Аномалия трехстворчатого клапана и транспозиция магистральных сосудов

  • Вид работы:
    Реферат
  • Предмет:
    Медицина, физкультура, здравоохранение
  • Язык:
    Русский
    ,
    Формат файла:
    MS Word
    268,43 kb
  • Опубликовано:
    2010-05-18
Вы можете узнать стоимость помощи в написании студенческой работы.
Помощь в написании работы, которую точно примут!

Аномалия трехстворчатого клапана и транспозиция магистральных сосудов











Реферат

на тему: "Аномалия трехстворчатого клапана

и транспозиция магистральных сосудов"

Аномалия трехстворчатого клапана


Основные симптомы в раннем возрасте - одышка и разнообразные нарушения сердечной деятельности, в основном частые приступы пароксизмальной тахикардии. Выраженная артериальная гипоксемия развивается лишь с течением времени. Сердце в ранние стадии болезни значительно расширяется. Тоны его приглушены. Второй тон над легочной артерией ослаблен. Шум нетипичен, иногда может отсутствовать. В терминальной стадии болезни развиваются тяжелая артериальная гипоксемия и явления недостаточности трехстворчатого клапана.

На ЭКГ определяется высокий заостренный или расширенный зубец Р, удлинение интервала Р-<2 - Очень часто наблюдаются блокада правой ножки пучка Гиса и желудочковые комплексы типа Вольфа-Паркинсона - Уайта с отклонением электрической осп сердца влево.

При рентгенологическом исследовании обнаруживается увеличение границ сердца за счет правого предсердия, а также левых отделов. Сосудистый пучок узкий. Легочные поля повышенной прозрачности, сосудистая пульсация выражена слабо.

При ангиографическом исследовании определяются расширение полости правого предсердия, медленное поступление крови в легочные сосуды и заполнение левых отделов сердца и аорты.

Зондирование сердца выявляет решающие признаки для диагноза. Особенно важное значение имеет кривая давления, записанная из правого предсердия, на которой при недостаточности трехстворчатого клапана видна волна регургитации крови из правого желудочка. При извлечении зонда из правого желудочка можно получить два различных уровня давления с формой кривой, характерной для желудочка. Этот феномен возникает вследствие разделения желудочка неправильно развитым клапаном. Кривая давления желудочкового типа постепенно переходит в кривую предсердного типа. Давление в правом желудочке обычно нормальное. Амплитуда зубца на кривой предсердия указывает на его гипертрофию.

Прогноз неблагоприятный. Наиболее частой причиной смерти больных является сердечная недостаточность. Описаны случаи внезапной смерти.

Попытки радикального лечения порока оказались в настоящее время безуспешными.

Врожденный стеноз и атрезия трехстворчатого клапана. Недоразвитие либо сужение трехстворчатого клапана сочетается с рудиментарным правым желудочком, с обязательным дефектом межпредсердной перегородки и высоким дефектом межжелудочковой перегородки (у 90% больных).

У преобладающего числа больных наблюдается стеноз устья легочной артерии. Кровь, поступающая из правого предсердия в левое, может поступать в легкие через дефект межжелудочковой перегородки перемещенную и отходящую из левого желудочка легочную артерию, открытый артериальный проток и через артерии большого круга кровообращения.

Рис.1. Схема полной транспозиции магистральных сосудов.

Клиническая картина тяжелая. У больных развиваются выраженный цианоз, одышка. При инфундибулярном стенозе легочной артерии могут наблюдаться тяжелые приступы асфиксии.

Рентгенологическое и другие специальные методы исследования позволяют выявить признаки гипоплазии правого желудочка. Особое значение для диагноза имеют данные ЭКГ (левограмма) и ангиокардиографии (выявляется дефект заполнения контрастным веществом области расположения правого желудочка сердца, раннее заполнение левого желудочка, а затем одновременное выполнение аорты и легочной артерии).

Прогноз неблагоприятный. Смерть наступает вследствие хронической гипоксемии либо сердечной недостаточности.

Для лечения применяют лишь паллиативные операции типа анастомоза Бле-лока - Тауссиг, Потса - Смита или наложение кава-пульмонального анастомоза.

Транспозиция магистральных сосудов. При этом пороке сердца аорта выходит из правого желудочка, а легочная артерия из левого. По мнению Бейли, этот порок встречается нередко, но при нем большинство детей погибает в первые годы жизни. По Хенлону и Блелоку, средняя продолжительность жизни больных с транспозицией магистральных сосудов, если они не погибли в первые дни жизни, не превосходит 5 лет.

Транспозиция магистральных сосудов не совместима с жизнью, если нет сопутствующих аномалий развития, компенсирующих нарушения гемодинамики, вызванные перемещением аорты и легочной артерии. К таким компенсаторным аномалиям относятся: дефекты межпредсердной или межжелудочковой перегородки, аномалийный дренаж легочных вен, открытый артериальный (боталлов) проток.

Клинические симптомы транспозиции магистральных сосудов - цианоз, одышка. Характерно развитие цианоза с момента рождения. При компенсации основного порока незаращенным артериальным протоком нижняя половина тела больных менее цианотична, чем верхняя.

Границы сердца у больных транспозицией магистральных сосудов оказываются расширенными уже на ранних стадиях болезни (в отличие от тетрады Фалло). Сердечные шумы нехарактерны и могут даже отсутствовать. Второй тон над легочной артерией акцентирован. Если транспозиция магистральных сосудов сочетается со стенозом легочной артерии, второй тон над легочной артерией ослаблен.

При рентгенологическом исследовании отмечаются увеличение границ сердца, переполнение сосудов малого круга кровообращения, расширение легочной артерии.

Решающее значение для диагностики имеет селективная ангиокардиография, с помощью которой можно доказать, что правый желудочек опорожняется в аорту, а левый - в легочную артерию.

Лечение хирургическое. Операции заключаются либо в перемещении полых и легочных вен, пересадке левых легочных вен в коронарный синус, либо в перемещении аорты с легочной артерией. Летальность при этих операциях огромная, и они мало кем применяются.

Общий артериальный ствол может быть ложным и истинным. При ложном общем артериальном стволе недоразвита либо легочная артерия, либо аорта. Истинный общий артериальный ствол может быть полным, когда перегородка между аортой и легочной артерией отсутствует, и частичным, когда от сердца отходит один сосудистый ствол, разделяющийся затем на аорту и легочную артерию. В ряде случаев основной порок сердца сочетается с дефектами межжелудочковой перегородки, вплоть до полного ее отсутствия.

При истинном общем артериальном стволе в легкие поступает повышенное по сравнению с нормой количество крови и развивается синдром переполнения сосудов малого круга кровообращения. В результате смешения умеренного количества венозной крови с артериальной цианоз у таких больных выражен нерезко. У больных сложным общим артериальным стволом (атрезия легочной артерии) значительно нарушается кровоток через легкие и наблюдается значительная пшоксемия. Границы сердца обычно расширены. При истинном общем артериальном стволе над всем сердцем слышен грубый систолический шум, особенно в точках проекции корня магистральных сосудов. Второй тон у основания сердца бывает громким и чистым. Иногда слышен диастолический шум, связанный с недостаточностью клапанов артериального ствола.

Электрокардиографическое исследование не выявляет симптомов, характерных для общего артериального ствола.

Рентгенологическое исследование при истинном общем артериальном стволе позволяет выявить резкое переполнение сосудов легких, в поздних стадиях заболевания - склероз легочных сосудов. Тень сердца значительно увеличена; сосудистый пучок узкий. У больных с ложным общим артериальным стволом рентгенологическая картина почти не отличается от таковой при тетраде Фалло со значительным стенозом легочной артерии.

Решающее значение для диагноза имеет ангиокардиографическое исследование, при котором, как правило, обнаруживается одновременное заполнение обоих желудочков и изображение одного артериального ствола, исходящего из обоих желудочков.

Прогноз неблагоприятный. Смерть больных наступает вследствие гипоксемии, декомпенсации сердца, бактериального эндокардита, а при истинном общем артериальном стволе - и от прогрессирующего склероза сосудов легких.

Лечение неэффективно. Оперативное лечение не предложено.

Стеноз устья аорты. Выделяют следующие формы стеноза устья аорты: клапанный, подклапанный, надклепанный стеноз, а также гипоплазию дуги аорты. При всех этих формах из-за органического препятствия нарушен отток крови из левого желудочка, что ведет к его напряженной деятельности. Мышца левого желудочка резко гипертрофируется, что в сочетании с нарушенным коронарным кровообращением ведет к раннему развитию кардиосклероза, жировому перерождению мышцы сердца, образованию микроинфарктов. При клапанном стенозе из-за турбулентности тока крови расширяется восходящая аорта (постстенотическое расширение); стенка ее со временем склерозируется.

По мнению Горлина с сотрудниками, достаточно сужения устья аорты на 10% против нормы, чтобы появились первые признаки нарушения кровообращения. Однако В.В. Парин и Ф.3. Меерсон считают, что при аортальных пороках минутный объем крови, скорость кровотока и масса циркулирующей крови в течение длительного времени могут оставаться в пределах нормы. Уиггерс установил, что ударный и минутный объем сердца при сужении устья аорты уменьшается до 60-70% нормы. Даже при сравнительно небольшом сужении устья аорты давление в левом желудочке повышается, что обусловливает его напряженную деятельность и изменение динамики сердечного сокращения. Кривая внутрижелудочкового давления становится остроконечной. При значительном сужении устья аорты сокращение желудочка приближается к изометрическому типу, при котором увеличение остаточного объема и подъем начального напряжения ведут к повышению против нормы давления в желудочке (Уиггерс). Меняется кривая внутриартериального давления: крутой подъем, вслед за которым следует выраженное анакротическое углубление.

При врожденном стенозе устья аорты у части больных уже в раннем детстве может наблюдаться тяжелая клиническая картина.

У ряда больных уже пальпация грудной клетки дает основание заподозрить клапанный стеноз аорты. При пальпации, которую следует осуществлять одновременно обеими руками, определяется разлитой усиленный сердечный толчок, зависящий от сокращения левого желудочка. Сердечный толчок, как правило, совпадает с резко выраженным систолическим дрожанием, ощущаемым во II межреберье справа у грудины.

Пальпация, а также аускультация области расположения дуги аорты за яремной вырезкой (у детей здесь легко нащупать дугу аорты) дают почти неоспоримые физикальные данные, характерные для стеноза аорты. Грубый, "стенотический" шум, приобретающий максимальное звучание во II межреберье справа у грудины, заканчивается (при клапанном стенозе) глухим ослабленным вторым тоном. Систолический шум при стенозе аорты хорошо проводится по магистральным сосудам. На фонограмме область шума имеет ромбовидную форму. На ЭКГ, несмотря на выраженную гипертрофию левого желудочка, отклонения оси сердца у ряда больных не отмечается; однако у многих больных на ЭКГ определяются изменения, характерные для гипертрофии левого желудочка. На баллистокардиограмме у большинства больных клапанным стенозом аорты обнаруживается укорочение зубца К, что свидетельствует об уменьшении кровенаполнения аорты.

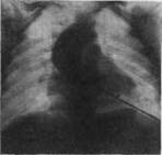
При рентгенологическом исследовании из-за увеличения левого желудочка сердце приобретает так наз. аортальную конфигурацию, напоминая форму башмака (рис.2). Левая граница сердца смещена иногда до передней подмышечной линии.

Рис. 2. Клапанный стеноз аорты: "талия" сердца выражена, левый желудочек увеличен.

Ангиокардиография позволяет получить ряд важных данных для диагноза сужения устья аорты. Из-за нарушения поступления крови в аорту контуры левого предсердия и левого желудочка четко контрастируются. Полость левого желудочка оказывается расширенной. Контрастное вещество медленно поступает в восходящую аорту, которая при клапанном стенозе, а у ряда больных и при подклапанном оказывается расширенной. Особенно большое значение для диагностики стеноза аорты и определения степени расстройств гемодинамики при нем имеет пункция левого желудочка с записью давления в аорте и желудочке и введением в полость желудочка контрастного вещества (рпс.3).

Рис. 3. Вентрикулоаортограмма у больного с клапанным стенозом аорты (контрастное вещество введено через иглу при пункции левого желудочка); восходящая аорта аневризматически расширена.

Обнаружение разницы давления в желудочке и аорте дает возможность безошибочно поставить диагноз стеноза устья аорты. При клапанном стенозе кривые давления, записанные из левого желудочка и аорты, имеют характерную форму. При медленном извлечении зонда из аорты при подклапанном стенозе в момент низведения зонда за клапаны на кривой выявляется соответственно камере между клапанами и местом стеноза падение диастолического давления до нуля, в то время как систолическое давление остается таким же, как в аорте.

При сочетании клапанного стеноза с подклапанным регистрируются три уровня систолического давления: в аорте, в камере между сросшимися клапанами и кольцом подклапанного стеноза и в левом желудочке. Следует отметить, что подклапанное сужение обусловливает иногда склероз и деформацию самих клапанов. В таких случаях на кривой, полученной при извлечении зонда из аорты, также можно определить три различных уровня давления.

Ангиокардиограмма, полученная при введении контрастного вещества в полость левого желудочка при его пункции, позволяет выявить диаметр стенозированного отверстия и его уровень (клапанный, подкла-панный), а также получить изображение восходящей аорты.

Лечение стеноза устья аорты оперативное, с целью устранения стеноза.

Показания к операции: прогрессирующее течение заболевания, гипертрофия левого желудочка, дистрофические изменения миокарда, нарушение динамики кровообращения. Следует иметь в виду, что кажущаяся доброкачественность порока обманчива: при отсутствии у ряда больных видимых гемодинамических нарушений возможны скрытые глубокие изменения миокарда левого желудочка, его резко выраженная гипертрофия и кардиосклероз.

При клапанном и подклапанном стенозе операцию необходимо производить под контролем зрения на "сухом" сердце как с применением искусственного кровообращения, так и на выключенном из кровообращения сердце в условиях гипотермии. Подклапанный стеноз целесообразнее устранять с применением искусственного кровообращения, а клапанный - на "сухом" сердце под гипотермией. Принципы операции такие же, как и при устранении клапанного стеноза легочной артерии.

Первые успешные операции на клапанах аорты на "сухом" сердце в условиях гипотермии под контролем зрения произвели Клауз и Невилл (Ск-даез, 1955), а в Советском Союзе - В.И. Бураковский (1959).

Надклапанный стеноз устраняют в условиях искусственного кровообращения; операция заключается в пластике восходящего отдела аорты. Эффект операций удовлетворительный. После операции устранения клапанного стеноза аорты существует опасность развития недостаточности аортальных клапанов.

Похожие работы на - Аномалия трехстворчатого клапана и транспозиция магистральных сосудов

 

Не нашли материал для своей работы?
Поможем написать уникальную работу
Без плагиата!
Без нейросетей!