Закритий перелом кісток лівого передпліччя

  • Вид работы:
    Реферат
  • Предмет:
    Медицина, физкультура, здравоохранение
  • Язык:
    Русский
    ,
    Формат файла:
    MS Word
    1,53 Mb
  • Опубликовано:
    2009-12-05
Вы можете узнать стоимость помощи в написании студенческой работы.
Помощь в написании работы, которую точно примут!

Закритий перелом кісток лівого передпліччя

Міністерство охорони здоров'я України

Івано-Франківський державний медичний університет

Кафедра травматології, ортопедії та ВПХ



Зав. кафедрою – д.м.н., проф.Сулима.

Викладач – доцент. ДубасВ.

Історія хвороби

Куратор – студент V курсу, 3 групи,

медичного факультету

Барасюк В.А.

 

Курація почата:

Курація закінчена:

 



Івано-Франківськ

2006

Потребує перевірки!

Pars officialis

1. Прізвище, ім'я та по-батькові хворого: *****

2. Вік хворого: 3.10.1995р.н. (11 років)

3. Стать: чоловіча

4. Освіта: середня

5. Професія і місце роботи: учень *****

6. Адреса місця проживання: *****

7. Сімейний стан: неодружений,

8. Дата і час поступлення: 11.11.2006р., 22:15

9. Поступив в стаціонар: за екстренними показанями.

10. Через скільки годин після початку захворювання: 1год. 15хв .

11. Діагноз закладу, який направив: закритий перелом кісток лівого передпліччя в н/3 зі зміщенням відламків.

12. Діагноз при госпіталізації: закритий перелом кісток лівого передпліччя в н/3 зі зміщенням відламків.

13. Клінічний діагноз: закритий перелом кісток лівого передпліччя в н/3 зі зміщенням відламків.

14. Заключний діагноз: закритий перелом кісток лівого передпліччя в н/3 зі зміщенням відламків.

Qurelle aegroti

Хворий скаржиться на: біль в ділянці лівого передпліччя в н/3, деформацію та набряк останньої.

Anamnesis morbi

Травму отримав 11.11.2006 біля 21:00 при падінні на асфальт. За допомогою звернувся в травмпункт ДОДКЛ. Госпіталізований ургентно.

Anamnesis vitae

*****, народився в 1995р. в сімї службовця. Жив та розвивався в задовільних матеріально-побутових умовах. До школи пішов в 7 років. В розумовому та фізичному розвитку від своїх однолітків не відставав.

Перенесених у дитинстві гострих інфекційних захворювань не пригадує. Туберкульоз, хворобу Боткіна, венеричні захворювання в себе та в членів сім’ї заперечує.

Хворий не палить, алкоголь не вживає.

Спадковий та алергологічний анамнез не обтяжені.

Status presens objectivus

Загальний стан – середньої тяжкості. Свідомість збережена.

Характеристика поведінки:

реакція на огляд – позитивна;

настрій – урівноважений;

комунікативні ознаки – легко вступає в контакт.

Психічний розвиток відповідає віку. Сон збережений.

Підшкірно-жирова клітковина. Хворий нормального відживлення, підшкірно-жировий шар розвинений нормально, рівномірно розподілений, пастозність, набряки – відсутні.

Лімфатичні вузли не пальпуються. Мускулатура розвинена задовільно. Тонус м’язів збережений. При пальпації м’язи без особливостей.

Дихальна система:

Скарги: відсутні.

При огляді: Форма грудної клітки правильна, нормостенічна, циліндрична, симетрична, лопатки дещо відстають від грудної клітки. Над- і підключичні ділянки виражені, міжреберні проміжки широкі. Дихання через ніс – вільне, ритмічне, з частотою 17 за хв; тип дихання змішаний. Обидві половини грудної клітки рівноцінно приймають участь в акті дихання; епігастральний кут гострий, кут Людовика помірно-виражений. Хребет у грудному відділі без викривлень.

Пальпація: грудна клітка задовільної резистентності, не болюча, еластичність знижена. Голосове тремтіння над симетричними ділянками однакової інтенсивності, однакове на всьому протязі над легенями.

Порівняльна перкусія: ясний легеневий звук на всьому протязі над легенями.

Топографічна перкусія:

Висота стояння верхівок спереду: справа – 2,5см, зліва – 2,5см;

Висота стояння верхівок ззаду: верхівки обох легень знаходяться на рівні остистого відростка VІІ шийного хребця;

Ширина поля Креніга: справа і зліва по 5см;

Нижні межі легень:

Місце перкусії

Права легеня

Ліва легеня

L. parasternalis

Нижній край V ребра

-

L. medioclavicularis

VI ребро

-

L. axillaris anterior

VII ребро

VII ребро

Нижній край VIII ребра

VIII ребро

L. axillaris posterior

IX ребро

ІХ ребро

L. scapularis

X ребро

Х ребро

L. paravertebralis

Остистий відросток XI грудного хребця

Остистий відросток XI грудного хребця

Рухомість нижнього краю легень збережена (по лопатковій лінії: справа – 6 см, зліва – 6 см).

Аускультація: на всьому протязі легень вислуховується везикулярне дихання, побічні дихальні шуми відсутні. Бронхофонія над симетричними ділянками легень однакова, середньої інтенсивності.

Органи кровообігу:

Скарги: відсутні.

Огляд: лице без змін, губи рожеві, при огляді ділянки серця серцевого поштовху не виявлено, пульсації артеріальних і венозних судин не виявлено.

Пальпація: верхівковий поштовх локалізується в п’ятому міжребір’ї на 1см. досередини від лівої середньоключичної лінії, обмежений, резистентний, середньої сили і висоти.

Пульс на променевих артеріях, вискових та сонних: симетричний, ритмічний, задовільного наповнення і напруження, частотою 74уд/хв. Дефіцити пульсу відсутній. При пальпації артерій нижніх кінцівок: стегнової, підколінної, тилу стопи та задньої великогомілкової, а також скроневої артерії – стінка артерії звичайна, еластична. Пульс на перерахованих артеріях задовільний.

АТ 110/70 мм.рт.ст. Пульсовий тиск 40 мм.рт.ст. Артеріальний тиск однаковий на нижніх і верхніх кінцівках.

Перкусія:

 Межі відносної серцевої тупості:

права – 0,5см. назовні від правого краю грудини в IV міжребір’ї,

ліва – 0,5см. досередини від лівої середньоключичної лінії в V міжребір’ї,

верхня – на рівні ІІІ ребра по нижньому краю.

Межі абсолютної серцевої тупості:

права – на рівні правого краю грудини в IV міжребір’ї,

ліва – на 0,5см. медіальніше від лівої середньоключичної лінії в V міжребір’ї,

верхня – на рівні верхнього краю IV ребра.

Ширина судинного пучка — не виходить за межі грудини.

Аускультація: тони серця звучні, чисті, ритмічні, з частотою 72 за одну хвилину, патологічні шуми не вислуховуються.

Органи травлення:

Апетит збережений. Нудота, печія, порушення ковтання (дисфагія), зригування, блювота – відсутні.

Рот – акт ковтання не порушений, відкривання рота вільне, запах з рота звичайний, колір слизових оболонок – блідо-рожеві; крововиливи, виразки, плями Філатова не спостерігаються.

Язик: вологий, рожевий, тріщини, виразки, відпечатки зубів, тремтіння висунутого язика, його девіація – відсутні.

Ясна в межах норми.

Глотка: колір слизової оболонки блідий, мигдалики не збільшені. Задня стінка глотки негіперемовані.

Характеристика стану слинних залоз: білявушні, підщелепні, під’язичні слинні залози без особливостей.

Огляд: Живіт візуально округлий, симетричний, передня черевна стінка приймає слабку участь в акті дихання.

При пальпації передня черевна стінка не болюча, напруження її відсутнє; симптом Щьоткіна – Блюмберга, Менделя та симптом флюктуації від'ємні. При перкусії над усією ділянкою живота тимпанічний звук.

При глибокій методичній ковзній пальпації по методу Образцова-Стражеско:

Сигмовидна кишка промацується у лівій здухвинній ямці у вигляді гладенького циліндра, безболісна, помірно щільної консистенції, має гладеньку поверхню, наявне деяке зміщення, не бурчить.

Сліпа кишка промацується в правій здухвинній ділянці як гладкий дещо рухомий (1 – 2 см) циліндр з невеликим розширенням донизу (відчувається бурчання), болючість при пальпації відсутня.

Кінцева частина клубової кишки не пальпується, червоподібний відросток не пальпується.

Поперечна ободова кишка пальпується у вигляді рухомого, дещо прогнутого посередині циліндра помірно щільної консистенції, при пальпації безболісна, наявне деяке бурчання.

Висхідна та низхідна ободові кишки пропальповуються у вигляді тяжів середньої щільності діаметром близько 1,5 см, в низхідній частині відчувається деяке бурчання, поверхня гладка, не болюча, ущільнення відсутні.

Шлунок: при орієнтовній пальпації ділянка над шлунком м’яка, не дає м’язового захисту. При глибокій методичній ковзній пальпації по методу Образцова-Стражеско велику кривизну шлунка не вдалося пропальпувати. Воротар пальпується як короткий тяж діаметром 2 см, який змінює свою форму і консистенцію. Нижня межа шлунку, визначена при перкусії, перкуторній аускультації, розташовується вздовж середньої лінії на 2 сантиметри вище від пупка.

При перкусії живота визначається тимпанічний перкуторний звук, вільна рідина при перкусії не визначається. Симптом флуктуації негативний.

Нижній край печінки при пальпації гострий, ущільнений, рівний, безболісний; невиходить з-під краю правої реберної дуги.

Визначення меж печінки по В.Х.Василенку (перкуторно):

верхня: по l. parasternalis dextra – по верхньому краю VI ребра,

по l. medioclavicularis dextra – на рівні VI ребра,

по l. axillaris anterior dextra - на рівні VIІ ребра,

по l. mediana anterior (визначена умовно) – основа мечевидного відростка;

нижня: по l. parasternalis dextra – на 1,5 см нижче правої реберної дуги,

по l. medioclavicularis dextra – на рівні правої реберної дуги,

по l. axillaris anterior dextra – на рівні правої реберної дуги;

по l. mediana anterior – на 3 см нижче нижнього краю мечевидного відростка;

по лівій реберній дузі – на рівні VII-VIII ребра.

Розміри печінки по Курлову:

правий середньо ключичний 9 см;

серединний 7 см;

лівий косий (по лівій реберній дузі) 6 см.

Жовчевий міхур, підшлункова залоза, селезінка не пальпується.

Аускультація: вислуховуються ритмічні кишкові шуми з частотою 5/хв. в ділянці правого і лівого згинів ободової кишки, над пупком.

Фізвідравлення в нормі, без патологічних домішок.

Ендокринна система:

Скарги: відсутні. При огляді і об’єктивному дослідженні патології гіпоталамуса, гіпофіза, статевих і наднирникових залоз не виявлено.

Сечовидільна система: нирки не пальпуються, при пальпації не болючі. Симптом Пастернацького негативний з обох боків.

Status presens orthopedicus

Загальний огляд: конституція нормостенічна, тілобудова правильна, порушення постави, деформації хребта не виявлено, неможливо розігнути праву руку.

При осьовому навантаженні на ліву кістку передпліччя, відзначається болючість.

Довжина, обвід окремих сегментів кінцівок:

ліва нижня кінцівка: довжина 62 см, довжина стегна 37 см , гомілки 25 см;

права нижня кінцівка: довжина 62 см, довжина стегна 37 см, гомілки 25 см;

ліва верхня кінцівка: довжина 45 см, довжина плеча 23 см, передпліччя 22 см;

права верхня кінцівка: довжина 45 см, довжина плеча 23 см, передпліччя 22 см;

Обсяг правого плеча на відстані 15 см від акроміального відростка лопатки становить 18 см, обсяг правого передпліччя на відстані 10 см від верхівки ліктьового відростка – 13 см. Обсяг лівого плеча на відстані 15 см від акроміального відростка лопатки становить 18 см, обсяг лівого передпліччя на відстані 10 см від ліктьового відростка – 13 см.

Обсяг правого стегна на відстані 25 см від найбільш виступаючої точки великого вертела становить 35 см, обсяг правої гомілки на відстані 20 см від щілини колінного суглобу – 25 см. Обсяг лівого стегна на відстані 25 см від найбільш виступаючої точки великого вертела становить 35 см, обсяг лівої гомілки на відстані 20 см від щілини колінного суглобу – 25 см.

Об’єм рухів у суглобах: ( Об'єм рухів в суглобах по Марксу – Дебруннеру ).

Правий плечовий суглоб:

Відведення/приведення 180° / 0° / 40°

Згинання/розгинання 1600/00/400.

При зігнутому ліктьовому суглобі: зовнішня ротація/внутрішня ротація 500/0°/30°

Лівий плечовий суглоб:

Відведення/приведення 180° / 0° / 40°

Згинання/розгинання 160° / 0°/ 40°

При зігнутому лікті: зовнішня ротація/внутрішня ротація 50° / 0° / 30°

Правий ліктьовий суглоб:

Згинання/розгинання 180/°0°/10°

Пронація/супінація 90° / 0° /80°

Лівий ліктьовий суглоб:

Згинання/розгинання 180°/0°/10°

Пронація/супінація 90° / 0° / 80°

Правий променевозап'ястний суглоб:

Згинання/розгинання 80° / 0° / 70°

Променева девіація/ліктьова девіація 20° / 0° / 30°

Лівий променевозап'ястний суглоб:

Згинання/розгинання 0º/ 0° / 0°

Променева девіація/ліктьова девіація 20° / 0° / 30°

Правий кульшовий суглоб:

Згинання/розгинання 130° / 0° / 0°

Відведення/приведення 50° / 0° / 40°

Зовнішня ротація/внутрішня ротація 50° / 0° / 50°

Лівий кульшовий суглоб:

Згинання/розгинання 130°/0°/0°

Відведення/приведення 50° / 0° / 40°

Зовнішня ротація/внутрішня ротація 50° / 0° / 50°

Правий колінний суглоб:

Згинання/розгинання 140°/0°/5°

Лівий колінний суглоб:

Згинання/розгинання 140°/0°/5°

Правий гомілковоступневий суглоб:

Згинання/розгинання 40°/0°/30°

Лівий гомілковоступневий суглоб:

Згинання/розгинання 40°/0°/30°

Рухи в хребті:

Згинання шийного відділу 75°

Розгинання шийного відділу 45°

Ротація головою 40°

Нахил тулуба вперед (згинання ) 85°

Нахил тулуба назад (розгинання ) 35°

Ротація 25°

Вимірювання м’язевої сили:

М'язева сила м'язів правої верхньої кінцівки становить 5 балів, лівої верхньої кінцівки – 3 бали. М'язева сила м'язів правої нижньої кінцівки становить 5 балів, а лівої нижньої кінцівки 5 балів.

Чутливість ( больова, тактильна, температурна ) збережена. Черевні і підошовні рефлекси збережені, симетричні.

Locus morbi (Місце захворювання).

Спостерігається значна деформація н/3 лівого передпліччя, набряк, болі при пальпації, функція лівої верхньої кінцівки порушена.

Diagnosis praeliminaris (Попередній діагноз).

На основі:

-скарг: на біль в ділянці лівого передпліччя в н/3, деформацію та набряк останньої.

-анамнезу хвороби: травму отримав 11.11.2006, біля 21:00, при падінні на асфальт. За допомогою звернувся в травмпункт ДОДКЛ. Госпіталізований ургентно.

- об’єктивного ортопедичного обстеження:.

Спостерігається значна деформація н/3 лівого передпліччя, набряк, болі при пальпації, функція лівої верхньої кінцівки порушена.

Можна поставити попередній діагноз: закритий перелом кісток лівого передпліччя в н/3.

Rationes inquirendi

Загальний аналіз крові від 12.11.2002р.

Гемоглобін 110 г/л

Еритроцити 3,9*1012 /л,

КП – 0,9

Лейкоцити 10,0*109 /л,

Еозинофіли 2%

Паличкоядерні 8%

Сегментоядерні 71%

Лімфоцити 12%

Моноцити 6%

ШОЕ 5 мм/год

Біохімічний аналіз крові від 12.11.2002р.

Загальний білок 81,3 г/л

Альбуміни 52%

Глобуліни 48%

АлТ 0,28 ммоль/л

АсТ 0,21 ммоль/л

Білірубін 18,0 мкмоль/л

глюкоза 4,46 ммоль/л

Загальний аналіз сечі від 12.11.2002р.

Колір солом’яно-жовта

Прозорість мутна

Питома вага 1,019

рН 6,6

Білок ¾

Цукор —

Лейкоцити 2–3 в п/з

Епітелій 2-3 в п/з

Еритроцити 0-1 в п/з

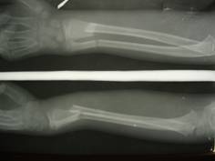
Descriptio roentgenogrammatum cum schemate

На рентгенограмі – перелом кісток лівого передпліччя в н/3 зі зміщенням уламків.

Мал.1.

Рентгенограма кісток предпліччя при переломі обох кісток предпліччя (пряма проекція).

Мал. 2.

Рентгенограма кісток предпліччя при переломі обох кісток предпліччя (бокова проекція).

Мал.3

Рентгенограма кісток предпліччя при переломі обох кісток предпліччя (пряма і бокова проекція).

Мал.4.

Зміщення відламків при переломах кісток передпліччя

Мал.5

Diagnosis differentialis (Диференціальний діагноз)

Диференціацію проводимо з:

синдромом запясткового каналу;

патологічним переломом;

забій нижньої третини передпліччя;

розтягнення звязок променево-запясткового суглобу.

Синдром запясткового каналу.

Спільні ознаки:

біль при спробі руху

біль при пальпації,

набряк в нижній третині передпліччя

порушення чутливості

Відмінні ознаки:

механізм травми,

різна рентгенологічна картина.

Патологічний перелом.

Спільні ознаки:

біль при спробі руху

біль при пальпації,

набряк в нижній третині передпліччя

порушення чутливості,

Відмінні ознаки:

різна рентгенологічна картина.

змінена кістка ( при пухлині).

виникає при незначній травмі ( при пухлині).

Забій нижньої третини передпліччя

Спільні ознаки:

біль,

набряк,

обмеження рухомості,

Відмінні ознаки:

різна рентгенологічна картина( при забої на знімку змін не буде).

Розтягнення звязок променево-запясткового суглобу

Спільні ознаки:

біль,

набряк

обмеження рухомості

біль при пальпації.

Відмінні ознаки:

різна рентгенологічна картина( при розтягненні звязок на знімку змін не буде)

Diagnosis clinica (Клінічний діагноз).

На основі попереднього діагнозу, додаткових методів обстеження і диференціального діагнозу можна поставити клінічний діагноз:

Закритий перелом кісток лівого передпліччя в н/3 зі зміщенням відламків.

Aetiologia et pathogenesis (Етіологія і патогенез)

Переломи кісток передпліччя виникають унаслідок прямої або не прямої дії травмівної сили і становлять близько 30% усіх переломів кісток.

Переломи обох кісток на одному рівні є наслідком прямої дії травмівної сили, а переломи на різних рівнях – непрямої дії.

У нижній третині, незважаючи на стовщення променевої кістки, міцність кісток залишається нижчою, бо вони зверху і з боків не захищені масивом м’язів, а ліктьова кістка має максимальне стоншення. Крім того, на цьому рівні закінчується фізіологічний вигин променевої кістки. Усе це знижує опірність кісток до дії механічної сили.

 Зміщення відламків при переломах спочатку залежить від напрямку дії травмівної сили, а після перелому – від рефлекторного скорочення м’язів-антагоністів, які зумовлюють варіабельність клінічних проявів.

Shema curationis (План лікування даного хворого).

Репозиція, остеосинтез лівої променевої кістки плеча

гіпсова іммобілізація лівої верхньої кінцівки, рентгенконтроль,

розробка рухів

Sol. Analgini 50% - 1.0, в/м;

Sol. Dimedroli 1% - 1.0, в/м

Стіл №5.

Metodes curaniones(Лікування даної паталогії).

 Переломи обох кісток передпліччя в нижній третині, де масив м’язів наявний лише на долонній поверхні, мають найбільш рельєфний прояв деформацій. Нерідко відламки виступають під шкірою, виявляється значна патологічна рухомість. Рентгенівське дослідження уточнює характер площин перелому, положення відламків і ступінь зміщення їх. При переломах нижньої третини передпліччя дистальний відламок променевої кістки займає положення повної пронації під дією квадратного м’яза-привертача. Кисть пронована. Розуміння біомеханічного зміщення відламків при переломах кісток передпліччя є запорукою успішного лікування.

Невідкладна допомога полягає в знеболенні та транспортній іммобілізації.

Оперативне лікування показане в разі неможливості досягти одномоментного зіставлення відламків, скісних і гвинтоподібних площинах перелому, інтерпозиції, при осколкових і подвійних переломах. Оперативне лікування полягає у відкритому зіставленні відламків і остеосинтезі їх. Остеосинтез повинен бути стабільним, що дозволяє проводити раннє функціональне лікування. Дані переломи потребують обов’язкового повного усунення зміщень відламків, як запоруки відновлення ротаційних рухів передпліччя, працездатності.

Curatio aegroti nostrae (Лікування даного хворого).

Мотивований діагноз: Закритий перелом кісток лівого передпліччя в н/3 зі зміщенням відламків

Покази до операції: Наявність у хворого перелому кісток лівого передпліччя в н/3 зі зміщенням відламків є показанням до закритої репозиції, та закритого остеосинтезу під наркозом.

Протипокази до операції: не має.

Згода хворого чи його родичів на операцію: згода батьків дана.

План операції: з метою профілактики ускладнень була проведена премедикація: Sol. Analgini 50% - 1,0 + Sol. Dimedroli 1% - 0,8 + Sol. Atropini 0,1%-0,8.

Операція: Закритий остеосинтез лівої променевої кістки спицею.

Протокол операції: Хворому під наркозом зроблена спроба закритої репозиції відломків. В асептичних умовах кісткові фрагменти фіксовані спицею Кіршнера, яку проведено інтрамедулярно та через шкірно. Кінець спиці залишено нашкірно і зігнуто. Асептична пов’язка. Гіпсова лангета.

Рецепти:

Rp.: Doxycyclini hydrochloridi 0,1

 D.t.d.N 10 in сарss.

 S. По 1/ 2 рази на день.

Rp.: Sol. Analgini 50%-1 ml

D.t.d.N 10 in amp.

S. По 1 мл до м’язево 4 рази на день.

Rp.: Sol. Dimedroli 1%-1 ml

D.t.d.N 10 in amp.

S. По 0,8 мл до м’язево 4 рази на день.

Decursus morbi (Перебіг захворювання).

Дата

Стан хворого

Призначення

22.11.2006р.







27.11.2006р

 Хворий скаржиться на: біль в ділянці лівого передпліччя в н/3, та набряк останньої.

Загальний стан хворого задовільний, свідомість ясна, положення в ліжку пасивне. Тони серця чисті, ритмічні, пульс синхронний, задовільного наповнення і напруження, чсс 73 уд/хв, АТ 105/70 мм рт. ст. Дихання везикулярне, хрипи не вислуховуються, чд 17/хв. Стан органів ШКТ без особливостей. Температура тіла t = 36,9 0С. Стілець у нормі, сечопуск в нормі.

L.M. Шпиця стабільна, гіпсова лангета не турбує.

Стан хворого покращився, скарги на незначну болючість в ділянці н/3 лівого передпліччя.

Загальний стан хворого задовільний, свідомість ясна, положення в ліжку активне. Тони серця читсі, ритмічні, пульс синхронний, задовільного наповнення і напруження, чсс 76 уд/хв, АТ 115/75 мм рт. ст. Дихання везикулярне, хрипи не вислуховуються, чд 18/хв. Стан органів ШКТ без особливостей Температура тіла t = 36,8 0С. Стілець у нормі, сечопуск в нормі.

Куратор: Барасюк В.А.

Режим загальний

Стіл №5.

Sol. Analgini 50%-1,0 + Sol. Dimedroli 1%-0,8 — до м’язево 3-4 рази на день.

Caps. Doxycyclini hydrochloridi 0,1 – 2 рази на день per os

1.Стіл №5.

2.Загальний режим.

Sol. Analgini 50%-1,0 + Sol. Dimedroli 1%-0,8 — до м’язево 3-4 рази на день.

Caps. Doxycyclini hydrochloridi 0,1 – 2 рази на день per os


Diagnosis definita (Заключний діагноз).

Закритий перелом кісток лівого передпліччя в н/3 зі зміщенням відламків.

Стан після операції: Закритий остеосинтез лівої променевої кістки спицею.

Prognosis quo ad vitam (що до життя) — optimus est (оптимістичний).

Prognosis quo ad laborum (що до роботи) — optimus est (оптимістичний).

Prognosis quo ad valitudinem(що до видужання) — optimus est (оптимістичний).

Prognosis quo ad funccionem( щодо функцій) — optimus est (оптимістичний).

Consequentiae morbi (Наслідки захворювання).

На даний час хворий продовжує лікування.

Epicrisis (Епікриз).

****, 1995року народження, що проживає в м. Івано-Франківську, по вул. ****, поступив ургентно в травматологічне відділення ДОДКЛ 11.11.2006., 22:15

Травму отримав 11.11.2006 біля 21:00 при падінні на асфальт. За допомогою звернувся в травмпункт ДОДКЛ. Після травми свідомість не втрачав, загальний стан залишався задовільним. Досталений в ДОДКЛ, каретою швидкої допомоги, де проведена операція: Закритий остеосинтез лівої променевої кістки спицею.

Клінічний діагноз: Закритий перелом кісток лівого передпліччя в н/3 зі зміщенням відламків.

Стан після операції: Закритий остеосинтез лівої променевої кістки спицею.

Проведено додаткові методи обстеження:

Загальний аналіз крові від 12.11.2002р.

Гемоглобін 110 г/л

Еритроцити 3,9*1012 /л,

КП – 0,9

Лейкоцити 10,0*109 /л,

Базофіли 1%

Еозинофіли 2%

Паличкоядерні 8%

Сегментоядерні 71%

Лімфоцити 12%

Моноцити 6%

ШОЕ 5 мм/год

Біохімічний аналіз крові від 12.11.2002р.

Загальний білок 81,3 г/л

Альбуміни 52%

Глобуліни 48%

А/Г 1,09

АлТ 0,28 ммоль/л

АсТ 0,21 ммоль/л

Білірубін 18,0 мкмоль/л

тімолова проба 1,52 ОД SH

глюкоза 4,46 ммоль/л

лужна фосфатаза 954 ОД

Загальний аналіз сечі від 12.11.2002р.

Колір солом’яно-жовта

Прозорість мутна

Питома вага 1,019

рН 6,6

Білок ¾

Цукор —

Лейкоцити 2–3 в п/з

 Епітелій 2-3 в п/з

Еритроцити 0-1 в п/з

Проведена консервативна операція: накладання скелетного витяжіння по методу Лаврова.

Протокол операції: Хворому під наркозом зроблена спроба закритої репозиції відломків. В асептичних умовах кісткові фрагменти фіксовані спицею Кіршнера, яку проведено інтрамедулярно та через шкірно. Кінець спиці залишено нашкірно і зігнуто. Асептична пов’язка. Гіпсова лангета.

В післяопераційному періоді знеболюючі: Sol. Analgini 50%-1,0 + Sol. Dimedroli 1%-0,8 — до м’язево 3-4 рази на день. Антибіотики: Caps. Doxycyclini hydrochloridi 0,1 – 2 рази на день per os, 5 днів. Перев’язки з антисептиками. рентгенконтроль. ЛФК, масаж, фізіопроцедури.

Culpae et complications

Помилки діагностики: не діагностування перелому, не діагностування ускладнення переломів ушкодженням периферичних нервів і судин.

2. Утворення несправжнього суглобу.

Series literature

1. Курс лекцій по травматології.

2. Юмашев Г. С. "Травматологія і ортопедія", Москва, " Медицина", 1990 р.

3. Языков Д. М. "Дифференциальная диагностика в клинике травматологии и ортопедии", Медгиз, 1963 р.

4. Дубров Я. Г. "Пособие по травматологии", Москва, " Медицина", 1973 р.

5. Шапошников Ю.Г. Травматология ортопедия. Руководство для врачей. — М.: Медицина, 1997.

6. Корнилов Н.В., Грязнухин Э.Г. Травматология. – Санкт-Питербург: Гиппократ, 1999.

7. Є. Т. Скляренко, Травматологія і ортопедія. – Київ, «Здоров’я», 2005.


Не нашли материал для своей работы?
Поможем написать уникальную работу
Без плагиата!
Без нейросетей!