Рентгендиагностика очагового туберкулеза
Очаговый туберкулез –
клиническая форма туберкулеза, являющаяся собирательным клинико-морфологическим
понятием; различные по патогенезу, морфологии и клинике поражения туберкулезной
этиологии, при которых диаметр каждого патологического процесса не превышает
поперечного размера легочной дольки (до 12 мм). Туберкулезное поражение
при ОТБ ограничено (в пределах 1–2 сегментов)
Очаговый туберкулез в настоящее
время составляет 18–25% среди всех впервые выявленных больных легочным
туберкулезом. Эта форма туберкулеза характеризуется наличием небольшого
количества очагов, преимущественно продуктивного характера, локализующихся в
ограниченном участке одного или обоих легких, занимающих 1–2 сегмента.
Патогенез и патоморфология:
1.
Свежий очаговый туберкулез: возникает при ИДС вследствии реактивации очагов первичного ТБ или
экзогенной суперинфекции; при этом реакция фагоцитов на МБТ сохраняется; чаще
всего вначале МТБ проникает во внутридольковый бронх и вызывает внутридольковый
казеозный панбронхит, затем происходит аспирация казеозно-некротических масс в
дистально расположенные бронхиолы и альвеолы и развивается внутридольковая
казеозная пневмония (очаг Абрикосова); этот очаг вначале премущественно
экссудативный и может перейти в инфильтрат при прогрессировании, однако чаще
становиться продуктивным.
2.
Хронический очаговый туберкулез: при хронизации процесса вокруг очага воспаления происходят
явления репарации, при этом вокруг отдельных очагов формируется фиброзная или
гиалиновая капсула (очаги Ашоффа-Пуля); капсула может формироваться и при
регрессии диссеминированного, кавернозного, ифильтративного и др. форм
туберкулеза; признаки активного воспаления в очаге постепенно уменьшаются, а
грануляционная ткань замещается фиброзной; при обострении казеозные массы в
очагах могут подвергаться расплавлению и распространению через бронхи и
лимфатические сосуды в другие участки легкого.
Очаговый туберкулез легких может быть следствием ограниченной
гематогенной диссеминации или возникает в результате прогрессирования мелких
очажков, образовавшихся в период первичной инфекции или после нее, а также
может явиться исходом других форм туберкулеза – диссеминированного,
инфильтративного, кавернозного.
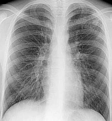
Рис. 1. Больной Ш., 19
лет. Обзорная рентгенограмма.
Очаговый туберкулез. Справа в подключичной зоне на фоне фиброзных изменений
определяются множественные очаги средней плотности
Очаговый туберкулез может быть как самостоятельной формой, так и
вариантом заживления других клинических форм легочного туберкулеза. Практически
любая форма легочного туберкулеза в процессе заживления, инволюции может
трансформироваться в очаговые изменения. В большинстве случаев при очаговом
туберкулезе экссудативная тканевая реакция довольно быстро сменяется
продуктивной. Поэтому в пораженном участке удается видеть наряду с ацинозной и
лобулярной бронхопневмонией формирование продуктивных бугорков – как одиночных,
так и сливающихся в более крупные ацинознодозные образования.
В рентгенологическом изображении
свежие очаги имеют сравнительно небольшие размеры (1–1,5 см), округлую,
овоидную, грушевидную или розеткообразную форму, низкую интенсивность,
однородную структуру, более или менее четкие контуры. Размеры очагов, как
правило, не превышают размеров дольки легкого. Мелкие очаги диаметром 3–4 мм
чаще имеют продуктивно-фиброзный характер, крупные очаги отражают
экссудативно-казеозный тип реакции. Изменения локализуются преимущественно в
верхушечно-задних сегментах легких.
В зависимости от морфологической картины выделяют несколько
вариантов очагового туберкулеза легких:
ü острый очаговый туберкулез легких;
ü фиброзно-казеозные очаги в стадии обострения или без признаков
активности;
ü очаги и рубцы на месте заживших каверн.
Свежие туберкулезные очаги, или острый очаговый туберкулёз, по
определению А.И. Струкова (1948), морфологически характеризуется наличием
не больших фокусов казеозной пневмонии, занимающих дольку легкого или часть ее.
Подобный очаг впервые был описан А.И. Абрикосовым (1904) и
расценен им как реинфект, возникший в результате повторного заражения
аэрогенным путем. Однако позднее было доказано, что эти очаги не имеют
отношения к аэрогенной суперинфекции, а возникают в результате обострения
специфического воспаления вокруг мелких и мельчайших очажков.
Сам А.И. Абрикосов видел мелкие старые очажки,
располагающиеся в зоне свежего воспаления, но не придал им значения с точки
зрения генеза вторичного туберкулеза и образования свежего воспалительного
фокуса с казеозным некрозом.
Рентгенологическая картина при этом
варианте очагового туберкулеза довольно характерна:
1. Обычно определяется несколько очагов, располагающихся в 1 или 2
сегменте, иногда обнаруживают два или один очаг.
3. Контуры могут быть нечеткими или относительно четкими.
4. Форма очагов округлая или овальная.
5. Размеры свежих туберкулезных очагов могут значительно
уменьшаться за счет рассасывания перифокальной инфильтрации, частичной
резорбции казеоза и деструкции.
6. Если очаг кавернизируется, то каверна имеет тонкие стенки, и в
течение 3 – 4 мес. на ее месте формируется очажок размерами 2 – 3 мм.
В тех случаях когда кавернизации не происходит, краевой распад виден на
структурных томограммах при размере деструкции не менее 4 мм.
Фиброзно-казеозные очаги
представляют собой фокусы инкапсулированного казеозного некроза размером до 1 см.
В некоторых из них обнаруживают отложения солей кальция.
Фиброзно-казеозные очаги могут находиться в двух состояниях:
– в фазе стабилизации процесса;
– в фазе обострения.
В зависимости от этого наблюдаются различные рентгенологические
симптомы.
В стадии стабилизации процесса,
или в фазе уплотнения и кальцинации, на фоне неизмененной легочной ткани
определяется несколько очагов с довольно четкими контурами, вкраплениями
кальция или полным обызвествлением. Плевра над верхушками легких иногда
незначительно утолщена. Легочный рисунок в пределах пораженных сегментов не
изменен. Вокруг очагов, особенно если они располагаются группами, могут быть
радиарно расходящиеся рубцовые линейные тени.
При обострении процесса появляются
все признаки воспаления: нечеткость контуров очагов за счет перифокальной зоны
инфильтрации, воспалительный ограниченный лимфангит как следствие
распространения процесса по перибронхиальным и периваскулярным пространствам с
формированием мелких и более крупных свежих очагов, краевая деструкция. Все эти
изменения более отчетливо определяются на структурных томограммах.
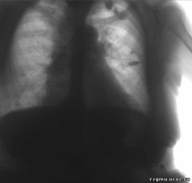
Рис. 2 Очаговый туберкулез
легких в фазе петрификации
При прогрессировании очагового туберкулеза процесс может выходить
за рамки очагового и трактоваться как инфильтративный, кавернозный,
ограниченный диссеминированный туберкулез.
При благоприятном течении инфильтративного и кавернозного
туберкулеза деструктивные изменения в легких могут трансформироваться в очаг
размером до 1 см. Подобные очаги нередко имеют радиарно расходящиеся тяжи,
т.е. наблюдаются изменения рубцового характера в окружающей ткани.
Воротынцева Н.В. подразделяет туберкулёзные очаги на 5 групп
ü Экссудативные очаги (с перифокальным воспалением) на
рентгенограмме представляются в виде округлых или неправильной формы крупных – до
10 – 15 мм. теней с нерезкими контурами, постепенно переходящими в
окружающую легочную ткань. При более или менее густом расположении очагов тени
их накладываются друг на друга, сливаясь в инфильтратоподобные образования.
ü Продуктивные очаги – мелкие и средние, обычная величина которых 3 –
8 мм, форма округлая, овальная или неправильная, контуры резкие, структура
негомогенная.
ü Фиброзно-продуктивные очаги размерами 3 – 8 мм., пронизаны
фиброзными тяжами.
ü Казеозно-некротические очаги крупные или средней величены
размерами 5 – 15 мм., округлые, с резкими контурами, различной структуры;
морфологически отличающиеся от туберкулом только меньшими размерами.
При активном туберкулёзе обнаруживаются первые 4 варианта
указанных очагов, а при неактивном – последние 4 варианта.
В центре экссудативного или казеозно–некротического очага
при томографическом исследовании можно обнаружить мелкие участки деструкции.
Эти, так называемые, кавернизированные очаги могут быть источником
бацилловыделения.
Окружающая легочная ткань при очаговом туберкулёзе чаще всего
содержит патологические элементы в виде:
– изменения легочного рисунка;
– деформации и нерезкости сосудистых тяжей (перибронхиальное
и периваскулярное воспаление);
– мелкоячеистой сетки с нечеткими трабекулами в зоне
поражения (перилобулярное воспаление);
– интерстициального фиброза – крупноячеистая перестройка
легочного рисунка с четкими трабекулами, между которыми видны просветления в
виде розеток;
– усиленного и сгущённого рисунка – сосудистые тени не
истончаются постепенно, а на всем протяжении имеют одинаковую толщину и резкие
неровные контуры;
– обрывов и перегибов сосудистых теней.
Чем больше выражен фиброз, тем медленнее наступает обратное
развитие свежих воспалительных изменений и тем вероятнее возможность рецидива в
будущем.
Очаговый туберкулез обычно протекает доброкачественно, часто
бессимптомно или с малыми клиническими проявлениями. Для этой формы туберкулеза
характерно волнообразное течение со сменой фаз обострения и затихания. Но даже
в период вспышки этой форме присуще отсутствие ярких клинических проявлений.
Это значит, что больные очаговым туберкулезом могут не знать о своей болезни и
поэтому не обращаться за медицинской помощью. Очаговый туберкулез легких в
большинстве случаев имеет тенденцию к самоизлечению или хроническому течению.
Вновь образованные очаги под влиянием адекватной антибактериальной терапии в
течение 1,5–2,5 мес. могут полностью исчезнуть. Однако в подавляющем
большинстве излечение вторичных очаговых форм происходит по «дефектному типу» с
остаточными изменениями в ткани легкого.
Трудности обнаружения и правильной интерпретации этой формы
туберкулеза в значительной мере связаны с суперпозицией очаговых теней с
костным скелетом грудной клетки, а именно, с ребрами и ключицей. Даже на
линейных томограммах так называемые тени размазывания нередко затрудняют
выделение в чистом виде туберкулезных очагов. Более убедительную картину дает
компьютерная томография, поскольку на аксиальных срезах очаги уплотнения
легочной ткани освобождаются от суперпозиции со стороны костного скелета (рис. 1).
Особое внимание следует обращать на пациентов с ограниченными
(моно – бисегментарными) изменениями казеозно-некротического характера. У таких
больных в пределах одного – двух сегментов (чаще всего в S1 – S2) видны разной
величины, негомогенные, иногда частично кальцинированные очаги на фоне более
или менее выраженных фиброзных изменений, перифокальной буллёзной эмфиземы и в
сочетании с изменениями плевры.
Считается также, что к оценке плотности очагов следует относиться
с большой осторожностью. Среди рентгенологов и фтизиатров укоренилось
представление, будто бы по характеру выявляемых на рентгенограммах очагов можно
оценивать степень активности туберкулезного процесса.
Между тем рентгенологи знают, что на оптическую плотность очаговых
и инфильтративных процессов в рентгенологическом изображении заметное влияние
оказывает не столько физическая плотность очагов воспаления или опухолевой
инфильтрации, сколько величина очагов, степень заполнения альвеол и состояние
воздушности окружающей легочной ткани. При эмфиземе вследствие эффекта
вычитания (субтракции) интенсивность очагов уплотнения легочной ткани,
проекционно наслаивающихся на гиперпневматизированные, буллезно вздутые участки
легкого, снижается вплоть до полного их исчезновения.
К.В. Помельцов (1971) отметил, что значительная часть
кальцинированных очагов не выявляется на прижизненных рентгенограммах. И
наоборот, полутень, обусловленная фиброзной капсулой вокруг кальцинированного
центра очага, может восприниматься как перифокальное экссудативное воспаление.
Некоторые ученые полагают, что по рентгенологической картине
трудно оценивать степень активности туберкулеза. Лучшим показателем, по их
мнению, является стабильность рентгенологической картины в течение 6 мес и
отрицательные данные исследования мокроты. Исходя из этого, упомянутые авторы
рекомендуют рентгенологам вместо описательного термина «неактивного» или «старого
туберкулеза» пользоваться термином «рентгенологически стабильный туберкулез».
При двустороннем очаговом туберкулезе в некоторых случаях
возникают трудности его разграничения с диссеминированным туберкулезом. В связи
с этим фтизиатрами принято относить к очаговой форме туберкулезный процесс,
охватывающий верхушки легких до переднего конца второго ребра. Большую степень
распространения процесса относят к диссеминированному туберкулезу. В
затруднительных случаях следует принимать во внимание количество очагов, т.е.
степень обсеменения. При наличии множественных густо расположенных очагов в
пределах верхних легочных полей двусторонний очаговый туберкулез следует
классифицировать как ограниченный диссеминированный.
В протоколе рентгенологического исследования при очаговом
туберкулёзе рентгенологу необходимо ответить на следующие вопросы:
1. Есть ли очаги в легких, сколько их, где они расположены, их
размеры, форма, структура, имеется ли перифокальное воспаление,
кальцинированные включения.
3. Состояние корней лёгких (есть ли кальцинированные лимфатические
узлы, признаки повышения давления в малом круге кровообращения, нарушение
топики, фиброзные изменения).
4. Состояние диафрагмы.

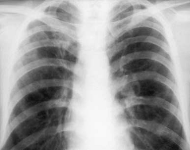
Рис. 4 Рентгенограмма ОГК и схема к ней левого легкого.
В
апикальном отделе S1–2 левого легкого определяется обогащенный легочный рисунок
за счет множественных полиморфных преимущественно среднеочаговых теней,
склонных к слиянию с нечеткими контурами; здесь же имеются плевроапикальные
наслоения. Корни легких структурны, не расширены. Купол диафрагмы четкий,
синусы свободны.
Заключение:
Очаговый туберкулез в S1–2 левого легкого в стадии инфильтрации.
Список использованной литературы:
1. Помельцов К.В. Рентгенологическая диагностика туберкулеза
легких. М.:Медицина, 1971. 367 с.
2. Рубинштейн Г.Р. Туберкулез легких. М., 1948. 228 с.
3. Струков А.И., Соловьева И.Л. Морфология
туберкулеза в современных условиях. М.: Медицина, 1986. 228 с.
4. Ерохин В.В., Земскова З.С., Уварова О.А. и др.
Патологоанатомическая диагностика прогрессирующих форм туберкулеза легких в
связи с новой клинической классификацией // Пробл. туб. 1996. №4. С. 32–37.
5. Авербах М.М. Туберкуломы легкого.
Клинико-анатомический анализ, патологическая анатомия, патогенез и
классификация по материалам резекций. М.:Медицина, 1969. 336 с.
6. Александрова А.В. Рентгенологическая диагностика
туберкулеза органов дыхания. М.:Медицина, 1983.
КУРСКИЙ ГОСУДАРСТВЕННЫЙ МЕДИЦИНСКИЙ УНИВЕРСИТЕТ
Кафедра
лучевой диагностики
Зав.
кафедрой, д.м.н., профессор Губарев Е.А.
РЕНТГЕНДИАГНОСТИКА
ОЧАГОВЫХ ФОРМ ТУБЕРКУЛЕЗА
Исполнитель:
студентка
4 курса
лечебного ф-та,
Проверила: Яковлева Е.А.
К У Р С К –
2010