вейля) - во многих отечественных и зарубежных источниках традиционно именуется бесклеточной (cell-free zone в англоязычной и zeilfreie Zone - в немецкой литературе), что, по существу, неправильно, так как она содержит многочисленные отростки клеток, тела которых располагаются во внутренней зоне. В наружной зоне располагаются также сеть нервных волокон (сплетение Рашкова) и кровеносные капилляры, которые окружены коллагеновыми и ретикулярными волокнами и погружены в основное вещество. В новейшей немецкой литературе используется термин "зона, бедная клеточными ядрами" (zeikernarme Zone), более точно отражающий особенности строения наружной зоны. Представления о возникновении этой зоны в результате артефакта не нашли дальнейшего подтверждения. В зубах, характеризующихся высокой скоростью образования дентина (при их росте или активной продукции третичного дентина), эта зона сужается или целиком исчезает вследствие заполнения клетками, мигрирующими в нее из внутренней (клеточной зоны);

б) внутренняя (клеточная, правильнее - богатая клетками) зона содержит многочисленные и разнообразные клетки: фибробласты, лимфоциты, малодифференцированные клетки, преодонтобласты, а также капилляры, миелиновые и безмиелиновые волокна;

центральный слой - представлен рыхлой волокнистой тканью, содержащей фибробласты, макрофаги, более крупные кровеносные и лимфатические сосуды, пучки нервных волокон. (см. рис 1)

Рис 1. Пульпа зуба: ПС - периферический слой; НЗ - наружная (безъядерная) зона промежуточного слоя (слой Вейля); ВЗ - внутренняя (ядросодержащая зона промежуточного слоя; ЦС - центральный слой; ОБЛ - одонтобласты (тела клеток); КМС - комплексы межклеточных соединений; ООБЛ - отросток одонтобласта; ПД - предентин; КК -кровеносный капилляр; СНС - субодонтобластическое нервное сплетение (Рашкова); НВ - нервное волокно; НО - нервное окончание.

3.2 Структурные элементы пульпы

Пульпа зуба, представляя собой соединительную ткань, состоит из клеток, волокон, аморфных субстанций и межклеточного вещества. Клетки включают фибробласты, плазмациты, гистиоциты.

Лаброцитов (тучных клеток) в пульпе нет. Фибробласты - основные клетки соединительной ткани. Они продуцируют желатиноподобный межклеточных матрикс, в котором содержатся все компоненты пульпы, в том числе коллагеновые фибриллы, которые укрепляют этот матрикс.

Форма клеток варьирует от фузиформной (сигароподобной) с длинными тонкими протоплазматическими отростками до звездчатой, с короткими многочисленными отростками, которые формируют сеть, контактируя с другими фибробластами.

Их состояние зависит от возраста и витальности пульпы.

Размеры и количество этих клеток могут изменяться в результате возрастных процессов, развития кариеса, эрозии, стираемости зубов или лечебных манипуляций. Плазматические - резервные (недифференцированные) клетки определяются вдоль кровеносных сосудов.

Они способны дифференцироваться в клетки другого типа в зависимости от необходимости, например, в фибробласты. Гистиоциты - следующий тип клеток, имеющихся в соединительной ткани. Активируясь, гистиоциты мигрируют в область воспаления и становятся магрофагами, т.е. фагоцитируют бактерии, инородные тела, мертвые клетки.

Одонтобласты - специализированные высокодифференцированные клетки - являются уникальными по своей роли, как для дентина, так и для пульпы. Одонтобласты расположены слоями (палисадообразно) по периферии пульпы (см. рис. 2).

В "молодой" пульпе обнаруживаются 6-8 таких слоев. Размеры и форма клеток могут варьировать в зависимости от локализации. В полости зуба они напоминают высокие и низкие цилиндры, кубической формы в канале и плоские у апекса.

На срезе одонтобласты имеют полигональную форму, тесно контактируют между собой короткими отростками. Слой одонтобластов отделен от предентина четкой границей - пульподентинной линией, которая образуется как утолщение на участке соединения оболочек смежных одонтобластов.

На срезе оно выглядит как полигональный "воротник" вокруг концов одонтобластов, обращенных к дентину. Длинные отростки одонтобластов проникают в дентинные трубочки на протяженность 1/2 или 2/3 их длины, не достигая эмалево-дентинного или дентинно-цементного соединения.

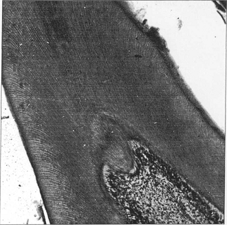
Рис. 2. Поперечный срез зуба. ОМ x300. Определяется слой одонтобластов, предентин, первичный и вторичный дентин

Рис 3. Ультраструктурная организация одонтобласта: Т - тело одонтобласта; О - отросток одонтобласта; М - митохондрии; ГЭС - гранулярная эндоплазматическая сеть; КГ - комплекс Гольджи; СГ - секреторные гранулы; ДС - десмосомы; ПД - предентин; Д - дентин.

пульпа зуб гистологический иннервация

Отростки омываются межклеточной жидкостью, поступающей в дентин от пульпы (дентинная лимфа). Эта жидкость движется в трубочках под действием внутрипульпарного давления и капиллярных сил. Как высокодифференцированные клетки, одонтобласты более повреждаемы, чем фибробласты.

Кроме того, они связаны с внешней средой и, следовательно, являются первыми "живыми" структурами зуба, которые подвергаются вредным воздействиям.

Неклеточные компоненты пульпы - фибриллы - волокна: зрелые коллагеновые или молодые преколлагеновые, расположены диффузно по всей пульпе.

Преколлагеновые (ретикулярные и аргирофильные), которые впоследствии формируют коллаген, преобладают в развивающейся молодой пульпе. Большая часть их концентрируется в бедной клетками зоне и носит название "волокон Корфа".

В виде спирально-скрученных связок они протягиваются между одонтобластами, химически изменяясь, и появляясь в предентине как коллагеновые волокна.

Коллаген может быть представлен или в виде отдельных волокон, или связок и больше концентрируется в корневой, по сравнению с коронковой пульпой.

В корневой пульпе фибриллы более упорядочены, и поэтому при экстирпации она удаляется одним общим тяжем. Коллаген, как и преколлаген накапливается с возрастом. Аморфный компонент межклеточной матрицы - основная субстанция.

Ее молекулы высоко полимерны, что обеспечивает высокую вязкость или гелеобразность.

Основные свойства обеспечиваются мукополисахаридным комплексом - гликозаминогликанами GAG (гиалуроновая и хондроитинсерная кислоты, производные последней).

Желатиновая основная субстанция является барьером для микроорганизмов и токсичных продуктов.

Некоторые бактерии, такие как гемолитический стрептококк, способны продуцировать фактор (энзимразрушающий GAG, в результате снижается вязкость, отмечается локальное повышение/температуры. Оба процесса способствуют воспалению, снижая барьерную функцию желатиновой субстанции.

Всё компоненты пульпы омываются межклеточной жидкостью, в которой содержатся водорастворимые метаболиты плазмы, такие как аминокислоты, соли, витамины, гормоны, ферменты, кислород. Они проходят через полупроницаемую мембрану - сосудистую/стенку.

Продукты жизнедеятельности клеток в свою очередь могут поступать в вены или лимфатическую сеть.

Большое количество воды, которое содержит основное вещество, уменьшается с возрастом. Клетки не могут получать достаточно питательных средств, снижают способность к размножению или репарации.

В результате отмечается вакуолизация, пикноз ядер, количество клеток уменьшается на фоне роста коллагеновых ассоциаций.

3.3 Обызвествленные структуры в пульпе

С возрастом увеличивается частота формирования в пульпе обызвествленных структур (кальцификатов), которые у пожилых выявляются в 90 % зубов, но могут встречаться и у молодых. Обызвествленные образования имеют характер диффузных или локальных отложений солей кальция. Большая их часть (более 70 %) сосредоточена в корневой пульпе. Диффузные участки обызвествления (петрификаты) обычно обнаруживаются в корне по периферии нервных волокон и сосудов, а также в стенке последних и характеризуются слиянием мелких участков отложения кристаллов гидроксиапатита. Локальные обызвествления носят название дентиклей. Дентикли - округлые или неправильной формы обызвествления вариабильных размеров (до 2- 3 мм), лежащие в коронковой или корневой пульпе. Иногда своей формой они повторяют пульпарную камеру. По расположению в последней дентикли подразделяются на свободные (со всех сторон окруженные пульпой), пристеночные (соприкасаются со стенкой пульпарной камеры) и интерстициальные, или замурованные (включенные в дентин). На поверхности многих дентиклей обнаруживают крупные участки резорбции.

Рис 5. Дентикли в пульпе зуба: Э - эмаль; Д - дентин; Ц - цемент; П - пульпа; СДТ -свободный дентикль; ПДТ - париетальный дентикль; ИДТ - интерстициальный дентикль.

Истинные (высокоорганизованные) дентикли - участки гетеротопического отложения дентина в пульпе - состоят из обызвествленного дентина, по периферии окружены одонтобластами, как правило, содержат дентинные трубочки. Источником их формирования считают преодонтобласты, превращающиеся в одонтобласты под влиянием неясных индуцирующих факторов.

Ложные (низкоорганизованные) дентикли встречаются в пульпе значительно чаще истинных. Они состоят из концентрических слоев обызвествленного материала, откладывающегося обычно вокруг некротизированных клеток и не содержащего деитинных трубочек.

Дентикли могут быть одиночными или множественными, они способны спаиваться друг с другом, образуя разнообразные по форме конгломераты. В некоторых случаях в результате быстрого роста или слияния они становятся столь крупными, что вызывают облитерацию полости рта, просвета основного или дополнительного корневых каналов.

Дентикли встречаются в интакных зубах молодых здоровых людей, но чаще они возникают вследствие общих обменных нарушений, в частности, при старении или местных воспалительных процессах. Особенно активно они формируются при некоторых эндокринных заболеваниях (например, болезни Кушинга), при болезнях пародонта, после препарирования тканей зуба. Сдавливая нервные волокна и сосуды, дентикли и петрификаты могут вызывать боли, расстройства микроциркуляции, однако обычно они развиваются бессимптомно.

Располагаясь в устье корневых каналов, дентикли нередко сужают и маскируют их. Перечисленные изменения способствуют снижению репаративных возможностей пульпы.

4. Кровоснабжение пульпы зуба

Пульпа характеризуется очень развитой сосудистой сетью и богатой иннервацией. Сосуды и нервы пульпы проникают в нее через апикальное и добавочное отверстия корня, образуя в корневом канале сосудисто-нервный пучок. (см. рис. 4)

Рис 4. Схема кровоснабжения и иннервации коронковой части пульпы зуба

В корневом канале артериолы отдают боковые ветви к слою одонтобластов, причем их диаметр уменьшается в направлении коронки. В стенке мелких артериол гладкие миоциты располагаются циркулярно и не образуют сплошного слоя. В пульпе выявлены все элементы микроциркулярного русла. В коронке артериолы образуют аркады, от которых берут начало более мелкие сосуды.

В пульпе обнаружены капилляры различных типов. Капилляры с непрерывной эндотелиальной выстилкой численно преобладают на фенестрированными и характеризуются наличием активного вакуолярного и, в меньшей степени, микропиноцитозного транспорта. В их стенке присутствуют отдельные перициты, которые располагаются в расщеплениях базальной мембраны эндотелия.

Капилляры 8-10 мкм отходят от коротких терминальных участков аретриол - метартериол (прекапилляров) диаметром 8-12 мкм, которые содержат гладкие миоциты лишь в области прекапиллярных сфинктеров, регулирующих кровенаполнение капиллярных сетей. Последние выявляются во всех слоях пульпы, но особенно хорошо развиты в промежуточном слое пульпы (субодонтобластическое капиллярное сплетение), откуда капиллярные петли проникают в слой одонтобластов.

Фенестрированные капилляры составляют 4-5 % общего числа капилляров и располагаются преимущественно вблизи одонтобластов. Поры в цитоплазме эндотелиальных клеток фенестрированных капилляров имеют диаметр, в среднем, 60-80 мкм и закрыты диафрагмами; перициты в их стенке отсутствуют. Присутствие фенестрированных капилляров связывают с необходимостью быстрого транспорта метаболитов к одонтобластам при формировании предентина и его последующем обызвествлении. Капиллярная сеть, окружающая одонтобласты, особенно сильно развита в период активного дентиногенеза. По достижении окклюзии и замедлении образования дентина капилляры обычно несколько смещаются в центральном направлении.

Кровь из пульпарного капиллярного сплетения через посткапилляры оттекает в венулы, тонкие стенки мышечного типа (содержат в стенке гладкие миоциты) диаметром 100-150 мкм, следующие по ходу артерий. Как правило, венулы располагаются в пульпе центрально, тогда как артериолы занимают более периферическое положение. Нередко в пульпе можно обнаружить триаду, включающую артериолу, венулу и нерв. В области верхушечного отверстия диаметр вен меньше, чем в коронке.

Кровоснабжение пульпы обладает рядом особенностей. В пульпарной камере давление составляет 20-30 мм рт. ст., что значительно выше, чем внутритканевое давление в других органах. Это давление колеблется в соответствии с сокращениями сердца, однако его медленные изменения могут происходить и независимо от артериального давления. Объем капиллярного русла в пульпе может существенно варьировать, в частности, в промежуточном слое пульпы имеется значительное количество капилляров, однако большая их часть в состоянии покоя не функционирует. При повреждении быстро развивается гиперемическая реакция вследствие заполнения этих капилляров кровью.

Кровоток в сосудах пульпы осуществляется быстрее, чем во многих других органах. Так, в артериолах скорость кровотока составляет 0,3-1 мм/с, в венулях - около 0,15 мм/с, а в капиллярах - около 0,08 мм/с.

В пульпе имеются артериоловенулярные анастомозы, осуществляющие прямое шунтирование кровотока. В состоянии покоя большая часть анастомозов не функционирует; их деятельность резко усиливается при раздражении пульпы. Активность анастомозов проявляется периодическим сбросом крови из артериального русла в венозное при соответствующих резких перепадах давления в пульпарной камере. С деятельностью этого механизма связывают периодичность болей при пульпите.

5. Лимфатические сосуды пульпы зуба

Лимфатические капилляры пульпы начинаются как мешковидные структуры диаметром 15-50 мкм, расположенные в ее периферическом и промежуточном слоях. Они характеризуются тонкой эндотелильной выстилкой с широкими межклеточными более 1 мкм щелями и отсутствием базальной мембраны на большем протяжении. От эндотелиальных клеток в направлении окружающих структур отходят длинные выросты. В цитоплазме эндолиоцитов встречаются многочисленные микропиноцитозные пузырьки. Капилляры окружены тонкой сетью ретикулярных волокон. При отеке пульпы (обычно в связи с ее воспалением) лимфоотток усиливается, что проявляется увеличением объема лимфатических капилляров, резким расширением щелей между эндотелиальными клетками и падением содержания микропиноцитозных пузырьков.

Из лимфатических капилляров лимфа оттекает в мелкие тонкостенные собирательные лимфатические сосуды неправильной формы, которые сообщаются друг с другом.

Иннервация пульпы зуба

В апикальное отверстие корня проникают толстые пучки нервных волокон, содержащие от нескольких сотен (200-700) до нескольких тысяч (1000-2000) миелиновых и безмиелиновых волокон. Последние преобладают, составляя, по разным оценкам, до 60-80 % общего числа волокон. Часть волокон могут проникать в пульпу зуба через добавочные каналы.

Пучки нервных волокон сопровождают артериальные сосуды, образуя сосудисто нервный пучок зуба, и ветвятся вместе с ними. В корневой пульпе, однако, лишь около 10 % волокон образуют терминальные ветвления; большая их часть в виде пучков достигают коронки, где они веерообразно расходятся к периферии пульпы.

Расходящиеся пучки имеют сравнительно прямой ход и постепенно истончаются в направлении дентина. В периферических участках пульпы (внутренней зоне промежуточного слоя) большинство волокон утрачивают миелиновую оболочку, ветвятся и сплетаются друг с другом. Каждое волокно дает не менее восьми терминальных веточек. Их сеть образует субодонтобластическое нервное сплетение (сплетение Рашкова), располагающееся кнутри от слоя одонтобластов. В сплетении присутствуют как толстые миелиновые, так и тонкие безмиелиновые волокна.

От сплетения Рашкова отходят нервные волокна, которые направляются к наиболее периферическим отделам пульпы, где они оплетают одонтобласты и заканчиваются терминалами на границе пульпы и предентина, а часть из них проникают в ден-тинные трубочки. Нервные терминали имеют вид округлых или овальных расширений, содержащих микропузырьки, мелкие плотные гранулы и митохондрии. От внешней клеточной мембраны одонтобластов многие терминали отделены лишь щелью шириной 20 нм. Большинство нервных окончаний в области расположения тел одонтобластов считают рецепторами. Их число максимально в области рогов пульпы. Раздражение этих рецепторов, независимо от природы действующего фактора (тепло, холод, давление, химические вещества), вызывает боль. Вместе с тем, описаны и эффекторные окончания с многочисленными синаптическими пузырьками, митохондриями и электронно-плотным матриксом.

Волокнистые структуры пульпы - коллагеновые и преколлагеновые волокна (аргирофильные). В корневой части пульпы расположено много волокон и мелких клеточных образований.

После завершения формирования зуба происходит постоянное сокращение размеров пульпарной камеры вследствие непрерывного отложения вторичного и периодического отложения третичного дентина. Поэтому в пожилом возрасте пульпа зуба занимает значительно меньший объем, чем в молодом. Более того, в результате неравномерного отложения третичного дентина происходит изменение формы пульпарной камеры по сравнению с первоначальной, в частности, сглаживаются рога пульпы. Указанные изменения имеют клиническое значение: глубокое препарирование дентина в области пульпарных рогов менее опасно в пожилом возрасте, чем в молодом. Избыточное отложение дентина на крыше и дне пульпарной камеры в пожилом возрасте может затруднить нахождение каналов.

С возрастом происходит уменьшение числа клеток во всех слоях пульпы (до 50 % исходного); в периферическом слое одонтобласты из призматических превращаются в кубические, причем их высота снижается вдвое. Уменьшается число рядов этих клеток, и у пожилых людей они часто лежат в один ряд. В одонтобластах при старении падает содержание органелл, участвующих в синтетических процессах, и секреторных гранул; одновременно нарастает количество аутофагических вакуолей. Межклеточные пространства расширяются. Синтетическая активность фибробластов также снижается, а фагоцитарная - увеличивается.

Содержание коллагеновых волокон нарастает, прогрессив¬но увеличиваясь с возрастом. В пульпе зубов у пожилых лю¬дей оно почти в три раза выше, чем у молодых. Коллаген, вырабатываемый фибробластами при старении пульпы, характеризуется измененным химическим составом и сниженной растворимостью. Кровоснабжение пульпы ухудшается за счет редукции микроциркуляторного русла, в особенности элементов субодонтобластического сплетения. При строении отмечаются регрессивные изменения нервного аппарата зуба: происходит утрата части безмиелиновых волокон, демиелинизация и гибель миелиновых волокон. Снижается экспрессия ряда нейропептидов, в особенности, ПСКГ и вещества Р. С этим, отчасти, связывают возрастное снижение чувствительности пульпы. С другой стороны, возрастные изменения иннервации пульпы сказываются на регуляции ее кровоснабжения.

Источники литературы

.        Гистология под ред. В.Г. Елисеева, Ю. И. Афанасьева, Н. А. Юриной. 1983г. Стр. 439.

.        Лекции по гистологии ВолгГМУ

3.      <http://simf.h10.ru/>

.        <http://www.dentaltechnic.info/>

.        <http://www.mac-dent.ru/>

.        <http://stomatologist.org/>

Похожие работы на - Пульпа зуба. Её гистологическое строение и морфофункциональное значение

 

Не нашли материал для своей работы?
Поможем написать уникальную работу
Без плагиата!
Без нейросетей!